МРТ при разрыве интервала ротаторной манжеты (ИРМ)
Добавил пользователь Евгений Кузнецов Обновлено: 08.11.2025
Распространенный разрыв может приводить к жировой атрофии и/или дегенерации, так же как и укорочению пораженных мышц.
- Дегенеративный разрыв: наиболее частый тип
- Травматический разрыв: встречается менее часто
Факторы риска повреждение вращательной манжеты плечевого сустава:
- Поражение сухожилия надостной мышцы может приводить к уменьшению кровоснабжения
- возраст, под акромиальная анатомия, травмы и предшествующие повреждения вращательной манжеты
- Положение и активность плечевого пояса при определенных профессиях также могут играть роль.
Какой метод диагностики повреждения вращательной манжеты плеча выбрать: МРТ, КТ, рентген
Метод выбора
Что покажут рентгеновские снимки при повреждении вращательной манжеты плеча
- Высокое расположение головки плечевой кости (акромиально-плечевое расстояние менее 6 мм) может наблюдаться при полном разрыве вращательной манжеты
- Эрозированне нижней поверхности акромиона вследствие высокого расположения головки плечевой кости
- Уплощение и атрофия большого бугорка в связи с отсутствием приложения силы растяжения.
Что покажут снимки МРТ плеча при повреждении вращательной манжеты плеча
- Высокие диагностические возможности при полном разрыве вращатель¬ной манжеты
- Чувствительность 75-100%
- Очень надежная оценка раз¬меров поражения
- Бесконтрастная МРТ менее надежна при дифференциации частичного разрыва или мелкого латного разрыва при тендопатии (преимущества имеет МР-артрография).
- На Т2-взвешенном изображении с подавлением МР-сигнала от жировой ткани и в последовательности STIR определяется дефект контура с гипе-ринтенсивным сигналом жидкости
- Возможно подтекание жидкости или контрастного вещества через дефект в подакромиальной и/или поддельтовидной сумке
- При небольших размерах поражения дегенеративные изменения могут приводить к переоценке распространенности поражения в связи минимальным количеством контраста между разрывом (жидкость) и дегенеративным участком, так же как вследствие эффекта «волшебного» угла/
Дегенеративные изменения без разрыва:
- Плохо определяемый участок повышения сигнала
- Возможно утолщение пораженной части сухожилия без нарушения контура или наличие сигнала, изоинтенсивного по отно¬шению к жидкости
- Типичное расположение - 1 см от прикрепления надостистой мышцы - точно определяется, когда сухожилие проходит косо по отношению к главному магнитному полю
- Поэтому протокол МР-сканирования при повреждении вращательной манжеты плечевого сустава должен включать последовательность с длительным временем эха, которое уменьшает артефакты повышения сигнала вслед¬ствие эффекта «волшебного» угла.
- Разрыв располагается в двух плоскостях
- Ретракция мышцы и сухожилия
- Точное описание должно даваться всем мышцам, проявляющим признаки жировой дегенерации или артропатии (на Т1-взвешенном изображении: изменение сигнала мышечной ткани в сторону гиперинтенсивного сигнала жировой ткани, уменьшение диаметра брюшка мышцы)
- Поражение обычно начинается в передней части сухожилия надостной мышцы и распространяется кзади на сухожилие подостной мышцы или кпереди и книзу, на верхний край подлопаточного сухожилия
- При травматическом разрыве сухожилия подлопаточной мышцы рассматривается возможность смещения сухожилия двуглавой мышцы (обычно вглубь и медиально, менее часто поверхностно, в направлении сухожилия подлопаточной мышцы).

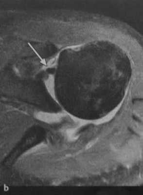
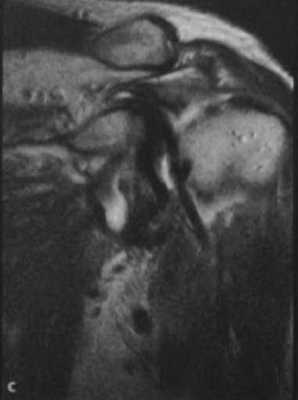
а-с Запущенная деструкция вращательной манжеты с предшествующими дегенеративными изменениями. Разрыв сухожилий надостной и подостной мышц, медиальное смещение длинного сухожилия двуглавой мышцы, выраженная атрофия всех мышц, составляющих вращательную манжету. (а) Сагиттальная МРТ. Генерализованная атрофия, каудальное смещение брюшка подлопаточной мышцы и смещение сухожилия двуглавой мышцы в полость сустава.

(b) Аксиальная МРТ. Смещение сухожилия двуглавой мышцы и изображение «пустой борозды» (стрелка).

(с) Фронтальная МРТ. Часть разорванного сухожилия надостной мышцы «плавает» точно сверху и латерально по отношению к сухожилию двуглавой мышцы.

Артропатия при разрыве вращательной манжеты. Сагиттальная МРТ. Выраженный плечевой артрит. Выраженная атрофия надостной мышцы и пограничный положительный «признак касательной» (касательная к клювовидному отростку и ости лопатки не пересекает брюшко надостной мышцы).
Типичные проявления при повреждении ротаторной манжеты плеча
- Боль в области плечевого сустава
- Ограничение отведения плеча.
Методы лечения
- Выбор реконструктивных методов основан на размерах поражения
- Лечение мелких повреждений вращательной манжеты возможно с помощью артроскопии, в других случаях используется открытое реконструктивное вмешательство
- Если симптоматическое лечение восстанавливает функцию сустава - консервативное лечение (физиотерапия) или артроскопическое вмешательство.
Течение и прогноз
- Прогноз после реконструктивного хирургического вмешательства зависит от состояния мышц (атрофия и/или жировая дегенерация)
- Неблагоприятный прогноз сочетается с жировой атрофией и дегенерацией более 50% поперечного диаметра; ретракция конца сухожилия до уровня суставной впадины; старый разрыв более 5 см («массивный разрыв»); высокое расположение головки плечевой кости с акромиально-плечевым расстоянием менее 6 мм.
Что хотел бы знать лечащий врач
- Выраженность атрофии мышц и ретракции сухожилий
- Расположение разрыва
- Распространенность повреждения ротаторной манжеты плеча (полный или частичный разрыв, длина дефекта)
- Какие сухожилия поражены
- Качество сухожилия в месте разрыва.
Какие заболевания имеют симптомы, схожие с повреждением вращательной манжеты плеча
Кальцинирующий тендинит
- На рентгенограмме типичные отложения кальция
Поражение подлопаточного нерва
- Первоначально отек подостной мышцы связан с денер¬вацией, затем возникает ее атрофия и дегенерация
МРТ при разрыве интервала ротаторной манжеты (ИРМ)
а) Терминология:
1. Аббревиатура:
• Интервал ротаторной манжеты (ИРМ), ротаторный интервал
2. Синонимы:
• Разрыв капсульно-связочного комплекса: большой разрыв ИРМ, захватывающий латеральную половину клювовидно-плечевой связки и верхнюю суставно-плечевую связку; исходы при вывихе сухожилия длинной головки двуглавой мышцы
• «Скрытое повреждение»: подвывих двуглавой мышцы вследствие разрыва ИРМ
3. Определения:
• Разрыв суставной капсулы между сухожилиями надостной и подлопаточной мышцами ± разрывы клювовидно-плечевой связки и верхней суставно-плечевой связки
• Не измененный ротаторный интервал:
о ИРМ предупреждает избыточное сгибание и наружную ротацию плеча
о Клювовидно-плечевая и верхняя суставно-плечевая связки сливаются с латеральной стороны и образуют капсульно-связочный комплекс
о ИРМ - это канал, сквозь который проходит двуглавая мышца
б) Визуализация:
1. Общая характеристика:
• Лучший диагностический критерий:
о МР Т2 высокий сигнал от ИРМ
о МР артрография: контраст может вытекать через разрыв капсулы ИРМ
• Локализация:
о ИРМ = треугольник с основанием на клювовидном отростке и латеральной верхушкой на поперечной плечевой связке (верхушка над межбугорковой бороздой):
- Верхний край: передняя часть сухожилия надостной мышцы
- Нижний край: верхний конец сухожилия подлопаточной мышцы
• Размер:
о Малые изолированные разрывы капсулы
о Разрывы капсулы с задненижней нестабильностью
о Разрывы капсульно-связочного комплекса с вывихом двуглавой мышцы
о Большие разрывы, сопутствующие разрыву переднего конца сухожилия надостной мышцы и/или разрыв верхнего конца сухожилия подлопаточной мышцы
(Слева) На рисунке показаны три последовательных среза интервала ротаторной манжеты. Клювовидно-плечевая связка объединяется с верхней суставно-плечевой связкой, образуя капсульно-связочный комплекс, комплекс является основным компонентом, препятствующим вывиху двуглавой мышцы.
(Справа) На косой сагиттальной МР-артрограмме Т2 ВИ FS нормальной ИРМ визуализируется клювовидно-плечевая связка, укрепляющая капсулу ИРМ. Верхняя суставно-плечевая связка В объединяется с клювовидно-плечевой связкой, начинаясь от капсульно-связочной комплекса, который стабилизирует сухожилие двуглавой мышцы во время поворота при входе в межбугорковую борозду. (Слева) На осевой МР-артрограмме PDВИ FS нормального ИРМ видна интактная передняя суставно-плечевая связка, начинающаяся от передневерхнего отдела губы, как раз ниже сухожилия двуглавой мышцы и поворачивающая в латеральном направлении для слияния с клювовидно-плечевой связкой.
(Справа) На косой сагиттальной МР-артрограмме Т2ВИ FS у этого же пациента визуализируется клювовидно-плечевая связка, сливающаяся с латеральной частью верхней суставно-плечевой связки, с образованием петлей (капсульно-сухожильный комплекс) вокруг сухожилия бицепса на латеральной поверхности ИРМ. (Слева) На осевой МРТ Т2ВИ FS разрыва ИРМ определяется высокоинтенсивный сигнал в проекции верхней суставно-плечевой связки, а также подвывих сухожилия двуглавой мышцы. Кроме того, здесь имеется разрыв ротаторной манжеты.
(Справа) На косой сагиттальной МРТ Т2 ВИ FS у этого же пациента видно, что клювовидно-плечевая связка тонкая и рыхлая с медиальной стороны В, около места ее прикрепления к клювовидному отростку определяется разрыв. Более поверхностный слой клювовидно-плечевой связки интактный. Имеется легкая тендинопатия подвывихнутой двуглавой мышцы. Ротаторная манжета разорвана.
2. МРТ при разрыве интервала ротаторной манжеты (ИРМ):
• Т1 ВИ:
о Промежуточный сигнал, окружающий нечеткую клювовидно-плечевую связку и латеральную половину верхней суставно-плечевой связки
• Т2 ВИ FS:
о Высокоинтенсивный сигнал от ИРМ
о ± Разорванные волокна клювовидно-плечевой связки и латеральной половины верхней суставно-плечевой связки
о Хронические разрывы: утолщение и образование рубцов клювовидно-плечевой связки и латеральной половины верхней суставно-плечевой связки
о «Скрытое повреждение»: подвывих двуглавой мышцы:
- Повреждение скрыто при артроскопии вследствие интактной суставной капсулы
• МР-артрография:
о Норма: хорошо видны клювовидно-плечевая связка и латеральная половина верхней суставно-плечевой связки
о Разрыв: контраст переходит на основание клювовидного отростка
о Острые разрывы: контраст проникает через ИРМ
3. Рекомендации по визуализации:
• Лучший метод визуализации:
о Прямая МР-артрография
• Рекомендация по протоколу:
о Если подозревается разрыв ИРМ, КТ с шагом спирали для инъекции при атрографии не используют
(Слева) На осевой МР-артрограмме Т1ВИ определяется разрыв капсулы ротаторного интервала с подвывихнутой и частично разорванной двуглавой мышцей. У пациента был передний вывих и разрыв губы, который ассоциирован с разрывами ИРМ.
(Справа) На косой сагиттальной МР-артрограмме Т1ВИ FS у этого же пациента вновь виден разрыв капсулы ротаторного интервала и частичный разрыв двуглавой мышцы. Выход контраста на заднюю поверхность клювовидного отростка, является симптомом разрыва ИРМ при прямой МР-артрографии. (Слева) На рисунке показано «скрытое повреждение» с легким медиальным подвывихом сухожилия двуглавой мышцы из межбугорковой борозды. Повреждение включает в себя частичный разрыв сухожилия подлопаточной мышцы в месте прикрепления и разрыв капсульно-связочного комплекса в латеральном отделе ИРМ. Суставная капсула интактна, поэтому повреждение не определяется при артроскопии.
(Справа) На косой фронтальной MPT PDВИ FS виден легкий подвывих сухожилия двуглавой мышцы у пациента со скрытым повреждением и разрывом ИРМ. (Слева) На рисунке показано скрытое повреждение. Имеется медиальный подвывих сухожилия двуглавой мышцы из ее борозды в результате частичного разрыва сухожилия подлопаточной мышцы в месте прикрепления с интактной суставной капсулой.
(Справа) На осевой MPT Т2 ВИ FS определяется подвывих сухожилия двуглавой мышцы, которое примыкает к большому бугорку. Если капсула и медиальные волокна сухожилия подлопаточной мышцы интактны, то это скрытое повреждение. Кроме того, у этого пациента имеются кисты в большом бугорке, признак патологических изменений сухожилия подлопаточной мышцы.
в) Дифференциальная диагностика разрыва интервала ротаторной манжеты (ИРМ):
1. Вывих сухожилия двуглавой мышцы:
• Тяжелая форма разрыва ИРМ; включает разрыв капсульно-связочного комплекса
2. Микронестабильность:
• Разрывы ПРМ могут вызвать задненижнюю микронестабильность:
о Ассоциированные с передненижним разрывом губы
3. Адгезивный капсулит:
• Толстая клювовидно-плечевая связка с фиброзом/отеком в окружающей жировой клетчатке
г) Патология:
1. Общая характеристика:
• Этиология:
о Передний вывих:
- Промежуточный разрыв при 50% передних вывихов
о Острая травма передневерхней капсулы
о Спортсмены-метатели/разнорабочие: хронические разрывы
• Сопутствующая изменения:
о Подвывих/вывих сухожилия двуглавой мышцы
о Разрыв передней поверхности сухожилия надостной мышцы
о Разрыв головного конца сухожилия подлопаточной мышцы:
- в 45% случаев встречается разрыв ИРМ о Разрыв передней и передневерхней губы
2. Стадирование, градации и классификация разрыва интервала ротаторной манжеты (ИРМ):
• 1 тип повреждения ПРМ: фиброз = адгезивный капсулит
• 2 тип повреждения ПРМ: разрыв
д) Клинические особенности:
1. Проявления разрыва интервала ротаторной манжеты (ИРМ):
• Типичные признаки/симптомы:
о Боль в передней области плечевого сустава
о Легкая нестабильность
• Другие признаки/симптомы:
о Симптом бороздки: смещение головки плечевой кости вниз
2. Течение и прогноз:
• Невозможность восстановления ИРМ - причина постоянной боли и нестабильности после операции по поводу нестабильности
• Примечание: артроскоп обычно проходит через отверстие, сделанное в ПРМ, которое срастается после операции
3. Лечение:
• Оперативное закрытие крупных, клинически значимых дефектов
е) Диагностическая памятка. Советы по интерпретации изображений:
• ИРМ оценивают на косых сагиттальных срезах
ж) Список использованной литературы:
1. Schaeffeler C et al: Lesions of the biceps pulley: diagnostic accuracy of MR arthrography of the shoulder and evaluation of previously described and new diagnostic signs. Radiology. 264(2):504-13, 2012
2. Nakata W et al: Biceps pulley: normal anatomy and associated lesions at MR arthrography. Radiographics. 31(3):791 -810, 2011
3. Vinson EN et al: Magnetic resonance imaging findings associated with surgically proven rotator interval lesions. Skeletal Radiol. 36(5):405-10, 2007
Рентгенограмма, МРТ, УЗИ при частичном разрыве ротаторной манжеты по толщине
а) Терминология:
1. Синонимы:
• Частичный разрыв, суставной/нижнеповрехностный разрыв, сумочный/верхнеповерхностный разрыв, внутрисухожильный/ внугритканевой/интерстициальный разрыв
2. Определения:
• Разрыв, захватывающий только часть толщины сухожилия ротаторной манжеты, так что глубина разрыва меньше, чем вся толщина сухожилия
• При полном разрыве по толщине суставная жидкость сообщается с субакромиальной сумкой
1. Общая характеристика:
• Лучший диагностический критерий:
о Высокоинтенсивный сигнал МР Т2 от отдельный зоны сухожилия
• Локализация:
о В 95% случаев сухожилие надостной мышцы
о Суставной: разрывы сумочной поверхности = 3:1:
- 30-50% частичных разрывов сумочной поверхности также сопровождаются частичным разрывом суставной поверхности по толщине
о Обычно 1,5 см от латерального конца сухожилия надостной мышцы:
- «Критическая зона» 1,0-1,5 см медиальнее области прикрепления
- При прикреплении к большому бугорку (краевой или частичный отрывной разрыв суставной поверхности сухожилия)
о Другие типы частичных разрывов:
- Внутрисухожильный/внутритканевой/интерстициальный частичный разрыв:
Сомнительные, если их необходимо отнести к частичным разрывам суставной и сумочной поверхности
Некоторые авторы называют их внутритканевым расщеплением/щелью, тяжелой формой тендинопатии
Ведутся дискуссии о том, могут ли они являться причиной боли
Многие ортопеды не учитывают эти изменения и не иссекают интактную поверхность манжеты для их устранения
- Частичный разрыв не на всю толщину суставной поверхности задней манжеты:
Наблюдается у спортсменов-метателей спортивных снарядов при внутреннем импиджменте
• Размер:
о В большинстве случаев 1-3 см в диаметре
о Глубина: поверхностый (<50%) или глубокий (>50%)
2. Рентгенография при частичном разрыве ротаторной манжеты по толщине:
• Данные о патологических изменениях костной ткани, в сочетании с частичным разрывом ротаторной манжеты по толщине:
о III тип акромиона
о Остеофиты акромиально-ключичного сочленения
о ± акромиальная кость
• Артрография:
о Контраст переходит в ткань сухожилий ротаторной манжеты:
- Инъекция в плечевой сустав показывает только частичные разрывы суставной поверхности
о Частичные разрывы сумочной поверхности по толщине не видны:
- Сумочные разрывы могут быть видны при субакромиаль-ной/субдельтовидной бурсографии
о Субакромиальная/субдельтовидная сумка не контрастируется при частичных разрывах по толщине
(Слева) Фронтальная косая МРТ Т2ВИ FS, пациент с суставными и сумочными частичными разрывами сухожилий надостной мышцы. Определяется высокоинтенсивный сигнал, охватывающий как суставную, таки сумочную поверхности сухожилия с тонкой полоской интактного среднего слоя манжеты.
(Справа) На косой сагиттальной MPT Т2 ВИ FS у этого же пациента определяются суставной и сумочный частичные разрывы и интактный средний слой ткани. Половина всех сумочных частичных разрывов ассоциированы с разрывами суставной поверхности. (Слева) На фронтальной косой МР-артрограмме определяется широкий частичный разрыв по толщине, охватывающий суставную поверхность сухожилия надостной мышцы без контраста в субакромиальной/субдельтовидной сумке.
(Справа) На косой сагиттальной МР-артрограмме Т1 ВИ FS у этого же пациента видно, что на суставной поверхности частичного разрыва ротаторной манжеты по толщине имеется небольшая передне-задняя полоска. Прямая МР-артрография характеризуется точностью 95% для суставной поверхности частичного разрыва ротаторной манжеты по толщине. (Слева) На передне-заднем рисунке плечевого сустава показана внутритканевая или интерстициальная щель/разрыв ротаторной манжеты. Некоторые авторы называют их внутритканевыми частичными разрывами по толщине, в то время как другие рассматривают их как тяжелую тендинопатию.
(Справа) Фронтальная косая МР-артрограмма Т2 ВИ FS, пациент с внутритканевой щелью/разрывом. Суставные и сумочные поверхностные манжеты интактны, поэтому такие интерстициальные (внутри-сухожильные) разрывы часто не видны при артроскопии или бурсоскопии.
3. КТ при частичном разрыве ротаторной манжеты по толщине:
• КТ-артрография:
о Визуализируется проникновение контрастного вещества в сухожилия ротаторной манжеты:
- Частичные разрывы по толщине только суставной поверхности
о Метод полезен у пациентов с противопоказанием к МРТ
о 95% точность при частичных суставных разрывах по толщине
4. МРТ при частичном разрыве ротаторной манжеты по толщине:
• Т1 ВИ:
о Локальное повышение сигнала, захватывающее только часть толщины ротаторной манжеты:
- Частичные разрывы суставной и сумочной поверхности по толщине
о Изображения Т1/PD частичных разрывов часто схожи с картиной при тендинопатии
о Патологические изменения костной ткани в сочетании с разрывом ротаторной манжеты: акромион III типа и т. д.
• Т2 ВИ FS:
о Локальное повышение сигнала в сухожилие не охватывающее всю толщину манжеты:
- Интенсивность сигнала часто аналогична интенсивности сигнала от жидкости
- Разрыв может быть перекрыт грануляционной тканью/фиброзом
о Истонченное сухожилие:
- Толщина - Сухожилие согласно последним данным истончается только в случае, когда края разрыва гладкие и не обрывистые
о Стандартная МРТ: чувствительность 65-70%, специфичность 90-95%
о Вторичные признаки:
- Кисты переднего края большой бугристости:
Кисты заднего края головки плечевой кости не ассоциированы с разрывами манжеты
- Внутримышечная киста:
У 80-95% пациентов с внутримышечной кистой наблюдается разрыв ротаторной манжеты; в большинстве случаев частичный разрыв по толщине
• МР-артрография:
о Т1 ВИ FS: контраст с высоким сигналом попадает на суставную поверхность разрыва:
- Изображения Т2, полученные тоже для визуализации разрывов сумочной поверхности, и внутрисухожильных щелей
о 95% точность частичных разрывов суставной поверхности
о Изображения с отведением и наружной ротацией (ABER):
- Более чувствительные при:
Частичных разрывах суставной поверхности ротаторной манжеты по толщине с внутренним импиджментом
Расслаивающихся/горизонтальных разрывах
• Непрямая МР-артрография (внутривенная инъекция контраста с замедленными МР томограммами):
о Чувствительность 80-90% при частичных разрывах, особенно, на томограммах полученных при отведении и наружной ротации
о Преимущества:
- Не используется внутрисуставная инъекция, поэтому не требует рентгеновского или ультразвукового сопровождения
- Грануляционная ткань в разрыве пролиферирует
- Увеличение объема жидкости в субакромиальной, субдельтовидной сумке, поэтому поверхностные разрывы визуализируются лучше
о Недостаток:
- Тендинопатия может контрастроваться аналогично разрыву
5. УЗИ при частичном разрыве ротаторной манжеты по толщине:
• Локальная гипоэхогенная или анэхогенная область, захватывающая поверхность сухожилия, но не охватывающая всю его толщину
• Другие признаки:
о Сдавливание дельтовидной мышцы до разрыва сумочной поверхности
о Потеря выпуклости наружной поверхности манжеты
о Разрыв суставной поверхности: светлая поверхность гиалинового хряща (симптом непокрытого хряща)
• Альтернатива стандартной МРТ:
о Менее дорогой метод, и более комфортное для пациента исследование
о Динамическое исследование:
- Компрессионный тест: надавливают передатчиком; если дельтовидная мышца врезается в дефект манжеты -»симптом грыжи дельтовидной мышцы
о Особенно при противопоказаниях к МРТ: пейсмейкер и т.д.
о Чувствительность 65%, специфичность 90-95% как и при стандартной МРТ
6. Рекомендации по визуализации:
• Лучший метод визуализации:
о Прямая МР-артрография, в частности, при частичных суставных разрывах по толщине
• Рекомендация по отчетности:
о Небольшое поле зрения, T2W FS±T1 с высоким разрешением или изображения PD FS
о Высококачественное, высококанальное кольцо плечевого сустава; предпочтительно 3Т
(Слева) На фронтальной косой MPT Т2 ВИ FS определяется краевой разрыв, суставной поверхностный частичный отрыв сухожилия в месте прикрепления. У этого пациента также имеется внутримышечная киста, находка, связанная с частичными разрывами по толщине.
(Справа) На продольном косом ультразвуковом снимке у другого пациента виден суставной поверхностный частичный разрыв ротаторной манжеты по толщине в месте прикрепления к бугристости с калиперами, измеряющими величину разрыва. Сумочная поверхность манжеты интактна. (Слева) На фронтальной косой MPT Т2 ВИ FS у пациента с болью в плечевом суставе определяется сумочный поверхностный частичный разрыв по толщине. Суставная поверхность манжеты интактна.
(Справа) На косой сагиттальной MPT 72 ВИ у этого же пациента также визуализируются сумочный поверхностный разрыв по толщине, а также интактная суставная поверхность манжеты, размытая из-за частичного усреднения и того, что на косом сагиттальном срезе латеральная часть манжеты изгибается вниз. (Слева) На фронтальной косой МРТ Т2 ВИ FS у этого же пациента нанесены курсивные линии на угловых косых сагиттальных срезах перпендикулярных латеральному концу сухожилия надостной мышцы, в типичных местах разрывов манжеты.
(Справа) На угловой косой сагиттальной МРТ Т2 ВИ FS у этого же пациента определяется частичный разрыв сумки. Обратите внимание на более заметные разорванные структуры в сравнении со стандартным косым сагиттальным изображением, а также резким расслоением гиалинового хряща и интактной суставной поверхностью манжеты.
в) Дифференциальная диагностика частичного разрыва ротаторной манжеты по толщине:
1. Визуализация:
• Разрыв ротаторной манжеты на всю толщину:
о Высокоинтенсивный Т2 сигнал переходит от суставной на сумочную поверхность манжеты
• Тендинопатия ротаторной манжеты:
о Промежуточный или высокий сигнал на изображениях Т2, ограниченный средним слоем вещества манжеты, утолщенная, а не истонченная манжета
• Кальцифицирующий тендинит ротаторной манжеты:
о Низкий сигнал кальция с окружающим отеком с Т2 высоким сигналом в манжете
о На поздних стадиях заболевания часто происходит разрыв через сумочную поверхность манжеты; может развиться кальцифицирующий бурсит
2. Клинические данные:
• Адгезивный капсулит плечевого сустава
• Импиджмент ротаторной манжеты
• Часто сложно поставить диагноз частичного разрыва клинически; для исключения разрыва ротаторной манжеты может потребоваться МРТ или УЗИ
(Слева) На фронтальной косой МР артрограмме Т1 ВИ у молодого спортсмена с болью в плечевом суставе визуализируется энтезопатическая кипа по заднему краю большого бугорка , но без явного разрыва манжеты.
(Справа) На МР-артрограмме Т1 ВИ с отведением и наружной ротацией у этого же пациента определяется частичный поверхностный разрыв ротаторной манжеты и верхней поверхности сухожилия подостной мышцы по толщине. У спортсменов, бросающих спортивных снаряды над головой, прямая МР-артрография в положении отведения с наружной ротацией более чувствительна при обнаружении задних разрывов манжеты, чем стандартное исследование. (Слева) На смежных снимках при фронтальной косой МР-артрографии Т1 ВИ FS определяется линейный суставной поверхностный разрыв сухожилия надостной мышцы. На смежном изображении заметен слабый линейный сигнал от сухожилия.
(Справа) При МР-артрографии Т1В И в положении отведения с наружной ротацией у этого же пациента виден суставной частичный разрыв, а также лучше определяется глубина разрыва. На изображениях в положении отведения с наружной ротацией степень расслоения разрывов часто визуализируется лучше, чем на стандартных томограммах. (Слева) На фронтальной косой MPT Т2 ВИ определяется высокоинтенсивный сигнал в месте разрыва суставной поверхности манжеты, что указывает на частичным разрыв ротаторной манжеты по толщине. Пациент кратковременно занялся лечебной физкультурой, но не перешел к систематическим занятиям.
(Справа) Фронтальная косая MPT Т2 ВИ FS, этот же пациента через год; исследование было выполнено в связи с продолжающейся болью в плечевом суставе. В настоящее время имеется полный разрыв ротаторной манжеты по толщине (FTRCT). Хотя у некоторых пациентов наблюдается улучшение после курса лечебной физкультуры, многие частичные разрывы по толщине прогрессируют до полных разрывов ротаторной манжеты.
1. Общая характеристика:
• Этиология:
о Внутренний: избыточная нагрузка, возрастная дегенерация:
- Более тонкие, упругие и менее васкуляризованные волокна суставной поверхности, чем сумочная поверхность
о Внутренний: структуры импиджмента (акромион III типа и т.д.), слабость мышц, опускающих головку плечевой кости
о Острая травма
2. Стадирование, градации и классификация частичного разрыва ротаторной манжеты по толщине:
• Классификация Эллмана: глубина разрыва:
о 1 степень: о 2 степень: 3-6 мм
о 3 степень: >6 мм
• Классификация Снайдера: пораженная сторона и размер дефекта:
о А1: изнашивание суставной поверхности
о А2: суставной дефект о А3: суставной дефект 2-3 см
о А4: суставной дефект >3 см
о В1: изнашивание сумочной поверхности
о В2: суставной дефект о В3: суставной дефект 2-3 см
о В4: суставной дефект > 3 см
1. Проявления:
• Типичные признаки/симптомы:
о Боль, особенно, ночью
о Положительные тесты на импиджмент
2. Демография:
• Возраст:
о Пиковый: 40-50 лет
• Пол:
о Небольшое доминирование мужского пола
• Эпидемиология:
о >40 лет: частичный разрыв ротаторной манжеты по толщине у 35%:
- Может быть бессимптомный
3. Течение и прогноз:
• Во многих случаях прогрессирует до полного разрыва по толщине в течение двух лет
• Может стабилизироваться и протекать без симптомов при лечебной физкультуре
4. Лечение частичного разрыва ротаторной манжеты по толщине:
• Лечебная физкультура
• Операция:
о Небольшие поверхностные разрывы: некрэктомия
о Большие глубокие частичные разрывы по толщине: пластика манжеты
е) Диагностическая памятка:
1. Следует учесть:
• Угловые косые сагиттальные срезы перпендикулярные латеральному краю сухожилия надостной мышцы:
о Усредненный артефакт меньшего объема, чем при стандартных сагиттальных срезах
2. Советы по интерпретации изображений:
• Особое внимание уделают поиску суставных поверхностных разрывов (более частые, чем сумочные суставные разрывы)
3. Рекомендации по отчетности:
• Указывают размер, глубину и вовлеченную суставную или сумочную поверхность:
о Помогает при планировании оперативного вмешательства
ж) Список использованной литературы:
1. Roy JS et al: Diagnostic accuracy of ultrasonography, MRI and MR arthrography in the characterisation of rotator cuff disorders: a metaanalysis. Br J Sports Med. 49(20):1316-28, 2015
Рентгенограмма, КТ, МРТ, УЗИ при полном разрыве ротаторной манжеты по толщине
а) Определения:
• Разрыв, переходящий от суставной на сумочную поверхность сухожилия ротаторной манжеты:
о Разрыв не захватывает сухожилие полностью и приводит к сокращению всего сухожилия
• Если одновременно полный разрыв сухожилия по ширине: полный разрыв манжеты по ширине
1. Общая характеристика:
• Лучший диагностический критерий:
о Высокоинтенсивный сигнал/жидкость на MPT Т2 ВИ, через всю толщину сухожилия
• Локализация:
о 95% полных разрывов ротаторной манжеты по толщине встречаются в сухожилие надостной мышцы:
- Обычно 1,5 см от латерального конца сухожилия надостной мышцы:
Критическая зона относительно гиповаскулярная
Латерально к ротаторной полукругу (лентовидное утолщение сухожилия)
Полный разрыв ротаторной манжеты по толщине также может быть отрывом сухожилия в месте прикрепления к большому бугорку
- Большинство полных разрывов сухожилия подостной мышцы по толщине сопровождаются разрывом сухожилия надостной мышцы
• Размер:
о Может быть от небольшого (5 см)
2. Рентгенография при полном разрыве ротаторной манжеты по толщине:
• Уменьшенное акромиально-плечевое расстояние (о Указывает на хронический полный разрыв по толщине
• Артропатия ротаторной манжеты:
о Наблюдается при хронических полных разрывах ротаторной манжеты по толщине
о Изнашивание нижней поверхности акромиального отростка:
- Склероз и повышенная вогнутость нижней поверхности акромиального отростка
о Остеоартрит плечевого сустава
о Термин часто используется для тяжелого деструктивного процесса, также известного как плечевой сустав Милуоки
• Сопутствующие изменения костей:
о III тип («крючковидный») акромион
о Направленные вниз остеофиты акромиально-ключичного сустава
• Артрография:
о Контраст, введенный в плечевой сустав, сообщается с субакромиальной/субдельтовидной сумкой
о Симптом Гейзера: полный разрыв ротаторной манжеты по толщине с контрастом, переходящим от субакромиальной/ субдельтовидной сумки к акромиально-ключичному суставу
3. КТ при полном разрыве ротаторной манжеты по толщине:
• КТ-артрография:
о Контраст виден в дефекте манжеты
о Контраст очерчивает контуры субакромиальной/субдельтовидной сумки
о Метод полезен у пациентов с противопоказанием к МРТ
о Точность 95-100% при полном разрыве ротаторной манжеты по толщине
(Слева) На фронтальной косой MPT Т2 ВИ FS определяется хронический, массивный полный разрыв ротаторной манжеты по толщине с жидкостью между головкой плечевой кости и акромионом, синовитом и остатками сухожильных волокон латерально и сокращенный конец сухожилия. Имеются признаки хронической травматизации нижней поверхности акромиона высокоподвижной головкой плечевой кости.
(Справа) На фронтальной косой MPT Т1ВИ у этого же пациента подтверждается, что сокращенный край сухожилия надостной мышцы находится медиальнее суставной впадины, что не позволяет восстановить такой разрыв. Кроме того, имеется жировая атрофия сухожилия надостной мышцы. (Слева) На косой сагиттальной MPT Т2ВИ FS у этого же пациента определяется полный разрыв сухожилия надостной мышцы по толщине, начинающий захватывать большую часть сухожилия подостной мышцы. Большинство разрывов сухожилия подостной мышцы сочетаются с крупными разрывами сухожилия надостной мышцы. Имеется передний акромиальной энтеозофит.
(Справа) На косой сагиттальной MPT Т1 ВИ медиальне шейки лопатки у этого же пациента определяется атрофия надостной и подостной мышц. (Слева) На фронтальной косой MPT Т2 ВИ FS у этого же пациента с застарелым полным разрывом ротаторной манжеты по толщине и минимальным количеством суставной жидкости визуализируется сухожилие надостной мышцы между головкой плечевой кости и нижней поверхностью акромиального отростка. Конец сокращенного сухожилия находится медиальнее суставной впадины. У пациентов без суставного выпота важно найти интактное сухожилие, чтобы не пропустить полный разрыв ротаторной манжеты по толщине, при котором жидкость в месте разрыва отсутствует.
(Справа) На передне-задней рентгенограмме Ниера у этого же пациента визуализируется высокоподвижная головка плечевой кости при хроническом полном разрыве ротаторной манжеты по толщине.
4. МРТ при полном разрыве ротаторной манжеты по толщине:
• Т1 ВИ:
о Дефект в сухожилиях ротаторной манжеты с ↑ сигналом
о Атрофия пораженной мышцы (ц) при хроническом полном разрыве ротаторной манжеты по толщине и ширине:
- Соотношение площади распространения: поперечная область сухожилия надостной мышцы/область надостной ямки на косом сагиттальном изображении:
0,6: нормальное или легкая атрофия
0,4-0,6: умеренная атрофия
- Содержание мышечного жира: система градации Гутейльера:
0 степень: отсутствие жировых полосок
1 степень: несколько жировых полосок
2 степень: равный объем мышц и жира
3 степень: больше жира, чем мышц
4 степень: полное замещение жиром
• T2BИ FS:
о Два основных симптома:
- Высокоинтенсивный сигнал, переходящий от суставной к сумочной поверхности сухожилия:
Часто сигнал с интенсивностью жидкости
Сигнал может быть меньшей интенсивности, чем от жидкости вследствие разволокненных краев сухожилия и т.д.
- Отсутствие сухожилия между высокоподвижной головкой плечевой кости и акромионом:
Хронический полный разрыв сухожилия надостной мышцы по толщине без выпота
Наблюдается у 10% с полными разрывами ротаторной манжеты по толщине
Может причиной ложноположительной интерпретации данных МРТ:
о Точность 90-95% при полном разрыве ротаторной манжеты по толщине
о Сагиттальный срез: симптом лысины - дефект с высоким сигналом в полулунном участке манжеты с низкоинтенсивным сигналом
о Хронический полный разрыв сухожилия надостной мышцы по толщине и ширине:
- Мышечная атрофия
- Сокращение конца сухожилия
• T1BИ C+FS:
о Прямая МР-артрография:
- Т1 ВИ с высоким отношением сигнала к шуму с разведенным гадолинием дает высококачественные изображения
- Контраст, введенный в плечевой сустав, переходит через разрыв в субакромиальную/субдельтовидную сумку:
Контрастирование субакромиальной/субдельтовидной сумки помогает выявлять небольшие полные разрывы ротаторной манжеты по толщине
- Точность 95-100% при полных разрывах ротаторной манжеты по толщине
о Непрямая МР-артрография:
- Внутривенная инъекция гадолиния с последующей МРТ:
Проводится без внутрисуставной инъекции, поэтому не требует рентгенографии или УЗИ
- Метод более полезен при частичных разрывах по толщине, при которых точность стандартной МРТ ниже
- Субакромиальная/субдельтовидная сумка увеличивается, поэтому высокоинтенсивный сигнал от сумки не может рассматриваться как симптом полного разрыва ротаторной манжеты по толщине
- Точность >95% при полном разрыве ротаторной манжеты по толщине:
Изображения с отведением и наружной ротацией повышают точность до 100%
5. УЗИ при полном разрыве ротаторной манжеты по толщине:
• Гипоэхогенная или анэхогенная зоны в манжете, переходящая от головки плечевой кости ксубакромиальной/субдельтовидной сумке:
о Симптом непокрытого хряща: анэхогенная жидкость рядом с изоэхогенным гиалиновым хрящом
• Исчезновение выпуклости верхней поверхности манжеты
• Преимущества: лучшее исследование для оценки динамики, менее дорогое, чем МРТ, высокое пространственное разрешение
• Недостаток: более слабое контрастирование, чем при МРТ
• Точность при полном разрыве по толщине 90-95%
6. Рекомендации по визуализации:
• Лучший метод визуализации:
о Косая фронтальная FS Т2 ВИ:
- Лучше видны 90% разрывов ротаторной манжеты
- Коррелируется с косой сагиттальной, особенно, при длинном переднем разрыве сухожилия надостной мышцы и соединения сухожилия надостной/подостной мышцы
о Стандартная МРТ: неинвазивная, высокоточная при полном разрыве ротаторной манжеты по толщине
• Рекомендация по протоколу:
о Необходимы косые сагиттальные срезы:
- Лучше видны 10% разрывов ротаторной манжеты
(Слева) На фронтальной косой MPT Т2 ВИ FS определяется выраженный глубокий частичный разрыв суставной поверхности сухожилия надостной мышцы по толщине. Более того, имеется значительный выпот в су-бакромиальной/субдельтовид -ной сумке.
(Справа) На фронтальной косой МР артрограмме Т1 ВИ у этого же пациента визуализируется жидкость в субакро-миальной/субдельтовидной сумке, что указывает на полный разрыв ротаторной манжеты по толщине. Контраст, переходящий на всю манжету в небольшом разрыве лучше визуализируется на Т1 ВИ. (Слева) На МР-артрограмме Т1ВИ FS с отведением и наружной ротацией у этот же пациента подтверждается полный разрыв ротаторной манжеты по толщине.Томограммы полученные при отведении и наружной ротации, в основном, используются для лучшей визуализации разрывов губы Банкарта и внутренних повреждений при импиджменте. Тем не менее, при расслаблении манжеты также можно обнаружить небольшие разрывы манжеты и расслаивающие разрывы.
(Справа) Нa фронтальной косой MPT Т2 ВИ визуализируется полный разрыв ротаторной манжеты по толщине в сухожильно-мышечном соединении сухожилия надостной мышцы. Эти разрывы встречаются реже, чем латеральные разрывы. (Слева) Нa заднепереднем рисунке плечевого сустава показан изолированный разрыв задней манжеты (сухожилия подостной или малой круглой мышц).
(Справа) На фронтальной косой MPT Т2 ВИ определяется полный разрыв сухожилия подостной мышцы по толщине с внутримышечным отеком. Большинство разрывов сухожилия подостной мышцы локализуются на верхней поверхности сухожилия и возникают при заднем разгибании массивного разрыва сухожилия надостной мышцы.
в) Дифференциальная диагностика полного разрыва ротаторной манжеты по тощине:
1. Визуализация:
• Угловая анизотропия (феномен «волшебного угла»):
о Полоска повышенного сигнала, переходящая через латеральную манжету при коротких частотах ТЕ
о Наблюдается, когда волокна манжеты ориентированы на 55° к В0
о Ключ к диагнозу: нет изменений на Т2 ВИ
• Глубокий частичный разрыв ротаторной манжеты по толщине:
о Интактная суставная или сумочная поверхность манжеты
• Тяжелая тендинопатия ротаторной манжеты:
о Могут визуализироваться отдельные интактные волокна с низкоинтенсивным сигналом, идущие через область повышения интенсивности сигнала
2. Клинические данные:
• Адгезивный капсулит
• Остеоартрит плечевого сустава
• Импиджмент ротаторной манжеты:
о Клиническое исследование часто затруднено: для исключения разрыва может потребоваться МРТ или УЗИ
(Слева) На фронтальной косой MPT Т2 ВИ FS у мужчины 73 лет с болью и слабостью в плечевом суставе после падения визуализируются жидкость и гематома при остром полном разрыве ротаторной манжеты по толщине, переходящем на субакромиальную/субдельтовидную сумку. Самые острые разрывы встречаются в сухожилиях на фоне дегенарации.
(Справа) На фронтальной косой КТ артрограмме виден контраст, переходящий на дефект в сухожилие надостной мышцы и наполняющий субакромиальную/субдельтовидную сумку, что указывает на полный разрыв ротаторной манжеты по толщине. (Слева) На надостистом продольном ультразвуковом снимке (фронтальная косая) определяется полный разрыв по толщине захватывающий место прикрепления к большому бугорку.
(Справа) На надостистом продольном ультразвуковом снимке (фронтальная косая) виден полный разрыв по толщине с уменьшенным расстоянием между гипоэхогенным суставным хрящом головки плечевой кости и гиперэхогенной субдельтовидной сумкой. Обратите внимание на отсутствие нормального гиперэхогенного и волокнистого сухожилия, на тонкий слой жидкости и синовит/остатки волокон. (Слева) На передне-задней стандартной артрограмме у пациента с полным разрывом ротаторной манжеты по толщине виден контраст, переходящий из плечевого сустава в субакромиальную/субдельтовидную сумку. Разрыв через сухожилие ротаторной манжеты определяется лучше, если после артрографии выполнить КТ.
(Справа) На косой сагиттальной MPT Т2 ВИ FS у пациента с полным разрывом ротаторной манжеты по толщине определяется симптом «лысого пятна». Визуализируется интактное сухожилие с низким сигналом спереди и сзади разрыва, напоминающее волосы вокруг центрального лысого пятна.
1. Общая характеристика:
• Этиология:
о Большинство полных разрывов ротаторной манжеты по толщине происходят на фоне дегенерации манжеты или частичного разрыва по толщине
о Внутренняя слабость манжеты:
- Избыточная нагрузка и возрастная дегенерация в результате механического повреждения, действия медиаторов воспаления, нарушения экспрессии деструктивных ферментов
о Наружный импиджмент манжеты: 1° или 2° до патологического движения плечевого сустава:
- Первичный импиджмент:
Костный импиджмент: акромион III типа, нижние остеофиты акромиально-ключичного сустава, ± акромиальная кость:
Утолщенная клювовидно-акромиальная связка
- Вторичный импиджмент:
Слабые мышцы, опускающие головку плечевой кости, позволяют ей приподниматься, вызывая импиджмент
о Нестабильность: разнонаправленная или микронестабильность
о Острая травма манжеты:
- У пожилых пациентов в результате переднего вывиха
- Полный разрыв ротаторной манжеты по толщине возникает редко после травмы у молодых пациентов с практически интактной ротаторной манжетой
2. Стадирование, градации и классификация полного разрыва ротаторной манжеты по толщине:
• Максимальная диаметр полного дефекта по толщине (охватывает одно или больше сухожилий при разрыве ротаторной манжеты):
о Небольшой: о Средний: 1-3 см
о Большой: >3 см, но не полный
о Полный или массивный: разрыв всего сухожильного комплекса
• Оценивают два размера (используют фронтальную плоскость для медиально-латерального измерения сокращения и сагиттальную плоскость для передне-заднего измерения разрыва)
3. Макроскопические и хирургические особенности:
• При артроскопии можно увидеть субакромиальную/субдельтовидную сумку
1. Проявления:
• Типичные признаки/симптомы:
о Боль, особенно, ночью
о Боль и слабость при отведении
о Положительный импиджмент тест
о Полный разрыв сухожилия надостной мышцы по толщине и ширине: невозможно отведение на первые 10°
2. Демография:
• Возраст: > 40 лет
• Пол: мужской несколько доминирует
• Эпидемиология:
о >60 лет: полный разрыв ротаторной манжеты по толщине у 25%
- Не все проявляются клинически
о
3. Течение и прогноз:
• Боль может уменьшиться при физиотерапии
• Иногда прогрессирует до артропатии ротаторной манжеты
4. Лечение:
• Небольшой - средний полный разрыв ротаторной манжеты по толщине: пластика манжеты
• Полный разрыв ротаторной манжеты по толщине и ширине:
о Не восстанавливается в случае значительной атрофии мышц или сокращения конца сухожилия медиально к суставной впадине
о Некрэктомия может улучшить симптомы
о При атрофии ротаторной манжеты необходима атропластика
1. Следует учесть:
• Полный разрыв ротаторной манжеты по толщине после переднего вывиха у пациентов в возрасте >40 лет
2. Советы по интерпретации изображений:
• Повышенная подвижность головки плечевой кости на МРТ:
о Если в дефекте манжеты отсутствует жидкость, при МРТ можно не увидеть полный разрыв ротаторной манжеты по толщине
3. Рекомендации по отчетности:
• Указывают диаметр полного разрыва ротаторной манжеты по толщине в двух плоскостях
• Описывают тяжесть жировой атрофии мышц

11.07.2018
Магнитно-резонансная томография в диагностике разрывов вращательной манжеты плеча
Статья посвящена описанию и иллюстрации МР-симптоматики повреждений вращательной манжеты плеча. Описаны различные виды повреждений вращательной манжеты: тендинопатия, полные разрывы, частичные разрывы,массивные разрывы.
Разрывы вращательной манжеты плеча являются наиболее частой причиной болевого синдрома в плечевом суставе и составляют около 40 % всех травм плеча в любых возрастных группах [1].
Разрывы вращательной манжеты вследствие острой травмы происходят редко и составляют не более 5 % от всех
В 70 % случаев разрывы вращательной манжеты возникают у лиц старше 40 лет на фоне дегенеративных изменений сухожилий [2].
сумки между головкой плечевой кости и клювовидно-акромиальной дугой при соударении головки плеча с задневерхней частью акромиального отростка лопатки.
—первая степень(обратимая) наблюдается у лиц моложе 25 лет и проявляется отеком и кровоизлияниями во вращательной манжете;
—вторая степень возникает в возрасте от 25 до 40 лет на фоне хронической травматизации, характеризуется дегенеративными и фиброзными изменениями сухожилий (тендиноз, тендинопатия);
—третья степень наблюдается у лиц старше 40 лет, проявляется частичными или полными разрывами сухожилий вращательной манжеты плеча.
Внешний импинджмент возникает на фоне анатомических особенностей строения акромиального отростка лопатки – крючковидная форма акромиона, наклоненный вперед или низко расположенный акромион, утолщенная клювовидно-акромиальная связка.
Внутренний импинджмент возникает при хронической микротравматизации сухожильно-связочного аппарата сустава за счет измененной мобильности головки плечевой кости вследствие нестабильности в плечевом суставе.
Он приводит к фиброзу субакромиальной сумки, тендиниту сухожилий вращательной манжеты и формированию костной шпоры на передненижней поверхности акромиального отростка лопатки или в дистальном отделе ключицы.
Клиническая симптоматика разрывов вращательной манжеты включает жалобы на постоянные боли в наружных отделах плечевого сустава, усиливающиеся при движении и по ночам, боли при отведении и наружной ротации плеча, а при полных разрывах – невозможность отведения плеча. Необходимо отметить, что в 30 % случаев разрывы вращательной манжеты протекают бессимптомно. Тем не менее при объективном обследовании практически у всех пациентов отмечается появление или усиление боли при отведении плеча до угла 60–120° (симптом «дуги болезненного отведения»).
Магнитно-резонансная томография(МРТ) обладает высокой информативностью при диагностике патологических изменений вращательной манжеты плеча. По данным различных авторов, чувствительность и специфичность МРТ при диагностике разрывов вращательной манжеты составляет от 88 до 100 % [5].
Наиболее информативным считается Т2-ВИ с подавлением сигнала от жировой ткани в косой коронарной проекции.
При использовании этой импульсной последовательности чувствительность МРТ в диагностике полных разрывов манжеты составляет 96–100 %, а специфичность — 77–97 % [6].
В целом протокол МР-исследованияпри подозрении на повреждения вращательной манжеты должен включать получение Т2-ВИ с подавлением сигнала от жира в косой коронарной, косой сагиттальной и трансверзальной проекциях, протонно-взвешенные изображения в трансверзальной проекции, Т1-ВИ в косой коронарной проекции.
В 95 % случаев разрыв вращательной манжеты происходит у места прикрепления сухожилия надостной мышцык бугорку плечевой кости или на 1,5–2 см дистальнее [7].
В зависимости от длительности истепени ущемления манжеты выделяют различные виды ее повреждения — дегенерацию (тендиноз, тендинопатия), полные разрывы, частичные разрывы, массивные разрывы[8].
Дегенерация сухожилия (тендиноз,тендинопатия)при МРТ проявляется наличием участков средней интенсивности МР-сигнала на Т1- и Т2-ВИ в веществе сухожилия, что гистологически соответствует мукоидной дегенерации.
Полные разрывы вращательной манжеты наименее сложны для МР-диагностики. Линия разрыва пересекает все сухожилие сверху вниз от переднего до заднего края у места прикрепления надостной мышцы к бугорку плечевой кости или на 1,5–2 см дистальнее. МР-симптоматика включает перерыв хода сухожилия с наличием участка повышенной интенсивности МР-сигнала на Т2-ВИ, распространяющегося от суставной поверхности манжеты до ее верхнего края (рис. 1).
Наружные (внесуставные) разрывы наблюдаются реже, чем внутрисуставные. Разрыв обращен в полость субдельтовидной или субакромиальной сумок и часто сопровождается скоплением жидкости в сумке (рис. 4)
При МР-артрографии наблюдается затекание контраста под сухожилие в область малого бугорка плечевой кости.Массивные разрывы вращательной манжеты обычно наблюдаются у пожилых пациентов на фоне выраженных дегенеративных изменений сухожилий, на фоне сахарного диабета, воспалительных полиартропатий, проведения стероидной терапии.
Они характеризуются множественными полными разрывами сухожилий надостной, подостной, подлопаточной мышц с ретракцией мышечно-сухожильных волокон, атрофией мышц.
Кальцинирующий тендинит вращательной манжеты развивается вторично к тканевому некрозу в критической зоне манжеты после эпизодов гипоксии, при хронических воспалительных процессах в плечевом суставе.
Отложения кальция образуются непосредственно в сухожилии надостной мышцы, связках плечевого сустава и суставных сумках. Кальцинаты хорошо выявляются при рентгенографии, на МР-томограммах визуализируются как фокусы низкой интенсивности МР-сигнала в сухожилии (рис. 7).
Теги: магнитно-резонансная томография
234567 Начало активности (дата): 11.07.2018 17:42:00
234567 Кем создан (ID): 989
234567 Ключевые слова: магнитно-резонансная томография, вращательная манжета плеча, разрывы
12354567899
Читайте также:
