МРТ при терминальном миелоцистоцеле (сирингоцеле)
Добавил пользователь Владимир З. Обновлено: 14.12.2025
Одна из наиболее сложных зон для диагностики – головной и спинной мозг. Причина – кости позвоночника и черепа, которые затрудняют визуализацию. Некоторые мозговые структуры малы по размерам, но ощутимо влияют на здоровье, что точность диагностики крайне важна. МРТ головного и спинного мозга – процедура, которая позволяет оценить строение, анатомические особенности и патологические процессы этой области.
Когда делают МРТ головного и спинного мозга
Обследование назначают при жалобах пациента на:
- Сильные приступы головной боли, боли в спине.
- Онемения, тремор в теле, конечностях.
- Головокружения, потерю сознания, судороги.
- Психоэмоциональные расстройства, частые, беспричинные изменения настроения.
- Ухудшения памяти, слуха, зрения.
- Нарушения координации движения, моторики рук.
- Приступы тошноты, не связанные с пищевыми отправлениями.
Эти и другие симптомы могут быть признаками:
- Нарушений кровообращения мозга, сосудистых аномалий, инсульта.
- Доброкачественных и злокачественных опухолей.
- Пороков развития.
- Воспалений и инфекций нервной системы.
- Дегенеративных изменений мозговой ткани.
- Протрузий, межпозвоночных грыж, смещения дисков.
Срочное МРТ головного и спинного мозга важно в первые часы инсульта, при сильных травмах головы, спины, шеи. Обследование потребуется при подготовке к операции, оценке ее эффекта, отслеживанию динамики изменений при консервативном лечении на начальных стадиях. Недорогая цена МРТ спинного и головного мозга позволяет включить томографию и в комплексные программы профилактического осмотра для ранней диагностики.
Почему МРТ
МРТ головного и спинного мозга – это наиболее информативный неинвазивный метод диагностики. Рентгенография, компьютерная томография, УЗИ не позволяют обнаружить аномалии небольшого размера, детально оценить разные ткани и структуры. Поэтому несущественная разница в цене МРТ головного и спинного мозга с ними вполне компенсируется. Срезы с расстоянием в несколько миллиметров друг от друга дают четкую картину тканей, сосудов, костных структур и соседних органов.
Среди других преимуществ магнитно-резонансной томографии стоит отметить безвредность обследования для пациента, возможность проводить его необходимое количество раз в любом возрасте.
Подготовка и проведение томографии
Чтобы сделать МРТ головного и спинного мозга, нужна минимальная подготовка – перерыв после приема пищи 3-5 часов перед обследованием с контрастированием. Контраст – препараты с солями гадолиния – используются по назначению врача. Они окрашивают стенки сосудов, опухолевые ткани, делают изображение более четким и заметным на снимках. В редких случаях (до 0,1%) препарат может вызвать легкую аллергию, поэтому можно провести аллергопробу перед применением.
Контраст запрещен беременным, кормящим и больным с тяжелыми нарушениями работы почек. Есть противопоказания и у МРТ. Их можно разделить на:
Абсолютные – при них МРТ головного, спинного мозга и других зон запрещена полностью. Это первый триместр беременности, инородные металлические и электронные устройства: протезы, насосы, стимуляторы. К относительным можно отнести клаустрофобию, возраст до 7 лет, неконтролируемые движения тела, избыточный вес. В этом случае применяют альтернативные методы диагностики или проводят исследование под наркозом или в томографах открытого и вертикального типов.
Для сканирования пациента помещают массивную цилиндрическую трубу. Во время сеанса врач общается с пациентом, чтобы убедиться в его нормальном самочувствии. Общее время диагностики – около часа. Еще час потребуется подождать готовых результатов. Он могут быть в виде распечатанных наиболее информативных снимков или всех результатов, сохраненных на диске.
Цены на МРТ и КТ позвоночника. Выявление менингоцле и миеломенингоцеле

У новорожденного в области крестца выявлено объемное образование. Движения ног у ребенка не нарушены. МРТ пояснично-крестцовой области (сагиттальная проекция, Т2-взве- шенное изображение). Грыжевой мешок содержит только ЦСЖ. Наблюдается внутрипозвоночное опущение мозгового конуса и короткие прямые волокна конского хвоста, которые фиксированы к каудальным отделам дурального мешка.

МРТ позвонка Ц/ (горизонтальная проекция, Т2-взвешенное изображение). Костный дефект закрыт соединительнотканными структурами (данные получены во время операции), через которые выпячивается грыжевой мешок, заполненный ЦСЖ. Определяется перегородка, но нервные структуры отсутствуют. Эти структуры не выходят за пределы позвоночного канала. Переднее субарахноидальное пространство не расширено. Грыжевой мешок покрыт тонким слоем кожи.

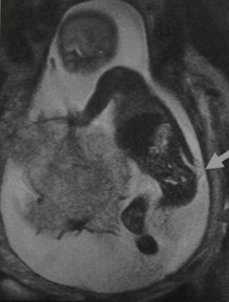
При УЗИ в 20 нед. беременности выявлено наличие spina bifida. МРТ плода и таза (фронтальная проекция, Т2-взвешенное изображение). Грыжевой мешок, расположенный в крестцовой области и содержащий структуры спинного мозга, ориентирован вдоль верхушки крестца.
На Т2-взвешенном изображении в горизонтальной проекции визуализируются костный дефект с широким основанием и миелоцеле, содержащее структуры спинного мозга (стрелка).
Ликвородинамическое исследование при подозрении на фиксацию спинного мозга
Когда применяют МРТ при spina bifida
- Клинические показания
- Предоперационное обследование
- Анатомическая оценка элементов, содержащихся в грыжевом мешке, и их взаимосвязи с нервными корешками
- Определение морфологического строения
- Выявление сопутствующей диастематомиелии (например гемимиеломенингоцеле)
- Визуализация послеоперационных осложнений
Также МРТ применяют при следующих состояниях и осложнениях
Рецидивирующая фиксация спинного мозга:
- нити рубцовой ткани фиксируют спинной мозг к твердой мозговой оболочке
Киста паутинной оболочки:
- последствия послеоперационного спаечного процесса
- Дает несколько усиленный сигнал по сравнению с ЦСЖ (повышенное содержание белка)
- Выраженная стенка
- При контрастировании ЦСЖ нарушения циркуляции отсутствуют
Дермоидная и эпидермоидная кисты:
- возникают вследствие имплантации эпидермиса во время операции, как первичное образование или в сочетании с дермальным синусом
- На Т1- и Т2-взвешенных изображениях несколько гиперинтенсивны по сравнению с ЦСЖ
- В случае присоединения вторичной инфекции наблюдается накопление контраста
Внимание: разрыв приводит к токсическому менингиту
Сирингомиелия (сирингогидромиелия): основная причина нарастания неврологических нарушений в послеоперационном периоде, приводит к быстрому прогрессированию сколиоза.
МРТ спинного мозга с контрастом
МРТ спинного мозга с контрастом – это современный способ оценки состояния как самого спинного мозга, так и окружающих его тканей позвонков, сосудов, связок и мышц. В процессе исследования в организм вводятся особые парамагнитные вещества, повышающие точность диагностики до сотых долей миллиметра.
Проведение МРТ спинного мозга с контрастом требует высокопрофессиональной подготовки врачей и новейшего медицинского оборудования. Врачи медицинского холдинга «СМ-Клиника» используют томографы немецкого производителя Siemens и имеют в штате специалистов, прошедших практику в ведущих учебных центрах страны.

Магнитно-резонансная томография в «СМ-Клиника» это
Мы создали для таких пациентов доступную медицинскую среду: наше оборудование позволяет проводить обследование пациентов весом до 200 кг.
Цель МРТ спинного мозга с контрастом
МРТ спинного мозга с контрастом дает изображения спинного мозга с высочайшим разрешением. При помощи данного метода возможно не только оценить структурные изменения, но и охарактеризовать кровоток в сосудах позвоночного столба и состояние ликворных пространств. МРТ эффективна при диагностике таких нарушений, как:
- новообразования спинного мозга и его оболочек (доброкачественной или злокачественной природы);
- аномалии и пороки развития сосудов;
- сдавливания или разрывы нервных корешков и тканей спинного мозга;
- компрессия спинного мозга;
- сирингомиелия;
- грыжи межпозвоночных дисков;
- аномалии развития позвоночного столба;
- переломы, трещины, вывихи, подвывихи позвонков;
- разрывы связок позвоночного столба;
- полиомиелит;
- инфекционно-воспалительные процессы (абсцессы, остеомиелит);
- дегенеративные и аутоиммунные системные заболевания, затрагивающие ткани позвоночного столба.
МРТ с контрастом значительно превосходит по эффективности все существующие методы визуализации тканей спинного мозга.
Показания к МРТ спинного мозга с контрастом
Процедура, в первую очередь, показана для обнаружения любых пролиферативных процессов злокачественной и доброкачественной этиологии, выполняется строго по назначению врача. В качестве повода для беспокойства могут выступать следующие симптомы:
- полная (параличи) или частичная (парезы) потеря чувствительности в руках и ногах;
- чувство онемения, покалывания или жжения в верхних и нижних конечностях;
- необъяснимое снижение слуха, зрения и обоняния;
- постоянные головные боли;
- головокружение и шум в ушах;
- боли в ходу позвоночного столба и в затылке;
- слуховые и звуковые галлюцинации;
- недавно полученные травмы и повреждения позвоночного столба.
Зачастую МРТ позвоночника выполняется после проведения оперативных вмешательств, а также для контроля эффективности медикаментозного или хирургического лечения.
Как проходит МРТ спинного мозга с контрастом
Результаты проведения процедуры:

До начала обследования пациент снимает с себя любые металлические предметы (кольца, серьги, пирсинг). Затем врач визуально осматривает кожные покровы на предмет наличия лекарственных пластырей и татуировок, способных исказить данные МР-картины.
При МРТ недопустимы любые, даже случайные движения; поэтому пациента пристегивают специальными ремнями безопасности. Затем приступают к введению контрастных препаратов. В сети медицинских центров «СМ-Клиника» используют только современные и прекрасно зарекомендовавшие себя медикаменты.
Томограф послойно сканирует ткани исследуемого органа и мгновенно передает данные на экран монитора. При необходимости специалист проводит коррекцию, фокусируется на обнаруженных патологических очагах. Возможно появление чувства тепла или «мурашек», что связано с воздействием магнитного поля.
МРТ-диагностика выполняется с соблюдением всех мер безопасности. В томограф встроены камера, микрофон и динамик, посредством которых оператор может контролировать состояние пациента и давать рекомендации.
Выбор контрастного вещества и способ введения контраста по показаниям определяет врач перед проведением обследования.
МРТ краниовертебрального перехода

МРТ краниовертебрального перехода — метод диагностики, позволяющий изучить состояние позвоночника, спинного мозга на уровне стыка черепа и верхних шейных позвонков, перехода ствола мозга в сегменты спинного мозга.
Краниовертебральный переход, включает первый и второй шейные позвонки. Опасность повреждений данного сегмента состоит в близком расположении жизненно важных центров нервной регуляции.
Когда назначают МРТ краниовертебрального перехода
Исследование назначают при:
- патологических изменениях спинного мозга;
- повреждении связок;
- ушибах мягких тканей;
- травмах мыщелков затылочной кости;
- переломах и вывихах первого и второго шейных позвонков.
Что показывает МРТ краниовертебрального перехода
Магнитно-резонансная томография позволяет:
- обнаружить травмы связочного аппарата;
- установить степень смещения позвонков;
- определить изменения образований в мягких тканях, нервно-сосудистых структурах;
- установить наличие кровоизлияний;
- увидеть изменения в характеристиках цереброспинальной жидкости.
Подготовка к процедуре
Как правило, специальная подготовка не требуется. Смотреть всю информацию о подготовке к процедуре.
Преимущества
МРТ имеет ряд преимуществ перед КТ краниовертебрального перехода:
- нет лучевой нагрузки;
- возможна визуализация мягких тканей.
В медицинском центре «Приоритет диагностика» также можно сделать МРТ краниовертебрального перехода с контрастом. Для этого нужно заранее сдать анализ на уровень креатинина в крови. Диагностика с контрастом более информативна и позволяет поставить диагноз в сложных случаях. В нашем медцентре вы также можете заказать врачебную транспортировку пациента, если он самостоятельно не может приехать на обследование. Мы привезем его в клинику, а после — обратно домой.
Сделать МРТ краниовертебрального перехода в СПб
Магнитно-резонансную томографию краниовертебрального перехода можно сделать в Медицинском Центре «Приоритет диагностика» в Санкт-Петербурге. Процедура помогает при выявлении патологий, предупреждает развитие серьезных заболеваний.
В стоимость диагностики входит:
- Обследование на современном томографе Vantage Elan 1.5Tл (производства Canon, Япония), относящемся к классу высокопольных томографов последнего поколения, обеспечивающих безопасное, надежное и качественное исследование.
- Подробное заключение, сделанное на основании снимков врачом-рентгенологом. Описание исследования проверяется главным врачом.
- Внутренний контроль качества исследований.
- Подробную информацию о ценах можно узнать в разделе «Цены».
- Ознакомиться с проходящими акциями можно в разделе «Акции».
При необходимости, стоимость введения контрастного вещества оплачивается дополнительно. Смотреть цены →
Если Вам назначили МРТ с контрастированием и у Вас в анамнезе есть заболевание почек и/или единственная почка, ОБЯЗАТЕЛЬНО выполните анализ на уровень креатинина (не более 2-х недельный срок давности) и в назначенное время на КТ исследование приходите с результатами анализа. Также в медицинском центре «Приоритет диагностика» КТ и МРТ можно сделать экспресс-тест на креатинин. Анализ проводится по капиллярной крови (из пальца), оплачивается дополнительно по прейскуранту.
Сирингоцеле Купера (бульбоуретральная киста)

Ключевые слова
Полный текст
ВВЕДЕНИЕ
Первое упоминание о бульбоуретральных железах встречается в работе Jean Mery в 1684 г. (рис. 1, a).

Fig. 1. Page of editions describing the bulbourethral glands: a – the first description of Jean Mery from the French edition of the Journal des scavans (1684); b – title page of W. Cowper’s work “An Account of Two Glands and Their Excretory Ducts Lately Discover’d in Human Bodies” (1699)
В дальнейшем они более детально описаны Уильямом Купером (William Cowper) (рис. 1, b) в своем труде «An account of two glands and their Excretory ducts Lately discovered in Human Bodies» («Рассказ о двух железах и их выводных протоках, недавно обнаруженных в человеческих телах»), опубликованном в записках Лондонского Королевского Общества в 1699 г. У. Купер изобразил их (рис. 2) и описал следующим образом: «…на четверть дюйма ниже предстательной железы я обнаружил две другие маленькие железы, расположенные по обе стороны уретры немного выше луковицы пещеристого тела. Эти железы имеют овальную фигуру, не превышающую величину небольшого французского боба…» [1].
Бульбоуретральные железы — парный орган округлой формы, размером до нескольких миллиметров, расположенные кзади от мембранозной уретры, ориентировочно на 3 и 9 часах условного циферблата с выводными протоками, открывающимися в бульбозном отделе уретры. Основная их функция — выделение преэякулята в половые пути мужчины [2, 3].

Рис. 2. Органокомплекс малого таза мужчины (по: W. Cowper, 1699). 1 — предстательная железа, 2 — бульбоуретральные железы, 3 — уретра, 4 — семенные пузырьки
Fig. 2. Organocomplex of the small pelvis of a man according (to: W. Cowper, 1699). 1 – prostate gland, 2 – bulbourethral glands, 3 – urethra, 4 – seminal vesicles
Сирингоцеле Купера впервые описал M. Maizels в 1983 г., который в последующем предложил подразделять их на четыре типа: простое, перфоративное, неперфоративное и разорвавшееся [4]. Среди описанных M. Maizels форм сирингоцеле Купера наиболее трудное для распознавания неперфоративное, которое клинически может протекать в большинстве случаев бессимптомно. Разница между простым, перфоративным и разорвавшемся сирингоцеле Купера заключается лишь в степени расширения выходного протока бульбоуретральной железы и наличием или отсутствием «окна», сообщающим его с уретрой. R. Bevers с соавт. [5] предложили упрощенную классификацию (рис. 3), включающую в себя два типа сирингоцеле Купера: открытое и закрытое.

Рис. 3. Типы сирингоцеле Купера по R. Bevers [5]: а — закрытое; b — открытое
Fig. 3. Types of Cowper’s syringocele according to R. Bevers [5]: a – closed; b – open
Для открытого типа сирингоцеле Купера характерны боль в промежности, выделения из наружного отверстия уретры, рецидивирующая инфекция мочевыводящих путей и постмикционное подтекание. При закрытом варианте наиболее часто встречаются боль в промежности, дизурия и обструктивная симптоматика [6].
Проанализировав данные 15 пациентов с сирингоцеле Купера, P. Campobasso с соавт. [7] предложили в зависимости от клинических проявлений подразделять бульбоуретральные кисты на обструктивные и необструктивные. При этом была выявлена следующая закономерность: для необструктивных сирингоцеле более характерными симптомами являются рецидивирующая инфекция нижних мочевых путей, гематурия, лихорадка, постмикционное подтекание мочи, тогда как для обструктивных — признаки инфравезикальной обструкции по данным урофлоуметрии и ультразвукового исследования.
Клинические проявления заболевания весьма вариабильны и зависят, в основном, от его типа. Симптоматика, развивающаяся у пациентов с сирингоцеле Купера, схожа с симптомами нижних мочевых путей: императивные позывы, постмикционное подтекание мочи, недержание мочи, рецидивирующая инфекция мочевыводящих путей, гематурия, выделения из уретры. Постмикционное подтекание мочи более характерно для «открытого» сирингоцеле, причем его интенсивность зависит от конфигурации кисты, ее хода и глубины подлежания [5].
Диагностика бульбоуретральной кисты основывается на тщательном сборе анамнеза и жалоб пациента с учетом его возраста, подкрепленных данными лучевых и эндоскопических методов обследования. J. Melquist с соавт. [6] предложили простой алгоритм диагностики сирингоцеле. Однако, на наш взгляд, данный подход целесообразно дополнить проведением дифференциальной диагностики с такими заболеваниями, как мочекаменная болезнь, воспалительные заболевания нижних мочевых путей и мужских половых органов, стриктура уретры, а также с новообразованиями органов малого таза (рис. 4).
Рис. 4. Предлагаемый алгоритм диагностики сирингоцеле Купера
Fig. 4. Proposed algorithm for the diagnosis of Cowper’s syringocele
У пациентов с сирингоцеле Купера в общем анализе мочи и бактериологическом посеве мочи на микрофлору достаточно часто определяется лейкоцитурия и бактериурия [8]. Ультразвуковое исследование информативно при закрытых бульбоуретральнных кистах, когда определяется полость. Если же сирингоцеле открытое и на момент выполнения исследования опорожнено, то данный метод диагностики может оказаться неинформативным [9]. Магнитно-резонансная томография (МРТ) малого таза, дополненная исследованием уретры, обладает высокой чувствительностью и специфичностью, так как позволяет достоверно визуализировать полость кисты и определить ее взаимосвязь с мочеиспускательным каналом [10].
При выполнении уретроскопии можно диагностировать открытое сирингоцеле путем визуализации «окна» — дефекта стенки мочеиспускательного канала. Для закрытого характерно пролабирование стенки кисты в просвет уретры в случае, если объемное образование достаточно заполнено жидкостным содержимым. Большинство авторов склоняется к мнению, что уретроскопия с МРТ — это наиболее информативные методы диагностики сирингоцеле Купера [6, 10].
Согласно данным литературы, бессимптомные бульбоуретральные кисты чаще всего подвергаются спонтанной регрессии и уменьшаются в размерах, опорожняясь на фоне проводимой консервативной терапии. В то же время симптоматические кисты требуют хирургического вмешательства [11]. Для оперативного лечения пациентов с сирингоцеле Купера в настоящее время применяют как открытый промежностный доступ, так и эндоскопические методики с использованием электро- и лазерохирургии, заключающиеся в иссечении передней стенки бульбоуретральной кисты или ее вскрытии и марсупиализации [12, 13]. R. Bevers и соавт. [5] сообщили о нескольких пациентах, перенесших трансуретральное рассечение передней стенки бульбоуретральной кисты с безрецидивным периодом наблюдения 23 мес. При рецидиве заболевания после трансуретрального рассечения передней стенки кисты B. Santin с соавт. [14] предложили чреспромежностную перевязку протоков бульбоуретральных желез. Промежностное иссечение бульбоуретральной кисты оправдано лишь при больших ее размерах и рецидиве после трансуретральной резекции. В то же время насколько большим должен быть объем кисты авторы не указывают [15].
КЛИНИЧЕСКОЕ НАБЛЮДЕНИЕ
Пациент Ш., 19 лет, поступил в клинику урологии Военно-медицинской академии им. С.М. Кирова в августе 2020 г. с жалобами на периодическую тупую тянущую боль по ходу мочеиспускательного канала при мочеиспускании и дискомфорт в промежности. Из анамнеза известно, что вышеуказанные беспокойства возникли около двух недель назад после перенесенного переохлаждения. При пальцевом ректальном исследовании: предстательная железа умеренно увеличена в размерах, без участков флуктуации. При бимануальном исследовании: умеренная болезненность в промежности. Показатели общеклинического и биохимического анализа крови в пределах референтных значений. В общем анализе мочи определялась лейкоцитурия до 15–20 в поле зрения. При бактериологическом исследовании мочи получен рост Corynebacterium gluсuronolytic 5 × 10 3 КОЕ/мл. По данным ультразвукового исследования почек и мочевого пузыря патологических изменений не выявлено, объем предстательной железы 23,1 см 3 , остаточной мочи нет. При урофлоуметрии максимальная скорость мочеиспускания 33,7 мл/с, средняя скорость мочеиспускания 15,1 мл/с, время мочеиспускания 32,3 с, объем выделенной мочи 468,7 мл (рис. 5).

Рис. 5. Урофлоуграмма пациента Ш., 19 лет
Fig. 5. Uroflogram of patient Sh., 19 years old
Пациенту был установлен диагноз: «Острый простатит». Проведен курс антибактериальной терапии (левофлоксацин в дозе 500 мг 1 раз в сутки 10 дней), противовоспалительной терапии (диклофенак по 100 мг ректально в течение 7 дней), терапия альфа-адреноблокаторами (тамсулозин в дозе 0,4 мг в сутки, 10 дней). Достигнута нормализация лабораторных показателей, однако по-прежнему оставалась периодическая боль в промежности при мочеиспускании.
Учитывая сохраняющиеся жалобы, через 2 мес. после выписки из урологического стационара при купированном воспалительном процессе в предстательной железе пациенту было проведено дообследование с целью дифференциальной диагностики согласно представленному выше алгоритму с выполнением восходящей уретрографии, МРТ малого таза и наружных половых органов, уретроскопии (рис. 6).

Рис. 6. Пациент Ш., 19 лет: а — восходящая уретрограмма, определяется дефект наполнения, соответствующий расположению бульбоуретральной кисты (указан стрелкой); b, c — магнитно-резонансная томограмма малого таза, в двух проекциях определяется кистозное образование — сирингоцеле с тонкими перегородками (указано стрелками)
Fig. 6. Patient Sh., 19 years old: a – ascending urethrogram of the filling defect corresponding to the location of the bulbourethral cyst is determined (indicated by the arrow); b, c – magnetic resonance imaging of the small pelvis, in two projections a cystic formation is determined – a syringocele with thin septa (indicated by arrows)
При выполнении восходящей уретрографии уретра была проходима на всем протяжении, в бульбозном отделе по вентральной поверхности определялся дефект наполнения с четкими ровными контурами размерами до 0,4 × 4,0 см без затеков контрастного вещества с последующим попаданием препарата в мочевой пузырь (рис. 6, a).
По данным МРТ на 3,5 см дистальнее шейки мочевого пузыря парауретрально по срединной линии визуализировалось кистозное образование, не сообщающееся с мочеиспускательным каналом, размерами 4,2 × 1,3 × 1,5 см. Внутренняя структура кисты разделена тремя тонкими перегородками с однородным жидкостным содержимым.
При уретроскопии в бульбозном отделе определялась передняя стенка сирингоцеле Купера, пролабирующая в просвет уретры (рис. 7).

Рис. 7. Уретроскопическая картина пациента Ш., 19 лет: а — передняя стенка бульбоуретральной кисты; b — перегородка в кисте (указаны стрелками)
Fig. 7. Urethroscopic picture of patient Sh., 19 years old: a – the anterior wall of the bulbourethral cyst; b – the septum in the cyst (indicated by arrows)
На основании проведенного дообследования установлен диагноз: «Закрытая бульбоуретральная киста».
После проведения консервативной терапии нестероидными противовоспалительными средствами и альфа-адреноблокаторами в течение месяца симптоматика регрессировала. При контрольном обследовании через 3 мес. по данным уретроскопии определялось точечное «окно» в мочеиспускательном канале — признак «открытого» сирингоцеле, а МРТ показала отсутствие ранее наблюдавшихся жидкостных образований (рис. 8).
Рис. 8. Пациент Ш., 19 лет: a — уретроскопическая картина (стрелкой указано «окно» опорожнившейся кисты); b — контрольная магнитно-резонансная томограмма малого таза без признаков кистозного расширения (стрелкой указано место ранее расположенной кисты)
Fig. 8. Patient Sh., 19 years old: a – urethroscopic picture of (the arrow indicates the “window” of the emptied cyst); b – control magnetic resonance imaging of the small pelvis without signs of cystic enlargement (the arrow indicates the place of the previously located cyst)
С учетом отсутствия симптоматики, «открытой» формы сирингоцеле Купера и молодого возраста пациент был выписан под амбулаторное наблюдение.
ЗАКЛЮЧЕНИЕ
Ввиду крайне редкой встречаемости единого и четкого алгоритма диагностики и лечения пациентов с сирингоцеле Купера в настоящее время не существует. Несмотря на это, при обследовании мужчин, мальчиков и подростков с признаками воспалительных заболеваний органов мочеполовой системы или симптомами инфравезикальной обструкции, необходимо помнить о данной патологии. На наш взгляд, для дифференциальной диагностики сирингоцеле Купера помимо физикального обследования, дополненного бимануальным исследованием, целесообразно выполнение как лучевых (ультразвуковое исследование, МРТ с контрастным усилением), так и эндоскопических (уретроцистоскопия) методов исследования в соответствии с модифицированным нами алгоритмом обследования.
При проведении консервативной терапии можно добиться регрессии размеров кисты или ее самопроизвольного вскрытия в просвет мочеиспускательного канала. При выборе хирургического метода лечения необходимо помнить, что показаниями к операции являются выраженный болевой синдром, признаки инфравезикальной обструкции и нагноение кисты, доказанные лучевыми методами диагностики. При этом предпочтение в первой линии хирургического лечения сирингоцеле Купера следует отдавать эндоскопическим методам.
ДОПОЛНИТЕЛЬНАЯ ИНФОРМАЦИЯ
Конфликт интересов. Авторы декларируют отсутствие явных и потенциальных конфликтов интересов, связанных с публикацией настоящей статьи.
Читайте также:
