Советы при кисте и свище шеи
Добавил пользователь Евгений Кузнецов Обновлено: 18.12.2025
Это — кисты и свищи шеи, которые образуются в результате неполной облитерации первой, второй или третьей жаберных щелей, существующих на ранних стадиях внутриутробного развития.
2. Какие из этих пороков наиболее распространены?
Наиболее распространены пороки развития второй жаберной щели. Если она сохраняется па всем протяжении, образуемый ею канал начинается в миндаликовой ямке и открывается наружу у переднего края грудино-ключично-сосцевидной мышцы. Неполная облитерация первой жаберной щели встречается реже.
Образующийся в результате канал простирается от наружного слухового прохода и открывается снаружи перед ушной раковиной или у угла нижней челюсти. Достаточно редко встречается неполная облитерация третьей жаберной щели, в результате которой остается канал, проходящий от грушевидного кармана до надключичной ямки.
3. Какими симптомами проявляются пороки развития жаберных щелей?
Из отверстий свищей и или каналов со слепым концом на шее периодически выделяется слизистая жидкость. Кисты проявляют себя позже как стерильные или инфицированные объемные образования. Методом выбора является их полное удаление хирургическим путем.
4. Каковы основные опасности при удалении остатков жаберных щелей?
Свищ в результате неполной облитерации второй жаберной щели проходит через бифуркацию сонной артерии; первой жаберной щели — вблизи лицевого нерва.

5. Что такое щитовидно-язычная киста (срединная киста шеи)?
Щитовидно-язычная киста — наиболее распространенная из врожденных кист шеи. Образуется в результате нарушения нормальной облитерации канала, по которому мигрирует щитовидная железа (щитовидно-язычного протока). В эмбриогенезе она опускается от основания языка к месту своего нормального расположения па шее.
6. Каковы симптомы щитовидно-язычных кист?
Они представляют собой объемные образования, расположенные вблизи средней линии в верхней части шеи. При их инфицировании возникает лихорадка, болезненность, покраснение.
7. Как лечат щитовидно-язычные кисты?
Лучше всего удалять кисты полностью, па всем протяжении. Так как в эмбриогенезе щитовидная железа опускается до образования подъязычного хряща, киста может проходить через подъязычную кость. Следовательно, ее полное удаление потребует резекции центральной части подъязычной кости и рассечения тканей до основания языка (операция Систрапка (Sistrunk)).
8. Что такое кистозная гигрома?
Кистозная гигрома — порок развития лимфатической системы, часто локализующийся на шее. Доброкачественна. Представляет собой мягкое образование в заднебоковых отделах шеи. Удалить кистозную гигрому нередко сложно, так как она не щадит переднюю поверхность шеи и часто срастается с нервами и сосудами. Методом выбора является почти полное удаление.
Редактор: Искандер Милевски. Дата обновления публикации: 18.3.2021
Информация на сайте подлежит консультации лечащим врачом и не заменяет очной консультации с ним.
См. подробнее в пользовательском соглашении.
Лигатурный свищ
Лигатурный свищ – это окруженный воспалительным инфильтратом патологический ход в области нерассасывающейся шовной нити, которая использовалась для ушивания тканей в ходе различных оперативных вмешательств. Склонен к рецидивирующему течению. Проявляется наличием уплотнения, в центре которого расположено небольшое отверстие со скудным серозно-гнойным отделяемым. Кожа вокруг очага поражения имеет багрово-синюшную или темную окраску. Лигатурный свищ диагностируется с учетом симптоматики, наличия операции в анамнезе, данных фистулографии, УЗИ. Лечение – выскабливание грануляций и удаление лигатур или иссечение свища.
МКБ-10

Общие сведения
Лигатурный свищ – достаточно распространенное осложнение. Возникает у 5% пациентов, перенесших различные оперативные вмешательства. Достоверно чаще диагностируется после хирургических манипуляций на полых органах брюшной полости и малого таза (условно-асептические операции), что обусловлено повышенной вероятностью инфицирования окружающих тканей даже при строгом соблюдении правил асептики и антисептики. Распространенность данного осложнения после гинекологических вмешательств составляет 8,9%, пластики грыж – 9,5%, операций по поводу язвенной болезни желудка и ДПК – 7,8%. Лигатура может располагаться как поверхностно, так и на значительной глубине. Из-за склонности к рецидивированию патология нередко становится причиной длительной нетрудоспособности. Утяжеляет течение основного заболевания.

Причины
Причиной развития лигатурного свища является реакция отторжения инородного тела – нити, использованной для ушивания глубоких и поверхностных тканей в процессе оперативного вмешательства. Обычно патологические ходы возникают при отторжении нерассасывающихся нитей. Чаще в свищевом ходе обнаруживаются шелковые нити, несколько реже – лавсановые и капроновые. Несмотря на то, что кетгут является рассасывающейся нитью, в литературе есть упоминания о кетгутовых лигатурных свищах. Заболевание практически никогда не вызывается викриловыми или проленовыми нитями. К числу провоцирующих факторов относятся:
- Инфицирование. Патогенные микроорганизмы проникают в область шва в результате нагноения операционной раны, которое может быть обусловлено нестерильностью операционного поля и инструментария, нарушением врачебных рекомендаций, присоединением госпитальной инфекции, изменением реактивности или истощением организма и пр. При нарушении правил стерилизации шовного материала инфекционные агенты могут находиться на нити в момент ушивания тканей.
- Реакция иммунного отторжения. Возникает в ответ на внедрение инородного тела, вероятность появления зависит от индивидуальных иммунологических особенностей. Нить не покрывается капсулой, а становится мишенью для иммунных клеток, которые распознают ее как чужеродный антиген.
- Прошивание полого органа. Наблюдается при случайном захвате всей стенки органа и выходе нити в его просвет. При контакте с нестерильным содержимым органа нить инфицируется, болезнетворные микробы распространяются по всей ее длине и дают начало очагу воспаления.
Патогенез
Обычно со временем вокруг нерассасывающихся нитей образуется слой рубцовой соединительной ткани, нити оказываются заключенными в капсулу. При развитии гнойно-воспалительного процесса инкапсуляции не происходит, вокруг нити формируется абсцесс. В последующем полость гнойника вскрывается в зоне послеоперационного рубца, явления острого воспаления уменьшаются, благодаря постоянному оттоку содержимого. Нить может оставаться на месте или мигрировать по патологическому ходу.
При самостоятельном выходе нити наружу или ее хирургическом удалении причина воспаления исчезает, свищ закрывается. В противном случае воспаление приобретает рецидивирующий характер, может осложняться вторичной инфекцией. Свищи могут быть как одиночными, так и множественными, образовываться в зоне нитей, использованных для ушивания поверхностно расположенных тканей, или в глубине раны, например, в брюшной полости. В последнем случае существует вероятность вовлечения внутренних органов в гнойно-воспалительный процесс.
Симптомы лигатурного свища
Патология может возникать как в раннем, так и в позднем послеоперационном периоде. Иногда свищи образуются через несколько лет после вмешательства. В период формирования абсцесса выявляются локальные и общие признаки гнойного воспаления. Возникают боли, локализация которых определяется расположением инфицированной нити. Может отмечаться слабость, разбитость, повышение температуры. Затем в проекции послеоперационного рубца появляется болезненное уплотнение. Кожа над участком воспаления приобретает багровый или синюшный оттенок. Через несколько дней абсцесс самопроизвольно прорывается. Образуется небольшой свищ, из которого выделяется скудное серозно-гнойное отделяемое. Воспалительные явления уменьшаются, синдром интоксикации исчезает. В последующем свищ обычно периодически закрывается и открывается до момента удаления или самостоятельного отхождения нити.
Осложнения
Наиболее опасным осложнением лигатурного свища является вторичное инфицирование с распространением гнойного процесса. В зависимости от расположения лигатуры возможно образование поверхностных и глубоких абсцессов и затеков, поражение близлежащих органов. При гнойном расплавлении тканей иногда отмечается эвентрация внутренних органов. Вторичный инфекционный процесс, в свою очередь, может осложниться сепсисом. В тяжелых случаях существует риск летального исхода.
Из-за подтекания отделяемого в области наружного отверстия свища нередко развивается дерматит. Мягкие ткани вокруг свища становятся отечными, уплотняются, кожа приобретает багрово-синюшную окраску, со временем образуется участок гиперпигментации, в зоне рубца формируется косметический дефект. При неудачной попытке извлечения глубоко расположенной лигатуры в отдельных случаях наблюдается повреждение окружающих тканей и внутренних органов.
Диагностика
Диагностику и лечение осуществляют специалисты, выполнявшие операцию. Из-за повышенной вероятности образования лигатурных свищей после вмешательств с вскрытием полых органов патологию чаще всего выявляют гинекологи и абдоминальные хирурги, несколько реже – урологи, еще реже – торакальные хирурги, травматологи, нейрохирурги и другие специалисты. Постановка диагноза обычно не вызывает затруднений из-за типичного анамнеза (наличие хирургического вмешательства) и расположения свища в области послеоперационного рубца. Основной задачей становится определение глубины свища и конфигурации свищевого хода, выявление других факторов, влияющих на тактику лечения. Перечень диагностических мероприятий включает:
- Осмотр. Производится в условиях перевязочной. Врач оценивает количество и характер отделяемого, отмечает изменения окружающих тканей, исследует свищевой ход при помощи зажима. При незначительной извитости патологического хода и расположении лигатуры над апоневрозом данная методика обычно не представляет затруднений. Иногда нить удается извлечь во время диагностического исследования. При значительной извитости свищевого хода или его проникновении под апоневроз метод используют с осторожностью, стараясь не нарушить демаркационный вал и не повредить внутренние органы.
- Визуализационные методики. Классическим способом определения глубины и формы свищевого хода является фистулография. Контрастное вещество вводят в свищ, затем выполняют снимки в разных проекциях, на рентгенограммах полости и ходы отображаются в виде участков затемнения. В последние годы с этой же целью иногда назначают УЗИ. Свищевые ходы визуализируются как гипоэхогенные структуры с гиперэхогенным контуром, узлы – как округлые гиперэхогенные структуры.
Лечение лигатурных свищей
На начальном этапе обычно осуществляют перевязки, назначают физиотерапевтические мероприятия, но эффективность консервативных методик невелика, что вынуждает специалистов в области общей хирургии прибегать к инвазивным манипуляциям. Если лигатурная нить не отходит самостоятельно, ее пытаются извлечь с помощью зажима, однако эта методика имеет ряд недостатков, поскольку врачу приходится действовать вслепую, что увеличивает риск развития осложнений. Одномоментно выполняют выскабливание грануляций для лучшего заживления раны.
В специальной литературе встречаются упоминания об извлечении лигатур под контролем УЗИ, что позволяет предотвратить случайную перфорацию стенки патологического хода. При длительном существовании свищей, наличии затеков и свищевых ходов сложной формы, глубоком расположении лигатур производят иссечение свища. Недостатком метода является необходимость проведения масштабного хирургического вмешательства в области рубцово-измененных тканей.
Прогноз и профилактика
Прогноз при лигатурных свищах обычно благоприятный для жизни и условно благоприятный для выздоровления. В большинстве случаев наблюдается выздоровление, однако для устранения патологии нередко требуются повторные открытые манипуляции или оперативные вмешательства. Успешно извлечь лигатуру зажимом удается у 65% пациентов, при этом у 21% больных в последующем наблюдается рецидив. Распространенность гнойно-воспалительных осложнений после иссечения свищевых ходов достигает 30%, 17% пациентов требуются повторные операции.
Профилактика заключается в тщательном обеспечении стерильности при проведении операций, правильной обработке нитей, использовании шовного материала, дающего меньшее количество осложнений, проведении адекватной антибиотикотерапии в послеоперационном периоде. Больным необходимо точно соблюдать рекомендации врача: не снимать повязку, не мочить рану, принимать назначенные препараты и т. д.
1. Поздние гнойные послеоперационные осложнения/ Кузнецов В.Д., Бобовникова Н.В., Михайлов В.Ф., Антонов В.В.// Хирургия. – 1998.- №7.
2. Дифференциальная диагностика лигатурных и иных наружных свищей с использованием ультразвукового сканирования/ Зубов А.Д., Губанов Д.М., Осипов А.Г.// Вестник неотложной и восстановительной медицины. – 2011 – Т. 12, №3.
3. Постгоспитальные послеоперационные осложнения в абдоминальной хирургии/ Хромова В.Н.// Известия высших учебных заведений. Поволжский регион. Медицинские науки. – 2011.
4. Диагностика и лечение гнойных лигатурных осложнений/ Кадырбаев Р.В., Алимжанов А.К., Тимашова Е.В., Головня М.А.// Вестник КазНМУ. – 2012.
Киста шеи
Киста шеи – это полое патологическое образование, которое располагается в области шеи и содержит жидкость или кашицеобразную массу. Относится к числу врожденных патологий, может быть боковой или срединной. Боковые кисты выявляются сразу после рождения, срединные могут обнаруживаться по мере роста ребенка или становиться случайной находкой в ходе каких-либо медицинских исследований. Возможные осложнения – нагноение, образование свища и злокачественное перерождение. В большинстве случаев кисты шеи подлежат хирургическому удалению. Пункции кисты неэффективны, поскольку в последующем в ее полости снова скапливается содержимое. Консервативного лечения не существует.

Киста шеи – полое опухолевидное образование, располагающееся по передней или боковой поверхности шеи. Формируется при нарушениях на ранних стадиях эмбрионального развития. В некоторых случаях сочетается с врожденным свищом шеи. Иногда свищ образуется уже в детском или даже взрослом возрасте в результате нагноения кисты. Возможно перерождение кисты шеи в злокачественную опухоль. Лечение только хирургическое.
Боковые кисты шеи обычно выявляются при рождении ребенка, срединные обнаруживаются в возрасте 4-7 или 10-14 лет, иногда протекают бессимптомно. У одного из 9-10 больных боковая киста наблюдается в сочетании с врожденным свищом шеи. Примерно в 50% случаев кисты нагнаиваются, а свищ формируется в результате опорожнения гнойника через кожу.
Боковая киста шеи представляет собой полость между жаберными бороздами, которые в норме должны исчезать по мере развития плода. Она формируется при аномалии развития жаберных щелей на четвертой-шестой неделях беременности. Срединная киста образуется при перемещении зачатка щитовидной железы из места ее формирования на переднюю поверхность шеи по щитовидно-язычному протоку. Это происходит на шестой-седьмой неделях беременности.
Врожденный свищ не является самостоятельной патологией и всегда сочетается с боковой или срединной кистой шеи. Выделяют два вида свищей: полные (с двумя выходными отверстиями: на коже и слизистой полости рта) и неполные (с одним отверстием, которое может располагаться как на коже, так и на слизистой).
Виды кисты шеи
Боковые кисты шеи
Боковые кисты шеи встречаются чаще срединных (примерно в 60% случаев). Они располагаются на передне-боковой поверхности шеи, в ее верхней или средней трети, кпереди от кивательной мышцы и локализуются прямо на сосудисто-нервном пучке, рядом с внутренней яремной веной. Бывают как многокамерными, так и однокамерными. Боковые кисты шеи большого размера могут сдавливать сосуды, нервы и расположенные рядом органы.
Симптомы
При отсутствии нагноения или сдавления сосудисто-нервного пучка жалоб нет. В ходе осмотра выявляется округлое или овальное опухолевидное образование, особенно заметное при повороте головы пациента в противоположную сторону. Пальпация безболезненна. Киста имеет эластическую консистенцию, подвижна, не спаяна с кожей, кожные покровы над ней не изменены. Как правило, определяется флюктуация, свидетельствующая о наличии жидкости в полости кисты. При пункции в полости образования обнаруживается мутная жидкость грязновато-белого цвета.
Осложнения
При нагноении киста шеи увеличивается в размере, становится болезненной. Кожа над ней краснеет, выявляется локальный отек. В последующем формируется свищ. При вскрытии на кожу устье свища располагается в области переднего края кивательной мышцы. При вскрытии на слизистую полости рта устье находится в области верхнего полюса небной миндалины. Отверстие может быть как точечным, так и широким. Кожа вокруг устья нередко покрывается корками. Наблюдается мацерация кожных покровов и гиперпигментация.
Диагностика
Диагноз боковой кисты шеи выставляется на основании анамнеза и клинической картины заболевания. Для подтверждения диагноза выполняют пункцию с последующим цитологическим исследованием полученной жидкости. Могут использоваться такие дополнительные методы исследования, как УЗИ, зондирование и фистулография с рентгенконтрастным веществом.
При неинфицированной кисте шеи проводится дифференциальная диагностика с лимфогранулематозом и внеорганными опухолями шеи (липома, невринома и т. д.). Нагноившуюся кисту дифференцируют от аденофлегмоны и лимфаденита.
Срединные кисты шеи
Срединные кисты в травматологии составляют около 40% от всех кист шеи и располагаются на передней поверхности шеи, по средней линии. При осмотре выявляется плотное, безболезненное, четко отграниченное образование эластической консистенции диаметром до 2 см , не спаянное с кожей. Киста незначительно подвижна, спаяна с телом подъязычной кости, смещается при глотании. В ряде случаев опухолевидное образование располагается в корне языка. При этом язык приподнимается, возможны нарушения речи и глотания.
Срединные кисты нагнаиваются чаще боковых – примерно в 60% случаев. При инфицировании образование увеличивается в размере, становится болезненным. Окружающие ткани отекают, кожа краснеет. При вскрытии гнойника образуется свищ с устьем, расположенным на передней поверхности шеи, между щитовидным хрящом и подъязычной костью. Если свищ открывается в ротовую полость, его устье располагается на передней поверхности языка, на границе между его корнем и телом.
Диагноз срединной кисты выставляется на основании анамнеза и клинических данных. В качестве методов инструментальной диагностики используется УЗИ и пункция кисты с последующим цитологическим исследованием. При пункции получают тягучую мутную жидкость желтоватого цвета, содержащую лимфоидные элементы и клетки многослойного плоского эпителия. Для исследования свищевых ходов применяется фистулография и зондирование.
Срединную кисту шеи дифференцируют от струмы языка, дермоидной кисты, лимфаденита, специфических воспалительных процессов и аденомы аномально расположенной щитовидной железы.

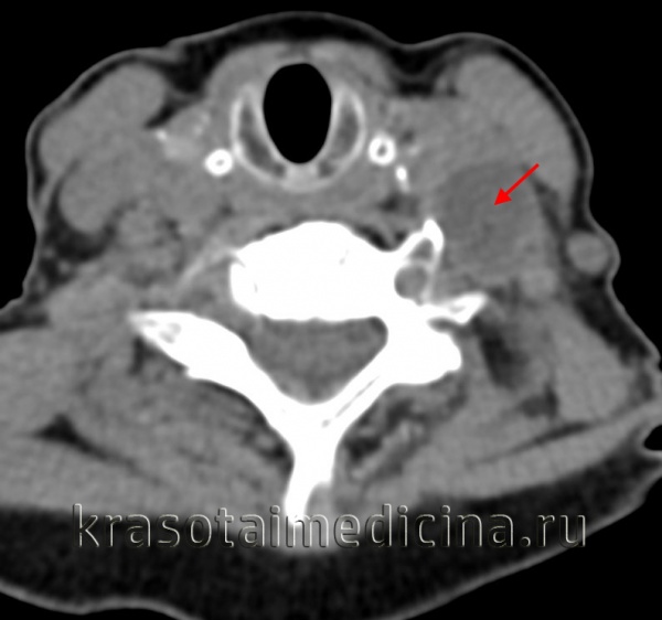
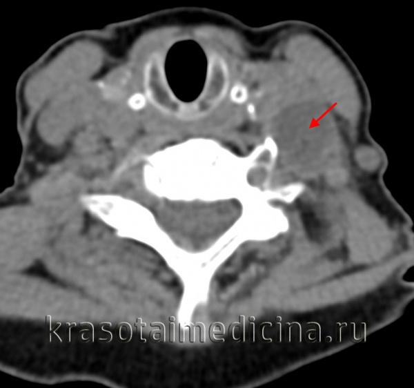
КТ шеи. Слева от средней линии в сонном пространстве кистозное образование (кистозно измененный лимфоузел).
Лечение кисты шеи
Лечение кист шеи только оперативное. Объем операции определяется состоянием больного, наличием и видом осложнений. У пожилых больных с тяжелыми сопутствующими заболеваниями выполняется аспирация содержимого кисты с последующим промыванием ее полости антисептическими препаратами. В остальных случаях этот метод не используется из-за недостаточной эффективности и высокого риска развития рецидивов.
- Неосложненные кисты. Хирургическое удаление кисты шеи показано при всех боковых кистах, срединных кистах любого размера в детском возрасте и срединных кистах диаметром более 1 см у взрослых. Для предупреждения рецидивов кисту иссекают вместе с капсулой. При хирургических вмешательствах по поводу срединной кисты также удаляют часть подъязычной кости, через которую проходит тяж от опухолевидного образования. При операциях по поводу боковой кисты возможны затруднения из-за расположенных рядом сосудов и нервов. В зависимости от размеров кисту корня языка могут удалять как через разрез на коже, так и через рот.
- Нагноившиеся кисты. При нагноении кисты ее полное удаление не показано. Выполняется вскрытие и дренирование. Показанием к экстренной операции является наличие острого воспалительного процесса, особенно – при закрытии свища и формировании абсцесса. В последующем проводятся регулярные перевязки с промыванием полости кисты антисептическими препаратами, назначается противовоспалительная терапия. Иногда полость кисты рубцуется. Если этого не происходит, ее удаление производят не раньше, чем через 2-3 месяца после ликвидации воспаления.
- Кисты со свищами. Срединные и боковые свищи шеи необходимо иссекать и удалять. Эта задача может быть сопряжена с рядом трудностей из-за тонкой стенки и извилистых ходов свища. Поэтому перед операцией в свищевой ход вводят зонд или окрашивающий препарат (бриллиантовый зеленый, метиленовый синий). В ходе операции удаляют все свищевые ходы, в том числе – тонкие и малозаметные, иначе возможен рецидив. Особой сложностью отличается операция по иссечению бокового свища шеи, поскольку в этом случае свищевой ход проходит между внутренней и наружной сонными артериями.
2. Клинико-морфологическая характеристика срединных, боковых кист и свищей шеи: автореферат диссертации/ Иванова С.В. - 2005
3. Источники развития, клинико-морфологическая характеристика и принципы лечения срединных кист шеи/ Ткаченко П.И., Белоконь С.А., Старченко И.И., Гуржий Е.В.// Журнал Гродненского государственного медицинского университета - 2014 - №2
Свищ слюнной железы
Свищ слюнной железы – это патологическое соустье, выстланное эпителием, между протоком/паренхимой слюнной железы и кожными покровами либо полостью рта. Внутренние свищи никак не беспокоят, наружные проявляются наличием точечного дефекта на коже лицевой области, из которого вытекает слюна, мацерацией и покраснением кожного покрова, развитием дерматита. Для подтверждения диагноза проводится зондирование фистулы, эхография слюнных желез, сиалография, фистулография. Лечение может быть консервативным (коагуляция, склерозирование, инъекции ботулотоксина) либо хирургическим (преобразование наружного свища во внутренний, иссечение, восстановление протока железы).


Врожденные свищи слюнных желез формируются в результате воздействия на плод различных тератогенов, в числе которых химические и лекарственные интоксикации, облучение, инфекции беременной. Причинами приобретенных свищевых дефектов становятся:
- Травмы. Основная роль в происхождении травматических слюнных свищей принадлежит огнестрельным и другим ранениям головы. В большинстве случаев отмечается повреждение паренхимы и протока околоушной железы, реже страдают поднижнечелюстные и подъязычные слюнные железы.
- Ятрогенные повреждения. Представляют собой интраоперационную травму. Свищи возникают при случайном ранении слюнных желез в процессе вскрытия флегмоны челюстно-лицевой области, удаления новообразований слюнных желез, бужирования протока, извлечения камня, биопсии и др. Выводные протоки могут повреждаться при обработке зубной коронки стоматологическим бором или сепарационным диском.
- Другие заболевания ЧЛО. Слюнные свищи становятся следствием расплавления железы при флегмонах околоушно-жевательной области, прорастания раковой опухоли, перфорации конкрементом при слюннокаменной болезни, разрушения железы в результате номы и других патологических процессов.
Иногда, например, в рамках хирургического лечения сиалолитиаза, прибегают к искусственному хирургическому созданию соустья слюнного протока с полостью рта (по типу внутриротового свища) для отведения слюны.
В норме протоки всех слюнных желез (СЖ) открываются в ротовую полость. По ним слюна попадает в полость рта, где выполняет защитную, пищеварительную, минерализующую функции. Механизм формирования слюнных свищей тесно связан с их этиологией. Врожденные фистулы относятся к эмбриональным аномалиям выводных протоков, которые формируются при нарушении эпителиомезенхимного взаимодействия, обеспечивающего формирование протоков, их ветвление, направление роста, развитие соединительной ткани.
Приобретенные слюнные свищи чаще связаны с травматизацией. Во время любой травмы происходит рассечение/разрыв слюнного протока либо размозжение паренхимы железы. При этом функционирующие дольки продолжают продуцировать слюну, которая оттекает через раневой канал наружу, а при закупорке выходного отверстия скапливается в подкожном или подслизистом слое, образуя сиалоцеле.
Со временем происходит эпителизация патологического свищевого хода, формируется слюнной свищ, который одним концом связан с паренхимой или протоком железы, другим – с полостью рта либо кожным покровом. Послеоперационные фистулы околоушных СЖ, как правило, образуются после частичной резекции железистой ткани. Наибольшей стойкостью отличаются слюнные свищи, возникающие вследствие ранения выводных протоков.

Классификация
В современной стоматологии слюнные свищи принято делить в зависимости от следующих критериев:
1. По срокам существования:
- острые – существующие менее 6 недель;
- хронические – существующие более 6 недель.
2. По локализации:
- свищи паренхимы – фистулы долек железистой ткани;
- свищи протока – фистулы внежелезистой части СЖ.
3. По отношению к внешней среде:
- наружные – выходное отверстие открывается на коже лица, шеи, наружного слухового прохода;
- внутренние – устье сообщается с полостью рта, реже – с придаточными пазухами носа.
4. По количеству отверстий:
- полные – образуются при разрыве слюнного протока, отток всей выделяемой слюны происходит через свищевое отверстие;
- неполные – возникают при ранении протока, слюна выделяется как через свищ, так и через анатомическое устье.
Симптомы свища слюнной железы
Наличие и выраженность клинических проявлений коррелирует с типом слюнного свища. Фистулы, открывающиеся в ротовую полость, не дают субъективной симптоматики, не беспокоят пациента. При локализации выходного отверстия в области околоносовых пазух возникает ринорея.
В случае наружного слюнного свища пациенты отмечают появление на коже щечной, околоушной, поднижнечелюстной области, шеи точечного отверстия. Из устья свища выделяется прозрачная жидкость, усиление истечения слюны происходит при жевании во время приема пищи (особенно кислой). Кожа в зоне постоянного контакта со слюной разражена, гиперемирована, мацерирована.
Учитывая высокую ферментативную активность, слабощелочную реакцию, состав слюны (вода, соли, энзимы, гликопротеины), постоянное раздражение кожи приводит к формированию хронического дерматита. Наличие рубцов от предшествующих травм и операций в области свища, покраснение кожи обусловливает косметический дефект. При закупорке свищевого протока возникает сиалоцеле, сопровождающееся увеличением и болезненностью слюнной железы.
Непрерывное истечение слюны заставляет пациента постоянно вытирать кожу или носить повязку. Дискомфорт доставляет намокание ворота одежды, локальное переохлаждение кожного покрова на холоде. Все это снижает качество жизни, заставляет пациента избегать контактов и общения с другими людьми.
Обратиться за консультацией стоматолога-хирурга пациента заставляет постоянное ощущение дискомфорта при истечение слюны. В анамнезе имеются указания на появление слюнного свища после повреждения мягких тканей в околоушно-жевательной зоне или оперативного вмешательства на слюнных железах. Объективное обследование включает:
- Осмотр. В ходе внешнего осмотра обнаруживается свищевое отверстие на коже, из которого при жевательных движениях или массировании железы вытекает слюна. При инструментальном исследовании зонд удается ввести в устье протока и отверстие свищевого хода. С помощью зондирования определяют направление свищевого канала, его протяженность, наличие ответвлений, стриктур, расширений.
- Проба с красителем. С помощью введения красящего вещества устанавливается тип слюнного свища – полный или неполный. При введении раствора в неполную фистулу жидкость поступает в полость рта, а при введении в устье – оттекает через отверстие на коже. При полном свище контраст, введенный в устье протока, не выделяется через свищ и не выходит в полость рта при введении через свищевое отверстие.
- Рентгеновские методы. Контрастная сиалография и фистулография являются наиболее доступными лучевыми методами исследования слюнных желез. Дают информацию о структуре паренхимы, целостности протоков, локализации и ветвлении свищевого канала.
- УЗИ слюнных желез. Позволяет оценить состояние железистой паренхимы и протоков, выявить наличие инородных тел и конкрементов. Для исследования околоушных желез также прибегают к МРТ.
- Сиалометрия. Служит методом изучения саливаторной функции желез в ответ на пищевую стимуляцию или введение под кожу раствора пилокарпина. Из устья неполного свища слюны выделяется меньше, чем из здоровой железы; при полном свище слюна совсем не поступает в полость рта.
Дифференциальная диагностика
С помощью перечисленных методов производится дифференциальная диагностика слюнных свищей с околоушным свищем (врожденной преаурикулярной фистулой), боковым свищи шеи, одонтогенным остеомиелитом, одонтогенной подкожной гранулемой. При этих патологиях отсутствует выделение слюны из свищевого отверстия.
Советы при кисте и свище шеи
Симптомы бокового свища шеи (бранхиогенного свища) и ее лечение
Код по МКБ-10: Q18.0
Бранхиогенные свищи шеи следует отличать от облитерированного синуса жаберных щелей.
а) Симптомы и клиника бранхиогенного свища шеи. Периодическое открытие свища, сопровождающееся гиперемией и отеком тканей в области его наружного отверстия. В некоторых случаях отмечается ямочка на коже шеи без признаков воспаления.
Свищевое отверстие всегда располагается у переднего края грудино-ключично-сосцевидной мышцы либо на уровне сонного треугольника, если свищ исходит из второй жаберной дуги, на уровне перстневидного хряща, если свищ исходит из третьей жаберной дуги, или вблизи яремной вырезки грудины, если свищ исходит из четвертой жаберной дуги. Выделения из свища могут напоминать молоко или быть гнойными. У 5% больных свищ бывает двусторонним.

б) Причины и механизмы развития. Причинами образования бранхиогенного свища шеи бывают генетические факторы или действие токсических факторов внешней среды во время беременности, в том числе гипоксемии, гиперкарбии, курения, приема алкоголя, аспирина, уретана, талидомида, соединений свинца, ртути, а также метаболические расстройства, ионизирующее излучение, из-за которого жаберная щель облитерируется неполностью или персистирует шейный синус.
Эмбриогенез развития жаберных дуг:
1. Первая жаберная дуга, нижняя челюсть:
Эктодермальные органы: кожа щек, нижняя челюсть, передняя половина ушной раковины, наружный слуховой проход, тройничный нерв, паренхима слюнных желез, эмаль зубов, эпителиальный покров губ, язык до уровня слепого отверстия, барабанная перепонка
Мезодермальные органы: жевательные мышцы, переднее брюшко двубрюшной мышцы, мышца, напрягающая барабанную перепонку, суставной отросток нижней челюсти, молоточек, наковальня, козелок, ножка завитка, фиброзный слой барабанной перепонки Энтодермальные органы: эпителий дна и боковых стенок полости рта, слуховая труба, слизистая оболочка барабанной перепонки, полость среднего уха, сосцевидный отросток
2. Вторая жаберная дуга, подъязычная кость:
Эктодермальные органы: кожа задней поверхности ушной раковины и верхней части шеи, часть лицевого (VII) и преддверно-улиткового (VIII) нервов
Мезодермальные органы: стременная мышца, завиток и противозавиток, тело подъязычной кости
Энтодермальные органы: эпителий корня языка, слепое отверстие, центральная часть щитовидной железы, нёбные миндалины
3. Третья жаберная дуга:
Эктодермальные органы: кожа средней части шеи, часть языкоглоточного (IX) нерва Мезодермальные органы: верхняя порция глоточного констриктора, общая и внутренняя сонная артерии
Энтодермальные органы: эпителий, выстилающий глотку, корень языка, надгортанник и грушевидный карман
4. Четвертая жаберная дуга:
Эктодермальные органы: блуждающий нерв (X)
Мезодермальные органы: нижняя порция глоточного констриктора, мышцы гортани, щитовидный хрящ, часть надгортанника, правая подключичная артерия, дуга аорты Энтодермальные органы: эпителий корня языка, эпителий, выстилающий глотку и надгортанник, часть щитовидной железы
5. Пятая жаберная дуга:
Эктодермальные органы: кожа нижней части шеи, добавочный нерв (XI)
Мезодермальные органы: мышцы гортани, черпаловидные и перстневидный хрящи Энтодермальные органы: подслизистая лимфоидная ткань, легкие
в) Диагностика. Часто удается нащупать поверхностно расположенный подкожный тяж, который тянется от наружного отверстия свища у переднего края грудино-ключично-сосцевидной мышцы. Обычно при легком надавливании на кожу над тяжем книзу из наружного отверстия свища появляются выделения. Введение в свищ контрастного вещества позволяет уточнить направление его хода и выявить разветвления, если они имеются.
Если свищ полный и его устье расположено в глотке, контрастное вещество вытекает из него в глотку, и больной ощущает его вкус.
г) Лечение бранхиогенного свища шеи. Предотвратить возникновение рецидивов, связанных с сохранением остатков свища, можно лишь при условии полного иссечения свища. Достижению этой цели помогают использование бинокулярной лупы или операционного микроскопа и введение в свищ красителя.
P.S. Ход боковых свищей шеи вариабельный. Наиболее часто свищи, образующиеся из второй жаберной дуги, направляются к бифуркации сонной артерии (тонзиллофарингеальный проток), в то время как свищи, образующиеся из нижерас-положенных жаберных дуг, направляются вверх, располагаясь позади общей сонной артерии (тимофарингеальный проток).

Типичные места расположения кист и протоков в области шеи:
1 - слепое отверстие; 2 - щитоязычный проток; 3 - подподбородочная и предгортанная кисты;
4 - подъязычная кость; 5 - щитовидный хрящ; 6 - перешеек щитовидной железы;
7 - щитовидная железа; 8 - свищевой ход; 9 - боковая киста шеи.
а Киста щитоязычного протока. б Свищи.
в Кисты и свищи, образующиеся из остатков жаберных щелей.
- Вернуться в оглавление раздела "отоларингология"
Читайте также:
- Венозная аномалия развития головного мозга на ангиограмме
- Влияние диазепама на пищевое поведение. Этаминал натрия и пищевое поведение
- Нарушение иннервации при синдроме раздраженного кишечника (СРК)
- Лечение рака эндометрия при первично-множественных опухолях
- Неврогенный кашель. Диагностика происхождения кашля
