МРТ признаки при менингиоме
Добавил пользователь Владимир З. Обновлено: 03.11.2025
Наверняка Вы задаётесь вопросом: что же теперь делать?
Подобный диагноз всегда делит жизнь на «до» и «после». Все эмоциональные ресурсы пациента и его родных брошены на переживания и страх. Но именно в этот момент необходимо изменить вектор «за что» на вектор «что можно сделать».
Предлагаем Вашему вниманию краткий, но подробный обзор одной из разновидности опухолей головного мозга.
Ежегодно в России выявляют более 8 тысяч новых заболеваний опухолей мозговой оболочки, головного и спинного мозга и других частей центральной нервной системы. Почти такое же количество граждан умирает от данных локализаций.
Филиалы и отделения, где лечат менингиомы
МНИОИ им. П.А. Герцена – филиал ФГБУ «НМИЦ радиологии» Минздрава России.
Отделение нейроонкологии
Заведующий – к.м.н. ЗАЙЦЕВ Антон Михайлович
Отдел лучевой терапии
Заведующий - д.м.н. ХМЕЛЕВСКИЙ Евгений Витальевич
Тел: 495 150 11 22
МРНЦ им. А.Ф. Цыба – филиал ФГБУ «НМИЦ радиологии» Минздрава России.
Отделение протонной и фотонной терапии
Заведующий – д.м.н. ГУЛИДОВ Игорь Александрович
Тел: 8 (484) 399 31 30
Менингиомы
Менингиома – опухоль из клеток оболочек головного мозга. Составляют 14-19% первичных внутричерепных опухолей. В 95% случаев – относятся к доброкачественным (1-я степень злокачественности) и характеризуются медленным темпом роста. Остальные 5% - это более агрессивные варианты менингиом (2-й и 3-й степени злокачественности), характеризующиеся ускоренным ростом, инфильтрацией оболочек и прилежащего мозгового вещества, склонностью к рецидивам после хирургического удаления. Менингиомы могут образовываться как под основанием мозга, так и над его поверхностью, и между полушариями. Пик встречаемости менингиом – 45 лет. Женщины болеют менингиомами примерно вдвое чаще мужчин. В 1.5% случаев – встречаются в детском и юношеском возрасте, из них примерно в 1/4-1/5 случаев как проявления нейрофиброматоза.
Симптомы менингиомы
Симптомы заболевания во многом зависят от места локализации опухоли и могут проявляться в виде:
головных болей; нарушения координации движений; глазодвигательных нарушений (косоглазие, двоение, опущение верхнего века); нарушений зрения – снижения остроты или ограничения периферического зрения чувствительных или двигательных нарушений в конечностях противоположной стороны тела, эпилептических приступов различной структуры, психо-эмоциональных нарушений.
Менингиомы больших размеров могут сопровождаться симптомами повышения внутричерепного давления (головная боль с тошнотой и рвотой), могут вызывать клинические симптомы сдавления мозга и ликворопроводящих путей и угрожать жизни пациента.
Диагностика менингиомы
При СКТ – гиперденсивный сигнал в нативных изображениях отмечается в 70-75%. При введении контрастного вещества – активно и гомогенно его накапливает. На МРТ сигнал изоинтенсивный с серым веществом в Т1 режиме и изо- или гипоинтенсивный в Т2 режиме. Накопление контраста также выраженное, чаще гомогенное. В большинстве случаев опухоли имеют широкий матрикс (зону исходного роста) и т.н. «дуральные хвосты» по оболочке (при контрастировании). Наличие «ликворной щели» является частым, но не абсолютным симптомом. В 16-25% случаев отмечаются признаки обызвествления, в 10-15% - наличие кист в паренхиме опухоли. Перифокальный отек может встречаться примерно у 60% больных и связан как с локализацией опухоли (чаще при конвекситальном и парасагиттальном расположении), а также с гистологическим подтипом (чаще при анапластических вариантах). Большинство менингиом активно кровоснабжаются. Эта особенность учитывается при проведении дифференциального диагноза с другими опухолями основания черепа.
Лечение менингиомы
В настоящее время выделяют несколько основных методов лечения менингиом.
Хирургическое удаление. Успешность хирургического вмешательства зависит от нескольких факторов – от расположения опухоли по отношению к функционально важным отделам мозга, от близости сосудов и черепно-мозговых нервов, а также от размера менингиомы. Оперативное удаление менингиомы в большинстве случаев заканчивается благополучно. Пациенты относительно быстро могут вернуться к нормальному образу жизни. Однако, вероятность рецидива (повторного образования опухоли) может достигать 20% и более в сроки свыше 10 лет наблюдения и зависит в первую очередь от гистологического подтипа опухоли и радикальности ее удаления.
Альтернативой хирургическому вмешательству при лечении менингиом является лучевая терапия. Этот современный метод облучения отлично себя зарекомендовал при лечении опухолей с локализацией в труднодоступных местах, когда удаление сопряжено с высоким риском функциональных нарушений и хирургических осложнений. Лучевой терапии поддаются опухоли различной величины с максимальной точностью, за один раз или несколькими сеансами лечения, необходимых для получения желаемого результата.
Данные литературы свидетельствуют, что контроль роста доброкачественных менингиом составляет 92-95% (т.е. всего 5-8% рецидивов) при наблюдении свыше 10 лет после лучевой терапии с сохранением высокого уровня качества жизни. Менингиомы 2-й и 3-й степени злокачественности рецидивируют чаще, однако важным преимуществом применения лучевой терапии перед другими методами лечения является возможность неоднократного использования и низкий (в сравнении с другими методами) уровень осложнений.
Таким образом, при менингиомах внутричерепной локализации применение лучевой терапии является оптимальным методом лечения, потому что:
ведет к продолжительному контролю опухолевого роста, который проявляется стабилизацией размеров или уменьшением опухоли;
имеет минимальный риск появления новой или усугубления имеющейся неврологической симптоматики;
позволяет быстро вернуться к повседневной жизненной активности.
Лучевая терапия противопоказана при: больших опухолях (должно быть проведено удаление); наличии выраженной неврологической симптоматики связанной или нет с наличием масс-эффекта; опухолях зрительного нерва с сохранным зрением (проводится фракционированное облучение).
Филиалы и отделения, в которых лечат опухоли головного и спинного мозга, а также отделы центральной нервной системы
ФГБУ «НМИЦ радиологии» Минздрава России обладает всеми необходимыми технологиями лучевого, химиотерапевтического и хирургического лечения, включая расширенные и комбинированные операции. Все это позволяет выполнить необходимые этапы лечения в рамках одного Центра, что исключительно удобно для пациентов.
Менингиома
Менингиомы являются наиболее часто встречаемыми внутричерепными опухолями. Они составляют примерно 38% интракраниальных опухолей у женщин и 20% у мужчин [1]. Менингиомы также являются наиболее частыми экстра-аксиальными опухолями центральной нервной системы мезодермального или менингиальноего происхождения. Они чаще встречаются у женщин чем у мужчин и обычно диагностируют после 30 лет [2], [3], [4], [5], [6].
Современные диагностические исследования, такие как компьютерная и магнитно-резонансная томография, позволяють получить информацию для успешного хирургического вмешательства и тотального удаления опухоли. Визуализация дает информацию о локализации, вовлечении твердой мозговой оболочки, выраженности отека, дислокации важных структур головного мозга и сосудов [7], а так же полезна в планировании подхода к оперативному лечению для положительного исхода [8], [9].
Нейрорадиологи и нейрохирурги должны знать как типичные так и атипичные проявления визуализации менингиом, поскольку существует корреляция данных визуализации с гистологическими типами опухолей.
Всемирная организация здравоохрнения (ВОЗ) разделяет менингиомы на 15 подтипов в 3 основных категориях по степени злокачественности:
Существенными факторами в прогнозе развития рецидива являются атипичный и злокачественныий типы при гистологическом исследовании и гетерогенное контрастное усиление при компьютерной томографии.
Компьютерная томография
Компьютерная томография является часто используемой модальностью в диагностике и ведении менингиом 17. Типичные признаки менингиомы включают четкие границы и гладкие контуры экстра-аксиального образования, прилежащего к твердой мозговой оболочке.
Около 70-75% менингиом имеют повышенную плотность относительно прилежащей мозговой паренхимы, до 25% изоденсивны. Редкая группа менингиом (липобластный подтип) содержат жир и таким образом гипоинтенсивные.
Обызвествления являются другой частой находкой, встречаются примерно в 20-25% случаев. Кальцификаты могут быть узловыми, точечными или может встречаться полное обызвествление.
Вазогенный отек, часто проявляется в виде гипоинтенсивности белого вещества - так называемый, пальцевидный отек. Однако, в половине случаев, поскольку опухоль растёт медленно, отек отсутствует.
КТ имеет преимущество над МРТ в изучении изменений костей [24]. У 15-20% пациентов встречается гиперостоз подлежащей кости. Может наблюдаться гиперваскуляризация участка кости который прилегает к менингиоме, в виде расширения, изменения направления и формы сосудистых борозд, каналов и венозных отверстий, углубления ямок пахионовых грануляций.
К редким изменениям в менингиомах относят кровоизлияние в опухоль, формирование кист и некроза. Кистозный компонент менингиомы может располагаться в опухоли или между опухолью и прилежащим мозгом.
Применение внутривенного контрастирования при обследовании помогает более чем в 90% случаев, позволяя визуализировать интенсивное гомогенное контрастное усиление опухоли. Гетерогенное контрастное усиление может быть результатом некроза или в редких случаях кровоизлияния в опухоль.
В исследованиях Steinhoff узловое контрастное усиление отмечено в 97% случаев, смешенное гетерогенное в 0.5%, и кольцевидное в 1.5% [25]. В исследованиях Naidich, контрастное усиление опухоли по узловому и гомогеннуму тип отмечено в 70% случаев, гетерогенное в 24%, кольцевидное в 2% [26].
Около 90% менингиом визуализируется при компьютерной томографии. Главная роль КТ исследования, в отличии от МРТ, способность выявить кальцификаты и изменения прилежащеих костей.
Атипичная КТ картина при менингиомах является основной причиной дооперационного неправильного диагноза. Менингиомы задней черепной ямки могут быть пропущены при компьютерной томографии. Компьютерная томография может не выявить кистозных изменений. Ложно-негативные результаты могут быть получены при кистозных изменениях головного мозга на фоне менингиомы. Ложно-положительные результаты встречаются при наличии крупных обызвествлений твердой мозговой оболочки, которые могут симулировать данную патологию.
Магнитно-резонансная томография
МРТ с гадолинем является лучшей модальностью для обследования при менингиомах. Важным преимуществом МРТ при визуализации менингиом является лучшее контрастное разрешение различных типов тканей, возможность многоплоскостного сканирования и возможность построения 3-D реконструкций [18,19,27,28].
МРТ позволяет исследовать васкуляризацию опухоли, прилежащие артерии, инвазию венозных синусов и отношение опухоли к окружающим структурам. Данная модальность имеет преимущество в визуализации юкстоселлярной области и задней черепной ямки, а так же позволяет визуализировать редко встречающуюся диссименацию опухоли по спинномозговой жидкости [29,30,31].
На нативных Т1 взвешенных изображениях большинство менингиом имеет одинаковую интенсивность МР сигнала с кортикальным серым веществом. Фиброматозные менингиомы могут иметь более гипоинтенсивный сигнал, по отношению к коре головного мозга. Т1 взвешенные изображения могут быть использованы для оценки некроза, наличия кист и продуктов распада гемоглобина.
На Т2 взвешенных изображениях интенсивность МР сигнала вариабельна. Т2 взвешенные изображения полезны в оценке некроза, наличия кист и продуктов распада гемоглобина. Кроме того данные последовательности полезны для визуализации цереброспинальной жидкости между опухолью и мозговой паренхимой, подтверждая экстра-аксиальную локализацию. Гиперинтенсивность на Т2 взвешенных изображениях указывает на мягкую консистенцию опухоли и микронеоваскуляризацию, что более часто встречается при агрессивных, ангиобластических или менингеэндотельиалных типах опухоли. Т2 взвешенный сигнал больше коррелирует с гистологическим строением и консистенцией менингиомы. В целом, низко-интенсивный сигнал от опухоли указывает на более фиброзный и плотный тип (напр. фибробластическая (переходная) менингиома), в то время как высокоинтенсивные части указывают на мягкую плотность (напр. ангиобластическая менингиома (гемангиэндотелиома)) [32,33,34].
Последовательности инверсии - восстановление спинного эха (flair) полезны в оценке сопутствующего отека, а так же в визуализации характерного для данной патологии признака дурального хвоста. Дуральный хвост представляет утолщение и контрастное усиление твердой мозговой оболочки в области прикрепления опухоли. Данный признак встречается при 65% менингиом и в 15% при прочих опухолях. Хотя данный признак не специфичен только для менингиом, он позволяет с большой достоверностью предположить правильный диагноз.
При МРТ и КТ менингиомы имеют схожий паттерн усиления после введения контрастного препарата. Интенсивное контрастное усиление после введения препаратов гадолиния встречается более чем в 85% опухолей. Кольцевидный паттерн может представлять капсулу опухоли. Препараты гадолиния позволяют лучше визуализировать бляшковидные менингиомы, чем не усиленные последовательности.
Гистологические подтипы менингиом могут иметь разные проявления при МРТ и по этому использования МРТ недостаточно для гистологического диагноза. Большинство менингиом можно диагностировать с помощью обычной МРТ [18, 19, 35, 36, 37, 38, 39, 40, 41, 42, 43, 44]. Тем не менее, нетипичные признаки могут привести к затруднениям в диагностике.
Измеряемый коэффициент диффузии у менингиом как правило, ниже, чем при высоко-дифференцированных опухолях. Гиперваскуляризированные менингиомы демонстрируют повышенную перфузию [1]. Измеряемый коэффициент диффузии 0.85 при использовании ДВИ позволяет дифференцировать менингиомы I степени, от опухолей II и III степени. В исследовании ВОЗ 389 пациентов, I степень была диагностирована в 271 случае (69,7%), II у 103 пациентов (26,5%) и III у 15 пациентов (3,9%) [10].
В целом, чувствительность и специфичность МРТ в диагностике менингиом является высокой.
Данная версия публикации (декабрь 2016) является переводом статьи Omar Islam, James G Smirniotopoulos и др. Brain Meningioma Imaging.
Менингиома: причины, диагностика и лечение
Менингиома — доброкачественная опухоль головного мозга и позвоночника, развивается из паутинной оболочки, окружающей нервные структуры. Составляет четвертую часть всех первичных новообразований мозга. Достаточно редко встречаются ее злокачественные формы — по разным данным 10-15% от всех выявленных случаев.
менингиома
Менингиома — доброкачественная опухоль головного мозга и позвоночника, развивается из паутинной оболочки, окружающей нервные структуры. Составляет четвертую часть всех первичных новообразований мозга. Достаточно редко встречаются ее злокачественные формы — по разным данным 10-15% от всех выявленных случаев.
Чаще всего менингиома является единичной опухолью, значительно реже диагностируют множественные опухоли, растущие из разных очагов и располагающиеся в разных зонах спинного или головного мозга.
Факторы риска
Точные причины развития опухоли неизвестны. Существуют факторы риска, которые могут привести к заболеванию:
- Возраст старше 40 лет. Чаще всего опухоль в головном или спинном мозге появляется в возрасте от 40 до 70 лет.
 - Женский пол. Риск развития заболевания у женщин в 3 раза выше, что связано с влиянием на рост менингиомы женских половых гормонов. Однако у мужчин чаще встречаются злокачественные варианты опухоли.
 - Ионизирующее излучение в высоких дозах, которое способствует возникновению различных внутричерепных опухолей. По последним исследованиям рост может спровоцировать и низкодозовое облучение.
 - Генетические заболевания. Например, нейрофиброматоз 2 типа.
 - Черепно-мозговые травмы или травмы позвоночника.
 
Симптомы менингиомы
Менингиома головного мозга и позвоночника, как и большинство доброкачественных опухолей, отличается медленным ростом и иногда протекает без выраженных симптомов. Бывает так, что опухоль становится случайной находкой во время МРТ или КТ головы.
Несмотря на доброкачественность, образование нарушает работу головного мозга.
Ее проявления разделяют на общемозговые, вызванные повышением внутричерепного давления, а также местные, возникающие при давлении опухоли на различные анатомические структуры головного или спинного мозга.
Среди общемозговых симптомов часто встречаются следующие:
- Головная боль, которая постепенно становится сильнее, обостряется ночью.
 - Нарушение зрения, в частности двоение и потеря его остроты.
 - Тошнота и рвота.
 - Нарушение памяти, изменение психики.
 - Эпилептические припадки.
 - Слабость в руках или ногах, чаще с одной стороны.
 - Головокружения, нарушения координации.
 
Основные признаки при различных локализациях опухоли:
- Односторонняя или двусторонняя слепота — при поражении бугорка турецкого седла.
 - Нарушение обоняния и нарушения психики — при риноольфакторной форме.
 - Слабость в ногах и нарушение мочеиспускания — симптом парасагитальной опухоли парацентральных локализаций.
 - Глазодвигательные нарушения и двоение в глазах — при поражении крыла основной кости.
 - Один глаз выпирает наружу (экзофтальм) — при новообразовании орбиты глаза.
 - Нарушения речи и слуха — при локализации в височной доле.
 - Слабость в руках и ногах — при опухоли в области большого затылочного отверстия.
 
Из-за многообразия симптомов часто возникают затруднения с постановкой диагноза. У пожилых пациентов проявления опухоли иногда связывают с возрастными изменениями мозга.
Классификация менингиом
В подавляющем большинстве случаев менингиома представляет собой доброкачественную опухоль, однако, возможны и злокачественные варианты.
Согласно действующей классификации ВОЗ, существует три типа менингиом:
- Grade-1 — 1-я степень злокачественности, составляет 94,5 % от всех случаев. Это доброкачественные, медленно растущие образования, не поражающие окружающие ткани. Характеризуются благоприятным прогнозом и низкой частотой рецидивов.
 - Grade-2 — 2-я степень злокачественности, 4,7 % случаев. Характеризуются более агрессивным и быстрым ростом, высокой частотой рецидивирования и менее благоприятным прогнозом.
 - Grade-3 — 3-я степень злокачественности, 1% случаев. Злокачественные новообразования с неблагоприятным прогнозом, высокой частотой рецидивирования, быстро растущие и вовлекающие окружающие ткани мозга в процесс.
 
Методика лечения опухолей головного и спинного мозга, а также прогноз выживаемости зависят от степени злокачественности, расположения и размера.
Диагностика менингиомы
Диагноз ставится по данным КТ, МРТ или ПЭТ/КТ. МРТ с контрастом считается наиболее информативным методом для обнаружения доброкачественных менингиом позвоночника и головного мозга. Оно позволяет увидеть взаимоотношение опухоли с окружающими тканями и оценить состояние сосудов. КТ выявляет до 90% опухолей, показывает изменения костей и кальцинаты в новообразовании.
ПЭТ/КТ применяют для обнаружения злокачественных форм, обследование помогает оценить скорость обмена веществ в опухоли, а значит определить вероятность ее злокачественного перерождения.
Нужна дополнительная информация по ПЭТ КТ диагностике? Получите бесплатную консультацию наших специалистов
Лечение менингиомы
Существует несколько методов лечения заболевания:
- хирургическое удаление менингиомы — оперативное лечение позволяет удалить опухоль, но может быть травматичным для пациента. Исход операции зависит от близости новообразования к жизненно важным структурам головного мозга. При доброкачественных формах, как правило, удается добиться полного излечения.
 - классическая лучевая терапия — малоэффективна для лечения опухоли. При ее использовании могут повреждаться соседние участки головного мозга и спинной мозг при новообразованиях позвоночника. Иногда используется совместно с хирургическим удалением, чтобы разрушить очаги в неоперабельных зонах или снизить риск рецидива.
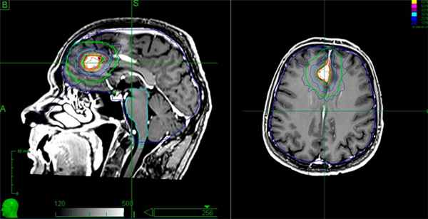
 - лучевая терапия на установке Кибер-Нож — современный и малотравматичный метод лечения образований размером до 3.5-4 см. На опухоль воздействуют направленным потоком ионизирующего излучения. Окружающие ткани при этом практически не повреждаются.
 

Лечение менингиомы. Этапы подготовки мишени для облучения на системе "Кибер-нож”
Кибер-Нож позволяет удалить опухоль без боли и повреждения важных структур мозга. Процедура проводится в амбулаторных условиях без госпитализации пациента, после терапии пациент сразу может ехать домой. В ПЭТ-центре план лечения составляется врачами радиологом и онкологом, что позволяет выбрать наиболее эффективную тактику для конкретного пациента.
Лечение на Кибер-Ноже в Уфе доступно не только для жителей региона, но и для иногородних и иностранных пациентов — для них разработаны специальные программы.
Остались вопросы по лечению на Кибер-ноже? Вы можете получить бесплатную консультацию наших специалистов.
Последствия и прогноз
В случае, когда у пациента была выявлена доброкачественная менингиома без прорастания в окружающие ткани, ее удаление часто означает полное выздоровление. Выживаемость пациентов в течение 5 лет составляет около 70-90%.
Однако даже доброкачественные образования могут рецидивировать в 3% случаях. Атипичные — рецидивируют в 38% случаях, злокачественные — в 78%. Тяжесть последствий зависит от размеров, расположения и злокачественности опухолевого очага.
МРТ диагностика менингиом головного мозга

МРТ головного мозга обладает широкими диагностическими возможностями и способна показать не только патологии белого и серого вещества, но и визуализировать аномалии в тонких тканях оболочек мозга. Одной из опухолевых патологий мозговых оболочек является менингиома. Она рождается из паутинной оболочки мозговых структур, реже менингиома образуется из клеток мягкой оболочки или стромы сосудистого сплетения.
 
Мозговые оболочки - соединительнотканные структуры, покрывающие головной и спиной мозг. В голове их насчитывается три: твердая, паутинная и мягкая, сосудистая оболочка. Твердая мозговая оболочка располагается ближе всего к костям черепа и припаяна к швам черепных пластин. Она выполняет защитную функцию для мозга. Под этой мозговой оболочкой располагается эпидуральное пространство, и за ним следом идет вторая - паутинная оболочка. Она называется арахнаида и является фиброзной структурой без кровеносных сосудов, покрывающей мозговые структуры по поверхности. Образована это оболочка арахноидоэндотелиальными клетками и пучками коллагеновых фибрилл. На ее поверхности имеются арахноидальные ворсинки, арахноидальные (пахионовы) грануляции. Под паутиной располагается мягкая оболочка. Она выстилает извилины и борозды и имеет собственную капиллярную сеть, через которую в головной мозг проникают артериальные и венозные сосуды. Субарахноидальное пространство между паутинной и мягкой оболочкой имеет систему ликворных каналов и субарахноидальных ячеек. Основная функция мягкой оболочки - питать мозговые структуры. Из-за распространенности оболочек головного мозга менингиома может поразить любой участок головы.
БЕСПЛАТНАЯ 
КОНСУЛЬТАЦИЯ О ДИАГНОСТИКЕ
Если сомневаетесь, запишитесь на бесплатную консультацию.
Или проконсультируйтесь по телефону
Особенности МРТ исследования менингиомы
- четко дифференцировать аномалию
 - определить локализацию и распространенность
 - оценить характерные изменения, чтобы в дальнейшем дать направление для лечащих врачей по возможной терапии.
 
 
Менингиома на МРТ головного мозга
Оболочные опухоли головного мозга могут быть первичными и расти из оболочки или вторичными, когда эта опухоль откуда-то занесена в оболочку мозговых структур - например, метастазы. В МРТ-центрах СПб на практике врачи часто встречают доброкачественную опухоль оболочки головного мозга из менинготелиальных клеток - менингиому. Такая менингиома имеет на МРТ снимках чаще всего округлую форму, четкие контуры и широким основанием прилегает к мозговым оболочкам. Если менингиома имеет небольшой размер, то ее существование проходит без явных клинических симптомов. Она, как правило, является случайной находкой на МРТ головного мозга. Рост менингиомы происходит в сторону мозга, поэтому когда она достигает больших размеров, ее структуры начинают оттеснять и сдавливать мозговые структуры. Из-за этого возникает неврологическая симптоматика, однако проявление ее зависят от места локализации опухоли (менингиома кавернозного синуса, менингиома серпа головного мозга, петрифицированная менингиома).
- имеет гомогенную структуру;
 - гетерогенность ее обусловлена кистами, участками геморрагий и кальцинатами;
 - при болюсном динамическом контрастировании наблюдается выраженное быстрое гомогенное накопление контраста в первые секунды;
 - отсутствие гематоэнцефалического барьера;
 - постепенное снижение контрастности в течение часа или удержание контрастности в виде “плато” в течение 30-40 минут.
 
Что делать, если необходимо провести дополнительный анализ снимков МРТ и их описание?
ПРЕДЛАГАЕМ ВАМ ЗАПИСЬ НА УСЛУГУ ЭКСПЕРТНОЕ ЗАКЛЮЧЕНИЕ ПО СНИМКАМ МРТ.
Мы подберем Вам клинику, где опытные врачи проведут расшифровка МРТ онлайн по имеющимся у Вас снимкам и предоставят Вам свое экспертное заключение по верности и точности первичного диагноза. Закажите услугу МРТ второе мнение онлайн, и Ваши МРТ снимки оценят ведущие специалисты в СПб, Москве и зарубежом!
 
Как проходит томография головы
МР-сканирование оболочек головного мозга не требует особой подготовки и может быть проведено в любой день. Для этого пациенту нужно заранее записаться на услугу магнитно-резонансной томографии в диагностический центр. На МР-обследование лучше приехать в одежде, удобной для горизонтального лежания, без металлических элементов. Украшения типа: сережки, заколки, пирсинг, крестики, цепочки также следует оставить дома, поскольку их все равно попросят снять перед процедурой. Перед сканированием обязательно нужно предупредить врача о наличии любого металла в теле или вшитых электронных устройствах (например: кардиостимулятор, инсулиновая помпа).
МРТ аппарат - это очень крупный и сильный магнит, поэтому его мощное магнитное поле может вывести из строя любые приборы и сместить положение металлического элемента в теле. Прием пищи нужно прекратить за 2 часа до процедуры, если Вам проводят томографию с контрастным усилением. Так Вы сможете избежать риска тошноты или рвоты при внутривенном введении контрастного вещества. Сам контрастный препарат безобиден и почти никогда не вызывает аллергической реакции. Сложность он может доставить только людям, страдающим почечной недостаточностью. Поэтому, если у Вас есть тяжелые заболевания почек, обязательно сообщите об этом рентгенологу. Он по данным анализа крови на креатинин скажет, смогут ли Ваши почки выдержать дополнительную нагрузку от контраста.
МРТ головного мозга с контрастированием обычно занимает 30-40 минут. Проходит она в комфортных условиях для пациента. Самое важное, что требуется от обследуемого для успешной томографии - это лежать неподвижно. Итогами сканирования станет серия снимков-томограмм, которые врач для Вас расшифрует и запишет на электронный носитель. Вы также получите письменное заключение рентгенолога, где он укажет, были ли выявлены менингиомы, каких размеров, их характер и локализация. С данными МРТ головного мозга Вас направят на консультацию к лечащему врачу, чтобы он верифицировал диагноз и предложил варианты лечения. Если пациент проводил повторное томографическое исследование дополнительно к результатам свежего МРТ, он получит сравнительный анализ изменений, которые произошли с даты предыдущей томографии.
МРТ менингиом головного мозга
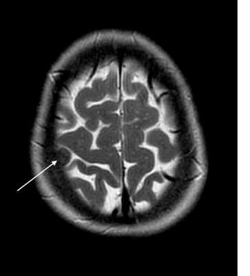
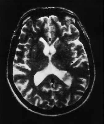
МРТ головного мозга. Т2-взвешенная аксиальная МРТ. Конвекситальная менингиома, цветовая обработка.
Менингиома – самая частая из неглиальных опухолей головного мозга. Она составляет 15-18% от всех опухолей головного мозга у взрослых. По классификации ВОЗ менингиомы могут быть трёх градаций, причём анапластические менингиомы (градация III) наблюдаются редко. Встречается менингиома чаще у женщин (Ж:М как 2:1) в возрасте 40-70 лет. Пятилетняя выживаемость в целом около 70%. 90% менингиом расположены супратенториально, причем половина из них находится по конвекситальной поверхности и связана с верхним сагиттальным синусом, как правило средней его третью. Реже встречаются другие локализации менингиомы – основание черепа, параселлярная область, сосудистое сплетение желудочка (обычно левого бокового), мосто-мозжечковый угол, орбита, большое затылочное отверстие, свободный край намёта мозжечка.

При МРТ головного мозга выявляется образование с широким основанием. Гиперостоз, часто видимый при КТ и на рентгенограммах, при МРТ головного мозга выглядит как утолщение внутренней костной пластинки свода черепа. Кальцинаты, обнаруживаемые при КТ в 20% наблюдений, при МРТ не видны. Опухоль при МРТ довольно однородная по структуре. Прорастание костей свода черепа видно отчетливо как участок повышенного сигнала на МРТ головного мозга любого типа в резко гипоинтенсивной кости. Сигнал от опухолевого узла на Т2-зависимых МРТ зависит от гистологического подтипа: относительно низкой интенсивности (между белым и серым веществом) при фибробластном и высокой при ангиобластном и синтициальном. Отек выражен в различной степени в каждом конкретном случае. Ряд МРТ признаков очень характерен для менингиомы: полоса ликвора между опухолью и тканью мозга, смещение окружающих сосудов. Они отражают неинвазивный характер роста. Смещенную и вовлеченную твердую мозговую оболочку иногда удается визуализировать при МРТ после введения гадолиния, особенно на корональных МРТ срезах. Усиление сигнала при МРТ с контрастированием от оболочки над опухолью с распространением в стороны (симптом “хвоста”) не абсолютно специфично и встречается при МРТ как при менингиоме, так и при лептоменингиальных метастазах. Однако при глиальных опухолях и невриноме при МРТ оно не описано. При обследовании пациентов методом МРТ в СПб с менингиомами серпа (фалькс-менингиомы) и намёта мозжечка рекомендуется делать МР-венографию для определения компрессии синуса и его проходимости. В наших центрах это обязательное исследование перед операцией. На открытом МРТ венография также легко выполнима. Не все центры МРТ СПб придерживаются этой методики. 
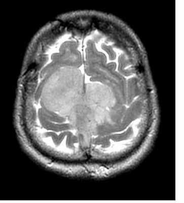
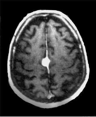
МРТ головного мозга. Менингиома свода черепа (стрелка). Аксиальная Т2-взвешенная МРТ.
МРТ головного мозга. Менингиома серпа. Аксиальная и корональная Т1-взвешенные МРТ с контрастированием.



МРТ головного мозга. Менингиома верхнего сагиттального синуса. Аксиальная Т2-взвешенная МРТ и сагиттальная Т1-взвешенная МРТ и сагиттальная МР-венограмма.

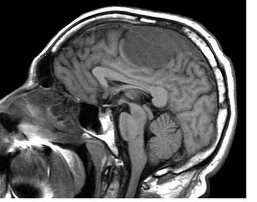
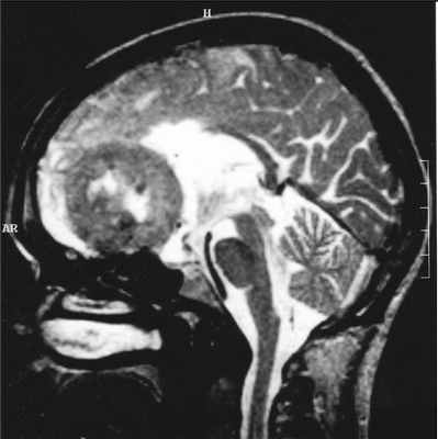
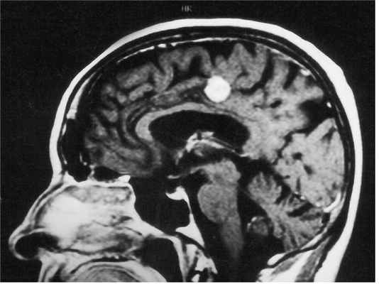
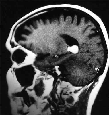
МРТ головного мозга. Субфронтальная менингиома. Сагиттальная Т2-взвешенная МРТ.
Менингиома вторая по частоте опухоль мосто-мозжечкового угла после невриномы VIII пары. Как и при других локализациях менингиома чаще встречается у женщин среднего возраста. Мелкую, расположенную внутри канальца менингиому, при МРТ невозможно отличить от невриномы. Однако, внутриканальцевый компонент больше характерен для неврином. Крупная менингиома при МРТ головного мозга имеет типичное для этих опухолей плоское основание и соответственно форму полукруга, часто распространяется в среднюю черепную ямку. Интенсивность сигнала от менингиомы на Т2-взвешенныъ МРТ обычно ниже, чем от невриномы. Структура опухоли при МРТ может быть как однородной, так и гетерогенной. В пользу менингиомы говорит прорастание верхушки пирамиды, разрушение ее структуры с элементами склероза. Невринома и нейрофиброма продавливают и ампутируют верхушку пирамиды. В дифференциальной диагностике помогают и другие МРТ признаки, типичные для менингиом: симптом “хвоста”, ликворное кольцо и смещение сосудов. Контрастирование МРТ усиливает сигнал от менингиомы также хорошо, как и от невриномы.

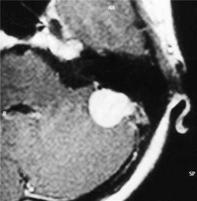
МРТ головного мозга. Менингиома мостомозжечкового угла (стрелки). Аксиальные Т2-зависимая МРТ и Т1-зависимая МРТ с контрастированием.


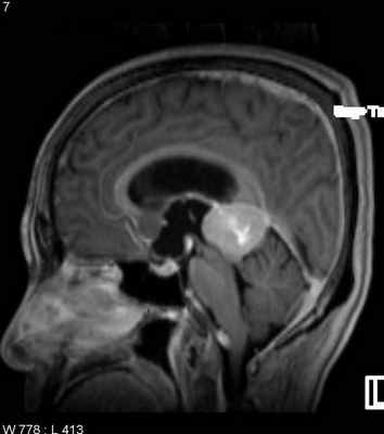
МРТ головного мозга. Менингиома свободного края намета мозжечка (область шишковидной железы). Сагиттальные Т1-зависимые МРТ до и после контрастирования.
Менингиома может развиться из любого участка стенки задней черепной ямки, но чаще из свободного края намета мозжечка и в области большого затылочного отверстия. Эти менингиомы при МРТ головного мозга имеют те же черты, что и характерные для супратенториальных менингиом. Дополнение стандартной МРТ МР-венографией помогает выявить компрессию поперечного синуса.

МРТ головного мозга. Менингиома задней черепной ямки. Аксиальная Т1-зависимая МРТ с контрастированием.

МРТ головного мозга. Менингиома области большого затылочного отверстия с компрессией ствола мозга. Корональная Т1-зависимая МРТ с контрастированием.
Менингиома в детском возрасте составляет всего 1-2% от случаев этой опухоли. Обычно она связана с нейрофиброматозом II типа. Внутрижелудочковые менингиомы у детей встречаются в 20%, в то время как у взрослых в 10 раз реже.


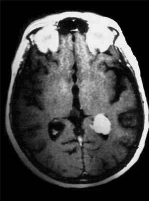
МРТ головного мозга. Нейрофиброматоз тип II. Менингиома нижнего сагиттального синуса. Аксиальная и сагиттальная Т1-зависимые МРТ с контрастированием.



Тот же пациент. Внутрижелудочковая менингиома. Аксиальная Т2-зависимая МРТ, поперечная и сагиттальная Т1-зависимые МРТ с контрастированием.
Читайте также:
