Нейрохирургия петрокливальной менингиомы (менингиомы ММУ)
Добавил пользователь Владимир З. Обновлено: 06.01.2026
Менингиомы – опухоли, растущие из арахноидальной оболочки, окружающей головной мозг. В большинстве своем это доброкачественные новообразования, представляют собой хорошо отграниченный узел, нередко плотно спаянный с твёрдой мозговой оболочкой. Основным методом их лечения является хирургическое удаление. В большинстве случаев радикальное удаление менингиомы обеспечивает фактически «излечение» или снижает риск повторного образования опухоли (рецидива) практически до нуля.
Риски хирургической операции определяются часто близким расположением опухоли к функционально значимым отделам мозга, крупным сосудам и нервам. Кроме того , менингиомы являются опухолями с хорошо развитой системой патологически измененных кровеносных сосудов, что обуславливает высокий риск кровопотери. Учитывая особенности менингиом, в нашем Центре осуществляется тщательное предоперационное планирование оперативного вмешательства с проведением КТ-ангиографии с определением питающих сосудов опухоли, ее топографического расположения относительно функционально значимых зон, важных вен, артерий головного мозга. При выявлении интенсивного кровоснабжения опухоли при удалении опухоли есть риск массивной интраоперационной кровопотери, поэтому первым этапом ангиохирургами нашего Центра проводится эмболизация сосудов опухоли микроэмболами.
Клинический пример №1
Пациентка поступила в отделение нейрохирургии (церебральное подразделение) ФГБУ «ПФМИЦ» Минздрава России 03.07.2015 с жалобами на головную боль, слабость в левых конечностях, головокружение. Анамнез заболевания: болеет около 3 месяцев. Лечилась консервативно у терапевта по месту жительства, без эффекта. Выполнила МРТ головного мозга, на котором выявлено объемное образование правой лобной доли с распространением на левую лобную долю. Проходил стационарное обследование и лечение по месту жительства. Направлена в ФГБУ "ПФМИЦ" Минздрава России для оперативного лечения.
В неврологическом статусе: сознание – формально ясное, неадекватна, заторможена, дезориентирована в месте и времени, критика к своему состоянию снижена. Память, внимание снижены. Левосторонний гемипарез. Сила мышц D>S, снижена в левых конечностях до 4-х баллов. Шкалы Карновского/ECOG 50/3.
МРТ головного мозга (14.04.15): в правой лобной доле объемное кистозно-солидное образование неправильной округлой формы, с четкими неровными контурами, распространяющееся в левую лобную долю, размерами 5,6х6х5,5 см. Срединные структуры на уровне прозрачной перегородки смещены влево на 18 мм.
КТ головного мозга (06.07.15): гигантская двухсторонняя опухоль нижнего края фалькса, задне-лобно-теменной области. Стадия декомпенсации. Перитуморальный отек. Опухоль достигает 3 желудочка.
Выполнено предоперационное планирование с учетом данных КТ-ангиографии.

07.07.2015 была выполнена операция: Микрохирургическое удаление опухоли под контролем нейронавигации и применения нейрофизиологического мониторинга.

Опухоль обрастала переднюю мозговую артерию и перикаллезные артерии. После рассечения фалькса удалена опухоль с левой гемисферы, где опухоль также обрастала переднюю мозговую артерию слева, ее также удалось выделить и сохранить. Опухоль слева удалена. Осложнений во время операции не было. Гемостаз и закрытие раны проведены по общим принципам.
КТ головного мозга (08.07.2015): не выявило признаков кровоизлияния или каких-либо других хирургических осложнений в области оперативного вмешательства.

В неврологическом статусе после оперативного вмешательства положительная динамика полного регресса исходной симптоматики, нового неврологического дефицита не выявлено. Шкалы Карновского/ECOG 80/2. Гистологическое заключение: менингиома.
В данном случае мы продемонстрировали возможности микронейрохирургии в удалении больших менингиом свода черепа с двухсторонним ростом и прорастанием нижнего сагиттального синуса. Опухоль была удалена с хорошим клиническим результатом.
Клинический пример №2
Пациентка поступила в отделение нейрохирургии (церебральное подразделение) ФГБУ «ПФМИЦ» Минздрава России 29.10.2015 с жалобами на головную боль, головокружение, наличие эпиприступа, периодическое чувство онемения в конечностях, снижение внимания, памяти, зрения. Анамнез заболевания: считает себя больной с июня 2015 года. На МРТ выявлено объемное образование головного мозга парасагиттальной локализации. Лечилась амбулаторно и стационарно по месту жительства. Направлена в ФГБУ ПФМИЦ Минздрава России для проведения оперативного лечения.
В неврологическом статусе: сознание - ясное, 15 баллов по ШКГ. Зрачки D=S, обычной величины. Фотореакция прямая и содружественная живая. Движения глазных яблок в полном объеме. Чувствительность на лице сохранена. Лицо симметричное. Небный и глоточный рефлекс не нарушены. Язык по средней линии. Обоняние, вкус сохранены. Активные движения в конечностях сохранены. Сила мышц S>D, снижена до 4 баллов, справа положителен симптом Баре. Сухожильные и периостальные рефлексы D=S, оживлены. Тонус мышц диффузно повышен, D=S. Симптом Кернига отрицательный. Ригидности затылочных мышц не выявлено. Патологической симптоматики не выявлено. В позе Ромберга пошатывание. Пальце-носовая проба с интенцией с обеих сторон. Эмоционально лабильна, критика к своему состоянию сохранена, ориентирована в месте, времени, собственной личности. Шкалы Карновского/ECOG 70/2.
КТ ангиография головного мозга (22.10.15): в левой лобно-теменной области парасагиттально, прилегая к мозговым оболочкам, определяется интенсивно накапливающее контраст и обильно кровоснабжаемая опухоль, размером 53х40,7х37мм. Смещение срединных структур 5,8 мм.

Учитывая высокую васкуляризацию опухоли и риск массивной интраоперационной кровопотери, принято решение о проведении эмболизации сосудов опухоли микроэмболами.
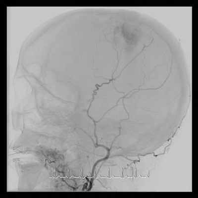
Ротационная ангиография артерий головного мозга (22.10.15): выявлено кровоснабжение менингиомы из бассейнов правой и левой наружной и левой внутренней сонных артерий.

28.10.2015 была выполнена операция: эндоваскулярная эмболизация микроэмболами ветвей обеих наружных сонных артерий, питающих опухоль.
Катетер установлен в левую бедренную артерию. Выполнена серия ангиограмм. При помощи микрокатетера поэтапно кататеризированы эмболизированы микроэмболами вначале слева, а затем справа питающие опухоль сосуды. На контрольных ангиограммах кровотока по данным артериям не выявлено, опухоль не кровоснабжается.
Выявление питающих опухоль сосудов
Состояние после эмболизации – кровенаполнения опухоли не выявлено
29.10.2015 была выполнена операция: микрохирургическое удаление опухоли под контролем нейронавигации и применения нейрофизиологического мониторинга.
В положении больной на спине с учетом данных безрамной нейронавигации определена область доступа. Опухоль слева удалена тотально единым блоком после выделения опухоли по границе роста зоне. Кровотечений и осложнений во время операции не было. Гемостаз и закрытие раны проведены по общим принципам.
КТ головного мозга (30.10.2015): состояние после КПТЧ и микрохирургического удаления объемного образования головного мозга. Постоперационная киста, пневмоцефалия.
В неврологическом статусе после оперативного вмешательства положительная динамика полного регресса исходной симптоматики, нового неврологического дефицита не выявлено. Шкалы Карновского/ECOG 90/1. Гистологическое заключение: менингиома.
В данном случае мы продемонстрировали возможности микронейрохирургии в удалении высоковаскуляризированных менингиом свода с предварительным выключением кровотока в опухоли при помощи микроэмболов. Опухоль была удалена с хорошим клиническим результатом.
Нейрохирургия петрокливальной менингиомы (менингиомы ММУ)
Нейрохирургия петрокливальной менингиомы (менингиомы ММУ)
а) Синоним. Менингиома мосто-мозжечковой цистерны.
б) Определение. Менингиомы мостомозжечкового угла (ММУ) развиваются из арахноидальной оболочки области пирамиды височной кости и растут в мосто-мозжечковую цистерну и/или область ската.
Эти опухоли могут достигать больших размеров, не вызывая какой-либо симптоматики, и обычно сложны с хирургической точки зрения. Опухоль смещает черепно-мозговые нервы кзади, что позволяет визуализировать их на раннем этапе, усложняя при этом само удаление. Хирургу приходиться оперировать через естественные окна между каудальной группой нервов (IX, X, XI), акустико-фациальной группой (VII, VIII), а также тройничным нервом (V).
в) Этиология/эпидемиология. Менингиома развивается приблизительно у 6/100000 человек в год, составляя 13-26% от всех интракраниальных опухолей. Однако эти данные относятся к опухолям с супратенториальной локализацией, менининиомы задней черепной ямки занимают только 10%. Истинная распространенность, следовательно, должна быть 0,5-1 на 100000 человек. В 60-70% случаях это доброкачественная опухоль, I степени по классификации ВОЗ, наиболее распространенное цитогенетическое изменение—потеря 22 хромосомы.
Развитие более агрессивных форм ассоциируется с делецией lp, 6р, 10q 14q и 18q для атипической менингиомы и 9р (CDKNA) для анапластических новообразований. Женщины заболевают чаще, чем мужчины с соотношением 2:1 и с пиком встречаемости на шестой и седьмой декаде жизни.
г) Симптомы петрокливальной менингиомы. Специфических симптомов, помогающих диагностировать менингиому задней черепной ямки, не существует. Данные опухоли растут медленно и могут долгие годы оставаться бессимптомными. Возможно воздействие на любые черепно-мозговые нервы, что может вызвать тошноту, головокружение, снижение слуха, слабость мимической мускулатуры и расстройства чувствительности на лице. Очень редко опухоль может вызывать окклюзию отверстий Люшка и Мажанди, что ведет к развитию острой гидроцефалии, требующей срочной операции.
д) Клиническое течение. Петрокливальные менингиомы—медленно растущие опухоли. В группе очень пожилых пациентов показано наблюдение с постоянным клиническим и нейровизуализационным контролем. У молодых предпочтительно хирургическое лечение.
е) Осложнения. В случае естественного течения заболевания осложнения редки, ухудшение состояния может быть связано с повреждением каудальной группы нервов и развитием аспирационной пневмонии. Реже возможно развитие гидроцефалии в связи с обструкцией ликворопроводящих путей.
ж) Диагностические мероприятия. Рекомендуемый европейский стандарт:
- Тщательное выяснение анамнеза заболевания
- Неврологическое обследование
- Функции черепно-мозговых нервов (II—XII)
- Аудиограмма (VIII) и слуховые вызванные потенциалы
- Функции мозжечка и тесты для оценки вестибулярной системы
- МРТ
- КТ в костном окне для оценки костной эрозии, расширения внутреннего слухового прохода, отношения яремной луковицы к слуховому проходу
- При планировании операции в положении сидя — трансэзофагеальная эхокардиография для выявления открытого овального окна
- Клинический анализ крови, коагулограмма, электролиты, ферменты печени, креатинин, ЭКГ
- Дигитальная субтракционная ангиография (ДСА) для оценки кровоснабжения, особенно из тенториальных ветвей внутренней сонной артерии (ВСА).
з) Дополнительные диагностические мероприятия:
- Соматосенсорные вызванные потенциалы при очень больших опухолях, сдавливающих ствол мозга
- Исследование поля зрения (периметрия) только при больших опухолях, сопровождающихся гидроцефалией
- Тест с распознаванием речи в случаях поражения слуха
- ЭНМГ лицевого нерва в случаях поражения последнего.
и) Консервативное лечение петрокливальной менингиомы:
- Наблюдение лиц пожилого возраста, а также пациентов со «случайно» выявленными опухолями.
к) Хирургическое лечение:
• Удаление опухоли из субокципитального ретросигмовидного доступа.
л) Дифференциальный диагноз:
• Вестибулярная шваннома
• Гломангиома
• Хордома
• Эпидермоид
• Метастазы
м) Прогноз. Зависит от степени анаплазии: при доброкачественных менингиомах рецидив возникает в 7-20% случаев, при атипических (степень II по ВОЗ) около 33% и при анапластических (степень III) в 60-80% случаев. Гистологическое разделение на подтипы (менинготелиоматозная, фибробластическая, переходная и др.) играет в прогнозе небольшую роль. У пациентов со злокачественными менингиомами и сопутствующей мозговой инвазией продолжительность жизни составляет менее двух лет.
н) Принципы хирургического лечения петрокливальной менингиомы:
1. Субокципитальный ретросигмовидный доступ:
- Через линейный разрез кожи позади сосцевидного отростка, выполняют краниотомию протяженностью 3 см, ограниченную с латеральной стороны сигмовидным синусом и с краниальной стороны поперечным синусом. Твердую мозговую оболочку (ТМО) вскрывают вдоль синусов, полушария мозжечка укрывают тампонами. Вскрывают субарахноидальные цистерны, при больших опухолях необходимо вскрыть мозжечково-медуллярную цистерну. Идентифицируют нижние артерии мозжечка, внутреннюю слуховую артерию и черепно-мозговые нервы.
- Рассекают капсулу задней части опухоли между группами черепно-мозговых нервов, сохраняя каменистую и другие вены, а также по возможности избегая тракции мозжечка. Необходимо сохранять арахноидальную оболочку мозжечка и ствола мозга.
- Опухоль удаляют пофрагментно, без использования биполярной коагуляции; кровотечение останавливают после удаления опухоли. Выполняют тщательный гемостаз, ирригацию и контроль функций лицевого и слухового нервов. По возможности резецируют матрикс опухоли, и, если необходимо, для герметичного закрытия ТМО используют вставку. В любом случае необходимо коагулировать матрикс опухоли.
2. Техника:
- Жесткая фиксация в скобе Мейфилда
- Непрерывный мониторинг лицевого нерва (m. orbicularisoculi, m. orbicularisori)
- Непрерывная регистрация слуховых вызванных потенциалов
- Субокцппитальная ретросигмовидная краниотомия вплоть до сигмовидного синуса
- Использование воска на сосцевидные ячейки для предотвращения ликворреи и на выпускники для предотвращения воздушной эмболии
- Предотвращение тракции мозжечка путем дренирования ликвора
- Избежание использования биполярной коагуляции вблизи нервов и слухового прохода
- Идентификация всех черепно-мозговых нервов
- Пофрагмен гное удаление опухоли без какой-либо тракции нервов
- Герметичное ушивание ТМО с дополнительной вставкой
- Установка на место костного лоскута.
3. Дополнительные полезные мероприятия:
- Перикардиальная или трансэзофагеальная ультрасонография для выявления воздушной эмболии
- Использование костного цемента для закрытия дефекта, если невозможна установка собственной кости.
4. Возможные хирургические осложнения:
- Ликворея (около 10-15%)
- Кровотечение (около 1-2%)
- Гидроцефалия (2-5%)
- Раневая инфекция (1-2%)
5. Особое примечание. Частота осложнений может превышать опубликованные показатели даже в опытных руках. Осложнения в виде ликворреи достаточно часты. Стереотаксическая радиохирургия применяется в случаях рецидива или остаточной опухоли, но не первично, так как размеры опухоли обычно слишком большие.

А. Петрокливальная менингиома слева.
Обращает на себя внимание растяжение опухолью каудальной группы нервов и смещение каудально задней нижней артерии мозжечка.
Б. Каудальная группа нервов после тотального удаления опухоли.
Редактор: Искандер Милевски. Дата обновления публикации: 18.3.2021
Менингиома: причины, диагностика и лечение
Менингиома — доброкачественная опухоль головного мозга и позвоночника, развивается из паутинной оболочки, окружающей нервные структуры. Составляет четвертую часть всех первичных новообразований мозга. Достаточно редко встречаются ее злокачественные формы — по разным данным 10-15% от всех выявленных случаев.
менингиома
Менингиома — доброкачественная опухоль головного мозга и позвоночника, развивается из паутинной оболочки, окружающей нервные структуры. Составляет четвертую часть всех первичных новообразований мозга. Достаточно редко встречаются ее злокачественные формы — по разным данным 10-15% от всех выявленных случаев.
Чаще всего менингиома является единичной опухолью, значительно реже диагностируют множественные опухоли, растущие из разных очагов и располагающиеся в разных зонах спинного или головного мозга.
Факторы риска
Точные причины развития опухоли неизвестны. Существуют факторы риска, которые могут привести к заболеванию:
- Возраст старше 40 лет. Чаще всего опухоль в головном или спинном мозге появляется в возрасте от 40 до 70 лет.
- Женский пол. Риск развития заболевания у женщин в 3 раза выше, что связано с влиянием на рост менингиомы женских половых гормонов. Однако у мужчин чаще встречаются злокачественные варианты опухоли.
- Ионизирующее излучение в высоких дозах, которое способствует возникновению различных внутричерепных опухолей. По последним исследованиям рост может спровоцировать и низкодозовое облучение.
- Генетические заболевания. Например, нейрофиброматоз 2 типа.
- Черепно-мозговые травмы или травмы позвоночника.
Симптомы менингиомы
Менингиома головного мозга и позвоночника, как и большинство доброкачественных опухолей, отличается медленным ростом и иногда протекает без выраженных симптомов. Бывает так, что опухоль становится случайной находкой во время МРТ или КТ головы.
Несмотря на доброкачественность, образование нарушает работу головного мозга.
Ее проявления разделяют на общемозговые, вызванные повышением внутричерепного давления, а также местные, возникающие при давлении опухоли на различные анатомические структуры головного или спинного мозга.
Среди общемозговых симптомов часто встречаются следующие:
- Головная боль, которая постепенно становится сильнее, обостряется ночью.
- Нарушение зрения, в частности двоение и потеря его остроты.
- Тошнота и рвота.
- Нарушение памяти, изменение психики.
- Эпилептические припадки.
- Слабость в руках или ногах, чаще с одной стороны.
- Головокружения, нарушения координации.
Основные признаки при различных локализациях опухоли:
- Односторонняя или двусторонняя слепота — при поражении бугорка турецкого седла.
- Нарушение обоняния и нарушения психики — при риноольфакторной форме.
- Слабость в ногах и нарушение мочеиспускания — симптом парасагитальной опухоли парацентральных локализаций.
- Глазодвигательные нарушения и двоение в глазах — при поражении крыла основной кости.
- Один глаз выпирает наружу (экзофтальм) — при новообразовании орбиты глаза.
- Нарушения речи и слуха — при локализации в височной доле.
- Слабость в руках и ногах — при опухоли в области большого затылочного отверстия.
Из-за многообразия симптомов часто возникают затруднения с постановкой диагноза. У пожилых пациентов проявления опухоли иногда связывают с возрастными изменениями мозга.
Классификация менингиом
В подавляющем большинстве случаев менингиома представляет собой доброкачественную опухоль, однако, возможны и злокачественные варианты.
Согласно действующей классификации ВОЗ, существует три типа менингиом:
- Grade-1 — 1-я степень злокачественности, составляет 94,5 % от всех случаев. Это доброкачественные, медленно растущие образования, не поражающие окружающие ткани. Характеризуются благоприятным прогнозом и низкой частотой рецидивов.
- Grade-2 — 2-я степень злокачественности, 4,7 % случаев. Характеризуются более агрессивным и быстрым ростом, высокой частотой рецидивирования и менее благоприятным прогнозом.
- Grade-3 — 3-я степень злокачественности, 1% случаев. Злокачественные новообразования с неблагоприятным прогнозом, высокой частотой рецидивирования, быстро растущие и вовлекающие окружающие ткани мозга в процесс.
Методика лечения опухолей головного и спинного мозга, а также прогноз выживаемости зависят от степени злокачественности, расположения и размера.
Диагностика менингиомы
Диагноз ставится по данным КТ, МРТ или ПЭТ/КТ. МРТ с контрастом считается наиболее информативным методом для обнаружения доброкачественных менингиом позвоночника и головного мозга. Оно позволяет увидеть взаимоотношение опухоли с окружающими тканями и оценить состояние сосудов. КТ выявляет до 90% опухолей, показывает изменения костей и кальцинаты в новообразовании.
ПЭТ/КТ применяют для обнаружения злокачественных форм, обследование помогает оценить скорость обмена веществ в опухоли, а значит определить вероятность ее злокачественного перерождения.
Нужна дополнительная информация по ПЭТ КТ диагностике? Получите бесплатную консультацию наших специалистов
Лечение менингиомы
Существует несколько методов лечения заболевания:
- хирургическое удаление менингиомы — оперативное лечение позволяет удалить опухоль, но может быть травматичным для пациента. Исход операции зависит от близости новообразования к жизненно важным структурам головного мозга. При доброкачественных формах, как правило, удается добиться полного излечения.
- классическая лучевая терапия — малоэффективна для лечения опухоли. При ее использовании могут повреждаться соседние участки головного мозга и спинной мозг при новообразованиях позвоночника. Иногда используется совместно с хирургическим удалением, чтобы разрушить очаги в неоперабельных зонах или снизить риск рецидива.
- лучевая терапия на установке Кибер-Нож — современный и малотравматичный метод лечения образований размером до 3.5-4 см. На опухоль воздействуют направленным потоком ионизирующего излучения. Окружающие ткани при этом практически не повреждаются.

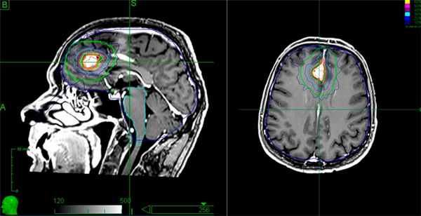
Лечение менингиомы. Этапы подготовки мишени для облучения на системе "Кибер-нож”
Кибер-Нож позволяет удалить опухоль без боли и повреждения важных структур мозга. Процедура проводится в амбулаторных условиях без госпитализации пациента, после терапии пациент сразу может ехать домой. В ПЭТ-центре план лечения составляется врачами радиологом и онкологом, что позволяет выбрать наиболее эффективную тактику для конкретного пациента.
Лечение на Кибер-Ноже в Уфе доступно не только для жителей региона, но и для иногородних и иностранных пациентов — для них разработаны специальные программы.
Остались вопросы по лечению на Кибер-ноже? Вы можете получить бесплатную консультацию наших специалистов.
Последствия и прогноз
В случае, когда у пациента была выявлена доброкачественная менингиома без прорастания в окружающие ткани, ее удаление часто означает полное выздоровление. Выживаемость пациентов в течение 5 лет составляет около 70-90%.
Однако даже доброкачественные образования могут рецидивировать в 3% случаях. Атипичные — рецидивируют в 38% случаях, злокачественные — в 78%. Тяжесть последствий зависит от размеров, расположения и злокачественности опухолевого очага.
Операция при менингиоме — что важно знать?
Хирургическое вмешательство — один из основных методов лечения менингиомы. Операция помогает полностью удалить опухоль и избежать ее рецидивов. Благодаря тому, что менингиома растет из мозговой оболочки, ее можно удалить не повреждая глубокие структуры мозга. В этой статье специалисты Mediglobus расскажут, как подготовиться к операции по удалению менингиомы головного мозга, и что важно знать о послеоперационном периоде.
Слушать статью:
Показания к операции при менингиоме головного мозга
Менингиома находится вдали от жизненно важных структур, имеет четкие границы. Если есть показания, доктора берутся и за удаление труднодоступных опухолей. Однако чаще всего такие менингиомы лечат с помощью КиберНожа или Гамма-ножа.
У пациента наблюдаются симптомы болезни. Когда опухоль слишком большая, она может сдавливать нервы и сосуды. У человека возникает головная боль и другие проявления заболевания.
Менингиома активно растет и имеет признаки злокачественности. В этом случае нужно удалить новообразование как можно быстрее. После операции врач назначает дополнительное лечение, чтобы избежать рецидивов.
Подготовка к удалению менингиомы
ОБРАТИТЬСЯ К ЭКСПЕРТАМ MEDIGLOBUS
Больше информации о лечение менингиомы за границей узнайте у наших координаторов. Мы ответим на все вопросы, касающиеся вашего медицинского случая.
Как проходит удаление менингиомы головного мозга?
Для удаления менингиомы проводят краниотомию (трепанацию) под общим наркозом. Сначала сбриваются волосы в операционном поле, обривание всей головы не обязательно. Далее специальными инструментами отделяют костный лоскут и работают с мозговой оболочкой. Доктора следят за состоянием мозговых сосудов, чтобы не повредить их. Нейронавигация помогает в этом.
Менингиому удаляют полностью, вместе с капсулой. Частичная операция показана только если опухоль находится рядом с жизненноважными структурами. После этого костный лоскут устанавливают на место и накладывают швы. Для лучшего приживления кости используют скобы (их снимают спустя неделю). Операция по удалению менингиомы головного мозга длится 2,5-3 часа.
Послеоперационный период и реабилитация
После операции при менингиоме пациент находится в реанимации на протяжении 6-12 часов. После этого человека переводят в палату. Приблизительное время госпитализации — 5 дней. Дренажи из раны извлекают уже на следующие сутки, скобы снимают через 5-7 дней. До снятия скоб нельзя мочить голову.
Последствия после операции при менингиоме головного мозга проявляются спустя 1-3 дня. Это могут быть: нарушения слуха, зрения; онемение частей тела; проблемы с координацией. У большинства пациентов осложнения проходят через 2 месяца.
Реабилитация после операции при менингиоме
Реабилитация длится около 2 месяцев. Ее цель — убрать послеоперационные осложнения и вернуть человека к нормальной жизни. Во время восстановления доктора рекомендуют избегать вождения автомобиля, контактных видов спорта, подъема тяжестей. Реабилитация последствий удаления менингиомы зависит от самочувствия пациентов и вида осложнений. Она включает:
регулярные консультации и обследования. После удаления менингиомы пациентам рекомендуют пройти повторное МРТ и энцефалографию, чтобы отслеживать изменения в работе мозга. Регулярное посещение врача поможет вовремя обнаружить проблемы и не допустить рецидивов;
физиотерапию, которая направлена на восстановление подвижности частей тела, снятие онемения, улучшение баланса и стабильности;
занятия с логопедом помогают восстановить правильную речь;
трудотерапию, которая заключается в занятиях творчеством (вязание, рисование, лепка). Это помогает пациенту быстро восстановить нормальную мозговую активность.

Прогноз после операции при менингиоме головного мозга
Эффективность лечения менингиомы с помощью операции — 85%. У такого количества пациентов не возникает рецидивов после процедуры. Прогноз после операции самый благоприятный для доброкачественной менингиомы. Такие опухоли дают рецидивы только в 3% случаев. Для атипичных и злокачественных опухолей этот показатель — 15-20%. Чтобы уменьшить вероятность повторного появления опухоли, врач назначает лучевую терапию или химиотерапию.
ЗАПИСЬ НА ЛЕЧЕНИЕ
Врачи-координаторы MediGlobus помогут выбрать клинику и доктора. Мы в кратчайшие сроки свяжемся с медучреждением и организуем поездку. При необходимости окажем помощь с переводом документов, визой и бронированием гостинницы.
Стоимость операции по удалению менингиомы

Цена операции при менингиоме головного мозга зависит от выбранной клиники и лечащего врача.
Для хирургического лечения менингиомы специалисты Mediglobus рекомендуют госпитали Израиля, Германии, Турции и Испании. В этих странах вмешательство проходит согласно международным и государственным протоколам.
Во время операции врачи используют современные микрохирургические техники и применяют системы нейронавигации. Это значит, что риск задеть здоровые структуры мозга очень мал.
Стоимость лечения менингиомы в Турции
Цены на лечение менингиомы в Израиле
Цены операции по удалению менингиомы в Германии
Сколько стоит лечение менингиомы мозга в Испании
Окончательная стоимость лечения менингиомы в иностранных клиниках зависит от методов, которые применяются для диагностики и терапии опухоли. При этом самая низкая цена операции по удалению менингиомы отмечается в турецких медцентрах, а также чешских и польских. На 30% дороже обойдется лечение этого новообразования в Южной Корее, и на 40-50% – в Израиле, Испании и Германии.
ЗАПИСЬ НА ОПЕРАЦИЮ
Записаться на операцию по удалению данной опухоли можно, заполнив форму ниже. Наши специалисты ответят в течение 30 минут. Оставляйте заявку!
Как правило стоимость удаления опухоли головного мозга за рубежом рассчитывается на основе системы тарифов, сформированных Министерством Здравоохранения той или иной страны. Например, в Германии стоимость лечения различных заболеваний четко регулируется Минздравом, а также Страховыми компаниями. Немаловажно, что для иностранных пациентов, которые приезжают в эту страну, лечение предоставляется лишь после внесения депозита.
КЛИНИКИ ДЛЯ УДАЛЕНИЯ МЕНИНГИОМЫ ЗА ГРАНИЦЕЙ
Клиника Медикана
Читать о клинике →
Больница Флоренс Найтингейл
Читать о клинике →
Униклиника Наварры
Читать о клинике →
Госпиталь Текнон
Читать о клинике →

Университетская клиника Кельна
Читать о клинике →
Университетская клиника Людвига-Максимилиана
Читать о клинике →
Медицинский центр Хаима Шибы
Читать о клинике →

Клиника Хадасса
Читать о клинике →

ЦЕНА ХИРУРГИЧЕСКОГО УДАЛЕНИЯ ОПУХОЛИ ГОЛОВНОГО МОЗГА
СТОИМОСТЬ ЛЕЧЕНИЯ МЕНИНГИОМЫ С ПОМОЩЬЮ УСТАНОВКИ КИБЕР-НОЖ
СКОЛЬКО СТОИТ ЛЕЧЕНИЕ МЕНИНГИОМЫ ГАММА-НОЖОМ
Отзывы об операции при менингиоме
Где проводилось: Медикана
Какая процедура: Хирургия менингиомы
Возраст пациентки: 45 лет
Пациентка из: Киева
Анна: “Меня удалили менингиому размером 7см. На ноги встала на 3-й день. У меня до операции плохо работала левая сторона тела. После стало получше, но левая нога так до конца не восстановилась. Хожу нормально, но брюки одеть могу только сидя. Остались проблемы с памятью. Но видела некоторых больных после операции. Они вообще сначала даже сидеть не могли. Но им помогали, каждый день “высаживали”, потом на ноги ставили. Каждый день легкая зарядка. Не думаю, что после такой болезни можно до конца восстановиться. Что я знаю точно, это то что гораздо важнее психологическая поддержка.”
Где проводилось: Униклиника Наварры
Какая процедура: Операция при менингиоме
Возраст пациентки: 43 года
Пациентка из: Одессы
Инга: “Мне 43 года. 4 марта 2015 г. мне удалили менингиому. До операции с врачом обсудили время операции, возможные осложнения. На следующий день уже встала. Но как предупреждали врачи, появилась слабость в правой стопе и колене. Швы сняли через 10 дней и выписали. После выписки поднималась на 2 этаж – все ступеньки были “мои”. Меня заносило на правую сторону. Но через месяц все восстановилось. Проблемы с памятью были в основном то,что недавно сказано и сделано. Профессиональная память сохранилась. Назначили противосудорожные препараты.”
Резюме
Менингиому удаляют хирургически, а также при помощи Кибер-Ножа и Гамма-Ножа. Операцию назначают при опухолях, которые быстро растут и дают неврологическую симптоматику.
Эффективность оперативного лечения менингиомы составляет более 85%. Доброкачественные опухоли удаляют без рецидивов в 97% случаев, а злокачественные – в 80%.
Для проведения хирургического вмешательства медицинские туристы выбирают клиники Турции, Испании, Германии, Израиля и Кореи. Особой популярностью пользуются клиники:
Начальная цена операции при менингиоме составляет $14,000. Радиохирургия данной опухоли стоит от $5,000.
ОРГАНИЗАЦИЯ ЛЕЧЕНИЯ МЕНИНГИОМЫ ЗА ГРАНИЦЕЙ
Для проведения операции по удалению менингиомы важно выбрать профессионального доктора и хорошую клинику. В этом помогут специалисты Mediglobus. Они посмотрят ваши документы, учтут все пожелания и выберут лучшее медицинское решение.
Менингиома головного мозга
Менингиомы – преимущественно доброкачественные новообразования, составляющие примерно 20% всех первичных опухолей головного мозга у мужчин и до 38% у женщин. Пик встречаемости наблюдается в возрасте 55-64 года.
Обычно, менингиомы представляют из себя медленно растущие, хорошо отграниченные опухоли, округлой формы. Исходной точкой роста являются мезодермальные клетки паутинной оболочки мозга, расположенные на верхушке т.н. пахионовых грануляций, поэтому наиболее часто менингиомы располагаются на конвекситальной и базальной поверхности мозга, в межполушарной щели, по намету мозжечка. Однако, встречаются и внутрижелудочковые и, даже, внутримозговые варианты менингиом, исходным источником роста которых являются периваскулярные арахноидальные клетки.
Решающее значение для начального развития менингиомы имеет потеря генетического материала от длинного плеча хромосомы 22
Наиболее распространенной является классификация Всемирной организации здравоохранения от 2010 г, разделяющая менингиомы на три основные группы: доброкачественные, атипические и злокачественные (анапластические), по числу митозов как основному отличию между атипическими и анапластическими формами.
До 60-70% менингиом развиваются вдоль фалькса (включая парасагитальные), по клиновидной кости (бугорок, площадка, наклоненные отростки, большие и малые крылья), над конвекситальной поверхностью больших полушарий. К другим локализациям относятся задняя поверхность пирамидки височной кости, Блюменбахов скат, намет мозжечка и прочие. Следует отметить, что по мере своего роста менингиомы могут вовлекать сразу нескольких соседних анатомических регионов, например, в сфенопетрокливальной области: крыло основной кости и кавернозный синус (средняя черепная ямка), верхушка пирамидки, передние отделы мостомозжечкового угла и Блюменбахов скат (задняя черепная ямка). Примерно в 8% случаев менингиомы могут иметь множественный характер (менинготелиоматоз), причем как в рамках наследственных заболеваний (нейрофиброматоз), так и спорадически
ДИАГНОСТИКА МЕНИНГИОМ
ПРЕДПОСЫЛКИ К ПРИМЕНЕНИЮ СТЕРЕОТАКСИЧЕСКОЙ РАДИОХИРУРГИИ В ЛЕЧЕНИИ ИНТРАКРАНИАЛЬНЫХ МЕНИНГИОМ
На сегодняшний день хирургическое удаление менингиом головного мозга является основным методом лечения в случае крупных и гигантских опухолей с признаками компрессии головного мозга, зрительных путей, ствола мозга, при наличии отчетливых общемозговых и локальных симптомов поражения мозга. Для оценки степени радикальности удаления опухоли Симпсоном предложена 5-бальная шкала
Фактически, полным удалением опухоли является только 1-2 степень радикальности. По логике, только в этом случае можно ожидать отсутствия рецидива опухоли в дальнейшем. В остальных случаях, заведомо остается тот или иной объем жизнеспособной опухолевой ткани, который обязательно будет увеличиваться дальше. Однако, как показывает практика, уровень рецидивирования менингиом даже при радикальности удаления Simpson I в течение первых 5 лет составляет около 8%, повышаясь за последущие 5-10 лет до 25%. При менее же радикальных удалениях (Simpson II и выше) вероятность рецидива опухоли может превышать 50%
Вероятность рецидива зависит не только от времени после операции, но также и от степени злокачественности опухоли, составляя для атипических и анапластических вариантов 38 и 78%, соответственно
Актуальным является остающийся достаточно высоким уровень функциональных нарушений, связанных с удалением опухолей, расположенных в функционально насыщенных и труднодоступных областях: верхнего сагиттального и кавернозного синусов, Блюменбахова ската, мосто-мозжечкового угла и других внутричерепных локализаций.
Трудности удаления менингиом головного мозга и высокий риск функциональных осложнений традиционно диктуют нейрохирургам выжидательную тактику, т.н. "wait & see" смысл которой заключается в динамическом наблюдении за опухолью и принятии решения об операции в ситуации, когда дальнейшее развитие новообразования начинает вызывать неврологические симптомы и влияет на качество жизни больного.
Однако, как и в случае с другими опухолями следует четко представлять возможные последствия данной тактики, о которых пациент должен быть информирован полностью и заранее.
Ниже приведен пример пациентки, которая наблюдалась в одном из ведущих нейрохирургических учреждений РФ на протяжении 8 лет. Исходно очевидно, что опухоль невозможно удалить радикально, не рискуя получить тяжелый неврологический дефицит, ввиду ее труднодоступной локализации и близости к сосудистым и невральным структурам основания мозга. За время наблюдения опухоль выросла в разы. И если в начале была возможность остановить рост опухоли проведением всего одного сеанса стереотаксической радиохирургии, то через 8 лет понадобился курс лучевой терапии из 30 сеансов на протяжении 1.5 месяцев
Рис. 1. Небольшая менингиома петрокливальной области, без компрессии ствола мозга на момент первичной диагностики. Зрительных нарушений нетРис. 2. Через 2 года - отмечается отчетливый рост опухоли с начальными признаками воздействия на ствол мозга и интимным прилежанием к левому зрительному тракту. Зрительных нарушений нет
Рис. 3. Через 6 лет. Многократное увеличение размеров опухоли с грубой компрессией ствола мозга и вовлечением в опухоль зрительных путей на большом протяжении. Грубое нарушение зрительных функций
В этой связи, актуальными являются альтернативные техники воздействия на опухоль, среди которых особое место занимает стереотаксическая радиохирургия аппаратом Гамма-нож, как наиболее апробированный метод, с отдаленными результатами лечения, изученными на больших когортах пациентов в течение длительного времени. Основными преимуществами радиохирургии менингиомы Гамма-ножом являются неинвазивность, возможность воздействия на хирургически труднодоступные и множественные опухоли, высокая эффективность и низкий риск осложнений.
Диаграмма 1. Соотношение различных видов внемозговых внутричерепных опухолей в радиохирургической практикеРис. 4. Менингиома сфенопетрокливальной области справа.
Уменьшение объема опухоли на 40% за 7 лет наблюдения после СРХГН
Рис. 5. Менингиома левого мосто-мозжечкового угла.
Уменьшение объема опухоли на 64% за 6 лет наблюдения после СРХГН
Рис. 6. Менингиома теменно-парасагиттальной области справа.
Уменьшение объема опухоли на 69% за 7 лет наблюдения после СРХГН
Радиохирургия менингиом головного мозга Гамма-ножом не является удалением опухоли в привычном смысле этого слова. Однако эффективность воздействия на опухоль сопоставима, а во многих случаях и превосходит эффективность хирургической операции. Радиохирургия имеет большое количество особенностей, зависящих от конкретной анатомической локализации, размеров опухоли, ее гистологической структуры, близости к функциональным сосудистым и невральным структурам мозга. Формат интернет-страницы не позволяет осветить это в полной мере. Остановлюсь лишь на вопросе целесообразности проведения радиохирургии Гамма-ножом тех менингиом, которые протекают бессимптомно.
В некоторых случаях менингиомы являются случайной находкой при прохождении планового обследования на СКТ/МРТ и не имеют очаговых симптоматических проявлений, либо, общемозговая симптоматика (например, головные боли) не может быть достоверно объяснена только наличием опухоли.
На сегодняшний день нет однозначного мнения относительно целесообразности СРХГН асимптоматических менингиом. Сторонники консервативного лечения (по сути – наблюдения в динамике) основывают свою позицию на данных литературы о том, что до 2/3 случайно выявленных менингиом при дальнейшем наблюдении не растут. Данный вывод сделан на основании линейно-метрического анализа КТ и МРТ данных 303 менингиом. Отмечается, что гипоинтенсивный сигнал от опухоли в Т2 ВИ по МРТ или гиперденсивный сигнал на КТ, соответствующие кальцинаты, так же, как и пожилой (старше 60 лет) возраст пациентов являются прогностическими факторами медленного роста или его отсутствия. В то же время, гиперинтенсивный сигнал в Т2 ВИ характерен для более активно растущих опухолей. Следует отметить, что все указанные исследования были проведены на основании анализа данных КТ и МРТ полученных в 90-х годах ХХ века и основывались на оценке изменений линейных размеров опухолей. Ростом образования считалось увеличение хотя бы одного линейного размера по крайней мере на 2 мм. Однако, максимально объективную оценку динамических изменений дает измерение объема опухоли. Для этого используется математическая обработка данных МРТ или СКТ в формате DICOM с помощью специализированного программного обеспечения. Для наглядности можно привести простой пример: объем шара диаметром 10 мм составляет 4.19 куб см, в то время как увеличение диаметра всего на 1 мм приведет к увеличению объема до 4.85 куб см (16%), а на 2 мм - уже до 5.58 куб см (33%). Таким образом, визуальная и даже линейно-метрическая оценка динамики развития опухоли обладает существенной субъективностью и погрешностью и не может рассматриваться как достоверное подтверждение отсутствия продолженного роста. Oya и соавт. (2011) опубликовали данные динамического наблюдения за пациентами с менингиомами различной интракраниальной локализации с применением линейного и волюметрического контроля. Средний период наблюдения в этой подгруппе составил 3,6 лет. Увеличение линейных размеров опухолей было отмечено в 44% (120 опухолей из 273), в то время как увеличение объема опухоли наблюдалось в 74,0% (114 из 154) случаев. Факторами, связанными с наибольшими ежегодными темпами роста, были мужской пол (р = 0,0002), начальный диаметр больше, чем 25 мм (р <0,0001), симптоматическое течение (р = 0,037), гиперинтенсивный сигнал от опухоли на Т2-взвешенных МРТ (р = 0,0001), и наличие перитуморального отека (р <0,0001).
Jo KW и соавт. сравнили преимущества и недостатки превентивного облучения бессимптомных менингиом и их консервативное «ведение». 5-летняя выживаемость без прогрессирования в первой группе (после СРХГН) составила 100%, в то время как во второй только 61.7%.
Salvetti и соавт (2012) проанализировали результаты лечения менингиом Гамма-ножом и установили, что показатели контроля роста опухоли составили 100%, 95,7%, и 95,7% в течение 2, 5 и 10 лет, соответственно. Контроль симптомов через 5 и 10 лет составил 97% и 93,1%, соответственно. В целом выживаемость без прогрессирования опухоли составила 91,1%, а 77,8% при 5 и 10 лет, соответственно. Таким образом, пациенты с бессимптомными менингиомами выигрывают от проведения профилактической радиохирургии на бессимптомной стадии в сравнении с пациентами, не получавшими никакого лечения. Кроме того, радиохирургия Гамма-ножом имеет в целом низкий риск развития осложнений.
Подытоживая вышесказанное, можно смело утверждать, что лечение менингиом головного мозга Гамма-ножом является высоко эффективным и в достаточной степени безопасным методом лечения. Показания и противопоказания к проведению радиохирургии должен определять специалист, имеющий как теоретическую, так и практическую подготовку в нейрохирургии и радиологии.
Читайте также:
