Нетуберкулезные микобактериальные инфекции
Добавил пользователь Владимир З. Обновлено: 27.01.2026
Нетуберкулезные микобактерии (НМБ) — группа из более чем 190 видов бактерий. Эти организмы распространены в почве и воде, и все чаще признаются возбудителями заболеваний человека. Клиническая картина большинства инфекций, вызванных НМБ, неспецифична, что часто приводит к запоздалой диагностике. Лечение также может быть затруднено: тестирование чувствительности к антибиотикам доступно не для всех видов НМБ, оптимальная дозировка препаратов неизвестна, и рекомендации основаны на мнениях врачей. Рассказываем, какие подходы к диагностике и лечению нетуберкулезных микобактериальных инфекций рекомендуют зарубежные сообщества.
Когда можно заподозрить нетуберкулезную микобактериальную инфекцию
Когда можно заподозрить нетуберкулезную микобактериальную инфекцию
Нет симптомов, которые помогли бы четко отличить НМБ инфекцию от других. Ее можно заподозрить у лиц с персистирующими симптомами: например, лихорадкой, респираторными симптомами, поражениями кожи, которые не реагируют на традиционную антибактериальную терапию.
Легочная НМБ инфекция продолжает оставаться наиболее частым клиническим проявлением, но есть и другие синдромы, которые классифицируются в зависимости от пораженной системы органов:
Распространенные синдромы нетуберкулезной микобактериальной инфекции
M. abscessus
M. fortuitum
M. szulgai
M. xenopi
M. celatum
M. asiaticum
M. shimoidei
дефицит α1 -антитрипсина
низкий ИМТ со сколиозом,
деформацией грудной клетки, пролапсом митрального клапана
курение или злоупотребление алкоголем
МАС
М. scrofulaceum
мужчины с раком легких
M. ulcerans
М. kansasii
купание в открытой воде
возможна связь с педикюром
М. marinum
MAС
M. abscessus
M. terrae
M. szulgai
M. malmoense
M. xenopi
M. kansasii
M. fortuitum
MAС
М. xenopi
М. chelonae
M. abscessus
Диссеминированное заболевание:
Лихорадка неизвестного генеза
Гематогенные инфекции
Абсцессы
Перитонит
M. kansasii
M. chelonae
M. abscessus
M. haemophilum M. scrofulaceum
тяжелая иммуносупрессия:
ВИЧ-инфекция/СПИД (количество CD4
трансплантация паренхиматозных органов или трансплантация стволовых клеток
длительно, высокие дозы стероидов
Методы диагностики
Методы диагностики
Патогномоничных тестов для диагностики НМБ инфекций не существует. Диагноз требует совпадения клинического синдрома с рентгенологическими данными и микробиологического подтверждения возбудителя. Сбор и тестирование образцов может потребоваться повторить несколько раз, чтобы подтвердить или исключить диагноз НМБ инфекции. Из-за этого результаты исследований стоит интерпретировать после консультации со специалистами, имеющими опыт лечения НМБ инфекций, особенно если микробиологические результаты не соответствуют клинической картине.
Микробиологическая диагностика. Образцы для микробиологического исследования могут быть получены практически из любой ткани или органа, где подозревается инфекция. НМБ широко распространены в окружающей среде: их можно обнаружить в почве и воде, в том числе в системах водоснабжения. Поэтому необходимо избегать загрязнения биологических образцов, чтобы не получить ложноположительные результаты.
Американским торакальным обществом (ATS) и Американским обществом инфекционных заболеваний (IDSA) для диагностики легочной формы НМБ инфекции рекомендовано проводить как минимум два посева мокроты. Индукцию или бронхоскопию можно проводить у пациентов, которые не могут откашливать мокроту.
Оптимальный интервал между сборами проб неизвестен, но рекомендуется разделение не менее чем на неделю, чтобы загрязнение окружающей среды не мешало диагностике. Биопсия легкого редко описывается как необходимая для диагностики, но она может предоставить дополнительные гистопатологические данные, такие как образование гранулем.
При нелегочном заболевании источник образцов для исследований определяется местом поражения. Например, при лимфадените может потребоваться биопсия, при диссеминации НМБ можно использовать посев крови, при наличии цитопении для диагностики может потребоваться биопсия костного мозга или печени. Важно отметить, что кожные инфекции лучше оценивать с помощью биопсии, а не взятия мазков с поверхности кожи, поскольку мазки могут отражать воздействие окружающей среды, а не инфекцию.
Нет установленных рекомендаций по окрашиванию НМБ, потому что невозможно отличить туберкулезные и нетуберкулезные виды микобактерий только на основе окрашивания. Поэтому для идентификации быстро и медленно растущих видов НМБ рекомендуется культивирование микобактерий на питательной среде, что считается «золотым стандартом» диагностики.
Идентификация конкретных видов НМБ в клиническом образце имеет решающее значение, поскольку схемы лечения отличаются для разных штаммов НМБ. Поэтому клинические образцы нужно культивировать, а затем применять дополнительные методы тестирования для идентификации вида. Для этого используют биохимические тесты:
- тест на накопление ниацина;
- тест на арилсульфатазу;
- тест на восстановление нитратов;
- оценка каталазы;
- рост в агаровой среде МакКонки;
- тест на п-нитробензойную кислоту (PNB).
Молекулярно-биологическая диагностика. Молекулярно-биологическая диагностика позволяет быстро отличить туберкулезные бактерии от нетуберкулезных, а также идентифицировать вид НМБ. Используется сравнительно недавно, имеет большие перспективы, но пока ее рекомендуют проводить только после культивирования.
Метод секвенирования на основе ПЦР стал предпочтительным для идентификации видов микобактерий. В этом методе ген, кодирующий 16S рибосомную РНК, чаще всего подвергается амплификации и секвенированию. Но пока не все виды можно идентифицировать с помощью этого метода, потому что некоторые из них имеют тесную генетическую связь.
Матричная лазерная десорбция/ионизационно-времяпролетная масс-спектрометрия (MALDI-TOF-MS) на основе анализа консервативных белков — еще одна техника для идентификации видов НМБ. MALDI-TOF-MS считается наиболее быстрой техникой, которая идентифицирует около 160 видов. Однако, как и другие методы, MALDI-TOF-MS также не может идентифицировать тесно связанные виды НМБ.
Набор для быстрого иммунохроматографического теста (ICT) используется для дифференциации микобактерий туберкулеза от НМБ. Этот анализ занимает менее 30 минут, не требует специальной аппаратуры или подготовки образцов, а также был тщательно оценен на предмет его надежной работы.
Для идентификации видов НМБ также используется высокоэффективная жидкостная хроматография (ВЭЖХ), при которой анализируются миколовые кислоты — тип жирных кислот клеточной стенки микобактерий. Метод ВЭЖХ обладает высокой видовой специфичностью и позволяет дифференцировать 99,5% микобактерий, культивируемых из клинических образцов, и 95,6% видов НМБ.
Гистологическое исследование. У большинства пациентов диагноз легочной формы НМБ инфекции можно поставить без взятия биопсии. Но диагностика внелегочных форм обычно требует получения образца ткани.
Гистологическим признаком микобактериального заболевания является некротизирующее или ненекротизирующее гранулематозное воспаление с присутствием НМБ. Одного образца ткани с этими характеристиками достаточно, чтобы подтвердить диагноз НМБ.
Рентгенодиагностика. При инфицировании НМБ в легких обычно встречаются два рентгенологических паттерна: фиброзно-кавернозная болезнь и узловатая бронхоэктатическая болезнь, или комбинация этих двух рентгенографических картин.
Фиброзно-кавернозная форма обычно возникает у мужчин среднего или пожилого возраста с сопутствующими заболеваниями легких, такими как ХОБЛ или пневмокониоз. Рентгенологическая картина НМБ характеризуется преобладанием поражения верхней доли легкого, полостями с тонкими или толстыми стенками и плевральными утолщениями. В то время как при туберкулезе обычно имеет место кальцифицированная лимфаденопатия и связанные с ней паренхиматозные инфильтраты, которых нет при НМБ инфекции. Тем не менее, рентгенологические данные сами по себе не должны использоваться для дифференциации этих инфекций.

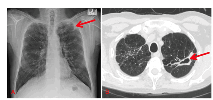
Рентгенограммы пациентов с фиброзно-кавернозным вариантом течения НМБ инфекции.
A. Рентгенограмма грудной клетки, красная стрелка указывает на левостороннюю апикальную тонкостенную полость с окружающей плевральной реакцией. Фоновая архитектура легких имеет увеличенные ретикулярные отметины, соответствующие рубцеванию.
B. Компьютерная томография грудной клетки, аксиальный срез: красная стрелка указывает на толстостенное полостное образование в левой верхней доле. Источник
Злокачественные новообразования легких, грибковые инфекции и легочные васкулиты могут иметь схожие рентгенологические признаки. Поэтому необходима клиническая, рентгенографическая, микробиологическая и, иногда, гистологическая корреляция.
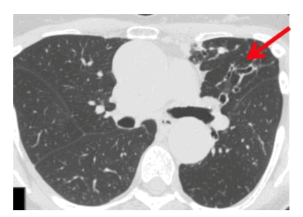
Узловая бронхоэктатическая болезнь легких обычно проявляется у пожилых, худых женщин и сопровождается воронкообразной деформацией грудной клетки, сколиозом и пролапсом митрального клапана. Узловые бронхоэктазы могут визуализироваться на рентгенограмме грудной клетки как «трамвайные следы» с микроузелками, но лучше всего они видны во время компьютерной томографии грудной клетки с высоким разрешением. На КТ бронхоэктазы имеют цилиндрическую форму с ветвящимися центрилобулярными узелками («дерево в зародыше»). Эти изменения обычно двусторонние, но преимущественно затрагивают язычковую и правую среднюю долю.

На компьютерной томографии органов грудной клетки с высоким разрешением видны узловые бронхоэктазы, которые поражают язычковую долю. Источник
В целом эти рентгенологические признаки также неспецифичны и могут наблюдаться при аспирации и других бактериальных инфекциях.
Диагностический алгоритм
Диагностический алгоритм
Приблизительно одна треть видов НМБ потенциально патогенна для человека. Если во время диагностики возникают подозрения на НМБ инфекцию, то следует проверить, подходит ли заболевание под критерии:
- Легочные симптомы, узловые или полостные затемнения на рентгенограмме грудной клетки или КТ высокого разрешения, которые показывают мультифокальные бронхоэктазы с множественными узелками;
- Положительный результат посева, по крайней мере, из двух отдельных образцов отхаркиваемой мокроты. Для этого нужно последовательно взять три образца мокроты. Во время сбора мокроты пациент не должен полоскать рот водопроводной или неочищенной водой. Следует собрать спонтанную мокроту или индуцировать мокроту, если у пациента не выделяется мокрота;
- Другие заболевания, такие как туберкулез и грибковые инфекции исключены.
Если заболевание подходит под три критерия, для подтверждения диагноза НМБ инфекции врачи рекомендуют придерживаться следующего алгоритма:

Тест на лекарственную чувствительность
Тест на лекарственную чувствительность
После идентификации вида микобактерий определяют их чувствительность к лекарственным препаратам для разработки плана лечения.
Институт клинических и лабораторных стандартов, Американское общество инфекционных болезней и Американское торакальное общество опубликовали критерии определения чувствительности к противомикробным препаратам (AST).
Согласно их рекомендациям, «золотой стандарт» определения чувствительности к антибиотикам — посев и выращивание с помощью микроразведений в бульоне.
Врачи должны осознавать, что цель этого тестирования состоит в том, чтобы направлять, а не диктовать терапию, поскольку для большинства НМБ не установлено пороговое значение дозировки антибиотика.
Принципы лечения
Принципы лечения
Существуют согласованные рекомендации по антимикробной терапии инфекций, вызванных НМБ. Они основаны на ограниченных данных и мнениях экспертов, а не на данных исследований, но в них можно выделить моменты, на которые можно опираться для составления плана лечения:
- антимикобактериальную терапию следует предлагать только при соблюдении клинических, рентгенологических и микробиологических критериев диагностики инфекций, вызванных НМБ;
- оптимальный план лечения должны составлять совместно врачи-инфекционисты, пульмонологи, фармацевты, микробиологи, рентгенологи, терапевты и диетологи;
- антибиотики, которые в настоящее время используют для лечения НМБ инфекций, не разрабатывались специально для этой цели. Их польза была выявлена в результате демонстрации активности in vitro или на животных моделях, тестирования чувствительности к лекарственным средствам и наблюдений из клинической практики.
Основные препараты, которые рекомендованы для лечения взрослых с НМБ инфекцией:
Пиридоксин 25–50 мг/день вместе с изониазидом назначают лицам с риском нейропатии
1000 мг (вес 40–55 кг)
1500 мг (вес 56–75 кг)
2000 мг (вес 76–90 кг)
800 мг (вес 40–55 кг)
1200 мг (вес 56–75 кг)
1600 мг (вес 76–90 кг)
Амикацин/канамицин (в/м или в/в)
Парааминосалициловая кислота (перорально или внутривенно)
Количество и дозировка противомикробных препаратов, необходимых для лечения НМБ инфекции, зависит от тяжести заболевания. Из-за побочных эффектов препараты часто назначают в минимальной дозировке и титруют до полных доз поэтапно — для улучшения переносимости и соблюдения режима лекарственной терапии.
Лечение часто проводится в два этапа:
- Начальная фаза с большим количеством лекарств, часто включая внутривенное введение. Продолжительность начальной фазы терапии варьируется в пределах 1-3 месяцев.
- Поддерживающая фаза с меньшим количеством лекарств и, когда это возможно, полностью пероральный режим приема.
Оптимальная продолжительность лечения отдельных видов НМБ инфекций неизвестна. Как правило лечение продлевается: от 3-4 месяцев при ограниченных инфекциях кожи и мягких тканей до 12 месяцев и дольше при тяжелых легочных и диссеминированных инфекциях.
Факторы, влияющие на решение о прекращении приема противомикробных препаратов, включают клинический, микробиологический и рентгенологический ответ на лечение, а также переносимость схемы лечения. Например, лекарственная терапия легочной формы инфекции должна продолжаться в течение 12 месяцев после положительного посева.
Дополнительные методы лечения НМБ инфекций
Дополнительные методы лечения НМБ инфекций
Снижение иммуносупрессии. Иммуносупрессивная терапия, например, ингаляционные кортикостероиды и ингибиторы ФНО-альфа, увеличивает риск заболевания, вызванного НМБ. Поэтому может быть полезно уменьшение или прекращение приема иммунодепрессантов. Для пациентов, которым необходимо продолжать прием иммуносупрессивных препаратов, следует рассмотреть небиологические препараты, такие как метотрексат, и препараты с низким риском, такие как абатацепт.
Хирургическая резекция. При внелегочных НМБ инфекциях, таких как инфекции кожи/мягких тканей, опорно-двигательного аппарата и лимфадените, хирургические вмешательства часто необходимы. Речь идет о таких видах хирургического лечения, как иссечение и дренирование абсцессов.
В случае легочной формы, хирургическая резекция возможна только по показаниям: если медикаментозная терапия неэффективна или необходимо облегчение опасных для жизни симптомов, таких как кровохарканье. Медикаментозная терапия и медицинские вмешательства должны предшествовать хирургическому вмешательству и продолжаться после него.
Гамма интерферон. Интерферон-γ — цитокин, продуцируемый CD4+ лимфоцитами. Он играет важную роль в защите от микобактерий посредством активации макрофагов. В небольших исследованиях у некоторых пациентов, предрасположенных к НМБ инфекции, ученые выявили дефицит ИНФ-γ. Поэтому лечение с помощью гамма интерферона можно предложить для лечения отдельных пациентов без ВИЧ с прогрессирующей, рефрактерной НМБ инфекцией и доказанным дефицитом ИНФ-γ.
Немедикаментозные вмешательства. Помимо антимикробной терапии, немедикаментозные вмешательства могут способствовать облегчению симптомов и улучшению качества жизни пациентов с инфекциями, вызванными НМБ. Эти вмешательства включают:
Нетуберкулёзные микобактериальные инфекции
Другие микобактерии, кроме туберкулезной палочки, иногда заражают людей. Эти возбудители (называемые нетуберкулезными бактериями) обычно присутствуют в почве и воде и являются намного менее вирулентными для людей, чем Mycobacterium tuberculosis. Инфекции, вызванные этими организмами, называют нетипичными инфекциями окружающей среды и нетуберкулезными микобактериальными инфекциями.
Большинство заражений и инфицирований этими организмами не вызывают заболевания, которому обычно требуется дефект в местных или системных защитных силах хозяина; ослабленные пожилые люди и люди с ослабленным иммунитетом находятся в группе самого высокого риска. M. aviumM. avium комплекс (MAC) — при большинстве заболеваний подсчет возбудителей близкородственных видов M. avium и M. intracellulare. К другим видам, являющимся причиной заболеваний, относятся M. kansasii, M. xenopi, M. marinum, M. ulcerans, M. fortuitum, M. abscessus и M. chelonae. Передача от человека к человеку не была документирована.
Легкие – наиболее распространенное место поражения; большинство этих легочных инфекций вызваны МАК, но могут быть связаны и с M. kansasii, M. xenopi и M. abscessus. В отдельных случаях поражаются лимфоузлы, кости и суставы, кожа и раны. Однако заболеваемость диссеминированным заболеванием МАК возрастает у ВИЧ-инфицированных пациентов, а резистентность к противотуберкулёзным препаратам является нормой (кроме M. kansasii и M. xenopi).
Диагностика нетуберкулезной микобактериальной инфекции, как правило, осуществляется с помощью окраски по Цилю-Нильсену и бактериологическому анализу образцов.
По нетуберкулезным микобактериальным инфекциям лучше всего обращаться к специалисту в этой области. The American Thoracic SocietyАмериканское общество специалистов по заболеваниям грудной клетки (The American Thoracic Society) издает обновленные руководства по диагностике и терапии этих инфекций.
Заболевания легких
Типичным пациентом является женщина среднего или пожилого возраста с расширением бронхов, сколиозом, деформацией грудной клетки или пролабированием створок митрального клапана, но без известных фоновых патологий легких. MAC также вызывает заболевания легких у белых мужчин среднего или пожилого возраста, имеющих проблемы с легкими в анамнезе, такие как хронический бронхит Хроническая обструктивная болезнь легких (ХОБЛ) , пролеченный туберкулез, расширение бронхов Бронхоэктазы Бронхоэктазы представляют собой расширение и деструкцию крупных бронхов, вызванные хронической инфекцией и воспалением. Частые причины – муковисцидоз, иммунные нарушения и рецидивирующие инфекции. Прочитайте дополнительные сведения . Не всегда бывает ясно вызывает ли MAC бронхоэктазы или бронхоэктазы приводят к MAC. У пожилых, худощавых женщин с хроническим непродуктивным кашлем, этот синдром часто называется синдром леди Уиндермир; похоже, увеличение частоты его встречаемости происходит по неизвестным причинам.
Кашель и откашливание распространены, часто связаны с утомляемостью, потерей веса и небольшой лихорадкой. Течение заболевания может медленно прогрессировать или быть устойчивым в течение длительных периодов. Дыхательная недостаточность и постоянное кровохарканье может прогрессировать. Фиброзно-очаговые инфильтраты при рентгенографии грудной клетки такие же, как и при легочном туберкулезе, но реинфекция имеет тенденцию быть тонкостенной, и плевральные выпоты наблюдаются. Так называемые инфильтраты «дерево с набухшими почками», обнаруживаемые при КТ грудной клетки, также характерны для болезни, обусловленной MAC.
Анализ мокроты и бакпосев выполняются для выявления микобактериозов и для дифференциальной диагностики МАК-инфекции и туберкулеза.
Определение восприимчивости препарата может быть полезным для определенного микроорганизма/сочетаний лекарств, но может быть сделано только в узкоспециализированных лабораториях. Для MAC восприимчивость к кларитромицину является предиктором терапевтического ответа.
При умеренной симптоматике с положительными результатами микроскопии мазка мокроты и бактериологического анализа применяют кларитромицин 500 мг перорально 2 раза/день или азитромицин 600 мг перорально 1 раз/день, рифампин 600 мг перорально 1 раз/день и этамбутол 15–25 мг/кг перорально 1 раз/день в течение 12–18 месяцев, или, пока результаты бактериологического анализа не станут отрицательными - на протяжении 12 месяцев.
При прогрессирующих случаях, без реакции на стандартные препараты, можно пробовать комбинации из 4–6 препаратов, которые включают кларитромицин 500 мг перорально 2 раза/день или азитромицин 600 мг перорально 1 раз/день, рифабутин 300 мг перорально 1 раз/день, ципрофлоксацин 250–500 мг перорально или внутривенно 2 раза/день, клофазимин 100–200 мг перорально 1 раз/день и амикацин 10–15 мг/кг внутривенно 1 раз/день.
Резекция рекомендуется в исключительных случаях, включая четко локализованное заболевание у молодых, в остальном здоровых пациентов.
Инфекции, вызываемые M. kansasii и M. xenopi, поддаются лечению изониазидом, рифабутином и этамбутолом с или без назначения стрептомицина или кларитромицина в течение 18–24 мес. Инфекции, вызываемые M. abscessus, лечат с назначением 3 лекарственных средств: амикацина, имипенема или цефокситина и макролидов перорально.
Все нетуберкулезные микобактерии являются стойкими по отношению к пиразинамиду.
Лимфаденит
У детей возрастом 1–5 лет хронический верхнечелюстной и нижнечелюстной шейный лимфаденит обычно вызывается комплексом M. Avium или M. scrofulaceum. Передается, по-видимому, при приеме с пищей организмов, находящихся в почве.
Диагноз обычно ставится по биопсии иссечения.
Обычно вырезание является соответствующим лечением и химиотерапия не требуется.
Заболевание, поражающее кожу
Гранулема пловцов является затяжным, но самоограничивающимся поверхностным гранулематозным заболеванием с образованием язв; как правило, вызывается M. marinum, связано с купанием в загрязненных бассейнах или очисткой домашнего аквариума. Иногда бывают вовлечены M. ulcerans и M. kansasii. Поражения выглядят как красноватые подтеки, которые увеличиваются и становятся фиолетовыми, наиболее часто появляются на верхних конечностях или коленях. Выздоровление может произойти спонтанно, но против M. marinum эффективны миноциклин или доксициклин 100–200 мг перорально 1 раз/день, кларитромицин 500 мг перорально 2 раза/день или рифампин плюс этамбутол в течение 3–6 месяцев.
Заболевание язвой Бурули, вызываемой M. ulcerans, происходит в сельской местности в более чем 30 тропических и субтропических стран: большинство случаев приходится на Западную и Центральную Африку. Она начинается как подкожный безболезненный узелок, большая безболезненная уплотненная область или диффузный безболезненный отек ног, рук или лица. Инфекция прогрессирует, вызывая значительное разрушение кожи и мягких тканей, на ногах или руках могут образовываться обширные язвы. Исцеление может привести к тяжелой контрактуре, рубцам и деформациям. Для диагностики следует использовать ПЦР. ВОЗ рекомендует проведение в течение 8 недель 1 раз/день комбинированной терапии рифампином 10 мг/кг перорально плюс либо стрептомицин 15 мг/кг внутримышечно, либо кларитромицин 7,5 мг/кг перорально (предпочтительно во время беременности), либо моксифлоксацин 400 мг перорально.
Раны и инфекции, связанные с инородным телом
Нетуберкулезные микобактерии образуют биопленки, местом обитания этих бактерий являются системы водоснабжения в жилых, офисных и медицинских учреждениях. Их трудно искоренить с помощью общих методов обеззараживания (например, с использованием хлора, ртутьорганических соединений или щелочного глутаральдегида).
Быстрорастущие нетуберкулезные микобактерии (M. fortuitum complex, M. chelonae, M. abscessus complex) могут вызывать внутрибольничные вспышки инфекций, как правило, при инъекциях зараженных растворов, загрязнении ран нестерильной водой, использовании зараженных инструментов или имплантации зараженных устройств. Заражение этими инфекциями возможно и после косметических процедур, иглоукалывания или при нанесении татуировок. M. fortuitum complex вызывает серьезные инфекции в виде проникающих ран глаз и кожи (особенно на ногах), при татуаже, а также у пациентов, получивших зараженные материалы (например, сердечные свиные клапаны, имплантаты груди, костный воск).
Лечение обычно требует обширной санации и удаления инородного материала. Используемые препараты включают
Имипенем 1 г внутривенно каждые 6 часов
Левофлоксацин 500 мг внутривенно или перорально 1 раз/день
Кларитромицин 500 мг перорально 2 раза в день
Триметоприм/сульфаметоксазол форте 1 таблетка перорально 2 раза в день
Доксициклин 100-200 мг перорально 1 раз/день
Цефокситин 2 г внутривенно каждые 6-8 ч
Амикацин 10-15 мг/кг внутривенно 1 раз/день
При комбинированной терапии рекомендуется назначение, по крайней мере, 2 лекарственных средств, активных in vitro по отношению к возбудителям. Продолжительность терапии составляет в среднем 24 месяца и может длиться дольше, если инфекция остается в теле. Амикацин обычно добавляется в схему лечения в течение первых 3–6 месяцев. Инфекционные заболевания, вызванные M. abscessus и M. chelonae, обычно являются устойчивыми к большинству антибиотиков, и их чрезвычайно трудно или невозможно вылечить, ими должен заниматься опытный специалист.
Диссеминированная форма заболевания
Комплекс Avium (MAC) обычно вызывает диссеминированное заболевание у пациентов с прогрессирующим СПИДом и иногда у людей с ослабленным иммунитетом, включая состояние после трансплантации органа и лейкоз ворсистых клеток. У больных СПИДом такое диссеминированное состояние обычно развивается поздно (в отличие от туберкулеза, который развивается рано), одновременно с другими оппортунистическими инфекциями.
Диссеминированное заболевание, обусловленное комплексом МАК, вызывает лихорадку, анемию, тромбоцитопению, диарею и боль в животе (симптомы похожи на болезнь Уиппла).
Диагноз диссеминированного заболевания, обусловленного комплексом Mycobacterium avian, может быть подтвержден выделением культуры из крови или костного мозга или биопсией (например, перкутанная биопсия печени или некротических лимфоузлов). Микроорганизмы могут быть выделены и идентифицированы в стуле и респираторных органах, но в этих случаях находки могут свидетельствовать скорее о колонизации, чем о настоящем заболевании.
Комбинированная терапия при бактериемии обычно включает 2–3 лекарственных средства. Первое – это кларитромицин 500 мг перорально 2 раза/день или азитромицин 600 мг перорально 1 раз/день, плюс этамбутол 15–25 мг/кг 1 раз/день. Иногда также назначают рифабутин 300 мг 1 раз/день. После успешного лечения необходимо длительное применение кларитромицина или азитромицина с этамбутолом, чтобы предотвратить рецидив.
ВИЧ-инфицированные пациенты, которые не были диагностированы до представления диссеминированного МАК, должны перед началом антиретровирусной терапии получать в течение 2 недель антимикобактериальную терапию для уменьшения риска развития воспалительного синдрома восстановления иммунитета Воспалительный синдром восстановления иммунной системы (ВСВИС) Инфекция вирусом иммунодефицита человека (ВИЧ) вызывается одним из 2 похожих ретровирусов (ВИЧ-1 и ВИЧ-2), которые разрушают CD4+ лимфоциты и ослабляют клеточный иммунитет, увеличивая риск оппортунистических. Прочитайте дополнительные сведенияИнфицированные ВИЧ пациенты с показателями CD4 100 клеток/мкл нуждаются в профилактике диссеминированного МАК с применением азитромицина 1,2 г перорально 1 раз/неделю или кларитромицина 500 мг перорально два раза в день.
Дополнительная информация
The American Thoracic Society: An Official ATS/IDSA Statement: Diagnosis, Treatment, and Prevention of Nontuberculous Mycobacterial Diseases
Авторское право © 2022 Merck & Co., Inc., Rahway, NJ, США и ее аффилированные лица. Все права сохранены.
Нетуберкулезные микобактерии у пациентов с заболеваниями органов дыхания (клинико-лабораторное исследование)
При повсеместном росте заболеваемости микобактериозами требуется тщательное изучение этого заболевания с целью разработки алгоритмов диагностики, лечения и наблюдения. Ведущим методом диагностики микобактериозов является микробиологическое исследование биологического материала (мокрота, бронхоальвеолярная лаважная жидкость, операционный материал). Показано, что пациенты с местным иммунодефицитом – хронической обструктивной болезнью легких, бронхоэктазами, муковисцидозом, пневмокониозами и другими заболеваниями органов дыхания, длительно получающие системные глюкокортикостероиды, страдающие туберкулезом, а также лица, излеченные от туберкулеза, являются особой группой риска по заболеванию микобактериозом.
Ключевые слова
Об авторах
ФГБНУ «Центральный научно&исследовательский институт туберкулеза»: 107564, Москва, Яузская аллея, 2
Россия
д. м. н., профессор, директор ФГБНУ «Центральный научноисследовательский институт туберкулеза»; тел.: (909) 6284530
ФГБНУ «Центральный научно&исследовательский институт туберкулеза»: 107564, Москва, Яузская аллея, 2
Россия
д. м. н., профессор, зав. отделом дифференциальной диагностики ФГБНУ «Центральный научноисследовательский институт туберкулеза»; тел.: (903) 1923274
ФГБНУ «Центральный научно&исследовательский институт туберкулеза»: 107564, Москва, Яузская аллея, 2
Россия
к. м. н, зав. общеклиническим отделом ФГБНУ «Центральный научноисследовательский институт туберкулеза»; тел.: (903) 7576508
ФГБНУ «Центральный научно&исследовательский институт туберкулеза»: 107564, Москва, Яузская аллея, 2
Россия
к. б. н., старший научный сотрудник лаборатории микробиологии ФГБНУ «Центральный научноисследовательский институт туберкулеза»; тел.: (499) 7859091
ФГБНУ «Центральный научно&исследовательский институт туберкулеза»: 107564, Москва, Яузская аллея, 2
Россия
д. б. н., профессор, зав. лабораторией микробиологии ФГНБУ «Центральный научноисследовательский институт туберкулеза»; тел.: (499) 7859091
Список литературы
1. Timpe A., Runyon E.H. The relationship of atypical acidfast bacteria to human disease; a preliminary report. J. Lab. Clin. Med. 1954; 44 (2): 202–209.
2. Оттен Т.Ф. Особенности бактериологической диагностики и этиотропной терапии микобактериозов легких:Дисс. … д"ра мед. наук. СПб; 1994.
3. Prevos R., Marras T.K. Epidemiologi of human pulmonary infection with Nontuberculous Mycobacteria. In: Gwen A.H., Daley C.L., ed. Nontuberculous Mycobacteria: An Issue of Clinics in Chest Medicine. Elsevier Health Sciences; 2015: 13–31.
4. Daley C.L., Griffith D.E. Pulmonary non"tuberculous mycobacterial infections. Int. J. Tuberc. Lung. Dis. 2010; 14 (6): 665–671.
5. Falkinham J.O. III. Environmental Sources of Nontuberculous Mycobacteria. In: Gwen A.H., Daley C.L., ed. Nontuberculous Mycobacteria: An Issue of Clinics in Chest Medicine. Elsevier Health Sciences; 2015: 35–41.
6. Гунтупова Л.Д., Борисов С.Е., Макарова М.В., Хачатурьянц Е.Н. Микобактериозы органов дыхания: эпидемиология, микробиологические и клинические аспекты диагностики. Эпидемиология и инфекционные болезни. 2012; 2: 8–14.
7. Winthrop K.L. et al. McNelley E., Kendall B. et al. Pulmonary nontuberculous mycobacterial disease prevalence and clinical features: an emerging public health disease. Am. J. Respir. Crit. Care Med. 2010; 182: 977–982.
8. Mani A.K., Kane G. Pulmonary Mycobacterium avium – intracellulare complex infection in the immunocompetent host. Pulm. Dis. Board Rev. Manual. 2003; 11 (part 1): 12.
9. Соломай Т.В. Эпидемиологические особенности микобактериозов, вызванных нетуберкулезными микобактериями. Санитарный врач. 2015; 3: 30.
10. Оттен Т.Ф. Микобактериоз. В кн.: Лабинская А.С., Волгина Е.Г., Ковалевая Е.П., ред. Руководство по медицинской микробиологии. Оппортуниститечкие инфекции: клинико"эпидемиологические аспекты. М.: Бином; 2014. Книга III; т. 2: 349–365.
11. Andrejak C., Nielsen R., Thomsen V. et al. Chronic respiratory disease, inhaled corticosteroidis and risk of non"tuberculosis mycobacteriosis. Thorax. 2013; 68 (3): 256–262.
12. Макарова М.В. Выделение и идендификация нетуберкулезных микобактерий у пациентов фтизиатрических учреждений: Дисс. … канд. мед. наук. М.; 2010.
13. Старкова Д.А. Mycobacterium avium – актуальный возбудитель микобактериоза человека. Инфекция и иммунитет. 2013; 3 (1): 29–30.
14. Литвинов В.И., Макарова М.В., Краснова М.А. Нетуберкулезные микобактерии и микобактериозы. Эпидемиология и инфекционные болезни. 2011; 6: 4–10.
15. van Ingen J., Bendien S.A., de Lange W.C. et al. Clinical relevance of nontuberculous mycobacteria isolated in the Nijmegen"Arnhem region, the Netherlands. Thorax. 2009;64: 502–506.
16. Griffith D.E., Aksamit T., Brown"Elliott B.A. et al. An official ATS/IDSA statement: diagnosis, treatment, and prevention of nontuberculous mycobacterial diseases. Am. J. Respir. Crit. Care Med. 2007; 175 (4): 367–416.
Микобактериоз как инфекция, связанная с оказанием медицинской помощи (обзор эпидемиологических исследований)
Введение. Инфекции, связанные с оказанием медицинской помощи, имеют большое социально-экономическое значение и характеризуются значительным количеством различных возбудителей. Нетуберкулезные микобактерии являются повсеместно распространенными микроорганизмами, которые могут циркулировать в медицинской организации. Цель настоящего обзора эпидемиологических исследований - определить особенности микобактериоза как инфекции, связанной с оказанием медицинской помощи, с учетом степени достоверности полученных результатов и соответствия эпидемиологических исследований критериям доказательной медицины. Методы. Были отобраны и проанализированы научные работы по поисковым электронным базам данных (Web of Science, PubMed, eLIBRARY и ResearchGate) согласно ключевым словам: Non-tuberculous Mycobacteria, Healthcare-associated Infections, Mycobacteriosis. Из 342 найденных источников авторами было отобрано 127 с учетом ключевых слов, после проведенного анализа отобранной литературы в настоящее исследование в соответствии с темой работы было включено 34 источника. Установлено, что нетуберкулезные микобактерии могут присутствовать в различных объектах медицинской организации. Например, в системах водоснабжения, изделиях медицинского назначения и медицинского оборудования (аппаратуре). Определено, что микобактериальная инфекция нозокомиальной этиологии может характеризоваться различными клиническими проявлениями (артриты, кератиты, болезни кровеносной системы, кожи и т. д.), что определяется разными аспектами, в том числе разнородностью группы нетуберкулезных микобактерий, входными воротами (хирургические вмешательства на различных органах и системах организма человека и т. д.), путями и факторами передачи. Отдельный вопрос представляет устойчивость нетуберкулезных микобактерий к ряду дезинфицирующих средств, что определяет актуальность углубленных исследований с позиции обеспечения санитарно-противоэпидемического (дезинфекционного) режима в структурных подразделениях медицинских организаций. Выводы. Выявленные факты показывают, что микобактериальная инфекция может рассматриваться как инфекция, связанная с оказанием медицинской помощи, что требует дальнейшей углубленной ее оценки с различных позиций: проведения микробиологического мониторинга объектов медицинской организации, статистического учета нозокомиальных инфекций, настороженности лечащих врачей и врачей-бактериологов при диагностике микобактериоза.
Ключевые слова
Об авторах
ФГБОУ ВО «Марийский государственный университет»; ФГБОУ ВО «Казанский государственный медицинский университет» Минздрава России
Россия
ФГБОУ ВО «Марийский государственный университет»; ГБУ РМЭ «Республиканский противотуберкулезный диспансер»
Россия
Список литературы
1. Акимкин В.Г., Тутельян А.В. Актуальные направления научных исследований в области инфекций, связанных с оказанием медицинской помощи, на современном этапе // Здоровье населения и среда обитания. 2018. № 4 (301). С. 46-50.
2. Иванова М.В., Миндлина А.Я. Эпидемиологические особенности инфекций, связанных с оказанием медицинской помощи в родовспомогательных учреждениях Российской Федерации в 2007-2017 гг.// Журнал инфектологии. 2019. Т. 11. № 3. С. 90-101.
3. Иванов А.В. Интервью с главным внештатным специалистом эпидемиологом Минздрава России, акад. РАН, проф. Николаем Ивановичем Брико [Текст] // Statuspraesens. Гинекология, Акушерство, Бесплодный Брак. 2017. № 5 (42). С. 47-52.
12. Feldmann JL, Menkes CJ, Le Charpentier Y, et al. Osteoarthritis of the knee caused by Mycobacterium xenopi. Rev Rhum Mal Osteoartic. 1982; 49(6):459-61. (In French).
14. Jiva TM, Jacoby HM, Weymouth LA, et al. Mycobacterium xenopi: innocent bystander or emerging pathogen? Clin Infect Dis. 1997; 24(2):226-32.
15. Thibert L, Lapierre S. Routine application of high-performance liquid chromatography for identification of mycobacteria. J Clin Microbiol. 1993; 31(7):1759-63.
16. Falkinham JO. Epidemiology of infection by nontuberculous mycobacteria. Clin Microbiol Rev. 1996; 9(2):177-215.
17. Hsu JL, Bhatnagar U, Stys M, et al. M. chimaera: a multiheaded pathogen. S D Med. 2018; 71(6):246-250.
20. Covert TC, Rodgers MR, Reyes AL, et al. Occurrence of nontuberculous mycobacteria in environmental samples. Appl Environ Microbiol. 1999; 65(6):2492-6.
21. Kham-Ngam I, Chetchotisakd P, Ananta P, et al. Differentiation between persistent infection/colonization and re-infection/recolonization of Mycobacterium abscessus isolated from patients in Northeast Thailand. Infect Genet Evol. 2019; 68:35-42.
23. Moorthy RS, Valluri S, Rao NA. Nontuberculous mycobacterial ocular and adnexal infections. Surv Ophthalmol. 2012; 57(3):202-
27. Baker AW, Lewis SS, Alexander BD, et al. Two-phase hospital-associated outbreak of Mycobacterium abscessus: investigation and mitigation. Clin Infect Dis. 2017; 64(7):902-
29. Longworth SA, Vinnard C, Lee I, et al. Risk factors for nontuberculous mycobacterial infections in solid organ transplant recipients: a case-control study. Transpl Infect Dis. 2014; 16(1):76-83.
30. Iroh Tam PY, Kline S, Wagner JE, et al. Rapidly growing mycobacteria among pediatric hematopoietic cell transplant patients traced to the hospital water supply. Pediatr Infect Dis J. 2014; 33(10):1043-6.
31. Cahill TJ, Prendergast BD. Infective endocarditis. Lancet. 2016; 387(10021):882-93.
32. Sax H, Bloemberg G, Hasse B, et al. Prolonged outbreak of Mycobacterium chimaera infection after open-chest heart surgery. Clin Infect Dis. 2015; 61(1):67-75.
33. Sommerstein R, Hasse B, Widmer AF. Invasive Mycobacterium chimaera infections and heater - cooler devices in cardiac surgery. Emerg Infect Dis. 2020; 26(3):632-633.
Mycobacterium avium и Mycobacterium avium-комплекс
Mycobacterium avium являются также возбудителями инфекционных заболеваний желудочно-кишечного тракта, в частности, инфекционного гастрита и дуоденита.
В МКБ-10 Mycobacterium avium выделен только как возбудитель лёгочной инфекции [A31.0].
Проект МКБ-11ß (от 20.01.2015) отдельными строками упоминают «Mycobacterium avium-intracellulare gastritis» («Гастрит, обусловленный инфицированием Mycobacterium avium») и «Non-tuberculous mycobacterial duodenitis» («нетуберкулезный микобактериальный» дуоденит). В классификации гастритов и дуоденитов, основанной на этиологическом принципе, предложенной Киотским консенсусом 2015 г. также имеются «Mycobacteria gastritis» («микобактериальный» гастрит) и «Mycobacterial duodenitis» («микобактериальный» дуоденит) (Sugano K. et al., Маев И.В. и др.).
Mycobacterium avium, в отличие от других микобактерий, в том числе, входящей в Mycobacterium avium complex (МАС) Mycobacterium intracellulare, способны проникать в организм человека не только через респираторный, но и через желудочно-кишечный тракт, попадая с пищей или водой в полость рта, способен сохраняться в кислой среде желудка и поражать слизистую кишечника.
При гастрите, вызванном Mycobacterium avium, наблюдаются следующие микроскопические изменения: в собственной пластинке монотонный инфильтрат из пенистых гистиоцитов, гранулёмы отсутствуют. А также имеет место позитивное окрашивание возбудителя прочными кислыми красителями.
Беррилл Бернард Крон (1884-1983), впервые (вместе с коллегами) описавший заболевание, впоследствии названное его именем, полагал, что его вызывает бактерия Mycobacterium avium subsp. paratuberculosis. Но при более поздних исследованиях это было опровергнуто.
МАС-инфекции желудочно-кишечного тракта у ВИЧ-инфицированных
У ВИЧ-инфицированных повышен риск инфекций, вызываемых атипичными микобактериями, особенно Mycobacterium avium complex (MAC). Диссеминированная инфекция, вызываемая MAC, сопровождается как общими проявлениями, так и симптомами поражения ЖКТ: потливостью по ночам, болью в животе, диареей и похуданием. При наличии этих симптомов обычно назначают рентгеноконтрастное исследование ЖКТ и компьютерную томографию (КТ) живота. При КТ чаще всего выявляют увеличение забрюшинных и брыжеечных лимфатических узлов (42%), гепатомегалию (50%), спленомегалию (46%) и утолщение стенки тонкой кишки (14%). При рентгеноконтрастном исследовании верхних отделов ЖКТ можно обнаружить язвы пищевода или патологию тонкой кишки — утолщение и деформацию складок слизистой, а также признаки повышения секреции. При КТ живота часто (более чем в 80% случаев) определяются значительно увеличенные забрюшинные и брыжеечные лимфатические узлы. Лимфатические узлы при инфекции, вызываемой MAC, обычно образуют конгломераты и однородны по плотности, в то время как при туберкулезе они крупнее и имеют очаги пониженной плотности в центре. Возможна выраженная гепатомегалия. Она более характерна для инфекции, вызываемой MAC, чем для туберкулеза. В большинстве случаев в биоптатах, полученных под контролем КТ, определяются крупные макрофаги с пенистой цитоплазмой, содержащие кислотоустойчивые бактерии. Внутриклеточно расположенные палочки могут давать положительную ШИК-реакцию. Это, а также клиническая и рентгенологическая картина делает поражение ЖКТ при инфекции, вызываемой MAC, сходным с болезнью Уиппла. Все перечисленное выше позволяет предположить, что ЖКТ может быть входными воротами для MAC (Гудман Ф.С.).
Mycobacterium avium в современной систематике бактерий. Mycobacterium avium complex (МАС)
Вид Mycobacterium avium по современной систематике* входит в Mycobacterium avium complex (МАС), который относится к роду микобактерии (лат. Mycobacterium), семейству Mycobacteriaceae, порядку Corynebacteriales, классу Actinobacteria, типу Actinobacteria, Terrabacteria group, царству Бактерии.
- Mycobacterium arosiense
- Mycobacterium avium
- Mycobacterium avium-intracellulare
- Mycobacterium bouchedurhonense
- Mycobacterium chimaera
- Mycobacterium colombiense
- Mycobacterium indicus pranii
- Mycobacterium intracellulare
- Mycobacterium lepraemurium
- Mycobacterium mantenii
- Mycobacterium marseillense
- Mycobacterium paraintracellulare
- Mycobacterium timonense
- Mycobacterium avium subsp. avium
- Mycobacterium avium subsp. hominissuis
- Mycobacterium avium subsp. paratuberculosis
- Mycobacterium avium subsp. silvaticum
- Mycobacterium avium subsp. intracellulare
- Mycobacterium intracellulare subsp. yongonense
Активность антибактериальных средств в отношении Mycobacterium avium и Mycobacterium avium complex
Лечение инфекций, вызванных микобактериями Mycobacterium avium complex вследствие природной множественной лекарственной устойчивости к большинству противотуберкулезных и других антибактериальных препаратов, обычно не применяющихся для терапии туберкулеза не просто. Лечение микобактериоза зачастую требует использования комбинации из нескольких препаратов, хирургического вмешательства или сочетания обоих методов. Попытки лечения больных с диссеминированными процессами, вызванными МАС, в большинстве случаев оказываются безуспешными. Природная множественная лекарственная устойчивость Mycobacterium avium обусловлена низкой проницаемостью клеточной стенки для лекарственных препаратов, поэтому условия, способствующие нарушению ее целостности, приводят к повышению лекарственной чувствительности микроба (Старкова Д.А.).
В профилактике и лечении различных форм нетуберкулезных микобактериозов, в том числе инфекции, вызванной Mycobacterium avium complex, свою эффективность доказали азитромицин и кларитромицин в комбинации с другими препаратами, например, с этамбутолом (Геппе Н.А. и др.).
Mycobacterium chimaera — причина инвазивной нетуберкулезной микобактериальной инфекции у пациентов, оперированных на открытом сердце
Mycobacterium chimaera — один из видов нетуберкулезных микобактерий, встречающихся повсеместно в почве и воде. Весной 2015 года в Швейцарии было выявлено шесть пациентов с инвазивной инфекцией Mycobacterium chimaera. Инфицированные пациенты подверглись хирургическому вмешательству на открытом сердце и у них использовалось загрязненное устройство регулирования температуры крови при искусственном кровообращении Stockert 3T. В июле 2015 года в клинике Пенсильвании также выявлены пациенты с инвазивной нетуберкулезной микобактериальной инфекцией, перенесшие хирургическую операцию на открытом сердце и у которых также использовалось устройство Stockert 3T. Stockert 3T — наиболее распространённое в США устройство, применяемое для нагрева или охлаждения крови при искусственном кровообращении.*
* CDC-MMWR. Notes from the Field: Mycobacterium chimaera Contamination of Heater-Cooler Devices Used in Cardiac Surgery — United States. October 14, 2016 / 65(40);1117–1118.
Читайте также:
