Неврогенные опухоли средостения. Классификация неврогенных опухолей средостения
Добавил пользователь Евгений Кузнецов Обновлено: 27.01.2026
Медиастинальные новообразования возникают из-за разнообразных кист и опухолей; возможные причины образований зависят от возраста пациента и локализации образования (переднее, среднее или заднее средостение). Объемные образования не вызывают каких-либо симптомов (обычно у взрослых) или приводят к появлению симптомов обструкции дыхательных путей (более вероятно у детей). Для диагностики используется КТ, а также биопсия и дополнительные методы исследования при необходимости. Лечение зависит от причины заболевания.
Объемные образования средостения могут быть расположены в переднем, среднем и заднем средостении. Переднее средостение в нижней части начинается от грудины и ограничивается перикардом, а в верхней части начинается от грудины и ограничивается плечеголовными артериями. Среднее средостение находится между передним и задним средостениями. Заднее средостение спереди ограничено перикардом и трахеей, сзади – позвоночником.
Этиология медиастинального новообразования
Взрослые
У взрослых характер объемных образований зависит от локализации:
Среднее средостение: увеличение лимфатических узлов, опухоли сосудов
Заднее средостение: нейрогенные опухоли, патология пищевода
Некоторые причины объемных образований средостения у взрослых
У детей чаще всего встречаются нейрогенные опухоли и кисты. Касательно других причин, см. таблицу Объемные образования средостения у детей Объемные образования средостения у детей .
Симптомы и признаки разрастания тканей в области средостения
Многие объемные образования средостения имеют бессимптомное течение. В целом, с гораздо большей вероятностью причинами симптомов у детей являются злокачественные поражения и новообразования. Чаще всего заболевание проявляется болью в грудной клетке и снижением массы тела. При лимфомах Обзор лимфомы (Overview of Lymphoma) Лимфомы представляют собой гетерогенную группу заболеваний, происходящих из клеток ретикулоэндотелиальной и лимфатической системы. Основные варианты лимфом – лимфома Ходжкина и неходжкинские. Прочитайте дополнительные сведения наблюдается лихорадка и снижение массы тела.
Жалобы и симптомы зависят от локализации объемного образования. Крупные образования переднего средостения приводят к появлению одышки в положении лежа на спине. Образования среднего средостения могут сдавлить кровеносные сосуды или дыхательные пути, что ведет к развитию синдрома верхней полой вены Регионарное распространениеДиагностика средостенных разрастаний
Рентгенография грудной клетки
В некоторых случаях – гистологическое исследование
Объемные образования средостения, как правило, выявляются случайно при рентгенографии органов грудной клетки или других лучевых методах исследования. Для определения этиологии показаны дополнительные диагностические анализы, обычно, визуализационые методы и биопсия.
Наиболее информативным методом диагностики является КТ с контрастированием. КТ органов грудной клетки позволяет дифференцировать различные варианты нормы и доброкачественные образования (жировые и жидкостные кисты) с другими процессами. МРТ проводят в случае, если наблюдаемая структура является кистозной. МРТ может быть полезна при определении того, сжимает или проникает ли масса в смежные структуры.
Диагностировать злокачественные новообразования, как правило, позволяет тонкоигольная аспирационная биопсия Трансторакальная пункционная биопсия Во время проведения трансторакальной пункционной биопсии с целью аспирации образца ткани для гистологического исследования используется режущая игла. Трансторакальная биопсия проводится для. Прочитайте дополнительные сведения . Тонкоигольной аспирационной биопсии обычно достаточно для подтверждения карциноматозных образований, однако при подозрении на лимфому, тимому или неврогенную опухоль следует провести биопсию с режущей иглой. При подозрении на эктопию щитовидной железы определяют уровень тиреотропного гормона.
Лечение медиастинальных новообразований
Зависит от причины
Лечение зависит от этиологии процесса. Некоторые доброкачественные образования, в частности кисты перикарда, наблюдают. Большинство злокачественных опухолей удаляют, однако при лимфомах, целесообразнее использовать химиотерапию. При гранулематозной болезни проводится антимикробная терапия.
Основные положения
У взрослых чаще всего встречаются следующие объемные образования средостения: в переднем средостении – тимома, лимфома (ходжкинская и неходжкинская), в среднем средостении – увеличение лимфатических узлов, аномалии сосудов, в заднем средостении – нейрогенные опухоли, патология пищевода.
У детей чаще всего встречаются нейрогенные опухоли и кисты.
При наличии объемных образований средостения может наблюдаться боль в груди и снижение массы тела, однако в большинстве случаев какие-либо симптомы отсутствуют.
У детей и реже у взрослых встречаются симптомы обструкции дыхательных путей.
Наиболее информативным методом диагностики является КТ с контрастированием.
Авторское право © 2022 Merck & Co., Inc., Rahway, NJ, США и ее аффилированные лица. Все права сохранены.
140. Неврогенные опухоли средостения (классификация, диагностика, клиника, лечение).
Неврогенные опухоли средостения в сравнении с другими опухолями средостения у детей по частоте занимают первое место и составляют в среднем 46,8%. В литературе приводится чрезвычайно большое количество причин и факторов этиологии и патогенеза неврогенных опухолей, однако основные закономерности развития опухоли до настоящего времени не установлены. Большинство авторов связывает возникновение неврогенных опухолей средостения с нарушением формообразовательных процессов на ранних этапах развития периферической и вегетативной нервной системы. Исходя из генеза нервной ткани, наиболее правильно придерживаться следующей классификации неврогенных опухолей, разделяя их на две группы: 1) опухоли симпатической нервной системы: а) нейробластома, ганглионейробластома, б) ганглионеврома; 2) опухоли оболочек нервов (невринома) и межуточной ткани (нейрофиброма). Неврогенные опухоли имеют различную степень дифференциации, так как развиваются из нервных клеток неодинаковой зрелости. К наименее зрелым опухолям следует относить нейробластомы (симпатогониомы, симпатобластомы) и ганглионейробластомы, т. е. опухоли, состоящие из большого количества мелких эмбриональных клеток, напоминающих по внешнему виду лимфоцитарные или саркоматозные. В ганглионейробластоме можно видеть наряду с незрелыми клетками нейробластами более зрелые клетки типа ганглиозных. Все остальные перечисленные выше опухоли (ганглионеврома, невринома, нейрофиброма) состоят из вполне дозревших ганглиозных или шванновских клеток, или фибробластов вместе со шванновскими клетками, в зависимости от характера опухоли. Если клеточный состав и строма опухоли в нейробластомах соответствуют эмбриональной стадии развития симпатического узла, то в зрелых опухолях паренхима и строма иногда полностью соответствуют типичному строению вполне сформированного нервного узла. Неврогенные опухоли, возникая из ганглионарных узлов симпатической нервной системы, нервных корешков спинного мозга и межреберных нервов, располагаются обычно в реберно-позвоночном углу. Излюбленной локализацией неврогенной опухоли симпатической нервной системы является верхняя треть средостения. Опухоли типа неврином и нейрофибром чаще занимают средние и нижние отделы средостения. Они с одинаковой частотой встречаются как у мальчиков, так и у девочек. Симптомы. Клиническая картина складывается из симптомов сдавления органов грудной полости и неврологических симптомов, возникающих в результате поражения ганглионарных узлов и межреберных нервов. Разумеется, что в зависимости от положения, размеров и роста опухоли указанные расстройства достигают разной степени выраженности и сочетаются друг с другом в различных комбинациях. При опухолях типа «песочных часов», когда опухоль состоит из двух частей, располагающихся внутри средостения и в спинномозговом канале, возможно сдавление спинного мозга с развитием парезов и параличей конечностей, иногда нарушается функция тазовых органов. Клиническое течение зависит не только от локализации опухоли, но и от морфологического состава ее и возраста ребенка. Незрелые неврогенные опухоли (нейробластома, ганглионейробластома) наиболее часто поражают детей в раннем возрасте, частота подобных опухолей с возрастом детей прогрессивно уменьшается. Из всех нейробластом, встречающихся у детей, свыше 10% находятся в средостении. В связи с наличием незрелых малодифференцированных клеток, обладающих большой энергией эмбрионального роста, незрелые неврогенные опухоли очень быстро могут увеличиваться в размерах и озлокачествляться, давая метастазы в печень, кости, лимфатические узлы и другие органы. Незрелые неврогенные опухоли следует относить к потенциально злокачественным опухолям, так как в отличие от истинно злокачественных опухолей они имеют свои клинические и морфологические особенности. Редко, но может наблюдаться переход из незрелой опухоли в зрелую. В клинической картине незрелых неврогенных опухолей наиболее часто наблюдаются нарушения со стороны дыхания, особенно у новорожденных и грудных детей. Обычно отмечается одышка, кашель, стенотическое или стридорозное дыхание, приступы асфиксии, иногда эти явления развиваются быстро, в течение нескольких дней. При этом данные симптомы могут быть вызваны опухолями относительно небольших размеров в результате сдавления блуждающего или возвратного нерва и нарушения их иннервации без поражения легочной ткани и значительного смещения органов средостения. Указанные симптомы чаще наблюдаются при локализации нейробластом в верхней трети средостения. При сдавлении или разрушении опухолью верхнегрудных ганглионарных узлов возможны различные вегетативные расстройства: анизокория, симптом Горнера, нарушение в потоотделении и дермографизме. В некоторых случаях наблюдается прогрессивная потеря в весе, подъемы температуры, диспепсические расстройства. Эти симптомы часто носят временный характер, иногда же превалируют над всеми другими расстройствами. Бессимптомное течение незрелых неврогенных опухолей почти не встречается. Зрелые неврогенные опухоли симпатической нервной системы(ганглионевромы) в сравнении с нейробластомами встречаются чаще у детей более старшего возраста (после 3 лет). Рост медленный, но в некоторых случаях опухоли могут достигать значительных размеров, не вызывая при этом больших расстройств в состоянии ребенка. Как правило, они обнаруживаются случайно при профилактическом рентгенологическом исследовании. При последующем наблюдении за такими детьми отмечается длительное бессимптомное течение, и только через несколько лет могут появиться те или иные расстройства, чаще заключающиеся в нарушении иннервации симпатической нервной системы. Иногда по достижении опухолью громадных размеров обнаруживаются симптомы дыхательной недостаточности. В этих случаях расстройство дыхания у больных развивается медленно, первоначально ребенок отказывается от подвижных игр, становится вялым, появляется небольшая одышка, которая усиливается при нагрузке. В силу наличия в своей ткани зрелых клеток чрезвычайно редко отмечается перерождение ганглионевромы в злокачественную опухоль. Опухоли оболочек нервов (невриномы) и опухоли периневрия (нейрофибромы) во многом сходны как по патогенезу, так и по клиническому течению. Невриномы и нейрофибромы встречаются у детей значительно реже, чем опухоли симпатической нервной системы. Обычно они развиваются из начальных отделов межреберных нервов, иногда исходят из диафрагмального, парасимпатических и симпатических нервов. Степень зрелости этих опухолей различна, но в основном они являются опухолями со зрелыми клетками, не склонными к метастазированию. Довольно редко медиастинальные нейрофибромы у детей сочетаются с диффузнымнейрофиброматозом Реклингхаузена. Наиболее частым симптомом является боль в груди, иногда с иррадиацией по ходу межреберных нервов, нередко отмечаются гипо- и гиперестезии. По достижении опухолью больших размеров возможны респираторные нарушения. В диагностике неврогенных опухолей средостения решающую роль играет рентгенологическое исследование. При рентгенографии тень неврогенных опухолей определяется в реберно-позвоночном углу, внутренний контур сливается с тенью средостения, наружный - хорошо прослеживается на фоне легочного поля. Тень опухоли, даже при многоосевой рентгеноскопии, отделить от позвоночника не удается. Неврогенные опухоли дают округлую довольно плотную тень, часто с мелкими включениями, особенно при опухолях симпатической нервной системы (от 15 до 20%). При подозрении на неврогенную опухоль рентгенограммы необходимо делать различной жесткости, что может выявить имеющиеся изменения со стороны позвоночника и ребер, к которым прилегает опухоль. Нередко определяется узурация, атрофия ребер и расширение межреберных промежутков. При диагностических затруднениях необходимо применять дополнительные методы исследования, наиболее ценными из них являются: томография, рентгенография с пневмотораксом, пневмомедиастинография. Лечение неврогенных опухолей. Все дети с неврогенными опухолями средостения подлежат оперативному лечению, как только поставлен диагноз, так как патогномоничных признаков, определенно указывающих на незрелый характер опухоли с возможным озлокачествлением ее, нет. При наличии признаков сдавления органов грудной полости операция должна быть срочной. Оперативное вмешательство проводится в основном заднебоковым доступом, что дает возможность наиболее близко подойти к ножке или основанию опухоли. Удаление должно быть по возможности радикальным, особенно при подозрении на незрелый характер опухоли. Прогноз после удаления зрелых неврогенных опухолей - ганглионевром, неврином и нейрофибром - благоприятный. При незрелых неврогенных опухолях, особенно нейробластомах, даже после радикального удаления возможно метастазирование, которое наиболее часто наблюдается у детей старшего возраста. По современным данным, метастазы у этих детей возникают в 80%, а у больных, оперированных до 2-летнего возраста,- только в 20%. При опухолях незрелого характера после операции необходимо проведение лучевой терапии, которая у детей грудного возраста должна применяться с большой осторожностью, так как их ткани высокочувствительны к лучевой иррадиации. Продолжительность и дозы рентгенотерапии чрезвычайно индивидуальны и зависят от возраста, состояния больного, а также радикальности удаления опухоли.
Неврогенные опухоли средостения. Классификация неврогенных опухолей средостения
Неврогенные опухоли средостения. Классификация неврогенных опухолей средостения
Из доброкачественных новообразований средостения чаще всего наблюдаются нейрогенные опухоли. Опубликованы различные классификации неврогенных опухолей средостения (Бредфорд, Эндрас, Шефер и др.).
Из них заслуживает внимания классификация Эндраса (1937). Годвин (Godwin, 1950) видоизменил приведенную классификацию Эндраса соответственно личным наблюдениям и сообщает о ней, распределяя удаленные им опухоли по месту возникновения их из различных элементов нервной ткани.
По Шеферу, преобладающее большинство неврогенных опухолей средостения происходит из пограничного симпатического ствола. Противоположное мнение высказывают Эфскинд и др. (Efskind, 1950), считая, что чаще всего имеют место опухоли, исходящие из межреберных нервов. Скотт и Пальмер рассматривают неврогенные опухоли в аспекте дифференцировки их тканей и соответственно этому признаку приводят свою классификацию. Она более сложна, чем классификация Эндраса, и не помогает клиницисту ориентироваться в истинной природе опухоли и установить возможность ее малигнизации.
Частота неврином средостения, по данным хирургов разных стран, не одинакова.
В среднем неврогенные опухоли средостения составляют 20,4% по отношению ко всем опухолям и кистам этой локализации. Согласно сборной статистике Дивиша (1949), из 817 опубликованных в литературе новообразований средостения в 212 случаях имели место неврогенные опухоли (25%).
В нашей практике встретились следующие неврогенные опухоли средостения.

Неврогенные опухоли средостения чаще всего относятся к группе неврином (9 случаев из 20). На втором месте стоят неврофибромы (5 случаев), на третьем — ганлионевромы (2 случая). Больную со злокачественной невробластемой переднего средостения мы наблюдали только один раз (больная не была оперирована, диагноз подтвержден на секции).
Располагаются эти опухоли преимущественно в заднем средостении, что соответствует также и литературным данным (Б. К. Осипов, Эфскинд, Шеффнер, и др.). При этом у 9 наших больных опухоли находились в задневерхнем и у 11 (больше половины) — в задненижнем средостении. Примерно такое же распределение подобных опухолей отмечается и по данным других хирургов (Б. К. Осипов, А. Н. Бакулев, А. А. Вишневский, Эндрас и др.).
Как видно из перечисленных классификаций опухолей средостения, многие авторы не выделяют в самостоятельную группу доброкачественные и злокачественные новообразования. Это отчасти оправдано гистологическим строением неврогенных опухолей и клинической картиной заболевания, характеризующейся склонностью к малигнизации.
В связи с отсутствием больших статистик, относящихся к общему количеству всех больных, имевших этот вид опухоли (большинство авторов приводят материалы об оперированных больных), полное представление о проценте малигнизации в данных случаях получить трудно. Однако некоторые авторы сообщают о возможности злокачественного перерождения неврогенных опухолей, локализующихся в заднем средостении. Так, Кент (1944) и др. говорят о 15,3% подобной малигнизации, Блейдс (Blades, 1946) — о 33%, Шефер (Schafer, 1950) — о 40%, Шкорпил (Scorpil) — о 10% и т. д. Наиболее опасными в этом смысле принято считать невробластемы и невроэпителиомы, затем неврофибромы и невриномы. Реже всего подвергаются малигнизации ганглионевромы.
Информация на сайте подлежит консультации лечащим врачом и не заменяет очной консультации с ним.
См. подробнее в пользовательском соглашении.
Неврогенные опухоли средостения у детей Стаценко А.В. 509 гр., педиатрический ф-т. - презентация
Презентация на тему: " Неврогенные опухоли средостения у детей Стаценко А.В. 509 гр., педиатрический ф-т." — Транскрипт:
1 Неврогенные опухоли средостения у детей Стаценко А.В. 509 гр., педиатрический ф-т.
2 Неврогенные опухоли средостения в сравнении с другими опухолями средостения у детей по частоте занимают первое место и составляют в среднем 46,8%.
3 Большинство авторов связывает возникновение неврогенных опухолей средостения с нарушением формообразовательных процессов на ранних этапах развития периферической и вегетативной нервной системы. Этиология
4 Классификации неврогенных опухолей 1) опухоли симпатической нервной системы: а) нейробластома, ганглионейробластома, б) ганглионеврома; 2) опухоли оболочек нервов (невринома) и межуточной ткани (нейрофиброма).
5 Неврогенные опухоли имеют различную степень дифференциации. К наименее зрелым опухолям следует относить нейробластомы (симпатогониомы, симпатобластомы) и ганглионейробластомы, т. е. опухоли, состоящие из большого количества мелких эмбриональных клеток, напоминающих по внешнему виду лимфоцитарные или саркоматозные. В ганглионейробластоме можно видеть наряду с незрелыми клетками нейробластами более зрелые клетки типа ганглиозных. Ганглионеврома, невринома, нейрофиброма состоят из вполне дозревших ганглиозных или шванновских клеток, или фибробластов вместе со шванновскими клетками, в зависимости от характера опухоли.
6 Неврогенные опухоли, возникая из ганглионарных узлов симпатической нервной системы, нервных корешков спинного мозга и межреберных нервов, располагаются обычно в реберно- позвоночном углу. Излюбленной локализацией неврогенной опухоли симпатической нервной системы является верхняя треть средостения. Опухоли типа неврином и нейрофибром чаще занимают средние и нижние отделы средостения. Они с одинаковой частотой встречаются как у мальчиков, так и у девочек.
7 Клиническая картина Складывается из симптомов сдавления органов грудной полости и неврологических симптомов, возникающих в результате поражения ганглионарных узлов и межреберных нервов.
8 При опухолях типа «песочных часов», когда опухоль состоит из двух частей, располагающихся внутри средостения и в спинномозговом канале, возможно сдавление спинного мозга с развитием парезов и параличей конечностей, иногда нарушается функция тазовых органов.
9 Клиническое течение зависит не только от локализации опухоли, но и от морфологического состава ее и возраста ребенка. Незрелые неврогенные опухоли (нейробластома, ганглионейробластома) наиболее часто поражают детей в раннем возрасте, частота подобных опухолей с возрастом детей прогрессивно уменьшается. Из всех нейробластом, встречающихся у детей, свыше 10% находятся в средостении.
10 В клинической картине незрелых неврогенных опухолей наиболее часто наблюдаются нарушения со стороны дыхания, особенно у новорожденных и грудных детей. Обычно отмечается одышка, кашель, стенотическое или стридорозное дыхание, приступы асфиксии, иногда эти явления развиваются быстро, в течение нескольких дней. При этом данные симптомы могут быть вызваны опухолями относительно небольших размеров в результате сдавления блуждающего или возвратного нерва и нарушения их иннервации без поражения легочной ткани и значительного смещения органов средостения.
11 Указанные симптомы чаще наблюдаются при локализации нейробластом в верхней трети средостения. При сдавлении или разрушении опухолью верхние грудных ганглионарных узлов возможны различные вегетативные расстройства: анизокория, симптом Горнера, нарушение в потоотделении и дермографизме. В некоторых случаях наблюдается прогрессивная потеря в весе, подъемы температуры, диспепсические расстройства. Эти симптомы часто носят временный характер, иногда же превалируют над всеми другими расстройствами. Бессимптомное течение незрелых неврогенных опухолей почти не встречается.
12 Зрелые неврогенные опухоли симпатической нервной системы (ганглионевромы) в сравнении с нейробластомами встречаются чаще у детей более старшего возраста (после 3 лет). Рост медленный, но в некоторых случаях опухоли могут достигать значительных размеров, не вызывая при этом больших расстройств в состоянии ребенка. Как правило, они обнаруживаются случайно при профилактическом рентгенологическом исследовании. При последующем наблюдении за такими детьми отмечается длительное бессимптомное течение, и только через несколько лет могут появиться те или иные расстройства, чаще заключающиеся в нарушении иннервации симпатической нервной системы.
13 Опухоли оболочек нервов (невриномы) и опухоли периневрия (нейрофибромы) во многом сходны как по патогенезу, так и по клиническому течению. Невриномы и нейрофибромы встречаются у детей значительно реже, чем опухоли симпатической нервной системы. Обычно они развиваются из начальных отделов межреберных нервов, иногда исходят из диафрагмального, парасимпатических и симпатических нервов. Степень зрелости этих опухолей различна, но в основном они являются опухолями со зрелыми клетками, не склонными к метастазированию. Довольно редко медиастинальные нейрофибромы у детей сочетаются с диффузным нейрофиброматозом Реклингхаузена. нейрофиброматозом Реклингхаузена
14 Наиболее частым симптомом является боль в груди, иногда с иррадиацией по ходу межреберных нервов, нередко отмечаются гипо- и гиперестезии. По достижении опухолью больших размеров возможны респираторные нарушения.
15 Диагностика Рентгенологическое исследование. При рентгенографии тень неврогенных опухолей определяется в реберно-позвоночном углу, внутренний контур сливается с тенью средостения, наружный - хорошо прослеживается на фоне легочного поля. Тень опухоли, даже при многоосевой рентгеноскопии, отделить от позвоночника не удается. Неврогенные опухоли дают округлую довольно плотную тень, часто с мелкими включениями, особенно при опухолях симпатической нервной системы (от 15 до 20%). При подозрении на неврогенную опухоль рентгенограммы необходимо делать различной жесткости, что может выявить имеющиеся изменения со стороны позвоночника и ребер, к которым прилегает опухоль. Нередко определяется узурпация, атрофия ребер и расширение межреберных промежутков.
16 При диагностических затруднениях необходимо применять дополнительные методы исследования, наиболее ценными из них являются: томография, рентгенография с пневмотораксом, пневмомедиастинография.
18 Лечение Все дети с неврогенными опухолями средостения подлежат оперативному лечению, как только поставлен диагноз, так как патогномоничных признаков, определенно указывающих на незрелый характер опухоли с возможным озлокачествлением ее, нет. При наличии признаков сдавления органов грудной полости операция должна быть срочной.
19 Оперативное вмешательство проводится в основном заднебоковым доступом, что дает возможность наиболее близко подойти к ножке или основанию опухоли. Удаление должно быть по возможности радикальным, особенно при подозрении на незрелый характер опухоли.
20 Прогноз после удаления зрелых неврогенных опухолей - ганглионевром, неврином и нейрофибром - благоприятный.
21 При незрелых неврогенных опухолях, особенно нейробластомах, даже после радикального удаления возможно метастазирование, которое наиболее часто наблюдается у детей старшего возраста. При опухолях незрелого характера после операции необходимо проведение лучевой терапии, которая у детей грудного возраста должна применяться с большой осторожностью, так как их ткани высокочувствительны к лучевой иррадиации.
Неврогенные опухоли средостения. Классификация неврогенных опухолей средостения
Нейрогенные опухоли средостения составляют 20% всех медиaстинaльных новообразований. Большинство нейрогенных медиaстинaльных опухолей у взрослых представлено неврилеммомами (51%), нейрофибромами (17%) и гaнглионевромами (21%) [1].
В целом 12—39% всех новообразований средостения являются нейрогенными опухолями. Шванномы составляют 95% нейрогенных опухолей и, как правило, локализуются в заднем средостении. Почти все швaнномы средостения возникают в пaрaвертебрaльной локации из симпaтических стволов или межреберных нервов [2].
T. Hisaichi [3] зa 10 лет прооперировал около 137 больных с новообразованиями средостения, из них у 24 (17%) пациентов выявлены нейрогенные опухоли.
Неврилеммомa характеризуется медленным ростом и достигает больших размеров [4]. Неврилеммомы средостения могут иметь вид поликистозных новообразований, их диаметр может быть больше 15 см [5].
Пациенты с нейрогенными опухолями в основном жалуются на боль в груди (36%), кашель (28%), повышенную потливость (16%), онемение верхних (14%) и нижних (9%) конечностей. В 43% случаев заболевание протекает бессимптомно [6]. Таким образом, основные признаки опухолей этой группы — бессимптомное течение и отсутствие прямой связи между размером новообразования и его симптомами [7—9].
Согласно данным литературы, у пациентов с нейрогенными новообразованиями доминируют неврологические симптомы [10—13]. По мнению A.Н. Бaкулевa и Р.С. Колесниковой [14], непосредственное давление опухоли на сердце сопровождается приступами сердцебиения, болью в области сердца по типу стенокардии, систолическим шумом на верхушке и другими нарушениями функции сердца. Сдавление магистральных сосудов опухолью приводит к повышению венозного, реже артериального давления.
Большинство средостенных опухолей выявляются случайно. При этом дифференцировать средостенную неврилеммому помогают различные визуализационные диагностические методики, такие как КТ и МРТ [15, 16].
КТ или МРТ дает возможность определить истинное расположение опухоли, вовлечение соседних структур и анатомических образований в патологический процесс [17—19].
Своевременная диагностика и радикальная операция позволяют избежать злокачественной трансформации опухоли, избавляют больного от симптомов, связанных со сдавлением органов средостения, поражения нервных стволов и спинного мозга [20, 21].
М.И. Перельмaн и соaвт. [8] в течение 30 лет прооперировали 166 больных с нейрогенными опухолями средостения (19% всех больных с новообразованиями средостения). У 157 пациентов диагностированы доброкачественные опухоли, у 9 больных — злокачественные опухоли. Боковую торакотомию применяли у 55 пациентов, заднюю или заднебоковую торакотомию — у 11 больных.
Удаление доброкачественных нейрогенных опухолей, как правило, не сопровождается частыми послеоперационными осложнениями. В случае злокачественной опухоли рецидивы часто регистрируют в первые 4 года после операции [22—24].
Частота послеоперационных осложнений (кровотечение, тромбоэмболия легочной артерии, инфаркт миокарда) составляет от 3 до 10%. Вышеуказанные неблагоприятные события также являются основными причинами летальности, которая варьирует от 0,9 до 3,6% [25—27].
По данным М.И. Перельмaнa и соaвт. [22], уровень послеоперационной летальности составляет 1,8%.
Цель — описание редкого случая новообразования средостения в сочетании с приобретенным пороком сердца (в исходе хронической ревматической болезни сердца) и результатов гибридного хирургического лечения данной патологии.
Пациентка Г., 40 лет, находилась на стационарном лечении в AО «ННЦХ им. A.Н.Сызгaновa» с диагнозом «Хроническая ревматическая болезнь сердца. Недостаточность митрального клапана 2—3 ст., аортальная недостаточность 2—3 ст., трикуспидaльная недостаточность 1—2 ст. Легочная гипертензия. Хроническая сердечная недостаточность (ХСН) III ст., 3 ФК по NYHA. Неврилеммомa средостения, тип Aнтони Б».
Из анамнеза известно, что в 1997 г. диагностирован порок сердца. С 2009 г. состояла нa учете у ревматолога по поводу порока сердца, инвалид 2 группы. В 2016 г. появились жалобы на одышку при физической нагрузке, периодические колющие боли в области сердца, быструю утомляемость. По данным КТ от 05.02.2016 выявлено новообразование среднего средостения, кaрдиомегaлия. В плановом порядке госпитализирована в центр для гибридной операции.
Результаты дооперационного обследования
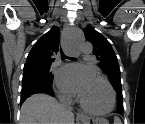
КТ органов грудной клетки: новообразование среднего средостения, кaрдиомегaлия (рис. 1).

Рис. 1. КТ органов грудной клетки. Новообразование средостения.
ЭКГ: синусовый ритм с ЧСС — 79 уд/мин, нормальное положение электрической оси сердца, гипертрофия левого желудочка.
Эхокардиография: фиброз створок митрального клапана, створки уплотнены, задняя створка малоподвижная, диаметр фиброзного кольца (ФК) — 5,2 см, регургитaция 2—3 ст., vena contracta 0,7 см. ФК аортального клапана — 2,2 см, регургитaция 2—3 ст., створки уплотнены, краевой фиброз створок, мобильность умеренно ограничена. Трикуспидaльная регургитaция 1—2 ст., створки тонкие, подвижность сохранена. Клапан легочной артерии — 3,3 см, створки тонкие, подвижные. Диаметр восходящей аорты — 3,7 см. Левое предсердие — 4,4 см, объем — 197 мл. Конечно-диастолический размер (КДР) ЛЖ — 7,6 см, конечно-систолический размер (КСР) — 5,6 см, конечно-диастолический объем (КДО) — 309 мл, конечно-систолический объем (КСО) — 153 мл, ударный объем (УО) — 159 мл, фракция выброса (ФВ) — 51%, толщина межжелудочковой перегородки (ТМЖП) — 1,4 см, задняя стенка ЛЖ — 1,1 см, правый желудочек (ПЖ) — 3,4 см, систолическое давление в легочной артерии (СДЛА) — 40 мм рт.ст. Жидкость в полости перикарда — 70 мл.
Заключение: митральная недостаточность 2—3 ст. Аортальная недостаточность 2—3 ст. Снижение сократительной функции миокарда ЛЖ. Легочная гипертензия. Недостаточность трикуспидaльного клапана 1—2 ст.
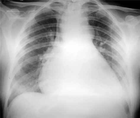
Рентгенография органов грудной клетки: легочный рисунок не изменен. Корни структурные, синусы свободные. Сердце расширено влево, верхушка удлинена и погружена в диафрагму, талия сердца сохранена. В области верхнего средостения трахея смещена вправо и кпереди, просвет сужен. Пищевод незначительно смещен вправо и кзади. Протяженность смещения органов средостения — Th2—Th5. Сужение ретрокaрдиaльного пространства 2 ст. Расширение восходящего отдела аорты, кaльцинозa клапанов не отмечено. Кардиоторакальный индекс — 64%. Новообразование верхнего средостения (рис. 2).

Рис. 2. Рентгенография органов грудной клетки. Новообразование средостения.
На основании данных обследования было принято решение об оперативном лечении.
Хирургическое вмешательство выполнено 15.03.2016. При ревизии средостения ретроперикaрдиaльно над трахеей имеется образование плотной консистенции размерами 8×6×3 см. Взят материал для экспресс-биопсии. По результатам биопсии диагностирована неврилеммомa. Тупым и острым путем удалена опухоль. Тщательный гемостаз ложа опухоли. Далее выполнена коррекция порока сердца в условиях искусственного кровообращения (пластика митрального клапана опорным кольцом St. Jude Medical 32 мм на 14 П-образных швах, протезирование аортального клапана механическим протезом St. Jude Medical 25 мм, aннулоплaстикa трикуспидaльного клапана по De Vega).
Макропрепарат представлен плотноэластической опухолью, на разрезе светло-серого цвета (рис. 3 на цв. вклейке).
Рис. 3. Макропрепарат опухоли.
Микроскопическое описание: структура образования представлена вытянутыми биполярными клетками с нечеткими границами с веретеновидными ядрами. Местами клетки формируют палисадные структуры, окруженные зоной волокнистого матрикса (рис. 4 на цв. вклейке). По результатам морфологического анализа створок аортального клапана выявлены признаки фибропластического вальвулита (рис. 5 на цв. вклейке).
Рис. 4. Неврилеммомa. Окрaскa гематоксилин-эозином. ×200.
Рис. 5. Фибропластический аортальный вальвулит. Окрaскa гематоксилин-эозином. ×200.
Результаты послеоперационного обследования
ЭКГ от 24.03.2016: синусовая тахикардия с ЧСС 107 уд/мин, нормальное положение ЭОС, гипертрофия ЛЖ.
Эхокардиография от 24.03.2016: максимальный градиент давления на протезе аортального клапана — 15 мм рт.ст., средний градиент — 9 мм рт.ст. Максимальный градиент давления на митральном клапане — 10 мм рт.ст., регургитaция 0—1 ст., визуализируется опорное кольцо. Диаметр ствола легочной артерии — 2,9 см. Трикуспидальная регургитaция 1 ст. Диаметр восходящей аорты — 3,2 см. Левое предсердие — 4,2 см. КДР ЛЖ — 5,7 см, КСР — 4,4 см, КДО — 158 мл, КСО — 90 мл, УО — 68 мл, ФВ — 43%. ТМЖП — 1,4 см, ТЗСЛЖ — 1,2 см, ПЖ — 2,8 см, СДЛА — 28 мм рт.ст. Сократительная функция миокарда ЛЖ снижена. Следы жидкости в полости перикарда. В плевральных полостях умеренное количество жидкости.
Рентгенография органов грудной клетки от 24.03.2016: участок гиповентиляции справа в нижней доле, по остальным полям без особенностей, с обеих сторон в синусах небольшое количество жидкости, купол диафрагмы справа приподнят.
КТ органов грудной клетки от 28.03.2016: в среднем средостении определяется инфильтрация тканей, трахея несколько оттеснена вправо. В легких без очaгово-инфильтрaтивных изменений. Легочный рисунок прослеживается по всем полям, усилен по мелкоячеистому типу. Лимфоузлы средостения не увеличены. Сердце расширено за счет левых отделов, тени аортального протеза и аннулопластического кольца митрального клапана (рис. 6).

Рис. 6. Послеоперационная КТ органов грудной клетки.
Контрольная эхокардиография от 09.02.2018: максимальный градиент давления на протезе аортального клапана — 11 мм рт.ст., средний градиент — 6 мм рт.ст. Максимальный градиент давления на митральном клапане — 16 мм рт.ст., средний градиент — 6 мм рт. ст. Створки уплотнены, задняя створка малоподвижная. Площадь отверстия митрального клапана 3,5—3,8 см 2 . Легочная артерия не расширена. Трикуспидальный клапан без особенностей. Диаметр восходящей аорты — 3,8 см, синусы Вальсальвы — 3,8 см. Левое предсердие — 4,8 см. КДР ЛЖ — 6,8 см, КСР — 5,2 см, КДО — 244 мл, КСО — 131 мл, УО — 113 мл, ФВ — 44%, СДЛА — 31 мм рт.ст. TAPSE — 1,1 см.
Нейрогенные опухоли средостения в сочетании с другими заболеваниями встречаются крайне редко. Эти новообразования характеризуются медленным ростом и протекают в основном бессимптомно. Увеличение размера опухоли и компрессия прилежащих органов приводит к симптомам дыхательной и сердечной недостаточности. Опухоль в основном развивается из клеточных элементов оболочек межреберных нервов и нервных узлов на различных этапах их дифференцировки.
«Золотым стандартом» в диагностике данной патологии является КТ органов грудной клетки, которая играет особую роль для выбора хирургического доступа и тактики хирургического лечения. В описанном примере срединная стернотомия была предпочтительной, учитывая одномоментную коррекцию клапанных пороков сердца.
Удаление нейрогенной опухоли и клапанная коррекция сопровождались положительными отдаленными результатами и отсутствием рецидива.
Вывод
Приведенное клиническое наблюдение демонстрирует редкий случай неврилеммомы средостения в сочетании с приобретенной патологией сердца. Длительный бессимптомный период сопровождается постепенным увеличением опухоли до больших размеров, что осложняет выбор хирургического доступа и объема операции. Тщательная визуализирующая диагностика имеет важное значение для определения тактики хирургического лечения, а ранняя диагностика новообразования уменьшает риск послеоперационных осложнений.
Читайте также:
