Невус папилломатозный Унны
Добавил пользователь Евгений Кузнецов Обновлено: 23.11.2025
Под родинками (невусами), обычно понимают доброкачественные опухоли кожи, состоящие из производных от меланоцитов невусных клеток.
- Невусы могут быть врожденные и приобретенные.
- Невусы, присутствующие при рождении или возникающие в период раннего младенчества,называются врожденными.
- Невусы повсеместно распространены у людей и встречаются одинаково часто как у мужчин, так и женщин.
- Распространенность приобретенных невусов достигает пика в подростковом периоде, лишь немногие невусы приобретаются после 30 лет.
- Невусы, которые приобретаются или меняются после 30 лет,должны вызывать подозрение.
- Большинство приобретенных невусов появлябтся на открытых действию солнца участках кожи.
- Воздействие солнца является стимулом для для роста невусных клеток.
- Приобретенные «родинки»,которые появляются на защищенных от воздействия солнечных лучей участках, должны считаться подозрительными.
- У большинства взрослых имеется от 12 до 20 невусов, большее количество невусов может быть семейной особенностью.
- Существующие невусы могут увеличиваться в размерах и приобретать более сильную пигментацию в период полового созревания или во время беременности.
- «Родинки» обычно бессимптомны, хотя иногда возможно раздражение одеждой или вследствие внешней травмы.
Приобретенные невусы вначале появляются в виде плоских, круглых, равномерно окрашенных узелков. Они могут быть лишь немного темнее кожи. С возрастом невусы увеличиваются и теряют пигмент. В более позднем возрасте, после 65-70 лет могут полностью исчезать.
Перед врачом при постановке диагноза всегда встает вопрос о доброкачественности или злокачественности «родинки». Доброкачественные чаще имеют однородный внешний вид и предсказуемый жизненный цикл.
Большинство доброкачественных родинок (невусов) симметричные, с четкими правильными границами, однородного цвета с максимальным диаметром менее 6 см.
«Родинки» у одного и того же пациента обычно не отличаются, если они отличаются, то это должно насторожить.
При оценке пациентов с родинками (невусами) помогает дерматоскопия, но требует знаний методики в оценке результата.
Удаление внутридермальных невусов (родинок) на спине:
В младенчестве внутридермальные невусы слабо заметны, потому что находятся неглубоко под эпителием; с возрастом невусные клетки постепенно начинают изменяться и перемещаться глубже в кожу, на первом этапе проникая между эпителием и дермой; далее образуются уже так называемые граничные родимые пятнышки; через определенный промежуток времени меланобласты перемещаются в более глубокий слой (дермальный). После этого уже родинка становится значительно заметнее и переходит в заключительную стадию преобразования; изменяется форма, которая может быть выпуклой с широким основанием или округлой и крепится на ножке; на заключительном этапе невусные клетки прекращают выработку меланина, а некоторые обесцвечиваются.
Невусы (родинки) Мишера:
Невусы Мишера или врожденные внутридермальные невусы. Малозаметные в юности, медленно увеличиваются в размерах к 35-40 годам, до 60 лет активно растут, «украшая» собой увядающую кожу. Радиохирургическое удаление этих образований позволяет свести до минимума косметический дефект,оставляя еле заметный,цвета нормальной кожи, рубец. Вопрос удаления этих невусов, вопрос чисто эстетический. К здоровью, отношения не имеющий. Неправильно говорить пациенту их «нужно» удалять или их «нельзя» удалять. Их можно удалять,соблюдая правила.
Два папилломатозных невуса (родинки):
Папилломатозный невус или невус Унны. Внутридермальные невусы, к которым относится папилломатозная разновидность, в большинстве случаев являются меланомонеопасными. При отсутствии провоцирующих факторов бугристое новообразование не перерождается в злокачественную опухоль. Часто этот вид родинок является заметным косметическим дефектом. Иногда образование окрашено в тёмный, почти чёрный цвет, изнутри растёт пигментированный волос. Но с возрастом пигмент начинает пропадать и окраска меняется на розовую. Радиохирургическое удаление гарантирует аккуратный рубец.
Внутридермальные невусы (родинки) на лице:
Безболезненное и контролируемое удаление -главное преимущество радиохирургического метода.
Невус
Невус (пигментное пятно, пигментный невус, меланоцитарный невус) – доброкачественное новообразование, которое в большинстве случаев является врожденным пороком развития кожи.
На ограниченном участке образуется скопление особых клеток – невоцитов, которые содержат большое количество пигмента меланина.
Невоциты являются патологически измененными меланоцитами – клетками, которые в норме синтезируют меланин и придают окраску коже. Невоклеточный невус – синоним пигментного невуса. Родинка и невус – также идентичные понятия (сам термин происходит от латинского слова naevus – "родинка").
Лечением и профилактикой невусов занимается врач-дерматолог.
Виды невусов:

Меланоцитарные невусы отличаются большим разнообразием форм, цветов и размеров. До настоящего времени среди врачей нет однозначного мнения по поводу того, какие образования следует обозначать словом "невус".
Поэтому иногда невусами называют доброкачественные кожные опухоли, в которых не содержится пигмент меланин: Гемангиомы – сосудистые опухоли.
Особенно распространено понятие "клубничный невус" - гемангиома красного цвета, которая имеется у большинства новорожденных детей, и проходит в течение первого года жизни.
Также многие врачи оперируют таким понятием, как сосудистый невус.
Невусы сальных желез – в большинстве случаев расположены на голове, также не содержат меланина. Такое новообразование известно как сальный невус.
Иногда врожденными невусами у детей также называют тератомы (гамартомы), которые, по сути, являются врожденными опухолями, состоящими не только из кожи, но и из всех остальных тканей.
Анемичный невус – разновидность сосудистого невуса. Это участок кожи, на котором недоразвиты сосуды, поэтому он имеет более светлую окраску.
Настоящий меланоформный невус – это образование, которое происходит из измененных клеток-меланоцитов – невоцитов.
Различают следующие виды невусов:
Невоклеточный пограничный невус – простое пятно, которое не возвышается на коже, или слегка выступает над ее поверхностью. Пограничный невус имеет четкие контуры и коричневую окраску. Он может иметь различные размеры и располагаться на разных частях тела. При данном виде меланоформного невуса скопление клеток с пигментом находится между верхним (эпидермис) и средним (дерма) слоем коже – такое расположение обозначается как внутриэпидермальный невус.
Интрадермальный невус – наиболее распространенная разновидность меланоформного невуса. Он так называется, потому что скопление пигментных клеток находится в толще среднего слоя кожи – дерме.
Пигментный сложный невус кожи. Такой невус имеет вид родинки: он возвышается на кожей и может иметь различную окраску, от светло-коричневой до практически черной. Часто на нем растут жесткие волосы. Смешанный невус имеет гладкую поверхность, и может находиться на любой части тела.

Внутридермальный невус. Также выступает над поверхностью кожи, но, в отличие от сложного невуса, имеет неровную, бугристую поверхность. Практически всегда расположен на голове или на шее, очень редко – на туловище. В большинстве случаев внутриэпидермальный невус появляется в возрасте 10 – 30 лет.
Со временем он как бы отделяется от кожи, и располагается на тонкой ножке. Часто затем он превращается в папилломатозный невус (бородавчатый невус). В нем образуется большое количество неровностей, складок и щелей, в которых скапливаются отмершие клетки верхнего слоя. Здесь могут скапливаться болезнетворные организмы, которые затем приводят к инфекционным процессам.
Голубой невус имеет характерную окраску, так как он связан с отложениями меланина под кожей. Голубые невусы характерны в основном для азиатских национальностей. Они немного возвышаются над кожей, плотные на ощупь, их поверхность всегда гладкая, на ней никогда не растут волосы. Голубой невус имеет небольшую величину, чаще всего не более пяти миллиметров.
Базальный невус также имеет вид родинки, но чаще всего он обладает обычным телесным цветом. Это – беспигментный невус.
Невус сетона (невус сеттона, невус саттона, гало невус) – особая разновидность дермального невуса, когда вокруг пигментного пятна находится участок кожи, полностью лишенный пигмента. Происхождение таких невусов пока до конца не изучено. Они часто сочетаются с витилиго (потерей кожей пигментов), меланомами. Чаще всего в области гало невуса имеется небольшое воспаление в коже.
Невус Ота. Располагается на лице, с одной стороны, в виде "грязных" пятен.
Невус Ита напоминает невус Ота, но он находится под ключицей, на груди, в области лопатки и шеи. Обе этих разновидности встречаются в основном у представителей азиатских народов.
Папилломатозный невус (бородавчатый невус). Похожий на папиллому невус часто имеет большие размеры, находится на голове или сзади на шее, но может располагаться и в иных местах. Он имеет неровную поверхность, как бородавка. Часто на нем растут волосы.
Невус Беккера (волосяной эпидермальный невус) – чаще сего возникает у мальчиков и юношей 10 – 15 лет. Сначала на теле образуется несколько мелких пятен, которые имеют светло-коричневую или коричневую окраску, и находятся рядом. Затем они сливаются и образуют пятна с неровными контурами размерами до 20 см. После этого пятна приобретают неровную бородавчатую поверхность, покрываются волосами. Считается, что к росту невусов Беккера приводит выброс в кровь большого количества мужских половых гормонов – андрогенов.

Линейный невус – новообразование, которое появляется с рождения. Представляет собой множество мелких узелков, от светлого до практически черного цвета, которые расположены на коже в виде цепочки. Линейный невус может занимать всего пару сантиметров, а может и всю руку или ногу. Иногда на нем растут волосы.
Невус глаза – пигментный невус, который расположен на радужной оболочке. Он хорошо заметен в виде пятна, которое может иметь разные размеры и форму. Также невус глаза может находиться на сетчатке: в этом случае он выявляется только во время осмотра офтальмологом.
- мелкие невусы, имеющие размеры 0,5 - 1,5 см;
- средние неводермальные невусы - 1,5 - 10 см;
- крупные пигментные невусы имеют размеры более 10 см;
- если невус располагается на целой области тела, занимая ее практически целиком, то он называется гигантским.
Со временем внешний вид пигментных невусов может изменяться. Меняется и их общее количество на теле: Далеко не всегда можно обнаружить невусы на теле новорожденного. Только у 4 – 10% детей грудного возраста можно выявить родинки. Если невусы с рождения имеют большие размеры, то они наиболее опасны в плане озлокачествления (перехода в меланому).
В подростковом возрасте (10–15 лет) дермальные невусы можно встретить у 90% лиц.
В среднем у человека в возрасте 20-25 лет на теле можно насчитать до 40 родинок.
После 30 лет на коже остается только 15 – 20 невусов.
У человека, достигшего 80 – 85 лет практически невозможно обнаружить невусы на теле. Такую динамику связывают с изменением гормонального фона в течение жизни человека.
Причины возникновения:
Многие исследователи склоняются к мысли, что абсолютно все пигментные невусы, даже те, которые появляются с возрастом, являются врожденными пороками развития кожи.
Нарушения, которые приводят к образованию этой доброкачественной опухоли, возникают еще в эмбриональном состоянии организма. До настоящего времени пока не изучены все врожденные причины образования диспластических невусов.
В качестве основных факторов можно выделить:
Колебания уровня половых гормонов в организме беременной женщины:
- прогестинов и эстрогенов.
- Инфекции мочеполовой системы у беременных. Воздействие на организм беременной женщины неблагоприятных факторов: токсичных веществ, излучений.
- Генетические нарушения. Под действием всех этих факторов нарушается развитие меланобластов – клеток, из которых впоследствии образуются меланоциты. В итоге меланобласты скапливаются на определенных участках кожи и трансформируются в клетки-невоциты.
Невоциты отличаются от нормальных меланоцитов двумя особенностями:
- У них нет отростков, по которым пигмент мог бы распространяться в другие клетки кожи;
- Диспластические невусы хуже подчиняются общим регулирующим системам организма, но, в отличие от раковых клеток, утратили эту способность не полностью.
- Гормональные перестройки организма. Это очень ярко проявляется в подростковом возрасте, когда на теле появляется большая часть невусов.
- Действие на кожу ультрафиолетовых лучей. Частые солнечные ванны и солярии способствуют росту пигментных пятен.
- Беременность. Как уже отмечалось выше, это связано с колебанием уровня половых гормонов в организме женщины.
- Менопауза.
- Прием контрацептивов.
- Воспалительные и аллергические заболевания кожи (угри, дерматиты, различные сыпи).
Диагностика невусов:
Перед врачом, который осуществляет диагностику невуса, стоит ряд важных задач:
- установить разновидность невуса и определить возможности его лечения;
- вовремя распознать начало процесса озлокачествления пигментного пятна;
- определить показания к проведению дополнительных методов диагностики.
Обследование пациента начинается классически с беседы и осмотра. Во время расспроса врач устанавливает важные подробности: когда появился неводермальный невус.
Особенно важно, имеется ли он с рождения, или возник с возрастом; как образование вело себя в течение последнего времени:
- увеличивалось ли в размерах,
- изменяло ли цвет, контуры, общий внешний вид;
- проводилась ли ранее диагностика и лечение, каков был результат

Непосредственный контакт с пациентом очень важен. Ни один профессиональный специалист не возьмется ставить диагноз и лечить невус по фото. После расспроса пациента следует осмотр. Доктор должен оценить форму, размер, расположение невуса, наличие на нем волос и иные особенности. После этого уже может быть поставлен точный диагноз и намечены определенные лечебные мероприятия.
При необходимости врачом назначаются дополнительные методы диагностики. Чаще всего применяются мазки с поверхности невуса. Абсолютными показаниями к данному исследованию является мокнутие, кровоточивость, трещины на поверхности пигментного пятна. Во время мазка получают материал, который затем изучают при помощи микроскопа.
Лабораторная диагностика применяется для установления процесса перерождения невуса в меланому. При озлокачествлении пигментного пятна в крови пациента появляются особые вещества – онкомаркеры. Их обнаружение позволяет точно установить диагноз, так как только при меланоме в крови определяются две молекулы, имеющие название TA90 и SU100. При других злокачественных опухолях выявляются другие онкомаркеры.
Для проведения анализа на онкомаркеры необходимы четкие показания: врач должен иметь веские основания подозревать переход невуса в меланому. Кроме того, само удаление дермального невуса может стать диагностической процедурой.
После того, как пигментное пятно удалено, врач отправляет его на гистологическое исследование. Маткриал осматривают под микроскопом и, в случае обнаружения злокачественного перерождения, пациента снова просят явиться в клинику.
Лечение невуса:
В настоящее время существует несколько методов лечения пигментных невусов, как хирургическим путем, так и альтернативными способами.
Показания определяются только лечащим врачом с учетом двух факторов:
Особенности самого пигментного пятна: разновидность, размеры, риск перехода в меланому.
Наличие в больнице необходимого оборудования
Хирургический метод
Удаление пигментного невуса хирургическим путем (при помощи скальпеля) – наиболее распространенная методика, так как она не требует специального оборудования и отличается надежностью.
Криодеструкция
Криодеструкция – метод, предусматривающий лечение невуса при помощи заморозки. После обработки низкими температурами пигментное пятно отмирает и превращается в струп (корочку), под которой растет новая нормальная кожа.Лечение невуса низкой температурой может осуществляться только в том случае, если он имеет небольшие размеры, и расположен поверхностно, но не сильно выступая над кожей.
Электрокоагуляция
Это методика, которая противоположна криокоагуляции. Иссечение невуса осуществляется под действием высокой температуры.Процедура болезненная, поэтому требует применения местной анестезии, а у детей – только общего наркоза.
Лазерная терапия
Удаление невусов лазером – метод лечения, который широко распространен в современных косметологических салонах. Он отлично подходит для того, чтобы удалять небольшие родинки в области лица, шеи и на других частях тела. Лазерное излучение отличается тем, что оно способно проникать в кожу на большую глубину в пределах точно заданной площади. При этом не образуется шрамов, ожогов, рубцов и других осложнений. Процедура безболезненна.
Радиохирургические методы
В последние годы радиохирургия все активнее используется в мировой медицине. Суть этих методик состоит в том, что специальным прибором, - радионожом (сургитроном) генерируется пучок радиоактивного излучения, который концентрируется только в области патологического очага, не нанося вреда здоровым окружающим тканям. Таким образом могут быть удалены практически любые доброкачественные и злокачественные опухоли, в том числе и пигментные невусы.
Некоторые особые показания Если имеется подозрение на злокачественное перерождение невуса, то используется, как правило, только хирургическое иссечение.
При этом удаляются все окружающие ткани, для предотвращения дальнейшего роста опухоли. Некоторые разновидности невусов лечатся только хирургическим путем.
Большинство методов лечения невусов проводится в нашей клинике опытными врачами-дерматологами. Для получения консультации и записи на прием, звоните или записывайтесь через форму.
Невус
Мало кто знает, но самый крупный орган у человека это кожа. На ее поверхности в течение жизни появляются и исчезают различные образования. Самыми распространенными считаются невусы. Среди обычных людей такие доброкачественные образования называются обычными родинками.
Что такое невусы
Собой они представляют образование, состоящее из меланоцитов. Поверхность родинки гладкая и окрашенная в темный цвет. На теле среднестатистического человека можно насчитать до 40 таких образований. Некоторые родинки есть на теле малыша сразу после рождения. Другие образовываются в течение взросления. Невусы могут менять свой внешний вид и окраску. Большинство изменений происходит в подростковом возрасте во время полового созревания. Также перерождения в невусе могут начаться при длительном нахождении человека под прямыми солнечными лучами. Ультрафиолетовое излучение в большом количестве негативно воздействует на кожу. По статистике, чем больше человек времени проводит на солнце, тем больше родинок на его теле.
Изменения касаются не только цвета, но и внешнего вида. Обычная родинка может стать дряблой и мягкой, или напротив перерасти в плотное и бесцветное образование. Выделяют большое количество различных видов невусов. Главная опасность таких образований при воздействии определенных факторов они могут переродиться в злокачественные. Особую опасность представляют сложные родинки, а также образования большого размера. Они должны постоянно контролироваться лечащим врачом, так получится предотвратить опасную трансформацию.
Разновидности невусов
Родинки имеются на теле каждого человека. Чаще всего они не несут никакой опасности. Если количество превышает 50 штук, желательно посетить врача. Такие пациенты находятся в зоне риска по развитию меланомы. Особо настораживать должны асимметричные образования с неровной поверхностью, которые имеют нестандартную окраску, больше 6 мм в диаметре, начали образовываться на теле уже во взрослом возрасте.
Врождённые
К категории относят образования, с которыми человек сразу появляется на свет. Врожденные невусы различаются по форме, цвету и размеру. В некоторых случаях родинка может занимать большую часть тела ребенка. Такие новообразования вызывают опасения, так как часто перерождаются в раковые опухоли.
Обычные
Категория обычных родинок состоит из образований, которые имеют симметричную форму, однородный цвет и гладкую поверхность. Чаще всего окраска коричневая или розоватая. На поверхности отсутствуют посторонние вкрапления. Также такие родинки могут иметь форму купола.
Атипичные
Родинки с нестандартным размером и внешним видом. Их на теле немного, в разы меньше, чем обычных родинок. Главная опасность таких новообразований при определенных факторах они могут переродиться в меланому. Еще одна особенность таких образований у них неравномерный цвет, края неровные, а сам невус асимметричный. Людям с атипичными родинками важно контролировать их количество на теле чем образований больше, тем выше риск меланомы. Требуется постоянное наблюдение со стороны лечащего врача и прохождение необходимых исследований.
Голубые
Новообразования подразделяются на две категории могут появляться на теле уже в утробе матери или развиваться при жизни человека. Свое название получили за счет голубоватой окраски. Но к данной категории также относят невусы, цвет которых варьируется от светло-серого до черного. Чаще всего образования характерных для кожи монголоидов, у других рас они развиваются в крайних случаях.
Невусы Мишера
Образования коричневого цвета или телесного оттенка. Самое частое место появления родинок в области шеи и на лице. Поверхность твердая, куполообразная, но ровная, без посторонних включений. Часто на невусе растут волосы.
Невусы Унны
По внешнему виду похожи на родинки из предыдущего описания. К особенностям можно отнести внешний вид они напоминают малину. Цвет новообразования коричневый.
Невус Мейерсона
Определить проблему несложно вокруг такой родинки начинает развиваться и распространяться сыпь с красными папулами. У некоторых пациентов экзема в области не регистрируется. Еще одна особенность невусы Мейерсона преимущественно развиваются в мужчин в возрасте старше 30 лет. Женщины этой проблеме подвержены гораздо реже.
Невусы хало
Получили свое название за счет одноименного атмосферного явления. Вокруг родинки начинает появляться и развиваться бледное белесое кольцо. До конца жизни такое образование не задерживается, даже если с ним ничего не делать. Сначала кольцо меняет свой цвет на розовый, а потом пропадает. В некоторых случаях вокруг новообразования на протяжении жизни пациента могут появляться новые хало.
Шпиц невусы
Родинки чуть приподняты над кожей и имеют куполообразную форму. Само образование розоватого оттенка, оно относится к приобретенным и появляется на коже у пациентов в молодом возрасте. Окраска может быть другой. Поверхность невуса часто повреждается и начинает кровоточить. В итоге такие родинки врачи часто путают со злокачественными, направляя пациента на гистологическое обследование.
Невусы Рида
Цвет у образований варьируется, они могут быть черные или темно-коричневые (ближе к черному оттенку). В основном развиваются у женщин. Особенность новообразования оно очень быстро увеличивается в размере, из-за чего вызывает опасение у врачей. На деле такие родинки преимущественно неопасны и редко перерастают в раковые.
Агминированные
Представляют собой сразу несколько родинок, которые сконцентрированы на небольшом участке кожи. Особенность образования все невусы не одинаковые между собой. Некоторые могут быть больше, некоторые меньше. Также среди плоских образований могут появляться куполообразные и пр.
Выше перечислены только основные виды родинок. На самом деле таких новообразований на коже огромное количество. Чтобы определить, к какому именно виду принадлежит та или иная родинка на теле у пациента, обратившегося за медицинской помощью, врачи проводят дерматоскопию.
Папилломатозный невус
На теле человека встречается большое количество новообразований. Не все они относятся к родинкам. Так, появляться могут бородавки, кондиломы, папилломы и прочие образования. При постановке окончательного диагноза вся сложность заключается в том, что перечисленные виды новообразований часто по внешнему виду ничем не отличаются от обычных невусов. Самым проблематичным принято считать папилломатозный невус. По внешнему виду он ничем не отличается от обычной папилломы, вызванной ВПЧ. Но при проведении исследований выявляется, что это бугристая родинка выпуклого типа. Родинка доброкачественная, риска перерождения в рак нет. Поверхность имеет телесный, буроватый или светло-коричневый оттенок. Темные родинки этого типа встречаются крайне редко.
Характерное чертой для таких родинок является наличие волос на поверхности. В основном они появляются на голове или шее, на других участках тела развиваться могут, но в очень крайних случаях.
Появление не привязано к определенному возрастному периоду. Они развиваться и у подростков, и у стариков. Родинка растет со временем, иногда она увеличивается в размере настолько, что начинает доставлять дискомфорт носителю. Если невус расположен на голове, его легко повредить во время расчесывания волос. Это приводит к началу воспалительных процессов, которые затрагивают и близлежащие ткани.
Невус неопасен, его удаление в основном осуществляется только с косметической целью. Наибольшего дискомфорта людям доставляют родинки на лице, которые заметны всем окружающим. Перед тем, как решиться на процедуру иссечения новообразования, важно обратиться к дерматологу. Только после всех проведенных исследований будет установлен конкретный тип невуса, а также оценена вероятность перерождения проблемы. Самостоятельно определить, что именно у вас появилось на теле практически невозможно.
Показаниями к удалению также могут стать постоянные повреждения поверхности невуса. Чаще всего для борьбы с образованием применяется сразу несколько методик:
Если образование проявилось на лице, чаще всего выбирают именно лазерную терапию.
Внутридермальный невус
Разновидность обычных невусов, которые имеют куполообразную форму. Такие родинки редко появляются в детском возрасте, зато они крайне распространены у взрослого населения. На теле может одновременно появляться до десяти таких образований на теле. Свое название подобные новообразования получили за счет того, что находятся под верхним слоем эпидермиса. Часто такие родинки сложно заметить, они почти не выделяются над поверхностью тела, а их оттенок близок к окружающим тканям.
Невус может появиться практически на любом участке. Излюбленные места новообразования верхняя часть рук, веки, шея, лицо и пр. Максимальный размер родинок до 1 сантиметра. При появлении в детском возрасте невусы практически незаметны, но с возрастом они начинают темнеть, часто приобретают выпуклую форму. Если родинка сохраняется и дальше, то после 70 лет она начнет постепенно обесцвечиваться.
Существует несколько причин, по которым могут образовываться внутридермальные невусы на теле человека:
- Наследственные факторы. Если на теле у родителей малыша насчитывается более 50 обычных родинок, то и у ребенка невусы будут носить множественных характер.
- Воздействие солнечных лучей. Ультрафиолетовое излучение негативно воздействует на кожу, вызывая ее повреждение. На месте часто появляются родинки. В зоне риска находятся люди со слишком светлой кожей.
- Снижение иммунитета. Чаще всего невусы начинают формироваться на фоне сниженного иммунитета, в том числе и после приема препаратов, подавляющих иммунитет.
Даже обычные родинки, которые имеют симметричный вид и не увеличиваются в размерах, важно постоянно контролировать. Устраивать проверки у дерматолога лучше не реже одного раза в год, так удастся выявить проблему на ранней стадии ее появления. Запланировать поход к специалисту вне расписания стоит в случае, если родинка начала увеличиваться, поменяла свою форму, приобрела другой оттенок, начала кровоточить.
Дерматолог может назначить процедуру по иссечению родинки в случае, если она доставляет косметический дискомфорт носителю, если существует риск перерождения новообразования в меланому, если поверхность невуса постоянно повреждается в течение дня.
Эпидермальный невус
Как понятно из названия, к данной категории относят родинки, который образовываются из верхних клеток эпидермиса. В основном новообразования есть на теле ребенка уже после рождения, подавляющая часть таких невусов также появляется в первый год жизни малыша. Отличительная особенность новообразования оно остается неизменным по форме и размеру в течение всей жизни человека.
Эпидермальные невусы подразделяют на несколько видов в зависимости от клеток, которые входят в их состав. Самыми непредсказуемыми принято считать образования, в состав которых входят не только кератиноциты, но и клетки потовых желез. Образования имеют желто-оранжевый оттенок, в 25% случаях они перерождаются в злокачественные опухоли.
Беспигментные родинки
Для большинства видов характерна окраска от светло-розового до черного оттенка. Существует несколько исключений из правил. Так, иногда невус может не иметь пигмента. Выявить такие родинки просто они представляют собой белесое или светловатое пятно с нечеткими границами и неправильной формой. Родинки без пигмента могут появляться только на теле европейцев.
Для родинок без пигмента характерен небольшой размер до 2 сантиметров. В основном показанием к удалению становится только косметическая сторона вопроса. Если человек часто загорает, невус так и остается светлого цвета, в итоге очень выделяется на коже и привлекает к себе внимание.
Пограничный невус
Свое название образования получили за счет того, что часто перерастают в злокачественные образования. Важно постоянно контролировать такие родинки и обращаться к дерматологу при обнаружении любых изменений.
Такие родинки скрыты под роговым слоем кожи, они имеют однородную коричневую окраску, четкие границы. Вызвать опасения у пациента и спровоцировать обращение к дерматологу должны следующие факторы:
- родинка начинает увеличиваться в размере;
- меняет свой цвет темнеет или светлеет;
- вокруг прилегающей зоны начали появляться пигментные пятна разного вида;
- родинка стала плотной, выделяющейся над поверхностью кожи;
- появилась болезненность в родинке, поверхность сильно чешется.
Как поступить с огромными невусами
Подавляющее количество невусов небольшие образования на коже диаметров несколько миллиметров, которые практически незаметны невооруженным взглядом. Исключения составляют образования, которые в диаметре превышают 20 сантиметров. Их относят к категории огромных. Родинка может покрывать большую часть руки, ноги, спины и пр. Такие родинки могут появляться на теле представителей любой расы. Развиваются они практически у 2% населения нашей планеты. Главная опасность невусов большого размера: они часто перерождаются в злокачественные. Крайне нестабильными принято считать образования, которые появляются в районе позвоночного столба. Вызвать опасения должны родинки, которые продолжают быстро увеличиваться в размерах, а также менять свой цвет.
Самые неприятные огромные невусы на теле у новорожденных детей. Так как ребенок со временем растет, родителям кажется, что родинка уменьшается в размере, на деле она продолжает также расти, чуть не успевая за всем телом.
В 30% случаев такие невусы становятся меланомой. Они должны быть под контролем у врача. Перерождение может наступить абсолютно в любом возрасте. Показано удаление гигантских невусов. Чаще всего используется метод хирургического иссечения. Если родинка расположена в труднодоступном месте, пациенту могут быть предложены альтернативные методики лечения. Удаление возможно в том числе и с помощью лазерной терапии.
Невусы на голове
Такие образования чаще всего удаляют именно из-за косметических причин. Если родинка находится на поверхности тела, какой бы размер она не имела, ее практически всегда можно скрыть под одеждой. Невусы на голове невозможно скрыть. Некоторые пациенты считают, что родинка подчеркивает их индивидуальность, другие уверены в том, что такое образование только портит их красоту. В итоге пациенты часто обращаются за удалением даже тех невусов, которые никогда не станут злокачественными.
Часто удаляют не только родинки на голове, но и новообразования на шее. Главная опасность таких родинок они часто трутся о поверхность одежды, в итоге повреждаются, что увеличивает риск перерождения. На голове невусы также возникают в районе волос. Они практически незаметны невооруженным вглядом, часто прощупываются пациентом при мытье головы и других процедурах. Главная опасность новообразований их легко повредить во время банального расчесывания волос. На голове в области волосяного покрова также часто появляются невусы, включающие в себя клетки сальных желез. Для них характерна форма бородавки с отсутствие на поверхности волос, а также неправильная форма. Вызвать появление могут вирусы папилломы человека, а также наследственные факторы.
Большинство родинок на голове появляется при рождении ребенка. Образование осматривают, делают исследования, чтобы поставить окончательный диагноз. В детском возрасте новообразования удаляются редко, так как они не подвержены перерождению в этот период. Оно наступает чаще всего во время полового созревания. Метод удаления выбирается в зависимости от размеров образования. Если невус небольшой, от него можно избавиться с помощью лазерной терапии, для борьбы с крупными образованиями потребуется хирургическое вмешательство.
Важно помнить о том, что на данный момент не существует волшебной таблетки, которая смогла бы убрать с кожи человека все опасные родинки, которые могут стать злокачественными. Важно следить за состоянием невусов и обращать внимания на любые изменения.
Родинки успешно удаляются. Все зависит от размера, квалификации медицинского специалиста, а также места расположения невуса.
Удаление невусов в "Лазер Плюс"
Родинки давно перестали считаться серьезной проблемой. Такие образования на коже легко убираются в косметологических салонах. Стоимость процедуры невысокая. Важно помнить о том, что гарантировать хороший результат при удалении вам смогут только в оборудованной клинике с квалифицированным персоналом.
Перед началом вмешательства важно провести комплексную диагностику родинки. Просто посмотреть образование на коже и поставить диагноз невозможно. Существует большое количество невусов, которые схожи между собой по внешнему виду, но имеют абсолютно разное строение.
Невус папилломатозный Унны
Уфимцева М.А. 3 Спирин А.В. 3 Гагиев В.В. 2 Чернядьев С.А. 3 Бочкарёв Ю.М. 3 Шубина А.С. 1, 3 Ворожейкина И.Н. 2 Никулин И.П. 2 Савченко Н.В. 3 Хороводников И.В. 3
Эпидермальные невусы (ЭН) – кожные гамартомы, характеризующиеся множеством клинических форм, сходным гистологическим строением. Эпидермальные невусы в 80,0% случаев отмечаются в первый год жизни, носят спорадический характер, но могут проявляться в течение жизни. В таком случае необходимо проводить дифференциальную диагностику с унилатеральными дерматозами, такими как красный плоский лишай, псориаз, склеродермия, нейродермит, гемиатрофия Ромберга, витилиго, экзема, болезнь Шамберга, склероатрофический лихен, первичный амилоидоз кожи. Целью данного исследования стала демонстрация клинических случаев эпидермальных невусов, описание клинической, патоморфологической картины и трудностей диагностики в качестве иллюстрации междисциплинарной преемственности дерматовенерологов и патологоанатомов при установлении диагноза эпидермального невуса. Представлен клинический случай пациента восемнадцати лет с подтвержденным диагнозом линейного бородавчатого позднего эпидермального воспалительного невуса. Описаны клиническая, патоморфологическая картина и трудности диагностики в связи с путаницей термина «невус», используемого в литературе для обозначения как доброкачественных меланоцитарных опухолей, так и пороков развития кожи. При диагностике эпидермального невуса морфологи должны учитывать клинические данные, и прежде всего макроскопическую картину, не ограничиваясь только данными гистологии, которые не имеют признаков специфичности. Необходимо повышать междисциплинарную преемственность дерматовенерологов и патологоанатомов при установлении диагноза эпидермального невуса.
1. Елькин В.Д., Митрюковский Л.С., Лысов А.Ю. Практическая дерматоонкология: ил. справ. руководство по опухолям кожи, опухолеподобным заболеваниям и связанным с ними синдромами: справочное издание. М.: Практическая медицина. 2014. 480 с.
2. Молочков В.А., Молочков А.В., Хлебникова А.Н., Кунцевич Ж.С. Эпителиальные опухоли кожи. М.: Издательство БИНОМ. 2012. 224 с.
3. Wollina U., Tchernev G. ILVEN - complete remission after administration of topical corticosteroid (case review). Georgian Med News. 2017. no 263. P. 10-13.
4. Guerouaz N., Hassam B. Linear inflammatory verrucous epidermal nevus. Pan. Afr. Med. J. 2015. no 22. Р. 177. DOI: 10.11604/pamj.2015.22.177.7451.
6. Gianfaldoni S., Tchernev G., Gianfaldoni R., Wollina U., Lotti T. A Case of “Inflammatory Linear Verrucous Epidermal Nevus” (ILVEN) Treated with CO2 Laser Ablation. Open Access Maced. J. Med. Sci. 2017. no 5. P. 454-457.
7. Gon Airton dos Santos, Minelli Lorivaldo, Franzon Paula Guiomar Ubirajara. Case for diagnosis. An Bras Dermatol. 2010. no 85. Р. 729-731.
8. Ravi Prakash S.M., Gupta S., Kamarthi N., Goel S. Inflammatory linear verrucous epidermal nevus and regional odontodysplasia: A rare sorority. Indian J Dent. 2015. no 6. P. 203-206. DOI: 10.4103/0975-962X.160348.
9. Кемпф В., Ханчке М., Кутцнер Х., Бургдорф В. Дерматопатология: пер. с нем. М.: Мед. лит. 2015. 304 с.
10. Тлиш М.М., Сычева Н. ., Осмоловская П.С., Псавок Ф.А. Линейный эпидермальный веррукозный воспалительный невус (ILVEN) // Вестник дерматологии и венерологии. 2017. № 3. С. 53-57. DOI: 10.25208/0042-4609-2017-0-3-53-57.
Термин «эпидермальный невус» (ЭН) объединяет ряд кожных гамартом с общими клиническими и гистологическими признаками, это пороки развития, сформированные зрелыми или почти зрелыми компонентами эпидермиса, сальных желез, волосяных фолликулов, апокринных и эккринных потовых желез и их комбинациями [1; 2].
ЭН в 80,0% случаев отмечаются в первый год жизни, носят спорадический характер, крайне редко возникают у взрослых. В таких случаях необходимо проводить дифференциальную диагностику ЭН с унилатеральными дерматозами. Унилатеральные дерматозы – это приобретенные кожные заболевания, высыпания при которых имеют одностороннюю локализацию, при этом сохраняются классические клинические и гистологические признаки, характерные для данной патологии. Унилатеральное расположение высыпаний описано при красном плоском лишае, псориазе, склеродермии, нейродермите, гемиатрофии Ромберга, витилиго, экземе, болезни Шамберга, склероатрофическом лихене, первичном амилоидозе кожи [3; 4].
Описание клинического случая
Пациент М., 18 лет, студент военного института внутренних войск, направлен на консультацию для уточнения характера дерматоза.
Жалоб не предъявлял, впервые высыпания на коже груди появились 6 месяцев назад, постепенно количество элементов увеличивалось и распространилось на внутреннюю поверхность предплечья. Наследственность не отягощена. Дерматовенерологом был установлен диагноз линеарного бородавчатого эпидермального невуса грудной клетки слева, левой верхней конечности. Проведено гистологическое исследование элемента с внутренней поверхности предплечья. Получено следующее патоморфологическое заключение: «Фибропапиллома. В строме картина хронического продуктивного воспаления, эпидермис с явлениями акантоза. Структуры невуса при исследовании серийных срезов не определяются». Пациент направлен на консультацию на кафедру кожных и венерических болезней УГМУ с целью уточнения характера дерматоза и для дальнейшего определения категории годности к военной службе.
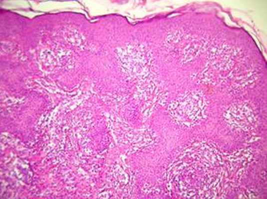
Status specialis: на коже передней грудной клетки слева по линиям Блашко с переходом на подмышечную область, внутреннюю поверхность предплечья имеются мягкие тесно прилегающие друг к другу папулы светло-коричневого цвета (рисунок 1а).
В связи с несоответствием патоморфологического заключения клиническим данным гистологические препараты были проконсультированы на кафедре патологической анатомии УГМУ (доцент А.В. Спирин). Результат пересмотра гистологических препаратов: «В биоптате фрагмент кожи, состоящий из множественных линейно сгруппированных папилломатозных образований неправильной формы, тесно прилежащих друг к другу (рисунок 1б), с акантозом (рисунок 3г), мелкими внутриэпидермальными роговыми кистами (рисунок 1в) и выраженным диффузным воспалительным инфильтратом в дерме (рисунок 1г). Клеточный состав инфильтрата представлен лимфоцитами, плазматическими клетками и макрофагами. Элементы меланоцитарного невуса («невусные клетки») отсутствуют.
Заключение: морфологическая картина не имеет черт специфичности, что не позволяет высказаться об ее нозологической принадлежности. Однако, с учетом макроскопической картины (рисунок 1а), можно говорить о линеарном (линейном) бородавчатом позднем эпидермальном воспалительном невусе (ILVEN)».


Рис. 1. Патоморфология ЭН у пациента М.: а) макроскопическая картина; б) папилломатоз. х 32; в) роговые кисты. х100; г) выраженный акантоз и продуктивное воспаление в дерме. х70 (б, в, г – окраска Г+Э)
Таким образом, одной из особенностей представленного наблюдения является неверная верификация характера патологического процесса при патоморфологическом исследовании биоптата кожи. Дело в том, что практические морфологи, как правило, имеют дело с диагностикой меланоцитарных невусов (МН), в связи с чем диагноз «невус» ассоциируется у них именно с МН. Поэтому в первом заключении имеется указание на отсутствие «структуры невуса» и устанавливается диагноз фибропапилломы. Говоря о терминологии, следует отметить, что существует путаница в смысловом понимании термина «невус» (Червонная Л.В., 2014), которым принято обозначать как МН, так и ЭН, хотя предшественником невусной клетки является меланоцит, а ЭН возникают из плюрипотентных герминативных клеток базального слоя эмбрионального эпидермиса. Несмотря на различие в гистогенезе этих образований, в литературе тем не менее существует устоявшаяся традиция называть пороки развития невусами. По мнению автора, в таких случаях термин «невус» целесообразно заключать в кавычки [5]. Следовательно, при формулировании заключения морфологи должны учитывать клинические данные, и прежде всего макроскопическую картину, не ограничиваясь только данными гистологии, которые, как указано во втором заключении, не имеют черт специфичности.
Линейный бородавчатый эпидермальный воспалительный невус (ILVEN) впервые описан Унной в 1896 году [6]. ILVEN диагностируется при клиническом и гистологическом исследовании. Классические клинические критерии диагностики, предложенные Альтманом и Мехреганом в 1971 году и позднее измененные Морагом и Метцкером в 1985 году, включают: ранний возраст начала заболевания, преобладание у женщин, частое поражение левой ноги, зуд, характерный псориазоподобный вид и выраженную рефрактерность к терапии [7].
По клинической картине ЭН бывают солитарными и множественными, носят линейный характер, располагаются чаще на сгибательной поверхности конечностей, образованы пигментированными бородавчатыми узелками, редко поражают слизистые оболочки. Выделяют одностороннюю (nevus unius lateralis) и диссеминированную (системный эпидермальный невус) разновидности, а также ряд клинических вариантов ЭН: папилломатозный мягкий эпидермальный невус, бородавчатый эпидермальный невус (рисунки 2, 3), акантолитический эпидермальный невус, гиперкератоз невиформный околососкового кружка и соска молочной железы, синдром эпидермального невуса 4. Существуют другие варианты ЭН, отличающиеся морфологический структурой, включают в себя невус сальных желёз (рисунок 4), комедональный невус, сирингоцистому, невус Беккера (рисунок 5) [8].


Рис. 2 а, б. Бородавчатый эпидермальный невус: унилатеральные, бляшковидные светло-коричневые пятнистые высыпания на коже туловища слева, веррукозные в подмышечной области, не пересекающие среднюю линию туловища (фото из архива А.С. Шубиной)


Рис. 3 а, б. Бородавчатый эпидермальный невус: пятнистые,
веррукозные высыпания на коже шеи слева, сгибательной поверхности левой конечности (фото из архива М.А. Уфимцевой)

Рис. 4. Невус сальных желёз: на передней поверхности грудной клетки веррукозные папулы жёлто-розового цвета (фото из архива А.С. Шубиной)

Рис. 5. Невус Беккера: в правой лопаточной области с переходом на плечо очаг гиперпигментации в виде пятна неправильной формы, с нечеткими границами
(фото из архива А.С. Шубиной)
При патоморфологической диагностике ЭН необходимо учитывать наличие следующих неспецифических гистологических признаков: гиперкератоз, акантоз и папилломатоз, а при диагностике воспалительного линейного бородавчатого ЭН – очаговый паракератоз и неспецифический мононуклеарный инфильтрат в сосочковом слое дермы.
При мономорфных папулезных высыпаниях в перечень дифференциальной диагностики, кроме того, необходимо включать унилатеральные формы псориаза, красного плоского лишая. Для псориаза характерны гиперпаракератоз, скопления нейтрофильных гранулоцитов в шиповатом слое (пустулы Когоя) и в области гиперкератотического ороговения (микроабсцессы Мунро), очаговая потеря зернистого слоя, побледнение эпидермиса и уплощение надсосочкового слоя с истончением эпидермиса над удлиненными сосочками дермы, однообразный акантоз с удлинением межсосочковых клиньев эпидермиса, эктатические капилляры в удлиненных сосочках дермы (папилломатоз). Поверхностный периваскулярный лимфоцитарный инфильтрат с примесью отдельных нейтрофильных гранулоцитов. Красный плоский лишай характеризуется следующими признаками: ограниченный гиперкератоз, V-образное утолщение зернистого слоя, акантоз с межсосочковыми клиньями эпидермиса в форме зубьев пилы, дерматит пограничной зоны с вакуольной дегенерацией дермо-эпидермального соединения и апоптотическими кератиноцитами в базальном слое (тела Givatte), субэпидермальный полосовидный преимущественно лимфоцитарный инфильтрат [5; 9].
Воспалительный линейный веррукозный эпидермальный невус вызван соматическими мутациями, которые приводят к генетическому мозаицизму, и, хотя его физиопатология до сих пор неясна, считается, что это может быть связано с увеличением продукции интерлейкинов-1 и 6, фактора некроза опухоли-альфа, и молекула межклеточной адгезии [7; 10].
В литературе описаны случаи сочетания ILVEN с другими дефектами развития, в особенности центральной нервной системы, зрительной и скелетной систем. S.M. Ravi Prakash et al. (2015) представляют клинический случай пациента с синдромом воспалительного линейного веррукозного эпидермального невуса, сопровождающегося региональной одонтодисплазией, которая представляет собой наследственные нарушения структуры зубов по типу phantom teeth [8]. Это подчеркивает важность тщательного обследования детей с ЭН с участием невролога, офтальмолога, ортопеда и стоматолога для планирования тактики ведения таких пациентов.
Таким образом, представленный клинический случай заслуживает внимания как редкий дерматоз и, кроме того, указывает на необходимость повышения междисциплинарной преемственности между дерматовенерологами и патологоанатомами при постановке диагноза ЭН.
Папилломатозный невус
Папилломатозный невус (Унны) — это разновидность внутридермального или сложного приобретенного меланоцитарного невуса. Как и все меланоцитарные образования, он способен переродиться в меланому. Родинки, чаще всего, располагаются на коже туловища, руках, шее. Поверхность однородна, характерна схожесть с ягодой шелковицей. Родинка мягкая на ощупь, розовой или коричневой окраски. Иногда, папилломатозный невус покрывается чешуйками, коричневыми корочками на поверхности. Некоторые родинки имеют бородавчатую поверхность, редко — форму полипов. Папилломатозный невус появляется чаще всего, постепенно, в течение многих лет возвышаясь из более плоского образования. Раздражение, болевые ощущения из-за травмы одеждой — вещь нередкая для подобных образований кожи. Поэтому, родинки могут выглядеть воспаленными, кровоточить, но эти изменения самостоятельно проходят. Большинство из папилломатозных невусов являются приобретенными. Однако, часть врожденных конгенитальных невусов, в том числе, крупных, имеют папилломатозную поверхность.

Сложный папилломатозный невус на фото имеет едва заметный ободок у основания. Поверхность гладкая, блестящая.

Особенности строения папилломатозного невуса.
Гистологически (под микроскопом) папилломатозный невус (Унны) имеет изменения эпидермиса по типу гиперкератоза, акантоза или папилломатоза, что и дает такие внешние признаки, как наличие корочек, чешуек. Большинство папилломатозных невусов гистологически имеют строение сложных меланоцитарных невусов. Внешне у них можно выделить возвышающуюся папилломатозную часть и окружающую плоскую в виде коричневого ободка. В области возвышающейся части родинки меланоциты располагаются в верхних слоях дермы, в области ободка — в нижних слоях эпидермиса. Если папилломатозный невус по строению является внутридермальным пигментным, все меланоциты находятся в верхних слоях дермы (плотного слоя кожи). Внутридермальный папилломатозный невус, обычно, более светел, сильнее выступает над уровнем кожи, у него нет темного ободка.
Папилломатозный невус и похожие опухоли кожи.
- Благодаря характерному внешнему виду, особенно, когда существуют очаги ороговения и небольшие кисты, папилломатозный невус может напоминать себорейный кератоз (статические бородавки). Папилломатозный невус более мягкий на ощупь, на его поверхности различим кожный рисунок, который деформируется при смещении. Характер распространения себорейного кератоза множественный, папилломатозные невусы — единичные образования. Множество врачей разных профилей, большинство хирургов, некоторые дерматологии и онкологи не видят отличий между папилломатозным невусом и себорейным кератозом. В то же время, отличия в строении этих образований кожи значительны, а подходы к лечению различаются.
- Так же, не стоит путать подобные образования с эпидермальными бородавчатыми невусами. Папилломатозный невус имеет принципиально иное строение, являясь меланоцитарной опухолью. Бородавчатый невус появляется в результате нарушения развития эпидермиса, не содержит меланоцитов. Бородавчатый невус всегда врожденный, часто линейной формы, более плотный, покрыт мелкими жесткими шипиками, а не сосочками.
- Постоянные травмы могут повлечь изменения внешнего вида и пигментации, что вызывает подозрение на меланому. Постоянные травмы увеличивают вероятность появления меланомы. Удаление папилломатозного невуса с гистологическим исследованием — радикальное решение диагностических затруднений.
- Мягкая фиброма или кожный фиброзный полип могут быть внешне не отличимы от внутридермального папилломатозного невуса, если последний имеет телесную окраску. Однако, мягкая фиброма и фиброзный кожный полип располагаются на более узком основании.
Удаление папилломатозного невуса.
Удаление папилломатозного невуса необходимо в случаях постоянной травматизации, по косметическим причинам, или для исключения меланомы. Если папилломатозный невус не является еще и диспластическим — риск превращения в меланому невелик. В случае постоянных повреждений в местах трения частями тела или одеждой увеличивается вероятность превращения в меланому.
Принципиально удаление папилломатозного невуса не отличается от удаления обычного меланоцитарного невуса кожи. Так же, осуществимо при помощи лазера, хирургического метода, электрокоагуляции или радиоволновым методом. Криодеструкцию использовать не стоит из-за особенностей строения этих родинок, они плохо восприимчивы к этому методу. Биопсию можно взять при помощи скальпеля или радиоволновым аппаратом непосредственно во время удаления. Если удаление проводят лазером или электрокоагуляцией — биопсию берут скальпелем перед процедурой. Глубина хирургического удаления — на всю толщу кожи. При помощи радиоволнового метода, лазером или электрокоагуляции папилломатозный невус нужно удалять до верхних слоёв дермы, где находятся меланоциты. Уход за раной стандартный для этих методов.
Читайте также:
