Невус Рида
Добавил пользователь Владимир З. Обновлено: 08.01.2026
ФГБУ «Национальный медицинский исследовательский центр онкологии им. Н.Н. Блохина» Минздрава России
ФГБОУ ДПО «Российская медицинская академия непрерывного профессионального образования»
ФГБОУ ДПО «Российская медицинская академия непрерывного профессионального образования»
ФГБУ «Национальный медицинский исследовательский центр онкологии им. Н.Н. Блохина» Минздрава России
Невус Рида и меланома кожи у детей. Иммуногистохимическое исследование
Журнал: Архив патологии. 2021;83(3): 30‑34
ФГБУ «Национальный медицинский исследовательский центр онкологии им. Н.Н. Блохина» Минздрава России
Дифференциальная диагностика между невусом Рида, который часто встречается у детей и подростков, и меланомой кожи, обнаруживаемой у пациентов данной возрастной группы крайне редко, представляет определенные трудности. Для повышения точности диагностики пигментного новообразования кожи в дополнение к классическому гистологическому исследованию проводят иммуногистохимический тест на маркерные белки.
ЦЕЛЬ ИССЛЕДОВАНИЯ
Оценка пригодности комплекса белков (циклина Д1, p16 INK4a и HLA-антигенов I класса) при дифференциальной диагностике невуса Рида и меланомы кожи у детей и подростков.
МАТЕРИАЛ И МЕТОДЫ
РЕЗУЛЬТАТЫ
Обнаружены различия между невусом и меланомой в экспрессии всех трех маркеров. Так, в образцах невуса ядерная экспрессия циклина Д1, активатора пролиферации, имела место в части клеток, в меланоме — в подавляющем большинстве клеток. Ядерная экспрессия ингибитора клеточных делений p16 INK4a в меланоме оказалась резко снижена по сравнению с невусом. HLA-антигены I класса выявлялись на поверхности отдельных клеток невуса, но полностью отсутствовали на мембранах и в цитоплазме клеток меланомы, что могло способствовать «ускользанию» этой опухоли от иммунологического надзора организма.
ЗАКЛЮЧЕНИЕ
Использование иммуногистохимического теста на белки циклин Д1, p16 INK4a и HLA-антигены I класса представляется перспективным подходом к дифференциальной диагностике между невусом Рида и меланомой кожи у детей и подростков.
ФГБУ «Национальный медицинский исследовательский центр онкологии им. Н.Н. Блохина» Минздрава России
ФГБОУ ДПО «Российская медицинская академия непрерывного профессионального образования»
ФГБОУ ДПО «Российская медицинская академия непрерывного профессионального образования»
ФГБУ «Национальный медицинский исследовательский центр онкологии им. Н.Н. Блохина» Минздрава России
Дата принятия в печать:
Меланома кожи является высокозлокачественной опухолью. При диагностике этой опухоли на ранних стадиях хирургическое лечение оказывается успешным, однако с началом метастазирования выживаемость пациентов резко уменьшается даже в условиях применения таргетной терапии [1, 2].
У детей меланома кожи встречается крайне редко. Так, P. Dean и соавт. [3] за 35-летний период наблюдения в Канаде выявили 2,5 случая меланомы кожи на 1 млн детей в возрасте до 18 лет. В России меланома кожи у детей и подростков тоже является редким заболеванием [4]. Отмечена, однако, тревожная тенденция — учащение случаев меланомы кожи среди некоторых детских контингентов [5]. Среди специалистов утвердилась точка зрения, согласно которой меланому кожи у детей отличает от меланомы кожи у более взрослых больных ряд биологических и клинических черт [2, 6, 7].
Меланому кожи может напоминать невус Рида — пигментированная опухоль из веретеновидных клеток [8]. Невус располагается поверхностно, в эпидермисе и сосочковом слое дермы; диаметр его может достигать 17 мм. Невус Рида обычно диагностируется у молодых пациентов. В первые несколько месяцев после обнаружения он быстро увеличивается в размерах, а затем стабилизируется. Поскольку невус Рида обычно подвергают хирургическому иссечению до того, как рост его прекращается, вопрос о частоте, с которой это пигментное новообразование способно малигнизироваться, остается неясным. Сходство с меланомой кожи невус Рида проявляет, в частности, по интенсивной пигментации, поэтому до выполнения гистологического исследования предварительным диагнозом у пациентов с невусом Рида очень часто является меланома кожи. Изучение невуса Рида тесно связано с исследованием другого меланоцитарного новообразования кожи, описанного в 1948 г. американским дерматологом Софией Шпиц [9], получившего название «невус Шпиц» и до недавнего времени именовавшегося также ювенильной меланомой. Нозологическая самостоятельность невусов Рида и Шпиц остается предметом дискуссии [10—12]. Невус Рида, как и невус Шпиц, имеет большое сходство с меланомой кожи, поэтому нередко диагноз ставится под сомнение и приводит к большим разногласиям в тактике лечения таких больных: от рекомендации в дальнейшем лечение не проводить до показания широкого иссечения новообразования. Заслуживает упоминания в этой связи масштабная работа с участием 187 патологоанатомов, давших в общей сложности около 9000 независимых гистологических заключений по «шпицоидным» меланоцитарным новообразованиям: более 70% из них высказались о желательности выяснить точку зрения второго патологоанатома до окончательного морфологического заключения [11].
Использование молекулярных маркеров нередко позволяет снять разногласия при диагностике пигментных новообразований кожи [13]. Однако, насколько нам известно, подобные исследования невуса Рида пока не проводились. Ранее, основываясь на данных литературы, мы предложили в качестве возможного подхода к дифференциальной диагностике между пигментным невусом и меланомой кожи у детей проводить иммуногистохимическую детекцию комплекса белков — p16 INK4a , CCND1 (циклина Д1) и HLA-антигенов I класса [14]. Адекватность такого подхода подтвердилась при сопоставлении гигантского невуса и меланомы кожи [15].
Цель настоящей работы — оценка пригодности перечисленных выше белков при дифференциальной диагностике невуса Рида и меланомы кожи у детей и подростков.
Материал и методы
Были использованы три образца опухолей кожи: пигментированный веретеноклеточный невус Рида от 9-летней девочки (больная М.) и 15-летнего юноши (больной Я.), а также поверхностно распространяющаяся эпителиоидноклеточная пигментная меланома кожи, возникшая у больной Г. 8 лет. Меланома кожи на основании морфологической картины и результатов иммунофенотипирования была охарактеризована как находящаяся в вертикальной фазе роста, соответствующая 3-му уровню инвазии по Кларку, имеющая толщину по Бреслоу 13 мм, без резорбции, с выраженной лимфоидно-гистиоцитарной инфильтрацией, до 4 митозов на 1 мм 2 , без признаков сосудистой инвазии. Все три образца были получены при хирургическом лечении в НМИЦ онкологии им. Н.Н. Блохина Минздрава России и представлены для проведения настоящего исследования парафиновыми блоками.
Процедуры иммуногистохимического окрашивания, а также использованные при этом реагенты и оборудование описаны ранее [15]. Для оценки окрашивания проводили подсчет клеток с положительной реакцией в 100 клетках новообразования в трех полях зрения и выражали этот показатель в процентах.
Результаты и обсуждение
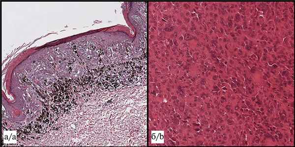
Микрофотографии невуса Рида и меланомы кожи, полученные при традиционном гистологическом исследовании, представлены на рис. 1.

Рис. 1. Морфологическая картина невуса Рида и меланомы кожи.
а — невус Рида, окраска гематоксилином и эозином, ×10; б — меланома кожи, окраска гематоксилином и эозином, ×20.
Fig. 1. Morphological pattern of Reed nevus and skin melanoma.
Все три белка, детекцию которых провели в иммуногистохимическом тесте, экспрессировались в обоих образцах невуса Рида сходно, однако имелись отличия в экспрессии всех трех маркеров в гистологических срезах меланомы. Так, при окрашивании моноклональными антителами к циклину Д1 положительную иммуногистохимическую реакцию отметили в ядрах приблизительно 30% клеток невуса Рида, тогда как в образце меланомы кожи данный белок был обнаружен в ядрах подавляющего большинства клеток (рис. 2а и 2г соответственно).

Рис. 2. Иммуногистохимические реакции в невусе Рида и меланоме кожи.
а — невус Рида, окрашивание с антителами к Cyclin D1, ×5; б — невус Рида, окрашивание с антителами к p16, ×10; в — невус Рида, окрашивание с антителами к HLA I, ×40; г — меланома кожи, окрашивание с антителами к Cyclin D1, ×10; д — меланома кожи, окрашивание с антителами к p16, ×10; е — меланома кожи, окрашивание с антителами к HLA I, ×20.
Fig. 2. Immunohistochemical reactions in Reed nevus and skin melanoma.
Что касается белка p16 INK4a , то в образцах невуса Рида ярко выраженную ядерную и цитоплазматическую реакцию с моноклональными антителами к этому белку наблюдали приблизительно в 90% клеток (рис. 2б), в то время как в образце меланомы кожи он был обнаружен в разных участках новообразования в ядрах не более 10% клеток, в цитоплазме — не более чем в 20% клеток (рис. 2д).
Экспрессия HLA-антигенов I класса на цитоплазматических мембранах части клеток невуса Рида представлена на рис. 2в. При окраске моноклональными антителами к HLA- антигенам I класса меланомы кожи было зафиксировано полное отсутствие этих белков не только на поверхности клеток, но и внутри них (рис. 2е).
Полученные в настоящей работе результаты в целом соответствуют ожиданиям, сформулированным ранее [14]. Так, экспрессия циклина Д1 в ядрах меланомы была выражена многократно сильнее, чем в ядрах невуса. Данный белок представляет собой активатор циклин Д-зависимых киназ, эту функцию он реализует именно в клеточных ядрах; взаимодействуя с молекулой соответствующей киназы, он способствует продвижению клетки из стадии G1 в стадию S клеточного цикла, тем самым ускоряя пролиферацию клеток [16]. В клетках меланомы кожи взрослых больных число копий гена, кодирующего циклин Д1, нередко увеличивается [17, 18]. Ранее оценка содержания циклина Д1 в клетках пигментных новообразований в иммуногистохимическом тесте позволила J. Oba и соавт. [19] провести успешную дифференциальную диагностику между меланомой кожи и пигментными невусами у взрослых пациентов.
Белок p16 INK4a , как и циклин Д1, свою главную функцию осуществляет в ядре клетки, однако в отличие от циклина Д1 он является не активатором, а ингибитором циклин Д-зависимых киназ [20, 21]. Вполне ожидаемо в клетках меланомы кожи ядерная экспрессия p16 INK4a , являющегося «тормозом» пролиферации, была резко снижена по сравнению с его содержанием в ядрах клеток невуса Рида.
HLA-антигены I класса обнаруживаются на поверхности многих типов клеток, а нарушения их экспрессии — путь к «ускользанию» опухоли от иммунологического надзора организма [22]. В настоящей работе эти антигены присутствовали на мембранах части клеток невуса Рида, тогда как во всех клетках меланомы кожи эти белки полностью отсутствовали не только на клеточных мембранах, но и в цитоплазме, что, по-видимому, указывает на прекращение их синтеза в ходе прогрессии опухоли.
Заключение
Дифференциальная диагностика между невусом Рида, который часто встречается у детей и подростков, и меланомой кожи, обнаруживаемой у пациентов данной возрастной группы крайне редко, представляет определенные трудности. От своевременности постановки диагноза меланомы зависит успех лечения больного ребенка и его жизнь. Дополнение классического гистологического исследования проведением иммуногистохимического теста на маркерные белки пигментного новообразования кожи может повысить точность диагностики. По результатам выполненной работы иммуногистохимический тест на белки циклин Д1, p16 INK4a и HLA-антигены I класса представляется перспективным для дифференциальной диагностики невуса Рида и меланомы кожи у детей и подростков.
Авторы выражают признательность к.м.н. Я.В. Вишневской за предоставление верифицированного клинического материала.
Невус
Все новообразования кожи, синтезирующие пигмент меланин, происходят из одной общей клетки – меланоцита. Невус - это новообразование меланоцитарного происхождения, имеющее доброкачественный характер. Обыватели невус именуют «РОДИНКОЙ». Обобщая их разновидности, можно выделить основные виды: простой невус, ювенильный невус, голубой невус, Саттон невус, врождённый гигантский невус, диспластический невус, невус Рида, меланоз Дюбрейля.

Давайте теперь более подробно рассмотрим хотя бы часть из них, наиболее часто встречающиеся и занимающие наши мысли, а главное, рождающие вопросы.
Простой невус
Наиболее частое из всех пигментообразующих образований кожи. Он видоизменяется по мере старения организма. В детском возрасте он обычно плоский и цветной (различные оттенки коричневой окраски). После 30-35 лет невус, как правило, начинает увеличиваться и по площади, и в высоту, а также, что немаловажно, теряет свою яркую окраску, приобретая телесный цвет. Визуально же, мы с вами в зеркале с возрастом отмечаем перерождение коричневого пятнышка в плотное, объёмное образование телесного цвета, иногда в виде «тутовой ягоды». Такие невусы чаще всего удаляют только из косметических соображений, либо из-за постоянной травматизации в случае их больших размеров или уязвимой локализации.
Чаще всего, при гистологическом исследовании, мы с вами видим не просто термин «простой невус», а различные варианты его: интрадермальный, сложный, смешанный, пограничный и т.д. Эти термины зависят от расположения невусных клеток в структурах кожи. Простой невус можно удалять как лазером, так и радиоволновым скальпелем или электрокоагуляцией. Вариантов предостаточно, и выбор зависит от того, каким вариантом техники владеет Ваш врач.
Лазер Аппарат «Латус».
Радиоволновой метод аппарат «Сургитрон».
Голубой невус
Очередной интересный вид невусов – голубой. Описан впервые ещё в 1906 году. Как его только не «обзывали» - и «доброкачественная меланома» и «меланосаркома с лучшим прогнозом». Однако дальнейшее исследование доказали, что это всего лишь – невус.
Данный вид невусов единственный не связан с эпидермисом и залегает в дерме (глубоко в коже). Так как меланоциты в этом невусе очень активны, они продуцируют столько пигмента, что он, просвечивая сквозь толщу дермы, создаёт такой оптический эффект, что мы видим с вами голубой цвет кожи над поверхностью невуса.
Голубому невусу все возрасты покорны, но чаще всего он определяется у женщин, преимущественно на лице, кистях, стопах. Визуально мы с вами определяем в коже либо пятно, либо бляшку, выбухающую из толщи голубого, а то и синего цвета. Поверхность кожи над невусом не изменена, но волос мы не увидим. Размеры образования до 1.5 см. Крайне редко из голубого невуса возникают меланомы. Но! Из - за схожести клинической картины меланомы и голубого невуса их предпочитают удалять. Помогут в диагностике сроки возникновения. Чем дольше история развития, тем больше вероятность, что это голубой невус. Он может существовать десятками лет без какой-либо динамики. Так как голубой невус лежит глубоко, удаляют его хирургическим путём.
Невус Саттона (гало - невус)
Наиболее часто диагностируется у детей. Имеют характерную клиническую картину: вокруг пигментного пятна с течением времени начинает появляться белесоватый (депигментированный) венчик. Этот венчик растёт, а пятно уменьшается, до полного его исчезновения со временем. Саттон - невус чаще всего локализуется на коже туловища и конечностей. Пациенты иногда могут даже иметь субъективные ощущения в зоне венчика - чувство распирания и зуд. Почему? А потому, что в этой области формируется массивный инфильтрат из иммунных клеток. Клетки невуса в этой области поглощаются иммунокомпетентными клетками - так происходит самопроизвольная резорбция пигментного невуса (это иммунная реакция организма на невус). В 1972 году была статья Lewis и Copeman, которые расценили этот феномен как синдром «крушения» развития меланомы в начальной стадии - как выраженный иммунный ответ организма. Однако, дальнейшиих полномасштабных исследований не проводилось.
В любом случае - невус Саттона - новообразование доброкачественное, удалять его не надо, потерпите - само пройдёт. Пройдет время и белесоватое пятно приобретет цвет обычной кожи и не будет выделяться по цвету.
Очень редко может встречаться у взрослых, обычно его диагностируют у детей, потому он и называется ювенильный.
Клиническая картина: визуально напоминает бляшку с розовато-красным оттенком коричневого цвета. Чёткий контур, диаметром до 0.8 см в большинстве случаев. Кожный рисунок на поверхности невуса сохранен. При травме невуса возникает бурая корка. Чаще всего располагается на коже лица, крайне медленно растёт. Не является меланомоопасным. Хотя в названиях, в интернете, мы часто видим термин ювенильная меланома. Это название связано с трудностями гистологической диагностики - их выраженной схожести. В случае, когда специалист сомневается в диагнозе целесообразно удаление данного невуса с обязательной гистологической верификацией. Хотя, учитывая возраст и клиническую картину, чаще всего эти новообразования просто динамически наблюдаются.
Меланомоопасные невусы
Помимо часто встречающихся невусов, которые можно просто наблюдать, существуют и меланомоопасные невусы - их нужно не столько наблюдать, сколько удалять для исследования. В связи с этим и особое к ним отношение. Кто предубеждён, тот предупреждён. Группа пациентов с данными диагнозами нуждается в профилактическом удалении этих образований. В случае множественного характера - постоянное динамическое наблюдение. Давайте рассмотрим их подробнее.
Из всех доброкачественных меланоцитарных образований предшественниками меланомы можно назвать 3 вида невусов:
Меланоз Дюбрейля. Данное образование появляется у пожилых людей и лиц старческого возраста, чаще у женщин на открытых участках тела. Клиническая картина представлена в виде желтовато-коричневого пятна с равномерным окрасом всей поверхности. Крайне медленно, в течение многих лет оно увеличивается по площади, приобретая все более размытые очертания, приобретая пестроту (полихромию) в окраске - коричневые, серые, белесоватые цвета. На фоне этого пятна, иногда прослеживается единичный волосяной покров. Однако в 30-40 % случаев происходит озлокачествление этого пятна и переход из меланоза в меланому. Визуально, мы с вами это определим по появлению бляшек более тёмного цвета и более плотной консистенции на поверхности пятна. С момента появления желтоватого пятна до развития меланомы может пройти несколько десятков лет. Но, в связи с ухудшением экологической ситуации на планете, появление меланоза Дюбрейля всё чаще регистрируется у лиц среднего возраста. Это заболевание требует хирургического лечения, но при больших размерах иногда ставится вопрос о проведении близкофокусной рентгентерапии.
Невус Рида. Впервые невус описан Ричардом Ридом в 1975 году, почему и назван в честь него. Обнаруживается обычно у детей в возрасте от 6 до 17 лет. Его излюбленная локализация на лице, шее и груди. Имеет единичный характер. Обычно выглядит как бляшка или пятно темно-коричневого цвета, мягко-эластической консистенции, поверхность его гладкая, блестящая. Довольно часто имеет более темный фестончатый край. По периметру невуса иногда можно увидеть розового цвета папулы или выступы в виде лучей. Диаметр невуса обычно не превышает 1 сантиметра. Довольно часто по периметру виден розовый венчик. Лечебная тактика при обнаружении этого образования достаточно однозначна - эксцизионная биопсия - это хирургическое удаление новообразования в пределах здоровых тканей и их гистологическое исследование.
Диспластический невус. У него есть другие названия невус Кларка, либо лентигинозная маланоцитарная дисплазия и последнее, более современное название, клинически атипичный невус. Патология достаточно неоднозначная из-за сложности его дифференциальной диагностики. Этот невус диагностируют в более молодом и среднем возрасте у людей на туловище, обычно на закрытых участках кожи, как это не парадоксально. На вид это пятна, имеющие темно-коричневую окраску, неоднородную, но с четкими фестончатыми краями. Поверхность невуса обычно гладкая, может быть немного приподнятая, «зернистая». Как правило диспластические невусы имеют множественный характер, но бывают и единичные. Самое неприятное в этом диагнозе, что при наличии множественных диспластических невусов характерен высокий риск развития меланомы. Этот риск возрастает, если меланомы диагностировались у ближайших родственников.
Важно
Сочетание меланомы с большим количеством (более 50-ти) диспластических невусов у самого пациента и наличие диспластических невусов у его ближайших родственников объединено в так называемый FAMMсиндром. Риск же появления меланомы на фоне множественных диспластических невусов у следующих поколений по разным литературным данным равен от 90 до 100%.
Поэтому, пациенты, имеющие более 50 невусов на коже и меланому у родственников должен наблюдаться у онколога всю жизнь. Почему? Потому, что очень часто невусы, визуально определяемые как диспластические, гистологически могут ими и не быть. Так и в обратном порядке - невусы удаляемые как сложные, смешанные, пограничные (варианты простого невуса) являются диспластическими при гистологическом исследовании.
Диспластический невус - это в первую очередь именно ГИСТОЛОГИЧЕСКИЙ диагноз.
Но, далеко не каждый диспластический невус перейдёт в меланому. По рекомендациям ВОЗ при множественном характере невуса целесообразно наблюдение и только в случае изменений невуса или его роста более чем на 1-2 мм в год следует его удалять. Удалять его следует с обязательным морфологическим исследованием и в пределах здоровых тканей. Лучше делать это в специализированном учреждении в виду большого числа ложноположительных гистологических диагнозов в связи с трудностями морфологической диагностики. Уж очень схожи диспластический невус и меланома.
Давайте подведём итог. Если мы видим с Вами признаки меланомоопасного невуса - то в этом случае его обязательно надо показать онкологу и рассмотреть возможность его удаления с морфологическим изучением патоморфологом. Если Ваш доктор сообщил при осмотре, что этот вид невуса, с которым вы обратились не является опасным, то удалять его следует когда он травмируется или с косметической целью.
Вопросы и ответы:
1. В чем причина превращения знакомой родинки в злокачественную опухоль?
Главной причиной все исследователи называют ультрафиолетовое излучение. Даже одно «обгорание» в жизни может запустить механизм появление той первой «злой» клетки. А уж солярий - это зло в квадрате для кожи.
Второй, но не менее важной причиной мы можем назвать травму невуса. Хроническую травму! Если вдруг, Вы травмировали (содрали, срезали, сковырнули) невус, это не повод для паники. Меланомы за сутки не образуются - это не пожар. Меланоме нужно достаточно много времени и условий для развития.
К причинам мы можем с вами отнести еще и наследственность и плохую экологию. Рост заболеваемости меланомой растёт из-за плохой экологии, а мы с вами передаём мутации в генах нашим детям. Что же тут удивляться.
2.Есть ли разница между родинкой и невусом?
- Нет, это одно и то же. И в начале текста мы с вами это уже обсудили.
3. Нужно ли обращаться к специалисту, если родинок много?
- Нужно не только обращаться, но и наблюдаться постоянно у него.
4. В каком случае нужно обращаться к врачу?
В случае, если Вы заподозрили у себя меланомоопасный невус, либо саму меланому.
В случае травмы невуса, но не ранее 2-3 недель после травмы, чтобы специалист увидел реальную картину невуса, а не воспаление на месте травмы.
5. Родинка отвалилась сама, опасно ли это?
- Родинки сами не отваливаются. При кератомах, иногда при повреждении фрагменты бляшки могут отваливаться. Так что, нет, это не опасно.
6. Нужно ли удалять родинки?
- Нужно, если это меланомоопасный невус, нет, если подозрений он не вызывает. В любом случае, прежде, чем удалить родинку - проконсультируйтесь у специалиста дерматоонколога, чтобы по незнанию не удалить меланому - неадекватно и несвоевременно.
7. Можно ли самостоятельно определить опасны ли Ваши родинки ?
- Нет, это не возможно. Только имея диплом врача, большой опыт, знания, ну и конечно дерматоскоп.
8. Какие родинки самые опасные - большие, выпуклые, тёмного цвета?
- Нет, иногда, на теле много больших и выпуклых, а врач Вам скажет - ерунда. Зато обратит внимание на маленькую и плоскую родинку, светло -коричневого цвета. Жизнь вообще штука сложная, а наши болячки крайне многолики. Поэтому без словаря (онколога) разобраться очень сложно.
Оформите заявку на сайте, мы свяжемся с вами в ближайшее время и ответим на все интересующие вопросы.
Невус Рида: вопросы дерматоскопического диагноза
История изучения невуса Рида неразрывно связана с описанием другого, чуть менее распространенного меланоцитарного новообразования кожи, описанного известным американским дерматологом Софией Шпиц в 1948 г. [1]. За свои пугающие гистопатологические проявления, доброкачественное клиническое течение и высокую распространенность в детской популяции последнее новообразование получило название «ювенильная меланома» (англ. – melanoma of childhood). Классические работы Артура Аллена окончательно продемонстрировали доброкачественный характер течения невусов Шпиц и поставили точку в дискуссиях о возможной трансформации данного новообразования кожи в меланому [2].
В 1954 г. Хелвиг заявил о несостоятельности термина «ювенильная меланома» и предложил заменить его на более точно отражающий гистопатологическую основу данного доброкачественного новообразования кожи – «веретеноклеточный невус» [3]. После того как на смену названию Хелвига пришел всем известный эпоним (невус Шпиц), в научной литературе развернулась дискуссия относительно корректности использования термина «невус» по отношению к данному виду новообразований кожи. Высказывалась точка зрения о том, что термин «невус» подразумевает доброкачественный характер меланоцитарной пролиферации, в то время как классические описания С.Шпиц указывали на так называемую атипию. В литературе стали появляться попытки замены устоявшегося даже на тот момент времени эпонима (невус Шпиц) на более точные (как тогда казалось авторам): опухоль Шпиц (Spitz tumor) или поражение Шпиц (Spitz lesions) [4].
В 1975 г. в журнале «Seminars in Oncology» была опубликована исторически первая работа, посвященная хорошо пигментированным меланоцитарным новообразованиям кожи, расположенным преимущественно на нижних конечностях, в основном у молодых пациентов [5]. С этой публикации, во-первых, началась история того, что мы сейчас, в современной дерматоонкологии, называем невусом Рида, а во-вторых – большая научная дискуссия о нозологической самостоятельности невуса Рида. Одни исследователи рассматривали невус Рида как пигментированный клинический тип невуса Шпиц, тем самым указывая на принципиальную идентичность указанных новообразований кожи, другие разделяли эти два вида невусов, подчеркивая их эпидемиологические, гистопатологические, клинические, прогностические и другие различия [6–8]. Необходимо отметить, что авторский коллектив настоящей статьи единодушно относится к сторонникам гипотезы о нозологической самостоятельности невуса Рида не столько из-за наличия своеобразной дерматоскопической и клинической картины данного новообразования кожного покрова, сколько вследствие выявления его четких патогистологических особенностей, позволяющих точно дифференцировать его от невуса С.Шпиц.
Клиническая картина невуса Рида не отличается специфическими чертами. Очаги представляют собой темно-коричневые или почти черные одиночные папулезные или бляшечные элементы, расположенные чаще на нижних конечностях у молодых пациентов, как правило, в течение трех первых десятилетий жизни [9]. Четких гендерных различий в показателях распространенности невуса Рида выявлено не было. Учитывая клиническое сходство данного новообразования кожи с невусами Мишера, пигментированными невусами Шпиц и нодулярной меланомой кожи, дерматоскопическое исследование в диагностике невусов Рида играет весьма существенную роль [10].
Считается, что основным дерматоскопическим признаком невуса Рида является то, что на языке метафор принято обозначать как «взрыв звезды». В абсолютном большинстве случаев это так, но есть несколько важных моментов, на которых мы позволим себе остановиться в рамках данной образовательной статьи.
Под очень красочным и запоминающимся метафорическим термином «звездный взрыв» на описательном языке мы подразумеваем два основных дерматоскопических паттерна, расположенных симметрично друг по отношению к другу: паттерн радиальных линий/псевдоподий и бесструктурный паттерн. Первый расположен по периферии изображения и занимает всю ее без остатка, а второй расположен в центре дерматоскопического изображения.
На рис. 1, 2 представлены типичные клинические и дерматоскопические проявления невуса Рида. Дерматоскопическое изображение на рис. 2 содержит псевдоподии и (реже) радиальные линии по всей периферии изображения новообразования. В некоторых зонах (на 14, 15, 16 ч) линии и псевдоподии имеют менее насыщенный цвет по сравнению с противоположной зоной, но факт их наличия в дерматоскопическом паттерне непреложен.
Таким образом, большинство дерматологов безошибочно диагностируют невус Рида именно на такой стадии его существования. В отношении данного новообразования кожи псевдоподии и радиальные линии являются эквивалентными, диагностически значимыми дерматоскопическими структурами. В связи этим необходимо немного подробнее остановиться на том, что называется псевдоподией.
Под псевдоподией в классическом описательном языке дерматоскопии понимают «линию с колбовидным расширением на одном из краев». На дерматоскопическом изображении любого новообразования кожного покрова псевдоподия не может существовать обособленно, она исходит либо из комка, либо из бесструктурной области, либо из иной, что бывает реже, дерматоскопической структуры. Псевдоподия как дерматоскопическая структура имеет не только свои патогистологические корреляты, но и диагностические признаки, позволяющие отличить ее от других визуально сходных с ней структур дерматоскопического изображения, например линий, представляющих собой краевую часть ретикулярного узора или вытянутых овальных комков, сливающихся с краем бесструктурной области.
Псевдоподия всегда должна находиться с края дерматоскопического изображения, но при этом быть с ним связана, т.е. структура «Г» на рис. 3 псевдоподией не является, а является комком, прилегающим к краю бесструктурной области новообразования. Псевдоподия должна иметь прямой или острый угол соединения со своим субстратом (комком, бесструктурной областью и пр.). Таким образом, структура «Д» на рис. 3 является либо частью бесструктурной области, либо комком, изображение которого накладывается на изображение бесструктурной области. Структуры «А» и «В» смело можно называть псевдоподиями. В случаях, когда псевдоподия исходит из области ретикулярных линий, ширина ее колбовидного расширения не должна быть меньше, чем любая из линий, объединенных в сеть, в противном случае ее трудно отличить от компонента этой ретикулярной области.
Типичным примером псевдоподий в невусе Рида является дерматоскопическое изображение на рис. 5 (рис. 4 – клиническое изображение у пациента). Представленное дерматоскопическое изображение характеризуется наличием двух паттернов, симметрично расположенных друг к другу: центрально расположенный бесструктурный паттерн и периферически расположенный паттерн псевдоподий, находящихся радиально и занимающих почти всю периферию очага. Количество визуализируемых комков недостаточно, чтобы сформировать паттерн, но они становятся признаком, подтверждающим выявленный анамнестически факт того, что данный невус Рида появился у пациента относительно недавно.
В 2002 г. M.Pizzichetta и соавт. детально описали факт того, что невус Рида в течение своего развития проходит несколько этапов, имеющих весьма своеобразные, но не специфические дерматоскопические признаки [11]. На ранних этапах своего существования дерматоскопическая картина невуса Рида представлена коричневыми комками, которые составляют единый паттерн комков. Комки имеют диапазон цветов от коричневого до почти черного. Комки в невусе Рида в отличие от врожденных невусов необязательно плотно прилегают друг к другу, формируя так называемую «булыжную мостовую».
На следующих этапах своего существования невус Рида начинает свой периферический рост, который проявляется известной, вероятно, каждому специалисту дерматоскопической картиной – симметрично расположенными по периферии радиальными линиями и/или псевдоподиями и центрально расположенной бесструктурной областью. Расположение этих двух паттернов в невусе Рида всегда симметрично. Важным дифференциально диагностическим моментом в данной ситуации является то, что радиальные линии или псевдоподии должны равномерно распределяться по всей периферии бесструктурной области, но при этом важно помнить, что наличие незначительных «перерывов» в радиальных линиях или псевдоподиях по периферии не исключает наличие невуса Рида, но может указывать на наличие меланомы кожи.
После окончания фазы роста дерматоскопическая картина невуса Рида снова меняется и становится представленной либо ретикулярными линиями по периферии и гиперпигментированной бесструктурной областью в центре, либо только ретикулярными линиями, либо только бесструктурной областью. То есть на более поздних этапах своего существования дерматоскопическая картина невуса Рида теряет свою специфичность и становится почти не отличимой от невуса Кларка. На данном этапе существования невуса Рида дерматоскопия практически утрачивает свое ведущее значение как чувствительный и специфический метод диагностики данного новообразования кожи. На рис. 6, 7 можно наблюдать такую ситуацию. Данный невус Рида еще несколько месяцев назад состоял из центральной бесструктурной области и периферически расположенных радиальных линий, занимавших всю окружность дерматоскопического изображения. Но в настоящее время (см. рис. 7) можно наблюдать лишь местами сохранившиеся радиальные линии, постепенно сливающиеся с бесструктурной областью дерматоскопического изображения.
В заключение отметим, что только клиническое мастерство, тщательно собранный анамнез имеющегося новообразования и дерматоскопическое исследование очага позволят безошибочно диагностировать невус Рида у большинства пациентов вне зависимости от возраста.
Удаление невуса

Невус — опухоль кожи доброкачественного характера, называемая в народе родинкой или родимым пятном. Название происходит от латинского Naevus, т.к. опухоль состоит из невоидных клеток. Появляясь на теле человека в результате воздействия окружающей среды, подобные образования могут локализоваться в любой части тела, не исключая слизистые оболочки. Невусы могут отличаться по форме и размерам, выглядеть в виде плоского пятна или горошины, их цвет варьируется от светлого до темно-коричневого. Количество родинок в течение жизни изменяется, у новорожденных детей они почти не встречаются, но в подростковом возрасте появляются практически у всех.
Основные виды невусов
- Гигантский пигментированный невус — является, как правило, врожденного происхождения. Эти обширные образования могут располагаться на конечностях, лице, на туловище, даже самые маленькие из них способны достигать в диаметре до 20 см.
- Эпидермодермальные невусы — являются разными этапами перехода эпидермальных меланоцитарных структур в дерму, а также начальным этапом развития его внутридермальной части. Определить это можно только методом гистологического исследования (см. рис.2)
- Внутридермальный невус — встречается чаще всего. Для этой формы характерна локализация на различных уровнях дермы, при этом возможно сочетание разных этапов появления. В своем развитии этот вид родинки проходит несколько этапов: возобновление пограничной активности и переход в сложную форму, спонтанная очаговая или полная регрессия, появление на фоне невуса узловой или растущей поверхностно меланомы (см.рис.3)
- Эпидермальные меланоцитарные невусы — отличаются по размерам, форме, степени пигментации, а также характером поверхности. Чаще всего встречаются плоские родинки, размеры которых варьируются от 0,1 до 10 см (см.рис.4)
- Голубой невус — представляет собой меланоцитарный вид с редкой первичной локализацией процесса в дерме. Чаще всего поражает кожу лица, конечностей, ягодиц.
- Галоневус или невус Сеттона — возникает в большинстве случаев в юношеском возрасте, их появление в поздний период может свидетельствовать о наличии серьезной патологии. Для этого вида характерно появление белого венчика вокруг родинки коричневого цвета (см. рис.5)
- Папилломатозный невус — выступает на поверхностью кожи и имеет неправильную форму, напоминающую по виду цветную капусту. Обращает на себя внимание своим отталкивающим внешним видом (см. рис.6).
- Фиброэпителиальный невус — для этого вида опухоли характерна округлая куполообразная форма, размер образования 0,3-1,5 см. Окраска близка к цвету кожных покровов. Вследствие экзофитного роста нередко травмируются, однако озлокачествление наблюдается крайне редко (см.рис.7).
- Пограничные невусы — представляют собой образования, которые немного возвышаются над поверхностью кожи, однако без определенной локализации. Их размеры обычно составляют 0,2-0,5 см, цвет может быть от светлого до темно-коричневого. Образования этого вида обладают четкими цитологическими, топографическими и архитектоническими особенностями. На уровне эпидермодермального соединения в базальном слое эпидермиса они образуют шаровидные структуры, крупные гнезда, реже — зоны диффузной меланоцитарной трансформации (см рис.7-10).
- Невус Рида — является очень опасным ввиду возможного перерождения в меланому. Для опухоли этого вида характерно сочетание признаков ювенильного и диспластического невусов (см.рис.8).
- Диспластический невус или невус Кларка — наиболее опасный вид опухоли. Согласно статистики, половина из них переходит в меланому. Плоская, неправильной формы родинка имеет неравномерную окраску. Для нее характерны три стадии дисплазии, третья при этом означает предшествующую меланоме стадию. Возможен обратный процесс, но также могут появляться сложные формы, что означает либо обратимость стадии, либо неполное завершение. Для развития сложного невуса характерно несколько этапов: 1) переход в интрадермальный вид, при активизации пограничной активности возможен переход в сложную форму; 2) спонтанная регрессия (обратное развитие); 3) переход в меланому.
Лечение
Лечение невусов показано лишь в тех случаях, если имеются признаки перехода в злокачественное образование. Однако в тех случаях, когда велика вероятность травмирования родинки, рекомендовано ее удаление. Для выбора подходящего метода учитываются размеры опухоли, а также ее состояние и наличие признаков озлокачествления. Среди наиболее часто используемых методов лечения можно выделить:
- Деструкция с помощью лазера или электрокоагулятора — иссечение под действием высоких температур или лазера. При электрокоагуляционном методе в ходе процедуры сосуды прижигаются, поэтому риск развития кровотечения исключен. Лазер воздействует на глубокие слои кожи, но здоровые участки при этом не затрагиваются. Это метод рекомендован для удаления родинок небольших размеров.
- Химическая деструкция — основана на разрушающем действии химических препаратов. Следует учитывать, что неполное удаление родинки грозит развитием злокачественного процесса. Поэтому самым эффективным методом все-таки является операция.
Хирургическое лечение
Оперативное лечение — иссечение — может проводиться при образованиях любого размера. Иссечению подлежит не только сама опухоль, но и кожа вокруг нее на безопасном расстоянии. Убедиться в радикальности операции можно, проведя гистологическое исследование удаленного материала.
В нашей клинике имеется все самое необходимое для безопасного удаления опухоли. В ходе операции мы проводим гистологическое исследование, чтобы убедиться в эффективности проводимых мероприятий. Иссечение выполняется с использованием новейших европейских технологий, благодаря которым удается достичь великолепного косметического результата. Кроме того, использование современных методик при проведении операции позволяет улучшить качество жизни в послеоперационном периоде. Ввиду отсутствия повязок, бинтов и пластырей пациенты избавлены от перевязок и необходимости ухаживать за послеоперационным рубцом. Больной может сразу после проведенной операции принимать дух, при этом заживление раны происходит гораздо быстрее.
Невус
Мало кто знает, но самый крупный орган у человека это кожа. На ее поверхности в течение жизни появляются и исчезают различные образования. Самыми распространенными считаются невусы. Среди обычных людей такие доброкачественные образования называются обычными родинками.
Что такое невусы
Собой они представляют образование, состоящее из меланоцитов. Поверхность родинки гладкая и окрашенная в темный цвет. На теле среднестатистического человека можно насчитать до 40 таких образований. Некоторые родинки есть на теле малыша сразу после рождения. Другие образовываются в течение взросления. Невусы могут менять свой внешний вид и окраску. Большинство изменений происходит в подростковом возрасте во время полового созревания. Также перерождения в невусе могут начаться при длительном нахождении человека под прямыми солнечными лучами. Ультрафиолетовое излучение в большом количестве негативно воздействует на кожу. По статистике, чем больше человек времени проводит на солнце, тем больше родинок на его теле.
Изменения касаются не только цвета, но и внешнего вида. Обычная родинка может стать дряблой и мягкой, или напротив перерасти в плотное и бесцветное образование. Выделяют большое количество различных видов невусов. Главная опасность таких образований при воздействии определенных факторов они могут переродиться в злокачественные. Особую опасность представляют сложные родинки, а также образования большого размера. Они должны постоянно контролироваться лечащим врачом, так получится предотвратить опасную трансформацию.
Разновидности невусов
Родинки имеются на теле каждого человека. Чаще всего они не несут никакой опасности. Если количество превышает 50 штук, желательно посетить врача. Такие пациенты находятся в зоне риска по развитию меланомы. Особо настораживать должны асимметричные образования с неровной поверхностью, которые имеют нестандартную окраску, больше 6 мм в диаметре, начали образовываться на теле уже во взрослом возрасте.
Врождённые
К категории относят образования, с которыми человек сразу появляется на свет. Врожденные невусы различаются по форме, цвету и размеру. В некоторых случаях родинка может занимать большую часть тела ребенка. Такие новообразования вызывают опасения, так как часто перерождаются в раковые опухоли.
Обычные
Категория обычных родинок состоит из образований, которые имеют симметричную форму, однородный цвет и гладкую поверхность. Чаще всего окраска коричневая или розоватая. На поверхности отсутствуют посторонние вкрапления. Также такие родинки могут иметь форму купола.
Атипичные
Родинки с нестандартным размером и внешним видом. Их на теле немного, в разы меньше, чем обычных родинок. Главная опасность таких новообразований при определенных факторах они могут переродиться в меланому. Еще одна особенность таких образований у них неравномерный цвет, края неровные, а сам невус асимметричный. Людям с атипичными родинками важно контролировать их количество на теле чем образований больше, тем выше риск меланомы. Требуется постоянное наблюдение со стороны лечащего врача и прохождение необходимых исследований.
Голубые
Новообразования подразделяются на две категории могут появляться на теле уже в утробе матери или развиваться при жизни человека. Свое название получили за счет голубоватой окраски. Но к данной категории также относят невусы, цвет которых варьируется от светло-серого до черного. Чаще всего образования характерных для кожи монголоидов, у других рас они развиваются в крайних случаях.
Невусы Мишера
Образования коричневого цвета или телесного оттенка. Самое частое место появления родинок в области шеи и на лице. Поверхность твердая, куполообразная, но ровная, без посторонних включений. Часто на невусе растут волосы.
Невусы Унны
По внешнему виду похожи на родинки из предыдущего описания. К особенностям можно отнести внешний вид они напоминают малину. Цвет новообразования коричневый.
Невус Мейерсона
Определить проблему несложно вокруг такой родинки начинает развиваться и распространяться сыпь с красными папулами. У некоторых пациентов экзема в области не регистрируется. Еще одна особенность невусы Мейерсона преимущественно развиваются в мужчин в возрасте старше 30 лет. Женщины этой проблеме подвержены гораздо реже.
Невусы хало
Получили свое название за счет одноименного атмосферного явления. Вокруг родинки начинает появляться и развиваться бледное белесое кольцо. До конца жизни такое образование не задерживается, даже если с ним ничего не делать. Сначала кольцо меняет свой цвет на розовый, а потом пропадает. В некоторых случаях вокруг новообразования на протяжении жизни пациента могут появляться новые хало.
Шпиц невусы
Родинки чуть приподняты над кожей и имеют куполообразную форму. Само образование розоватого оттенка, оно относится к приобретенным и появляется на коже у пациентов в молодом возрасте. Окраска может быть другой. Поверхность невуса часто повреждается и начинает кровоточить. В итоге такие родинки врачи часто путают со злокачественными, направляя пациента на гистологическое обследование.
Невусы Рида
Цвет у образований варьируется, они могут быть черные или темно-коричневые (ближе к черному оттенку). В основном развиваются у женщин. Особенность новообразования оно очень быстро увеличивается в размере, из-за чего вызывает опасение у врачей. На деле такие родинки преимущественно неопасны и редко перерастают в раковые.
Агминированные
Представляют собой сразу несколько родинок, которые сконцентрированы на небольшом участке кожи. Особенность образования все невусы не одинаковые между собой. Некоторые могут быть больше, некоторые меньше. Также среди плоских образований могут появляться куполообразные и пр.
Выше перечислены только основные виды родинок. На самом деле таких новообразований на коже огромное количество. Чтобы определить, к какому именно виду принадлежит та или иная родинка на теле у пациента, обратившегося за медицинской помощью, врачи проводят дерматоскопию.
Папилломатозный невус
На теле человека встречается большое количество новообразований. Не все они относятся к родинкам. Так, появляться могут бородавки, кондиломы, папилломы и прочие образования. При постановке окончательного диагноза вся сложность заключается в том, что перечисленные виды новообразований часто по внешнему виду ничем не отличаются от обычных невусов. Самым проблематичным принято считать папилломатозный невус. По внешнему виду он ничем не отличается от обычной папилломы, вызванной ВПЧ. Но при проведении исследований выявляется, что это бугристая родинка выпуклого типа. Родинка доброкачественная, риска перерождения в рак нет. Поверхность имеет телесный, буроватый или светло-коричневый оттенок. Темные родинки этого типа встречаются крайне редко.
Характерное чертой для таких родинок является наличие волос на поверхности. В основном они появляются на голове или шее, на других участках тела развиваться могут, но в очень крайних случаях.
Появление не привязано к определенному возрастному периоду. Они развиваться и у подростков, и у стариков. Родинка растет со временем, иногда она увеличивается в размере настолько, что начинает доставлять дискомфорт носителю. Если невус расположен на голове, его легко повредить во время расчесывания волос. Это приводит к началу воспалительных процессов, которые затрагивают и близлежащие ткани.
Невус неопасен, его удаление в основном осуществляется только с косметической целью. Наибольшего дискомфорта людям доставляют родинки на лице, которые заметны всем окружающим. Перед тем, как решиться на процедуру иссечения новообразования, важно обратиться к дерматологу. Только после всех проведенных исследований будет установлен конкретный тип невуса, а также оценена вероятность перерождения проблемы. Самостоятельно определить, что именно у вас появилось на теле практически невозможно.
Показаниями к удалению также могут стать постоянные повреждения поверхности невуса. Чаще всего для борьбы с образованием применяется сразу несколько методик:
Если образование проявилось на лице, чаще всего выбирают именно лазерную терапию.
Внутридермальный невус
Разновидность обычных невусов, которые имеют куполообразную форму. Такие родинки редко появляются в детском возрасте, зато они крайне распространены у взрослого населения. На теле может одновременно появляться до десяти таких образований на теле. Свое название подобные новообразования получили за счет того, что находятся под верхним слоем эпидермиса. Часто такие родинки сложно заметить, они почти не выделяются над поверхностью тела, а их оттенок близок к окружающим тканям.
Невус может появиться практически на любом участке. Излюбленные места новообразования верхняя часть рук, веки, шея, лицо и пр. Максимальный размер родинок до 1 сантиметра. При появлении в детском возрасте невусы практически незаметны, но с возрастом они начинают темнеть, часто приобретают выпуклую форму. Если родинка сохраняется и дальше, то после 70 лет она начнет постепенно обесцвечиваться.
Существует несколько причин, по которым могут образовываться внутридермальные невусы на теле человека:
- Наследственные факторы. Если на теле у родителей малыша насчитывается более 50 обычных родинок, то и у ребенка невусы будут носить множественных характер.
- Воздействие солнечных лучей. Ультрафиолетовое излучение негативно воздействует на кожу, вызывая ее повреждение. На месте часто появляются родинки. В зоне риска находятся люди со слишком светлой кожей.
- Снижение иммунитета. Чаще всего невусы начинают формироваться на фоне сниженного иммунитета, в том числе и после приема препаратов, подавляющих иммунитет.
Даже обычные родинки, которые имеют симметричный вид и не увеличиваются в размерах, важно постоянно контролировать. Устраивать проверки у дерматолога лучше не реже одного раза в год, так удастся выявить проблему на ранней стадии ее появления. Запланировать поход к специалисту вне расписания стоит в случае, если родинка начала увеличиваться, поменяла свою форму, приобрела другой оттенок, начала кровоточить.
Дерматолог может назначить процедуру по иссечению родинки в случае, если она доставляет косметический дискомфорт носителю, если существует риск перерождения новообразования в меланому, если поверхность невуса постоянно повреждается в течение дня.
Эпидермальный невус
Как понятно из названия, к данной категории относят родинки, который образовываются из верхних клеток эпидермиса. В основном новообразования есть на теле ребенка уже после рождения, подавляющая часть таких невусов также появляется в первый год жизни малыша. Отличительная особенность новообразования оно остается неизменным по форме и размеру в течение всей жизни человека.
Эпидермальные невусы подразделяют на несколько видов в зависимости от клеток, которые входят в их состав. Самыми непредсказуемыми принято считать образования, в состав которых входят не только кератиноциты, но и клетки потовых желез. Образования имеют желто-оранжевый оттенок, в 25% случаях они перерождаются в злокачественные опухоли.
Беспигментные родинки
Для большинства видов характерна окраска от светло-розового до черного оттенка. Существует несколько исключений из правил. Так, иногда невус может не иметь пигмента. Выявить такие родинки просто они представляют собой белесое или светловатое пятно с нечеткими границами и неправильной формой. Родинки без пигмента могут появляться только на теле европейцев.
Для родинок без пигмента характерен небольшой размер до 2 сантиметров. В основном показанием к удалению становится только косметическая сторона вопроса. Если человек часто загорает, невус так и остается светлого цвета, в итоге очень выделяется на коже и привлекает к себе внимание.
Пограничный невус
Свое название образования получили за счет того, что часто перерастают в злокачественные образования. Важно постоянно контролировать такие родинки и обращаться к дерматологу при обнаружении любых изменений.
Такие родинки скрыты под роговым слоем кожи, они имеют однородную коричневую окраску, четкие границы. Вызвать опасения у пациента и спровоцировать обращение к дерматологу должны следующие факторы:
- родинка начинает увеличиваться в размере;
- меняет свой цвет темнеет или светлеет;
- вокруг прилегающей зоны начали появляться пигментные пятна разного вида;
- родинка стала плотной, выделяющейся над поверхностью кожи;
- появилась болезненность в родинке, поверхность сильно чешется.
Как поступить с огромными невусами
Подавляющее количество невусов небольшие образования на коже диаметров несколько миллиметров, которые практически незаметны невооруженным взглядом. Исключения составляют образования, которые в диаметре превышают 20 сантиметров. Их относят к категории огромных. Родинка может покрывать большую часть руки, ноги, спины и пр. Такие родинки могут появляться на теле представителей любой расы. Развиваются они практически у 2% населения нашей планеты. Главная опасность невусов большого размера: они часто перерождаются в злокачественные. Крайне нестабильными принято считать образования, которые появляются в районе позвоночного столба. Вызвать опасения должны родинки, которые продолжают быстро увеличиваться в размерах, а также менять свой цвет.
Самые неприятные огромные невусы на теле у новорожденных детей. Так как ребенок со временем растет, родителям кажется, что родинка уменьшается в размере, на деле она продолжает также расти, чуть не успевая за всем телом.
В 30% случаев такие невусы становятся меланомой. Они должны быть под контролем у врача. Перерождение может наступить абсолютно в любом возрасте. Показано удаление гигантских невусов. Чаще всего используется метод хирургического иссечения. Если родинка расположена в труднодоступном месте, пациенту могут быть предложены альтернативные методики лечения. Удаление возможно в том числе и с помощью лазерной терапии.
Невусы на голове
Такие образования чаще всего удаляют именно из-за косметических причин. Если родинка находится на поверхности тела, какой бы размер она не имела, ее практически всегда можно скрыть под одеждой. Невусы на голове невозможно скрыть. Некоторые пациенты считают, что родинка подчеркивает их индивидуальность, другие уверены в том, что такое образование только портит их красоту. В итоге пациенты часто обращаются за удалением даже тех невусов, которые никогда не станут злокачественными.
Часто удаляют не только родинки на голове, но и новообразования на шее. Главная опасность таких родинок они часто трутся о поверхность одежды, в итоге повреждаются, что увеличивает риск перерождения. На голове невусы также возникают в районе волос. Они практически незаметны невооруженным вглядом, часто прощупываются пациентом при мытье головы и других процедурах. Главная опасность новообразований их легко повредить во время банального расчесывания волос. На голове в области волосяного покрова также часто появляются невусы, включающие в себя клетки сальных желез. Для них характерна форма бородавки с отсутствие на поверхности волос, а также неправильная форма. Вызвать появление могут вирусы папилломы человека, а также наследственные факторы.
Большинство родинок на голове появляется при рождении ребенка. Образование осматривают, делают исследования, чтобы поставить окончательный диагноз. В детском возрасте новообразования удаляются редко, так как они не подвержены перерождению в этот период. Оно наступает чаще всего во время полового созревания. Метод удаления выбирается в зависимости от размеров образования. Если невус небольшой, от него можно избавиться с помощью лазерной терапии, для борьбы с крупными образованиями потребуется хирургическое вмешательство.
Важно помнить о том, что на данный момент не существует волшебной таблетки, которая смогла бы убрать с кожи человека все опасные родинки, которые могут стать злокачественными. Важно следить за состоянием невусов и обращать внимания на любые изменения.
Родинки успешно удаляются. Все зависит от размера, квалификации медицинского специалиста, а также места расположения невуса.
Удаление невусов в "Лазер Плюс"
Родинки давно перестали считаться серьезной проблемой. Такие образования на коже легко убираются в косметологических салонах. Стоимость процедуры невысокая. Важно помнить о том, что гарантировать хороший результат при удалении вам смогут только в оборудованной клинике с квалифицированным персоналом.
Перед началом вмешательства важно провести комплексную диагностику родинки. Просто посмотреть образование на коже и поставить диагноз невозможно. Существует большое количество невусов, которые схожи между собой по внешнему виду, но имеют абсолютно разное строение.
Читайте также:
