Нормотензивная гидроцефалия
Добавил пользователь Владимир З. Обновлено: 02.11.2025
ГБОУ ВПО «Дагестанская государственная медицинская академия» Минздрава РФ, Махачкала
Журнал: Журнал неврологии и психиатрии им. С.С. Корсакова. 2015;115(9): 49‑53
ГБОУ ВПО «Дагестанская государственная медицинская академия» Минздрава РФ, Махачкала
Синдром Хакима—Адамса — малоизвестное, хотя и достаточно часто встречающееся состояние. Этиология его не полностью ясна. Патогенетические механизмы включают блокаду оттока цереброспинальной жидкости (ЦСЖ) по верхнелатеральной поверхности мозга, развитие гидроцефалии с расширением желудочков мозга при сохранении нормотензии ЦСЖ. Основные клинические проявления: развитие атаксии, апраксии, явления деменции и нарушения мочеиспускания, вплоть до недержания мочи. Диагностика основывается на данных клинической симптоматики, люмбальной пункции с пробным извлечением жидкости и нейровизуализации. Основным способом лечения является наложение вентрикулоперитонеального шунта для отведения ЦСЖ. Своевременное проведение хирургического вмешательства дает хорошие результаты, улучшает качество жизни пациентов.
ГБОУ ВПО «Дагестанская государственная медицинская академия» Минздрава РФ, Махачкала
Синдром Хакима—Адамса (СХА), или нормотензивная гидроцефалия, описан в 1964—1965 гг. [1]. Он включает в себя классическую триаду симптомов: нарушение походки в результате атаксии или апраксии, или лобной дисбазии, деменцию и недержание мочи. Заболевание встречается редко, его часто принимают за ригидную форму болезни Паркинсона (БП), болезнь Альцгеймера (БА) и распознают с трудом [2].
За рубежом заболевание известно широко и оперативному лечению подвергнуты сотни тысяч больных. В России оно известно меньше [3].
Сведения о распространенности противоречивы. Наиболее часто СХА встречается после 60 лет. По данным D. Jaraj и соавт. [4], заболевание встречается в 0,2% случаев в возрасте 70—79 лет и в 5,9% — 80 лет и старше. Авторы полагают, что реальные показатели значительно выше. C. Iseki и соавт. [5] выявили, что в японской популяции заболеваемость лиц старше 70 лет равна 1,2 на 1000 человек в год. Различия между мужчинами и женщинами не отмечены.
СХА у взрослых может быть следствием субарахноидального и внутрижелудочкового кровоизлияния, черепно-мозговой травмы, воспалительного процесса, перинатального поражения головного мозга и мозговых оболочек, объемных интракраниальных образований (опухоли, аневризмы мозговых сосудов), аномалий развития мозга, перенесенных операций на головном мозге и других ситуаций, создающих механические препятствия нормальной циркуляции цереброспинальной жидкости (ЦСЖ) [3]. Однако в большинстве случаев болезнь развивается без видимых причин.
Представляют интерес данные о возможности участия генетических факторов в развитии болезни [6]. Ряд симптомов СХА встречался среди родственников с частотой 7,1%, тогда как в контрольной популяции — лишь у 0,7%.
Причина клинических проявлений СХА до конца неизвестна. Возможно, они обусловлены растяжением волокон лучистого венца головного мозга.
Вероятный патогенетический механизм, лежащий в основе заболевания, — дисбаланс секреции и резорбции ЦСЖ и нарушение ликвородинамики [7]. Основным местом резорбции ЦСЖ у человека являются конвекситальные субарахноидальные пространства в области верхнего сагиттального синуса. При СХА возникают блокада оттока ЦСЖ по верхнелатеральной поверхности мозга, а также затруднение ее всасывания в кровь. Происходит увеличение объема ликворного пространства (размеры желудочков) с соответственным уменьшением объема мозговой ткани [8]. Изменения в субарахноидальном пространстве предшествуют расширению желудочков [5]. Причиной таких явлений может быть окклюзия ликворных путей в пределах желудочков (окклюзионная форма) или нарушение резорбции ЦСЖ из субарахноидального пространства через арахноидальные ворсины в дуральные полости мозга, являющиеся основными путями оттока венозной крови из мозга (открытая форма). Как уже указывалось, окклюзия и нарушение резорбции жидкости могут вести к растяжению проводящих путей лучистого венца.
Для СХА характерно постепенное развитие симптоматики — нарушений походки (моторные изменения), признаков органического поражения мозга (деменция, потеря памяти, дезориентация) и тазовых расстройств (дизурия, недержание мочи) [3].
Моторные нарушения развиваются медленно, появляются затруднения при ходьбе, создается впечатление повышения тонуса мышц. Больные ходят медленно, мелкими шажками, походка становится шаркающей, семенящей, на широко расставленных ногах. Отмечаются плохой контроль равновесия, неустойчивость при поворотах. Теряется осанка, появляется сгорбленная поза.
Больные сообщают, что затруднения возникают из-за того, что появляется тяжесть в икроножных мышцах, ноги становятся «тяжелыми», больным трудно их поднимать. Вследствие этого ходьба ограничивается по длительности и дальности. Могут отмечаться постуральный тремор, проявления типа акинетико-ригидного синдрома (феномен «застывания»). Такие проявления сближают заболевание с ригидной формой БП (этот диагноз довольно часто выставляется первоначально). Однако при детальном обследовании ригидность мышц не выявляется. У ряда пациентов встречается псевдобульбарный синдром.
В большинстве случаев нарушения ходьбы являются первым симптомом, затем возникает деменция и позднее присоединяются тазовые расстройства.
Нарушения когнитивных функций в целом напоминают таковые при Б.А. Наиболее значительными могут быть выпадение как кратко-, так и долговременной памяти, дезориентированность во времени, реже они проявляются совместно. Пациенты с трудом излагают историю своей болезни [1]. Появляются проблемы в исполнительной функции: планировании, сосредоточении, абстрактном мышлении [9].
Возникают нарушения семантической памяти. Оскудевает эмоциональная сторона, появляются апатия, благодушие [10]. Возможны явления агнозии: нарушение различных видов восприятия (зрительное, слуховое, тактильное). Замедляется скорость психических процессов и психомоторных реакций. Эти явления считают характерными для дисфункции передних отделов головного мозга и подкорковой деменции [2, 11, 12]. Степень нарушений когнитивных функций различна. На ранних этапах изменения не столь выражены, однако при длительном течении болезни приближаются к таковым при БА.
Тазовые нарушения появляются в последнюю очередь. Однако при целенаправленном расспросе уже на ранних стадиях СХА удается выявить жалобы больных на учащенное мочеиспускание и никтурию. Постепенно к этим симптомам присоединяются императивные позывы к мочеиспусканию, а затем недержание мочи. У пациентов теряется запирательный рефлекс, и на фоне когнитивных нарушений они начинают индифферентно относиться к данному факту, что характерно для лобного типа тазовых расстройств.
Диагностика СХА является сложной задачей, поскольку он может имитировать многие другие неврологические заболевания. Так, начальные проявления болезни напоминают ригидную форму БП, а более поздние — Б.А. При детальном обследовании БП исключается более или менее легко [13]. Магнитно-резонансная (МРТ) и компьютерная томография (КТ) головного мозга дают возможность исключить Б.А. Дифференциальной диагностике помогает также то, что при СХА после шунтирования наступает регресс симптомов [14]. МРТ является методом выбора в диагностике гидроцефалии.
При МРТ головного мозга выявляют расширение III и боковых желудочков. Особенно значительно расширены III желудочек, височные и фронтальные рога боковых желудочков. Гидроцефалия при этом синдроме является сообщающейся, так как сильвиев водопровод проходим.
В диагностике используются также люмбальная пункция и исследование ЦСЖ. Давление ЦСЖ в спинномозговом канале бывает в пределах нормы (что отражает и название болезни — нормотензивная гидроцефалия). Начальное давление должно быть менее 180 мм вод. ст. Имеются также количественные методы оценки ЦСЖ [15], в том числе автоматизированные. Показано, что объем ЦСЖ при СХА ниже, чем при БА [16] и у здоровых.
Есть исследования, показавшие, что в ЦСЖ при этом синдроме снижается уровень простагландин D-синтазы, что может быть использовано в диагностике [17]. Иногда проводится цистернография с использованием радиоактивного 99-m технеция или другого изотопа. Она позволяет установить замедление всасывания ЦСЖ на верхнелатеральной поверхности мозга. Специфичность и чувствительность метода требуют уточнения, и результаты спорны, поэтому методика используется редко. Другие методы исследования (М-ЭХО-ЭГ и ЭЭГ) малоинформативны. Диагностическими критериями СХА считают увеличение переднерогового индекса (индекс Эванса) более 30% и расширение височных рогов боковых желудочков более 2 мм [3].
Одним из диагностических приемов является пробное извлечение 30—50 мл ЦСЖ. Пока окончательно не решено, когда и как оценивать результаты этого теста. В основном оценка производится через 1 сут. При СХА после такой процедуры походка и когнитивные функции временно улучшаются. Однако K. Kang и соавт. [18] описали пациента, у которого через 1 сут отклика не было, но улучшение наступило через 7 сут. Пациент был шунтирован с хорошим послеоперационным исходом.
Имеются единичные работы, посвященные поиску средств консервативного лечения болезни. Так, N. Alperin и соавт. [19] выявили, что малые дозы ацетазоламида уменьшали объем перивентрикулярной жидкости и у 5 из 8 пациентов привели к улучшению походки. Показано также, что психотропные препараты второго поколения оказывают положительное влияние на клинические проявления [20].
Основным способом лечения признается хирургический, заключающийся в выполнении ликворошунтирующих операций [21]. Рекомендуется проводить оперативное лечение сразу после установления диагноза [22].
Одним из наиболее часто применяемых методов является вентрикулоперитонеальное шунтирование. Проксимальный отдел катетера устанавливают в боковом желудочке мозга, а периферический — отводят в брюшную полость. Считается, что за 1 сут в брюшную полость может попасть около 300 мл ЦСЖ. Однако она не доставляет особых беспокойств и утилизируется путем всасывания брюшиной (или слизистой оболочкой).
Существует несколько вариантов шунтирующих систем. Имеется простой дренажный катетер. Более технологически совершенными являются специальные катетеры для шунтирования. Как правило, они снабжены клапанами, регулирующими отток в зависимости от количества жидкости в системе желудочков головного мозга и препятствующими обратному току жидкости из брюшной полости в головной мозг. Система для шунтирования включает также резервуар, позволяющий при необходимости забирать жидкость на исследование и вводить лекарственные вещества. Имеются исследования, продемонстрировавшие, что отдаленные результаты операции при применении разных шунтовых систем примерно одинаковы [23]. Ряд авторов [24, 25] находили преимущества у систем с гравитационным регулированием клапана шунта. Метаанализ работ по шунтированию показывает, что у адекватно диагностированных пациентов шунтирование приводит к длительным положительным результатам.
Исходы тем лучше, чем моложе пациент, чем меньше у него коморбидных заболеваний и нет поражения белого вещества [26]. Эффективность шунтирования выше при меньшей длительности заболевания. У больных с нарушениями походки улучшение наступает в 77% случаев. Однако проведенные контролируемые исследования методами актиграфии показали, что при этом активность пациентов значительно не возрастает [27]. M. Poca и соавт. [28] показали, что после шунтирования у 79,3% пациентов наступило улучшение походки, у 82,4% — тазовых нарушений и у 63,7% — уменьшение когнитивных расстройств.
Неврологические расстройства при СХА могут полностью или в значительной степени регрессировать после своевременно проведенной шунтирующей операции. По данным разных авторов [2], хирургическое лечение оказывается эффективным в 1/3 —¾ случаев. В работе, оценивавшей исходы через 1 год после шунтирования [29], было показано, что у 69% пациентов наступило значительное улучшение и клинических проявлений (способность жить самостоятельно), и рентгенологических данных. Стадия болезни и коморбидность не влияли на степень улучшения. Однако другие авторы [30] нашли, что бо́льшая коморбидность влияет на успех операции: при наличии до шести сопутствующих заболеваний шунтирование не приводит к улучшению.
Осложнения встречаются у 31—38% пациентов. Основными являются синдром ликворной гипотензии, проявляющийся головными болями при вставании, в редких случаях — субдуральная гематома вследствие быстрого уменьшения размера желудочков. По данным M. Poca и соавт. [28], смертность составляет 0,8%. Ранние послеоперационные осложнения были у 5,3% оперированных. Через 6 мес бессимптомные гигромы отмечены у 3,4%. В последующем у 3% выявлены субдуральные гематомы. Для профилактики осложнений рекомендуют индивидуальный подбор шунта.
Приводим краткие описания собственных наблюдений.
Пациент М., 74 года, работник умственного труда. Несколько лет назад появились затруднения при ходьбе, шаркающая походка. Нарушения прогрессировали, стало трудно ходить пешком на работу (примерно 1 км). В дальнейшем стали беспокоить частые позывы к мочеиспусканию. Недержания мочи не отмечает. Когнитивные нарушения не проявлялись, хотя стал отмечать некоторое снижение памяти, трудности сосредоточения при умственной работе.
Анализы: общие анализы крови, мочи в норме.
Глюкоза крови 5,99 ммоль/л, инсулин 2,37 мкед/мл, пролактин 285 мкг/л; Т3 свободный 12,6 нмоль/л; тиреотропный гормон 3,66 мкМЕ/мл; Nа + 148 ммоль/л; K + 4,8 ммоль/л; Ca ++ 1,16 ммоль/л, лактатдегидрогеназа 212 ЕД/л.
Консультация окулиста: глазное дно без застойных явлений. МРТ головного мозга: мозговые структуры не смещены, желудочки умеренно расширены. Боковые желудочки симметричны, несколько увеличены, увеличение симметричное. III желудочек 13 мм, боковые — 24—25 мм. В белом веществе очаги микроглиоза 3—6 мм, интенсивность сигналов повышена. Микроангиопатия. Визуализируется расширение периваскулярных пространств в области базальных вен. Субарахноидальное пространство умеренно расширено в конвекситальных областях лобно-теменных долей. Гипофиз 3—3,4 мм, не увеличен. Области интенсивных сигналов в его структуре не выявляются. Ножка гипофиза распределена срединно. Стволовые структуры без особенностей. Позвоночные артерии несколько асимметричны по калибру.
Заключение: единичные очаги микроглиоза в белом веществе головного мозга как проявления микроангиопатии. Умеренное расширение боковых и III желудочков, ликворных пространств в области сильвиевых щелей. Проявления атрофических изменений головного мозга.
Диагноз: СХА, ранняя стадия.
При люмбальной пункции повышения давления ЦСЖ не отмечено. Удалено 30 мл ЦСЖ. Анализ в норме. После пункции почувствовал облегчение при ходьбе.
Операция была проведена в НИИ нейрохирургии им. Н.Н. Бурденко: с правой стороны установлен шунт, проксимальный конец в IV желудочке, дистальный — в брюшной полости в подпеченочном пространстве. Степень устойчивости 90% по шкале Карновского. Операция прошла успешно, заживление ранок первичным натяжением. Самочувствие улучшилось, голова «прояснилась», ходить стало легче. Рекомендовано в течение 1 мес исключить физические нагрузки, работу, требующую наклона головы, туловища, затем постепенно расширять режим.
Состояние пациента значительно улучшилось. Переносимость физических нагрузок значительно увеличилась — может быть на ногах до 3 ч без признаков тяжести, усталости. Стал активнее физически и психически — улучшилась умственная деятельность, активно занимается научной деятельностью и преподаванием.
Пациент: А., 62 года. Болеет около 2 лет. Появились непонятная слабость, когнитивные нарушения — стал «заговариваться», снизилась память, возникли конфликты на работе, в связи с чем вынужден был уйти со службы. Постепенно возникли затруднения при ходьбе, появилась боль в икрах обеих голеней, походка стала семенящей, замедленной. Установлен диагноз паркинсонизма, ригидная форма. Проводилось лечение мадапаром, пронораном, ПК-мерц, но без эффекта. Отмечалось нарастание симптоматики.
При обследовании все анализы в норме.
МРТ: в обеих полушариях головного мозга определяются участки изменения интенсивности МР-сигнала, гиперинтенсивные на Т2 и FLAIR, гипоинтенсивные на Т1-взвешенных изображениях, без признаков объемного воздействия. Боковые желудочки мозга симметричные, передние рога умеренно расширены. III желудочек до 10 мм, IV — не изменен.
Субарахноидальные пространства и сильвиевы щели расширены. Хиазмально-селлярная область без особенностей. Гипофиз имеет однородную интенсивность сигнала. В придаточных пазухах носа определяется усиление сигнала. Миндалины мозжечка расположены на уровне линии Чемберлена. Зрительные бугры, зрительные и слуховые нервы не изменены.
На МР-ангиограммах, выполненных в режиме 3D TOF, визуализируются мозговые, внутренние сонные, позвоночные, основная артерии и их интракраниальные ветви. Со стороны сосудов головного мозга определяется снижение сигнала от позвоночной артерии справа. Сосуды симметричны, диаметр остальных не изменен, артериовенозные анастомозы отсутствуют. Венозные синусы свободно проходимы.
Заключение. МР-признаки дисциркуляторной энцефалопатии. Умеренная смешанная заместительная гидроцефалия.
Диагноз: СХА, начальная стадия.
От операции пока воздерживается.
Таким образом, СХА — малоизвестное, хотя и достаточно часто встречающееся заболевание, этиология которого не полностью ясна. Основные клинические проявления синдрома включают развитие атаксии, апраксии, явления деменции и нарушения мочеиспускания, вплоть до недержания мочи. Диагностика основывается на данных клинической симптоматики, люмбальной пункции с пробным извлечением жидкости и нейровизуализации. Основным способом лечения является наложение вентрикулоперитонеального шунта для отведения ЦСЖ. Своевременное проведение хирургического вмешательства дает хорошие результаты, улучшает качество жизни пациентов.
Нормотензивная гидроцефалия
Нормотензивная гидроцефалия или синдром Хакима-Адамса, характеризуется хроническим расстройством ликвородинамики, расширением желудочковой системы без значительного увеличения уровня внутричерепного давления, клинически проявляется классической триадой симптомов: нарушением походки, деменцией и тазовыми расстройствами.
История
Впервые НГ описана как синдром колумбийским нейрохирургом S. Hakim в 1957 году. В англоязычной литературе термин «нормотензивная гидроцефалия» был введен американским нейрохирургом R. Adams в статье, опубликованной в New England Journal в 1965 году, где были описаны три клинических наблюдения НГ — два посттравматического и один идиопатического генеза.
Эпидемиология
Нормотензивная гидроцефалия рассматривается, как заболевание пожилых людей в возрасте 60-80 лет, хотя описаны случаи встречаемости данного заболевания в среднем и даже детском возрасте.
Патология
В настоящее время выделяют первичную (идиопатическую) и вторичную (симптоматическую) НГ. Вторичная НГ наиболее часто развивается после перенесенного субарахноидального кровоизлияния (23 %), менингита (4,5 %), черепно-мозговой травмы (12,5 %), но могут быть и другие причины. 50 При постановке диагноза клиницистом будь то диагност или невролог важно соизмерять типичные клинические данные и изменения при томографии так, как часто пациенты с данной патологией лечатся, как больные с цереброваскулярной патологией или другой формой гидроцефалии.
Клинические проявления
Характерным проявлением НГ считается триада Хакима — Адамса, которая включает деменцию, нарушение ходьбы и функции тазовых органов. Однако необходимо помнить, что классическая картина, описанная в 1965 году, наблюдается только у 32–48 % пациентов. Нередко выявляются только два симптома, обычно нарушение походки и деменция (30 %), реже встречается один из 3 симптомов, и, как правило, это только ухудшение походки (около 10 %). И все же нарушение ходьбы остается наиболее частым симптомом при НГ и, как правило, проявляется дисбалансом поэтапной активации мышечных групп, который стоит рассматривать как расстройство подкорковых систем управления движением, а не как первичное нарушение работы пирамидного тракта. По мере прогрессирования НГ вовлечение кортикоспинального пути становится более выраженным. Походка описывается как апраксическая, брадикинетическая, магнитная, паркинсоническая. Также пациенты могут испытывать трудности при повороте. При НГ не отмечается каких-либо изменений содружественности движений рук при ходьбе. Когнитивные расстройства характеризуются замедлением психомоторных функций, нарушением способности к концентрации внимания и слабо выраженными нарушениями памяти. Подобные изменения нередко связаны с дисфункцией передних отделов головного мозга и являются довольно характерными для так называемой субкортикальной деменции. Первичные нарушения высших мозговых функций (афазия, апраксия, агнозия, акалькулия), так же как и психозы, встречаются редко. Однако у некоторых больных возможно возникновение конфабуляций, галлюцинаций, мании, делирия, депрессии, а также эпилептических припадков. Важно помнить, что для пациентов с НГ такая общеизвестная классическая картина гидроцефалии, как головная боль, тошнота, рвота, нарушение зрения, не характерна. При исследовании глазного дна не отмечается отека дисков зрительных нервов. Дисфункция тазовых органов дебютирует увеличением частоты мочеиспускания, особенно ночью, с постепенным развитием недержания мочи. Тазовые расстройства при НГ относят к лобному типу нарушений мочеиспускания, для которого характерно отсутствие позывов, индифферентное отношение больного к факту непроизвольного мочеиспускания . Недержание кала встречается редко, обычно у пациентов с выраженными стадиями заболевания.
Радиологические находки
- Вентрикуломегалия
- Баллонообразное расширение передних рогов боковых желудочков до 30% и более от диаметра черепа. При данной патологии особенно значительно расширены III желудочек, височные и фронтальные рога боковых желудочков, что приводит к появлению характерной формы желудочковой системы в виде “бабочки” на аксиальных срезах.
- Перивентрикулярное гало - высокий сигнала на Т2 и PD. Данные изменения обусловлены трансэпендимальным проникновением ЦСЖ.
- Деформация (фестончатость) мозолистого тела и перикаллезных артерий.
- Обнаружение мелких ишемических очагов или лейкоареоза не противоречит диагнозу НТГ, так как возможно сочетание НТГ и цереброваскулярной недостаточности. Признаки микроангиопатического церебраваскулярного заболевания коррелируют с худшим исходом шунтирования.
- Неравномерность и деформация субарахноидальных пространств и щелей.
- Уменьшение угла мозолистого тела.
Оценка ликворооттока
Считается, что скорость кровотока на уровне водопровода мозга более 24,5 мл/мин имеет 95% специфичность для пациентов с гидроцефалией, а ударный объём ликвора более 42 мкл/с в большинстве случаев позволяет прогнозировать положительный эффект шунтирующей операции. В качестве возможных предикторов позитивного исхода рассматривают снижение ударного объема ликвора и гипердинамический характер ликворотока в желудочковой системе с нормальными его параметрами на краниоспинальном уровне.
МРТ спектроскопия
Повышение пика лактата.
При НТГ отмечается снижение уровня общего и регионарного мозгового кровотока, особенно в лобных и височных отделах головного мозга, субкортикальном белом веществе. По данным позитронной эмиссионной томографии выявляется снижение уровня метаболизма глюкозы (общего и регионарного), причем, чем значительнее степень фронтального гипометаболизма, тем более вероятным становится неблагоприятный исход шунтирующей операции.
Лечение и прогноз
После проведения вентрикулоатриального, люмбоперитонеального, вентрикулоперитонеального шунтирования отмечается положительная динамика (улучшение регионального кровотока, ликвородинамики и мозгового метаболизма).
Помощь при гидроцефалии
Гидроцефалия также известна как «водянка». Она вызвана аномальным скоплением цереброспинальной жидкости (ЦСЖ) во внутренней части мозга (в желудочках головного мозга). ЦСЖ продуцируется хориоидальным сплетением головного мозга. Уровень продукции зависит от времени суток. В норме, у каждого человека в центральной нервной системе содержится около 120–150 мл ЦСЖ. Она покрывает головной и спинной мозг и собирается в вентрикулярной системе, которая состоит из четырех желудочков, соединенных узкими каналами. ЦСЖ протекает через желудочки и выходит в полость, так называемое субарахноидальное пространство, где реабсорбируется в кровоток.
Таким образом, выработка и абсорбция обычно сбалансированы. Физиологическое значение ЦСЖ заключается в следующем:
- является своеобразным амортизатором мозга, обеспечивая таким образом его механическую защиту при толчках и сотрясениях;
- выполняет питательные функции (доставляет питательные вещества и белки, необходимые для питания и нормальной функции мозга);
- поддерживает осмотическое и онкотическое равновесие на тканевом уровне;
- обладает защитными (бактерицидными) свойствами, накапливая антитела;
- принимает участие в механизмах регуляции кровообращения в замкнутом пространстве полости черепа и позвоночного канала.
Дисбаланс выработки и абсорбции приводит к аномальному расширению желудочков мозга. Из-за увеличения желудочков повышается давление на мозг (внутричерепное давление), что может привести к серьезным неврологическим повреждениям головного мозга. В некоторых случаях причины развития гидроцефалии определить не удается.
Гидроцефалию можно разделить на следющие типы.
Окклюзионная, сообщающаяся
Циркуляция ЦСЖ через желудочки головного мозга остается сохранной, но всасывание в венозный кровоток блокируется.
Закрытая, несообщающаяся
Циркуляция ЦСЖ блокируется где-то между боковым, третьим или четвертым желудочками.
Гиперсекреторная гидроцефалия
Развивается вследствие избыточной продукции ЦСЖ.
Другие классификации
Врожденная гидроцефалия видна при рождении. Диагностировать гидроцефалию можно во время беременности. Часто дети, рожденные с гидроцефалией, имеют аномальную окружность головы. Конгеническая гидроцефалия может возникать вместе с такими заболеваниями, как:
- расщепление позвоночника;
- синдром Денди-Уокера;
- стеноз почечной артерии.
Приобретенная гидроцефалия может возникнуть в любом возрасте вследствие несчастного случая, операции, кровоизлияния в мозг, опухоли, менингита или других причин.
Особой формой приобретенной гидроцефалии является так называемая нормотензивная гидроцефалия (НТГ).
Для НТГ характерна неврологическая сиптоматика дилатации желудочков при отсутствии повышенного давления ЦСЖ. Клиническая картина НТГ характеризуется сочетанием трех симптомов: нарушение походки (широкая, шаркающая походка, магнитная походка), недержание мочи и деменция.
Важно понимать, что гидроцефалия может стать потенциальной причиной развития деменции.
Причины развития нормотензивной гидроцефалии часто неясны. В этом случае НТГ называют «первичной» или «идиопатической». Остальные случаи называются вторичными НТГ. К причинам развития вторичного заболевания относятся — травмы головы, субарахноидальные кровоизлияния, менингиты или опухоли.
НТГ — это заболевание пожилого возраста, с увеличением числа заболевших к 65 и 70 годам.
Симптомы
Симптомы гидроцефалии меняются с возрастом пациента, кроме того, другие заболевания могут оказывать влияние на эти симптомы.
Лечение
В зависимости от возраста и симптомов пациентов существуют различные варианты диагностики гидроцефалии. Обычно диагностика включает в себя использование методов визуализации, таких как ультразвуковое исследование, компьютерная томография (КТ) или магнитно-резонансная томография (МРТ). С помощью методов визуализации можно определить форму и размер желудочков.
Эндоскопические процедуры
В случае несообщающейся гидроцефалии эндоскопическая вентрикулостомия третьего желудочка (ETV) часто является основным методом лечения. Через небольшое отверстие в черепе хирург при помощи эндоскопа удаляет причину окклюзии, приводящую к блоку ЦСЖ или формирует отверстие между желудочками, что позволяет ЦСЖ снова циркулировать.
Шунтирующая операция
Наиболее распространенная операция представляет собой имплантацию шунтирующей системы, позволяющей избыток ЦСЖ выводить через тонкую силиконовую трубку из мозга в другую часть тела, обычно в брюшную полость. Отсюда жидкость всасывается в кровь. Шунт состоит из катетера и клапана для контроля скорости оттока ЦСЖ и для обеспечения нормального давления в головном мозге.
Шунтирующую операцию должен проводить опытный нейрохирург. Операция проводится под общим наркозом, обычно она занимает меньше часа.
После операции
Высококачественный шунт при гидроцефалии имплантируется на всю жизнь. Тем не менее, может потребоваться регулярный контроль давления клапана хирургом. Кроме того консультации врача часто позволяют вовремя обнаружить потенциальные осложнения, поскольку каждая операция, также как и шунтирующая, имеет риск осложнений. При появлении новых симптомов, Вам необходимо посетить своего врача.
Нормотензивная гидроцефалия (синдром Хакима-Адамса)
Нормотензивная гидроцефалия (НТГ) – синдром, характеризующийся сочетанием деменции, нарушений ходьбы и недержания мочи при выраженном расширении желудочковой системы и нормальном давлении цереброспинальной жидкости (ЦСЖ).
Этиология
В основе развития заболевания лежит дисбаланс между секрецией и резорбцией ЦСЖ, а также нарушение ликвородинамики.
Клинические проявления
Для НТГ характерно постепенное развитие триады Хакима-Адамса – деменции (слабоумие), нарушений ходьбы и недержания мочи. В большинстве случаев нарушение ходьбы является первым симптомом, затем возникает деменция и позднее присоединяются тазовые расстройства. Возможна флуктуация выраженности симптомов, однако это не характерно для НТГ.
Основной жалобой пациентов с данной патологией на приеме у невролога является головокружение, которое они описывают как ощущение неустойчивости при движении, резких поворотах туловища. В данном случае в основе головокружения лежит постуральная неустойчивость и дисбазия, свойственная заболеванию. Нарушения ходьбы при НТГ включают в себя элементы апраксии ходьбы в виде шаркающей походки короткими шажками на широко расставленных ногах и потерю контроля над равновесием. При НТГ не отмечается каких-либо изменений движений руками при ходьбе, что отличает ее от болезни Паркинсона. На ранних стадиях при минимальной поддержке изменение походки у больных с НТГ может быть незначительным. При этом пациенты с НТГ могут имитировать движения ногами, которые они должны совершать при ходьбе, в положении лежа или сидя.
Другим важным проявлением НТГ является деменция. Для пациентов характерно наличие мории, дезориентированности (больше во времени, нежели чем в месте). Часто больным трудно изложить историю своего заболевания. У некоторых возможно развитие галлюцинаций, мании, депрессии.
Уже на ранних стадиях НТГ при активном, целенаправленном расспросе удается выявить жалобы больных на учащенное мочеиспускание и никтурию (позывы на мочеиспускание по ночам). По мере прогрессирования заболевания присоединяются императивные позывы и периодическое недержание мочи. Больные перестают чувствовать позывы к мочеиспусканию и индифферентно относятся к факту непроизвольного мочеиспускания, что характерно для лобного типа тазовых расстройств. Недержание кала встречается редко, как правило, у пациентов на поздней стадии НТГ.
Диагностика
Одним из основных способов диагностики НТГ является “tap-test” – люмбальная пункция с выведением некоторого количества ЦСЖ (однократно 20-50 мл или по 30 мл в течение 3 дней). Более сложной модификацией “tap-test” является, т.н. “drainage test” – люмбальный дренаж, обеспечивающий временный (1-5 суток) и контролируемый отток ликвора (10 см3/час). Особенно важным является оценка динамики основных симптомов триады Хакима-Адамса после проведения этих тестов в течение нескольких суток. Даже кратковременное клиническое улучшение позволяет считать тест положительным и свидетельствует о необходимости консультации нейрохирурга для решения вопроса о проведении шунтирующей операции.
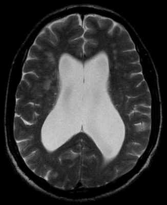
Огромное значение для диагностики НТГ имеют результаты нейровизуализационных методов исследования (компьютерная и магнитно-резонансная томография), позволяющие выявлять резко расширенные желудочки головного мозга, в то время как корковые борозды остаются в пределах нормы или незначительно расширены.

МРТ головы пациента с НТГ: обращает на себя внимание выраженная вентрикуломегалия
при отсутствии значимой атрофии вещества головного мозга
С помощью этих методик можно исключить иные причины гидроцефалии.
Лечение
Основу лечения составляют шунтирующие операции с наложением вентрикулоперитонеального и люмбоперитонеального шунтов, при которых положительный эффект достигается у 60% больных. В далеко зашедших стадиях болезни, когда имеются уже необратимые изменения в мозге, прогноз оперативного лечения ухудшается. У части больных, среди которых не отмечалось значительное улучшение после люмбальной пункции, операция шунтирования также может оказаться эффективной. Осложнения после шунтирования (субдуральные гематомы, синдром ликворной гипотензии) отмечаются у 30-40% больных. Летальность составляет около 6-7%. Для профилактики осложнений рекомендуется индивидуальный подбор шунта.
Нормотензивная гидроцефалия. Синдром Хакима-Адамса

Заболевание было описано впервые в 1965 г. S. Hakim и R. D. Adams. [1, 3]. Является вариантом открытой гидроцефалии. Для данного заболевания характерно медленное расширение желудочковой системы при нормальном давлении цереброспинальной жидкости. Это приводит к развитию триады симптомов (триада Хакима-Адамса). К ним относятся нарушение ходьбы, деменция и недержание мочи. [1].
Эпидемиология. В литературе встречаются разные данные на этот счет. Заболевание, как правило, поражает людей пожилого возраста. Диагноз ставится 0. 41% населения старше 65 лет, 0. 4-6% пациентам с деменцией и 15% с нарушением ходьбы [1]. D. Jaraj и соавт. (2014) отмечали, что нормотензивная гидроцефалия встречается в 0, 2% случаев в возрасте 70 - 79 лет и в 5, 9% - 80 лет и старше. Однако авторы придерживаются мнения, что реальные показатели значительно выше. Примечательно, что описаны случаи диагностирования данного заболевания даже в детском возрасте. Распространенность между мужчинами и женщинами одинаковая. [2].
Этиология. Выделяют первичную и вторичную нормотензивную гидроцефалию. В первом случае выявить причин развития заболевания не удается. Такие пациенты составляют от половины [1, 2] до одной трети [3] случаев. Вторичная гидроцефалия является следствием субарахноидального кровоизлияния (30J, менингита (15%), черепно-мозговой травмы (10%), нейрохирургических операций. [3].
Патогенез. В основе заболевания формирование дисбаланса между секрецией и резорбцией цереброспинальной жидкости, нарушение ликвородинамики. В результате увеличивается объем ликворного пространства, уменьшается объем мозговой ткани [2]. Это приводит к необратимым ишемическим и дегенеративным белого и серого вещества головного мозга. При этом характерно преобладание лобного характера неврологических нарушений. Считается, что это связано с преимущественным расширением передних рогов боковых желудочков, что приводит к сдавлению глубинных отделов лобных долей, передних отделов мозолистого тела, двигательных путей, связывающих кору с нижними конечностями, разобщением базальных ядер с фронтальной корой, дисфункцией лобных долей, нарушением сенсомоторной интеграции. [1]. В некоторых случаях наблюдается снижение поступления крови в головной мозг. [2].
Клиническая картина. В клинике заболевания характерно постепенное развитие классической триады симптомов (нарушение ходьбы, деменция и недержание мочи) в течение нескольких месяцев или лет [1, 3]. Однако после черепно-мозговой травмы или субарахноидального кровоизлияния возможно появление симптомов в первые дни и недели. [1].
Первыми признаками заболевания обычно появляются нарушения ходьбы. Походка замедляется, затем становится неустойчивой, возможны падения. Далее проявляется апраксия ходьбы (неуверенность при стоянии и ходьбе, затрудненное начало движения). При этом лежа и сидя пациент легко имитирует движения ходьбы, а в вертикальном положении это мгновенно утрачивается. Сила в конечностях не нарушена. [1]. Может выявляться постуральный тремор, акинетико-ригидный синдром (феномен «застывания»). Это сближает заболевание с ригидной формой болезни Паркинсона (данный диагноз часто выставляется первоначально). Однако при обследовании ригидность мышц не выявляется. Иногда встречается псевдобульбарный синдром. [2].
Для когнитивных нарушений характерен лобно-подкорковый характер, развиваются обычно на фоне уже существующих моторных проявлений. [1]. Проявляются выпадения кратковременной и долговременной памяти, дезориентированность во времени. Пациенты с трудом излагают свой анамнез. Возникают проблемы в планировании, сосредоточении, абстрактном мышлении, нарушения семантической памяти. Оскудевает эмоциональная сторона, появляются апатия, благодушие. Нередки явления агнозии (нарушение различных видов восприятия: зрительного, слухового, тактильного). Замедляется скорость психических процессов и психомоторных реакций. Степень нарушений когнитивных функций различна. [2].
Нарушение функции тазовых органов на ранних этапах выявляется при активном расспросе – учащенное мочеиспускание и никтурия. Далее появляются императивные позывы и затем недержание мочи. При прогрессировании когнитивных нарушений пациенты теряют критику к данной проблеме и относятся к ней индифферентно. [1, 2].
Диагностика. Диагноз ставится на основании триады симптомов с расширением желудочковой системы при нормальном уровне внутричерепного давления.
1) наличие полной или неполной триады Хакима-Адамса (нарушение походки, когнитивные нарушения, нарушение контроля над функцией тазовых органов, в первую очередь - мочеиспусканием)
2) наличие характерной рентгенологической картины НТГ, которая включает сочетание следующих признаков:
- расширение желудочков [головного] мозга: индекс Эванса более 0, 3 (30%) и расширение височных рогов боковых желудочков более 2 мм (для справки: желудочково-полушарный индекс Эванса представляет собой отношение расстояния между наиболее отдаленными точками передних рогов боковых желудочков к наибольшему внутреннему диаметру черепа)
- диспропорциональное расширение субарахноидальных пространств (DESH-симптом): расширение цистерн основания черепа, боковых щелей мозга в сочетании с компрессией межполушарной щели и парасагиттальных субарахноидальных пространств в теменной области [2].
В постановке диагноза также используется проведение люмбальной пункции с опредением давления ликвора. Давление ликвора остается нормальным при данном заболевании [1, 2].
Кроме того, проводится ТАП-ТЕСТ (TAP-TEST). Его также называют тестом Миллера-Фишера, люмбальным или спинальным тестом. Проводится следующим образом: производится люмбальная пункция с выведение 30-50 мл ликвора. До и после выполнения пробы проводят видеозапись походки. Проба считается положительной, если после эвакуации ликвора отмечается значимое улучшение походки или других симптомов. Положительная проба подтверждает диагноз нормотензивной гидроцефалии. Пока окончательно не решено, когда и как оценивать результаты этого теста. В основном оценка производится через 1 сутки. При нормотензивной гидроцефалии после такой процедуры походка и когнитивные функции временно улучшаются. Однако K. Kang и соавт. (2013) описали пациента, у которого через 1 сутки отклика не было, но улучшение наступило через 7 суток. [2]. Степень улучшения состояния пациента после проведения теста совпадает с эффектом шунтирующей операции. Считается даже кратковременное уменьшение проявлений хоть одного из симптомов заболевания благоприятным прогностическим признаком. [1].
Лечение. Основным методом лечения данных пациентов являются шунтирующие операции с наложением вентрикулоперитонеального, вентрикулоатриально или люмбоперитонеального шунта. Положительные результаты наблюдаются у 60% [4] -66% [1] -75% [2] пациентов. Прогноз оперативного вмешательства ухудшается по мере прогрессирования заболевания. [1]. Предпочтительно использование клапанно-регулируемым системам с анти-сифонным устройством и системам с программируемым клапаном переменного давления с максимально возможным конструктивно малым шагом изменения открывающего давления. [2].
Важно отметить, что по данным некоторых авторов даже при отсутствии положительного эффекта от тап-теста, шунтирующие операции имели значительный положительный результат. [4, 5, 6].
В послеоперационном периоде необходимо комплексное реабилитационное лечение.
Читайте также:
