Носовые раковины. Носовые ходы полости носа
Добавил пользователь Cypher Обновлено: 30.10.2025
кафедра лучевой диагностики и терапии Курского государственного медицинского университета Минздрава России, Курск, Россия, 305000
ФГБОУ ВО «Ростовский государственный медицинский университет» Минздрава России, Ростов-на-Дону, Россия
Кафедра болезней уха, горла, носа ФГБОУ ВО «Ростовский государственный медицинский университет» Минздрава России, Ростов-на-Дону, Россия, 344022
Особенности анатомического строения нижних носовых раковин
Журнал: Российская ринология. 2017;25(3): 10‑15
Патологические изменения нижних носовых раковин (ННР) занимают важное место среди причин затруднения носового дыхания. Операции на ННР — одни из самых распространенных хирургических вмешательств в оториноларингологии. Компьютерная томография полости носа и околоносовых пазух не входит в стандартный перечень методов предоперационного обследования больных. Вместе с тем ряд патологических изменений ННР, таких как остеома, патологическая пневматизация раковин, внутрикостная гемангиома, можно выявить только с помощью визуализации анатомических структур полости носа. В статье описаны случаи редкой патологии ННР (патологический изгиб и фенестрация ННР шипом перегородки носа), подтверждающие необходимость проведения спиральной компьютерной томографии околоносовых пазух и полости носа. Это поможет врачу выбрать оптимальную тактику хирургического вмешательства.
Операции на нижних носовых раковинах (ННР) — одни из самых распространенных хирургических вмешательств в оториноларингологии [1], поскольку патологические изменения ННР занимают важное место среди причин затруднения носового дыхания [2]. Как правило, в комплекс предоперационного обследования больных входят эндоскопический осмотр, функциональные пробы, включая пробу с анемизацией слизистой оболочки полости носа, и исследование дыхательной функции носа методом передней активной риноманометрии [3]. В литературе описаны случаи патологических состояний ННР, диагностика которых может быть произведена только с помощью компьютерной томографии (КТ), в частности остеома [4], патологическая пневматизация ННР [5, 6], внутрикостная гемангиома [7].
Вместе с тем существуют варианты анатомического строения ННР, которые могут способствовать развитию патологических изменений со стороны самих раковин, а также окружающих структур. С другой стороны, патологические процессы в соседних анатомических образованиях могут вызывать изменения в носовых раковинах. Все это создает многообразие эндоскопической картины, требующей предварительной визуализации анатомических структур полости носа.
Приводим 3 клинических наблюдения редкой патологии ННР.
Клиническое наблюдение 1
Больная Ш., 42 года, поступила в ЛОР-клинику ФБГОУ ВО «Ростовский государственный медицинский университет» Минздрава России 13 марта 2017 г. для планового хирургического лечения с жалобами на затруднение носового дыхания в течение многих лет. Ранее неоднократно проводились курсы медикаментозного лечения, без эффекта. В анамнезе: поллиноз, левосторонний одонтогенный максиллярный синусит с ороантральным свищом (оперирована в отделении челюстно-лицевой хирургии в ноябре 2014 г.), правосторонний хронический максиллярный синусит.
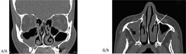
Эндоскопическое исследование носа: искривление перегородки носа вправо, резко выраженное увеличение левой ННР, незначительный эффект от аппликации деконгестантов. На спиральной КТ (СКТ) определяются воздушная полость (conhae bullosae) средней носовой раковины справа и патологический изгиб ННР, более выраженный слева (рис. 1). На основании результатов обследования выставлен диагноз: искривление перегородки носа, хронический гипертрофический ринит, патологический изгиб левой ННР. 14 марта 2017 г. были проведены одноэтапная септопластика, двусторонняя нижняя конхотомия, эндоназальное вскрытие верхнечелюстных пазух. Учитывая характер изгиба левой ННР, после редрессации была выполнена резекция ее подвернутого свободного края. Послеоперационный период протекал без осложнений. Больная выписана в удовлетворительном состоянии 18 марта 2017 г. При контрольном осмотре 17 апреля 2017 г. отмечено восстановление носового дыхания.

Рис. 1. Больная Ш., 42 года. Компьютерная томограмма околоносовых пазух: коронарная (а) и аксиальная (б) проекции. Патологический изгиб левой ННР (указано стрелками). Fig. 1. Patient Sh., aged 42 years. CT of the paranasal sinuses in the coronal (a)and axial (b) projections. The pathological bending of the left inferior nasal turbinated bone (shown by arrows).
Клиническое наблюдение 2
Больной К., 39 лет, 7 декабря 2015 г. поступил в БМУ «Курская областная клиническая больница» с жалобами на постепенно ухудшающееся дыхание через левую половину носа в течение последних 10 лет. При передней риноскопии определялась полная обструкция левого общего носового хода деформированной перегородкой носа. На К.Т. от 10 декабря 2015 г. была выявлена деформация перегородки носа с формированием шипа, который фенестрировал среднюю носовую раковину и деформировал ННР. Хрящевая пластинка точно повторяла кривизну костного шипа, была более утолщенной, чем в других отделах (рис. 2). Правая верхнечелюстная пазуха гипоплазирована, полностью заполнена патологическим содержимым. Верхнечелюстной костный комплекс выглядел асимметричным (слева более развит), при этом внешней асимметрии лица не наблюдалось из-за более развитых мягких тканей на правой стороне лицевой области, что хорошо видно на КТ (см. рис. 2, б).

Рис. 2. Больной К., 39 лет. Компьютерная томограмма околоносовых пазух, аксиальная проекция. Костный шип перегородки носа (указано стрелками) перекрывает общий носовой ход, при этом фенестрирует среднюю носовую раковину и деформирует ННР. Правая верхнечелюстная пазуха гипоплазирована (указано звездочкой), объем мягких тканей лицевой области асимметричен (указано линиями). Fig. 2. Patient K., aged 39 years. CT of the paranasal sinuses in the axial projection. The spur of the nasal septum (shown by arrows) obstructs the common nasal passage, causes the fenestration of the middle turbinated bone, and deformation of the inferior turbinated bone. Hypoplasia of the right maxillary sinus (denoted by the asterisk) and asymmetric volume of the soft tissues in the facial region (shown by lines).
На основании результатов обследования выставлен диагноз: искривление носовой перегородки, вторичная деформация левой ННР, гипоплазия правой верхнечелюстной пазухи. От дальнейшего обследования и лечения пациент отказался.
Клиническое наблюдение 3
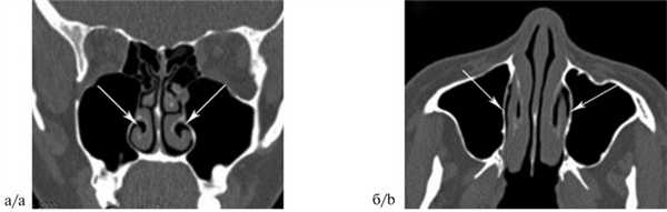
Больная В., 35 лет, 10 мая 2017 г. поступила в ЛОР-клинику ФБГОУ ВО «Ростовский государственный медицинский университет» Минздрава России с жалобами на затруднение носового дыхания. Считает себя больной в течение 8 лет. В течение этого периода неоднократно проводились ультразвуковая дезинтеграция ННР (в 2002, 2003 и 2015 гг.), внутрислизистая диатермокоагуляция ННР (в 2005 и 2009 гг.), курсовое физиотерапевтическое лечение, применялись топические стероиды. На СКТ носа и околоносовых пазух (рис. 3) был выявлен патологический изгиб ННР.

Рис. 3. Больная В., 35 лет. Компьютерная томограмма околоносовых пазух: коронарная (а) и аксиальная (б) проекции. Патологический изгиб обеих ННР (указано стрелками). Fig. 3. Patient V., aged 35 years. CT of the paranasal sinuses in the coronal (a) and axial (b) projections. The pathological bending of both inferior nasal turbinated bones (shown by arrows).
На основании результатов обследования выставлен диагноз: гипертрофический ринит, патологический изгиб ННР. В связи с этим была произведена двусторонняя нижняя конхотомия с захватом подвернутого свободного края ННР. Послеоперационный период протекал без осложнений. Больная выписана 15 мая 2017 г. При контрольном осмотре через 1 мес отмечено восстановление носового дыхания.
Размеры ННР в значительной степени влияют на состояние носового дыхания. Увеличение объема ННР происходит в основном за счет ее гипертрофии либо гораздо реже в результате ее пневматизации.
В литературе имеются исследования, доказывающие наличие корреляции между положением перегородки носа и размером ННР со стороны ее выпуклой и вогнутой поверхностей. Установлено, что на стороне, противоположной девиации перегородки, регистрируется достоверное увеличение размеров средней носовой раковины и ННР [8, 9].
Принято считать, что односторонняя гипертрофия ННР носит компенсаторный характер и обусловлена разницей воздушного потока в правой и левой половинах носа при искривлении его перегородки [10, 11]. В условиях функциональной перегрузки слизистая оболочка более широкой половины носа подвергается гипертрофии [12].
I. Orhan и соавт. [8] изучали параметры ННР у больных с искривлением перегородки носа по данным трехмерной К.Т. Авторы проводили измерения толщины костного остова, слизистой оболочки на латеральной и медиальной поверхностях раковин и угла отклонения перегородки носа.
Установлено, что увеличение ННР на вогнутой стороне перегородки носа происходит не только за счет утолщения слизистой оболочки, но и в результате гипертрофии костного остова ННР, что совпадает с данными упомянутых выше авторов.
A. Korkut и соавт. [13] также провели сравнительное исследование размеров ННР у больных с врожденным и приобретенным искривлением перегородки носа по данным СКТ. По измерению нескольких параметров (толщина слизистой оболочки ННР, ее проекционный угол, максимальная толщина ННР и ее костного остова) гипертрофия ННР у больных с врожденным искривлением перегородки носа была достоверно более выражена, чем при травматических поражениях. Авторы не обсуждают природу более выраженной костной гипертрофии ННР у больных с врожденным искривлением перегородки носа, возможно, это результат более длительно существующих патологических изменений по сравнению с посттравматическими деформациями перегородки.
Все вышеперечисленные исследования являются обоснованием хирургической тактики, предусматривающей сочетание корригирующих операций на перегородке носа с латерализацией и/или редукцией объема ННР на вогнутой стороне перегородки носа.
Вместе с этим необходимо учитывать, что после септопластики происходит достоверное уменьшение размера ННР на вогнутой стороне перегородки носа при отсутствии вмешательств на них [15, 16], что также является проявлением склонности ННР к ремоделированию в условиях изменившейся аэродинамики.
Пневматизация носовых раковин, обозначаемая термином «буллезная раковина» («conhae bullosae»), обычно подразумевает особенность строения средней носовой раковины. Вместе с тем возможна пневматизация верхней носовой раковины и ННР. В литературе имеются единичные наблюдения пневматизации трех раковин с обеих сторон [5, 17], для описания такого строения V. Fidan [17] предлагает термин «panconcha bullosa».
Наблюдения патологического изгиба ННР единичны [18, 19]. Так, B. Naiboğlu и соавт. [18] описали выраженное увеличение ННР в результате ее парадоксального изгиба у 13-летней девочки. Авторы рассматривают девиацию перегородки носа в противоположную сторону как результат давления на нее измененной ННР, которая занимала всю половину носа.
N. Maru и соавт. [19] приводят собственное наблюдение больного с множественной патологией носовых раковин: пневматизация средних и верхних носовых раковин, наличие пневматизированной самой верхней носовой раковины (concha nasalis supremа) с обеих сторон, патологический изгиб верхних носовых раковин и ННР слева, добавочная средняя носовая раковина.
Наше первое наблюдение патологического изгиба ННР представляет интерес не только в связи с редкостью данной патологии. Обращает на себя внимание, что при передней риноскопии и эндоскопическом исследовании полости носа установить причину увеличения ННР не представлялось возможным. Только КТ-исследование показало, что латерализация ННР в данном случае невозможна технически, а внутрислизистая вазотомия и другие вмешательства на раковине (кроме конхотомии) не приведут к улучшению носового дыхания.
Во втором случае имела место деформация перегородки носа на месте соединения перпендикулярной пластинки решетчатой кости и сошника (тип III) [20]. Чаще всего в этом участке формируется гребень, возвышающийся в направлении кзади. Иногда такой гребень заканчивается формированием шипа в задних отделах перегородки носа. В таких случаях закрывается просвет общего носового хода. Гребень или шип могут достигать заднего конца ННР, частично или полностью блокируя общий носовой ход. Деформация перегородки носа в этом отделе достаточно часто встречается на практике. По данным И.С. Пискунова и В.С. Пискунова [20], такой вариант наблюдался в 26,1% случаев. При длительно текущем процессе происходит изменение структур остиомеатального комплекса. Однако ремоделирование прилежащих костных структур, если оно возникает, обычно касается средней носовой раковины [21]. В данном случае сформированный на перегородке костный шип перекрыл общий носовой ход, при этом одновременно вызвал деформацию средней носовой раковины и ННР, причем средняя носовая раковина была фенестрирована, а ННР деформирована на всем протяжении. Обращает на себя внимание гипоплазия контралатеральной верхнечелюстной пазухи в сочетании с гипогенезией правых отделов всего верхнечелюстного комплекса (см. рис. 2, б). Такое состояние могло сформироваться только в процессе роста индивидуума, начиная с раннего детского возраста [22]. Трудно сказать, что послужило причиной развития такого патологического состояния. Процесс протекал, вероятнее всего, с возраста, когда только формировался весь верхнечелюстной комплекс. В наблюдении, приведенном U. Dasar и соавт. [21], имеет место деформация только средней носовой раковины, при этом была гипоплазирована гомолатеральная верхнечелюстная пазуха. Интересен тот факт, что в нашем наблюдении клиническая симптоматика появилась уже во взрослом возрасте и нарастала в течение последующих лет жизни. В подобной ситуации хирургическое вмешательство, предпринятое без предварительной КТ, привело бы к возникновению у врача значительных трудностей в ходе операции.
Третий случай убедительно свидетельствует о том, что при стойком затруднении носового дыхания и отсутствии эффекта от проводимого лечения целесообразно выполнение СКТ носа и околоносовых пазух для оценки положения и формы ННР в целях коррекции тактики лечения больного.
Заключение
ННР — наиболее стабильные анатомические образования, обладающие наименьшей вариативностью строения из всех анатомических структур полости носа. Тем не менее и они имеют особенности конфигурации и ремоделируются под влиянием внешних воздействий и изменений прилежащих анатомических образований, вызванных каким-либо патологическим процессом. В итоге при длительном влиянии внешних факторов и сами ННР могут создавать условия для возникновения и длительного атипичного протекания патологического процесса. Поэтому для выбора адекватного хирургического вмешательства на носовых раковинах при патологиях, проявляющихся нарушением носового дыхания, но не связанных с хроническими воспалительными заболеваниями околоносовых пазух, необходимо проведение СКТ околоносовых пазух и полости носа.
Носовые раковины. Носовые ходы полости носа
Полость носа. Топография полости носа. Стенки полости носа. Носовые ходы. Кровоснабжение и иннервация полости носа.
Полость носа, cavum nasi, является начальным отделом дыхательных путей и содержит в себе орган обоняния. Спереди в нее ведет apertura piriformis nasi, сзади парные отверстия, хоаны, сообщают ее с носоглоткой. Посредством костной перегородки носа, septum nasi osseum, носовая полость делится на две не совсем симметричные половины. Каждая половина носовой полости имеет пять стенок: верхнюю, нижнюю, заднюю, медиальную и латеральную.
Верхняя стенка полости носа образуется небольшой частью лобной кости, lamina cribrosa решетчатой кости и отчасти клиновидной костью.
В состав нижней стенки полости носа, или дна, входят небный отросток верхней челюсти и горизонтальная пластинка небной кости, составляющие твердое небо, palatum osseum. Дно носовой полости является «крышей» полости рта.
Медиальную стенку полости носа составляет перегородка носа.
Задняя стенка полости носа имеется лишь на небольшом протяжении в верхнем отделе, так как ниже лежат хоаны. Она образована носовой поверхностью тела клиновидной кости с имеющимся на ней парным отверстием — apertura sinus sphenoidalis.
В образовании латеральной стенки носовой полости участвуют слезная косточка, os lacrimale, и lamina orbitalis решетчатой кости, отделяющие полость носа от глазницы, носовая поверхность лобного отростка верхней челюсти и ее тонкая костная пластинка, отграничивающая полость носа от верхнечелюстной пазухи, sinus maxillaris.
На латеральной стенке носовой полости свисают внутрь три носовые раковины, которыми отделяются друг от друга три носовых хода: верхний, средний и нижний (рис. 5.18).
 
Носовые ходы. Носовые раковины.
Верхний носовой ход, meatus nasi superior, находится между верхней и средней раковинами решетчатой кости; он вдвое короче среднего хода и располагается только в заднем отделе носовой полости; с ним сообщаются sinus sphenoidalis, foramen sphenopalatinum и открываются задние ячейки решетчатой кости.
Средний носовой ход, meatus nasi medius, идет между средней и нижней раковинами. В него открываются cellulae ethmoidales ante-riores et mediae и sinus maxillaris.
Нижний носовой ход, meatus nasi inferior, проходит между нижней раковиной и дном носовой полости. В его переднем отделе открывается носослезный канал.
Пространство между носовыми раковинами и носовой перегородкой обозначается как общий носовой ход.
На боковой стенке носоглотки находится глоточное отверстие слуховой трубы, связывающей полость глотки с полостью среднего уха (барабанной полостью). Оно расположено на уровне заднего конца нижней раковины на расстоянии около 1 см кзади от него.
Сосуды полости носа образуют анастомотические сети, возникающие за счет нескольких систем. Артерии относятся к ветвям a. ophthalmica (aa. ethmoidales anterior и posterior), a. maxillaris (a. sphenopalatina) и a. facialis (rr. septi nasi). Вены образуют сети, расположенные более поверхностно. Особенно густые венозные сплетения, имеющие вид пещеристых образований, сосредоточены в под слизистой ткани нижних и средних носовых раковин. Из этих сплетений происходит большинство носовых кровотечений. Вены носовой полости анастомозируют с венами носоглотки, глазницы и мозговых оболочек.
Чувствительная иннервация слизистой оболочки носа осуществляется I и II ветвями тройничного нерва, то есть глазным и верхнечелюстным нервами. Специфическая иннервация осуществляется обонятельным нервом.
Полость носа (cavum nasi), занимающая центральное положение в лицевом черепа, спереди открывается грушевидной апертурой (apertura piriformis), ограниченной носовыми вырезками (правой и левой) верхних челюстей и нижним краем носовых костей. В нижней части грушевидной апертуры выступает вперед передняя носовая ость (spina nasalis anterior), продолжающаяся кзади в костную перегородку носа.
Костная перегородка носа (septum nasi osseum), образованная перпендикулярной пластинкой решетчатой кости (lamina perpendicularis ossis ethmoidalis) и сошником (vomer), расположенным внизу на носовом гребне, делит полость носа на две половины (рис. 70). Задние отверстия полости носа, или хоаны (choanae), сообщают полость носа с полостью глотки. Каждая хоана ограничена с латеральной стороны медиальной пластинкой крыловидного отростка (lamina medialis processus pterygoidei), с медиальной — сошником, сверху — телом клиновидной кости (corpus ossis sphenoidalis), снизу — горизонтальной пластинкой нёбной кости (lamina horizontalis ossis palatini).

 
 
Полость носа имеет три стенки: верхнюю, нижнюю и латеральную.
Верхняя стенка полости носа (paries superior) спереди образована носовыми костями, носовой частью лобной кости, сзади — решетчатой пластинкой решетчатой кости и нижней поверхностью тела клиновидной кости. Сверху в носовую полость свисают ячейки решетчатой кости.

 
Нижняя стенка полости носа (paries inferior) сформирована нёбными отростками верхних челюстей и горизонтальными пластинками нёбных костей. По срединной линии эти кости образуют носовой гребень (crista nasalis), к которому присоединяется костная перегородка носа, являющаяся медиальной стенкой для правой и левой половин полости носа.

 
Латеральную стенку полости носа (paries lateralis) образуют носовая поверхность тела и лобный отросток верхней челюсти, носовая кость, слезная кость, решетчатый лабиринт решетчатой кости, перпендикулярная пластинка нёбной кости, медиальная пластинка крыловидного отростка клиновидной кости.
На латеральной стенке полости носа выступают три изогнутые костные пластинки — носовые раковины, расположенные одна над другой.
Верхняя и средняя носовые раковины принадлежат решетчатому лабиринту, а нижняя носовая раковина (concha nasalis inferior) — самостоятельная кость.
Над верхней носовой раковиной может располагаться самая верхняя носовая раковина (concha nasalis supreme) — Санториниева раковина — непостоянная тонкая костная пластинка, расположенная на медиальной стенке лабиринта решетчатой кости (Санторини Джованни, (Santorini Giovanni Domenico, 1681—1737) — итальянский анатом).

 
Носовые раковины разделяют боковой отдел полости носа на три узкие продольные щели — носовые ходы: верхний, средний и нижний. Эти структуры имеют важное клиническое значение, так как в них часто развиваются воспалительные процессы (синуситы, этмоидиты). Верхний носовой ход (meatus nasi superior) находится между верхней носовой раковиной (concha nasalis superior) — Морганиевой раковиной — сверху и средней носовой раковиной (concha nasalis media) снизу (Морганьи Джованни (Morgagni Giovanni Battista, 1682—1771) — итальянский анатом и врач). В этот короткий носовой ход, расположенный в задней части полости носа, открываются задненижние и передние ячейки решетчатой кости. Пазухи воздухоносных костей открываются в носовую полость.
Средний носовой ход (meatus nasi medius) располагается между средней и нижней носовыми раковинами. Он значительно длиннее и шире верхнего носового хода. В средний носовой ход открываются передние и средние ячейки решетчатой кости, апертура лобной пазухи посредством решетчатой воронки и полулунная расщелина (hiatus semilunaris), ведущая в верхнечелюстную пазуху (sinus maxillaris) — Гайморову пазуху (Гаймор Натаниэль (Highmore Nathaniel, 1613—1685) — английский врач и анатом).
Через находящееся позади средней носовой раковины клиновидно-нёбное отверстие (foramen sphenopalatinum) средний носовой ход сообщается с крыловидно-нёбной ямкой, из которой в носовую полость проникает клиновидно-нёбная артерия и нервы (носовые ветви крылонёбного узла).

 
Нижний носовой ход (meatus nasi inferior) — самый длинный и самый широкий, ограничен сверху нижней носовой раковиной, а снизу — твердым нёбом (носовой поверхностью нёбного отростка верхней челюсти и горизонтальной пластинки нёбной кости). Латеральную стенку нижнего носового хода образует нижняя часть стенки верхнечелюстной (гайморовой) пазухи. В передний отдел нижнего носового хода открывается носослезный канал, начинающийся в глазнице (ямке слезного мешка) и содержащий носослезный проток.
Узкая сагиттально расположенная щель, ограниченная перегородкой полости носа с медиальной стороны и носовыми раковинами, составляет общий носовой ход (meatus nasi communis).
В области ниши круглого окна барабанной полости среднего уха имеется щель Гиртля (Йозеф Гиртль (Hyrtl Joseph, 1811—1894) — австрийский анатом), располагающаяся параллельно канальцу улитки, которая может оставаться открытой в первые месяцы жизни ребенка, а в случае возникновения гнойного отита через нее возможен затек гноя в область латерального треугольника шеи с образованием абсцесса.
Важным топографическим ориентиром является линия Гиртля (син.: лицевая линия, linea facialis), направленная вертикально, соединяющая надглазничное, подглазничное и подбородочное отверстия, которые являются местами выхода ветвей тройничного нерва в передней области лица.
Зачаток лобной пазухи появляется на первом году жизни, на третьем году жизни начинает формироваться клиновидная пазуха. Верхнечелюстная пазуха начинает формироваться на пятом-шестом месяце внутриутробной жизни (у новорожденного имеется только эта пазуха размером с горошину) — в таблице ниже.
Вдыхаемый воздух для соприкосновения с нежной тканью легких должен быть очищен от пыли, согрет и увлажнен. Это достигается в полости носа, cavitas nasi; кроме того, различают наружный нос, nasus extemus, который имеет частью костный скелет, частью хрящевой.
Как отмечалось в разделе остеологии, носовая полость поделена носовой перегородкой, septum nasi (сзади костной, а спереди хрящевой), на две симметричные половины, которые спереди сообщаются с атмосферой через наружный нос при помощи ноздрей, а сзади — с глоткой посредством хоан.
Стенки полости вместе с перегородкой и раковинами выстланы слизистой оболочкой, которая в области ноздрей сливается с кожей, а сзади переходит в слизистую оболочку глотки.

 
 
 
 
 
Слизистая оболочка носа (греч. rhinos — нос; отсюда ринит - воспаление слизистой оболочки полости носа) содержит ряд приспособлений для обработки вдыхаемого воздуха.
Во-первых, она покрыта мерцательным эпителием, реснички которого образуют сплошной ковер, на который оседает пыль. Благодаря мерцанию ресничек осевшая пыль изгоняется из носовой полости.
Во-вторых, слизистая оболочка содержит слизистые железы, glandulae nasi, секрет которых обволакивает пыль и способствует ее изгнанию, а также увлажняет воздух.
В-третьих, слизистая оболочка богата венозными сосудами, которые на нижней раковине и на нижнем краю средней раковины образуют густые сплетения, похожие на пещеристые тела, которые могут набухать при различных условиях; повреждение их служит поводом к носовым кровотечениям. Значение этих образований состоит в том, чтобы обогревать проходящую через нос струю воздуха.
Описанные приспособления слизистой оболочки, служащие для механической обработки воздуха, расположены на уровне средних и нижних носовых раковин и носовых ходов. Эта часть носовой полости называется поэтому дыхательной, regio respiratoria. В верхней части носовой полости, на уровне верхней раковины, имеется приспособление для контроля вдыхаемого воздуха в виде органа обоняния, поэтому верхнюю часть носовой полости называют обонятельной областью, regio olfactoria.
Здесь заложены периферические нервные окончания обонятельного нерва — обонятельные клетки, составляющие рецептор обонятельного анализатора.

 
 
Дополнительным приспособлением для вентиляции воздуха служат околоносовые пазухи, sinus paranasales, также выстланные слизистой оболочкой, являющейся непосредственным продолжением слизистой носа. Это описанные в «Остеологии»: 
1) верхнечелюстная (гайморова) пазуха, sinus maxillaris; широкое на скелетированном черепе отверстие гайморовой пазухи закрывается слизистой оболочкой, за исключением небольшой щели; 
2) лобная пазуха, sinus frontalis; 
3) ячейки решетчатой кости, cellulae ethmoidales, составляющие в целом sinus ethmoidalis; 
4) клиновидная пазуха, sinus sphenoidalis. 
При осмотре носовой полости у живого (риноскопия) слизистая оболочка имеет розовую окраску. Видны носовые раковины, носовые ходы, ячейки решетчатой кости и отверстия лобной и верхнечелюстной пазух. Наличие носовых раковин и околоносовых пазух увеличивает поверхность слизистой оболочки, соприкосновение с которой способствует лучшей обработке вдыхаемого воздуха. 
Свободная циркуляция воздуха, необходимого для дыхания, обеспечивается неподатливостью стенок носовой полости, состоящей из костей (см. «Остеология»), дополняемых гиалиновыми хрящами.
Хрящи носа являются остатками носовой капсулы и образуют попарно боковые стенки (боковые хрящи, cartilagines nasi laterales), крылья носа, ноздри и подвижную часть носовой перегородки (cartilagines alares majores et minores), а также носовую перегородку — непарный хрящ носовой перегородки (cartilago septi nasi).
Кости и хрящи носа, покрытые кожей, образуют наружный нос, nasus extemus. В нем различают корень носа, radix nasi, расположенный вверху, верхушку носа, apex nasi, направленную вниз, и две боковые стороны, которые сходятся по средней линии, образуя спинку носа, dorsum nasi, обращенную вперед.

 
 
 
 
 
Нижние части боковых сторон носа, отделенные бороздками, образуют крылья носа, alae nasi, которые своими нижними краями ограничивают ноздри, служащие для прохождения воздуха в носовую полость. Ноздри человека в отличие от всех животных, в том числе и приматов, обращены не вперед, как у них, а вниз. Благодаря этому струя вдыхаемого воздуха направляется не прямо назад, как у обезьян, а вверх, в обонятельную область, и совершает длинный дугообразный путь к носоглотке, что способствует обработке воздуха. 
Выдыхаемый воздух проходит по прямой линии нижнего носового хода.
Выступающий наружный нос является специфической особенностью человека, так как нос отсутствует даже у человекообразных обезьян, что, по-видимому, связано с вертикальным положением тела человека и преобразованиями лицевого скелета, обусловленными, с одной стороны, ослаблением жевательной функции и с другой — развитием речи.
Из носовой полости вдыхаемый воздух через хоаны попадает в носоглотку, далее в ротовую часть глотки и затем в гортань. Дыхание возможно и через рот, однако отсутствие в ротовой полости приспособлений для контроля и обработки воздуха обусловливает у лиц, дышащих через рот, частые заболевания. Поэтому необходимо следить за тем, чтобы дыхание совершалось через нос.
Анатомия и физиология носа

Наружный нос имеет форму трехгранной пирамиды. Костная часть представлена носовыми костями. Соединяясь по средней линии, они образуют спинку носа. Кнаружи от носовых костей расположены лобные отростки верхней челюсти, которые являются боковыми поверхностями наружного носа. Носовые кости, лобные отростки верхней челюсти, верхняя челюсть образуют грушевидное отверстие, к краям которого примыкают хрящевые образования. Под край носовых костей в форме крыши подходят верхние латеральные (треугольные) хрящи. В боковом направлении они переходят в фиброзную ткань, достигающую краев грушевидного отверстия. К треугольным хрящам прилежат нижние латеральные (крыльные) хрящи, которые располагаются в кончике носа и носовых крыльях. Каждый из хрящей образует две ножки: более крупная - латеральная располагается в крыле носа, более узкая - медиальная идет в кожной перегородке. Между треугольными и крыльными хрящами располагается четырехугольный хрящ перегородки носа. Наружный нос покрыт кожей. Кожа покрывает не только наружную, но и внутреннюю часть поверхности крыльев, перегородки носа и его дно.

Полость носа осуществляет связь организма с воздушной средой. Она представляет собой различного диаметра воздушный канал, окруженный костями лицевого и мозгового отделов черепа, спереди сообщающийся через носовые отверстия с внешней средой, сзади с носоглоткой. Боковая стенка полости носа представлена: носовой костью, верхней челюстью, слезной костью, решетчатой костью, небной костью, нижней носовой раковиной, крыловидным отростком основной кости. Особенностью этой стенки является наличие на ней носовых раковин: нижней, средней, верхней, которые отграничивают соответствующие носовые ходы. В нижнем носовом ходе открывается носослезный канал. Под средний носовой ход открывается соустье верхнечелюстной пазухи, передние и средние клетки решетчатой кости. В верхний носовой ход открываются задние клетки решетчатой кости и клиновидная пазуха. Дно полости носа образовано горизонтальными отростками верхней челюсти и небной кости, которые одновременно служат основой твердого неба.

Перегородка носа делит полость носа на две части. Она состоит из костной и хрящевой частей. Костная часть образована перпендикулярной пластинкой решетчатой кости и сошником. Перпендикулярная пластинка сверху спереди примыкает к лобной кости и к внутренней поверхности носовых костей, а сзади и снизу соединяется с верхним краем сошника. Между передним краем перпендикулярной пластинки и передней трети сошника входит четырехугольный хрящ. Верхний край хряща образует передний отдел спинки носа. К переднему краю четырехугольного хряща примыкает медиальная ножка большого крыльного хряща. Кожно-хрящевой, передний, отдел перегородки носа в отличие от костного является подвижным.
Полость носа выполняет следующие функции: обонятельную, дыхательную, защитную, речевую.
Обонятельная область представлена обонятельными, базальными и поддерживающими клетками. Она занимает пространство выше середины средней носовой раковины. В обонятельной области имеются трубчато-альвеолярные железы, вырабатывающие серозный секрет, который смачивает обонятельные волоски и способствует восприятию обонятельного раздражения.
Дыхательная область выстлана слизистой оболочкой, продолжающейся в околоносовые пазухи. Слизистая оболочка снабжена кавернозной тканью и слизистыми железами, расположенными преимущественно в нижней носовой раковине. Выстлана слизистая оболочка мерцательным эпителием, среди клеток которого расположены секреторные клетки. При дыхании носом главная масса воздуха направляется дугообразно вверх, оттуда спускается вниз к хоанам. При выдыхании воздух устремляется в обратном направлении по тому же пути, несколько заходя в обонятельную область Носовое дыхание, является нормальным физиологическим актом, и нарушение его вызывает различные патологические состояния всего организма. Понижается газообмен в легких, следовательно, уменьшается щелочной резерв крови. Нарушается кислородный обмен, вызывающий уменьшение количества гемоглобина и эритроцитов. Выключение носового дыхания и затруднение его отражается на работе сердца и артериальном давлении.
К защитным носовым рефлексам следует отнести: чихание, возникающее в результате раздражения окончаний тройничного нерва, грубыми взвешенными частицами, содержащимися в воздухе; слезотечение возникающее при вдыхании вредных примесей воздуха. Слеза стекает не только с конъюнктивального мешка наружу, но и через носослезный канал в полость носа, смывая тем самым вредное вещество.
Носовую полость и придаточные пазухи можно сравнить с физическими резонаторами. Звук, произведенный голосовыми связками–сложный звук. Этот звук достигает носовой полости и усиливается. Нос считается органом, участвующим в образовании тембра и окраски звука. Участие носа в речевой функции приобретает ведущее значение в произношении носовых согласных. Во время фонации мягкое небо свисает, но со стороны хоан становится открытым, в результате чего звуки речи получают носовой механизм.
Читайте также:
