Новообразования почки. Пальпация опухолей почки
Добавил пользователь Владимир З. Обновлено: 04.01.2026
Причины
Существует ряд факторов, рассматриваемых как предрасполагающие для развития этого заболевания:
- Курение. Данный фактор увеличивает риск развития рака почек примерно вдвое при сравнении с подверженностью этому заболеванию некурящих пациентов. Добавим также, что курение является и предрасполагающим фактором к развитию рака гортани, легких, желудка, мочевого пузыря и иных видов данного заболевания.
- Ожирение. Как известно, данный фактор достаточно часто рассматривается в качестве предрасполагающего, он способствует нарушению гормонального обмена, провоцируя также и развитие рака почек. Таким образом, он также не является исключением – риск в этом случае возрастает в среднем на 20%.
- Мужской пол. У мужчин рак почек диагностируется чаще, чем у женщин, причем соотношение по частоте заболеваемости для них выше в два раза.
- Длительный прием некоторых препаратов. В частности в данном случае рассматриваются медикаментозные препараты, используемые без назначения врача и употребляемые фактически бесконтрольно.
- Наличие тяжелых форм патологий почек. Дополнительно здесь можно выделить и такой фактор как длительное пребывание пациента на диализе, то есть с искусственной почкой, чему также сопутствует полное нарушение функций данного органа.
- Длительное применение химикатов (органические растворители, красители, моющие средства и пр.). Данный фактор является предрасполагающим не только к развитию рака почек, но и рака мочевого пузыря.
- Актуальные генетические патологии. Папиллярно-клеточная карцинома, болезнь Хиппел-Линдау и т.д.
- Поликистоз почек. Данная патология может быть как врожденной, так и приобретенной. Характеризуется образованием в почках большого количества кист с жидкостью, и, собственно, является одним из предрасполагающих факторов к развитию ракового заболевания.
- Наследственность. Наследственность заключается в отягощенной семейной истории болезни, то есть наличие рака почек у ближайших родственников. В особенности увеличивается риск возможного развития рака почек при наличии его у сестер и братьев.
- Расовые особенности. В частности подразумевается черный цвет кожи – у представителей негроидной расы риск несколько более повышен. Объяснить данную предрасположенность на данный момент не удается.
- Повышенное давление. Повышенное артериальное давление или препараты, используемые для его стабилизации – на данный момент окончательно неизвестно, что конкретно следует рассматривать в качестве предрасполагающего фактора, однако отрицать актуальность такой связи не приходится.
В каждом конкретном случае история болезни строго индивидуальна, и базироваться она может на самых различных факторах, рассматриваемых в качестве основы, ее спровоцировавшей.
Симптомы
Рак почки при небольших размерах опухоли может протекать бессимптомно. Возникающие у пациентов проявления рака почки отличаются разнообразием.
Наличие крови в моче (гематурия), боль в области поясницы и пальпаторно определяемое образование на стороне поражения - одновременное появление всех симптомов характерно для больших опухолей при запущенном процессе. На более ранних стадиях выявляются один или реже два признака.
Гематурия при раке почки может начинаться неожиданно, безболезненно при удовлетворительном общем самочувствии, может быть незначительной (микрогематурия) и тотальной (макрогематурия). Макрогематурия возникает в результате повреждения кровеносных сосудов при прорастании опухоли в почечную паренхиму, сдавлении ею внутрипочечных вен. Выделение с мочой червеобразных кровяных сгустков сопровождается почечными коликами. Выраженная гематурия при запущенном раке почки может привести к анемии, обтурации мочеточника, тампонаде мочевого пузыря кровяными сгустками и острой задержке мочи.
Боли со стороны поражения являются поздним признаком рака почки. Они носят тупой, ноющий характер и обусловлены сдавлением нервных окончаний при внутренней инвазии опухоли и растяжении почечной капсулы. Рак почки пальпируется в основном на третьей или четвертой стадиях как плотное, бугристое образование.
Повышение температуры тела при раке почки длительное, значения чаще субфебрильные, но иногда – высокие фебрильные, могут колебаться от нормальных величин до повышенных.
Многообразные клинические симптомы рака почки могут быть проявлением метастазов опухоли в окружающие ткани и различные органы. Признаками метастазирования рака почки могут быть: кашель, кровохарканье (при поражении легких), болевой синдром, патологические переломы (при костных метастазах), сильная головная боль, усиление неврологической симптоматики, постоянные невралгии и радикулиты (поражение головного мозга), желтуха (при метастазах в печени).
Диагностика
Обязательными и одними из самых информативными методами при выявлении и подтверждении опухолей почек в настоящее время являются ультразвуковая (УЗИ) и компьютерная (КТ) томография. Кроме того, под контролем УЗИ можно произвести прицельную пункционную биопсию опухоли с забором материала для цитологического исследования.
Однако самое информативное исследование при почечно-клеточном раке почек - селективная почечная ангиография, мало информативна при раке лоханки.
Степень распространения болезни устанавливают при рентгенографии легких и сцинтиграфии костей скелета.
Дополнительно может быть проведено исследование мочи на наличие атипических клеток, однако они обнаруживаются исключительно редко.
Повышенное значение в анализе крови имеет анемия, увеличенная СОЭ, иногда (в 2% случаев) повышение числа эритроцитов и гемоглобина.
Лечение
Наиболее эффективной методикой лечения злокачественного новообразования на почке является оперативное вмешательство.
В зависимости от того, какая стадия заболевания, его размеры и локализации, хирурги могут выполнять: резекцию – удаляется часть почки, на которой обнаружена раковая опухоль; нефрэктомию – удаляется вся почка.
В том случае, когда у больного была выявлена злокачественная опухоль небольших размеров (в диаметре до 4 см), то специалисты делают резекцию почки. При проведении хирургического вмешательства у пациента проводится забор биологического материала, который сразу же передаётся в лабораторию на гистологическое исследование.
Более радикальным метолом хирургического лечения рака почки является нефректомия, во время которой больному иссекается почка и рядом расположенные ткани: почечная фасция, околопочечная жировая клетчатка, регионарные лимфатические узлы и т. д. Если во время операции выявляется опухоль, которая распространилась на верхний полюс почки, врач принимает решение об ампутации надпочечника.
После лечения хирургическим методом больные проходят послеоперационную реабилитацию. Им назначается химиотерапия, радиотерапия, иммунотерапия и т. д. В некоторых случаях (при наличии единственной почки) пациенты направляются на гемодиализ, и в последствие им рекомендуется трансплантация органа.
Если опухоль не успела распространиться за пределы органа, то у больного есть все шансы навсегда побороть это заболевание. В том случае, когда до, или после лечения, у пациентов происходит метастазирование, то для них существуют неблагоприятные прогнозы. Продолжительность жизни больного напрямую будет зависеть от того, на какой стадии рака он обратился в медицинское учреждение.
В последнее время больных, которым диагностирован рак почки, стали лечить посредством задействования таргетной терапии. Данная методика позволяет медикаментозно оказывать необходимое воздействие на раковую опухоль. Таргетные препараты провоцируют гибель опухолевых клеток. Их приём не сопровождается сильными побочными эффектами. Они практически не оказывают негативного влияния на здоровые клетки поражённой почки и рядом расположенные органы.
При раке почек больным в большинстве случаев назначается химиотерапия. Пациент по определённой схеме должен принимать специальные препараты. При проникновении в кровь больного особые медикаменты начинают оказывать воздействие на организм. Химиотерапия приносит положительный эффект только в совокупности с другими лечебными методиками. Её основное предназначение заключается в воздействии не только на злокачественные новообразования, но и на метастазы, которые могут поразить любой внутренний орган больного.
Новообразования почки
Новообразования почки — патологическое разрастание тканей, состоящих из качественно мутированных клеток.
По гистологическому строению выделяют доброкачественные и злокачественные опухоли.
- доброкачественные — липтома, миксома, фиброма, аденома, кисты, эпителиальные образования и другие
- злокачественные — саркома, гипернефрома, рак почки или лоханки и другие
Причины развития опухолей почки достоверно не известны. К факторам риска их возникновения можно отнести курение, травму почки, контакт с химическими соединениями (нитрозосоединения, циклические углеводороды, асбест), злоупотребление анальгетиками, а также заболевания, приводящие к нефросклерозу (артериальная гипертензия, сахарный диабет, камни почек, хронический пиелонефрит и т. д. ). В развитии рака почки немаловажное значение играет генетическая предрасположенность. Заметим, что наследуется не само новообразование, а предрасположенность к его возникновению.
Болезнь чаще развивается у лиц старше 40 лет, причем мужчины страдают в 2 раза чаще, чем женщины.
На начальных этапах заболевание может протекать бессимптомно, или пациент может ощущать лишь лёгкое недомогание, порой принимаемое за усталость.
В большинстве случаев вне зависимости от причины патологического процесса, будут присутствовать следующие клинические симптомы: болезненные ощущения, появление крови в моче, при пальпации может прощупываться новообразование. При обнаружении любого из этих симптомов следует обратиться для урологического обследования.
В целом вне зависимости от причины патологического процесса, будут присутствовать следующие клинические признаки: проблемы с мочеиспусканием — частые позывы, ощущение неполного опорожнения мочевого пузыря, боль и жжение во время опорожнения; у женщин возможны нарушения со стороны менструального цикла — смещение менструальных дней, скудные или, напротив, обильные выделения; боль в области поражённой почки, если патологии подверглись оба органа, то боль будет двустороннего характера; нередко боль отдаёт в область поясницы; периодическое повышение температуры, клиника общей интоксикации организма; почечная колика; повышенное АД, учащённое сердцебиение; бледность кожи, слабость, что будет говорить об анемии; тошнота, возможно, со рвотой; снижение веса; ухудшение аппетита; при пальпации хорошо прощупывается новообразование; в моче может присутствовать кровь; быстрая утомляемость, даже при условии продолжительного отдых
Современные методы исследования позволяют с точностью поставить диагноз. К ним относятся ультразвуковое исследование, экскреторная (внутривенная) урография, МРТ и КТ. Лабораторная диагностика дает дополнительную информацию.
До настоящего времени основным и единственно радикальным методом лечения новообразований почки является оперативное вмешательство (резекция почки, либо радикальная нефрэктомия).
Высокое профессиональное мастерство и современное техническое оснащение нашей больницы позволяют специалистам урологического отделения успешно выполнять оперативные вмешательства на почке.
СПЕЦИАЛИСТЫ
Васильков Александр Юрьевич
заведующий урологическим отделением, врач-уролог высшей квалификационной категории, к.м.н.
Рак почки
Рак почки — злокачественное образование, формирующееся в одной или в обеих почках. Данное заболевание находится на 10-м месте по распространенности, при этом чаще болезнь встречается у городских жителей в возрасте 50-70 лет. Мужчины попадают в группу риска: у них вероятность заболеть раком почки в 2 раза выше.
Среди всех злокачественных опухолей почки наиболее часто встречается почечно-клеточный рак (в 40% случаев), реже регистрируются образования в мочеточнике и почечной лоханке, наиболее редко (в менее чем в 10% случаев) встречается саркома.
Наука достоверно не может назвать причины, приводящие к данному заболеванию, однако довольно точно определяет способствующие его развитию факторы:
- Избыточная масса тела.
- Курение (риск увеличивается на 50%).
- Высокое артериальное давление.
- Вредные условия труда (работа с химикатами).
- Поликистоз почек.
- Сахарный диабет.
- Вирусные инфекции.
- Продолжительное нахождение на гемодиализе почки.
- Генетическая предрасположенность, редко встречающиеся заболевания (синдром фон Гиппеля-Линдау).
Рак почки: симптомы
В настоящее время около 50% всех опухолей почки диагностируется случайно, при плановом УЗИ при полном отсутствии каких-либо симптомов.
Характерные симптомы заболевания в настоящее время встречаются реже.
- Кровь в моче (гематурия). Ее появление может носить внезапный и обильный характер.
- Боли в спине и пояснице: эти жалобы связаны с прорастанием опухоли в соседние органы или закупоркой мочеточника.
- Уплотнение в животе (при пальпации нащупывается опухоль).
- Повышение температуры и артериального давления (последнее может быть вызвано сдавливанием артерий или продуцированием опухолью ренина).
- Варикоцеле.
- Похудание, общая слабость, анемия, ночная потливость и чрезмерно выраженная утомляемость.
К сожалению, зачастую признаки рака почки проявляются не сразу, болезнь длительно протекает в бессимптомной форме. Именно поэтому так важно проходить регулярный профилактический осмотр, делать УЗИ и сдавать анализ крови и мочи.
Диагностика рака почки
Диагностика рака почки предполагает целый комплекс различных манипуляций, что позволяет установить правильный диагноз с максимальной точностью.
- Наиболее доступным методом диагностики является УЗИ.
- Золотым стандартом диагностики опухолей почки является компьютерная томография с контрастированием. Компьютерная томография дает полное представление о положении опухоли, ее размере, клинической стадии и прорастании опухоли в смежные органы.
- Анализ мочи выявляет наличие примеси крови в моче.
- Анализ крови позволяет выявить косвенные признаки заболевания: малокровие, повышенный уровень щелочной фосфатазы, мочевины в крови и т. д.
- МРТ для диагностики опухолей почки используется реже чем КТ, основным показанием для выполнения МРТ является противопоказание к выполнению КТ.
- Биопсия опухолей почки выполняется с целью подтверждения диагноза и определения дальнейшей тактики лечения. К сожалению, в ряде случаев биопсия опухоли почки является неинфрмативной, по этой причине сейчас данное исследование выполняется достаточно редко.
- Для определения метастазов в легие и кости скелета используют рентгенографию органов грудной клетки и остеосцинтиграфию.
- Почечная ангиография — рентгенологическое исследование с контрастным веществом.
Исходя из того, каковы проявления рака почки, состояние больного и результаты предварительных анализов, врач выбирает те или иные методы диагностики рака почки для формирования максимально объективной картины.
Стадии рака почки
Существуют 4 стадии рака почки, характеризующиеся различным процентом излечения (вероятность успешного излечения выше на начальных стадиях):
- Рак почки 1 стадии. Размер опухоли — до 7 см, метастазирования нет, раковые клетки локализованы исключительно в почечной ткани. При своевременном и адекватном лечении рака почки вероятность выздоровления — 80-90%.
- Рак почки 2 стадии. Опухоль больше 7 см, но ограничена самой почкой.
- Рак почки 3 степени. Опухоль может еще не выходить за пределы почечной капсулы, но распространяется на надпочечник или паранефральную клетчатку или опухоль распространяется в почечную вену/полую вены.
- Рак почки 4 степени. Опухоль прорастает почечную капсулу.
Лечение рака почки
Лечение рака почки базируется на нескольких общепринятых методиках, используемых по отдельности или комплексно. Лечащий врач, исходя из типа опухоли, клинической стадии возраста и самочувствия больного, имеющихся противопоказаний и иных факторов, может прибегнуть к различным методам лечения.
Наиболее эффективным способом лечения рака почки является хирургическое удаление опухоли. Радикальная нефрэктомия – это полное удаление пораженной почки, как правило, вместе с окружающей паранефральной клетчаткой, лимфоузлами и иногда надпочечником. Если же размеры опухоли не превышают 7 см, проводят частичную резекцию почки. Наряду с традиционным методом, при котором удаление почки или ее резекция выполняется через большой разрез, существует лапароскопический. В данном случае опухоль удаляется или резецируется при помощи специальных инструментов, введенных в брюшную полость через небольшие разрезы (2 см.) Лапароскопический метод связан с меньшей частотой осложнений. Кроме того реабилитация пациента проходит быстрее.
Альтернативным методом лечения опухолей почки является криоабляция. Суть метода заключается в заморозке опухоли при помощи специальных криозондов, введенных в опухоль. Опухоль подвергается попеременной заморозке и разморозке, что в конце концов приводит к гибели раковых клеток. Данный метод наименее травматичен для пациента и показан при невозможности выполнения операции, опухолях обеих почек и опухоли единственной почки.
Лекарственную терапию (химиотерапию, гормонотерапию или иммунотерапию) назначают, если диагностирован запущенный рак почки (4 стадия), когда оперативное вмешательство невозможно.
Профилактика рака почки
Для предупреждения рака почки важно отказаться от курения, контролировать вес и сбалансировано питаться (с преобладанием фруктов и овощей). Таким образом, здоровый образ жизни является основным методом профилактики данного заболевания.
Опухоль (рак) почки: симптомы, стадии и лечение
Рак почки – это новообразование, которое возникает на поверхности почки и постепенно проникает во внутренние слои органа. В 90% случаев опухоль имеет злокачественный характер.


4.00 (Проголосовало: 6)
- Определение опухоли почки
- Симптомы рака почки
- Стадии рака почки
- Диагностика опухоли почки
- Лечение рака почки
Определение опухоли почки
Существуют разные классификации рака почки.
Гистологическая классификация делит рак почки на 5 групп, в зависимости от их тканевого происхождения и морфологических признаков:
- Почечно-клеточные опухоли - карциномы, часто называемые гипернефроидным раком, являются самым распространенным злокачественным новообразованием почек. Карциномы имеют несколько разновидностей:
- светлоклеточный рак, возникающий при поражении фильтрационной системы почки, на долю которого приходится 80% всех почечно-клеточных опухолей;
- папиллярный рак;
- рак из собирательных трубочек;
- хромофобный рак;
- медуллярный рак,
- неклассифицируемые варианты.
- Герминогенные опухоли – развиваются из зародышевых клеток половых желез. К ним относится хориокарцинома.
- Нейроэндокринные опухоли возникают из нервных клеток. К ним относятся нейробластома и карциноид.
- Мезенхимальные опухоли – первичный очаг рака находится в других органах, но сама опухоль развивается в почке. К ним относятся саркома, гистиоцитома.
- Нефробластические опухоли, развивающиеся из эмбриональных тканей почек. К ним относится нефробластома. Этот тип рака почки развивается, главным образом, у детей.
Рак почки, как и другие виды злокачественных опухолей возникает в результате воздействия множества факторов:
- наследственная предрасположенность;
- профессиональный риск (работа с канцерогенными веществами). В группу повышенного риска входят работники нефтеперерабатывающих предприятий, ткацких фабрик, предприятий химической промышленности, заводов по производству резиновых изделий, а также бумажных фабрик;
- вредные привычки (курение, избыточное употребление алкоголя);
- медицинские процедуры (гемодиализ);
- хронические заболевания, связанные с нарушениями эндокринного характера (сахарный диабет, гипертония, ожирение);
- прием некоторых типов лекарственных препаратов (диуретики, гормональные препараты). Это связано с тем, что большинство лекарственных препаратов выводится из организма с мочой, а значит через почки;
- режим питания и приготовления пищи. Люди, в чьи пищевые привычки входит много жареной и жирной пищи, больше подвержены раковым новообразованиям почек.
Возрастная картина рака почек выглядит следующим образом: пик заболевания приходится на пациентов старше 50 лет, за исключением тех, кто имеет генетическую предрасположенность. У женщин после 50 лет риск возникновения рака почки в два раза больше, если они перенесли операцию по удалению матки.
Симптомы рака почки
На первых стадиях заболевания рак почки не дает никаких симптомов. По мере разрастания опухоли проявляется симптоматика двух видов:
- Почечная:
- прощупывание новообразования через переднюю брюшную стенку при пальпации. Возможно на последних стадиях болезни;
- боль в пояснице – также возникает на последних стадиях болезни на пораженной стороне;
- гематурия – проявляется на ранней стадии рака и носит периодический характер. В тяжелых случаях сопровождается почечной коликой.
- Внепочечная:
- общая интоксикация;
- повышение температуры;
- хроническая утомляемость;
- повышенное артериальное давление. Это связано с нарушением выработки почками ренина, гормона отвечающего за регуляцию артериального давления;
- отсутствие аппетита и беспричинное похудение;
- отеки нижних конечностей;
- варикоз и тромбоз вен;
- дисфункция печени.
Повышение температуры – самый частый симптом при раке почки. Это связано с реакцией иммунной системы на раковые клетки на ранней стадии и с процессом некроза и воспаления опухоли в финальной стадии.
Клиническая картина рака почки в стадии распространения метастазов включает следующие симптомы:
- Харканье кровью (при метастазах в легких).
- Частые переломы костей (при костных метастазах).
- Гепатит (при метастазах в печени).
Стадии рака почки

Для выбора методики лечения и хирургического вмешательства существует международная система классификации TNM. По этой системе рак почек делится следующим образом:
- Т-показатели классифицируют опухоли по размеру и локализации. Например, Т1 – опухоль находится в пределах почки, и ее диаметр не превышает 7 см. Т4 – опухоль распространилась за пределы почечной капсулы. Чем выше индекс Т, тем неблагоприятнее прогноз.
- N-показатели– степень поражения лимфатических узлов. N0 – нет признаков поражения лимфоузлов. N2 – метастазы в нескольких лимфоузлах.
- М-показатели – метастазирование. М0 – отсутствие метастазов. М1 – метастатическое повреждение других органов.
Диагностика опухоли почки
При подозрении на злокачественное новообразование в почке необходимо провести комплексное обследование. После общего осмотра пациент направляется на лабораторные анализы:
- общий и биохимический анализ крови и мочи;
- анализ крови на свертываемость;
- цитология.
Важную роль в диагностике рака почки играют инструментальные методы:
- УЗИ органов брюшной полости – для определения размеров и локализации опухоли и степени поражения лимфоузлов. Во время УЗИ проводится биопсия пораженной ткани для гистологического исследования;
- рентген почек – для визуализации опухоли;
- компьютерная томография и МРТ – для точной диагностики и исключения метастазов;
- ренальная ангиография – для определения степени поражения сосудов почки и распространенности метастазов;
- экскреторная урография – для визуализации состояния чашечек и лоханок почки;
- радионуклеидное сканирование – здоровая ткань почек и опухоль имеют разный коэффициент поглощения гамма-излучения. Поэтому при радионуклеидном сканировании при наличии опухоли снимок будет с дефектами изображения почечной ткани;
- нефросцинтиграфия – для оценки функции почки и степени ее нарушения.
Лечение рака почки
В лечении рака почки превалируют методики хирургического вмешательства. Они считаются основными. Остальные виды терапии используются для закрепления и сохранения эффекта.
Комплексное лечение рака почки состоит из следующих методик:
- химиотерапия;
- лучевая терапия;
- гормонотерапия;
- иммунотерапия;
- хирургическое вмешательство.
Выбор методики хирургического вмешательства зависит от размера опухоли и стадии развития рака:
- При резекции удаляется только пораженный участок почки;
- При нефрэктомии удаляется вся почка вместе с околопочечными тканями и лимфатическими узлами. При расположении опухоли в верхней части почки, удаляется надпочечник.
После хирургического удаления опухоли назначается курс лучевой и/или химиотерапии.
Прогноз заболевания зависит от стадии развития опухоли. По статистике, при удалении опухоли в первой стадии рака почки, выживаемость составляет более 80%, во второй стадии – 74%, в третьей – 53%, в четвертой – 8%.
Новообразования почки. Пальпация опухолей почки
Институт хирургии им. А.В. Вишневского Минздрава РФ, Москва
ФГБУ «Национальный медицинский исследовательский центр хирургии им. А.В. Вишневского» Минздрава России, Москва, Россия
Институт хирургии им. А.В. Вишневского Минздрава РФ, Москва
ФГБУ «Институт хирургии им. А.В. Вишневского» Минздрава РФ, Москва, Россия
Институт хирургии им. А.В. Вишневского Минздрава РФ, Москва
Онкоцитома почки: дифференциальная диагностика и лечение
Институт хирургии им. А.В. Вишневского Минздрава РФ, Москва
Онкоцитома почки — эпителиальная опухоль, состоящая из онкоцитов и возникающая в дистальных трубочках или собирающих протоках паренхимы почки. По данным разных авторов, онкоцитома составляет от 3 до 7% всех первичных опухолей почки. До недавнего времени считалось, что высокодифференцированная онкоцитома всегда является доброкачественной опухолью. Однако это мнение оказалось ошибочным, так как описано несколько случаев агрессивного течения этой опухоли, образование может метастазировать или инфильтрировать окружающие ткани при экстраренальном росте. Крайне редко возможна сосудистая инвазия. При лучевых методах исследования относительно патогномоничным для онкоцитомы признаком считается присутствие рубца звездчатой формы в центре опухоли, однако следует помнить, что рубец может встречаться и при аденоме, светлоклеточном, а также хромофобном почечно-клеточном раке. При этом в онкоцитомах малых размеров (до 4 см) рубец может не обнаруживаться. Таким образом, постановка дооперационного диагноза онкоцитомы почки затруднена. Учитывая и традиционное отношение к онкоцитоме, как к доброкачественному образованию и новые данные о возможности ее злокачественного течения, при подозрении на наличие онкоцитомы почки целесообразно выполнять хирургическое лечение. Объем вмешательства следует определять в зависимости от размеров и локализации опухоли. Представлено клиническое наблюдение пациента 64 лет с онкоцитомой почки (информированное согласие пациента на возможность публикации данных получено). Данные лучевой диагностики образования были схожи с таковыми при раке почки, что не позволило дифференцировать опухоль дооперационно. Незначительные размеры опухоли и экстраорганное расположение ее большей части позволили выполнить резекцию почки. Динамическое наблюдение в течение года не выявило рецидива заболевания.
Институт хирургии им. А.В. Вишневского Минздрава РФ, Москва
ФГБУ «Национальный медицинский исследовательский центр хирургии им. А.В. Вишневского» Минздрава России, Москва, Россия
Институт хирургии им. А.В. Вишневского Минздрава РФ, Москва
ФГБУ «Институт хирургии им. А.В. Вишневского» Минздрава РФ, Москва, Россия
Институт хирургии им. А.В. Вишневского Минздрава РФ, Москва
Онкоцитома почки — эпителиальная опухоль, состоящая из онкоцитов (круглых или полигональных неопластических клеток с гранулированной, богатой эозинофилами цитоплазмой) и возникающая в дистальных трубочках или собирающих протоках паренхимы почки [1]. Впервые онкоцитома почки была описана L. Zippel [2] в 1942 г., но не принята во внимание исследователями до публикации 13 случаев M. Klein и Q. Valensi [3] в 1976 г. По данным разных авторов, онкоцитома составляет от 3 до 7% всех первичных опухолей почки [4—6]. Образование чаще возникает в пожилом возрасте (40—60 лет) в основном у мужчин [5, 6], однако некоторые авторы [7] отдают незначительное преимущество женщинам.
Клинические и лабораторные данные обычно неспецифичны при диагностике онкоцитомы. Развитие опухоли чаще протекает бессимптомно, состояние больного практически не нарушается, даже когда онкоцитома достигает крупных размеров. Чаще всего опухоль обнаруживается случайно, при обследовании больного по поводу другой патологии [17]. В ряде случаев, когда образование достигает довольно больших размеров, оно приводит к возникновению болезненных симптомов: ноющие боли в поясничном отделе спины, гематурия, артериальная гипертензия, вторичное варикоцеле со стороны пораженного органа [8].
При лучевых методах исследования относительно патогномоничным для онкоцитомы признаком считается присутствие рубца звездчатой формы в центре опухоли, однако следует помнить, что рубец может встречаться и при аденоме почки, светлоклеточном, а также хромофобном почечно-клеточном раке [18].
При УЗИ онкоцитома почки выглядит как гипо- или изоэхогенное образование, деформирующее структуру почки. Дифференциальная диагностика сложна. При использовании методик ультразвуковой ангиографии опухоль гиперваскулярная и может быть принята за рак почки [19]. По данным компьютерной томографии при нативных изображениях онкоцитома визуализируется как округлой формы образование с четкими, ровными контурами, изоденсное или несколько гиподенсное относительно окружающей паренхимы. В большинстве случаев после контрастного усиления в артериальной фазе имеет типичный вид колеса со спицами (отражает ход артериол в опухоли) с центральным звездчатым рубцом низкой плотности, однако необходимо отметить, что в онкоцитомах малых размеров (до 4 см) рубец может не обнаруживаться. По периферии образования определяется зона пониженной плотности — прозрачный ободок, соответствующий капсуле [7, 17, 20]. При магнитно-резонансной томографии онкоцитома имеет неоднородную, преимущественно изо- и гипоинтенсивную МР-структуру на T1 и T2 В.И. При введении контрастного вещества опухоль может быть гиповаскулярна или же определяется симптом «спицевого колеса» — снижение накопления контрастного препарата центральным звездчатым рубцом [21—23]. При ангиографии образование бывает как аваскулярное, так и гиповаскулярное, характер сосудистого рисунка образования соответствует типу «колеса» [7, 18, 20], при этом отсутствуют характерные для почечно-клеточного рака штопорообразно извитые сосуды, артериовенозные фистулы, «озера» и «лужицы» контраста [24].
Макроскопически онкоцитома имеет вид узла размером от 0,3 до 26 см (средний размер 4,8—8,1 см) красно-коричневого, реже желто-коричневого или светло-желтого цвета, четко очерченные границы. В центре опухоли, особенно крупной, часто виден звездчатый рубец, но нет типичного для рака почки некроза. В редких случаях в онкоцитомах отмечаются кистозные очаги. Характерны кровоизлияния, могут быть кисты, распространение в паранефральную клетчатку и сосуды, имитирующие инвазивный рост [17, 25].
При морфологическом исследовании онкоцитома представлена преимущественно округлыми или полигональными крупными клетками с плотной зернистой эозинофильной цитоплазмой, мономорфными ядрами с пылевидным распределением хроматина, центрально расположенным ядрышком. Клетки расположены в гиалинизированной или миксоидной строме. Также можно обнаружить двуядерные клетки, клетки с высоким ядерно-цитоплазматическим индексом, полиморфными гиперхромными ядрами, участки с выраженной ядерной атипией. Классический вариант онкоцитомы характеризуется сочетанием гнезд опухолевых клеток, солидных полей, трабекулярных тяжей [25].
Онкоцитарные или эозинофильные участки можно обнаружить практически в любой опухоли почки, поэтому дифференциальная диагностика, особенно по биоптатам, вызывает значительные трудности [26]. Для решения этих проблем применяется иммуногистохимическое исследование. Иммуногистохимический профиль онкоцитомы вариабелен, однако сам метод может быть использован с целью дифференциальной диагностики как дополнительный. Клетки опухоли обычно экспрессируют CD117, E-кадгерин, S100A, общий цитокератин и низкомолекулярные цитокератины. Онкоцитомы всегда негативны к цитокератину 7. Экспрессия виментина не выявляется, за исключением отдельных рассеянных мелких клеток (онкобласты и лимфоциты) по периферии центрального рубца [27, 28]. В литературе также описаны единичные случаи онкоцитом, экспрессирующих RCC, CD10 и рацемазу [28, 29].
Приводим сводную сравнительную таблицу морфологических характеристик опухолей, способных имитировать онкоцитому.

Сравнительные данные морфологических критериев онкоцитомы, светлоклеточной карциномы и эозинофильно-клеточного варианта хромофобной карциномы [25—32]
В настоящее время, учитывая доброкачественное течение онкоцитомы, при лечении методом выбора может являться резекция почки и только при значительных размерах образования — нефрэктомия [6, 16]. Также, учитывая хороший долгосрочный прогноз у этой категории больных, все более активно применяются методы миниинвазивной локальной деструкции (криохирургия и радиочастотная абляция) после предварительного подтверждения диагноза по данным биопсии [8].
Представляем собственное клиническое наблюдение онкоцитомы.
Пациент С., 64 лет, при поступлении жалоб не предъявлял.
Анамнез. При госпитализации по поводу хронического калькулезного холецистита в ГКБ у пациента выявлено образование левой почки.
При пересмотре представленных для анализа МР-томограмм, выполненных 08.10.15 по месту жительства, в средней трети левой почки определяется округлая субкапсулярно расположенная опухоль размером до 20 мм с относительно четкими контурами, без признаков инвазии в перинефральную клетчатку и ЧЛС. Мочеточник в 2/3 проксимальных отделов не изменен.
Регионарные лимфатические узлы не увеличены, надпочечники не изменены.
Кровоснабжение почки оценить в рамках выполненного исследования не представлялось возможным.
В обеих почках определялись мелкие простые кисты размером от 4 до 12 мм (Bosniak I).
Дополнительно выявлялись множественные простые кисты обеих долей печени. В структуре кисты, расположенной в IV сегменте (размером 19 мм), определялись тонкие перегородки. Жидкостное скопление в пузырной ямке, пузырный проток с неровными контурами.
Изменений вторичного характера в костях нет.
Заключение. Опухоль левой почки (нельзя исключить рак почки). Мелкие простые кисты обеих почек, печени.
Пациент направлен в НМИЦ хирургии им. А.В. Вишневского.
При поступлении: состояние удовлетворительное. Кожные покровы обычной окраски, чистые, тургор кожи сохранен. Видимые слизистые: обычной окраски, чистые, катаральных явлений нет. Подкожно-жировая клетчатка развита умеренно. В легких дыхание везикулярное, хрипов нет. ЧДД 16 в минуту. Тоны сердца приглушенные, ритмичные. ЧСС 76 в минуту. Артериальное давление 130/80 мм рт.ст. Язык влажный, чистый. Живот не вздут, при пальпации мягкий, безболезненный во всех отделах. Перитонеальных симптомов нет. Физиологические отправления в норме. Лимфатические узлы (шейные, надключичные, подключичные, подмышечные, паховые, бедренные) не увеличены, безболезненные, не спаяны между собой и кожей.
Ультразвуковое исследование. Левая почка визуализируется, размером 112,5×57,3 мм, с четкими ровными контурами, отчетливо прослеживается кортико-медуллярная дифференциация, паренхиматозный слой достаточно выражен — 13,9 мм, ЧЛС не расширена, структуры уплотнены. В средней трети левой почки субкапсулярно, несколько деформируя контур почки, определяется солидное образование диаметром до 17,9 мм с относительно четкими контурами, несколько пониженной эхогенности, местами прослеживается тонкая эхогенная капсула (рис. 1). Рис. 1. УЗ-изображение опухоли левой почки в В-режиме. При дуплексном сканировании со стороны паренхимы почки прослеживаются артерия и вена, участвующие в кровоснабжении образования (рис. 2, а). Рис. 2. УЗ-изображения опухоли левой почки в режиме дуплексного сканирования. а — сегментарные артерия и вена, участвующие в кровоснабжении опухоли; б — в структуре образования лоцируется сосудистый сигнал. a — the segmental artery and vein involved in the blood supply to the tumor; b — vascular signal is located in the structure of the lesion. В структуре образования определяются единичные артерии с низкорезистентным кровотоком (см. рис. 2, б). При введении контрастного вещества соновью оно значительно накапливается в образовании в артериальную фазу исследования и достаточно быстро вымывается в отсроченную (рис. 3). Рис. 3. УЗ-изображения с контрастным усилением в артериальную фазу исследования гиперваскулярной опухоли левой почки. Левая почечная артерия и вена проходимы, просвет их полностью окрашивается.
В обеих почках определяются кисты размером от 8,2 до 26,4 мм (Bosniak I).
Заключение. Опухоль левой почки, УЗ-картина не позволяет исключить светлоклеточный рак. Кисты обеих почек.
Рентгенография органов грудной полости в двух стандартных проекциях: свежих очаговых и инфильтративных изменений не выявлено.
С учетом данных предоперационного комплексного обследования установлен диагноз рака левой почки T1аNxMo.
Выполнена лапароскопически-ассистированная резекция левой почки. Интраоперационно произведена мобилизация всей поверхности почки. Паранефральная клетчатка удалена от верхнего полюса с отсепаровкой клетчатки левого надпочечника. Прецизионно выделены элементы почечной ножки, левый мочеточник на протяжении, а также почечная вена, почечная артерия. Визуализирована расположенная преимущественно экстраренально киста до 30 мм в диаметре. На сосуды почки наложены сосудистые зажимы типа «бульдог». Остро, отступя на 2 мм от границ кисты, выполнена резекция почки. Зияющие сосуды дна резекции ушиты Z-образными швами викрил 3/0. Наложены вертикальные швы викрил 2/0. Лигатуры завязаны. Сняты сосудистые зажимы с сосудов почечной ножки. Время тепловой ишемии 15 мин. Визуально почка жизнеспособна. Дренирование забрюшинного пространства произведено силиконовым дренажем. Восстановлена целостность забрюшинного пространства.
Контрольное ультразвуковое исследование органов брюшной полости и забрюшинного пространства. Состояние после холецистэктомии; резекции левой почки. Левая почка несколько визуализируется, размером 95,6×44,8 мм, четкие контуры, в зоне резекции деформирована, прослеживается кортико-медуллярная дифференциация, паренхиматозный слой достаточно выражен — 14,2 мм, ЧЛС не расширена, структуры уплотнены. При исследовании внутрипочечного кровотока сосудистый рисунок несколько обеднен, но выражен равномерно, показатели RI по сегментарным артериям в пределах нормальных значений. Увеличение и диффузные изменения паренхимы печени, инфильтрат в ложе удаленного желчного пузыря; простые кисты печени; умеренная внутрипеченочная билиарная гипертензия вследствие перипротокового фиброза; хронический панкреатит; спленомегалия.
Гистологическое исследование (рис. 4, 5). Рис. 4. Удаленный макропрепарат на разрезе. Рис. 5. Микроскопическое исследование опухоли почки. Окраска гематоксилином и эозином, ×200. Опухоль почки построена из относительно крупных полигональных клеток со светлоэозинофильной цитоплазмой и округлыми гиперхромными ядрами. Клетки опухоли формируют трабекулы и солидные поля среди рыхлой фиброваскулярной стромы. При микроскопическом исследовании опухоль почки построена из относительно крупных полигональных клеток со светлоэозинофильной цитоплазмой и округлыми гиперхромными ядрами. Клетки опухоли формируют трабекулы и солидные поля среди рыхлой фиброваскулярной стромы.
Заключение. Опухоль почки имеет строение онкоцитомы (M 8290/0).

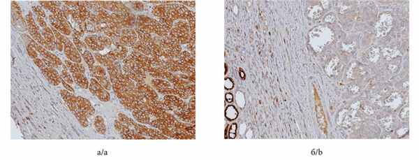
Иммуногистохимическое исследование. В клетках опухоли обнаруживается мембранно-цитоплазматическая выраженная экспрессия CD117 (клон YR145, Cell Marque) (рис. 6, а); Рис. 6. Иммунопероксидазный метод, ×200. а — клетки опухоли обнаруживают мембранно-цитоплазматическую выраженную экспрессию CD117 (клон YR145, Cell Marque); б — клетки опухоли негативны к CD10 (клон 56C6, DAKO), в то же время атрофичные почечные канальцы по периферии псевдокапсулы опухоли обнаруживают выраженную мембранно-цитоплазматическую экспрессию CD10 (клон 56C6, DAKO). клетки негативны к CD10 (клон 56C6, DAKO), в то же время в атрофичных почечных канальцах по периферии псевдокапсулы опухоли выявляется выраженная мембранно-цитоплазматическая экспрессия CD10 (клон 56C6, DAKO) (см. рис. 6, б).
Больной в удовлетворительном состоянии выписан из клиники под наблюдение хирурга по месту жительства.
Динамический ультразвуковой мониторинг за состоянием пациента в течение года рецидива заболевания не выявил.
Таким образом, данные лучевой диагностики образования были схожи с таковыми при раке почки и не позволили дифференцировать опухоль дооперационно, что совпадает с мнением большинства авторов [7, 17—20], которые, описывая критерии дифференциальной диагностики онкоцитомы, отмечают, что в большинстве их собственных наблюдений диагноз тем не менее не был поставлен дооперационно. Незначительные размеры опухоли и экстраорганное расположение ее большей части позволили выполнить резекцию почки.
Онкоцитома почки — эпителиальная опухоль почки, состоящая из онкоцитов и возникающая в дистальных трубочках или собирающих протоках паренхимы почки. По данным разных авторов, онкоцитома составляет от 3 до 7% всех первичных опухолей почки. Считается, что онкоцитома всегда является доброкачественной опухолью. Однако нельзя не учитывать тот факт, что описано несколько случаев агрессивного течения этой опухоли, образование может метастазировать или инфильтрировать окружающие ткани при экстраренальном распространении. Крайне редко возможна сосудистая инвазия. При лучевых методах исследования относительно патогномоничным для онкоцитомы признаком считается присутствие рубца звездчатой формы в центре опухоли, однако следует помнить, что рубец может встречаться и при аденоме, светлоклеточном, а также хромофобном почечно-клеточном раке. При этом в онкоцитомах малых размеров (до 4 см) рубец может не обнаруживаться. Таким образом, постановка дооперационного диагноза онкоцитомы почки затруднена. В то же время пункционная или аспирационная биопсия может служить уточняющим методом, однако обнаружение любых участков из светлых клеток, папиллярных структур, очагов некроза, наличие атипичных митозов исключают диагноз онкоцитомы. Использование дополнительных гистохимических (коллоидное железо по методу Гале), иммуногистохимических и иммуноцитохимических методов исследования на пункционном материале имеет свои ограничения, связанные в первую очередь с объемом исследуемого материала. Чаще всего дифференцировать онкоцитому почки необходимо со светлоклеточной карциномой и эозинофильно-клеточным вариантом хромофобной карциномы. Учитывая и традиционное отношение к онкоцитоме как к доброкачественно текущему образованию, при подозрении онкоцитомы почки целесообразно выполнять хирургическое лечение. Объем вмешательства следует определять в зависимости от размеров и локализации опухоли, но наибольшее предпочтение должно быть отдано органосохраняющему хирургическому лечению. Во время операции должны быть определены все онкологические принципы, однако однозначного мнения авторов по поводу необходимости проведения лимфаденэктомии нет.
Читайте также:
