Обзоры лейкемии
Добавил пользователь Дмитрий К. Обновлено: 21.12.2025
Мы можем разделить лейкоз как по его течению, так и по его поверхности. Различают острый и хронический лейкоз, а также лимфолейкоз и миелоидный лейкоз. Каждый из видов рака крови представляет собой угрозу для здоровья и жизни пациента, поэтому так важны профилактика рака и систематическое периодическое тестирование, которое может выявить любые отклонения в изображении образца крови, взятого для исследования. Периферические анализы крови с мазком должны проводиться один раз в год. Это простое, но спасающее жизнь исследование, которое мы всегда должны помнить.
Отдельные виды лейкемии имеют сходные симптомы, но они затрагивают другую группу пациентов. У детей наиболее распространенным является острый лимфобластный лейкоз, которым страдает лишь небольшой процент взрослых. Взрослые и пожилые люди чаще страдают от острого и хронического миелогенного лейкоза.
Виды лейкемии
Лейкемия все еще остается большой загадкой для врачей. До настоящего времени не было найдено точной причины, которая заставляет клетки начать делиться неправильно. Одной из гипотез является случайная ошибка при делении одной клетки, которая вызывает заболевание. Несмотря на многочисленные исследования, до сих пор недостаточно убедительно доказано, что рак крови наследуется вместе с генами и передается потомству родителями.
Считается, что одна мутированная клетка становится «матерью» для рака и порождает пролиферирующее «потомство» аномальных клеток, которые атакуют организм, что приводит к развитию заболевания.
Причины лейкоза
Причины развития лейкемии изучались в течение многих лет, но нет надежных результатов, которые позволили бы нам полностью определить причину заболевания и принять конкретные профилактические меры, и которые могли бы стать эффективным оружием против рака крови. Только в одном случае удалось выделить вирусную основу лейкемии — вирус HTLV1 ответственен за развитие лейкемии у японцев, присутствие которых в организме повышает риск развития заболевания. Это единственный научно подтвержденный случай выявления специфического фактора, вызывающего лейкоз. В этом случае мы имеем дело с болезнью, ограниченной областью, в которой обнаружен вирус.
5 факторов, которые увеличивают риск развития лейкемии.
Факторы, которые увеличивают риск лейкемии, являются прежде всего факторами окружающей среды. Среди них мы выделяем:
- длительное облучение,
- низкая частота электромагнитного поля,
- контакт с химическими веществами, например, бензолом,
- курение,
- лечение рака.
Эти факторы могут увеличить риск развития рака крови. Лейкемия может также быть связана с определенными генетическими условиями, включая они часто встречаются у людей с синдромом Дауна, но здесь мы имеем дело не с наследственным наследованием генов, которое вызывает развитие лейкемии. А с врожденной предрасположенностью к заболеванию, причина которого не установлена.
Подводя итог, лейкемия является серьезным заболеванием, и последствия его лечения во многом зависят от своевременной диагностики. Тенденция к развитию различных типов лейкемии не передается вместе с генами, и причины окружающей среды, по-видимому, являются наиболее вероятной основной причиной заболевания. Исследования показали, что одной из наиболее распространенных причин лейкемии у взрослых является курение и другие вредные вещества, в том числе химические вещества, с которыми контактируют представители различных профессий, например, автомеханики, лакировщики и работники химического завода.
Острый лейкоз
Острый лейкоз – опухолевое поражение кроветворной системы, морфологической основой которого выступают незрелые (бластные) клетки, вытесняющие нормальные гемопоэтические ростки. Клиническая симптоматика острого лейкоза представлена прогрессирующей слабостью, немотивированным подъемом температуры, артралгиями и оссалгиями, кровотечениями различных локализаций, лимфаденопатией, гепатоспленомегалией, гингивитами, стоматитами, ангинами. Для подтверждения диагноза необходимо исследование гемограммы, пунктата костного мозга, биоптата подвздошной кости и лимфоузлов. Основу лечения острых лейкозов составляют химиотерапевтические курсы и сопроводительная терапия.



Общие сведения
Острый лейкоз - форма лейкемии, при которой нормальное костномозговое кроветворение вытесняется мало дифференцированными клетками-предшественниками лейкоцитов с их последующим накоплением в периферической крови, инфильтрацией тканей и органов. Термины «острый лейкоз» и «хронический лейкоз» отражают не только длительность течения заболевания, но также морфологическую и цитохимическую характеристику опухолевых клеток. Острый лейкоз является наиболее частой формой гемобластозов: он развивается у 3-5 из 100 тыс. человек; соотношение взрослых и детей – 3:1. При этом у лиц старше 40 лет статистически чаще диагностируется острый миелоидный лейкоз, а у детей – острый лимфобластный лейкоз.

Причины острого лейкоза
Первопричиной острого лейкоза является мутация гемопоэтической клетки, дающей начало опухолевому клону. Мутация кроветворной клетки приводит к нарушению ее дифференцировки на ранней стадии незрелых (бластных) форм с дальнейшей пролиферацией последних. Образующиеся опухолевые клетки замещают нормальные ростки гемопоэза в костном мозге, а в дальнейшем выходят в кровь и разносятся в различные ткани и органы, вызывая их лейкемическую инфильтрацию. Все бластные клетки несут в себе одинаковые морфологические и цитохимические признаки, что свидетельствует в пользу их клонального происхождения от одной клетки-родоначальницы.
Причины, запускающие мутационный процесс, не известны. В гематологии принято говорить о факторах риска, повышающих вероятность развития острого лейкоза. В первую очередь, это генетическая предрасположенность: наличие в семье больных с острым лейкозом практически утраивает риск заболевания у близких родственников. Риск возникновения острого лейкоза повышается при некоторых хромосомных аномалиях и генетических патологиях - болезни Дауна, синдроме Клайнфельтера, Вискотта-Олдрича и Луи-Барра, анемии Фанкони и др.
Вероятно, что активация генетической предрасположенности происходит под действием различных экзогенных факторов. В числе последних могут выступать ионизирующая радиация, химические канцерогены (бензол, мышьяк, толуол и др.), цитостатические препараты, используемые в онкологии. Нередко острый лейкоз становится следствием противоопухолевой терапии других гемобластозов – лимфогранулематоза, неходжкинских лимфом, миеломной болезни. Подмечена связь острых лейкозов с предшествующими вирусными инфекциями, угнетающими иммунную систему; сопутствующими гематологическими заболеваниями (некоторыми формами анемий, миелодисплазиями, пароксизмальной ночной гемоглобинурией и др.).
Классификация острого лейкоза
В онкогематологии общепринята международная FAB-классификация острых лейкозов, дифференцирующая различные формы заболевания в зависимости от морфологии опухолевых клеток на лимфобластные (вызываемые низкодифференцированными предшественниками лимфоцитов) и нелимфобластные (объединяющие остальные формы).
1. Острые лимфобластные лейкозы взрослых и детей:
- пре-В-форма
- В-форма
- пре-Т-форма
- Т-форма
- ни Т ни В-форма
2. Острые нелимфобластные (миелоидные) лейкозы:
- о. миелобластный (вызван неконтрорлируемой пролиферацией предшественников гранулоцитов)
- о. моно- и о. миеломонобластный (характеризуются усиленным размножением монобластов)
- о. мегакариобластный (связан с преобладанием недифференцированных мегакариоцитов – предшественников тромбоцитов)
- о. эритробластный (обусловлен пролиферацией эритробластов)
3. Острый недифференцированный лейкоз.
Течение острых лейкозов проходит ряд стадий:
- I (начальную) - преобладают общие неспецифические симптомы.
- II (развернутую) - характеризуется четко выраженными клиническими и гематологическими симптомами гемобластоза. Включает: дебют или первую «атаку», неполную или полную ремиссию, рецидив или выздоровление
- III (терминальную) – характеризуется глубоким угнетением нормального гемопоэза.

Симптомы острого лейкоза
Манифестация острого лейкоза может быть внезапной или стертой. Типично начало, характеризующееся высокой лихорадкой, интоксикацией, потливостью, резким упадком сил, анорексией. Во время первой «атаки» больные отмечают упорные боли в мышцах и костях, артралгии. Иногда начальная стадия острого лейкоза маскируется под ОРВИ или ангину; первыми признаками лейкемии могут быть язвенный стоматит или гиперпластический гингивит. Довольно часто заболевание обнаруживается случайно при профилактическом исследовании гемограммы или ретроспективно, когда острый лейкоз переходит в следующую стадию.
В развернутом периоде острого лейкоза развиваются анемический, геморрагический, интоксикационный и гиперпластический синдромы.
Анемические проявления обусловлены нарушением синтеза эритроцитов, с одной стороны, и повышенной кровоточивостью – с другой. Они включают бледность кожных покровов и слизистых, постоянную усталость, головокружение, сердцебиение, повышенное выпадение волос и ломкость ногтей и др. Усиливается выраженность опухолевой интоксикации. В условиях абсолютной лейкопении и упадка иммунитета легко присоединяются различные инфекции: пневмонии, кандидоз, пиелонефрит и т. д.
В основе геморрагического синдрома лежит выраженная тромбоцитопения. Диапазон геморрагических проявлений колеблется от мелких единичных петехий и синяков до гематурии, десневых, носовых, маточных, желудочно-кишечных кровотечений и пр. По мере прогрессирования острого лейкоза кровотечения могут становиться все массивнее вследствие развития ДВС-синдрома.
Гиперпластический синдром связан с лейкемической инфильтрацией как костного мозга, так и других органов. У больных острым лейкозом наблюдается увеличение лимфоузлов (периферических, медиастинальных, внутрибрюшных), гипертрофия миндалин, гепатоспленомегалия. Могут возникать лейкозные инфильтраты кожи (лейкемиды), оболочек мозга (нейролейкоз), поражение легких, миокарда, почек, яичников, яичек и др. органов.
Полная клинико-гематологическая ремиссия характеризуется отсутствием внекостномозговых лейкемических очагов и содержанием бластов в миелограмме менее 5% (неполная ремиссия – менее 20%). Отсутствие клинико-гематологических проявлений в течение 5 лет расценивается как выздоровление. В случае увеличения бластных клеток в костном мозге более 20%, их появления в периферической крови, а также выявления внекостномозговых метастатических очагов диагностируется рецидив острого лейкоза.
Терминальная стадия острого лейкоза констатируется при неэффективности химиотерапевтического лечения и невозможности достижения клинико-гематологической ремиссии. Признаками данной стадии служат прогрессирование опухолевого роста, развитие несовместимых с жизнью нарушений функции внутренних органов. К описанным клиническим проявлениям присоединяются гемолитическая анемия, повторные пневмонии, пиодермии, абсцессы и флегмоны мягких тканей, сепсис, прогрессирующая интоксикация. Причиной смерти больных становятся некупируемые кровотечения, кровоизлияния в мозг, инфекционно-септические осложнения.
Диагностика острого лейкоза
Во главе диагностики острых лейкозов стоит оценка морфологии клеток периферической крови и костного мозга. Для гемограммы при лейкемии характерна анемия, тромбоцитопения, высокая СОЭ, лейкоцитоз (реже лейкопения), присутствие бластных клеток. Показателен феномен «лейкемического зияния» - промежуточные стадии между бластами и зрелыми клетками отсутствуют.
С целью подтверждения и идентификации разновидности острого лейкоза выполняется стернальная пункция с морфологическим, цитохимическим и иммунофенотипическим исследованием костного мозга. При исследовании миелограммы обращает внимание увеличение процента бластных клеток (от 5% и выше), лимфоцитоз, угнетение красного ростка кроветворения (кроме случаев о. эритромиелоза) и абсолютное снижение или отсутствие мегакариоцитов (кроме случаев о. мегакариобластного лейкоза). Цитохимические маркерные реакции и иммунофенотипирование бластных клеток позволяют точно установить форму острого лейкоза. При неоднозначности трактовки анализа костного мозга прибегают к проведению трепанобиопсии.
С целью исключения лейкемической инфильтрации внутренних органов производится спинномозговая пункция с исследованием ликвора, рентгенография черепа и органов грудной клетки, УЗИ лимфатических узлов, печени и селезенки. Кроме гематолога, больные острым лейкозом должны быть осмотрены неврологом, офтальмологом, отоларингологом, стоматологом. Для оценки тяжести системных нарушений может потребоваться исследование коагулограммы, биохимического анализа крови, проведение электрокардиографии, ЭхоКГ и др.
Дифференциально-диагностические мероприятия направлены на исключение ВИЧ-инфекции, инфекционного мононуклеоза, цитомегаловирусной инфекции, коллагенозов, тромбоцитопенической пурпуры, агранулоцитоза; панцитопении при апластической анемии, В12 и фолиеводефицитной анемии; лейкемоидных реакций при коклюше, туберкулезе, сепсисе и др. заболеваниях.

Лечение острого лейкоза
Пациентов с острым лейкозом лечат в стационарах онкогематологического профиля. В палатах организуется усиленный санитарно-дезинфекционный режим. Больные с острым лейкозом нуждаются в проведении гигиенической обработки полости рта, профилактики пролежней, туалета половых органов после физиологических отправлений; организации высококалорийного и витаминизированного питания.
Непосредственно лечение острых лейкозов проводится последовательно; основные этапы терапии включают достижение (индукцию) ремиссии, ее закрепление (консолидацию) и поддержание, профилактику осложнений. Для этого разработаны и используются стандартизированные схемы полихимиотерапии, которые подбираются гематологом с учетом морфологической и цитохимической формы острого лейкоза.
При благоприятной ситуации ремиссия обычно достигается в течение 4-6 недель усиленной терапии. Затем, в рамках консолидации ремиссии проводится еще 2-3 курса полихимиотерапии. Поддерживающая противорецидивная терапия осуществляется еще в течение не менее 3-х лет. Наряду с химиотерапией при остром лейкозе необходимо проведение сопроводительного лечения, направленного на предупреждение агранулоцитоза, тромбоцитопении, ДВС-синдрома, инфекционных осложнений, нейролейкемии (антибиотикотерапия, переливание эритроцитарной, тромбоцитарной массы и свежезамороженной плазмы, эндолюмбальное введение цитостатиков). При лейкемической инфильтрации глотки, средостения, яичек и др. органов проводится рентгенотерапия очагов поражения.
В случае успешного лечения достигается уничтожение клона лейкозных клеток, нормализация кроветворения, что способствует индукции длительного безрецидивного периода и выздоровления. Для предупреждения рецидивов острого лейкоза может быть проведена трансплантация костного мозга после предварительного кондиционирования путем химиотерапии и тотального облучения.
По имеющимся статистическим сведениям, использование современных цитостатических средств приводит к переходу острого лейкоза в фазу ремиссии у 60-80% больных; из них у 20-30% удается добиться полного выздоровления. В целом прогноз при острых лимфобластных лейкозах более благоприятен, чем при миелобластных.
Лейкемия
Лейкемия – злокачественное поражение ткани костного мозга, приводящее к нарушению созревания и дифференцировки кроветворных клеток-предшественников лейкоцитов, их неконтролируемому росту и диссеминации по организму в виде лейкемических инфильтратов. Симптомами лейкемии могут выступать слабость, похудание, лихорадка, боли в костях, беспричинные геморрагии, лимфаденит, сплено- и гепатомегалия, менингеальные симптомы, частые инфекции. Диагноз лейкемии подтверждают общий анализ крови, стернальная пункция с исследованием костного мозга, трепанобиопсия. Лечение лейкемии требует длительной непрерывной полихимиотерапии, симптоматической терапии, при необходимости - трансплантации костного мозга или стволовых клеток.


Лейкемия (лейкоз, рак крови, белокровие) – опухолевое заболевание кроветворной системы (гемобластоз), связанное с заменой здоровых специализированных клеток лейкоцитарного ряда на аномально измененные лейкозные клетки. Лейкемия характеризуется быстрой экспансией и системным поражением организма - кроветворной и кровеносной систем, лимфоузлов и лимфоидных образований, селезенки, печени, ЦНС и др. Лейкемия поражает и взрослых и детей, является наиболее часто встречающимся онкозаболеванием детского возраста. Лица мужского пола болеют в 1,5 раза чаще женщин.
Лейкозные клетки не способны к полноценной дифференцировке и выполнению своих функций, но при этом обладают большей продолжительностью жизни, высоким потенциалом деления. Лейкемия сопровождается постепенным вытеснением популяций нормальных лейкоцитов (гранулоцитов, моноцитов, лимфоцитов) и их предшественников, а также дефицитом тромбоцитов и эритроцитов. Этому способствует активное самовоспроизводство лейкозных клеток, их более высокая чувствительность к ростовым факторам, выделение стимулятора роста опухолевых клеток и факторов, угнетающих нормальное кроветворение.
Классификация лейкемии
По особенностям развития выделяют острую и хроническую лейкемию. При острой лейкемии (50-60% всех случаев) происходит быстрый прогрессирующий рост популяции малодифференцированных бластных клеток, утративших способность к созреванию. С учетом их морфологических, цитохимических, иммунологических признаков острая лейкемия подразделяется на лимфобластную, миелобластную и недифференцированную формы.
Острая лимфобластная лейкемия (ОЛЛ) – составляет до 80-85% случаев лейкоза у детей, преимущественно, в возрасте 2-5 лет. Опухоль формируется по лимфоидной линии кроветворения и состоит из предшественников лимфоцитов - лимфобластов (L1, L2, L3 типов), относящихся к B-клеточному, T-клеточному или O-клеточному пролиферативному ростку.
Острая миелобластная лейкемия (ОМЛ) – результат поражения миелоидной линии кроветворения; в основе лейкозных разрастаний – миелобласты и их потомки, другие виды бластных клеток. У детей доля ОМЛ составляет 15% всех лейкозов, с возрастом отмечается прогрессивное повышение частоты заболевания. Разграничивают несколько вариантов ОМЛ - с минимальными признаками дифференцировки (М0), без созревания (М1), с признаками созревания (М2), промиелоцитарный (М3), миеломонобластный (М4), монобластный (М5), эритроидный (М6) и мегакариоцитарный (М7).
Недифференцированная лейкемия характеризуется ростом ранних клеток-предшественников без признаков дифференцировки, представленных однородными мелкими плюрипотентными стволовыми клетками крови или частично детерминированными полустволовыми клетками.
Хроническая форма лейкемии фиксируется в 40-50% случаев, наиболее распространена среди взрослого населения (40-50 лет и старше), особенно среди лиц, подвергшихся ионизирующему облучению. Хроническая лейкемия развивается медленно, в течение нескольких лет, проявляется избыточным ростом числа зрелых, но функционально неактивных, долгоживущих лейкоцитов – B и T-лимфоцитов при лимфоцитарной форме (ХЛЛ) и гранулоцитов и дозревающих клеток-предшественников миелоидного ряда при миелоцитарной форме (ХМЛ). Выделяют отдельно ювенильный, детский и взрослый варианты ХМЛ, эритремию, миеломную болезнь (плазмоцитому). Эритремия характеризуется лейкозной трансформацией эритроцитов, высоким нейтрофильным лейкоцитозом и тромбоцитозом. Источником миеломной болезни является опухолевый рост плазмоцитов, нарушения обмена Ig.
Причины лейкемии
Причиной лейкемии выступают внутри- и межхромосомные абберации – нарушения молекулярной структуры или обмен участками хромосом (делеции, инверсии, фрагментации и транслокации). Например, при хроническом миелолейкозе наблюдается появление филадельфийской хромосомы с транслокацией t (9;22). Лейкозные клетки могут возникать на любой стадии гемопоэза. При этом хромосомные нарушения могут быть первичными - с изменением свойств кроветворной клетки и созданием ее специфического клона (моноклоновая лейкемия) или вторичными, возникающими в процессе пролиферации генетически нестабильного лейкозного клона (более злокачественная поликлоновая форма).
Лейкемия чаще выявляется у пациентов с хромосомными болезнями (синдромом Дауна, синдромом Клайнфельтера), первичными иммунодефицитными состояниями. К возможной причине лейкемии можно отнести инфицирование онкогенными вирусами. Заболеванию способствует наличие наследственной предрасположенности, так как оно чаще встречается в семьях, имеющих больных лейкемией.
Злокачественная трансформация кроветворных клеток может происходить под действием различных мутагенных факторов: ионизирующего излучения, электромагнитного поля высокого напряжения, химических канцерогенов (лекарств, пестицидов, сигаретного дыма). Вторичная лейкемия часто связана с проведением лучевой или химиотерапии в процессе лечения другой онкопатологии.
Симптомы лейкемии
Течение лейкемии проходит несколько стадий: начальную, развернутых проявлений, ремиссии, выздоровления, рецидива и терминальную. Симптомы лейкемии неспецифичны и имеют общие черты при всех типах заболевания. Они определяются опухолевой гиперплазией и инфильтрацией костного мозга, кровеносной и лимфатической систем, ЦНС и различных органов; дефицитом нормальных клеток крови; гипоксией и интоксикацией, развитием геморрагических, иммунных и инфекционных последствий. Степень проявления лейкемии зависит от локализации и массивности лейкозного поражения гемопоэза, тканей и органов.
При острой лейкемии быстро появляются и нарастают общее недомогание, слабость, снижение аппетита и похудание, бледность кожи. Больных беспокоит высокая температура (39-40°С), ознобы, артралгии и боли в костях; легко возникающие кровоточивость слизистых, кожные кровоизлияния (петехии, синяки) и кровотечения разной локализации.
Происходит увеличение регионарных лимфоузлов (шейных, подмышечных, паховых), опухание слюнных желез, наблюдается гепатомегалия и спленомегалия. Часто развиваются устойчивые к лечению инфекционно-воспалительные процессы слизистой ротоглотки - стоматит, гингивит, язвенно-некротическая ангина. Выявляется анемия, гемолиз, может развиться ДВС-синдром.
Для нейролейкемии показательны менингеальные симптомы (рвота, сильные головные боли, отек зрительного нерва, судороги), боли в позвоночнике, парезы, паралич. При ОЛЛ развиваются массивные бластные поражения всех групп лимфоузлов, вилочковой железы, легких, средостения, ЖКТ, почек, половых органов; при ОМЛ - множественные миелосаркомы (хлоромы) в надкостнице, внутренних органах, жировой клетчатке, на коже. У пожилых пациентов при лейкемии возможны стенокардия, нарушение ритма сердца.
В случае эритремии появляются сосудистые тромбозы нижних конечностей, мозговых и коронарных артерий. Миеломная болезнь протекает с одиночными или множественными опухолевыми инфильтратами костей черепа, позвоночника, ребер, плеча, бедра; остеолизисом и остеопорозом, костной деформацией и частыми переломами, сопровождающимися болевым синдромом. Иногда развивается AL-амилоидоз, миеломная нефропатия с ХПН.
Гибель пациента с лейкемией может наступить на любой стадии из-за обширных геморрагий, кровоизлияний в жизненно важные органы, разрыва селезенки, развития гнойно-септических осложнений (перитонита, сепсиса), сильной интоксикации, почечной и сердечной недостаточности.
Диагностика лейкемии
В рамках диагностических исследований при лейкемии выполняются общий и биохимический анализ крови, диагностическая пункция костного мозга (стернальная) и спинного мозга (люмбальная), трепанобиопсия и биопсия лимфоузлов, рентгенография, УЗИ, КТ и МРТ жизненно важных органов.
В периферической крови наблюдаются выраженная анемия, тромбоцитопения, изменение общего числа лейкоцитов (обычно увеличение, но возможен и недостаток), нарушение лейкоцитарной формулы, наличие атипичных клеток. При острой лейкемии определяются бласты и небольшой процент зрелых клеток без переходных элементов («лейкемический провал»), при хронической – костномозговые клетки разных классов развития.
Ключевым при лейкемии является исследование биоптатов костного мозга (миелограмма) и цереброспинальной жидкости, включающее морфологический, цитогенетический, цитохимический и иммунологический анализы. Это позволяет уточнить формы и подтипы лейкемии, что важно для выбора протокола лечения и прогнозирования заболевания. При острой лейкемии уровень недифференцированных бластов в костном мозге составляет более 25%. Важным критерием является обнаружение филадельфийской хромосомы (Ph-хромосомы).
Лейкозную инфильтрацию внутренних органов устанавливают по УЗИ лимфатических узлов, брюшной полости и малого таза, рентгенографии грудной клетки, черепа, костей и суставов, КТ грудной клетки, МРТ головного и спинного мозга с контрастированием, ЭхоКГ. При лейкемии показана консультация отоларинголога, невролога, уролога, офтальмолога.
Лейкемию дифференцируют от аутоиммунной тромбоцитопенической пурпуры, нейробластомы, ювенильного ревматоидного артрита, инфекционного мононуклеоза, а также других опухолевых и инфекционных заболеваний, вызывающих лейкемоидную реакцию.

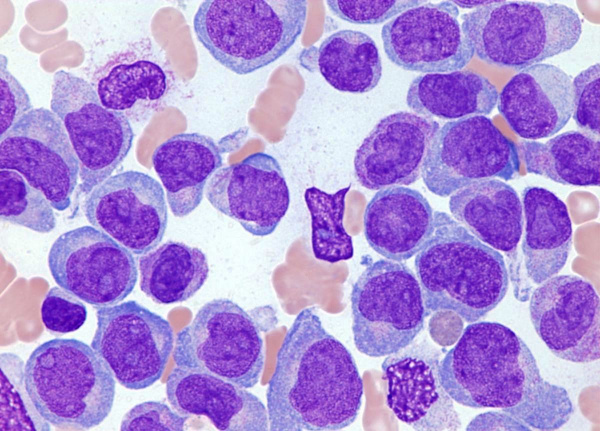
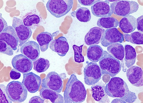
Хронический лимфоцитарный лейкоз характеризуется большим количеством незрелых лимфоцитов в костном мозге
Лечение лейкемии
Лечение лейкемии проводится гематологами в специализированных онкогематологических клиниках в соответствии с принятыми протоколами, с соблюдением четко установленных сроков, основных этапов и объемов лечебно-диагностических мер для каждой формы заболевания. Цель лечения лейкемии – получение продолжительной полной клинико-гематологической ремиссии, восстановление нормального кроветворения и предупреждение рецидивов, а при возможности – полное излечение пациента.
Острая лейкемия требует незамедлительного начала интенсивного курса лечения. В качестве базисного метода при лейкемии применяется многокомпонентная химиотерапия, к которой наиболее чувствительны острые формы (эффективность при ОЛЛ – 95%, ОМЛ ~ 80%) и лейкозы детского возраста (до 10 лет). Для достижения ремиссии острой лейкемии за счет редукции и эрадикации лейкозных клеток применяются сочетания различных цитостатических препаратов. В период ремиссии продолжается длительное (в течение нескольких лет) лечение в виде закрепляющей (консолидирующей), а затем поддерживающей химиотерапии с добавлением в схемы новых цитостатиков. Для профилактики нейролейкемии во время ремиссии показано интратекальное и интралюмбальное локальное введение химиопрепаратов и облучение головного мозга.
Лечение ОМЛ проблематично из-за частого развития осложнений геморрагического и инфекционного характера. Более благоприятна промиелоцитарная форма лейкемии, которая переходит в полную клинико-гематологическую ремиссию под действием стимуляторов дифференцировки промиелоцитов. В стадии полной ремиссии ОМЛ эффективна аллогенная трансплантация костного мозга (или введение стволовых клеток), позволяющая в 55-70% случаев достичь 5-ти летней выживаемости без рецидивов.
При хронической лейкемии в доклинической стадии достаточно постоянного наблюдения и общеукрепляющих мероприятий (полноценной диеты, рационального режима труда и отдыха, исключения инсоляций, физиопроцедур). Вне обострения хронической лейкемии назначаются вещества, блокирующие тирозинкиназную активность белка Bcr-Abl; но они менее эффективны в фазу акселерации и бластного криза. В первый год заболевания целесообразно введение a-интерферона. При ХМЛ хорошие результаты может давать аллогенная трансплантация костного мозга от родственного или неродственного HLA-донора (60% случаев полной ремиссии в течение 5 и более лет). При обострении безотлагательно назначается моно- или полихимиотерапия. Возможно применение облучения лимфоузлов, селезенки, кожи; а по определенным показаниям – проведение спленэктомии.
В качестве симптоматических мер при всех формах лейкемии применяются гемостатическая и дезинтоксикационная терапия, инфузии тромбоцитарной и лейкоцитарной массы, антибиотикотерапия.
Прогноз лейкемии
Прогноз лейкемии зависит формы заболевания, распространенности поражения, группы риска больного, сроков постановки диагноза, ответа на лечение и др. Более плохой прогноз лейкемия имеет у пациентов мужского пола, у детей в возрасте старше 10 лет и взрослых старше 60 лет; при высоком уровне лейкоцитов, наличии филадельфийской хромосомы, нейролейкемии; в случаях запоздалой диагностики. Острые лейкемии имеют гораздо худший прогноз из-за стремительного течения и при отсутствии лечения быстро приводят к смерти. У детей при своевременном и рациональном лечении прогноз острой лейкемии более благоприятен, чем у взрослых. Хорошим прогнозом лейкемии считается вероятность 5-ти летней выживаемости 70% и более; риск рецидивов - менее 25% .
Хроническая лейкемия при достижении бластного криза приобретает агрессивное течение с риском летального исхода из-за развития осложнений. При правильном лечении хронической формы можно добиться ремиссии лейкемии на долгие годы.
Обзоры лейкемии (Overview of Leukemia)
Лейкоз представляет собой злокачественное заболевание, характеризующееся производством избыточного количества незрелых или аномальных лейкоцитов, что в конечном итоге приводит к подавлению производства нормальных клеток крови и вызывает симптомы, связанные с цитопенией.
Злокачественная трансформация, как правило, происходит на уровне плюрипотентных стволовых клеток, хотя иногда и в коммитированных стволовых клетках, у которых ограниченная способность к самообновлению. Патологическая пролиферация, клональная экспансия, аберрантная дифференциация и угнетение апоптоза (программируемой клеточной гибели) приводят к замещению нормальных элементов крови опухолевыми клетками.
По оценкам Американского онкологического общества (American Cancer Society) в Соединенных Штатах в 2020 году количество новых случаев лейкемии (всех типов) у взрослых и детей составляло около 60 530, из них около 23 100 со смертельным исходом.
Данный подход к классификации лейкемий основан на разработанной ВОЗ (WHO) системе от 2016 года (classification for hematopoietic neoplasms). Классификация ВОЗ основана на сочетании клинических, морфологических, иммунофенотипических и генетических особенностей. К числу других менее распространенных систем классификации относится франко-американо-британская (ФАБ) классификация лейкозов, которая основана на морфологии атипичных лейкоцитов.
Лейкемии обычно также подразделяют на
Острая или хроническая: основывается на проценте бластных или лейкозных клеток в костном мозге или крови
Миелоидная или лимфоидная: основывается на преобладающем происхождении злокачественных клеток
Четыре наиболее распространенных лейкоза и их отличительные особенности описаны в таблице Данные диагностики наиболее распространенных лейкозов (Findings at Diagnosis in the Most Common Leukemias) Показатели на момент постановки диагноза при наиболее распространенных лейкозах .
В 2020 году Американское онкологическое общество (American Cancer Society) предложило проводить классификацию новых случаев заболевания по типу лейкемии в США следующим образом:
Другие лейкемии: 8%
Острые лейкозы
Острые лейкозы Острые лейкозы Лейкоз представляет собой злокачественное заболевание, характеризующееся производством избыточного количества незрелых или аномальных лейкоцитов, что в конечном итоге приводит к подавлению производства. Прочитайте дополнительные сведения представлены преимущественно незрелыми низкодифференцированными клетками (обычно бластными формами). Острые лейкемии делятся на острый лимфобластный лейкоз Острый лимфобластный лейкоз (ОЛЛ) Острый лимфобластный лейкоз (ОЛЛ) является наиболее частым онкологическим заболеванием у детей, но поражает также и взрослых всех возрастов. Злокачественная трансформация и неконтролируемая. Прочитайте дополнительные сведения (ОМЛ).
Хронические лейкозы
Миелодиспластические синдромы
Лейкемоидная реакция
Лейкемоидная реакция – количество нейтрофилов > 50 000/мкл (> 50 × 10 9 /л), не вызванное злокачественной трансформацией гемопоэтических стволовых клеток. Она может быть вызвана различными причинами, в частности другими видами рака или системной инфекцией. Обычно причина является очевидной, но хронический нейтрофильный лейкоз или хронический миелоидный лейкоз могут имитировать доброкачественную нейтрофиллию.
Факторы риска возникновения лейкемии
Риск развития лейкозов повышается при:
Наличие в анамнезе воздействия ионизирующего излучения (например, после атомной бомбардировки в Нагасаки и Хиросиме) или химических соединений (например, бензола, некоторых пестицидов, полиароматических карбонатов, содержащихся в табачном дыме) – все эти воздействия могут привести к возникновению острой лейкемии.
Лечение определенными антинеопластическими препаратами, включая алкилирующие агенты, ингибиторы топоизомеразы II и поддерживающую терапию леналидомидом после трансплантации аутогенных стволовых клеток с мелфалансодержащими схемами подготовки к трансплантации при множественной миеломе, может привести к возникновению определенного типа острого миелоидного лейкоза, который называется t-ОМЛ или связанный с лечением ОМЛ
Заражение вирусом (например, Т-лимфотропным вирусом человека 1 и 2 типов, вирусом Эпштейна-Барр) в редких случаях может вызвать определенные формы ОЛЛ; это характерно преимущественно для регионов, в которых подобные заражения являются распространенным явлением, например, в регионах Азии и Африки.
Существующие генетические состояния (например, анемия Фанкони Снижение продукции красных кровяных телец (ККТ) Анемия – это сокращение числа эритроцитов или концентрации гемоглобина, которое обычно определяется, если содержание гемоглобина или гематокрита более чем на 2 стандартных отклонения ниже нормы. Прочитайте дополнительные сведения , синдром Блума, атаксия-телеангиэктазия Атаксия-телеангиоэктазия Атаксия-телеангиэктазия возникает вследствие дефекта репарации ДНК, который часто вызывает гуморальный и клеточный иммунодефицит; заболевание приводит к прогрессирующей церебральной атаксии. Прочитайте дополнительные сведения , синдром Дауна Синдром Дауна (трисомия 21) Синдром Дауна является аномалией 21-й хромосомы, может проявляться нарушением умственного развития, микроцефалией, небольшим ростом и характерным внешним видом. Диагноз предполагают на основании. Прочитайте дополнительные сведенияДополнительная информация
Ниже следует англоязычный ресурс, который может быть информативным. Обратите внимание, что The manual не несет ответственности за содержание этого ресурса.
Авторское право © 2022 Merck & Co., Inc., Rahway, NJ, США и ее аффилированные лица. Все права сохранены.
10 первых симптомов лейкемии
Симптомы лейкемии не всегда заметны, но если вы знаете, на что нужно обратить внимание, вы можете вовремя их распознать.
Хотя при некоторых заболеваниях, таких как синусит, симптомы очень четкие, при лейкемии это может быть не так, потому что часто бывает, что человек не испытывает каких-либо заметных симптомов, которые могли бы выявить проблему. Общие симптомы лейкемии могут быть легко связаны с напряженным днем или стрессом, например, с ночным потоотделением или синяками, и по этой причине диагноз часто ставится поздно.
Однако если прислушаться к своему организму и обратить внимание на новые изменения, то можно вовремя их заметить и сразу обратиться к врачу. Вот несколько симптомов, которые означают, что срочно необходимо обследование.
Каковы симптомы лейкемии?
Симптомы будут различаться в зависимости от типа лейкемии, и некоторые из них часто встречаются у взрослых:
- хроническая усталость и слабость;
- лихорадка и жар;
- частые болезни;
- потеря веса;
- увеличение лимфатических узлов;
- из носа часто течет кровь;
- ночные поты;
- боль в костях;
- сыпь.
У вас не обязательно будут именно эти симптомы, но те, кто их замечает, могут принять их за что-то еще, особенно за хронический лейкоз, который прогрессирует медленнее и менее агрессивно, чем другие формы болезни.
Какие симптомы лейкемии указывают на необходимость срочного обращения к врачу?
Прежде всего, следует отметить, что важно обратиться к врачу, если у вас есть какие-либо вышеуказанные симптомы, а ниже немного более детальный обзор конкретных симптомов, связанных с лейкемией.
1. Синяки
Лейкоз — это рак крови, который возникает в спинном мозге, где вырабатываются красные и белые кровяные тельца и тромбоциты. У людей с лейкемией слишком много белых кровяных телец, которые играют важную роль в иммунитете, но во время этого заболевания они разрастаются и никак не помогают.
Необъяснимые синяки без предшествующих физических травм — один из многих симптомов лейкемии. Необычный синяк — результат низкого количества тромбоцитов или проблем со свертыванием крови. Синяки возникают спонтанно и могут быть где угодно на теле, но обычно появляются на конечностях — руках и ногах.
2. Вы постоянно болеете
Имеется в виду, что у вас появляется одна небольшая инфекция, которая не проходит, что бы ни прописал врач. В этом случае пора сделать общий анализ крови, который может показать отклонения в уровнях лейкоцитов, гемоглобина и тромбоцитов. Значения, которые сильно отклоняются от нормы, приводят к ослаблению иммунной системы, что может объяснить частые инфекции и ощущение, что вы всегда находитесь на грани гриппа. Этого, наряду с другими признаками, такими как усталость или синяки, должно быть достаточно, чтобы спланировать визит к врачу.
3. Вы постоянно уставшие и обессилившие
Это, вероятно, наиболее распространенные симптомы лейкемии, вызванные анемией (уменьшением объема красных кровяных телец). Эти симптомы со временем ухудшаются по мере прогрессирования болезни. При некоторых формах лейкемии большое количество лейкоцитов может сделать кровь более густой, а это означает, что поток через мелкие кровеносные сосуды в мозг замедляется. Эти проблемы могут вызвать усталость.
4. Увеличение лимфатических узлов
Если вы заметили безболезненное увеличение лимфатических узлов на шее, подмышках или паху во время принятия душа, это может быть легкий воспалительный процесс. Однако, если узелки остаются увеличенными или продолжают расти, возможно, это симптом лейкемии или лимфомы. Поскольку лейкемия также влияет на лимфатические узлы, которые помогают фильтровать кровь, если кровь поражена раковыми клетками, клетки могут накапливаться в узлах и, таким образом, расти.
5. Вам холодно, Вы бледны
Недостаток эритроцитов также может привести к анемии, которая вызывает бледность кожи, одышку и чувство постоянного холода.
6. Ваши кости болят
Боль в костях, похожая на ту, которую вы чувствуете при гриппе, бывает относительно редко, но, следовательно, это явный признак того, что вы страдаете лейкемией. Больные клетки образуются внутри костного мозга, поэтому, если вы испытываете легкую или сильную боль в костях, лучше немедленно обратиться за медицинской помощью. У очень бледных пациентов болезнь быстро прогрессирует. Такие пациенты обычно очень устают, потому что, если количество эритроцитов настолько низкое, что вызывает бледность, вероятно, даже самая короткая прогулка до туалета станет для вас проблемой.
7. Затрудненное дыхание
По мере нарастания слабости и утомляемости усиливаются и другие симптомы, одним из которых является одышка в результате анемии или, в гораздо более редких случаях, злокачественных новообразований грудной клетки. Возникают затруднения с дыханием, у человека легко перехватывает дыхание, а попытка переместиться из одного конца комнаты в другой может создать проблему.
8. Ночная потливость
Ночная потливость нередко бывает результатом инфекции, которая может быть связана с лейкемией. Если вы часто просыпаетесь на промокших от пота простынях, обратитесь к врачу.
9. У Вас странная сыпь
Проблемы с кожей указывают на болезнь, так как симптомы особенно заметны. Пятна, которые вы не можете не заметить из-за их размера, безболезненности и того, что они обычно расположены в области лодыжки, указывают на низкое количество тромбоцитов и являются одним из симптомов лейкемии. Чаще всего они возникают вокруг лодыжек, потому что в течение дня гравитация заставляет жидкость тела скапливаться у основания конечностей.
10. Вы часто болеете
Этот симптом часто возникает при клеточном лейкозе. У больных увеличена селезенка, а иногда наблюдаются такие симптомы, как тошнота, запор или диарея. Вы можете почувствовать большую массу в брюшной полости, там, где находится селезенка.
Читайте также:
