Одонтоамелобластома. Одонтома и одонтогенная фиброма.
Добавил пользователь Евгений Кузнецов Обновлено: 13.12.2025
Открытая библиотека для школьников и студентов. Лекции, конспекты и учебные материалы по всем научным направлениям.
Категории
Медицина Рентгенологическая картина
IV. Неклассифицированные поражения
III. Эпителиальные кисты
II. Новообразования и другие опухоли, относящиеся к костным
I. Новообразования и другие опухоли, относящиеся к одонтогенному аппарату.
ОДОНТОГЕННЫЕ ОПУХОЛИ, ОПУХОЛЕПОДОБНЫЕ ПОРАЖЕНИЯ И КИСТЫ ЧЕЛЮСТЕЙ
Гистологическая классификация одонтогенных опухолей, челюстных кист и родственных поражений, поМГКОВОЗ № 5, 1971 ᴦ.
2. Обызвествленная эпителиальная одонтогенная опухоль
3. Амелобластическая фиброма
4. Аденоматоидная одонтогенная опухоль (аденоамелобластома)
5. Обызвествленная одонтогенная киста
7. Амелобластическая фиброодонтома
9. Сложная одонтома
10. Составная одонтома
11. Фиброма (одонтогенная фиброма)
12. Миксома (миксофиброма)
а) доброкачественная цементобластома (истинная цементома)
б) цементирующаяся фиброма
в) периапикальная цементная дисплазия (периапикальная фиброзная дисплазия)
г) гигантоформная цементома (семейные множественные цементомы)
14. Меланотическая нейроэктодермальная опухоль младенца (меланотическая прогонома, меланоамелобластома)
1. Одонтогенные карциномы
а) злокачественная амелобластома
б) первичная внутрикостная карцинома
в) другие карциномы, развивающиеся из одонтогенного эпителия, включая эпителий одонтогенных кист
2. Одонтогенные саркомы
а) амелобластическая фибросаркома (амелобластическая саркома)
б) амелобластическая одонтосаркома
А. Остеогенные новообразования
1. Оссифицирующаяся фиброма (фибро-остеома)
Б. Неопухолевые костные поражения
1. Фиброзная дисплазия
3. Центральная гигантоклеточная гранулема (гигантоклеточная репаративная гранулема)
4. Аневризмальная костная киста
5. Простая костная киста
(травматическая, геморрагическая костная киста)
А. Связанные с нарушением развития
а) первичная киста (кератокиста)
б) десневая киста
в) киста прорезывания
г) зубосодержащая (фолликулярная) киста
а) киста носо-небного (резцового) канала
б) шаровидно-верхнечелюстная киста
в) носо-губная (носо-альвеолярная) киста
Б. Воспалительной природы
1. Радикулярная киста
Амелобластома (адамантинома)
Под амелобластомойобъединяют группу одонтогенных опухолей эпителиального происхождения, которые располагаются в толще челюсти и обладают способностью к инвазивномуросту.
Встречаются амелобластомы чаще у больных среднего. Излюбленная локализация на нижней челюсти в области ее угла и ветви, реже в области тела нижней или верхней челюсти.
Патанатомия. Макроскопически представлено серовато-розовой мелкозернистой тканью с множественными кистами, без очагов обызвествления. Новообразование встречается в солидном (плотном) и кистозном вариантах. Плотная адамантинома состоит из соеденительнотканной стромы и эпителиальной паренхимы – которая в виде тяжей пронизывает строму, образуя ячейки в опухоли. При кистозной адамантиноме строма выражена менее значительно., определяются кистозные микрополости. Гистологически различают фолликулярный, плексиформный, акантоматозный, базально-клеточный, зернисто-клеточный варианты строения истинной амелобластомы.
Наиболее типичен фолликулярныйтип строения, при котором опухоль напоминает развивающийся эмалевый орган зубного зачатка, характеризуется наличием эпителиальных скоплений различной величины окруженных высокими цилиндрическими клетками.
Клиника.Амелобластомы растут медленно, безболезненно. Первыми симптомами опухоли является прогрессирующая деформация лица, в последующем возникают боли в челюсти и зубах в области опухоли, зачастую интактных. Амелобластомы часто нагнаиваются, что способствует периодическому припуханию участка челюсти, развитию одонтогенных воспалительных заболеваний, формированию свищей с гнойным или геморрагическим отделяемым. При больших размерах опухоли формируются функциональные нарушения.
Объективно определяется веретенообразное утолщение челюсти, в начале заболевания кожа над опухолью в цвете не изменена, собирается в складку, но со временем кожа истончается вплоть до изъязвления. Пальпация безболезненная, опухоль обычно плотная и бугристая, костной консистенции. В полости рта слизистая оболочка в цвете не изменена, определяется деформация переходной складки, в некоторых случаях определяется утолщение переднего края ветви нижней челюсти. Часто выявляется вздутие тела челюсти с язычной (небной) стороны. При резорбции кортикальной пластинки возможен симптом флюктуации. Пунктат образования содержит жидкость жёлтого или коричневого цвета. Возможна подвижность зубов в области опухоли, при их удалении лунка зуба долго не заживает. При нагноении амелобластома клинически проявляет себя как банальный одонтогенный воспалительный процесс.
Возможны следующие варианты амелобластомы:
1. Ряд округлых полостей.
2. Одна костная полость, окруженная множеством более мелких полостей.
3. Ряд округлых полостей, в 1-2 из которых заключен зубной фолликул или сформированный зуб.
4. Многоугольные полости.
5. Крупнопетлистая структура кости за счет множества мелких кист.
6. Несколько единичных крупных кистозных полостей.
7. Одна большая кистозная полость с неровными краями.
8. Одна большая полость, в которую обращены корни зубов (напоминает радикулярную кисту).
9. Одна большая киста͵ в которую обращена коронковая часть непрорезавшегося зуба. Этот вариант напоминает фолликулярную кисту.
Важнейшей рентгенологической чертой адамантином является различная степень прозрачности тени полостей особенно четко выраженной в поликистозных адамантиномах. Центральные отделы кистозных полостей прозрачнее, чем краевые. В однокамерных адамантиномах удается видеть полоску полутени вдоль костных границ опухоли. Нередко отмечается резорбция корней зубов в области опухоли.
Дифференциальная диагностика проводится с кистами челюстей, остеобластокластомой, остеомой, одонтомой, эозинофильной гранулемой, хроническим остеомиелитом.
Лечениеамелобластом заключается в радикальном удалении опухоли в пределах здоровых тканей (отступить на 2см от рентгенологически видимых границ опухоли). Выскабливание опухоли исключается т.к. ведет к возникновению рецидива. В редких случаях при локализации в пределах альвеолярного отростка, допустима щадящая резекция челюсти с сохранением непрерывности кости. При распространении амелобластомы в мягкие ткани выполняют резекцию окружающих ее тканей После проведения оперативного вмешательства на нижней челюсти показана одномоментная костная пластика дефекта.
Мягкая одонтома (амелобластическая фиброма).
Одонтома представляет собой опухоль из различных зубных тканей и является ранней стадией образования твердой одонтомы. Чаще встречается у молодых пациентов, в период формирования постоянных зубов. В своей основе мягкая одонтома является низкодифференцированной истинной опухолью, хотя нередко наблюдаются относительно высокая степень дифференциации некоторых клеточных элементов.
Мягкая одонтома склонна к инвазивноиу росту и малигнизации.
Патологическая анатомия. Макроскопически на разрезе определяется мягкая почти гомогенная ткань сероватого цвета͵ с отчетливо определяющимися более плотными прослойками и тяжами белого цвета͵ иногда обнаруживаются петрификаты или зачатки зубов.
Микроскопическая картина: напоминает строение зубного сосочка на ранних стадиях развития, видны эпителиальные тяжи из однородных или полигональных эпителиальных клеток. Могут встретиться участки концентрических скоплений соединительно-тканных клеточных элементов.
Клиника мягких одонтом не имеет типичных признаков. Локализуется на обеих челюстях, обычно — в зоне больших коренных зубов. Эта опухоль чаще напоминает адамантиному, характеризуясь равномерным или бугристым вздутием челюсти. Разрушив наружную пластинку коркового вещества челюсти, она прорастает в прилежащие мягкие ткани или выпячивается в полость рта. В последнем случае в полости рта определяется бугристая, синюшная опухоль упруго-эластической консистенции, кровоточащая от легкой травмы. Внешний вид такого новообразования на десне напоминает эпулид.
Рентгенологическая картина, характеризуется нарушением кортикального слоя, отсутствие выраженной границы опухоли, может содержать постоянные зубы или их зачатки. В других случаях на рентгенограмме видны полости с довольно четкими контурами, подобно кистозным образованиям.
Лечение хирургическое, оперативная тактика сходна c той, которая применяется при амелобластоме.
Аденоматоидная одонтогенная опухоль (аденоамелобластома)
Крайне редко встречающаяся доброкачественная опухоль.
Клинико-ренгенологическиеизменения зачастую сходны с фолликулярной кистой.Рентгенологически в основном отмечается наличие плотных обызвествленных теней.
Патанатомия. Макроскопически оболочка опухоли толще, чем при обычной кисте. Диагноз установлен после патоморфологического исследования операционного материала.
IV. Неклассифицированные поражения III. Эпителиальные кисты II. Новообразования и другие опухоли, относящиеся к костным I. Новообразования и другие опухоли, относящиеся к одонтогенному аппарату. ОДОНТОГЕННЫЕ ОПУХОЛИ, ОПУХОЛЕПОДОБНЫЕ ПОРАЖЕНИЯ И КИСТЫ. [читать подробенее]
IV. Неклассифицированные поражения III. Эпителиальные кисты II. Новообразования и другие опухоли, относящиеся к костным I. Новообразования и другие опухоли, относящиеся к одонтогенному аппарату. ОДОНТОГЕННЫЕ ОПУХОЛИ, ОПУХОЛЕПОДОБНЫЕ ПОРАЖЕНИЯ И КИСТЫ. [читать подробенее]
© Copyright 2022 - Open Library - открытая библиотека учебной информации | Все материалы сайта доступны по лицензии: Creative Commons Attribution 4.0
Одонтогенные опухоли
Всемирная организация здравоохранения регулярно выпускает классификации опухолей разной локализации. Гистологическая классификация №5 посвящена одонтогенным опухолям, кистозным поражениям челюстей и опухолеподобным процессам.
I. Опухоли и опухолеподобные процессы, связанные с одонтогенным аппаратом:
2. Обызвествляющаяся одонтогеиная опухоль
3. Амелобластическая фиброма
4. Аденоматоидная одонтогенная опухоль (аденоамелобластома)
5. Обызвествляющаяся одонтогенная киста
7. Амелобластическая фиброодонтома
9. Сложная одонтома
11.Фиброма (одонтогенная фиброма)
13.Цементомы: а/доброкачественная цементобластома (истинная цементома); б/ цементирующая фиброма; в/ периапикальная цементная дисплазия; г/ гигантоформная цементома (семейная множественная цементома)
14.Меланотическая нейроэктодермальная опухоль у новорожденных (меланотическая прогонома, мелано-амелобластома)
1. Одонтогенный рак
а/ злокачественная амелобластома
б/ первичный внутрикостный рак
в/ другие карциномы, развивающиеся из остатков одонтогенного эпителия, включая карциномы из одонтогенных кист
2. Одонтогенные саркомы;
а/ амелобластическая фибросаркома
б/ амелобластическая одоктосаркома . .
II.Неоплазмы и другие опухоли, связанные с костью
А. Остеогенные неоплазмы
1. Оссифицирующая фиброма (фибро-остеома)
Б. Неопухолевые костные поражения .
1. Фиброзная дисплазия
2. Черубизм (херувизм)
3. Центральная гигантоклеточная гранулема
4. Аневризмальная костная киста
5.Простая костная киста
III. Эпителиальные костные кисты
I. Одонтогенные: а/ примордиальиая (хератокиста),
б/ гингивалыия, в/ прорезывающаяся, г/ дентальная (фолликулярная)
а/ киста носо-губного протока, б/ глобуло-максиллярная киста,
в/ носо-губная (иосо-альвеолярная) киста.
1. Радикулярная киста
IV, Неклассифицируемые поражения
1.Опухоли и опухолеподобные процессы, связанные с одонтогенным
1. Амелобластамя. - одонтогеиная опухоль с признаками местно деструирующего роста. Симптомы: адамантиома, адамантинная элителиома,_ адамантинобластома, эпителиальная одонтома. Обычно встречается у больных 4-5 десятилетия жизни. Около 80% опухолей локализуется в мандибуле, из них 70% в области моляров, 20% - премоляров, 10% - резцов. Рентгенологически типична многоячеистость, хотя возможны и монолокулярные очаги, Наблюдается наличие включенного зуба. Выделяют следующие гистологические варианты опухоли:
а/ фолликулярный - среди соединительнотканной стромы видны эпителиальные островки, образованные полиэдрическими клетками, по их периферии слой кубических или цилиндрических клеток, напоминающих преамелобласты зубного органа;
б/ плексиформный - эпителий формирует петлистые структуры, в наружном слое - высокий эпителий, в центре эпителиальных образований -полигональные клетки. Имеется склонность к формированию кист;
в/ акантоматозный вариант - характеризуется плоскоклеточной метаплазией с образованием кератина в центре эпителиальных островков;
г/ гранулярный тип - в клетках центра эпидермальных структур наблюдается гранулярная метаморфоза цитоплазмы;
д/ базальноклеточный - чрезвычайно напоминает базалиому кожи, необходимо проводить дифференцировку с аденокистозной карциномой (цилиндромой слюнных желез),
2. Обызвествляющаяся эпителиальная одонтогеиная опухоль -эпителиальная местно деструирующая опухоль. Встречается чаще между 2-м и 6-м десятилетием жизни. Две трети опухолей локализуется в мандибуле, треть в максилле, типична премолярная область. Опухоль тяготеет к коронке не прорезавшегося зуба. Гистологически- представлена полигональными клетками, межклеточные мосты, плеоморфизм ядер и многоядерность, но митозы редки. В массе опухолевых клеток видны округлые, слоистые тела (кольца Лизегана) с явлениями петрификации. Основа этих образований - амилоид, формирующийся в опухолевых клетках. Реже новообразование может возникать вне кости, в «зуборождающей» зоне. Опухолевая ткань растет тонкими тяжами, петрификация не выражена. Эту разновидность нужно дифференцировать с одонтогенной фибромой.
3. Амелобластическая фиброма - доброкачественная опухоль из одонтогенного эпителия располагающаяся в соединительно ткани, напоминает дентальный сосочек. Средний возраст больных 20 лет. Типичная локализация – премолярная область мандибулы. На рентгенограмме выявляется хорошо очерченное просветление типа кисты. При гистологическом исследовании видны тонкие тяжи и островки эпителия среди клеточной и гиалинизированной соединительной ткани, В толще эпителиальных островков клетки, сходные со звездчатым ретикулумом. Соединительнотканный компонент опухоли содержитмало коллагена, напоминает дентальную пульпу.
4.Аденоматоидная одонтогенная опухоль(адено-амелобластома)По некоторым данным это порок развития . Оба пола поражаются
одинаково часто. Встречается преимущественно во втором десятилетии жизни. Максилла поражается вдвое чаще, чем мандибула. В максилле преимущественная локализация - резцовая область. Опухоль обычно связана с не прорезавшимся зубом и на рентгенограмме симулирует фолликулярную кисту. Микроскопически состоит из одонтогенного эпителия, формирующего протоковые структуры, располагающиеся в соединительной ткани. Могут формироваться кисты, в их стенках солидное скопление эпителия. В строме опухоли имеются поля ацидофильного гиалинизированного материала- диспластического дентина. Кроме того, часто наблюдается выраженная Петрификация.
Одонтогенные опухоли, опухолеподобные поражения и кисты челюстей
I. Новообразования и другие опухоли, относящиеся к одонтогенному аппарату.
2. Обызвествленная эпителиальная одонтогенная опухоль
3. Амелобластическая фиброма
4. Аденоматоидная одонтогенная опухоль (аденоамелобластома)
5. Обызвествленная одонтогенная киста
7. Амелобластическая фиброодонтома
9. Сложная одонтома
10. Составная одонтома
11. Фиброма (одонтогенная фиброма)
12. Миксома (миксофиброма)
а) доброкачественная цементобластома (истинная цементома)
б) цементирующаяся фиброма
в) периапикальная цементная дисплазия (периапикальная фиброзная дисплазия)
г) гигантоформная цементома (семейные множественные цементомы)
14. Меланотическая нейроэктодермальная опухоль младенца (меланотическая прогонома, меланоамелобластома)
1. Одонтогенные карциномы
а) злокачественная амелобластома
б) первичная внутрикостная карцинома
в) другие карциномы, развивающиеся из одонтогенного эпителия, включая эпителий одонтогенных кист
2. Одонтогенные саркомы
а) амелобластическая фибросаркома (амелобластическая саркома)
б) амелобластическая одонтосаркома
II. Новообразования и другие опухоли, относящиеся к костным
А. Остеогенные новообразования
1. Оссифицирующаяся фиброма (фибро-остеома)
Б. Неопухолевые костные поражения
1. Фиброзная дисплазия
3. Центральная гигантоклеточная гранулема (гигантоклеточная репаративная гранулема)
4. Аневризмальная костная киста
5. Простая костная киста
(травматическая, геморрагическая костная киста)
III. Эпителиальные кисты
А. Связанные с нарушением развития
а) первичная киста (кератокиста)
б) десневая киста
в) киста прорезывания
г) зубосодержащая (фолликулярная) киста
а) киста носо-небного (резцового) канала
б) шаровидно-верхнечелюстная киста
в) носо-губная (носо-альвеолярная) киста
Б. Воспалительной природы
1. Радикулярная киста
IV. Неклассифицированные поражения Амелобластома (адамантинома)
Под амелобластомой объединяют группу одонтогенных опухолей эпителиального происхождения, которые располагаются в толще челюсти и обладают способностью к инвазивному росту.
Встречаются амелобластомы чаще у больных среднего. Излюбленная локализуются на нижней челюсти в области ее угла и ветви, реже в области тела нижней или верхней челюсти.

Патанатомия. Макроскопически представлено серовато-розовой мелкозернистой тканью с множественными кистами, без очагов обызвествления. Новообразование встречается в солидном (плотном) и кистозном вариантах. Плотная адамантинома состоит из соеденительнотканной стромы и эпителиальной паренхимы – которая в виде тяжей пронизывает строму, образуя ячейки в опухоли. При кистозной адамантиноме строма выражена менее значительно., определяются кистозные микрополости. Гистологически различают фолликулярный, плексиформный, акантоматозный, базально-клеточный, зернисто-клеточный варианты строения истинной амелобластомы.
Наиболее типичен фолликулярный тип строения, при котором опухоль напоминает развивающийся эмалевый орган зубного зачатка, характеризуется наличием эпителиальных скоплений различной величины окруженных высокими цилиндрическими клетками.
Клиника. Амелобластомы растут медленно, безболезненно. Первыми симптомами опухоли является прогрессирующая деформация лица, в последующем возникают боли в челюсти и зубах в области опухоли, зачастую интактных. Амелобластомы часто нагнаиваются, что способствует периодическому припуханию участка челюсти, развитию одонтогенных воспалительных заболеваний, формированию свищей с гнойным или геморрагическим отделяемым. При больших размерах опухоли формируются функциональные нарушения.
Объективно определяется веретенообразное утолщение челюсти, в начале заболевания кожа над опухолью в цвете не изменена, собирается в складку, но со временем кожа истончается вплоть до изъязвления. Пальпация безболезненная, опухоль обычно плотная и бугристая, костной консистенции. В полости рта слизистая оболочка в цвете не изменена, определяется деформация переходной складки, в некоторых случаях определяется утолщение переднего края ветви нижней челюсти. Часто выявляется вздутие тела челюсти с язычной (небной) стороны. При резорбции кортикальной пластинки возможен симптом флюктуации. Пунктат образования содержит жидкость жёлтого или коричневого цвета. Возможна подвижность зубов в области опухоли, при их удалении лунка зуба долго не заживает. При нагноении амелобластома клинически проявляет себя как банальный одонтогенный воспалительный процесс.
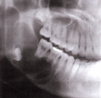
Рентгенологическая картина




Возможны следующие варианты амелобластомы:
1. Ряд округлых полостей.
2. Одна костная полость, окруженная множеством более мелких полостей.
3. Ряд округлых полостей, в 1-2 из которых заключен зубной фолликул или сформированный зуб.
4. Многоугольные полости.
5. Крупнопетлистая структура кости за счет множества мелких кист.
6. Несколько единичных крупных кистозных полостей.
7. Одна большая кистозная полость с неровными краями.
8. Одна большая полость, в которую обращены корни зубов (напоминает радикулярную кисту).
9. Одна большая киста, в которую обращена коронковая часть непрорезавшегося зуба. Этот вариант напоминает фолликулярную кисту.
Важнейшей рентгенологической чертой адамантином является различная степень прозрачности тени полостей особенно четко выраженной в поликистозных адамантиномах. Центральные отделы кистозных полостей прозрачнее, чем краевые. В однокамерных адамантиномах удается видеть полоску полутени вдоль костных границ опухоли. Нередко отмечается резорбция корней зубов в области опухоли.
Дифференциальная диагностика проводится с кистами челюстей, остеобластокластомой, остеомой, одонтомой, эозинофильной гранулемой, хроническим остеомиелитом.
Лечение амелобластом заключается в радикальном удалении опухоли в пределах здоровых тканей (отступить на 2см от рентгенологически видимых границ опухоли). Выскабливание опухоли исключается т.к. ведет к возникновению рецидива. В редких случаях при локализации в пределах альвеолярного отростка, допустима щадящая резекция челюсти с сохранением непрерывности кости. При распространении амелобластомы в мягкие ткани выполняют резекцию окружающих ее тканей После проведения оперативного вмешательства на нижней челюсти показана одномоментная костная пластика дефекта.
Одонтоамелобластома. Одонтома и одонтогенная фиброма.
Одонтоамелобластома. Одонтома и одонтогенная фиброма.
Одонтоамелобластома очень редкая опухоль, состоящая из форм амелобластомы, сочв сочетании с отложениями дентина и эмали, которые иногда напоминают зачаток зуба. Обладает, как и амелобластома, местно деструирующим ростом.
Одонтома возникает как результат нарушения развития зуба. Наиболее часто развивается в период формирования постоянных зубов. Редко достигает больших размеров, растет медленно. Встречается в верхней челюсти не сколько чаще, чем в нижней, преимущественно в области премоляров. Часто связана с отсутствием зубов н деформацией челюсти.
Рентгенологически определяется узловатое плотное образование, окаймленное светлой четкой полосой.
Макроскопически многообразна от небольших образований, напоминающих недоразвитый или деформированный зуб, до массивных конгломератов, состоящих из нескольких зубоподобных образований, легко разделяющихся или плотно спаянных; окружена капсулой. Иногда содержит кисты, заполненные светлой жидкостью.

По микроскопическому строению одонтомы делят на простые и сложные: в свою очередь сложные одонтомы могут быть смешанными и составными. Простая твердая одонтома представлена тканями одного зуба, смешанными в различных сочетаниях. Сложная смешанная одонтома состоит из беспорядочно перемешанных зубных тканей нескольких зубов. Небольшие островки эмали могут быть включены в обширные зоны дентина или цемента. Среди обызвествленных масс встречаются участки соединительной ткани с островками одонтогенного эпителия. Отдельные зубы сформированы правильно и содержат полость с пульпой. Сложная составная одонтома отличается тем. что состоит из множества правильно сформированных спаянных между собой деформирован ных зубов. Однако абсолютно достоверные критерии дифференцирования этих двух видов сложных одонтом отсутствуют.
Фиброма (одонтогенная фиброма)—доброкачественная опухоль из клеточно-волокнистой ткани с тяжами одонтогенного эпителия. Составляет около 3% всех одонтогенных опухолей. Встречается чаще у детей, локализуется обычно в нижней челюсти.
Рентгенологически — прозрачная тень с четкими границами, на фоне которой можно видеть включения зубных конгломератов; местами отмечается разрушение кортикальной пластинки.
Макроскопически челюсть вздута. На разрезе обнаруживается серовато-белая плотноэластическая ткань с мелкими полостями и участками миксоматозного вида, встречаются сформированные зубы или их конгломераты.
Происхождение опухоли связывают с мезенхимной тканью (периодонтальной оболочкой, дентальным сосочком, дентальным фолликулом). Опухоль часто связана с непрорезавшимся зубом. Микроскопически представлена полями фиброзной ткани с вкраплениями одонтогенного эпителия в виде тяжей, мелких островков без признаков ретикулирования. Иногда встречаются цементоподобиые структуры. Иногда одонтогенная фиброма может локализоваться вне кости, в мягких тканях полости рта, что вызывает необходимость дифференцировать ее от периферической амелобластомы. Дифференциальный диагноз основывается на отсутствии в фиброме фолликулярных структур.
Информация на сайте подлежит консультации лечащим врачом и не заменяет очной консультации с ним.
См. подробнее в пользовательском соглашении.
Опухоли челюстей

Опухоли челюстей — это новообразования различного характера и происхождения, локализованные в тканях челюстей. Встречаются достаточно часто (15% от числа всех стоматологических заболеваний) и могут развиться в любом возрасте, в том числе в раннем детстве. В процессе развития новообразования челюстей провоцируют эстетические и функциональные нарушения. Лечатся опухоли путем хирургического удаления.
Происхождение и причины развития опухолей
Несмотря на то, что причины появления этих новообразований изучены недостаточно, их происхождение принято связывать с рядом таких факторов:
- генетическая предрасположенность;
- агрессивное воздействие окружающей среды (включая вредные привычки);
- повреждения тканей челюстей (в особенности при хронической травматизации);
- длительные и осложненные воспалительные процессы любого характера;
- проникновение инородных тел в челюстные структуры и прилегающие пазухи.
Доброкачественные опухоли сами по себе не представляют угрозы, однако в некоторых случаях могут перерождаться в злокачественные.
Злокачественные новообразования челюсти могут являться следствием других онкологических процессов в организме, находящихся на стадии метастазирования.
Классификация

Все типы опухолей челюсти (и доброкачественные, и злокачественные) делятся на две группы — одонтогенные, то есть развивающиеся из зубообразующего материала и неодонтогенные — состоящие из эпителиальных, соединительных или костных тканей.
Среди доброкачественных одонтогенных новообразований выделяются:
- амелобластома;
- кальцифицирующаяся эпителиальная одонтогенная опухоль;
- дентинома;
- аденоамелобластома;
- амелобластическая фиброма;
- одонтома;
- одонтогенная фиброма;
- миксома;
- цементома;
- меланоамелобластома и др.
Злокачественными опухолями этого типа являются одонтогенная саркома и одонтогенная карцинома.
К неодонтогенным опухолям относятся:
- остеома, остеобластома (костеобразующая опухоль);
- хондрома (хрящеобразующая);
- фиброма (состоящая из соединительных тканей);
- гемангиома (сосудистая опухоль) и др.
Диагностика опухолей челюстей
В большинстве случаев такие опухоли диагностируются случайным образом во время планового осмотра стоматолога или при лечении сопутствующих патологий. При диагностике новообразования врач назначает рентгенографическое и компьютерное томографическое исследование. Для диагностики типа опухоли назначается биопсия и гистологический анализ тканей новообразования.
Лечение
Новообразования челюстей, вне зависимости от типа, лечатся путем полного удаления. В случае злокачественной опухоли параллельно с оперативным вмешательством назначается химиотерапия и облучение.
При ранней диагностике опухоли, ее удаление сопровождается небольшими потерями здоровых тканей, в то время как на поздних стадиях может потребоваться массивная резекция челюсти вплоть до полного ее удаления с последующим протезированием. Кроме того, осложнением опухолей часто становится выпадение зубов или потеря функциональности всего зубного ряда.
Своевременное обнаружение патологии снижает риск осложнений и имеет благоприятный исход даже в случае злокачественного новообразования, поэтому регулярные профилактические осмотры являются главным способом профилактики развития онкологических процессов.
2019 © Хорошая стоматология — сеть стоматологических клиник.
Стоматологические услуги около м. Верхние Лихоборы, м. Митино, м. Тушинская, м. Речной вокзал, м. Отрадное, м. Щелковская
Данная страница носит информационно-справочный характер и не является публичной офертой.
Читайте также:
