Опоясывающий лишай
Добавил пользователь Евгений Кузнецов Обновлено: 23.11.2025
Данная информация рассказывает об опоясывающем герпесе (опоясывающем лишае), в том числе о путях его распространения и способах лечения.
Что представляет собой опоясывающий герпес?
Опоясывающий герпес, который также называют опоясывающим лишаем, - это инфекционное заболевание, вызываемое вирусом ветряной оспы. Это тот же вирус, который вызывает ветряную оспу. Опоясывающий герпес возникает только у тех лиц, которые ранее переболели ветряной оспой. Когда ветряная оспа проходит, вирус ветряной оспы остается в организме как неактивный. Это значит, что вы можете не чувствовать симптомов, но вирус в организме по-прежнему присутствует. Когда вирус ветряной оспы снова становится активным, он вызывает опоясывающий герпес.
Каковы симптомы опоясывающего герпеса?
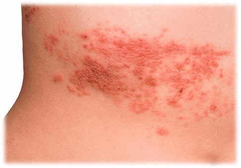
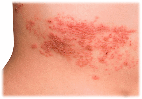
У лиц с опоясывающим герпесом появляется сыпь, похожая на сыпь при ветряной оспе. Она может вызывать зуд, жжение и боль.
При локализованном опоясывающем герпесе сыпь обычно появляется в виде широкой полосы с одной стороны тела. При диссеминированном (более широко распространенном) опоясывающем герпесе сыпь покрывает более обширную область тела.
Как распространяется опоясывающий герпес?
Опоясывающий герпес может распространяться через прикосновение к волдырям инфицированного человека. Диссеминированный опоясывающий герпес может распространяться через контакт с капельками жидкости из носа и горла инфицированного человека. Капельки, содержащие вирус, попадают в воздух, когда инфицированный человек кашляет или чихает. Их легко вдохнуть и заразиться инфекцией.
Если вы переболели ветряной оспой ранее, ваш вирус не станет активным в результате контакта с человеком, заболевшим опоясывающим герпесом. Тем не менее, если вы не болели ветряной оспой, вы можете заболеть ею после контакта с человеком, заболевшим опоясывающим герпесом.
Кто подвержен риску инфицирования опоясывапющим герпесом?
Опоясывающий герпес, как правило, развивается у лиц с серьезными заболеваниями или со слабой иммунной системой.
Как лечить опоясывающий герпес?
Для лечения опоясывающего герпеса применяются антивирусные лекарства, кожные кремы и, при необходимости, обезболивающие лекарства.
Какие меры предосторожности принимаются в больнице, если у меня обнаруживается опоясывающий герпес?
Меры по изоляции - это мероприятия, которые мы проводим, чтобы предотвратить распространение инфекции среди пациентов. Если во время пребывания в больнице у вас диагностировали ветряную оспу, или вы подверглись риску заражения этим заболеванием:
- Вас поместят в отдельную палату.
- Дверь в вашу палату всегда должна быть закрытой.
- На вашей двери повесят табличку с информацией о том, что весь персонал и посетители должны вымыть руки с мылом или протереть их спиртосодержащим антисептиком для рук перед входом и после выхода из вашей палаты.
- Меры по изоляции, принимаемые в случае локализованного и диссеминированного опоясывающего герпеса, различны.
- При локализованном опоясывающем герпесе все посетители и персонал должны надевать желтый халат и перчатки во время пребывания в вашей палате. Они выдаются за пределами вашей палаты и могут быть утилизированы в вашей палате.
- При диссеминированном опоясывающем герпесе посетители и персонал должны надевать желтый халат, перчатки и респираторную маску во время пребывания в вашей палате.
- При соблюдении этих мер по изоляции вам запрещено ходить по отделению.
- кладовая для продуктов в вашем отделении;
- центр отдыха в M15;
- детские зоны отдыха в M9;
- кафетерий;
- основной вестибюль;
- любые другие зоны общего пользования на территории больницы.
Вы можете прекратить соблюдать эти меры предосторожности, когда подсохнут и покроются коркой все волдыри.
Каковы способы профилактики опоясывающего герпеса?
Для профилактики опоясывающего герпеса применяют вакцину Zostavax ® . Эта вакцина рекомендуется лицам старше 60 лет, но она не применяется при ослабленной иммунной системе. Дополнительную информацию об этой вакцине может предоставить ваш врач.
Где я могу получить дополнительную информацию об опоясывающем герпесе?
Если у вас есть вопросы, обратитесь к своему врачу или медсестре/медбрату. Кроме того, для получения дополнительной информации вы можете посетить веб-сайты:
Опоясывающий лишай
![]()
Опоясывающий лишай (Herpes zoster) (син. — опоясывающий герпес) — заболевание вирусной природы, характеризующееся односторонними высыпаниями на коже с сильным болевым синдромом. Возбудитель — вирус ветряной оспы (Varicella zoster) семейства герпесвирусов, при первой встрече с организмом (чаще в молодом возрасте) вызывает типичную ветряную оспу.
![]()
Заболевают люди, ранее перенесшие ветряную оспу. Болеют преимущественно лица пожилого и старческого возраста, а так же люди с ослабленном иммунитетом: больные лейкозами, лимфогранулематозом, новообразованиями, получающие химиотерапию, длительно получающие кортикостероиды и иммуно-депрессанты. Особенно часто инфекция развивается у больных с синдромом приобретенного иммунодефицита
У детей ранее не болевших ветряной оспой, при контакте с больными опоясывающим лишаем, развивается типичная «ветрянка».
Доказано, что после перенесенной ветряной оспы вирус многие годы сохраняется в нервных волокнах человека, не нанося при этом никакого ущерба здоровью человека. При резком ослаблении местного и общего иммунитета может наступить активация вируса, и инфекция проявляется в виде высыпаний в тех кожных зонах, за которые ответственен пораженный нерв. Именно участие нервов в развитии болезни и обеспечивает выраженный болевой синдром. В большинстве случаев поражаются межреберные нервы или тройничный нерв.
Характерный признак опоясывающего герпеса — односторонность поражения.
В зависимости от локализации поражения нервов возможно развитие следующих состояний:
- Офтальмологический опоясывающий герпес – вирус проникает в глазную ветвь тройничного нерва, что опасно повреждением роговицы.
- Синдром Рамсея – Ханта – высыпания возникают в наружном слуховом проходе или ротоглотке и сопровождаются односторонним параличом мимических мышц. В некоторых случаях также развивается потеря слуха и системное головокружение.
- Двигательный опоясывающий герпес – слабость мышц в местах кожной сыпи.
Симптомы опоясывающего лишая
Для двигательного опоясывающего герпеса характерно острое начало, общее недомогание, лихорадка, небольшой зуд, чувство покалывания, резко выраженные жгучие боли в месте будущих высыпаний. Высыпания появляются по ходу отдельных чувствительных нервов в виде нечётких розоватых пятен (3—5 см), на фоне которых через 18—24 часов образуются группы болезненных пузырьков, заполненных прозрачным, а затем и мутным содержимым. Высыпания исчезают в течение 2—4 недель: пузырьки подсыхают, образуя жёлто-коричневые корочки, которые затем отпадают, оставляя незначительную пигментацию. Боли иногда становятся нестерпимыми, усиливаются при малейшем прикосновении к коже, при охлаждении, движении. Иногда болезнь характеризуется интоксикацией и невралгическими болями, сыпь отсутствует. При появлении кожных высыпаний боли становятся обычно менее интенсивными. Боль может сохраняться в течение недель и месяцев.
![]()
Офтальмологический опоясывающий лишай характеризуется особо тяжёлым течением, который может продолжаться в течение нескольких недель. При глазной форме наблюдаются специфический вирусный кератит, реже ирит, глаукома т.к. вирус проникает в глазную ветвь тройничного нерва.
![]()
Для синдрома Рамсея- Ханта характерна красная болезненная сыпь, в области ушей или во рту и лицевой паралич (например, века или рта) на одной стороне лица. Могут возникнуть такие симптомы такие как боль в ухе, головокружение, сухость глаз, изменения вкуса.![]()
Лечение направленно на борьбу с интоксикацией, снятие болей и предупреждение генерализации инфекции. Как правило, больные опоясывающим лишаем не нуждаются в госпитализации и дальнейший прогноз благоприятен. Однако, для предотвращения осложнений при подозрении на опоясывающий лишай, необходимо срочно обратиться к врачу.
Опоясывающий лишай
![Врач Хасанова Алина Рашидовна]()
У людей, ранее переболевших ветряной оспой, возможна реактивация сохраняющегося в организме вируса. Повторное инфекционное заболевание называют опоясывающим лишаем. Возбудитель болезни – вирус, который в латентной форме локализован в спинномозговых корешках. При повторной активации он через межпозвоночные нервные узлы проникает в периферические нервы и находящиеся вблизи от них кожные покровы. Заболевание проявляется в виде сильных болей и высыпаний в виде пузырьков.
Почему возникает заболевание?
Единственная причина опоясывающего лишая – это пробуждение спящего вируса. При первичном инфицировании этот вирус вызывает ветряную оспу. По окончании болезни он остается в организме, находясь в неактивном состоянии. Активация происходит при снижении иммунитета, которое может быть спровоцировано:
- переохлаждением либо перегревом;
- респираторной инфекцией, гриппом или другим инфекционным заболеванием, ослабляющим иммунную систему;
- стрессовым или депрессивным состоянием;
- длительной инсоляцией или чрезмерно частыми посещениями солярия;
- развивающимся онкозаболеванием либо прохождением курса лучевой терапии;
- наличием ВИЧ-инфекции;
- длительным курсом лечения кортикостероидами либо иммунодепрессантами;
- беременностью;
- недавно перенесенным хирургическим вмешательством, травмой или трансплантацией органа;
- наличием вредных привычек – алкоголизмом или наркоманией;
- пожилым возрастом.
У заболевания не наблюдается сезонности. Основная группа – люди старше 60 лет, среди которых опоясывающий лишай встречается с частотой порядка 10-12 случаев на тысячу. Повторные рецидивы происходят не более чем у 5% пациентов.
Как начинается опоясывающий лишай?
Большинство людей, переболевших ветряной оспой, не сталкиваются с повторным проявлением инфекции и даже не подозревают, что это возможно. Признаки опоясывающего лишая различны для разных форм заболевания.
![Опоясывающий лишай]()
- Ганглиокожная. Продромальный этап продолжается около недели и проявляется легким недомоганием с незначительными болевыми ощущениями на участках, где впоследствии появятся высыпания. Возможно нарушение чувствительности кожи. Затем боли усиливаются, появляется комплекс признаков, характерных для присутствия в организме инфекции. Чувствительность участков кожи возрастает настолько, что боль может ощущаться из-за дуновений ветра. В течение недели на болезненных участках кожа краснеет, появляется сыпь в виде пузырьков с прозрачным содержимым. Спустя 4-5 дней на месте пузырьков появляются корочки, которые затем отпадают. Болезнь длится от двух до четырех недель.
- Глазная. Начало напоминает ганглиокожную форму, однако высыпания локализуются на коже лица, поскольку инфекция поражает тройничный нерв и гассеров узел. Сыпь покрывает кожу носа, окружает глаз и переходит на лоб, продолжаясь до теменной области. Иногда поражается глаз.
- Ушная. Заболевание поражает ушную раковину и наружные покровы слухового прохода, больной перестает ощущать вкус. Могут быть парализованы лицевые мышцы и лицевой нерв.
- Гангренозная. Из-за глубокого поражения кожных покровов начинается некротизация тканей. Возможно геморрагическое пропитывание пораженных участков. После заживления на теле остаются глубокие рубцы. Эта форма болезни наиболее часто развивается у людей пожилого возраста с тяжелым хроническим заболеванием – язвенной болезнью, сахарным диабетом и т.д.
- Менингоэнцефалитическая. Тяжелая форма заболевания с высокой летальностью развивается при поражении нервных окончаний головы. Для нее характерна высокая температура, головные боли, тошнота, рвота, нарушения сознания. Больной впадает в кому.
- Диссеминированная. Развивается на фоне ВИЧ, поражает различные внутренние органы, высыпания распространяются по всей поверхности кожи.
- Ганглионевралгическая. Присутствует только болевой синдром, без поражения кожи. Из-за этого диагностика опоясывающего лишая затруднена, и лечение начинается поздно.
При любой форме заболевания может развиться поражение нервных вегетативных узлов, что приводит к появлению нетипичных симптомов – запорам либо диарее, задержке мочеиспускания и др.
Диагностические исследования
Часто врач готов поставить диагноз уже на основе наблюдаемых симптомов опоясывающего лишая. Однако для подтверждения назначаются клинические исследования, в числе которых:
- анализ крови (общий);
- анализ крови (биохимия);
- анализ крови (ИФА-диагностика);
- ПЦР содержимого пузырьков, крови, ликвора;
- экспресс-исследования крови.
Как правило, лабораторные анализы назначают детям с ослабленным иммунитетом и на первом году жизни, а также пациентам с атипичным течением или тяжелой формой болезни.
Как и чем лечится?
В большинстве случаев лечение опоясывающего лишая заключается в уменьшении болезненных ощущений пациента, предотвращении осложнений и ускорении выздоровления. Лекарственные препараты обычно назначают пожилым и ослабленным пациентам. Больной обычно остается дома, госпитализация проводится лишь при поражении глаз и мозга.
Как правило, медикаментозная терапия включает:
Молодым пациентам обычно не требуется медикаментозная поддержка.
Для предупреждения развития болезни, в качестве профилактики опоясывающего лишая людям старше 60 лет рекомендуется вакцинация живой вакциной Zostavax. Она снижает риск болезни не менее, чем на 50%.
Чем опасно заболевание
Медики отмечают ряд тяжелых последствий опоясывающего лишая, которые развиваются при неблагоприятном развитии болезни. Среди них:
- паралич, в том числе лицевого нерва;
- поражения внутренних органов;
- тяжелые бактериальные инфекции, гнойные воспаления;
- при глазной форме – неврит зрительного нерва, снижение остроты зрения;
- при энцефалитической форме – развитие менингоэнцефалита.
Раннее обращение к врачу позволяет вовремя распознать тяжелую форму болезни и принять необходимые меры для купирования последствий.
Часто возникающие вопросы
Заразен ли опоясывающий лишай?
После появления высыпаний на коже больной может передать инфекцию людям, которые ранее не болели ветряной оспой.
Можно ли мыться при опоясывающем лишае?
Часто любые прикосновения к пораженным участкам кожи вызывают сильную боль, поэтому некоторые врачи рекомендуют пациентам воздержаться от мытья до появления корочек. Других препятствий для этого нет, хотя ванну лучше заменить прохладным душем. После купания влажную кожу рекомендуется не вытирать, а осторожно промакивать полотенцем.
Передается ли опоясывающий лишай к плоду при беременности?
Передача вируса от матери к плоду во время беременности в принципе возможна, но на практике встречается крайне редко. Медицине известны всего несколько таких случаев.
Опоясывающий лишай (Herpes zoster)
Информацию из данного раздела нельзя использовать для самодиагностики и самолечения. В случае боли или иного обострения заболевания диагностические исследования должен назначать только лечащий врач. Для постановки диагноза и правильного назначения лечения следует обращаться к Вашему лечащему врачу.
Опоясывающий лишай (Herpes zoster): причины появления, симптомы, диагностика и способы лечения.
Опоясывающий лишай – инфекционное заболевание, возбудитель которого (вирус герпеса 3-го типа) вызывает также ветряную оспу.
Поскольку вирус, проникая в чувствительные нервные окончания, встраивается в генетический аппарат нервных клеток, удалить его из организма невозможно. У переболевших ветряной оспой вирус переходит в латентное (неактивное) состояние.
При ослаблении иммунитета вирус активизируется, поражая кожные покровы. Болезнь чаще развивается у пожилых и у лиц с иммунодефицитными состояниями.
Причины заболевания
Вирус передается от больного ветряной оспой или опоясывающим лишаем контактным или воздушно-капельным путем. Человек, который при этом заражается первично (чаще всего ребенок), заболевает ветряной оспой. Проникая через слизистые оболочки в кровь и лимфу, вирус достигает нервных клеток, где начинает размножаться. После выздоровления вирус пожизненно сохраняется в организме, чаще находясь в неактивном состоянии. Пробуждение инфекции связано с ослаблением иммунитета, вызванном переохлаждением, длительным приемом стероидных гормональных препаратов, иммуносупрессией (после трансплантации), химио- и лучевой терапией, а также общим снижением иммунитета у пациентов с заболеваниями крови, онкологическими и вирусными болезнями. Очень тяжело протекает опоясывающий лишай у ВИЧ-инфицированных пациентов.
Классификация опоясывающего лишая
Клиническая картина опоясывающего герпеса складывается из кожных проявлений и неврологических расстройств. Различают типичную и атипичную формы заболевания. При атипичной форме возможно стертое течение болезни, при котором в очагах гиперемии развиваются папулы, которые не трансформируются в пузырьки.
При опоясывающем герпесе распространение патологического процесса соответствует определенному участку кожи и не пересекает анатомической средней линии туловища. У большинства пациентов появлению сыпи предшествует чувство жжения или зуда в определенном участке кожи, а также боль, которая может быть колющей, пульсирующей, стреляющей, носить приступообразный или постоянный характер. У ряда больных болевой синдром сопровождается общими системными воспалительными проявлениями: лихорадкой, недомоганием, миалгиями, головной болью.
Инфицирование центральной нервной системы и поражение мозговых оболочек может давать менингеальную, энцефальную (симптомы свидетельствуют о поражении вирусом головного и/или спинного мозга и мозговых оболочек) или смешанную формы опоясывающего лишая. Если инфекция распространяется по ходу глазного нерва, развивается офтальмогерпес.
При появлении высыпания по всей поверхности кожи и на паренхиматозных органах (например, печени, почках) развивается генерализованная форма опоясывающего лишая. Другая разновидность опоясывающего лишая – геморрагическая. Характерным признаком служит кровянистая жидкость внутри пузырьков.
Симптомы опоясывающего лишая
Начало болезни сопровождается общей интоксикацией, недомоганием и лихорадкой. Возможны тошнота и рвота. Лимфатические узлы увеличиваются.
Появляются выраженные боли по ходу пораженного нерва, которые могут быть постоянными, но чаще носят приступообразный зудящий характер, усиливаясь в ночное время.
Их, как правило, провоцируют любые раздражители: прикосновение к коже, холод, движение. Некоторые пациенты жалуются на потерю чувствительности на отдельных участках кожи, которая может сочетаться с усилением болевой реакции. Иногда болевой синдром при отсутствии высыпаний на коже может напоминать стенокардию, инфаркт миокарда, почечную колику или панкреатит. Период невралгии, предшествующий высыпаниям, продолжается до 7 дней. Затем на одной стороне тела появляются узелки, из которых формируются пузырьки с прозрачным содержимым, которое постепенно мутнеет. По прошествии 3-7 дней большая часть пузырьков засыхает с образованием желто-бурых корочек. При травмировании пузырьков обнажаются ярко-красные язвочки. После заживления язвочек на коже остаются небольшие струпья или рубцы.
Чаще всего сыпь и боль отмечаются в области ребер, поясницы и крестца, реже – по ходу ветвей тройничного, лицевого и ушного нерва и на конечностях.
В редких случаях поражаются слизистые оболочки.
Диагностика опоясывающего лишая
Поставить диагноз можно после осмотра и опроса пациента. Врач обращает внимание на характер высыпаний (локализованный и односторонний), вид пузырьков и жалобы на зудящую жгучую боль. Сложнее выявить атипичную форму опоясывающего лишая. При стертой форме боль и другая неврологическая симптоматика могут отсутствовать. При неврогенных нарушениях до появления высыпаний поставить диагноз можно на основании результатов лабораторных анализов. При этом используют гистологическое исследование, а также выделяют вирус в культуре клеток. Быстро подтвердить герпетическую природу высыпаний помогает тест Цанка: в соскобе материала, взятого с основания пузырька, обнаруживают гигантские многоядерные клетки. Однако этот тест не дает возможности определить тип герпеса. Применяют также методы иммуноферментного анализа и непрямой иммунофлуоресцентной реакции. В последнее время диагностику вирусных инфекций проводят с помощью полимеразной цепной реакции (ПЦР).Синонимы: Анализ крови на антитела к вирусу ветрянки; Ветряная оспа; Вирус герпеса человека 3-го типа; ВГВ-3 типа; Вирус varicellae-zoster; Опоясывающий герпес. Chickenpox; Human h.
Опоясывающий лишай
Опоясывающий лишай или опоясывающий герпес – инфекция, которая проявляется, когда вирус опоясывающего лишая реактивируется после латентного состояния в расположенном рядом дорсальном корне ганглия. Симптомы обычно начинаются с боли вдоль пораженного дерматома, сопровождаемой в течение 2–3 дней везикулярным высыпанием, которое является обычно диагностическим. Лечение – противовирусные препараты назначаются в течение 72 часов после появления поражений на коже.
Ветряная оспа и опоясывающий лишай вызываются вирусом Varicella zoster (герпесвирус человека 3-го типа); ветряная оспа Ветряная оспа Ветряная оспа – острая системная, обычно детская инфекция, вызываемая вирусом ветряной оспы – вирусом опоясывающего лишая (герпесвирус человека тип 3). Обычно начинается с умеренных общеинтоксикационных. Прочитайте дополнительные сведенияОпоясывающий лишай поражает сенсорные корни ганглия, кожу связанного дерматома, а иногда задние и передние роговидные отростки серого вещества, мягкие мозговые оболочки, дорсальные и вентральные корни. Опоясывающий герпес часто встречается у пожилых и ВИЧ-инфицированных пациентов и является более частым и тяжелым у пациентов с иммунодефицитом, потому что клеточный иммунитет у этих пациентов снижается. Не существует четких факторов, провоцирующих обострение.
Симптомы и признаки опоясывающего герпеса
В пораженном месте развивается стреляющая, дизестетическая или другая разновидность боли, обычно сопровождаемая через 2–3 дня сыпью, обычны скопления пузырьков на эритематозной основе. Обычные места – один или более смежных дерматомов в грудной или поясничной области, хотя несколько сопутствующих очагов могут также появляться. Поражения являются типично односторонними и не пересекают срединной линии тела. Место обычно характеризуется повышенной чувствительностью, и боль может быть тяжелой. Поражения обычно продолжают формироваться в течение приблизительно 3–5 дней.
Опоясывающий лишай может распространяться на другие области кожи и к внутренним органам, особенно у пациентов с ослабленным иммунитетом.
Коленчатый опоясывающий лишай (синдром Рамсея-Ханта, синдром коленчатого узла Ганглионит узла коленца Опоясывающий герпес редко проявляется отитом, и поражает ганглии 8 черепно-мозгового нерва и коленчатый ганглий 7 (лицевого) черепно-мозгового нерва. Реактивацию инфекции вирусом ветряной оспы. Прочитайте дополнительные сведения ) является результатом поражения коленчатого ганглия. Появляются боль в ушах, паралич лицевого нерва и иногда головокружение. В наружном слуховом проходе появляются пузыри; в передних двух третях языка могут пропасть вкусовые ощущения.
Глазной опоясывающий лишай Офтальмологический опоясывающий герпес Офтальмологический опоясывающий герпес представляет собой вовлечение органа зрения в реактивацию инфекции вирусом опоясывающего лишая. Симптоматика может быть тяжелым и включает высыпания на. Прочитайте дополнительные сведения является следствием поражения тригеминального (Гассерова) ганглия, сопровождается болью и везикулярным высыпаниями вокруг глаза и на лбу, распространяется по ходу глазного нерва – ветви V1 5-го (тройничного) черепного нерва. Глазные болезни могут быть очень серьезными. Пузырьки на кончике носа (признак Хатчинсона) указывают на поражение носоресничного нерва и высокий риск развития тяжелой формы болезни глаз. Однако глаза могут быть затронуты и в отсутствие поражений на кончике носа.
Опоясывающий лишай ротовой полости нераспространенное явление, но может манифестировать как острое одностороннее поражение. Никаких продромальных признаков нет.
Постгерпетическая невралгия
У менее чем 4% пациентов с опоясывающим лишаем проявляется повторное обострение. Однако у многих пациентов, особенно пожилых, имеется постоянная или периодическая боль в области пораженного места (постгерпетическая невралгия), которая может сохраняться в течение многих месяцев или лет, либо постоянно.
Здравый смысл и предостережения
У менее чем 4% пациентов с опоясывающим лишаем проявляется повторное обострение.
Боль при герпетической невралгии может быть острой и нестабильной или постоянной и изматывающей.
Диагностика опоясывающего герпеса
Опоясывающий лишай подозревается у пациентов с характерной сыпью и иногда даже до появления сыпи у пациентов с типичной болью в области дерматома. Диагноз обычно основан на патогномоничной сыпи.
Если диагноз сомнителен, выявление многоядерных гигантских клеток анализом по Тзанку может подтвердить инфекцию, но анализ по Тзанку положителен как при опоясывающем лишае, так и при простом герпесе Инфицирование вирусом простого герпеса (ВПГ) Вирусы простого герпеса (герпесвирусы человека типы 1 и 2) обычно вызывают рецидивирующую инфекцию, поражающую кожу, рот, губы, глаза и гениталии. Распространенные тяжелые инфекции включают. Прочитайте дополнительные сведенияЛечение опоясывающего герпеса
Противовирусные средства (ацикловир, фамцикловир, валацикловир), особенно для пациентов с ослабленным иммунитетом
Влажные компрессы успокаивают, но системные анальгетики часто необходимы.
При лечении глазного опоясывающего герпеса Лечение Офтальмологический опоясывающий герпес представляет собой вовлечение органа зрения в реактивацию инфекции вирусом опоясывающего лишая. Симптоматика может быть тяжелым и включает высыпания на. Прочитайте дополнительные сведенияПротивовирусная терапия
Лечение пероральными противовирусными препаратами уменьшает тяжесть и продолжительность острого высыпания и снижает частоту серьезных осложнений у пациентов с ослабленным иммунитетом; может уменьшить частоту возникновения постгерпетической невралгии. У иммунокомпетентных пациентов противовирусная терапия часто назначается тем, кому ≥ 50 лет. Лечение также показано пациентам с сильной болью, сыпью на лице, особенно вокруг глаз, и пациентам с ослабленным иммунитетом.
Лечение опоясывающего герпеса должно начаться как можно скорее, идеально во время продромального периода, и, вероятно, будет менее эффективно через > 72 часа после того, как появляются поражения кожи, особенно если не появляются новые элементы ссыпи. Фамцикловир по 500 мг 3 раза в день в течение 7 дней и валацикловир по 1 г 3 раза в день в течение 7 дней характеризуются лучшей биодоступностью при пероральном приеме по сравнению с ацикловиром, и поэтому эти препараты предпочитают при опоясывающем лишае пероральному ацикловиру по 800 мг 5 раз в течение 7–10 дней. Кортикостероиды не снижают частоту возникновения постгерпетической невралгии.
Пациентам с менее серьезной формой иммунодефицита является обоснованным назначение пероральных форм фамцикловира, валацикловира или ацикловира; предпочтительными являются фамцикловир и валацикловир. Пациентам с тяжелой формой иммунодефицита рекомендуется назначение ацикловира в дозировке 10 мг/кг внутривенно каждые 8 часов в течение 7–10 дней для взрослых и 20 мг/кг внутривенно каждые 8 часов в течение 7 дней для детей 12 лет. Некоторые эксперты рекомендуют лечение для пациентов с ослабленным иммунитетом в течение 7-10 дней, длящееся до тех пор, пока все поражения не покроются коркой.
Несмотря на то, что данные о безопасности приема ацикловира и валацикловира во время беременности обнадеживают, безопасность противовирусной терапии во время беременности четко не утановлена. Врожденная ветряная оспа может возникнуть в результате заболевания матери, но редко возникает по причине опоясывающего герпеса у матери. Следовательно, потенциальная польза терапии беременных должна превышать возможные риски для плода. Беременным пациентам с тяжелой сыпью, сильной болью или опоясывающим герпесом глаз можно назначать лечение, предпочтительно ацикловиром, поскольку существует более длительный опыт применения его во время беременности по сравнению с другими препаратами, хотя валацикловир тоже остается вариантом лечения. Существует мало данных касательно безопасности фамцикловира при беременности, поэтому он рутинно не рекомендуется беременным женщинам.
Лечение постгерпетической невралгии
Контроль герпетической невралгии может быть особенно трудным. Лечение включает габапентин, прегабалин, циклические антидепрессанты, капсаицин местно или мазь лидокаина и инъекцию ботулинического токсина. Анальгетики опиатного ряда могут быть необходимыми. Может быть полезен метилпреднизолон интратекально.
Профилактика опоясывающего герпеса
Имунокомпетентным взрослым ≥ 50 лет, рекомендуется использовать рекомбинантную вакцину против опоясывающего герпеса, независимо от того, был ли у них опоясывающий герпес или они были вакцинированы живой аттенуированной вакциной предыдущего поколения, или нет; 2 дозы рекомбинантной вакцины против опоясывающего герпеса даются от 2 до 6 месяцев и как минимум 2 месяца спустя применения живой аттенуированной вакцины (для получения дополнительной информации см. Рекомендации консультативного комитета по практике иммунизации для использования вакцин против опоясывающего герпеса [Recommendations of the Advisory Committee on Immunization Practices for Use of Herpes Zoster Vaccines]). Созданная ранее живая аттенуированная вакцина в США более не доступна, но во многих других странах она по-прежнему остается доступной. Новая рекомбинантная вакцина обеспечивает гораздо лучшую и долговременную защиту, чем более старая, живая аттенуированная зостерная вакцина (которая является высокодозной версией вакцины против ветряной оспы). В крупном клиническом исследовании рекомбинантная вакцина против опоясывающего герпеса была на 90–97% эффективна в профилактике опоясывающего герпеса. У взрослых с хорошим иммунитетом старше 60 лет рекомендуется применение рекомбинантной или живой аттенуированной вакцины, однако рекомбинантная вакцина является более предпочтительной. В постмаркетинговом обсервационном исследовании наблюдался повышенный риск синдрома Гийена-Барре Синдром Гийена-Барре (СГБ) Синдром Гийена – Барре – это острая, обычно быстро прогрессирующая воспалительная полинейропатия, характеризующаяся мышечной слабостью и умеренным выпадением дистальной чувствительности и самоограничивающимся. Прочитайте дополнительные сведения в течение 42 дней после вакцинации рекомбинантной вакциной против опоясывающего лишая. Появляются данные об эффективности рекомбинантной вакцины у пациентов с иммунодефицитными состояниями, но в настоящее время рекомендации по ее применению у данной группы пациентов отсутствуют. Живая аттенуированная вакцина противопоказана больным с ослабленным иммунитетом.
Справочные материалы по профилактике
1. Lal H, Cunningham AL, Godeaux O, et al: Efficacy of an adjuvanted herpes zoster subunit vaccine in older adults. N Engl J Med 372(22):2087-96, 2015. Epub 2015 Apr 28. PMID: 25916341. doi: 10.1056/NEJMoa1501184
Основные положения
Опоясывающий лишай обусловлен реактивацией varicella-zoster вируса (причина развития ветрянки) из латентной фазы.
Болезненная сыпь, как правило, обилие везикул на эритематозной основе, развивается на одном или нескольких прилегающих дерматомах.
Менее 4% больных имеют еще одно обострение опоясывающего лишая, однако у многих, особенно пожилых людей, отмечаются постоянные или периодические боли в течение нескольких месяцев или лет (постгерпетическая невралгия).
Противовирусные средства (ацикловир, фамцикловир, валацикловир) являются эффективными, особенно у пациентов с иммунодефицитом.
Часто необходимо назначить анальгетики.
Иммунокомпетентным взрослым ≥ 50 лет следует назначить рекомбинантную вакцину против опоясывающего лишая, независимо от наличия его в прошлом.
Читайте также:







