Опухоли гипоталамуса. Менингиома и аденома гипофиза
Добавил пользователь Валентин П. Обновлено: 27.01.2026
Интракраниальные опухоли головного мозга занимают достаточно мало места в структуре всех неоплазий мелких домашних животных. Но несмотря на низкую частоту встречаемости этой группы заболеваний, необходимо учитывать возможность опухолевого поражения головного мозга у животных с неврологическими расстройствами и дефицитами.
Эпидемиология
По различным данным частота встречаемости первичных опухолей головного мозга в популяции собак составляет около 14,5 на 100000 и 3,5 на 100000 у кошек. Опухоли встречаются у всех пород, но существует породная предрасположенность. Считается, что боксеры, золотистые ретриверы, доберманы, скотч-терьеры имеют повышенный риск. Глиальные опухоли и опухоли гипофиза чаще поражают собак брахиоцефалических пород (особенно боксеров). Менингиомы чаще встречаются у долихоцефалов и кошек. Возрастные ограничения отсутствуют, но чаще всего это собаки старше 5 лет. Средний возраст собак с выявленной опухолью головного мозга – 8 лет.
Классификация
Классификация базируется на базе цитологических и гистологических критериев. Опухоли головного мозга подразделяются на первичные и вторичные. Первичные опухоли зарождаются в тканях самого головного мозга. В зависимости от происхождения делятся на опухоли, происходящие из нейронов, нейроэпителиальные, глиальные, менингеальные. Большинство первичных опухолей происходит из нейроглии (глиомы), астроцитов (астроцитомы), олигодендроцитов (олигодендроглиомы) и эпендимальных клеток (эпендимомы). Также существуют смешанные формы, содержащие астроцитарный и олигодендроглиальный компоненты (смешанно-клеточная или олигоастроцитома). Могут быть обнаружены смешанные глионевральные опухоли, содержащие в себе элементы глии и нейроны, например ганглиоглиомы, дизэмбриопластическая нейроэпителиальная опухоль, а также опухоли, происходящие только из нейронов (ганглиоцитома, центральная ганглиоцитома).
Таблица №1. Классификация интракраниальных опухолей.
Опухоли из окружающих тканей
Череп, носовая полость, параназальные синусы, среднее ухо В зависимости от локализации различают супратенториальные (полушарные, внутрижелудочковые, подкорковые), опухоли гипофизарной области (гипофиз, турецкое седло), субтенториальные (мозжечок, мозговой ствол, четвертый желудочек). Первичные опухоли головного мозга очень редко метастазируют. В случае метастазирования распространяются на кости черепа и по спинномозговому каналу, либо гематогенно в другие органы.
Вторичные, или метастатические, опухоли головного мозга имеют более высокую частоту встречаемости и являются результатом распространения опухоли близлежащих тканей (кости черепа, гипофиз, носовая полость, параназальные синусы, среднее ухо) или метастазов опухолей отдаленных органов (молочных желез, простаты, легких, кожи и др.).
Клинические признаки
Клинические признаки интракраниальных опухолей весьма разнообразны и обычно представлены нарушением ментального статуса, дезориентацией и утратой привычных действий. Большинство специфических клинических признаков зависит от локализации опухоли. На начальных стадиях клинические признаки могут быть кратковременны и непостоянны, но по мере роста опухоли они становятся более выраженными и постоянными.
Эпилептиформные приступы могут быть одним из первых признаков опухоли коры головного мозга. Множественный дефицит черепных нервов характерен для опухоли вентральной части ствола мозга. Дисметрия, судорожная готовность и атаксия могут быть при опухолях мозжечка. Ухудшение зрения и слепота – гипоталамус или менингиома зрительного нерва. Первичные опухоли головного мозга обычно не сопровождаются паранеопластическими синдромами. Исключение может составлять аденома гипофиза, приводящая к гиперадренокортицизму. Также клинические признаки в основном обусловлены нарастающим внутричерепным давлением, эффектом массы и отеком мозга. Крайне опасное осложнение со смертельным исходом – это вклинивание мозга через foramen magnum. При этом наблюдаются изменение сознания, летаргия, навязчивая ходьба, манежные движения, беспорядочные движения, дыхательная недостаточность. Вклинивание у таких животных возможно при неправильном заборе ликвора и недостаточной подготовке животного к этой манипуляции.
Таблица №2. Возможные клинические признаки интракраниальных опухолей в
зависимости от локализации.
Диагностика
Обследование животного с признаками поражения головного мозга должно
включать:
1. Рутинное гематологическое и биохимическое исследование для исключения экстракраниальных причин (уремия и т. д.), сопутствующих заболеваний.
2. Рентгенографию черепа с целью выявления остеолиза или гиперостоза костей черепа, что характерно для менингиомы у кошек, первичного новообразования носовой полости и параназальных синусов или новообразования костей черепа.
3. Обзорную рентгенографию грудной и брюшной полости для выявления первичных новообразований и сопутствующих заболеваний.
4. УЗИ грудной и брюшной полости для обнаружения первичной опухоли и диагностики сопутствующих заболеваний.
5. Анализ ликвора с целью диагностики воспалительных заболеваний головного мозга, что очень важно для дифференциального диагноза. Предпочтительно использовать методы осаждения. В некоторых случаях это позволяет обнаружить атипичные клетки. Также этим методом возможно диагностировать нейролейкоз. Спинномозговая пункция у таких животных должна проводиться с особой осторожностью. При повышенном внутричерепном давлении существует опасность вклинивания головного мозга в случае резкого падения давления. Возможные меры профилактики подобного осложнения – это медленное отведение ликвора, предварительная инфузия маннитола и гипервентиляция.
6. Электроэнцефалографию. Данный метод диагностики при опухолевом поражении головного мозга основан на том, что, как правило, опухолевая ткань электрически нейтральна. Подобные изменения электроэнцефалограммы могут дать основания для дальнейшей диагностики в направлении поиска неоплазии головного мозга.
7. Магнитно-резонансную томографию (МРТ) для определения размера, формы и точной локализации новообразования и предположения типа опухоли (табл. 3). МРТ имеет значительные преимущества перед компьютерной томографией (КТ): более качественная визуализация интракраниальных мягких тканей, возможность дифференцировать более тонкие изменения в тканях (отек, изменения сосудов, кровоизлияния и некроз).
8. Биопсию. Прижизненная биопсия достаточно сложна и не во всех случаях выполнима. Для биопсии необходимо точно знать локализацию опухоли, поэтому биопсия проводится только после МРТ. Возможность проведения биопсии зависит от локализации новообразования и общего статуса животного. Часто биопсия выполняется только посмертно.
Таблица №3. Предположительная диагностика опухолей головного мозга по
данным МРТ.
Поддерживающее и симптоматическое лечение включает антиконвульсивную терапию (фенобарбитал 2-4 мг/кг внутрь каждые 12 часов) и кортикостероидную терапию (метилпреднизолон 10-15 мг/кг).
Прогноз
К неблагоприятным прогностическим факторам относят: большой объем опухоли, выраженность клинической симптоматики, инфратенториальную локализацию опухоли (ствол мозга и мозжечка), гистологический вариант (глиомы), позднюю диагностику. Первичные опухоли головного мозга, как правило, растут достаточно медленно, проявляются клинически при достаточно большом объеме поражения и зачастую диагностируются на поздних стадиях, когда эффективное лечение уже невозможно. Паллиативное лечение таких животных характеризуется короткой выживаемостью после постановки диагноза. Тем не менее во многих случаях лечение возможно. Лучевая терапия продлевает продолжительность жизни в большинстве случаев. Более благоприятный прогноз – при супратенториальных опухолях (опухоли переднего мозга) и менингиомах (особенно у кошек).
Выводы
Опухоли головного мозга могут быть точно диагностированы. Наиболее важными методами диагностики являются магнитно-резонансная томография и биопсия. Точная и ранняя диагностика и современные методы лечения позволяют увеличить общую выживаемость и обеспечить удовлетворительное качество жизни.
Опухоли гипоталамуса. Менингиома и аденома гипофиза
Опухоли гипоталамуса. Менингиома и аденома гипофиза
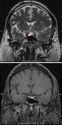
Располагаются в ростральной части дна III желудочка и выявляются прежде всего у детей первых 2 лет жизни. Чаше всего они представляют собой астроцитомы, которые вызывают прогрессирующее истощение вплоть до кахексии, при этом нишевое и общее поведение ребенка не изменяется (синдром Рассела). Это состояние следует отличать от психогенной анорексии, которая наблюдается у девочек более старшего возраста. Коллоидные кисты также располагаются в области дна III желудочка и могуч вызывать обструкцию отверстия Монро, приводя к нарушению отгока ЦСЖ из боковых желудочков.
Менингиома
Менингиома — доброкачественная опухоль, развивающаяся из твердой мозговой оболочки и характеризующаяся медленным экспансивным ростом на протяжении многих лет. Изредка они могут малигнизироваться. Иногда наблюдается их сочетание со злокачественной опухолью иной локализации, особенно раком молочной железы. Менингиомы — самые частые мезодермальные внутричерепные опухоли. Обычно они развиваются между 40-м и 50-м годами жизни и могут обнаруживаться как «случайная находка» при аутопсии, а также при КТ или МРТ головы. Последующие контрольные исследования в этих случаях дают вариабельные результаты в отношении дальнейшего роста опухоли — от 1 до 21%. Поэтому при асимгггомных мемингиомах оправдана выжидательная тактика, особенно у пожилых пациентов.
Опухоли больших размеров, а также опухоли с ги неринтенсивным сигналом на Т2-взвешенных МРТ-изображениях имеют теп дсниию к росту (70%). R целом Можни сказать, что, как правило, менингиома является показанием к нейрохирургическому вмешательству.
Несмотря на то, что менингиомы могут расти из любого участка твердой мозговой оболочки, существуют «излюбленные» их локализации. Прилегающий к опухоли участок черепа может утолщался, в этом месте могут формироваться радиальные шиповидные костные выросты, реже экзостозы. Плоские («сп plaque») менингиомы могут прорастать кости черепа, приводя к картине, напоминающей фиброзную дисплазию. Супрагепториальные менингиомы часто вызывают эпилептические припадки, которые могут быть их первым симптомом.

Аденомы гипофиза
Только около 10% аденом гипофила вызывают расширение турецкого седла и признаки объемного внутричерепного процесса. Эти опухоли развиваются преимущественно между 30-м и 50-м годами жизни. При всех аденомах гипофиза клиническое обследование выяштяет прежде всего эндокринные нарушения:
• при самых редких эозинофильных аденомах наблюдается акромегалия,
• при хромофобных аденомах — признаки гипофизарной недостаточности с истончением кожи, образованием моршин, нарушением функции желез внутренней секреции, особенно щитовидной железы и гонад.
• при пролактиномах (уровень пролактина составляет более 1 00 нг/мл) наблюдаются галакторея и вторичная аменорея, у мужчин - нарушение потенции.
Большие опухоли гипофиза вызывают выпадение полей зрения (как правило, битемпоральную гемианопсию или битемпоральную верхнеквадрантную гемианопсию). На рентгенограммах черепа выявляется расширение турецкого гирсутизм и аменорея.
Информация на сайте подлежит консультации лечащим врачом и не заменяет очной консультации с ним.
См. подробнее в пользовательском соглашении.
Опухоли гипофиза

Большинство опухолей гипофиза – аденомы. Для них характерно наличие головной боли и эндокринопатий, возникающих, если опухоль вырабатывает гормоны или разрушает гормонпродуцирующую ткань. Диагноз ставится на основании МРТ. Лечение проводят путем коррекции любого вида эндокринопатии и путем хирургического вмешательства, лучевой терапии или назначения агонистов дофаминергических рецепторов.
Большинство опухолей гипофиза и супраселлярной области являются аденомами. Гипофизарные опухоли редко бывают карциномами. В области турецкого седла могут развиваться также менингиомы, краниофарингиомы, дермоидные кисты, возможно метастатическое поражение.
Аденомы могут быть секретирующими и несекретирующими. Секретирующие аденомы продуцируют гипофизарные гормоны; размер многих из них составляет 10 мм (микроаденомы). Секретирующие аденомы классифицируют по характеру гистологического окрашивания (например, ацидофильные, базофильные, хромофобные [неокрашивающиеся]). Продуцируемый гормон часто связан с этими характеристиками; так, ацидофильные аденомы чрезмерно вырабатывают гормон роста, а базофильные – адренокортикотропный гормон (АКТГ). Чаще всего встречается избыточная продукция пролактина.
Любая опухоль, которая растет за пределы гипофиза, может сдавливать зрительные тракты, включая зрительный перекрест. Опухоли могут также сжать или разрушить ткани гипофиза или гипоталамуса, нарушая выработку гормонов или их секрецию.
Симптомы и признаки опухолей гипофиза
При растущей гипофизарной аденоме головная боль возможна и без повышения ВЧД. Если опухоль сдавливает зрительные тракты, то развиваются такие нарушения зрения, как битемпоральная гемианопсия, односторонняя атрофия зрительного нерва и контрлатеральная гемианопсия (см. картинку высшие зрительные пути - поражения по месту и соответствущие дефекты поля зрения Выше расположенные зрительные пути - локализация поражения и соответствующие дефекты полей зрения ).
У многих пациентов вследствие дефицита или избытка гормонов возникают эндокринопатии
При избыточном синтезе пролактина у женщин развивается аменорея Аменорея Аменорея (отсутствие менструаций) может быть первичной или вторичной. Первичная аменорея – это отсутствие менструации к возрасту 15 лет у пациенток с нормальным ростом и вторичными половыми. Прочитайте дополнительные сведения и галакторея Галакторея Галакторея – это выделение молока у любых мужчин, а также у женщин вне периода грудного вскармливания. Как правило, причиной галактореи является аденома гипофиза, секретирующая пролактин. Диагноз. Прочитайте дополнительные сведения , а у мужчин (реже) – эректильная дисфункция Эректильная дисфункция Эректильная дисфункция – это неспособность достижения или поддержания эрекции, необходимой для полового акта. Большинство случаев эректильной дисфункции связано с сосудистыми, неврологическими. Прочитайте дополнительные сведения и гинекомастия Гинекомастия На фотографии показано увеличенные ткани молочной железы у мужчины. Гинекомастия представляет собою гипертрофию железистой ткани грудных желез у мужчин. Ее необходимо отличать от псевдогинекомастии. Прочитайте дополнительные сведенияЧрезмерная выработка гормона роста до полового созревания приводит к гигантизму Гигантизм и акромегалия Гигантизм и акромегалия – это синдромы, обусловленные избыточной секрецией гормона роста (гиперсоматотропизмом), причиной которой почти всегда является аденома гипофиза. До закрытия эпифиза. Прочитайте дополнительные сведения , после полового созревания – к акромегалии Гигантизм и акромегалия Гигантизм и акромегалия – это синдромы, обусловленные избыточной секрецией гормона роста (гиперсоматотропизмом), причиной которой почти всегда является аденома гипофиза. До закрытия эпифиза. Прочитайте дополнительные сведения
При избыточной экспрессии АКТГ развивается синдром Кушинга Синдром Кушинга Синдром Кушинга – это сочетание клинических симптомов, вызванных хроническим повышением уровня кортизола или родственных ему кортикостероидов в крови. Болезнь Кушинга – это синдром Кушинга. Прочитайте дополнительные сведенияВ редких случаях кровоизлияние в гипофизарную опухоль вызывает апоплексию гипофиза, сопровождающуюся внезапной головной болью, офтальмоплегией и потерей зрения.
Диагностика опухолей гипофиза
МРТ со срезами толщиной 1 мм
Вопрос об исключении опухоли гипофиза ставят при наличии головных болей, характерных расстройств зрения и эндокринопатии. Проводят нейровизуализационные исследования с толщиной среза 1 мм. МРТ более чувствительна, чем КТ, особенно для выявления микроаденом.
Лечение опухолей гипофиза
По возможности, хирургическое удаление опухоли
При эндокринопатиях медикаментозное лечение
Проводят лечение эндокринопатий.
Опухоли гипофиза, секретирующие АКТГ, гормон роста или тиреотропный гормон, хирургически иссекают, как правило, используя транссфеноидальный доступ. Иногда, при хирургически недоступных или многоочаговых опухолях, необходима лучевая терапия.
Дофаминергические агонисты (например, бромокриптин, перголид, каберголин) эффективны при аденомах, продуцирующих пролактин. Как правило, хирургического вмешательства и лучевой терапии не требуется.
Ключевые моменты
Большинство гипофизарных опухолей являются аденомами, которые могут быть секреторными или несекреторными.
Секреторные аденомы могут привести к несахарному диабету, галакторее, синдрому Кушинга или гигантизму, или акромегалии.
Любая гипофизарная опухоль может сжимать участки зрительного нерва, в результате чего возникают битемпоральная гемианопия, односторонняя атрофия зрительного нерва или контралатеральная гемианопия; или она может сжимать гипофизарную ткань, вызывая дефицит гормонов гипофиза.
Оперативное удаление опухолей и лечение эндокринопатий; аденомы, продуцирующие пролактин, могут потребовать только лечение дофаминергическими агонистами.
Авторское право © 2022 Merck & Co., Inc., Rahway, NJ, США и ее аффилированные лица. Все права сохранены.
Аденома гипофиза: лечение, диагностика, симптомы

Гипофиз — это расположенная на основании мозга железа, выделяющая различные гормоны. Гипофиз регулирует рост организма, деятельность других эндокринных желез (щитовидной железы, надпочечников), сексуальные и некоторые другие функции организма.
Что такое аденома гипофиза?
Аденома гипофиза — часто встречающаяся доброкачественная опухоль головного мозга. Возраст больных – от 30 до 80 лет, у детей диагностируется редко. Опухоль гипофиза размером менее 1 см называется микроаденомой, более крупная — макроаденомой. Аденома гипофиза — доброкачественная опухоль, но ввиду своего важного влияния на весь организм, в большинстве случаев она требует квалифицированного лечения.
Причины появления аденомы гипофиза неизвестны. Некоторые опухоли являются частью других эндокринных расстройств и связаны с генетическими изменениями. Они также могут быть унаследованы.
Опухоли могут быть результатом воздействия веществ, вызывающих рак (канцерогенов), а также воздействия ионизирующих излучений, таких как радиация. В некоторых случаях в ДНК могут произойти изменения по абсолютно неизвестным причинам.
Факторы, повышающие шансы появления аденомы гипофиза, включают в себя:
- семейную или личную историю многократной эндокринной неоплазии — наследственного заболевания, повышающего риск развития опухолей гипофиза, гипоталамуса, паращитовидной и поджелудочной железы;
- другие расстройства, распространённые в семье, например, акромегалия (гигантизм)
Лечение
Как и любую опухоль головного мозга, аденому гипофиза в большинстве случаев требуется лечить. Даже небольшие размеры этой опухоли оказывают значительное влияние на организм.
Современные технологии в медицине радикально изменили тактику лечения аденомы гипофиза.
Используются такие методы, как:
- стереотаксическая радиохирургия (роботизированный комплекс КиберНож);
- лучевая терапия IMRT;
- при необходимости, микронейрохирургическое вмешательство.
Лечение аденомы гипофиза на системе КиберНож

Система КиберНож (CyberKnife G4)
При радиохирургии сама аденома гипофиза разрушается бесконтактным способом. КиберНож с высочайшей точностью дистанционно подает в определенный при предварительной диагностике объем опухоли в мозге множественные тонкие пучки излучения. Из пучков формируется зона высокой дозы ионизирующего излучения, соответствующая форме опухоли в мозге пациента.
При таком лечении высокая доза излучения концентрируется точно в объеме опухоли, что приводит к разрушению клеток аденомы гипофиза. При этом здоровые ткани головного мозга, окружающие гипофиз, получают крайне низкую дозу.

План лечения аденомы гипофиза на КиберНоже. Небольшая красная зона в центре головного мозга, показанного в трех проекциях — это та зона, в которой будет сформирована зона высокой дозы ионизирующего излучения.
План лечения рассчитывается мощнейшим программным комплексом и заверяется медицинским физиком, лучевым терапевтом и лечащим врачом.
Кроме эффективности, дополнительным преимуществом лечения аденомы гипофиза на КиберНоже является применимость для большего числа пациентов, независимо от их общего состояния — при радиохирургии отсутствует необходимость наркоза.
Состав и стоимость лечения аденомы гипофиза определяется индивидуально. Тактику лечения разрабатывает междисциплинарный консилиум врачей различных специальностей, в первую очередь, нейрохирурга и радиохирурга. Благодаря такому подходу, который отвечает практике ведущих онкоцентров мира, пациенту предлагается лечение, которое будет максимально эффективным и безопасным.
Лучевая терапия IMRT

Лучевое лечение опухолей IMRT
Лучевая терапия аденомы гипофиза проводится на линейном ускорителе последнего поколения Elekta Synergy Platform. Линейный ускоритель работает по принципу IMRT (моделированная по интенсивности лучевая терапия). Также установка оснащена системой 3D-визуализации (IGRT), позволяющей контролировать точность подачи дозы.
В отличии от более старых моделей линейных ускорителей, такая система позволяет подводить максимально эффектную дозу ионизирующего излучения непосредственно в объем опухоли, не задевая при этом соседствующие с образованием здоровые ткани. Тем самым достигается повышение суммарной эффективной дозы лечения, что позволяет также выполнить лечение за сравнительно меньшее количество сеансов, а значит сократить время лечения.
План лучевого лечения рассчитывается мощнейшим программным комплексом и заверяется медицинским физиком, лучевым терапевтом и лечащим врачом.
Кроме эффективности, дополнительным преимуществом лечения аденомы гипофиза на линейном ускорителе Elekta Synergy с функцей IMRT является применимость для большего числа пациентов, независимо от их общего состояния — при лучевой терапии отсутствует необходимость наркоза.
На каком этапе необходимо начинать лечение аденомы гипофиза?
Факт наличия диагноза “аденома гипофиза” не является однозначно определяющим необходимости лучевой терапии. Лечение каждого конкретного случая этого злокачественного новообразования головного мозга имеет свои особенности, которые учитываются во время междисциплинарного консилиума, который рассматривает данные проведенной диагностики (КТ, МРТ, лабораторные исследования).
Какие еще есть варианты лечения аденомы гипофиза?
Современные методики лучевого лечения позволяют использовать для лечения аденомы гипофиза возможности КиберНожа, Гамма-ножа и линейных ускорителей. Все эти способы доставки высокой дозы ионизирующего излучения, гибельного для клеток опухоли, обеспечивают разрушение опухоли без нарушения целостности биологических тканей.
С технической точки зрения отличается только лечение аденомы гипофиза на Гамма-ноже, при котором требуется жесткое крепление тяжелой металлической рамы к костям черепа, производимое винтами.
Также применение технологии Гамма-Ножа имеет ряд ограничений, связанных с тем, что аденома гипофиза зачастую имеет неправильную форму, отличную от круглой зоны, в которой Гамма-Нож может сформировать зону равномерной дозы излучения. Данная особенность может приводить к недооблучению частей аденомы гипофиза, либо к подаче высокой дозы на сам гипофиз.
По этой причине все чаще мировая онкология применяет лучевую терапию и радиохирургию на КиберНоже для эффективного и безопасного лечения как аденомы гипофиза, так и других опухолей головного мозга.
Симптомы
Симптомы аденомы гипофиза могут различаться весьма незначительно и могут присутствовать не у всех. Это будет зависеть от того, насколько большая опухоль, а расположение опухоли в основании головного мозга может также вызвать определённые признаки.
Диагностика
Рак гипофиза лечение
Мы не первый раз обратились в медлогист для лечения онкологии в Израиле. 2 года назад нам посоветовали обратиться сюда, мы вместе прошли все этапы лечения рака легких. Сейчас каждый 6 месяцев проходим обследование в израильской клинике. Спасибо за постоянную помощь и ответственное отношение, каждый раз поездки проходят гладко и комфортно. Мы чувствуем их искреннее участие в нашей непростой ситуации и искреннюю поддержку.
Все прошло хорошо, хоть и было страшно. В начале очень волновались будет ли кто русскоязычный или нет, но пришла сотрудник компании и помогла нам, провела везде и сопровождала. Доктор проконсультировал, записал на операцию. Остались довольны!
Дистанционная консультация была о том, что делать далее, поскольку диагноз оказался очевидным. Жена получила именно то, что хотела от консультации - понимание, что делать дальше. Так же очень благодарны Артуру, региональному координатору, который все быстро и понятно организовал.
Лечение рака гипофиза
Гипофиз представляет собой железу, находящуюся возле основания головного мозга, соединенную с воронкой гипоталамуса. Она производит различные гормоны, тем самым регулируя общий рост организма, а также работу эндокринных желез. Соответственно, именно на гипофизе завязана деятельность сексуальной и ряда прочих функций организма.
Аденомой гипофиза называют нередко встречающуюся у людей старше 30 лет опухоль данной железы головного мозга. Если гипофизарная опухоль по размеру меньше 1 сантиметра, ее принято классифицировать как микроаденому, а если больше — как макроаденому. Обычно аденома гипофиза является доброкачественной, но из-за своего влияния на организм в целом чаще всего требуется лечение рака и операция по удалению опухоли.
Причины возникновения
Точные причины того, почему появляются гипофизарные опухоли, ученым неизвестны. Иногда они возникают вследствие расстройств эндокринной системы, из-за генетических изменений. В других случаях, это унаследованное заболевание.
Также причиной возникновения опухолей гипоталамуса может быть воздействие на организм канцерогенов или радиации. Но иногда критические изменения в ДНК происходят по совершенно неизвестным причинам.
Как выявить проблему?
Рак гипоталамуса вызывает определенные симптомы, различающиеся по мере величины опухоли, а также ее расположения. В основном, это:
периодическая рвота или тошнота;
утрата периферического зрения;
возникновение несахарного диабета, ведущего к обезвоживанию организма (постоянная жажда);
В трех четвертях случаев, если диагностика показала наличие опухоли гипофиза, израильские доктора рекомендуют хирургическую операцию, поскольку такие образования являются гормонопродуцирующими. Если опухоль гипофиза становится злокачественная, она приводит к нарушению функционирования различных функций организма.
Лечение и где его провести
Сегодня считается, что лучшее лечение рака гипофиза практикуется в Израиле. Какая именно тактика лечения будет выбрана, потребуется ли удаление опухоли гипофиза, а также цена терапии зависят от предварительной диагностики и стадии рака. В основном прибегают к следующим методам:
хирургическая операция (удаление);
Для пациентов во всех районных центрах Украины BK Medical Logistic предлагает самые демократичные цены медицинской логистики (предварительный забор анализов, которые отправляются в лучшие клиники Израиля), а также последующее лечение в израильских клиниках, в случае необходимости. Так получится избежать врачебных ошибок, к сожалению, характерных для современной медицины Украины.
Рак гипофиза лечение узнать подробную иформацию этапов лечения болезни в Израиле. Обратившись в Medlogist, составьте полный план по лечению, израильских докторов, и стоимость процедур, по Вашему диагнозу. Рак гипофиза лечение и бесплатная консультация докторов по подобным болезням только у Нас.
Рак гипофиза , цена
| Название процедуры | Цены (USD)* |
| Консультация специалиста | Бесплатно |
| Онлайн консультация онколога | от 200 |
| Консультация онколога | от 500 |
| ПЭТ-КТ | от 1000 |
| Рак гипофиза лечение | от 2500 |
*Для того чтоб узнать полную цену лечения в Израиле, оставьте заявку и наши специалисты уточнят все детали.
Читайте также:
