Опухоли нижней челюсти
Добавил пользователь Евгений Кузнецов Обновлено: 13.12.2025
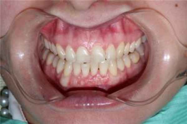
Опухолями называются новообразования, различные по гистогенезу, характеру, течению, симптоматике. Формирование опухоли челюсти может быть вызвано разрастанием зубных зачатков, костной, мягкой, соединительной тканей. Формироваться могут и у детей, и у взрослых, независимо от возраста. Если челюсть опухла, к врачу надо идти незамедлительно. Это не только эстетический дефект. Появление новообразования влечет за собой развитие нарушений разной степени сложности.
Доброкачественные новообразования
Симптомы опухолей челюсти отличаются в зависимости от вида новообразования:
Амелобластома. Чаще развивается внизу, локализуясь в углу или теле челюсти. Растет внутрь кости, может поражать десны и мягкие ткани. Так как в первое время амелобластома развивается бессимптомно, часто пациент обращается к врачу после того, как образование увеличилось в размере, челюсть опухла снизу и началась ее деформация. Амелобластома склонна к рецидивам, способна спровоцировать развитие рака. По похожему сценарию еще два вида – одонтоамелобластома и амелобластическая фиброма. Обычно они формируются в возрасте 20-40 лет.
Одонтома. В группе риска находятся дети и подростки до 15 лет. В большинстве случаев болезнь развивается бессимптомно и проходит самопроизвольно. Иногда опухоль достигает больших размеров. Такое новообразование склонно к формированию свищей, вызывает сильную деформацию. Для детского возраста характерно появление еще одного опухолевого образования – одонтогенной фибромы. Она имеет бессимптомное течение, но иногда может сопровождаться болезненными ощущениями ноющего характера. Реже встречается ретенция зубов, вызванная разрастанием ткани.
Цементома. Развивается в области нижних моляров и премоляров. Также отличается отсутствием ярко выраженной симптоматики, но вызывает боль при пальпации. Цементома имеет редкую наследственную форму, при которой развивается огромная множественная опухоль.
Все перечисленные виды относятся к одонтогенным, то есть развиваются из зубообразующих тканей. Доброкачественные новообразования, формирующиеся из костной ткани, относятся к группе неодонтогенных:
Остеома. Остеома нижней челюсти разрастается внутрь кости или имеет поверхностный рост, на верхней распространяется в полость носа, глазницы. Такое разрастание – причина функциональных нарушений органов. Визуально остеома проявляется сильной асимметрией лица. Сходно протекает остеоид-остеома, но она характеризуется сильной болью, увеличивающейся во время жевания и в ночное время.
Остеобластокластома челюсти (гигантоклеточная опухоль). Чаще развивается у молодых людей. На начальных этапах характеризуется болью. По мере разрастания появляется подвижность зубов, лицо становится несимметричным. Мягкие ткани над остеокластомой челюсти покрываются изъявлениями и свищами. На поздних этапах может сопровождаться общим ухудшением состояния, лихорадкой.
Гемангиома. Обычно развивается в комплексе с опухолями полости рта и мягких тканей. Сопровождается кровоточивостью десен, подвижностью зубов. Слизистые оболочки приобретают синюшный оттенок.
Злокачественные новообразования
Симптомы рака челюсти отличаются в зависимости от вида, но почти все злокачественные образования характеризуются сильной иррадиирующей болью, склонны к быстрому разрастанию на близлежащие ткани. К злокачественным относятся:
Карцинома. При развитии вверху поражает носовую полость, глазницу. Пациенты жалуются на частые сильные головные боли, постоянное кровотечение из носа, слезотечение, проблемы с дыханием. В некоторых случаях рак может поражать троичный нерв, приводя к развитию оталгии. Карцинома нижней челюсти сопровождается изъявлениями и кровоточивостью мягких тканей, могут возникать сложности со смыканием/размыканием челюстей. Иногда злокачественная опухоль под челюстью делает нормальное смыкание зубных рядов практически невозможным.
Остеогенная саркома. Опухоль, характеризующаяся стремительным ростом. Она очень быстро поражает мягкие ткани, метастазирует в другие органы. Одним из симптомов рака челюсти является сильная, почти нестерпимая боль.
Злокачественные опухоли отличаются сложным лечением и часто имеют неутешительный прогноз. Очень важно поставить правильный диагноз как можно раньше, так как многие доброкачественные образования могут быть причиной рака челюсти.
Если у вас возникла проблема, похожая на описанную в данной статье, обязательно обратитесь к нашим специалистам. Не ставьте диагноз самостоятельно!
Почему стоит позвонить нам сейчас:
Опухоль челюсти
Доброкачественные новообразования можно разделить на:
- Кистозные новообразования, которые в свою очередь можно подразделить на::
- Невоспалительные одонтогенные кисты: (кисты десны, пародонтальные кисты, зубочелюстные кисты, одонтогенные кератоцисты, кальцифицирующие одонтогенные кисты).
- Воспалительные одонтогенные кисты: (корешковые кисты, остаточные кисты, латеральные воспалительные кисты, парадентальные кисты).
- Неодонтогенные кисты: (назопалатиновые кисты, среднечелюстные кисты, носоальвеолярные кисты).
- Псевдокисты: (киста одиночной кости, киста аневризмы, киста Стафне).
Среди одонтогенных опухолей челюсти и челюсти:
a) Опухоли с одонтогенным эпителием без одонтогенной эктомезенхимы (амелобластома, плоскоклеточная одонтогенная опухоль, кальцифицированная эпителиальная одонтогенная опухоль, одонтогенная прозрачная клеточная опухоль).
b) Опухоль с одонтогенным эпителием и одонтогенной эктомезенхимой (ameloblastic фибромы, fibrodentinoma ameloblastic, osteoameloblastoma, fibroodontoma ameloblastic, adenomatoid одонтогенного опухоли, накипью одонтогенной кисту, одонтомой соединением, комплекс одонтомы).
c) Опухоли с одонтогенной эктомезенхимой с одонтогенным эпителием или без него (одонтогенная фиброма, одонтогенная миксома, цементобластома, цементирующая фиброма).
Среди не одонтогенных опухолей челюсти лица:
a) доброкачественные эпителиальные опухоли (папиллома и инвертированная папиллома)
b) нейроэктодермальные опухоли (шваннома или нейрилеммома, нейрофиброма)
c) доброкачественные опухоли соединительной ткани (оссифицирующая фиброма, десмопластическая фиброма, остеобластома, остеоидная остеома, остеома, хондрома, липома, лейомиома, рабдомиома, гемангиома, лимфангиома).
Среди лицевых опухолей нижняя челюсть или верхняя челюсть могут быть злокачественными:
РАК С ЧЕЛЮСТЬЮ И ЧЕЛЮСТЯМИ
Опухоли лица нижней челюсти и верхней челюсти представляют собой гетерогенную группу поражений, и каждый имеет свои особенности.
Симптомы опухоли челюсти и челюсти.
Опухоли челюсти или челюсти могут быть абсолютно бессимптомными или могут быть связаны с типичными симптомами отека и отека.
Опухоли челюсти или челюсти не проявляют болезненных симптомов.
Иногда эти опухоли могут привести к измененной чувствительности тройничного нерва или самого тройничного нерва и могут привести к изменениям положения корней зуба.
Диагностика челюсти и рака челюсти
Любое повреждение нижней челюсти или верхнечелюстных костей, которое должно быть обнаружено при рентгенологическом исследовании, должно быть тщательно изучено. Большинство из этих поражений локализованы на уровне вершин зуба и часто затрудняют интерпретацию.
Основное обследование для выявления этих поражений — рентгеновская или OPT RX ортопантомография.
Опухоли челюсти или челюсти выглядят как более или менее округлые образования, которые могут быть рентгеноконтрастными, рентгенопрозрачными или смешанными.
КТ и МРТ позволяют нам лучше понять анатомические границы, в пределах которых распространяется болезнь. Диагноз достоверности опухолей челюсти и челюсти можно поставить только с помощью биопсии.
Стадирование в соответствии с классификацией TNM (например, для опухолей рта) должно выполняться как для опухоли челюсти, так и для опухоли челюсти, если они попадают в злокачественные гистотипы.
Услуги и цены
Рак нижней челюсти – первичная или вторичная (метастатическая) злокачественная опухоль, поражающая нижнечелюстную кость.
Диагностика рака нижней челюсти включает сбор жалоб, составление анамнеза заболевания, физикальное обследование, рентгенографию.
Решающими при постановке диагноза являются результаты цитологического исследования. При вторичном раке нижней челюсти на слизистой оболочке альвеолярного отростка в участке перехода неподвижной слизистой в подвижную выявляют кратерообразную язвенную поверхность с плотным дном, покрытым серым налетом, и рваными изъеденными инфильтрированными краями. При пальпации отмечается болезненность, кровоточивость.
Рак нижней челюсти – злокачественное новообразование, характеризующееся инфильтративным типом роста, ранним метастазированием. Больные указывают на появление острой приступообразной боли, иррадиирующей по ходу нижнечелюстного нерва, парестезию нижней губы и ментальной области, наличие патологической подвижности интактных зубов. Диагностика рака нижней челюсти включает проведение клинико-рентгенологического и цитологического исследований. Лечение рака нижней челюсти состоит из пред- и послеоперационной телегамматерапии, радикальной резекции пораженной части кости. При выявлении метастазов выполняют лимфаденэктомию.
Рак нижней челюсти диагностируют реже, чем верхней. На один случай рака нижней челюсти приходится один случай саркомы той же локализации. Первичный опухолевый процесс выявляют преимущественно у мужчин после 40-45 лет. Чаще злокачественное новообразование локализуется в участке моляров. Метастатический рак нижней челюсти встречается преимущественно у женщин вследствие метастазирования опухолей молочной железы, желудка. Гистогенетически рак нижней челюсти в подавляющем большинстве случаев является плоскоклеточным ороговевающим.
Причины рака нижней челюсти
Основными причинами рака нижней челюсти являются облигатные и факультативные предраки слизистой оболочки, выстилающей альвеолярный отросток. Злокачественное поражение костной ткани развивается в результате малигнизации папилломатоза, эрозивной или веррукозной формы лейкоплакии. При длительно существующей декубитальной язве слизистой, появившейся вследствие хронической травмы острыми краями разрушенных зубов, также высоки риски перехода воспалительного процесса в опухолевый.
Рак нижней челюсти может возникнуть и в результате прорастания в кость злокачественного новообразования со смежных анатомических областей. На костную ткань опухолевые клетки могут распространиться из дна полости рта, ретромолярного участка. В редких случаях в стоматологию обращаются пациенты с первичным раком нижней челюсти, развивающемся непосредственно в кости из остатков зубного зачатка или эпителиальных клеток оболочки одонтогенной кисты.
Классификация и симптомы рака нижней челюсти
По распространенности опухоли различают следующие стадии рака нижней челюсти:
- T1 – злокачественное новообразование локализуется в пределах одной анатомической области.
- T2 – рак нижней челюсти распространяется на два смежных участка.
- T3 – опухоль выходит за пределы двух анатомических областей.
- T4 – в опухолевый процесс вовлекается весь орган.
Диагностика рака нижней челюсти
Диагностика рака нижней челюсти включает сбор жалоб, составление анамнеза заболевания, физикальное обследование, рентгенографию. Решающими при постановке диагноза являются результаты цитологического исследования. При вторичном раке нижней челюсти на слизистой оболочке альвеолярного отростка в участке перехода неподвижной слизистой в подвижную выявляют кратерообразную язвенную поверхность с плотным дном, покрытым серым налетом, и рваными изъеденными инфильтрированными краями. При пальпации отмечается болезненность, кровоточивость.
Для цитологического исследования врач-стоматолог берет соскоб с язвенной поверхности. При центральном раке пункционно взять материал для исследования невозможно в связи с высокой плотностью костной ткани нижней челюсти. В этом случае показана трепанация кости. При выявлении увеличенных лимфоузлов выполняют их пунктирование с последующим цитологическим исследованием содержимого. Для диагностики рака нижней челюсти используют и радиоизотопный метод, который основан на способности злокачественного новообразования накапливать изотоп p32.
Лечение рака нижней челюсти
Рак нижней челюсти требует комбинированного лечения. На предоперационном этапе выполняют ряд ортопедических мероприятий (снятие оттисков, изготовление конструкций для фиксации в прежнем положении оставшейся части челюсти). Подвижные зубы не удаляют в связи с высоким риском лимфогенной диссеминации раковых клеток. Далее следует курс гамма-терапии, через 3 недели после которого проводят операцию. При поверхностных поражениях альвеолярного отростка выполняют сквозную резекцию, отступя по обе стороны от патологического очага.
Если рак нижней челюсти локализуется посредине бокового отдела, удаляют участок кости от ментальной области до нижнечелюстного отверстия. При вовлечении в опухолевый процесс ангулярной зоны приступают к проведению резекции половины нижнечелюстной кости. При поражении подбородка удалению подлежит нижнечелюстная кость от угла до угла. В случае метастазирования рака нижней челюсти в регионарные лимфоузлы показано радикальное иссечение лимфатического аппарата вместе с подкожной клетчаткой, добавочным нервом, кивательной мышцей, подчелюстной железой.
При распространении рака нижней челюсти на язык, небо, приушную слюнную железу и глотку удалению подлежат все ткани, пораженные опухолевым процессом. Гамма-терапию проводят и в послеоперационном периоде. Реконструктивные операции, направленные на замещение дефектов кости, показано выполнять не раньше, чем через год после оперативного вмешательства. В случае диагностирования неоперабельной злокачественной опухоли назначают курс паллиативной лучевой терапии. К химиотерапии клетки плоскоклеточного ороговевающего рака нечувствительны.
Рак челюстей
«Рак верхней челюсти диагностируется немного чаще, чем рак нижней. Опаснее всего то, что многие пациенты не до конца осознают всю серьезность ситуации из-за размытых симптомов при ранних стадиях новообразований челюсти. Проведение диагностики и лечение уже на последних стадиях рака иногда дает не такой благоприятный прогноз. Потому обращайте внимание на любой признак заболевания, тогда с помощью высокоточного облучения опухоли при томотерапии мы сможем победить рак на начальном этапе».
Что такое рак челюстей?
Рак челюстей — новообразование, которое формируется из эпителиальной ткани. Опухоль злокачественного характера может локализоваться на верхней или нижней челюсти.
Рак нижней челюсти является не распространенным заболеванием среди общего числа лицевых опухолей, данный вид онкологии составляет около 17%. Согласно медицинской статистике рак челюсти регистрируется примерно в 2% случаев. В одинаковом процентном соотношении онкологическое заболевание диагностируется у особей мужского и женского пола. Преимущественный возраст поражения пациентов — после 45 лет. Но не исключены случаи развития рака челюстно-лицевой области у младенцев, детей и подростков. Клиническая картина и характер симптомов зависит от места локализации опухоли.
Классификация типов рака челюстей:
- Первичный. Одиночное новообразование, первично диагностируется, развивается и локализуется на верхней или нижней челюсти. К злокачественным новообразованиям этого типа относят остеосаркому, плоскоклеточный ороговевающий рак челюсти.
- Вторичный. Развитие опухоли на челюсти является метастатическим поражением при раке соседних тканей и органов. Наиболее часто метастазы поражают челюсть при раке шеи, головы и гортани. Встречаются случаи, когда причиной развития метастаз в челюсти является опухолевый процесс в молочной железе и почках.
![рак челюсти]()
Виды рака верхней и нижней челюсти
Совокупность видов включает в себя ряд доброкачественных и злокачественных новообразований.
Новообразования доброкачественного характера:
- Амелобластома. Наиболее часто поражает слизистую нижней челюсти, встречается преимущественно в возрасте до 35 лет.
- Одонтома. Встречается у пациентов до 15 лет. При прорезывании постоянных зубов может стать причиной диастемы.
- Остеома. Новообразование локализуется преимущественно на нижней челюсти, нарушает нормальное функционирование и подвижность челюсти.
- Гемангиома. Является распространенным процессом в полости рта, редко развивается конкретно в области челюсти.
Злокачественные новообразования челюсти:
- Карцинома. Расположение новообразования на верхней челюсти склонно к распространению на соседние ткани носа, глазницы. В зависимости от степени поражения тканей возникает определенная симптоматика.
- Остеогенные саркомы. Злокачественные опухоли, в одинаковом соотношении развиваются на верхней и нижней челюсти. Отличаются быстрым и агрессивным ростом, склонны к развитию метастазов в отдаленных органах (легкие, почки, головной мозг).
Симптомы рака нижних и верхних челюстей
Развитие симптомов онкологического поражения зависит от особенностей места локализации опухоли. Исходя из разнообразия симптомов, диагностировать болезнь могут стоматолог, офтальмолог, отоларинголог и хирург-онколог.
Признаки рака челюстей:
- Заложенность носа (при формировании опухоли из эпителия гайморового синуса).
- Сложности с дыханием через нос.
- Возникновение слизистых выделений со сгустками крови.
- Сильные головные боли (дискомфорт практически не устраняется после приема .обезболивающих препаратов).
- Онемение кожи в области глаз.
- Расшатывание зубов.
- Возникновение слезотечения из глаз.
- Сильная зубная боль.
- Затруднение с мимикой.
- Неприятный запах изо рта.
- Резкая потеря веса.
- Потеря аппетита.
- Развитие ран в ротовой полости, которые кровоточат.
- Проблемы со смыканием челюстей.
- Развитие экзофтальма (встречается на поздней стадии развития рака).
- Признаки неврологического расстройства.
Развитие опухолей на слизистой ткани челюсти формирует крупное новообразование, что приводит к заметным дефектам и асимметрии лица.
Причины развития рака челюстей
На развитие первичного типа рака челюстей влияет:
- Хронический воспалительный процесс слизистой верхнечелюстной пазухи.
- Механические повреждения слизистой оболочки.
- Длительное курение.
- Употребление жевательного табака.
- Неблагоприятные условия труда (постоянный контакт с канцерогенными химическими веществами).
- Проживание в условиях неблагоприятной экологии.
- Отсутствие сбалансированного питания (употребление слишком острой, жирной и жареной пищи).
- Метастатическое поражение верхней и нижней челюсти вследствие развития рака в других органах.
Диагностика рака челюстей
Рак верхней челюсти редко диагностируется именно врачом-онкологом. Как правило, первыми заподозрить онкологический процесс могут стоматолог, к которому обращаются при боли в зубах, офтальмолог (с жалобами на падение зрения) или отоларинголог. После консультации профессионалов назначается ряд диагностических процедур.
Методы, которые используются при диагностике рака челюстей:
- Рентгенография. На рентгене видны изменения тканей, возникает возможность оценить степень дефектов. Для точности процедура может проводиться в разных проекциях.
- Риноскопия. Исследование носовой полости. Назначается врачом для определения степени поражения и распространения опухолевого процесса.
- Сцинтиграфия. Метод радионуклидного исследования, помогает определить степень поражения костной ткани и обнаружить отдаленные метастазы.
- Компьютерная томография. Один из наиболее информативных методов исследования при раке челюсти. Послойное сканирование исследуемой области в трехмерной проекции позволяет точно определить наличие, месторасположение и распространение опухоли. Также можно проводить диагностику челюстей на МРТ.
- Биопсия. Взятие образцов тканей проводится с целью окончательного подтверждения или опровержения диагноза. Для биопсии узла используют тонкую иглу. Исследование является болезненной процедурой и проводится под местной анестезией.
![рак челюсти]()
Лечение рака челюстей
Лечение рака челюстей предусматривает комбинированную терапию. Как правило, могут быть использованы традиционные методы лечения: хирургическое, химиотерапия и лучевая терапия. Метод или комплекс способов лечения разрабатываются командой врачей в зависимости от степени поражения, стадии рака и общего состояния здоровья пациента.
Хирургические лечение предусматривает частичное удаление тканей, пораженных опухолевым процессом или операцию. В зависимости от количества удаленного материала в стоматологии могут быть изготовлены протезы. При распространении и прорастании онкологического процесса в кости черепа назначается терапия с применением гамма лучей. Оперативное вмешательство может проводится на любой стадии, особенно эффективно в комплексе с лучевой терапией или химиотерапией.
Химиотерапия — метод лечения рака челюстей, при котором показан прием лекарственных препаратов, замедляющих рост раковых клеток. Количество курсов химиотерапии и расчет дозировки препаратов проводится опытными врачами в зависимости от результатов операции, стадии и степени поражения.
Инновационные решения в TomoClinic
В каждом индивидуальном случае собирается консилиум специалистов смежных специальностей для совместной разработки плана лечения. За счет инновационной системы TomoTherapy HD, диагностического комплекса Toshiba Medical Systems и линейного ускорителя Elekta Synergy удается добиться положительных результатов лечения и благоприятного прогноза для пациента. На сайте можно ознакомиться со всей интересующей информацией, задать вопрос и прочитать отзывы наших пациентов.
Лечение лучевой терапией
Лучевая терапия — современный метод лечения рака челюстей. Лучевая терапия может быть назначена как самостоятельный способ лечения, так и в комплексе с оперативным вмешательством. Пучки ионизирующего излучения четко направляются на место локализации опухоли, разрушая раковые клетки. Прицельное воздействие позволяет защитить соседние ткани от повреждения. Именно лучевая терапия может назначаться пациентам с неоперабельными опухолями в качестве паллиативной терапии при раке челюстей.
Осложнения при раке верхних и нижних челюстей
Осложнения при раке челюстей зависят от степени распространения опухолевого процесса. Основным является экзофтальм — патологическое выпячивание одного или обоих глазных яблок. Тяжелые последствия возникают при операции во время лечения рака. Удаление большого объема костной ткани челюсти требует реконструктивной операции для возвращения пациента к нормальному образу жизни.
При профилактике рака челюстей следует отказаться от:
- Курения и жевания табака.
- Злоупотребления спиртными напитками (спирт оказывает раздражающее воздействие на слизистую оболочку, а также имеет в составе токсические вещества).
Что необходимо выполнять в качестве профилактики:
- Поддерживать сбалансированное питание. Вредные и слишком пряные продукты оказывают раздражение слизистой и могут стать причиной развития рака челюсти. Также отказ от жирного, жареного и острого улучшит здоровье и общее состояние пациента, поможет избавиться от лишнего веса.
- Профилактические осмотры. Каждые полгода необходимо проходить профилактическое обследование у врача. Посещение стоматолога, отоларинголога и офтальмолога поможет своевременно обнаружить злокачественный процесс и начать лечение.
- Иммунотерапия. По согласованию с врачом рекомендовано провести иммунограмму, чтобы определить иммунные нарушения и начать восстановительную терапию.
- Активный образ жизни и положительные эмоции. Физические занятия благотворительно влияют на здоровье пациента, защищая от развития опасных заболеваний.
- Гигиена полости рта. Важно не только регулярно очищать зубы и ротовую полость, а также правильно выполнять манипуляции. Постоянные механические повреждения слизистой оболочки щек и десен могут привести к развитию рака челюстей.
Цена лечения рака челюстей в TomoClinic
Цена лечения в медицинском центре TomoClinic зависит от стадии, формы и типа болезни. Также на стоимость терапии влияет количество проведенных курсов лечения.
В клинике работают специалисты с многолетним опытом лечения пациентов с онкологией. Для борьбы с раком челюстей используется химиотерапия и лучевая терапия. Благодаря современному медицинскому оборудованию пучки ионизирующего излучения прицельно воздействуют на зону поражения и не повреждают окружающие ткани.
Какие есть методы лечения рака челюстей?
Для лечения рака челюстей применяются традиционные методы, среди которых: хирургическое вмешательство, химиотерапия и лучевая терапия. Особенно эффективным является комбинированное лечение. Выбор подходящего метода лечения определяется лечащим врачом после комплексного обследования.
Протоколы лечения
Для ознакомления с международными протоколами лечения от организаций ESMO и NCCN вы можете пройти по ссылке (зарегистрироваться, скачать PDF-файл) и узнать более детальную информацию о терапии рака челюсти:
Какие стадии рака челюстей?
В медицине выделяют 4 стадии рака челюстей:
- Первая стадия. Наблюдается поражение одной части челюсти, изменения кости отсутствуют, метастазы не наблюдаются.
- Вторая стадия. Поражены обе части органа, наблюдается одиночный метастаз.
- Третья стадия рака. Опухолевый процесс выходит за грани двух частей органа, обнаруживаются более 2 метастазов.
- Четвертая стадия. Обнаруживаются соединенные метастазами ткани.
Первый визит в TomoClinic
Выбрав наш центр для диагностики, уточнения или подтверждения диагноза либо уже целенаправленно готовы к лечению, мы предоставим вам всю необходимую информацию, чтобы первый визит к нам прошел максимально результативно.
Комплексная консультация
Мы дадим вам несколько советов, чтобы вы получили максимальную отдачу от приема и консультации специалиста и точно знали, что делать дальше. Только вместе, в партнерстве с вами, мы сможем успешно бороться болезнью.
Обращайтесь в онкологический центр TomoClinic для лечения рака челюстей, задавайте свои вопросы нашим специалистам по бесплатному номеру 0 (800) 33-45-69. Победим рак вместе!
Раздел 13 опухоли и опухолеподобные образования челюстно-лицевой области
019. Какие опухоли и опухолеподобные образования имеют симптом "пергаментного хруста"?
а) одонтогенные воспалительные кисты челюстей
б) кистозная форма остеобластокластомы
г) все перечисленное
020. Лучшим методом лечения зубосодержащих кист у детей является
а) пломбирование за верхушку "причинных" зубов
б) пломбирование зуба с резекцией верхушек корня
в) цистомия без удаления постоянных зубов из полости кисты
г) цистомия с удалением постоянных зубов из полости кисты
д) любой из перечисленных
021. Какие молочные зубы наиболее часто являются причиной развития корневых воспалительных кист у детей?
022. Показанием к вскрытию гематомы прорезывания (кисты прорезывания) являются
а) интенсивность окраски
б) величина гематомы
в) локализация в области определенного зуба
г) воспаление гематомы
д) всегда требуется вскрытие
023. Укажите отличительный признак, позволяющий поставить диагноз "зубосодержащая киста" тела нижней челюсти соответственно в 85,84
а) 85,84 разрушение или лечение по поводу периодонтита
б) выбухание вестибулярной стороны нижней челюсти
в) наличие деформации и "крипитация" костной ткани
г) гноетечение из свищевого хода соответственно 85 по переходной складке
д) данные рентгенограммы нижней челюсти в боковой проекции
024. Обязательным видом дополнительного исследования для постановки диагноза кисты челюсти является
б) клинический анализ крови
в) исследование кистовой жидкости
г) рентгенография
025. Наиболее постоянным клиническим симптомом одонтогенной кисты челюсти является
а) острый периостит
б) вздутие (деформация) челюсти
г) отсутствие зубов в зоне процесса
026. Укажите наиболее целесообразный и доступный метод рентгенологического обследования при радикулярной кисте верхней челюсти в области 25,26
а) внутриротовая рентгенограмма
б) обзорная рентгенограмма придаточных пазух
в) контрастная рентгенография
г) рентгенограмма "вприкус"
027. Ребенок 9 лет обратился с жалобами на плотную припухлость в области нижней челюсти слева. Заметил ее месяц назад. Лечение не проводилось. Имеется незначительная асимметрия лица за счет припухлости в области нижней челюсти слева. Определяются увеличенные, подвижные, безболезненные подчелюстные лимфатические узлы. При пальпации переходной складки в области 73,36 определяется плотное безболезненное вздутие кости, в области 74,75 - участок флуктуации. 74,75 - запломбированы. Зубы имеют розоватый цвет, подвижны, перкуссия безболезненная, в 74 - кариозная полость. Предполагаемый диагноз
а) обострение хронического периодонтита 74,75
б) острый периостит нижней челюсти
в) хронический продуктивный периостит нижней челюсти
г) зубосодержащая киста
д) радикулярная киста в области 74,75
028. Ребенок 9 лет обратился с жалобами на плотную припухлость в области нижней челюсти слева. Заметил ее месяц назад. Лечение не проводилось. Имеется незначительная асимметрия лица за счет припухлости в области нижней челюсти слева. Определяются увеличенные, подвижные, безболезненные подчелюстные лимфатические узлы. При пальпации переходной складки в области 73,36 определяется плотное безболезненное вздутие кости, в области 74,75 - участок флуктуации. 74,75 - запломбированы. Зубы имеют розоватый цвет, подвижны, перкуссия безболезненная, в 74 - кариозная полость. Для дифференциальной диагностики между перечисленных выше заболеваний необходим дополнительное исследование
б) рентгенография
в) перкуссия зубов
г) пальпация переходной складки
д) клинический анализ крови
029. Ребенок 9 лет обратился с жалобами на плотную припухлость в области нижней челюсти слева. Заметил ее месяц назад. Лечение не проводилось. Имеется незначительная асимметрия лица за счет припухлости в области нижней челюсти слева. Определяются увеличенные, подвижные, безболезненные подчелюстные лимфатические узлы. При пальпации переходной складки в области 73,36 определяется плотное безболезненное вздутие кости, в области 74,75 - участок флуктуации. 74,75 - запломбированы. Зубы имеют розоватый цвет, подвижны, перкуссия безболезненная, в 74 - кариозная полость. Обязательным в лечении у данного больного при любом из перечисленных выше диагнозов будет
а) противовоспалительная лекарственная терапия
б) удаление 74,75
в) физиотерапевтическое лечение
г) лечение 74,75,36
д) удаление 74,75,36
030. Ребенок 9 лет обратился с жалобами на плотную припухлость в области нижней челюсти слева. Заметил ее месяц назад. Лечение не проводилось. Имеется незначительная асимметрия лица за счет припухлости в области нижней челюсти слева. Определяются увеличенные, подвижные, безболезненные подчелюстные лимфатические узлы. При пальпации переходной складки в области 73,36 определяется плотное безболезненное вздутие кости, в области 74,75 - участок флуктуации. 74,75 - запломбированы. Зубы имеют розоватый цвет, подвижны, перкуссия безболезненная, в 74 - кариозная полость. Радиальному хирургическому вмешательству должно предшествовать
в) удаление 74,75
г) противовоспалительная терапия
д) санация полости рта
031. Ребенок 9 лет обратился с жалобами на плотную припухлость в области нижней челюсти слева. Заметил ее месяц назад. Лечение не проводилось. Имеется незначительная асимметрия лица за счет припухлости в области нижней челюсти слева. Определяются увеличенные, подвижные, безболезненные подчелюстные лимфатические узлы. При пальпации переходной складки в области 73,36 определяется плотное безболезненное вздутие кости, в области 74,75 - участок флуктуации. 74,75 - запломбированы. Зубы имеют розоватый цвет, подвижны, перкуссия безболезненная, в 74 - кариозная полость. Методом выбора у данного больного является
а) пломбирование за верхушку 74,75
б) цистотомия
г) удаление 74,75
д) цистэктомия с трансплантацией зачатков зубов
032. Ребенок 14 лет жалуется на утолщение тела нижней челюсти слева. Деформацию заметил 4 месяца назад; отмечает ее значительное увеличение за этот период. В последнюю неделю появились ноющие боли в зубах этой половины челюсти, это и заставило больного обратиться к врачу. Имеется асимметрия лица за счет вздутия нижней челюсти слева. Подчелюстные лимфатические узлы слева несколько увеличены, подвижны, безболезненны. При пальпации нижней челюсти снаружи и со стороны преддверия полости рта определяется увеличенная в объеме кость от 33до 37. Поверхность ее гладкая, безболезненная. Слизистая альвеолярного отростка имеет выраженный сосудистый рисунок. 36 - запломбирован по поводу среднего кариеса. 34,35 - подвижность 1 степени. Предполагаемый диагноз
а) продуктивный остеомиелит
б) новообразование
в) одонтогенная киста
г) острый одонтогенный периостит
д) порок развития челюсти
033. Ребенок 14 лет жалуется на утолщение тела нижней челюсти слева. Деформацию заметил 4 месяца назад; отмечает ее значительное увеличение за этот период. В последнюю неделю появились ноющие боли в зубах этой половины челюсти, это и заставило больного обратиться к врачу. Имеется асимметрия лица за счет вздутия нижней челюсти слева. Подчелюстные лимфатические узлы слева несколько увеличены, подвижны, безболезненны. При пальпации нижней челюсти снаружи и со стороны преддверия полости рта определяется увеличенная в объеме кость от 33до 37. Поверхность ее гладкая, безболезненная. Слизистая альвеолярного отростка имеет выраженный сосудистый рисунок. 36 - запломбирован по поводу среднего кариеса. 34,35 - подвижность 1 степени. Наиболее информативным методом исследования для дифференциальной диагностики предложенных заболеваний является
б) рентгенография
в) клинический анализ крови
г) определение степени подвижности зубов
д) данные анамнеза (динамика процесса)
034. Самым надежным методом исследования для постановки диагноза является
в) данные анамнеза (динамика процесса)
д) клинический анализ крови
035. Для этого больного нужно использовать следующий метод лечения
а) консервативная лекарственная терапия
б) физиотерапевтическое лечение
в) удаление подвижных зубов
г) хирургическое лечение в условиях поликлиники
д) хирургическое лечение в условиях стационара
Все материалы, находящиеся на сайте, охраняются в соответствии с законодательством, в том числе, об авторском праве и смежных правах
Читайте также:


