Опухоли вилочковой железы. Тимомы.
Добавил пользователь Владимир З. Обновлено: 27.01.2026
При этом заболевании метастазы в основном распространяются в грудной клетке: плевре (оболочка, плотно облегающая легкие и стенку грудной полости), перикарде (наружная соединительнотканная оболочка сердца), диафрагме, которые случаются редко, но в некоторых случаях случаются рецидивы спустя более 10 лет после хирургического лечения.
На долю данного заболевания приходится 20–25 % от всех опухолей средостения. Пик заболеваемости находится между 35 и 70 годами.
По системе Всемирной Организации Здравоохранения выделяют шесть типов тимом: А, АВ, В1, В2, В3, С. По мере прогрессирования от А к С отмечается ухудшение прогноза, снижение выживаемости.
В 30 % случаев заболевание протекает бессимптомно, и часто случайно обнаруживаются при рентгенографическом исследовании. Около 40 % пациентов предъявляют жалобы на болевой синдром в области грудной клетки, кашель, связанные с локальным воздействием опухоли. Главной особенностью этой опухоли является связь с аутоиммунной патологией, иммунодефицит и аутоиммунные реакции организма. Самым частым и тяжелым проявлением аутоиммунных нарушений является миастенический синдром (заболевание нервной и мышечной системы, которое характеризуется слабостью и патологической утомляемостью поперечно-полосатых мышц), а также в редких случаях анемией. Часто тимомы сочетаются с другими иммунными расстройствами, такими как лейкойз, лимфома, ревматоидный артрит.
Пациенты с тимомами имеют повышенный риск развития дополнительных злокачественных новообразований различных локализаций.
Мультиспиральная компьютерная томография (МСКТ) с контрастированием.
Рентгенограмма органов грудной клетки.
Магнитно-резонансная томография (МРТ).
Позитронно-эмиссионная томография, совмещенной с КТ (ПЭТ-КТ).
Тонкоигольная аспирационная биопсия (ТАБ) –метод морфологической верификации новообразований средостения.
Неоадъювантная терапия по схеме CAP (циклофосфамид, доксорубицин, цисплатин.
- Лучевая терапия СОД 50 Гр.
- Хирургические методы лечения, включающие в себя малоинвазивные торакоскопические операции на вилочковой железе.
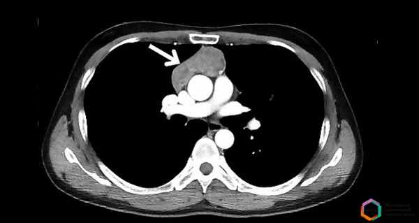
Клинический случай пациента МКНЦ.
Мужчина 38 лет обратился в МКНЦ с жалобами на слабость в руках. Первые симптомы появились еще в 2017 году, но после ухудшения состояния в 2018 году он обратился в наш Центр. При обследовании специалистами МКНЦ пациенту был установлен диагноз неврит лицевого нерва. Была проведена необходимая терапия, которая временно дала положительный эффект.
В марте 2019 года у пациента появились трудности с дыханием и глотанием, поэтому он был госпитализирован с подозрением на ангионевротический отек. После осмотра ЛОР-врачом ангионевротический отек исключен, а неврологом установлен диагноз: миастения прогрессирующая форма, бульбарный тип. При дообследовании в МКНЦ проведены УЗИ и КТ и выявлено опухолевое образование тимуса.

Пациенту была проведена консервативная терапия, после чего он был госпитализирован для проведения торакоскопической тимомэктомии.
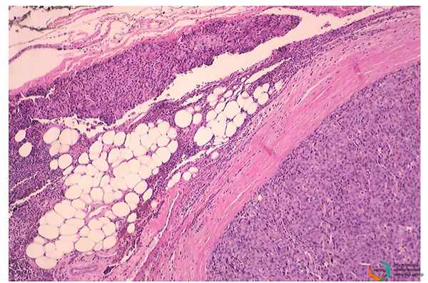
Пациенту выполнено торакоскопическое удаление опухоли тимуса, удалённый материал отправлен на плановое патоморфологическое исследование.
Данный гистологический тип тимомы отличается наилучшим прогнозом в случае радикальной операции. Специалисты нашего Центра назначили пациенту оптимальное лечение, направленное на снижение рисков развития рецидивов данного заболевания и улучшение качества жизни. Пациент выписан, на данный момент чувствует себя хорошо, жалоб не имеет.

Эта патология является редкой, частота встречаемости заболевания 0,13% на 100 000 населения. С этим связана трудность обследования для достоверной постановки диагноза, что требует от пациента своевременного обращения в высоко специализированные медицинские учреждения.
Опухоли тимуса
Причины возникновения опухолей тимуса
Причины развития эпителиальных новообразований тимуса пока не известны, хотя при тимоме нередко проводятся параллели с наличием других гематологических или иммунологических заболеваний. Миастения гравис Эритроцитарная аплазия Системная красная волчанка Гипогаммаглобулинемия Множественная миелома Миозит Миотоническая дистрофия Синдром Ламберта-Итона Синдром Шегрена Тиреоидит Хашимото Апластическая анемия
Симптомы опухолей тимуса
В большинстве случаев опухоли тимуса развиваются бессимптомно. При их наличии, симптомы могут быть следующими: Продолжительный кашель Мышечная слабость Затрудненное дыхание Боль в груди Чувство сдавленности в груди Потеря голоса Вздутие шеи и/или плеч У пациентов, страдающих тимомой, возможно встретить симптомы, связанные с миастенией гравис: Трудности при попытке держать глаза открытыми Диплопия Усталость Потеря веса Высокая температура
Диагностика опухолей тимуса
При подозрении на опухоль тимуса врач должен провести тщательный осмотр пациента со сбором анамнеза, а затем может назначить ряд тестов для подтверждения диагноза и определения расположения, формы и размеров опухоли. Диагностика опухоли тимуса - тимомы или карциномы - основывается на результатах следующих исследований: Рентгенография грудной клетки Компьютерная аксиальная томография (КАТ) Ядерная магнитно-резонансная томография (ЯМРТ) Позитронно-эмиссионная томография (ПЭТ) Для подтверждения природы опухоли необходимо получить гистологический диагноз посредством биопсии с анализом образца ткани тимуса. В случае тимомы исследования необходимы также для определения стадии заболевания и выбора правильного лечения. Определение стадии производится на основании классификации Masaoka, берущей во внимание инвазивность опухоли. Эта классификация используется также для карцином тимуса, однако это происходит реже, поскольку на момент диагностики данной опухоли в большинстве случаев она уже распространена на другие области организма. Опухоли тимуса классифицируются в соответствии со следующими стадиями: Стадия I: опухоль ограничивается тимусом и окружающего его капсулой из соединительной ткани Стадия II: опухоль распространилась за пределы капсулы и захватила жировую ткань и плевру, или же достигла перикарда Стадия III: опухоль внедрилась в близлежащие органы Стадия IV может быть двух типов: Стадия IV A: опухоль распространилась на плевру или на перикард Стадия IV B: опухоль распространилась на кровеносную и/или лимфатическую системы, образуя метастазы в других органах Рецидив: опухоль появляется повторно, в том числе после лечения, развиваясь в той же области или в другом органе На стадии I речь идет о неинвазивной опухоли, в то время как на более поздних стадиях опухоль становится инвазивной.
Лечение опухолей тимуса
Лечение этих заболеваний выбирается на основании ряда факторов, таких как тип опухоли, стадия заболевания и общее состояние здоровья пациента, особенно при наличии других заболеваний. Терапевтические возможности включают хирургию, радиотерапию, химиотерапию и гормональную терапию.
Тимома (опухоль вилочковой железы)
Тимома (опухоль вилочковой железы (тимуса) / вилочковая опухоль) – новообразования доброкачественной и злокачественной природы, образующиеся из лимфатической ткани вилочкой железы, которая расположена в переднем средостении.
В медицинской практике встречаются тимомы абсолютно разных размеров – от сравнительно небольших до гигантских. Преимущество с таким онкологическим заболеванием сталкиваются люди среднего возраста – после 40-ка лет. При этом заболевание одинаково часто встречается как у мужчин, так и у женщин.
Лечение
Основным методом лечения тимомы является хирургия. Во время хирургической операции (тимэктомии) проводится полное удаление объема новообразования вместе с жировой клетчаткой переднего средостения.
Хирургический метод может быть дополнен высокоточным лучевым лечением на современном линейном ускорителе с функцией IMRT (моделируемой по интенсивности подачи дозы ионизирующего излучения). Высокоточная лучевая терапия тимомы предусматривает облучения клеток патологического новообразования высокими полями ионизирующего излучения, без подвержения при этом вредному воздействию радиации здоровые ткани вблизи опухоли.

Лучевая терапия опухолей IMRT
Высокоточная лучевая терапия тимомы, вернее, объема здоровых тканей вокруг удаленной опухоли, проводится с целью недопущения продолжения роста из возможно оставшихся опухолевых клеток.
Минимизировать дозу полученного организмом ионизирующего облучения за счет его сосредоточения в пределах требуемой зоны, позволяет система высокоточной лучевой терапии IMRT. Ключевым аспектом точности такого вида лучевого лечения тимомы становится формирование заданной виртуальной трехмерной моделью зоны высокой дозы за счет пересечения различных отдельных полей излучения, каждое из которых имеет свою форму и подается из конкретной точки.
При этом здоровые ткани, расположенные на пути прохождения каждого из полей (лучей) получают лишь незначительную часть от общей дозы, не вызывающей повреждения этих тканей, в том числе защищается кожа. Такое лечение длится, в среднем 20-30 сеансов по 15-20 минут каждый, лечение безболезненно, ведется амбулаторно, и после каждого сеанса пациент свободно возвращается к привычному распорядку своего дня.
Такое лечение длится, в среднем 20-30 сеансов по 15-20 минут каждый, лечение безболезненно, ведется амбулаторно, и после каждого сеанса пациент свободно возвращается к привычному распорядку своего дня.

Радиохирургическая система КиберНож (CyberKnife G4)
В составе комплексного лечения тимомы также может применятся химиотерапия современными препаратами, а в случае неоперабельности опухоли в качестве основного метода лечения – радиохирургия на системе КиберНож.
Показания для радиохирургии тимомы на КиберНоже могут быть разными, однако сочетание данного метода лечения совместно с химиотерапией позволяет достичь высоких результатов лечения и долгосрочной выживаемости.
Радиохирургия тимомы на КиберНоже кардинально отличается от традиционной хирургической операции — удаление опухоли, в отличии от хирургии, проводится не скальпелем, а высокими дозами ионизирующего облучения, направленными точно в границы патологического очага, что приводит к гибели раковых клеток.
Диагностика
Во время визуального клинического осмотра опухоль вилочковой железы может быть диагностирована врачем-онкологом при наличии таких видимых симптомов, как расширение вен грудной клетки, увеличение лимфоузлов (шейных, ключичных, подключичных), выпирание грудины из-за больших размеров новообразования.
Физиологическими признаками заболевания могут быть нарушение дыхания, которое нередко сопровождается свистящими хрипами, а также повышенное сердцебиение.
Полная диагностика тимомы включает также современные диагностические исследования – КТ, МРТ, — которые позволяют получить точные данные о расположении опухоли, ее размерах, распространенности патологического процесса и другую информацию, необходимую для подбора качественного лечения.
Гистологическое исследование биологического материала опухоли, проводимое путем пункционной биопсии, позволяет определить состав новообразования, а также его природу, от чего зависит дальнейшее лечение опухоли.
Симптомы
Протекание тимомы и симптомы заболевания зависят от того, насколько велика опухоль и какова степень ее злокачественности. Если новообразование доброкачественной природы и небольшого размера, опухоль может не проявляться.
Для вилочковой опухоли больших размеров характерны симптомы, связанные с нарушением дыхательного процесса, такие как:
- затрудненное дыхание
- невозможность вдохнуть полной грудью
- ощущение сдавленности грудной клетки
Вследствие нарушения дыхательной функции, новообразование может повлечь нарушения работы других систем организма: хроническая отечность лица, набухание шейных вен, нарушение сердечного ритма.
Нередко развитие тимомы сопровождается аутоимунными (системными) заболеваниями – полимиозом, миастенией, тиреоидитом, системной красной волчанкой и др.
Заполните всего три поля
и наш специалист Вам перезвонит!
Ваши данные успешно отправлены! Ожидайте нашего звонка.
РАДИОХИРУРГИЯ КИБЕРНОЖ
Инновационный метод лечения,
радиохирургия на системе
"КиберНож" , применяется в
Клинике Спиженко для
дистанционного лечения
опухолей
ЛУЧЕВАЯ ТЕРАПИЯ IMRT
Лучевая терапия опухолей
в Клинике Спиженко
проводится на линейном
ускорителе последнего
поколения Elekta с
функцией IMRT
(максимальной защиты
здоровых тканей)
МАЛОТРАВМАТИЧНАЯ ХИРУРГИЯ - ЛАПАРОСКОПИЯ
Современные методы хирургического лечения онкологических пациентов применяются в Центре
хирургии Клиники Спиженко на постоянной основе, в том числе, малотравматичая лапароскопия
Опухоли средостения: что это такое, классификация.
Опухоли средостения – общее название новообразований, которые расположены в медиастинальном пространстве груди. В 40% случаев диагностирования опухоли являются злокачественными, и тогда ставится диагноз рак средостения. Все опухоли делятся на две большие группы – первичные и вторичные. В первом случае речь идет о тех новообразованиях, которые формируются непосредственно в области средостения, во втором – опухоли образуются сначала в тканях, расположенных вне обозначенной области, а рак средостения развивается уже из метастаз. Иногда опухоли средостения называют рак тимуса, но это не совсем корректное обозначение диагноза. Дело в том, что он обозначает наличие злокачественных клеток в вилочковой железе, тогда как опухоли средостения могут начать свой рост и из других структур.


В зависимости от локализации опухоли различают следующие виды злокачественных новообразований:
- передняя часть средостения – герминогенные опухоли, тимомы, лимфомы, дизэмбриогенетические опухоли, феохромоцитомы;
- средняя часть средостения – метастатическая карцинома, лимфома;
- задняя часть средостения – нейрогенные опухоли, вторичные опухоли (меланомы, саркомы).
Отдельно в медицине рассматриваются мезенхимальные опухоли – представляют собой рак мягких тканей, к таковым относятся липомы и гемангиомы, лейомиосаркомы и фибромы. Поражают разные части средостения, относятся к группе вторичных, потому что «вырастают» из метастаз.
К редким опухолям средостения относятся липо- и фибросаркомы. Их опасность заключается в том, что они долгое время протекают бессимптомно и пациент обращается за помощью к врачу при выраженных нарушениях, когда рак находится уже на 3 и 4 стадии развития. Также к этой группе относится рак тимуса (тимома) – развивается в клетках вилочковой железы.
Какие симптомы укажут на рак средостения?
Рак может протекать в двух стадиях – бессимптомной и с выраженными признаками. Продолжительность прогрессирования опухоли средостения без симптомов зависит от нескольких факторов – место локализации новообразования, уровень общего иммунитета, возраст человека. Часто бессимптомно протекающий рак диагностируется случайно, во время проведения стандартной процедуры флюорографии в рамках диспансеризации.
К основным признакам рака средостения относятся:
- кашель – сухой, приступообразный, не проходящий даже после прохождения курса лечения;
- одышка – появляется сначала после физических нагрузок, но очень быстро начинает беспокоить человека и в покое;
- боль в области груди – возникает спонтанно, периодически исчезает, усиливается во время кашля, носит давящий характер;
- кровохарканье – симптом, присущий редким опухолям средостения, свидетельствует о стремительном росте опухоли и повреждении структур дыхательных путей;
- внезапное похудение – больной начинает терять вес даже на фоне привычного аппетита: до 15 кг в течение 3-4 недель;
- общая слабость – больной испытывает постоянное желание лечь и отдыхать, работоспособность уменьшается и не восстанавливается даже после качественного отдыха;
- незначительное повышение температуры тела – происходит спонтанно, не превышает субфебрильных показателей.
Злокачественные опухоли растут достаточно быстро, поэтому переход из бессимптомной стадии в форму с выраженной клинической картиной недолгий. Могут проявляться и дополнительные симптомы типа отечности верхней части туловища и лица, синюшного цвета лица, расширения подкожных вен шеи.
Самым ранним проявлением рака средостения считается болевой синдром, особенно часто он проявляется при раке тимуса. В таком случае боли идентичны приступам стенокардии. Существует и ряд специфичных признаков опухолей средостения:
- для мезенхимальных опухолей характерны зуд кожи и повышенная потливость в ночное время суток;
- герминогенные опухоли могут сопровождаться птозом (опущением) век, понижением уровня глюкозы в крови;
- при нейрогенных опухолях нередко отмечается спонтанное повышение артериального давления;
- редкие опухоли средостения проявляются изжогой, диареей (поносом).
Общие симптомы, слабовыраженная клиническая картина, многообразие признаков, которые присущи и другим патологиям, делают диагностику только по жалобам пациента и стандартным обследованиям практически невозможной. Кроме этого, опухоли средостения могут быть и доброкачественными – например, рак тимуса по своей клинической картине полностью идентичен признакам доброкачественных новообразований в вилочковой железе.
Диагностика опухоли средостения.
Опухоль средостения может быть диагностирован инструментальными методами, которые являются самыми информативными:
- В большинстве случае комплексного рентгенологического исследования достаточно для выявления опухоли разных отделов средостения, в том числе и рака тимуса. Врачи не только подтверждают факт наличия новообразования, но и могут дать ему характеристику – форму, размер и локализация. Если подозревается рак средостения любого вида, то пациенту назначается рентгеноскопия грудной клетки. Если есть подозрение на развитие мезенхимальной опухоли, то проводится рентгенография пищевода. Назначается для подтверждения диагноза и получения данных о нейрогенной опухоли – размер, степень распространения, форма, точная локализация. Данные такого исследования более точные, чем рентгенография. На их основе врач может проработать тактику проведения хирургического вмешательства. Дополнительно выполняется магнитно-резонансная томография, она дает возможность определить степень поражения мягких тканей средостения, подтвердить или опровергнуть факт распространения метастаз в лимфатические узлы. Опухоли средостения могут прорастать в бронхи, трахею и для исключения или подтверждения такого роста используется бронхоскопия, видеоторакоскопия или медиастиноскопия.
Если перечисленных обследований недостаточно, то назначается хирургическая биопсия. Морфологическое исследование биологического материала позволяет полностью охарактеризовать рак средостения. Эта манипуляция важна для классификации опухоли – будет ли диагностирован именно рак тимуса или опухоль представляет собой доброкачественное образование.
Если есть подозрение на тимому (рак тимуса), то целесообразно проводить ультразвуковое исследование. Оно не выявит опухоль средостения, но даст возможность оценить состояние лимфатических узлов и жировой ткани в подключичной области.
К общим методам диагностики относятся анализы крови (общий, биохимический, коагулограмма), анализ мочи (общий), ЭКГ.
Лечение опухолей средостения.
Самым эффективным методом лечения опухолей средостения считается его хирургическое удаление, которое всегда сопровождается и специфической терапией. Если диагноз был поставлен на ранней стадии, врач может четко определить размер и форму опухоли, то применяется радиохирургический метод ее удаления по системе КиберНож. В случае больших размеров опухоли средостения удаляются классическим хирургическим методом с последующей химиотерапией. Диагностирование рака на поздней стадии делает нецелесообразным оперативное удаление новообразования, поэтому пациенту назначают только поддерживающее лечение (химиотерапия или лучевая) – рак средостения прекращает стремительно разрастаться, снижается вероятность распространения метастаз, облегчается симптоматика.
Если диагностирован рак тимуса (тимома), то врач опирается на данные исследований – каков размер опухоли средостения, есть ли ее разрастание. В некоторых случаях сначала проводится несколько курсов химиотерапии и только после этого назначается хирургическое лечение. Дополнительно, после проведения операции по удалению опухоли средостения, пациенту назначают гормональные препараты, иммуноподдерживающие средства.
Принимать решение о проведении терапевтического лечения или хирургического удаления опухоли средостения может только лечащий врач. Операция выполняется только в том случае, если специалист будет уверен в том, что он сможет удалить сразу все новообразование. Так как диагноз рак средостения часто ставится на поздних стадиях заболевания, то даже хирургические методы могут быть бесполезными по причине распространения метастаз, поражения внутренних органов и мягких тканей вокруг средостения.
Прогноз рака средостения.
Теоретически прогнозы на выздоровление при диагностировании опухоли средостения (рака тимуса) положительные. Но проблема заключается в сложностях диагностики – клиническая картина не типичная для злокачественных образований, часто люди либо предпринимают попытки лечения сами, либо обращаются со стандартными жалобами к врачу и им ставят неверный диагноз. Пока проводится лечение неверного заболевания, время проходит и наступает рак, средостения достигает тяжелой стадии. При своевременном выявлении рака тимуса вероятность благоприятного исхода составляет 68%.
Опухоли средостения (рак тимуса) возможно вылечить, но при условии своевременного выявления. Хирургический метод и последующая химиотерапия дают возможность полностью выздороветь. По причине неспецифической клинической картины диагностирование на ранней стадии затруднено, поэтому важно проходит диспансеризацию – это реальный шанс полностью избавиться от злокачественных образований.
Тимома
Тимомы — группа опухолей средостения, развивающаяся из эпителиальных клеток вилочковой железы. Хотя тимус наиболее активно функционирует у детей, влияя на формирование иммунной системы, а после подросткового возраста уменьшается в размерах, обычно выявляют тимому у взрослых старше 40 лет. Образования носят преимущественно доброкачественный характер — злокачественные диагностируются примерно в трети случаев.
Около 90% всех случаев этой онкологии приходится на тимомы переднего средостения, остальные локализуются в среднем и заднем, а также в области шеи. Причины ее на данный момент точно не известны, предполагают в их числе нарушения в период развития эмбриона, изменения в механизме формирования иммунитета, воздействие радиации, травмы, выявлена связь с рядом заболеваний эндокринной и иммунной систем (синдром Ищенко-Кушинга, красная волчанка, диффузный зоб, миастения гравис и др.)

Нам доверяют 9500 пациентов ежегодно.
Виды тимомы
По гистологическому признаку выделяют несколько типов (первые три — А, АВ, В1 — считаются доброкачественными, следующие — В2, В3, С — относят к злокачественным):
- А — опухоль капсулирована, хорошо дифференцирована;
- АВ — имеются единичные очаги подвергшихся мутациям лимфоцитов;
- В — в зависимости от того, какие ткани преимущественно изменены, подразделяется на В1, В2, В3 — последний также называют высокодифференцированным раком вилочковой железы;
- С — злокачественная тимома, которая агрессивно прогрессирует и дает метастазы в печень, кости, лимфоузлы. Включает в себя различные виды по гистологическому признаку.
Четыре стадии заболевания учитывают, какие ткани и органы вовлечены в онкологический процесс, а также процесс метастазирования:
I — опухоль находится в своей капсуле;
II — в средостении затрагиваются плевра и клетчатка;
III — образование проросло в перикард, легкое, ближайшие магистральные сосуды;
IV — раковые клетки распространяются по соседним органам, выявляются лимфогенные и гематогенные метастазы.
Главный онколог, хирург
Доктор медицинских наук
Опыт работы: Более 30 лет
Тимомы: симптомы и диагностика
Одышка, кашель, болезненные ощущения в груди, отечность верхней половины вены из-за нарушения оттока крови, нарушения в работе иммунитета, в том числе слабость мышц, ночная потливость, субфебрильная температура — все это может быть признаками опухоли. На поздних стадиях наблюдается повышенная утомляемость, потеря аппетита и массы тела и другие проявления раковой интоксикации. Для установления диагноза наиболее информативным методом считается КТ с контрастированием, также могут использоваться рентгенография, МРТ, биопсия.
Тимома: лечение и прогноз
В каждом случае при назначении лечебных мероприятий учитывают специфику опухоли, состояние пациента, анамнез и т.д. Доброкачественные новообразования вилочковой железы, а также рак на ранних (1–2) стадиях, как правило, удаляют хирургическим путем, при этом объем может варьироваться. Если удаление тимомы нецелесообразно из-за наличия метастазов или диссеминации, используют лучевую и химиотерапию, они же выступают как адъювантные методы, призванные снизить риск рецидива заболевания после операции.
Шансы во многом зависят от момента обращения к специалистам. После лечения доброкачественных новообразований выживаемость на горизонте в 20 лет составляет около 80–90%, по прооперированным на ранних стадиях злокачественным прогноз на 5 лет — около 90%, на третьей — не превышает 70%, а на четвертой — 10%.
Читайте также:
