Осложнения катетеризации центральных вен у новорожденного
Добавил пользователь Евгений Кузнецов Обновлено: 28.01.2026
Осложнения катетеризации центральных вен — неблагоприятные события, непосредственно связанные с пункцией или катетеризацией подключичной, яремной или бедренной вены. Непосредственные осложнения возникают во время установки катетера: сосудистые, сердечные и легочные осложнения. Отсроченные осложнения включают дисфункцию катетера и инфекцию.
Показания к пункции и катетеризации центральных вен здесь
Катетеризация по Сельдингеру здесь
КЛАССИФИКАЦИЯ ОСЛОЖНЕНИЙ:
По данным нескольких исследований, проведенных в США, частота осложнений при катетеризации центральных вен может достигать более 15%: механические осложнения от 5 до 19%, инфекционные осложнения от 5 до 26%, тромботические осложнения от 2 до 26%.
ВИДЫ ОСЛОЖНЕНИЙ
1) травма легкого
2) кровотечение
3) анафилактический шок
4) гемоторакс
5) пневмоторакс
6) катетер-ассоциированные инфекции
7) тампонада сердца
8) тромбоз вены
9) потеря проводника
10) повреждение нервов
11) воздушная эмболия
12) артерио-венозный свищ
13) пневмомедиастинум
14) эмболия фрагментами катетера
15) тромбирование катетера
16) подкожная гематома
17) нарушения ритма сердца
18) пункция артерии
19) флебит
20) перфорация вены
21) перфорация пищевода
22) перфорация трахеи
23) расслоение аорты
24) травма грудного лимфатического протока
25) миграция катетера
МЕХАНИЧЕСКИЕ ОСЛОЖНЕНИЯ КАТЕТЕРИЗАЦИИ ВЕН
Пункция артерии, гематома и пневмоторакс являются наиболее частыми механическими осложнениями при установке центральных венозных катетеров.
Катетеризация подключичной вены по Сельдингеру с большей вероятностью, чем внутренней яремной вены, будет осложнена пневмотораксом и гемотораксом, тогда как катетеризация внутренней яремной вены с большей вероятностью будет связана с ятрогенной пункцией артерии. Во время катетеризации бедренной вены часто встречаются гематома и артериальная пункция.
Если нет противопоказаний, для катетеризации следует выбирать подключичную или внутреннюю яремную вену, т.к. механические осложнения наиболее вероятны во время катетеризации бедренной вены.
Сосудистые осложнения: повреждение артерии и вены, кровотечение и гематома. Непреднамеренное размещение катетера в правом предсердии или даже внутри правого желудочка может вызывать локальное раздражение миокарда, с последующей наджелудочковой аритмией.
Легочные осложнения: пневмоторакс, пневмомедиастинум, хилоторакс, травма трахеи, повреждение возвратного гортанного нерва и воздушная эмболия. Повреждение париетальной плевры при установке центрального катетера приводит к пневмотораксу и пневмомедиастинуму. Пневмоторакс и пневмомедиастинум встречаются в 1% случаев и чаще всего связаны с установкой подключичного катетера.
ОПЫТ КАТЕТЕРИЗАЦИИ
Установка катетера по Сельдингеру анестезиологом, выполнившим более 50 катетеризаций, вдвое снижает риск механических осложнений. Если врачу не удается выполнить пункцию центральной вены после трех попыток, ему следует обратиться за помощью, а не продолжать попытки.
Частота механических осложнений катетеризации центральной вены по Сельдингеру после трех и более попыток в шесть раз выше, чем после одной попытки. Клинические рекомендации Федерации анестезиологов-реаниматологов по катетеризации центральных вен здесь
УЛЬТРАЗВУКОВОЕ ИССЛЕДОВАНИЕ
Использование УЗИ может снижать риск осложнений во время катетеризации центральных вен. Во время катетеризации внутренней яремной вены ультразвуковой контроль снижает количество механических осложнений, количество неудачных попыток и время, необходимое для всей процедуры.
УЗИ во время пункции подключичной вены дает сомнительные результаты в клинических исследованиях, вероятно по анатомическим причинам.
Катетеризация под ультразвуковым контролем требует обучения. В больницах, где доступно ультразвуковое оборудование и анестезиологи имеют соответствующую подготовку, следует регулярно рассматривать возможность использования ультразвукового контроля при катетеризации внутренней яремной вены.
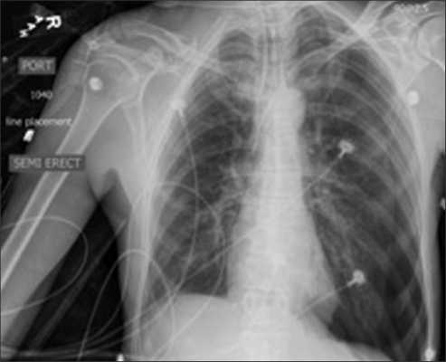
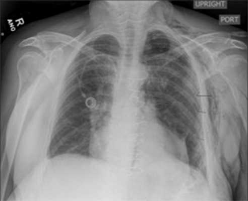
Примеры осложнений
Ипсилатеральный пневмоторакс

Контралатеральный пневмоторакс

ИНФЕКЦИОННЫЕ ОСЛОЖНЕНИЯ КАТЕТЕРИЗАЦИИ ВЕН
При катетеризации центральной вены следует соблюдать меры стерилизации (стерильный халат, маска, шапка, стерильные перчатки, стерильная пеленка. В научном исследовании было показано, что этот подход снижает частоту инфекционных осложнений.
Инфекционные осложнения, связанные с катетером, возникают по нескольким механизмам:
- инфицирование места выхода катетера с последующей миграцией патогенной флоры по внешней поверхности катетера
- загрязнение катетера, приводящее к колонизации патогенной флоры внутри просвета катетера
- гематогенное инфицирование катетера
Рандомизированное исследование Veenstra D.L. показало, что катетеризация подключичной вены была связана со значительно более низкой частотой инфекционных осложнений, чем катетеризация бедренной вены, и тенденцией к более низкой частоте подтвержденных инфекций, связанных с катетером (1,2 инфекции на 1000 катетер-дней, против 4,5 инфекции на 1000 при катетеризации бедренной вены; p=0,07). Имеющиеся данные свидетельствуют о том, что катетеризация подключичной вены с меньшей вероятностью приведет к катетерной инфекции, чем катетеризация внутренней яремной вены, хотя эти два подхода не сравнивались в рандомизированных исследованиях. Таким образом, выбор подключичной области, по-видимому, сводит к минимуму риск инфекционных осложнений.
Центральный катетер следует удалить как только он больше не нужен! Риск инфекционных осложнений считается низким до 5–7 дня, после чего он возрастает. Рутинная замена катетера по проводнику связана с тенденцией к увеличению числа инфекций, связанных с катетером. Кроме того, чем чаще катетер заменяется новым катетером (на новом месте), тем больше вероятность того, что у пациента будут механические осложнения. Таким образом, центральные венозные катетеры не следует заменять по расписанию!
При подозрении на катетер-ассоциированную инфекцию (сепсис) необходимо взять для посева два образца крови, чтобы оценить вероятность бактериемии! Место установки катетера следует тщательно осмотреть. Если есть гнойные выделения или эритема — катетер необходимо удалить. Если у пациента есть признаки сепсиса или септического шока, следует начать эмпирическую антибактериальную терапию для лечения инфекций, вызванных Staphylococcus epidermidis или S. aureus . Следует добавить антибактериальную терапию для грамотрицательных микроорганизмов, особенно если у пациента ослаблен иммунитет, есть нейтропения или другие факторы риска инфицирования грамотрицательными бактериями. У пациентов с септическим шоком и отсутствием другого источника инфекции катетер следует удалить и заменить на новый на новом месте. Если посев с кончика катетера положительный — катетер необходимо удалить!
ТРОМБОТИЧЕСКИЕ ОСЛОЖНЕНИЯ
В исследовании Hirsch D.R. было показано, что пациенты, которым требуется катетеризация центральной вены, подвержены высокому риску тромбоза, связанного с катетером. При использовании УЗИ выявлен венозный тромбоз у 33% пациентов в отделениях интенсивной терапии и примерно у 15% этих пациентов тромбоз связан с катетером. Риск тромбоза, связанного с катетером, варьируется в зависимости от места введения. В исследовании Merrer J. тромбоз, связанный с катетером, возник у 21,5% пациентов с катетерами бедренной вены и у 1,9% пациентов с катетерами подключичной вены (p<0,001). Катетеризация подключичной вены несет самый низкий риск тромбоза, связанного с катетером. Клиническое значение тромбоза, связанного с катетером, остается неопределенным, хотя все тромбозы могут вызывать эмболию.
РАСПОЗНАВАНИЕ ПУНКЦИИ АРТЕРИИ И ПРОФИЛАКТИКА ВОЗДУШНОЙ ЭМБОЛИИ
У пациентов с нормальным артериальным давлением и нормальным парциальным давлением кислорода в крови ятрогенную пункцию артерии легко определить по пульсирующему кровотоку в шприце и ярко красному цвету крови. Однако у пациентов с выраженной гипотензией или десатурацией диагностика может быть затруднена.
При возникновении сомнений следует немедленно удалить иглу!
Во время спонтанного вдоха пациент создает отрицательное внутригрудное давление. Если центральный катетер открыт, отрицательное внутригрудное давление может втягивать воздух в вену, что может привести к воздушной эмболии. Даже небольшое количество воздуха может стать фатальным, особенно если оно передается через дефект межпредсердной или межжелудочковой перегородки.
Чтобы предотвратить это осложнение, заглушки двупросветного катетера должны быть всегда закрыты!
Осложнения катетеризации центральных вен у новорожденного
Осложнения установки периферического венозного катетера у детей и их профилактика
Осложнения установки периферического венозного катетера у детей:
1. Гематома — самое частое, но обычно незначительное осложнение. Ее можно устранить с помощью легкого надавливания рукой.
2. Спазм вены возникает редко и обычно разрешается самостоятельно.
3. Флебит остается наиболее частым значимым осложнением в результате использования периферических венозных катетеров. При возникновении флебита повышается риск развития местного инфекционного процесса. Введение гепаринизированных растворов (0,5 ЕД/мл) увеличивает время действия и снижает частоту осложнений, например флебита и эритемы. На частоту возникновения флебита также влияют материал, из которого изготовлен катетер, его размер и осмолярность вводимого раствора. При применении периферических катетеров для парентерального питания одновременное введение жировых эмульсий и гипертонических растворов для полного парентерального питания увеличивает срок использования вены.
4. Инфильтрация подкожных тканей раствором для внутривенного введения. К сожалению, это частое осложнение инфузионной терапии с использованием периферических вен. Для того чтобы снизить частоту данного осложнения, необходимы крайняя осмотрительность и отказ от внутривенного введения гиперосмолярных растворов:
а. Образование пузырей.
б. Глубокий некроз, при котором может потребоваться пересадка кожи.
в. Кальцинация подкожных тканей, вызванная инфильтрацией раствора, содержащего кальций. Следует отметить, что возможна незначительная транссудация в прилегающие ткани даже при аспирации крови из иглы или катетера.

5. Инфекционные осложнения установки периферического венозного катетера у детей. Частота как флебита, так и инфекционных осложнений увеличивается при нахождении иглы в вене дольше 72 ч. Согласно опубликованным данным, отмечен рост инфекционных осложнений при использовании пленочных пластырей, но вопрос остается спорным. У взрослых инфекционные осложнения с лихорадкой чаще возникают при применении катетеров, изготовленных из тефлона или полиуретана, по сравнению с таковыми из поливинилхлорида или полиэтилена. Риск флебита у взрослых в результате использования полиуретановых катетеров примерно на 30% меньше, чем тефлоновых катетеров Barton et al. не смогли показать различий в частоте инфекционных осложнений при сравнении игл 25-го размера с тефлоновыми катетерами 24-го размера. Однако тефлоновые катетеры функционируют в три раза дольше, чем металлические иглы, при равном количестве осложнений.
6. Эмболизация сгустка крови при промывании с усилием.
7. Гипернатриемия, избыточное введение жидкости или гепарина новорожденному из-за неправильного промывания катетера или использования несоответствующего раствора; также электролитные нарушения, обусловленные неправильно выбранной скоростью введения инфузионных растворов.
8. Случайное введение в артерию, артериоспазм и возможный некроз тканей.
9. Ожог при установке периферического венозного катетера у детей:
а. Трансиллюминатором.
б. Компрессом, используемым для согревания конечности перед процедурой.
в. Длительным воздействием повидон-йода или изопропилового спирта на крайне незрелую кожу.
10. Воздушная эмболия.
11. Ишемия или гангрена нижней конечности, осложняющие инфузию в большую подкожную вену нижней конечности; механизм неясен.
Редактор: Искандер Милевски. Дата обновления публикации: 18.3.2021
1. Повреждения других сосудов и органов во время установки.
а. Возможны как во время чрескожной, так и хирургической установки катетера в центральные вены.
б. К осложнениям относят кровотечение, пневмоторакс, гемоторакс, пункцию артерии и повреждение плечевого сплетения.
2. Флебит.
а. Флебит как реакция на механическое воздействие развивается в первые сутки после установки катетера и является нормальной реакцией организма на раздражение вены катетером.
б. Лечение легкого флебита (слабовыраженная эритема и/или отек) включает применение мази, наложение теплого компресса и возвышенное положение конечности.
в. Катетер удаляют при отсутствии эффекта от терапии, тяжелом течении флебита (формирование полосы воспаления, пальпируемого венозного тяжа и/или появлении гнойного отделяемого) или признаках инфекционного токсикоза.
Различные неправильные положения катетера подключичной вены - узлообразование в левом предсердии. Различные неправильные положения катетера подключичной вены:
а — яремное; б — загнутый петлей в правом предсердии с кончиком катетера в верхней полой вене. Различные неправильные положения катетера подключичной вены:
а — загнутый петлей в верхней полой вене; б — загнутый петлей в безымянной вене с кончиком катетера, расположенным выше левой лопатки.
4. Инфекционные осложнения (наиболее частые).
а. Частота сепсиса, ассоциированного с наличием катетера в сосудах, варьирует от 0 до 29% количества установленных катетеров и от 2 до 49% на 1000 дней катетеризации. При этом наибольший риск у новорожденных с экстремально низкой массой тела и наименьшим сроком гестации.
б. Строгое соблюдение протокола по уходу за катетером центральной вены и методологию наблюдения с механизмом обратной связи рекомендуют для снижения частоты инфекционных осложнений, частота которых может значительно варьировать в различных отделениях интенсивной терапии новорожденных.
в. Лечение катетерного сепсиса. Удаляют катетер, если это возможно. Извлечение катетера в кратчайшие сроки рекомендуют при сепсисе, вызванном Staphylococcus aureus, грамотрицательной микрофлорой или грибами рода Candida. Начинают лечение с помощью соответствующих антибиотиков без удаления катетера при сепсисе, вызванном коагулазонегативным стафилококком, но при повторном положительном посеве одного и того же возбудителя необходимо удалить катетер.
5. Дисфункция катетера.
а. Признаки обструкции катетера: увеличение давления в инфузомате, невозможность инфузии или забора крови.
б. Дисфункция может возникать из-за неправильного положения, образования фибринового тромба, преципитации минеральных лекарственных препаратов или отложения липидов.
в. Лечение.
(1) Проверяют положение катетера с помощью рентгенографии органов грудной клетки.
(2) Если неправильное положение катетера исключено, изучают ранее введенные через катетер растворы и препараты для определения вероятной причины окклюзии.
(3) Удаляют катетер при отсутствии экстренных показаний для его стояния.
(4) Пытаются растворить сгусток только в том случае, когда обязательно сохранение катетера.
(5) Оборудование: маска, стерильные перчатки и халат, раствор антисептика, стерильный трехходовой краник, шприцы объемом 10 и 5 (3) мл, заполненные 0,2-0,5 мл препарата для растворения сгустка.
(6) Препарат для растворения сгустка.
(а) 0,1% раствор соляной кислоты для преципитатов солей кальция или лекарственных средств с рН < 7.
(б) Натрия бикарбонат 8,4%, 1 мЭкв/мл для препаратов с рН >7.
(в) 70% спирт для отложений липидов.
(г) Рекомбинантный активатор тканевого плазминогена, 0,5-1,0 мг/мл для фибриновых или кровяных сгустков.
(д) Рекомбинантная урокиназа 2000-5000 ЕД/мл для фибриновых или кровяных сгустков.
(7) Методика.
(а) Строго придерживаются правил асептики.
(б) Отсоединяют систему для внутривенного вливания и колпачок для поддержания стерильности. После обработки антисептиком присоединяют трехходовой краник к павильону катетера.
(в) Присоединяют пустой шприц объемом 10 мл к боковому порту трехходового краника и заранее наполненный 3-миллилитровый шприц к другому порту. Нельзя использовать туберкулиновый шприц.
(г) Закрывают запорный краник в сторону заранее наполненного шприца и открывают в сторону пустого.
(д) Аспирируют пустым шприцем, создавая отрицательное давление в окклюзированном катетере.
(е) Одновременно, поддерживая отрицательное давление, закрывают запорный краник в сторону пустого шприца и открывают в сторону предварительно заполненного. Отрицательное давление в катетере автоматически вызовет ток препарата из заранее заполненного шприца в катетер.
(ж) Выжидают время нахождения препарата в катетере от 20 мин до часа.
(з) После вышеозначенного времени получают кровь из катетера, сливают аспират и промывают катетер стерильным физиологическим раствором. Продолжают использовать катетер.
(и) Если процедура не удалась, ее можно повторить еще один раз или использовать другой препарат для устранения сгустка.
(к) Нельзя вводить соляную кислоту непосредственно перед или после натрия бикарбоната.
(л) Можно попытаться использовать постоянную инфузию рекомбинантного тканевого активатора плазминогена или урокиназы в низких дозах, если болюсное введение не устраняет окклюзию. Следует оценивать риск геморрагических осложнений.
6. Тромбоз, тромбоэмболия.
а. Около 90% случаев тромбоэмболии у новорожденных связаны с катетерами центральных вен. К ним относятся следующие.
(1) Тромбоз глубоких вен нижних конечностей.
(2) Синдром верхней полой вены.
(3) Тромбоз камер сердца.
(4) Тромбоз почечных вен.
б. Осложнения венозного тромбоза включают утрату венозного доступа, потенциальную опасность повреждения пораженного органа или конечности, увеличение тромба, эмболию сосудов других органов и инфекционные осложнения.
в. Лечение тромбоэмболии у новорожденных является дискутируемым вопросом. Тяжесть тромбоза и потенциальный риск в отношении органов или конечностей определяют объем требуемого лечения, включая тромболитическую и антикоагулянтную терапию или хирургическое вмешательство.

7. Внесосудистое скопление жидкости.
а. Выпот в полость перикарда с или без тампонады сердца. Данное серьезное осложнение проявляется внезапной сердечно-сосудистой недостаточностью или необъяснимой нестабильностью деятельности сердечной и дыхательной систем. Отношение размеров сердца к таковым грудной клетки (кардиоторакальное отношение) увеличивается, а также может быть парадоксальный пульс. Спасти жизнь можно экстренным проведением перикардиоцентеза.
б. Выпот в плевральную полость.
в. Экстравазация в средостение.
г. Гемоторакс.
д. Хилоторакс.
е. Асцит.
8. Повреждение катетера.
а. Катетер может быть поврежден иглой-проводником во время установки, растрескаться из-за избыточного давления на его внешнюю часть или разломаться в результате избыточного давления. Другие частые причины включают наружное наложение зажима, узлообразование катетера, сдавление швами и его плохую фиксацию. Внутрисосудистая часть поврежденного катетера представляет высокий риск эмболизации.
б. При повреждении катетера немедленно захватывают и фиксируют внесосудистую часть катетера для предотвращения его миграции.
в. Если катетер не виден снаружи, сдавливают вену по ходу выше места введения для предотвращения продвижения катетера. Фиксируют новорожденного и немедленно выполняют рентгенографию для определения локализации катетера.
г. Хирургическое и/или кардиоторакальное вмешательство может потребоваться, если катетер не виден снаружи.
д. Поврежденные или разрушенные катетеры должны быть удалены. Восстановление и замена катетера по проводнику сопровождаются риском инфекционных осложнений или эмболизации. Если нет других возможностей для венозного доступа, то катетер иногда можно восстановить, строго соблюдая асептику и антисептику. Восстановление катетера следует рассматривать как временную меру, новый катетер должен быть установлен как можно скорее. Некоторые производители выпускают наборы для восстановления катетеров с прилагаемыми инструкциями. В экстренной ситуации можно использовать иглу-«бабочку» или тупую иглу.
9. Врастание катетера.
а. Сложности при удалении катетера могут возникать из-за формирования фибриновой оболочки или вторично вследствие сепсиса.
б. Лечение.
(1) Накладывают теплый компресс на кожу по ходу вены.
(2) Постепенно, осторожно вытягивают катетер.
(3) Проводят тромболитическую терапию.
(4) Удаляют хирургическим путем через периферический разрез.

Инфузионная терапия является одним из основных способов проведения интенсивной терапии, направленной на коррекцию, поддержание и профилактику нарушений жизненных функций организма. Традиционно инфузионная терапия проводится способом внутривенного вливания лекарственных препаратов. Умение обеспечить венозный доступ является одним из главных практических навыков, определяющих высокий класс медицинского специалиста.
Если обратиться к истории, то можно узнать о применявшихся ранее внутримышечных, подкожных, внутриполостных и ректальных вливаниях. Однако эффективность этих методов оказалась сомнительной и в настоящее время они не применяются. Тяжелые осложнения, вызываемые внутриартериальным введением инфузионных препаратов, также послужил причиной отказа от применения данной методики. В настоящее время пункция и катетеризация артерий применяется, исключительно, с диагностической целью. Внутрикостные инфузии используются лишь в экстренных случаях, когда затруднен доступ к сосудистому руслу.
Методики обеспечения венозного доступа и способы проведения инфузионной терапии у новорожденных имеют свою историю.
Прогресс неонатологии, постоянное уменьшение критического гестационного возраста и веса для выхаживания новорожденных детей диктуют специалистам и производителям медицинского оборудования осваивать новые технологии и постоянно совершенствовать старые, используя современные технику и материалы.
Современные сосудистые катетеры могут быть венозными (для центральных и периферических вен) и артериальными. Могут иметь различные приспособления для фиксации, дополнительный порт для болюсного введения препаратов, камеру обратного тока, антивозвратный клапан.
Для изготовления катетеров используются материалы, характеризующиеся разными свойствами.
| МАТЕРИАЛ | ХАРАКТЕРИСТИКИ |
| Полиэтилен | Высокая степень прочности. Жесткий. Прочный. |
| Флюорополимер (тефлон) | Достаточно жесткий. Устойчив к воздействию различных химических веществ. |
| Поливинилхлорид (пвх) | Термопластичный: жесткий при комнатной температуре, более гибкий при температуре тела. |
| Силикон | Высокая степень биосовместимости, тромборезистентности. Мягкий и гибкий. Низкий риск перфорации сосуда. |
| Полиуретан | Высокая степень биосовместимости, достаточная жесткость при натяжении, износоустойчивость, тромборезистентность. Термопластичность. |
Определение размеров сосудистых катетеров основано на системе, называемой «Бирмингемский калибр проводов (Birmingham Wire Gauge)» и использует следующую логику: чем больше калибр, тем тоньше игла. Калибр определяет, сколько канюль помещается в трубку с внутренним диаметром 1" (1 дюйм = 25,4 мм). Применение этой системы было предложено AAMI (Ассоциация по усовершенствованию медицинского инструментария США).
| Gauge | Charriere (Ch) French (Fr) | Цвет |
| 14G | 6 | |
| 16G | 5 | |
| 17G | 4,5 | |
| 18G | 4 | |
| 20G | 3 | |
| 22G | 2,5 | |
| 24G | 2 | |
| 26G |

Существуют три основных способа обеспечения венозного доступа: венепункция, венесекция и катетеризация вены. По расположению дистального участка катетера доступы могут быть периферические и центральные.
При венесекции доступ к вене осуществляется хирургическим путем. После выделения вены, как правило, на сосуд накладывается лигатура, вена пересекается и в вышележащий отрезок вводится катетер по проводнику. Если вена не пересекается, то на введенный катетер накладывается лигатура для плотного закрепления его в сосуде и гемостаза. Таким образом, в результате данного способа катетеризации сосуда, последний «выключается» из кровоснабжения и кровоток в бассейне оперированной вены в последующим зависит от развития коллатералей. Но, как известно, чем меньше гестационный возраст ребенка, тем хуже у него развита система коллатерального кровоснабжения. Метод трудоемкий, технически сложный, требует медикаментозного обезболивания. Инвазивность метода, несоответствие диаметров катетеров и вен часто приводят к развитию контактных (асептических) флебитов, что значительно укорачивает сроки использования сосудов.
Не утрачивает своего значения в неонатологии пункционный способ венозного доступа с помощью иглы-бабочки. Этот способ применяется для внутривенного болюсного введения лекарственных препаратов и кратковременной инфузионной терапии. Для пункционного венозного доступа традиционно используются вены волосистой части головы. Здесь игла легко фиксируется, но данный венозный доступ ограничивает движения ребенка, делает невозможным грудное вскармливание.
Наиболее популярным периферическим доступом в неонатальной интенсивной терапии является катетеризация периферической вены катетером на игле.
Для катетеризации выбираются следующие вены:
Тыл кисти — тыльное венозное сплетение.
Предплечье — средняя вена предплечья, добавочная латеральная вена предплечья.
Вены волосистой части головы — надблоковая, поверхностная височная, позадиушная.
Стопа — тыльное венозное сплетение.
Локтевая ямка — медиальная вена предплечья или срединная локтевая вена.
Область голеностопного сустава — малая или большая подкожная вена ноги.

В представленном списке сосуды располагаются по мере убывания предпочтения выбора. Рекомендуется избегать вен в проекции суставов, т.к. подвижность укорачивает срок использования катетера и только в случае острой необходимости использовать вены нижних конечностей, т.к. описаны случаи ишемия или гангрена нижней конечности, осложняющие инфузию в большую подкожную вену нижней конечности; механизм неясен.
Продолжительность использования периферического катетера 3–7 дней. Несмотря на то, что материалы, из которых изготовлены катетеры являются нетромбогенными, использование гепарина в дозе 0,25–0,5 Ед/мл раствора позволяет увеличивать сроки стояния катетера. Катетеры можно использовать для прерывистой инфузии. Они не ограничивают подвижности ребенка. Недостатком периферических катетеров является невозможность длительного использования их (не более 2–3 часов) для введения вазоактивных и гиперосмолярных растворов, к которым относятся все кардиотонические препараты (допамин, добутамин, адреналин) и концентрированные растворы глюкозы, жиров, и амнокислот для парентерального питания.
Потенциальные осложнения: боль, асептические и инфекционные флебиты, экстравазация, артериоспазм (некроз). Избежать подобных осложнений возможно при правильном выборе катетера соответствующего диаметра, четкости выполнения протокола постановки катетера, строгом соблюдении правил асептики, как при катетеризации, так и при уходе за функционирующим катетером.
Катетеризация центральных вен. По определению считается, что катетер установлен в центральную позицию в том случае, когда его дистальный отрезок находится в верхней или нижней полой вене. Иными словами, в организме человека существуют только две центральные вены — верхняя и нижняя полые вены, все остальные периферические и катетеры, установленные в них должны использоваться по правилам периферических катетеров.
Показания к центральному венозному доступу
a) Полное парентеральное питание;
b) Длительная необходимость внутривенного введения лекарственных средств;
c) Внутривенное назначение гиперосмолярных растворов или раздражающих стенку сосудов лекарственных средств, которые нельзя вводить через периферические внутривенные катетеры (дофамин, добутамин, адреналин, норадреналин, растворы глюкозы в концентрации выше 12,5%, растворы АМКТ в концентрации более 2%, растворы жировых эмульсий в концентрации более 10%);
d) Интенсивная инфузионная терапия.

Противопоказания к центральному венозному доступу
Абсолютных противопоказаний не существует.
a) Инфекционное поражение кожи в месте введения катетера.
b) Возможность адекватного лечения пациента с помощью периферического венозного доступа.
Центральный венозный катетер может быть установлен путем пункции вены и катетеризации по методу Сельдингера (Seldinger), путем катетеризации через периферическую вену, хирургическим путем.
Катетеризация методом Сельдингера предусматривает пункцию вены «вслепую», по топографии с последующим введением катетера по проводнику. Этот метод сопряжен с высоким риском травматизации близлежащих жизненно важных органов, сосудов и нервных стволов, поэтому использование этого венозного доступа требует большого практического опыта врача и адекватного общего обезболивания пациента.
Особый вид катетеризации центральной вены у новорожденных детей — катетеризация пупочной вены. Это быстрый и надежный центральный доступ, позволяющий проводить интенсивную терапию с момента рождения ребенка и далее в течение двух-трех суток. Пупочные катетеры используются для проведения операций заменного переливания крови при гемолитической болезни новорожденного. У детей с экстремально низкой массой тела при рождении (ЭНМТ) пупочные катетеры иногда становятся единственным возможным сосудистым доступом и могут использоваться 2-3 недели, что требует неукоснительного соблюдения правил асептики при постановке катетера и проведении ИТ.
Самым популярным способом катетеризации центральных вен у новорожденных детей в настоящее время является установка глубоких венозных линий через периферические вены (ЦПВК). Удобство в использовании, возможность длительного применения сделали ЦПВК незаменимыми в неонатологической практике, особенно при выхаживании детей с ЭНМТ.

Места введения
1. Вены кубитальной ямки: медиальная и латеральная подкожные вены руки.
2. Вены волосистой части головы: височная и задняя ушная вена.
3. Подкожные вены ноги.
4. Подмышечная вена.
5. Наружная яремная вена.
Предпочтение отдается медиальным подкожным венам и венам правой руки, поскольку они короче и идут более прямо по направлению к центральной вене. Катетер труднее провести через латеральную подкожную вену руки из-за сужения сосуда при вхождении в дельтовидно-грудную борозду и впадения в подключичную вену под острым углом. Подмышечную и наружную яремную вену следует выбирать для введения катетера в последнюю очередь, т.к. эти вены прилежат к артериям и нервам.
При катетеризации вен бассейна верхней полой вены (ВПВ) дистальный конец катетера должен располагаться в ВПВ, на границе впадения ее в правое предсердие (ориентировочно третье межреберье справа).
При катетеризации вен бассейна нижней полой вены (НПВ) дистальный конец катетера должен располагаться в НПВ на границе впадения ее в правое предсердие (мечевидный отросток грудины).
Осложнения катетеризации.
1. Повреждение других сосудов и органов во время установки катетера: кровотечение, пункция артерии, повреждение плечевого сплетения.
3. Миграция и неправильное положение катетера. Может происходить во время установки катетера или из-за спонтанной миграции в любой момент пребывания в вене. Это может стать источником формирования тромбов на катетере и развития тромбоэмболии. Следует помнить о возможности развития «парадоксальная эмболия», обусловленной фетальными сосудистыми и внутрисердечными коммуникациями.
4. Катетер-ассоциированные инфекции кровотока. Бактерии могут колонизировать наружную поверхность катетера и затем мигрировать по ней из пространства между катетером и кожей к внутрисосудистому концу катетера. Или в результате колонизации коннектора, инфузионных сред может происходить миграция бактерий по внутренней поверхности катетера и попадание возбудителя непосредственно в кровоток.
Методы профилактики осложнений при катетеризации центральных вен:
- выполнение катетеризации только опытными специалистами;
- необходимость получения информированного согласия родителей перед процедурой;
- строгое соблюдение инструкции производителя по использованию катетера;
- обязательность подтверждения положения внутрисосудистого конца катетера рентгенологически;

- строгое соблюдение правил инфекционной безопасности сотрудниками отделений реанимации и интенсивной терапии, приходящими в отделение специалистами-консультантами и родителями;
- применение гепарина в дозе 0,5–1,0 МЕ/мл инфузионного раствора статистически не изменяет частоту возникновения тромбозов, но значительно увеличивает сроки использования катетеров;
- по возможности, не использовать катетер для парентерального питания в иных целях;
- максимальное уменьшение количества манипуляций с катетером;
- ограничение использования запорных кранов, увеличивающих риск развития инфекционных осложнений;
- удаление центрального катетера при отсутствии необходимости в нём!
Катетеризация сосудов в неонатологической практике — это искусство, требующее постоянного совершенствования навыков и современных знаний физиологии и патологии новорожденного ребенка.
Катетер для ребенка
В педиатрической практике нередко возникают ситуации, когда больному ребенку требуется внутривенно вводить различные препараты или проводить длительную внутривенную инфузию (вливание) различных лекарственных растворов.
В педиатрической практике нередко возникают ситуации, когда больному ребенку требуется внутривенно вводить различные препараты или проводить длительную внутривенную инфузию (вливание) различных лекарственных растворов. Каждый раз пунктировать вену иглой весьма неприятно для ребенка — повышается риск психологической травмы, к тому же после пункций иглой часто образуются подкожные гематомы, затрудняющие последующие внутривенные инъекции. Оптимальным выходом из этой ситуации является катетеризация периферической вены катетером.
Зачем нужна катетеризация периферических вен
Катетер в вене позволяет избегать ненужных повторных пункций вены, что снижает риск образования гематом. Правильно установленный катетер не мешает ребенку вести активный образ жизни и позволяет быстро вводить в вену нужные лекарства. Во время введения лекарственного препарата через катетер отсутствует риск, что он будет введен мимо вены — при использовании игл очень часто вены прокалываются при движении конечностями.

Преимущества внутривенных катетеров перед иглами:
- возможность многократного болюсного введения препаратов без дополнительных пункций вены;
- удобство проведения длительных внутривенных инфузий;
- меньшая травматизация стенки вены;
- наличие катетеров разного диаметра — можно подобрать катетер для самых тонких вен;
- удобство фиксации катетеров к коже;
- меньший риск занесения инфекций при выполнении болюсных инъекций (может быть использован дополнительный порт).
Основная проблема, с которой сталкиваются родители детей, попавших в стационар: как правильно выбрать катетер для ребенка.
Как правильно выбрать внутривенный катетер для ребенка
При выборе периферического венозного катетера (ПВК) для маленького пациента следует ориентироваться на несколько критериев.
- Материал, из которого изготовлен катетер. Абсолютно все катетеры изготавливаются из полимеров: полиэтилена, тефлона, полиуретана. Отличие между этими материалами заключается в их способности вызывать тромбообразование и раздражение вены. Наиболее инертными материалами считаются политетрафторэтилен (тефлон) и полиуретан — лучше покупать внутривенные катетеры для детей из этих материалов. Наибольшее число побочных эффектов в виде флебита (проявляется нагрубанием и покраснением вены) вызывают катетеры из полиэтилена и полипропилена.
- Размер катетера. Опытная медсестра уже при первичном осмотре вен ребенка может посоветовать, какого размера катетер лучше взять. Некоторые родители думают, что “чем меньше ребенок, тем меньше катетер” — не всегда этот принцип применим в клинической практике. Катетер должен обеспечивать нужную скорость инфузии, а зависит она от того, какой раствор планируется вливать. Для физиологического раствора или 5% раствора глюкозы подойдут маленькие катетеры — фиолетовы (26 G) и желтый (24 G), они позволяют проводить инфузию со скоростью до 17 и 23 мл/мин соответственно. Но для инфузии лекарственных средств повышенной вязкости они не подойдут — лучше установить розовый (20 G) или синий (22 G) катетеры. Более толстые катетеры — зеленый (18 G) или белый (17 G) — детям установить практически невозможно.
- Наличие дополнительного порта. В аптеках можно купить как портированные катетеры (на них есть дополнительный порт для введения других лекарственных препаратов во время инфузии), так и непортированные (дополнительный порт на них отсутствует). Первый вариант предпочтительнее, если на фоне проведения инфузии планируется внутривенное введение других лекарств. Непортированные катетеры лучше устанавливать, когда требуется инфузия только одного препарата.
- Наличие фиксирующих крылышек. Катетер должен быть оснащен специальными пластиковыми “крылышками” — с их помощью он надежно фиксируется к коже лейкопластырем или специальными наклейками. Риск случайного удаления такого катетера значительно ниже.
- Сужающийся кончик катетера. Хороший катетер имеет плавное конусовидное сужение в сторону кончика иглы за счет уменьшение толщины стенки. За счет этого облегчается прохождение катетером кожи и стенки вены, исключается вероятность его “сморщивания” и сгибания.
- Наличие блокирующих иглу устройств в конструкции катетера. В данной разновидности катетеров (тип Сайфети) при извлечении иглы происходит блокировка ее кончика специальной клипсой. Это исключает возможность повторного использования катетера, а также предупреждает случайное срезание его кончика при попытке повторной пункции.
Коротко отметим признаки хорошего катетера для периферических вен:
- изготовлен из тефлона;
- катетер выбран с учетом диаметра вен ребенка и препаратов, которые планируется вводить;
- имеется дополнительный порт;
- катетер имеет сужение на конце;
- имеется блокиратор иглы.
Стоит отметить, что катетеры производства Индии, Китая и России пока еще по качеству не могут сравниться с качеством катетеров, произведенных в Германии.
Осложнения от внутривенных катетеров
Самое распространенное осложнение, возникающее при длительном нахождении катетера в вене, — флебит или воспаление вены. К флебиту может присоединиться тромбоз вены. Чаще всего тромбофлебит развивается как реакция на полиэтиленовые катетеры, у маленьких детей эта нежелательная реакция может проявиться уже через несколько часов. Самые яркие признаки флебита и тромбоза:
- вена становится жесткой, легко прощупывается;
- по ходу вены отмечается болезненность;
- кожа в области нахождения катетера гиперемирована;
- отмечается локальное повышение температуры кожи.
Любые признаки воспаления в области катетера являются абсолютным показанием для его удаления.

Как долго может стоять катетер в вене
Даже самый хороший катетер не рекомендуется держать в вене более 72 часов. При необходимости дальнейшего продолжения внутривенной инфузии следует удалить старый катетер и поставить новый в другую вену.
В детской онкологии для внутривенного введения химиотерапевтических препаратов чаще применяют центральные венозные катетеры. Их установка сопряжена с определенными техническими сложностями, но устанавливаются они сроком до недели и более. Подключичные катетеры позволяют вводить большие объемы инфузионных растворов, к тому же в центральные вены (подключичная, яремная, бедренная) можно вводить такие растворы, которые в периферические вены невозможно ввести из-за высокого риска флебита.
Правила ухода за катетером
За установленным периферическим венозным катетером необходимо тщательно следить. Все манипуляции с катетером — подключение и отключение системы, введение лекарства через дополнительный порт — выполняются медицинской сестрой в одноразовых перчатках с использованием антисептиков. Задача медперсонала состоит в предупреждении попадания инфекции в кровь.
После выполнения всех процедур проводится гепаринизация катетера — в него вводят раствор с низким содержанием гепарина, чтобы предупредить тромбообразование и закупорку. У маленьких детей после отключения системы с лекарством и гепаринизации наружную часть катетера закрывают бинтом, чтобы ребенок случайно его не извлек.
Это интересно! Если раствор во флаконе и системе для инфузий закончился, не стоит бояться, что через катетер в вену попадет воздух. Давление в вене достаточно, чтобы не допустить этого. Обычно раствор в системе останавливается за 20-30 сантиметров до катетера.
Читайте также:
- Лучевая диагностика синдрома Шегрена околоушной железы
- Регуляция секреции альдостерона. Обратная связь альдостерона
- Клиника перелома кости. Диагностика
- Кислородзависимая микробицидная активность. Кислороднезависимые механизмы уничтожения микробов.
- Гипернатриемия у онкологических больных - диагностика, лечение
