Лучевая диагностика синдрома Шегрена околоушной железы
Добавил пользователь Евгений Кузнецов Обновлено: 18.12.2025
Основные факты при проведении УЗИ при синдроме Шегрена
- Хотя синдром Шегрена (СШ) влияет на слюнные и слезные железы, поражение может казаться асимметричным на УЗИ слюнных желез.
- Лимфоматозное изменение проявляется в виде доминирующего, нечеткого, солидного, гипоэхогенного образования в слюнных железах ± поражение лимфоузлов.
- Повышенная паренхиматозная васкуляризация при СШ на ультразвуковом сканировании с ЦДК
- Внешний вид изображения зависит от стадии заболевания и наличия агрегатов лимфоцитов.
- Ранние стадии «милиарных» кист (точечные кистозные изменения ≤ 1 мм) могут быть пропущены, так как лучше видны на УЗИ на более поздних стадиях
- Диффузная гипоэхогенность слюнных и слезных желез может быть единственным ключом к разгадке раннего синдрома Шегрена.
- Неоднородные паренхиматозная эхоструктура в слюнных и слезных железах является типичной картиной
- Характерны множественные дискретные гипоэхогенные очаги, разбросанные по слезным и слюнным железам
- Фиброзные связки и кальцификаты, связанные с хроническим заболеванием
- Система балльной оценки УЗИ, основанная на суммировании баллов по эхогенности паренхимы, однородности, наличию гипоэхогенных участков, гиперэхогенных отражений и четкости границ слюнных желез
Основной дифференциальный диагноз
- Хронический склерозирующий сиаладенит, опухоль Куттнера
- Сиаладенит
- Доброкачественные лимфоэпителиальные поражения-ВИЧ
Что дает УЗИ слюнных желез?
- УЗИ улучшает диагностические возможности в сочетании с клиническими критериями
- Характерные особенности УЗИ хорошо коррелируют с гистологией, но отсутствие этих признаков не может исключить раннее заболевание.
- Крупные солидные гипоэхогенные поражения и шейная лимфаденопатия должны вызывать беспокойство по поводу неходжкинской лимфомы или альтернативного диагноза.

Терминология. Сокращения. Синдром Шегрена (СШ). Синонимы. Синдром Сикки
Определение. Хроническая системная аутоиммунная экзокринопатия, вызывающая разрушение тканей слюнных и слезных желез. Основное проявление: сухость в глазах и во рту без коллагеновых сосудистых заболеваний (КСЗ). Вторичные: сухость глаз и рта при сердечно-сосудистых заболеваниях, чаще всего ревматоидный артрит.
Общие особенности на УЗИ слюнной железы
Лучший диагностический признак. Двусторонние увеличенные околоушные железы, поднижнечелюстные железы (ПЧЖ) и слезные железы, множественные микро- и макрокистозные интрапаротидные солидные поражения и внутрижелезистые кальцификаты
Место расположения. Двусторонние изменения слюнных и слезных железы
Размер. Диапазон: от 2 см макрокисты (± смешанные солидно-кистозные образования)
Внешний вид на УЗИ зависит от стадии заболевания и наличия агрегатов лимфоцитов. Ранняя стадия: может казаться нормальным. Промежуточная стадия: милиарный узор из маленьких кист, диффузно распространяющихся по обеим околоушным железам. Поздняя стадия: более крупные кистозные (разрушение паренхимы) и солидные образования (агрегаты лимфоцитов) в двусторонних околоушных железах, ПЧЖ и слезных железах. Фиброзные связки и кальцификаты, связанные с хроническим заболеванием. На любой стадии могут быть солидные внутрипаротидные образования из-за скопления лимфоцитов, имитирующих опухоль.
Результаты ультразвукового исследования слюнной железы при синдроме Шерена
Серошкальное УЗИ. Вовлеченность может казаться асимметричной. Ранние стадии «милиарных» кист (точечные кистозные изменения ≤ 1 мм) могут быть пропущены, однако их легко увидеть на УЗИ на более поздних стадиях. Диффузная железистая гипоэхогенность может быть только признаком раннего синдрома Шегрена, как и неоднородная паренхиматозная эхоструктура. Множественные дискретные гипоэхогенные очаги, разбросанные по слезным и слюнным железам. Солидные очаг представляют собой агрегаты лимфоцитов. Микроцисты возникают из-за деструкции ацинусов или расширения терминального протока из-за сжатия лимфоидными агрегатами. Макроцисты образуются из-за разрушения слюнной ткани. Гиперэхогенные полосы (фиброз) и кальцификаты обычно связанны с хроническим заболеванием. Система балльной оценки УЗИ (основанная на суммировании баллов по эхогенности паренхимы, однородности, наличию гипоэхогенных участков, гиперэхогенных отражений и четкости границ слюнных желез) хорошо коррелирует с результатами биопсии околоушной железы. Лимфоматозное изменение проявляется в виде доминирующего, нечеткого, твердого, гипоэхогенного образования в слюнных железах ± поражение лимфатических узлов.
Цветной допплер. Повышенная паренхиматозная васкуляризация при синдроме Шегрена и коррелирует с тяжестью заболевания
Результаты КТ. Двустороннее увеличение околоушной железы, повышенная плотность и неоднородность структуры на КТ. Точечный кальциноз может диффузно присутствовать в обеих околоушных железах. При контрастировании гетерогенное усиление солидных и смешанных кистозно-солидных образований
Результаты MРТ
- T1WI. Дискретные скопления с низкой интенсивностью сигнала, отражающие содержащуюся в них водянистую слюну
- T2WI. Диффузный, двусторонний, высокий Т2, очаги 1-2 мм [ранние стадии (I и II)]. Множественный высокий сигнал Т2> 2-мм очаги [поздние стадии (III и IV)]
- T1WI C +. Гетерогенное умеренное усиление узловатой паренхимы и фиброза с неулучшающими кистозными изменениями
- МР-сиалография. Чувствителен к диагностике СШ (чувствительность и специфичность приближаются к 95%). Стадирует тяжесть синдрома Шегрена и заменяет обычную сиалографию. Типично отображение точечных, шаровидных, полостных или деструктивных очагов околоушных желез и дистальных изменений протока как очаговый высокий сигнал T2

Рекомендации ультразвуковому сканированию слюнных желез
Лучший инструмент для визуализации – проведение УЗИ, которое улучшает диагностические возможности в сочетании с клиническими критериями. Объединенная чувствительность УЗИ 69% и специфичность 92% в диагностике синдрома Шегрена. УЗИ является экономически эффективным методом наблюдения за пациентами с СШ. Обратите внимание на лимфоматозные изменения и роль ультразвукового сканирования в мониторинге эффекта лечения
Как проводят УЗИ слюнных желез. Используйте высокочастотные преобразователи (≥ 7,5 МГц). Одновременно оценивайте слюнные и слезные железы
Дифференциальный диагноз
- Хронический склерозирующий сиаладенит, опухоль Куттнера. Поднижнечелюстные железы поражаются чаще, чем околоушные, двусторонние, гипоэхогенные гетерогенные узлы без масс-эффекта, железы с фиброзом
- Сиаладенит. Гипоэхогенная, гетерогенная железа ± усиленная васкуляризация ± расширение протока ± слюнной камень
- Доброкачественные лимфоэпителиальные поражения - ВИЧ. Смешанные кистозные и солидные образования, увеличенные обе околоушные железы и, следовательно, имитирующие синдром Шегрена. Гиперплазия миндалин и реактивная шейная лимфаденопатия
- Неходжкинская лимфома, околоушные лимфоузлы. Двустороннее поражение, солидный гипоэхогенный вид, внутриузловая васкуляризация более выражена, чем периферическая ± другие признаки НХЛ
- Саркоидоз. Наличие шейных и средостенных лимфатических узлов. Диффузная гипоэхогенность слюнных желез; влияют на поднижнечелюстную больше, чем на околоушную железу
- Опухоли Вартина. 20% мультицентрический; гипоэхогенные, содидные / кистозные элементы с толстыми стенками, перегородки. Локализация на верхушке околоушной железы, частично в слезных и подчелюстных железах
Патология. Общие характеристики. Этиология. Плохо изученное иммуноопосредованное заболевание. В качестве исходного события была предложена вирусная инфекция. Агрегаты перидуктальных лимфоцитов проникают в ацинарную паренхиму слюнной железы и разрушают ее. Аутоиммунная дисрегуляция приводит к разрушению ацинарных клеток и протокового эпителия слезных и слюнных желез. Активированные лимфоциты избирательно повреждают слезные и слюнные железы, что приводит к повреждению тканей
Постановка диагноза, оценка и классификация. Проводиться на основе стандартной сиалографии или МР-сиалографии
- Стадия I: точечный контраст / высокий сигнал ≤ 1 мм
- Стадия II: шаровидный контраст / высокий сигнал: 1-2 мм
- Стадия III: полостной контраст / высокий сигнал> 2 мм
- Стадия IV: полное разрушение паренхимы околоушной железы.
Макропатологические и хирургические особенности. Увеличенные околоушные железы с множественными кистами от мелких до крупных и агрегатами лимфоцитов.
Микроскопические особенности. Биопсия: лимфоциты Т-лимфоцитов CD4 (+). Инфильтрация перидуктальных лимфоцитов и плазматических клеток и эпимиоэпителиальные островки. Ранние стадии: инфильтрация лимфоцитов и плазматических клеток препятствует прохождению интеркалированных протоков с увеличенными дистальными протоками через околоушные железы. Поздние стадии: активированные лимфоциты разрушают ткань слюнной железы, оставляя более крупные кисты и солидные агрегаты лимфоцитов.
Клинические проблемы и проявления. Наиболее частые признаки / симптомы. Болезненная двусторонняя опухоль околоушной железы
Клинический профиль. Рецидивирующие острые эпизоды болезненного отека слюнных и слезных желез. Хроническое безболезненное увеличение желез. Сухие глаза, рот и кожа. Ревматоидный артрит>> системная красная волчанка> прогрессирующий системный склероз
Лабораторные данные. Положительная лабиальная биопсия или аутоантитела к антигену А или В, ассоциированному с Шегреном, положительный резус-фактор в 95% и положительный результат на антинуклеарные антитела (AНA) в 80%. Положительный ревматоидный фактор до 95%. Тест Ширмера положительный (снижение слезоотделения)
Демография. Возраст. 50-70 лет
Пол. Поразительное женское преобладание (90-95%). Наиболее часто встречается у женщин в период менопаузы
Эпидемиология. Заболеваемость синдрома Шегрена составляет около 0,5%. Второе по распространенности аутоиммунное заболевание после ревматоидного артрита.
Ювенильный синдром Шегрена. Мужчины Естественная история и прогноз. Медленно прогрессирующий синдром, развивающийся годами. Неходжкинская лимфома (чаще всего околоушная железа или желудочно-кишечный тракт) может осложнять это хроническое заболевание.
Лечение
Лучевая диагностика синдрома Шегрена околоушной железы
Поражение околоушной железы при синдроме Шегрена - лучевая диагностика
а) Терминология:
• Синдром Шегрена: хроническая системная аутоиммунная экзокринопатия, при которой происходит разрушение ткани слюнных и слезных желез:
о Первичный синдром Шегрена: сухость глаз и слизистой полости рта; данных за системные заболевания соединительной ткани нет
о Вторичный синдром Шегрена: сухость глаз и слизистой полости рта на фоне имеющегося системного заболевания соединительной ткани, чаще всего ревматоидного артрита
б) Визуализация:
• Внешний вид зависит от стадии заболевания и наличия или отсутствия скоплений лимфоцитов в железе:
о Ранняя стадия синдрома Шегрена: околоушные железы могут выглядеть неизмененными
о Промежуточная стадия синдрома Шегрена: мелкие кисты, рассеянные в ткани желез (милиарный характер поражения)
о Поздняя стадия синдрома Шегрена: в обоих околоушных железах образуются крупные кисты (разрушение паренхимы) и солидные образования
о Точечные кальцификаты, рассеянные по ткани железы
• Традиционная сиалография:
о Чередующиеся участки стеноза и расширения протока железы (по типу ожерелья)
о Формирование расширенных ацинусов (по типу яблони)
• МР-сиалография вытесняет традиционную сиалографию
(Слева) Сиалограмма околоушной железы в боковой проекции, на которой определяются участки расширения и стеноза протока Стенсена (по типу ожерелья). Внутрижелезистые протоки разветвлены, содержат кистозные полости (в виде яблони). Подобные находки могут встречаться при любом хроническом сиалоадените, но более всего характерны для синдрома Шегрена.
(Справа) МРТ Т2ВИ FS, аксиальная проекция. В обоих околоушных железах определяются гипереинтенсивные образования, которые представляют собой кистозное расширение протоков околоушной железы при синдроме Шегрена. Тем не менее, такая МР-картина неотличима от лимфоэпителиальных образований при ВИЧ. (Слева) КТ с КУ, аксиальная проекция. Жировая инволюция обеих околоушных желез, которые имеют многодольчатое строение. В толще желез множественные кальцификаты. Участки отечной железистой ткани, в которой встречаются фрагменты жировой клетчатки и кальцификаты, характерны для синдрома Шегрена.
(Справа) КТ без КУ, аксиальная проекция. Определяется увеличение правой околоушной железы с повышением ее плотности. Такие изменения характерны для воспалительного процесса. И хотя при синдроме Шегрена страдают обе околоушные железы, при обострении может поражаться и одна железа.
в) Дифференциальная диагностика:
• Хроническое воспаление или обструктивный паротит
• Доброкачественные лимфоэпителиальные заболевания при ВИЧ
• Опухоль Вартина
• Неходжкинская лимфома лимфоузлов околоушной железы
г) Клинические особенности:
• Двустороннее болезненное увеличение околоушных желез
• В подавляющем большинстве случаев возникает у женщин (90-95%)
• При первичном синдроме Шегрена повышен риск возникновения злокачественных опухолей:
о Относительный риск возникновения неходжкинской лимфомы = 13,8
д) Диагностическая памятка:
• Образование в околоушной слюнной железе ± шейная лимфаденопатия может являться признаком лимфоматозной трансформации
а) Терминология:
1. Аббревиатура:
• Синдром Шегрена (СШ)
2. Синонимы:
• Синдром Сикка (сухость)
• Миоэпителиальный сиаладенит
3. Определения:
• Системное аутоиммунное заболевание, характеризующееся дисфункцией слезных и слюнных желез
• Вторичный СШ, связанный с другим ревматоидным заболеванием (напр., ревматоидным артритом, системной красной волчанкой)
б) Визуализация:
1. Общая характеристика:
• Лучший диагностический критерий:
о Классификация, основанная на рентгеновских признаках, обнаруживаемых при традиционной сиалографии или МР-сиалографии (Rubin и Holt):
- Стадия 1: точечная сиалэктазия/гиперинтенсивный сигнал, ровный овальный контур, - Стадия 2: шаровидная сиалэктазия/гиперинтенсивный сигнал, овальный, умеренно ровный контур, 1-2 мм
- Стадия 3: полостная сиалэктазия/гиперинтенсивный сигнал, умеренно ровный овальный контур, >2 мм
- Стадия 4: деструктивная сиалэктазия/гиперинтенсивный сигнал, неправильная форма, >2 мм
• Локализация:
о Слезные и крупные слюнные железы с обеих сторон
• Морфология:
о Неоднородность околоушной железы/патологическое диффузное накопление жировой ткани - высокоподозрительный признакСШ на КТ/МРТ/УЗИ
2. Рентгенография при синдроме Шегрена околоушной железы:
• Сиалэктазия: множественная точечная сиалэктазия

(Слева) На традиционной сиалограмме (боковая проекция) определяется распространенная точечная сиалэктазия правой околоушной железы в виде «цветущей вишни» или «фруктового дерева без ветвей». Картина типична для синдрома Шегрена (СШ). Обратите внимание на чередование расширенных участков и стриктур протока Стенсена в виде «связки сосисок» (картина хронической инфекции, сиалодохита).
(Справа) На аксиальной МРТ (Т2 ВИ FS) визуализируются многочисленные мелкие кисты, разбросанные в паренхиме обеих околоушных желез (картина множественных милиарных кист).
3. КТ при синдроме Шегрена околоушной железы:
• Двухстороннее увеличение крупных слюнных желез
• Возможны точечные кальцинаты в крупных слюнных железах
• Множественные милиарные кистозные или солидные очаги в железе
4. МРТ при синдроме Шегрена околоушной железы:
• Т1ВИ/Т2ВИ: множественные милиарные кистозные или солидные очаги в железе
5. Рекомендации по визуализации:
• Быстрое увеличение железы, изолированный отек, лимфаденопатия - признаки лимфомы
в) Дифференциальная диагностика синдрома Шегрена:
1. Доброкачественные лимфоэпителиальные поражения:
• Множественные кистозные и солидные очаги в железе могут в точности имитировать СШ
• ВИЧ(+)
• Гиперплазия миндалин с реактивной шейной лимфаденопатией
2. Опухоль Уортина:
• Неоднородное объемное образование, преимущественно (но не всегда) единичное; одно- или двухстороннее
3. Саркоидоз:
• Кистозные и солидные очаги в железах в сочетании с нереактивной шейной лимфаденопатией
4. Неходжкинская лимфома паротидных лимфоузлов:
• Часть системного заболевания; узлы с одной или обеих сторон

(Слева) На аксиальной КТ с КУ определяются признаки СШ с поражением обеих поднижнечелюстных желез, имеющих неоднородную, «пятнистую» структуру. Правая железа слегка увеличена.
(Справа) На аксиальной КТ с КУ определяется выраженная неоднородность структуры околоушных желез, выглядящих патологически измененными, с наличием мягкотканного компонента, разделенного областями, выглядящими более кистозными. Также визуализируются небольшие кальцинаты.
г) Патология:
1. Общая характеристика:
• Перидуктальные скопления лимфоцитов с инвазией и деструкцией ацинарной паренхимы слюнных желез
2. Градации, классификация:
• Гистопатологическая градация основана на обнаружении очаговых скоплений лимфоцитов, гистиоцитов, плазматических клеток при биопсии малых слюнных желез губы (1 фокус = 50 скоплений на 4 мм ткани)
• Пересмотренные критерии классификации СШ: наличие признаков/симптомов, лабораторных данных
д) Клинические особенности:
1. Проявления:
• Типичные признаки/симптомы:
о Увеличение крупных слюнных желез с обеих сторон
о Ксеростомия и ксерофтальмия (синдром сухости)
• Другие признаки/симптомы:
о Тяжелый кариес на фоне ксеростомии
о Кандидоз
о Дисгевзия
о Дисфагия
о Жжение во рту
о Периферическая нейропатия
• Диагноз не всегда ясен; симптоматика неявная и субъективная
2. Демография:
• Возраст:
о Средний возраст дебюта: 4-5 десятилетие; любая возрастная группа
• Пол:
о Ж:М = 9:1
• Второе наиболее частое аутоиммунное ревматоидное заболевание (в США)
3. Течение и прогноз:
• Риск неходжкинской лимфомы, особенно околоушной железы, ↑ в 19 раз на поздних стадиях СШ
4. Лечение:
• Симптоматическая терапия «сухого глаза» и «сухого рта» при помощи искусственных любрикантов
• Лечение системного ревматоидного заболевания
• Фториды для предотвращения кариеса
е) Список использованной литературы:
1. Gomes Pde Set al: Diagnostic approaches to Sjogren's syndrome: a literature review and own clinical experience. J Oral Maxillofac Res. 3(1): e3, 2012
2. Sun Z et al: Diagnostic accuracy of parotid CT for identifying Sjogren's syndrome. Eur J Radiol. 81(10):2702—9, 2012
3. Bayetto К et al: Sjogren's syndrome: a review of aetiology, pathogenesis, diagnosis and management. Aust Dent J. 55 Suppl 1:39-47, 2010
2. Синонимы:
• Сухой кератоконъюнктивит, синдром сухого глаза
3. Определения:
• Синдром Шегрена: хроническая системная аутоиммунная экзокринопатия, при которой происходит разрушение ткани слюнных и слезных желез:
о Первичный СШ: сухость глаз и слизистой полости рта; данных за системные заболевания соединительной ткани нет
о Вторичный СШ: сухость глаз и слизистой полости рта на фоне имеющегося системного заболевания соединительной ткани, чаще всего ревматоидного артрита
• Синдром Микулича:
о Аутоиммунная экзокринопатия, протекающая с поражением слезных и слюнных желез
о Ранее считалось, что представляет собой вариант первичного синдрома Шегрена
о В настоящий момент считается отдельной нозологической формой, развитие которой связано с нарушением lgG4
• Ювенильный СШ:
о Преимущественно встречается улиц мужского пола до подросткового возраста
о С наступлением пубертатного периода обычно проходит
1. Общая характеристика:
• Лучший диагностический критерий:
о КТ: увеличение обеих околоушных желез с множественными кистозными и солидными образованиями в их толще гладкие, округлые кальцификаты в ткани желез
• Локализация:
о Слезные и слюнные железы с обеих сторон
• Размер:
о Варьирует от субмиллиметровых очагов до макрокист и смешанных кистозно-солидных образований > 2 см
• Морфология:
о В острый период - диффузное двустороннее увеличение слюнных желез, в позднюю стадию-атрофия
о Крупный солидный узел может напоминать опухоль
о Со временем прогрессирует ранняя жировая атрофия
• Внешний вид зависит от стадии заболевания и наличия или отсутствия скоплений лимфоцитов в железе:
о Ранняя стадия СШ: околоушные железы могут выглядеть неизмененными
о Промежуточная стадия СШ: мелкие кисты, рассеянные в ткани желез (милиарный характер поражения)
о Поздняя стадия СШ: в обоих околоушных железах наблюдаются крупные кисты (разрушение паренхимы) и солидные образования
о На любой стадии заболевания возможно обнаружение солидных образований, которые по внешнему виду напоминают опухоль (образуются вследствие скопления лимфоцитов)
о Образование в околоушной слюнной железе!шейная лимфаденопатия может служить признаком лимфоматозной трансформации

(Слева) МРТ Т2ВИ FS, аксиальная проекция. Ткань обеих околоушных желез полностью замещена бесчисленными мелкими кистами. Выраженное увеличение размеров обеих желез. Данная картина характерна для острой стадии синдрома Шегрена.
(Справа) КТ без КУ, аксиальная проекция. Тотальная атрофия обеих околоушных желез с замещением их паренхимы жировой тканью. Такая картина характерна для хронической стадии синдрома Шегрена.
2. КТ околоушной железы при синдроме Шегрена:
• КТ без контрастирования:
о Симметричное увеличение околоушных желез с повышением их плотности, структура желез неоднородная
о Точечные кальцификаты, рассеянные по обеим железам
• КТ с КУ:
о Вид зависит от стадии:
- В раннюю стадию - множественные мелкие жидкостные кисты, размером менее 1 мм
- Кисты могут напоминать лимфоэпителиальные образования при ВИЧ-инфекции!солидные образования могут выглядеть как опухоль
- На поздних стадиях СШ железы подвергаются атрофии и жировой дегенерации
о Неоднородное накопление контрастного вещества в солидных образованиях
3. МРТ околоушной железы при синдроме Шегрена:
• Т1ВИ:
о Отграниченные участки пониженной интенсивности сигнала -слюна в расширенных протоках и ацинусах
• Т2ВИ:
о Участки гиперинтенсивного сигнала, размерами 1-2 мм, рассеянные по обоим железам (на ранних стадиях, I-II)
о Множественные участки гиперинтенсивного сигнала > 2 мм (поздние стадии, III-IV)
• Т1ВИ с КУ:
о Неоднородное умеренное накопление контраста в паренхиме желез в сочетании с фиброзом и кистозными изменениями (без накопления контраста)
• МР-сиалография:
о Информативна в диагностике синдрома Шегрена (чувствительность и специфичность приближаются к 95%)
о Определение степени патологических изменений
о В дистальных отделах протоков определяются точечные, шаровидные, полостные или деструктивные изменения (локальные участки сигнала повышенной интенсивности на Т2 ВИ)
о Вытеснила традиционную сиалографию
о По информативности сравнима с сиалоэндоскопией
4. УЗИ околоушной железы при синдроме Шегрена:
• На ранних стадиях точечные изменения (кисты менее 1 мм) можно пропустить, но на поздних стадиях нарушения очевидны
• Повышение интенсивности кровотока при допплеровском исследовании
5. Неваскулярная интервенционная диагностика:
• Традиционная сиалография:
о Используется в качестве стандарта для определения стадии заболевания
о Перемежающиеся участки расширения и стеноза протока (по типу ожерелья)
о Формирование расширенных ацинусов (по типу яблони)
о Ветвление протоков внутри железы
• Сиалоэндоскопия:
о Точность в определении стадии до конца неясна
о Пока не нашла широкого применения
6. Рекомендации по визуализации:
• Лучший метод визуализации:
о МРТ с сиалографией:
- Позволяет изучать поперечные срезы и определять стадию процесса

(Слева) КТ с КУ, аксиальная проекция. Отмечается интенсивное накопление контраста в обеих околоушных железах, имеются участки кистозной дегенерации. В правой околоушной железе обнаруживается солидное образование, равномерно накапливающее контраст, которое представляет собой лимфому. У пациентов с синдромом Шегрена повышен риск возникновения околоушных лимфом. При обнаружении любого солидного образования требуется выполнение биопсии.
(Справа) МРТ Т1ВИ FS с КУ, аксиальная проекция. Множественные кисты в обеих околоушных железах. Вокруг каждой из них имеется тонкое кольцо накопления контраста, что весьма характерно для синдрома Шегрена.
в) Дифференциальная диагностика поражения околоушной железы при синдроме Шегрена:
1. Хронический инфекционный или обструктивный паротит:
• Неравномерное расширение и сужение протоков
• Отсутствие солидных образований в толще железы
• Возможно наличие нескольких камней:
о Сиалолиты обычно продолговатые, удлиненные, заостренные
о Кальцификаты при СШ круглые, правильной формы
2. Доброкачественные лимфоэпителиальные заболевания при ВИЧ-инфекции:
• Кистозные и солидные образования в увеличенных околоушных железах; могут быть идентичны таковым при СШ
• Гипертрофия небных миндалин, реактивная лимфаденопатия
• Отсутствуют кальцификаты
3. Опухоль Вартина:
• В 20% множественные; могут быть одно- или двусторонними
• Характерное неоднородное строение опухоли
• При кистозном типе строения в просвете могут находиться лимфоузлы
4. Неходжкинская лимфома околоушных лимфоузлов
• Солидные образования в околоушной железе, обычно без кистозных изменений
• Шейная лимфаденопатия может отсутствовать
• Наличие хронического системного процесса к данному моменту обычно очевидно
5. Метастатическое поражение околоушных желез:
• Первичная опухоль и другие системные метастазы зачастую обнаруживаются одновременно
• Рак волосистой части кожи головы, лица, наружного слухового прохода
• Наличие в одной или обеих железах одного или нескольких образований с инфильтративным ростом
6. Саркоидоз околоушных желез:
• Редкое проявление саркоидоза
• Шейные и медиастинальные лимфоузлы
• Кистозные и солидные образования в обеих околоушных железах, увеличение размеров желез, лимфаденопатия, напоминающая реактивную

(Слева) КТ с КУ, аксиальная проекция. Диффузная жировая атрофия обеих околоушных желез с участками рубцевания и локального отека. Такая картина характерна для поздних стадий синдрома Шегрена.
(Справа) МРТ Т2ВИ FS, аксиальная проекция. В глубокой доле околоушной железы имеется дольчатое кистозное образование. Так выглядит расширение выводного протока железы при синдроме Шегрена, но здесь его легко можно принять за опухоль.
1. Общая характеристика:
• Этиология:
о Не до конца изученное аутоиммунное заболевание
о В качестве провоцирующих факторов рассматриваются вирусы, гормональные и эпигенетические факторы
• Скопления лимфоцитов, образующиеся возле протоков желез, разрушают ацинусы
• Нарушение иммунной регуляции приводит к повреждению клеток ацинуса и эпителия протоков слюнных и сальных желез
• Активированные лимфоциты избирательно повреждают ткань слезных и слюнных желез и приводят к их гибели
2. Стадирование, классификация поражения околоушной железы при синдроме Шегрена:
• По данным традиционной или МР-сиалографии:
о Стадия I: точечный контраст/интенсивный сигнал о Стадия II: шарообразный контраст/интенсивный сигнал 1-2 мм
о Стадия III: полость с контрастом/интенсивный сигнал > 2 мм
о Стадия IV: разрушение паренхимы околоушной железы
• Низкая корреляция с длительностью заболевания
3. Макроскопические и хирургические особенности:
• Увеличенные околоушные железы с множественными кистозными образованиями (от мелких до крупных)
4. Микроскопия:
• Лабиальная биопсия слюнной железы: CD4(+) Т-лимфоциты
• Околопротоковая лимфоцитарная и плазмоцитарная инфильтрация, островки миоэпителиоцитов:
о Ранние стадии: лимфоцитарные и плазмоцитарные инфильтраты протоки желез; расширение дистальных участков протоков
о Поздние стадии: активированные лимфоциты разрушают ткань слюнных желез, на месте которой остаются крупные кисты и скопления лимфоцитов
1. Проявления:
• Типичные признаки/симптомы:
о Двустороннее болезненное увеличение околоушных слюнных желез
• Другие признаки/симптомы:
о Сухость полости рта, глаз, кожных покровов
о Причины вторичного СШ: ревматоидный артрит >> системная красная волчанка > прогрессирующий системный склероз
• Клиническая картина:
о Пациента беспокоят повторяющиеся эпизоды болезненного увеличения околоушных желез
о Реже: длительное увеличение желез с периодически возникающим болевым синдромом
о Реже: безболезненное увеличение слюнных желез
• Лабораторные обследования:
о Для постановки окончательного диагноза требуются положительные результаты лабиальной биопсии или обнаружение аутоантитител против Шегрен-ассоциированного А или В антигена
о Ревматоидный фактор положительный в 95% случаев
о АНА положительные в 80%
о Положительный тест Ширмера (снижение продукции слезной жидкости)
2. Демография:
• Возраст:
о 50-70 лет
• Пол:
о Значительное преобладание женщин (90-95%)
о Чаще всего у женщин после менопаузы
• Эпидемиология:
о Инцидентность составляет- 0,5%
о Второе по распространенности аутоиммунное заболевание после ревматоидного артрита
• Ювенильный синдром Шегрена:
о Юноши младше 20 лет
о Часто сопровождается рецидивирующим паротитом
о После наступления пубертатного возраста обычно самопроизвольно разрешается
3. Течение и прогноз:
• Медленно прогрессирующее заболевание, которое развивается в течение нескольких лет
• При первичном синдроме Шегрена повышен риск развития злокачественных опухолей:
о Относительный риск неходжкинской лимфомы = 13,8
4. Лечение:
• Симптоматическое - увлажнение
• При системном процессе можно назначать глюкокортикоиды
е) Диагностическая памятка:
1. Следует учесть:
• МР-сиалография позволяет оценить состояние протоков и паренхимы
2. Советы по интерпретации изображений:
• Инвазивный рост, наличие крупного солидного образования и шейной лимфаденопатии говорит о вероятном злокачественном перерождении
ж) Список использованной литературы:
1. Liang Y et al: Primary Sjogren's syndrome and malignancy risk: a systematic review and meta-analysis. Ann Rheum Dis. 73(6): 1 151-6, 2014
2. Sun Z et al: Diagnostic accuracy of parotid CT for identifying Sjogren's syndrome. EurJ Radiol. 81(10):2702-9, 2012
3. Lee S et al: Mikulicz’s disease: a new perspective and literature review. Eur J Ophthalmol. 16(2): 199-203, 2006
4. Hamilton BE et al: Earring lesions of the parotid tail. AJNR Am J Neuroradiol. 24(9): 1757-64, 2003
Диагностика синдрома Шегрена на снимках КТ и МРТ
Какой метод диагностики болезни Шегрена выбрать: МР-сиалография, УЗИ или КТ
Методы выбора
Что покажут снимки МРТ слюнных желез при болезни Шегрена
- Диффузная (ячеистая) двусторонняя низкая интенсивность сигнала на Т1-взвешенном изображении
- При выраженном фиброзе наблюдается незначительное усиление после введения гадолиния
- Значительное усиление после введения гадолиния свидетельствует о высокой активности процесса
- Высокая интенсивность сигнала на Т2-взвешенном изображении
- Классификация:
- I стадия: Усиление после введения гадолиния, высокая интенсивность сигнала на Т2-взвешенном изображении < 1 мм.
- II стадия: Усиление после введения гадолиния, высокая интенсивность сигнала на Т2-взвешенном изображении 1—2 мм.
- III стадия: Усиление после введения гадолиния, высокая интенсивность сигнала на Т2-взвешенном изображении > 2 мм.
- IV стадия: Деструкция паренхимы железы.
В каких случаях проводят КТ слюнных желез при болезни Шегрена
- Диффузное поражение со сниженной плотностью (плотность идентична жидкости) с кистами различных размеров и наличием ячеек, в зависимости от стадии заболевания
- Четкое изображение кальцийсодержащих камней.
Проводят ли МР-сиалографию при миоэпителиальном сиаладените
- Множественные точечные очаги усиления после введения гадолиния/ контрастного вещества
- Смешанное строение: дольчатые структуры, полости и очаги деструкции
- Околоушные железы увеличены, структура ячеистая
- Расширение и стеноз выводных протоков.
Что покажет УЗИ слюнных желез при болезни Шегрена
- Фиброзные изменения паренхимы
- Уменьшение эхогенности.
Отличительные признаки
- Увеличенные околоушные железы с мелкими или средних размеров узелками и ячеистой паренхимой
- Прогрессирование фиброза с течением времени
- Склонность к образованию камней.
Что хотел бы знать лечащий врач
- Наличие «жизнеспособных» остатков железистой ткани
- Диагноз
- Очаги стеноза пророков.
Какие заболевания имеют симптомы, схожие с болезнью Шегрена
Саркоидоз
- Поражение лимфатических узлов шеи и средостения
- Увеличение околоушных желез с кистозными/ солидными изменениями
- Усиление гранулем после введения контрастного вещества
Доброкачественные лимфоэпитечиальные кисты при ВИЧ- инфекции
- Увеличение околоушных желез
- Множественные кисты с тонкой стенкой
-Возможно увеличение шейных лимфатических узлов
Опухоль Уортина
- Возможно двустороннее поражение
- Четко ограниченное кистозное/сблидное образование с узловыми разрастаниями на стенке кисты
-Обычно расположена в задненижней части железы
Сиаладеноз
-Сужение протоков в сочетании с гомогенной паренхимой
Лечение синдрома Шегрена
- При вторичных формах - лечение основного заболевания
- Жевательная резинка для стимуляции активности слюнных желез
- Искусственная слюна
- Глазные капли
- Обильное питье
- Бромгексин (стимуляция секреции)
- При образовании абсцесса - хирургическое лечение
Врачи каких специальностей диагностируют и лечат болезнь Шегрена
- Стоматолог (осмотр больного, определение тактики лечения)
Прогноз
- Первый тип обычно имеет доброкачественное течение
- Злокачественная (неходжкинская) лимфома развивается в 4-6% случаев
- Прогноз при втором типе зависит от основного заболевания
Возможные осложнения и последствия
- Изъязвление роговицы
- В редких случаях развивается васкулит или поражение почек и легких.

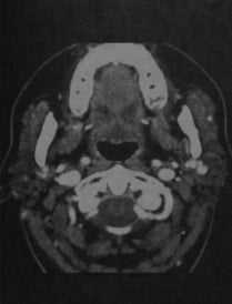
Синдром Шегрена. КТ с контрасти рованием: неоднородная плотность паренхимы обеих желез и уменьшение их размеров вследствие фиброза.
МРТ в трех плоскостях: ткань слюнных желез неоднородна, особенно в левой околоушной железе, наблюдаются мелкие кисты с высокой интенсивностью сигнала на Т2-взвешенном изображении (а).
Читайте также:
