Осложнения операции удаления вестибулярной шванномы
Добавил пользователь Евгений Кузнецов Обновлено: 26.10.2025
НИИ нейрохирургии им. акад. Н.Н. Бурденко РАМН, Москва
ФГАУ «НИИ нейрохирургии им. акад. Н.Н. Бурденко» Минздрава России, Москва, Россия
ФГБНУ «НИИ нейрохирургии им. акад. Н.Н. Бурденко», Москва, Россия
Хирургическое лечение неврином слухового нерва (вестибулярных шванном)
Журнал: Журнал «Вопросы нейрохирургии» имени Н.Н. Бурденко. 2017;81(3): 66‑76
Клинические рекомендации — это актуальные систематически разработанные положения, созданные для того, чтобы помочь врачу в принятии решений относительно врачебной тактики в определенных клинических ситуациях, они содержат установки по проведению диагностических и скринирующих тестов, по объему медицинской и хирургической помощи и по другим аспектам клинической практики. Вестибулярные шванномы составляют 8% всех внутричерепных образований, до 30% опухолей задней черепной ямки и 85% опухолей мосто-мозжечкового угла. Заболеваемость невриномами слухового нерва составляет примерно 1 случай на 100 000 населения в год. В работе представлены вопросы классификации, диагностики и лечения неврином слухового нерва. В рекомендациях подробно рассмотрены ключевые аспекты формулировки клинического диагноза, классификационные признаки, определение показаний к хирургическому или лучевому лечению, а также принципы выжидательной тактики при вестибулярных шванномах. Особое внимание уделено хирургическому лечению неврином слухового нерва, приведены критерии выбора хирургического доступа, использования современного операционного оснащения, этапы удаления опухоли. В соответствии с принятой клинической классификацией предложены алгоритмы действий в зависимости от стадии заболевания и динамики развития патологического процесса, возраста пациента и клинических проявлений. Ключевые положения клинических рекомендаций основаны на критериях доказательности. Работа предназначена для практической деятельности специалистов нейрохирургов.
Клинические рекомендации (КР) — это актуальные, систематически разработанные положения, созданные для помощи врачу в принятии решений относительно врачебной тактики в определенных клинических ситуациях. Они содержат установки по проведению диагностических и скринирующих тестов, по объему медицинской и хирургической помощи и по другим аспектам клинической практики [1].
Цель составления КР — попытка стандартизации вопросов диагностики и лечения заболеваний по всем разделам медицины, в том числе и по нейрохирургии.
КР включают описание методов диагностики и лечения профильных заболеваний, уровни доказательности основных положений, указатели лекарственных препаратов по Международным непатентованным названиям, оценку информационных ресурсов, использованных для разработки документа. Все основные разделы КР («Общие сведения», «Диагностика», «Лечение») должны содержать уровни доказательности приводимых в данном разделе положений.
В КР могут использоваться различные шкалы уровней доказательности, например, критерии, основанные на шкале уровней (категорий) доказательности Оксфордского центра доказательной медицины. По рекомендации Ассоциации нейрохирургов России в КР нейрохирургического профиля используется шкала «Стандарты—Рекомендации—Опции», в которой «Стандарт» соответствует уровню доказательности класса А, «Рекомендация» — уровням доказательности класса В—С, «Опция» — уровню доказательности класса С.
Стандарты. Это общепризнанные принципы диагностики и лечения, которые могут рассматриваться в качестве обязательной лечебной тактики. Большей частью — это данные, подтвержденные наиболее доказательными исследованиями (1—2 класс) — мультицентровыми проспективными рандомизированными исследованиями, или же данные, подтвержденные результатами независимых крупных нерандомизированных проспективных или ретроспективных исследований, выводы которых совпадают.
Рекомендации. Лечебные и диагностические мероприятия, рекомендованные к использованию большинством экспертов по этим вопросам, которые могут рассматриваться как варианты выбора лечения в конкретных клинических ситуациях. Эффективность рекомендаций определяется в исследованиях 2-го и реже — 3-го класса доказательности, т. е. в проспективных нерандомизированных исследованиях и крупных ретроспективных исследованиях. Для перехода этих положений в разряд стандартов необходимо их подтверждение в проспективных рандомизированных исследованиях.
Опции. Основаны на небольших исследовательских работах 3-го класса доказательности и представляют, главным образом, мнение отдельных авторитетных по тем или иным направлениям экспертов, или экспертных групп.
Общие сведения. Вестибулярные шванномы составляют 8% от всех внутричерепных образований, до 30% опухолей задней черепной ямки и 85% опухолей мосто-мозжечкового угла [2]. Термины «вестибулярная шваннома» и «невринома слухового нерва» являются синонимами, обозначающими доброкачественные опухоли, которые состоят полностью из шванновских клеток и исходят из вестибулярной порции слуховестибулярного нерва (более часто из верхней части вестибулярной порции) [3, 4]. В мировой литературе в основном используется термин «вестибулярная шваннома», а в отечественной — «невринома слухового (VIII) нерва».
Заболеваемость невриномами слухового нерва составляет примерно 1 случай на 100 000 населения в год [5]. Другими словами, каждый год в Российской Федерации появляется 1500 новых случаев неврином слухового нерва. Учитывая постоянное совершенствование методов нейровизуализации, позволяющих устанавливать диагноз на ранних стадиях заболевания, эта цифра может быть еще выше.
Невриномы слухового нерва в 95% случаев является односторонней опухолью. 5% неврином имеют мультицентрический двусторонний характер роста и являются проявлением нейрофиброматоза типа II (НФ-2) — наследственного, аутосомного заболевания, имеющего доминантный характер наследования. Истинные, спорадические невриномы слухового нерва развиваются наиболее часто на четвертом—пятом десятилетии жизни, имея общий возрастной период от 12 до 88 лет [6]. Более часто невриномы встречаются у женщин, чем у мужчин, примерное соотношение 3:2. Двусторонние невриномы, обусловленные НФ-2, проявляются значительно раньше, во втором—третьем десятилетии жизни [7, 8].
Невриномы слухового нерва являются, как правило, плотным, опухолевым образованием, в редких случаях содержат в своей структуре кисты, имеют хорошо выраженную капсулу, четко отграниченную от мозгового вещества. Они возникают во внутреннем слуховом проходе, в зоне Obersteiner-Redlich между миелин-продуцирующими олигодендроцитами и шванновскими клетками, расположенными в 8—10 мм от пиальной оболочки боковой поверхности моста. Рост опухоли происходит в сторону наименьшего сопротивления по корешку нерва в средней части мостомозжечкового угла. Близлежащая часть нерва может быть изолирована при маленькой опухоли, но с увеличением размера последней включается в ее структуру [9]. При более поздних стадиях заболевания и значительно больших размерах опухолевого узла происходит аналогичное воздействие на близлежащие черепные нервы. По частоте вовлечения в этот процесс на первом месте стоит, естественно, вестибуло-кохлеарный нерв, затем в порядке убывания частоты следуют лицевой и тройничный нервы, языкоглоточный нерв и другие [3, 10].
Классификации стадий развития заболевания
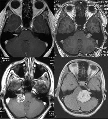
В практической деятельности наиболее универсальными являются классификации, предложенные Koos [11] и Samii [12]. Они основаны на оценке размеров невриномы и ее отношении к окружающим мозговым и костным структурам (рис. 1, 2).

Рис. 1.Иллюстрация классификации неврином слухового нерва по Koos. а — I стадия — опухоль находится в пределах внутреннего слухового прохода, диаметр экстраканальной части составляет 1—10 мм; б — II стадия — опухоль вызывает расширение канала внутреннего слухового прохода и выходит в мостомозжечковый угол, ее диаметр составляет, 11—20 мм; в — III стадия — опухоль распространяется до ствола головного мозга без его компрессии, диаметр составляет 21—30 мм; г — IV стадия — опухоль вызывает компрессию ствола головного мозга, ее диаметр более 30 мм.

Рис. 2.Классификация неврином слухового нерва по M. Samii. а — Т1 — интрамеатальная опухоль (рис. 2, a); б —Т2 — интра-экстрамеатальная опухоль; в — Т3а — опухоль заполняет мостомозжечковую цистерну; г —Т3b — опухоль распространяется до ствола головного мозга; д —Т4а — опухоль вызывает компрессию ствола; е —Т4b — опухоль грубо деформирует ствол мозга и IV желудочек.
В клинической практике обе эти классификации следует равноценно рассматривать в качестве основных принципов оценки клинической стадии заболевания (опция).
По данным анализа большого массива клинических исследований (663 собственных наблюдения), на сегодняшний день средний размер невриномы слухового нерва составляет 32×30×30 мм. Распределение по стадиям заболевания представлено следующим образом:
Невринома слухового нерва (вестибулярная шваннома)
Невринома слухового нерва или вестибулярная шваннома – опухоль доброкачественного течения, которая поражает 8 пару черепно-мозговых нервов. Болезнь не дает метастазы, но может увеличиваться в размере, сдавливать окружающие ткани, приводить к полной потере слуха и другим неприятным симптомам. Лечение невриномы слухового нерва в клинике Бурденко состоит из ряда диагностических и лечебных мероприятий, позволяющих хирургическим путем удалить опухоль, используя для этого современное оборудование.
Согласно врачебным наблюдениям и статистическим данным, невринома занимает 10 часть от всех онкологических заболеваний головного мозга. Чаще диагностируется у людей среднего возраста, требует грамотной лечебной терапии.
Причины и симптомы невриномы слухового нерва
Несмотря на достижения в современной неврологии и онкологии, точные причины невриномы слухового нерва неизвестны. Спусковым механизмом для развития опухолевидного процесса могут выступать:
- воздействие радиации;
- контакт с ядовитыми и токсическими веществами;
- нейротоксины;
- инфекционные заболевания среднего уха;
- сосудистая дисфункция;
- последствия черепно-мозговая травма;
- наследственность.
Большая доля развития вестибулярной шванномы отводится генетической предрасположенности. Так если один из родителей болеет этим недугом, вероятность того, что он проявиться у ребенка составляет 50%.
В начале развития болезни, когда размер опухоли не превышает 2.5 см, клинические признаки практически отсутствуют. Изредка отмечается тошнота, повышенная усталость, головная боль и головокружение. По мере роста образования, симптоматика становится более выраженной, сопровождается:
- заложенность уха;
- ощущение давления в области внутреннего уха;
- звуковые ощущения в виде шума, писка или звона в ушах;
- головокружение;
- шаткость походки;
- снижение слуха на стороне повреждения.
Когда опухоль достигает 3 – 4 см, оно начинает черепномозговые нервы и сосуды, в результате чего состояние больного ухудшается. На данном этапе болезни проявляются следующие признаки:
- зрительные нарушения;
- паралич и парез мимических мышц;
- тремор подбородка;
- онемение части лица.
Характерным симптомом является острая или ноющая боль, которая напоминает зубную. По мере роста опухоли, болевой синдром проявляется все чаще, отдает в затылок, присоединяется рвота, которая не связанна с приемом пищи. Когда образование оказывает давление на мозжечок, у больного нарушается походка, координация движений, нарушаются вкусовые качества, речь, глотательный рефлекс. На последних стадиях патология приводит к полной потере слуха.
Чтобы не допустить прогрессирование патологии, лечение невриномы головного мозга нужно проводить при первых признаках. Своевременная диагностика с последующим лечением существенно увеличивает шансы на выздоровление.
Методы лечения
Если есть подозрения на опухоль в головном мозге, нужно как можно быстрее обратиться за врачебной помощью. После собранного анамнеза, осмотра, врач назначит ряд диагностических обследований:
- аудиометрия;
- электронистагмография;
- рентгенография височных костей;
- биопсия;
- МРТ или КТ.
Результаты исследований помогут врачу определить локализацию и размер образования, поставить правильный диагноз, назначить необходимое лечение.
Терапия при вестибулярной шванноме справа или слева зависит от размера опухоли. На начальной стадии лечение может проводиться при помощи консервативной терапии, которая будет включать прием нескольких групп лекарственных препаратов, позволяющих уменьшить клинические признаки болезни, замедлить или остановить рост опухоли. В основном врачи назначают препараты следующих фармакологических групп:
- мочегонные;
- противовоспалительные;
- глюкокортикостероиды;
- обезболивающие;
- цитостатики.
Выбор конкретного лекарства, дозы и длительность их применения определяется врачом для каждого пациента.
Категорически запрещено проводить самолечение или использовать народные методы, поскольку они не только не принесут должного результата.
Лечение невриномы мостомозжечкового угла или слухового нерва при небольшом образовании проводят при помощи лучевой терапии, которая также дает хорошие результаты. В случае если опухоль не поддается консервативным методикам или имеет достаточно большие размеры, единственным способом избавиться от болезни будет выступать оперативное лечение невриномы слухового нерва.
К радикальным способам относят удаление невриномы слухового нерва хирургическим путем. Процедура может проводиться тремя способами:
- Транслабиринтный – проводиться через наружную стенку лабиринтной части среднего уха. В процессе операции удаляется небольшой сегмент среднего уха и сама опухоль. Больной полностью утрачивает возможность слышать на одно ухо, также присутствуют большие риск нарушения функций вестибулярного нерва.
- Субокципитальный – доступ к опухоли проводится путем вскрытия черепа под затылком. Используется при больших образованиях. Сохранить слух после удаления невриномы слухового нерва данным методом можно в 45% случаях.
Если размер образования не превышает 2 см в диаметре, удалить его можно через среднюю черепную ямку. Прогноз при таком хирургическом вмешательстве положительный.
Все операции проводятся под общим наркозом с трепанацией черепа. Длительность хирургического вмешательства зависит от многих факторов, может занять от 2-х до 6-ти часов. Восстановительный период после операции – продолжительный. Больной длительное время находиться в стационаре, затем переводится на амбулаторное лечение.
Удаление невриномы слухового нерва в Бурденко
Институт нейрохирургии им. Бурденко в Москве относится к одной из крупных клиник, где проводятся операции по удалению опухолей головного и спинного мозга. Каждый пациент, обратившийся в клинику имеет возможность проконсультироваться у лучших врачей нейрохирургов столицы. Специалисты не только проведут осмотр и назначат необходимое обследование, но и подберут наиболее эффективное лечение.
Удаление невриномы слухового нерва в Бурденко проводится при помощи современного оборудования, которое с высокой точностью позволяет врачу провести иссечение опухоли в структурах головного мозга.
Клиника оснащена собственной клинической лабораторией, стационаром, также пациентам и их родственникам предоставляются комфортные условия для перебивания. За время своего существования, врачи нейрохирурги провели сотни успешных операций по удалению невриномы слухового нерва. Стоимость операции по удалению невриномы слухового нерва в институте нейрохирургии в Москве зависит от сложности операции и самой методики ее проведения.
Возможные риски и осложнения
Негативные последствия после удаления невриномы слухового нерва достаточно высокие. В процессе операции могут быть затронуты сосуды и нервные окончания. К распространенным осложнениям относят:
- нарушение координации;
- невозможность полностью закрыть глаз;
- проблемы с глотанием;
- частичные онемения;
- возникновение рецидива;
- менингит;
- послеоперационные кровоизлияния;
- частые головные боли.
Прогноз после лечения предугадать сложно. Все зависит от возраста больного, сопутствующих заболеваний, а также на каком этапе болезни проводилось лечение. Чем больше опухоль, тем хуже прогноз.
Специфической профилактики для невриномы слухового нерва нет. Вовремя диагностировать болезнь помогут ежегодные медицинские осмотры.
Осложнения операции удаления вестибулярной шванномы
Результаты операции при вестибулярной шванноме и ее прогноз
Уровни смертности и осложнений постепенно уменьшаются, как это было описано выше. Glasscock et al. указывают, что уровень летальности при хирургическом удалении вестибулярных шванном менее 1%. Наши данные совпадают.
Самым важным фактором, влияющим на уровень летальности, является раннее выявление опухоли при повышенной настороженности и со стороны врача, и со стороны пациента. Рутинное использование операционного микроскопа, мониторинга лицевого нерва, развитие транслабиринтного доступа, улучшенное нейроотологическое анестезиологическое пособие, реанимационное мониторирование и развитие достоверных методов рентгенологической визуализации улучшило выживаемость и сохранение функций у пациентов с вестибулярными шванномами.
Раннее выявление при высоком разрешении контрастной МРТ с гадолинием помогло снизить частоту осложнений, а с применением лечения опухолей на ранних стадиях — сохранить слух и функцию лицевого нерва. Интраоперационный мониторинг лицевого нерва непосредственно влияет на улучшение его послеоперационного функционирования. Сохранение функции лицевого нерва зависит от протяженности, размеров опухоли, хотя свою роль играет и тип опухоли.
Существенно худшее функционирование лицевого нерва выявлено в случаях, когда опухоли проявляются такими клиническими признаками, как головная боль, атаксия или ухудшение функций лицевого нерва. В наших исследованиях, схожих с другими, было выявлено сохранение функции по шкале Хаус-Брэкмана I или II степени в 88% случаев. При практически тотальном удалении, сохранение небольшого объема опухоли вдоль лицевого нерва при больших или воспаленных новообразованиях может обеспечить адекватный контроль и улучшить исход для лицевого нерва в случаях отсутствия гарантии при радикальной резекции.
Сохранение слуха также тесно связано с ранним выявлением и размерами опухоли. Сохранение слуха варьирует от 26 до 80% и зависит от предоперационного качества слуха, размера и локализации опухоли, возраста пациента и доступа. Оптимальные результаты достигаются в случае, если удается подойти к не затрагивающей дно маленькой опухоли, не разрушая при этом внутреннее ухо, избегая растяжения улиткового нерва и оставляя сосуды интактными.
Улучшение техники закрытия ран снизило утечку СМЖ до 10%. Использование аутогенного фибринового клея не привело к значительному снижению утечки СМЖ; однако смешанный фибриновый клей может давать некоторые преимущества. Несмотря на различные техники закрытия утечки СМЖ, уровень находится на 10%, что может быть постоянной проблемой для неконтролируемого повышения внутричерепного давления (ВЧД).
Интересно посмотреть, обеспечит ли краниопластическое закрытие транслабиринтного дефекта титановыми скобами или системами пластин защиту СМЖ от пульсации через трансплантат жировой ткани, что позволит уменьшить частоту оторинореи СМЖ.

Три стадии роста вестибулярной шванномы:
а - Опухоль с интрамеатальным ростом.
б - Опухоль с интра- и экстрамеатальным ростом.
в - Опухоль с преимущественно экстрамеатальным ростом.
Редактор: Искандер Милевски. Дата обновления публикации: 18.3.2021
Невринома слухового нерва - симптомы и лечение
Что такое невринома слухового нерва? Причины возникновения, диагностику и методы лечения разберем в статье доктора Касаткина Дениса Сергеевича, нейрохирурга со стажем в 11 лет.
Над статьей доктора Касаткина Дениса Сергеевича работали литературный редактор Маргарита Тихонова , научный редактор Сергей Федосов и шеф-редактор Лада Родчанина
Определение болезни. Причины заболевания

Данная опухоль составляет 82 % всех опухолей мостомозжечкового угла, 7 % всех внутричерепных опухолей и до трети опухолей задней черепной ямки. В год невриному обнаруживают примерно у одного человека на 100 тысяч населения. В 97 % случаев опухоль локализуется только с одной стороны. У остальных пациентов — поражение двустороннее [1] .
Невриномы слухового нерва возникают в 40-50 лет. Более часто они встречаются у женщин, чем у мужчин: примерно 3:2 [1] .
Впервые невриному описал Голландский анатом E. Sandifort в 1777 году, как "небольшое патологическое образование, прилежащее к слуховому нерву". Оно было выявлено у пациента, страдавшего глухотой. Позднее, в 1822 году J. Wishart, хирург из Шотландии, при вскрытии больного описал случай двусторонней опухоли вестибулокохлеарных нервов у пациента, страдавшего тугоухостью на оба уха, приступами головной боли и параличом лицевого нерва.
Наибольший вклад в изучение проблемы лечения вестибулярных шванном сделал американский нейрохирург H.Cushing. Он снизил летальность c 80 % до 10 %. Позднее его коллега из Швейцарии M.G. Yasargil внедрил технику работы с операционным микроскопом, разработал микронейрохирургические инструменты. Это позволило более безопасно и радикально удалять опухоли, сохраняя при этом ствол головного мозга, смежные черепно-мозговые нервы и сосудистую структуру [2] .
Причиной появления невриномы, чаще двусторонней, может быть нейрофиброматоз II типа — распространённая наследственная болезнь, которая предрасполагает к возникновению опухоли, а также наследственная генетическая мутация в 22-ой хромосоме.
Риск развития невриномы увеличивают:
- действие ионизирующего излучения;
- гормональный фон;
- агрессивные факторы внешней среды — жизнь в местности, загрязнённой промышленными отходами, продуктами сгорания авиационного топлива и пр.;
- неправильное питание [4][11] .
К примеру, беременность или облучение прямыми солнечными лучами могут ускорить рост опухоли и спровоцировать появление первых симптомов болезни.
При обнаружении схожих симптомов проконсультируйтесь у врача. Не занимайтесь самолечением - это опасно для вашего здоровья!
Симптомы невриномы слухового нерва
Первые признаки заболевания:
- Расстройства слуха — шум или звон в ухе, волнообразное, постепенно нарастающее, иногда острое снижение слуха [13] . Чаще эти симптомы связаны с поворотом головы головокружением, иногда со спонтанным нистагмом — непроизвольным ритмичным движением глаз из стороны в сторону.
- Поражение лицевого нерва — негрубая слабость мимических мышц на стороне опухоли, усиленное слезотечение [14] , изменение вкусовых ощущений на передней 2/3 поверхности языка из-за воздействия на барабанную струну, которая отходит от лицевого нерва.
- Поражение тройничного нерва свидетельствует о большом размере опухоли. Первый признак такого нарушения — угнетение роговичного рефлекса (нарушение смыкания век при прикосновении к роговице). В дальнейшем развивается покалывание языка [14] , гипестезия на лице (потеря чувствительности) или тригеминальная невралгия — мучительные стреляющие боли в половине лица.
В дальнейшем могут появиться симптомы поражения черепных нервов каудальной группы:
- языкоглоточного нерва — нарушение вкусового восприятия на задней трети языка, снижение чувствительности слизистой верхней части глотки, дисфагия (нарушение глотания пищи);
- блуждающего нерва — асимметрия мягкого нёба, дисфония (голос становится хриплым) [14] ;
- добавочного нерва — слабость и гипотрофия трапециевидной и грудино-ключично-сосцевидной мышц;
- подъязычного нерва — атрофия мышц языка на стороне опухоли.

Появление тех или иных симптомов зависит от размеров опухоли и стадия её развития. Дальнейший рост невриномы ведёт к компрессии (сдавлению) 4-го желудочка и ствола головного мозга, появляются симптомы, связанные с увеличением внутричерепного давления. Например, пациент с большой опухолью может жаловаться на слабость в конечностях, асимметрию лица, тошноту, рвоту головокружение, глухоту на одно ухо.
Ниже в таблице представлена частота встречаемости неврологических симптомов невриномы слухового нерва [4] .
Патогенез невриномы слухового нерва
Увеличиваться опухоль может в двух направлениях: в сторону слухового прохода и в сторону мостомозжечкового угла. От направления роста зависит, какие органы и нервы будет сдавливать опухоль при дальнейшем увеличении: мозжечок, лицевой, тройничный или каудальная группа черепных нервов [16] .

Рис. Схематичное изображение роста невриномы слухового нерва из внутреннего слухового прохода в заднюю черепную ямку со сдавление ствола головного мозга.
Макроскопически опухоль представляет собой бугристую серую сферу неправильной формы. Она не прорастает в ткань мозга и часто в своей структуре имеет вкраплённые кисты, заполненные жидкостью. Обычно растёт медленно — по 2-5 мм в год — и даёт о себе знать, когда достигает больших размеров.

По данным патоморфологических исследований выделяют два основных типа опухоли:
- Антони А — клетки опухоли формируют группы с вытянутыми ядрами;
- Антони В — различные узоры звездообразных клеток и их длинных отростков [5] . Обычно этот тип встречается при больших невриномах. Считается, что они возникает в результате ишемии [14] .

Симптомы и жалобы при вестибулярной шванноме обусловлены четырьмя основным процессами:
- компрессия сосудов головного мозга, которая ведёт к инсульту;
- поражение черепных нервов;
- сдавление и смещение ствола головного мозга;
- сдавление 4-го желудочка [3] .

Классификация и стадии развития невриномы слухового нерва
Все классификации и стадии невриномы слухового нерва учитывают размер опухоли и её положение относительно ствола головного мозга [6] . Активно во врачебной практике используются классификации W. Koos и M. Samii. Они позволяют определить тактику лечения.
Стадии роста невриномы по W. Koos:
- I стадия — опухоль до 10 мм, не выходит за пределы внутреннего слухового прохода;
- II стадия — опухоль до 20 мм, расширяет внутренний слуховой проход и выходит в мостомозжечковый угол;
- III стадия — опухоль до 30 мм, достигает ствола головного мозга, но не сдавливает его;
- IV стадия — опухоль больше 30 мм, сдавливает ствол головного мозга [15][17] .

Классификация невриномы слухового нерва по M. Samii:
- Т1 — опухоль, расположенная во внутреннем слуховом проходе;
- Т2 — опухоль, растущая из внутреннего слухового прохода;
- Т3а — опухоль, заполняющая цистерну мостомозжечкового угла;
- Т3b — опухоль, достигающая ствола головного мозга;
- Т4а — опухоль, сдавливающая ствол;
- Т4b — опухоль, грубо деформирующая ствол мозга и 4-й желудочек.
Также можно выделить четыре стадии клинического течения болезни:
- отиатрическая стадия — шум или глухота на одно ухо;
- отоневрологическая стадия — присоединяются поражения тройничного и лицевого нервов на стороне опухоли;
- гипертензионно-гидроцефальная стадия — на этой стадии болезни пациент отмечает головные боли, появляется тошнота, рвота;
- бульбарная стадия — добавляется дизартрия, дисфагия, дисфония.
Осложнения невриномы слухового нерва
Наиболее распространённым осложнением невриномы является односторонняя нейросенсорная тугоухость: с ростом опухоли человек полностью теряет слух. Также часто страдает лицевой нерв, из-за чего развивается односторонний паралич мимической мускулатуры.

Чем больше размер опухоли, тем выше риск поражения каудальной группы черепных нервов. Это может привести к такому опасному для жизни осложнению, как бульбарный синдром — паралич мышц, которые иннервированы каудальной группой нервов (языкоглоточного, блуждающего и др.). Он может привести к тому, что человек не сможет самостоятельно питаться через рот.
Когда опухоль начинает сдавливать ствол головного мозга, развиваются симптомы поражения пирамидного тракта — нарушается походка, возникает слабость в конечностях, параличи и парезы. А при сдавливании водопровода головного мозга может развиваться гидроцефалия. Если на этой стадии болезни не выполнить хирургическое лечение, дальнейшее компрессия ствола головного мозга приводит к смерти пациента из-за поражения дыхательного цента и ретикулярной формации — всей оси ствола головного мозга [7] .
Невриномы слухового нерва не перерождаются в рак, однако учитывая, что локализация опухоли очень сложная для радикального удаления, она может снова появляться или продолжать расти даже после радиохирургического лечения.
Диагностика невриномы слухового нерва
Диагностика невриномы слухового нерва должна включать в себя неврологическое обследование, исследование слуха, а также лучевые методы исследования.
Ранняя диагностика невриномы основана на точной оценке слуха — аудиограмме. Если заболевание есть, то исследование показывает ассиметричную нейросенсорную потерю слуха, при этом одновременно наблюдается диспропорциональное снижение разборчивости речи.
Так как вестибулярные шванномы постепенно приводят к вестибулярным нарушениям со стороны поражённого уха, пациенты редко жалуются на головокружения и чаще испытывают ощущение шаткости при походке. Уловить эти нарушения может самый чувствительный аудиометрический тест — аудиометрия по слуховым вызванным потенциалам (КСВП). С его помощью исследуют ответную реакцию ствола головного мозга на звуковой раздражитель. При обнаружении отклонений прибегают к визуальным методам исследования.
Оптимальными способами визуальной диагностики являются компьютерная томография (КТ) и магнитно-резонансная томография (МРТ) головного мозга. Эти исследования принято проводить с контрастным усилением, так как оно позволяет обнаружить даже небольшие новообразования [14] . Иногда опухоль обнаруживается случайно — при проведении КТ или МРТ головного мозга по другому поводу [13] . По результатам этих исследований можно поставить точный диагноз, выявить локализацию опухоли, её размеры, структуру, отношение к окружающим тканям задней черепной ямки, спланировать тактику хирургического или радиологического лечения [12] .

Дифференциальная диагностика невриномы проводится с заболеваниями, которые могут привести к односторонней нейросенсорной потере слуха:
- менингиомой задней черепной ямки;
- холестеатомой пирамиды височной кости;
- внутричерепными метастазами;
- арахноидальной кисты и других опухолей этой локализации.
Лечение невриномы слухового нерва
Алгоритм лечения невриномы зависит от её стадии, симптомов, общего состояния здоровья и возраста пациента. Если опухоль небольшая и не беспокоит больного, то врачи придерживаются выжидательной тактики, так как долгое время они могут не расти или вовсе регрессировать (редко) [17] . При этом необходимо минимум раз в год проходить МРТ, чтобы наблюдать за течением болезни. В других случаях избавиться от невриномы можно либо с помощью хирургического удаления, либо посредством облучения.
Показания к операции:
- молодой возраст больного;
- быстрый рост опухоли или продолженный рост опухоли после её облучения;
- прогрессирующая неврологическая симптоматика — возникновение симптомов сдавления ствола головного мозга, гидроцефалии, бульбарного синдрома [2][6] .
Цель оперативного лечения — радикальное (полное) удаление опухоли с сохранением жизненно важных структур. Может проводиться из различных доступов: через вскрытый сосцевидный отросток (выполняется чаще всего), за ухом и над ухом. Если операция прошла успешно, пациент находится в клинике под наблюдением ещё 5-7 дней. Швы с операционной раны снимают на 10-15 сутки. Существенных ограничений по образу жизни после восстановительного периода нет. Спустя некоторое время после операции рекомендуется пройти курс лучевой терапии, чтобы предотвратить продолженный рост остатков клеток опухоли.

Если имеются противопоказания к традиционному хирургическому вмешательству, следует рассматривать методы лучевой терапии:
- стереотаксическую радиохирургию — удаление опухоли гамма-ножом (альтернатива стандартному оперативному лечению);
- фракционную стереотаксическую радиохирургию (FSRS) — радиотерапию [17] .
Цель лучевой терапии — приостановить дальнейший рост опухоли. Она показана:
- пожилым пациентам;
- людям с наличием сопутствующих заболеваний;
- после частичного удаления опухоли для облучения её остатков.
Максимальная доза лучевой терапии — не более 34 Гр, минимальная — 12 Гр [17] . В итоге такого лечения опухоль чаще всего уменьшается, но иногда она не меняется в размерах и продолжает расти. Поэтому радиотерапию рекомендуют как дополнительный метод лечения после традиционного хирургического лечения.

Правильный выбор метода лечения позволяет снизить показатель летальности при невриномах слухового нерва до 1 % [3] [5] [11] . Основными причинами повторного появления опухоли являются нерадикальность операции и отсутствие лучевой терапии в послеоперационном периоде.
Прогноз. Профилактика
Прогноз при невриноме слухового нерва благоприятный, особенно если удаётся выявить опухоль на ранних стадиях. Практически у всех пациентов невриному можно удалить полностью. В таких случаях рецидивы практически не встречаются, а отдалённые осложнения (например, гидроцефалия) развиваются редко.
Наиболее частой и сложной проблемой, с которой сталкиваются пациенты после лечения невриномы, является паралич лицевого нерва. Так как он развивается более чем у 50 % пациентов, разработан целый комплекс методов, которые позволяют восстановить работоспособность мышц лица. Операция на лицевом нерве после удаления вестибулярной шванномы создаёт условия для того, чтобы восстановить нейромышечную проводимость, миодинамическое равновесие и функциональную целостность зон лица. Причём раннее и поэтапное хирургическое лечение лицевого нерва позволяет избежать мышечной атрофии и ускорить выздоровление пациентов с грубой и стойкой асимметрией лица [11] .
Невриномы слухового нерва чаще развиваются спорадически, т. е. случайно в результате трансформации шванновских клеток в слуховом нерве. Поэтому методов первичной профилактики (вакцины) не существует. Однако если среди родственников были люди с нейрофиброматозом II типа или опухолью слухового нерва, человеку нужно быть настороженным в отношении невриномы слухового нерва и периодически выполнять МРТ головного мозга, особенно если появились жалобы на прогрессирующее снижение слуха.
Плюсы и минусы лучевой терапии вестибулярной шванномы
В 1951 году шведский нейрохирург Leksell создал первый открытый стереотаксический инструмент, фокусирующий пучок излучения на единственную мишень. Он описывал свой опыт закрытого лечения в течение нескольких последующих лет. В настоящее время стереотаксическая лучевая терапия является основным альтернативным активным методом лечения вестибулярных шванном (в противопоставление микрохирургической резекции). Термины «Гамма нож®, Кибер нож® и Х нож» часто употребляются неправильно, вводя пациентов в заблуждение. Предпочтительнее определение «стереотаксическая лучевая терапия», как более описательное.
Целями стереотаксической лучевой терапии являются длительное предупреждение роста опухоли, сохранение неврологических функций и предотвращение неврологического дефицита. При регистрации роста опухолей Noren отметил уменьшение размеров односторонних опухолей в 95% случаев. Развитие черепных невропатий напрямую зависит дозы облучения. Miller et al. докладывали, что 38% невропатий лицевого нерва наблюдаются при воздействии 20 Гр на периферию опухоли и только 8% при снижении краевой от дозы облучения до 16 Гр (р = 0,006).
Многофакторный анализ показал, что только один фактор ассоциируется с высоким риском постлучевой невропатии лицевого нерва, этим фактором является краевая доза облучения выше или равная 18 Гр. Сохранность лицевого нерва повышается до 98% в случае, если лучевая доза к периферии опухоли снижена до 16 Гр и более. Сходным образом удалось снизить с 29 до 15% частоту невропатии тройничного нерва при уменьшении краевой дозы облучения с 20 до 16 Гр. В дальнейшем ограничение дозы до 12 Гр или более помогло добиться сохранения слуха в 65-70% случаев, также удалось добиться снижения частоты ушного шума.
Хотя возможно развитие отсроченных невропатий, более чем через 28 месяцев после стереотаксической лучевой терапии появления новых неврологических дефицитов не отмечено.
Для передачи стереотаксического излучения вестибулярным шванномам применяется и линейный ускоритель, результаты использования которого достигают результатов полученных при лечении Гамма-ножом. В настоящее время не описаны преимущества защиты слуха или функции лицевого нерва, продемонстрированные дробной стереотаксической схемой лечения.
а) Преимущества стереотаксической лучевой терапии. Потенциальные преимущества стереотаксической лучевой терапии перед микрохирургическим удалением опухоли включают сокращение сроков госпитализации и быстрое восстановление трудоспособности. К тому же, стереотаксическая лучевая терапия может быть применена у пожилых или соматически ослабленных пациентов с подтвержденным ростом опухоли. Так как природа вмешательства носит минимальный инвазивный характер, существует возможность избежать связанных с микрохирургическим вмешательством рисков, включающих инфицирование раны или утечку СМЖ.
У пациентов с рецидивом опухоли после хирургического вмешательства лучевая терапия может быть применена в качестве терапии спасения. Среди пациентов, которые лечились в центрах со значительным микрохирургическим опытом, такие рецидивы встречаются относительно редко (0,3-0,8% случаев).

б) Недостатки стереотаксической лучевой терапии. Относительные недостатки стереотаксической лучевой терапии связаны с необходимостью длительного контроля (МРТ) и высокой стоимостью длительного наблюдения. Опухоли могут оказаться довольно-таки жизнеспособными, что потребует дальнейшего микрохирургического лечения.
Потенциальные недостатки стереотаксической лучевой терапии включают возможность развития гидроцефалии, индуцированной излучением, даже при лечении опухолей размером 18 мм. Это осложнение напрямую связано с размером опухоли, более характерно на ранних этапах лечения; однако его частота за последнее время снизилась и находится в диапазоне 1,4-9,2%.
Некоторые хирурги говорят о сложности сохранения лицевого нерва при хирургическом лечении шванномы после неэффективного курса лучевой терапии. Другие авторы считают этот вопрос спорным.
При стереотаксической лучевой терапии существует потенциальная опасность внезапной потери слуха в результате отека, который может развиться вскоре после облучения. Было замечено, что спустя несколько лет после облучения может наблюдаться дополнительное снижение функции слухового нерва. По данным одного исследования, сразу после облучения слух был сохранен у всех 10 пациентов, но отмечалось снижение слуха у восьми из 10 больных в течение шести месяцев, у шести в течение одного года и у пяти в течение двух лет.
Стереотаксическая лучевая терапия при вестибулярных шванномах, ассоциированных с НФ2, представляет отдельную проблему, так как существует риск полной глухоты. Subach et al. достигли в целом контроля скорости роста в 98% случаев вестибулярных шванном, ассоциированных с НФ2, у 45 пациентов прошедших курс стереотаксической лучевой терапии с краевой дозой облучения 15 Гр (12-20 Гр). В течение 36 месяцев после курса стереотаксической лучевой терапии 16 опухолей (36%) регрессировали, 28 (62%) сохранились неизмененными и 1 (2%) выросла. Слух был сохранен у 6 (43%) из 14 пациентов, а после понижения дозы облучения этот показатель увеличился до 67%. Нормальная функция лицевого нерва (I стадия по House-Brackmann) была сохранена у 25 (81%) пациентов из 31.
Нормальная функция тройничного нерва сохранялась у 34 (94%) пациентов из 36. В работе Ito et al. утверждается, что большой диаметр опухоли и наличие НФ2 являются факторами риска, связанными с высокой вероятностью потери слуха после стереотаксической лучевой терапии. Однако для точных выводов необходимы большие группы пациентов с более продолжительным последующим наблюдением.
1. Малигнизация, индуцированная облучением. Облучение в низких дозах при доброкачественных образованиях связывалось с возможным риском малигнизации пораженных тканей. Окончательный вопрос о риске малигнизации доброкачественной шванномы остается открытым, в особенности это касается молодых пациентов, которые нуждаются в последующем длительном наблюдении. В 1998 году Noren подсчитал, что с 1969 года из 8000 вестибулярных шванном, подвергнутых стереотаксической лучевой терапии, уровень малигнизации составил 0,1%. Пациенты, у которых опухоль подвергалась злокачественной трансформации умирали, несмотря даже на микрохирургическое вмешательство. Гистологическое исследование выявляло злокачественную веретенообразную опухоль с множественными митотическими фигурами.
Палочковидные элементы, выявленные при иммуногистохимическом анализе указывали на злокачественную тритон-опухоль или саркому. В удаленных шванномах после неэффективной стереотаксической лучевой терапии были выявлены атипичные и жизнеспособные клетки шванномы, а также и другие очаги, указывающие на замедленные постлучевые изменения, такие как ядерное и цитоплазматическое разрастание и пролиферация эндотелиальных клеток. Несмотря на то, что встречаемость малигнизации низкая, в большинстве исследований был короткий период наблюдения по отношению к интервалу времени злокачественного перерождения, индуцированного облучением. Дальнейшие вопросы опираются на длительность опыта применения этой техники при текущих параметрах дозирования. Важно также понимать, что малигнизирующиеся шванномы или тритон-опухоли могут наблюдаться спонтанно при отсутствии в анамнезе облучения.
Shore-Freedman еt al. в исследовании 2311 пациентов, которые в детско м возрасте получили облучение увеличенных миндалин и аденоидов, обнаружили 29 шванном, две нейрофибромы и одну ганглионеврому, составившие 1,4% опухолей. Учитывая частоту развития и точную локализацию опухоли в области лечения, авторы пришли к выводу, что опухоли индуцированны облучением. Анализ латентного периода этих опухолей показал, что наблюдение необходимо в течении как минимум 30 лет после облучения. В этой же группе были диагностированы 54 опухоли слюнных желез (40 доброкачественных и 14 злокачественных).
Стереотаксическая лучевая терапия, вероятно, меньше способствует неопластическим изменениям в отличие от фракционированного облучения, а в поле облучения вестибулярных шванном не попадает железистая ткань, имеющая склонность к постлучевой неоплазии. Поэтому в целом риск малигнизации меньше, чем при фракционированном облучении. Считается, что риск неопластических изменений меньше у пациентов старше 60 лет; следуя этому и в соответствии с докладом Консенсусной Конференции Национального Института Здоровья, некоторые клиницисты рекомендуют лучевую терапию, пациентам в пожилом возрасте или имеющим сопутствующие заболевания.
Конечный ответ на вопрос, касающийся отдаленной безопасности стереотаксической лучевой терапии, будет открытым как минимум в течение 30-летнего последующего наблюдения за этой категорией больных. Риск малигнизации должен быть сопоставлен с риском осложнений хирургического вмешательства, таких как инсульт или смерть, и исходами, обоснованными размерами опухоли, локализацией и общим состоянием здоровья пациента.
Таким образом, стереотаксическое облучение применяется при поражениях мостомозжечкового угла на основании данных рентгенографии и анатомической локализации. Этот метод лечения можно использовать и при отсутствии подтверждающего патогистологического исследования, при этом злокачественный процесс в отдаленном периоде выявляется очень редко.
2. Метод лечения облучением в сопоставлении с методом наблюдения. Shirato et al. опубликовали сравнительное исследование, при котором результаты наблюдения пациентов с вестибулярными шванномами сопоставляли с результатами стереотаксического облучения. У 27 пациентов было провдено наблюдение и у 50 — стереотаксическое облучение. Малое поле, фракционированная лучевая терапия (от 36 до 44 Гр, 20-22 фракции в течение 6 недель) проводили с или без добавочной дозы в 4 Гр. Контроль степени роста в группе облучаемых при таком высоком уровне был значительно лучше в отличие от группы наблюдения. В среднем рост опухоли за год в группе наблюдаемых составлял 3,87 мм, а в группе облучаемых -0,75 мм. 41% из группы наблюдаемых и лишь 2% из группы облученных нуждались в дополнительной терапии.
Авторы пришли к выводу, что стереотаксическая лучевая терапия расширяет контроль над опухолью и ухудшением слуха, в отличие от метода наблюдения. Хотя данное заключение не рандомизировано, однако оно имеет важное значение. К сожалению, не было определено число опухолей, увеличившихся с момента вступления пациента в исследование.
В целом, несмотря на то что, при лечении вестибулярных шванном стереотаксической лучевой терапией были отмечены благополучные исходы, на текущий момент не предоставлено данных после длительного наблюдения. Среднюю дозу облучения края опухоли прогрессивно понижали, с тех пор как описали технику, результатом этого явилось улучшение функции черепно-мозговых нервов и снижение осложнений со стороны ствола головного мозга. К сожалению, в исследованиях не учитывались опухоли, не растущие при отсутствии всякого лечения. Мы уверены, что необходим многолетний контроль перед тем, как можно будет дать окончательную характеристику возможностей контроля роста опухоли с помощью пониженных стереотаксических лучевых доз.
Читайте также:
- Глубокий перегородочный инфаркт. ЭКГ при аневризме сердца
- Рентгенограмма, КТ, МРТ при ревматоидном артрите височно-нижнечелюстного сустава (ВНЧС)
- Верхняя и нижняя глазничные щели. Периорбита
- Микробиологическая диагностика стрептококка. Диагностика стрептококковой инфекции. Выявление стрептококка. Выделение стрептококка.
- Возбудитель первичного амебного менингоэнцефалита. Диагностика амебного менингоэнцефалита. Лечение амебного менингоэнцефалита.
