Остаточные зубные кисты. Парадентальные кисты
Добавил пользователь Владимир З. Обновлено: 06.01.2026
Доброкачественная септическая опухоль, расположенная в костной ткани челюстного аппарата вблизи корня зуба, называется кистой. Он имеет форму круглого мешочка с четко очерченными границами. Полость заполняется жидким веществом. Снаружи она покрыта соединительнотканной мембраной, а внутри выстлана эпителиальными клетками. Размер кисты может варьироваться от нескольких миллиметров до нескольких сантиметров в диаметре. Когда состояние ухудшается, она может быстро расти и наносить серьезный ущерб организму человека.
Резидуальные (остаточные) кисты возникают, когда, например, после удаления корня зуба на месте экстракции остается небольшой его остаток или когда врач допускает ошибку во время лечения.
Причины возникновения кисты зуба
- Обработка корневого канала. В корневом канале имеется не одна ветвь нерва, а множество боковых ветвей. Во время лечения корневого канала в этих боковых ответвлениях остается инфицированная ткань, и после аборта корневого канала может начать развиваться хронический воспалительный процесс. Вначале образуется небольшая гранулема (разрушение кости), которая со временем перерастает в кисту. Чем проще анатомия корневого канала и чем точнее план лечения сложного кариеса, тем ниже риск развития кисты. Для многокорневых зубов со сложной анатомией корня (кривые, искривленные, рубцовые, труднодоступные) риск возникновения корневых кист возрастает экспоненциально.
- Острая травма зуба. Если зуб травмирован (ушиблен), необходимо обратиться к врачу. Нерв в зубе погибает, а разрыв сосудисто-нервного пучка может быть сначала незаметен и не беспокоить пациента. Однако за таким зубом необходимо наблюдать в течение нескольких лет и делать контрольные рентгеновские снимки, в этом случае врач сможет вовремя обнаружить изменения в костной ткани и предотвратить образование корневой кисты на корне зуба.
- Хроническая травма. Существуют две основные причины. Один из них — это хроническое чрезмерное использование зубов из-за отсутствия соседних зубов или массивной потери зубов. Сюда также относятся проблемы с прикусом из-за неправильного протезирования или лечения зубов. Второй тип — витальные (живые) зубы, покрытые коронками. По статистике, в 10% таких случаев возникает осложнение — нервная смерть. Если симптомы отсутствуют, со временем в корне зуба образуется киста.
Корневые кисты являются результатом хронического гайморита, а боковые кисты — результатом хронического периодонтита. Очень редко мы можем столкнуться с кистами вследствие гематогенной инфекции при общем соматическом заболевании клеток.
Симптомы кисты зуба
Появление и рост кисты долгое время протекает бессимптомно. Вы не заметите этого, пока она не начнет быстро и сильно расти. Обычно пациент замечает болезнь только тогда, когда она переходит в острое воспалительное состояние.
Скорость роста опухоли индивидуальна и зависит от особенностей конкретного пациента. В большинстве случаев болезнь проявляется в моменты быстрого снижения иммунитета и на фоне других заболеваний. Именно поэтому он считается довольно опасным заболеванием.
Опасность заключается в том, что гнойная масса может разорвать кисту и вызвать более серьезный воспалительный процесс (абсцесс, флегма или даже сепсис). В десне обычно образуется фистула (трубка), через которую гнойный материал просачивается в рот. Это может привести к дополнительным бактериальным инфекциям.
Самостоятельно определить наличие зубной кисты невозможно. Косвенные признаки могут включать следующее:
- Периодическая ноющая боль при пережевывании пищи.
- Припухлость и покраснение десен и значительная боль при надавливании пальцем на воспаленный участок.
- Стойкий неприятный запах изо рта при отсутствии невылеченного кариеса или других причин (например, заболеваний горла и носа).
- Слабость, депрессия, головная боль и лихорадка.
- Повышенная чувствительность к горячей или холодной пище и напиткам.
Виды кист зубов
Радикулярная киста возникает, когда инфекция проникает через канал к верхушке. Образование развивается в виде гнойника из гранулемы, вызванной пульпитом и периапикальными абсцессами. Его расположение — в апикальной трети корня зуба. Границы кисты хорошо видны на рентгеновских снимках. Его размер составляет 2-3 см.
Если нет вторичного воспаления, патология может долгое время развиваться без симптомов. Даже большие опухоли не приводят к смещению зубов или появлению остеофитов.
После диагностики врач назначит план лечения, направленный на устранение причины заболевания. При некрозе пульпы рекомендуется лечение корневого канала. Хирургическое лечение встречается реже.
Резидуальные (остаточные) кисты возникают, когда, например, после удаления корня зуба на месте экстракции остается небольшой остаток или когда врач допускает ошибку во время лечения. Чтобы локализовать его, организм ограничивает область воспаления. В области, где был удален зуб, образуется гранулема. Остаточная киста полностью видна на снимке. Диаметр кисты составляет от нескольких миллиметров до сантиметра и более.
Фолликулярные кисты часто появляются при смене зубов у детей. Заболевание может протекать без симптомов. Он затрагивает десну, фолликулярный мешок, который окружает беззубый зуб. Локализация опухоли хорошо видна на рентгенограммах. Сама жевательная резинка имеет голубой оттенок. Киста может вызвать обширное повреждение зуба и имеет высокую скорость роста. Существует высокий риск метастазирования в соседние элементы зуба. Это приведет к увеличению ширины кортикальной пластины. Смежные элементы зуба наклоняются и расшатываются. Лечение заключается в иссечении, усечении тканей десны — зуб будет прорезаться быстрее.
Опухоль премоляра (кератокиста) развивается из почки зуба. Это вызвано аномалией развития — дегенерацией звездчатой сети. Обычно киста локализуется в премоляре нижней челюсти. Такие зубные кисты часто рецидивируют. Для лечения требуется хирургическое вмешательство. В дальнейшем необходимо регулярно посещать врача, чтобы контролировать рецидив кисты.
Диаметр наружной периодонтальной кисты очень мал. На снимке легко увидеть, что он образуется на боковой поверхности корня зуба. При обнаружении бокового периодонтита (опухоли периодонта) его можно лечить без нарушения зубного ряда.
Кальцифицированные одонтогенные кисты хорошо видны на рентгеновских снимках. Жидкость внутри кисты становится мутной из-за кальцификации. Патологическое лечение заключается в иссечении.
Осложнения зубных кист
Как ни странно, в результате срабатывания защитных механизмов организма кисты под зубами могут со временем привести к серьезным осложнениям. Основные из них следующие:
- Пародонтит: запущенный случай кисты зуба, когда воспаление распространяется от тканей зуба до кости.
- Воспаление: гнойное воспаление поддесневой и подчелюстной областей челюстей. Подобные осложнения зубных кист сопровождаются отеком мягких тканей, в том числе щеки, и сильной болью.
- Потеря зубов: это может произойти, если кисту не лечить. В этом случае поражение распространяется на соседние зубы (хотя сама киста не является показанием для удаления зуба).
Помимо вышеперечисленного, обострение заболевания может привести к более серьезным последствиям: септическим абсцессам, лимфадениту, остеомиелиту, септицемии и даже переломам челюсти. Поэтому, если у вас диагностирована киста, необходимо незамедлительное лечение.
Лечение резидуальной кисты зуба
Лечение кисты без удаления зуба
Успех лечения зависит от того, насколько рано он был обнаружен. Поэтому стоматологи советуют пациентам регулярно проходить осмотры и обращаться за медицинской помощью при первых признаках заболевания. В последнее время лечение всегда заключается в удалении зуба. Конечно, этот метод не подходил для врачей, особенно для их пациентов. Сегодня методы стоматологов значительно изменились, и избавиться от кист можно без потери улыбки. Лечение кисты может быть хирургическим или консервативным. Выбор лечения зависит от: типа кисты, возраста пациента, индивидуальных пожеланий и определяется для каждого пациента.
Хирургическое лечение
Чаще всего проводится цистэктомия для хирургического удаления опухоли. Она включает в себя удаление кисты и поврежденного кончика корня. Преимуществом этой процедуры является ее высокая эффективность. Его недостаток в том, что цистэктомия — достаточно сложная процедура, и не каждый хирург в ней компетентен. Более сложным подходом является гемиколэктомия. Эта процедура проводится при полном разрушении корня. Во время процедуры хирург удаляет больную капсулу, поврежденный корень и часть коронки. Дефект, образовавшийся в результате хирургического удаления, восстанавливается с помощью композитного материала или коронки. Это в значительной степени зависит от стадии, на которой обнаружена капсула. Только если весь зуб закрыт капсулой или ткани зуба почти полностью разрушены, можно лечить зуб путем удаления.
Консервативное лечение
Этот тип можно вылечить без хирургического вмешательства. В этом случае не требуется разрез для доступа к опухоли. На начальном этапе лечения стоматолог высверливает и очищает пораженный корневой канал. Верхушка корня соединяется с кистой, чтобы содержимое вытекало наружу при открытии корневого канала. После очистки и дезинфекции корневого канала врач вводит в полость антибиотики и вещества для уничтожения кист. Затем врач заполняет образовавшуюся полость специальной пастой, которая помогает восстановить костную ткань. Затем отверстие заделывается. Если через 6 месяцев киста не проявляется на рентгеновских снимках, лечение считается успешным. Этот метод помогает примерно в 75% случаев. Инновационным нехирургическим методом лечения является дефосфорилирование. Он помогает устранить все инфекции в корневых каналах без необходимости их сверления. Стоматолог обнажает отверстие корневого канала и вставляет электрод в корневой канал. Другой электрод прижимается к щеке, испуская слабый электрический ток. При контакте секреции с корневым каналом происходит передача гидроксида кальция, который проникает во все труднодоступные места и уничтожает все бактерии, микроорганизмы и мертвые клетки. После трех сеансов дефосфоризации поврежденный зуб пломбируется и восстанавливается коронка. Дефтерапия эффективна почти в 100% случаев, независимо от типа обнаруженной опухоли.
Рекомендации по восстановлению
После любой из этих процедур, чтобы избежать осложнений, пациентам рекомендуется:
- Не чистите зубы в течение первых 24 часов после операции.
- Не курите до тех пор, пока ткань не восстановится.
- Не прикасайтесь к ткани, на которой проводилась процедура, никакими предметами, языком и т.д.
- Не принимайте пищу в течение первых 4 часов после процедуры.
Для ускорения заживления и предотвращения дальнейшего воспаления обычно назначаются антибиотики и полоскания полости рта.
Лечение кисты зуба

Киста зуба — это доброкачественное новообразование (от 0,9 до 3 см) внутри костной ткани у корня зуба. Киста имеет вид «мешочка», который может быть наполнен жидкостью или гноем.
Многие пациенты считают кисту зуба неопасным заболеванием, но это мнение ошибочно. Чаще всего пациенты узнают о наличии кисты зуба случайно на осмотре или рентгене. При этом большинство из них не испытывают какого-либо дискомфорта или боли, так как киста может развиваться бессимптомно. Именно этим и опасно данное образование — вовремя невылеченная киста может стать причиной потери зуба и других осложнений в организме. Более того, киста может значительно увеличиться в размерах и вызвать серьезные осложнения, вплоть до преобразования в злокачественную опухоль.
Виды кист:
Существует две разновидности кист зубов, различающиеся по расположению и по причине образования.
По расположению:
- на корне зуба - может располагаться в верхней части корня, между корней зуба, а также рядом с корневым каналом
- под коронкой - чаще всего такая киста образуется из-за неправильного лечения и заметить ее непросто. Важно как можно скорее начать лечение, так как киста может вызвать потерю зуба.
- в гайморовой пазухе - является опасным видом кисты, так как в процессе образования не проявляется никаких симптомов, а ее дальнейший рост может вызвать проблемы с дыханием и боль в глазах
- киста зуба мудрости - образуется на корнях зубов по причине недостаточной гигиены или вследствие неправильного удаления
По причине образования:
- радикулярная – киста, расположенная на корне зуба, развивается как осложнение хронического периодонтита и бывает апекальной (расположенной на верхушке корня) или латеральной периодонтальной (прилежит к боковой поверхности корня)
- фолликулярная – зубосодержащая киста, появляется при инфицировании непрорезавшегося зубного зачатка или сверхкомплектного (лишнего) зуба
- кератокиста – первичная киста, образуется из остаточных клеток зубообразовательной ткани в случае нарушения процесса развития зуба
- киста зуба мудрости (парадентальная или ретромолярная киста) - возникает при затрудненном прорезывании зачатка в результате прогрессирования хронического воспаления
- резидуальная - появляется при сохранении корня после удаления самого зуба
- киста, наблюдающаяся при прорезывании зубов – нормальный физиологический процесс, она растворяется сама в процессе формирования и прорезывания зачатка
Причины возникновения одонтогенной кисты
Основной причиной является проникновение инфекции в ткани периодонта. Инфицирование может возникнуть различными путями:
- травмирование зуба вследствие удара или падения
- попадание болезнетворных бактерий в периодонт вместе с кровотоком после перенесенного инфекционного заболевания
- возникновение кисты как следствие хронического воспалительного процесса под коронкой
- переход хронического периодонтита в одонтогенную кисту
- осложнение гайморита с хроническим течением
- образование кисты зуба при осложненном прорезывании зубов мудрости
Наиболее информативный метод обследования при выявлении кисты зуба – рентгенологический. В нашей клинике все рентгенологические исследования проводятся на компьютерном томографе последнего поколения – KAVO OP300 с цефалостатом (Германия), который позволяет получить 3D-проекцию всей челюстно-лицевой системы и исследовать ее в мельчайших подробностях.
Симптомы кисты зуба
Патологический процесс проявляется симптоматически только тогда, когда киста достигает уже относительно больших размеров и проявляется следующим образом:
- неприятные ощущения или боль в зубе при пережевывании твердой пищи
- повышение чувствительности – острая болевая реакция на попадание холодной или горячей пищи
- покраснение и увеличение в размерах десны
- образование свища в проекции корня и выделение серозного или гнойного содержимого из него
- общая слабость, повышение температуры и недомогание в совокупности с вышеперечисленными симптомами
- неприятный запах изо рта
Методы лечения кисты зуба
Если размер кисты не превышает 0,8 мм, можно избавиться от нее без хирургического вмешательства:
- раскрытие каналов причинного зуба и их тщательная обработка антисептическими растворами
- введение лекарства для дезинфекции
- пломбировка каналов пастой с антисептическими свойствами
- установка временной пломбы, а затем постоянной
В этом случае не обойтись без дентального микроскопа, для максимально точного и щадящего вмешательства. В нашей клинике для этого используется операционный микроскоп Leica M320 Hi-End (Швейцария) с 40-кратным увеличением и цифровой Full-HD видеокамерой.
В случаях, когда терапевтическое лечение не дает результата и размер кисты уже превышает 0,8 мм, либо если на зуб надета коронка или он восстановлен с использованием штифта - пациенту показано хирургическое вмешательство.
Существует три вида оперативного лечения:
- цистотомия - самый простой и наименее травматичный метод: в области кисты на десне проводится надрез, через который устраняется содержимое кисты
- цистэктомия - предварительно проводится лечение и дезинфекция каналов зуба, а затем киста удаляется вместе с частью корня
- гемисекция - данный метод похож на предыдущий, но помимо части корня удаляется и часть коронки зуба
- удаление кисты вместе с зубом – к сожалению, в некоторых случаях это единственный возможный выход
Большинство пациентов убеждены, что кисту зуба вылечить нельзя. Это ошибочное мнение. Профессиональный врач стоматолог-хирург в силах вылечить кисту и стабилизировать состояние зуба на длительное время. Специалисты стоматологического центра DENTALROOM всегда прикладывают максимум усилий для сохранения зуба, если есть хотя бы минимальный шанс.
Прием ведется по адресу:
Нижний Новгород, площадь Свободы, д.7
Нижний Новгород, Окский съезд, д.4
Цистэктомия челюстной кисты
Вскрытие ретенционной кисты
*Цены, указанные на сайте, могут отличаться от действующих цен клиники на текущий момент. Подробности уточняйте у администраторов.
Лечащие врачи

Главный врач стоматологии DENTALROOM, стоматолог-терапевт, хирург, детский и взрослый специалист

Врач стоматолог-терапевт, хирург, К.М.Н. Детский и взрослый специалист

Врач стоматолог-терапевт, пародонтолог

Врач стоматолог-хирург, имплантолог, пародонтолог. Член Российского Стоматологического Общества.

Врач стоматолог-терапевт, детский и взрослый специалист

Врач стоматолог-терапевт, детский и взрослый специалист

Врач стоматолог-терапевт, хирург, детский и взрослый специалист

Врач стоматолог-ортопед, хирург, имплантолог

Врач стоматолог-хирург, челюстно-лицевой хирург. К.М.Н. Член Евразийского Союза Ученых
Киста зуба. Цистэктомия – решение проблемы
Киста зуба относится к группе челюстных кист. Челюстная киста – общее понятие, объединяющее множество патологий. Образование кистозной полости в челюсти может быть вызвано воспалительным процессом, в редких случаях - растущей опухолью. Она может находиться в «спящем» состоянии и никак не проявлять себя, или, напротив, быть в активной, острой фазе, болеть, воздействовать на соседние здоровые ткани, вызывать различные заболевания. В любом случае, наличие кист в челюсти и, в частности, наличие кисты зуба, требует внимания и серьезного отношения.
Киста зуба: историческая справка
Слово «киста» имеет греческое происхождение («kystis») и в буквальном переводе означает «пузырь». Киста зуба – полостное опухолеподобное образование. Раньше, когда рентгеновских снимков еще не делали, увидеть такие образования было крайне сложно и, как правило, зубные врачи сталкивались с ними во время удаления зубов у пациентов. Благодаря появлению в конце XIX века (1895г.) рентгенодиагностики появилась возможность планирования лечения зубных кист. И сегодня, если пациент регулярно посещает кабинет стоматолога, мы можем успешно диагностировать и устранять зубные кисты еще на тех стадиях, когда они не представляют опасности.

Киста зуба: анатомия
Киста зуба — это доброкачественное полостное опухолеподобное образование, имеющее оболочку и внутреннюю эпителиальную выстилку, клетки которой вырабатывают жидкость. Современная медицина до сих пор не может с точностью ответить на вопрос, как и откуда зарождающаяся киста берет эпителиальную ткань. Однако большинство ученых склоняется к тому, что она происходит из остатков зубообразовательного эпителия, так называемые, островки Малассе–Астахова. И развивается, вследствие хронического одонтогенного воспаления, когда микробы попадают через канал зуба в челюстную кость. Дальнейшее развитие процесса может идти в двух направлениях, результатом которых являются патологии: обширного деструктивного процесса, не имеющего оболочки — безоболочечное образование (такой процесс не является кистой), или непосредственно кисты зуба — оболочечное.
Виды зубных кист
Принято различать 2 вида зубных кист — фолликулярную и радикулярную. Фолликулярная киста встречается реже, чем радикулярная. При наличии определенных факторов она вырастает из зубного фолликула — оболочки вокруг растущего зуба. При значительном размере и вовлечении рядом стоящих зубов называется фолликулярная зубосодержащая киста.

Радикулярные (одонтогенные воспалительные) кисты образуются на корнях зубов вследствие патологических процессов, распространяющихся за верхушкой корня. По расположению радикулярные кисты могут быть апикальными (корневыми), латеральными (боковыми), апико-латеральными и межкорневыми.
Механизм образования и роста кисты зуба
Кистозная полость, располагаясь в челюсти, имеет внешнее сопротивление со стороны окружающей ее челюстной кости. Но эпителиальные клетки выстилки начинают производить жидкость, которая постепенно заполняет полость, создавая избыточное давление.

Это давление воздействует на окружающую костную ткань, вызывая ее постепенное периферийное рассасывание, давая кисте возможность вырасти еще больше, усилить секрецию жидкости, а значит, оказывать еще большее давление на стенки. Именно поэтому кисты могут вырастать до очень больших размеров, причем иногда бессимптомно, если не сопровождаются периодическими воспалениями. Это может быть связано с хорошим иммунным статусом пациента, низкой патогенностью микрофлоры в очаге и другими факторами.
Возможные осложнения кисты зуба
В процессе роста киста может «отодвигать» близлежащие анатомические образования, такие как канал нижнеальвеолярного нерва, может нарушать внешние контуры челюстных костей (синдром пластмассовой игрушки), изменяя тем самым контуры лица, то есть обусловливает асимметрию лица. Также может вовлекать и другие соседние ткани в патологический процесс. Так, зачастую, в расположенных рядом с кистой зубах развивается ретроградный периодонтит. А если киста прорастает в гайморовы пазухи, формируется хронический одонтогенный гайморит, который может долгое время протекать бессимптомно, но, тем не менее, оказывать пагубное влияние на здоровье.
Диагностика кисты зуба
Выбор метода лечения кисты зуба основывается на многоплановой диагностике, которая может включать в себя:
- осмотр пациента;
- «прицельный» рентгеновский снимок зуба, который пациент указывает как причинный зуб;
- ортопантомограмма (панорамный снимок челюстных костей), позволяющий увидеть патологии и наиболее вероятные места их развития в верхней и нижней челюстях, в гайморовых пазухах, в каналах нервных стволов;
- в некоторых случаях - компьютерная томограмма, позволяющий увидеть лицевой скелет и кости черепа, суставы, гайморовы пазухи в трёх проекциях (фронтальная, сагитальная и горизонтальная) и в трёхмерном объёмном изображении.

Лечение кисты зуба
Лечение кисты зуба может быть оперативным и неоперативным (консервативным). Не все кисты не всех зубов поддаются консервативному лечению. Но если такая возможность есть, мы всегда используем ее, воздействуя на кисту медикаментозными средствами, доставляемыми через зубной канал. Если такое лечение не помогает, возникает необходимость в операции.
Удаление кисты зуба. Исторически значимые и современные методы операции по удалению зубных кист
Изначально самым распространенным методом лечения кист был метод их удаления. С этой целью применялись 2 принципиально разных метода: цистотомия и цистэктомия.
Цистотомия (или метод PARCH-I) имеет историческое значение в развитии и становлении медицины. Сегодня этот метод практически не используется, но раньше был незаменим при удалении кист больших размеров. Чтобы избежать осложнения и его тяжелых последствий, между полостью кисты и преддверием полости рта создавался широкий канал посредством сшивания краев оболочки кисты со слизистой оболочкой ротовой полости.
Цистэктомии (или метод PARCH-II) заключается в полном иссечение/удалении кисты. Данное оперативное вмешательство зачастую одновременно сопровождается и удалением верхушки корня – источника образования кисты, содержащего инфицированные апикальные дельты. Сегодня этот метод наиболее популярен.
Главная цель цистэктомии – полное санирование полости кисты, что без резекции верхушки корня не представляется возможным. Дело в том, что корневая пульпа в своей верхушечной трети имеет апикальную дельту с нечеткой структурой и очень тонким разветвлением каналов даже в однокорневых зубах. Если при лечении зуба такие каналы можно прочистить, то в процессе перелечивания это практически невозможно, особенно учитывая узость боковых дельт. Удаление верхушки корня, кроме того, позволяет максимально эффективно прочистить полость кисты за корнем. Это особенно актуально для 12 и 22 зубов, которые отличаются более загнутой корневой системой. Операция проводится следующим образом: с помощью небольшого разреза на десне хирург очень аккуратно доходит до поверхности кости, находящейся над кистозной полостью, трепаном или бором убирает стенку, следя за тем, чтобы не пострадали соседние зубы, и затем извлекает оболочку кисты, проводит резекцию верхушки корня. Далее проводится санация кистозной полости и последующая её ревизия на предмет остаточных частиц кисты. После этого в некоторых случаях осуществляется ретроградное пломбирование. Итоговым мероприятием в проведении операции по удалению кистозных образований является заполнение образовавшейся полости костнопластическим материалом и ушивание раны.

В случае образования кисты большого размера может быть произведена ампутация верхушки корня зуба, либо удаление половины зуба и поврежденного корня (гемесекция), а в случае межкорневой кисты – это короно-радикулярная сепарация.
Критерии качества удаления кисты зуба
Несмотря на то, что цистэктомия - это оперативное вмешательство, основным показателем качества лечения будет санация корневых каналов, в том числе и ретроградное пломбирование. В настоящее время помимо устранения самой оболочки кисты негласным правилом стало заполнение ее полости теми или иными костно-пластическими материалами, т.к. это полностью исключает вероятность нагноения кровяного сгустка, способствует быстрому зарастанию костного дефекта и улучшает механическую устойчивость зуба.
Остаточные (резидуальные) кисты и их удаление
Иногда после удаления зуба с кистой, оболочку которой не удалили, остаются резидуальные (остаточные) кисты, которые могут начать расти, как обычные кисты. Рентгенодиагностика помогает обнаружить их, после чего решается вопрос об их удалении с помощью одного из вышеперечисленных методов.
Противопоказания к удалению кисты зуба
- активная фаза ОРВИ, гриппа, других инфекционных заболеваний;
- наличие злокачественных новообразований;
- сердечно-сосудистые заболевания в стадии обострения;
- психоневрологические заболевания в стадии обострения.
Показания к удалению зуба с кистой
Как правило, консервативное лечение, проведенное вовремя, или операция по удалению кисты позволяют сохранить зуб. Но это не всегда возможно. Зуб необходимо удалить в следующих случаях:
- наличие сильного болевого симптома при неэффективности медикаментозного лечения;
- гнойный воспалительный процесс при невозможности его дренирования;
- перелом коронковой части зуба, без возможности восстановления анкерными штифтами и/или культевыми вкладками;
- непроходимость корневых каналов;
- наличие множественных повреждений на корнях зуба или повреждений большого размера; зуб практически полностью разрушен и ортопедическое восстановление невозможно;
- отсутствие необходимости в лечении зуба в связи с наличием согласованного между доктором и пациентом плана протезирования.
Возрастные ограничения к лечению кисты зуба
Жестких возрастных ограничений по лечению кисты зуба нет. Но в каждом клиническом случае необходим индивидуальный внимательный подход к проблеме.
Стоимость
Стоимость услуги по лечению или удалению кисты зуба складывается, как и многие другие оперативные вмешательства, из ряда факторов. Комплекс проводимых диагностических манипуляций, виды и методики лечения, консервативная подготовка каналов, проведение предоперационной подготовки, непосредственно сама операция, используемые костно-пластические материалы, послеоперационное наблюдение всё это влияет на итоговую стоимость лечения в данных клинических ситуациях.
Киста зуба – серьезная патология. Во всех случаях, даже в случаях полного отсутствия какой-либо симптоматики, она представляет опасность для здоровья. При регулярном посещении стоматолога вы можете быть уверены: киста зуба, если она есть, будет вовремя обнаружена, а последующее лечение позволит бесследно устранить её, сохранив здоровье зуба.
Киста на зубе - что делать?!
Киста зуба? Что это? Переводя буквально с греческого, «kystis» означает пузырь. Киста зуба же представляет собой некую защитную реакцию организма, которая направлена на предотвращение «контакта» отмерших в результате воспалительного процесса клеток от здоровых клеток. В процессе воспаления зараженные клетки «умирают» и организм создает плотную оболочку вокруг них, изолирующую здоровые клетки.
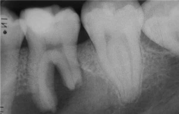
Обнаружить кисту и оценить ее размеры можно через рентгеновский снимок, на котором она - овальное темное пятно с четким контуром, которое чаще всего расположено прямо на верхушке одного из корней зуба или «захватывает» коронковую область еще непрорезавшегося зуба.
Виды кисты зуба:
Кисты делятся на виды по принципу места образования и по причине их возникновения.
По месту их локализации :
- Киста переднего зуба (наиболее распространенный вид)
- Киста в гайморовой пазухе
- Киста зуба «мудрости»
По причине возникновения:
- Киста зубного корня – радикулярная, которая в основном развивается из-за хронического периодонтита
- Зубосодержащая – фолликулярная киста зуба, которая развивается из-за инфицирования непрорезавшегося зачатка зуба или сверхкомплектного («лишнего») зуба
- Кератокиста (первичная), которая образуется вследствие нарушенного развития зуба из остатков ткани для образования зубов
- Ретромолярная – парадентальная киста, или киста зуба «мудрости», образуемая при затрудненном прорезывании из-за хронического воспаления
- Резидуальная киста зубного корня, которая осталась после удаления зуба в кости
- У детей в возрасте 7-10 лет встречается киста, образуемая во время прорезывания
Основные причины развития кисты травма и инфекция:
Пораженные кариесом ткани содержат большое количество кариесогенных микроорганизмов. Если кариес не лечится, то постепенно микробы попадают в пульпу зуба, вызывая в ней воспаление пульпы – пульпит. Если пульпит не лечится, что должно состоять в удалении инфицированной пульпы зуба, то инфекция из пульпы проникает через корневые каналы за пределы зуба (в область верхушек корней). Там инфекция вызывает появление Периодонтального абсцесса (кисты зуба).
- Плохо запломбированные корневые каналы
Корневые каналы пломбируются при лечении пульпита и периодонтита. В норме каждый корневой канал зуба должен пломбироваться до верхушки корня. Если канал пломбируется не до верхушки корня, то в недопломбированной части канала развивается инфекция, которая проникает за пределы зуба и также вызывает образование кисты.
Основные симптомы кисты зуба:
Киста растет медленно, из-за чего процесс разрушения челюстных тканей и зубных корней происходит без проявления каких-либо симптомов. Можно лишь заметить небольшое смещение или потемнение зуба. Симптомы становятся явными после достижения кисты размеров более 3 см. При воспалении кисты появляются головные боли, недомогание, лимфаузлы увеличиваются, повышается температура. Боль чувствуется во время надкусывания еды. Видимыми признаками являются: флюс, нагноение, свищевой ход, отек десны, которые возникают лишь при неспособности организма ликвидировать инфекцию.
Возможные осложнения:
Если изначально киста защищает организм от распространения инфекции, то в запущенном виде она может вызвать осложнения:

- Абсцесс
- Выпадение зубов в зоне кисты
- Переломы челюсти патологические
- Флюс или периостит
- Флегмона шеи или лица (не имеющее четких границ гнойное воспаление мягких тканей)
- Остеомиелит, являющийся воспалением костной ткани челюсти
- Сепсис
- Образование доброкачественной опухоли
- Рак
Особую опасность киста представляет для беременных, когда лечение ограничивается, а риск заражения велик.
Способы лечения кисты:
Сегодня стоматологи стараются сохранить зуб в процессе лечения кисты, однако раньше зуб удалялся. Сохранить зуб позволяют новые щадящие методики.
Процесс лечения может быть 2ух видов в зависимости от тяжести случая:
- Терапевтический – промывание канала зубного корня препаратами и цементирование. Метод актуален для кисты не более 8мм в диаметр.
- Хирургический – на десне делается надрез, через который удаляются верхушки «кистозных» корней зуба, удаленные части заменяются искусственным материалом. Киста при этом или вырезается целиком или, если слишком большая, иссекается ее оболочка (резекция кисты зуба). Резекция сопровождается лечением антибиотиками.В некоторых моментах киста удаляется вместе с зубом (часто при кисте зуба «мудрости»).

Воспользуйтесь нашими специальными предложениями: комплекс проф. гигиены, лечение кариеса, имплантация зубов и многое другое со скидкой до 50%
Киста зуба
Воспалительные процессы в корневой части зуба часто приводит к образованию кист, которые не являются самостоятельным заболеванием, проявляется на фоне бактериальной инфекции или в результате некорректного лечения или удаления зубных единиц. Киста зуба относится к доброкачественным опухолям, может длительное время не беспокоить человека, но в то же время при отсутствии грамотной терапии может привести к серьезным последствиям. Современная стоматология проводит лечение кисты зуба несколькими способами. Выбор терапии зависит от степени тяжести, локализации, размера образования. В статье вы узнаете - почему развивается, каковы симптомы, чем опасны подобные опухоли, и какое лечение может назначить врач?
Что такое киста зуба

Киста зуба – полое новообразование округлой формы воспалительного характера, которое чаще развивается в корневой зоне. Согласно врачебным наблюдениям, данное состояние считается наиболее распространенным среди всех гнойно-воспалительных болезней челюстно-лицевой области, занимают около 80%. Многие виды кист длительное время никак себя не проявляют, диагностируются случайно после рентгенологического обследования у стоматолога или при жалобах на зубную боль. Кистозные образования предоставляют собой небольшой мешочек, который наполнен гноем. Его размеры варьируются от нескольких миллиметров до нескольких сантиметров. Чаще всего образуется в периодонтальном пространстве (между корнем и костной тканью). При наличии хронического воспаления, киста увеличивается в размерах, затрагивает костную ткань, чем вызывает выраженную симптоматику, вынуждает человека обратиться в стоматологическую клинику. Принято считать, что подобные наросты на корнях зубов являются заключительным этапом воспалительного процесса. Они могут располагаться на мягких околозубных тканях, под пломбой или коронкой, поражать как передние, так и задние зубы или локализоваться глубоко в десневых тканях. Киста зуба не способна проявится самостоятельно, ей предшествуют множественные патологии воспалительного характера, которые вовремя не были замечены самым человеком или врачом.
Причины и факторы риска
В основе этиологии кистозного поражения зуба лежит несколько причин и предрасполагающих факторов. В 80% случаев болезнь проявляется на фоне присутствии в полости корней или десен патогенного возбудителя, чаще стрептококка, стафилококка, грамположительных палочек. Инфекционная флора в корневую часть способна проникнуть в результате других заболеваний зубных рядов и полости рта. Основные причины кисты зуба:
- невылеченный кариес;
- пульпит;
- периодонтит;
- тяжелое прорезывание «восьмерки»;
- воспаление под искусственной коронкой;
- механическая травма зубов;
- трещины корня зуба;
- хронические болезни ЛОР органов: синусит, фронтит, ринит, тонзиллит;
- осложнение хронического гайморита;
- плохое эндодонтическое лечение.
Достаточно часто развивается киста под коронкой зуба или после некачественного пломбирования каналов. Причиной выступает невнимательность стоматолога, который проводил лечение, что привело к проникновению инфекции в глубокие ткани зуба. В факторам риска относя:
- частое переохлаждение организма;
- плохой уход за зубами;
- лечение зубной боли в домашних условиях с применением анальгетиков или народных средств;
- снижение иммунитета;
- системные заболевания инфекционного происхождения;
- курение.
Предрасполагающие факторы увеличивают риски инфицирования околозубных и зубных тканей, что со временем приводит к образованию кист. Вне зависимости от причины, которая повлекла за собой болезнь, лечение нужно проводить как можно быстрее, это поможет снизить риски осложнений, сохранить зуб.
Виды кист на зубе
В стоматологии выделяют несколько разновидностей кист, которые классифицируют по месту локализации, причине, размере и других показателях: В зависимости от этиологического фактора выделяют:
- радикулярные кисты – образуются на корне зуба в области верхушки или боковой поверхности, в результате осложненного периодонтита;
- ретромолярные или парадентальные – результат затрудненного прорезывания «восьмерки», когда воспаление развивается внутри зачатка;
- резидуальная – проявляется после некачественного удаления зуба, когда остались осколки корней;
- первичная или кератокиста – образуется при нарушении развития зубов, состоит из остаточных клеток зубообразовательной ткани;
- зубосодержащая или фолликулярная – осложнение инфекции в деснах или зубах.
Кистозные образования чаще поражают зубы мудрости или фронтальные единицы, могут появляться под искусственными коронками, прорастать в гайморовы пазухи. Иногда развивается киста десны зуба, которая также способна проявится в результате воздействия инфекции или травмы. При наличии мелких образований на десне, речь будет идти о гранулеме, которые при отсутствии лечения превратится в кистозные наросты больших размеров. Размер образования может варьироваться от 2-3 миллиметров до нескольких сантиметров. В процессе роста кисты, в ее полости скапливается гной, содержащий болезнетворные бактерии. Их присутствие в организме угнетает иммунную систему человека, что приводит к развитию сопутствующих патологий внутренних органов и систем.
Симптомы
Кисты зубов в независимости от их вида, причины и локализации развиваются достаточно медленно и вначале не беспокоят человека. Диагностируются образования случайно или же тогда, когда размер кисты достаточно большой, происходит давление на соседние зубы с выраженным воспалением. К характерным признакам относят:
- Зубная боль ноющего или пульсирующего характера, которая усиливается при жевании пищи.
- Отек, покраснение и припухлость десны вокруг пораженного зуба.
- Присутствие свищевого хода (канал, из которого выделяется гнойное содержимое).
- Частые головные боли, отдающие в висок, по интенсивности напоминают мигрень.
- Повышение температуры до субфебрильных цифр.
На фоне интоксикации организма присутствует слабость и усталость, снижение аппетита, повышенная раздражительность. Если киста имеет большой размер, внутри присутствует большое скопление гноя, ко всем симптомам присоединяется подвижность больного зуба, человек жалуется на распирающие или пульсирующие боли в области челюсти. При пальпации области, где образовалась киста, четко прощупывается плотный мешочек.
Чем опасна киста на зубе
Если вовремя не удалить кисту, в ее полости постоянно будут размножаться бактерии, а само образование увеличится в размерах. В результате патологических изменений, воспаленная кость начнет разрушаться, замещаться соединительной тканью, что приведет к потере единицы зубного ряда и другим неприятным последствиям. К частым осложнениям кисты относят:
- разрушение корня;
- периостит – воспаление надкостницы;
- остеомиелит челюсти;
- воспаление лимфоузлов;
- хронический гайморит;
- перелом челюсти при большом размере кисты;
- флегмоны.

Опасность заболевания заключается и в том, на фоне постоянного присутствия инфекции в организме, она способна проникать в ток крови, разносится по всему организму, вызывая сопутствующие болезни внутренних органов и систем. В более тяжелых случаях, может произойти разрыв образования, что опасно развитием сепсиса, проникновения гной в головной мозг, что может привести к смерти. В редких случаях кистозное образование может перерасти в злокачественный рак. Чтобы исключить всевозможные риски и осложнения, важно вовремя распознать симптомы кисты зуба, обратится к врачу, который после осмотра, результатов рентгенологического исследования определит тяжесть болезни, назначит и проведет необходимое лечение.
Как лечить кисту зуба
Залогом успешного лечения считается ранняя диагностика и правильно подобранная терапия, которая может проводиться консервативным или хирургическим способом. Важно отметить, что симптомы отлично купируются обезболивающими препаратами или народными средствами, но это не поможет устранить причину, а только на время улучшит общее состояние. В то время в очаге воспаления будет скапливаться все больше гноя, киста увеличиться в размерах и без похода в стоматологическую клинику, проблему никак не решить. Выбор терапии зависит от того, на каком этапе находиться болезнь. При небольшом образовании, врач проведет безоперационное лечение с использованием современного оборудования и качественных материалов. Когда киста большого размера или присутствует риск осложнений, без операции не обойтись. Не исключается тот факт, что после проведенного лечения врач посоветует использовать народные средства для купирования воспаления, назначит ряд лекарственных препаратов.
Лечение без операции
Терапевтическое лечение кисты под зубом или в области десны состоит из нескольких этапов, которые позволяют сохранить зуб, исключить дальнейший рост образования. Безоперационное лечение возможно в том случае, когда киста не превышает 0,8 мм. Этапы такой терапии включают:
- Препарирование больного зуба.
- Открытие каналов.
- Удаление пульпы.
- Обработка полости антисептиками.
- Дезинфекция полости кисты.
- Пломбирование каналов антисептической пастой.
- Постановка временной пломбы.
Через несколько дней подобную процедуру повторяют, проводят рентгенографию. Когда воспаление в полости зубной ткани нет, врач ставит постоянную пломбу. Спустя несколько недель или месяцев пациент должен повторно посетить клинику для обследования, которое покажет, нет ли повторного образования кисты, гнойных очагов воспаления. После консервативной терапии всегда присутствует риск рецидива, поэтому многие врачи сразу предлагают пациенту провести операцию с сохранением зубной единицы.
Удаление кисты зуба
Лечение кистозного образования зубов чаще проводиться при помощи операции, которая позволяет удалить очаг воспаления, снизить риски осложнений. Основной целью операции считается:
- Иссечение кистозной капсулы вместе с зубом.
- Воспаление корня зуба вместе со штифтом или.
- Когда на зубе присутствует коронка.
- Воспаление кости челюсти.
Удаление кисты проводят под местной анестезией, используя современные методики и технологии, которые к минимуму сводят послеоперационные осложнения. Операцию проводят несколькими способами:
- Цистэктомия. Новообразование удаляют с оболочкой соединительной ткани и верхушкой корня зуба с дальнейшей антисептической обработкой и пломбированием. При полном разрушении корня, врач принимает решение об его удалении. Подобная операция чаще проводится при кисте на верхней челюсти, имеет большие размеры.
- Цистотомия. Операция включает удаление только передней стенки кисты. Не достатком такого лечения считают длительное заживление тканей. Проводиться в том случае, когда произошло истончение челюсти, а само образование находится на нижних зубах или при разрушении костного дна небной пластинки на верхних зубах.
- Гемисекция. Состоит из удаления зубного корня вместе с кистой и частью пораженной коронки. Относится к наиболее радикальным методикам.
После проведения любой операции по удалению кисты, врач назначает прием антибиотиков, чтобы исключить вторичное инфицирование, также дает рекомендации по уходу. Состояние больного улучшается примерно через сутки после операции, поскольку в первые дни может присутствовать боль в области зуба, отечность, которая исчезнет не раньше чем через 2 дня. После проведения операции категорически запрещено делать согревающие компрессы, полоскать рот или принимать таблетки аспирина, это может привести к кровотечению, повторному воспалению. Для купирования боли врач посоветует принимать обезболивающие и противовоспалительные препараты: Нимесил, Ибупрофен, Ортофен, Нимид.
Лечение лазером
В последнее время особой популярностью пользуется лечение кисты зуба лазером, которое состоит из воздействия лазерных лучей на кистозную полость с последующим устранением воспаления. Данная методика относится к наиболее щадящим, поскольку позволяет сохранить зуб, исключить повторное воспаление. Удаление кисты зуба лазером состоит из следующих этапов:
- Вскрытия канала или снятия пломбы, которая ранее была установлена.
- Расширение зубных каналов.
- Введение в каналы стоматологического лазера, которые обеззаразить воспаленные ткани и разрушит кисту.
- Антисептическая обработка.
- Пломбирование каналов и коронки.
Основным преимуществом такого лечения считается минимальный риск осложнений, быстрое восстановление, отсутствие боли и возможность сохранить зуб. К недостаткам лазерного лечения относят дороговизну процедуры. После процедуры в течение 4-х часов пациенту запрещается употреблять любую пищу, также в первые дни назначается обработка полости рта антисептиками, которые помогут исключить размножение патогенной флоры.

Профилактика
Чтобы снизить вероятность появления кисты на зубе, врачи в области стоматологии рекомендуют своим пациентам соблюдать некоторые правила:
- Частые профилактические осмотры, не чаще чем 1 раз в полгода.
- Регулярная и правильная чистка зубов.
- Полоскание рта после приема пищи.
- Своевременное лечение кариозных зубов.
- Избегать травм зубов и челюсти.
Если киста все же развилась, важно понимать, что без посещения кабинета врача стоматолога избавиться от нет возможности. Чем раньше будет обнаружена патология и проведено соответствующее лечение, тем больше шансов на сохранение зуба и успешное выздоровление.
Похожие статьи
Штифты из стекловолокна в стоматологии применяются относительно недавно, однако уже успели зарекомендовать себя как качественные изделия для фиксации и реставрации зуба. Это обеспечивается особенностями материала, одновременно долговечного, полностью биологически совместимого, прочного и относительно гибкого. Благодаря этому стекловолоконные штифты могут устанавливаться в зубы со сложными формами канала.
Читайте также:
