Острая эозинофильная пневмония
Добавил пользователь Владимир З. Обновлено: 14.12.2025
Эозинофильная пневмония — заболевание, при котором происходит накопление эозинофилов (одного из типов лейкоцитов) в лёгочных альвеолах. Различают несколько типов эозинофильной пневмонии, наблюдающихся во всех возрастных группах. В клинической картине эозионфильной пневмонии наиболее часто отмечаются кашель, лихорадка, одышка и ночная потливость. Диагноз эозинофильной пневмонии ставится на основании клинической картины, физикального осмотра, показателей клинического анализа крови и радиологических признаков. Большинство типов эозинофильной пневмонии распознаются и поддаются лечению кортикостероидами, в связи с чем прогноз этого заболевания хороший.
Содержание
Типы эозинофильной пневмонии
Эозинофильная пневмония разделяется на несколько различных типов с учётом этиологии. В числе известных причин — лекарственные средства и химические агенты из окружающей среды, паразитарные инфекции и злокачественные опухоли. Эозинофильная пневмония также может иметь аутоиммунный характер (синдром Чарга—Стросса). При отсутствии видимой причины, эозионфильная пневмония носит название идиопатической. В зависимости от клинической картины, различают острую и хроническую идиопатические эозинофильные пневмонии [1] .
Патогенез
Эозинофильная пневмония может развиваться различными путями в зависимости от фоновой причины заболевания. Считается, что эозинофилы играют ключевую роль в защите организма от паразитарных инфекций. Многие заболевания, в том числе бронхиальная астма и экзема, обусловлены чрезмерной реакцией эозинофилов на окружающие триггеры и высвобождением избытка биологически активных веществ (цитокинов), в частности, гистамина. В целом, любая эозинофильная пневмония обусловлена чрезмерной эозинофильной реакцией или дисфункцией лёгких.
Эозинофильная пневмония вследствие воздействий окружающей среды и медикаментов
Лекарственные средства, токсикомания и воздействия окружающий среды могут нарушать реактивность эозинофилов. Нестероидные противовоспалительные препараты (ибупрофен, нитрофурантоин, фенитоин, L-триптофан, даптомицин [2] ), ампициллин и ингаляционные наркотики (героин, кокаин) могут вызывать аллергический ответ, приводящий к эозинофильной пневмонии. Также к провоцирующим химическим факторам относят сульфиты, силицилат алюминия и сигаретный дым. Наблюдался случай эозинофильной пневмонии у нью-йоркского пожарного после вдыхания им пыли при катастрофе 11 сентября 2001 года [3] .
Паразитарные инфекции
Различают три механизма развития эозинофильной пневмонии при паразитозах — инвазия паразитов в лёгкие, их временное обитание в лёгких в рамках жизненного цикла или попадание в лёгочную ткань через кровоток. Эозинофилы мигрируют в лёгочную ткань для борьбы с паразитами, что приводит к развитию эозинофильной пневмонии. К паразитам, внедряющимся в лёгкие, относятся лёгочный сосальщик (возбудитель лёгочного парагонимоза), ленточные черви эхинококк (Echinococcus) и свиной цепень (Taenia solium). К паразитам, временно заселящимся в лёгкие в ходе жизненного цикла, относятся человеческие аскариды (Ascaris lumbricoides), кишечные угрицы (Strongyloides stercoralis), анкилостомы (Ancylostoma duodenale) и некаторы (Necator americanus). Эозинофильная пневмония, вызванная паразитами этой группы, часто носит название синдрома Лёффлера. Паразиты из третьей группы попадают в лёгочную ткань посредством заноса массивных скоплений яиц через кровоток. К таким паразитам относятся трихинеллы (Trichinella spiralis), кишечные угрицы (Strongyloides stercoralis), человеческие аскариды (Ascaris lumbricoides), анкилостомы и шистосомы [4] .
Острая и хроническая эозинофильные пневмонии
Причины этих типов эозинофильной пневмонии неизвестны. Возможно, по крайней мере острая эозинофильная пневмония развивается в результате воздействия какого-то неустановленного фактора окружающей среды.
Клиническая картина
Большинство типов эозинофильной пневмонии имеют схожую симптоматику. В клинической картине преобладают кашель, лихорадка, одышка и ночная потливость. Острая эозинофильная пневмония обычно развивается быстро. Через одну-две недели после начала кашля и повышения температуры развивается тяжёлая дыхательная недостаточность, требующая искусственной вентиляции лёгких. Хроническая эозинофильная пневмония развивается более медленно, в течение нескольких месяцев, проявляясь лихорадкой, кашлем, одышкой, хрипами и снижением массы тела. Часто у пациентов с хронической эозинофильной пневмонией до постановки верного диагноза ошибочно диагностируется бронхиальная астма.
Медикаментозная эозинофильная пневмония и пневмония, спровоцированная факторами окружающей среды, имеет схожую клиническую картину и возникает на фоне воздействия известного провоцирующего фактора. Эозинофильная пневмония, обусловленная паразитарной инфекцией, имеет схожий продром, дополняющий различную симптоматику паразитарных инвазий. Эозинофильная пневмония, сопровождающая рак, часто развивается на фоне уже известного диагноза рака лёгкого, шейки матки и т. д.
Диагностика
Эозионфильная пневмония диагностируется при выявлении эозинофилии в клиническом анализе крови и патологических изменений при рентгенографии и КТ; при обнаружении эозинофилии лёгочной ткани в лёгочном биоптате; при обнаружении повышенного содержания эозинофилов в жидкости, полученной при бронхоскопии (бронхоальвеолярном лаваже). Взаимосвязь заболевания с приёмом лекарственных препаратов или неопластическим процессом обычно выявляется при анализе истории болезни пациента. Специфические паразитарные инфекции выявляются в результате выяснения возможных контактов пациента с паразитами и лабораторных исследований. Если причина не выявляется, выставляется диагноз острой или хронической идиопатической эозинофильной пневмонии.
Острая эозинофильная пневмония сопровождается дыхательной недостаточностью, обычно развивающейся менее чем через неделю после повышения температуры тела; мультифокальным поражением лёгких и гидротораксом по данным рентгенографии; превышением 25 % эозинофилов при бронхоальвеолярном лаваже. Помимо этого, типично обнаружение лейкоцитоза в общем анализе крови, повышение СОЭ, увеличение уровня иммуноглобулина E. Спирометрия обычно обнаруживает рестриктивный процесс с уменьшением диффузионной способности окиси углерода.
Для хронической эозинофильной пневмонии характерно длительное, более одного месяца, течение. При лабораторных исследованиях выявляется эозинофилия крови, высокая СОЭ, железодефицитная анемия и тромбоцитоз. При рентгенографии фокусы затемнения могут обнаруживаться в различных отделах лёгочных полей, однако наиболее типична их периферическая локализация.
Лечение
При связи эозинофильной пневмонии с другим заболеванием (опухолью или паразитарной инфекцией), лечение основного заболевания способствует регрессии эозинофильного поражения лёгких.
При идиопатических эозинофильных пневмониях терапия кортикостероидами позволяет достичь быстрой, в течение одного-двух дней, регрессии симптомов. Используются как внутривенные (метилпреднизолон), так и оральные (преднизон) кортикостероиды. При острой эозинофильной пневмонии, лечение обычно продолжается в течение месяца после исчезновения симптомов и нормализации рентгенографической картины. При хронической эозинофильной пневмонии, лечение обычно продолжается на протяжении трех месяцев после клинико-рентгенологической регрессии симптомов (обычно — в пределах четырёх месяцев в целом). Ингаляционные стероиды (флутиказон) эффективны в случае рецидива заболевания после отмены орального преднизона [5] . При обширном поражении лёгочной ткани и выраженной дыхательной недостаточности может потребоваться искусственная вентиляция лёгких.
Прогноз
Прогноз эозинофильной пневмонии, обусловленной паразитозом или опухолью, сопряжён с прогнозом этих заболеваний. Смертность от идиопатических эозинофильных пневмоний при адекватном лечении минимальна. Хроническая эозинофильная пневмония часто рецидивирует на фоне отмены преднизона, в связи с чем многим пациентам может быть показана пожизненная терапия. Длительный приём преднизона вместе с тем вызывает множество побочных эффектов, в том числе склонность к инфекциям, остеопороз, язвенное поражение желудка и изменения внешности.
Эпидемиология
Эозинофильная пневмония — редкое заболевание. Паризитарные эозинофильные пневмонии распространены в регионах, эндемичных для определённых паразитов. Острые эозинофильные пневмонии развиваются в любом возрасте, даже у ранее здоровых детей, хотя наиболее часто заболевание наблюдается у пациентов в возрасте 20 — 40 лет. Мужчины страдают приблизительно вдвое чаще, чем женщины. Острая эозинофильная пневмония ассоциирована с курением. Хроническая эозинофильная пневмония развивается чаще у женщин, чем у мужчин, и не связана с курением. Описывается взаимосвязь заболевания с лучевой терапией по поводу рака молочной железы [6] .
История
Хроническая эозинофильная пневмония впервые описана Каррингтоном [7] в 1969 году, и также известна под названием «синдром Каррингтона». До этого эозинофильная пневмония была подробно описанным заболеванием, которое обычно ассоциировалось с паразитозами и приёмом лекарственных средств. Острая эозинофильная пневмония впервые описана в 1989 году [8] [9] .
Острая эозинофильная пневмония
Острая эозинофильная пневмония (ОЭП) – это заболевание неизвестной этиологии, которое характеризуется быстрой эозинофильной инфильтрацией интерстиция легких.
В отличие от хронической эозинофильной пневмонии Хроническая эозинофильная пневмония Хроническая эозинофильная пневмония (ХЭП) – заболевание неизвестной этиологии, которое характеризуется хроническим патологическим накоплением эозинофилов в легком. (См. также Обзор эозинофильных. Прочитайте дополнительные сведения , острая эозинофильная пневмония является острым заболеванием, которое обычно не рецидивирует. Заболеваемость и распространенность ОЭП неизвестны. Острая эозинофильная пневмония встречается в любом возрасте, чаще у людей в возрасте от 20 до 40 лет; мужчины болеют чаще, чем женщин в соотношении 2:1.
Симптомы и признаки острой эозинофильной пневмонии
Острая эозинофильная пневмония является причиной острого фебрильного заболевания короткой продолжительности (обычно 7 дней). Появляется непродуктивный кашель, одышка, недомогание, миалгии, ночная потливость и плевритическая боль.
Также наблюдается тахипноэ, лихорадка (часто > 38,5 ° C), двусторонние инспираторные влажные хрипы в нижних отделах легких, иногда – хрипы при форсированном выдохе.
Диагностика острой эозинофильной пневмонии
КТ высокого разрешения (КТВР)
Общий анализ крови (ОАК), анализ плеврального выпота, исследование функции легких
Бронхоскопия для выполнения лаважа, и в некоторых случаях, биопсия
Диагноз острой эозинофильной пневмонии можно заподозрить у пациентов с симптомами острой пневмонии, которые прогрессируют до дыхательной недостаточности и не имеют эффекта от антибиотикотерапии. Диагноз основывается на результатах стандартных исследований и подтверждается при бронхоскопии.
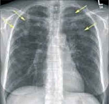
Острая эозинофильная пневмония является диагнозом, который ставится путем исключения и требует отсутствия известных причин эозинофильной пневмонии (например, индуцированной лекарствами и токсинами, связанной с глистными и грибковыми инфекциями, эозинофильный гранулематоз с полиангиитом Эозинофильный гранулематоз с полиангиитом (ЭГПА) Эозинофильный гранулематоз с полиангиитом представляет собой системный некротизирующий васкулит малых и средних сосудов с развитием экстраваскулярных гранулем, эозинофилии и эозинофильной инфильтрации. Прочитайте дополнительные сведения При рентгенографии органов грудной клетки изначально могут выявляться только незначительное усиление легочного рисунка или затемнения по типу «матового стекла», часто с наличием линий Керли типа В. Также могут выявляться изолированные альвеолярные (примерно в 25% случаев) затемнения или усиление легочного рисунка (примерно в 25% случаев). В отличие от хронической эозинофильной пневмонии, при острой эозинофильной пневмонии помутнения не характеризуются преимущественной локализацией на периферии легкого. Небольшие плевральные выпоты Плевральный выпот Плевральный выпот – это скопление жидкости в плевральной полости, обусловленное различными причинами. Плевральный выпот делится на транссудат и экссудат. Для выявления причины плеврального выпота. Прочитайте дополнительные сведенияПри КТВР всегда выявляются патологические изменения в виде двусторонних несимметричных очаговых затемнений по типу «матового стекла» или усиление легочного рисунка.
При исследовании плеврального выпота отмечается выраженная эозинофилия и высокий pH.
Бронхоскопия Бронхоскопия Бронхоскопия – это введение эндоскопа в дыхательные пути. Гибкая волоконно-оптическая бронхоскопия используется при всех диагностических и большинстве терапевтических показаний. Гибкие бронхоскопы. Прочитайте дополнительные сведения 25%) эозинофилов. При гистологическом исследовании выявляется эозинофильная инфильтрация с острым и организующимся диффузным поражением альвеол, но биопсия выполняется лишь в редких случаях.
Лечение острой эозинофильной пневмонии
Некоторые пациенты с острой эозинофильной пневмонией самопроизвольно выздоравливают. В большинстве случаев назначается преднизон (в дозе 40–60 мг перорально 1 раз в день). При наличии дыхательной недостаточности предпочтительно назначение метилпреднизолона (в дозе 60–125 мг внутривенно каждые 6 часов).
Прогноз острой эозинофильной пневмонии обычно благоприятный; ответ на кортикостероиды и полное выздоровление является распространенным явлением. Плевральный выпот разрешается более медленно, чем паренхиматозные инфильтраты.
Авторское право © 2022 Merck & Co., Inc., Rahway, NJ, США и ее аффилированные лица. Все права сохранены.
Эозинофильная пневмония
Эозинофильная пневмония включает группу заболеваний легких, при которых в легких и, как правило, в крови появляется повышенное количество эозинофилов (разновидность лейкоцитов).
Некоторые заболевания, лекарственные препараты, химические вещества, грибки и паразиты могут привести к скоплению эозинофилов в легких.
У больных могут появиться кашель, свистящие хрипы или одышка, а у некоторых возникает дыхательная недостаточность.
Для выявления заболевания и определения его причины, особенно при подозрении на паразитарную этиологию заболевания, врачи назначают рентгенографию органов грудной клетки и лабораторные анализы.
Обычно назначают кортикостероидные препараты.
Эозинофилы — это тип лейкоцитов Эозинофилы В одной из линий защиты организма (иммунной системе) участвуют белые кровяные клетки (лейкоциты), которые перемещаются с потоком крови в ткани, находя и атакуя микроорганизмы и других возбудителей. Прочитайте дополнительные сведения которые участвуют в иммунном ответе легких. Количество эозинофилов увеличивается при многих воспалительных и аллергических реакциях, в том числе при бронхиальной астме Астма Бронхиальная астма — заболевание, при котором в ответ на определенные раздражители развивается сужение дыхательных путей, как правило, обратимое. Наиболее распространенными симптомами являются. Прочитайте дополнительные сведения отсутствием данных об инфицированности мельчайших воздухоносных мешочков легких (альвеол) бактериями, вирусами или грибками. Однако альвеолы, а часто и дыхательные пути, действительно заполняются эозинофилами. При развитии бронхиальной астмы даже стенки кровеносных сосудов могут заполняться эозинофилами, и суженные дыхательные пути могут закупориваться накопленным секретом (слизью).
Синдром Леффлера
Синдром Леффлера (одна из форм эозинофильной пневмонии) может сопровождаться отсутствием симптомов или легкими симптомами со стороны дыхательной системы. Для постановки диагноза необходимо проведение рентгенологических исследований органов грудной клетки и анализов крови для выявления повышенных уровней эозинофилов в крови. Синдром Леффлера часто является следствием инвазии любого из нескольких видов нематод (круглых червей), чаще всего человеческих аскарид ( Ascaris lumbricoides Аскаридоз Аскариоз — это инфекция, вызванная Ascaris lumbricoides, кишечным круглым червем, или изредка Ascaris suum (который вызывает аскаридоз у свиней). Люди могут заразиться, проглотив. Прочитайте дополнительные сведенияПричины эозинофильной пневмонии
Точная причина накопления эозинофилов в легких изучена не очень хорошо, но оно может оказаться одной из разновидностей аллергической реакции Общие сведения об аллергических реакциях Аллергические реакции (реакции гиперчувствительности) представляют собой неадекватный ответ иммунной системы на обычно безвредные вещества. Обычно при аллергии начинают слезиться и чесаться. Прочитайте дополнительные сведенияНекоторые лекарственные препараты (например, пенициллин, аминосалициловая кислота, карбамазепин, L-триптофан, напроксен, изониазид, нитрофурантоин, фенитоин, хлорпропамид и сульфаниламиды [такие как триметоприм/сульфаметоксазол])
Химические испарения (например, кокаин или никель, вдыхаемые в виде пара)
Грибки (как правило Aspergillus fumigatus)
Паразиты (в особенности круглые черви, включая нематоды)
Симптомы эозинофильной пневмонии
Симптомы могут быть легкими или опасными для жизни, а также острыми или хроническими.
Острая эозинофильная пневмония прогрессирует быстро. Она может вызывать повышение температуры, боль в груди, которая усиливается при глубоким дыхании, одышку, кашель и чувство общего недомогания. Уровень кислорода в крови может резко снизиться, и при отсутствии лечения острая эозинофильная пневмония в течение нескольких часов или дней может перейти в острую дыхательную недостаточность Дыхательная недостаточность Дыхательная недостаточность — это состояние, при котором уровень кислорода в крови становится опасно низким или уровень углекислого газа в крови — опасно высоким. К дыхательной недостаточности. Прочитайте дополнительные сведения .
Синдром Леффлера может не вызывать симптомов или вызывать только легкие симптомы со стороны дыхательной системы. У больного может отмечаться кашель, свистящие хрипы и одышка, но он, как правило, быстро выздоравливает.
Хроническая эозинофильная пневмония, медленно прогрессирующая в течение дней или недель, является отдельным заболеванием, которое также может протекать тяжело. Это заболевание имеет обыкновение стихать и рецидивировать само по себе на протяжении нескольких недель или месяцев. При отсутствии лечения заболевания может развиться опасная для жизни одышка.
Диагностика эозинофильной пневмонии
Рентгенологическое исследование и компьютерная томография органов грудной клетки
Анализы крови для измерения количества эозинофилов
Когда врачи подозревают наличие эозинофильной пневмонии, они сначала проводят рентгенологическое исследование органов грудной клетки.
При острой эозинофильной пневмонии в результатах рентгенологического исследования органов грудной клетки выявляют патологические изменения, но аналогичные патологические изменения могут наблюдаться и при других заболеваниях.
При постановке диагноза хронической эозинофильной пневмонии может помочь рентгенологическое исследование органов грудной клетки.
Часто для постановки диагноза более эффективна компьютерная томография (КТ), особенно при острой эозинофильной пневмонии.
В крови измеряют количество эозинофилов. При острой эозинофильной пневмонии количество эозинофилов в крови может быть нормальным. При хронической эозинофильной пневмонии в анализах определяют большое количество эозинофилов в крови, иногда превышающее нормальные значения в 10–15 раз.
При микроскопическом исследовании клеток промывных вод альвеол, полученных во время бронхоскопии, в большинстве случаев отмечаются скопления эозинофилов. Чтобы обнаружить инфекцию грибками или паразитами, могут быть проведены другие лабораторные анализы. Эти анализы могут включать микроскопическое исследование образцов кала для выявления глистов и других паразитов.
Лечение эозинофильной пневмонии
Эозинофильная пневмония может протекать легко, и у пациентов с этим заболеванием улучшение может наступать и без лечения.
При острой эозинофильной пневмонии, как правило, необходимо применение кортикостероидов, таких как преднизон.
При хронической эозинофильной пневмонии может потребоваться лечение преднизоном в течение многих месяцев или даже лет.
Если у пациента появляются свистящие хрипы, применяют те же самые препараты, что и для лечения астмы Лечение Бронхиальная астма — заболевание, при котором в ответ на определенные раздражители развивается сужение дыхательных путей, как правило, обратимое. Наиболее распространенными симптомами являются. Прочитайте дополнительные сведенияПРИМЕЧАНИЕ: Это — пользовательская версия ВРАЧИ: Нажмите здесь, чтобы перейти к профессиональной версии
Авторское право © 2022 Merck & Co., Inc., Rahway, NJ, США и ее аффилированные лица. Все права сохранены.
Эозинофильная пневмония ( Легочная эозинофилия , Пневмония Лёффлера , Синдром Лера-Киндберга , Эозинофильный летучий инфильтрат легкого )
Эозинофильная пневмония – это аллерго-воспалительное поражение легочной ткани, сопровождающееся образованием неустойчивых мигрирующих инфильтратов эозинофильной природы и развитием гиперэозинофилии. Заболевание обычно протекает с недомоганием, субфебрилитетом, небольшим сухим кашлем, иногда со скудной мокротой; при острой форме - с болью в груди, миалгией, развитием острой дыхательной недостаточности. Установить эозинофильную пневмонию позволяют данные рентгенографии и КТ легких, общего анализа крови, бронхоальвеолярного лаважа, аллергопроб, серодиагностики. Основу лечения составляют специфическая гипосенсибилизация и гормональная терапия.
МКБ-10

Общие сведения
Эозинофильная пневмония (эозинофильный «летучий» инфильтрат легкого) - респираторное заболевание, связанное с патологическим накоплением эозинофилов в альвеолах и повышением их уровня в крови и мокроте. Эозинофильная пневмония чаще диагностируется у населения и туристов в странах с тропическим климатом (Индонезии, Индии, Малайзии, тропической Африке, Ю. Америке).
Эозинофильная пневмония протекает по типу долевой пневмонии или бронхопневмонии, затрагивает обычно верхние отделы легких. Отмечается очаговое или диффузное воспаление альвеол, интерстициальной ткани, сосудов, бронхиол с их обильной инфильтрацией эозинофилами. Типичен преходящий характер инфильтратов с полным регрессом без вторичных рубцовых и склеротических изменений тканей.
Выделяют 3 формы легочной эозинофилии - простую (пневмония Лёффлера), острую и хроническую (синдром Лера-Киндберга). На хронизацию процесса указывают длительное (>4 недель) сохранение и рецидивирование эозинофильных инфильтратов. Эозинофильной пневмонией одинаково часто болеют лица обоего пола, преимущественно в 16-40-летнем возрасте; хроническая форма чаще развивается у женщин, страдающих бронхиальной астмой.

Причины
Эозинофильное поражение легочной ткани инициируют патогены инфекционно-аллергической и аллергической природы, вызывающие сенсибилизацию организма пациента. В качестве них могут выступать:
- Паразитарная (глистная) инвазия. В 1932 г Лёффлер впервые определил роль гельминтов в этиологии эозинофильной пневмонии, возникающей при транзиторном повреждении легочной ткани в процессе миграции личинок паразитов через легкие. К появлению пневмонии Лёффлера может привести практически любой гельминтоз - аскаридоз, стронгилоидоз, шистосомоз, анкилостоматоз, парагонимоз, токсокароз, трихинеллез и др. Довольно часто при легочной эозинофилии выявляются нематоды Toxocara cati и T. canis, аскариды собак и кошек. Личинки и яйца глистов могут попадать в ткань легких с током крови, взрослые паразиты (Paragonimus westermani) - через кишечную стенку, диафрагму и плевру, вызывая эозинофильное воспаление с образованием инфильтратов.
- Ингаляционные и лекарственные аллергены. Эозинофильная пневмония может быть результатом аллергической реакции на прием медикаментов (пенициллина, ацетилсалициловой кислоты, сульфаниламидов, нитрофуранов, изониазида, гормональных и рентгенконтрастных препаратов, соединений золота), на контакт с химическими агентами на производстве (солями никеля), цветочной пыльцой (ландыша, лилии, липы). Пневмония Леффлера может быть проявлением сывороточной болезни, иметь связь с аллергией на туберкулин.
- Грибковая инфекция. Атопическая сенсибилизация дыхательного тракта к спорам грибов (особенно, рода Aspergillus) также способствует развитию эозинофильных легочных инфильтратов.
Патогенез
Развитие эозинофильной пневмонии опосредовано реакциями гиперчувствительности немедленного типа. Помимо гиперэозинофилии в крови пациентов часто выявляется повышенный уровень IgE (гипериммуноглобулинемия). За образование аллерго-воспалительных очагов в легочной ткани ответственны тучные клетки, активированные иммунными (IgE) и неиммунными (гистамином, системой комплемента) механизмами и продуцирующие медиаторы аллергии (главным образом, эозинофильный хемотаксический фактор анафилаксии). В ряде случаев эозинофильная пневмония развивается за счет выработки преципитирующих антител к антигенам (реакции по типу феномена Артюса).
Симптомы эозинофильной пневмонии
Клиническая картина бывает весьма вариабельной. Аллергическое воспаление легких может иметь бессимптомное течение с отсутствием или очень скудной выраженностью жалоб и определяться только рентгенологическим и клинико-лабораторным методом. Часто пневмония Лёффлера протекает с минимальными проявлениями, манифестируя симптомами катарального ринофарингита. Больные ощущают легкое недомогание, слабость, повышение температуры до субфебрильной, небольшой кашель, чаще сухой, иногда с незначительной вязкой или кровянистой мокротой, болезненность в области трахеи.
При массивном гематогенном распространении яиц и личинок глистов в организме присоединяется сыпь на коже, зуд, одышка с астматическим компонентом. Эозинофильная инфильтрация других органов сопровождается легкими, быстро исчезающими признаками их поражения – гепатомегалией, симптомами гастрита, панкреатита, энцефалита, моно- и полиневропатией.
Острая эозинофильная пневмония протекает тяжело, с интоксикацией, фебрилитетом, болью в груди, миалгией, быстрым (в течение 1-5 суток) развитием острой дыхательной недостаточности, респираторного дистресc-синдрома. Для хронической формы типично подострое течение с потливостью, потерей массы тела, нарастанием одышки, развитием плеврального выпота.
Эозинофильная пневмония обычно длится от нескольких дней до 2-4 недель. Выздоровление может наступать спонтанно. При хронической форме продолжительное существование инфильтратов и рецидивы способствуют постепенному прогрессированию заболевания, развитию легочного фиброза и дыхательной недостаточности.
Диагностика
Диагностика эозинофильной пневмонии включает проведение рентгенографии и КТ легких, общего анализа крови, анализа кала на яйца глист, бронхоальвеолярного лаважа, аллергопроб, серологических (РП, РСК, ИФА) и клеточных тестов (реакции дегрануляции базофилов и тучных клеток). Пациенты с эозинофильной пневмонией, как правило, имеют предшествующий аллергологический анамнез. Аускультация определяет небольшое количество влажных мелкопузырчатых хрипов или крепитацию. При обширных инфильтратах заметно укорочение легочного звука при перкуссии. Инструментально-лабораторный комплекс:
- Рентгенография легких. На снимках видны субплеврально расположенные одиночные (реже множественные, двусторонние) нечеткие затемнения средней интенсивности неправильной формы размером до 3-4 см. В окружении инфильтрата легочный рисунок усилен, тень корня легкого слегка расширена. Характерна быстрая динамика инфильтратов с миграцией по легочным полям и исчезновением не позднее 1-2 недель после обнаружения (чаще через 1-3 дня) без остаточной рубцовой деформации. При длительно поддерживающемся инфильтративном воспалении в ткани легких могут образоваться фиброзные очаги и кистозные полости.
- Лабораторные данные. В периферической крови на начальной стадии заболевания регистрируется лейкоцитоз, гиперэозинофилия (10-25%), при хронизации процесса уровень эозинофилов близок к норме. Часто выявляется высокое содержание в крови IgE (до 1000 МЕ/мл). В анализе лаважной жидкости также появляются эозинофилы (при острой форме – до 40% и более) и кристаллы Шарко-Лейдена. Анализ кала, проводимый с учетом цикла развития паразитов, при некоторых гельминтозах позволяет обнаружить яйца глист. По данным биопсии в альвеолах и интерстиции определяются эозинофилы, лимфоциты и макрофаги, гранулемы, поражение мелких сосудов.
- Аллергопробы. Этиологическая диагностика эозинофильной пневмонии включает провокационные назальные и ингаляционные тесты, кожные пробы с аллергенами пыльцы, гельминтов, спор грибов, серологические анализы. «Никелевая» эозинофильная пневмония обычно сочетается с аллергическим контактным дерматитом и подтверждается положительным компрессным (аппликационным) тестом с никелем.
- ФВД. Бронхиальную проходимость оценивают при проведении спирометрии, бронхомоторных тестов.
Дифференцировать эозинофильную пневмонию необходимо с пневмониями бактериального и вирусного генеза, туберкулезом, синдромом Вайнгартена, альвеолитом, десквамативным интерстициальным фиброзом. При атопической отягощенности показана консультация аллерголога, при респираторном рините - отоларинголога.
Лечение эозинофильной пневмонии
Основным в лечении является устранение действия этиологически значимого фактора: контакта с аллергенами (аэроаллергенами, лекарствами), проведение дегельминтизации. Назначаются антигистаминные препараты, противопаразитарные средства. Имеются случаи спонтанного выздоровления без фармакотерапии. В случае тяжелой глистной инвазии с обезвоживанием организма или невозможности полного изъятия аллергена из окружающей среды лечение проводится стационарно, в отделении пульмонологии.
При острой форме эозинофильной пневмонии применяются глюкокортикоиды, на фоне которых происходит быстрая (в течение 48 часов) регрессия воспаления. Дозу ГК подбирают индивидуально и снижают постепенно во избежание обострения. В тяжелых случаях требуются ИВЛ, длительная гормональная терапия. При бронхообструкции показаны ингаляционные ГК, бета-адреномиметики. Для лучшего отхождения мокроты используются отхаркивающие средства, дыхательная гимнастика. Проводится лечение сопутствующей бронхиальной астмы.
Прогноз и профилактика
Прогноз эозинофильной пневмонии в целом благоприятный, возможно самопроизвольное разрешение инфильтратов. Правильное лечение и наблюдение пульмонолога позволяет избежать хронизации процесса и рецидивов. Профилактика эозинофильной пневмонии сводится к мерам гигиены, предотвращающим заражение организма гельминтами, контролю за приемом медикаментов, ограничению контакта с аэроаллергенами, проведению специфической гипосенсибилизации. При необходимости рекомендуется смена места работы.
2. Легочные эозинофилии: диагностика, подходы к терапии/ Э.Х.Анаев, А.Г.Чучалин// Пульмонология. - 2012 -№ 4.
3. Эозинофильная пневмония в практике врача-терапевта: трудности диагностики/ Болдырева Л.Н., Пантелеева Е.Н.//Справочник поликлинического врача. - 2011 - №9.
4. Трудности этиологической диагностики легочной эозинофилии/ Николаева С.С., Растомпахова Т.А.// Сибирский медицинский журнал. - 2011.
Легочные эозинофилии
Лёгочные эозинофилии — группа заболеваний, характеризующихся накоплением в ткани лёгкого и в дыхательных путях эозинофильных гранулоцитов (эозинофилов). Легочные эозинофилии впервые описаны W. Loffler в 1932 г. Наиболее частыми причинами их возникновения являются гельминтозы, микозы и реакции на медикаменты. Выраженность клинической картины варьирует от бессимптомных «летучих» инфильтратов в лёгких, до угрожающих состояний — тяжёлой дыхательной недостаточности и множественных поражений других органов. Эозинофильные гранулоциты образуются в костном мозге и циркулируют в крови около суток, далее распределяются в тканях организма, а через 10 дней подвергаются апоптозу (самоуничтожению). Эозинофилы участвуют в воспалительных процессах, в процессе фагоцитоза. Нормальное содержание эозинофилов в крови человека — 0,05-0,25х10 9 /л (1-5% лейкоцитов), в БАЛ (бронхо-альвеолярный лаваж) здоровых людей отсутствуют. Наряду с накоплением эозинофилов в лёгких обычно происходит увеличение их содержания в крови >1х10 9 /л и в БАЛ до 25% и более.
Простая лёгочная эозинофилия (синдром Лёффлера) может ассоциироваться с гельминтозами (глистами), микозами (грибковыми заболеваниями), сенсибилизацией к растительным и пищевым аллергенам, приёмом медикаментов, воздействием соединений никеля. Симптомы заболевания (кашель, свистящее дыхание, повышение температуры тела) слабо выражены, сохраняются в течение нескольких дней либо отсутствуют вовсе. Заболевание характеризуется наличием мигрирующих инфильтратов в лёгких на рентгенограммах, выраженной эозинофилией (до 22х10 9 /л), сохраняющейся несколько недель и наличием эозинофилов в БАЛ. Признаки васкулита, гранулематоза, некроза отсутствуют. При гельминтнозной этиологии процесса необходимо исследование мокроты и кала.
Острая эозинофильная пневмония - может быть идиопатической (без установленной причины), либо ассоциированной со СПИДом, приёмом медикаментов, ингаляцией бытовых и промышленных поллютантов (продукты жизнедеятельности человека токсического характера), табачного дыма. Чаще всего развивается у мужчин 20-30 лет. Характеризуется острым началом с лихорадкой, выраженной одышкой, кашлем без мокроты. В тяжёлых случаях возможно развитие дыхательной недостаточности. На рентгенограммах, на КТ легких определяется диффузная инфильтрация с обеих сторон. Эозинофилия в крови часто отсутствует, но всегда обнаруживается в БАЛ.
Диагностические признаки идиопатической острой эозинофильной пневмонии:
- отсутствие инфекции или какой-либо другой причины заболевания;
- острое начало;
- диффузные инфильтративные изменения в обоих лёгких;
- гипоксемия (малое содержание кислорода в крови);
- лёгочная эозинофилия ;
- продолжительность заболевания не более 1 мес.
Лечение системными кортикостероидами приводит к улучшению состояния больного, рассасыванию инфильтрации в лёгких и излечению. Известны случаи спонтанного выздоровления. Рецидивы для этого варианта заболевания не характерны.
Хроническая эозинофильная пневмония - может вызываться медикаментами, ассоциироваться с гельминтозами, микозами, ревматоидным артритом, Т-клеточными лимфомами, саркоидозом, атипичными микобактериозами или быть идиопатической.
Заболевание обычно развивается в возрасте 40-50 лет, у женщин вдвое чаще, чем у мужчин. Большинство пациентов имеют в анамнезе аллергические заболевания: бронхиальную астму, аллергический ринит, атопический дерматит. Клиническая картина — кашель, одышка, удушье, лихорадка или субфебрилитет, ночные поты, артралгии (боли в суставах), слабость, утомляемость, недомогание, потеря аппетита, похудание.
На рентгенограммах и КТ определяются участки инфильтрации различной плотности, расположенные по периферии, как правило, в верхних долях лёгких. В анализах крови выявляются значительное увеличение общего IgE, воспалительные изменения: повышение СОЭ, С-реактивного белка. Эозинофилия в крови определяется не всегда, но в БАЛ превышает 25%. В отличие от острой эозинофильной пневмонии длительность заболевания более 2 мес., возможны рецидивы.
Гиперэозинофильный синдром был описан M.J. Chusid и соавт. в 1975 г. как заболевание неизвестной природы, для которой характерны эозинофилия крови более 1,5х10 9 /л, сохраняющаяся дольше 6 мес, и полиорганность патологического процесса: гепато-спленомегалия, застойная сердечная недостаточность вследствие поражения сердца (в 60% случаев), диффузное или локальное поражение центральной нервной системы, легких (в 40% случаев), лёгочный фиброз, лихорадка, похудание и анемия.
В большинстве случаев наблюдается у мужчин в возрасте 20-50 лет. Многообразие симптомов обусловлено поражением сердца, тромбоэмболиями в головной мозг, периферической нейропатией и кожными проявлениями (папулами, эритемой, крапивницей, ангионевротическим отёком). Поражение органов дыхания характеризуется плевральным выпотом, интерстициальной инфильтрацией и тромбоэмболиями ветвей лёгочной артерии. Поражение сердца проявляется развитием эндомиокардиального фиброза, который приводит к кардиомегалии и застойной сердечной недостаточности. Наиболее частыми общими симптомами являются слабость и повышенная утомляемость. Гиперэозинофильный синдром характеризуется очень высокой эозинофилией крови (20-100х10 9 /л). В БАЛ она выражена умеренно. Прогноз в настоящее время значительно улучшился, 10 летняя выживаемость составляет 70%.
Бронхоцентрический гранулематоз - продуктивный воспалительный процесс, вызываемый плесневыми грибами. В большинстве случаев ассоциируется с бронхиальной астмой и аспергиллезом, характеризуется образованием в стенках бронхиол гранулём из гистиоцитов и эозинофилов, которые разрушают слизистую оболочку и стенку бронхиол и распространяются на окружающую лёгочную ткань. Диагноз требует гистологического подтверждения.
Прогноз благоприятный. Отмечается склонность к рецидивированию.
Тропическая эозинофилия - впервые описана R.Weingarten как заболевание, характеризующееся тяжёлым спастическим бронхитом, лейкоцитозом и высокой эозинофилией в крови. Это эндемическое заболевание, распространённое в тропических и субтропических регионах побережья Азии, островов Тихого океана, Африки, Южной и Центральной Америки, которое вызывается сенсибилизацией к гельминтам-микрофиляриям Wuchereria bancrofti и Brugia malayi. Отложение личинок паразита в коже (заражение) происходит при укусе москита. В течение 6-12 мес. личинки трансформируются во взрослых гельминтов, которые затем попадают в кровоток и лимфатические пути. Развивается хронический лимфангиит, лимфостаз, слоновость. В случае же развития тропической эозинофилии микрофилярии фиксируются в сосудах лёгких и вызывают специфическую сенсибилизацию. Формируется эозинофильная пневмония с участками абсцедирования и образования гранулём. Длительное течение заболевания формирует диффузный пневмофиброз. Основные симптомы — упорный сухой кашель в ночные и предутренние часы, свистящее дыхание, экспираторная одышка, наподобие бронхиальной астмы. Лихорадка, похудание, потеря аппетита.
Другие легочные эозинофилии
В конце прошлого века были описаны два эпизода своеобразных форм легочной эозинофилии, вызванных приёмом аллергенных продуктов и пищевых добавок. Массовая вспышка синдрома токсического масла произошла в 1981 г. в Испании. Причиной её явилось употребление в пищу рапсового масла, предназначенного для промышленных целей, но маркированного как оливковое. Пострадали около 20 000 человек. Заболевание характеризовалось полиорганностью поражений, развитием васкулита и эозинофилии, проявлялось лихорадкой, кашлем, одышкой, кожной сыпью, миалгией. Эозинофилия крови достигала 20х10 9 /л. Смертность составила более 1,5%, основная причина - дыхательная недостаточность. Хроническое течение характеризовалось формированием диффузного интерстициального пневмосклероза, лёгочной гипертензии, сухого синдрома, полинейропатии, сгибательных контрактур, склеродермоподобными изменениями кожи, мышечной слабостью, отёками конечностей.
Синдром эозинофилии-миалгии был впервые описан в 1989 г. в США. Во всех случаях развитию заболевания предшествовал длительный приём аминокислоты L-триптофана в качестве седативного средства. Заболевание вызывали аллергенные примеси в препарате, поставлявшемся одним и тем же производителем. Отмечалось множественное полиорганное поражение: эозинофильный фасциит, пневмония, миокардит, восходящая полинейропатия. Респираторные нарушения наблюдались у 67% больных, изменения в лёгких на рентгенограммах и КТ были обнаружены в 13% случаев. Заболевание проявлялось сухим кашлем, одышкой, болью в груди, генерализованной миалгией, мышечной слабостью, парестезиями, артралгиями, кожной сыпью, отёками, повышенной утомляемостью. Уровень эозинофилии в крови мог достигать 5х10 9 /л.
Повышение содержания эозинофилов в лёгочной ткани может наблюдаться также при:
Читайте также:
