Острая ишемия брыжейки
Добавил пользователь Владимир З. Обновлено: 27.01.2026
Острая ишемия кишечника или острая ишемия брыжейки — это заболевание кровеносных сосудов, кровоснабжающих кишечник (мезентериальные кровеносные сосуды). В случае, когда заболевание возникает в крупных кровеносных сосудах, может быть нанесено серьезное поражение кишечника, приводящее к смерти. Это состояние называется «инфаркт кишечника».
Кишечник получает кровоснабжение от трех основных кровеносных сосудов:
- Чревная артерия
- Верхняя брыжеечная артерия
- Нижняя брыжеечная артерия
Основная причина закупорки кровеносных сосудов — сгусток крови, который обычно происходит из сердца, особенно у пациентов, страдающих нерегулярным сердцебиением или другим сердечным заболеванием. Большие части кишечника получают двойное кровоснабжение, поэтому закупорка одного кровеносного сосуда не приводит к немедленным и серьезным повреждениям. Однако закупорка нескольких крупных кровеносных сосудов может привести к серьезному нарушению кровоснабжения.
Существует ряд факторов, повышающих риск сосудистых заболеваний в целом и нарушений кровоснабжения кишечника в частности:
- Возраст старше 60 лет
- История сердечных заболеваний
- Нарушения артериального давления
- Атеросклероз (жировые отложения в кровеносных сосудах)
- Нарушения коагуляции
- Определенные лекарства, которые влияют на кровеносные сосуды или состояние сгустков в организме (некоторые противозачаточные таблетки, противоаллергические таблетки или лекарства от мигрени).
- Употребление наркотиков — доказана связь между употреблением героина, амфетамина и ишемией кишечника.
Диагностика ишемии брыжейки довольно сложна, так как ее симптомы неспецифичны. Еще сложнее поставить диагноз у пациентов, которым трудно общаться и описать свои жалобы, например, у пациентов с деменцией. Однако лечащий врач должен учитывать возможность наличия этого расстройства, особенно у пациентов, которые относятся к группе риска и представлены следующими жалобами:
- Судорожная боль в животе, которая появляется вскоре после еды
- Тошнота и / или рвота
- Кровавый стул
Кроме того, для постановки диагноза часто используются такие тесты, как рентген брюшной полости и анализы крови. Окончательный диагноз ставится с помощью ангиографического обследования кровеносных сосудов кишечника. Компьютерная томография с контрастным веществом (КТ-ангиография) также эффективна для выявления участков с дефектным наполнением кровеносных сосудов.
При диагностике острой ишемии кишечника необходимо немедленно приступить к лечению, чтобы предотвратить ухудшение состояния. Лечение представляет собой операцию, при которой удаляется ишемическая часть кишечника, подвергшаяся некрозу, в сочетании с приемом лекарств, расширяющих кровеносные сосуды. Также распространена поддерживающая терапия, которая включает в себя жидкости и электролиты, чтобы сбалансировать общее состояние пациента.
Возможные осложнения, которые могут возникнуть из-за острой ишемии кишечника:
- Некроз кишечника
- Сепсис или септический шок (резкое снижение артериального давления из-за инфекции)
- Коллапс систем организма
- Смерть
Прогноз в случае острой ишемии брыжейки нехороший, как из-за ограниченных возможностей лечения, так и из-за сложности ранней диагностики — поздняя диагностика снижает шансы на выживание после операции по удалению некротической части кишечника.
Возможные основания для подачи иска о врачебной халатности при острой ишемии кишечника:
- Медицинская халатность при диагностике
- Отсутствие подробного анамнеза, который мог бы указать на факторы риска
- Невыполнение тестов, которые могли бы помочь в диагностике
- Неправильная расшифровка и интерпретация тестов
- Медицинская халатность при лечении
- Задержка в предоставлении лечения
- Предоставление ненадлежащего лечения
- Причинение повреждений в результате лечения (частичное удаление кишечника / катетеризация), которые можно было предотвратить
Если есть подозрение на медицинскую халатность при диагностике или лечении ишемии кишечника, следует проконсультироваться с адвокатом, который специализируется на судебных исках о медицинской халатности. Соответствующая медицинская информация будет предоставлена врачу-специалисту для получения второго заключения. Если будет установлено, что медицинская халатность действительно имела место, иск будет подан в суд. Размер компенсации определяется степенью ущерба, причиненного в результате халатной диагностики или лечения, и может достигать больших сумм.
Острая мезентериальная ишемия: КТ-обследование — ключевой метод диагностики

Ишемический колит остается серьезной медицинской проблемой, требующей от хирурга исключительной осведомленности в диагностике и лечении. Вопреки низкой заболеваемости — 0,09–0,2% общего числа острых хирургических заболеваний брюшной полости — представленная патология сопровождается чрезвычайно высокой летальностью (55–80%). При этом клиническая картина болезни сопровождается выраженным полиморфизмом симптоматики, что затрудняет своевременную диагностику. Изданные в 2017 г. рекомендации Всемирного общества неотложной хирургии по диагностике и лечению мезентериальной ишемии под руководством профессора Бала Миклоша, Иерусалим, Израиль, во многом облегчили и унифицировали лечебно-диагностический подход при лечении пациентов с острой мезентериальной ишемией. При этом доминирующее значение при установлении диагноза отводится компьютерной томографии (КТ) органов брюшной полости. Мультидетекторная спиральная КТ — золотой стандарт ранней диагностики мезентериальной ишемии, имеющий чувствительность 93%, специфичность 97,9%, положительные и отрицательные прогностические значения 100 и 94% соответственно. При этом точность описания изображения и его соответствие степени ишемии и причин ее развития имеет решающее значение для клинициста. Важное значение в связи с этим имеет высокая подготовленность радиолога, его понимание патологии заболевания и ее соответствие радиологическим изменениям. Свои комментарии и дополнения в связи с этим к разделу лучевая диагностика мезентериальной ишемии внесла Мария Антониетта Маззей (Maria Antonietta Mazzei, Department of Medical, Surgical and Neuro Sciences, Diagnostic Imaging, University of Siena, Siena, Italy), Сиена, Италия. Они публикованы в «Международном журнале по неотложной хирургии» («World Journal of Emergency Surgery») в 2018 г.
Основные дополнения
Автор дополнения приводит в таблице основные критерии КТ-обследования при острой мезентериальной ишемии в зависимости от причины, вызвавшей ее развитие: окклюзия артериальная или венозная; неокклюзивная ишемия; время, прошедшее от момента ишемического события; наличие/отсутствие реперфузии.
Таблица. Дифференциально-диагностические КТ-критерии острой мезентериальной ишемии в зависимости от вида нарушения кровотока
| КТ-визуализация | ОВИ* | ОАИ** без реперфузии | НОМИ без реперфузии | ОАИ + реперфузия | НОМИ*** + реперфузия |
|---|---|---|---|---|---|
| Сосуд | Окклюзия | Окклюзия | Без окклюзии | Стеноз/частичное нарушение проходимости | Без окклюзии |
| Брыжейка | Жировое скручивание | Тусклая брыжейка | Тусклая брыжейка | Жировое скручивание | Жировое скручивание |
| Скопление жидкости | Жировое скручивание, скопление жидкости и пневматизация кишечника (поздняя стадия) | Жировое скручивание, скопление жидкости и пневматизация кишечника (поздняя стадия) | Скопление жидкости | Скопление жидкости | |
| Тонкая кишка | Утолщение кишечной стенки (за счет сосудистого стаза и подслизистого отека) | Истончение стенки кишки (в виде подслизистого отека) | Истончение стенки кишки (в виде подслизистого отека) | Утолщение стенки (из-за повышенной проницаемости поврежденных сосудов) | Утолщение стенки (из-за повышенной проницаемости поврежденных сосудов) |
| Свободная брюшная полость | Наличие жидкости в поздней стадии | Наличие жидкости или воздуха в поздней стадии | Наличие жидкости или воздуха в поздней стадии | Свободная перитонеальная жидкость с ранней фазы реперфузии; увеличение объема свободной перитонеальной жидкости является признаком ухудшения | Свободная перитонеальная жидкость с ранней фазы реперфузии; увеличение объема свободной перитонеальной жидкости является признаком ухудшения |
*ОВИ — острая венозная ишемия; **ОАИ — острая артериальная ишемия; НОМИ*** — неокклюзионная артериальная ишемия.
Автор подчеркивает, что с технической точки зрения и для повышения точности заключения КТ-обследование необходимо проводить до и после введения контраста с изучением артериальной и венозной фаз. Такая тактика позволяет, в частности, до введения контраста определить наличие повышенных участков уплотнения стенки тонкого кишечника, которые могут быть как результатом интрамурального кровоизлияния, так и образоваться в ответ на реперфузионные повреждения. Уточнение характера повреждения возможно в постконтрастном исследовании, при оценке повышения плотности по шкале Hounsfield (HU). Изменение значений в сторону повышения плотности по указанной шкале характерно только для реперфузионных повреждений. И, наоборот, этот показатель по сравнению с исходным при интрамуральном кровоизлиянии не меняется и не приводит к контрастному усилению стенки кишечника.
Дополнительную значимую роль в диагностике и контроле лечебного процесса могут иметь магнитно-резонансная томография (МРТ) и ультразвуковое исследование (УЗИ).
МРТ дает возможность уменьшить лучевую нагрузку у пациентов с мезентериальной ишемией без подтвержденной сосудистой окклюзии и достаточно полно контролировать состояние кишечной стенки и степени реперфузионных изменений в процессе лечения. А УЗИ брюшной полости, хоть и имеет существенные ограничения, может довольно эффективно применяться для контроля наличия свободной жидкости в брюшной полости и степени подвижности кишечника по перистальтике.
Заключение
Автор приведенных дополнений подчеркивает, что его огромный опыт, полученный в процессе изучения визуализирующих методов диагностики мезентериальной ишемии, позволил значительно улучшить качество диагностики, возможность выявления ее на ранних стадиях, несмотря на исключительную сложность обследования. Отметим, что ранняя диагностика выполняется в большинстве случаев при условии правильного ее проведения и хорошей интерпретации.
Острая ишемия брыжейки
Острая ишемия брыжейки отражает нарушение кровотока в сосудах кишечника вследствие эмболии, тромбоза или недостаточного притока крови. Ишемия сопровождается выбросом медиаторов, воспалением и в конечном счете развитием инфаркта. Выраженность боли не соответствует скудным данным физикального исследования. Постановка диагноза на ранней стадии сложна, наибольшей чувствительностью обладают ангиография и эксплоративная лапаротомия; другие методы визуализации помогают обнаружить изменения уже на поздней стадии. Лечение заключается в проведении эмболэктомии, реваскуляризации сегментов, сохранивших жизнеспособность, или резекции; в части случаев эффективно введение вазодилататоров. Высока частота летального исхода.
Патофизиология острой ишемии брыжейки
Для слизистой оболочки тонкой кишки характерна высокая интенсивность метаболических процессов и, соотвественно, высокая потребность в кровоснабжении (в норме она получает 20–25% объема сердечного выброса); это делает слизистую чувствительной к снижению кровотока. В условиях ишемии нарушается целостность мукозного барьера и создаются условия для проникновения бактерий, токсинов и высвобождения вазоактивных медиаторов, которые вызывают угнетение активности миокарда и развитие системного воспалительного ответа ( Сепсис и септический шок Сепсис и септический шок ), полиорганную недостаточность и смерть. Высвобождение медиаторов может предшествовать инфаркту. Некроз развивается в пределах 6 часов с момента возникновения симптомов.
Этиология острой мезентериального тромбоза
Три главных сосуда снабжают кровью органы брюшной полости:
Чревный ствол: Обеспечивает кровоснабжение пищевода, желудка, проксимальной части двенадцатиперстной кишки, печени, желчного пузыря, поджелудочной железы, селезенки
Верхняя брыжеечная артерия (ВБА): Кровоснабжает дистальную часть двенадцатиперстной кишки, тощую, подвздошную и толстую кишки до селезеночного угла
Нижняя брыжеечная артерия (НБА): Кровоснабжает нисходящую толстую кишку, сигмовидную кишку, прямую кишку
Коллатеральные артерии хорошо развиты в желудке, двенадцатиперстной и прямой кишках; ишемия этих органов наблюдается редко. Селезеночный изгиб – «водораздел» между бассейнами ВБА и НБА и находится в зоне особого риска развития ишемии. Характерно, что острая мезентеральная ишемия отличается от ишемического колита Ишемический колит Ишемический колит развивается вследствие преходящего снижения кровоснабжения толстой кишки. Диагноз основывается на КТ или данных колоноскопии. Проводится поддерживающее лечение: внутривенное. Прочитайте дополнительные сведенияМогут наблюдаться нарушения как в венозном, так в и артериальном брыжеечном русле. В целом, максимальный риск нарушения проходимости сосудов наблюдается у пациентов в возрасте > 50 лет; основные типы нарушений кровотока и факторы риска представлены в таблице Причины острой мезентеральной ишемии Причины острой ишемии брыжейки . Однако у многих больных определенных факторов риска выявить не удается.
Симптомы и признаки острой ишемии брыжейки
Ранние признаки ишемии брыжейки – выраженная боль при минимальных данных физикального исследования. Живот остается мягким, болезненность небольшая или отсутствует. Может определяться нерезко выраженная тахикардия. Позднее, при развитии некроза – появляются признаки перитонита, выраженная болезненность в животе, симптом мышечной защиты, не выслушиваются перистальтические шумы. Может определяться положительная реакция на кровь в кале (верятность нарастает по мере прогрессирования ишемии). Появляются признаки шока, и это состояние часто приводит к летальному исходу.
Внезапное появление боли дает основания заподозрить артериальную эмболию (хотя это не является четким диагностическим критерием), тогда как постепенное нарастание боли характерно для венозного тромбоза. При анамнестических указаниях на появление дискомфорта в животе после приема пищи (что может служить признаком кишечных ишемических атак) есть вероятность артериального тромбоза.
Диагностика острой ишемии брыжейки
Клинические признаки более важны, чем данные обследований
При неясном диагнозе – ангиография брыжеечных сосудов или КТ-ангиография
Ранняя диагностика мезентериальной ишемии особенно важна, поскольку при развитии инфаркта летальность значительно возрастает. Ишемию брыжейки следует заподозрить при внезапном появлении выраженной боли в животе у любого пациента в возрасте > 50 лет при наличии известных факторов риска или предрасполагающих состояний.
При наличии признаков раздражения брюшины пациента следует сразу направлять в операционную с целью проведения диагностических и лечебных мероприятий. В других случаях методами выбора выступают селективная ангиография брыжеечных сосудов или КТ-ангиография. При применении других методов визуализации и анализов крови могут выявляться те или иные отклонения, но они не обладают достаточной чувствительностью и специфичностью на ранней стадии ишемии, когда диагностика особенно важна. Обзорная рентгенография брюшной полости помогает главным образом исключить другие причины боли (например, перфорацию органов), в далеко зашедней стадии также можно определить газ в ветвях воротной вены или пневматоз кишечника. Эти изменения также видны при КТ, при которой может непосредственно определяться окклюзия сосуда – наиболее точно при поражении венозного русла. При ультразвуковой допплерографии иногда можно выявить артериальную окклюзию, однако чувствительность этого метода низкая. МРТ высокоинформативна в определении проксимальной окклюзии сосудов, в меньшей степени – дистальной. Сывороточные маркеры некроза (креатинкиназа, лактат) – неспецифические показатели, которые определяются в поздней стадии.
Прогноз при острой ишемии брыжейки
Если удалось установить диагноз и провести необходимое лечение до развития инфаркта, вероятность летального исхода низкая; при развитии некроза кишечника смертность достигает 70–90%. По этой причине при клиническом диагнозе ишемии брыжейки результата диагностических исследований не дожидаются, чтобы не задерживать начало лечения.
Лечение острого мезентериального тромбоза
Хирургическое: эмболэктомия, реваскуляризация одновременно с или без резекции кишечника
Ангиографическое: введение вазодилататоров или тромболизис
Продолжительное лечение антикоагулянтами или антиагрегантами
Если диагноз поставлен при эксплоративной лапаротомии, обычно проводится хирургическая эмболэктомия, реваскуляризация и резекция. Может потребоваться повторная лапаротомия для оценки жизнеспособности других участков кишки, которые вызывали сомнения. Если диагноз поставлен при ангиографии, через ангиографический катетер проводится инфузия вазодилататора папаверина, что повышает выживаемость как при окклюзионной, так и при неокклюзионной ишемии. Введение папаверина целесообразно даже при планируемом хирургическом вмешательстве; иногда оно проводится в ходе операции и после нее. При артериальной окклюзии, можно, кроме того, провести лизис тромба или хирургическую эмболэктомию. Появление признаков раздражения брюшины указывает на необходимость неотложной операции. Тромбоз брыжеечных вен без признаков перитонита можно лечить антикоагулянтами.
При артериальной эмболии или венозном тромбозе показана долговременная антикоагулянтная терапия. При неокклюзионной ишемии может проводиться лечение антиагрегантами.
Основные положения
Крайне важное значение имеет ранняя диагностика, т. к. при развитии инфаркта смертность существенно возрастает.
В начальной стадии характерна выраженная боль при минимальных физикальных признаках.
При явных признаках раздражения брюшины наилучшим методом диагностики, как правило, является эксплоративное хирургическое вмешательство.
В других случаях проводится ангиография брыжеечных сосудов или КТ-ангиография.
Тактика лечения подразумевает проведение эмболэктомии, реваскуляризации и резекции.
Авторское право © 2022 Merck & Co., Inc., Rahway, NJ, США и ее аффилированные лица. Все права сохранены.
Публикации в СМИ
Атеросклероз брыжеечных артерий проявляется двумя главными синдромами: брюшной жабой и тромбозом артериальных (часто и венозных) ветвей. Последний сопровождается острой или хронической ишемией кишечника, а в дальнейшем развивается хроническая ишемия.
• Брюшная жаба — приступ коликоподобных болей в животе — возникает вскоре после еды, часто облегчается нитроглицерином, нередко наблюдают повторную рвоту и вздутие кишечника; голодание прекращает приступы брюшной жабы; диагностика затруднена (редкость синдрома, отсутствие специфических признаков) и крайне важна в связи с опасностью несвоевременного распознавания острой патологии органов живота. Лечение — дробный приём пищи, нитроглицерин, папаверина гидрохлорид 0,04–0,06 г 3–4 р/сут перед едой, панкреатин (1–1,5 г) или панзинорм форте (1–2 таблетки) после еды.
• Острая ишемия брыжейки — классический синдром снижения кровотока, обычно при поражении верхней брыжеечной артерии. У пациентов находят запущенную атеросклеротическую сердечно-сосудистую патологию, часто с наличием в анамнезе хронической сердечной недостаточности, ИМ, цереброваскулярной патологии или заболеваний периферических сосудов. Многие больные получали препараты, вызывающие спазм гладкой мускулатуры внутренних органов (например, дигоксин). Эмболия сосудов брыжейки чаще связана с нарушениями сердечного ритма. Клиническая картина •• Наиболее частый симптом — внезапная сильная боль в околопупочной области •• Спокойный живот со сниженной перистальтикой. При декомпенсации кровообращения в стенке кишки развивается некроз, с нарастанием клиники паралитической кишечной непроходимости, а позднее и перитонита. Диагноз устанавливают по данным рентгенографии, подкреплённым изменениями показателей крови (лейкоцитоз, часто более 20 ´ 10 9 /л) и данными ангиографии. Допплеровское исследование позволяет выявить снижение кровотока через верхнюю брыжеечную артерию или чревный ствол. Лечение — хирургическое удаление эмбола; некоторых случаях применяют антитромботические средства, баллонную ангиопластику суженных сосудов или шунтирующие операции. Учитывая скрытое течение начальной стадии заболевания, чаще заболевание диагностируют интраоперационно у больных с явлениями перитонита при неясном диагнозе. При наличии сегментарного некроза, после эмболтромбэктомии выполняют резекцию некротизированного участка кишечника. При тотальном некрозе кишечника летальный исход неизбежен, при этом проводят симптоматическое лечение — анальгетики.
• Хроническая ишемия брыжейки развивается только при наличии значительной окклюзии двух из трёх основных висцеральных артерий, обычно у пожилых лиц с наличием в анамнезе сердечно-сосудистых заболеваний. Клиническая картина •• Перемежающаяся схваткообразная боль в животе, возникающая через 15–30 мин после еды и длящаяся часами •• Характерный страх перед едой у большинства больных вследствие связи болевого синдрома с приёмом пищи •• Снижение массы тела. Диагноз подтверждают ангиографическим выявлением значительного сужения (>50%) двух из трёх основных висцеральных артерий. Лечение — хирургическая реконструкция сосудов. Фармакологическая коррекция вазодилататорами неэффективна.
• Ишемический колит возникает вследствие недостаточного поступления артериальной крови к толстой кишке (чаще — к левой половине, особенно в области селезёночного изгиба). Высокая уязвимость кровообращения кишки в данной области вызвана стыком бассейна верхней и нижней брыжеечной артерий. Прямая кишка, имеющая обильное кровоснабжение, чрезвычайно редко подвержена ишемическим поражениям. Клиническая картина •• Диарея (в стуле — примесь крови) •• Боль в нижней части живота •• Рвота (редко). Диагноз предполагают при исключении прочих причин диареи с примесью крови у пожилых людей (полип, карцинома, дивертикулит или ангиодисплазия) •• Лейкоцитоз до 20 ´ 10 9 /л •• Ирригография или КТ позволяет выявить диффузное изменение подслизистой оболочки, иногда с наличием газа в стенке кишечника •• Сигмоидоскопия в большинстве случаев помогает обнаружить лишь наличие слизи с примесью крови. Лечение •• Парентеральное питание •• Антибиотикотерапия для профилактики вторичных инфекций. Прогноз при хронической ишемии, в целом благоприятный. Возможно развитие поздних стриктур, необходима их баллонная дилатация или оперативное иссечение.
МКБ-10 • I70.8 Атеросклероз других артерий • K55 Сосудистые болезни кишечника
Код вставки на сайт
Атеросклероз брыжеечных артерий
Атеросклероз брыжеечных артерий проявляется двумя главными синдромами: брюшной жабой и тромбозом артериальных (часто и венозных) ветвей. Последний сопровождается острой или хронической ишемией кишечника, а в дальнейшем развивается хроническая ишемия.
• Брюшная жаба — приступ коликоподобных болей в животе — возникает вскоре после еды, часто облегчается нитроглицерином, нередко наблюдают повторную рвоту и вздутие кишечника; голодание прекращает приступы брюшной жабы; диагностика затруднена (редкость синдрома, отсутствие специфических признаков) и крайне важна в связи с опасностью несвоевременного распознавания острой патологии органов живота. Лечение — дробный приём пищи, нитроглицерин, папаверина гидрохлорид 0,04–0,06 г 3–4 р/сут перед едой, панкреатин (1–1,5 г) или панзинорм форте (1–2 таблетки) после еды.
• Острая ишемия брыжейки — классический синдром снижения кровотока, обычно при поражении верхней брыжеечной артерии. У пациентов находят запущенную атеросклеротическую сердечно-сосудистую патологию, часто с наличием в анамнезе хронической сердечной недостаточности, ИМ, цереброваскулярной патологии или заболеваний периферических сосудов. Многие больные получали препараты, вызывающие спазм гладкой мускулатуры внутренних органов (например, дигоксин). Эмболия сосудов брыжейки чаще связана с нарушениями сердечного ритма. Клиническая картина •• Наиболее частый симптом — внезапная сильная боль в околопупочной области •• Спокойный живот со сниженной перистальтикой. При декомпенсации кровообращения в стенке кишки развивается некроз, с нарастанием клиники паралитической кишечной непроходимости, а позднее и перитонита. Диагноз устанавливают по данным рентгенографии, подкреплённым изменениями показателей крови (лейкоцитоз, часто более 20 ´ 10 9 /л) и данными ангиографии. Допплеровское исследование позволяет выявить снижение кровотока через верхнюю брыжеечную артерию или чревный ствол. Лечение — хирургическое удаление эмбола; некоторых случаях применяют антитромботические средства, баллонную ангиопластику суженных сосудов или шунтирующие операции. Учитывая скрытое течение начальной стадии заболевания, чаще заболевание диагностируют интраоперационно у больных с явлениями перитонита при неясном диагнозе. При наличии сегментарного некроза, после эмболтромбэктомии выполняют резекцию некротизированного участка кишечника. При тотальном некрозе кишечника летальный исход неизбежен, при этом проводят симптоматическое лечение — анальгетики.
• Хроническая ишемия брыжейки развивается только при наличии значительной окклюзии двух из трёх основных висцеральных артерий, обычно у пожилых лиц с наличием в анамнезе сердечно-сосудистых заболеваний. Клиническая картина •• Перемежающаяся схваткообразная боль в животе, возникающая через 15–30 мин после еды и длящаяся часами •• Характерный страх перед едой у большинства больных вследствие связи болевого синдрома с приёмом пищи •• Снижение массы тела. Диагноз подтверждают ангиографическим выявлением значительного сужения (>50%) двух из трёх основных висцеральных артерий. Лечение — хирургическая реконструкция сосудов. Фармакологическая коррекция вазодилататорами неэффективна.
• Ишемический колит возникает вследствие недостаточного поступления артериальной крови к толстой кишке (чаще — к левой половине, особенно в области селезёночного изгиба). Высокая уязвимость кровообращения кишки в данной области вызвана стыком бассейна верхней и нижней брыжеечной артерий. Прямая кишка, имеющая обильное кровоснабжение, чрезвычайно редко подвержена ишемическим поражениям. Клиническая картина •• Диарея (в стуле — примесь крови) •• Боль в нижней части живота •• Рвота (редко). Диагноз предполагают при исключении прочих причин диареи с примесью крови у пожилых людей (полип, карцинома, дивертикулит или ангиодисплазия) •• Лейкоцитоз до 20 ´ 10 9 /л •• Ирригография или КТ позволяет выявить диффузное изменение подслизистой оболочки, иногда с наличием газа в стенке кишечника •• Сигмоидоскопия в большинстве случаев помогает обнаружить лишь наличие слизи с примесью крови. Лечение •• Парентеральное питание •• Антибиотикотерапия для профилактики вторичных инфекций. Прогноз при хронической ишемии, в целом благоприятный. Возможно развитие поздних стриктур, необходима их баллонная дилатация или оперативное иссечение.
МКБ-10 • I70.8 Атеросклероз других артерий • K55 Сосудистые болезни кишечника
Абдоминальная ишемия - диагностика и лечение

Абдоминальная ишемия (мезентериальный тромбоз, острая ишемия кишечника, недостаточность кровообращения кишки) возникает, когда кровоток через артерии, которые снабжают кровью кишечник, замедляется или останавливается. Такое состояние имеет много потенциальных причин, в том числе закупорка артерии тромбом или сужение артерии из-за развития холестериновых бляшек. Закупорки также могут возникать в венах, но они менее распространены.
Независимо от причины, снижение кровотока в желудочно-кишечный тракт оставляет ткани без достаточного количества кислорода, что вызывает нарушение функции клеток и их гибель. Если повреждения кишечной стенки достаточно серьезные, то развивается гангрена кишечника с последующим его разрывом (перфорация) с исходом в каловый перитонит и смерть.
Спасти человека с мезентериальным тромбозом можно только при своевременной правильной диагностике, с последующим удалением тромба и оценкой жизнеспособности кишки. При обычном симптоматическом лечении летальность достигает 99%, при операции по удалению кишки - 80%, при своевременном удалении тромба и контролем за кишкой - 25%.
Подход к лечению в Инновационном сосудистом центре
Своевременная диагностика мезентериальной ишемии позволяет провести адекватное лечение и сохранить человеку жизнь. В нашей клинике при подозрении на мезентериальную ишемии экстренно выполняется ангиография и удаление тромба из артерий кишечника. Только такое лечение дает пациенту шанс остаться в живых. Если прошло достаточно много времени от начала заболевания, то выполняется восстановление кровообращения и лапароскопия, которая позволяет определить необходимость в удалении омертвевших участков кишки. Без лечения погибают все пациенты. С лечением удается спасти больше половины.
Причины острой ишемии кишечника
- Атеросклероз артерий кишечника может привести к их тромбозу с последующим развитием мезентериальной ишемии. При наличии признаков ишемической болезни сердца, атеросклеротических поражений артерий ног у пациента можно подразумевать системный атеросклероз и соответственно иметь ввиду риск абдоминальной ишемии.
- Высокое или низкое артериальное давление повышает риск развития мезентериального тромбоза и ишемии кишечника
- Сердечная недостаточность и мерцательная аритмия повышают риск эмболии артерий кишечника (перенос тромба из сердца в артерии) и развития острой кишечной ишемии.
- Повышенная свертываемость крови при тромбофилиях, серповидно-клеточной анемии и антифосфолипидном синдроме.
- Употребление кокаина и метамфетамина может вызывать спазм кишечных сосудов и ишемию кишечника.
Клинические формы мезентериального тромбоза
- Тромбоз сосудов толстой кишки (ишемический колит)
Этот наиболее распространенный вариант ишемии кишечника возникает при уменьшении притока крови к толстой кишке. Чаще всего наблюдается у людей старше 60 лет, хотя может развиться в любом возрасте. Признаками и симптомами ишемии толстой кишки являются кровотечения из заднего прохода и внезапно появившиеся спастические боли в животе.
Этот тип ишемии кишечника, как правило связан с блокированием кровотока в верхней брыжеечной артерии. Он отличается резким началом. Беспокоят сильные боли в животе, тошнота, рвота. Состояние прогрессивно ухудшается и в ближайшие дни наступает гибель пациента.
- Хроническая недостаточность кровоснабжения кишечника
Хроническая абдоминальная (мезентериальная) ишемия иногда называется кишечной стенокардией (брюшная жаба). Развивается в результате развития атеросклеротических бляшек в артериях кишечника. Процесс этот развивается медленно, жалобы носят характер расстройств пищеварения, спазмов в кишечнике. Потенциально опасным осложнением хронической мезентериальной ишемии является развитие тромбов в пораженных артериях, которые блокируют кровоток и вызывают острую абдоминальную ишемию.
Развивается при тромбозе брыжеечных вен на фоне различных заболеваний органов брюшной полости. При закупорке кишечных вен кровь застаивается в кишечнике, вызывая отеки кишки и кровоточивость слизистой оболочки. Полный блок венозного оттока приводит к гибели участков кишки с развитием перитонита.
Осложнения мезентериального тромбоза
- Гангрена кишки. Если приток крови в кишечник полностью блокирован, то развивается его гибель.
- Перфорация. Омертвевший участок кишки может разорваться. В результате этого содержимое кишечника изливается в брюшную полость, вызывая инфекционный процесс в брюшине (перитонит).
- Рубцовые изменения в стенке кишки. Иногда эти грозные осложнения не развиваются, но поврежденная стенка кишки замещается рубцом, вызывающим сужение кишечной трубки и развитие кишечной непроходимости.
Прогноз при мезентериальной ишемии
Большинство пациентов погибает в течение 2-5 суток с момента начала заболевания, если кровообращение в кишечнике не было восстановлено в ближайшие 6 часов.
При венозном мезентериальном тромбозе возможно постепенное выздоровление, с частичным рубцеванием кишки и развитием хронических энтериитов и колитов. Однако летальность так же высока.
При сегментарном (частичном) мезентериальном тромбозе пациент может выжить, если кишка припаяется к другим органам и не наступит ее перфорация с перитонитом, однако вероятность такого исхода очень небольшая. В последующем у больного может развиться кишечная непроходимость из-за рубцевания погибшей кишки.
При своевременном восстановлении кишечного кровотока с помощью методов эндоваскулярной хирургии (тромбэктомия, тромболизис, ангиопластика) - вероятность выздоровления повышается до 75%. Однако даже успешное восстановление кровотока требует обязательного наблюдения за состоянием кишечника. Необходимо в течение первых суток выполнить диагностическую лапароскопию, которую можно повторить и в следующие сутки.
При гибели участков кишки необходимо выполнить их удаление во время лапаротомии (открытая операция через живот). Иногда приходится удалять большие по протяженности участки кишки, но это необходимо, так как мертвые и сомнительно-жизнеспособные участки кишки могут распадаться с истечением кишечного содержимого в брюшную полость и развитием гнойного перитонита.
После резекции больших участков кишки может развиться синдром мальабсорбции (нарушения всасывания пищи), что приводит к значительному похуданию пациента, частым поносам и другим кишечным расстройствам. Поэтому наиболее важным в лечении мезентериального тромбоза является восстановление кровообращения в кишечнике, с целью уменьшить размеры его омертвения.
Преимущества лечения в клинике
Диагностика
![УЗИ картина закупорки верхней брыжеечной артерии]()
Жалобы
При возникновении острого нарушения кровотока по кишечнику у пациента развиваются сильнейшие боли в животе. Боли носят схваткообразный характер. и первые 2-3 часа остаются очень интенсивными. Живот в это время не вздут, перистальтика (кишечные шумы) резко ослаблена, при пальпации живот слегка болезненный, но не напряженный.
Затем постепенно боли уменьшаются, но появляется симптоматика общей интоксикации - повышение частоты сердечных сокращений, появление жажды. На этой стадии начинается вздутие живота. Это стадия гибели кишечника, но еще без перфораций.
Терминальная стадия абдоминальной ишемии характеризуется вздутием живота, отсутствием перистальтики, болезненностью во всех отделах живота с выявлением напряжения при пальпации. Отмечается высокая частота пульса, низкое артериальное давление, отсутствие мочеиспускания и одышка. На фоне этих симптомов неминуемо наступает смерть.
УЗИ брюшной аорты
Своевременная диагностика является залогом успеха в лечении абдоминальной ишемии, но она очень сложна. Учитывая, что возможность спасти жизнь при этой патологии имеется только в первые часы заболевания диагностика должна быть срочной и точной. Мезентриальный тромбоз можно спутать с любым острым заболеванием брюшной полости. Диагноз ставится методом исключения. В первую очередь необходимо исключить прободную язву, острый панкреатит, кишечную непроходимость. Наличие у пациента мерцательной аритмии, инфарктов в анамнезе, атеросклероза нижних конечностей позволяют предположить мезентериальный тромбоз. После исключения острых заболеваний брюшной полости проводятся специфические исследования для диагностики непроходимости сосудов брыжейки.
УЗИ брюшной аорты позволяет выявить тромбоз брыжеечной артерии или чревного ствола. Преимуществом метода является его быстрая доступность и отсутствие осложнений. Брюшная аорта осматривается в продольном и в поперечном срезе в режиме цветового картирования. Определяется скорость кровотока по аорте и ее ветвям. Метод обладает достаточно высокой чувствительностью, но его результаты зависят от опыта врача, проводящего исследование и правильной интерпретации полученных данных.
![МСКТ ангиография при остром тромбозе верхней брыжеечной артерии]()
Мультиспиральная компьютерная томография с ангиографией
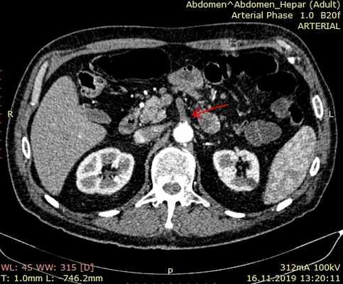
Мультиспиральная компьютерная томография аорты и ее ветвей позволяет точно оценить состоянии брыжеечных сосудов и помочь правильной постановке диагноза. Признаками острой мезентериальной непроходимости является отсутствие контрастирования брыжеечных артерий со слабым развитием коллатеральных сетей кровообращения. При соответствующих жалобах и клинической картине компьютерная томография позволяет поставить точный диагноз в большинстве случаев мезентериального тромбоза. Требуется внутривенное введение контраста и детальный анализ полученных изображений.
![Ангиография позволяет поставить точный диагноз и выполнить вмешательство по восстановлению кровообращения]()
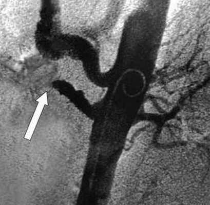
Рентгеновская ангиография
Метода введения контрастного вещества непосредственно в интересующие артерии. Проводится через доступ к артериям на руке или на ноге. Позволяет прицельно изучить проходимость брыжеечных артерий и одновременно выполнить вмешательство по восстановлению проходимости закупоренной артерии. Ренгтеноангиография выступает диагностическим и лечебным методом одновременно. С помощью специальных катетеров и инструментов возможно проведение рассасывания тромбов (тромболизиса) или его удаления - тромбэктомии.
Читайте также:



