Острый дивертикулит. Дивертикулиты.
Добавил пользователь Евгений Кузнецов Обновлено: 13.12.2025
Дивертикулярная болезнь - это хроническое заболевание, которое возникает из-за образования в стенке кишечника мешкообразного выпячивания (дивертикула), и, как следствие, застойного процесса и развития воспаления.
Иногда имеется одиночный дивертикул, но, как правило, чаще всего у людей возникают множественные выпячивания в одном из отделов кишечника.
Дивертикулы разделяются на «истинные» и «ложные», а также на «врожденные» и «приобретенные».
- Истинные дивертикулы бывают чаще всего врожденными - из-за непосредственного нарушения строения кишки. Одной из особенностей истинного дивертикула является то, что стенки дивертикула имеют все слои, характерные для кишечника. К истинным дивертикулам, например, относится дивертикул Меккеля: выпячивание стенки тонкой кишки в месте впадения в нее незаращенного эмбрионального желточного протока как аномалии развития.
- Ложные дивертикулы являются приобретенными и представляют собой выбухание слизистой оболочки кишки наружу через истонченные места в ее мышечном слое.
Как правило, приобретенные дивертикулы бывают множественными и редко встречаются в единичном количестве.
Дивертикулёз - это изменение стенки кишечника с наличием в ней множественных дивертикулов без протекающих в них воспалительных процессов и не проявляющих себя клинически.
Если в дивертикуле развивается воспалительный процесс, говорят о дивертикулите и, как следствие этого, развитии дивертикулярной болезни.
Частота дивертикулярной болезни
Из всех заболеваний толстой кишки, поражение кишечника дивертикулами - одно из самых распространенных в современном мире. Частота дивертикулярной болезни в среднем достигает 20% в европейских странах; причем, в более старших возрастных группах населения (60–80 лет) частота увеличивается, достигая 40–50%, а среди пациентов в возрасте старше 80 лет заболеваемость достигает 60-65%. В нашей стране дивертикулы толстого отдела кишечника обнаруживают примерно у 17-28% гастроэнтерологических больных. Частота болезни у мужчин и у женщин приблизительно одинакова.
Классификация дивертикулярной болезни
- Неосложненная. Эта форма выявляется случайно при рентгенологическом или эндоскопическом обследовании кишечника. В анализах крови, как правило, не обнаруживают никаких изменений. Обследование необходимо проходить для оценки распространенности поражения кишки, прогноза течения заболевания и выбора способа профилактики осложнений или лечения.
- Осложненная, протекающая с острым воспалительным процессом (дивертикулит, дивертикулярный инфильтрат, перфорация дивертикула, абсцесс, перитонит), хроническим воспалительным процессом, а также с кровотечением. К хроническому процессу относят ситуации, когда воспаление не удается ликвидировать в течение 6 недель, или оно возникает повторно. В тяжелых случаях может сформироваться инфильтрат, сужение кишки или свищ из разрушенного дивертикула.
Причины возникновения дивертикулов
Возникновение данного заболевания не имеет какой-либо конкретной причины. Оно обусловлено сочетанием многих факторов. Существует мнение о предрасположенности некоторых людей к этому заболеванию из-за врожденного недоразвития мышечного слоя стенки кишки. Вследствие чего у них с возрастом или под воздействием каких-либо факторов образуются дивертикулы.
Врожденная предрасположенность играет роль у людей с наследственными синдромами дисплазии соединительной ткани (синдромы Марфана, Элерса-Данлоса, когда в организме человека имеется дефицит коллагена), также нередко встречается сочетание дивертикулярной болезни толстой кишки с заболеваниями, связанными со снижением эластичности и прочности соединительной ткани (грыжи, варикозная болезнь, висцероптоз, поликистоз).
Однако, врожденная неполноценность тканей - не единственная причина возникновения патологических изменений кишечной стенки.
Большая встречаемость дивертикулярной болезни у пожилых людей связана с постепенным снижением тонуса стенки толстой кишки по мере старения организма. Дивертикулярная болезнь - это хроническое заболевание, которое возникает из-за образования в стенке кишечника мешкообразного выпячивания (дивертикула), и, как следствие застойного процесса, развития в них воспаления. Мышечный слой толстой кишки становится более толстым и менее эластичным. Поддерживающая соединительная ткань теряет эластичность, а стенка кишки становится менее растяжимой. Поэтому дивертикулы у людей старшей возрастной группы появляются чаще, чем у молодых.
Также известно, что дивертикулы достоверно чаще возникают при снижении в рационе питания растительных волокон и клетчатки. Поэтому у вегетарианцев дивертикулярная болезнь встречается в 3 раза реже, чем у людей, ограничивающих прием овощей и фруктов. Пища с низким содержанием клетчатки плохо стимулирует перистальтику кишечника, замедляется продвижение содержимого по толстой кишке, из-за чего усиливается всасывание воды и как следствие - развиваются запоры. Задержка каловых масс в кишечнике в совокупности с нарушением нормальной микрофлоры кишечника приводит к воспалению и прогрессированию дивертикулярной болезни. Этим же можно объяснить более частое появление дивертикулов в сигмовидной кишке (запоры при этом играют роль разрешающего фактора).
Клиническая картина примерно в двух случаях из трех не сопровождается никакими жалобами (бессимптомный дивертикулёз), патологию обнаруживают случайно при эндоскопическом или рентгенологическом исследованиях. Чаще всего первыми признаками дивертикулярной болезни являются болевые ощущения и функциональные нарушения в виде запора или поноса. Появляются жалобы на регулярно повторяющиеся боли в животе, чаще в левой подвздошной области или нижних отделах, исчезающие после акта дефекации. Боли различной интенсивности могут существовать длительное время - от нескольких недель до месяцев. Усиление болей иногда сопровождается повышением температуры, могут появиться признаки интоксикации (сухость во рту, тошнота, тахикардия). Также часто отмечают вздутие живота и обильное отделение газов, различные диспептические расстройства, что иногда скрывается под маской синдрома раздраженного кишечника.
Осложнения дивертикулярной болезни толстой кишки
- Дивертикулит. Это острое воспаление, которое возникает в дивертикулах у четверти пациентов с дивертикулезом. Признаками развития воспаления может служить появление боли и напряжения мышц передней брюшной стенки, повышение температуры тела, озноб, вздутие живота, нарушения стула в виде диареи или запора.
- Перфорация дивертикула. На фоне воспалительного процесса в дивертикуле часть его стенки может разрушиться, и содержимое кишечника попадает в брюшную полость. При этом развивается местный или разлитой перитонит. При перфорации (разрыве стенки) дивертикула в забрюшинную клетчатку или пространство между листками брыжейки появляются инфильтраты или абсцессы.
- Кровотечение. Возникает примерно у 25% больных с дивертикулярной болезнью. У многих людей оно может являться первым и единственным проявлением заболевания. Обычно кровотечение связано с изъязвлением стенки дивертикула в результате хронического воспаления. Также на месте калового камня может образоваться пролежень с повреждением кровеносного сосуда. Интенсивность кровотечения может быть различной: от незначительной примеси крови в каловых массах (иногда бывает скрытое кровотечение, которое проявляется постепенным нарастанием анемии), до массивного профузного кровотечения, сопровождающегося коллапсом и даже приводящего к смерти.
- Кишечная непроходимость. Причиной кишечной непроходимости может стать воспалительный процесс вокруг дивертикула или спаечный процесс, приводящий к деформации кишки и нарушению продвижения по ней каловых масс. В редких случаях может возникнуть инвагинация (вворачивание) части кишки с дивертикулом или спазм гладкой мускулатуры.
- Кишечные свищи. Могут возникнуть при прободении дивертикула и прорыве гнойника в рядом расположенный орган (т. н. «внутренние свищи»). У мужчин чаще развиваются свищи с мочевым пузырем, у женщин - с влагалищем. При образовании кишечно-мочепузырного свища в моче может появляться воздух или примесь каловых масс.
Диагностика дивертикулярной болезни
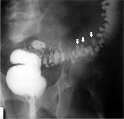
- Ирригоскопия - рентгеновское исследование, при котором производят наполнение просвета толстой кишки контрастной взвесью и оценивают ее состояние при наполнении и после опорожнения кишки.
- Колоноскопия позволяет выявить наличие множественных дивертикулов, признаков воспаления или кишечного кровотечения, а также может оказаться полезной для обнаружения таких сопутствующих поражений как полипы и рак.
- МСКТ (мультиспиральная компьютерная томография). Целесообразна для дифференциальной диагностики дивертикулита и опухолевого поражения толстой кишки.
Лечение
Основной целью лечения дивертикулярной болезни является нормализация функции кишечника, предотвращение прогрессирования заболевания и развития осложнений, а также купирование обострений.
Диета
Так как дивертикулярная болезнь гораздо чаще возникает у людей, ограничивающих употребление в пище овощей и фруктов, всем больным с дивертикулёзом необходимо использовать продукты с высоким содержанием растительной клетчатки и пектина. Очень полезны пшеничные отруби (особенно, отруби грубого помола), которые значительно снижают давление внутри кишки и ускоряют скорость продвижения содержимого по кишечнику.
Обязательно нужно исключить все продукты, вызывающие повышенное газообразование (бобовые, чечевица, виноград, кислая капуста, сдобное и дрожжевое тесто, лук) и запоры (черника, рис). Целесообразно исключить также семечки, плоды с большим количеством зёрен и чрезмерно грубую клетчатку (хурма, ананасы, репа, редис, редька).
Медикаментозное лечение
- При неосложненном течении болезнь не требует использования медикаментозных препаратов. Необходимость принимать лекарства возникает в зависимости от клинических проявлений.
- При болях в животе применяют спазмолитические средства.
- При выявлении дисбактериоза - препараты, помогающие восстановить нормальную кишечную микрофлору.
- При постоянных запорах принимают препараты для усиления моторики желудка и кишечника: препараты лактулозы, вазелиновое или оливковое масло внутрь или в микроклизмах.
- При дивертикулёзе с клиническими проявлениями воспаления необходимо использовать весь комплекс лечебных мероприятий: послабляющую диету, спазмолитики; препараты, регулирующие моторную функцию кишечника, и средства, нормализующие состав бактериальной флоры кишечника.
Хирургическое лечение
Необходимость в хирургическом лечении при дивертикулярной болезни может возникнуть как в срочном, так и в плановом порядке. Это бывает при возникновении осложнений, которые могут угрожать жизни человека (кровотечение, перфорация, перитонит).
Плановое хирургическое лечение всегда направлено на устранение угрозы подобных осложнений. Выбор метода операции в каждом конкретном случае зависит от распространённости процесса, воспалительных изменений в дивертикулах, состояния кишечной стенки и окружающих тканей, наличия воспаления вне просвета кишки или перитонита. Важно учитывать сопутствующие заболевания, часто наблюдаемые у людей пожилого возраста. Как правило, в плановом порядке выполняется резекция (удаление) пораженного отдела толстой кишки с одновременным наложением анастомоза.
Оперативное лечение в нашей Клинике выполняется лапароскопическим способом, что позволяет пациентам достаточно быстро возвращаться к активной жизни. Плановая операция всегда выполняется в период ремиссии, через 2-3 месяца после снятия острого приступа болезни. Свищи толстой кишки являются показанием к плановому хирургическому лечению, так как добиться их самостоятельного заживления не возможно, а хроническое воспаление приводит как к развитию грубых рубцов, нарушающих продвижение кишечного содержимого, так и к развитию хронической интоксикации и снижению иммунитета. При формировании кишечно-мочепузырных свищей возникает угроза развития восходящей инфекции мочевых путей и поражения почек.
- Хирургическое устранение свищей является сложным хирургическим вмешательством требующим участия высококвалифицированных специалистов. В нашей клинике при планировании подобных вмешательств по необходимости привлекаются смежные специалисты (урологи, гинекологи, эндоскописты). При кишечном кровотечении чаще всего назначают консервативное лечение (гемостатическую терапию) или выполняют эндоскопическую остановку кровотечения. Операция выполняется только при неэффективности консервативных методов лечения.
- Хирургическое лечение при перфорации дивертикула. Если операция выполняется по срочным показаниям, для снижения риска послеоперационных осложнений может накладываться колостома. Реконструктивная операция с закрытием колостомы и восстановлением непрерывности кишки выполняется после стихания воспалительного процесса (примерно, через 3 месяца).
Диспансерное наблюдение
Больные с дивертикулярной болезнью должны регулярно наблюдаться у гастроэнтеролога или колопроктолога. Колоноскопию при отсутствии жалоб выполняют с периодичностью 1 раз в 3 года.
Если возникают боли и другие проявления болезни, обследование следует пройти в самые кратчайшие сроки. При частых периодичных рецидивах дивертикулита показаны регулярные противорецидивные курсы лечения.
Прогноз
Прогноз, как правило, благоприятный, если заболевание выявлено своевременно, начато проведение необходимых профилактических и лечебных мероприятий, при условии соблюдения пациентом всех необходимых рекомендаций.
Однако, при игнорировании необходимости профилактики, дивертикулярная болезнь может привести к развитию тяжёлых, угрожающих жизни и здоровью пациента, осложнений. Тем более, что болезнь чаще распространена среди пожилых людей, имеющих разнообразные сопутствующие заболевания и меньшую сопротивляемость организма.
Профилактика
Среди профилактических мероприятий основное значение имеет разнообразное и рациональное питание. В связи с тем, что диета с низким содержанием растительных волокон предрасполагает к формированию дивертикулов, с целью уменьшения риска развития заболевания необходимо в большом количестве включать продукты растительного происхождения.
Поскольку немаловажную роль играет своевременное выявление дивертикулов, крайне важно проходить профилактическое обследование и регулярно выполнять эндоскопическое исследование кишечника.
Оформите заявку на сайте, мы свяжемся с вами в ближайшее время и ответим на все интересующие вопросы.
Дивертикулярная болезнь (дивертикулит, дивертикулез)
Исследования показывают увеличение и учащение числа пациентов с дивертикулярной болезнью. По данным ряда авторов оно встречается от 25% до 30% и увеличивается с возрастом до 60-70% у людей старше 60 лет и составляет более 30% всех заболеваний толстой кишки.
Учащение заболевания объясняется ростом количества пожилых людей, ведущих малоподвижный образ жизни, уменьшение употребления растительной клетчатки, бесшлаковое питание), нарушениями работы желудочно-кишечного тракта (гастриты, язвенная болезнь, желчекаменная болезнь, хронические панкреатиты и др.) и улучшение возможностей современной диагностики данного заболевания.
Здесь нужно отметить, что затруднительно определить частоту данного заболевания в связи с тем, что люди с этим заболеванием редко обращаются к врачам и проходят обследования. Дивертикулы толстой кишки, как правило, приобретенное заболевание и чаще 90-92% встречаются в левых отделах толстой кишки.
По протеканию заболевания можно выделить: бессимптомное течение (как случайная находка при обследовании) около 30-35%. и болезнь с выраженными клиническими проявлениями.
Самым распространенным мнением о возможной причине данного заболевания является нарушение работы (моторики) толстой кишки, чтосопровождается повышением давления в ней. Способствуют этому ожирение, сужение толстой кишки, повышенный метеоризм, запоры, частые поносы, авитаминоз, грыжи передней брюшной стенки, воспалительные процессы. А так же приобретенная (возрастная), врожденная слабость соединительной ткани. О чем говорит частое сочетание данного заболевания с варикозным расширением вен, грыжами, плоскостопием, геморроем.
Дивертикулез чаще проявляется болями в животе, чаще слева, и нарушениями работы кишечника. Боль чаще имеет схваткообразный характер и, как правило, при пальпации живота, не усиливается. Нарушение работы кишечника чаще чередование запоров с поносами, но более характерны запоры. Прогрессирование заболевания может привести к осложнениям: Дивертикулит - наиболее частое осложнение, когда присоединяется воспаление воспалительные заболевания кишечника, поносы, травмирование грубыми каловыми массами.
Что может приводить к образованию инфильтратов (стимулирующих опухоли брюшной полости) их абсцедированию (возникновению гнойничков) и, как следствие, перфорация кишечной стенки с формированием перитонита и кишечных свищей. Кишечные кровотечения до 30% случаев. Могут быть скрытыми и массивными. Массивные кровотечения реже. Но даже незначительные кровотечения могут приводить к анемии. Кишечная непроходимость чаще наблюдается при инфильтрации окружающих тканей и сужении просвета кишки. А так же при длительном течении заболевания массивными спаечными процессами.
В диагностике заболевания вне осложнений наиболее ценными являются рентгенологические (ирригоскопия с ирригографией) и эндоскопические (ректороманоскопия, колоноскопия). Таким образом, возможность проявления тяжелых осложнений требует своевременной диагностики и лечения дивертикулярной болезни.
Дивертикулярная болезнь
Дивертикулярная болезнь (дивертикулез) толстой кишки представляет собой последовательность анатомических и патофизиологических изменений, связанных с наличием дивертикулов (дивертикул – мешок или резервуар в стенке любого полого органа, в данном случае – кишки). Эти изменения наиболее часто возникают в сигмовидной кишке, но могут занимать и ободочную кишку всю целиком, варьируясь от присутствия одного дивертикула до множественных дивертикулов (вплоть до того, что их будет трудно сосчитать).
Установлено, что риск развития дивертикулярной болезни достигает 5% в возрасте 40 лет и может подниматься до 80% к возрасту 80 лет.

Записаться на консультацию Первая консультация бесплатно!
Симптоматика
Больные с острым дивертикулитом обычно жалуются на боль в левом нижнем квандранте живота. Однако больные с удлиненной сигмовидной кишкой и воспаленным ее сегментом могут иметь боль в правой подвздошной области, которая "маскируется" под острый аппендицит. Боль в основном постоянная, не коликообразная. Иррадиация может быть в спину, бок с той же стороны, паховую область и даже в ногу. Боли может предшествовать или же сопутствовать эпизод запоров или поноса. В основном боль носит прогрессирующий характер (если не применяется лечение).
Осложнения
Осложнением дивертикулеза является острый дивертикулит.
Диагностика
обзорный снимок брюшной полости, который выполнены в положении больного стоя справа или же в положении на левом боку.
компьютерная томография, являющаяся методом диагностического выбора при острой абдоминальной боли (по этой причине обзорные рентгенограммы брюшной полости используются достаточно редко). Большим преимуществом КТ-исследования является возможность документировать дивертикулит, даже неосложненный, когда клинический диагноз вызывает сомнения.
магнитно-резонансная колонография. Метод даёт результаты, совпадающие с данными компьютерной томографии, при отсутствии облучения пациента.
колоноскопия - применяется с осторожностью (обычно эндосокпическое обследование откладывается до того момента, пока не исчезнут симптомы острого воспаления.
Лечение
Первоначальное лечение бессимптомной дивертикулярной болезни состоит из диеты. Целью диетических манипуляций является повышение объем кала и тем самым увеличение просвета кишки, уменьшение времени транзита и снижение внутри просветного давления.
Диета в основном бесшлаковая или просто жидкая на протяжении всей острой фазы и до стихания острых симптомов. Затем должно быть назначено повышение количества клетчатки в пище.
Если отмечаются общие симптомы, то пациент должен быть госпитализирован для более интенсивной терапии. Признаками более серьезного распространения заболевания являются: выраженный лейкоцитоз, высокая лихорадка, тахикардия, или гипотензия, так же как и данные физикального осмотра, говорящие о распространении заболевания внутри брюшной полости, требующей стационарного лечения. Лечение предполагает внутривенное введение антибиотиков. Больным нельзя пить, пока не появятся признаки клинического улучшения.
Симптомы должны улучшиться на протяжении 24-48 часов. При отсутствии требуется хирургическое вмешательство.
Операции
При экстренной ситуации требующей оперативного вмешательства могут использоваться простое отключение с отведением кала от поврежденного сегмента толстой кишки, отключение с ушиванием места перфорации, обструктивная резекция (операция Гартмана) или со слизистым свищем (операция Микулича). Дополнительные мероприятия включают в себя проведения тщательно лаважа брюшной полости на операционном столе.
Дивертикулез толстой кишки
Дивертикулярная болезнь – заболевание, характеризующееся клиническими проявлениями разной степени выраженности, обусловленными наличием дивертикула или дивертикулеза, включая воспаление (дивертикулит) и его осложнения (перидивертикулит, абсцесс, перфорация, свищ, перитонит), а также кровотечение.
Дивертикулярная болезнь поражает преимущественно сигмовидную кишку, затем нисходящую ободочную кишку, менее часто правую половину поперечной ободочной кишки и редко правые отделы ободочной кишки.

Этиология
До настоящего времени неизвестно, какой из факторов более важен для развития дивертикулов: анатомический дефект кишечной стенки или действие сил в полости кишки.
Обнаружено, что базальное внутриполостное давление у больных дивертикулярной болезнью и у здоровых лиц одинаковое. Однако пораженный дивертикулами сегмент кишки сокращается сильнее в ответ на прием пищи или действие фармакологических стимулов.
Другим важным этиологическим фактором может быть слабость кишечной стенки. Тонус мускулатуры толстой кишки с возрастом постепенно снижается, что, по-видимому, объясняет преимущественное поражение лиц пожилого возраста.
Таким образом, дивертикулярную болезнь можно объяснить периодическим значительным повышением внутриполостного давления, воздействующим на ослабленную возрастными изменениями стенку толстой кишки.
Классификация
Данное заболевание классифицируется следующим образом:
- Дивертикулярная болезнь без клинических проявлений.
- Дивертикулярная болезнь с клиническими проявлениями. Эта форма характеризуется симптомокомплексом, включающим боли в животе и различные нарушения функции кишечника.
- Дивертикулярная болезнь с осложненным течением:
- дивертикулит;
- перфорация;
- кровотечение;
- кишечная непроходимость;
- внутренние или наружные кишечные свищи.
Симптомы, клиническая картина дивертикулеза и диагностика заболевания
Дивертикулез толстой кишки может длительное время не проявляться, и его обнаруживают случайно при обследовании больных.
Основными симптомами клинически выраженного неосложненного дивертикулеза толстой кишки являются боли в животе и нарушения функции кишечника. Боли в животе носят разнообразный характер — от легкого покалывания до сильных коликообразных. Чаще всего они локализуются в нижней половине живота, особенно в левой подвздошной области или над лобком, т. е. в зоне расположения сигмовидной кишки. У части больных эти боли разнообразны не только но своему характеру, но и по локализации, в связи с чем врач не всегда связывает их с заболеванием толстой кишки. У ряда больных боли вызываются приемом пищи, что объясняется влиянием гастроколического рефлекса.
Нарушение функции кишечника проявляется чаще в виде запоров, причем длительное отсутствие стула значительно усиливает болевой синдром. Иногда отмечается диарея, не носящая, однако, постоянного характера. Нередко больные жалуются на неустойчивый стул; иногда описанные симптомы сочетаются с тошнотой или рвотой.
Осложнения дивертикулеза проявляются обычно довольно ярко. Наиболее часто наблюдается дивертикулит — примерно у 1/3 больных дивертикулярной болезнью толстой кишки. Основные признаки дивертикулита — боли в животе, повышение температуры и лейкоцитоз. Появление двух последних признаков на фоне существовавшего клинически выраженного или бессимптомного дивертикулеза позволяет отличить начавшееся воспаление от функциональных болей.
При распространении воспалительного процесса в виде параколита наряду с перечисленными симптомами отмечается образование инфильтрата, размеры которого колеблются от незначительных, с трудом определяемых при пальпации до обширных очагов, занимающих всю левую половину живота. Прогрессирование воспалительного процесса может привести к абсцедированию с угрозой прорыва гнойника в брюшную полость. Стихание воспаления не всегда приводит к полному рассасыванию инфильтрата, и тогда индурация брыжейки или окружающих тканей симулирует опухоль брюшной полости.
Сигмовидная кишка или другие отделы ободочной кишки в результате повторных атак дивертикулита, параколита или формирования абсцесса могут оказаться спаянными с соседними органами. При этом абсцесс может вскрыться в мочевой пузырь, уретру, влагалище или тонкую кишку с образованием свищей.
Перфорация дивертикула встречается как при клинически выраженном, так и бессимптомном дивертикулезе ободочной кишки. Перфорация в свободную брюшную полость ведет к развитию быстро прогрессирующего перитонита, клинические проявления которого не отличаются от таковых при других формах острого воспаления брюшины. Кишечная непроходимость при дивертикулезе толстой кишки носит характер обтурационной со всеми присущими этой форме проявлениями. Одной из частых причин развития непроходимости при дивертикулезе является образование так называемой псевдоопухоли.
Кишечное кровотечение, хотя и не имеет, как правило, профузного характера, но все же часто бывает настолько выраженным, что быстро привлекает внимание как самого больного, так и врачей.
При определении источника кровотечения возникают значительные трудности. Кровотечение из дивертикула наблюдается и при бессимптомном течении заболевания, что создает еще большие диагностические затруднения. Наряду с явным кровотечением могут наблюдаться и скрытые его формы, проявляющиеся только анемией. Симптомы перечисленных осложнений хотя и довольно яркие, однако не носят специфического характера. В связи с этим определить причины их возникновения иногда бывает весьма трудно и для этого применяют комплексное обследование.
Клинические проявления дивертикулеза толстой кишки и его осложнений не могут служить основанием для установления точного диагноза заболевания. Диагностика и дифференциальная диагностика дивертикулеза толстой кишки основывается на анализе клинических проявлений заболевания и результатах обязательного рентгенологического и эндоскопического исследований толстой кишки.
![Дивертикулез лечение]()
![Дивертикулез лечение]()
Консервативное лечение дивертикулярной болезни
В настоящее время сформулированы следующие принципы лечения этого заболевания:
- бессимптомный дивертикулез толстой кишки, обнаруживаемый случайно, не требует специального лечения. Назначается диета, богатая растительной клетчаткой, отруби.
- при дивертикулезе с выраженными клиническими проявлениями применяют комплекс лечебных мероприятий:
- сбалансированная диета, содержащая большое количество растительной клетчатки, а при упорных запорах и жидкости;
- витамины;
- препараты, нормализующие функцию кишечника;
- при выраженном спастическом компоненте назначают спазмолитические средства, либо блокаторы кальциевых каналов (Децител), которые действуют селективно на стенку кишечника. При болевом синдроме назначают анальгетики, препараты морфина для этих целей противопоказаны, так как они повышают внутрикишечное давление;
- при наличии явлений дивертикулита требуют назначения антибиотиков;
- при диарее можно использовать противодиарейные средства;
- при наличии ферментативной недостаточности поджелудочной железы назначаются ферментативные препараты;
- при выявлении дисбактериоза целесообразно применение бактериальных препаратов (колибактерин, бифидумбактерин, бификол).
Хирургическое лечение
Существуют следующие показания к хирургическому лечению дивертикулярной болезни:
Экстренные:
- перфорация дивертикула;
- кишечная непроходимость;
- профузное кровотечение.
Плановые:
- образование хронического инфильтрата, симулирующего злокачественную опухоль;
- внутренние и наружные свищи;
- клинически выраженная дивертикулярная болезнь, неподдающаяся комплексному консервативному лечению.
Государственная клиническая больница №29 им. Н.Э.Баумана – это современная многопрофильная высокотехнологичная больница с уникальной полуторавековой историей и традицией, оказывающая высококачественную медицинскую помощь в круглосуточном режиме.
Дивертикулит
![Врач Белоусов Евгений Леонидович]()
Дивертикулит кишечника – это воспаление дивертикулов. Так называются слепо заканчивающиеся выпячивания кишечной стенки. Формируется воспаление на фоне застоя кишечного содержимого. Чаще всего такая проблема встречается у женщин – в полтора раза чаще по сравнению с представителями мужского пола. Риски столкнуться с этим заболеванием возрастают с возрастом – обычно начиная с 40 лет и старше.
Если говорить обобщенно, то данная болезнь в последние годы стала более распространенной, что обычно связано с неправильным питанием и тем, что люди мало внимания уделяют собственному здоровью.
Симптомы и признаки
Дивертикулит характеризуется множеством симптомов, но проблема заключается в том, что очень часто они схожи с симптомами других болезней: например, проблем с почками или женских половых органов. Но человека все равно должны насторожить следующие признаки заболевания:
- боль в нижней части живота. Обычно она точечная, беспокоит только в конкретном месте – причем болеть может в течение нескольких дней, то затухая, то заново начинаясь. Усиливается ощущение при резких сокращениях мышц: во время смеха, кашля, физнагрузки;
- усиление болезненных ощущений после опорожнения кишечника, во время надавливания;
- расстройства стула – дивертикулит кишечника проявляется как запорами, так и поносами;
- наличие крови в кале – обычно кровяные выделения не очень обильные и наблюдаются только у десятой части пациентов;
- лихорадка, озноб. Когда речь идет про дивертикулит, симптомы такого характера встречаются редко, но они тоже возможны;
- нарушение аппетита – больному не хочется есть;
- тошнота, рвота, общая слабость организма – эти признаки дивертикулита очень похожи на симптомы отравления.
Если у пациента дивертикулит кишечника, симптомы хоть и вводят в заблуждение, но все равно они довольно выраженные и яркие, а потому требуют немедленного обращения к врачу для тщательного обследования.
Еще одно важное уточнение про дивертикулит: симптомы у женщин и у мужчин будут схожими, хоть у вторых эта болезнь встречается реже. В данном случае речь только о распространенности заболевания, но не о том, что оно проявляется по-разному. Единственная особенность в том, что женщины могут путать эту болезнь с недугами «по-женски», но и тут есть нюансы, потому что все равно будут некоторые признаки, похожие на отравление.
Причины развития
Дивертикулит сигмовидной кишки и других отделов кишечника вызывается рядом причин:
- употребление пищи, в которой недостаточно клетчатки. Для правильной работы кишечника человеку необходимо употреблять достаточное количество пищевых волокон;
- осложнение на фоне инфекционного колита, кишечных инфекций – особенно высок риск появления проблемы на фоне ослабленного иммунитета;
- снижение тонуса мышц и ухудшение перистальтики – как правило, это случается на фоне возрастных изменений, тогда дивертикулит толстой кишки себя и проявляет;
- дисбактериоз, который также влечет за собой общее снижение иммунитета;
- заражение глистами, в результате чего нарушается микрофлора кишечника, повреждается слизистая оболочка – и из-за этого начинается дивертикулит сигмовидной кишки;
- наследственность – это тоже один из значимых факторов.
Часть факторов, вызывающих дивертикулит кишки, – это то, чего можно избежать, если вести здоровый образ жизни и следить за своим состоянием, регулярно обращаясь к врачам для профилактики и своевременного лечения.
Факторы риска
![Дивертикулит]()
Прежде чем узнать, как лечить дивертикулит, стоит обратиться и к факторам риска. К ним в данном случае отнесем уже упомянутую наследственность, возраст, а также неправильное питание и образ жизни, который способствует нарушению перистальтики. Например, в зоне риска находятся люди, которые много сидят, почти не двигаются, имеют слабые мышцы. Многие люди почти не связывают спорт и перистальтику, но развитые мышцы пресса как раз очень помогают кишечнику правильно функционировать. Но слишком увлекаться тяжелым спортом нельзя – иначе будет обратная реакция.
В зону риска отнесем и всех, кто не соблюдает питьевой режим – без достаточного количества влаги содержимое кишечника становится слишком плотным, из-за чего могут повреждаться его стенки. В опасности и тот, кто злоупотребляет вредными привычками, не соблюдает элементарные правила гигиены и плохо следит за своим здоровьем.
Осложнения
Просто обострение дивертикулита с болями – это еще не самое страшное, что может произойти. Если оставить проблему без внимания, то серьезными ее осложнениями могут стать перитонит либо свищи – а это уже последствия, которые в ряде случаев становятся для пациентов смертельно опасными. Так что при наличии любых из перечисленных симптомов нужно обязательно обращаться за помощью, не дожидаясь, пока ситуация выйдет из-под контроля.
Когда следует обратиться к врачу
При всех перечисленных симптомах нужно тут же обратиться к врачу, который либо поставит дивертикулит, либо обнаружит другие причины плохого самочувствия. Первичная консультация, как правило, проводится у гастроэнтеролога – он же отвечает за основное лечение. Почти всегда лечение ведет и проктолог.
Подготовка к посещению врача
Обращаясь к гастроэнтерологу в первый раз, лучше всего делать это на голодный желудок. Часто пациенту сразу же назначают анализ крови, а для этого с утра не нужно есть. Дополнительные обследования обычно назначают на другие дни – врач подробно рассказывает, как подготовиться к той или иной процедуре.
Диагностика дивертикулита
Чтобы поставить дивертикулит, симптомы – не единственное, на что будет опираться врач. Для этого потребуется целый комплекс исследований:
- консультация и гастроэнтеролога, и проктолога. Пальпация, осмотр, сбор анамнеза;
- колоноскопия;
- рентгенография с контрастом; ;
- лапароскопия (в отдельных случаях); (покажет воспалительные процессы в организме).
Важно понимать, что многие исследования, даже если они вызывают у пациента переживания, очень важны, чтобы определить дивертикулит, лечение которого должно отличаться от других проблем. Та же колоноскопия – это один из самых действенных инструментов, который позволяет разграничить воспаление дивертикулов и язвенный колит, кишечную непроходимость, опухоль толстого кишечника. И чем точнее будет диагноз, тем выше шанс, что врач подберет качественное, работающее лечение.
В нашей клинике в центре Москвы диагностика проводится на самом высоком уровне – только на современном, максимально эффективном и безопасном оборудовании. Благодаря этому, если поставлен дивертикулит кишечника, лечение тоже будет качественным.
Лечение
![Дивертикулит]()
При постановке диагноза дивертикулит лечение назначается индивидуально – в зависимости от состояния пациента. В ряде случаев требуется лечение в медицинском учреждении, если ситуация не такая запущенная – лечиться можно и дома, периодически посещая клинику.
Лечат дивертикулит следующими способами:
- лекарственная терапия. Обычно она предполагает прием антибиотиков;
- строгая диета при дивертикулите с достаточным количеством клетчатки, без вредных продуктов;
- хирургическое вмешательство (в очень сложных, серьезных случаях во время обострения или осложнений).
Исход заболевания во многом будет зависеть от пациента: от его своевременного обращения к врачу, выполнения всех рекомендаций и, конечно, правильного образа жизни.
Домашние средства лечения
Дивертикулит, симптомы которого сильно схожи с интоксикаций, не может лечиться в домашних условиях без предварительного посещения специалиста. Дома можно соблюдать только те рекомендации, которые врач дал индивидуально – любые народные и другие сомнительные методы могут только повредить кишечнику, ухудшить ситуацию и ускорить развитие осложнений.
Профилактика
Профилактические меры для образования дивертикулита выглядят так:
- здоровый образ жизни с правильным питанием, питьевым режимом и достаточным количеством движения;
- поддержание иммунитета в хорошем состоянии – например, употребление нужных витаминов в холодное время года;
- своевременное решение любых проблем, связанных с кишечником, – будь то поносы или запоры.
Дивертикулит, симптомы и лечение которого для вас уже понятны, не зря называют возрастной проблемой. Очень часто она возникает на фоне совокупности тех факторов, которые человек очень долго игнорировал, не принимал во внимание. Если заботиться о своем здоровье грамотно, можно значительно снизить риски появления такой проблемы.
Как записаться к гастроэнтерологу
Записаться на прием к гастроэнтерологу АО «Медицина» (клиника академика Ройтберга) можно на сайте – интерактивная форма позволяет выбрать врача по специализации или осуществить поиск сотрудника любого отделения по имени и фамилии. Расписание каждого доктора содержит информацию о приемных днях и доступных для визитов пациентов часах.
Удобное расположение на территории центрального административного округа Москвы (ЦАО) – 2-й Тверской-Ямской переулок, дом 10 – позволяет быстро добраться до клиники от станций метро «Маяковская», «Новослободская», «Тверская», «Чеховская» и «Белорусская».
Читайте также:





