Острый поперечный миелит
Добавил пользователь Владимир З. Обновлено: 29.01.2026
Миелит – воспалительный процесс, поражающий спинной мозг, возникающий как при аллергическом, так и при инфекционном поражении, а также вследствие травм спинного мозга, отравления организма солями тяжелых металлов, спиртами.
Начинается острый миелит, как правило, с недомогания и общей слабости. По прошествии времени наблюдается высокая температура, сопровождающаяся слабыми болезненными ощущениями в области грудной клетки и спины. После возникают парестезии в ногах, переходящие со временем в онемение с быстрой утратой движений, что может привести к полному параличу.
Внимание!
Здесь вы сможете выбрать врача, занимающегося лечением Миелит Если вы не уверены в диагнозе, запишитесь на прием к терапевту или врачу общей практики для уточнения диагноза.
Статьи на тему Миелит:
Симптомы
Причины
Диагностика
Лечение
По причине поражения грудного участка спинного мозга возможно развитие параплегии нижних конечностей, которая сопровождается снижениями уровня чувствительности проводникового типа. В случаях острой формы протекания заболевания развитие паралича происходит вяло и сопровождается процессом выпадения рефлексов сухожилий. Со временем паралич может перейти в спастический (центральный). В случае не острого течения процесса характерен спастический характер паралича.
В случаях проявления процесса воспаления не в грудном отделе спинного мозга параличи могут принимать иной вид. При воспалении в половине сегмента наблюдается паралич Броун-Секара. Может наблюдаться расстройство органов малого таза, проявляющееся в виде задержки кала и мочи (или в слабости сфинктеров).
Симптомы
При развитии заболевания проявляются следующие симптомы миелита:
- общее недомогание с высокой температурой 38–40 градусов;
- общая слабость, повышенная чувствительность кожи и потоотделение;
- снижается либо отсутствует болевая, температурная чувствительность, заметное нарушение чувствительности в туловище, проявляется слабость, которая впоследствии приобретает характер паралича.
Причины
Причинами миелита становятся инфекции, которые могут поражать как спинной мозг (полиомиелит), так и весь организм (корь, скарлатина), различного рода травмы позвоночника (переломы, пулевые, колотые ранения).
Также специалисты выделяют такие факторы риска, как:
- интоксикация веществами химического происхождения;
- перенесение пациентом демиелинизирующих болезнетворных процессов.
Формы
По уровню, на котором возникает воспаление, различают: миелит шейного отдела, острый поперечный миелит, грудной миелит. Обычно поражается один или два рядом лежащих сегмента мозга.
По причинам, вызвавшим миелит, выделяют следующие формы:
- первичный (вызванный поражением инфекцией в первую очередь спинного мозга);
- вторичный (вызванный поражением инфекцией всего организма, сопровождающийся общей интоксикацией);
- травматический (миелит, развивающийся впоследствии травм спинного мозга);
- токсический (развивающийся при поражении организма химическими веществами, вызывающих сильнейшее отравление);
- нейроаллергический (выражается поражением спинного мозга заболеваниями, имеющими аллергический компонент).
Диагностика
- Анализ жалоб и анамнеза заболеванияк собраннный неврологом, при котором выясняется, как давно появились нарушения чувствительности, недержание и слабость в конечностях, возможная причина появления симптомов заболевания (травмы, заболевания, отравления);
- неврологический осмотр включает определение границ нарушения чувствительности, оценку силы конечностей и тонуса мышц, возможное недержание мочи и кала;
- проводится анализ крови на наличие воспалительных процессов, наличие антител к инфекциям;
- выполняется люмбальная пункция – прокол субарахноидального пространства на поясничном уровне с последующим забором жидкости (ликвора), обеспечивающая необходимый обмен в головном и спинном мозге с целью обнаружения в ликворе признаков воспаления, а также антител; . С ее помощью оценивается способность спинного мозга проводить нервные импульсы, а при нарушении проводимости можно установить уровень, на котором имеется воспалительный процесс;
- магнитно-резонансная томография спинного мозга, позволяющая изучить строение спинного мозга, показать размеры и нахождение очага воспаления.
Лечение
В первую очередь, требуется госпитализация со строгим постельным режимом.
При лечении миелита проводятся дезинтоксикационные мероприятия совместно с применением различных препаратов: адренокортикотропных гормонов, глюкозы с уротропином, глюкокортикостероидов в высоких дозах. Также применяются антибиотики (при бактериальной этимологии) в больших дозах, антихолинэстеразные препараты. Лечебная физкультура и физические упражнения как предупреждение развития нарушений питания кожи от сдавления и контрактур (нарушение подвижности в суставах парализованных конечностей).
Катетеризация мочевого пузыря путем введения в него через мочевыводящие пути трубки или наложение эпицистостомы (введения трубки через разрез над лобком): необходимо создать адекватный отток мочи.
Осложнения
Осложнения проявляются в виде нарушения питания кожи от сдавления (пролежни), наблюдаемого у длительно лежащих больных и нарушения подвижности в парализованных конечностях. Проявляется отсутствие восстановления (неврологический дефект): параличи, недержание мочи и кала.
Поперечный миелит
Острый поперечный миелит - это воспалительное поражение спинного мозга сочетающееся с молниеносно прогрессирующей двигательной, чувствительной дисфункцией. При визуализации характеризуется обширным и протяженным (3-4 и более сегмента) патологически повышенным МР сигналом на Т2 взвешенных изображениях, занимающим более 2/3 площади поперечного сечения спинного мозга, с варьирующим паттерном контрастного усиления и отсутствием ограничения диффузии.
Эпидемиология
Распространенность 1-4:1000000 в год [7]. Выделяют два пика заболеваемости: первый приходиться на 10-19 лет, второй - на 30-39 лет [7]. Гендерная предрасположенность и наследственность отсутствуют.
Клиническая картина
Клиническая картина развивается в течении часов или дней.
- пара- или тетрапарез
- дисфункция сфинктеров
Патология
При микроскопии выявляется периваскулярная лимфоцитарная инфильтрация, некроз и демиелинизация, без признаков сопутствующего основного заболевания. Вероятная этиология:
- идиопатический
- вторичный
- острый инфекционный (чаще вирусный)
- пост-инфекционный (ОРЭМ)
- пост-вакцинальный
- аутоимунный (СКВ, РС)
- неопластический
Диагностические критерии
Поскольку не существует специфических лабораторных тестов, невозможна биопсия, а данные визуализации могут совпадать с другими воспалительными и неопластическими сущностями, the Transverse Myelitis Consortium Working Group предложила набор диагностических клинических критериев для диагностики поперечного миелита [7]:
- критерии включения
- нарушение чувствительности, двигательной и автономной функций, клинически соответствующее поражению спинного мозга
- симптомы двустороннего поражения, не обязательно симметричного
- четкий уровень нарушения чувствительности
- исключение компрессии спинного мозга при проведении нейровизуализации
- подтверждение воспалительного генеза миелопатии одним из методов:
- плеоцитоз при исследовании ликвора;
- повышение индекса IgG;
- накопление Gd-содержащего контрастного вещества очагом поражения (при отрицательных результатах – повторное исследование через 2–7 дней)
- наличие в анамнезе облучения спинного мозга в предыдущие 10 лет
- клинический дефицит с недостаточность артериального кровотока, соответствует тромбозу передней спинномозговой артерии
- аномальное выпадение потока у поверхности спинного мозга за счет артерио-венозной фистулы
- болезни соединительной ткани
- инфекция ЦНС
- наличие МР признаков позволяющих предположить рассеянный склероз
- наличие в анамнезе неврита зрительного нерва
Особенности визуализации
Очаг может локализоваться на любом уровне спинного мозга, однако, чаще всего поражается грудной отдел.
Компьютерная томография
- не является модальностью выбора
- вариабельно встречается увеличение размеров
- вариабельный паттерн контрастного усиление (в том числе отсутсвие усиления)
Магнитно-резонансная томография
В 40% случаев при МРТ не удается выявить изменения [8]. Необходимо помнить, что все признаки не являются специфическими и степень их проявленя может варьировать:
Ковид вызвал острый поперечный миелит
![]()
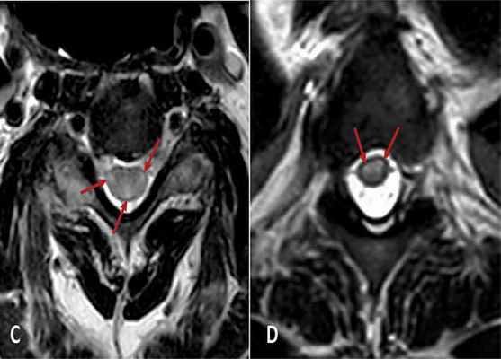
Аксиальный срез на уровне шейного (С) и грудного (D) отделов. Стрелочками показаны участки гиперинтенсивности.
Diógenes Harris et al. / Frontiers in Immunology, 2021
Неврологи из больницы города Панама описали случай острого поперечного миелита у мужчины 72 лет. Затем они провели обзор научной литературы, и оказалось, что за месяцы пандемии коронавируса сообщалось о 43 случаях острого поперечного миелита по всему миру. Поражение спинного мозга развивалось в течение 10-60 дней от появления симптомов ковида и сопровождалось параличом конечностей. Исследование опубликовано в Frontiers in Immunology.
COVID-19 в некоторых случаях может вызывать неврологические последствия, затрагивая как центральную нервную систему, так и периферические нервы. Поражение происходит из-за аффинности вируса к рецепторам ангиотензинпревращающего фермента (ACE2). Этот рецептор расположен в клетках глии и нейронах, поэтому коронавирус легко поражает эти клетки. Например, частый симптом заражения коронавирусом — аносмия — происходит, скорее всего, из-за поражения вирусом обонятельных путей. Из-за расположения ACE2 на эндотелиальных клетках коронавирус вызывает поражение сосудов мозга, что ведет к инсультам
Острый поперечный миелит — редкая неврологическая воспалительная патология. Она возникает в количестве 1,34-4,6 случаев на миллион человек в год, обычно у людей 35-40 лет. При остром поперечном миелите поражается спинной мозг — чаще всего на грудном уровне — и блокируется передача нервных импульсов. Причинами такого состояния могут быть рассеянный склероз, инфекционные поражения, аутоиммунные процессы. Примерно у трети больных при своевременном лечении заболевание проходит полностью, а остальные испытываются неврологические проблемы, при этом некоторые остаются инвалидами.
Неврологи Панамской больницы под руководством Диогенеса Харриса (Diógenes Harris) описали случай возникновения острого поперечного миелита после коронавирусной инфекции у пожилого пациента. К ним в отделение доставили мужчину 72 лет с жалобами на задержку мочеиспускания. Спустя три дня у него развилась слабость в конечностях. Пациенту сделали два теста на COVID-19, но они оказались негативными. В плазме у пациента определялись антитела IgG и IgM к коронавирусу, что свидетельствует о недавно перенесенной инфекции, которая протекала у пациента без симптомов. Лабораторные показатели были в норме, кроме повышения содержания С-реактивного белка и СОЭ (скорости оседания эритроцитов), что говорит о воспалении в организме. На МРТ спинного мозга наблюдалось легкое увеличение и припухлость шейного и грудного отделов спинного мозга с диффузной гиперинтенсивностью. Пациенту поставили диагноз острого поперечного миелита и назначили лечение преднизалоном, эноксапарином и гамма-глобулином. Впоследствии у него восстановилась работоспособность верхних конечностей, но нарушения в работе мочевого пузыря и нижних конечностей остались неизменными.
Авторы исследования проанализировали научные публикации до января 2021 года и нашли упоминания о еще 43 случаях острого поперечного миелита, вызванного ковидом: у 23 мужчин и 20 женщин в возрасте с 21 года до 73 лет. У этих пациентов заболевание начиналось с поражения конечностей и развивалось чаще всего с 10 по 60 день от появления симптомов COVID-19. 2 человека из 43 умерли. В дополнение сообщалось о трех случаях острого поперечного миелита среди 11636 участников исследования вакцины от AstraZeneca.
Авторы выдвинули гипотезу, что механизм повреждения спинного мозга заключается в прямом поражении нейронов и последующем гипериммунном ответе организма. SARS-CoV-2 запускает синтез интерлейкина 1 и изменяет работу интерферона 1, что ведет к дезинтеграции иммунного ответа. Еще предстоит провести дополнительные исследования, чтобы узнать точный иммунопатогенез и определить антигены, приводящие к развитию острого поперечного миелита.
Многие механизмы патологических изменений в организме при заболевании ковидом еще предстоит изучить, а что-то уже становится более понятным. Недавно мы писали, что спайк-белок коронавируса сам по себе может вызвать нарушение свертываемости крови.
Острый поперечный миелит
Острый поперечный миелит — это гетерогенный синдром, который характеризуется воспалением белого вещества спинного мозга. Состояние возникает вследствие инфекционных, воспалительных, аутоиммунных процессов, изредка развивается как идиопатический вариант. Острый процесс проявляется двусторонними нарушениями чувствительности ниже очага поражения, вялыми параличами, тазовыми расстройствами. Диагностика требует проведения спинального и церебрального МР-сканирования, исследования цереброспинальной жидкости, расширенных анализов крови. Лечение предполагает патогенетическую терапию в остром периоде, по возможности — консервативное или хирургическое устранение первопричины.
МКБ-10
Общие сведения
Средняя частота встречаемости острого поперечного миелита составляет от 1,34 до 4,6 случаев на 1 млн населения (в Новой Зеландии показатель достигает 10,8), в 28% случаев заболевают дети. Мужчины и женщины страдают одинаково часто, патология имеет два возрастных пика манифестации — в 10-19 и 30-39 лет. Название заболевания «поперечный миелит» отражает не анатомические поражения поперечника позвоночника, а характерные сенсорные расстройства, возникающие при вовлечении в процесс проводящих путей спинного мозга.
Причины
Основным этиологическим фактором острого поперечного миелита является рассеянный склероз. У таких пациентов наблюдаются диффузные нейродегенеративные процессы с воспалительным компонентом, патологические изменения распространяются на спинной мозг с появлением специфической симптоматики. К менее распространенным причинам формирования острого воспаления относятся следующие:
- Аутоиммунные процессы. Поперечный миелит возникает как один из признаков системной красной волчанки, болезни Бехчета, ревматоидного артрита. Реже причиной выступает антифосфолипидный синдром, саркоидоз, болезнь Шегрена. Описаны случаи острых воспалений при аутоиммунном поражении ЦНС — оптикомиелите.
- Инфекционные болезни. Состояние может развиться при любых вирусных, бактериальных или грибковых инфекциям. К типичным заболеваниям, осложняющимся ОПМ, относят сифилис, туберкулез, болезнь Лайма и микоплазменную инфекцию. Воспаление спинного мозга проявляется в течение 4 недель с момента манифестации инфекции.
- Спинальные травмы. Воспаление связано с осложненными формами острой позвоночно-спинномозговой травмы, при которой нарушается целостность позвоночного канала, нейронов и нервных волокон. Ситуация зачастую усугубляется присоединением отека спинного мозга.
- Ятрогенные факторы. У онкобольных, получающих лучевую терапию, нередко возникают миелиты вследствие токсического спинального поражения. Острый токсический процесс также возможен при неадекватном медикаментозном лечении. Крайне редко встречаются поствакцинальные миелиты — нетипичная гиперергическая реакция на прививку.
Патогенез
Механизм развития заболевания зависит от его первопричины. Основную роль в большинстве случаев ОПМ играет аутоиммунное воспаление, при котором поражаются миелиновые оболочки, покрывающие спинномозговые корешки и белое вещество спинного мозга. Патогенез при системных патологиях соединительной ткани связан с васкулитами, тромбообразованием, образованием мелкоочаговых инфарктов в спинномозговом веществе.
При инфекционном поражении наблюдается спинальный отек, сопровождающийся расстройствами кровообращения, ограниченными некротическими процессами и размягчением нервной ткани. Травматические поперечные миелиты развиваются при присоединении вторичной инфекции. В патогенезе постинфекционных форм важную роль играет аллергизация организма, интоксикация продуктами жизнедеятельности микроорганизмов.
Классификация
В практической неврологии существует расширенная систематизация поперечного миелита, которая используется врачами, чтобы определить тяжесть состояния и подобрать правильное лечение. В классификации учитываются следующие факторы:
- Длительность течения: острый, подострый, хронический.
- Степень распространенности: диффузный, многоочаговый, ограниченный.
- Механизм развития: первичный (идиопатический), вторичный (в сочетании с другим заболеванием).
- Этиология: инфекционный, постинфекционный, травматический, токсический, воспаление при аутоиммунных болезнях.
Симптомы
В 60% случаев первым признаком развивающегося поперечного миелита служит боль. Она имеет нейропатический характер: больные описывают свои ощущения как ноющие, глубокие, изнурительные. Боли локализуются в спине по срединной линии, что соответствует проекции воспалительного очага, либо развиваются в соответствующем дерматоме, который иннервируется пораженным спинномозговым корешком. При поражении корешков боли чаще резкие, простреливающие.
Патогномоничное проявление острого поражения — чувствительные нарушения, которые захватывают все тело ниже уровня спинального поражения. Сенсорные симптомы могут быть положительными — жгучие парестезии, гиперестезии, аллодиния, либо отрицательными — отсутствие болевой, температурной и тактильной чувствительности. Клиническая картина дополняется дисфункцией тазовых органов, двигательными нарушениями (парезы, параличи).
У пациентов развиваются ирритативные симптомы: тонические спазмы мускулатуры, дизестезия (извращенное восприятие раздражителей), симптом Лермитта (ощущение электрического импульса, проходящего через позвоночник). При распространении патологического процесса менее чем на половину поперечной части спинного мозга симптоматика носит стертый характер: отмечаются легкие сенсорные и двигательные расстройства, преходящие нарушения функции тазовых органов.
Осложнения
Острый поперечный миелит изредка сочетается с диссеминированным энцефаломиелитом, который сопровождается энцефалопатией. При этом возможен судорожный синдром, очаговые симптомы, нарушения сознания разной степени тяжести. Воспаление, развивающееся на фоне герпетической инфекции, нередко сочетается с синдромом Броун-Секара, сирингомиелией. При высоком расположении очага в спинном мозге возможны нарушения дыхания и кровообращения.
Даже при проведении адекватного комплексного лечения поперечного миелита до 2/3 пациентов сталкиваются с серьезными последствиями болезни. Около трети больных после стихания острого процесса страдают от необратимых неврологических расстройств: дизестезии, парезов, недержания мочи и кала. У 33% пациентов, перенесших поперечный миелит, развивается полный паралич, из-за чего им требуется постоянный медицинский уход и периодическое поддерживающее лечение.
Диагностика
При первичном обследовании больного врачом-неврологом определяются типичные острые расстройства сенсорных функций, что указывает на спинальные повреждения. При сопутствующих симптомах раздражения нервных корешков, двигательных нарушениях, наличии отягощенного анамнеза удается предположить поперечный миелит. Для подтверждения диагноза и подбора схемы лечения обязательно проводится комплекс исследований, включающий:
- МРТ спинного мозга. «Золотой стандарт» для диагностики острого поперечного миелита. Для заболевания характерно наличие участка повышенного сигнала в Т2 режиме исследования. Очаг поражения занимает более 2/3 поперечника органа, распространяется на 2 и более спинномозговых сегмента. В его центре изредка определяется неизмененная ткань серого вещества.
- МРТ головного мозга. При подозрении на рассеянный склероз, как причину поперечного миелита, лечение назначается только после нейровизуализации. Для выявления бляшек в фазе активного воспаления применяется контрастирование с гадолинием. Аппараты МРТ с высокой напряженностью магнитного поля позволяют отличить перивенулярные бляшки при РС от неспецифических очагов.
- Люмбальная пункция. При исследовании цереброспинальной жидкости определяется невысокий лимфоцитарный плейоцитоз и повышение уровня белка — признаки, указывающие на наличие воспалительного процесса. В ряде случаев состав спинномозговой жидкости не меняется, что затрудняет диагностику ОПМ.
- Исследования крови. Стандартные клинические и биохимические анализы крови позволяют обнаружить острый воспалительный процесс, чтобы вовремя назначить противовоспалительное лечение. Если есть симптомы системных аутоиммунных патологий, рекомендованы исследования на ревматоидный фактор, антинуклеарные антитела и другие специфические маркеры.
Лечение острого поперечного миелита
Консервативная терапия
Специфическое лечение поперечного миелита отсутствует. В острой фазе необходимо остановить распространяющийся патологический процесс, купировать воспаление, восстановить неврологические функции. Этиотропная противомикробная терапия рекомендуется при инфекционном варианте патологии. Ведущие неврологи, специализирующиеся на демиелинизирующих заболеваниях, придерживаются следующей тактики лечения пациентов:
- Гормональная пульс-терапия. Лечение начинается с назначения высоких дозировок глюкокортикоидов сроком на 3-7 суток, чтобы остановить воспалительный процесс. Особенно результативна такая терапия, если причиной болезни является аутоиммунная патология.
- Плазмаферез. Лечение экстракорпоральным очищением крови показано при недостаточной эффективности кортикостероидов. Процедура направлена на удаление аутоантител из организма, чтобы быстро остановить повреждение спинного мозга.
- Другие препараты. При острых идиопатических формах целесообразно использовать лечение иммуноглобулинами, некоторыми цитостатическими лекарствами. Для купирования поперечного миелита при рассеянном склерозе или оптикомиелите доказана эффективность антинеопластических цитостатиков из группы антрацендиона.
Хирургическое лечение
Нейрохирургические операции выполняются при диагностированном синдроме сдавления спинного мозга для экстренной декомпрессии, предупреждения необратимых органических поражений нервной ткани. Оперативное лечение также проводится при гнойном эпидурите, гнойно-септических очагах, расположенных в непосредственной близости от спинного мозга. Тактика операции подбирается индивидуально для каждого пациента.
Реабилитация
Уже с первых дней заболевания целесообразно применять ноотропы, энерготропные препараты, средства, улучшающие микроциркуляцию. Такое лечение способствует восстановлению неврологических функций. В периоде резидуальных проявлений назначается реабилитационная программа, которая включает методы физиотерапевтического лечения (электростимуляцию, электрофорез, фонофорез), лечебный массаж, кинезиотерапию.
Прогноз и профилактика
При поперечном миелите прогноз сомнительный, поскольку более 66% больных, которые перенесли заболевание, имеют неврологические последствия разной тяжести. Экстренное лечение значительно повышает шансы на успешное восстановление, поэтому первостепенное значение играет улучшение качества медицинской помощи. Профилактика заключается в предупреждении заболеваний, которые могут вызывать спинальное воспаление.
1. Острый поперечный миелит у детей: оценка течения и исходов по результатам длительного наблюдения/ К.С. Невмержицкая, Л.И. Волкова, Д.А. Суровцева, М.В. Сергеева// Уральский медицинский журнал. — 2019. — №13.
2. Клинические рекомендации по диагностике и лечению воспалительных заболеваний позвоночника и спинного мозга. — 2015.
3. Острый поперечный миелит: незнакомая маска системной красной волчанки/ А.С. Беденко// Современные научные исследования и инновации. — 2015. — № 5.
4. Случаи острого поперечного миелита: особенности клиники, трудности диагностики/ И.Э. Мурадян, С.К. Марценюк, С.К. Евтушенко, В.А. Симонян// Международный неврологический журнал. — 2010. — №3.
Поперечный миелит
Раздел только для специалистов в сфере медицины, фармации и здравоохранения!
![Поперечный миелит]()
Содержание
Острый поперечный миелит является редким приобретенным нейроиммунным заболеванием спинного мозга, которое может проявляться быстрым появлением слабости, сенсорными изменениями и дисфункцией кишечника или мочевого пузыря. Поперечный миелит может возникать как самостоятельное заболевание, обычно как постинфекционное осложнение, но он также существует в континууме нейровоспалительных заболеваний, которые включают острый диссеминированный энцефаломиелит, рассеянный склероз и оптикомиелит (болезнь Девика). Клинические особенности, диагностические исследования, острая и хроническая терапия различаются между этими формами ТМ. При обследовании пациентов с острыми миелопатиями важно исключить компрессионные и невоспалительные причины миелопатии, а также различать различные типы ТМ, поскольку прогноз, риск рецидива и варианты лечения могут различаться среди этих отдельных состояний.
Причины и развитие поперечного миелита
![Причины и развитие поперечного миелита]()
Иммунопатогенез поперечного миелите разнообразен и отражает довольно разнообразный спектр этого заболевания от идиопатического до ассоциированного с заболеванием миелита. Имеются данные о периваскулярной инфильтрации моноцитами и лимфоцитами в очаге поражения. Также сообщается о дегенерации аксонов. Эта патологическая гетерогенность и вовлечение как серого, так и белого вещества позволяют предположить, что поперечный миелит является не чистым демиелинизирующим заболеванием, а скорее смешанным воспалительным заболеванием, поражающим нейроны, аксоны, олигодендроциты и миелин. Сообщалось о поствакцинальном поперечном миелите, в том числе после вакцин против COVID-19, а в отчетах о вскрытии описывалась лимфоцитарная инфильтрация с демиелинизацией и потерей аксонов. Хотя в этих отчетах о случаях поперечный миелит описывается после вакцинации, причинно-следственная связь не была установлена только на основе времени и последовательности событий. В базе данных США с 64 миллионами доз вакцины, введенных детям и взрослым с 2007 по 2012 год, было только семь человек с поперечным миелитом, которые были вакцинированы в течение интервала первичной экспозиции от 5 до 28 дней до начала клинической манифестации. При сравнении каждого случая со всеми соответствующими субъектами в интервале экспозиции, получившими одну и ту же вакцину, не было выявлено связи поперечного миелита с предшествующей вакцинацией.
В 30–60% случаев идиопатическому поперечному миелиту предшествуют респираторные, желудочно-кишечные или системные заболевания. При параинфекционном поперечном миелите повреждение может быть связано с прямой микробной инфекцией центральной нервной системы или с системным ответом на инфекцию различными агентами, такими как вирус ветряной оспы, вирус герпеса и листерия. Молекулярная мимикрия и заболевание, опосредованное суперантигеном, также были описаны как потенциальные механизмы аутоиммунитета. Молекулярная мимикрия при поперечном миелите постулировалась как причина повреждения после инфицирования Enterobius vermicularis (острицы) у пациента с повышенным титром перекрестно реагирующих антител. Предполагается, что микробные суперантигены, такие как стафилококковые энтеротоксины от A до I, токсин синдрома токсического шока-1 и экзотоксин стрептококкового пиогена стимулируют иммунную систему и, как известно, способны активировать Т-лимфоциты без сигнальных молекул, тем самым вызывая аутоиммунное заболевание путем активации аутореактивных клонов Т-клеток.
Связанные с поперечным миелитом состояния
![Связанные с поперечным миелитом состояния]()
Идиопатический поперечный миелит обычно возникает как постинфекционное осложнение, которое, по-видимому, является результатом аутоиммунного процесса. В качестве альтернативы он может быть непосредственно связана с инфекционным, системным воспалительным или многоочаговым заболеванием центральной нервной системы.
Приобретенные аутоиммунные заболевания центральной нервной системы, которые могут вызывать поперечный миелит, включают рассеянный склероз, оптиконейромиелит и острый диссеминированный энцефаломиелит.
Поперечный миелит может возникать как составная часть рассеянного склероза. В некоторых случаях поперечный миелит является начальным демиелинизирующим событием (клинически изолированным синдромом), которое предшествует клинически определенному рассеянному склерозу.
Поперечный миелит, проявляющийся в виде протяженного в продольном направлении поражения спинного мозга, охватывающего три и более позвоночных сегмента, является одним из характерных проявлений, наряду с двусторонним невритом зрительного нерва, оптикомиелита. Однако оптиконейромиелит также может вызывать поперечный миелит с вовлечением меньшего количества сегментов.
Поперечный миелит может наблюдаться у пациентов с острым диссеминированным энцефаломиелитом, демиелинизирующим заболеванием центральной нервной системы, которое обычно проявляется монофазным заболеванием с многоочаговыми неврологическими симптомами и энцефалопатией.
Другие состояния центральной нервной системы, которые могут вызвать поперечный миелит, следующие:
- Инфекции, включая, помимо прочего, вирус Западного Нила, вирусы герпеса, ВИЧ, HTLV-1, вирус Зика, боррелию, микоплазму и трепонему. В целом инфекционные причины дисфункции спинного мозга встречаются редко.
- Нейросаркоидоз;
- Паранеопластические синдромы
- Анкилозирующий спондилоартрит
- Синдром антифосфолипидных антител
- Болезнь Бехчета
- Смешанное заболевание соединительной ткани
- Ревматоидный артрит
- Склеродермия
- Синдром Шегрена
- Системная красная волчанка
Классификация поперечного миелита
![Классификация поперечного миелита]()
Поперечный миелит — это воспалительное заболевание, которое проявляется острой или подострой дисфункцией спинного мозга, приводящей к слабости, сенсорным изменениям и вегетативным нарушениям (например, дисфункции кишечника, мочевого пузыря и половой функции) ниже уровня поражения. Идиопатический поперечный миелит определяется его появлением без окончательной этиологии, несмотря на тщательное обследование. Вторичный (ассоциированный с иным заболеванием) чаще всего связана с системной воспалительной аутоиммунной патологией.
Подтипы поперечного миелита дифференцируют на основании клинической тяжести и рентгенологического распространения поражения спинного мозга. К ним относятся острый частичный острый полный и продольно-распространенный поперечный миелит.
- Острый частичный поперечный миелит относится к дисфункции спинного мозга, которая является легкой или грубо асимметричной с поражением на МРТ, распространяющимся на один-два позвоночных сегмента.
- Острый полный поперечный миелит относится к дисфункции спинного мозга, которая вызывает симметричный, полный или почти полный неврологический дефицит (парез, потеря чувствительности и вегетативная дисфункция) ниже уровня поражения с поражением на МРТ, распространяющимся на один-два позвоночных сегмента.
- Продольно-распространенный поперечный миелит относится к полной или неполной дисфункции спинного мозга с поражением на МРТ, которое распространяется на три или более позвоночных сегмента.
Это деление поперечных миелитов на разновидности не совершенно, но предполагает различные подходы к дифференциальной диагностике и прогнозам.
Распространённость поперечного миелита
![Эффект белого халата]()
В одной серии из 354 пациентов с поперечным миелитом примерно 64 % случаев были идиопатическими, а 36 % — ассоциированными с заболеванием (вторичный поперечный миелит). В других отчетах на идиопатический вариант приходится от 15 до 30 % случаев. Большие расхождения в частоте идиопатического варианта могут отражать различия в популяциях зоны охвата, определении заболевания и эволюции методов диагностики.
Клинические проявления поперечного миелита
![Клинические проявления поперечного миелита]()
Начало заболевания характеризуется острым или подострым развитием неврологических признаков и симптомов, соответствующих моторной, сенсорной и/или вегетативной дисфункции. Моторные симптомы включают быстро прогрессирующий парапарез, который может поражать верхние конечности, с начальной вялостью, за которой следует спастичность. У большинства больных отмечается сенсорный уровень. Типичными сенсорными симптомами являются боль, дизестезия и парестезия, хотя парестезия у детей встречается редко. Вегетативные симптомы включают усиление императивных позывов к мочеиспусканию, недержание мочевого пузыря и кишечника, затрудненное или неспособное опорожнение, неполное опорожнение и запор кишечника, а также сексуальную дисфункцию. Возникновение задержки мочи может быть первым признаком миелита и всегда должно повышать вероятность миелопатии.
МРТ спинного мозга обычно показывает аномалию сигнала при использовании гадолиниевого контраста, обычно распространяющуюся на один или несколько сегментов спинного мозга.
Диагностика поперечного миелита
![Диагностика поперечного миелита]()
Диагноз поперечного миелита можно подозревать при наличии острых или подострых признаков и симптомов моторной, сенсорной и/или вегетативной дисфункции, которые локализуются в одном или нескольких смежных сегментах спинного мозга у пациентов без признаков компрессионного поражения спинного мозга. Таким образом, диагноз требует исключения компрессионного поражения спинного мозга, обычно с помощью МРТ, и подтверждения воспаления с помощью МРТ с контрастированием гадолинием или люмбальной пункцией.
Диагностические критерии включают следующее:
- Сенсорная, моторная или вегетативная дисфункция, связанная со спинным мозгом
- Двусторонние признаки и/или симптомы
- Четко определенный сенсорный уровень
- Нет признаков компрессионного поражения спинного мозга
- Воспаление, определяемое плеоцитозом спинномозговой жидкости, повышенным индексом IgG или усилением гадолиния на МРТ
- Прогрессирование до надира от 4 часов до 21 дня
Эти критерии полезны для определения популяций для клинических исследований, но некоторые пациенты с поперечным миелитом могут не соответствовать всем вышеперечисленным критериям. Например, у значительного процента людей с клинической картиной, которая в остальном напоминает поперечный миелит, отсутствуют признаки воспаления; следовательно, отсутствие воспалительных маркеров не исключает диагноз.
При подозрении на миелопатию необходима экстренная визуализация позвоночника, чтобы исключить компрессионную этиологию. МРТ позвоночника является предпочтительным диагностическим исследованием, но КТ позвоночника или КТ-миелография являются разумной альтернативой, если МРТ нельзя провести немедленно.
Если компрессионная миелопатия исключена, врач должен определить, является ли миелопатия воспалительной или невоспалительной. Лучшими суррогатными маркерами воспаления являются «горячая» спинномозговая жидкость (т. е. с плеоцитозом и/или повышенным индексом IgG) или «горячая» МРТ позвоночника (т. е. с положительным контрастом гадолиния). Если воспаление присутствует без компрессии спинного мозга, то критерии поперечного миелита соблюдены, и необходимо оценить наличие инфекции, системного воспаления, а также степень и места воспаления центральной нервной системы.
Следующие исследования рекомендуются для оценки состояния всех пациентов с подозрением на поперечный миелит:
- МРТ всего позвоночника с гадолинием и без него для оценки компрессионного или некомпрессионного поражения спинного мозга.
- МРТ головного мозга с гадолинием и без него для оценки наличия поражений головного мозга, свидетельствующих о рассеянном склерозе.
- Анализ спинномозговой жидкости, включая подсчет и дифференциацию клеток, белок, глюкозу, VDRL, олигоклональные полосы, индекс иммуноглобулина G и цитологию
- Сывороточные антитела NMO-IgG (анти-аквапорин-4 IgG), сывороточный B12, метилмалоновая кислота, антитела к иммунодефициту человека, серология сифилиса, сывороточные антитела к ANA, Ro/SSA и La/SSB и тиреостимулирующий гормон
Для пациентов с продольно-обширным поражением спинного мозга дополнительно рекомендуются следующие тесты:
- Скорость оседания эритроцитов в сыворотке, С-реактивный белок, антинуклеарные антитела, антитела к экстрагируемому ядерному антигену, ревматоидный фактор, антифосфолипидные антитела и антинейтрофильные цитоплазматические антитела
- КТ грудной клетки для подтверждения саркоидоза
Некоторым пациентам может потребоваться дополнительное тестирование:
- Нейроофтальмологическое обследование
- Паранеопластическая панель
- Инфекционные серологические исследования и исследования спинномозговой жидкости
- Медь в сыворотке и церулоплазмин
- Уровень витамина Е в сыворотке
- Спинальная ангиограмма
- Коагулограмма
- Электродиагностическая оценка (соматосенсорные вызванные потенциалы, исследования нервной проводимости, электромиография)
- Биопсия слюнной железы
Лечение поперечного миелита
Внутривенные глюкокортикоиды долгое время считались стандартом лечения и терапией первой линии при остром идиопатическом поперечном миелите. Даже без плацебо-контролируемых исследований, оценивающих глюкокортикоиды конкретно при этом варианте, есть убедительные доказательства того, что внутривенные глюкокортикоиды эффективны при острых воспалительных заболеваниях центральной нервной системы, таких как поперечный миелит или рассеянный склероз.
По этой причине рекомендуется лечение высокими дозами глюкокортикоидов внутривенно для взрослых и подростков с острым идиопатическим поперечным миелитом. Предпочтительной схемой считается метилпреднизолон (1000 мг в день) или дексаметазон (200 мг в день) в течение трех-пяти дней. Продолжение лечения глюкокортикоидами или более агрессивными схемами основывается на клиническом течении и рентгенологических параметрах.
Плазмаферез может быть эффективен при острых демиелинизирующих заболеваниях центральной нервной системы, которые не реагируют на лечение высокими дозами глюкокортикоидов. Таким образом, в дополнение к терапии высокими дозами глюкокортикоидов рекомендуется также плазмаферез для пациентов с острым поперечным миелитом с двигательными нарушениями. Предпочтительный режим — пять процедур, каждая с обменом от 1,1 до 1,5 объема плазмы через день в течение 10 дней. Для пациентов со значительным дефицитом нет необходимости ждать завершения лечения глюкокортикоидами. Необходимо использовать клиническую оценку, и некоторым пациентам может помочь более раннее вмешательство с плазмаферезом.
По клиническому опыту, внутривенное введение циклофосфамида (от 800 до 1200 мг/м 2 в виде однократной импульсной дозы) у пациентов с агрессивным поперечным миелитом было связано с хорошими результатами. У части пациентов с системными аутоиммунными заболеваниями (например, системной красной волчанкой) добавление циклофосфамида к схеме лечения улучшило результаты. При отсутствии системного аутоиммунного заболевания плазмаферез в сочетании с метилпреднизоном превосходил монотерапию метилпреднизоном.
Для пациентов с рецидивирующим заболеванием следует рассмотреть постоянную иммуномодулирующую терапию азатиоприном (от 150 до 250 мг в день), метотрексатом (от 15 до 20 мг в неделю) или микофенолатом (от 2 до 3 г в день), хотя пероральный циклофосфамид (2 г/кг в день) также может быть показан для использования у пациентов с системным воспалительным заболеванием.
Прогноз поперечного миелита
![Прогноз поперечного миелита]()
У большинства пациентов с идиопатическим поперечным миелитом наблюдается по крайней мере частичное выздоровление, которое обычно начинается в течение одного-трех месяцев и продолжается с помощью физических упражнений и реабилитационной терапии. Восстановление может продолжаться годами. Некоторая степень стойкой инвалидности встречается примерно у 40 %. Очень быстрое начало с полной параплегией и спинальным шоком было связано с худшими результатами.
Необходимы исследования для определения биомаркеров заболевания, которые могли бы работать как предикторы исхода и риск рецидива – таковых пока что нет, однако есть клинические признаки, присутствующие во время начального острого начала, которые могут предсказать рецидив:
- Мультифокальные или продольно-обширные поражения спинного мозга на МРТ
- Поражения головного мозга на МРТ
- Наличие одного или нескольких аутоантител (ANA, dsDNA, фосфолипид, c-ANCA)
- Смешанное заболевание соединительной ткани
- Наличие олигоклональных полос в спинномозговой жидкости
- Серопозитивность на антитела NMO-IgG (анти-аквапорин-4)
Пациенты с острым полным поперечным миелитом имеют риск рассеянного склероза всего от 5 до 10 %, хотя в некоторых отчетах указывается более высокая конверсия. Однако частичный или неполный миелит с легкой или выраженной асимметричной дисфункцией спинного мозга является более распространенным клиническим состоянием и имеет большее значение для рассеянного склероза. У пациентов с острым частичным миелитом в качестве начального проявления и отклонениями на МРТ черепа, показывающими поражения, типичные для рассеянного склероза, частота перехода в рассеянный склероз в течение трех-пяти лет составляет от 60 до 90 %. Напротив, у пациентов с острым частичным миелитом, у которых МРТ головного мозга в норме, рассеянный склероз развивался в 10–30 % случаев за аналогичный период времени. Исследования спинномозговой жидкости предполагают, что пациенты с моносимптомным заболеванием и положительными олигоклональными полосами имеют более высокий риск развития рассеянного склероза, чем пациенты без таковых, хотя результаты анализа спинномозговой жидкости не помогают в дальнейшем прогнозе по сравнению с только МРТ.
Читайте также:









