Панникулит
Добавил пользователь Евгений Кузнецов Обновлено: 29.01.2026
Панникулит – это хроническое прогрессирующее заболевание, воспалительного характера, поражающее подкожно жировую клетчатку. В результате жировые клетки разрушаются и замещаются соединительной тканью с образованием узелков, бляшек или инфильтратов. Если патологический процесс затрагивает внутренние органы, то происходит поражение печение, поджелудочной железы, почек, жировой клетчатки сальника или забрюшинной области. Диагностика данной патологии основывается на клиническом течении заболевания и данных гистологического исследования, а лечение панникулита зависит от его формы.
Юсуповская больница – это многопрофильный центр, предоставляющий услуги в различных направлениях медицины, в том числе и лечение панникулита Бебера-Крисчена. Благодаря современной аппаратуре в центре проводят диагностику различных патологий соединительной ткани. Обладая огромным опытом, ведущие специалисты в области ревматологии смогут с легкостью поставить диагноз, даже в самых тяжелых случаях.
Панникулит: причины развития
В большинстве случаев панникулит Бебера-Крисчена приходится на идиопатическую (спонтанную) форму заболевания. Чаще встречается среди женского населения в возрасте от 25-40 лет. Остальная часть заболевших, примерно 35% - это так называемые случаи вторичного панникулита, формирующегося на фоне системных и кожных заболеваний, провоцирующих факторов внешней среды (холод, УФ-излучение, прием медикаментов) и различных иммунологических нарушений.
В основе развития панникулита лежит нарушение метаболических процессов в организме человека, а именно перекисного окисления жиров. Несмотря на многолетние исследования, направленные на определение факторов, вызывающих панникулит, четкого представления об механизме его развития нет.

Панникулит: классификация
Панникулит Вебера-Крисчена (см. фото) классифицируется на первичный (идиопатическая форма) и вторичный.
К вторичному панникулиту относят следующие разновидности:
- иммунологический – возникает на фоне системных васкулитов. У детей ожжет быть вариантом течения узловой эритемы;
- мезентериальный панникулит – редкое патологическое заболевание, поражающее жировую ткань брыжейки кишечника, сальника, пред-и забрюшинной клетчатки;
- волчаночный – сопровождает системную красную волчанку и характеризуется проявлением симптомов панникулита с типичными кожными симптомами волчанки;
- ферментативный – связан с воздействием панкреатических ферментов;
- пролиферативно-клеточный – возникает при лейкемии, лимфоме, гистиоцитозе;
- холодовой – локальная форма панникулита, формирующаяся в ответ на сильное холодовое воздействие;
- стероидный – возникает у детей в течение одной-двух недель после отмены глюкокортикоидной терапии, происходит самостоятельно;
- Панникулит, развивающийся при подагре и почечной недостаточности в связи с отложением в подкожной жировой клетчатке кальцификатов мочевой кислоты;
- Панникулит, связанный с дефицитом L1-антитрипсина – наследственное заболевание, сопровождающееся системными проявлениями: васкулитами, геморрагиями, панкреатитом, гепатитом и нефритом.
Первичный, или лобулярный панникулит, относится к редким заболеваниям из группы системных заболеваний соединительной ткани. Верификация лобулярный панникулит ставится на результатах только гистологии, так как еще не найден специфический маркер либо исследование подтверждающее наличие данной болезни. По форме образующихся при панникулите узлов различают:
- Узловой вариант заболевания;
- Инфильтративный вариант;
- Бляшечный вариант.

Панникулит: симптомы
Клиническая картина при панникулит Бебера-Крисчена характеризуется появлением узловых образований, расположенных в подкожно-жировой клетчатке. Чаще всего эти узелки локализуются на ногах и руках, реже – в области живота и груди. После регрессии воспалительного процесса остаются очаги атрофии жировой клетчатки, которые выглядят как округлые участки западения кожи.
По своему течению панникулит может быть:
- Острым;
- Подострым;
- Рецидивирующим.
Идиопатический панникулит может сопровождаться нарушением общего состояния, а именно появлением симптоматики острых респираторных вирусных инфекций, головной болью, повышением температуры, артралгии, болей в мышцах, тошнотой и рвотой. Висцеральная форма панникулита характеризуется системным поражением жировых клеток АО всему организму с развитием панкреатита, гепатита, нефрита. Именно острая форма этого заболевания характеризуется выраженным изменением гомеостаза организма человека. Несмотря на проводимое лечение, состояние пациента прогрессивно ухудшается. В течение года заболевание заканчивается летальным исходом.
Панникулит: диагностика
В Юсуповской больнице диагностику панникулита проводят целый ряд специалистов: ревматолог, нефролог, дерматолог и гастроэнтеролог. После первичного осмотра пациенту назначают ряд дополнительных методов исследования:
- ОАК;
- ОАМ;
- Биохимический анализ крови;
- Печеночные пробы;
- Исследование панкреатических ферментов;
- пробу Реберга.
С помощью УЗИ диагностики органов брюшной полости, почек и т.д. можно выявить узлы при висцеральном панникулите. Обязательно рекомендовано взятие бактериологического посева крови, для исключения септического характера заболевания.
Точный диагноз устанавливается при проведении биопсии узла с дальнейшей гистологией тканевого образца. Для диагностики волчаночного панникулита берется кровь на выявление антинуклеарного фактора, комплемента С3 и С4, антител к SS-A и др.

Панникулит: лечение в Москве
Подход в терапии панникулита, как первичного, так и вторичного, комплексный. Для лечения узлового панникулита назначают нестероидные противовоспалительные препараты и антиоксиданты (витамин Е, аскорбиновую кислоту). Иногда выполняют обкалывание единичных узловых образований глюкокортикоидными препаратами. Свою эффективность, также, доказало назначение физиопроцедур:
- УВЧ;
- Магнитотерапия;
- Озокерит;
- Ультразвук;
- Лазеротерапия.
При бляшечной и инфильтративной форме, подостром течение панникулита применяют глюкокортикостероиды (гидрокортизон, преднизолон) и цитостатики (метотрексат, циклофосфан). Лечение вторичных форм панникулита обязательно должно включать терапию фонового заболевания, например, панкреатита, СКВ, васкулита, подагры.
Юсуповская больница обеспечить каждого пациента полным циклом медицинских услуг: качественной диагностикой, своевременным лечением, отзывчивым медицинским персоналом. Специалисты клиники стремятся к тому, чтобы создать максимально комфортные условия пребывания пациента в стационаре. Удобное расположение, вдали от городской суеты, наличие целевых программ по профилактике и реабилитации и наличие дневного стационара обеспечат как можно быстрое выздоровление пациенту. Для записи на прием звоните по телефону.
Панникулит
ФГБУ "Научно-исследовательский институт ревматологии им. В.А. Насоновой" РАМН, Москва
ФГБНУ «Научно-исследовательский институт ревматологии им. В.А.Насоновой», Москва, Россия
ФГБНУ «Научно-исследовательский институт ревматологии им. В.А. Насоновой», Москва, Россия
ФГБНУ «Научно-исследовательский институт ревматологии им. В.А. Насоновой», Москва, Россия
ФГАОУ ВО «Первый МГМУ им. И.М. Сеченова» Минздрава России, Москва, Россия
ФГАОУ ВО «Первый МГМУ им. И.М. Сеченова» Минздрава России, Москва, Россия
Идиопатический лобулярный панникулит: клинико-морфологические корреляции
Журнал: Архив патологии. 2019;81(3): 37‑44
ФГБУ "Научно-исследовательский институт ревматологии им. В.А. Насоновой" РАМН, Москва
Панникулит является гетерогенной группой заболеваний, характеризующихся поражением подкожной жировой клетчатки (ПЖК) и нередко протекающих с вовлечением в процесс опорно-двигательного аппарата и внутренних органов. Это хроническое полиорганное заболевание. Отмечено, что «золотым стандартом» его диагностики является морфологическое исследование. Представлена современная классификация панникулита. Цель исследования — изучение морфологических особенностей идиопатического лобулярного панникулита (ИЛП) в соответствии с характером течения и клиническими формами заболевания. Материал и методы. Изучены биоптаты 62 больных с различными клиническими формами ИЛП. Биопсийный и операционный материал изучали светооптическими морфологическими методами. Статистическую обработку результатов проводили с использованием пакета статистического анализа данных Statistica 10 для Windows («StatSoft Inc.», СШA). Различия считали статистически значимыми при уровне ошибки p
Панникулит является гетерогенной группой заболеваний, характеризующихся поражением подкожной жировой клетчатки (ПЖК) и нередко протекающих с вовлечением в процесс опорно-двигательного аппарата и внутренних органов. Диагностика панникулита является довольно трудной задачей, особенно у пациентов ревматологического профиля, так как до настоящего времени нет четких клинических, морфологических и лабораторных данных для определения этого состояния. Принципиальное значение имеет морфологическая картина. Болезнь характеризуется чередованием периодов ремиссии и обострений. Полиморфизм клинической картины панникулита создает определенные трудности в диагностике заболевания. Отсутствие четких алгоритмов обследования нередко приводит к несвоевременному распознаванию болезни, что влечет за собой неадекватную тактику лечения больных.
В 1892 г. V. Pfeiffer [1] описал спонтанный панникулит как синдром очаговой атрофии ПЖК в области молочных желез, на щеках и нижних конечностях. В 1925 г. F. Weber [2] назвал это заболевание «ненагнаивающийся узловатый панникулит», а через 3 года H. Christian [3] отметил наличие лихорадки. И лишь в 1938 г. I. Brill назвал это заболевание болезнью Пфейффера—Вебера—Крисчена [4]. Первое описание в СССР сделали Ю.В. Постнов и Л.П. Николаева [5].
Особый интерес в практике ревматолога представляет идиопатический лобулярный панникулит (ИЛП) (син.: болезнь Вебера—Крисчена, панникулит Вебера—Крисчена и т. д.), который в соответствии с Международной классификацией болезней 10-го пересмотра (МКБ-10) относится к системным поражениям соединительной ткани (М 35.6). ИЛП рассматривается как хроническое заболевание с полиорганным поражением и расценивается как клинико-морфологический вариант лобулярного панникулита с определенной клинической симптоматикой. Заболевание характеризуется быстрым развитием ограниченных подкожных, как правило, множественных узлов, расположенных в клетчатке на разной глубине с преимущественной локализацией на нижних и верхних конечностях, реже на груди и животе. Обычно в течение нескольких недель узлы рассасываются, оставляя «блюдцеобразные» западения кожи вследствие развития атрофии ПЖК. Иногда откладываются соли кальция [1, 6]. Наряду с этим выделяют клинические стадии развития узла у больных в зависимости от цвета кожи в области уплотнения: 0 – отсутствуют высыпания, I — бледно-розовый или розовый цвет, II — красный или багрово-красный и III — синюшный цвет и/или подкожное уплотнение [6].

На сегодняшний день «золотым стандартом» диагностики этого заболевания является патоморфологическое исследование, занимающее одно из центральных мест в алгоритме обследования больных. Заключение патологоанатома о локализации и вовлечении сосудов в патологический процесс, а также характере клеточного состава инфильтрата помогает клиницистам уточнить диагноз в соответствии с существующей классификацией панникулита (табл. 1)[7, Таблица 1. Классификация панникулитов 8].
Особенностями ИЛП являются развитие воспаления в дольках ПЖК, липонекроз и формирование гранулем. Изменения проходят 3 морфологические стадии: островоспалительную, липофагическую и фиброзную [9]. К сожалению, чаще всего биопсию проводят на стадии фиброза. Следовательно, патологоанатом не имеет возможности отразить в своем заключении те морфологические признаки, которые могли бы способствовать правильной диагностике. В литературе отсутствуют данные о комплементарности морфологических и клинических стадий болезни.
Цель исследования — изучить морфологические особенности ИЛП в соответствии с характером течения и клиническими формами заболевания.
Материал и методы

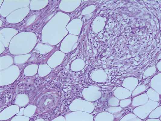
В исследование включены 62 больных с достоверным клиническим и морфологическим диагнозом ИЛП, из которых 6 (9,7%) имели I клиническую стадию узла, 25 (40,3%) — II и 31 (50%) — III стадию узла (рис. 1). Рис. 1. Клинические стадии уплотнения узла. а — I стадия; б — II стадия; в — III стадия.

В 64,5% случаев преобладало хроническое течение заболевания, в 21% — подострое и в 14,5% — острое. Анализ клинических проявлений позволил выделить 4 формы ИЛП: узловатую (n=28), бляшечную (n=9), инфильтративную (n=14) и мезентериальную (n=11) (рис. 2). Рис. 2. Клинические формы идиопатического лобулярного панникулита. а — узловатая; б — бляшечная; в — инфильтративная; г — мезентериальная. Наряду с появлением болезненных узлов в подкожной клетчатке заболевание характеризовалось повышением температуры тела, изменениями лабораторных острофазовых воспалительных показателей (повышенные СОЭ, СРБ и т. д.). Мезентериальную форму ИЛП ставили на основании наличия не более 5 узлов на теле, появления болей в околопупочной области, синдрома раздраженного кишечника. У 5 пациентов была проведена ПЭТ-КТ, что позволило исключить IG4-ассоциированные, лимфопролиферативные и онкологические заболевания. В исследование включен операционный материал, полученный при ранее проведенном лапароскопическом обследовании больных.
У 16 (23,88%) пациентов уплотнения были незначительно болезненными, что соответствовало III стадии узла. У 29 (43,28%) больных зафиксирована выраженная боль, которая на II стадии узла наблюдалась у всех пациентов. Оценивали суммарную площадь поражения методом «ладони» [10]. Наряду с поражением ПЖК 51 (76,11%) пациент предъявлял жалобы на слабость и 48 (71,64%) — на повышение температуры до фебрильных цифр.
Пациентам проводили обширную хирургическую биопсию узла с последующим гистологическим исследованием. Материал обрабатывали рутинными гистологическими методами. В окрашенных гематоксилином и эозином препаратах оценивали локализацию изменений, наличие липонекроза, васкулитов, характер васкулитов, клеточный состав инфильтрата, наличие фибробластов, грануляционной ткани и склероза. Статистическую обработку результатов проводили с использованием пакета статистического анализа данных Statistica 10 для Windows («StatSoft Inc.», СШA). Различия считали статистически значимыми при уровне ошибки pt-критерий Стьюдента, Z-тест для сравнения процентов, непараметрические тесты: U-тест по методу Манна—Уитни, критерий Краскела—Уоллиса.
Результаты
На первом этапе исследования оценивали наличие морфологических признаков, которые отмечали при ИЛП независимо от клинических проявлений. Гистологическая картина характеризовалась преобладанием выраженного воспаления в дольках клетчатки с множественными фокусами липонекроза. Воспалительный инфильтрат был полиморфен. Наряду с лимфоцитами, лейкоцитами и гистиоцитами присутствовали эозинофилы и гигантские многоядерные клетки. В единичных случаях отмечали формирование гранулемоподобных структур.
Кожа вовлекалась в патологический процесс умеренно. Основные изменения были связаны с наличием скудных лимфогистиоцитарных инфильтратов дермы (88,7%) и слабовыраженных деструктивных васкулитов у 37 (59,67%) больных.
Почти у половины больных (27, 43,5%) в ПЖК на фоне воспаления выявляли липонекрозы и микрокисты (табл. 2, рис. Таблица 2. Морфологическая характеристика панникулита Примечание. ++ типичный показатель, + выявлен показатель, ± может присутствовать, — показатель не характерен. 3, а). Рис. 3. Подкожная клетчатка. а — липонекроз и образование кист, ×150; б — липофаги на фоне липонекроза, ×250; в — полиморфно-ядерные лейкоциты в инфильтрате, ×150; г — лимфоциты и эозинофилы в воспалительном инфильтрате. Вовлечение венул. Продуктивно-деструктивный васкулит, ×200. Окраска гематоксилином и эозином. Липофаги наблюдали у 26 (42%) пациентов, а гигантские многоядерные клетки — лишь у 11 (17,7%) (cм. рис. 3, б). Следует отметить преобладание лимфоцитов в инфильтрате более чем в половине случаев (42, 67,74%). Наряду с этим в 32,25% случаев были полиморфно-клеточные инфильтраты с преобладанием лейкоцитов (см. рис. 3, в). Хотя ИЛП считается лобулярным панникулитом без васкулита, было определено наличие продуктивных и продуктивно-деструктивных васкулитов у большинства пациентов (40, 64,5%) (см. рис. 3, г). Слабовыраженное вовлечение в патологический процесс септ определено в 67,74% случаев, т. е. имел место смешанный лобулярно-септальный панникулит. Описанные морфологические изменения можно было расценить как проявления острого процесса. У 14 больных обнаружены гранулемоподобные гистиоцитарные структуры в дольках подкожной клетчатки. Такие изменения укладывались в картину липофагической фазы панникулита. В единичных случаях наблюдали описанные изменения в сочетании с фокусами грануляционной ткани. При этом не отмечали выраженную фибропластическую реакцию.

На втором этапе провели анализ изменений в подкожной клетчатке в зависимости от характера течения заболевания. Из 62 больных ИЛП (в том числе у 9 с острым, у 13 с подострым и у 40 с хроническим течением болезни) у половины пациентов каждой подгруппы отмечали липонекроз (см. рис. 3, а). Следует отметить, что при подостром и остром течении преобладал полиморфно-клеточный воспалительный инфильтрат: 10 (76,92%) из 13 случаев подострого ИЛП и 8 (88,89%) из 9 случаев острого ИПЛ (см. рис. 3, в). В инфильтрате больных с хроническим течением ИЛП преимущественно присутствовали лимфоциты — у 38 (95%) из 40. В инфильтрате больных этой группы гигантские многоядерные клетки выявлены в большом количестве. Встречали гранулемы в дольках клетчатки (рис. 4). Рис. 4. Подкожная клетчатка. Гранулема, гигантские клетки. Окраска гематоксилином и эозином, ×250. Эозинофилы в инфильтратах статистически значимо выявляли у больных с хроническим течением ИЛП (χ 2 =13,43; р=0,001). Описанные изменения сопровождались развитием продуктивных васкулитов у половины пациентов этой подгруппы (21, 52,5%) (χ 2 =6,90; р=0,03). Частота формирования гранулемоподобных структур значимо не различалась в целом и в подгруппах заболевания. Независимо от характера течения ИЛП фиброз соединительнотканных септ и сосудов отсутствовал (χ 2 =5,98; р=0,05).
Таким образом, характер морфологических показателей заболевания коррелировал с клиническим течением ИЛП. Острое течение болезни характеризовалось преобладанием липонекроза и лимфолейкоцитарного воспаления в сочетании с продуктивно-деструктивными васкулитами. Это признаки островоспалительной фазы формирования узла. При хроническом течении преобладали лимфоциты и гистиоциты с гигантскими макрофагами (липофагами), а также отмечали наличие гранулемоподобных структур. Указанные морфологические изменения характерны для липофагической стадии формирования узла. В данном исследовании фибропластическую стадию панникулита не наблюдали. Вероятно, это объясняется тем, что пациенты находятся в клинике лишь в стадии обострения болезни, когда необходима дифференциальная диагностика.
Для оценки практической значимости морфологических признаков применяли статистические методы с построением графиков типа форест-плот. Сравнивали узловатую клиническую форму с бляшечной, инфильтративной и мезентериальной формами. Выявленные лимфоцитарные инфильтраты (отношение шансов (ОШ) 0,042; 95% доверительный интервал (ДИ) 0,007—0,271; р<0,005) с примесью эозинофилов (ОШ 0,306; 95% ДИ 0,065—1,428; р<0,005) явились критериальными признаками узловатой формы, тогда как полиморфно-клеточные инфильтраты (ОШ 23,750; 95% ДИ 3,689—152,885; р<0,005) с нейтрофилами (ОШ 10,800; 95% ДИ 2,095—55,666; р<0,005) с большей вероятностью свидетельствовали о бляшечной форме.
Наличие нейтрофильных лейкоцитов в инфильтратах являлось значимым фактором риска развития инфильтративной формы (ОШ 8,000; 95% ДИ 1,243—51,506; р<0,005) в отличие от узловатой.
Панникулит — это гетерогенная группа воспалительных заболеваний, характеризующихся поражением ПЖК и нередко протекающих с вовлечением в процесс опорно-двигательного аппарата и внутренних органов [6, 12]. Отсутствует единая концепция этиологии и патогенеза панникулита. Определенную роль в развитии панникулита могут играть инфекции (вирусные, бактериальные), травмы, гормональные и иммунные нарушения, прием лекарственных препаратов, заболевания поджелудочной железы, злокачественные новообразования и др. Лобулярный панникулит характеризуется патологией преимущественно долек клетчатки и может протекать с или без вовлечения сосудов в патологический процесс [13—15]. Многие авторы подчеркивают, что отсутствие васкулита является характерной особенностью ИЛП как самостоятельной нозологической формы [6, 9, 10]. Однако результаты представленного исследования показали, что продуктивно-деструктивные васкулиты, в частности венулиты, развиваются при острой и подострой форме заболевания ИЛП. При хроническом течении васкулиты могут быть продуктивными. Алгоритм диагностики этого заболевания включает морфологическую диагностику. Многие авторы отмечают, что это «золотой стандарт» диагностики заболевания [10, 12, 14, 16]. В связи с тем что изменения в узле разнообразные, фрагмент ткани должен быть большим. Это позволяет выявить весь спектр гистологических проявлений заболевания. В нашем исследовании определили, что для гистологического исследования необходим большой фрагмент воспаленного узла, т. е. должна быть проведена хирургическая эксцизионная биопсия с изучением всего доставленного для диагностики материала. Различные варианты пункционной биопсии менее травматичны, но полученные мелкие фрагменты клетчатки и цитологический материал не позволяют установить правильный диагноз. Алгоритм гистологического исследования начинался с определения локализации морфологических изменений в дольках или септах клетчатки. В случае воспаления в дольках необходимо отметить, есть ли поражение сосудов, т. е. идет ли речь о лобулярном панникулите без или с васкулитом. Таким образом определяли вид и подгруппу панникулита. Следующим этапом изучали характер инфильтрата в клетчатке. Определение клеточного состава воспалительного инфильтрата дает возможность выявить форму заболевания, а именно острую, подострую, хроническую. В медицинской литературе отсутствуют данные о корреляциях морфологических изменений в тканях при ИЛП в зависимости от характера течения. Показано, что преобладание лейкоцитов указывает на острую форму болезни. Большое количество лимфоцитов и гистиоцитов в инфильтрате характерно для подострого течения, а макрофаги, гигантские многоядерные клетки и гранулемы — для хронического течения. Полученные данные о характере инфильтрата, наличии фокусов некроза лишь частично согласуются с данными других авторов [14—18]. В представленном исследовании показано, что острое течение болезни характеризовалось преобладанием липонекроза и лимфолейкоцитарного инфильтрата в сочетании с продуктивно-деструктивными васкулитами. Это признаки островоспалительной фазы формирования узла. Морфологическая характеристика хронического течения ИЛП включает наличие лимфогистиоцитарного инфильтрата с примесью эозинофилов и гигантских многоядерных клеток долек ПЖК, продуктивных васкулитов. Это липофагическая фаза формирования узла. Гранулемоподобные структуры встречаются закономерно при ИЛП, однако они не коррелируют с характером течения ИЛП [9—11].
Результаты исследования выявили признаки, которые характеризуют различные клинические формы ИЛП — узловатую, бляшечную, инфильтративную и мезентериальную. При этом определено, какие признаки могут иметь диагностическое значение. Критериальными признаками узловатой формы болезни являются лимфоцитарные инфильтраты с примесью эозинофилов, тогда как бляшечная форма ассоциируется с полиморфно-клеточными инфильтратами с преобладанием нейтрофилов. Фактором риска развития инфильтративной формы является наличие нейтрофильных лейкоцитов в инфильтратах. Самой трудной для диагностики является мезентериальная форма ИЛП, так как основные изменения локализуются в мезентериальной клетчатке, а в ПЖК узлы формируются в небольшом количестве. Мезентериальная форма болезни характеризуется сочетанием полиморфно-клеточных инфильтратов с примесью нейтрофилов и эозинофилов на фоне минимальной выраженности воспаления долек. При этом характерно незначительное увеличение указанных клеток по сравнению со средними значениями.
Таким образом, для диагностики ИЛП необходима гистологическая верификация заболевания. Алгоритм исследования должен начинаться с определения преимущественного поражения долек или септ, характера поражения сосудов, а также качественного состава воспалительного инфильтрата. Такой подход способствует достоверной диагностике ИЛП (панникулит Вебера—Крисчена), определению характера течения, формы заболевания. Особенно важно выявить мезентериальную форму заболевания на основании изучения характера воспаления и клеточного состава подкожного узла.
Панникулит
Панникулитом называется нарушение функций работы подкожной жировой клетчатки и ее замещение соединительной тканью, которое имеет воспалительный, разрушающий жировые клетки, характер. При этом на теле образуются бляшки, узлы или инфильтраты.
Внимание!
Здесь вы сможете выбрать врача, занимающегося лечением Панникулит Если вы не уверены в диагнозе, запишитесь на прием к терапевту или врачу общей практики для уточнения диагноза.
Статьи на тему Панникулит:
Причины
Симптомы
Лечение
Какой врач лечит Панникулит
Занимается лечением заболеваний опорно-двигательного аппарата и нарушений работы нервной системы. Владеет методиками внутрисуставных инъекций, паравертебральных блокад и акупунктуры
Врач невролог высшей категории, кандидат медицинских наук, проводит обследования пациентов с помощью таких методов, как: компьютерная электроэнцефалография и реовазография. Также, проводит массаж (современные методики) при вертеброгенных болезнях нервной системы
Врач-невролог, практикует современные подходы к диагностике и лечению острых и хронических болевых синдромов на основании опыта передовых американских и европейских медицинских школ в области головы, шеи, спины, поясницы, таза, конечностей. Проводит реабилитацию пациентов после переломов костей, травм позвоночника, суставов, мышц, связок, сухожилий; восстанавливает двигательную активность после инсульта. Применяет миофасциальную терапию, блокады разной сложности, кинезитерапию
Причины
Во многих случаях панникулит носит спонтанный характер. Обычно панникулиту подвергаются женщины в репродуктивном возрасте от 30 до 50 лет. Одной из причин заболевания могут быть такие болезни как красная волчанка, саркоидоз и др.
Болезнь может развиваться вследствие иммунных нарушений или реакции на некоторые лекарственные препараты. По мнению многих медиков, возникновению панникулита может предшествовать негативное изменение процесса обмена веществ в жировых тканях организма человека.
Распространенность
Данное заболевание может подразделяться в зависимости от того, каким образом поражены участки тела. Болезнь бывает узловая (бордовая или красная кожа над узлами размерами от 3 до 50 мм), бляшечная (возникает множество узелков) и инфильтративная (внешне проявляется как флегмона или абсцесс с выделением желтоватой жидкости).
Симптомы
Проявления панникулита зависят от того, в какой степени проходит заболевание. Острой форме болезни присущи серьезные сбои в функционировании почек и печени, а также плохое общее самочувствие человека. Рецидивы при такой форме способствуют, несмотря на прохождение терапии, ухудшению состояния пациента.
Подострая форма (жировая гранулема) отличается тем, что болезненные ощущения не носят такой острый характер, а лечение обычно дает положительный результат.
Самой легкой формой заболевания является хронический панникулит, который протекает без особых осложнений и имеет продолжительные ремиссии между приступами.
Лечение
Способ лечения панникулита зависит от формы протекания и стадии развития недуга. Если болезнь имеет хроническую форму, то, чаще всего, пациентам назначают: нестероидные препараты, которые имеют хорошее противовоспалительное воздействие; витамины; инъекции из препаратов глюкокортикостероидов.
Лечение заболевания обязательно должно носить комплексный характер. Для налаживания функций работы печени могут назначаться гепатопротекторы. Наряду с этим, больным назначают физиопроцедуры (фонофорез, применение лазеротерапии) и мази.
Найти и забронировать лекарства, которые вам назначил врач, вы сможете на нашем сайте в разделе "Аптека".
Панникулит
Панникулиты (Пн) - это группа воспалительных заболеваний, характеризующихся поражением подкожной жировой клетчатки (ПЖК), и нередко протекающих с вовлечением в процесс опорно - двигательного аппарата и внутренних органов. Болезнь встречается во всех возрастных группах, но чаще страдают женщины трудоспособного возраста от 18 до 30 лет и 45-60 лет, ограничивая их физическую активность. Без эффективного лечения через 5 -10 лет около трети больных становятся инвалидами. Очень часто больные чувствуют себя беспомощными из-за боли, слабости, неспособности к самообслуживанию. Это нередко приводит к хроническому стрессу и депрессии.
Следует отметить, что единая общепринятая классификация Пн на сегодняшний день отсутствует. Рядом авторов предложено группировать Пн в зависимости от этиологии и гистоморфологической картины. Принято выделять два вида панникулитов: преимущественно септальный (СПн) и преимущественно лобулярный (ЛПн) панникулит.
Преимущественно СПн без васкулита: узловатая эритема, склеродерма-Пн, липоидный некробиоз, эозинофильный фасциит, синдром эозинофилии-миалгии.
Преимущественно СПн с васкулитом: поверхностный мигрирующий тромбофлебит, узелковый полиартрит, кожная форма узелкового полиартериита.
Преимущественно ЛПн без васкулита: идиопатический ЛПн (болезнь Вебера-Крисчена), цитофагифеский гистиоцитарный Пн, липодерматосклероз, физический (посттравматический) Пн, неонатальный Пн, постстероидный Пн, Пн связанный с системными заболеваниями – панкреатический, люпус-Пн, подкожный саркоид, кальцифилаксия, лейкемия и лимфома, инфекционный Пн, Пн.-дефицит алфа1-антитрипсина.
Преимущественно ЛПн с васкулитом: узелковый васкулит, индуративная эритема Базена, лепрозная узловатая эритема, феномен Люцио (диффузная лепроматозная лепра), нейтрофильный ЛПн, ассоциированный с ревматоидным артритом.
До сих пор неясно, почему развивается заболевание. Вероятно, это связано с действием многих факторов. Известно, что некоторые люди генетически предрасположены к Пн, но важно знать, что болезнь не передается от родителей к детям. У некоторых пациентов панникулит начинается после перенесенной инфекции. Другие существенные факторы, которые могут провоцировать развитие заболевания: переохлаждение, сильный эмоциональный стресс, травма, прием лекарственных препаратов.
Доказано также, что при ревматических болезнях, заболеваниях поджелудочной железы, злокачественных новообразованиях и др., увеличивается риск развития Пн. Однако у большинства больных первые симптомы появляются без видимой причины, на фоне полного здоровья.
Основной клинический признак панникулитов
Болезненные изолированные друг от друга четко отграниченные от окружающей ткани узлы, которые имеют различную окраску (от телесной до синюшно-розовой) и размером до 5 см в диаметре. Уплотнения локализуются, как правило, на нижних конечностях. Иногда узел вскрывается с выделением маслянисто-пенистой массы, и формированием плохо заживающих изъязвлений и атрофичных рубцов.
Учитывая многообразие клинических проявлений Пн, иногда заболевшему человеку довольно трудно сориентироваться, к какому врачу обратиться в начале болезни. При любых изменениях самочувствия рекомендуется обращаться к терапевту. После проведения анализов он сможет предположить диагноз и направит больного к ревматологу. Дополнительно может потребоваться консультация пульмонолога, дерматолога, флеболога, гематолога, онколога, эндокринолога.
Если вам выставили диагноз панникулит, то это не значит, что жизнь закончилась. Старайтесь победить болезнь, может быть, не в прямом смысле. Да, вероятно, вы будете в чем-то ограничены. Но миллионы людей и с более тяжелыми заболеваниями живут яркой, полной впечатлений жизнью! Значит, сможете и вы. Примите свой диагноз, изучите все про болезнь, расспросите у врача все, что Вам непонятно и вздохните спокойно.
Панникулит сегодня – не приговор. Приходите к нам в ФГБНУ НИИР им. В.А. Насоновой и мы вместе будем бороться с Вашим недугом! Специалисты лаборатории изучения коморбидных инфекций и вакцинопрофилактики являются главными экспертами в лечении и диагностике панникулитов.
Панникулит
Панникулит - это постепенно прогрессирующая патология подкожной жировой клетчатки, имеющая воспалительный характер. При наличии такой болезни наблюдается разрушение жировых клеток, их замещение элементами соединительной ткани (с последующим формированием бляшек, узлов или инфильтратов).
Причины панникулита
Приблизительно в 50 % случаев диагностируют идиопатическую (спонтанную) форму панникулита. Как правило, она выявляется у пациенток женского пола в возрасте от 30 до 50 лет.
В остальных случаях диагностируется вторичный панникулит, спровоцированный дерматологическими или системными болезнями, иммунологическими патологиями, влиянием разнообразных негативных факторов (к примеру, приём некоторых лекарств, воздействие холода).
Механизм развития болезни
Было установлено, что основная предпосылка возникновения болезни – нарушение процесса перекисного окисления жиров. Но, несмотря на проведение большого количества исследований патогенеза недуга, специалисты в сфере дерматологии до настоящего момента в полной мере не представляют механизм развития заболевания.
Вторичный панникулит может быть:
- Иммунологическим. Его развитие обычно бывает спровоцировано системными васкулитами. В детском возрасте иммунологический панникулит может являться одной из форм течения узловатой эритемы;
- Волчаночным. Такой вторичный панникулит возникает на фоне тяжёлой формы системной красной волчанки;
- Ферментативным. Это заболевание спровоцировано воздействием панкреатических ферментов, повышение уровня которых в крови наблюдается при наличии у пациента панкреатита;
- Холодовым. Эту локальную форму болезни принято считать реакцией на сильное холодовое воздействие. Патология сопровождается появлением плотных узлов розового цвета, проходящих в течение 14-20 дней;
- Стероидным. Такой вторичный панникулит развивается в детском возрасте (в течение 7-14 дней после завершения курса приёма кортикостероидов). Отличительная черта этой формы патологии – самопроизвольное излечение, без какой-либо дополнительной терапии;
- Искусственным. Данная патология спровоцирована использованием некоторых медикаментов;
- Кристаллическим. Заболевание развивается при наличии почечной недостаточности и подагры.
Существует и форма панникулита, спровоцированная дефицитом 1-антитрипсина. Это наследственная патология сопровождается такими системными проявлениями, как геморрагии, васкулит.
Симптомы панникулита
По своему течению панникулит бывает:
- рецидивирующим;
- подострым;
- острым.
Обратите внимание! При острой форме патологии наблюдаются боли в суставах, высокая температура тела, ухудшение работы печени и почек.
Один из характерных признаков спонтанного панникулита – появление узловых образований в районе подкожно-жировой клетчатки. Они располагаются на разной глубине. В большинстве случаев такие узловые образования образуются в области верхних и нижних конечностей, сравнительно редко – в районе грудной клетки, живота. После разрешения патологических узлов на этих участках тела образуются очаги атрофии жировой клетчатки.
Бляшечная форма болезни сопровождается появлением отдельных скоплений узлов, формирующих бугристые конгломераты. Находящаяся под этими образованиями кожа может быть розового или бардового цвета. В отдельных ситуациях конгломераты узлов занимают собой всю клетчатку плеча, бедра или голени. При этом наблюдается сдавливание нервных и сосудистых пучков, что может стать причиной отёчности конечности, возникновения болевых ощущений, лимфостаза.
При узловой форме панникулита в районе подкожной клетчатки формируются узлы, размер которых варьирует от 3 мм до 5 см. Кожа, расположенная под этими узлами, может иметь как обычную, так и насыщенно-розовую окраску.
Смешанная форма панникулита диагностируется относительно редко. Она характеризируется переходом узловой формы болезни в бляшечную, а впоследствии в инфильтративную.
При наличии спонтанного панникулита может не наблюдаться ухудшение общего самочувствия больного. Но, как правило, в первые дни заболевания наблюдаются примерно такие же симптомы, что и при ОРВИ:
- головные боли;
- высокая температура тела;
- общее недомогание;
- появление болевых ощущений в мышцах.
Диагностика панникулита
Диагностика болезни должна выполняться дерматологом совместно с другими узкими специалистами:
- нефрологом;
- врачом-ревматологом;
- гастроэнтерологом.
При подозрении на наличие у пациента панникулита показано назначение печеночных проб, выполнение пробы Реберга, биохимических анализов мочи и крови, проведение исследования панкреатических ферментов.
Обратите внимание! Обнаружение узлов висцерального панникулита производится в процессе выполнения ультразвукового исследования поджелудочной железы, пищеварительных органов, почек.
При выполнении посева крови на стерильность исключается септический характер патологии. Для того чтобы дифференцировать инфильтративный панникулит от абсцесса, стоит прибегнуть к бактериологическому исследованию отделяемого вскрывшегося узла.
Точный диагноз следует ставить на основании результатов, полученных при проведении биопсии узла. В процессе выполнения гистологического исследования обнаруживается воспалительная инфильтрация, признаки некроза жировых клеток.
Методы лечения панникулита
При наличии у пациента панникулита показано комплексное лечение. При назначении терапии учитываются такие факторы, как форма болезни, течение заболевания. В процессе лечения узлового панникулита применяют:
- антиоксиданты;
- лекарства из группы нестероидных противовоспалительных средств.
При наличии у пациента хронической формы узлового панникулита может выполняться обкалывание единичных патологических образований препаратами из группы глюкокортикоидов.
Показано и проведение физиотерапевтических процедур. Пациенту рекомендовано посещение сеансов УВЧ, магнитотерапии, лазеротерапии.
Обратите внимание! В процессе терапии вторичных форм болезни в обязательном порядке необходимо проведение терапии фонового заболевания (к примеру, подагры, васкулита).
При наличии инфильтративной и бляшечной формы болезни показан приём цитостатиков, препаратов из группы глюкокортикостероидов. Рекомендовано и применение гепатопротекторов, предназначенных для улучшения работы печени.
Россия, Краснодарский край,
г. Сочи, ул. Старонасыпная, 22.
Размещенная на сайте информация и прейскурант не являются публичной офертой.
Читайте также:
