Парагонимоз
Добавил пользователь Евгений Кузнецов Обновлено: 13.12.2025
1. Каминский Ю.В., Мельник С.Г. Морфологические изменения в плевре при ларвальном парагонимозе (клинико-экспериментальное исследование). В кн.: Паразитарные поражения легких: Тезисы докладов Всесоюзной науч.-практ. конф. Владивосток; 1990: 24-26.
2. Каминский Ю.В., Суханова Г.И., Мельник С.Г. Клинико-морфологические параллели ларвального парагонимоза. В кн.: Тезисы 1-го Съезда Международного союза ассоциаций патологоанатомов. М.; 1995: 77-78.
4. Курочкин Ю.В., Суханова Г.И. Новое в проблеме парагонимоза животных и человека. Паразитология 1980; 4: 295-298.
5. Мельник С.Г. Динамика морфологических изменений легких на разных этапах развития ларвального парагонимоза. В кн.: Сборник резюме VI Национального конгресса по болезням органов дыхания. Новосибирск; 1996; 1395.
6. Перельштейн Н.Н. Клиника острой фазы ларвального парагонимоза у детей. В кн.: Паразитарные поражения легких: Тезисы докладов Всесоюзной науч.-практ. конф. Владивосток; 1990: 31-33.
7. Перелыитейн Н.Н., Сипухин Я.М., Сюзева Н.А., Апухтина Т.П. Клинико-рентгенологические проявления ларвального парагонимоза у детей. Вестн. рентгенол. 1991; 3: 39-45.
8. Полежаева Г.Ц. Очаги ларвального парагонимоза в Приморском крае. В кн.: Паразитарные поражения легких: Тезисы докладов Всесоюзной науч.-практ. конф. Владивосток; 1990: 33-34.
9. Суханова Г.И., Курочкин Ю.В. Об атипичных формах парагонимоза в Приморском крае. Мед. паразитол. 1978; 5: 36-39.
10. Суханова Г.И. Рентгенодиагностика ларвального парагонимоза в Приморском крае. Вестн. рентгенол. 1984; 1: 17-22.
11. Суханова Г.И., Каминский Ю.В., Мельник С.Г., Наумова И.В. Методы бронхоскопии и морфологии, используемые для диагностики ларвального парагонимоза. В кн.: Гельминтозы человека: Республиканский сборник науч. Трудов. Л.; 1989: 1-6.
12. Суханова Г.И. Клиника и лечение ларвального парагонимоза. В кн.: Гельминтозы человека: Республиканский сборник науч. трудов. Л.; 1989: 136-141.
14. Суханова Г.И., Каминский Ю.В., Шитер С.В. Диагностика и адаптационные сдвиги у больных ларвальным парагонимозом. В кн.: III Международный симпозиум Фонда медицинского обмена Японии и России. Токио, 1995: 7-12.
15. Суханова Г.И., Каминский Ю.В. Парагонимоз. Типичная и ларвальная формы, клиника, патологическая анатомия, диагностика, лечение / Под ред. О.Г. Полушина. Владивосток; 1998.
16. Miyazaki I., Habe S. A newly recognized mode of human infection with the lung fluke, paragonimus westermani. J. Parasitol. 1976; 62 (4): 646-648.
17. Miyazaki I., Hirose H. Immature lung flukes first found in the muscle of the wild boar in Japan. J. Parasitol. 1976; 62 (5): 836-837.
18. Miyazaki I. Helmintic zoonoses. 1991.
19. Orido Y., Takamura A., Akamatsu T., Takashima Y. Localization on peroxidase activity in tegumental, muscle and parenchymal cells of the lung fluke paragonimus Miyazakii. J. Parasitol. 1994; 80 (4): 505-511.
20. Черкасский Б.Л. Инфекционные и паразитарные болезни человека. М.; 1994.
21. Корнянский Г.П., Васин Н.Я., Эпштейн П.В. Паразитарные заболевания центральной нервной системы. М.; 1968.
22. Брегадзе И.Л., Ванцяна Э.Н. (ред.) Хирургия паразитарных заболеваний. М.; 1976.
23. Лекарственные препараты зарубежных фирм в России. Справочник. М.: Астрафарм сервис; 1993.
24. Машковский М.Д. Лекарственные средства (Пособие для врачей). 12-е изд. М.; 1993; ч. 1-2.
25. Основные лекарственные средства. М.: ПМЦ; 1994.
26. Справочник Видаль. Лекарственные препараты в России. М.; 1999.
27. ФармаСервис. Медикаменты, средства профилактики, санитарии и гигиены: Каталог-справочник. М.; 1994.
Парагонимоз
ГБОУ ВПО «Волгоградский государственный медицинский университет», Павших Борцов пл., 1, Волгоград, Российская федерация, 400131
Волгоградский государственный медицинский университет, Волгоград, Россия
Кафедры патологической анатомии, судебной медицины, биологии ФГБОУ ВО «Волгоградский государственный медицинский университет» Минздрава России, Волгоград, Россия
Кафедры патологической анатомии, судебной медицины, биологии ФГБОУ ВО «Волгоградский государственный медицинский университет» Минздрава России, Волгоград, Россия
ГБОУ ВПО «Воронежский государственный медицинский университет им. Н.Н. Бурденко», Воронеж, Россия
Легочный ларвальный парагонимоз, имитирующий рак легкого
Журнал: Архив патологии. 2018;80(2): 60‑63
ГБОУ ВПО «Волгоградский государственный медицинский университет», Павших Борцов пл., 1, Волгоград, Российская федерация, 400131
Ларвальный парагонимоз — паразитарное заболевание, вызываемое личинками легочного сосальщика. В отличие от классического варианта парагонимоз ларвальный протекает с большим количеством клинических проявлений, что усложняет диагностику ларвального парагонимоза, так как обилие клинических проявлений приводит к ложной диагностике других заболеваний. Еще одной отличительной чертой данной формы парагонимоза является склонность к генерализации и имитации клинической картины злокачественных новообразований. Приведен пример ларвальной формы парагонимоза с поражением легких, плевры, сердца, печени, правой почки, селезенки, желудка и малого сальника. Диагностические мероприятия не дали точного представления о природе заболевания, поэтому была выполнена диагностическая торакоскопия и взята биопсия из субплевральных диссеминатов с последующим срочным гистологическим заключением, указавшим на наличие железистого рака. Это обстоятельство стало причиной для атипической резекции пораженной доли, однако на 2-е сутки послеоперационного периода пациент умер в результате тромбоэмболии легочной артерии. Посмертно поставлен основной диагноз: хронический, легочный генерализованный парагонимоз (кистозная и пневмосклеротические фазы) с синдромом опухоли.
ГБОУ ВПО «Волгоградский государственный медицинский университет», Павших Борцов пл., 1, Волгоград, Российская федерация, 400131
Волгоградский государственный медицинский университет, Волгоград, Россия
Кафедры патологической анатомии, судебной медицины, биологии ФГБОУ ВО «Волгоградский государственный медицинский университет» Минздрава России, Волгоград, Россия
Кафедры патологической анатомии, судебной медицины, биологии ФГБОУ ВО «Волгоградский государственный медицинский университет» Минздрава России, Волгоград, Россия
ГБОУ ВПО «Воронежский государственный медицинский университет им. Н.Н. Бурденко», Воронеж, Россия
Парагонимоз — паразитарное заболевание человека из группы трематодозов, вызываемое чаще всего легочным сосальщиком Paragonimus Westermani (легочная двуустка). Взрослый легочный сосальщик — гельминт буро-красного цвета, тело яйцевидной формы, выпуклое со стороны спинки и сплюснутое на брюшной стороне, с развитой мускулатурой. Имеет хорошо видимые невооруженным глазом присоски и шипики, с помощью которых крепится в организме хозяина. Яйца золотисто-коричневого цвета, овальной формы, снабжены крышечкой [1].
Эндемичными регионами парагонимоза являются Азия, Африка и Южная Америка [2, 3]. В Российской Федерации данный вид парагонимоза характерен для территории Дальнего Востока (низовье реки Амура и южное побережье Охотского моря) [4].
Заражение человека происходит чаще всего при употреблении в пищу сырых или недостаточно проваренных, слабопросоленных крабов, раков или креветок. Известно 48 видов легочного сосальщика, из них 16 способны заражать человека и вызывать парагонимоз [4, 5]. Все сосальщики поражают человека, находясь в стадии метацеркариев. С помощью стилетов они пронизывают стенку начального отдела тонкой кишки и попадают в брюшную полость. Затем личинки мигрируют через диафрагму в плевральную полость, попутно инвазируя некоторые органы брюшной полости, в частности поджелудочную железу, печень, малый сальник, селезенку и желудок. После попадания в плевральную полость личинки некоторое время проводят на париетальной плевре, затем, проникая на висцеральную, внедряются в легочную ткань, где достигают зрелости. Однако, согласно проведенным исследованиям [6, 7], не все виды парагонимов в организме человека способны достигать половой зрелости. Именно в таком случае следует говорить о ларвальном (личиночный) парагонимозе. Это обусловлено тем, что отдельные виды легочного сосальщика, такие как P. westermani ichunensis, P. miyazakii, P. huatungensis, могут использовать человека и некоторые виды животных как резервуарных хозяев, и если у животных нет никакой реакции на инвазию, то у человека формируется редкая, труднодиагностируемая патология.
В легочной паренхиме вокруг паразитов развивается гранулематозное воспаление с последующей фиброзной инкапсуляцией с формированием кист и возможным проникновением гельминтов в просвет бронхиол. Диаметр кист может достигать 2 см, их количество варьирует в зависимости от тяжести инфекционного процесса [8].
Редкость данной патологии, а также нетипичная клиническая картина затрудняют дифференциальную диагностику и приводят к ложной диагностике других патологий. В литературе описаны случаи выявления легочной формы парагонимоза, имитирующих симптомы туберкулеза легких и плевры [9—12], рецидивирующего рака легких [13] или опухолевых метастазов в легких [4, 14], церебральной формы с начальной клиникой геморрагического инсульта и лихорадочным синдромом и судорогами [15], абдоминальной формы с поражением двуусткой поджелудочной железы (рассмотренные как кистозно-солидная опухоль) [16].
Для диагностики ларвального парагонимоза большое значение имеют общий анализ крови, который выявляет эозинофилию [1—5], положительные результаты иммуноферментного анализа и полимеразной цепной реакции [3, 4, 17], рентгенография и компьютерная томография (КТ) грудной клетки, при которых выявляются очаговые уплотнения, а также результаты позитронно-эмиссионной томографии [3, 14, 17].
В качестве диагностического примера в связи со сложностями клинической и патоморфологической диагностики из-за нетипичной клинической картины приводим случай заболевания парагонимозом больного, который находился на лечении в областном онкологическом диспансере в 2016 г.
Больной Б., 66 лет, поступил в онкологический диспансер с предварительным диагнозом: диссеминированное злокачественное новообразование легких, правосторонний рецидивирующий плеврит, дыхательная недостаточность (НД) II—III степени; ишемическая болезнь сердца; кардиосклероз (Н-I); хроническая обструктивная болезнь легких (ХОБЛ); стадия опухолевого процесса IV; клиническая группа II.
При поступлении больной жаловался на одышку при минимальной физической нагрузке, ощущение тяжести и тянущую боль в правой половине грудной клетки. Состояние больного средней степени тяжести. Отставаний грудной клетки в акте дыхания нет, дыхание ритмичное, перкуторный легочный звук тимпанический, притуплен в нижних отделах справа. Аускультативно: дыхание везикулярное, ослабленное, в нижних отделах слева не прослушивается. Общий анализ крови: Нb 122 г/л, эр. 4,28·10 12 /л, тр. 203·10 9 /л, л. 8,3·10 9 /л; СОЭ 41 мм/ч. Биохимический анализ крови: мочевина 9,1 ммоль/л, креатинин 132,3 мкмоль/л, общий билирубин 20 мкмоль/л, общий белок крови 62,8 г/л, АЛТ 183,4 ед/л. Для уточнения диагноза и определения тактики лечения проведена КТ грудной клетки, при которой обнаружены осумкованный плеврит левого легкого, правосторонний пневмоторакс с явлением компрессии нижней доли правого легкого, а также выраженный пневмосклероз. Сравнительный анализ с предыдущим результатом КТ подтвердил отсутствие динамики изменений в легких. На основании общего осмотра, лабораторных анализов и данных КТ грудной клетки выставлен основной диагноз: подозрение на рак легкого. Сопутствующие заболевания: специфический плеврит слева; ХОБЛ; пневмосклероз; ДН II—III степени; ишемическая болезнь сердца; кардиосклероз Н-I.
Назначена плановая операция в объеме диагностической торакоскопии справа и плевродеза. В ходе операции при осмотре плевральной полости: плевра покрыта фибрином, контактно кровоточит. Нижняя доля правого легкого в спавшемся состоянии, в дыхании практически не участвует, отмечаются множественные субплевральные диссеминаты. В проекции слияния верхней полой и непарной вены визуализируется лимфатический узел диаметром до 1 см. Произведено вскрытие плевры, взята биопсия лимфатического узла и при срочном гистологическом исследовании поставлен диагноз: лимфаденит. Принято решение выполнить атипичную резекцию нижней доли правого легкого. В ходе операции дополнительно установлен торакопорт в пятом межреберье, атипически удален участок нижней доли с отсевами, при срочном гистологическом исследовании биоптата обнаружены единичные железистые структуры, идентифицированные как железистый рак. Под аэростатическим контролем введено 10 г мелкодисперсного талька (плевродез). Плевральная полость дренирована в третьем и седьмом межреберье по Бюлау. Рана ушита послойно. На следующие сутки после операции пациент жаловался лишь на общую слабость и на боль в послеоперационной ране. По дренажам из плевральной полости отделялась светлая жидкость. Больной переведен из отделения реанимации в хирургическое отделение. В 5 ч утра на 2-е сутки после операции пациент внезапно потерял сознание. Для проведения реанимационных мероприятий он в срочном порядке был переведен в отделение реанимации, где была констатирована смерть.
При патолого-анатомическом исследовании в плевре, легочной паренхиме, миокарде, печени, селезенке, почке, стенке желудка и малом сальнике обнаружены множественные кисты различных размеров. Макроскопические признаки тромбоэмболии правой ветви легочной артерии с геморрагическим инфарктом в правой нижней доле. Резкое полнокровие головного мозга и внутренних органов. Изменения, характерные для ХОБЛ. Утолщение стенок бронхов разного калибра со слизистым содержимым, множественные очаги пониженной воздушности в паренхиме легких. Толщина стенки правого желудочка 1,3 см, левого 2 см. Масса сердца 600 г (легочное сердце).

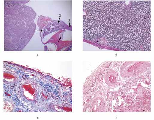
При гистологическом исследовании материала в головном мозге определяется выраженный периваскулярный и перицеллюлярный отек, в миокарде — выраженный интерстициальный отек с воспалительными инфильтратами, содержавшими лимфоциты, плазматические клетки, эозинофилы. Гипертрофированные мышечные волокна с множественными кистами и наличием в них личиночных форм паразита со сформировавшимися соединительнотканными капсулами. В области перикарда определяются прилегающие к нему фрагменты метацеркарии легочной двуустки со скоплениями эритроцитов (см. рисунок, Кистозно-пневмосклеротическая фаза генерализованного ларвального парагонимоза. а — погибшая метацеркария легочной двуустки у перикарда: 1 — кутикула личинки, 2 — тело личинки, 3 — хвост личинки, 4 — cкопление эритроцитов. ШИК-реакция, ×100; б — паразитарная киста в капсуле печени с выраженным фиброзом. Окраска по ван Гизону, ×200; в— соединительнотканные кисты легочной двуустки, располагающиеся под плеврой. Окраска по Маллори, ×400; г— соединительнотканные кисты легочной двуустки, располагающиеся под плеврой. Окраска орсеином, ×400. а). В печени (см. рисунок, б) непосредственно под капсулой и в паренхиме множественные паразитарные кисты с наличием погибших паразитов. В паренхиме правой почки паразитарные кисты, дистрофические изменения эпителия канальцев, очаговая лимфоидно-клеточная инфильтрация по периферии кист и в интерстиции. В ткани легкого (см. рисунок, в, г) множество паразитарных кист, часть из которых замещена фиброзной тканью. Межальвеолярные перегородки утолщены, с очаговой лимфоидно-плазмоцитарной инфильтрацией преимущественно вокруг кист. В селезенке умеренная гиперплазия белой пульпы, паразитарные кисты с наличием эритроцитов в центральной части. В желудке слизистая оболочка с диффузной воспалительной инфильтрацией и тенденцией к формированию эрозии, с участками фиброзирования и дискомплексации желез, обнаружены паразитарные кисты на серозной оболочке и в ней. В жировой ткани малого сальника множественные паразитарные кисты.
Данное наблюдение демонстрирует сложности диагностики кистозно-пневмосклеротической фазы генерализованного ларвального парагонимоза, протекавшего с опухолевым синдромом. Особенность наблюдения заключается в том, что у больного диссеминированный парагонимоз был с полиорганным поражением и образованием множественных фиброзирующихся кист в пораженных органах. Парагонимоз не диагностирован своевременно, специфическая терапия не проводилась, что способствовало прогрессированию воспалительного процесса в легких с вовлечением многих органов, развитием легочного сердца, тромбоэмболии легочной артерии, послужившей непосредственной причиной смерти. Расхождение диагнозов обусловлено редкой патологией с нетипичной клинической картиной (категория II).
Парагонимоз
Парагонимоз - зооантропонозное заболевание из группы биогельминтозов, вызываемое легочным сосальщиком, обычно паразитирующим в легких, реже – мозге и других органах. Парагонимоз может проявляться абдоминальным синдромом, кожным зудом, бронхопневмонией, кровохарканьем, легочным кровотечением, симптомами менингита, судорожными припадками, снижением остроты зрения. Диагноз парагонимоза устанавливают на основании клинической картины, результатов микроскопии мокроты, копроовоскопии, рентгенографии, КТ и МРТ легких и черепа, биопсии, лапароскопии. Лечение парагонимоза проводится противогельминтными средствами; при неэффективности – показано оперативное удаление кист, резекция легкого.
МКБ-10
Общие сведения
Парагонимоз – хроническая паразитарная инвазия, развивающаяся при заражении трематодами рода Paragonimus и протекающая с преимущественным поражением легких. Парагонимоз является природно-очаговым заболеванием с охватом стран Юго-Восточной Азии (Китая, Японии, Кореи, Индонезии, Филиппин, полуострова Индокитай), Центральной и Южной Америки (Перу, Эквадора, Венесуэлы, Колумбии), Западной Африки и Дальнего Востока России (Приамурья и Приморского края). Формированию очагов парагонимоза способствует традиционное употребление населением в пищу термически необработанного мяса пресноводных ракообразных. Вне этих регионов заболеваемость парагонимозом носит спорадический характер.
Причины парагонимоза
Парагонимоз вызывается легочными сосальщиками, включающими несколько близких видов трематод рода Paragonimus. Наиболее часто возбудителем выступает P. westermani, представляющий собой плоского гельминта красно-коричневого оттенка, имеющего форму апельсинового семени. Тело гельминта длиной 7-12 мм имеет кутикулу, покрытую шипиками, а также ротовую и брюшную присоски. Паразит является гермафродитом, после перекрестного оплодотворения откладывает незрелые яйца длиной до 0,12 мм.
Сложный цикл развития трематод проходит со сменой хозяев: основными являются человек и животные (свиньи, собаки, кошки, ондатры, выдры, крысы), первыми промежуточными служат пресноводные моллюски; дополнительными – пресноводные крабы, раки и креветки. Парагонимоз имеет фекально-оральный механизм передачи. Яйца трематод выделяются из организма основного хозяина в окружающую среду с испражнениями, реже с мокротой и дозревают в воде. Вылупившиеся личинки (мирацидии) активно внедряются в ткани моллюсков и последовательно проходят через стадии спороцисты, редии и церкарии. Церкарии способны активно или пассивно проникать в тела крабов и раков, инцистироваться в мышцах и внутренних органах, развиваясь там до инвазионных метацеркарий.
Имеется высокая естественная восприимчивость людей к парагонимозу. Инвазия происходит при поедании сырого мяса зараженных ракообразных (пищевой путь) или при употреблении загрязненной воды (водный путь). В тонкой кишке личинки освобождаются от оболочек, перфорируют кишечную стенку и осуществляют сложную миграцию в легкие через брюшную полость, диафрагму, листки плевры. В легочной паренхиме они формируют вокруг себя фиброзные кисты размером до 10 см, локализующиеся по периферии и у корней легких. Каждая парагонимозная киста заполнена воспалительным экссудатом с примесью крови и слизи, обычно содержит пару паразитов и их яйца, сообщается с бронхиолой. Половая зрелость легочного сосальщика наступает через 5-6 недель после заражения, кладка яиц происходит через 65-90 дней, продолжительность жизни - достигает 5 и более лет.
Трематоды, их яйца и личинки оказывают механическое воздействие на ткани хозяина, провоцируют развитие воспалительных и токсико-аллергических реакций. Миграция личинок через органы брюшной полости и диафрагму вызывает в них кровоизлияния и некроз. Вскрытие парагонимозных кист сопровождается гематогенной диссеминацией трематод и их яиц в ЦНС, мезентеральные лимфоузлы, печень, предстательную железу, кожу и другие органы. Яйца вместе с мокротой откашливаются или проглатываются, попадая в ЖКТ. Полость кисты после выхода или гибели гельминта зарубцовывается, в очагах поражения постепенно развиваются склеротические процессы, наблюдается обызвествление.
Симптомы парагонимоза
Инкубационный период парагонимоза - от нескольких дней до 2-3 недель, клинические проявления зависят от стадии заболевания. Во время миграции метацеркарий из кишечника в брюшную полость отмечается абдоминальный синдром с явлениями энтерита, острого гепатита, доброкачественного асептического перитонита, симптомами острого живота. Возможно появление кожного зуда. Внедрение личинок трематод в легочную ткань проявляется развитием острого бронхита, бронхопневмонии, геморрагического плеврита.
Острый легочный парагонимоз характеризуется лихорадкой (39-40˚С), одышкой, болью в грудной клетке, кашлем с выделением мокроты с примесью крови (кровохарканьем), в половине случаев - легочным кровотечением. У больных отмечается утомляемость, раздражительность, тахикардия. При остром поражении мозга наблюдаются симптомы менингита, менингоэнцефалита: повышение внутричерепного давления, головокружения, сильная головная боль, судорожные припадки с потерей сознания, сужение полей и снижение остроты зрения. В подкожной жировой клетчатке шеи, грудной клетки и живота могут появляться плотные малоболезненные узлы, содержащие гельминтов и яйца. При внелегочной локализации парагонимоза высока частота осложнений и летальность.
Через 2-3 месяца парагонимоз переходит в хроническое течение со сменой периодов обострения и стихания симптомов. Хроническая стадия продолжается до 2-4 лет и сопровождается постепенным угасанием симптомов, появлением изолированных очагов фиброза и кальцификации в легких, развитием пневмосклероза, синдрома «легочного сердца».
Осложнениями легочного парагонимоза является пневмоторакс, легочное кровотечение, плевральные шварты с ограничением подвижности легкого и диафрагмы, в случае присоединения бактериальной инфекции – формирование абсцесса или эмпиемы легкого. Следствием тяжелого поражения головного мозга могут стать эпилепсия, атрофия зрительного нерва, парезы, параличи.
Диагностика парагонимоза
В диагностике парагонимоза используются данные эпидемиологического анамнеза, клинической картины, лабораторных (общего анализа крови, микроскопии мокроты, копроовоскопии) и инструментальных исследований (рентгенографии, КТ и МРТ легких, КТ черепа, биопсии кисты, лапароскопии), результаты аллергопробы с антигенами пангонимусов. В острой стадии парагонимоз диагностируется редко, характерным признаком может служить сочетание изменений в легких с неврологической симптоматикой.
Диагноз парагонимоза подтверждается обнаружением овальных золотисто-коричневых яиц паразита в мокроте и кале больного. В первые 2-3 месяца после заражения более информативны серологические методы (ИФА), выявляющие специфические антитела к антигенам гельминта. В крови при парагонимозе определяется эозинофилия, лимфоцитоз, гипохромная анемия. На рентгенограмме легких парагонимозные кисты представлены в виде размытых кольцевидных затемнений с ровными гладкими границами в одном или нескольких легочных сегментах. При рентгенографии черепа видны кальцификаты в форме «мыльных пузырей». При лапароскопии в брюшной полости обнаруживается выпот геморрагического, фибринозного или фибринозно-гнойного характера, в котором можно выявить незрелых гельминтов. Дифференциальная диагностика осуществляется в отношении туберкулеза, пневмонии, эхинококкоза и новообразований легких, при поражении мозга – опухолей мозга, менингита.
Лечение и прогноз парагонимоза
В ранней стадии парагонимоза проводится десенсибилизирующая терапия антигистаминными препаратами, при тяжелых органных поражениях – короткий курс кортикостероидов. Специфическое лечение парагонимоза включает прием противогельминтных средств (празиквантел, битионол), принимаемых после стихания острых аллергических реакций. При поражении ЦНС лечение парагонимоза проводится только в стационаре. Применяются противосудорожные, мочегонные препараты. При хроническом парагонимозе показаны общеукрепляющие и сердечно-сосудистые средства. В случае неэффективности консервативной тактики проводится резекция легкого, удаление кист легких и мозга.
При своевременном лечении неосложненных случаев легочного парагонимоза наступает выздоровление; при распространенном поражении, развитии пневмосклероза - прогноз серьезный; при множественных кистах головного мозга – крайне неблагоприятный. Профилактика парагонимоза в очагах сводится к исключению из пищи сырого мяса ракообразных, кипячению питьевой воды, охране водоемов от фекального загрязнения.
Публикации в СМИ
Парагонимоз — гельминтоз (трематодоз), протекающий с развитием воспалительных процессов в различных органах, чаще в лёгких.
Этиология. Возбудитель — плоский червь-сосальщик (трематода) Paragonimus westermani (Paragonimus ringeri).
Эпидемиология. Заболевание распространено в странах Восточной и Юго-Восточной Азии, в Африке, Южной Америке, в России — на Дальнем Востоке. Окончательные хозяева (кошачьи, куньи, псовые, енотовые и человек) выделяют яйца паразита с фекалиями. После попадания яиц в пресноводный водоём внутри них формируется зародыш — мирацидий, проникающий в улиток. Из последних выходят хвостатые личинки — церкарии, инвазирующие пресноводных крабов и раков (дополнительные хозяева). В мышцах последних развиваются инвазионные формы — метацеркарии, инвазирующие окончательных хозяев. Человек заражается при употреблении сырых крабов, раков, свинины.
Клиническая картина
• Выделяют абдоминальный и плевролёгочный парагонимоз •• Абдоминальный парагонимоз обусловлен миграцией личинок из кишечника в брюшную полость. Отмечают симптомы энтерита, гепатита, иногда доброкачественного асептического перитонита •• Плевролёгочный парагонимоз обусловлен паразитированием молодых гельминтов. Симптомы: лихорадка, одышка, кашель с гнойной мокротой (иногда с примесью крови).
• Через 2–3 мес проявления переходят в хроническую стадию; отмечают периоды обострений и ремиссий. У некоторых больных развивается серозный экссудативный плеврит. При заносе гельминтов в головной мозг развиваются симптомы поражения ЦНС.
Методы исследования • Обнаружение яиц паразита в фекалиях и мокроте (не ранее чем через 3 мес после начала заболевания) • Рентгенологическое исследование лёгких: обнаруживают инфильтраты, кольцевидные тени (кисты), пневмосклероз (иногда с петрификатами) • Анализ крови: эозинофилия • МРТ/КТ при поражении головного мозга • Серологические методы и аллергические (внутрикожные пробы) реакции (положительны через 2–3 нед после заражения).
ЛЕЧЕНИЕ • Препараты выбора •• Празиквантел 75 мг/кг внутрь однократно •• Хлоксил 60 мг/кг/сут в течение 5 дней. Противопоказан при заболеваниях печени (не связанных с гельминтозами), поражениях миокарда, беременности • Альтернативный препарат — эметин • Желчегонные препараты, например холосас, аллохол • При бессимптомном течении — мебендазол по 0,1 г 2 р/сут в течение 3 дней. Противопоказан при беременности • При вторичных бактериальных инфекциях — антибиотикотерапия.
Профилактика. См. Описторхоз.
МКБ-10 • B66.4 Парагонимоз
Код вставки на сайт
Парагонимоз
Парагонимоз — гельминтоз (трематодоз), протекающий с развитием воспалительных процессов в различных органах, чаще в лёгких.
Этиология. Возбудитель — плоский червь-сосальщик (трематода) Paragonimus westermani (Paragonimus ringeri).
Эпидемиология. Заболевание распространено в странах Восточной и Юго-Восточной Азии, в Африке, Южной Америке, в России — на Дальнем Востоке. Окончательные хозяева (кошачьи, куньи, псовые, енотовые и человек) выделяют яйца паразита с фекалиями. После попадания яиц в пресноводный водоём внутри них формируется зародыш — мирацидий, проникающий в улиток. Из последних выходят хвостатые личинки — церкарии, инвазирующие пресноводных крабов и раков (дополнительные хозяева). В мышцах последних развиваются инвазионные формы — метацеркарии, инвазирующие окончательных хозяев. Человек заражается при употреблении сырых крабов, раков, свинины.
Клиническая картина
• Выделяют абдоминальный и плевролёгочный парагонимоз •• Абдоминальный парагонимоз обусловлен миграцией личинок из кишечника в брюшную полость. Отмечают симптомы энтерита, гепатита, иногда доброкачественного асептического перитонита •• Плевролёгочный парагонимоз обусловлен паразитированием молодых гельминтов. Симптомы: лихорадка, одышка, кашель с гнойной мокротой (иногда с примесью крови).
• Через 2–3 мес проявления переходят в хроническую стадию; отмечают периоды обострений и ремиссий. У некоторых больных развивается серозный экссудативный плеврит. При заносе гельминтов в головной мозг развиваются симптомы поражения ЦНС.
Методы исследования • Обнаружение яиц паразита в фекалиях и мокроте (не ранее чем через 3 мес после начала заболевания) • Рентгенологическое исследование лёгких: обнаруживают инфильтраты, кольцевидные тени (кисты), пневмосклероз (иногда с петрификатами) • Анализ крови: эозинофилия • МРТ/КТ при поражении головного мозга • Серологические методы и аллергические (внутрикожные пробы) реакции (положительны через 2–3 нед после заражения).
ЛЕЧЕНИЕ • Препараты выбора •• Празиквантел 75 мг/кг внутрь однократно •• Хлоксил 60 мг/кг/сут в течение 5 дней. Противопоказан при заболеваниях печени (не связанных с гельминтозами), поражениях миокарда, беременности • Альтернативный препарат — эметин • Желчегонные препараты, например холосас, аллохол • При бессимптомном течении — мебендазол по 0,1 г 2 р/сут в течение 3 дней. Противопоказан при беременности • При вторичных бактериальных инфекциях — антибиотикотерапия.
Профилактика. См. Описторхоз.
Парагонимоз
(инвазия восточного легочного плоского червя; эндемическое кровохарканье)
, PhD, University of Virginia;
, MD, PhD, University of Virginia School of Medicine
Парагонимоз – инвазия легочного плоского червя Paragonimus westermani и похожих разновидностей. Люди заражаются при употреблении сырых, маринованных или термически не обработанных пресноводных ракообразных. Большинство инфекций протекает бессимптомно, но могут возникнуть легочные симптомы, включая хронический кашель, боль в груди, одышку и кровохарканье. Характерны аллергические реакции со стороны кожи и отклонения по центральной нервной системе из-за эктопических трематод, включая приступы, афазию, парез и визуальные нарушения зрения. Диагноз ставится по обнаружению яиц в слюне, кале или плевральной (перитонеальной) жидкости. Разработаны тест-системы для серологической диагностики. Празиквантел является препаратом выбора.
Сосальщики представляют собой паразитических плоских червей, которые заражают различные части тела (например, кровеносных сосудов, желудочно-кишечный тракт, легкие, печень), в зависимости от вида.
Несмотря на то, что существует > 30 видов Paragonimus, и согласно данным 10 из них могут инфицировать человека, P. westermani является наиболее частой причиной заболевания.
Наиболее значимые эндемичные области находятся в Азии, преимущественно в Корее, Японии, Тайване, на возвышенностях Китая и Филиппинах.
Эндемичные очаги с другими представителями видов Paragonimus spp существуют также в Западной Африке и в отдельных районах Южной и Центральной Америки. P. kellicotti вызывает инфекцию у человека в Северной Америке.
Патофизиология парагонимоза
Яйца, выделяемые через слюну или экскременты, развиваются 2–3 недель в пресной воде до мирацидий (первая личиночная стадия). Мирацидии поражают улиток; там они развиваются, размножаются и в конечном счете превращаются в церкарии (свободно плавающие личинки). Церкарии поражают пресноводных крабов или речных раков и в их организме превращаются в метацеркарии. Люди заражаются при употреблении в пищу сырых, засоленных или плохо приготовленных ракообразных. Метацеркарии выходят из цисты в желудочно-кишечном тракте человека, проникают через стенку кишечника и продвигаются в брюшную полость, затем через диафрагму в плевральную полость; они проникают в ткани легкого, инкапсулируются и развиваются в гермафродитных взрослых червей, которые откладывают яйца. Взрослые черви вырастают до 7,5-12 мм в длину и 4-6 мм в диаметре. Из легких яйца попадают в окружающую среду вместе с мокротой при ее откашливании и сплевывании или при заглатывании мокроты и выведении из организма с калом.
Во время миграции личинки парагонимусов могут попасть в головной мозг, печень, лимфоузлы, кожу и спинной мозг и там развиваться. Однако в этих случаях их жизненный цикл оказывается незавершенным, поскольку яйца не способны покинуть пределы человеческого организма. Взрослые трематоды могут существовать в течение от 20 до 25 лет.
Другие хозяева включают свиней, собак и множество подвидов кошачьих.
Симптомы и признаки парагонимоза
Большинство людей с парагонимозом являются бессимптомными; однако во время инвазии и миграции трематод могут развиваться диарея, боль в животе, лихорадка, кашель, крапивница, гепатоспленомегалия, легочные аномалии и эозинофилия.
В хронической фазе наиболее повреждены легкие, но могут быть вовлечены и другие органы. Проявления легочной инфекции развиваются медленно и включают хронический кашель, боль в груди, кровохарканье и одышку; клиническая картина напоминает туберкулез Туберкулез (ТБ) Туберкулез (ТБ) является хронической прогрессирующей микобактериальной инфекцией, часто имеющей латентный период после начального инфицирования. Чаще всего ТБ поражает легкие. Симптомы включают. Прочитайте дополнительные сведенияЦеребральные поражения проявляются, как правило, в течение года после начала легочного заболевания. Случаются приступы судорог, афазия, парез и нарушения зрения.
Аллергические поражения кожи похожи на поражения, вызываемые мигрирующей кожной личинкой Мигрирующая кожная личинка Мигрирующая кожная личинка является кожным проявлением инфицирования анкилостомой. Мигрирующая кожная личинка вызывают виды Ancylostoma, чаще всего кошачья или собачья анкилостома Ancylostoma. Прочитайте дополнительные сведения P. skrjabini и возникающих также при инвазиях, вызванных другими видами.
Диагностика парагонимоза
Микроскопическое исследование мокроты и анализ кала
Серологические тесты для выявления антител
Диагноз парагонимоз ставится по обнаружению характерных больших яиц с крышечкой в мокроте или кале. Иногда яйца можно обнаружить в плевральной или брюшной жидкости. Яйца бывает трудно выявить, потому что они образуются периодически и в небольшом количестве. Методы концентрации увеличивают чувствительность диагностики.
Серологические тесты для выявления антител полезны при легких инфекциях и при диагностике внелегочного парагонимоза.
При рентгенографическом исследовании можно получить дополнительную информацию, но она не всегда является диагностически ценной; рентген грудной клетки и КT могут показать диффузный инфильтрат, узелки, кольцевые теневые поражения, кавитации, линейные помутнения, абсцессы легкого, плевральный выпот и/или пневмоторакс.
Лечение парагонимоза
Предпочтительным лекарственным средством при парагомниозе является празиквантел, 25 мг/кг перорально три раза в день в течение 2 дней.
Триклабендазол является приемлемым методом лечения в тех регионах, где он доступен; доза составляет 10 мг/кг перорально однократно после приема пищи или для серьезных инфекций – 2 дозы с интервалом в 12 часов по 10 мг/кг после приема пищи.
Празиквантел также используется для лечения внелегочных поражений, при этом могут потребоваться многократные курсы.
При мозговых инфекциях, короткий курс кортикостероидов может быть назначен в сочетании с празиквантелом, чтобы уменьшить воспалительную реакцию, вызванную умирающими трематодами.
Оперативное лечение может потребоваться для удаления поражений кожи или, реже, кист головного мозга.
Лучшая профилактика – исключить из пищи употребление сырых или недоваренных пресноводных крабов и речных раков, пойманных в водоемах на эндемичной территории.
Авторское право © 2022 Merck & Co., Inc., Rahway, NJ, США и ее аффилированные лица. Все права сохранены.
Читайте также:
- Симптомы размягчения хрящей гортани (ларингомаляции) и ее лечение
- Болезнь Меньера: причины, симптомы и лечение
- Эпилепсия с генерализованными тонико-клоническими припадками. Вторично-генерализованная (симптоматическая) эпилепсия.
- Непарная вена. Полунепарная вена. Топография непарной и полунепарной вены.
- Мукокинетики при бронхиальной астме. Респираторный дистресс-синдром
