Пародонтит: причины, симптомы и лечение
Добавил пользователь Владимир З. Обновлено: 08.11.2025
Что такое пародонтоз? Причины возникновения, диагностику и методы лечения разберем в статье доктора Длугоборской Юлии Викторовны, стоматолога со стажем в 11 лет.
Над статьей доктора Длугоборской Юлии Викторовны работали литературный редактор Елена Бережная , научный редактор Сергей Федосов
Определение болезни. Причины заболевания
Пародонтоз — это заболевание тканей пародонта дистрофического характера.
К тканям пародонта относятся ткани, главной задачей которых является удержание зуба в кости челюсти. К ним относится: десна; связочный аппарат, удерживающий зуб — периодонт; цемент зуба — внешняя поверхность зуба, покрывающая его корень; и альвеолярная часть кости челюсти.
Согласно мировой статистике, пародонтозом страдают около 60% населения.
Риск возникновения заболевания увеличивается с возрастом и связан с нарушением обмена веществ в организме, снижением прочности костей всего организма и челюстей в том числе (остеопороз). Главной причиной пародонтоза является недостаточное кровоснабжение десен (нарушение трофики тканей, недостаточное количество кислорода и других веществ).

Факторы развития
Данное заболевание часто характерно для людей, страдающих:
- сахарным диабетом;
- злокачественными образованиями; [1]
- патологиями печени;
- атеросклерозом;
- повышенной кислотностью желудка;
- эндокринными заболеваниями;
- хроническими заболеваниями почек;
- нехваткой витаминов и микроэлементов в организме;
- нервно-психическими заболевания (уменьшается количество слюны и образуется больше налета, а также выделяется гормон кортизол, замедляющий процесс заживления тканей). [2]
На течение пародонтоза значительно влияет такая пагубная привычка, как курение: помимо снижения иммунных сил организма в целом, страдают десны вследствие нарушения поступления кислорода в ткани, а также их раздражения. Поэтому замечено, что у курильщиков течение заболеваний пародонта хуже втрое по сравнению с некурящими. [1] Последние годы ученые выявили также важную роль наследственного фактора в возникновении пародонтоза. [3]
Среди причин возникновения пародонтоза зубов следует выделить:
- Наличие зубных отложений (зубных камней, налета) на зубах (данный фактор создает скопление бактерий на зубах, которые в процессе своей жизнедеятельности вызывают воспаление десен и поддерживают его.
- Неправильное смыкание и положение зубов в зубном ряду (нарушение прикуса).
- Повышенное жевательное давление.
Отличие пародонтоза от пародонтита
При пародонтите повышается подвижность зубов, воспаляется слизистая оболочка и костная ткань, окружающая зуб. При пародонтозе этих признаков нет.
При обнаружении схожих симптомов проконсультируйтесь у врача. Не занимайтесь самолечением - это опасно для вашего здоровья!
Симптомы пародонтоза
Первые признаки пародонтоза
Подвижность зубов на ранних стадиях не наблюдается. В начале болезни пациенты могут отмечать дискомфорт, зуд в области десен, кроме того, для пародонтоза характерна повышенная чувствительность зубов. Количество зубных отложений, как правило, незначительное.
Основные симптомы пародонтоза
Клиническая картина пародонтоза: оголение шеек зубов (часть зуба около десны) и корней, рецессия (опущение) десен, [4] зуб становится «вытянутым», при этом воспаление, отечность и кровоточивость отсутствует, цвет десны бледно-розовый (может быть бледнее цвета здоровой десны), десна плотно охватывает зуб (в отличие от воспалительного заболевания тканей пародонта – гингивита и пародонтита).
Пародонтоз часто сопровождается появлением клиновидных дефектов (в околодесневой области). Клиновидный дефект — это поражение зубов некариозного характера, в виде «ступени» возле десны, со стороны щек и губ. Чаще всего страдают передние зубы и клыки, реже — зубы в боковых отделах. Если к процессу присоединяется воспаление в десневой ткани, то пациент замечает кровоточивость десен при чистке зубов, приеме жесткой пищи, может появиться неприятный запах изо рта.
Пациенты с пародонтозом редко обращаются к стоматологу на ранних стадиях, ведь выраженных болевых ощущений нет. Течение заболевания хроническое, вялое и продолжительное. Скорость прогрессирования пародонтоза напрямую связана с возрастом пациента, его общим состоянием здоровья, уходом за зубами, образом жизни и лечением либо игнорированием лечения патологии.
Патогенез пародонтоза
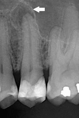
При пародонтозе изменения затрагивают невидимую для глаз человека часть — костную ткань челюсти. Изменения, которые происходят в ней, приводят к подвижности зубов и как результат — их удалению. На уровне кости изменения затрагивают процесс образования костной ткани: новая ткань на фоне разрушения не успевает восстановиться с помощью специальных клеток, строящих ее. Ткань кости челюсти постепенно убывает. Этот процесс виден только на рентгенограмме челюстей. [5]

При пародонтозе появляются нарушения в кровеносных сосудах, питающих кость: сужается их просвет за счет утолщения и изменения стенок сосудов. На поверхности десны нарушается обмен белка на клеточном уровне, в более глубоких слоях слизистой оболочки десен происходит разрушение волокон соединительной ткани, которые создают поддержку зубов в челюсти.
На фоне этих нарушений страдает обмен питательных веществ в деснах и возникает их недостаток — дистрофия.

На данный момент существует также мнение о разрушении тканей кости клетками собственного организма при пародонтозе. [6] Согласно этой теории, в организме при определенных обстоятельствах начинается иммунная перестройка: клетки, которые обычно отвечают за борьбу с бактериями, вирусами и другими чужеродными клетками, начинают принимать за таковые собственные клетки. Запускается иммунный ответ, который направляет свои силы на ткани пародонта (на костную ткань, сосуды и нервы пародонта). Таким образом, данный процесс можно сравнить с отторжением органов донора при пересадке в другой организм. [7]
Классификация и стадии развития пародонтоза
В классификации болезней пародонта пародонтоз занимает отдельное место. По отечественной классификации, принятой еще в конце ХХ века, его относят к дистрофическим заболеваниям.
По своей распространенности на ткани пародонтоз может быть только одного вида: генерализованный (т. е. распространяется на верхнюю и нижнюю челюсть и все зубы).
По характеру течения пародонтоза выделяют:
- Хроническое течение.
- Стадию ремиссии.
Острое течение не характерно для данной патологии.
Следует отметить, что классификация ВОЗ на территории некоторых стран Европы и Америки включает 2 формы пародонтоза: воспалительно-дистрофическую и дистрофическую.
Стадии пародонтоза
Различают легкую, среднюю и тяжелую степень пародонтоза.
Для легкой степени тяжести характерно отсутствие жалоб, изменения в костной ткани видны только на рентгеновском снимке.
Средняя степень пародонтоза характеризуется оголением шеек зубов и корней (до 3мм), на рентгеновском снимке можно заметить снижение высоты костных перегородок между зубами, достигающее половины высоты корней зубов. Пациенты могут жаловаться на появление неприятных ощущений в деснах, зуда, на изменение положения зубов (наклон, смещение в виде веера).
При тяжелой степени пародонтоза оголение шеек зубов и корней доходит до 5 мм, костные перегородки разрушены уже на 2/3 длины корней зубов, что приводит к появлению подвижности зубов и изменению их положения в челюсти и смыкания между собой.
Осложнения пародонтоза
По мере возникновения и развития пародонтоза прогрессирует и подвижность зубов, что приводит к их потере. В результате этого жевательное давление распределяется на оставшиеся зубы неравномерно, и это еще больше усугубляет течение заболевания. После потери зубов без надлежащего лечения процесс атрофии костной ткани не заканчивается, а продолжает разрушать челюсть. [9] Потеря полноценной функции жевания приводит к затрудненному пережевыванию пищи, а это в свою очередь нарушает функцию пищеварения, таким образом возникают заболевания желудка и кишечника, организм не в полной мере получает питательные вещества и витамины. Кроме того, страдает внешний вид и произношение звуков, если зубы утрачиваются в зоне улыбки.
Не стоит забывать, что к пародонтозу может присоединиться воспалительный процесс, а из тканей десны инфекция по кровеносным и лимфатическим сосудам попадает во внутренние органы, вызывая сердечно-сосудистые заболевания, нарушая работу почек, может провоцировать ревматизм в суставах. Могут возникать абсцессы (гнойники) в области десен за счет проникновения гноя через карман между зубом и десной.
В полости рта инфекция может вызвать воспаление в надкостнице (периостит), которое далее прогрессирует в абсцесс (ограниченное воспаление) и флегмону (неограниченное воспаление), лимфаденит челюстно-лицевой области (воспаление в лимфатических узлах), остеомиелит. Такие тяжелые состояния уже угрожают жизни, и лечение проводится в стационаре.
Диагностика пародонтоза
Диагностирует пародонтоз, как правило, врач стоматолог-терапевт либо пародонтолог. Заподозрить начало заболевания доктору помогает клинический опыт, так как жалоб и видимых изменений в полости рта может и не быть.
Выяснение подробностей относительно состояния здоровья, наличия хронических заболеваний и вредных привычек, рода профессиональной деятельности — неотъемлемая часть сбора информации о пациенте. Ведь причина возникновения пародонтоза часто зависит именно от этих факторов.
При осмотре и обследовании специалист определяет уровень гигиены полости рта пациента, наличие и характер зубных отложений, изменения цвета, плотности десны, наличие рецессии десны, клиновидных дефектов, проверяет целостность зубного ряда и наличие жевательной перегрузки на зубы, наличие неправильного смыкания зуба, проблем с прикусом.
Воспаление в десне определяется с помощью пробы Шиллера-Писарева и оценивается по балльной шкале до и в процессе лечения. Состояние сосудов тканей пародонта можно оценить с помощью определения стойкости мелких кровеносных сосудов (автор — Кулаженко, ведется учет времени образования гематом в области десны при воздействии вакуума). Для этих целей также используется метод реопародонтографии, фотоплетизмографии, биомикроскопии. Для определения насыщенности тканей пародонта кислородом в последние годы применяется метод полярографии.
Степень разрушения кости челюстей исследуют с помощью рентгенологического исследования (панорамная рентгенография, компьютерная томография), по которой можно различить стадии пародонтоза. Плотность костной ткани изучают с помощью эхоостеометрии. Изучение состава слюны и микрофлоры полости рта дает большие возможности в терапии пародонтоза. [8]
Дифференциальная диагностика пародонтоза проводится с пародонтитом.
Лечение пародонтоза
Лечение пародонтоза подбирается индивидуально, в зависимости от клинической ситуации и общего состояния организма. Оно должно быть направлено не только на коррекцию патологии в полости рта, но и на устранение причин, повлекших за собой возникновение пародонтоза. [10]
Зачастую, благодаря современному оборудованию и анестезии, лечение проходит безболезненно.
- Медикаментозная терапия при пародонтозе: Трентал (улучшает микроциркуляцию крови, разжижает кровь, показан при атеросклерозе), Инсадол (также улучшает микроциркуляцию, ускоряет образование новой костной ткани, повышает иммунитет), Тыквеол (борется с атеросклерозом, снимает воспаление, способствует регенерации тканей).
- Препараты для нормализации обмена веществ: витамины С, А, Е, РР, группы В.
- Физиотерапия при пародонтозе: водная терапия (гидротерапия как на весь организм, так и местно, в полости рта) для повышения микроциркуляции; электрофорез лекарственных средств, применение аппарата Д‘Арсонваля, оксигенотерапия, магнитолазерная терапия, [12] фототерапия. [11]
- Народные средства для лечения пародонтоза: отвары женьшеня, элеутерококка, аралии маньчжурской, моралиевого корня, розеолы розовой (не показана при гипертонии). Они не излечат от пародонтоза, но помогут уменьшить воспаление полости рта.
- Зубные пасты и гели. Пародонтоз — это невоспалительное заболевание, поэтому паста, гель или ополаскиватель напрямую не помогут. Но такая терапия не помешает: тщательная гигиена полости рта препятствует образованию зубного налёта и камня.
При лечении пародонтоза в домашних условиях можно применять массаж дёсен.
Непосредственно в полости рта стоматологом должны быть произведены такие манипуляции:
- профессиональная гигиена полости рта — снятие твердых и мягких зубных отложений; [13]
- лечение кариеса и его осложнений, устранение всех очагов инфекции;
- коррекция преждевременных контактов зубов; [14]
- исправление неправильного положения зубов и прикуса (ортодонтическое лечение);
- замещение дефектов зубов и отсутствующих зубов коронками, протезами и другими конструкциями для полноценного жевания и правильного распределения нагрузки; [15]
- хирургическое лечение (лоскутные операции на тканях десны).
К дополнительным методам лечения относятся:
- Избирательное пришлифовывание зубов. При пародонтозе зубы со временем сдвигаются и перестают нормально смыкаться. При проведении процедуры выявляют участки зубов, к оторые соприкасаются друг с другом и не позволяют нормально сомкнуть челюсти . Их стачивают стоматологическими борами, после чего челюсти начинают смыкаться со множественными контактами зубов.
- Шинирование подвижных зубов. Проводится только при очень тяжёлых формах, когда из-за выраженного оголения корней зубы становятся подвижными. Несколько зубов скрепляют друг с другом пломбировочным материалом и специальной проволокой, например стекловолоконной. Процедура позволяет устранить подвижность зубов.
Диета при пародонтозе
В рационе должно быть достаточно овощей, фруктов, рыбы, молочных продуктов и меньше сладостей. Правильное питание обеспечит организм витаминами и минералами, которые важны для иммунитета, здоровья дёсен и зубов. Диета с ограничением сахара предотвратит интенсивное размножение бактерий в полости рта.
Прогноз. Профилактика
Прогноз заболевания зависит от стадии, на которой пациент обращается за помощью. Чем более ранняя стадия пародонтоза, тем выше вероятность успешного лечения. Стоит обратить внимание, что течение пародонтоза хроническое и длительное, развитие заболевания и уже наступившие изменения можно остановить, подобрав комплексное лечение. [16]
К сожалению, запущенные стадии пародонтоза приводят к расшатыванию зубов, их выпадению и разрушению костной ткани. [17] Образовавшийся дефект в челюсти восполнить достаточно сложно, так, например, успех имплантации и дальнейшего протезирования у больных пародонтозом значительно ниже, чем у людей со здоровым пародонтом.
Гигиена полости рта при пародонтозе
Предотвратить пародонтоз поможет тщательная и регулярная гигиена полости рта. Следует пользоваться зубной щеткой, пастой, зубной нитью и разнообразными ершиками для чистки зубов в труднодоступных местах.
К другим мерам профилактики пародонтоза, как, впрочем, и других заболеваний десен, относятся:
- пальцевой массаж дёсен (с помощью ирригатора либо самомассаж);
- профессиональной гигиене полости рта у стоматолога раз в полгода, лечение всех очагов инфекции в полости рта;
- устранении дефектов зубного ряда (отсутствующих зубов) своевременно (для предотвращения изменений в костной ткани челюстей);
- исключении профвредностей;
- нормализации распорядка дня;
- профилактике нарушения общего состояния организма;
- рациональном питании (жесткая пища, наличие в рационе овощей, фруктов, рыбы, молочных продуктов, ограничение потребления сахара и сладостей); [18]
- отказе от вредных привычек (курение, алкоголизм, наркотическая зависимость);
- избегании стрессовых ситуаций. [19][20]
За дополнение статьи благодарим Петра Козлова — стоматолога, научного редактора портала "ПроБолезни".
Периодонтит - симптомы и лечение
Что такое периодонтит? Причины возникновения, диагностику и методы лечения разберем в статье доктора Козлова Владимира Игоревича, стоматолога со стажем в 17 лет.
Над статьей доктора Козлова Владимира Игоревича работали литературный редактор Маргарита Тихонова , научный редактор Сергей Федосов
Периодонтит — это заболевание, вызванное бактериями, травмой или лекарственными препаратами, в результате которого происходит воспаление комплекса соединительной ткани (периодонта), расположенной между цементом зуба и зубной альвеолой. [9] [20]

В общей структуре стоматологических заболеваний периодонтит встречается во всех возрастных группах пациентов и составляет 25–30% от общего числа обращений в стоматологические учреждения. [3]
В зависимости от причин возникновения выделяют три типа периодонтита:
- Травматический периодонтит — может развиться как при однократном сильном механическом воздействии (ушиб, удар, попадание косточки), так и при неоднократных небольших механических повреждениях (например, при постоянном откусывании нитей швеёй).
- Медикаментозный периодонтит — возникает в результате выхода сильнодействующих препаратов из корневого канала в ткани периодонта (например, когда в зубе было оставлено лекарство, а следующий приём состоялся позже, чем это было показано по инструкции безопасного периода нахождения препарата в канале). [11]

Пути инфицирования тканей периодонта:
- внутризубной — выход токсинов и бактерий через систему корневого канала после инфицирования пульпы и её некротизации в ткани периодонта;
- внезубной — переход воспаления из окружающих тканей (остеомиелит, остит, гайморит, пародонтит и т. д.).
Крайне редко возможно инфицирование тканей периодонта гематогенным (через кровь) и лимфогенными путями.
Симптомы периодонтита
Проявления заболевания напрямую зависят от его формы.
Хронические формы периодонтита в большинстве случаев протекают бессимптомно и выявляются во время рентгенологического исследования либо при обострении.
Признаки острого периодонтита и обострения его хронической формы:
- боль в зубе (причём чаще всего можно точно указать, какой именно зуб болит) — в начале заболевания боль слабо выраженная, ноющая, но позднее она становится более интенсивной, рвущей и пульсирующей;
- боль при жевании и прикосновении к зубу;
- чувство "выросшего зуба" — ощущение, что зуб стал длиннее других и первым смыкается с зубами-антагонистами;
- наличие большой кариозной полости в больном зубе или его предшествующее лечение по поводу глубокого кариеса или пульпита;
- иногда возникает отёк мягких тканей в области поражённого зуба — связано с выходом воспалительного экссудата (жидкости) из очага, находящегося в периодонте, в поднадкостничное пространство или мягкие ткани;
- открытие свищевого хода, чаще всего располагающегося на десне в проекции корня поражённого зуба (может возникнуть при обострении хронического периодонтита);
- отсутствие реакции больного зуба на холодное, горячее, сладкое или кислое;
- возможная подвижность зуба, связанная с инфильтрацией периодонта.

Патогенез периодонтита
Острый верхушечный периодонтит
После повреждения периодонта по одной из указанных выше причин возникает кратковременный интенсивный тканевый ответ. Этот процесс сопровождается клиническими симптомами острого периодонтита. [7]
Ответ ткани, как правило, ограничен периодонтальной связкой. Он приводит к типичным нервно-сосудистым реакциям воспаления, которые проявляются гиперемией (переполнением кровью), застоем сосудов, отёком периодонтальной связки и экстравазацией (вытеканием в ткани) нейтрофилов. Поскольку целостность кости, цемента и дентина ещё не нарушена, периапикальные изменения на этом этапе не обнаруживаются при рентгенологическом исследовании.
Если воспаление было вызвано неинфекционными раздражителями, то поражение может исчезнуть, а структура апикального периодонта восстанавливается. [13] [14]
Когда происходит инфицирование, нейтрофилы не только борются с микроорганизмами, но также выделяют лейкотриены и простагландины. Первые привлекают больше нейтрофилов и макрофагов в область поражения, а вторые активируют остеокласты — клетки, участвующие в разрушении костной ткани. Так, через несколько дней кость, окружающая периодонт, может резорбироваться (раствориться), тогда в области верхушки корня рентгенологически обнаруживается расширение периодонтальной щели. [15]

Нейтрофилы погибают в месте воспаления и высвобождают из своих гранул ферменты, которые вызывают разрушение внеклеточных матриксов и клеток. Такое "расщепление" тканей предотвращает распространение инфекции в другие части тела и обеспечивает пространство для проникновения защитных клеток.

Во время острой фазы макрофаги также появляются в периодонте. Они продуцируют провоспалительные и хемотаксические (аллергические) цитокины. Эти молекулы усиливают местный сосудистый ответ, разрушение кости и деградацию внеклеточных матриц, а также могут заставить гепатоциты повысить выработку белков острой фазы.
Острый первичный периодонтит имеет несколько возможных исходов:
- самопроизвольное заживление;
- дальнейшее усиление и распространение в кости (альвеолярный абсцесс);
- выход наружу (образование свищей или синусового тракта);
- хронизация процесса. [19]
Хронический периодонтит
Длительное присутствие микробных раздражителей приводит к сдвигу в сторону макрофагов, лимфоцитов (Т-клеток) и плазматических клеток, которые инкапсулировуются в коллагеновой соединительной ткани.
Провоспалительные цитокины (клетки иммунной системы) являются мощными стимуляторами лимфоцитов. Активированные Т-клетки продуцируют множество цитокинов, которые снижают выработку провоспалительных цитокинов, что приводит к подавлению процесса разрушения кости. Напротив, полученные из Т-клеток цитокины могут одновременно усиливать выработку факторов роста соединительной ткани, что оказывает стимулирующее и пролиферативное воздействие на фибробласты и микроциркуляторное русло.
Возможность подавления деструктивного процесса объясняет отсутствие или замедленную резорбцию кости и восстановление коллагеновой соединительной ткани во время хронической фазы заболевания. Следовательно, хронические поражения могут оставаться бессимптомными в течение длительного времени без существенных изменений на рентгенограмме. [21]
Равновесие, существующее в периодонте, может быть нарушено одним или несколькими факторами, например, микроорганизмами, «размещёнными» внутри корневого канала. Они продвигаются в периодонт, и поражение самопроизвольно становится острым с повторным появлением симптомов.
В результате во время этих острых эпизодов микроорганизмы могут быть обнаружены в костной ткани, окружающей периодонт, с быстрым увеличением рентгенологических проявлений. Эта рентгенографическая картина обусловлена разрушением апикальной кости, которое происходит быстро во время острых фаз и относительно неактивно на протяжении хронического периода. Следовательно, прогрессирование заболевания не является непрерывным, а происходит прерывистыми скачками после периодов "стабильности".
Цитологические исследования показывают, что около 45% всех хронических периодонтитов эпителизированы. Когда эпителиальные клетки начинают разрастаться, они могут делать это во всех направлениях случайным образом, образуя неправильную эпителиальную массу, в которую попадают сосудистая и инфильтрированная соединительная ткань. При некоторых поражениях эпителий может врастать во вход корневого канала, образуя пломбоподобное уплотнение на апикальном отверстии.
Классификация и стадии развития периодонтита
Классификация периодонтитов главным образом отображает причину воспаления, и что именно происходит в тканях пародонта. Самой распространённой классификацией, используемой на практике, является классификация И.Г. Лукомского: [17]
- Острый верхушечный (апикальный) периодонтит:
- серозный;
- гнойный.
- Хронический верхушечный (апикальный) периодонтит:
- фиброзный;
- гранулирующий;
- гранулематозный.
- Обострение хронического периодонтита.
Также при постановке диагноза используется классификация по МКБ-10:
K04.4 Острый апикальный периодонтит пульпарного происхождения:
K04.5 Хронический апикальный периодонтит:
- апикальная или периапикальная гранулема;
- апикальный периодонтит БДУ.
K04.6 Периапикальный абсцесс с полостью:
- зубной (дентальный) абсцесс с полостью;
- дентоальвеолярный абсцесс с полостью.
K04.7 Периапикальный абсцесс без полости:
- зубной (дентальный) абсцесс БДУ;
- дентоальвеолярный абсцесс БДУ;
- периaпикальный абсцесс БДУ.
K04.8 Корневая киста:
- апикальная (периодонтальная) киста;
- периaпикaльная киста;
- остаточная корневая киста.
Осложнения периодонтита
Осложнения периодонтита зависят от причинного зуба, локализации воспалительного очага, формы и стадии заболевания. Условно можно разделить все осложнения на несколько групп. [8]
Осложнения, вызванные распространением инфекции из периодонтального очага:
- Одонтогенный периостит — распространение воспалительного процесса на надкостницу альвеолярного отростка и тела челюсти из периодонтального (одонтогенного) очага.
- Одонтогенный абсцесс — формирование ограниченного полостного гнойного очага, возникающего в результате гнойного расплавления подслизистой, подкожной, межмышечной, межфасциальной клетчатки, лимфоузлов, мышечной ткани или кости. Формирование абсцессов преимущественно происходит в околочелюстных мягких тканях.
- Одонтогенная флегмона — формирование разлитого гнойного воспаления клетчатки, расположенной под кожей, слизистой оболочкой, между мышцами и фасциями.
- Одонтогенный гайморит — формирование воспаления в гайморовой пазухе, вызванное распространением инфекции из периодонтального (одонтогенного) очага.
- Одонтогенный лимфаденит — формирование воспаления в регионарных лимфатических узлах, вызванного распространением инфекции из периодонтального (одонтогенного) очага.
- Одонтогенный остеомиелит — гнойное воспаление челюстной кости (одновременно всех её структурных компонентов) с развитием участков остеонекроза.
Осложнение, вызванное деструктивными изменениями в перерадикулярной кости:
- Вторичная адентия — потеря одного или нескольких зубов, причиной которой служит разрушение костной ткани, окружающей корень зуба, препятствующее дальнейшему функционированию такого зуба.
Осложнение, вызванное формированием свищевого хода:
- Кожные свищи — образование свищевого хода, открывающегося на поверхность кожи.
Диагностика периодонтита
Диагностика периодонтита проводится на основании жалоб пациента, анамнеза заболевания, оценки общесоматического статуса, осмотра головы и шеи, полости рта, зуба, его перкуссии, зондирования и термопробы, электроодонтодиагностики (ЭОМ) и рентгенологического исследования. [10]
ЭОМ — это метод стоматологического исследования, основанный на определении порогового возбуждения болевых и тактильных рецепторов пульпы зуба при прохождении через неё электрического тока.

Диагностические признаки острого периодонтита:
Диагностические признаки хронического периодонтита:
Диагностические признаки обострения хронического периодонтита
Чаще всего клиническая картина соответствует острому периодонтиту, за исключением того, что всегда рентгенологически выявляются изменения в тканях периодонта, характерные для той или иной формы периодонтита. [12]
Лечение периодонтита
Лечение периодонтита направлено на устранение причин, механизмов и проявлений заболевания. Методы лечения бывают терапевтическими, хирургическими и комбинированными.
Терапевтическое лечение
Данный метод лечения нацелен на устранение патогенной микрофлоры, находящейся в эндодонте — комплексе поражённых тканей, включающем пульпу и дентин, которые связаны между собой морфологически и функционально. Поэтому иначе такое лечение называют эндодонтическим. [16]
Этапы эндодонтического лечения:
- адекватное обезболивание;
- изоляция зуба или нескольких зубов, в которых будут проводится манипуляции, от полости рта;
- создание эндодонтического доступа (иссечение твёрдых тканей зуба или пломбировочного материала, закрывающих доступ в систему корневого канала;
- прохождение и определение длинны корневого канала (это длинна от устья до верхушки корня);
- создание корневого канала определённого диаметра и формы;
- введение в корневой канал лекарственных препаратов;
- пломбирование корневого канала;
- восстановление анатомии и функции зуба с помощью пломбировочного материала или ортопедической конструкции.

Хирургическое лечение
К оперативному лечению прибегают только в случаях неэффективности или невозможности терапевтического лечения.
К хирургическим методам лечения относятся:
- удаление части корня зуба (резекция) — позволяет сохранить зуб, даже если у верхушки корня присуствовала киста;

- удаление зуба целиком, с последующим замещением утраченного зуба.

Течение и прогноз периодонтита, безусловно, зависят от своевременности обращения к стоматологу и качества проведенного им лечения. При эффективном лечении каналов происходит восстановление участка разрушенной кости, и зуб сохраняет свои функциональные свойства. При несвоевременном обращении пациента или безуспешном лечении высока вероятность потери зуба, а осложнения хронического периодонтита могут представлять серьёзную угрозу здоровью и жизни.
Для профилактики периодонтита необходимо тщательно ухаживать за полостью рта, регулярно проводить осмотры у врача-стоматолога и своевременно лечить одонтогенные очаги инфекции, такие как кариес и пульпит. [2] [5] [6]
Пародонтит
Пародонтит – воспаление окружающих зуб тканей (пародонта) с последующим разрушением связок зуба с костной тканью челюсти. Проявляется кровоточивостью и воспалением десен, болевыми ощущениями при надавливании, неприятным запахом из полости рта, подвижностью зубов. Дальнейшее развитие пародонтита приводит к формированию зубодесневых карманов, гноетечению, расшатыванию и выпадению зубов. Может осложняться абсцессами и свищами на деснах, периоститом и лимфаденитом. Лечение пародонтита состоит в полной санации ротовой полости и чистке десневых карманов, при необходимости производится их инструментальный кюретаж.

Общие сведения
Пародонтит – это заболевание зуба, в результате которого происходит разрушение зубодесневевого соединения. Гингивит, то есть воспаление десен, является ранней стадией пародонтита, в дальнейшем воспалительный процесс переходит на другие ткани пародонта, что ведет к разрушению периодонта и костной ткани альвеолярного отростка. Потеря зубов в старшем возрасте в большинстве случаев обусловлена генерализованным пародонтитом.
Причины пародонтита
Основной причиной возникновения является скопление зубного налета, который затвердевает и образует зубной камень. Курение и жевание табака по многим причинам может поспособствовать развитию пародонтита. Так, табак снижает реактивность иммунной системы, вследствие чего риск инфицирования пародонта патогенной микрофлорой возрастает. Вещества, содержащиеся в табаке, вступая во взаимодействие со слюной, создают благоприятные условия для жизнедеятельности патогенной микрофлоры. Также курение существенно снижает процесс регенерации клеток, что сказывается на течении пародонтита.
Наследственная предрасположенность редко, но становится основной причиной развития. В этом случае, несмотря на то, что пациент тщательно ухаживает за полостью рта, развивается гингивит, а затем – пародонтит.
Снижение продукции слюны может повысить образование зубного налета и зубного камня, так как нарушается процесс естественного очищения полости рта. Антидепрессанты, противовоспалительные препараты особенно при длительном приеме существенно снижают продукцию слюны. Противосудорожные препараты, иммунодепрессанты, блокаторы кальциевых канальцев могут вызвать гиперплазию десен, что значительно затрудняет уход за полостью рта. В результате зубной камень образуется гораздо быстрее, что и становится причиной пародонтита.
У пациентов с сахарным диабетом пародонтит диагностируется в несколько раз чаще, при этом лечение практически не приносит результатов. Изменения гормонального фона по причине беременности, лактации, менопаузы вызывают изменение в иммунной системе, что и влияет на развитие пародонтита и если до беременности у женщины был гингивит, то воспалительный процесс начинает прогрессировать.
Дефицит витаминов С и В из-за нарушения их усвояемости или из-за плохого питания является одним из факторов, который может стать основным патогенетическим звеном в развитии пародонтита. Недостаток кальция негативно сказывается на всей костной системе, в том числе и на зубочелюстной, так как кальций важен для костей, особенно для тех, которые поддерживают зубы. Люди, недополучающие витамин С, попадают в группу риска по развитию пародонтита из-за снижения прочности соединительной ткани. У курильщиков недостаток витамина С более выражен.
Постоянное употребление чрезмерно мягкой пищи не обеспечивает нужной нагрузки на зубы в процессе жевания, что снижает качество самоочистки зубов. Развитию пародонтита способствует так же и вредная привычка жевать на одной стороне, так как в этом случае функциональная нагрузка распределяется неравномерно. У людей, с неправильным прикусом и с неправильной формой зубов пародонтит диагностируют чаще.
Симптомы пародонтита
При пародонтите болевой синдром наблюдается редко. Воспаление со стороны десен проявляется отечностью, покраснением, местным повышением температуры и кровоточивостью десен. То есть гингивит является первой стадией. При отсутствии лечения процесс прогрессирует и пародонтитом поражаются мягкие и костные ткани, что может закончиться потерей зуба.
Диагностировать пародонтит на ранних сроках можно только во время осмотра стоматологом, так как клинические проявления практически отсутствуют. И основным симптомом, после которого пациенты обращаются за медицинской помощью, является кровоточивость десен во время чистки зубов или во время еды.
В дальнейшем присоединяется отечность десен и их повышенная чувствительность в ответ на раздражение. Если на этом этапе пародонтит не лечить, то десны начинают отделяться от зубов, вследствие чего зубы выглядят длиннее, между зубами появляются промежутки. В последующем при пародонтите появляется гнойное отделяемое и неприятный запах изо рта. Неприятный привкус во рту и выпадение зубов характерны для поздних стадий пародонтита.
Любой воспалительный процесс в области десен, в том числе и пародонтит, протекает безболезненно вне зависимости от глубины поражения и стадии разрушения пародонтальных тканей. Поэтому даже безболезненная кровоточивость десен является первым клиническим проявлением развивающегося пародонтита. На этом этапе процесс еще обратим, так как пародонтальная связка не вовлечена в воспалительный процесс и зуб связан с соседними зубами, что обеспечивает равномерную нагрузку по всему зубному ряду, в результате перегрузки в тканях пародонта еще не возникает.
При отсутствии лечения пародонтита воспалительный процесс проникает глубже, начинается разрушение пародонтальной связки, возникает пародонтальный карман. Именно в этот карман при пародонтите откладывается зубной налет и зубной камень, что способствует прогрессированию процесса. Далее пародонтальные ткани (десна и костная ткань) разрушаются, зуб начинает расшатываться, теряется костная опора в челюсти. На этом этапе пародонтита положение зубов в зубном ряду меняется, между ними появляются щели.
В зависимости от особенностей пациента, пародонтит протекает по-разному. Так, агрессивное течение пародонтита характеризуется быстрым, почти стремительным разрушением зубов и десен. У другой части пациентов пародонтит протекает эпизодически, с длительными ремиссиями и периодами обострения процесса.
Хроническое течение пародонтита характеризуется медленным, но прогрессирующим разрушением костной и мышечной тканей, окружающих и поддерживающих зуб. Хронический пародонтит имеет более медленное течение, чем агрессивный. Если пародонтит является одним из проявлений системных заболеваний, например сахарного диабета, то обычно его симптомы проявляются в раннем возрасте и стихают во время коррекции основного заболевания.
Некротизирующий пародонтит является наиболее тяжелой формой течения заболевания. Десневые ткани некротизируются, при отсутствии лечения наблюдается некроз периодонтальных связок и костной ткани. Некротизирующий пародонтит встречается в основном у пациентов с тяжелыми формами иммунодефицитов, например, больные СПИДом.
Диагностика пародонтита

Наличие одного или нескольких симптомов является поводом для скорейшего обращения за стоматологической помощью, чтобы определить, насколько глубоки поражения. Измерение глубины зазора между зубом и десной является основной диагностической процедурой, которая, несмотря на простоту, позволяет достаточно точно определить глубину поражения. Для проведения исследования используется пародонтальная проба, которую помещают между зубом и десной и тем самым измеряют глубину промежутка. Результаты обследования каждого зуба записывают и получают пародонтограмму.
Если глубина зазора не более 3мм, то признаков гингивита и пародонтита нет и десна здорова, тогда как глубина зазора более 5мм свидетельствует о наличии пародонтита. Скопления зубного налета и наличие зубного камня так же учитываются при диагностике пародонтита. Для комплексной оценки состояния костной ткани челюсти показано выполнить ортопантомограмму.
Лечение пародонтита
Очень часто лечение начинается на этапе, когда разрушение поддерживающей костной ткани и десны уже произошло, вследствие чего лечение пародонтита затягивается из-за скопления патогенных микроорганизмов в десневых карманах. В таких случаях лечение пародонтита направлено на предотвращение углубления десневых карманов и на предотвращение дальнейшего разрушения десны и костной ткани. Для этого производят тщательную профессиональную гигиену полости рта с очисткой десневых карманов от бактерий, что предупреждает дальнейшее разрушение и прогрессирование заболевания.
При своевременно поставленном диагнозе пародонтит хорошо поддается лечению неинвазивными методами. Если глубина десневых карманов не более 5мм, то достаточно процедуры по очищению корня зуба от воспаленной пульпы с использованием антибиотиков. В дальнейшем требуется соблюдать гигиену полости рта и периодически посещать стоматолога для удаления зубного камня.
Проведенный с помощью инструментов кюретаж или ультразвуковая чистка зубов удаляет над- и поддесневой зубной камень. Удаление зубного камня с помощью ультразвука кроме всего прочего полирует поверхность зубов, предотвращая появление зубного камня, а кислород обеззараживает десневые карманы и способствует ускоренному заживлению. После ультразвуковой чистки рекомендовано применять местные гели с антибиотиками. Местные антибактериальные препараты позволяют подавить рост бактерий в десневых карманах, что и является основным моментом в лечении пародонтита. Отказ от приема системных антибиотиков для лечения пародонтита в пользу местных препаратов позволяет снизить вероятность развития побочных эффектов.
Если же глубина десневого кармана при пародонтите превышает 5мм, то требуется хирургическое вмешательство. Для уменьшения десневого кармана проводят лоскутную операцию. Производится небольшой разрез в области десны, что позволяет приподнять ее и оголить корень зуба, который нужно очистить от зубного камня. Если пародонтит уже распространился на костную ткань, то перед тем, как ушить разрез, костную ткань выравнивают. Лоскутная операция проводится под местной анестезией и длится от 1 до 3-х часов.
Трансплантация мягких тканей десны необходима в том случае, когда из-за атрофии десневых карманов пародонт зубов оголяется и визуально выглядит длиннее. Для замещения используют лоскут ткани с неба. Эта процедура помогает остановить углубление десневого кармана и помогает закрыть оголенные корни зубов, предупреждая развитие гиперестезий. Для женщин, особенно молодого возраста, трансплантация мягких тканей при пародонтите дает двойной результат – излечение и избавление от косметического дефекта.
Применение костного трансплантата для остеопластики при пародонтите проводится при значительном разрушении костной ткани, когда она не может выполнять функций по удерживанию зуба на своем месте. Трансплантат может быть изготовлен как из синтетического материала, так и из собственной костной ткани. Костный трансплантат для лечения пародонтита имеет неоспоримое преимущество: он служит платформой для образования новой костной ткани, что называется направленной регенерацией.
Направленная регенерация костной ткани при глубоких поражениях пародонтитом восстанавливает костную ткань. Для этого участок между зубом и костной тканью заполняют биосовместимым материалом, в результате чего на данном участке растет только костная ткань, рост других клеток полностью подавлен. Вторая методика направленной регенерации для лечения пародонтита заключается в ведении протеинсодержащего геля, который по своему составу схож с эмалью зубов. В результате организм начинает стимулировать рост костной ткани в ответ на ложную информацию о формировании нового зуба.
Профилактика
В профилактике пародонтита имеет значение санитарное просвещение населения, обучение правильной чистке зубов еще в детском возрасте и полноценное питание. Для своевременного выявления пародонтита и других заболеваний необходимо не реже, чем раз в полгода проходить плановый осмотр стоматолога и процедуры по удалению зубного камня, который провоцирует развитие пародонтита.
Если имеется гингивит, то его необходимо лечить, так как именно гингивит является первым проявление пародонтита. На этом этапе предотвратить пародонтит можно используя антибактериальные зубные пасты и противовоспалительные ополаскиватели для рта. Дефекты зубных рядов необходимо своевременно лечить, так как это формирует правильную нагрузку на зубы и способствует профилактике.
Хронический пародонтит
Хронический пародонтит – это длительно текущий, инфекционно-индуцированный патологический процесс, затрагивающий все структуры пародонта и приводящий к деструкции его тканей и резорбции альвеолы. Хронический пародонтит сопровождается зудом и кровоточивостью десен, наличием над- и поддесневых зубных отложений и пародонтальных карманов, галитозом, подвижностью и смещением зубов, эндогенной интоксикацией. Диагностические мероприятия при хроническом пародонтите включают анализ данных пародонтограммы, ортопантомограммы, биопсии тканей десны. Лечение хронического пародонтита зависит от степени выраженности и включает снятие зубных отложений, местную противовоспалительную терапию, физиотерапию, шинирование зубов; при необходимости – удаление подвижных зубов, лоскутные операции.
МКБ-10
Хронический пародонтит – воспалительное заболевание пародонтального комплекса, имеющее циклическое, неуклонно прогрессирующее течение. Согласно статистике, та или иная форма пародонтита выявляется у 90-95% населения. В зоне риска развития хронического пародонтита находятся преимущественно лица старше 30-40 лет. По данным ВОЗ, потеря зубов вследствие хронического пародонтита наблюдается в 5 раз чаще, чем по причине кариеса. Клиническая значимость хронического пародонтита не ограничивается рамками стоматологии, поскольку состояние пародонта тесно связано с эндокринными, сердечно-сосудистыми заболеваниями, болезнями крови.
Причины
Местные факторы
Хронический пародонтит обусловлен целым рядом местных и общих предпосылок. Главным местным этиологическим фактором выступает пародонтопатогенная микрофлора (превотеллы, актиномицеты, порфиромонады, бактероиды, пептострептококки и др.), в большом количестве присутствующая в зубном налете. Микроорганизмы и их токсины повреждают эпителий десны, вызывая его воспалительную реакцию в форме хронического катарального или гипертрофического гингивита.
В дальнейшем, проникая в зубодесневую бороздку, патогены способствуют ее углублению и образованию зубодесневых карманов. Агрессивное действие над- и поддесневого налета, содержащего колонии бактерий, заключается в постепенном разрушении подлежащей соединительной ткани, включая периодонтальную связку, образующую зубодесневое соединение. Кроме микробного фактора, в развитии хронического пародонтита большую роль играют стоматологические заболевания:
- кариес;
- зубной камень;
- травмы зуба;
- неправильный прикус;
- бруксизм;
- тяжи слизистой оболочки и пр.
Пусковым моментом может выступать хроническая травматизация тканей пародонта неправильно поставленными пломбами или плохо подогнанными зубными протезами.
Общие факторы
Среди общих факторов, способствующих развитию хронического пародонтита, велика роль эндокринопатий (сахарного диабета, остеопороза, ожирения), патологии ЖКТ (гастрита, холецистита, энтероколита, гепатита), аллергических и аутоиммунных заболеваний, болезней системы крови, гиповитаминозов, лучевых поражений и пр.
Классификация
Учитывая распространенность воспалительно-дистрофического процесса, в пародонтологии выделяют локализованный (очаговый) и генерализованный (диффузный) хронический пародонтит. В клиническом течении хронического пародонтита чередуются фазы обострения и ремиссии. В зависимости от выраженности патологических изменений в пародонте выделяют начальную стадию и стадию развившихся нарушений, которая включает 3 степени тяжести хронического пародонтита.
- Начальная стадия хронического пародонтита характеризуется разволокнением компактной пластинки, наличием признаков остеопороза, снижением высоты межзубных перегородок не более чем на 1/4 длины корня зуба. Пародонтальные карманы имеют глубину не более 2,5 мм.
- Легкая степень хронического пародонтита диагностируется при глубине пародонтальных карманов от 2,5 до 3,5 мм; убыли альвеолярной кости не более чем на 1/3 длины корня зуба; незначительной подвижности зубов.
- Средне-тяжелая степень хронического пародонтита характеризуется глубиной пародонтальных карманов от 3,5 до 5 мм; резорбцией альвеолярной кости на половину длины корня зуба; патологической подвижностью зубов I-II степени.
- Тяжелая степень хронического пародонтита определяется при глубине пародонтальных карманов свыше 5 мм; убыли альвеолярной кости более половины длины корня зуба и патологической подвижности зубов II-III степени. В особо запущенных случаях происходит полная резорбция костной ткани, гибель связочного аппарата и выпадение зуба из своего ложа.
Симптомы хронического пародонтита
В начальном периоде хронического пародонтита пациенты ощущают зуд и пульсацию в деснах, дискомфорт при пережевывании пищи. Десны рыхлые, отечные, кровоточат при чистке зубов. Отмечается застревание пищи в межзубных промежутках, появление неприятного запаха изо рта. При стоматологическом обследовании выявляются признаки катарального гингивита, наличие зубных отложений и неглубоких зубодесневых карманов в межзубной области. Зубы сохраняют свою неподвижность.
Легкая степень хронического пародонтита характеризуется прогрессированием патологических изменений. Усиливается болезненность и кровоточивость десен, галитоз. В полости рта быстро и в больших количествах скапливается мягкий зубной налет, образуется зубной камень. При осмотре выявляются признаки хронического катарального или гипертрофического гингивита, зубодесневые карманы с отделяемым серозно-гнойного характера, расшатывание зубов.
При хроническом пародонтите средне-тяжелой степени ко всем вышеназванным симптомам присоединяются оголение и повышенная чувствительность шеек зубов к температурным и химическим воздействиям. Вследствие выраженного гипертрофического гингивита десны теряют свою обычную конфигурацию и цвет; зубодесневые карманы глубокие, с серозно-гнойным отделяемым. В период обострения развивается альвеолярная пиорея – выделение гнойного экссудата из пародонтальных карманов. Зубы подвижны, между ними образуются диастемы и тремы.
Хронический пародонтит тяжелой степени протекает с выраженной симптоматикой (кровоточивостью десен, подвижностью и смещением зубов, галитозом, обильными зубными отложениями, диффузным гингивитом и пр. Выраженная боль в деснах затрудняет жевание и чистку зубов. Отмечается выпадение отдельных зубов (частичная адентия).
Обострения хронического пародонтита сопровождаются эндогенной интоксикацией - недомоганием, повышением температуры тела, увеличением регионарных лимфоузлов. Десна становится отечной и резко болезненной; из зубодесневых карманов выделяется гной, образуются свищи и абсцессы, усиливается подвижность зубов.
Диагностика
Диагностика и лечение хронического пародонтита проводится стоматологом-пародонтологом. При необходимости к диагностике сопутствующих заболеваний могут быть подключены эндокринолог, гастроэнтеролог, кардиолог, гематолог, аллерголог, ревматолог. Проводится:
- Стоматологический осмотр. Во время осмотра оценивается выраженность изменений: определяются гигиенические и пародонтальные индексы, производится измерение глубины пародонтальных карманов, проводятся функциональные пробы (проба Шиллера-Писарева), составляется пародонтограмма и др.
- Рентген. Степень выраженности хронического пародонтита определяется на основании данных прицельной рентгенографии и ортопантомографии.
- Лабораторная диагностика. С целью определения микробной обсемененности зубодесневых карманов проводится ПЦР-соскоб, бактериологический посев на питательные среды. Для подтверждения эндогенного происхождения хронического пародонтита рекомендуется исследование крови на сахар, определение иммуноглобулинов, содержания СРБ.
На основании данных биопсии десны хронический пародонтит дифференцируют с гингивитом и пародонтозом.
Лечение хронического пародонтита
Объем и характер лечебных мероприятий значительно варьируется в зависимости от степени выраженности хронического пародонтита. Перед началом лечения хронического пародонтита проводится снятие зубных отложений, в дальнейшем пациенту даются практические рекомендации по соблюдению эффективной гигиены полости рта.
Легкая степень
При начальной и легкой форме лечение хронического пародонтита осуществляется консервативными методами, включающими:
- антисептическую обработку слизистой оболочки полости рта (перекисью водорода, хлоргексидином, фурацилином);
- пародонтологические аппликации противовоспалительных средств;
- физиотерапевтические процедуры (электрофорез, ультрафонофорез, дарсонвализацию, лазеротерапию, озонотерапию, массаж десен).
Средняя степень
Лечение хронического пародонтита средне-тяжелой степени предполагает дополнительное проведение закрытого и открытого кюретажа зубодесневых карманов, склерозирующей терапии. Целесообразно назначение внутрь антибактериальных препаратов. Также может потребоваться избирательное пришлифовывание и лечебное шинирование подвижных зубов.
Тяжелая степень
Лечебная тактика в отношении хронического пародонтита тяжелой степени требует сочетания методов терапевтической и хирургической пародонтологии. В этом случае, кроме местной и системной противовоспалительной терапии, по показаниям производится:
- удаление зубов с патологической подвижностью;
- гингивэктомия;
- лоскутные операции (в т. ч. с остеопластикой);
- вскрытие пародонтальных абсцессов и т. п.
Больные с тяжелым хроническим пародонтитом нуждаются в консультации стоматолога-ортопеда для планирования ортопедическое лечения – протезирования конструкциями с шинируюшими элементами.
Прогноз и профилактика
Правильно проведенное комплексное лечение хронического пародонтита и дальнейшее соблюдение рекомендаций стоматолога позволяет восстановить функцию зубочелюстной системы на длительный срок. Легкие и средние степени хронического пародонтита, как правило, не приводят к потере зубов; при тяжелом течении имеется высокий риск развития вторичной адентии.
Профилактика хронического пародонтита заключается в устранении местных и общих провоцирующих факторов (снятии зубных отложений, лечении кариеса, замене некачественных протезов, исправлении прикуса, лечении сопутствующих заболеваний, отказе от вредных привычек и пр.). Пациенты с хроническим пародонтитом нуждаются в диспансерном наблюдении, периодической профессиональной гигиене полости рта и проведении поддерживающей терапии.
Читайте также:
- Исследование полового хроматина. Синдром Шерешевского—Тернера
- Свищ полости рта. Папула. Бляшка. Узел полости рта.
- Влияние радия на ухо. Воздействие рентгеновского облучения на ухо
- Наследственные причины диареи. Синдромы сопровождающиеся диареей
- Синдром Рубинштейна-Тейби - этиология, клиника, диагностика
