Перелом крючковидной кости. Диагностика и лечение
Добавил пользователь Евгений Кузнецов Обновлено: 11.12.2025
Перелом ладьевидной кости, костей запястья нарушение целостности кости, вызванное физической силой или патологическим процессом ладьевидной кости, костей запястья [1].
Соотношение кодов МКБ-10 и МКБ-9:
| МКБ-10 | МКБ-9 | ||
| Код | Название | Код | Название |
| S62.0 | Перелом ладьевидной кости кисти. | 79.13 | |
«Открытая репозиция костных обломков костей запястья и пястных костей с внутренней фиксацией»
«Другие восстановительные и пластические манипуляции на кости запястья и пястной кости»
Дата разработки/пересмотра протокола: 2016 год.
Пользователи протокола: врачи/фельдшеры скорой медицинской помощи, врачи общей практики, хирурги, травматологи.
Категория пациентов: взрослые.
Шкала уровня доказательности:
| А | Высококачественный мета-анализ, систематический обзор РКИ или крупное РКИ с очень низкой вероятностью (++) систематической ошибки результаты которых могут быть распространены на соответствующую популяцию. |
| В | Высококачественный (++) систематический обзор когортных или исследований случай-контроль или Высококачественное (++) когортное или исследований случай-контроль с очень низким риском систематической ошибки или РКИ с невысоким (+) риском систематической ошибки, результаты которых могут быть распространены на соответствующую популяцию. |
| С | Когортное или исследование случай-контроль или контролируемое исследование без рандомизации с невысоким риском систематической ошибки (+). Результаты которых могут быть распространены на соответствующую популяцию или РКИ с очень низким или невысоким риском систематической ошибки (++ или +), результаты которых не могут быть непосредственно распространены на соответствующую популяцию. |
| D | Описание серии случаев или неконтролируемое исследование или мнение экспертов. |

Автоматизация клиники: быстро и недорого!
- Подключено 300 клиник из 4 стран
- 800 RUB / 4500 KZT / 27 BYN - 1 рабочее место в месяц

Автоматизация клиники: быстро и недорого!
- Подключено 300 клиник из 4 стран
- 1 место - 800 RUB / 4500 KZT / 27 BYN в месяц
Мне интересно! Свяжитесь со мной
13-15 октября, Алматы, "Атакент"
600 брендов, более 150 компаний-участников из 20 стран.
Новинки рынка стоматологии. Цены от производителей
Классификация
Классификация [1]
Переломы ладьевидной кости:
Класс А: переломы средней трети;
Класс Б: переломы проксимальной трети;
Класс В: переломы дистальной трети;
Класс Г: переломы бугорка.

Рисунок-1. Классы переломов ладьевидной кости.
Диагностика (амбулатория)
ДИАГНОСТИКА НА АМБУЛАТОРНОМ УРОВНЕ
Диагностические критерии
Жалобы и анамнез
Жалобы:
· боль и отек в области «анатомической табакерки» у основания большого пальца или другой части костей запястья кисти;
· нарушение функции кисти (ограничения движения в суставах, снижение/отсутствие хватательной способности кисти).
Анамнез:
· указание на травму.
Физикальное обследование:
· отек кисти;
· кровотечение при открытых переломах;
· положительный симптом осевой нагрузки на 1 палец;
· пальпация сломанной кости болезненна с лучевой стороны сустава в зоне «анатомической табакерки»;
· движения в лучезапястном суставе ограниченны, болезненные, особенно при отклонении кисти в лучевую и тыльную стороны.
Лабораторные исследования: нет.
Инструментальные исследования:
· рентгенограммы костей запястья в трех проекциях (переднезадней, боковой и полупрофильной) – линии переломов: поперечные, косые, спиральные, продольные, краевые внутрисуставные и внесуставные.

Диагностический алгоритм:
Диагностика (стационар)
ДИАГНОСТИКА НА СТАЦИОНАРНОМ УРОВНЕ
Диагностические критерии на стационарном уровне:
Жалобы и анамнез: см. амбулаторный уровень.
Физикальное обследование: см. амбулаторный уровень.
Инструментальные исследования: см. амбулаторный уровень.
Диагностический алгоритм: см. амбулаторный уровень.
Перечень основных диагностических мероприятий:
· общий анализ крови;
· кровь на микрореакцию;
· определение группы крови;
· определение резус-фактора;
· общий анализ мочи;
· рентгенография лучезапястного сустава в двух проекциях
· определение времени свертываемости.
Перечень дополнительных диагностических мероприятий:
· глюкоза крови;
· ЭКГ;
· биохимический анализ крови (билирубин общий АЛаТ, АСаТ, мочевина, креатинин, белок общий).
Дифференциальный диагноз
| Диагноз | Обоснование для дифференциальной диагностики | Обследования | Критерии исключения диагноза |
| перелом ладьевидной кости, костей запястья | боль и отек в области «анатомической табакерки» у основания большого пальца или другой части костей запястья кисти | рентгенограммы костей запястья в трех проекциях (переднезадней, боковой и полупрофильной | положительный симптом осевой нагрузки на 1 палец; движения в лучезапястном суставе ограниченны, болезненные, особенно при отклонении кисти в лучевую и тыльную стороны. |
| перелом лучевой кости | боль и затруднения при движении в лучезапястном суставе. | сделать снимок в переднезадней и боковой проекциях; необходим третий снимок (в три четверти), который лучше выявляет профиль ладьевидной кости. | Толчок вдоль оси I-II пальцев вызывает боль в области ладьевидной кости. Тыльное сгибание кисти усиливает боль; при ладонном сгибании боль сравнительно меньше |
| вывих полулунной кости | припухлость и боль при давлении локализуются в области анатомической табакерки. | Наличие линии перелома в кости | |
| перелом полулунной кости |
Лечение
Препараты (действующие вещества), применяющиеся при лечении
| Ванкомицин (Vancomycin) |
| Кетопрофен (Ketoprofen) |
| Кеторолак (Ketorolac) |
| Линкомицин (Lincomycin) |
| Прокаин (Procaine) |
| Трамадол (Tramadol) |
| Цефазолин (Cefazolin) |
| Цефтазидим (Ceftazidime) |
| Цефуроксим (Cefuroxime) |
Лечение (амбулатория)
ЛЕЧЕНИЕ НА АМБУЛАТОРНОМ УРОВНЕ
Тактика лечения:
Лечение переломов ладьевидной кости, костей запястья требует полной и непрерывной иммобилизации до полной консолидации перелома, которая контролируется лучевыми методами исследования. При переломе без смещения проводится иммобилизация лучезапястного сустава и первого пальца с небольшим отведением в течение 2 месяцев, пока перелом срастается.
NB! Если перелом ладьевидной кости происходит без смещения отломков, то линию перелома на рентгенограмме можно и не увидеть. При любой травме кисти выполняется шинирование на 10 дней, на 10-й день повторить.
NB! Если имеется смещение отломков, присутствует риск асептического некроза, то рекомендуется хирургическое лечение перелома.
Немедикаментозное лечение:
· режим 2;
· стол №15.
Медикаментозное лечение: для купирования болевого синдрома применяются ненаркотические анальгетики
· кетопрофен;
· кеторолак.
Показания для консультации специалистов:
· консультация невропатолога: при наличии неврологической патологии;
· консультация терапевта: при изменениях на ЭКГ.
Профилактические мероприятия
Профилактика травматизма:
· соблюдение правил техники безопасности в быту и на производстве;
· соблюдение правил дорожного движения;
· соблюдение мер по профилактике уличного травматизма;
· создание безопасной среды на улице, в быту и на производстве (гололедица, установление дорожных знаков и.т.д.);
· проведение информационно-разъяснительной работы среди населения о мерах профилактики травматизма.
Мониторинг состояния пациента:
· индивидуальная карта наблюдения пациента.
Индикаторы эффективности лечения:
· купирование болевого синдрома;
· стабильный остеосинтез репонированных костных отломков;
· консолидация перелома;
· восстановление функции кисти.
Лечение (скорая помощь)
ДИАГНОСТИКА И ЛЕЧЕНИЕ НА ЭТАПЕ СКОРОЙ НЕОТЛОЖНОЙ ПОМОЩИ
Диагностические мероприятия:
· сбор жалоб и анамнеза, клиническая диагностика повреждения;
· физикальное обследование.

Медикаментозное лечение:
Первая помощь при переломе ладьевидной кости руки:
Обезболивание ненаркотические анальгетики:
· кеторолак;
· кетопрофен.
Лечение (стационар)
ЛЕЧЕНИЕ НА СТАЦИОНАРНОМ УРОВНЕ
Тактика лечения:
Лечение переломов ладьевидной кости требует полной и непрерывной иммобилизации до полной консолидации перелома, которая контролируется рентгенологически/компьютерной томографией. При переломе без смещения проводится иммобилизация лучезапястного сустава и первого пальца с небольшим отведением в течение 2 месяцев, пока перелом срастается.
NB! Если перелом ладьевидной кости происходит без смещения отломков, то линию перелома на рентгенограмме можно и не увидеть. При любой травме ладъевидной кости выполняется иммобилизация на 10 дней, с последующим контрольным осмотром и рентгенологическим исследованием на 10-й день.
NB! Если имеется смещение отломков, присутствует риск асептического некроза, то рекомендуется хирургическое лечение перелома.
Немедикаментозное лечение:
· режим II, III;
· диета – №15.
Медикаментозное лечение:
Ненаркотические и наркотические анальгетики применяются с целью обезболивания и предоперационной премедикации (таблица 1). НПВС в целях обезболивания назначается перорально, в целях послеоперационного обезболивания следует начинать за 30-60 мин до предполагаемого окончания операции внутривенно.
NB! Не показано внутримышечное введение НПВС для послеоперационного обезболивания из-за изменчивости концентраций препаратов в сыворотке крови и боли, вызванной инъекцией, исключением является кеторолак (возможно внутримышечное введение). НПВС противопоказаны пациентам с язвенными поражениями и кровотечениями из желудочно-кишечного тракта в анамнезе.
Антибактериальные средства используются для проведения периоперационной антибиотикопрофилактики при проведении оперативного вмешательства и при инфицировании послеоперационной раны (таблица 1). Изменение перечня антибиотиков для должно проводиться с учетом микробиологического мониторинга в стационаре.
Перечень основных лекарственных средств
Местноанестезирующие препараты:
· прокаин.
Периоперационная антибиотикопрофилактика:
· цефазолин
или
· ванкомицин
Антибиотикотерапия:
· цефуроксим
или
· линкомицин
или
· цефтазидим
Опиоидные анальгетики:
· трамадол
Нестероидные противовоспалительные средства:
· кетопрофен
· кеторолак
Перечень дополнительных лекарственных средств: нет.
Таблица – 1. Лекарственные средства, применяемые при переломе ладьевидной кости.
| № | Препарат, формы выпуска | Дозирование | Длительность применения | Уровень доказательности |
| Местноанестезирующие препараты | ||||
| 1 | Прокаин | |||
Хирургическое вмешательство
Название оперативного вмешательства:
· костная пластика кортикальным трансплантатом;
· костная пластика по Matti-Russe.
Цель проведения процедуры/вмешательства: стабилизация перелома ладьевидной кости.
Показания:
· нестабильные переломы со смещением на 1 мм или более;
· оскольчатые переломы;
· переломы проксимального полюса ладьевидной кости;
· переломы с увеличением угла ладьевидной кости более 45°;
· при нестабильности запястья;
· открытая репозиция с внутренней фиксацией отломков.
Противопоказания к процедуре/вмешательству:
· гнойно-воспалительные заболевания кожи;
· наличие ран в области лучезапястного сустава;
· наличие нейротрофического синдрома (синдром зудека).
Другие виды лечения: нет.
Показания для консультации специалистов: см. амбулаторный уровень.
Показания для перевода в отделение интенсивной терапии и реанимации:
· угнетение сознания;
· резкое нарушение жизненно важных функций (ЖВФ): гемодинамики, дыхания, глотания, вне зависимости от состояния сознания;.
Индикаторы эффективности лечения:
· купирование болевого синдрома;
· стабильный остеосинтез репонированных костных отломков;
· консолидация перелома;
· восстановление функции кисти.
МЕДИЦИНСКАЯ РЕАБИЛИТАЦИЯ: смотрите протокол по медицинской реабилитации по профилю «Травматология (взрослая)».
Госпитализация
Показания для плановой госпитализации:
· переломы с неустраненным смещением;
· переломы неправильно сросшиеся;
· переломы несросшиеся.
Показания для экстренной госпитализации:
· переломо – вывихи.
Информация
Источники и литература
Информация
| АЧТВ | – | активированное частичное тромбопластиновое время |
| АЛТ | – | аланинаминотрансфераза |
| АСТ | – | аспартатаминотрансфераза |
| КТ | – | компьютерная томография |
| НПВС | – | нестероидные противовоспалительные средства |
| НПВС | – | нестероидные противовоспалительные средства |
| ОАК | – | общий анализ крови |
| ОАМ | – | общий анализ мочи |
| ЭКГ | – | электрокардиограмма |
Список разработчиков протокола с указанием квалификационных данных:
1) Баймагамбетов Шалгинбай Абыжанович – доктор медицинских наук, заместитель директора по клинической работе РГП на ПХВ «Научно-исследовательский институт травматологии и ортопедии» МЗСР РК.
2) Баубеков Мейрам Бейсембаевич – кандидат медицинских наук, старший научный сотрудник, заведующий отделением микрохирургии и травмы кисти РГП на ПХВ «Научно-исследовательский институт травматологии и ортопедии» МЗСР РК.
3) Игимбаев Тимур Киндешевич – кандидат медицинских наук, доцент кафедры общей хирургии, травматологии и ортопедии РГП на ПХВ «Карагандинский государственный медицинский университет» МЗСР РК.
4) Ихамбаева Айнур Ныгымановна – врач клинический фармаколог АО «Национальный центр нейрохирургии».
Указание на отсутствие конфликта интересов: нет.
Список рецензентов: Дюсупов Ахметкали Зейнолдаевич – доктор медицинских наук, профессор, заведующий кафедрой медицина катастроф РГП на ПХВ «Государственный медицинский университет города Семей» МЗСР РК.
Указание условий пересмотра протокола: пересмотр протокола через 3 года после его опубликования и с даты его вступления в действие или при наличии новых методов с уровнем доказательности.
Перелом крючковидной кости
Есть вопросы по реабилитации после перелома крючковидной кости?
Проконсультируйтесь у реабилитолога!
- лично : очный прием в Москве
- дистанционно : по видеосвязи
Переломы крючковидной кости являются редкими и не достаточно освещенными. Как правило, такие переломы неправильно диагностируют, или путают с простыми растяжениями запястья. Поздняя диагностика - частое явление. Крючковидная кость имеет треугольную форму, образует часть дистального запястного ряда, сочленяясь с головчатой костью (радиально), трехгранной костью (проксимально) и пятой и четвертой пястными костями (дистально). Учитывая уникальную анатомию крючковидной кости, ее переломы обычно подразделяются на две большие.
Клинически значимая анатомия
Крючковидная кость - одна из восьми пястных костей, она представляет собой треугольную кость, которая состоит из тела и крючка (hamulus) и располагается на локтевой стороне дистального запястного ряда.
Крючковидная кость имеет треугольную форму, образует часть дистального запястного ряда, сочленяясь с головчатой костью (радиально), трехгранной костью (проксимально) и пятой и четвертой пястными костями (дистально). [1]
Через канал Гийона (фиброзно-костная структура, образующая борозду между гороховидной костью и крючком крючковидной кости) проходят локтевая артерия и нерв, по этой причине переломы крючка предполагают высокую вероятность повреждения локтевой артерии и локтевого нерва. [1]
Этиология
- Перелом крючка часто встречается в видах спорта, требующих твердое сцепление, например, теннис, бейсбол и гольф.
- Переломы тела крючковидной кости связаны с травмами в результате более высокой кинетической энергии, такими как удар кулаком, и могут сопровождаться сопутствующими переломами запястья и запястно-пястными вывихами. Переломы тела встречаются реже. [1]
Эпидемиология
Переломы крючковидной кости встречаются редко, на их долю приходится от 2 до 4% переломов запястья.
- Переломы дистального ряда запястных костей встречаются реже, чем переломы проксимального ряда.
- Переломы крючковидной кости (крючка и тела), как правило, возникают у молодых, активных пациентов. Они необычны для пациентов детского возраста. [1]
Механизм травмы / Патологический процесс
- Травмы крючка возникают при многократных воздействиях, как правило, в результате спортивной деятельности (ракетка, дубинка, бита), оказывающей прямое воздействие на крючковидную кость.
- Крючок всегда находится под угрозой из-за своеобразной анатомии, он выступает за пределы тела крючковидной кости в локтевую сторону ладони.
- Также могут возникать отрывные переломы крючка, так как крючок крючковидной кости служит точкой прикрепления трех сухожилий (мышцы, противопоставляющей мизинец, разгибателя мизинца и локтевого сгибателя запястья).
- Перелом тела крючковидной кости является следствием прямого удара по возвышению мизинца или значительно сильной тыльно-ладонной компрессии.
- Перелом тела может также являться результатом высокоэнергетической травмы, приводящей к переломовывихам запястья.
- Переломы тела могут приводить к развитию аксиальной нестабильности запястья.
Клиническая картина
Несмотря на то, что клинические результаты могут быть неясными и неспецифичными, существуют тесты, эффективно применяемые при подозрении на перелом крючка крючковидной кости.
- У молодых спортсменов с хронической болью вдоль локтевой стороны запястья подозрение более высокое.
- Перелом крючка часто сопровождается хронической болью в запястье, с чувствительностью и острой болью в области возвышения мизинца.
- При хронических заболеваниях довольно распространены парестезии вдоль безымянного пальца и мизинца.
Часто встречается несвоевременная врачебная консультация.
- Характерно снижение силы захвата. При захвате возникает боль вдоль локтевой стороны запястья. Боль в четвертой и пятой пястных костях связана с повреждениями крючковидной кости; деформация пястной кости также может быть косвенным признаком перелома тела крючковидной кости.
- Тест на сгибание: при переломах крючка активное сгибание дистальных межфаланговых суставов безымянного пальца и мизинца может вызвать боль. Это является результатом деформирующих сил сухожилий сгибателей, прикрепленных в месте перелома.
Поскольку перелом тела крючковидной кости связан с травмой более высокой энергии и связанными с ней повреждениями, диагноз, как правило, является острым. При переломах тела крючковидной кости часто обнаруживают отек и болезненность над дорсальной локтевой стороной запястья. [1]
Смещенные фрагменты крючковидной кости и гематома, а также несрастание крючка могут привести к невропатии глубокой ветви локтевого нерва, поражению срединного нерва или даже разрыву глубоких сухожилий IV и V сгибателей.
Фрагменты перелома могут напрямую повредить нервы, а отек и воспаление - опосредованно. [2] [3] [4] [5]
Диагностические мероприятия
Первоначальные диагностические исследования должны включать рентгенографию в косой проекции или проекции запястного канала. Этот метод может помочь с диагностикой и дать важную дополнительную информацию для оказания соответствующей помощи. [6]
Стандартные рентгенограммы обладают высокой частотой ложноотрицательных результатов и имеют чувствительность 70%
Специфические проекции включают проекцию запястного канала и полусупинированную косую радиальную проекцию.
- Для достижения правильного диагноза часто необходима компьютерная томография (100% чувствительность).
- МРТ-сканирование необходимо только при хроническом заболевании (аваскулярный некроз) [1].
Методы лечения
Переломы крючка
- Острый, без смещения: Иммобилизация, наложение локтевой желобоватой гипсовой повязки на шесть недель. До сих пор ведутся споры о том, насколько при данном типе переломов эффективно хирургическое лечение на начальной стадии. Для спортсменов, как правило, более выгодно раннее хирургическое лечение, позволяющее возвращаться к занятиям спортом через три месяца.
- Острый, со смещением: Иссечение костного фрагмента - общепринятый стандартный метод. Другим проверенным методом является открытая репозиция с внутренней фиксацией (винты или спицы Кишнера). Оба метода показали сходные клинические результаты.
- Хроническая боль, несращение: Эти признаки требуют фиксации перелома с помощью костной пластики.
Переломы тела
- Острый, без смещения: Иммобилизация, гипс на шесть недель.
- Острый, со смещением: Открытая репозиция с внутренней фиксацией (спицы Кишнера, сетчатая пластина, безшляпочные компрессирующие винты). [1]
Реабилитация
При консервативном лечении терапию следует начинать сразу после снятия гипса.
- После иммобилизации кисти и запястья обычно происходит снижение силы и амплитуды супинации и пронации, а также потеря силы внутренних мышц и контроля над ними.
- С целью решения этих проблем проводят специальные физиотерапевтические упражнения. Для возвращения надлежащей проксимальной стабильности к комплексу верхней конечности, для нее может также потребоваться реабилитация, особенно при возвращении к спортивной деятельности.
При лечении с помощью ORIF (открытая репозиции с внутренней фиксацией) к физиотерапии следует приступать после 3-недельной иммобилизации. В послеоперационный период физиотерапевт руководит реабилитацией и отчитывается перед другими членами команды о прогрессе или застое/регрессии процесса реабилитации.
Началом ранней терапии может быть иссечение крючка.
Реабилитационный протокол должен быть рассчитан на 4-6 недель. [1]
- В зависимости от травмы выполняются пассивные и активные упражнения. По мере того как упражнения на координацию улучшают функцию и амплитуду движений, в программу могут быть включены упражнения с сопротивлением и упражнения для восстановления силы.[8]
- В течение первых дней после травмы может образовываться отек кисти, который приводит к снижению функции кисти. Уменьшению отека может способствовать помещение кисти в положение выше локтя.
- Во время реабилитации физиотерапевт использует методы пассивной мобилизации для нормализации АД и вращательные и скользящие движения вовлеченного сустава. Реабилитация могут включать такие мобилизационные техники, как тракция, скольжение и угловые движения.
Во время реабилитации после гипсовой иммобилизации запястья будет наблюдаться некоторая жесткость капсулы запястного сустава.
- Выполняются тракция и скольжение.
- Для улучшения функции и более быстрого возвращения к активной деятельности, пациенту также рекомендуется максимально мобилизовать пораженные суставы.
- Во избежание жесткости соседних суставов рекомендована их активная мобилизация.
- Мышцы кисти и сгибатели пальцев демонстрируют повышенный тонус и имеют тенденцию к укорочению. Необходимо растягивать сгибатели кисти и (насколько позволяют боль и отек) добавлять эксцентрические упражнения.
- Упражнения с прогрессивно возрастающим сопротивлением включают после достаточного сращения перелома. Упражнения состоят из концентрических и эксцентрических мышечных сокращений, упражнений с открытой и закрытой кинетической цепью. Упражнения с сопротивлением необходимы для восстановления хорошей функциональной активности руки.[9]
- Сообщалось, что низкоинтенсивный ультразвук ускоряет заживление переломов, стимулируя естественный процесс их восстановления [2]
Лечение ультразвуком эффективно при несращениях, вызванных повторными нагрузками. Ультразвук применяют при несращениях крючка крючковидной кости, и используют в различных методах лечения.[10]
Дифференциальная диагностика
Дифференциальная диагностика включает:
- Травма сухожилия локтевого сгибателя/разгибателя запястья
- Перелом или ушиб пястной/запястной кости
- Разрыв треугольного фиброзно-хрящевого комплекса
- Тромбоз локтевой артерии
- Невропатия локтевого нерва
- Синдром канала запястья
Основные показания к операции
Выбор между наложением гипсовой повязки и хирургическим вмешательством основывается на требованиях к образу жизни пациента. Спортсмен, который не хочет иметь риск несращения после гипсовой повязки, может выбрать оперативное лечение, чтобы свести к минимуму время, проведенное без занятий спортом. Точно так же пациент с работой, требующей повторяющихся захватов, щипков или подъема, может выбрать иссечение, чтобы снизить риск длительного периода без работы. [4]
Переломы костей кисти
Переломы костей кисти — травмы, при которых нарушается целостность костей запястья, пясти или фаланг пальцев. Это распространенные повреждения, на долю которых приходится около трети всех переломов костей.Такая тенденция связана как с относительной хрупкостью кисти, приспособленной для выполнения тонких манипуляций, так и с ее высокой активностью. Перелом может произойти в результате падения на согнутую кисть, удара кулаком, ребром ладони или пальцами или прямого удара по кисти.

Костный аппарат кисти состоит из 27 костей трех отделов — запястья, пясти и пальцев. Запястье состоит из 8 губчатых костей, расположенных в два ряда — проксимальный, ближе к предплечью, и дистальный, ближе к пясти. Первым, проксимальным рядом, начиная от большого пальца, располагаются ладьевидная, полулунная и трехгранная кости, образующие сочленение с лучевой костью предплечья — лучезапястный сустав. Четвертая кость проксимального ряда — гороховидная — в формировании лучезапястного сустава не участвует.
Второй, дистальный ряд — многоугольная, трапециевидная, головчатая и крючковидная кости — соединяются с пятью трубчатыми костями пясти, радиально расходящимися от запястья. Дистальные концы пястных костей образуют пять пястно-фаланговых суставов — соединений пясти с пальцами. Первый палец кисти состоит из двух фаланг, остальные — из трех. Фаланги пальцев — короткие трубчатые кости — соединяются между собой межфаланговыми суставами.
Наиболее подвержены переломам кости фаланг пальцев и пястные кости. Кости запястья ломаются достаточно редко. Абсолютное большинство повреждений костей запястья приходится на перелом ладьевидной кости, реже страдают полулунная и гороховидная кости. Переломы крючковидной кости и дистальных костей запястья в клинической практике практически не встречаются.
Переломы костей кисти сопровождаются резкой болью и отечностью в области повреждения, при смещении костных отломков возможна деформация кисти. В месте отека может появиться гематома. При некоторых переломах можно прощупать смещенные костные отломки под кожей или услышать их крепитацию. Диагноз может быть установлен врачом-травматологом, который выяснит жалобы, подробно расспросит о механизме травмы, произведет осмотр и пальпацию области перелома, проверит сохранность движений в суставах. Подтверждает диагноз рентгенологическое исследование кисти, на котором можно визуализировать линию перелома, оценить степень смещения отломков и в результате — определиться с тактикой лечения.
Лечение переломов кисти включает в себя обязательную иммобилизацию гипсовой повязкой на срок от 3 до 8 недель. В случае смещения отломков проводится закрытая репозиция, при ее неэффективности — скелетное вытяжение или остеосинтез. Тщательное сопоставление отломков и консолидация перелома важны для сохранения не только эстетики кисти, но и полноценной ее функции.
Классификация переломов костей кисти
В зависимости от наличия или отсутствия повреждения кожи над переломом различают:
- закрытые переломы — целостность кожи не нарушена;
- открытые переломы — в области повреждения имеется рана, в которой могут определяться костные отломки.
По положению костных отломков:
- без смещения — сломанная кость сохраняет свое положение, отломки точно соприкасаются по линии перелома;
- со смещением — костные отломки расходятся в стороны и в результате не могут срастись по линии перелома без их сопоставления — репозиции.
По вовлечению в перелом суставных структур:
- внесуставные переломы — линия перелома проходит вне полости сустава;
- внутрисуставные переломы — линия перелома находится внутри полости сустава;
- переломовывихи — нарушение целостности кости в сочетании с вывихом в смежном суставе.
По локализации перелома:
- переломы костей запястья;
- переломы пястных костей;
- переломы фаланг пальцев.
Также можно классифицировать переломы кисти в зависимости от количества отломков, степени смещения, присоединения инфекции. Важное значение имеет и этиология перелома — был ли он травматическим или же патологическим — возникшим на фоне заболевания костей. Все эти факторы влияют на выбор лечебной тактики при переломах и в конечном итоге — возможности полного восстановления функции поврежденной кисти.
Переломы костей запястья
Кости запястья в силу своей формы, структуры и положения ломаются достаточно редко. Наиболее подвержена перелому ладьевидная кость — крупная косточка в основании большого пальца. Также встречаются повреждения полулунной и гороховидной костей запястья. Трехгранная кость, а также кости дистального ряда — многоугольная, трапециевидная, головчатая и крючковидная — подвержены переломам крайне редко, обычно их переломы сочетаются с вывихами в соответствующих суставах.
Переломы ладьевидной кости
Причина — падение на согнутую кисть, удар кулаком или прямая травма запястья. Возможны следующие варианты:
- внутрисуставной перелом ладьевидной кости — линия перелома находится внутри полости лучезапястного сустава;
- внесуставной перелом — отрыв бугорка ладьевидной кости;
- переломовывих де Кервена — одновременный перелом ладьевидной кости и вывих ее проксимального отломка и полулунной кости из лучезапястного сустава.
Симптомы — боль и отечность в основании большого пальца, невозможность двигать рукой в лучезапястном суставе, сжимать кисть в кулак. Диагноз устанавливается на основании жалоб пациента, данных о характере возникновения травмы, осмотра и рентгенографии костей кисти. Иногда при отсутствии смещения отломков линия перелома при всех его признаках не определяется. В этом случае все равно проводится иммобилизация с повторной рентгенографией через 7-10 дней, когда из-за активации регенеративных процессов линия перелома становится хорошо заметной.
Лечение — иммобилизация гипсовой повязкой на срок 4 недели с последующим контролем и продлением иммобилизации при недостаточной консолидации перелома. При смещении отломков и переломовывихе закрытая репозиция неэффективна, показана фиксация отломков ладьевидной кости спицей. Переломы ладьевидной кости часто осложняются развитием ложного сустава или лизисом костных отломков из-за повреждения кровоснабжающих их сосудов при травме. Поэтому важно выполнять все рекомендации врача, своевременно делать контрольные снимки, чтобы избежать осложнений и ухудшения функции лучезапястного сустава. После восстановления целостности ладьевидной кости для восстановления функции кисти показаны физиотерапевтическое лечение и лечебная физкультура.
Переломы полулунной кости
Причина — падение на согнутую кисть или прямая травма, удар по запястью. Проявляется болью и отечностью, усиливающимися при движениях в III, IV и V пальцах и при разгибании кисти. Диагноз устанавливается с учетом жалоб, механизма получения травмы, объективного осмотра области повреждения и результатов рентгенологического исследования. Для лечения перелома полулунной кости накладывают гипсовую повязку сроком на 4-8 недель. Обычно восстановление протекает без осложнений.
Переломы гороховидной кости
Причина — удар ребром ладони или прямая травма. Проявляется болью и отечностью запястья со стороны мизинца, усилением боли при его движении. Диагноз устанавливают с учетом жалоб, анамнеза травмы, осмотра области повреждения и рентгенографии костей кисти. Для полной консолидации перелома гороховидной кости достаточно 4-5 недель иммобилизации. Осложняется травма редко.
Переломы пястных костей
Длинные и тонкие пястные кости часто ломаются при ударе кулаком или прямой травме. Тяга мышц и движения в кисти до иммобилизации перелома нередко приводят к смещению костных отломков. Выделяют эпифизарные переломы, когда линия перелома локализуется в области головок костей, и диафизарные — переломы тела кости.
Перелом первой пястной кости
Причина — удар согнутым первым пальцем, реже — прямой удар по первой пястной кости.
Перелом основания I пястной кости. Характерная травма для боксеров и бойцов MMA. Различают перелом Беннета — отрыв участка основания первой пястной кости, который удерживается связками, с одновременным вывихом ее большей части в запястно-пястном суставе. Перелом Роландо — многооскольчатый переломовывих I пястной кости. Обе травмы проявляются болью, деформацией и отечностью в области “анатомической табакерки” — области под основанием первого пальца — с усилением боли при движении, попытке сжать кулак. Диагностика осуществляется с учетом жалоб, данных анамнеза травмы, осмотра области повреждения и рентгенографии кисти. Лечат переломы Беннета и Роландо хирургическим путем с применением остеосинтеза — восстановления целостности кости путем фиксации отломков металлическими спицами, штифтами или пластинами.
Перелом средней части I пястной кости. Чаще возникает вследствие прямого удара по кости. Проявляется болью, отеком и деформацией в области первой пястной кости. Диагноз устанавливается с учетом жалоб пациента, сведений о механизме повреждения, осмотра области первой пястной кости и рентгенологического исследования костей кисти. Лечение — гипсовая иммобилизация сроком 4-5 недель, при смещении отломков — предварительная закрытая репозиция. При неэффективности консервативной репозиции для сопоставления отломков проводится операция — спицевой остеосинтез.
Пример операции доктора Валеева по восстановлению после перелома первой пястной кости:



Перелом II, III, IV, V пястных костей
Причина — удар кулаком или падение на сжатые в кулак пальцы. Могут быть одиночными, но чаще ломаются несколько пястных костей, обычно — четвертая и пятая. Проявляется болью, отеком и деформацией кисти, нередко возникает гематома. Диагностируется на основании жалоб, анамнеза травмы, объективного осмотра и результатов рентгенографии костей кисти. Для лечения перелома без смещения выполняется иммобилизация сроком на 4-5 недель. При смещении отломков показана закрытая репозиция, а при ее неэффективности — скелетное вытяжение или спицевой остеосинтез.
Перелом фаланг пальцев
Причина — удар пальцами, травма при фиксации пальцев или прямой удар по фалангам. Переломы фаланг пальцев могут быть:
- внутрисуставными;
- внесуставными;
- одиночными;
- множественными — в пределах одного пальца или нескольких;
- сочетаться с вывихами в пястно-фаланговых или межфаланговых суставах.
Симптомы — боль, отек, гематома, деформация. Болевые ощущения усиливаются при попытке движения пальцами. Диагноз устанавливается на основании жалоб, данных анамнеза травмы, объективного осмотра и результатов рентгенографии. Для лечения перелома фаланг пальцев без смещения выполняется фиксация гипсовой повязкой на 3-4 недели. При переломовывихах проводят вправление суставов, при смещении отломков — закрытую репозицию. Если сопоставить отломков закрытым путем не удается, показаны скелетное вытяжение или спицевой остеосинтез.
Перелом крючковидной кости. Диагностика и лечение
Переломы крючковидной кости, несмотря на их сравнительную редкость (1,8—2,2% всех переломов костей запястья), представляют собой достаточно серьезные повреждения с рядом особенностей в течении, лечении, а также и диагностике. Это касается и переломов тела кости и ее крючка.
В механогенезе рассматриваемых повреждений резко преобладает прямое насилие: переломы наступают при сдавлениях, ударах тяжестями, при падениях с прямым ушибом разогнутой кисти. Немало переломов крючка крючковидной кости возникает у спортсменов, пользующихся ракеткой, клюшкой, битой; но возможны переломы
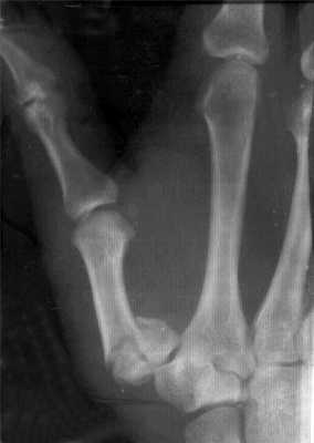
Рис. 36. Перелом крючковидной кости (указан стрелкой) при чрез- ладьевидно-чрескрючковидно-межпястно-латеролунарном вывихе кисти и энуклеации проксимального фрагмента ладьевидной кости с повреждением проксимальной запястной дуги у больного 37 лет в результате прямой травмы (рентгенограммы), а — в день травмы; б — через 10 нед после открытого вправления (предпринятого через месяц с момента травмы) с реплантацией фрагмента ладьевидной кости и костной пластики, с устранением расхождения поперечной запястной дуги и репозицией фрагмента крючковидной кости: отсутствие сращения крючковидной кости вследствие непроведения костной пластики и внутренней фиксации.
крючка вследствие отрывного действия прикрепляющихся к нему связок и хмышц.
Н. Milch (1934) выделял две главные формы переломов тела кости: кнаружи от крючка (с лучевой стороны) и кнутри от крючка (с локтевой стороны). Переломы могут быть также косыми, поперечными, краевыми, локализоваться у основания или верхушки. В связи с преимущественно прямым механизмом травмы нередки расхождения фрагментов, повреждения близлежащих структур. Иногда переломы крючковидной кости сочетаются с повреждениями проксимальной запястной дуги, вывихами (рис. 36). При свежих повреждениях боли ощущаются в локтевой половине кисти проксимальнее основания IV—V пястных костей с локальной болезненностью и отеком. По рентгенограммам в прямой проекции, дополненной снимками в первой и второй косых проекциях, переломы тела обнаруживают без особых затруднений. Иногда иммобилизация при косых и продольных переломах не приводит к сращению даже в отсутствие заметных смещений, что зависит не от нарушений в
кровоснабжении, а от биомеханических причин. В связи с этим желательна первичная стабилизация фрагментов спицами или же — при наличии смещений — открытая репозиция и остеосинтез спицами с иммобилизацией в гипсовой повязке на срок 6—8 нед.
Боли в основании ладони с локтевой стороны, усиливающиеся при движениях в кистевом суставе, при захвате крупных предметов и болезненность при глубокой пальпации дистальнее гороховидной кости на 1,5—2 см дают основание заподозрить наличие перелома крючка крючковидной кости. Из рентгенографических методов наиболее доказательна является аксиальная проекция запястного канала. Однако это исследование затруднительно в острых случаях. Кроме того, на профильной рентгенограмме запястного канала часто не удается обнаружить перелом основания крючка. Обычные проекции, но с особыми укладками могут быть полезны для диагностики. Так, в прямой проекции с прижатой к кассете ладонью и разогнутыми пальцами крючок крючковидной кости открывается не в торец, а несколько укороченным телом. Точно так же, в боковой проекции с легким разгибанием, максимальным лучевым отклонением кисти и максимальным отведением I пальца можно обнаружить крючок в основании первого межпястного промежутка. Бесспорную ценность имеет томография в боковой проекции.
При свежих переломах крючка следует провести иммобилизацию в течение 5—6 нед, хотя шансы на консолидацию малы: иммобилизацию предпринимают с целью предотвращения ранних или поздних осложнений.
Дальнейшая тактика определяется последующими клиническими знаками, поскольку иногда несращение крючка может остаться без последствий. Довольно часто, однако, поздно обнаруженным несращениям крючка сопутствуют различной силы и степени расстройства: тен- диниты локтевого сгибателя кисти, теносиновиты сгибателей пальцев, двигательные и чувствительные нарушения со стороны ветвей локтевого или срединного нервов, вторичные разрывы сухожилий сгибателей.
В подобных обстоятельствах показано незамедлительное оперативное лечение с резекцией крючка, невролизом глубокой ветви локтевого нерва, восстановлением сухожилий и др. Не будет ошибкой и превентивная резекция крючка даже при отсутствии заметных расстройств. Скрупулезное проведение операции, при кото
рой особую заботу проявляют о сохранности глубокой ветви локтевого нерва, с тщательной обработкой «корня» крючка приводит к тому, что вся патологическая симптоматика исчезает бесследно.
Перелом крючковидной кости

Перелом крючковидной кости запястья, несмотря на относительную редкость, является достаточно серьезным повреждением и имеет ряд особенностей в течении, лечении и диагностике. Это характерно и для перелома тела кости, и для перелома её крючка. Перелом происходит либо в результате удара по пятой пястной кости, либо вследствие падения на вытянутую руку. При этом достаточно падения с высоты собственного роста. В группу риска входят спортсмены, дети и люди пожилого возраста.
Симптомы и диагностика перелома крючковидной кости
Основные симптомы, указывающие на перелом крючковидной кости выражаются болью и отеком в основании ладони с локтевой стороны. Боль усиливается при движениях кисти. Кроме того, у пострадавшего отмечается:
- чрезмерная чувствительность в нижней части кисти;
- боль при тыльном разгибании кисти;
- уменьшение силы захвата;
- возможно подкожное кровоизлияние и онемение части кисти.

Перелом изгиба крючковидной кости не определяется на рентгенограммах в стандартных проекциях. Наиболее эффективным является рентгеновский снимок в аксиальной проекции запястного канала. Однако в некоторых случаях случаях, даже этот метод не позволяет поставить диагноз. Кроме того, на профильной рентгенограмме запястного канала часто не отображается перелом основания крючка. В то же время, рентген в обычных проекциях, но с особыми укладками кисти оптимально подходит для диагностики. Детализировать картину перелома поможет компьютерная томография или МРТ.
Лечение перелома крючковидной кости
Консервативное лечение перелома крючковидной кости обычно заключается в иммобилизации лучезапястного сустава с помощью гипса на срок около 5-6 недель. При наличии смещения показано хирургическое вмешательство — открытая репозиция костных фрагментов и их фиксация с помощью спиц. После сопоставления фрагментов проводится контрольный рентген и накладывается гипс сроком до двух месяцев. Дальнейшая тактика лечения зависит от клинических проявлений.

Довольно часто возникает несращение крючка крючковидной кости, которое в дальнейшем сопровождается различными осложнениями: воспалением сухожилия локтевого сгибателя запястья, теносиновитами сгибателей пальцев, двигательными и чувствительными нарушениями со стороны ветвей локтевого или срединного нервов, вторичными разрывами сухожилий сгибателей запястья.
При данных осложнениях показано оперативное вмешательство с резекцией крючка, невролизом глубокой ветви локтевого нерва, восстановлением сухожилий и др. Также возможно удаление крючка при отсутствии существенных осложнений. Скрупулезное проведение операции приводит к полному исчезновению патологической симптоматики. Хирургическое вмешательство осуществляется под общим наркозом, в некоторых случаях может быть использовано местное обезболивание.

Реабилитация после перелома крючковидной кости
Продолжительная иммобилизация приводит к частичной атрофии мышц, нарушению кровообращения в кисти и снижению чувствительности нервных окончаний. Избежать подобных осложнений можно, начав заниматься лечебной физкультурой через 3-4 дня после наложения гипсовой повязки. Движение пальцами, не зафиксированными повязкой, значительно улучшит циркуляцию крови в кисти.
Восстановление полноценной двигательной функции руки займет от 3 до 6 месяцев. На сроки восстановления влияют сложность и характер травмы, возраст пострадавшего и его старание во время занятий ЛФК. Заниматься ЛФК стоит несколько раз в день.

Помимо лечебной физкультуры, при переломе крючковидной кости назначаются физиотерапия и массаж. Данные процедуры способствуют притоку крови к травмированной области, купируют боль, снимают отек.
Физиопроцедуры включают в себя:
- воздействие лазером;
- магнитную терапию;
- ионофорез;
- прогревание парафином или озокеритом.

При проведении всех мероприятий, направленных на восстановление после перелома крючковидной кости, в 90 процентах случаев удается добиться полного восстановления функции кисти. Если пренебрегать указаниями реабилитолога, возрастает вероятность развития различных осложнений, к примеру, контрактуры суставов. Поэтому следует правильно и систематично выполнять назначенный комплекс упражнений. Только в таком случае можно достичь полного восстановления и вернуть кисти работоспособность.
Массаж после перелома крючковидной кости
Комплекс упражнений при переломе крючковидной кости
Заключение
Перелом крючковидной кости кисти встречается достаточно редко. Основными симптомами перелома является отек в области травмы, локальная болезненность и ограничение движений. Из-за небольших размеров кости затрудняется диагностика перелома, поэтому рентген выполняется в нескольких проекциях с особым расположением кисти. Лечение перелома может быть консервативным и оперативным с наложением гипса на срок до двух месяцев. С первых дней ношения гипса назначается восстановительные мероприятия, которые помогут полностью восстановить активность руки. Большое значение для скорейшего выздоровления имеет соблюдение всех рекомендаций врача.
Читайте также:
- Профилактика травматизма овец. Нейрогуморальная реакция на травму
- Секвестрация легких. Эмфизема легких
- Статолитовый аппарат. Роль киноцилий вестибулярного анализатора.
- Профилактика ИБС при артериальной гипертензии. Ингибиторы АПФ
- Радиационная апластическая анемия - влияние ионизирующего облучения на организм
