Периимплантит: причины, симптомы и лечение
Добавил пользователь Евгений Кузнецов Обновлено: 12.12.2025
Периимплантит – одонтогенная инфекция, сопровождающаяся поражением мягких и костных тканей в области дентального имплантата и резорбцией кости. Клиника периимплантита характеризуется болью в области имплантата, гиперемией и отеком десны, образованием десневого кармана, кровотечением или гноетечением, подвижностью конструкции. Периимплантит диагностируется в ходе стоматологического осмотра с учетом жалоб, клинической и рентгенологической картины. Полноценное лечение периимплантита проводится поэтапно: 1 (консервативный) – удаление зубных отложений и устранение воспаления; 2 (хирургический) - очистка поверхности имплантата и костная пластика. В некоторых случаях показано удаление имплантата с последующей реимплантацией после необходимого лечения.

Общие сведения
Периимплантит – воспаление тканей вокруг остеоинтегрированного имплантата, приводящее к прогрессирующей убыли опорной кости. По данным клинических исследований, при использовании различных современных имплантационных систем периимплантит развивается в 12-43% случаев. Перимплантит является одной из частых причин отторжения дентального имплантата. От периимплантита следует отличать мукозит - воспаление прилегающего к имплантату участка слизистой без признаков убыли костной ткани.
Дентальная имплантология на сегодняшний день является активно развивающимся направлением современной стоматологии. Количество пациентов, имеющих как съемные, так и несъемные протезы с опорой на имплантаты, неуклонно растет. В связи с этим вопросы повышения успешности дентальной имплантации и профилактики осложнений приобретают особую значимость.

Причины периимплантита
Этиологические факторы, приводящие к развитию периимплантита, могут быть связаны с врачебными ошибками при проведении процедуры имплантации зубов, качеством имплантационной системы и протетической конструкции, а также неудовлетворительной гигиеной полости рта. При этом в ближайшем послеоперационном периоде осложнения, как правило, обусловлены техническими погрешностями при проведении хирургического этапа имплантации и протезирования, а в отдаленном периоде – несоблюдением пациентом гигиенических норм.
Врачебные ошибки выступают причиной периимплантита относительно нечасто. Среди них могут встречаться нарушение правил асептики и антисептики; неправильная оценка факторов риска, влияющих на успешность процедуры; неправильный подбор и установка (позиционирование) внутрикостной части имплантата, формирователя десны, абатмента; неправильно изготовленные ортопедические конструкции (коронки, протезы), приводящие к перегрузке и хронической травме пародонта и пр. Наиболее типичными факторами, вызывающими периимплантит, служат формирование поддесневой гематомы с ее последующим нагноением; несоответствие костного ложа размерам имплантата, вследствие чего развивается подвижность конструкции; разрушение костной ткани, вызванное чрезмерным усилием вкручивания имплантата (более 45 Н/м); неадекватное ушивание операционной раны, наличие микрозазоров между имплантатом и абатментом.
Что касается использования для протезирования имплантационных систем сомнительного качества, эта причина периимплантита встречается еще реже и также может быть отнесена к сфере медицинской ответственности. В этом случае осложнение может быть связано с низким качеством титанового сплава, недоработанным дизайном имплантата, применением имплантационных систем-подделок.
Наиболее часто причиной периимплантита выступает неадекватный уход пациента за естественными зубами, имплантатом и фиксированным на нем протезом, игнорирование профилактических осмотров и профессиональной гигиены полости рта. Конструктивные особенности имплантатов предрасполагают к образованию зубного налета и зубного камня, что, в свою очередь, вызывает воспаление окружающих тканей и периимплантит.
В группе риска по развитию периимплантита находятся курильщики, пациенты с заболеваниями пародонта (гингивитом, пародонтитом, пародонтозом), бруксизмом, иммунными нарушениями, сахарным диабетом. На успешность интеграции имплантата влияет выбор тактики имплантации (одноэтапной или классической), показания и противопоказания к которой должны быть учтены при планировании лечения.
Микробиологическая картина при периимплантите аналогична таковой при пародонтите: Prevotella intermedia выявляется в 100%; Porphyromonas gingivalis – в 89%; Аctinobacillus actinomycetemcomitans – в 85%; Bacteroides forsythus – 55%; Treponema denticola – в 41% случаев и пр.
Классификация периимплантита
В своем развитии периимплантит проходит 4 стадии:
- I – характеризуется незначительной убылью костной ткани в горизонтальном направлении;
- II – характеризуется умеренным снижением высоты кости с образованием вертикального дефекта в области соединения имплантата с костью;
- III – характеризуется умеренным снижением высоты кости с образование вертикального дефекта вдоль всего имплантата;
- IV – характеризуется резорбцией кости альвеолярного отростка.
По клиническому течению различают острый и вялотекущий (субклинический) периимплантит; ремиссию, абсцедирование.
Симптомы периимплантита
Мукозит, или периимплантное воспаление клинически проявляется набуханием и кровоточивостью десны, гиперплазией периимплантатной манжетки. Резорбции костной ткани при мукозите не происходит. В отличие от поверхностного воспаления, при периимплантите отмечается прогрессирующая убыль костной ткани. Больные жалуются на боль в области установленного имплантата, отек, гиперемию и кровоточивость периимплантатной десны; образование десневых карманов и свищей, из которых может выделяться гнойное содержимое.
По мере прогрессирования воспаления и резорбции кости развивается подвижность имплантата, который утрачивает свои функции. При периимплантите III-IV степени имеется достаточно высокая вероятность отторжения имплантата. Симптомы периимплантного воспаления могут возникать как в ближайшие сроки после имплантации, так и в долгосрочном периоде (через многие месяцы и даже годы).
Диагностика периимплантита
При объективном обследовании пациентов с периимплантитом определяется гиперемия и отек мягких тканей. При зондировании десны отмечается кровоточивость; при пальпации периимплантатного кармана из него может выделяться гнойный экссудат. Имплантат подвижен; на соседних зубах и ортопедической конструкции выявляется скопление мягкого налета. Оценка состояния периимплантатной десны производится с помощью стоматоскопии.
Клинические методы диагностики периимплантита включают проведение пробы Шиллера-Писарева, определение стандартных стоматологических индексов: гигиенического индекса Федорова-Володкиной, РМА индекса, пародонтального индекса Рассела, индекс Мюллемана-Коуэлла, интегрального показателя функционирования имплантатов.
Решающее значение в диагностике периимплантита и его степени принадлежит рентгенологическим исследованиям: прицельной дентальной рентгенографии, ортопантомографии и 3-мерной дентальной компьютерной томографии, с помощью которых выявляется резорбция костной ткани. Вспомогательную роль играют лабораторные исследования – микроскопическое, бактериологическое, морфологическое, ПЦР, биохимическое, рН-метрия ротовой жидкости.
Лечение периимплантита
Полноценное лечение периимплантита обычно проводится в два этапа и предусматривает ликвидацию гингивального воспаления и хирургическую санацию очага с направленной костной регенерацией. Консервативная фаза лечения периимплантита включает проведение профессиональной гигиены полости рта, орошение периимплантатных карманов озонированным раствором, лазеротерапию, ротовые ванночки и аппликации. Особое внимание уделяется удалению зубных отложений с коронки и абатмента. При необходимости производится модификация супраструктуры, позволяющая устранить биомеханическую перегрузку имплантата.
Во время хирургического этапа лечения периимплантита осуществляется надрез и откидывание периодонтального лоскута, ревизия костного кармана, удаление периимплантных грануляционных тканей, очищение поверхности имплантата с помощью специальных кюреток или аппарата Prophy-Jet, дезинтоксикация поверхности имплантата раствором лимонной кислоты, тщательное промывание кармана. Операция заканчивается введением в костный карман остеокондуктивного материала и барьерной мембраны и ушиванием операционной раны с наложением защитной пародонтальной повязки. В послеоперационном периоде назначается прием антибиотиков, антисептические полоскания.
При рецидивирующем или далеко зашедшем периимплантите производят удаление имплантата с последующей реимплантацией.
Прогноз и профилактика
Периимплантит может привести к отторжению имплантата и последующему длительному и дорогостоящему восстановительному лечению. Использование качественных имплантационных систем, высокая квалификация стоматолога, современные методы планирования имплантации (в т. ч. с применением компьютерных 3D-технологий) минимизируют риски развития периимплантита.
Для предотвращения развития периимплантита пациенты, должны находиться под наблюдением имплантолога и пародонтолога, соблюдать правила ухода за зубами и ортопедическими конструкциями на дентальных имплантатах, проходить процедуры профессиональной гигиены в рекомендованные сроки. Следует ответственно подойти к выбору клиники и специалиста, осуществляющего дентальную имплантацию в Москве.
Мукозит
Мукозит — это постлучевое и постхимиотерапевтическое эрозивное или язвенно-некротическое поражение слизистых оболочек ЖКТ, локализованное преимущественно в области рта и глотки. Проявляется гиперемией, отёчностью слизистых ЖКТ, зудом, жжением, формированием язвенных дефектов и белых налётов, при вовлечении других органов ЖКТ — разлитой абдоминальной болью и диспепсией. Диагностируется с помощью бактериального посева, гистологического изучения биоптата очагов, эзофагогастродуоденоскопии. Для лечения применяют цитопротекторы, противовоспалительные, обезболивающие, антисептические, антибактериальные и противогрибковые препараты, растительные иммуномодуляторы.
МКБ-10

Мукозит — одно из наиболее частых осложнений лечения онкологических заболеваний, выявляемое у 40% пациентов, принимающих химиотерапевтические препараты в стандартных дозировках, у 75% больных, перенесших пересадку стволовых клеток костного мозга, в 90% случаев комбинированной лучевой и химиотерапии. Хотя воспалительный процесс может поразить слизистую любого отдела ЖКТ, в большинстве случаев диагностируется оральный или орофарингеальный мукозит. Заболеванию более подвержены дети и пациенты пожилого возраста. Актуальность профилактики, своевременного выявления и эффективной терапии болезни связана с риском летального исхода от тяжелой нутритивной недостаточности или сепсиса.

Причины мукозита
Мукозит осложняет проведение противоопухолевой терапии онкологических заболеваний. Непосредственными возбудителями агранулоцитарного инфекционно-воспалительного поражения эпителиальной оболочки становятся грамположительные микроорганизмы, обитающие во рту, грамотрицательная и анаэробная кишечная микрофлора, вирусы герпеса, кандиды. Предпосылками для вторичного инфицирования слизистой считаются:
- Цитотоксический эффект противоопухолевой терапии. Наибольшее разрушающее действие на эпителиоциты ЖКТ оказывают антрациклины, антиметаболиты, таксаны, другие цитостатические и иммуносупрессивные средства особенно в комбинации с препаратами платины. Пролиферацию эпителия также нарушают лучевые нагрузки на орофарингеальную зону.
- Местный иммуновоспалительный процесс. По результатам исследований, деструкция эпителия под действием цитостатиков, иммунодепрессантов и ионизирующего излучения сопровождается массивным высвобождением компонентов поврежденных клеток. В результате локальная воспалительная реакция усугубляется аутоиммунным компонентом.
- Снижение общего и локального иммунитета. Побочными эффектами противоопухолевого лечения являются потеря защитных свойств слюны и постцитостатическая нейтропения. Следствием иммунной недостаточности становится активация бактериальных, грибковых и вирусных агентов, обсеменяющих поврежденную слизистую ротовой полости.
Факторы риска
Вероятность возникновения орального мукозита повышается при врожденных дефектах ферментов, участвующих в биотрансформации цитостатиков, нарушении репарации ДНК, замедлении выделения химиопрепаратов почками или их элиминации печенью. Факторами риска считаются дефицит цианокобаламина и фолиевой кислоты, наличие у пациента перитонеального или плеврального выпота, ксеростомии, недостаточная гигиена полости рта.
Патогенез
Основой возникновения мукозита становится нарушение естественного обновления эпителия, формирование вторичного иммунодефицита из-за индукции процессов апоптоза на фоне проводимой противоопухолевой терапии. Патологический процесс представлен несколькими взаимосвязанными фазами (стадиями) воспалительной реакции. Вначале в результате повреждения из эпителиоцитов, эндотелиоцитов и соединительнотканных клеток выделяются интерлейкины, простагландины и другие медиаторы воспаления, которые усиливают деструкцию тканей, повышают проницаемость сосудистой стенки. На 4-5 день от начала терапии начинается эпителиальная фаза мукозита, проявляющаяся угнетением пролиферации эпителиоцитов.
Дисбаланс процессов распада и восстановления эпителия, достигающий максимума на 7 сутки лечения, приводит к нарушению целостности слизистой с образованием псевдомембранозного налета (фаза изъязвления). Поврежденные участки активно колонизируются грибками и условно-патогенной флорой, что усиливает воспалительный компонент заболевания. При своевременной коррекции продолжительность бактериальной фазы составляет 6-12 дней, без лечения длится дольше. На стадии выздоровления восстанавливается скорость пролиферации и дифференцировки эпителиоцитов, нормализуется состав ротовой микрофлоры, увеличивается количество нейтрофилов в крови. При неосложненном течении заживление происходит без образования дефектов.
Симптомы мукозита
Начальными признаками являются покраснение и отечность слизистой оболочки мягкого неба, языка, губ и щек, которые появляются на 5-10 сутки от начала мукотоксической терапии. Поражение эпителиального слоя сопровождается зудом, жжением и субъективным дискомфортом при употреблении острой пищи. По мере прогрессирования заболевания очаги гиперемии замещаются беловатыми, приподнятыми над слизистой образованиями, начинается формирование язв. Пациент не может принимать твердую пищу из-за интенсивных болей. Тяжелый мукозит характеризуется обширными глубокими язвами, при которых больной не в состоянии употреблять даже жидкую пищу. При поражении других отделов ЖКТ возникают разлитые боли в животе, диспепсические расстройства: диарея, метеоризм, недержание кала.
Осложнения
При недостаточной гигиене полости рта у больных с мукозитом наблюдается присоединение вторичной бактериальной инфекции, что клинически проявляется нагноением язв, нарастанием синдрома интоксикации. У лиц с тяжелым иммунодефицитом отмечается генерализация инфекционного процесса с развитием сепсиса. Ограничение перорального питания при мукозите приводит к прогрессирующему снижению массы тела вплоть до кахексии, что сопровождается формированием необратимых дистрофических изменений во внутренних органах. При обширном некрозе слизистой и подлежащих тканей могут возникать интенсивные кровотечения, которые представляют опасность для жизни больных. Наиболее серьёзным отдаленным последствием орального мукозита является ксеростомия.
Диагностика
Постановка диагноза мукозит проводится с учетом клинических данных и не представляет затруднений в случае появления типичных патологических изменений орофарингеальной слизистой на фоне противоопухолевой терапии. Диагностический поиск направлен на исключение других возможных причин поражения слизистых оболочек. Затруднения могут возникать при гастроинтестинальной форме заболевания, которая не имеет патогномоничных симптомов. Наиболее информативными являются:
- Бактериологический посев. Для исследования производится забор материала с поверхности язв и его посев на специальные питательные среды, что позволяет подтвердить или исключить наличие инфекционного агента (вируса герпеса, грибков рода Кандида). На поздних стадиях мукозита обнаруживается бактериальная флора, что свидетельствует о развитии осложнений.
- Биопсия патологических очагов. Исследование применяется в случае атипичной клинической картины или отсутствия ответа на стандартную терапию. Изучение небольшого участка эпителиальной оболочки из язвенного дефекта под микроскопом направлено на выявление глубокой формы грибкового поражения или специфических признаков инфицирования цитомегаловирусом.
- Эндоскопическое исследование.Эзофагогастродуоденоскопия показана при подозрении на гастроинтестинальный мукозит у онкобольных. С помощью гибкого эндоскопа удается оценить состояние слизистой пищевода, желудка и начального отдела 12-перстной кишки, выполнить биопсию. Метод дает возможность исключить другую органическую патологию пищеварительного тракта.
В клиническом анализе крови при мукозите наблюдается резкое снижение уровня лейкоцитов, обусловленное основным заболеванием. Значительная лейкопения с нейтропенией является прогностически неблагоприятным признаком. Для оценки общей реактивности организма может выполняться иммунограмма. Дифференциальная диагностика проводится с афтозным стоматитом, красным плоским лишаем, инфекционными поражениями слизистой полости рта (оральным кандидозом, гангренозным стоматитом, острым некротическим стоматитом), хроническим травмированием эпителия при ношении зубных протезов. Кроме осмотра гастроэнтеролога и стоматолога пациенту рекомендованы консультации онколога, иммунолога.
Лечение мукозита
Терапевтическая тактика зависит от стадии заболевания, направлена на минимизацию дополнительных повреждающих воздействий, предусматривает профилактику инфицирования за счет тщательного ухода за полостью рта и медикаментозную коррекцию возникших симптомов. Пациентам с тяжелыми язвенно-некротическими повреждениями слизистой может потребоваться снижение дозировок или временная отмена химиотерапии. Для исключения раздражения эпителия показана высококалорийная протеиновая диета с отказом от употребления острой, горячей, твердой и грубой пищи, холодных и кислых напитков. При обработке полости рта запрещено использовать спиртсодержащие жидкости. С учетом симптоматики схема медикаментозной терапии мукозита может включать:
- Цитопротекторы. За счет нейтрализации оксидантов и свободных радикалов антоцианозиды и проантоцианидины уменьшают выраженность локального воспалительного процесса, снижают риск необратимой деструкции эпителия. Для достижения максимальных терапевтических результатов рекомендовано сочетание перорального приема и местного нанесения препаратов.
- Противовоспалительные медикаменты. Эффективны гели с деринатами и лидокаином, которые также оказывают анестетическое и стимулирующее регенерацию действие, НПВС на основе пропионовой кислоты. Для уменьшения воспаления и улучшения местного иммунитета используют натуральные средства, содержащие дитерпеновые и сесквитерпеновые лактоны.
- Антисептики, антибиотики, противогрибковые препараты. При выборе медикаментов, подавляющих микробную флору, учитывают чувствительность микроорганизмов. Для лечения кандидозной инфекции обычно назначают производные имидазолов. С антисептической целью применяют бензидамин, обладающий противовоспалительным эффектом.
Лечение мукозита часто дополняют растительными иммуномодулирующими препаратами на основе зантоксилума или эхинацеи, при выраженном болевом синдроме — наркотическими анальгетиками. Из физиотерапевтических методик наиболее результативна фототерапия с использованием низкоинтенсивных лазеров, оказывающая антиоксидантный, регенерационный и анальгетический эффекты. В тяжелых случаях язвенного поражения, при которых затруднен самостоятельный прием пищи, обеспечивается нутритивная поддержка в виде зондового или парентерального питания.
Исход зависит от выраженности местных проявлений и общего состояния пациента. Поскольку мукозит развивается на фоне тяжелой онкологической патологии, прогноз определяется тяжестью основного заболевания. У большинства больных в процессе лечения наблюдается улучшение состояния с сохранением патологических очагов в ротовой полости. Для профилактики мукозита необходимо рационально выбирать схемы и дозировки противоопухолевых препаратов, проводить осмотр полости рта и лечение кариозных зубов перед каждым курсом химиотерапии, следить за правильностью подбора зубных протезов. Во время курсового лечения рекомендуется полоскание рта антисептиками, криотерапия перед приёмом химиопрепаратов, профилактическое использование деринат-лидокаиновых гелей.
1. Злокачественные новообразования в России в 2009 году (заболеваемость и смертность) / Чиссов В.И., Старинский В.В., Петрова Г.В. – 2011.
2. Химиотерапевтический оральный мукозит: современное состояние проблемы / Попруженко Т.В., Углова Т.А., Борис С.П. // Современная стоматология – 2011 - №2.
3. Алиментарные мукозиты онкологических больных: новые пути нутритивной поддержки / Полевиченко Е.В. // Лечащий врач – 2009 - № 08/09.
Абсцесс десны - симптомы и лечение
Что такое абсцесс десны? Причины возникновения, диагностику и методы лечения разберем в статье доктора Страндстрем Елены Борисовны, стоматолога-имплантолога со стажем в 28 лет.
Над статьей доктора Страндстрем Елены Борисовны работали литературный редактор Вера Васина , научный редактор Сергей Федосов и шеф-редактор Лада Родчанина
Определение болезни. Причины заболевания
Абсцесс десны — заболевание, при котором ткани десны "расплавляются", и в области слизистой, покрывающей альвеолярный отросток верхней или нижней челюстей, возникает полость с гноем.

Причины развития абсцесса десны:
1. Наиболее частой причиной является острое или хроническое воспаление периодонта — соединительной ткани между корнем зуба и альвеолярной пластинкой (периодонтальный абсцесс).
2. Вторая по частоте причина — обострение хронического пародонтита, особенно в тяжёлой стадии. Воспаление локализуется в области пародонтальных карманов (пародонтальный абсцесс).

3. Перелом зуба в результате внутреннего разрушения тканей зуба или травмы. В зависимости от расположения перелома абсцесс может возникнуть на любом уровне — от переходной складки десны (границы между подвижной и неподвижной частью десны) до десневого сосочка. Если после постановки диагноза "перелом", своевременно не удалить повреждённый зуб, то абсцесс неизбежен.
4. Периимплантит — воспаление в области зубных имплантатов. Может возникать на уровне коронки, немного выше уровня переходной складки десны, а при повреждении имплантата — на уровне перелома [3] .
При обнаружении схожих симптомов проконсультируйтесь у врача. Не занимайтесь самолечением - это опасно для вашего здоровья!
Симптомы абсцесса десны
Симптомы могут быть общими и местными:
1. Общие симптомы появляются не всегда. В зависимости от тяжести процесса возникают:
- общее недомогание;
- озноб;
- повышение температура тела.
2. Местные симптомы — это основные проявления заболевания:
- боль в области зуба, особенно при накусывании;
- боль при смыкании зубов;
- невозможность гигиены полости рта, так как воздействие зубной щётки или ирригатора, особенно при попадании в область десны, вызывает боль;
- резкая боль при жевании, которая ограничивает приём пищи;
- образование на десне в области проблемного зуба инфильтрата ( уплотнения ткани) , в котором через время появляется полость с гноем;
- в области переходной складки возникает отёк, покраснение тканей (гиперемия), местное повышение температуры и резкая болезненность при пальпации;
- в дальнейшем в области максимального выбухания слизистой из-за высокого давления гноя открывается свищевой ход, через который происходит опорожнение абсцесса.
При развитии периимплантита в области установленной конструкции возникает гиперемия и боль. Может появиться покраснение тканей в краевой части десны, отёк в области переходной складки, становится невозможно жевать. Через какое-то время возникает инфильтрат, который затем переходит в стадию абсцесса. В случае перелома ко всем вышеперечисленным симптомам присоединяется подвижность имплантата (или коронки на имплантате) и резкая болезненность при попытке проверки стабильности конструкции [3] .

Проявление симптомов зависит от стадии абсцесса. В момент образования инфильтрата пациент отмечает резкое нарастание гиперемии слизистой, боль в области зуба или имплантата в покое и при накусывании, ухудшение общего состояния. Эти симптомы усиливаются по мере перехода инфильтрата в стадию абсцедирования — появления полости, заполненной гноем. В дальнейшем, после самопроизвольного (с образованием свищевого хода) или хирургического вскрытия абсцесса симптомы стихают, и состояние пациента значительно улучшается.
Патогенез абсцесса десны
Абсцесс десны вызывают патогены микрофлоры полости рта, которая в основном представлена следующими бактериями:
- Bacteroides forsythus (в 55,6% случаев);
- Porphyromonas gingivalis (50,0%);
- Fusobacterium nucleatum (44,4%),
- A. actinomycetemcomitans (38,9%);
- Prevotella intermedia (38,9%) и другими.
Кроме того, в большинстве случаев пародонтопатогены вступают в симбиоз с грибами рода Candida (44,4%), бактериями Enterobacter (38,9%), Streptococcus intermedius (13,2%), Peptostreptococcus micros (13,2%) и Staphylococcus aureus (28,5%) [4] .

Патогенез заболевания различается в зависимости от локализации воспаления.
1.Абсцесс, возникший вследствие патологических процессов в тканях периодонта. Неадекватное лечение каналов корня зуба приводит к острому воспалению или обострению его хронической формы в области периодонта. В результате количество микроорганизмов в канале корня зуба и в области периодонта значительно возрастает. В ответ на это разрастается грануляционная ткань (соединительная ткань, образующаяся при заживлении) в области верхушки корня с замещением ею костной ткани. В момент обострения процесса в этой области возникают очаги гнойного расплавления грануляционной ткани. В результате периодического обострения воспалительного процесса очаг в периодонте постепенно распространяется на всё новые участки кости, преимущественно в сторону преддверия полости рта. Это приводит к возникновению вертикальных щелевидных дефектов кортикальной пластинки и дальнейшему развитию сначала инфильтрата в области десны, а затем и появлению абсцесса [5] .
2.Абсцесс, возникший в области пародонтального кармана. Пародонтальный абсцесс десны возникает вследствие нескольких взаимосвязанных патологических процессов. Большое количество над- и поддесневых зубных отложений способствует развитию пародонтопатогенных бактерий, что вызывает сильную иммунную реакцию. Организм отвечает формированием инфильтрата с большим количеством клеток иммунной системы. Эти клетки производят медиаторы воспаления, которые стимулируют разрушение костной ткани остеокластами (клетками, удаляющими костную ткань растворением минеральной составляющей и разрушением коллагена ). Костная ткань начинает рассасываться и образуется пародонтальный карман, который в зависимости от тяжести пародонтита имеет разную глубину. В момент обострения пародонтита гноетечение из пародонтального кармана становится непрерывным. В случае нарушения оттока происходит абсцедирование [6] .
3.Абсцесс, возникший в области периимплантных тканей. Причиной развития периимплантита являются микроорганизмы, находящиеся в биоплёнке на поверхности конструкции. Колонии микроорганизмов воздействуют на мягкие ткани, окружающие имплантат, вызывая их воспаление. Дальше процесс развивается так же, как и при пародонтите, но не остаётся локализованным, а распространяется в сторону верхушки имплантата. Воспалительный инфильтрат при периимплантите переходит непосредственно на альвеолярную кость, тогда как при пародонтите он отделён от кости слоем соединительной ткани в один миллиметр. На ранней стадии периимплантита абсцесс возникает на уровне верхней трети имплантата — в области периимплантного кармана. На более поздних этапах, по мере разрушения кости в области тела имплантата, может переходить ближе к переходной складке десны [7] .
Классификация и стадии развития абсцесса десны
В зависимости локализации процесса абсцесс десны можно разделить на две основные группы:
- периодонтальный абсцесс;
- пародонтальный абсцесс.
В зависимости от причины и локализации патологического процесса, наличия, отсутствия и расположения свищевого хода в МКБ-10 выделяют следующие группы и подгруппы заболевания:
К04 Болезни пульпы и периапикальных тканей. В этой ситуации абсцесс связан с поражением периапикальной области и является осложнением периодонтита. Он делится на подгруппы:
К04.6 периапикальный абсцесс со свищем (дентальный абсцесс, дентоальвеолярный абсцесс, периодонтальный абсцесс пульпарного происхождения)
К04.61 — свищ с носовой полостью;
К04.62 — свищ с полостью рта;
К04.63 — свищ с кожей;
К04.69 — периапикальный абсцесс со свищем неуточненный;
К04.7 — периапикальный абсцесс без свища (дентальный абсцесс, дентоальвеолярный абсцесс, периодонтальный абсцесс пульпарного происхождения).
К01. Гингивит и ткани пародонта
Абсцесс связан с осложнением тяжёлой формы пародонтита.
К05.20 — пародонтальный абсцесс (периодонтальный абсцесс) десневого происхождения без свища;
К05.21 — периодонтальный абсцесс (пародонтальный абсцесс) со свищем
Выделяют следующие стадии развития заболевания [5] :

Осложнения абсцесса десны
Причиной возникновения осложнений является снижение и нарушение общей противоинфекционной специфической и неспецифической защиты организма.
Хронический периодонтит может привести к следующим осложнениям:
- острые гнойные и хронические периоститы челюсти (воспаление надкостницы);
- остеогенные остеомиелиты челюстей (инфекционный гнойно-некротический процесс в костной ткани человека);
- лимфангит, лимфаденит (воспалительные процессы в области лимфатических сосудов и узлов).
В случае обострения хронического периодонтита в области моляров верхней челюсти и если верхушка корня зуба имеет связь с гайморовой пазухой, осложнением могут явиться одонтогенные гаймориты ( воспаление слизистой оболочки гайморовой пазухи ).
Осложнением абсцесса десны могут стать абсцессы и флегмоны челюстно-лицевой области ( разлитого гнойного воспаления без чётких границ ) [7] . Это самый худший прогноз развития заболевания: пациент чувствует недомогание, возникает плотный инфильтрат в одной из областей челюстно-лицевой области, который в дальнейшем, при отсутствии адекватного лечения абсцедируется. В этом случае необходимо лечение в стационаре с системным применением антибиотиков и проведением экстренных операций по вскрытию абсцессов и флегмон.

Осложнения тяжёлой формы пародонтита — общее разрушение кости альвеолярного отростка, нарушение смыкания и патологическая подвижность зубов, приводящая к их утрате.
Осложнения периимплантита — утрата костной ткани, приводящая к тому, что имплантат больше не выполняет свои функции. В результате может потребоваться его удаление и повторная установка [8] .
Диагностика абсцесса десны
Выявление абсцесса десны не представляет сложностей, поскольку заболевание имеет ярко выраженную местную и общую симптоматику. Для постановки диагноза врач опрашивает пациента, уточняет наличие местных и общих симптомов, анализирует данные рентгенограммы [8] [9] :
| Обострения хронического парадонтита | 1. Появляется или усиливается кровоточивости десен, увеличивается количество зубных отложений, запах изо рта. 2. В области краевой десны одного или нескольких зубов возникает инфильтрат. 3. Затем появляется полость, заполненная гноем, и начинается активное его выделение из пародонтального кармана. 4. На рентгенограмме видна зона деструкции костной ткани в области межзубных костных пиков и в межкорневых костных перегородках. |
|---|---|
| Периимплантит | 1. Кровоточивость появляется в области периимплантной десны, возникает боль в области имплантата в покое и при жевании. 2. Наблюдается инфильтрат в месте имплантата, в зависимости от стадии периимплантита: в области краевой десны или ближе к переходной складке. 3. В дальнейшем формируется абсцесс и открывается свищевой ход. 4. На ренгенограмме наблюдается характерная кратерообразная деструкция кости в области имплантата. |
| Перелом зуба | 1. Резкая боль при жевании. 2. Чёткая граница перелома на рентгенограмме, на уровне перелома корня зуба возникает абсцесс – выше или ниже в зависимости от локализации перелома. 3. Слабость, недомогание, повышение температуры тела. Это связано с возникновением очага инфекции в полости рта. |
| Неходжкинские лимфомы (опухоли, исходящие из лимфоидной ткани) | 1. Безболезненная припухлость, затем появляются язвы (локализованные и распространённые). 2. При подозрении на лимфому необходимо провести биопсию, гистологическое и иммуноцитохимическое исследования. |
Лечение абсцесса десны
Терапия зависит от причины возникновения абсцесса десны. Лечение делится на два вида:
1. Этиологическое — устранение причины, вызвавшей абсцесс.
2. Симптоматическое — уменьшение симптомов
Этиологическое лечение:
- При остром или обострении хронического периодонтита рекомендованы два пути терапии в зависимости от тяжести: удаление зуба или повторное эндодонтическое лечение (раскрытие, обработка и адекватная пломбировка канала корня зуба). В настоящее время успешность консервативного лечения периодонтитов очень высока. Если эндодонтическое лечение невозможно (тяжёлые заболевания, возраст или нежелание пациента, трещина зуба и др.) или очень низкий процент вероятности успешного исхода лечения — зуб удаляют.
- При обострении хронического периодонтита – проводят профессиональную гигиену полости рта (удаляют зубной камень и биоплёнку) [10] .
- При возникновении периимплантита — удаляют патологические ткани и микробную биоплёнку с поверхности имплантата с возможностью последующей реостеоинтеграцией (повторного срастания имплантата с костной тканью) или удаляют имплантат с проведением костной пластики [11] .
- В случае перелома корня — удаляют зуб. Имплантат можно установить сразу же при проведении адекватной антибактериальной терапии или через три недели (ранняя отсроченная имплантация) или через три месяца (поздняя отсроченная имплантация).
Симптоматическое местное лечение включает в себя разрез и дренирование очага путём установки дренажа на 1-2 дня.
Общее лечение включает в себя назначение антибактериальной и противовоспалительной терапии для остановки гнойного процесса.
Антибактериальная и противовоспалительная терапия бывает общей и местной.
Общая антибактериальная терапия. Предпочтительные препараты —антибиотики пенициллиновой группы. При появлении аллергической реакции или при отсутствии чувствительности микрофлоры очага к пенициллинам назначаются макролиды или фторхинолоны. Выбор препарата зависит от индивидуальной переносимости пациента и чувствительности к ним микроорганизмов. Назначать препараты, сроки приёма и дозировку, может только врач:
- антибиотики группы пенициллинов — амоксиклав, флемоксин солютаб;
- фторхинолоны — ципрофлоксацин;
- макролиды — рулид, сумамед;
- другие синтетические антибактериальные средства — клеон (метронидазол);
- дополнительно назначается — энтерол (сахаромицеты) для профилактики развития псевдомембранозного колита.
Местно антибактериальную терапию проводят антисептиками:
- раствор хлоргексидина 0,05%;
- раствор мирамистина 0,01%;
- на область десны наносят гели, содержащие метронидазол, левомицетин, линкомицин, хлоргексидин, диоксидин, прополис и ромашку [6][12] .
Прогноз. Профилактика
Прогноз при лечении абсцесса десны, как правило, благоприятный. После вскрытия абсцесса и устранения причины воспаление полностью прекращается. Однако возможны рецидивы заболевания.
Cвидетельством успеха эндодонтического лечения при сохранении причинного зуба и обострении хронического периодонтита будет отсутствие рецидива абсцесса десны. В случае повторной патологии зуб удаляется.
При обострении хронического пародонтита высокой степени тяжести и пародонтальном абсцессе необходимо провести профессиональную гигиену полости рта и в дальнейшем поддерживать её на высоком уровне в домашних условиях. Иначе обострение хронического пародонтита и рецидив абсцесса неизбежны [6] .
Прогноз лечения абсцесса, возникшего при периимплантите, зависит от способа лечения. В случае консервативной терапии необходимо устранить причину, вызвавшую периимплантит. При удалении имплантата — прогноз благоприятный.
Меры профилактики абсцессов десны включают:
- регулярно (раз в шесть месяцев) посещать стоматолога;
- делать обзорные (панорамные) снимки ротовой полости не реже одного раза в год, на которых можно увидеть начальный этап развития патологических процессов в области зубов и имплантатов;
- лечить кариес на ранних этапах, не допускать перехода кариозного процесса в пульпит и в последующем — в периодонтит;
- проводить профессиональную гигиену, очищая зубы от отложений и бактериальной плёнки, которые являются одной из причин развития пародонтита;
- правильно чистить зубы и использовать средства гигиены: индивидуально подобранные зубные щётки, флоссы, межзубные щётки, ирригатор [10] .

Зубы необходимо чистить два раза в день, причём утром как до, так и после приёма пищи. В каждой области необходимо делать не менее 5 -7 "выметающих" движений от десны к зубу. Очищаются все поверхности – жевательная, язычная (нёбная), щёчная. Межзубные промежутки очищаются зубными ёршиками, флоссами и ирригатором.
При наличии коронок и имплантов важно правильно ухаживать за ними. Особое внимание следует обратить на ирригатор, который поможет устранить зубной налёт в межзубных промежутках и в промежутках между коронками на имплантатах. При ношении имплантов обязательно посещать стоматолога один раз в шесть месяцев для проведения профессиональной гигиены.
При устранении всех неблагоприятных вышеперечисленных факторов абсцесс десны, как заболевание полости рта, крайне маловероятен.
Периимплантный мукозит - симптомы и лечение
Что такое периимплантный мукозит? Причины возникновения, диагностику и методы лечения разберем в статье доктора Ханиева Анзора Анатольевича, стоматолога-хирурга со стажем в 8 лет.
Над статьей доктора Ханиева Анзора Анатольевича работали литературный редактор Юлия Липовская , научный редактор Пётр Козлов и шеф-редактор Маргарита Тихонова
Периимплантный мукозит (рeri-implant mucositis) — это обратимое воспаление мягких тканей вокруг установленного имплантата, не повреждающее кость челюсти [1] .

Мукозит может появиться в любое время после установки имплантата, но чаще развивается в первые три месяца после имплантации [16] . Средняя распространённость периимплантного мукозита составляет 43 % [1] .
Причины периимплантного мукозита
Причиной мукозита после имплантации являются бактерии, которые создают на имплантате микробный налёт. На ранней стадии на имплантате скапливаются стрептококки и актиномицеты. Из-за биоплёнок, которые они образуют, мягкие ткани не могут герметично прикрепиться к шейке имплантата. Также биоплёнки создают благоприятные бескислородные условия для роста патогенных микроорганизмов: P. gingivalis, A. actinomycetemcomitans, F. nucleatum и др. Эти бактерии очень агрессивны, в дальнейшем они могут вызвать воспаление и резорбцию (разрушение) кости [6] [8] [11] .
![Формирование биоплёнки на имплантате [22]](/pimg3/periimplantit-prichini-simptomi-B961.jpeg)
Факторы, которые мешают поддерживать адекватную гигиену или способствуют более быстрому скоплению налёта:
- Неправильная или нерегулярная чистка зубов.
- Недостаточная ширина десны, которая должна плотно прилегать к имплантату — способствует быстрому накоплению налёта, в том числе из-за застревания пищи.
- Слишком близкое расположение имплантатов между собой или к соседним зубам — не позволяет хорошо очистить их от налёта [9][11][13] . Толщина кости вокруг имплантата должна быть не менее 1 мм. Иначе высок риск, что кость будет разрушаться, поверхность имплантата обнажится и на ней быстро сформируется микробный налёт. — ухудшает общее состояние зубов и полости рта, а также замедляет кровообращение и снижает уровень кислорода в крови, что ухудшает заживление ран. Кроме того, у курильщиков имплантаты хуже приживаются, из-за этого повышается риск их потери [2][5][11][12] .
- Ортопедические факторы: нависающие края коронки, которая установлена на имплантат [8] ; плохое прилегание абатмента; неточная установка протеза с цементной фиксацией или попадание остатков цемента под десну [1][3][9][11][13] .

Симптомы периимплантного мукозита
Основным признаком периимплантного мукозита является воспаление слизистой оболочки в области имплантатов. Воспаление проявляется болью, покраснением и кровоточивостью десны при зондировании. В покое дёсны обычно не кровоточат. Иногда при мукозите появляется нагноение под десной [1] [3] .

Патогенез периимплантного мукозита
Из-за плохой гигиены полости рта на имплантате образуется микробный налёт. Когда бактерий в области имплантата становится слишком много, иммунная система запускает процесс воспаления, чтобы их уничтожить. При этом в мягких тканях полости рта повышается уровень провоспалительных цитокинов (например, ИЛ-1β), которые стимулируют развитие воспаления. В то же время уровень противовоспалительных цитокинов, которые подавляют воспаление, снижается [11] [12] [13] [16] .
Если уровень ИЛ-1β повышается умеренно, то воспаление из острой фазы переходит в хроническую. При воспалении, которое быстро прогрессирует сразу после установки имплантата или в течении года, отмечается максимальное значение ИЛ-1β [9] [10] .
Всё это говорит о том, что в основе патогенеза мукозита лежит дисбаланс провоспалительных и противовоспалительных цитокинов [1] [3] [14] .
Классификация и стадии развития периимплантного мукозита
Стадии развития воспалительных заболеваний челюсти после имплантации:
- здоровые ткани полости рта — состояние до образования бактериальных биоплёнок на имплантате;
- мукозит — воспаление десны без потери кости; — помимо воспаления десны происходит убыль кости;
- потеря мягких и твёрдых тканей в области имплантатов, что сопровождается подвижностью имплантата и гноетечением.
Классификация мукозита по типу выделяемой жидкости:
- серозный — сопровождается скоплением в десне прозрачной воспалительной жидкости;
- гнойный — сопровождается скоплением мутной вязкой жидкости зеленоватого цвета, возникает при присоединении патогенной микрофлор ы.
Классификация воспаления по протяженности:
- локализованный — мукозит возник в одном месте;
- генерализованный — процесс распространился на все имплантаты [10][13] .
Классификация по тяжести процесса:
- лёгкая степень — сопровождается покраснением;
- средняя степень — сопровождается покраснением и кровоточивостью;
- тяжёлая степень — сопровождается покраснением, кровоточивостью и болью.
Типы мукозита в зависимости от причины:
- неспецифический (полиэтиологический) — воспаление вызвано сразу несколькими возбудителями;
- специфический (туберкулёзный, сифилитический и др.) — воспаление вызвано конкретными инфекциями, например возбудителем туберкулёза, сифилиса и др.
Типы воспаления в зависимости от реактивности организма, т. е. его способности реагировать на внешние факторы:
- нормергическое — умеренная ответная реакция;
- гипоэргическое — слабая ответная реакция, наблюдается, когда ослабленный организм не может адекватно отвечать на вредный фактор;
- гиперэргическое — чрезмерно сильная ответная реакция, протекает бурно, с выраженным покраснением, повышением температуры, болезненностью и увеличением воспалительного отёка [10][13] .
Осложнения периимплантного мукозита
Если мукозит не лечить, развивается периимплантит. Это состояние сопровождается не только воспалением мягких тканей вокруг имплантата, но и потерей кости.

Периимплантит, в свою очередь, может привести к другим осложнениям:
- Опущению десны. Если десна опустится, станет видно резьбу имплантата, что может вызвать эстетический дискомфорт. Кроме этого, убыль десны сопровождается другими симптомами: появляется щель между десной и коронкой, куда забиваются остатки пищи и скапливается налёт, всё это грозит отторжением имплантата [6][10][13] .
![Опущение десны [23]](/pimg3/periimplantit-prichini-simptomi-B6FAD0C.jpeg)
- Перелому имплантата. Потеря кости приводит к тому, что имплантат начинает двигаться, нагрузка становится неравномерной и может произойти перелом [5] .
![Перелом имплантата [24]](/pimg3/periimplantit-prichini-simptomi-F764.jpeg)
- Потере имплантата. Из-за убывания кости вокруг имплантата он становится подвижным, в этой области усиливается боль, человеку становится трудно жевать и говорить. В этом случае имплантат нужно удалить [5][11][12] .
Диагностика периимплантного мукозита
План диагностики периимплантного мукозита:
- Сбор жалоб, анамнеза жизни и заболевания.
- Клинический осмотр:
- внешний (общий);
- осмотр полости рта.
- Зондирование пародонтологическим зондом.
- Дополнительные методы обследования:
- прицельный рентгеновский снимок;
- ортопантомограмма (ОПТГ), т. е. панорамный снимок;
- конусно-лучевая компьютерная томография (КЛКТ);
- лабораторная диагностика: иммуноферментный анализ (ИФА) и полимеразная цепная реакция (ПЦР).
- Оценка зоны имплантации, тяжести и распространённости заболевания с помощью сравнения рентгенограмм и фотоснимков [2] .
Сбор жалоб и анамнеза
На приёме пациент обычно жалуется на болезненность, покраснение и отёк в области установленного импланта.
Клинический осмотр и зондирование
При осмотре и зондировании врач может выявить:
- мягкий микробный налёт на имплантате, пищевые остатки и зубной камень;
- кровоточивость десны вокруг имплантата;
- незначительную болезненность и отёчность прилегающей десны;
- неподвижность имплантата;
- отсутствие кармана вокруг имплантата.
Дополнительные методы обследования
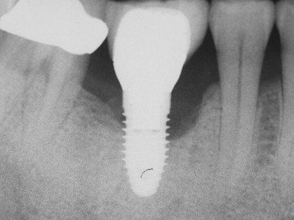
Рентгенография. Позволяет отличить периимплантный мукозит от периимплантита: при мукозите на рентгенограмме нет патологических изменений вокруг имплантата; при периимплантите видно убыль кости. Также рентген помогает определить глубину зондирования и увидеть плохое прилегание элементов протеза [14] .
![Периимплантит на рентгенограмме [18]](/pimg3/periimplantit-prichini-simptomi-E5E6B53.jpeg)
ОПТГ или КЛКТ. Проводятся для более детального исследования. Их используют в сложных или сомнительных случаях.
Лабораторные исследования (ИФА и ПЦР). Их выполняют, чтобы определить вид и количество патогенной микрофлоры. В дальнейшем это помогает правильно подобрать антибактериальный препарат, если он необходим.
Оценка зоны имплантации
Целесообразно сравнить рентгеновские снимки, сделанные при установке коронки на имплантат и при обращении пациента с мукозитом, чтобы оценить изменения десны и костного края.
Если у пациента есть фотографии до и после установки имплантатов и ортопедических конструкций, их также нужно проанализировать [2] [13] [14] .
Лечение периимплантного мукозита
Терапия мукозита в области зубных имплантатов представляет собой профилактику периимплантита [11] [12] . Основная цель лечения мукозита — устранить воспаление тканей вокруг имплантата. Для этого нужно уничтожить бактерии, которые стали причиной воспалительного процесса [2] [5] [8] [12] [13] .
Схема лечения:
1. Профессиональная гигиена. Позволяет удалить микробную плёнку с поверхности коронки или формирователя десны. Она может проводится двумя способами:
- механическая чистка поверхности имплантата с помощью кюреток;
- чистка с использованием воздушно-абразивных систем (например, Air Flow).

2. Обработка антисептиками. Проводится, чтобы уничтожить бактерии, и включает:
- Промывание мягких тканей раствором Хлоргексидина (0,2 %) или раствором, который сочетает Хлоргексидин (0,12 %) и Цетилпиридиния хлорид (0,05 %). Цетилпиридиния хлорид — противомикробное средство, которое используется в безрецептурных ополаскивателях для улучшения здоровья дёсен [2][5] . Считается, что препарат эффективен против зубного налёта при гингивите, пародонтите и мукозите [11][13] .
3. Использование специальных мазей, дентальных повязок и бальзамов. Может включать:
- Поддесневая инъекция местных антибиотиков: 25%-го геля Метронидазола или 8,5%-го геля Доксициклина (эти инъекции нужно делать в течении 7–10 дней) [21] .
Все процедуры проводит хирург-стоматолог или хирург-пародонтолог в чистых хирургических условиях с соблюдением правил антисептики и асептики [17] .
Если врач назначит, то пациент может дома самостоятельно полоскать рот антисептиками (Мирамистин, Хлоргексидин, Ротокан, Стоматофит и др.) и делать аппликации противовоспалительными средствами (Метрогил дента, Мараславин, Солкосерил, Холисал, Камистад и т. д.) [18] [25] .
Периимплантный м укозит — обратимое заболевание. При правильном лечении все симптомы проходят. Без лечения могут развиваться осложнения, которые приведут к потере имплантата.
Профилактика п ериимплантного мукозита
Учитывая стремительное внедрение в стоматологическую отрасль новых материалов и методов, нужно разумно и сдержанно относиться к рекламе, которая заявляет, что «имплантаты лучше зубов», и обещает, что «они останутся на всю жизнь» [1] [4] [12] . При имплантации всегда есть риск развития осложнений, особенно если не соблюдать рекомендации, связанные с гигиеной полости рта. Пациентам нужно сказать об этом заранее. Хуже всего пациенты относятся к неожиданным осложнениям, которые не обсуждались при планировании лечения.
В основе профилактики периимплантного мукозита — удаление микробного налёта. Поэтому после имплантации пациентам необходимо:
- устранить факторы, которые мешают тщательно удалять налёт с зубов и коронок имплантата: например, если у коронки нависают края, её нужно заменить;
- чистить зубы два раза в день;
- использовать зубные щётки средней жесткости и ирригаторы с антисептиками [3] ;
- не использовать ополаскиватели, не посоветовавшись с врачом, так как они могут вызвать раздражение;
- не употреблять хрустящие продукты, например чипсы, а также газированные напитки, алкоголь, острую, кислую и слишком горячую пищу;
- отказаться от курения;
- один раз в полгода делать профессиональную чистку зубов и коронок на имплантатах у врача-гигиениста [26] .
Кроме этого, раз в три года нужно посещать хирурга-стоматолога, чтобы контролировать состояние имплантата и десны вокруг него [8] .
Читайте также:
