Перилунарный вывих кисти и вывих полулунной кости
Добавил пользователь Владимир З. Обновлено: 29.01.2026
Методы медицинской визуализации костно-мышечной системы: общий канал для пользователей IMAIOS
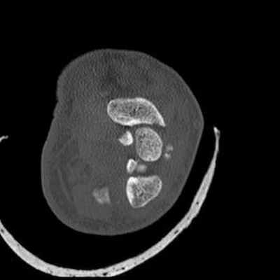
Трансладьевидно-перилунарный вывих запястья III-его типа
Анамнез
Падение на вытянутую руку с горного велосипеда.
Боль, отёк и полная функциональная неспособность.
Результаты
Трансладьевидно-перилунарный вывих запястья (перелом ладьевидной кости в виде основной сагиттальной линии, с образованием двух сильно смещенных фрагментов; проксимальный фрагмент остается в нормальном соотношении с полулунной костью; разъединение костей первого и второго ряда запястья).
Наличие мелких костных фрагментов вокруг трехгранной кости вместе с отрывными переломами; смещение кзади трехгранной кости.
Оскольчатый перелом шиловидного отростка лучевой кости.
Локтевая кость цела.
Диагноз
Трансладьевидно-перилунарный вывих запястья III-его типа




Комментарии
Введите действительный адрес электронной почты. Можно также ввести список адресов электронной почты, разделяя их запятыми.
IMAIOS и некоторые третьи лица используют файлы cookie или подобные технологии, в частности для измерения аудитории. Файлы cookie позволяют нам анализировать и сохранять такую информацию, как характеристики вашего устройства и определенные персональные данные (например, IP-адреса, данные о навигации и местонахождении, данные пользователя, уникальные идентификаторы). Эти данные используются в следующих целях: анализ и улучшение опыта пользователя и/или нашего контента, продуктов и сервисов, измерение и анализ аудитории, взаимодействие с социальными сетями, отображение персонализированного контента, измерение производительности и привлекательности контента. Для получения дополнительной информации ознакомьтесь с нашей политикой конфиденциальности.
Вы можете дать согласие на обработку данных, отозвать или отказаться от согласия в любое время, воспользовавшись нашим инструментом для настройки файлов cookie. Если вы не согласны с использованием данных технологий, это расценивается как отказ от хранения, имеющего правомерный интерес, любых файлов cookie. Чтобы дать согласие на использование этих технологий, нажмите кнопку «Принять».
Настройки файлов cookie
При посещении сайта IMAIOS в вашем браузере сохраняются файлы cookie.
Для некоторых из них требуется ваше согласие. Щелкните тип файлов cookie, чтобы включить или отключить их сохранение. Чтобы воспользоваться всеми функциями сайта IMAIOS, рекомендуется включить различные типы файлов cookie.
Обязательные файлы cookie
Эти файлы cookie обеспечивают надлежащее функционирование сайта и позволяют оптимизировать его работу (выявление проблем с навигацией по сайту, вход в аккунт IMAIOS, онлайн-платежи, отладка и безопасность сайта). Веб-сайт не может нормально функционировать без этих файлов cookie, поэтому их использование не зависит от вашего согласия.
Аналитические файлы сookie
Эти файлы cookiе предназначены для измерения аудитории: статистика посещаемости сайта позволяет улучшить качество его работы.
Перилунарные вывихи
Эти вывихи наблюдаются часто и, к сожалению, не всегда диагностируются; их принимают за растяжение связок запястного сустава. Головчато-полулунный сустав является как бы замком запястных суставов, а головчатая кость – ключом. Именно поэтому при травме запястья смещения (вывихи) его костей происходят в связи с этими двумя сочленяющимися суставными поверхностями. При перилунарном вывихе полулунная кость остается в нормальном анатомическом положении по отношению к лучевой кости, а остальные кости вместе с головчатой смещаются в тыльную сторону и вверх.
Симптомы и распознавание . Отмечаются разлитая припухлость и ограничение движений в лучезапястном суставе. Соответственно положению головчатой и других костей запястья на тыле кисти прощупывается выпячивание. Ощупывание болезненно. Диагноз ставится на основании рентгеновских снимков, сделанных в боковой и переднезадней проекциях.
Лечение . Чем раньше производится вправление, тем лучше оно удается. Вправление осуществляется легче под наркозом на аппарате Соколовского. После сильного растяжения оба больших пальца кладут на выпячивающуюся часть тыльной поверхности запястья и производят давление в направлении ладонной стороны. Продолжая вправление на аппарате, делают контрольные рентгеновские снимки. Если вправление удалось, накладывают гипсовую лонгету от локтя до основания пястных костей. Кисть фиксируют при этом в сгибании под углом 135°. Через 2 нед кисть выводят из этого положения в нейтральное и накладывают гипсовую повязку еще на неделю. После снятия повязки назначают лечебную гимнастику и физиотерапевтические процедуры. Трудоспособность восстанавливается через 2-3 мес после травмы.
Вправление застарелых перилунарных вывихов закрытым способом часто удается даже в сроки до 10-15 дней после травмы. Если вправление закрытым способом как при свежих, так и при застарелых вывихах не получилось, показано оперативное вправление.
Вывих ладьевидной кости
Вывих ладьевидной кости встречается сравнительно редко и, как правило, происходит в лучевую или лучеладонную сторону.
Симптомы и распознавание . Отмечается разлитая припухлость лучезапястного сустава. Кисть отклонена в сторону; I палец находится в положении небольшого отведения. Ближе к области анатомической табакерки прощупывается ограниченный и болезненный выступ. Движения в лучезапястном суставе ограничены. Для правильной диагностики большое значение имеет рентгенограмма лучезапястного сустава в прямом направлении.
Лечение . Вправление производят под наркозом. Больной лежит на столе. Руку отводят до уровня надплечья и сгибают в локтевом суставе под прямым углом. Предплечье находится в положении пронации. Таким образом, тыльная поверхность лучезапястного сустава обращена кверху. На уровне лучезапястного сустава ставят табуретку, на которую хирург помещает свою ногу таким образом, чтобы колено упиралось в лучезапястный сустав больного с локтевой стороны. Один помощник фиксирует плечо больного, другой растягивает лучезапястный сустав путем вытяжения за II-IV пальцы в локтевую сторону и книзу. Таким образом кисти придается крайнее локтевое положение и ладонное сгибание. Через 5 мин после растяжения хирург I пальцем сильно надавливает на выступающую в тыльно-лучевую сторону ладьевидную кость. В это время помощник, производящий вытяжение, постепенно выводит кисть из крайнего локтевого и сгибательного положения до небольшого локтевого отведения и небольшого
ладонного сгибания. В этом положении накладывают гипсовую лонгету на ладонной поверхности от локтя до головок пястных костей. Через 3 нед лонгету снимают. С первых дней назначают движения в пальцах, локтевом и плечевом суставах, а после снятия гипсовой лонгеты – движения в лучезапястном суставе, массаж, парафиновые аппликации и другие тепловые процедуры. Трудоспособность восстанавливается через 5-6 нед.
Вывих гороховидной кости
Вывих гороховидной кости встречается редко. Прикрепляющийся к ней локтевой сгибатель кисти, сокращаясь, подтягивает ее кверху.
Симптомы и распознавание . Гороховидная кость прощупывается проксимальнее обычного своего расположения. Функция кисти почти не страдает.
Лечение . Вправляют вывих гороховидной кости в большинстве случаев оперативным путем. Фиксируют ее на месте наложением швов на связочный аппарат. Прогноз хороший.
Другие виды вывихов и переломовывихов запястья
Наблюдается ряд вариантов вывихов и переломовывихов запястных костей. Наиболее часто наблюдаются чрезладьевидно-перилунарный вывих кисти и вывих полулунной кости с проксимальным отломком ладьевидной кости в ладонную сторону (вывих-перелом де Кервена).
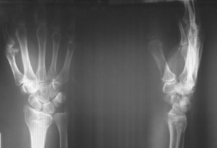
Чрезладьевидно-перилунарный вывих кисти. При этом повреждении имеется перелом ладьевидной кости, обычно в средней наиболее суженной части. Полулунная кость и проксимальная половина ладьевидной кости остаются в нормальном положении. Дистальная часть запястья вместе с половиной ладьевидной кости смещена назад и расположена дистальнее полулунной кости (рис. 87).
Периладьевидно-лунарный вывих кисти. Ладьевидная и полулунная кости остаются в нормальном положении, а дистальная часть запястья по отношению к ним смещается назад.
Вывих полулунной и проксимальной половины ладьевидной кости (переломовывих де Кервена). Полулунная и проксимальная половины ладьевидной кости вывихнуты в ладонную сторону. Головчатая кость смещается в освобожденное ложе полулунной кости и артикулирует с лучевой костью.
Вывих полулунной и ладьевидной костей. Обе неповрежденные кости смещены в ладонную сторону. Головчатая кость смещается в проксимальном направлении и артикулирует с лучевой костью.
Вывихи многоугольных костей встречаются редко. Большая многоугольная кость вместе с пястными костями смещается в ладонную сторону по отношению к запястью. Малая многоугольная кость смещается в тыльно-локтевую сторону.
Лечение. Вправление вывихов и переломовывихов запястья производят под наркозом или внутрикостной анестезией на аппарате Соколовского или другом какомлибо аппарате с механической тягой. Можно также вправлять ручным способом. При вывихах в ладонную сторону во время сильного растяжения хирург кладет большие пальцы обеих рук на прощупываемый выступ и оказывает давление в тыльную сторону, а при вывихе в тыльную сторону – в обратном направлении. Затем накладывают гипсовую лонгету от локтя до основания пястной кости. Кисть фиксируют в положении ладонного
сгибания под углом 150° при вывихе в тыльную сторону и в тыльном сгибании (разгибании) при вывихе в ладонную сторону. Если вправление не удалось, показано оперативное вправление.
Рис. 87. Чрезладьевидно-перилунарный вывих кисти с переломом шиловидных отростков лучевой и локтевой костей до (а) и после (б) закрытого вправления.
В случаях успешного вправления через 2 нед кисть выводят в нейтральное положение и вновь накладывают гипсовую повязку на 2 нед.
Если при вывихе имелся перелом ладьевидной кости, дальнейшее лечение проводят так же, как при обычных переломах этой кости. Гипсовая иммобилизация остается при соответствующем положении кисти до костного сращения ладьевидной кости. Если малая многоугольная кость была смещена в тыльно-локтевую сторону и не вправилась, а пястные кости вправились, следует этим пренебречь. Эту кость удаляют через некоторое время после снятия повязки.
Запястный синдром сдавления срединного нерва (синдром запястного канала). Компрессия срединного нерва иногда происходит при свежих и застарелых переломах ладьевидной кости, но чаще при вывихах-переломах костей запястья, перилунарных
вывихах кисти, вывихах полулунной кости и т. п. Рассечение поперечной связки запястья облегчает боли вскоре после операции.
Операцию производят под местным обезболиванием. S-образный разрез делают на ладонной поверхности лучезапястного сустава, начиная от основания мышечного возвышения I пальца. Затем продольно рассекают и частично иссекают lig. carpi transversum. Иногда удается обнаружить в этой области перетяжку на срединном нерве. Кожу зашивают и накладывают гипсовую лонгету от локтя до основания пястных костей в нейтральном положении. Через неделю повязку снимают, назначают лечебную гимнастику и физиотерапевтическое лечение.
Вывих полулунной кости
Строго говоря, полулунная кость в античные времена (и в современном латинском нозологическом лексиконе) называется «лунной»: os lunatum. Однако серпообразной формой она напоминает скорее полумесяц, чем лунный диск, и поэтому во многих языках ее название позднее трансформировалось в «полулунная» (the semilunar bone, le semi-lunaire os и т.д.). Это сравнительно небольшая кость запястья, которая располагается в основании ладони; от лучевой кости ее отделяет ладьевидная кость, рядом находятся трапецевидная и другие кости лучезапястного сустава.
В целом, ничем примечательным полулунная кость не отличается, – за одним исключением: из всех запястных вывихов, регистрируемых в травматологии, наибольшая доля приходится именно на вывих полулунной кости. Так уж она расположена, что, обеспечивая уникальную подвижность человеческой кисти, одновременно является наиболее уязвимой к «неосторожным» ударам и напряжениям.
2. Причины
Существует понятие «перилунарный вывих»: полулунная кость в этом случае остается на своей позиции, а остальные смещаются к тылу и проксимально (в направлении локтя). Такие вывихи случаются впятеро чаще, чем вывих полулунной кости, и составляют более 90% всех кистевых вывихов. Однако при спонтанном вправлении перилунарного вывиха, когда прочие кости встают на место, происходит вторичное смещение полулунной кости, которая в новой позиции поворачивается подобно «опрокинутой чашке» и перестает по форме соответствовать соседним костям. Именно о таком состоянии выше сказано как о наиболее распространенном лучезапястном вывихе.
Вывих полулунной кости – одна из типичных травм падения, когда умноженный ускорением вес тела практически полностью приходится на переразогнутую ладонь (переразогнутое положение кисть принимает, например, у акробата, гимнаста, циркового артиста, – когда они делают стойку на прямых руках или обратное сальто с опорой на руки). Аналогичный вывих можно получить и в «защитном» движении прямыми руками, пытаясь остановить, например, быстро надвигающийся объект, а также в ДТП и при других подобных обстоятельствах.
3. Симптомы и диагностика
Характернейшие симптомы любых вывихов – боль, припухлость и ограничение подвижности в суставе. С тыльной стороны лучезапястного сустава обычно имеет место заметное западение, со стороны ладони – аномальная выпуклость. Пальцы, как правило, находятся в вынужденном полусогнутом положении.
Особенно интенсивный болевой синдром наблюдается в случаях, когда смещенная полулунная кость оказывает механическое давление на срединный нерв.
Опытный травматолог распознаёт или, по крайней мере, предполагает вывих полулунной кости уже при осмотре, однако из-за риска сопутствующих осложнений или переломов окончательный диагноз устанавливается только рентгенологически – обязательно делаются снимки в двух проекциях, более информативной из которых является, как правило, боковая.
4. Лечение
Общая продолжительность периода нетрудоспособности в осложненных случаях может достигать двух месяцев и более; могут также существенно пострадать суставные функции, и поэтому при любых подозрениях на вывих, перелом или хотя бы просто сильный ушиб сустава консультация хирурга-травматолога строго обязательна.
Перилунарный вывих кисти и вывих полулунной кости
1 ФГБУ «Российский научно-исследовательский институт травматологии и ортопедии им. Р.Р. Вредена» Минздрава России
2 ГБОУ ВПО «Первый Санкт-Петербургский государственный медицинский университет им. И.П. Павлова» Минздрава России
Одним из важных элементов структурно-функционального комплекса кистевого сустава является полулунная кость. Перилунарные вывихи кисти составляют до 86-89% от общего числа вывихов костей запястья. Цель - определить необходимость восстановления межзапястных связок кистевого сустава при лечении перилунарных вывихов. В исследование вошли 60 пациентов с перилунарными вывихами кисти, которые были прооперированы в РНИИТО им. Р.Р. Вредена в период с 2013 по 2018 год. Пациентам были выполнены операции 4 видов: закрытое устранение вывиха с (или без) фиксацией спицами, устранение вывиха выполняли закрыто с помощью дистракционного метода с последующей фиксацией спицами, открытое устранение вывиха с фиксацией спицами без восстановления межзапястных связок и открытое устранение вывиха с восстановлением межзапястных связок и фиксацией спицами. Сравнительные исследования проводились между группами через 3, 6 и 12 месяцев после операции. Исследование показало, что закрытое вправление перилунарных вывихов кисти дает худшие результаты в сравнении с открытым способом лечения. Открытое вправление перилунарных вывихов кисти с последующей фиксацией костей кистевого сустава спицами, а также восстановлением межкостных связок является предпочтительным методом лечения, дающим значительно лучший результат – отсутствие болевого синдрома и более полное восстановление функции кистевого сустава. В группах пациентов, которым применяли закрытые методы лечения, процент возникновения осложнений, таких как карпальная нестабильность, деформирующий артроз и асептический некроз полулунной кости, был наиболее высок.
2. Krief E., Appy-Fedida B., Rotari V., David E., Mertl P., Maes-Clavier C. Results of Perilunate Dislocations and Perilunate Fracture Dislocations With a Minimum 15-Year Follow-Up. J. Hand Surg. Am. 2015. Vol. 40(11). P. 2191-2197. DOI: 10.1016/j.jhsa.2015.07.016.
3. Herzberg G. Perilunate and axial carpal dislocations and fracture-dislocations. // The Journal of hand surgery. 2008. Vol. 33(9). P. 1659-1668. DOI: 10.1016/j.jhsa.2008.09.013.
4. Israel D., Delclaux S., André A., Apredoaei C., Rongières M., Bonnevialle P., Mansat P. Peri-lunate dislocation and fracture-dislocation of the wrist: Retrospective evaluation of 65 cases. // Orthop. Traumatol. Surg. Res. 2016. Vol. 102(3). P. 351-355. DOI: 10.1016/j.otsr.2016.01.004.
5. Griffin M., Roushdi I., Osagie L., Cerovac S., Umarji S. Patient-Reported Outcomes Following Surgically Managed Perilunate Dislocation: Outcomes After Perilunate Dislocation. Hand (New York, N.Y.). 2016. Vol. 11(1). P. 22-28. DOI: 10.1177/1558944715617222.
8. Akane M., Tatebe M., Iyoda K., Ota K., Iwatsuki K., Yamamoto M., Hirata H. Partial necrosis of the lunate after a translunate palmar perilunate fracture dislocation. Nagoya J. Med. Sci. 2014. Vol. 76(1-2). P. 211-216.
9. Pinho A.B., Sobania R.L. Perilunate carpal dislocation. Clinical evaluation of patients operated with reduction and percutaneous fixation without capsular-ligament repair. Rev. Bras. Ortop. 2017. Vol. 52(4). P. 402-409. DOI: 10.1016/j.rboe.2017.06.007.
10. Savvidou O.D., Beltsios M., Sakellariou V.I., Mavrogenis A.F., Christodoulou M., Papagelopoulos P.J. Use of external fixation for perilunate dislocations and fracture dislocations. Strategies Trauma Limb Reconstr. 2014. V. 9(3). P. 141-148. DOI: 10.1007/s11751-014-0201-3.
11. Волотовский А. И. Лечебная тактика при перилунарных повреждениях кисти // Медицинский журнал. 2011. № 4. C. 45-49.
12. Lindström G., Nyström A. Incidence of post-traumatic arthrosis after primary healing of scaphoid fractures: a clinical and radiological study. Journal of hand surgery. 1990. Vol. 15(1). P. 11-13.
13. Dunn J.C., Koehler L.R., Kusnezov N.A., Polfer E., Orr J.D., Pirela-Cruz M.A., Mitchell J.S. Perilunate Dislocations and Perilunate Fracture Dislocations in the U.S. Military. J. Wrist Surg. 2018. Vol. 7(1). P. 57-65. DOI: 10.1055/s-0037-1603932.
15. Шармазанова Е.П. Лучевая диагностика нестабильности лучезапястного сустава // Радиологический вестник. 2016. № 3-4 (60-61). С. 15-19.
Повреждения кисти составляют от 23% до 40% от всех травм опорно-двигательной системы и от 20,1% до 67,7% от травм верхней конечности [1; 2]. Большая часть повреждений кисти приходится на молодое население в возрасте от 20 до 50 лет [3; 4]. Вывихи костей запястья составляют до 10-11% от повреждений кисти и ведут к длительной нетрудоспособности, а зачастую к инвалидизации пациентов [5]. Одним из важных элементов структурно-функционального комплекса кисти является полулунная кость. Перилунарные вывихи составляют до 86-89% от общего числа вывихов костей запястья [6; 7]. Ввиду сложности диагностики и отсутствия опыта врачей амбулаторного звена медицинской службы перилунарные повреждения кисти пропускают или диагностируют поздно. Несвоевременная диагностика и неправильно выбранная тактика лечения способствуют возникновению осложнений [8; 9]. Длительная нетрудоспособность, обусловленная нарушением соотношения анатомо-функциональных элементов кисти и развитием посттравматических дегенеративно-дистрофических изменений в костях и суставах запястья, отмечается у 43% пациентов с перилунарными повреждениями кисти [10]. Все вышеизложенное подтверждает важность и необходимость углубленных исследований в избранном направлении.
Цель исследования - определить необходимость восстановления связок кистевого сустава после вправления перилунарных вывихов кисти.
Материалы и методы исследования
В исследование вошли 60 пациентов в возрасте от 20 до 42 лет (в среднем 28 ±1,8 года) с перилунарными вывихами кисти, которые были прооперированы в ФГБУ «РНИИТО им. Р.Р. Вредена» в период с 2013 по 2018 год.
Пациентам были выполнены операции 4 видов:
- закрытое устранение вывиха с (или без) фиксацией спицами – 16 пациентов,
- устранение вывиха выполняли закрыто с помощью дистракционного метода с последующей фиксацией спицами – 12 пациентов,
- открытое устранение вывиха с фиксацией спицами без восстановления межзапястных связок – 17 пациентов,
- открытое устранение вывиха с восстановлением связок и фиксацией спицами – 15 пациентов.
Все операции выполняли под проводниковой анестезией в положении пациента на спине с отведенной конечностью, уложенной на приставной столик.
Закрытое устранение вывиха с фиксацией спицами. Выполняли тракцию по оси конечности, затем хирург большими пальцами рук прижимал выступающую полулунную кость, погружая ее на место до характерного ощущения «щелчка». После вправления вывиха, подтвержденного рентгенологически, выполняли фиксацию полулунной кости тремя спицами к другим костям запястья. Операцию завершали наложением асептической повязки и гипсовой лонгеты.
Закрытое устранение вывиха с применением дистракционного аппарата. Проводили 2 спицы Киршнера перекрестно в дистальный метаэпифиз лучевой и локтевой костей. Также 2 спицы Киршнера проводили через 2-3, 4-5 пястные кости. Монтировали компрессионно-дистракционный аппарат из 2 колец на 4 штангах. Выполняли дистракцию до выведения костей запястья до своего уровня по рентгенограммам и осуществляли фиксацию спицами. В ряде случаев полного вправления вывиха кисти добиться не удалось. В конце операции выполняли демонтаж АВФ и накладывали гипсовую повязку.
Открытое устранение вывиха с применением дистракционного аппарата. Первым этапом осуществляли монтаж АВФ по указанной выше методике. Дистракцию продолжали в течение 7-10 дней. Затем следующим этапом выполняли открытое вправление вывиха и фиксацию спицами. Осуществляли демонтаж АВФ. Операцию завершали после рентгенконтроля наложением гипсовой лонгетной повязки.
Открытое устранение вывиха с применением дистракционного аппарата и шов связок. Первым этапом осуществляли монтаж АВФ по указанной выше методике. Дистракцию продолжали в течение 7-10 дней. Затем выполняли открытое вмешательство. АВФ демонтировали. Выполняли продольный разрез по тыльной поверхности кистевого сустава в проекции третьего луча. Остро и тупо осуществляли доступ к костям запястья, выполняли ревизию и уточняли характер повреждений. Выполняли устранение перилунарного вывиха. Контролировали положение костей и соосность суставных поверхностей рентгенологически. Кости запястья фиксировали спицами, затем выполняли шов поврежденных межкостных связок. После снятия жгута осуществляли гемостаз и послойно ушивали рану.
Клиническое обследование. В предоперационном периоде выясняли жалобы, анамнез заболевания и жизни, определяли статус по органам и системам, проводили ортопедический осмотр по общепринятой методике [11].
При опросе отмечали механизм травмы и ее давность. При осмотре поврежденной конечности отмечали отек, гиперемию, гематомы, деформацию и оценивали функцию.
В послеоперационном периоде пациентов обследовали через 3, 6 и 12 месяцев. При клиническом осмотре, кроме оценки ортопедического статуса, проводили тесты на выявление признаков карпальной нестабильности.
Отмечали наличие болевого синдрома при функциональной нагрузке и болезненность при пальпации запястья. Оценивали амплитуду движений в кистевом суставе, наличие патологических поршневых движений на уровне среднезапястного сочленения. Проводили тесты на сдвиг (по Lichtman и по Louis) [12].
Проводили оценку по шкале DASH и VAS через 3, 6, 12 месяцев после операции.
Лучевые исследования. Рентгенологическое исследование выполняли непосредственно после операции и через 3, 6 и 12 месяцев. Для выполнения рентгенографии использовали аппарат Phillips Diagnost. Условия съемки: 42 kV, 5.00 mAs, 22,9 ms. Фокусное расстояние составляло 1 м. В прямой проекции определяли:
- величину суставных щелей в лучезапястном, среднезапястном и запястно-пястном суставах (в норме 2-2,5 мм) и расстояние между костями запястья (в норме 2 мм);
- форму ладьевидно-полулунного и полулунно-трехгранного промежутков (в норме - равномерные);
- нарушение целостности запястных арок (три дуги: по проксимальному краю ладьевидной, полулунной и трехгранной костей, по их дистальному краю и между первой и второй дугами через центры их костей) - признак Gilula;
- смещение тени полулунной кости, которая частично сливается с тенью проксимального отдела головчатой кости и способствует усилению интенсивности суммарной тени (патологический признак) 15.
В боковой проекции оценивали соотношение ладьевидной, полулунной, головчатой и трехгранной костей и правильность расположения их осей. Определяли величину углов: ладьевидно-полулунного, полулунно-головчатого и полулунно-лучевого.
На МРТ, которую выполняли через 3, 6, 12 месяцев после операции, оценивали признаки асептического некроза полулунной кости и карпальной нестабильности.
Методика статистической обработки данных. Для статистической обработки данных применяли пакет прикладной статистики Prism - graphpad 6,0, рассчитывали среднюю арифметическую величину и ее ошибки (М±m), различия оценивали с использованием T-test в модификации Уэлча. Критический уровень значимости р принимали меньшим или равным 0,05.
Результаты исследования и их обсуждение
Клиническое наблюдение включает анализ результатов лечения 60 пациентов, оперированных по поводу перилунарных вывихов кисти в РНИИТО им. Р.Р. Вредена в период с 2016 по 2018 г. Средний возраст пациентов составил 28 ±1,8 года (от 20 до 42 лет). В исследовании приняло участие 45 мужчин и 15 женщин.
Распределение пациентов по полу и возрасту в группах представлено в таблицах 1 и 2.
Распределение больных по возрасту в группах
Средний возраст, лет
Распределение больных по полу в группах
Оценку клинического состояния производили через 3, 6 и 12 месяцев после операции.
Во всех наблюдениях в группе 1 после прекращения гипсовой иммобилизации сохранялся выраженный болевой синдром, наблюдались признаки карпальной нестабильности (положительные тесты сдвига). У 11 (70%) пациентов наблюдалось наличие деформации в области кистевого сустава (подвывих полулунной кости), амплитуда движений в кистевом суставе (сгибание-разгибание) составляла в среднем 60° (± 5°), что составляет 35% от нормы. Показатели по шкале DASH в 12 (75%) случаях составили 75 баллов, в 4 (25%) - 90 баллов. При оценке боли по шкале VAS 13 (81,25%) пациентов показывали плохой результат.
В группе 2 в 10 (83,33%) случаях сохранялся умеренный болевой синдром постоянно, в 2 (16,67%) наблюдениях умеренная боль возникала после длительной физической нагрузки. У 8 (66,66%) пациентов тесты сдвига были положительные, у 4 (33,34%) - слабоположительные. Во всех наблюдениях данной группы наблюдалось ограничение движений, общая амплитуда движений была меньше в среднем на 30°. Оценка по шкале DASH в 10 (83,33%) случаях составила 75 баллов, в 2 (16,67%) - 50 баллов. При оценке удовлетворенности по шкале VAS 8 (66,66%) пациентов показывали плохой результат.
В группе 3 в 4 (23,5%) наблюдениях умеренный болевой синдром присутствовал постоянно, у 14 (76,5%) пациентов умеренная боль возникала после длительной физической нагрузки. В 11 (64,7%) случаях определялись положительные тесты сдвига, и общая амплитуда движений была ограничена в среднем на 25° (± 7,3). Оценка по шкале DASH в 7 (41,2%) наблюдениях составила 50 баллов, в 10 (58,8%) - 30 баллов. При оценке удовлетворенности по шкале VAS 11 (64,7%) пациентов имели плохой результат.
В группе 4 во всех наблюдениях боль после длительной физической нагрузки сохранялась до 3 месяцев после операции, через 6 и 12 месяцев - болевой синдром отсутствовал. Тесты сдвига у пациентов данной группы были отрицательные. Общая амплитуда движений была ограничена в первые 3 месяца после операции в среднем на 15° (± 5). К 6 месяцам после операции в 12 (80%) случаях удалось добиться полной амплитуды движений. Оценка по шкале DASH у 11 (73,3%) пациентов составила 25 баллов, у 4 (26,7%) – 10 баллов. При оценке удовлетворенности по шкале VAS было выявлено, что все пациенты показали хорошие и отличные результаты.
На рентгенограммах, выполненных в 1-е сутки после операции, у всех пациентов положение костей запястья и соосность суставных поверхностей были правильными.
В группе 1 на рентгенограммах через 3 и 6 месяцев наблюдалось снижение суставной щели в лучезапястном, среднезапястном и запястно-пястном суставах [в среднем 1-1,5 мм (± 0,2)], неравномерность ладьевидно-полулунного и полулунно-трехгранного промежутков, нарушение целостности запястных арок. В 14 (87,5%) наблюдениях полулунная кость находилась в подвывихе (рис. 1). На МРТ у 11 (68,75%) пациентов были выявлены признаки асептического некроза полулунной кости.

Рис. 1. Рентгенограммы кистевого сустава пациента из группы 1 через 6 месяцев после травмы. Последствия закрытого вправления перилунарного повреждения. Определяются ладьевидно-перилунарная диссоциация, признаки подвывиха ладьевидной кости, субхондральный склероз костей запястья и дистального метаэпифиза лучевой кости
В группе 2 на рентгенограммах через 3, 6 и 12 месяцев во всех наблюдениях наблюдалось снижение суставной щели в лучезапястном, среднезапястном и запястно-пястном суставах [в среднем 1,5 мм (± 0,1)] и неравномерность ладьевидно-полулунного и полулунно-трехгранного промежутков. Нарушение целостности запястных арок наблюдалось в 10 (83,3%) случаях (рис. 2). На МРТ у 10 (83,3%) пациентов были выявлены признаки асептического некроза полулунной кости.

Рис. 2. Рентгенограммы кистевого сустава пациента из группы 2 через 6 месяцев после закрытого вправления вывиха с фиксацией спицами. Определяются подвывих ладьевидной кости и ладьевидно-полулунная диссоциация и признаки развития деформирующего артроза лучезапястного сустава 1-2 ст.
В группе 3 на рентгенограммах через 3, 6 и 12 месяцев у 11 (64,7%) пациентов наблюдалось снижение суставной щели в лучезапястном, среднезапястном и запястно-пястном суставах [в среднем 1,0-1,5 мм (± 0,2)] и неравномерность ладьевидно-полулунного и полулунно-трехгранного промежутков (рис. 3). Нарушение целостности запястных арок наблюдалось в 12 (70,5%) наблюдениях. На МРТ у 6 (35,3%) пациентов были выявлены признаки асептического некроза.
Рис. 3. Рентгенограмма кистевого сустава пациента из группы 3 через 6 месяцев после открытого вправления вывиха с применением АВФ. Определяются признаки субхондрального склероза полулунной кости
У пациентов группы 4 на рентгенограммах через 3, 6 и 12 месяцев суставная щель в лучезапястном, среднезапястном и запястно-пястном суставах была в пределах нормы [в среднем 2-2,5 мм (± 0,1)], ладьевидно-полулунный и полулунно-трехгранный промежутки – равномерные, и наблюдалась целостность запястных арок. В боковой проекции соотношение ладьевидной, полулунной, головчатой и трехгранной костей правильное, соосность суставных поверхностей не нарушена (рис. 4). На МРТ не были выявлены признаки асептического некроза полулунной кости и карпальной нестабильности.

Рис. 4. Рентгенограмма кистевого сустава пациента из группы 4 через 6 месяцев после открытого вправления вывиха с фиксацией спицами и шва связок кистевого сустава
Осложнения
В группе 1 во всех наблюдениях в первые 6 месяцев после операции появились признаки карпальной нестабильности. У 11 (68,75%) пациентов наблюдался рецидив подвывиха или вывиха костей запястья, а также деформация костей проксимального ряда запястья и признаки деформирующего артроза кистевого сустава. Признаки асептического некроза полулунной кости с ее фрагментацией наблюдались в 5 (31,25%) клинических случаях (рис. 5). Из-за выраженного болевого синдрома и изменений костей запястья всем пациентам данной группы были выполнены повторные оперативные вмешательства в течение года после травмы.
Рис. 5. МРТ кистевого сустава. Асептический некроз полулунной кости у пациента группы 1
В группе 2 карпальная нестабильность была выявлена во всех наблюдениях, у 3 (25%) пациентов появились признаки асептического некроза полулунной кости. Признаки прогрессирующего деформирующего артроза кистевого сустава наблюдались в 5 (41,7%) случаях.
В группе 3 карпальная нестабильность наблюдалась в 11 (64,7%) случаях. У 5 (20%) пациентов были выявлены начальные признаки деформирующего артроза кистевого сустава. Асептический некроз полулунной кости развился в 1 (8,3%) случае.
В группе 4 осложнений выявлено не было. Показатели осложнений по группам представлены в таблице 3.
Осложнения (последствия) перилунарных повреждений кисти у пациентов сравниваемых групп
RU1828747C - Способ лечени застарелого вывиха полулунной кости кисти - Google Patents
Publication number RU1828747C RU1828747C SU904844775A SU4844775A RU1828747C RU 1828747 C RU1828747 C RU 1828747C SU 904844775 A SU904844775 A SU 904844775A SU 4844775 A SU4844775 A SU 4844775A RU 1828747 C RU1828747 C RU 1828747C Authority RU Russia Prior art keywords bone bones dislocation needle wrist Prior art date 1990-06-26 Application number SU904844775A Other languages English ( en ) Inventor Петр Янович Новиков Original Assignee Латвийский Научно-Исследовательский Институт Травматологии И Ортопедии Priority date (The priority date is an assumption and is not a legal conclusion. Google has not performed a legal analysis and makes no representation as to the accuracy of the date listed.) 1990-06-26 Filing date 1990-06-26 Publication date 1993-07-23 1990-06-26 Application filed by Латвийский Научно-Исследовательский Институт Травматологии И Ортопедии filed Critical Латвийский Научно-Исследовательский Институт Травматологии И Ортопедии 1990-06-26 Priority to SU904844775A priority Critical patent/RU1828747C/ru 1993-07-23 Application granted granted Critical 1993-07-23 Publication of RU1828747C publication Critical patent/RU1828747C/ru
Links
- Espacenet
- Global Dossier
- Discuss
- 210000003991 Lunate Bone Anatomy 0.000 title claims abstract description 6
- 210000000988 Bone and Bones Anatomy 0.000 claims abstract description 22
- 210000000245 Forearm Anatomy 0.000 claims abstract description 8
- 210000003857 Wrist Joint Anatomy 0.000 claims abstract description 5
- 210000000707 Wrist Anatomy 0.000 claims abstract description 4
- 230000001684 chronic Effects 0.000 claims abstract description 4
- 238000009940 knitting Methods 0.000 claims abstract description 3
- 238000006073 displacement reaction Methods 0.000 claims abstract 2
- 210000002753 Capitate Bone Anatomy 0.000 claims description 4
- 229910052602 gypsum Inorganic materials 0.000 claims 1
- 239000010440 gypsum Substances 0.000 claims 1
- 210000000236 Metacarpal Bones Anatomy 0.000 abstract description 2
- 230000000399 orthopedic Effects 0.000 abstract description 2
- 230000000694 effects Effects 0.000 abstract 1
- 206010022114 Injury Diseases 0.000 description 3
- 238000003745 diagnosis Methods 0.000 description 2
- 210000004907 Glands Anatomy 0.000 description 1
- 210000003284 Horns Anatomy 0.000 description 1
- 230000004913 activation Effects 0.000 description 1
- 239000003814 drug Substances 0.000 description 1
- 239000011505 plaster Substances 0.000 description 1
Abstract
Description
Изобретение относитс к медицине, в частности к травматологии и ортопедии, к способам лечени при помощи аппаратов внешней фиксации.
-провод т 2 спицы в проксимальной трети костей предплечь (одну спицу через обе кости предплечь , вторую только через локтевую кость),
-провод т 1 спицу через головки II-IH- IV п стных костей и одну спицу через дистальный р д костей зап сть , включа головчатую кость,
Провод т дистракцию в лучезап стном суставе путем перемещени дистального кольца аппарата. Спицы, проведенные через дистальную треть предплечь и кости зап сть , нат гиваютс конвексно во взаимно сближающем оси костей направлении. С ладонной поверхности в направлении заднего рога полулунной кости ввод т иглу-репонатор под головчатую кость. После разворота полулунной кости снимают дистракцию в лучезап стном суставе с целью прижати полулунной кости в репонирован- ном положении головчатой костью. Иглу-репонатор удал ют. Аппарат внешней фиксации снимают через 3-4 дн и накладывают гипсовый лангет.
Больной Т., 33 года, травма 25.02.88 г. Поступил 16.05.88 г. с диагнозом: застарелый перилунарный вывих левой кисти, сросшийс перелом лучевой кости в типичном месте. 17.05.88 г. наложен аппарат внешней фиксации Калнберза из двух колец, при этом проведена 1 спица через основани
II-V п стных костей и 2 спицы - через дис- тальный метафиз костей предплечь . В течение 2 недель проводилась дистр.акци кистевого сустава. 31.05.88 г. чрескожно введена игла с упором на полулунную кость с° целью ее вправлени под головчатую кость. Вывих вправлен.
Claims ( 1 )
закрытым путем давлени депонирующей иглой на кость проведено вправление полулунной кости под головчатую кость. АВФ сн т через 5 дней с последующим наложением гипсовой шины. Вывих вправлен. Формула изобретени Способ лечени застарелого вывиха полулунной кости кисти путем проведени спиц через кости предплечь , п стные кости и дистальный р д костей зап сть , закреплени их в аппарате внешней фиксации, диет ракции кистевого сустава с устранением смещени , отличающийс тем, что/с целью вправлени полулунной кости, подвод т иглу-репонатор к полулунной кости, давлением на кость одномоментно перемещают ее в анатомически правильное положение .
SU904844775A 1990-06-26 1990-06-26 Способ лечени застарелого вывиха полулунной кости кисти RU1828747C ( ru )
Читайте также:
