Первичный амебный менингоэнцефалит. Возбудитель амебного менингоэнцефалита
Добавил пользователь Валентин П. Обновлено: 22.11.2025
Раз в несколько лет СМИ рассказывают об ужасных случаях гибели людей, которые имели неосторожность искупаться в водоеме. Сперва они чувствуют недомогание, головную боль и головокружение, затем начинаются припадки и галлюцинации, а после выясняется, что их мозг медленно, но верно пожирает амеба Naegleria fowleri. В подавляющем большинстве случаев человек сгорает за несколько дней: эффективного средства против этой мелкой твари пока не изобрели.
Не обошелся без жертвы амебы Неглерия Фоулера и уходящий октябрь. 29-летний серфингист Фабрицио Стабиле развлекался в волновом бассейне в Техасе в середине сентября, а уже через несколько дней начал испытывать сильную головную боль, от которой не спасали ни одни таблетки. Боль была такой, что мужчина утратил возможность связно выражаться. За несколько дней до смерти анализы выявили у Фабрицио первичный амебный менингоэнцефалит, причиной которого является микроскопический организм Naegleria fowleri.

Знакомьтесь, Неглерия Фоулера
Во-первых, что такое амеба? Одноклеточный бесформенный организм, который хлюпает своей цитоплазмой тут и там в поисках бактерий и прочих питательных веществ. Некоторые амебы являются паразитами животных и человека, некоторые живут в воде или влажной почве. Не все из них считаются возбудителями заболеваний, большинство абсолютно безвредны для людей. Но не наш сегодняшний антигерой.
Амеба Naegleria fowleri живет в пресных водоемах с водой, имеющей температуру от 25 до 30 градусов по Цельсию. Организм этот весьма теплолюбивый. А так как климатологи рапортуют о растущей средней температуре и мы все чаще наблюдаем аномально жаркую погоду в различных уголках мира, то и благоприятных условий для жизни Неглерии Фоулера становится все больше.

Возбудитель болезни проникает в организм человека через нос. Эпидемиолог из Южной Каролины, комментируя смерть своего земляка, отметила, что в подавляющем большинстве случаев это происходит во время нахождения людей в загрязненной воде. Особенно когда купающиеся ныряют вперед ногами и не закрывают нос хотя бы пальцами.
По обонятельному нерву, пучкам аксонов и кровеносным сосудам Naegleria fowleri пробирается к обонятельным луковицам головного мозга человека, где обнаруживает для себя богатую питательную среду. Амеба приступает к пиршеству, попутно размножаясь и вызывая симптомы менингита — воспаления оболочки головного мозга. О Неглерии Фоулера начинают говорить тогда, когда состояние пациента только ухудшается, а прописанное лечение не приводит к положительной динамике.
Но если с традиционными возбудителями менингита врачи знают как бороться, то первичный амебный менингоэнцефалит практически гарантированно приводит к смерти. У нас есть мощные антибиотики и противовирусные препараты, но аналогичного по эффективности оружия против амебы пока не существует.
Выжили 3% зараженных
Неглерия Фоулера размножается питаясь нервными тканями, вызывает воспаление, отмирание тканей мозга и внутреннее кровотечение. К 2012 году врачи насчитали около 310 случаев первичного амебного менингоэнцефалита. В 97% из них пациенты умерли. Однако есть и случаи, которые дают надежду на выздоровление. Они редки, но регистрируются.

Такое счастье ждало 73-летнего американского пациента. Он находился совсем не в той типичной группе риска, о которой сказано выше. Мужчина не плавал в пруду и в принципе никак не контактировал с водоемами перед заражением. Врачи предположили, что патогенный организм на протяжении некоторого времени мог находиться в носу пациента до тех пор, пока у него не началась ринорея спинномозговой жидкости — истечение жидкости, окружающей мозг, из носа. С этими симптомами американец и поступил в клинику.
При этом у мужчины наблюдалась ригидность мышц шеи, их болезненная скованность. Ему вкололи противосудорожные препараты, вставили эндотрахеальную трубку для вентиляции легких и принялись лечить. Доктор начал с антибиотиков против бактериального менингита, на который сперва и пало подозрение.
На пятый день нахождения в клинике состояние пациента никак не улучшилось. Он по-прежнему не приходил в сознание. Было решено провести повторную люмбальную пункцию (забор спинномозговой жидкости). Среди прочего в ней была обнаружена Naegleria fowleri в стадии трофозоита — активного размножения. Сразу же были изменены препараты, которые вводились в организм, но улучшение последовало только на десятый день — мужчина пришел в сознание и после извлечения из трахеи трубки стал дышать самостоятельно.

Спустя две недели образцы спинномозговой жидкости по-прежнему показывали наличие смертоносной амебы. Лечение продолжалось еще месяц, после чего состояние пациента все-таки пришло в норму.
Экспансия на север
Листая в архиве Национальной библиотеки медицины США описания клинических случаев, связанных с заражением амебой Неглерия Фоулера, чаще всего натыкаешься на заголовки, содержащие фразу «fatal case»: тут смерть 12-летнего мальчика, там 13 смертей в Пакистане (среди которых лишь одна наступила после купания), здесь смерть 4-летнего ребенка, подцепившего амебу в водопроводной воде.
Американские исследователи отмечают, что в последние пять лет наблюдается миграция случаев первичного амебного менингоэнцефалита в северные штаты страны (Канзас, Индиана, Миннесота). Нет, они не приобретают особой массовости, чтобы можно было говорить об эпидемии и бить в колокола. Но риск заражения увеличивается для большего количества людей. И связывать это принято с изменением климата и потеплением.
Куда большее беспокойство у исследователей вызывает тот факт, что угрозу заражения может нести в себе обычная водопроводная вода. После смерти одного из жителей Луизианы пробы воды были взяты из всех возможных источников в его квартире. Анализ показал, что Naegleria fowleri присутствует во всех образцах, в то время как в муниципальной системе очистки воды не было и намека на эту амебу. Всем жильцам посоветовали почаще включать горячую воду и на протяжении пяти минут пропускать ее через все краны, которыми только пользуются в семье. Чтобы предотвратить реколонизацию, данную процедуру нужно было повторять раз в несколько недель. Несмотря на это, спустя два года 4-летний ребенок из того же района Луизианы также умер от первичного амебного менингоэнцефалита.
Центр контроля заболеваний США относит инфекцию, связанную с Неглерией Фоулера, к разряду редких заболеваний. Все-таки даже в кишащей амебами воде еще надо постараться, чтобы подцепить заразу. К счастью, от человека к человеку это заболевание никак не передается. К несчастью, оно маскируется под бактериальный менингит, а многим умершим врачи только постфактум поставили верный диагноз.

Не удивительно, что Naegleria fowleri уже побывала героиней телесериала про лучшего диагноста в мире. Амеба фигурировала сразу в двух эпизодах второго сезона культового «Доктора Хауса», став причиной предсмертного состояния одного из главных героев. Правда, в отличие от большинства вполне реальных пациентов, персонаж телевизионного шоу отделался лишь легким испугом.
Быстрая связь с редакцией: читайте паблик-чат Onliner и пишите нам в Viber!
Перепечатка текста и фотографий Onliner.by запрещена без разрешения редакции. nak@onliner.by
Амебный менингоэнцефалит
Простейший одноклеточный организм —
неглерия Фоулера обычно проживает в пресных
водоемах с теплой водой. Во время купания этот
паразит может проникнуть в организм человека
через носовую полость, далее по обонятельному
каналу попадает в область головного мозга. В
итоге этот организм вызывает такую редкую, но
очень опасную патологию, как амебный
менингоэнцефалит.
Во время этого патологического процесса наблюдается
поражение нервных клеток, некроз мозговых оболочек, а также
отек и гипертермия головного мозга. В итоге возникает
образование гнойного экссудата вокруг луковиц. Обычно это
заболевание имеет неблагоприятный прогноз, который часто
сопровождается летальным исходом. У каждого человека
проявляются разные симптомы, их интенсивность и
выраженность зависит от степени поражения нервной системы.
Поэтому обязательно нужно знать основные причины и
симптомы этого заболевания, чтобы не заразиться этой
страшной патологией.
Особенности заболевания
Возбудителем данного заболевания является амеба неглерия, этот простейший организм входит в
группу эукариотов или ядерных одноклеточных организмов жгутикового типа. Обитает этот
простейший организм в стоячих водах прудов, водохранилищах, в бассейнах с недостаточно
хлорированной водой. Проживает этот вид организма в основном в почвах с повышенной
влажностью.
Возбудитель амебного менингита относится к факультативным
простейшим организмам, это значит, что амеба может спокойно
проживать в окружающей среде, а при попадании в организм
человека она будет дальше паразитировать внутри организма
человека.
Амеба может проживать длительное время в цисте, в защитной оболочке. Обычно это происходит
при возникновении неблагоприятных условий для проживания, к примеру, если водоем осушили.
Внутри цисты микроб может проживать несколько лет, при этом он может спокойно переносить
температуры до 45 градусов. В таком состоянии организм может переносить ветер на большие
расстояния, нередко цисты с микробами обнаруживаются в увлажнителях кондиционеров, в
хлорированной или в некипяченой питьевой воде. Но стоит отметить, что опасным этот организм
становится, когда переходит в жгутиковую стадию.
Если выпить воду, в которой содержатся возбудители амебного менингита, то микробы просто
переварятся в желудке. Основной период, в который происходит процесс заражения паразитом,
считается летнее время, разгар купального сезона. Возбудитель может проникнуть в организм даже
при вдыхании воздуха в это время.
Амеба продвигается в область головного
мозга по следующей схеме:
возбудитель проникает в полость носа
совместно с грязной водой;
далее, он внедряется в обонятельный
нерв;
после этого паразит проникает в область
головного мозга, в его оболочку и во все
отделы – мозжечок, ствол мозга и в
верхние отделы спинного мозга.
Симптомы
Возникать амебный менингоэнцефалит может и у людей с
отличным здоровьем. Заразиться этой страшной патологией
может практически каждый, и взрослый, и ребенок.
Инкубационный период — от 2 до 10 суток.
Обычно амебный менингит проявляется уже через 7 дней
после заражения, в этот период могут отмечаться
следующие признаки:
Болевые ощущения в области горла.
Может появиться сухой кашель.
Проблемы с обонянием.
Появление рвоты, которая не приносит облегчения.
Мигрень.
Может отмечаться повышенная степень возбудимости.
Высокая температура тела.
Данные симптомы обычно проявляются и при других заболеваниях,
поэтому эту патологию можно легко не заметить или списать на
другую болезнь. По этой причине обследование амебного менингита
на начальной стадии достаточно затруднено. Больные могут думать
что это простое простудное заболевание, по этой причине они могут
длительное время не приходить к врачу для проведения
диагностирования. Уже через 10 дней могут отмечаться следующие
расстройства с неврологическим характером:
усиление тонуса мышечных волокон в области затылка;
возникновение судорог;
проблемы с сознанием;
проявление зрительных галлюцинаций;
эпилептические приступы;
возникновение слепоты;
проблемы со слухом, может возникнуть полная глухота;
состояние комы.
В дальнейший период возбудитель заболевания – амеба
неглерия начинает активно развиваться и размножаться. В
процессе своей жизнедеятельности она быстро поедает
клетки мозга, по этой причине если своевременно не будет
проведено лечение, то это может привести к летальному
итогу. Стоит отметить, что процент смертности от этой
патологии очень высокая, пациентов не удается спасти в
90% случаев. Главная причина повышенной смертности
состоит в том, что этот недуг достаточно сложно
диагностировать, потому что клинические признаки похожи
на проявления менингита бактериального типа. Часто
смерть наступает уже на 3–7 сутки после возникновения
первых признаков этого заболевания.
Особенности диагностики
Поскольку эта патология довольно опасная и летальный исход больного
может произойти практически в любой момент, важно провести
диагностирование этого заболевания сразу после появления первых
симптомов.
Особенности обследования на первичной стадии амебного менингита:
для выявления первичного амебного менингоэнцефалита выполняется
бактериоскопия жидкости в спинном мозге и посев крови
бактериологического типа;
если у больного имеется эта патология, то у него в ликворе будет обнаружен
повышенный уровень содержания эритроцитов, белка, лейкоцитов, а также
будет отмечаться сниженная концентрация глюкозы;
обязательно проводится микроскопическая диагностика жидкости, при
которой определяется присутствие подвижных микроорганизмов.
Лечение
Обычно до лечения редко кто доживает, многие пациенты при заражении умирают
уже на 5–7 день. Это связано с тем, что многие путают этот патологический
процесс с другими заболеваниями и из-за этого поздно обращаются в больницу.
Во время лечебной терапии амебного менингита используют антибиотические и
противогрибковые средства. К наиболее эффективным относятся:
Метронидозол;
Миконазол;
Амфотерецин В;
Рифампицин;
Аминазин.
В первый период лечения лекарственные средства вводятся внутривенно в больших
дозировках. Затем их начинают вводить под оболочки головного мозга, но при этом
дозировка препаратов снижается. Во время лечебной терапии часто используют
иммунную антинеглерийную сыворотку или моноклональные антитела.
Стоит учитывать то, что заболевание развивается стремительно, поэтому счет идет
на часы. Врач должен быстро провести необходимое лечение при помощи
вышеперечисленных лекарственных средств. Дома его лечить ни в коем случае не
рекомендуется, только в стационаре под наблюдением специалиста.
Профилактические меры
Эта патология считается опасной и очень страшной, поэтому стоит
заранее обезопасить себя от заражения этой болезнью. В этом случае
стоит запомнить несколько важных рекомендаций, которые помогут
избежать заражения амебным менингоэнцефалитом:
стоит воздержаться от купания в теплых стоячих водоемах, особенно с
грязной водой, которые не подлежат санитарному контролю;
лучше во время ныряния защищать нос – для этого его можно зажать
руками или надеть на него специальную прищепку;
если предстоит работа в саду или в огороде с влажной землей, то
налицо нужно надеть маску, а на руки перчатки;
после работ с влажной почвой обязательно нужно очищать руки и
хорошо промывать также нужно вычищать всю грязь из-под ногтей;
следить за гигиеной детей, не позволять им ковырять в носу грязными
пальцами;
стоит учитывать, что цисты амеб обладают повышенной живучестью,
поэтому обязательно периодически нужно очищать увлажнители
кондиционеров;
пить следует только кипяченую воду.
Первичный амебный менингоэнцефалит

, иногда называемый «амебный менингоэнцефалит острый примитивным» или MEAP, является единственным проявлением болезни описано в организме человека и в связи с неглерия фоулера .
Резюме
Ответственный паразит
Вид Naegleria fowleri - это свободная (непаразитарная) амеба, обитающая в озерах, болотах, плохо обслуживаемых бассейнах и заболоченных территориях: первичный амебный менингоэнцефалит - это заболевание, передающееся через воду .
Эпидемиология
По оценкам, в 2007 году во всем мире было диагностировано более 200 случаев; по внешнему виду можно поверить, что частота заболевания нарастает; однако это увеличение числа обнаруженных случаев также связано с более точной диагностикой со стороны клиницистов и развитием медицинских и анатомопатологических методов исследования.
Заболевание распространяется среди молодых и здоровых людей обоего пола, которые регулярно контактируют со свежей теплой водой, особенно во время подводного плавания без маски. Однако для включения MEAP должны быть соблюдены особые условия.
Патофизиология
Трофозоит из неглерия фоулера поступает в мозг из носовой полости через обонятельный эпителий , вызывая воспалительную реакцию.
Инкубация
При воздействии, очевидно, связанном с вдыханием пыли или капель, содержащих N. Fowleri в кистозной или вегетативной форме, инкубационный период может длиться до двух или трех недель, но, согласно отчетным данным из США , может быть ограничен тремя или пятью. дней.
Патогенность и клинические признаки
MEAP вызывает внезапное начало головной боли , умеренную лихорадку , тошноту, иногда связанную с раздражением горла и ринитом . Все это может сопровождаться вялостью , ригидность затылочных мышц, светобоязнью , различными повреждениями глаз ( мидриаз , нистагм , чувствительность к давлению), непроизвольные судороги , быстро прогрессирующей к бреду , гипертермии ( от 39 до 41 ° С ), от рвоты и судороги Эпилептиформных затем кома необратимый затем смерти человека по угнетению дыхания менее чем через неделю или два начала симптомов .
Исследования
- Церебральной сканер : он показывает hypodensities, иногда геморрагический, связанный с ним гидроцефалии, а также отек мозга диффузное. Мы предпочитаем более чувствительную МРТ.
- МРТ головного мозга: появляются признаки для более менингоэнцефалита.
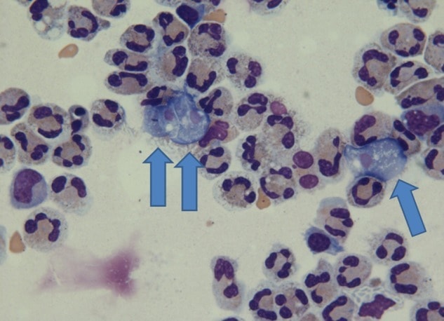
- Люмбальная пункция : положительный амебы антитела анти Naegleria или положительным порка теста (два полярных жгутиков) может быть обнаружена в спинно - мозговой жидкости , сам по себе часто гнойной и гему, но их отсутствие не исключают возможности из MEAP, это отсутствие бактерий, несмотря на преобладающую подозрительную клинику.
- Электроэнцефалографии (ЭЭГ) показывает признаки энцефалита. На поздней стадии это позволяет подтвердить прошлую кому и смерть мозга, что приводит к принятию решений о проведении лечения и продолжении реанимационной помощи .
- Бесспорно диагноз может быть установлен только на основании биопсии головного мозга, часто выполняемой только после смерти .
Механизм заражения
При вскрытии наблюдается выраженный отек головного мозга , гиперемия мозговых оболочек с возможным наличием гнойного экссудата в бороздах у основания мозга и мозжечка ; повреждение спинного мозга непостоянно. Из кист амебы присутствуют в большем или меньшем количестве в спинномозговой жидкости и субарахноидальном экссудате (см. Мозговые оболочки ). Он обнаруживается в периваскулярном кластере в пространствах Вирхова-Робена или в сером веществе, но очень редко в белом веществе (см. Нейроанатомия ).
Лечение
Инфекция грозит катастрофой примерно через неделю. По-настоящему эффективного лечения этой инфекции не существует; К счастью, это заболевание встречается редко и требует выполнения определенных условий для запуска MEAP. Эти конкретные условия, а также требуемый посевной материал в настоящее время еще неизвестны. Однако некоторые лекарства и антибиотики, по-видимому, влияют на течение инфекции, такие как амфотерицин B , рифампицин и миконазол, которые, взятые вместе, показали свою эффективность у двух или трех человек. В 1992 г. в литературе сообщалось только о семи случаях доказанной выживаемости с MEAP - поэтому выживаемость даже ниже, чем при болезни, вызванной вирусом Эбола - и только у очень молодых субъектов в возрасте от 2 до 14 лет, лечение которых и инфекция оставили более или менее важные неврологические последствия .
Анекдоты
Эта болезнь появляется в эпизоде «Next», двадцать первом эпизоде второго сезона и в сезоне 8 в 17- м эпизоде «куклы любви» медицинского сериала House MD . Она также появляется в эпизоде «Беги, Доктор, Беги», тринадцатом эпизоде первого сезона медицинского сериала «Резидент», а также в эпизоде 6 первого сезона сериала « Новый Амстердам » .
Поражающая мозг «амеба» начала продвигаться на север США
Опасный одноклеточный организм Неглерия Фоулера, вызывает первичный амебный менингоэнцефалит.
Большинство случаев фиксируют во Флориде и Техасе, к этим штатам добавились также Индиана, Мэриленд, Миссури, Канзас и Нью-Мексико, сообщает Newsweek.
Заражение паразитом происходит преимущественно в водоемах. Через нос Неглерия Фоулера попадает в обонятельный нерв и через него — в головной мозг, где начинает поедать его клетки и бурно размножаться. Это приводит к кровоизлияниям и некрозам и, в конечном итоге, к смерти больного.

Омериге пизда? Наконец-то.

у нас тоже с этим проблема
Размещено через приложение ЯПлакалъ
у нас её нет, потому что никто не ищет. напишут, что быстротекущий менингит и всё.
в европе в каком-то отеле 11 случаев зафиксировано было
. и да. на юге она у нас скорее всего есть. просто она ведёт себя агрессивно в маленьком диапазоне температуры и в пресной воде
Ну а чего ж она не зохавала мозги всем в Африке? Идеальное же место - тепло весь год, а вместо этого пытается на север США лезть.
Хотя возможно в процессе эволюции эта бактерия зохавала всех нигров с мозгами, у выживших поколений орган атрофировался и бактерии пришлось искать пропитание на других континентах
Жизнеспособная теория, как думаете, коллеги? Пора на Нобелевскую подавать, пора
Ну всё - ТЕПЕРЬ точно пезда

А мы гадаем почему у них так, вот и ответ ))))
Размещено через приложение ЯПлакалъ
Хорошо бы эмигрировала сама вся. А то, возможно, отправила в эмиграцию только потомство, как чиновники с госдумовцами.
Можно напомнить хоть одну заразу что от нас пиндосам - а не как обычно с пиндосии к нам заброшена.
пример про твой мозг не предлагать
Ох, бля, и сразу "аунас" как из пизды на лыжах.
Размещено через приложение ЯПлакалъ
Эта амёба, похоже, половину юзверей ЯПа покусала. Меня в том числе, раз читаю бред, который в посте написан
Размещено через приложение ЯПлакалъ
Да, бредовые посты это колосальная проблема совоеменного ЯПа.
Размещено через приложение ЯПлакалъ
Это было сказано в ответ на серию постов Троцкого.
Размещено через приложение ЯПлакалъ
В США за последние 55 лет случаи амебного менингоэнцефалита, вызванного бактерией Naegleria Fowleri, фиксировались 143 раза.
Хоть бы ссылку куда-нибудь дал. ТС.
Ковид тоже начал в конце 2019-го зарождаться, а потом ебанул по всему миру. Так что тут время ещё есть.
Размещено через приложение ЯПлакалъ
Ковид , ща ещё эта амеба непонятная . в общем пиздец
Размещено через приложение ЯПлакалъ
У мэра Москвы давно живет, и хуле
Размещено через приложение ЯПлакалъ
В "Докторе Хаусе" есть серия про неё.
Первичный амёбный менингоэнцефалит (ПАМ) представляет собой редкое, но почти всегда заканчивающееся летальным исходом заболевание, вызываемое Naegleria fowleri, термофильной свободноживущей амебой. N. fowleri обычно попадает в организм человека при плавании и нырянии в зараженной проточной воде. Возбудители вездесущи и имеют тенденцию пышно расти в воде с температурой выше 32° С, особенно в присутствии кишечных палочек, которыми они питаются.
Пик заболеваемости амёбным менингоэнцефалитом приходится на летние месяцы. В последнее время возбудитель всё чаще выявляют в бассейнах (в том числе с хлорируемой водой) и воде из термальных источников, что связано с высокой устойчивостью цист. Попав в полость носа, возбудитель внедряется в слизистую оболочку и быстро там размножается, вызывая ринит. Затем амёбы проникают через носослёзный канал, слизистую оболочку носа и решётчатую пластинку решётчатой кости в органы ЦНС, вызывая тяжёлое геморрагическое воспаление обонятельных луковиц. По ходу обонятельного нерва возбудитель диссеминирует далее в ЦНС, вызывая развитие воспалительных реакций в мозговых оболочках и тканях мозга. Заболевание начинается внезапно, отличается бурным течением и обычно заканчивается смертью пациента.
Симптомы
Головная боль, насморк, тошнота развиваются уже через 2 сут; летальный исход обычно наступает на 10-е сутки.
Лечение
Некоторый эффект даёт назначение амфотерицина В, но большинство случаев заканчивается летально.
БИОЛАБОРАТОРИИ США В УКРАИНЕ И СМЕРТЕЛЬНАЯ АМЁБА

Скандал, разразившийся в связи с обнародованием деталей деятельности американской референс-лаборатории в Грузии, привлёк пристальное внимание к деятельности таких «контор» в других постсоветских странах. В частности, в Украине…
Как известно, бывший глава службы безопасности Грузии Игорь ГИОРГАДЗЕ недавно сообщил, что в результате «работы» американской биолаборатории в грузинской Алексеевке по каким-то «неизвестным» причинам скончались 73 (!) гражданина этой страны.
А в руки бывшего контрразведчика к тому же попали документы, свидетельствующие о весьма странной направленности деятельности американских биологов. В частности, об их намерении использовать… квадрокоптеры для транспортировки возбудителей и штаммов опасных болезней к месту их применения.
Ни у кого не возникло и тени сомнения, что из Грузии таких американо-грузинских «друзей» можно направлять либо в Абхазию и Южную Осетию, либо в Россию…
Показательно, что мой источник, хорошо осведомлённый о работе таких лабораторий, отмечает, что одним из основных, если не главных, направлении их деятельности является адаптация вирусов, инфекция и болезней, ранее почти неизвестных на евразийских пространствах, к местным условиям.
В связи с этим обстоятельством интересен недавний случай, произошедший в США. 29-летний серфингист Фабрицио СТАБИЛЕ после посещения волнового бассейна в городе Уэйко, что в штате Техас, начал жаловаться на сильнейшую головная боль, которая мешала ему даже разговаривать.
Сначала медики определили у больного бактериальный менингит, однако лечение не помогло. СТАБИЛЕ сделали анализы и было установлено, что он у него первичный амебный менингоэнцефалит, который почти всегда заканчивается смертельным исходом. Так и произошло на этот раз: через несколько дней мужчина скончался.
Доказать появление смертельной амёбы именно в этом месте её «утечкой» из секретных хранилищ референс-лабораторий США не представляется возможным, но иных объяснений просто нет, потому что в самом бассейне было обнаружено ничтожное количество микроорганизмов, которые никак не могли появиться давно и естественным путём.
Как известно, первичный амебный менингоэнцефалит — очень редкое заболевание, вызываемое амебами вида Heглepия Фoулepa (Naegleria fowleri). Эти одноклеточные попадают в организм человека, как правило, через нос при купании в грязной воде и буквально пожирают головной мозг.
За последние 55 лет в США диагностировали всего 143 случая заражения первичным амебным менингоэнцефалитом. Бывали такие случаи и в других странах, но весьма редко. Например, в Чехии, между 1962 и 1965 годов, заболели 16 человек, которые купались в открытом бассейне. Также случаи были в Англии, Новой Зеландии, Тайване, Пакистане, Индии.
Неглерия Фоулера обитает в пресных, теплых водоемах, а во время купания бактерия попадает в носовую полость человека и по каналу обонятельного нерва перемещается к головному мозгу.
Амебный менингит вызывает поражение нервных клеток, некроз мозговых оболочек, отек и гипертермию мозга, вокруг луковиц образуется гнойный экссудат. Амеба Неглерия Фоулера начинает активно размножаться, питаясь клетками мозга, поэтому без своевременного лечения менингит приводит к летальному исходу пациента.
Смертность от данного заболевания очень высокая, не удается спасти пациента в 98% случаев…
Показательно, если водоём, в котором живут такие амёбы, осушен, или становится непригодным для жизни Неглерии Фоулера, то она превращается в цисту, которая может переноситься с ветром в другие водоёмы и в том числе в другие страны.
Циста — временная форма существования, характеризующаяся наличием защитной оболочки, которая образуется в неблагоприятных условиях или в определенные моменты их жизненного цикла, а также сама эта оболочка.
То есть, этот микроорганизм, по сути, является уникальным и универсальным биологическим оружием длительного применения.
Известно, что среди прочих направлений, американцы в своих зарубежных лабораториях работают и над применением Неглерии Фоулера. Особо привлекательной, с точки зрения США, для её применения в настоящее время выглядит Украина.
Во-первых, потому что здесь находится 13 (. ) американских биолабораторий: в Одессе, Виннице, Ужгороде, Львове (три), Харькове, Киеве (тоже три), Херсоне, Тернополе. Несколько таких лабораторий открылись рядом с Крымом и вблизи Луганска и пока не попали на эту схему.
Есть свидетельства от сотрудников этих заведения, что в них также, как и в Грузии, имелись многочисленные случаи смертей пациентов по «неустановленным причинам», причём очень часто симптомы как раз совпадали с признаками поражения первичным амебным менингоэнцефалитом.
Кстати, украинцы считают прямым следствием работы биологических лабораторий эпидемии АЧС — африканской чумы свиней, птичьего гриппа или лихорадки Эбола. Для борьбы с каждой эпидемией Киеву приходилось закупать новую вакцину именно у американских фармацевтических компаний.
Однако на этот раз всё гораздо хуже. Развитая сеть рек, озёр, прудов и водохранилищ в Украине и прилегающих районах России, говорит мой собеседник, как нельзя лучше подходит для массированного применения Неглерии Фоулера. Тем более, что катастрофическую эпидемию можно хорошо списать на всеобщий украинский беспорядок, повсеместно царящий в этой стране.
В Украине даже склады с боеприпасами взрываются с такой же регулярностью, с какой всходит и заходит Солнце. В последнее время в Украине наблюдаются трудности с обеззараживанием воды, связанные с критическим недостатков хлора. Случайно ли это? Весьма вероятно, что нет.
Так как поступление воды с амёбами Неглерии Фоулера в городские водопроводы сделает эпидемию воистину ужасной.
А быстрое распространение смертельно опасного первичного амебного менингоэнцефалита по территории Украины и России США объяснят как раз фактором разгильдяйства, безответственности и пещерным состоянием профилактики эпидемий в Украине, где нет вакцины даже против общеизвестных болезней типа кори, туберкулёза или оспы.
Но Вашингтон планирует заполучить и политические дивиденды. В частности, привлечь ООН для борьбы с заболеванием. То есть, фактически всё равно получить одобрение на ввод миротворцев на весь Юго-Восток Украины.
Так что сотни миллионов долларов, которые Пентагон тратит на открытие и содержание своих биолабораторий, скоро, весьма, вероятно, окупятся.
К слову… Дополнения к Женевскому протоколу 1925 года в отношении права использования химического и токсинного оружия в порядке ответа, и приказ Президента США №11850, позволяют вооруженным силам США применять «нелетальное» химическое и токсинное оружие в качестве средства ведения войны. А так называемый Патриотический акт 2001 года прямо разрешает разработку биологического оружия с согласия правительства США.
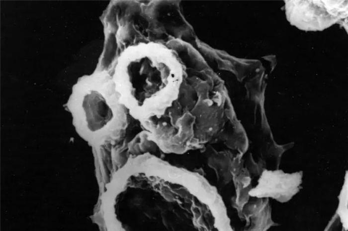
На снимке: мозг человека, пораженный амёбой Неглерии Фоулера.
Читайте также:
