Первичный амебный менингоэнцефалит
Добавил пользователь Евгений Кузнецов Обновлено: 07.01.2026
Раз в несколько лет СМИ рассказывают об ужасных случаях гибели людей, которые имели неосторожность искупаться в водоеме. Сперва они чувствуют недомогание, головную боль и головокружение, затем начинаются припадки и галлюцинации, а после выясняется, что их мозг медленно, но верно пожирает амеба Naegleria fowleri. В подавляющем большинстве случаев человек сгорает за несколько дней: эффективного средства против этой мелкой твари пока не изобрели.
Не обошелся без жертвы амебы Неглерия Фоулера и уходящий октябрь. 29-летний серфингист Фабрицио Стабиле развлекался в волновом бассейне в Техасе в середине сентября, а уже через несколько дней начал испытывать сильную головную боль, от которой не спасали ни одни таблетки. Боль была такой, что мужчина утратил возможность связно выражаться. За несколько дней до смерти анализы выявили у Фабрицио первичный амебный менингоэнцефалит, причиной которого является микроскопический организм Naegleria fowleri.

Знакомьтесь, Неглерия Фоулера
Во-первых, что такое амеба? Одноклеточный бесформенный организм, который хлюпает своей цитоплазмой тут и там в поисках бактерий и прочих питательных веществ. Некоторые амебы являются паразитами животных и человека, некоторые живут в воде или влажной почве. Не все из них считаются возбудителями заболеваний, большинство абсолютно безвредны для людей. Но не наш сегодняшний антигерой.
Амеба Naegleria fowleri живет в пресных водоемах с водой, имеющей температуру от 25 до 30 градусов по Цельсию. Организм этот весьма теплолюбивый. А так как климатологи рапортуют о растущей средней температуре и мы все чаще наблюдаем аномально жаркую погоду в различных уголках мира, то и благоприятных условий для жизни Неглерии Фоулера становится все больше.

Возбудитель болезни проникает в организм человека через нос. Эпидемиолог из Южной Каролины, комментируя смерть своего земляка, отметила, что в подавляющем большинстве случаев это происходит во время нахождения людей в загрязненной воде. Особенно когда купающиеся ныряют вперед ногами и не закрывают нос хотя бы пальцами.
По обонятельному нерву, пучкам аксонов и кровеносным сосудам Naegleria fowleri пробирается к обонятельным луковицам головного мозга человека, где обнаруживает для себя богатую питательную среду. Амеба приступает к пиршеству, попутно размножаясь и вызывая симптомы менингита — воспаления оболочки головного мозга. О Неглерии Фоулера начинают говорить тогда, когда состояние пациента только ухудшается, а прописанное лечение не приводит к положительной динамике.
Но если с традиционными возбудителями менингита врачи знают как бороться, то первичный амебный менингоэнцефалит практически гарантированно приводит к смерти. У нас есть мощные антибиотики и противовирусные препараты, но аналогичного по эффективности оружия против амебы пока не существует.
Выжили 3% зараженных
Неглерия Фоулера размножается питаясь нервными тканями, вызывает воспаление, отмирание тканей мозга и внутреннее кровотечение. К 2012 году врачи насчитали около 310 случаев первичного амебного менингоэнцефалита. В 97% из них пациенты умерли. Однако есть и случаи, которые дают надежду на выздоровление. Они редки, но регистрируются.

Такое счастье ждало 73-летнего американского пациента. Он находился совсем не в той типичной группе риска, о которой сказано выше. Мужчина не плавал в пруду и в принципе никак не контактировал с водоемами перед заражением. Врачи предположили, что патогенный организм на протяжении некоторого времени мог находиться в носу пациента до тех пор, пока у него не началась ринорея спинномозговой жидкости — истечение жидкости, окружающей мозг, из носа. С этими симптомами американец и поступил в клинику.
При этом у мужчины наблюдалась ригидность мышц шеи, их болезненная скованность. Ему вкололи противосудорожные препараты, вставили эндотрахеальную трубку для вентиляции легких и принялись лечить. Доктор начал с антибиотиков против бактериального менингита, на который сперва и пало подозрение.
На пятый день нахождения в клинике состояние пациента никак не улучшилось. Он по-прежнему не приходил в сознание. Было решено провести повторную люмбальную пункцию (забор спинномозговой жидкости). Среди прочего в ней была обнаружена Naegleria fowleri в стадии трофозоита — активного размножения. Сразу же были изменены препараты, которые вводились в организм, но улучшение последовало только на десятый день — мужчина пришел в сознание и после извлечения из трахеи трубки стал дышать самостоятельно.

Спустя две недели образцы спинномозговой жидкости по-прежнему показывали наличие смертоносной амебы. Лечение продолжалось еще месяц, после чего состояние пациента все-таки пришло в норму.
Экспансия на север
Листая в архиве Национальной библиотеки медицины США описания клинических случаев, связанных с заражением амебой Неглерия Фоулера, чаще всего натыкаешься на заголовки, содержащие фразу «fatal case»: тут смерть 12-летнего мальчика, там 13 смертей в Пакистане (среди которых лишь одна наступила после купания), здесь смерть 4-летнего ребенка, подцепившего амебу в водопроводной воде.
Американские исследователи отмечают, что в последние пять лет наблюдается миграция случаев первичного амебного менингоэнцефалита в северные штаты страны (Канзас, Индиана, Миннесота). Нет, они не приобретают особой массовости, чтобы можно было говорить об эпидемии и бить в колокола. Но риск заражения увеличивается для большего количества людей. И связывать это принято с изменением климата и потеплением.
Куда большее беспокойство у исследователей вызывает тот факт, что угрозу заражения может нести в себе обычная водопроводная вода. После смерти одного из жителей Луизианы пробы воды были взяты из всех возможных источников в его квартире. Анализ показал, что Naegleria fowleri присутствует во всех образцах, в то время как в муниципальной системе очистки воды не было и намека на эту амебу. Всем жильцам посоветовали почаще включать горячую воду и на протяжении пяти минут пропускать ее через все краны, которыми только пользуются в семье. Чтобы предотвратить реколонизацию, данную процедуру нужно было повторять раз в несколько недель. Несмотря на это, спустя два года 4-летний ребенок из того же района Луизианы также умер от первичного амебного менингоэнцефалита.
Центр контроля заболеваний США относит инфекцию, связанную с Неглерией Фоулера, к разряду редких заболеваний. Все-таки даже в кишащей амебами воде еще надо постараться, чтобы подцепить заразу. К счастью, от человека к человеку это заболевание никак не передается. К несчастью, оно маскируется под бактериальный менингит, а многим умершим врачи только постфактум поставили верный диагноз.

Не удивительно, что Naegleria fowleri уже побывала героиней телесериала про лучшего диагноста в мире. Амеба фигурировала сразу в двух эпизодах второго сезона культового «Доктора Хауса», став причиной предсмертного состояния одного из главных героев. Правда, в отличие от большинства вполне реальных пациентов, персонаж телевизионного шоу отделался лишь легким испугом.
Быстрая связь с редакцией: читайте паблик-чат Onliner и пишите нам в Viber!
Перепечатка текста и фотографий Onliner.by запрещена без разрешения редакции. nak@onliner.by
Первичный амебный менингоэнцефалит

, иногда называемый «амебный менингоэнцефалит острый примитивным» или MEAP, является единственным проявлением болезни описано в организме человека и в связи с неглерия фоулера .
Резюме
Ответственный паразит
Вид Naegleria fowleri - это свободная (непаразитарная) амеба, обитающая в озерах, болотах, плохо обслуживаемых бассейнах и заболоченных территориях: первичный амебный менингоэнцефалит - это заболевание, передающееся через воду .
Эпидемиология
По оценкам, в 2007 году во всем мире было диагностировано более 200 случаев; по внешнему виду можно поверить, что частота заболевания нарастает; однако это увеличение числа обнаруженных случаев также связано с более точной диагностикой со стороны клиницистов и развитием медицинских и анатомопатологических методов исследования.
Заболевание распространяется среди молодых и здоровых людей обоего пола, которые регулярно контактируют со свежей теплой водой, особенно во время подводного плавания без маски. Однако для включения MEAP должны быть соблюдены особые условия.
Патофизиология
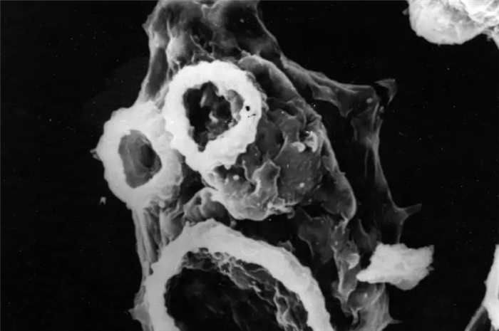
Трофозоит из неглерия фоулера поступает в мозг из носовой полости через обонятельный эпителий , вызывая воспалительную реакцию.
Инкубация
При воздействии, очевидно, связанном с вдыханием пыли или капель, содержащих N. Fowleri в кистозной или вегетативной форме, инкубационный период может длиться до двух или трех недель, но, согласно отчетным данным из США , может быть ограничен тремя или пятью. дней.
Патогенность и клинические признаки
MEAP вызывает внезапное начало головной боли , умеренную лихорадку , тошноту, иногда связанную с раздражением горла и ринитом . Все это может сопровождаться вялостью , ригидность затылочных мышц, светобоязнью , различными повреждениями глаз ( мидриаз , нистагм , чувствительность к давлению), непроизвольные судороги , быстро прогрессирующей к бреду , гипертермии ( от 39 до 41 ° С ), от рвоты и судороги Эпилептиформных затем кома необратимый затем смерти человека по угнетению дыхания менее чем через неделю или два начала симптомов .
Исследования
- Церебральной сканер : он показывает hypodensities, иногда геморрагический, связанный с ним гидроцефалии, а также отек мозга диффузное. Мы предпочитаем более чувствительную МРТ.
- МРТ головного мозга: появляются признаки для более менингоэнцефалита.
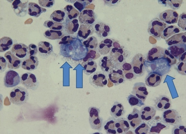
- Люмбальная пункция : положительный амебы антитела анти Naegleria или положительным порка теста (два полярных жгутиков) может быть обнаружена в спинно - мозговой жидкости , сам по себе часто гнойной и гему, но их отсутствие не исключают возможности из MEAP, это отсутствие бактерий, несмотря на преобладающую подозрительную клинику.
- Электроэнцефалографии (ЭЭГ) показывает признаки энцефалита. На поздней стадии это позволяет подтвердить прошлую кому и смерть мозга, что приводит к принятию решений о проведении лечения и продолжении реанимационной помощи .
- Бесспорно диагноз может быть установлен только на основании биопсии головного мозга, часто выполняемой только после смерти .
Механизм заражения
При вскрытии наблюдается выраженный отек головного мозга , гиперемия мозговых оболочек с возможным наличием гнойного экссудата в бороздах у основания мозга и мозжечка ; повреждение спинного мозга непостоянно. Из кист амебы присутствуют в большем или меньшем количестве в спинномозговой жидкости и субарахноидальном экссудате (см. Мозговые оболочки ). Он обнаруживается в периваскулярном кластере в пространствах Вирхова-Робена или в сером веществе, но очень редко в белом веществе (см. Нейроанатомия ).
Лечение
Инфекция грозит катастрофой примерно через неделю. По-настоящему эффективного лечения этой инфекции не существует; К счастью, это заболевание встречается редко и требует выполнения определенных условий для запуска MEAP. Эти конкретные условия, а также требуемый посевной материал в настоящее время еще неизвестны. Однако некоторые лекарства и антибиотики, по-видимому, влияют на течение инфекции, такие как амфотерицин B , рифампицин и миконазол, которые, взятые вместе, показали свою эффективность у двух или трех человек. В 1992 г. в литературе сообщалось только о семи случаях доказанной выживаемости с MEAP - поэтому выживаемость даже ниже, чем при болезни, вызванной вирусом Эбола - и только у очень молодых субъектов в возрасте от 2 до 14 лет, лечение которых и инфекция оставили более или менее важные неврологические последствия .
Анекдоты
Эта болезнь появляется в эпизоде «Next», двадцать первом эпизоде второго сезона и в сезоне 8 в 17- м эпизоде «куклы любви» медицинского сериала House MD . Она также появляется в эпизоде «Беги, Доктор, Беги», тринадцатом эпизоде первого сезона медицинского сериала «Резидент», а также в эпизоде 6 первого сезона сериала « Новый Амстердам » .
Лечение первичного амебного менингоэнцефалита в Москве
Какую диагностику необходимо пройти, вам подскажет лечащий врач. Вам могут назначить:
Обратите внимание! Информация на странице представлена для ознакомления. Для назначения лечения обратитесь к врачу.
Лечение первичного амебного менингоэнцефалита - все врачи 30
Инфекционисты Москвы - отзывы
Хороший и компетентный доктор. Она дала нам рекомендации, сказала чему уделить внимание и сделала назначение.
Кирилл Александрович был вежлив, внимателен. На приеме он осмотрел ребенка, сделал заключение. В принципе, ребенок здоров был. Время поджимало, поэтому выбрал первого попавшегося доктора, вблизи района. Порекомендовал бы этого специалиста знакомым при необходимости.
Очень хорошая, внимательная и отзывчивая доктор. Она необыкновенная и грамотная пульмонолог. За последнее время мы столкнулись с такой впервые и остались довольны! Врач, просто, от Бога! Слава Богу, что нас перевели в хорошие руки. Выше всяких похвал! Врач все осмотрела, сделала укол, облегчающий дыхание, выдала рекомендации по всему букету заболеваний, пневмонии, хондры, и всего, всего, всего. Назначила капельницы, дыхательные ингаляции, все четко расписала, как для идиота. Своим знакомым мы сказали, что нашли специалиста у которого можно лечиться. Будем пользоваться только ее услугами.
Этого специалиста я нашла в интернете. Приняли меня даже раньше назначенного времени. Прием длился минут пятнадцать, всё хорошо прошло. Адекватный и вежливый врач, хорошо разговаривает. Доктор проконсультировала меня, посоветовала что делать и ответила на все мои вопросы. При необходимости к этому специалисту я обратилась бы повторно и порекомендовала знакомым.
Врач приятная и внимательная. Доктор назначила лечение, не было никаких дополнительных анализов, всё быстро и чётко.
В целом, ничего. Немножко напрягла некоторая советскость женщины, потому что она нам параллельно рассказывала, как нужно ребенка держать, то есть какие-то странные были замечания по взаимодействию с ребенком. В целом, три с плюсом. Марина Владимировна выписала лекарства. Правда, у нас эти дни были антибиотики, поэтому основная ценность была не в самих лекарствах, а в том, что она послушала ребенка, что нет пневмонии. С ребенком врач общалась нормально, но у меня сложилось странное ощущение, что я на приеме в государственной поликлинике, хотя это был довольно дорогостоящий прием, и хотелось бы какого-то более гуманного, что ли, подхода, приятного.
Квалифицированный, профессиональный и внимательный врач. Она мне всё объяснила,исчерпывающе ответила на многие вопросы и назначила правильное лечение, прогресс которого был виден на второй день.
Прием прошел хорошо. Я пришла к доктору со своим вопросом. Она отнеслась ко мне очень квалифицированно, ответила на интересующие меня вопросы. Я получила все, что хотела. Внимательный врач. Обратилась бы к ней повторно и порекомендовала своим знакомым, при необходимости.
Врач объяснила вещи, которые мне не смогли объяснить в поликлинике и прописала гепатопротекторы. Татьяна Станиславовна внимательный специалист, который все толково объясняет и рассказывает.
Прекрасный доктор. На приеме она внимательно нас выслушала, серьёзно отнеслась к вопросу и назначила лечение, после которого ребенку стало лучше. В течении двух часов я еще дополнительно задавала вопросы, а врач на них отвечала. Я буду еще к ней обращаться.
Смертельное купание: ребенок подхватил амебу-мозгоеда в горячем источнике
Водные забавы таят в себе множество опасностей, и зачастую там, где их совсем не ждешь. В США 12-летний мальчик подхватил амебу-мозгоеда, купаясь в популярном месте отдыха Калифорнии. Тревожные симптомы появились у ребенка через 12 дней после отдыха.
Водные забавы таят в себе множество опасностей, и зачастую там, где их совсем не ждешь. В США 12-летний мальчик подхватил амебу-мозгоеда, купаясь в популярном месте отдыха Калифорнии — горячем источнике Хот-Дитч. Тревожные симптомы появились у ребенка через 12 дней после отдыха — началась лихорадка, головные боли и рвота. Мальчика доставили в отделение интенсивной терапии, и уже там у него развилась дыхательная недостаточность. Несмотря на лечение, ребенок скончался через несколько дней.
Пробы спинномозговой жидкости показали, что в организме маленького пациента присутствовали микроорганизмы Naegleria fowleri, так называемой амебы-мозгоеда. Препараты для борьбы с неглерией существуют, но не всегда приводят к излечению.
Опасные микроорганизмы могут находиться в любом теплом пресноводном водоеме. Однако заразиться, например, проглотив амебу, невозможно. Она проникает в мозг только через нос (обонятельный нерв). А для этого, как минимум, не нужно нырять и баловаться под водой, что в случае отдыха с детьми осуществить довольно сложно.
Ученые полагают, что в связи с глобальным потеплением есть вероятность, что ареал амебы будет расширяться.
Похожий случай произошел в Техасе, где 29-летний мужчина умер после посещения волнового бассейна. После купания у него сильно разболелась голова. Мужчину отправили в больницу, где медики диагностировали бактериальный менингит. Дополнительные анализы выявили первичный амебный менингоэнцефалит, от которого через несколько дней мужчина скончался. Болезнь возникает, если в организм попадает амеба вида Naegleria fowleri.
По статистике, зараженные ею люди умирают в 98 процентах подобных случаев. В США за последние 55 лет было зафиксировано 143 таких случая.
В настоящее время медики предлагают лечить подобные заболевания серебряными нанопулями. Соответствующие исследования проводятся учеными Американского химического общества. В частности, они предложили "назначить" охотниками за амебами известные лекарства-депрессанты — диазепам, фенобарбитон и фенитоин. А чтобы они легче проходили через гемато-энцефалический барьер, лекарства помещают в серебряные наночастицы.
Ранее сообщалось, что жительница США заразилась отфильтрованной водой. Во время операции на мозге у 69-летней американки врачи увидели страшное: омертвевшая мозговая ткань превратилась в кашу. Все началось с хронического насморка, с которым женщина обратилась к врачам. Ей порекомендовали промывать носовую полость водой, однако вместо стерильной воды женщина использовала водопроводную воду, пропущенную через фильтр. Через год появились странные симптомы. Оказалось, что с водой женщина занесла редкую амебу — Balamuthia mandrillari, которая начала поедать клетки мозга.
Американцы гибнут от пожирающей мозг водной амебы. Можно ли спастись от невидимой угрозы?
В США закрыли курорт для серфинга в Техасе после того, как побывавший там 29-летний мужчина умер от редкой болезни — амебного менингоэнцефалита. Выявить верный диагноз врачи смогли только после анализа спинно-мозговой жидкости. Причиной гибели стала амеба вида Неглерия Фоулера (Naegleria Fowleri), которая попадает в мозг человека через нос и съедает его. Можно ли уберечься от смертоносного одноклеточного и сколько еще скрытых угроз плещется в водной пучине — разбирался «360».
«Мама, голова болит»
Трагедия произошла в середине прошлого месяца. Фабрицио Стабиле (Fabrizio Stabile) 16 сентября косил газон на лужайке возле дома в Венторе, штат Нью-Джерси, когда почувствовал невыносимую головную боль. Он решил сделать перерыв и прилег отдохнуть, попросив у матери обезболивающее.
Врачи фиксируют вспышки менингита по всей России. Кто находится в зоне риска?
На странице Фонда, созданного в память о нем и для информирования людей об опасности заболевания, сказано, что Фабрицио принял несколько пилюль и хорошенько выспался. Но в понедельник головная боль не прошла. Наоборот, он не смог связно объяснить матери, как себя чувствует, после чего она вызвала медиков.
Когда мужчину госпитализировали, то выявили отек мозга и лихорадку. Его стали лечить от бактериального менингита, но облегчения это не приносило. Его состояние ухудшалось.
Мужчину тестировали на всевозможные вирусы, яды и инфекции, все тесты были отрицательными или неубедительными. И только на четвертый день, к 20 сентября, анализ спинно-мозговой жидкости выявил наличие амебы Naegleria Fowleri. Это стало сокрушительным для семьи и друзей известием, приговором, так как инфекция, вызываемая бактерией, смертельна для человека.
Президента Вьетнама убил редкий вирус
В США за последние 55 лет случаи амебного менингоэнцефалита, вызванного бактерией Naegleria Fowleri, фиксировались 143 раза. Смертность от этого заболевания — 98%. Когда диагноз удалось установить, было слишком поздно пытаться спасти Фабрицио.
В США известны трое выживших из пяти пациентов, которым успели ввести лекарство, которое к тому же не так просто достать. 21 сентября молодой мужчина скончался.
Пресноводные монстры

Мертвая земля: как неубиваемый вирус сибирской язвы атакует людей
На место, где был инфицирован Фабрицио, прибыли специалисты для забора проб воды. Инженер-эколог из Центра по контролю и профилактике заболеваний Миа Маттиоли (Mia Mattioli) побывала там в прошлый четверг, когда температура воздуха достигала +28 градусов. Она провела в аквапарке целый день, собирая пробы воды, чтобы выявить место обитания смертоносной амебы.
«Неглерия не любит холода, поэтому мы отправляем наши образцы воды на анализ, поддерживая в резервуарах комнатную температуру», — пояснила Миа.
Первичный амебный менингоэнцефалит — заболевание, вызываемое амебой Naegleria Fowleri. Первые симптомы очень похожи на грипп: сильная головная боль, жар. Миа уверена, что врачи Фабрицио вряд ли стали искать признаки менингита у пациента с сильной мигренью.

Китаец заразился вирусом птичьего гриппа H5N6
«Фактически случай с Фабрицио — это первый раз, когда инфекция была обнаружена у жителя Нью-Джерси. Это заболевание более распространено в южных штатах, где вода более теплая», — сообщила государственный эпидемиолог Тина Тран, которая работала с врачами Фабрицио по выявлению места, где он мог заразиться.
На карте ниже — части США, где были зафиксированы случаи поражения людей бактерией с 1962-го по 2017 год. Желтым помечены штаты, где зафиксировали один случай; светло-оранжевым — 2-4 случая; темно-оранжевым — 5-9. Техас и Флорида являются штатами с более чем 10 эпизодами, а точнее — 35.
Эпидемиологи рассказывают, что амеба, которая вызывает смертельное заболевание мозга, распространена в пресной воде. Ее уже находили в озерах и реках на севере страны, в Миннесоте, где в 2010 году был зафиксирован первый случай заболевания: в бассейнах, аквапарках и муниципальных системах водоснабжения на юге США.
Исследователи в какой-то момент стали называть бактерию вездесущей и ожидают увеличения ареала ее распространения из-за глобального потепления.
Болезнь бедных и несчастных. Почему миллионы людей умирают от туберкулеза
Ужас и парадокс смертоносной заразы в том, что питье воды, зараженной амебой, не смертельно и не приведет к заражению. Даже плавание в зараженной воде относительно безопасно. Чтобы представлять угрозу жизни человека, Неглериа Фоулера должна попасть в нос человека.
Так называемый факультативный паразит пробирается к мозгу по слизистой оболочке вдоль обонятельных нервов. Затем поражает нервную систему, вызывая первичный амебный менингоэнцефалит. В ходе болезни амеба выделяет молекулы, разрушающие клетки мозга, и буквально пожирает ткань лобной доли мозга.
Симптомы заболевания проявляются в течение десяти дней после заражения. Как правило, за пять дней активной фазы болезни человек умирает. Без своевременного введения антидота.
Как защититься и спастись
Эпидемиолог Тина Тран подчеркивает, что инфекция и болезнь не передаются от человека к человеку. Кроме того, возможность подцепить Неглерию даже при 16 смертельных случаях в год (именно такую цифру указывают некоторые специалисты, уверяя, что Минздрав США недосчитывает погибших), у вас один шанс на 20 миллионов стать жертвой амебы.
«Вакцины от нее нет». Чем лихорадка Западного Нила грозит россиянам
В США разрабатывают тесты для выявления в воде смертоносного одноклеточного, чтобы чиновники в регионах могли предупреждать людей об угрозе в случае, к примеру, резкого потепления.
В качестве средства лечения пока инфицированным Naegleria Fowleri пациентам дают милтефозин — экспериментальный препарат, который показал хорошие результаты в лечении амебного менингоэнцефалита.
В прошлом месяце исследователи из Калифорнийского университета в Сан-Диего объявили, что обнаружили три новые молекулярные мишени для лечения последствий попадания амебы в мозг и несколько препаратов, способных остановить ее распространение. Все препараты в ходе лабораторных испытаний были сильнее милтефозина.
«Это отправная точка, которая показывает, что мы можем найти более мощные соединения для борьбы с Naegleria Fowleri. Следующий шаг — подтвердить свои выводы на реальной модели инфекции, которую ученые также разработали в ходе поиска лекарства», — рассказал паразитолог из Калифорнийского университета в Сан-Диего и соавтор исследования Аньян Дебнат (Anjan Debnath).
Специалисты-эпидемиологи отмечают, что бактериологические и инфекционные опасности скрывает в основном пресная вода в дикой природе: реки, озера, ручьи. Патогенные организмы в холодной воде практически не размножаются, но при +24 градусах, вода, особенно стоячая (болота, озера, лужи), начинает «цвести» микроорганизмами.
Морская вода — богатая йодом и солью — большинство бактерий нейтрализует. Однако начеку следует быть в любой среде, стараться защищать рот и нос от попадания воды, а в случае малейшего недомогания после водных процедур — обращаться к врачу.
Читайте также:
