Плоскоклеточный рак ротовой полости
Добавил пользователь Валентин П. Обновлено: 23.01.2026
Злокачественные опухоли полости рта составляют около 6% от всех онкозаболеваний в целом. По гистологическому строению (типу образующих опухоль клеток) выделяют следующие типы:
- Опухоль из клеток эпителия — рак
- Опухоль из клеток соединительной ткани — саркома
- Меланома
Каждый из типов включает в себя несколько разновидностей.
Также отдельно выделяют несколько групп предраковых заболеваний. Предраковые заболевания полости рта делятся на:
- Облигатные — с высокой частотой озлокачествления. К ним относится болезнь Боуэна, бородавчатый предрак, ограниченный гиперкератоз, хейлит Манганотти.
- Факультативные — с меньшей частотой озлокачествеления. В данную группу входят веррукозная форма лейкоплакии, папилломатоз, эрозивноязвенная и гиперкератотические формы системной красной волчанки и красного плоского лишая, постлучевой стоматит и постлучевой хейлит, кератоакантома.
Среди злокачественных опухолей полости рта чаще всего встречается рак.
Рак полости рта, в свою очередь, подразделяется следующим образом.
- Интраэпителиальная карцинома (Carcinoma in situ, рак in situ) характеризуется отсутствием прорастания в базальную мембрану, несмотря на злокачественность новообразования.
- Плоскоклеточный рак — встречается наиболее часто.

Причины и факторы риска
Причины развития злокачественных новообразования полости рта можно условно разделить на местные и общие факторы повышения риска.
К общим факторам относят возраст, наличие в анамнезе различных вредностей (воздействие радиации и т.п.), наследственная предрасположенность.
Местными факторами называют локальные факторы, влияющие на ротовую полость. К ним относятся — жевание насвая (табако- и наркосодежащих смесей), курение, привычка употреблять внутрь обжигающе горячие напитки, хроническая травматизация слизистой (обломком зуба, деформированным зубным протезом), а также наличие предраковых заболеваний. Отдельно следует выделить фактор риска выявления заболевания на поздних стадиях — отсутствие ежегодных осмотров стоматолога.
Именно пренебрежение профилактическими визитами к доктору препятствует диагностике рака на ранних, поддающихся лечению, стадиях и выявлению и лечению.
Локализация
Рак полости рта принято классифицировать по локализации. Это связано с тем, что обсуждаемая зона включает большое количество анатомических образований, отличающихся существенным разнообразием.
При выборе тактики лечения и вида операции значимую роль играет именно положение опухоли во рту. Разные участки ротовой полости по-разному иннервированы, по-разному кровоснабжаются, имеют разную функциональную значимость, поэтому перспективы лечения абсолютно одинаковых опухолей, расположенных в различных местах, могут существенно отличаться.
По локализации рак полости рта принято подразделять на:
- Рак щек
- Рак дна полости рта
- Рак в зоне альвеолярного отростка
- Рак неба
- Рак десны
Рак слизистой оболочки щек
Рак слизистой оболочки щек занимает второе по частоте место (после рака языка) в структуре рака полости рта. Существенное влияние на повышение риска оказывают местные факторы, химические и физические агенты, вызывающие хроническую травматизацию слизистой оболочки. В большей степени, чем при раке других зон, актуален такой предрасполагающий фактор как хроническая травматизация зубными протезами, острыми краями поврежденных зубов.
Рак дна полости рта
Данный вид опухоли составляет 10-15% всех раков полости рта. Дно ротовой полости образовано структурами между языком и подъязычной костью. Слизистая, выстилающая дно полости рта, имеет развитую подслизистую основу, состоящую из рыхлой соединительной ткани и клетчатки. Данная область богато кровоснабжается. Всё это создаёт благоприятные условия для роста опухоли, ее распространения и метастазирования.
Рак языка
Рак языка — наиболее распространенная разновидность рака полости рта. Язык — подвижный орган с большим количество нервных окончаний (рецепторов). Благодаря этому пациенты, как правило, обращают внимание на возникшее новообразование, и имеют возможность своевременно обратиться за помощью. Развитая сеть кровеносных и лимфатических сосудов способствует раннему метастазированию опухоли, в первую очередь — в периферические лимфоузлы.

Рак в зоне альвеолярного отростка
Рак в данной области развивается или из клеток слизистой оболочки, или из эпителиальных островков Малассе. Эпителиальные островки Малассе — это остатки эпителиальных клеток в толще периодонта. В норме данные клетки никак себя не проявляют, но при неблагоприятных условиях могут стать источником опухоли. Отличительная особенность этих опухолей -относительно раннее возникновение симптомов, зубы в зоне роста опухоли подвергаются ее воздействию, у пациента появляются жалобы на боли.
Рак неба
Рак неба встречается редко. Разделяют твердое и мягкое небо, поэтому гистологические типы опухоли мягкого и твердого неба различны. Для твердого неба более характерны цилиндромы и аденокарциномы, мягкое небо в большей степени подвержено плоскоклеточному раку.
Метастазы
Метастатическая природа опухолей полости рта — большая редкость. Описаны случаи опухолей легких, почек, молочной и щитовидной желез, метастазировавших в ротовую полость. Также метастазировать в полость рта могут саркомы. Чаще появление признаков онкопатологии в полости рта может быть вызвано прорастанием опухоли из соседних анатомических зон. Уточнению диагноза помогает исследование тканей опухоли — гистологическое исследование.
Симптомы рака полости рта
Проявления заболевания зависят от характера опухоли и от зоны расположения. Как правило, пораженная область представляет собой или локальное изъязвление, или уплотнение (выпуклость, узел). Пациент чувствует боль и дискомфорт в соответствующей зоне. К тревожным признакам надо отнести следующие:
- Длительно существующая, незаживающая язва во рту.
Ротовая полость богата кровеносными сосудами, эпителий слизистой хорошо кровоснабжен и в норме при травматизации происходит быстрое его заживление. Любое повреждение слизистой рта заживает быстрее, чем аналогичное повреждение на
коже руки или ноги. Поэтому, если во рту есть язва и она по неясным причинам не затягивается длительное время — следует обратиться за медицинской помощью. - Бугорки, «шарики» под слизистой, независимо от той области рта, где они возникли.
Уплотнение под слизистой может быть симптомом как неонкологической патологии (например, кисты одной из мелких желез), так и признаком рака. Отличить одно от другого может только специалист. Уплотнение, возникшее изначально как киста, при отсутствии лечения в дальнейшем может подвергнуться озлокачествлению. - Нарушение глотания, жевания, неприятные ощущения у корня языка — все это повод заподозрить рак соответствующей области.
- Зубная боль и кровоточивость конкретного участка десны могут быть признаками рака. И, хотя аналогичные симптомы вызываются и куда менее грозными недугами, консультация стоматолога необходима. Таким образом, любое нарушение анатомической целостности или функциональных возможностей органов данной зоны несет в себе потенциальную угрозу, и это повод показаться врачу.
Стадии заболевания
I стадия характеризуется наличием опухоли до 1-2 см в диаметре, не выходящей за пределы пораженной зоны (щеки, десны, неба, дна полости рта), ограниченной слизистой оболочкой. В регионарных лимфоузлах метастазы не определяются.
II стадия — поражение такого же или большего диаметра, не выходящее за пределы какого-либо одного отдела полости рта, но распространяющееся в подслизистый слой. В регионарных лимфатических узлах — единичные метастазы.
III стадия — опухоль прорастает в подлежащие ткани, но не глубже периоста челюсти, или распространилась на соседние отделы полости рта. В регионарных лимфатических узлах — множественные метастазы размерами до 2 см в диаметре.
IV стадия — поражение распространяется на несколько отделов полости рта и глубоко инфильтрирует подлежащие ткани, в регионарных лимфатических узлах — неподвижные или распадающиеся метастазы, также характерно наличие отдаленных метастазов.

Классификация по стадиям периодически подлежит пересмотру, можно встретить подразделение стадий на подвиды — А и В. В настоящее время классификация по стадиям используется все реже, более актуальна классификация TNM. Ее принцип заключается в том, что данной кодировкой обозначаются характеристики самой опухоли, состояние ближайших к ней (регионарных) лимфоузлов, наличие или отсутствие отдаленных
метастазов.
В диагнозе онколог указывает гистологический тип рака, так как разные типы клеток отличаются по темпам роста, тенденции к метастазированию, чувствительности к лечению. Все типы классификаций служат одной цели — правильно оценить степень распространения болезни, степень повреждения и выработать верную тактику помощи.
Лечение
Для проведения оптимального лечения важны следующие факторы:
- Своевременное обращение. Фактор запущенности заболевания играет огромную роль.
Даже сейчас, когда врачи научились достаточно успешно бороться с болезнью и на поздних стадиях, окончательный прогноз в большинстве случаев определяется тем, как быстро пациент обратился к онкологу. - Качественная диагностика. Существует множество методов исследования, позволяющих более точно установить диагноз. В онкологии широко применяются УЗИ, МРТ, КТ, ПЭТ-КТ, а также гистологические исследования.
- Хороший контакт пациента и лечащего доктора. Умение врача объяснить больному суть происходящего, поддержать его и верно выстроить совместную работу, а также умение пациента быть дисциплинированным, доверять специалисту и не затягивать с
выполнением назначенных исследований или лечебных процедур.
При раке полости рта применяются как хирургическое лечение, так и химиотерапия, и лучевая терапия (включая брахитерапию).
Хирургическое лечение
Операция — классика лечебной тактики в онкологии вообще и в онкологии полости рта в том числе. Сложность применения хирургии ротовой полости в том, что в ряде случаев технически сложно удалить опухоль и не повредить жизненно важные анатомические образования.
Врач учитывает следующие важные моменты:
- Область рта богато кровоснабжается, и это риск активного кровотечения.
- Органы и ткани области рта подвижны, и возможность этого смещения друг относительно друга определяет такие важные функции как речь, глотание и т.п.
- Анатомические образования данной зоны имеют мелкий размер и тесно прилежат друг к другу. В данной области мало балластных, функционально незначимых тканей, на каждый сантиметр приходятся важнейшие сосуды, нервы, органы. Это усложняет процесс операции. Отсутствие достаточного количества тканей делает более сложным закрытие дефекта, образовавшегося после удаления опухоли.
Как и в случае радикального оперативного лечения опухолей других зон, при операциях на полости рта стремятся соблюсти следующие условия:
- Удаление опухоли должно происходить в пределах здоровых тканей, срез проходит не на границе здоровой и больной ткани, а по здоровой ткани, то есть, опухоль иссекается как бы с запасом. При близком положении органов это составляет проблему.
- При иссечении опухоли учитывается важность дальнейшего восстановления целостности покрова, а также, по возможности, сохранение функции.
- Иссекая опухоль, в большинстве случаев, удаляют и периферические лимфоузлы. Это связано с тем, что ближайшие к опухоли лимфатические узлы являются ловушкой для метастазов, и в них зачастую могут содержаться клетки опухоли.
В классической онкологии хирургическое лечение было методом выбора, операции применялись, как правило, сразу после установления диагноза. В настоящее время подход немного изменился, стал более дифференцированным. Иногда операции предшествуют химиотерапия и (или) лучевая терапия.
Химиотерапия
Особенность опухолевых клеток — быстрый рост и деление. Именно на этом основан метод химиотерапии. В организм вводят специальные токсичные для клеток вещества, подавляющие их рост. Химиотерапия влияет на весь организм, но при этом большинство клеток малочувствительны к веществу, а для клеток опухоли химиопрепарат губителен.
Химиотерапия применяется как дополнение к операции, перед ней или после нее, как самостоятельный метод, и в комплексе с лучевой терапией.
Целесообразность применения химиотерапии определяется гистологическим типом опухоли. Разновидность препарата выбирается с учетом чувствительности конкретного новообразования к различным видам соответствующих лекарств.
Недостаток химиотерапии — ее побочные эффекты. В организме есть ряд здоровых клеток, которые часто обновляются, соответственно, быстро делятся. Это клетки слизистой желудочно-кишечного тракта, клетки крови и другие. Препараты химиотерапии влияют на них. Меняется формула крови, гибнут клетки выстилки желудка и кишечника. Результатом становятся тошнота, расстройство стула, слабость, снижение иммунитета. Данные явления временны, и, как правило, преодолимы, однако, применение химиотерапии требует постоянного врачебного наблюдения.

Лучевая терапия
Метод основан на повреждающем действии рентгеновского излучения на клетки, прежде всего на активно делящиеся клетки, каковыми являются клетки злокачественных опухолей. Лучевая терапия может применяться и как самостоятельный способ лечения, и в комплексе с оперативными методами и химиотерапией. Перед началом курса проводится разметка, определяющая направление воздействия и обеспечивающая максимальное воздействие на саму опухоль и минимальное — на окружающие ткани.
Брахитерапия — подвид современной лучевой терапии, когда источник излучения вводится непосредственно в пораженную область. Брахитерапия позволяет воздействовать на опухоль максимальными дозами излучения и уменьшить повреждающие влияние на здоровые ткани.
Прогноз и выживаемость
Прогноз заболевания зависит от стадии, локализации, своевременного оказания помощи. На ранних стадиях при условии адекватного лечения, заболевание практически всегда удается победить. Когда обращение к врачу было не своевременным, прогноз несколько хуже, процент излечившихся пациентов ниже. В оценке прогноза важно наличие или отсутствие отдаленных метастазов. Несмотря на огромный прогресс в онкологии, отдаленные метастазы резко снижают 5-летнюю выживаемость, это существенная проблема для специалиста. Помимо этого, прогноз зависит от гистологического типа опухоли, т.к. скорость роста у разных типов опухолей может существенно различаться. Возраст пациента, локализация опухоли, наличие у больного сопутствующих заболеваний, выбранная тактика лечения — все эти факторы существенно влияют на прогноз.
Профилактика
Профилактика рака полости рта включает в себя меры, направленные на поддержание общего физического здоровья с целью повышения противоопухолевого иммунитета. К ним относятся соблюдение режима труда и отдыха, своевременное лечение хронических заболеваний, гигиена.
Необходимо исключить повреждающие факторы, снизить риски — отказаться от курения, обжигающих напитков, контролировать состояние протезов.
При регулярном посещении стоматолога и самоосмотрах полости рта шанс на распознание болезни на ранних стадиях и ее успешное излечение существенно выше.
Таким образом, задача любого человека — забота о своей полости рта и регулярные визиты к стоматологу.
Плоскоклеточный рак ротовой полости
а) Терминология:
1. Аббревиатуры:
• Плоскоклеточный рак (ПКР) дна полости рта (ДПР)
2. Определение:
• Злокачественная опухоль слизистой оболочки дна полости рта:
о Внутренняя поверхность альвеолярных гребней нижней челюсти до нижней поверхности языка
б) Визуализация:
1. Общая характеристика:
• Лучший диагностический критерий:
о Неправильное образование, накапливающее контраст, в передней части ДПР
• Локализация:
о Преимущественно в пределах 2 см от средней линии передних отделов ДПР
• Размеры: от нескольких мм до нескольких см

(Слева) На рисунке показано наиболее частое расположение ПКР дна полости рта: в пределах 2 см от средней линии в передних отделах. При анализе изображений важно оценить распространение опухоли каудально с инвазией подбородочно-язычной и челюстно-подъязычной мышц, кзади по направлению к корню языка, и кпереди или латерально с инвазией нижней челюсти. С этой целью может потребоваться и МРТ, и КТ. Другой целью методов визуализации является оценка вторичного поражения лимфатических узлов.
(Справа) При МРТ Т1ВИ в сагиттальной проекции визуализируется объемное образование с сигналом низкой интенсивности по сравнению с мышцами языка, прилежащее вплотную к нижней челюсти по средней линии.
2. КТ при плоскоклеточном раке дна полости рта:
• КТ с КУ:
о Иррегулярное образование ДПР слабо или умеренно контрастирующееся
о Может в точности напоминать рак подъязычной железы
о Обструкция выводного протока одной или обеих поднижнечелюстных желез - сиаладенит
• КТ в костном окне:
о Тщательный поиск эрозий пластинки
3. МРТ при плоскоклеточном раке дна полости рта:
• Т1ВИ:
о Гипоинтенсивный сигнал по сравнению с тканями ДПР:
- Легкая смазанность контуров анатомических структур
• Т2ВИ:
о Повышение интенсивности сигнала
- Изменения лучше различимы при подавлении сигнала от жировой ткани
• Т1ВИ С+:
о Контрастное усиление варьирует: минимальное или умеренное
о Опухоль, инфильтрирующая костный мозг, обычно накапливает контраст
4. Сцинтиграфия:
• ПЭТ/КТ:
о ПКР достоверно накапливает ФДГ
5. Рекомендации по визуализации:
• Лучший метод диагностики:
о МРТ лучше позволяет оценить распространенность опухоли
о КТ в костном окне, если опухоль вплотную прилежит к нижней челюсти
о Возрастает роль ПЭТ/КТ как метода с наиболее высокой чувствительностью
• Выбор протокола:
о КТ с КУ: костный и мягкотканный алгоритм в двух плоскостях:
- Метод «надутых щек» позволяет лучше оценить слизистую

(Слева) При МРТ Т1ВИ С + FS в аксиальной проекции у этого же пациента не четко визуализируется объемное образование передних отделов дна полости рта, прорастающее в правую подъязычную железу. Обратите внимание на отсутствие кортикальной пластинки с гипоинтенсивным сигналом в прилежащих отделах нижней челюсти, что подтверждается и при КТ в костном окне. Патологически измененные лимфоузлы не определяются.
(Справа) На фото этого же пациента, полученном при клиническом обследовании, также видна опухоль в передних отделах дна полости рта. Фото позволяет оценить локализацию опухоли и подъязычных желез. На операции была подтверждена опухоль T4aN0 с инвазией нижней челюсти.
в) Дифференциальная диагностика плоскоклеточного рака дна полости рта:
1. Рак подчелюстной железы:
• Может быть неотличим от рака ДПР при визуализации
2. Плоскоклеточный рак оральной части языка:
• Опухоль передних отделов языка и/ или большого размера: инвазия ДПР
3. Венолимфатическая мальформация:
• Неравномерное контрастное усиление
• Обызвествленные флеболиты - диагностический признак
4. Ранула:
• Жидкостное объемное образование ДПР, накапливающее контраст в виде «ободка»
5. Абсцесс полости рта:
• Скопление (я) жидкости с «ободком», накапливающим контраст ± целлюлит ДПР
г) Патология:
1. Общая характеристика:
• Этиология:
о Выраженная связь с курением и жеванием табака и употреблением алкоголя:
- А также жеванием бетеля, паана в некоторых регионах Азии
2. Стадирование, классификация плоскоклеточного рака дна полости рта:
• Классификация Американского Объединенного Комитета по Раку (2010)
• Эта же классификация используется для всех опухолей полости рта:
о Т1: о Т2: >2 и о Т3: >4см
о Т4а: инвазия опухоли в наружные мышцы языка, кожу лица через кортикальную пластинку
о Т4b: инвазия жевательного пространства, крыловидных пластинок, основания черепа; или обрастание сонных артерий
• Клинически размер опухоли в слизистой определяется точнее, чем при визуализации
• Методы визуализации важны для оценки глубокого распространения: нужно оценить наличие признаков опухоли стадии Т4
• Стадия N (АОКР) определяется также, как для рака ротоглотки и гортани
• В 1-ю очередь лимфогенное метастазирование в лимфоузлы I, затем II уровня:
о До 35%: метастатическая лимфаденопатия
о В 30% ПКР полости рта: скрытые метастазы в лимфоузлах
• Отдаленные метастазы: отсутствуют = М0, присутствуют = М1:
о Метастазы в легких выявляются чаще, чем в костях и печени
д) Клинические особенности:
1. Проявления:
• Типичные признаки/симптомы:
о Плотный болезненный патологический очаг/язва в ДПР
• Другие признаки/симптомы:
о Инвазия нижней челюсти может приводить к расшатыванию зубов
2. Демография:
• Возраст: наиболее часто 50-70 лет
3. Течение и прогноз:
• Общая пятилетняя выживаемость = 60%
4. Лечение:
• Резекция первичной опухоли ± реконструкция ± шейная лимфодиссекция
• ± адъювантная лучевая терапия
• Суперселективная внутриартериальная химиотерапия в будущем?
е) Список использованной литературы:
1. Arya S et al: Oral cavity squamous cell carcinoma: role of pretreatment imaging and its influence on management. Clin Radiol. 69(9):916-30, 2014
2. Hong HR et al: Clinical values of (18) F-FDG PET/CT in oral cavity cancer with dental artifacts on CT or MRI. J Surg Oncol. 110(6):696-701, 2014
3. American Joint Committee on Cancer: AJCC Cancer Staging Manual. 7th ed. New York: Springer, 2010
Плоскоклеточный рак полости рта. Клиника и диагностика плоскоклеточного рака полости рта.
Плоскоклеточный рак — злокачественная опухоль эпителиальной ткани полости рта, характеризуется инвазивным ростом. Это наиболее частый тип рака полости рта, который составляет 90% всех злокачественных опухолей этой локализации. Рак полости рта может развиться в любом возрасте, но болеют им преимущественно пожилые люди. Более чем 95% больных плоскоклеточным раком имеют возраст старше 40 лет. В прошлом среди заболевших отмечали значительное преобладание мужчин, однако за последние годы в связи с широким распространением курения среди женщин такое преобладание существенно уменьшилось, и соотношение мужчин и женщин в настоящее время составляет 2:1.
Причина плоскоклеточного рака полости рта точно не установлена, но, по-видимому, связана с мутацией генов р53 и ras, которые регулируют пролиферацию клеток и апоптоз. Чрезмерное курение, злоупотребление алкоголем, инфицированность ВПЧ и иммунодефицит способствуют появлению клеточной атипии. К другим способствующим факторам относят преклонный возраст, действие неблагоприятных биологических, химических и физических факторов, например, сифилитическая, герпетическая и кандидозная инфекция, неполноценное питание, недостаточный уход за полостью рта, хроническая травма, облучение.

Плоскоклеточный рак полости рта
В США наиболее частая локализация плоскоклеточного рака — край и нижняя поверхность языка, затем следуют ротоглотка, дно полости рта, дёсны, слизистая оболочка щёк, губ и нёба. В развивающихся странах плоскоклеточный рак чаще поражает слизистую оболочку щёк, что связано с распространённой среди населения привычкой жевать табак. Частота рака губы за последнее десятилетие резко уменьшилась в связи с широким применением фотозащитных средств. Спинка языка почти никогда не поражается.
Клиническая картина плоскоклеточного рака отличается разнообразием. Более чем в 90% случаев он проявляется в виде эритроплакии, которая в 60% случаев имеет лейкоплакический компонент. О степени злокачественности плоскоклеточного рака можно ориентировочно судить по некоторым его внешним признакам. Например, красный или белый цвет опухоли в сочетании с экзофитным или инфильтрирующим ростом, а также изъязвлением свидетельствуют о высоком злокачественном потенциале опухоли. На ранней стадии плоскоклеточный рак протекает бессимптомно и характеризуется медленным ростом. В дальнейшем, по мере роста опухоли, границы её стираются или становятся неровными, она уплотняется, утрачивает подвижность. При изъязвлении слизистой оболочки появляются постоянные боли. Со временем присоединяются ощущение жжения или онемения, затрудняются речь и глотание. В запущенных случаях опухоль может достичь нескольких сантиметров в диаметре и прорастает в подлежащую кость.
Плоскоклеточный рак распространяется путём местно-деструирующего роста и по лимфатическим сосудам. Метастазирование в регионарные лимфатические узлы, в частности поднижнечелюстные и передние шейные, сопровождается их увеличением, уплотнением, потерей подвижности. Стадию плоскоклеточного рака обозначают по системе TNM, где Т )rumor) характеризует размеры опухоли, N (nodes) — регионарные лимфатические узлы, М (metastases) — отдалённые метастазы. Хирургические иссечение и лучевая терапия — основные методы лечения плоскоклеточного рака полости рта. Прогноз зависит от размера опухоли, её локализации (при локализации в задних отделах полости рта прогноз хуже), стадии опухолевого процесса к моменту начала лечения, защитных сил больного, доступностью для него современных методов лечения и качества ухода за ним. Учитывая важное значение раннего лечения, при подозрении на рак всегда следует выполнить биопсию.
Информация на сайте подлежит консультации лечащим врачом и не заменяет очной консультации с ним.
См. подробнее в пользовательском соглашении.
1. Аббревиатура:
• Плоскоклеточный рак (ПКР) тела и верхушки языка
2. Определение:
• Злокачественное новообразование слизистой оболочки передних отделов (2/3) языка (полости рта):
о Рассматривается отдельно от ПКР корня языка (ротоглотки)
1. Общая характеристика:
• Лучший диагностический критерий:
о Асимметричное контрастирование ± язва бокового края языка
• Локализация:
о Оральная (свободная) часть языка:
- Кончик, спинка, боковые и нижняя поверхности
о Чаще всего опухоль возникает в области бокового края:
- Затем со стороны нижней поверхности
• Размер:
о Варьирует в случае поверхностной и глубокой опухоли:
- Размер опухоли слизистой лучше определяется клинически
• Морфология:
о Язва неправильной формы с различной глубиной инвазии

(Слева) При MPT Т2ВИ FS в аксиальной проекции визуализируется небольшая опухоль в боковых отделах языка справа, выглядящая как двояковыпуклый участок с сигналом повышенной интенсивности и с типичными нечеткими краями, недостигающий средней линии.
(Справа) Корональная томограмма (Т1ВИ С+ FS) этого же пациента, язва в боковых отделах языка накапливает контраст. Опухоль не распространяется книзу в подбородочно-язычную мышцу или в другие наружные мышцы языка, и не достигает срединно расположенной язычной перегородки. Была выполнена гемиглоссэктомия и селективная шейная лимфодиссекция, подтвердился ПКР (Т1 N0, первая стадия).
2. КТ при плоскоклеточном раке тела и верхушки языка:
• КТ с КУ:
о Образование слизистой оральной части языка, вариабельно контрастирующееся
о Поверхностная опухоль может не визуализироваться
• КТ в костном окне:
о Инвазия нижней челюсти при глубокой инфильтрации дна полости рта
3. МРТ при плоскоклеточном раке тела и верхушки языка:
• Т1ВИ:
о Сигнал низкой интенсивности по сравнению с тканью языка
• Т2ВИ:
о Типичный сигнал высокой интенсивности
о Легче всего обнаруживается при подавлении сигнала от жира
• Т1ВИ С+:
о Вариабельное (легкое или умеренное) накопление контраста
о Крупные опухоли: язвы с периферическим контрастным усилением
4. Сцинтиграфия:
• ПЭТ/КТ:
о ПКР достоверно накапливает ФДГ
о Используется нечасто, лишь при крупных первичных опухолях или распространенной метастатической лимфаденопатии
5. Рекомендации по визуализации:
• Лучший метод диагностики:
о МРТ- предпочтительный метод исследования полости рта:
- Тканевой контраст позволяет идентифицировать первичную опухоль и глубину ее распространения,
- Менее подвержена артефактам от дентальной амальгамы, чем КТ
• Выбор протокола:
о Т2ВИ и Т1ВИ FS с контрастным усилением
о КТ с КУ: тонкие срезы, реформатирование в корональной плоскости с целью оценки глубины распространения опухоли

(Слева) При аксиальной КТ с КУ у курильщика 59 лете жалобами на болезненное уплотнение в языке, появившееся пять месяцев назад, в задних боковых отделах языка визуализируется изъязвленное объемное образование неправильной формы, интенсивно накапливающее контраст. На более каудальных томограммах был также выявлен единичный лимфоузел второго уровня.
(Справа) При корональной КТ с КУ определяется неравномерное контрастное усиление язвы. Отсутствуют признаки глубокой инфильтрации наружных мышц языка, опухоль не достигает средней линии. Была выполнена правосторонняя гемиглоссэктомия и модифицированная шейная лимфодиссекция, подтвердился ПКР T2N1 (третья стадия).
в) Дифференциальная диагностика плоскоклеточного рака тела и верхушки языка:
1. ПКР язычной миндалины:
• Инвазивное образование корня языка; может распространяться в тело и верхушку
• Чаще инвазируетдна полости рта, корня языка
2. Шваннома языка:
• Хорошо отграниченное новообразование оральной части языка
• Равномерно накапливает контраст
3. Венозная мальформация языка:
• Врожденная сосудистая аномалия
• Обызвествленные флеболиты являются практически диагностическим признаком
4. Абсцесс полости рта:
• Кистозное образование, контрастирующееся в виде «ободка», часто с выраженным целлюлитом
• Обычно сочетается с заболеваниями зубов
5. Альвеолярная мягкотканная саркома языка:
• Агрессивная опухоль, накапливающая контраст; может поражать тело языка
• Обычно у женщин

(Слева) При МРТ Т1ВИ С+ FS в корональной проекции в боковых отделах языка справа определяется большое объемное образование неправильной формы, накапливающее контраст во всех отделах за исключением центрального некроза. Опухоль вызывает инвазию подбородочно-язычной мышцы и пересекает среднюю линию.
(Справа) При МРТ Т2ВИ FS в аксиальной проекции, выполненной на уровне нижней стенки полости рта у этого же пациента, лучше видна зона опухолевой инфильтрации, распространяющаяся по направлению к нижней челюсти справа; тем не менее, признаки опухолевой инфильтрации костной ткани отсутствуют. Поскольку пациенту всего 31 год, была выполнена тотальная глоссэктомия и резекция нижней стенки полости рта, подтвердился ПКР T4aN2b (IVA стадия).
1. Общая характеристика:
• Этиология:
о Строгая связь с курением и жеванием табака, алкоголизмом:
- А также с жеванием бетеля и паана
о Противоречивые мнения касательно связи между спиртосодержащими ополаскивателями для рта и раком полости рта
- Некоторые советуют ополоскиватели для рта без спирта
о Употребление фруктов и овощей, вероятно, снижает риск ПКР полости рта
• Генетические нарушения:
о Онкоген плоскоклеточного рака (DCUN1D1):
- Может играть роль в патогенезе ПКР оральной части языка путем амплификации хромосомы 3q26
- Может являться предиктором регионарного метастазирования, а также маркером агрессивности опухоли и исхода
2. Стадирование, классификация плоскоклеточного рака тела и верхушки языка:
• Формы Американского Объединенного Комитета по Раку (2010)
• Клинически размер опухоли в слизистой оболочке можно оценить точнее, чем при использовании методов визуализации
• Лучевая методы диагностики важны при определении глубины распространения: необходимо искать признаки стадии Т4:
о Т4а: инвазия опухоли в кортикальный слой, глубокие мышцы языка, верхнечелюстную пазуху, кожу лица
о Т4b: опухолевая инвазия жевательного пространства, крыло-видных пластинок, основания черепа; или обрастание сонных артерий
о Контрлатеральное распространение - важный момент перед резекцией
• ПКР передних отделов языка:
о Чаще прорастает в нижнюю стенку полости рта
• На момент обнаружения часто имеет место злокачественная лимфаденопатия:
о В 35% случаев перед оперативным вмешательством >N 1
о В 30% в «N0» обнаруживаются микроскопические метастазы
• В первую очередь лимфогенное распространение в поднижнечелюстные лимфоузлы (IB), затем в яремно-двубрюшные лимфоузлы (IIА)
о Редко опухоли передних отделов языка могут лимфогенно метастазировать непосредственно в средние (III) или нижние (IV) яремные лимфоузлы
о Срединные опухоли чаще вызывают двухстороннюю лимфаденопатию
о Опухоли верхушки языка могут лимфогенно метастазировать в подбородочные лимфоузлы (I)
• При более каудальной метастатической лимфаденопатии выше вероятность отдаленных метастазов:
о В легких > в костях или печени
3. Макроскопические и хирургические особенности:
• Хорошо отграниченные плотные и бугристые участки красного или красно-белого цвета
• Изъязвленные участки плотные и болезненные при пальпации
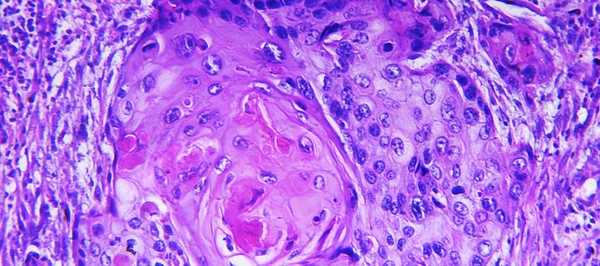
4. Микроскопия:
• Плоскоклеточная дифференцировка, межклеточные «мостики» или признаки кератинизации ± кератиновые «жемчужины»
• Опухоль классифицируется в зависимости от степени дифференцировки:
о Высоко-, умеренно-, низко-, недифференцированный рак

1. Проявления:
• Типичные признаки/симптомы:
о Боль; обусловлена меньшими опухолями по сравнению с другими новообразованиями полости рта
о Незаживающая язва слизистой оболочки оральной части языка:
- Язва, существующая более трех недель, является подозрительной
• Другие признаки/симптомы:
о Образование языка и множественные регионарные лимфоузлы
о Кровотечение
2. Демография:
• Возраст:
о Средний: 61 год
• Пол:
о М:Ж=4:1
• Эпидемиология:
о >90% всех злокачественных опухолей полости рта - ПКР:
- Чаще всего встречается рак языка и нижней стенки полости рта
о Возрастает заболеваемость ПКР языка
3. Течение и прогноз:
• Продолжение употребления табака и алкоголя - выраженное снижение выживаемости
• Инвазия ближайших структур значительно ухудшает прогноз
• Общая пятилетняя выживаемость: 60%:
о При отсутствии метастатического поражения лимфоузлов: -77%
4. Лечение:
• Преимущественно хирургическое ± лучевая терапия:
о Локальная резекция
о Гемиглоссэктомия:
- При больших опухолях, не пересекающих среднюю линию
- Средняя линия соответствует перегородке языка
о Тотальная глоссэктомия:
- Редко выполняется; существенное нарушение здоровья
• Для минимизации рецидива необходимо удалять 1,5-2 см тканей рядом с опухолью:
о Вследствие чего визуализация глубокого распространения опухоли перед операцией может иметь решающее значение для хирурга
• Согласно некоторым программам лечения при ПКР полости рта рекомендуется плановая селективная шейная лимфодиссекция в связи с высоким риском скрытых метастазов
е) Диагностическая памятка:
1. Следует учесть:
• Клиническое определение размера опухоли слизистой точнее, чем лучевое:
о Поверхностные опухоли могут быть неразличимы на МРТ или КТ с КУ
• Методы визуализации позволяют оценить глубокое распространение опухоли и лимфатические узлы лучше, чем клиническое обследование:
о МРТ лучше, чем КТ с КУ, позволяет определить распространенность опухоли
о Часто присутствуют клинически и лучевые «скрытые» лимфоузлы
2. Рекомендации по отчетности:
• Контрлатеральное распространение опухоли: препятствует гемиглоссэктомии
• Признаки глубокой инвазии: повышение стадии до Т4а или Т4b
• Состояние ипсилатеральных и контрлатеральных лимфатических узлов IB и IIА
• Следует остерегаться отсутствия патологических изменений со стороны лимфоузлов ближе к опухоли, при наличии измененных лимфоузлов III и IV уровня, особенно при опухолях передних отделов языка
ж) Список использованной литературы:
1. Mucke T et al: Tumor thickness and risk of lymph node metastasis in patients with squamous cell carcinoma of the tongue. Oral Oncol. 53:80-4, 2016
2. Seki M et al: Histologic assessment of tumor budding in preoperative biopsies to predict nodal metastasis in squamous cell carcinoma of the tongue and floor of the mouth. Head Neck. 38 Suppl 1 :E1582-90, 2016
3. Madana J et al: Computerized tomography based tumor-thickness measurement is useful to predict postoperative pathological tumor thickness in oral tongue squamous cell carcinoma. J Otolaryngol Head Neck Surg. 44:49, 2015
Плоскоклеточный рак
Плоскоклеточный рак, или плоскоклеточная карцинома – это гистологический тип злокачественных опухолей, такой диагноз устанавливают по результатам биопсии после исследования образца опухолевой ткани под микроскопом. Новообразование формируется из плоских клеток эпидермиса, которые выглядят как чешуйки. Оно может возникать на коже, в полости рта, в гортани, трахее, бронхах, пищеводе, на половых органах, в прямой кишке.

В «Евроонко» диагностикой и лечением плоскоклеточного рака занимаются врачи экспертного уровня, за плечами которых обширный опыт работы в ведущих онкологических центрах Москвы. С пациентом работает команда, в которую входят онкологи, дерматоонкологи, хирурги, химиотерапевты, радиотерапевты и другие специалисты. Мы применяем инновационные методы лечения, препараты последнего поколения, проводим противоопухолевую терапию в соответствии с ведущими международными рекомендациями. «Евроонко» – первый российский частный онкологический центр, в котором можно получить эффективное паллиативное лечение на поздних стадиях, даже в случаях, когда от пациента отказались в других клиниках.
Причины возникновения плоскоклеточного рака
Причины плоскоклеточного рака те же, что и для других типов злокачественных опухолей. В клетках происходят определенные мутации, которые приводят к злокачественному перерождению. «Неправильные» клетки утрачивают внешние черты и функции нормальных, начинают бесконтрольно размножаться, приобретают способность распространяться в организме.
Основные факторы риска плоскоклеточного рака:
- На коже такие опухоли часто возникают из-за действия ультрафиолетовых лучей. Наиболее уязвимы открытые участки тела.
- Плоскоклеточный рак половых органов, головы и шеи вызывают некоторые типы вируса папилломы человека.
- Риск развития плоскоклеточного рака повышен у курильщиков и людей, которые употребляют много алкоголя.
- Вероятность развития онкологического заболевания повышается с возрастом, так как в клетках тела накапливаются мутации.
- Шрамы, ожоги, хронический воспалительный процесс.
- Воздействие некоторых канцерогенных веществ, например, если человек работает на производстве и контактирует с химикатами.
- Снижение иммунитета.
Ни один из этих факторов не приводит гарантированно к заболеванию – каждый из них лишь в определенной степени повышает вероятность.
Какие бывают виды плоскоклеточного рака?
Злокачественные новообразования данного гистологического типа встречаются на разных частях тела. В зависимости от локализации, могут несколько различаться их свойства, подходы к диагностике и лечению, прогноз для пациента.

Рак кожи
Злокачественные опухоли кожи представлены плоскоклеточным раком примерно в 20% случаев. Намного чаще пациенты страдают базальноклеточным раком, который происходит из клеток, находящихся в нижнем слое эпидермиса.
Плоскоклеточный рак более агрессивен по сравнению с базальноклеточным. Он с большей вероятностью прорастет в глубокие слои кожи, будет распространяться в организме с образованием отдаленных метастазов. Тем не менее, это происходит довольно редко. Чаще всего опухоль удается обнаружить и удалить на ранней стадии.
Как правило, плоскоклеточный рак возникает на коже лица, ушей, шеи, тыльной стороне рук, реже – в области половых органов. Нередко новообразование развивается там, где находятся шрамы и хронические повреждения.

Плоскоклеточный рак красной каймы губ
Злокачественные опухоли губ составляют не более 1–3% от всех онкологических заболеваний. В большинстве случаев (95%) они представлены плоскоклеточным раком, который бывает двух типов:
- Плоскоклеточный ороговевающий рак ведет себя не так агрессивно, медленно растет, редко образует отдаленные метастазы.
- Плоскоклеточный неороговевающий рак растет быстро, раньше приводит к изъязвлению и чаще метастазирует.
Исследования показывают, что у мужчин этот тип рака встречается в 3–13 раз чаще, чем у женщин. Вероятно, это связано с тем, что представители мужского пола чаще подвергаются воздействию солнечных лучей на рабочем месте, среди них более распространено курение, употребление алкоголя.
Рак полости рта
Раком ротовой полости называют злокачественные опухоли, которые возникают на слизистой оболочке губ, щек, десен, передних двух третей языка, неба, дна ротовой полости (находится под языком). В 90% случаев они представлены плоскоклеточным раком, из них 5% – плоскоклеточный ороговевающий рак, который менее агрессивен, реже прорастает в окружающие ткани, распространяется в лимфатические узлы и метастазирует.
Рак пищевода
Слизистая оболочка пищевода выстлана многослойным плоским эпителием, и из него может развиваться плоскоклеточный рак. Чаще всего такие опухоли находятся в шейном отделе пищевода и верхних двух третях грудного отдела. В нижней трети органа чаще встречаются аденокарциномы – злокачественные опухоли из железистых клеток.
Рак гортани
При раке гортани опухоль практически всегда развивается из плоского эпителия и представляет собой плоскоклеточную карциному. Обычно возникновению опухоли предшествуют предраковые изменения – дисплазия. Клетки, которые находятся в очаге, внешне не похожи на нормальные, но отличаются и от раковых. В ряде случаев дисплазия не приводит к развитию рака и даже проходит самостоятельно, особенно если устранена ее причина, например, человек бросил курить. Но у некоторых людей предраковые изменения приводят к возникновению «рака на месте» (in situ), а затем инвазивной опухоли.

Рак трахеи и бронхов
Плоскоклеточный рак – наиболее распространенный тип злокачественных опухолей в трахее. Обычно он возникает в нижней части трахеи, довольно быстро растет, прорастает ее стенку, приводит к изъязвлениям и кровотечению. Это редкий тип рака, его основной причиной является курение.
Наиболее распространенным раком легкого является немелкоклеточный рак – он встречается в 80% случаев и в 30% случаев представлен плоскоклеточной карциномой. Нередко эти опухоли находятся в бронхах.
Рак шейки матки
Шейка матки состоит из двух частей. Экзоцервикс находится снаружи, во влагалище, это то, что видит гинеколог во время осмотра. Эндоцервикс – канал шейки матки, он соединяет матку с влагалищем. В норме экзоцервикс выстлан плоским эпителием, а эндоцервикс – железистым. Место, где они встречаются, называется зоной трансформации.
Плоскоклеточным раком представлены 90% злокачественных опухолей шейки матки. Чаще всего новообразование возникает в области зоны трансформации. Раки, которые развиваются из железистых клеток эндоцервикса, называются аденокарциномами.
В редких случаях в шейке матки встречается железисто-плоскоклеточный рак.
Рак вульвы
Вульвой называют наружные женские половые органы: преддверие влагалища, большие и малые половые губы, клитор. Большинство типов рака, которые развиваются в этой области, представлены плоскоклеточным раком (70–90%). Они делятся на две группы:
- Большая группа – опухоли, происхождение которых неизвестно. Чаще всего их диагностируют у женщин старшего возраста.
- Меньшая группа – злокачественные опухоли, вызванные вирусом папилломы человека.
Рак прямой кишки
В большинстве случаев злокачественные опухоли прямой кишки представлены аденокарциномами – железистым раком. Плоскоклеточный рак в этом органе встречается очень редко и составляет от 10 до 25 случаев на каждые 100 тысяч случаев колоректального рака.
Плоскоклеточный рак составляет 90% от всех злокачественных новообразований анального канала – узкого прохода, который соединяет прямую кишку с анусом.
Рак миндалин
У человека есть четыре вида миндалин: небные (при их воспалении развивается тонзиллит), трубные (находятся в глотке возле отверстий слуховых труб), язычная (позади языка) и глоточная (у детей из-за нее бывают аденоиды). Чаще всего злокачественные опухоли развиваются в небных миндалинах. В большинстве случаев это плоскоклеточный рак. Его сложно диагностировать, поэтому зачастую он выявляется на поздних стадиях.

Виды диагностики заболевания
Врач-онколог назначает пациенту те или иные виды диагностики, в зависимости от того, в каком органе находится злокачественная опухоль:
Место локализации рака
Методы диагностики
- Осмотр дерматолога.
- Дерматоскопия.
- В «Евроонко» применяется современная дерматоскопическая установка — ФотоФайндер. Она позволяет составить «карту родинок» и выявить мельчайшие изменения на коже.
- Осмотр ЛОР-врача.
- Фарингоскопия.
- Ларингоскопия.
- Бронхоскопия.
- Эзофагоскопия.
- Исследование на ВПЧ.
- Эндоскопическое исследование, в том числе эндоУЗИ.
- Рентгенография с контрастным усилением.
- КТ, МРТ.
- Рентгенография грудной клетки.
- Бронхоскопия.
- Осмотр гинеколога
- Осмотр гинеколога.
- Кольпоскопия.
- Осмотр врача-проктолога.
- Проктоскопия.
- Колоноскопия.
- Анализ кала на скрытую кровь.
Во всех случаях, когда обнаружено патологическое образование, проводят биопсию – исследование, во время которого получают фрагмент подозрительной ткани и отправляют в лабораторию для гистологического и цитологического исследования. Биопсия – самый точный метод диагностики рака. Она помогает не только достоверно установить диагноз, но и определить гистологический тип новообразования.Для того чтобы проверить степень распространения рака в организме и уточнить стадию, врач может назначить дополнительные исследования:
- компьютерную томографию, МРТ;
- рентгенографию грудной клетки, костей;
- ПЭТ-сканирование;
- УЗИ и эндоскопические исследования органов, в которые мог прорасти рак.
Лечение плоскоклеточного рака
Лечение зависит от локализации, стадии рака, общего состояния пациента, наличия у него сопутствующих заболеваний и других факторов.
Ионизирующее излучение повреждает опухолевые и другие быстро размножающиеся клетки. Этот вид лечения плоскоклеточного рака может быть назначен до или после операции, либо на поздних стадиях в паллиативных целях.

Хирургия
Радикальные операции возможны, если нет метастазов, и не произошло сильное прорастание рака в окружающие ткани. В одних случаях таким пациентам показано только хирургическое лечение, в других его дополняют противоопухолевыми препаратами, лучевой терапией – это помогает снизить риск рецидива.
При запущенном плоскоклеточном раке может быть выполнено паллиативное хирургическое вмешательство, направленное на ликвидацию симптомов, восстановление проходимости и функции пораженного органа.
Медикаментозное лечение плоскоклеточного рака
Химиотерапия при плоскоклеточном раке может быть адъювантной (после операции), неоадъювантной (до хирургического вмешательства) или применяется в качестве самостоятельного метода лечения на поздних стадиях.
Если опухоль обладает определенными молекулярно-генетическими характеристиками, назначают таргетную терапию. Таргетные препараты прицельно воздействуют на молекулы, которые помогают раку расти и поддерживать свою жизнедеятельность.
Врачи «Евроонко» применяют при плоскоклеточном раке оригинальные противоопухолевые препараты последнего поколения, назначают их в соответствии с современными международными протоколами.
Симптоматическое лечение при плоскоклеточном раке
Лечение при плоскоклеточном раке и любых других злокачественных новообразованиях должно быть направлено не только на борьбу с самой опухолью, но и на купирование симптомов, улучшение состояния пациента. В «Евроонко» пациент может получить все виды симптоматической терапии при раке:
- Купирование болевого синдрома в соответствии с трехступенчатой схемой ВОЗ.
- Восстановление проходимости пищевода, кишечника, дыхательных путей.
- Устранение кровотечений, при необходимости – переливание крови.
- Купирование тошноты.
- Устранение сдавления опухолью внутренних органов, нервов, сосудов.
- Лечение экстренных состояний в условиях палаты интенсивной терапии, оснащенной современной аппаратурой.
- Контроль и коррекция нутритивного статуса.
- Поддерживающая терапия помогает комфортно перенести курс химиотерапии, предотвратить и купировать побочные эффекты.

Прогноз выживаемости при плоскоклеточном раке
Прогноз зависит от того, в каком месте начался рост рака, на какой стадии установлен диагноз и начато лечение. Например, зачастую выживаемость при раке кожи и красной каймы губ стремится к 100%, потому что такие опухоли, как правило, удается обнаружить достаточно рано, и они не очень агрессивны. Если появились отдаленные метастазы, шансы на ремиссию становятся крайне низкими. Но таким пациентам все еще можно помочь: затормозить прогрессирование плоскоклеточного рака, продлить жизнь, улучшить общее состояние, купировать мучительные симптомы.
Мы в «Евроонко» считаем, что безнадежных больных не бывает. Помочь можно всегда. Никогда не стоит сдаваться. Мы знаем, как помочь.
Читайте также:
- Влагалищное ( пальцевое ) исследование беременной. Двуручное (бимануальное) исследование беременной.
- Причины запора и обследование при нем
- Дренирование плевральной полости - торакостомия. Постановка, уход за дренажной трубкой
- Кардиореанимация в США. Оснащенность кардиореанимации Америки
- Причины слуховой нейропатии и ее патогенез
