Поднадколенниковый тендинит
Добавил пользователь Евгений Кузнецов Обновлено: 31.10.2025
Заключение во время исследования.
Запись на диск или флешку
Режим
работы
8:00-22:00
УЗИ коленных суставов – один из наиболее часто применяемых для исследования коленного сустава и окружающих его структур методов диагностики.
УЗИ в первую очередь применяется для оценки состояния мягких тканей, которые при помощи рентгенологических методов исследования визуализируются плохо. Методика информативна даже при наличии у пациента протеза в области исследования.
УЗИ позволяет в режиме реального времени получить точную информацию о состоянии различных тканей и при необходимости максимально быстро приступить к лечению. УЗИ не имеет противопоказаний и может регулярно применяться для контроля эффективности лечения различных патологий колена.
Платно пройти УЗИ коленных суставов в Санкт-Петербурге вы можете у нас, в клинике МАРТ.
Подготовка к УЗИ коленных суставов
УЗИ коленных суставов проводится без специальной предварительной подготовки.
Показания к УЗИ коленных суставов
Коленный сустав является самым крупным в организме человека. Однако поскольку именно на него приходится значительная нагрузка от веса человека, он подвержен развитию различных патологических процессов и частой травматизации.

УЗИ коленных суставов показано при любых травмах коленного сустава: ушибах, переломах, растяжениях. Также данное исследование назначают при подозрении на воспалительные и дегенеративные заболевания суставов, признаками которых являются:
- острая и хроническая боль в суставе,
- скованность,
- отек сустава,
- покраснение колена,
- хруст в суставе при движении,
- изменения формы или увеличение размеров сустава.
Кроме того, выполнение УЗИ коленных суставов рекомендовано людям с избыточным весом, а также в профилактических целях – после 50 лет.
Как проводится УЗИ коленных суставов?
УЗИ коленных суставов проводится в положении лежа на кушетке. Обследование сустава производится в нескольких проекциях: передней, задней, латеральной и медиальной. Для этого положение тела пациента во время исследования неоднократно меняется.
Полноценная диагностика подразумевает сравнительное исследование обоих коленных суставов.
УЗИ коленных суставов – абсолютно безболезненная процедура, которая обычно занимает не более 20 минут.
Что покажет УЗИ коленных суставов
При ультразвуковом исследовании коленных суставов врач оценивает состояние суставных поверхностей бедренной и большеберцовой костей, гиалинового хряща, менисков, капсулы, синовиальной оболочки, а также структуру связок, сухожилий, мышц и поднадколенникового жирового тела.
В ходе исследования врач может определить толщину хряща, нарушения кровоснабжения, наличие патологических образований, инородных тел и выпота в полости сустава.
С помощью УЗИ коленных суставов можно диагностировать:
- травматические повреждения (растяжение и разрывы связок и сухожилий, повреждение менисков, перелом надколенника и субхондральной кости, кровоизлияние в полость сустава); ; ;
- остеохондропатию;
- патологии менисков;
- бурсит колена; ;
- тендинит; ;
- заболевания соединительной ткани;
- кисты;
- злокачественные и доброкачественные новообразования в мягких и костных тканях колена.
В нашем центре УЗИ вы можете срочно сделать УЗИ коленных суставов.
Где можно сделать УЗИ коленных суставов в Санкт-Петербурге?
УЗИ коленных суставов на современном оборудовании экспертного класса можно сделать в медицинском центре МАРТ на Васильевском острове. В нашей клинике исследования проводят только опытные врачи УЗИ. По результатам исследования у нас можно также пройти курс комплексного безоперационного лечения имеющейся патологии коленного сустава.
Тендинит связки надколенника

Мощная связка надколенника идет от надколенника («коленной чашечки») вниз и прикрепляется к бугристости большеберцовой кости. По своей биомеханической сути эта связка является продолжением сухожилия четырехглавой мышцы бедра, которая разгибает ногу в колене, поднимает выпрямленную ногу. Сухожилие четырехглавой мышцы бедра прикрепляется к верхней части надколеннника, а связка надколеннника начинается от его нижней части.
При движениях в коленном суставе надколенник начинает работать как блок, увеличивающий эффективность разгибательной силы четырехглавой мышцы бедра. Иногда связку надколеннника называют собственной связкой надколеннника.
Кровоснабжение связки надколенника осуществляется из поднадколенникового жирового тела (Тела Гоффа), а также из поддерживающих связок через анастомозы латеральной нижней коленной артерии.
По мере сгибания ноги в коленном суставе надколенник скользит по межмыщелковой борозде бедренной кости вверх, превращая связку надколенника в длинное плечо рычага. Наибольшие напряжение и деформацию испытывают точки прикрепления, а не средняя часть связки.

Тендинит — это воспаленние связки. Термин образовн от латинского слова tendo (сухожилие) и окончания itis, что означает воспаление. С филологической точки зрения воспаление связки надколенника нужно называть лигаментитом (от латинского слова ligamentum — связка), а не тендинитом. В настоящее время в литературе можно встретить как термин тендинит, так и лигаментит, причем встречаются они с примерно одинаковой частотой.
Причины
Тендинит связки надколенника бывает двух типов. Первый тип встречается у спортсменов или у молодых физически активных людей. В таком случае эту болезнь называют «коленом прыгуна» или болезнью Blazina по именни хирурга, предложившего термин «колено прыгуна» в 1973 году. Однако, конечно же, о тендините связки надколенника знали еще раньше, просто Blazina предложил удачное название болезни. Например, в 1963 году Maurizio описал связь воспаления связки надколенника с прыжковыми видами спорта. Изначально под «коленом прыгуна» понимали воспаление сваяызки надколенника только в месте ее прикрепления к надколеннику, но, хоть и реже, воспаление может возникать и в нижней части связки — в месте ее прикрепления к бугристости большеберцовой кости. Напомним, что при движениях наибольшие напряжение и деформацию испытывают точки прикрепления, а не средняя часть связки, что и объясняет возникновение воспаления именно в этих местах. В 1978 году Mariani и Roels предложили называть «коленом прыгуна» воспаление не только в верхней, но и в нижней части связки, поскольку эти состояния очень похожи по своим причинам, принципам развития и лечения, и различаются только лишь местом воспаления.
В 1986 году Ferretti объяснил причины возникновения колена прыгуна. В основе воспаления лежит многократное травмирование связки при нагрузке, что чаще встречается в прыжковых видах спорта (бег, волейбол, баскетбол, бокс), в велоспорте и в контактных единоборствах, где бывают кик-удары. Заболевание встречается в возрасте от 16 до 40 лет, причем немного чаще у мужчин. Способствовать возникновению воспаления может плоскостопие с пронацией стопы, так как при этом состоянии голень немного закручивается и натяжение связки увеличивается. Предполагалось, что возникновению заболевания способствуют позиция надколенника, Q-угол, взаимная ротация бедренной и большеберцовой костей и стабильность коленного сустава (об этих состояниях вы можете прочитать в статье, посвященной наклону и подвывиху надколенника), но научные исследования показали, что достоверной связи между этими факторами и тендинитом нет. Есть мнение о том, что тендиниту связки надколенника могут способствовать проблемы с четырехглавой мышцей и хамстринг-мышцами (так называемая ригидность мышц или tightness).
Способствовать возникновению тендинита у спортсменов может резкое увеличение длительности, интенсивности и изменением методики тренировок.
Кроме того, воспалению связки надколенника может способствовать покрытие, на котором проходят тренировки или занятия спортом. Так, около более половины случаев заболевания возникают у людей, занимающихся спортом или тренировками на твердом покрытии. Конечно же, возникновению заболевания способствуют чрезмерно длительные тренировки. Важен угол сгибания в коленном суставе, при котором возникает нагрузка: более всего связка напряжена в амплитуде сгибания от 30 до 60 градусов. Таким образом, в группе риска оказываются все виды спорта, где происходят частые подпрыгивания и приземления, ускорения и торможения.
В середине 90-х годов прошлого века Johnson выдвинул предположение о том, что при сгибании под углом в 60 градусов связка может ущемляться нижним полюсом надколенника, доказав свою теорию несколькими примерами. Однако широгого и общепризнанного распространения эта теория не получила, и даже было обнаружено, что у спортсменов с длинным низким полюсом надколенника место этой костной патологии далеко не всегда соответствовало месту воспаления связки. Тем не менее, при хирургическом лечении по поводу хронического тендинита многие хирурги предпочитают резецировать, т.е. укорачивать нижний полюс надколенника.
Тендинит связки надколенника может возникнуть как осложнение после пластики передней крестообразной связки BTB-трансплантатом.
Хроническая нагрузка или даже перегрузка связки надколенника может привести к появлению микроразрывов, воспаления и, соответственно, боли.
Иногда тендинит связки надколенника или «колено прыгуна» называют болезнью Sinding-Larsеn-Johansson-Smillie, однако это не совсем верно. На самом деле болезнь Sinding-Larsеn-Johansson-Smillie встречается только у подростков и связана с костной незрелостью нижнего полюса надколенника. По своей природе она очень похожа на болезнь Осуд-Шляттера (Osgood-Schlatter).
Второй тип тендинита связки надколенника возникает не у спортсменов, а у обычных людей, как правило в возрасте старше 40 лет. С возрастом в сухожилии накапливаютися дегенеративные изменения (связка «стареет») и она уже не может противостоять нагрузкам столь же успешно, как и раньше. Соответственно, возникают микроразрывы и воспаление.
Гистологические исследования (изучение тканей под микроскопом) показали, что при тендините имеются классические признаки сидрома перегрузки, заключающиеся в наличие двух взаимосвязанных процессов: дегенерации (процесс «ослабления», «старения» связки, проявляющийся мукоидной и миксоматозной перестройкой, фибриноидным некрозом и образованием псевдокист) и регенерации (процесс «восстановления» связки, проявляющийся прорастанием новых кровеносных сосудов, повышенной клеточностью и ангиофибробластозом). При этом признаков острого воспаления в связке нет. Эти изменения имеют место при обоих типах тендинита: при «колене прыгуна» и при дегенеративном тендините.
Обычно тендинит связки надколенника развивается только на одной ноге, как правило толчковой, но бывают случаи двустороннего тендинита. Возникновению тендинита способствуют системные заболевания, ослабляющие соединительную ткань (например, ревматоидный артрит, сахарный диабет, хроническая почечная недостаточность, системная красная волчанка и др.) и длительный прием глюкокортикоидов.
Классификация (предложена Blazina в 1973 году, доработана Roels в 1978 году)
— 1 стадия: боль возникает только после спортивной нагрузки;
— 2 стадия: боль и/или дискомфорт возникают до и после спортивной нагрузки;
— 3 стадия: боль возникает во время и после нагрузки;
Конечно же, воспалительные изменения в связке сопровождаеются снижением ее механической прочности, что может привести к полному или частичному разрыву связки надколенника.
Симптомы
Обычно больные жалуются на боль в области нижней части надколенника, то есть в месте прикрепления связки. Кроме того, боль может возникать и в месте фиксации связки к бугристости большеберцовой кости, хотя этот симптом встречается реже. На ранних стадиях характерна боль после физической нагрузки. При прогрессировании или хронизации заболевания возможна боль во время и до нагрузки. Обычно боль тупая, локализована по ходу связки или слегка по бокам от нее. При прогрессирующем тендините во время нагрузки могут возникать приступы более интенсивной боли.
Заболевание помимо боли может проявляться скованностью, напряжением или слабостью разгибания в коленном суставе.
Важную роль в диагностике имеет осмотр врача. Поверхностное расположение связки надколенника, включая места ее прикрепления к надколеннику и к большеберцовой кости, упрощает осмотр. При тщательном осмотре обычно без труда удается обнаружить типичные симптомы. Характерна болезненность при прощупывании в области прикрепления связки к надколеннику. Часто процесс локализован в глубоких отделах связки, прилежащих к суставу, в таких случаях болезненность возникает при глубоком надавливании на связку. В некоторых случаях отмечают болезненность и отек по ходу всей связки, что указывает на перитендинит или тендовагинит, т.е. состояния, при котором воспаление сосредоточено не только в связки, но и в ее оболочках.
Боль усиливается при разгибании коленного сустава с сопротивлением и при надавливании на надколенник. Аналогичная картина боли может встречаться и при частичных или полных разрывах сухожилия четырехглавой мышцы бедра и связки надколенника. У юных спортсменов следует исключить также остеохондропатию нижней части надколенника (болезнь Sinding-Larsеn-Johansson-Smillie) и бугристости большеберцовой кости (болезнь Осуд-Шляттера (Osgood-Schlatter).
Передняя боль в коленном суставе может возникать не только при тендините связки надколенника, поэтому врач должен исключать и другие причины болей в коленном суставе.
Для уточнения диагноза помимо осмотра врач может назначить рентгенограммы в прямой и боковой проекциях. Рентгенограммы помогут выявить возможные усталостные или отрывные переломы, а также возможное обызвествление (окостенение) внутри связки. В случае обнаружения обызвествления связки надколенника или при обнаружении других костных проблем может потребоваться компьютерная томография.
Иногда для того, чтобы исключить другие причины болей в коленном суставе, например, боль при повреждениях и разрывах менисков, особенно передних отделов, может быть полезной магнитно-резонансная томография (МРТ), которая позволяет увидеть мягкие ткани (мениски, связки, сухожилия, хрящ, мышцы и т.д.). При тендините связки надколенника на МРТ часто обнаруживают усиление сигнала в области нижнего полюса надколенника и в самой связке, однако интенсивность сигнала не всегда соответствует выраженности симптомов. В ряде случаев при тендиниите на МРТ связка может быть утолщена.
Магнитно резонансная томограмма при тендините надколенника. Сама связка (темный тяж от надколенника к бугристости большеберцовой кости) в месте прикрепления к надколенникуимеет участок усиленного сигнала (отмечено красной стрелкой). Сама связка утолщена.
Лечение
Консервативное лечение. Лечение тендинита связки надколенника зависит от стадии заболевания. Первая и вторая стадии, как правило, хорошо поддаются консервативному, т.е. безоперационному лечению. Оно включает в себя изменение режима тренировок, компрессы со льдом, короткий курс противовоспалительных препаратов (индометацин, ортофен и т.д.), которые облегчают симптомы, однако нет данных, подтверждающих, что эти препараты влияют на развитие тендинита. Противовоспалительные средства следует с осторожностью использовать у пожилых больных и не следует применять при сопутствующих заболеваниях желудочно-кишечного тракта.
Местные инъекции глюкокортикоидов (кеналог, дипроспан, гидрокортизон) при тендините связки надколенника не рекомендуются из-за возможной атрофии связки и ее последующего разрыва.
Важную роль в лечении тендинита первой и второй стадии играют физические упражнения, направленные на укрепление и растягивание четырехглавой мышцы бедра, что позволяет постепенно вернуться к спортивным занятиям, однако это может занять от нескольких недель до нескольких месяцев.


После того, как в результате стретч упраженений и модификации тренировок, нагрузок пройдет острый период боли, целесообразно добавить к упражнениям приседания на наклонной поврехности — на сквате.

Приседания на сквате с отягощением — элемент реабилитации профессиональных спортсменов
Помимо упражнений может быть весьма эффективным тейпирование — прикленивание на колено специальных лент, которые разгружают сваязку надколенника. Тейпирование – это особый раздел спортивной травматологии. Суть тейпирования сводится к тому, что наклеивается специальная спортивная лента – тейп, которая разгружает связку надколенника. Если тейп недоступен, то можно использовать широкий лейкопластырь, например фирмы Hartmann.
Разгрузка связки надколенника тейпом может осуществляться путем наклейки тейпа поперек связки, по бокам от нее, крестообразно с фиксацией длинных концов тейпа сверху или снизу. Тейп можно наклеить и вдоль связки с фиксацией тейпа ниже нормального места прикрепления связки к бугричстости большеберцовой кости. Конечно же, возможны и комбинации способов тейпирования

Тейпирование поперек — самый простой способ разгрузить связку надколенника. Тейп приклеивается с умеренным усилием

Слева — тейпирование по бокам с помощью тейпа специальной формы. Справа — комбингированное тейпирование. Есть поперечные, крестообразные и продольные ленты. Обратите внимание на ленту, спускающуюся вниз вдоль пережнего края большеберцовой кости.

Классический вариант комбинированного тейпирование, сочетающиего в себе поперечную и крестообразные ленты.
Аналогичным тейпированию является лечение тендинита связки надколенника с помощью ортеза, который затягивается поперек связки (а не поперек надколенника). Ортез разгружает связку и помогает облегчить симптомы тендинита. Существует много производителей таких ортезов, но мы считаем предпочтительными те ортезы, которые имеют на своей внутренней поверхности, контактирующей с кожей, покрывающей связку надколенника, силиконовую подушечку.

Разгрузка связки надколенника ортезом
В любом случае следует избегать быстрых резких движений и прыжков. На третьей стадии лечение начинают также, как и на более ранних стадиях. При разрыве связки (4 стадия тендинита), конечно же, требуется операция.
Многие хирурги при операциях по поводу хронического тендинита предпочитают всегда резецировать, т.е. укорачивать нижний полюс надколенника, предполагая, что импинджемент (ущемление) связки надколенника при тендините есть всегда.
Элементами операции могут быть частичная резекция (удаление) жирового тела Гоффа, перенос места прикрепляния связки надколенника при нарушении оси,
Прогноз
Независимо от способа лечения для возвращения в спорт и профилактики рецидива основополагающее значение имеет реабилитация. После отдыха и изменения режима тренировок следует постепенно наращивать тонус четырехглавой мышцы. Четырехэтапная программа включает статическое растягивание задней группы мышц бедра, четырехглавой мышцы, упражнения на эксцентрическое растягивание с прикладыванием льда после растягивания. Упражнения, характерные для конкретного вида спорта, вводят постепенно, по мере увеличения силы и гибкости четырехглавой мышцы. Вернуться к прежним нагрузкам разрешают после восстановления объема движений, увеличения силы статического сокращения четырехглавой мышцы как минимум до 90% исходной и при отсутствии боли или дискомфорта во время занятий.
Осложнения
Тендинит связки надколенника, как правило имеет благоприятный прогноз при адекватном лечении и реабилитации. Принесоблюдении правил лечения возможен уже упоминавшийся разрыв связки надколенника, который требует скорейшей операции.
Редко встречатеся такое осложнение как обызвествление (окостенение) внутри связки надколенника на фоне хронического воспаления в ней. Такое состояние тоже может потребовать операции по удалению обызвествленных участков связки с пластикой (укреплением) синтетическими или другими материалами (сухожилиями из других участков тела и т.д.).

Оссификация связки надколенника — участки окостенения связки надколенника отмечены рыжими стрелками (клинические наблюдения H. Matsumoto, M. Kawakubo, T. Otani, K. Fujikawa. В данном случае оссификация возникла после трнавмы
Cтатья предназначена исключительно для всестороннего информирования о заболевании и о тактике его лечения. Помните, что самолечение может навредить Вашему здоровью. Обратитесь к врачу.
При написании статьи использовалась литература:
Panni AS et al: Patellar tendinopathy in athletes: outcome of operative and nonoperative management. Am J Sports Med 2000;28:392.
Peers KH et al: Cross-sectional outcome analysis of athletes with chronic patellar tendinopathy treated surgically and by extracorporeal shock wave therapy. Clin J Sport Med 2003; 13:79.
Warden SJ, Brukner P: Patellar tendinopathy. Clin J Sport Med 2003;22(4):743.
Matsumoto, M. Kawakubo, T. Otani, K. Fujikawa. Extensive post-traumatic ossification of thepatellar tendonA REPORT OF TWO CASES. From Keio University and the National Defence Medical College, Tokyo, Japan
Бурсит коленного сустава
Среди множества суставов организма человека от травм и разного рода патологий чаще всего страдает самый крупный – коленный сустав. Это объясняет тот факт, что дискомфорт и боли в колене самая распространенная причина, по которой пациенты обращаются к врачам. При воспалительных заболеваниях коленей возникают инфекционные и другие воспалительные процессы, среди данных, артрит, тендинит, синовит и бурсит коленного сустава. О последнем и пойдет речь.
Что такое бурсит колена?
Бурсит коленного сустава — это сильное воспаление анатомических сумок колена, находящихся между костями и сухожильными волокнами. Анатомические сумки наполнены специальной органической жидкостью и служат своеобразными подушками безопасности. Они также помогают обеспечить нормальное скольжение сухожилия, расположенного вдоль кости, а также избежать повреждения сухожильных волокон.
Бурсит может возникнуть в разных видах сумок, среди которых:
- наднадколенниковая;
- преднадколенниковая;
- поднадколенниковые поверхностная и глубокая;
- сумка гусиной лапки;
- сумка медиальной боковой связки;
- сумка илиотибиального тракта;
- сумка сухожилия полуперепончатой мышцы;
- сумка медиальной головки икроножной мышцы;
- сумка подколенной мышцы;
- также различают бурсит латеральной сумки коленного сустава.

Бурсит «гусиной лапки» коленного сустава – это воспалительный процесс сумки сухожилия, которое объединено портняжной, тонкой и полусухожильной мышцами. Сумка «гусиной лапки» представляет собой пузырь с синовиальной жидкостью, она помогает уменьшить трение между тканями.
Симптомы бурсита коленного сустава
Различают острое и хроническое воспаление анатомических сумок. Заболевание сопровождается болью и ограниченностью движений, иногда возникает отечность и покраснение.
Наиболее распространенные признаки бурсита в коленном суставе:
- Боль в суставе
- Опухоль сустава
- Повышение температуры кожи над суставом
- Нарушение работы конечности
Виды бурсита
Различают несколько видов заболевания:
- инфрапателлярный бурсит коленного сустава
- калькулезный бурсит коленного сустава
- латеральный бурсит коленного сустава
- острый бурсит коленного сустава
- подколенный бурсит
- посттравматический бурсит колена
- препателлярный бурсит коленного сустава
- реактивный бурсит коленного сустава
- серозный бурсит коленного сустава
- супрапателлярный бурсит коленного сустава
- травматический бурсит коленного сустава
- хронический бурсит коленного сустава
Причины
Развитию бурсита способствуют разнообразные процессы, происходящие в организме:
- Полученные травмы
- Инфекционные процессы
- Метаболические нарушения
- Воздействие токсических веществ
- Повышенная аллергическая настроенность организма
- Повреждение иммунной системой собственных тканей
Лечение бурсита колена
Пациентам с данным диагнозом назначают медикаментозное лечение. Лечение бурсита коленного сустава основано на следующих положениях:
- Накладывание гипсовой лонгеты;
- Назначение нестероидных противовоспалительных средства;
- При воспалении показано внутрисуставное введение противовоспалительных гормональных препаратов;
Если у пациента развивается гнойный бурсит коленного сустава, нужно провести операцию — вскрыть и дренировать воспаленную синовиальную сумку.
Как лечить бурсит коленного сустава в домашних условиях?
Если заболевание неинфекционное, можно воспользоваться народными методами:
(Чайную ложку прополиса нужно растворить в 50 мл. водки и настоять в течение 5 дней. Позже с использованием настойки можно делать примочки)
(свеклу и картофель нарезать тонкими слайсами, приложить к больному месту, обмотать марлей)
(Натереть мыло и лук, добавить немного меда. Полученную смесь распределить по воспаленному участку, обмотать полиэтиленом, тканевым полотенцем и оставить на ночь)
(лед завернуть в ткань и приложить к пораженному месту).
Чем опасен бурсит коленного сустава?
Бурсит коленных суставов может перейти в гнойную форму, также опасны отложения солей кальция в стенках суставного мешка — они могут усложнить подвижность сустава. Если заболевание протекает в хронической форме, возможно появление рубцовых спаек внутри сустава и если не принять меры, они приведут к инвалидизации.
В таких случаях единственным способом лечения является хирургическое удаление всей сумки. При небольших размерах возможно артроскопическое удаление слизистой сумки, если же размеры большие – открытое иссечение воспаленной слизистой сумки.
Болезнь Osgood-Slatter (Осгуд-Шляттера)
Причина данной болезни неясна. Первооткрыватели связывали заболевание с первичной травмой и отрывом бугристости. Малахов Н.Б. считает, что болезнь Осгуд-Шляттера представляет собой симптомокомплекс с вовлечением в патологический процесс различных образований в зоне бугристости большеберцовой кости и коленного сустава с преобладанием одного из компонентов патологического процесса».
Компонентами патологического процесса могут быть:
- Апофизит (остеохондропатия) бугристости
- Тендинит связки надколенника
- Бурсит нижней поднадколенниковой сумки
- Отрыв бугристости
В России данное заболевание относится к группе остеохондропатий, за рубежом – к тракционному апофизиту или асептическому некрозу бугристости.
Жалобы пациента
Заболевание часто бывает двусторонним. Пациент жалуется на боль в области бугристости. Боли обычно имеют ноющий характер, чётко локализованы, усиливаются при нагрузке, при ходьбе по лестнице, при резком сгибании в суставе. Продолжительность болей от нескольких месяцев до года.
Клинический осмотр
При осмотре может быть лёгкая гиперемия, отёк, местное повышение температуры. Синовита нет. Боль резко усиливается при сопротивлении активному разгибанию в суставе.
Обращает на себя внимание значительное увеличение апофиза большеберцовой кости в размерах (в два и более раза). При двустороннем поражении клиника редко выражена одинаково остро с обеих сторон.
Диагностика болезни Осгуд-Шляттера
В начальный период никаких изменений на рентгенограммах нет. В последующем обнаруживаются неправильные очертания бугристости и её фрагментация на несколько секвестроподобных фрагментов. В завершение встречаются различные нарушения оссификации, которые могут выглядеть в виде костно-хрящевых разрастаний.

Основная трудность в рентгенологической диагностике заболевания в том, что сложно понять, идёт ли речь о норме или патологии. Чаще имеется наличие несоответствия выбухания бугристости и значительно меньшей её величиной на рентгенограммах.
В процессе развития заболевания происходит рассасывание одних участков кости, уплотнение и слияние других, с последующей их перестройкой и постепенным восстановлением нормальной костной архитектоники.
Ультразвуковое исследование является более информативным методом. При апофизите размер бугристости значительно увеличен, а эхоструктура неоднородна. Никаких изменений со стороны связки надколенника нет. При отрыве бугристости выявляется прерывистость и фрагментация в эхоструктуре бугристости. При тендините связки надколенника она увеличена в размерах, размер самой бугристости не изменен, эхоструктура связки неоднородная с гиперэхогенными включениями.
Классический эхопризнак при остеохондропатии бугристости – «вспучивание» замыкательной пластинки, расположенной по периметру ядер окостенения, и хоботообразного отростка.
Формы болезни Осгуд-Шляттера
Заболевание Осгуд-Шляттера может протекать в виде «чистой» остеохондропатии по типу:
- Тендинита связки надколенника
- Апофизита, в ряде случаев с отрывом фрагмента бугристости
При тендините связки – заметное утолщение связки с изменением структуры по данным УЗИ (снижение эхогенности).
При апофизите – значительно увеличивается переднезадний размер бугристости без существенных изменений эхоструктуры.
Так или иначе, постепенно происходит спонтанное восстановление структуры апофиза.
Лечение и реабилитация
Как правило, функция коленного сустава не страдает. В большинстве случаев боли самостоятельно прекращаются. В ряде случаев назначаются противовоспалительные препараты, упражнения для улучшения эластичности четырехглавой мышцы бедра и мышц задней группы бедра, крайне редко необходима кратковременная иммобилизация сустава.
При упорных болях, связанных с апофизитом бугристости, могут быть показаны множественные остеоперфорации, направленные на скорейшее закрытие апофизарной зоны.
При тендините связки надколенника показано местное введение стероидов и противопоказано применение таких физиотерапевтических процедур:
- Парафин
- Озокерит
- Электрофорез с кальцием и фосфором (ведёт «к поддержанию воспаления и, в дальнейшем, к оссификации мягкотканных структур»)
Показания к операции возникают при частых обострениях с формированием кистоподобного образования. Надо быть крайне осторожным при рекомендации оперативного лечения детям из-за возможности повреждения ростовой зоны с последующим развитием выраженной деформации (рекурвация) сустава.
Инфрапателлярный бурсит коленного сустава
Инфрапателлярный бурсит или колено священника вызывает боль и отек чуть ниже коленной чашечки. В процесс могут быть вовлечены две бурсы:
- Поднадколенниковая поверхностная сумка (находится между кожей и местом прикрепления связки надколенника к большеберцовой кости).
- Поднадколенниковая глубокая сумка (лежит глубоко в связке надколенника, между связкой и большеберцовой костью).

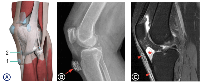
А – расположение поднадколенниковой поверхностной сумки (1) и поднадколенниковой глубокой сумки (2)
В – хронический кальцифицированный поверхностный инфрапателлярный бурсит
С – посттравматический глубокий инфрапателлярный бурсит: растяжение глубокой инфрапателлярной сумки с небольшим количеством синовита (звездочка), умеренный подкожный отек в передней части колена, чуть ниже коленной чашечки (стрелки)
Фактически, поверхностную и глубокую инфрапателлярные сумки можно рассматривать как одно целое. Причины, основные симптомы, диагностика, лечение и восстановление достаточно похожи, и мы их рассмотрим на этой странице. Небольшие отличия в клинических проявлениях и дифференциальной диагностике также будут описаны в соответствующих разделах ниже.
Инфрапателлярный бурсит: причины развития
- Частое вставание на колени или ползание.
Когда вы стоите на коленях, на поднадколенниковую сумку оказывается избыточное давление. Она сплющивается и как бы «раздавливается». Для того, чтобы продолжить выполнять свою функцию – защита сухожилий и костей от избыточного трения, бурса начинает продуцировать дополнительную синовиальную жидкость. Это приводит к увеличению ее размеров, утолщению стенок и постепенному развитию воспалительных признаков. - Интенсивная физическая нагрузка.
Занятия, требующие частого сгибания коленного сустава (например, бег, прыжки, подъем по склону или лестнице), вызывают дополнительное трение, оказываемое на стенки бурсы. Такое раздражение также вызывает выделение излишка жидкости в качестве защитного механизма. - Травма.
Прямой удар в переднюю часть колена может повредить целостность ткани бурсы или вызвать кровотечение и отек в окружающих структурах, что также отражается на состоянии сумки. - Как сопутствующее заболевание.
Инфрапателлярный бурсит часто развивается вторично при тендините собственной связки надколенника или болезни Осгуда-Шлаттера. - Инфекция.
При попадании микроорганизмов в поднадколенниковую сумку (например, при нарушении целостности кожных покровов) может развиться инфицированный (септический) бурсит.
Инфрапателлярный бурсит: симптомы
Обычно клинические проявления развиваются постепенно в течение нескольких недель или, даже, месяцев.
- Припухлость в передней части колена, чуть ниже коленной чашечки.
Как правило, при воспалении поверхностной сумки, которая приобретает вид сплющенного кармана с жидкостью. - Боль.
При бурсите поверхностной сумки – болезненность над бугристостью большеберцовой кости (чуть ниже коленной чашечки). Может распространяться на переднюю часть голени.
При бурсите глубокой сумки – боль появляется при полном активном сгибании-разгибании коленного сустава (пассивное сгибание-разгибание – обычно безболезненно). Боль возможна при пальпации (прощупывании) краев связки надколенника.
Усиление боли происходит при стоянии на коленях. - Другие симптомы.
Локальное покраснение и увеличение температуры кожи возможны при инфицированном бурсите. - Ограничение функции коленного сустава.
Возможно из-за болевого симптома и уменьшения движений сгибания-разгибания. Такой щадящий режим приводит к уменьшению эластичности мышц и связок и уменьшению амплитуды движений. - Нарушение сна.
Отмечается из-за боли во время сгибания колена.
Диагностика и дифференциальная диагностика
Для уточнения диагноза обычно назначают рентген и КТ (определить целостность костных и суставных структур), МРТ (определение состояния мягких тканей), анализ синовиальной жидкости (в случае подозрения на инфицирование бурсы).
Бурсит поднадколенниковой поверхностной сумки трудно дифференцировать от болезни Осгуда-Шлаттера.
Бурсит поднадколенниковой глубокой сумки трудно отличить от воспаления жировой подушки, также расположенной между связкой надколенника и большеберцовой костью. Однако, при воспалении жировой подушки обычно полное пассивное разгибание болезненно, в то время как при бурсите – безболезненно.
Другие заболевания с похожими симптомами:
- Тендинит собственной связки надколенника (необходимо рассматривать как основное заболевание) (воспаление преднадколенниковой подкожной сумки – непосредственно перед коленной чашечкой) (повреждение хряща надколенника) (ПФБС) или Колено бегуна (проблема, связанная со смещением и повреждением коленной чашечки)
- Синдром синовиальной складки или, как наиболее частый вариант, синдром медиопателлярной складки (воспаление синовиальной оболочки и повреждение хряща медиального отдела коленного сустава)
Лечение инфрапателлярного бурсита
- Отдых.
Изменение физической активности или даже ее полное прекращение должны исключить действия, вызывающие боль. Необходим какой-то период времени, чтобы спал отек и уменьшились другие симптомы воспаления.
Старайтесь не вставать на колени. Если все же такая необходимость возникает, используйте специальные гелевые наколенники. - Лед.
Правильное использование холодных компрессов во время острого периода облегчит симптомы заболевания. - Лекарства: нестероидные противовоспалительные средства (НПВС).
Нестероидные противовоспалительные препараты (НПВП) – группа медикаментов на основе диклофенака, ибупрофена и нимесулида. Оказывают болеутоляющие, антивоспалительное, сосудорасширяющее действие. Примеры НПВП: Некст, Диалрапид, Нурофен.
Данные препараты не влияют на причину заболевания, а лишь временно снимают болевой приступ. При этом возможно привыкание. Поэтому, перед приемом лекарств обязательно проконсультируйтесь с врачом. - Лечебная физкультура.
Выполнение простых укрепляющих упражнений и упражнений на растяжку помогут восстановить силу и эластичность мышц, увеличат амплитуду движений. - Физиотерапия.
Применение сухого тепла, иглоукалывания, ультразвука и других физиопроцедур ускорят процессы реабилитации. - Пункция и аспирация.
При большом скоплении синовиальной жидкости может потребоваться пункция бурсы с аспирацией (удалением) экссудата и введением необходимых лекарственных препаратов (местных обезболивающих/противовоспалительных и кортикостероидов). После пункции накладывается давящая повязка. - Хирургическое вмешательство.
В очень редких случаях, когда консервативные методы не эффективны и симптоматика нарастает, требуется операция по удалению сумки.
Как долго длится инфрапателлярный бурсит?
Если вы следуете назначенному лечению и сохраняете щадящий режим физической нагрузки, симптомы могут проявляться от нескольких недель до пары месяцев. При вторичном течении заболевания на фоне другого процесса для восстановления может потребоваться 3-6 месяцев.
Узнайте больше о заболеваниях коленного сустава в разделе Диагностика боли в колене.
Читайте также:
