Симптомы кисты Торнвальдта и его лечение
Добавил пользователь Евгений Кузнецов Обновлено: 22.11.2025
Киста Торнвальда — это редкая врожденная патология, которая характеризуется углублением слизистой оболочки задней стенки носоглотки (отсюда другое название — сумка Торнвальдта). Углубление слизистой оболочки часто изолировано от полости носоглотки, что создает условия для воспалительного процесса. В результате формируется полость с гнойным содержимым, ограниченная слизистой оболочкой носоглотки (в таком случае данная патология называется болезнью Торнвальдта). В некоторых случаях киста Торнвальдта прорывается в полость носоглотки, что приводит к постоянному гноетечению по задней стенке глотки и воспалению окружающих тканей. Заболевание в большинстве случаев протекает бессимптомно.
Симптомы кисты Торнвальда
- Нарастающая носовая обструкция (нарушение носового дыхания) в результате увеличения размеров кисты, которая выступает в полость носоглотки.
- Длительные и стойкие головные боли, чаще всего в теменной и затылочной областях – в результате воспалительного процесса в полости кисты (нагноения содержимого). Как правило, симптоматическое лечение (препараты от головной боли) не имеет стойкого положительного эффекта.
- Передняя и задняя гнойная ринорея – течение гнойного содержимого кисты из носа (передняя ринорея), а также течение гноя по задней стенке носоглотки (задняя ринорея), что часто сопровождается неприятным запахом изо рта и ощущением дискомфорта в ротовой полости, неприятным привкусом во рту.
- Боли в горле и носоглотке (часто усиливаются при глотании, кашле, чихании) - вследствие воспалительного процесса.
- Двустороннее снижение слуха – из-за воспалительного процесса и обструкции (нарушения проходимости) в евстахиевых трубах (соединяют полость носоглотки и полости среднего уха, выполняет роль резонатора при проведении звука).
- Повышение температуры тела (чаще 37-38°C) при обострении сопутствующих хронических заболеваний уха, горла, носа.
- Гнусавость – вследствие носовой обструкции (нарушения проходимости воздуха через носоглотку).
Инкубационный период
- Сумка Торнвальдта является врожденным дефектом слизистой носоглотки, поэтому симптомы могут проявиться в любом возрасте, но наибольший пик воспаления кисты наблюдается у пациентов 15-20 лет.
- Также киста может существовать бессимптомно в течение всей жизни.
Причины
Нарушение внутриутробного развития слизистой оболочки носоглотки (неполное зарастание назофарингеального (носоглоточного) кармана у эмбриона на 10-й неделе развития).
Причины нарушения развития тканей в эмбриогенезе (дородовом развитии) не установлены.
Факторы нарушения дородового развития:
- наследственная предрасположенность;
- интоксикация организма матери во время беременности (отравление, курение, употребление ею спиртных напитков, наркотических средств);
- воздействие излучения (радиоактивные, ультрафиолетовые лучи);
- воздействие температуры (резко повышенная или пониженная);
- близкородственные браки;
- возраст матери старше 35 лет.
LookMedBook напоминает: что данный материал размещен исключительно в ознакомительных целях и не заменяет консультацию врача!
Врач ЛОР (отоларинголог) поможет при лечении заболевания
Диагностика
- Анализ анамнеза и жалоб заболевания:
- боли в горле (усиливаются при глотании, кашле, чихании);
- заложенность в носу;
- гнусавость голоса;
- ощущение стекания слизи (гноя) по задней стенке глотки;
- стойкие головные боли;
- повышение температуры тела;
- давность (как давно проявились) проявления симптомов заболевания;
- наличие сопутствующих заболеваний уха, горла, носа, в особенности хронических;
- наличие факторов проявления заболевания (переохлаждение, перегрев, стрессы и т.д.).
- Аллергологический анамнез больного: наличие потенциальных аллергенов до и во время проявления симптомов заболевания.
- Риноскопия (осмотр полости носа) – обращают внимание на воспалительные изменения слизистой оболочки носа, глоточного отверстия евстахиевой (слуховой) трубы, носоглотки, наличие слизи.
- Фарингоскопия (осмотр ротоглотки) – воспалительные изменения небных миндалин, слизистых оболочек полости рта, задней стенки глотки, наличие гноетечения по задней стенке глотки.
- Отоскопия – визуальное исследование наружного уха, состояния полости среднего уха, барабанной перепонки (для выявления воспаления среднего уха (отита)).
- Риноэндоскопия (эндоскопия полости носа) – инструментальное визуальное исследование носоглотки с помощью эндоскопа (основное исследование для подтверждения кисты Торнвальдта, констатация наличия кисты на задней стенке носоглотки (плотное, напряженное, гиперемированное образование с четкими контурами и жидким содержимым), в некоторых случаях наблюдается прорыв кисты: выраженное гноетечение в полость носоглотки).
- Компьютерная томография (КТ) и магнитно-резонансная томография (МРТ) – послойные снимки с заданным интервалом, выявление округлого образования слизистой оболочки с жидким содержимым на задней стенке носоглотки.
Лечение кисты Торнвальда
- Основной метод лечения кисты Торнвальдта – хирургический.
- Практически во всех случаях после резекции (иссечение) кисты эндоскопическим доступом (с использованием хирургических эндоскопов) и ее опорожнения происходит полное исчезновение клинической симптоматики.
Осложнения и последствия
При неадекватном и несвоевременном лечении возможны:
- стойкие головные боли, которые не купируются анальгетиками;
- появление или обострение хронических заболеваний лор-органов (например, хронический гнойный средний отит (воспаление среднего уха), хронический тонзиллит (гнойное воспаление небных миндалин) и другие).
Профилактика кисты Торнвальда
- Отказ от вредных привычек (например: курение, алкоголь).
- Ведение здорового образа жизни (регулярные прогулки на свежем воздухе, занятия физкультурой, соблюдение режима дня и ночи (ночной сон не менее 8 часов)).
- Сбалансированное и рациональное питание (употребление в пищу продуктов с высоким содержанием клетчатки (овощи, фрукты, зелень), отказ от консервированной, жареной, острой, горячей пищи).
- Профилактическое наблюдение у врача терапевта, прохождение диспансеризации минимум раз в год.
- Своевременное обращение к врачу при возникновении проблем со здоровьем.
ИНФОРМАЦИЯ ДЛЯ ОЗНАКОМЛЕНИЯ
Необходима консультация с врачом
Подоляк Анжелика Алексеевна, редактор.
Что делать при кисте Торнвальда?
- Выбрать подходящего врача ЛОР (отоларинголог)
- Сдать анализы
- Получить от врача схему лечения
- Выполнить все рекомендации
Симптомы кисты Торнвальдта и его лечение
Кафедра оториноларингологии - хирургии головы и шеи Медицинского института Северо-Кавказской государственной гуманитарно-технологической академии;
Карачаево-Черкесская республиканская клиническая больница, Черкесск, Россия 369000
Кафедра оториноларингологии, хирургии головы и шеи Медицинского института Северо-Кавказской государственной гуманитарно-технологической академии, Карачаево-Черкесская республиканская клиническая больница, г. Черкесск
Киста Торнвальдта: диагностика и лечение
Журнал: Российская ринология. 2017;25(3): 63‑65
Кафедра оториноларингологии - хирургии головы и шеи Медицинского института Северо-Кавказской государственной гуманитарно-технологической академии;
Карачаево-Черкесская республиканская клиническая больница, Черкесск, Россия 369000
Киста Торнвальдта — достаточно редко встречаемая патология. Однако с внедрением эндоскопических методов исследования стало возможным более тщательно выявлять имеющуюся патологию носоглотки. Приведенный клинический случай указывает на необходимость эндоскопического исследования носоглотки у всех пациентов с заболеваниями полости носа, околоносовых пазух и уха.
Кафедра оториноларингологии - хирургии головы и шеи Медицинского института Северо-Кавказской государственной гуманитарно-технологической академии;
Карачаево-Черкесская республиканская клиническая больница, Черкесск, Россия 369000
Кафедра оториноларингологии, хирургии головы и шеи Медицинского института Северо-Кавказской государственной гуманитарно-технологической академии, Карачаево-Черкесская республиканская клиническая больница, г. Черкесск
По данным литературы, врожденные аномалии носоглотки встречаются у 1,9—7,0% практически здоровых людей обоего пола в возрасте от 15 до 30 лет и в большинстве случаев протекают бессимптомно [1—7]. Некоторые авторы считают, что у мужчин кисты носоглотки встречаются несколько чаще, чем у женщин [8].
В 1885 г. немецкий врач Гюстав Людвиг Торнвальдт описал клинические признаки кистозной трансформации и воспаления, а также методы лечения 26 носоглоточных кист. Впоследствии было доказано, что киста, или сумка, Торнвальда формируется в месте, где нотохорда сохраняет связь с глоточной энтодермой. Этот симптомокомплекс получил название по имени автора, описавшего его, — «болезнь Торнвальдта».
Причины развития этой патологии до сих пор до конца неизучены. Выделены лишь факторы, которые могут служить сопутствующими причинами образования кисты Торнвальдта в дородовом периоде. К ним относятся наличие наследственной предрасположенности, влияние радиации и некоторых лекарственных препаратов, возраст роженицы, браки между близкими родственниками, работа с токсическими веществами и некоторые другие. Киста Торнвальдта на протяжении длительного периода может не проявляться клинически.
Спровоцировать развитие болезни Торнвальдта могут удаление аденоидов, тампонада носовых ходов, травма носа, снижение защитных функций организма при переохлаждении или стрессе.
Для данного заболевания характерны жалобы на затрудненное носовое дыхание, стекание гнойного отделяемого по задней стенке глотки в ротовую полость, зловонный запах изо рта, появление гнусавости, болевые ощущения в горле и гортани, снижение остроты слуха.
Данная симптоматика может появиться у больного в любом возрасте, но чаще наблюдается у молодых людей. Учитывая неспецифичность клинических признаков заболевания, его диагностика, как правило, базируется на данных эндоскопического, лучевого и гистологического исследований. В типичных случаях при риноэндоскопии в задневерхнем отделе носоглотки определяется плотное, округлое образование с четкими контурами, содержащее воспалительный экссудат [13]. При рентгенологическом исследовании (компьютерная и магнитно-резонансная томографии) киста выглядит как округлое гиперэхогенное образование правильной формы с четкими контурами, не связанное с мышцами глотки [14, 15].
Лечение кисты Торнвальдта заключается в ее хирургическом удалении под контролем эндоскопии. Как считают многие авторы, такое лечение высокоэффективно и в 96% случаев наблюдается полный регресс ринологической симптоматики [1, 4, 12].
Приводим собственное клиническое наблюдение кисты Торнвальдта.
Больной А., 27 лет, обратился к лор-врачу консультативной поликлиники с жалобами на затрудненное носовое дыхание, стекание по задней стенке глотки гнойного отделяемого с неприятным запахом, периодические головные боли, появление гнусавости и некоторое снижение остроты слуха правым ухом. Больным себя считает в течение нескольких лет, наблюдался у участкового терапевта, стоматолога, гастроэнтеролога, лор-врача поликлиники. Однако назначаемое лечение не приводило к положительному окончательному результату.
Больной был госпитализирован в отделение оториноларингологии РГБ ЛПУ «Карачаево-Черкесская республиканская клиническая больница», где при видеофиброэндоскопическом исследовании в задне-верхнем отделе носоглотки справа было обнаружено округлое, плотное образование размерами 2,0×2,0 см, с четкими контурами и выраженной инъекцией сосудов (рис. 1).

Рис. 1. Больной А., 27 лет. Эндоскопия носоглотки. Fig. 1. PatientA., aged 27 years. Endoscopic examination of the nasopharynx.Определяется округлое, плотное образование справа, рядом с глоточным устьем слуховой трубы. The rounded dense tissue mass is visible on the right side in the vicinity of the pharyngeal opening of the Eustachian tube.
Слизистая оболочка в области глоточного отверстия слуховой трубы справа несколько гиперемирована, на задней стенке носоглотки — слизисто-гнойное отделяемое. Носовое дыхание затруднено.
Барабанная перепонка справа втянута, ее подвижность снижена. Барабанная перепонка слева неизменена. Острота слуха снижена справа по типу нарушения звукопроведения. Другие лор-органы — без патологий. Анализы крови и мочи — в пределах нормы. На основании результатов обследования у пациента диагностирована киста Торнвальдта.
Под видеоэндоскопическим контролем радиоволновым скальпелем аппарата «Сургитрон» в режиме «резание—коагуляция» кистовидное образование было удалено. В качестве обезболивания применялся интубационный наркоз. Операцию больной перенес удовлетворительно. Кровотечение минимальное.
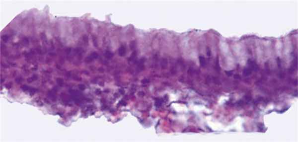
Заключение патогистологического исследования оболочки кисты: в срезах препарата оболочка кисты Торнвальдта, выстланная изнутри призматическими клетками (рис. 2). Элементы хронического воспалительного процесса.

Рис. 2. Оболочка кисты Торнвальдта. Внутренняя стенка выстлана призматическими клетками. Fig. 2. The e nvelope of Thornwaldt’s cyst. The inner wall is lined with prismatic cells.Окраска гематоксилином и эозином. Ув. 400. Staining with hematoxylin and eosin, x400.
Приведенный клинический случай свидетельствует о о необходимости эндоскопического исследования носоглотки у всех пациентов с заболеваниями полости носа, околоносовых пазух и уха.
Сумка Торнвальдта
Больная В., 38 лет, служащая, обратилась к оториноларингологу городской больницы № 40 с жалобами на затруднение носового дыхания, постоянную заложенность носа, необходимость систематического применения сосудосуживающих капель, насморк слизистого характера, чувство стекания по задней стенке глотки, чувство заложенности и снижение слуха на левое ухо, периодические отиты слева, першение и сухость в горле.

Больной себя считает в течение многих лет. В период с 8 до 16 лет перенесла четыре аденотомии с хорошим, но временным эффектом. В возрасте 23 года пациентке была выполнена тонзилэктомия. В течение последних 25 лет отмечался рецидивирующий двусторонний мезотимпанит, по поводу чего в 2008 году была выполнена двусторонняя мирингопластика со стойким положительным эффектом на правом ухе и рецидивом мезотимпанита на левом ухе.
При эндоскопической ревизии полости носа отмечалась гиперемия и застойная отечность слизистой полости носа на всем ее протяжении с незначительным сокращением слизистой носовых раковин после анемизации. Скудное слизистое отделяемое. Перегородка носа S-образно искривлена, больше вправо. Гипертрофия средних носовых раковин. В задне верхних отделах носоглотки по средней линии определялось овальное, плотное, неподвижное образование размерами 2,0 × 2,5 см со свищевым ходом в центре (рис.1)
Устья евстахиевых труб отёчны, трубные миндалины гипертрофированны, преимущественно слева. Боковые валики глотки незначительно гипертрофированы. В носоглотке скудное слизистое отделяемое (рис.2). Дыхание через обе половины носа затруднено. Слизистая глотки умеренно гиперемирована, влажная. Небные миндалины удалены. Значительная гипертрофия боковых валиков глотки, больше справа. Скудное стекание слизистого отделяемого из носоглотки.
Пальпация, перкуссия в проекции сосцевидных отростков безболезненные. Отоскопия: наружные слуховые проходы свободные с двух сторон, стенки не изменены. AD: барабанная перепонка утолщенная, серая, рубцово изменена, опознавательные знаки частично отсутствуют. AS: барабанная перепонка утолщена, розовая, с сухой перфорацией в нижних отделах. Барофункция справа 2 степени, слева не оценивалась в связи с наличием перфорации, но отмечалось прохождение воздуха через барабанную перепонку при проведении пробы Вальсальвы.
Другие ЛОР-органы – без особенностей.
Анализы крови и мочи – без особенностей.
Учитывая имеющиеся данные, был установлен диагноз:
Основной: киста Торнвальдта.
Сопутствующий: искривление перегородки носа. Хронический гипертрофический ринит, киста левой верхнечелюстной пазухи. Двухсторонний тубоотит. Двухсторонний мезотимпанит (состояние после мирингопластики в 2008) в фазе ремиссии.
12.01.2010 г. под эндотрахеальным наркозом и местной анестезией выполнено одномоментное многоэтапное (симультанное) оперативное вмешательство в объеме: подслизистая резекция перегородки носа с септопластикой; двусторонняя пластика средних носовых раковин, двухсторонняя вазотомия с латерализацией нижних носовых раковин; левосторонняя эндоскопическая операция на верхнечелюстной пазухе.
В условиях эндовидеоконтроля выполнено иссечение кисты Торнвальдта трансфарингеальным доступом. Последним этапом под эндоскопическим контролем частично резецированы трубные миндалины. Радиохирургический гемостаз.
Послеоперационный период протекал без особенностей.
Тампоны из носовых ходов удалены через сутки после операции. Проводилась антибактериальная, симптоматическая терапия, туалет полости носа до полного исчезновения назальной симптоматики. Восстановление носового дыхания отмечено на седьмые сутки после вмешательства.
20.01.2010 г. пациентка в удовлетворительном состоянии выписана из стационара.
При гистологическом исследовании удаленного образования носоглотки выявлено: выстилка — многорядный мерцательный эпителий, выстилающий стенку кисты; в субэпителиальной основе, в фиброзной ткани лимфоидные скопления и слизистые железы (фрагменты носоглоточной миндалины).
Комментарий к клиническому случаю
Сумка Торнвальдта – кистоподобное образование носоглотки, располагающееся по средней линии вблизи глоточной миндалины. В основе патогенеза лежит нарушение эмбрионального развития мягких тканей верхних дыхательных путей.
В 1885 году немецкий врач Гюстав Людвиг Торнвальдт описал её окклюзию, кистозную трансформацию и воспаление. Этот cимптомокомплекс впоследствии получил название «болезни Торнвальдта». Клиническая картина: затруднение носового дыхания, упорные головные боли, преимущественно в теменной и затылочной области, напряжение задних шейных мышц, гнойное отделяемое из носа, боль в горле, снижение слуха, развитие синусита и отита. Травма, тампонада носа или аденотомия, преимущественно под местной анестезией, могут провоцировать развитие заболевания.
Поскольку клиническая картина болезни Торнвальдта неспецифична, её диагностика базируется на данных риноэндоскопического осмотра, результатах проведения компьютерной томографии или магнитно-резонансной томографии.
В типичных случаях при эндориноскопии в задневерхних отделах носоглотки определяется плотное, напряженное, гиперемированное, округлое образование с четкими контурами, содержащее воспалительный экссудат. На компьютерных и магнитно-резонансных томограммах киста Торнвальдта выглядит как округлое, гиперэхогенное образование правильной формы, с четкими контурами, не связанное с мышцами глотки. Это позволяет дифференцировать её с другими объемными процессами носоглотки, в частности, с интрааденоидными, ретенционными кистами, злокачественными новообразованиями носоглотки, превертебральными и заглоточными абсцессами, хоанальным полипом, которые на томографических срезах имеют другую конфигурацию.
Основной метод лечения болезни Торнвальдта – хирургический. Применяют полную экстирпацию сумки через ротовой подход или удаление передней стенки сумки трансназально под эндоскопическим контролем.
Киста Торнвальдта
Киста Торнвальдта – врожденное кистоподобное образование, расположенное на задней стенке носоглотки. Ведущие клинические признаки – головная боль с распространением в теменную и затылочную область, неприятный запах изо рта, ухудшение дыхания через нос, повышение температуры тела. Диагноз устанавливается на основе анамнестических данных, жалоб, результатов риноэндоскопии, фарингоскопии, биопсии, МРТ и КТ области носоглотки и дифференциальной диагностики с другими вариантами новообразований носоглотки. Основной способ лечения заболевания – хирургический, путем эндоназального эндоскопического удаления кисты.

Общие сведения
Киста Торнвальдта (назофарингеальная сумка или сумка Люшки) – редкое заболевание, которое встречается у 1,5-2% населения. Впервые морфологические изменения носоглоточной сумки были описаны в 1885 году немецким врачом Густавом Людвигом Торнвальдтом. У большей части людей патология протекает бессимптомно. Клиническая симптоматика развивается только в 10% случаев. Зачастую первые признаки проявляются в возрасте от 15 до 25 лет. Патология с одинаковой частотой встречается среди представителей мужского и женского пола. В регионах с высокой частотой близкородственных браков показатель заболеваемости несколько выше.
Причины
Носоглоточная сумка возникает в результате аномалий развития энтодермы. До конца этиология формирования носоглоточной кисты в современной отоларингологии не изучена. Доказано, что подобные нарушения могут вызывать следующие тератогенные факторы:
- Генетические мутации. Назофарингеальная сумка чаще встречается среди лиц, рожденных в близкородственных браках или при позднем наступлении первой беременности (после 35 лет). В некоторых случаях возникновение патологии определяется наследственной предрасположенностью.
- Физические факторы. Чрезмерная инсоляция, переохлаждение, действие ионизирующего излучения во время беременности способны потенцировать развитие назофарингеальной сумки.
- Интоксикация. Установлено, что хроническая интоксикация парами бензола, солями тяжелых металлов и нитратами существенно повышает риск возникновения данной патологии.
- Пагубные привычки матери. Употребление спиртных напитков, наркотических веществ или курение негативно влияют на внутриутробное развитие плода, в т. ч. вызывают пороки развития.
- Прием медикаментов. Отдельные фармакологические препараты из групп антикоагулянтов, антипсихотических и антибактериальных средств обладают тератогенным действием в отношении энтодермы.
Патогенез
В основе патогенеза кисты Торнвальдта лежит явление дисэмбриогенеза. При нормальном внутриутробном развитии плода в промежутке с 5-й по 10-ю акушерскую неделю путем отшнуровывания глоточной энтодермы от краниального отдела нотохорда формируется носоглоточная сумка. Она представляет собой парный, разделенный на сегменты, карман, расположенный с двух сторон от хорды. В дальнейшем из него образуются тимус, полость среднего уха, щитовидная и паращитовидные железы. В норме, начиная с 10-й недели, это образование редуцируется. Но в ряде случаев происходит слипание энтодермы и нотохорда. Последний, поднимаясь до уровня будущего черепа, «затягивает» с собой часть слизистой ткани глотки. Это приводит к образованию полости, выстланной нормальной слизистой оболочкой – сумки Торнвальдта.
Симптомы
Клиническая картина заболевания связана с инфицированием кистозной полости. Способствующими факторами могут служить травмы лицевого черепа, хирургические вмешательства (ринопластика, септопластика, удаление аденоидных вегетаций), длительные тампонады носовой полости, воспалительные или инфекционные патологии носоглотки. Первым признаком заболевания выступает нарастающая постоянная или пульсирующая головная боль, иррадиирущая в затылочную и теменную область. При движениях головы болевые ощущения усиливаются. Также ухудшается носовое дыхание. Возникает ринорея, закрытая гнусавость, кашель и храп. Часто наблюдается двухстороннее снижение слуха, чувство «заложенности» ушей. Одновременно повышается температура тела до 37,5-38 о С, появляются болевые ощущения в области носа и горла, которые усиливаются при глотании и чихании. У большинства больных формируется неприятный «гнилостный» запах изо рта.
Осложнения
Длительное течение кисты Торнвальдта и отсутствие полноценного лечения в подавляющем большинстве случаев приводит к осложнениям. Со временем головная боль становится все интенсивнее и не купируется приемом анальгетиков. Нарушение носового дыхания и дренажа носовой полости приводит к рецидивирующему риниту и синуситу, реже – среднему отиту. Разрастание кисты способствует искривлению носовой перегородки с дальнейшим ухудшением клинической картины. Стекание гнойного содержимого в ротоглотку и далее по дыхательным путям приводит к развитию хронических воспалительных заболеваний – ларингита, тонзиллита, фарингита, бронхита и аспирационных пневмоний.
Диагностика
Сложность диагностики кисты Торнвальдта заключается в отсутствии специфических клинических симптомов. Зачастую для постановки правильного диагноза данных объективного осмотра отоларинголога недостаточно – требуется применение радиологических методов исследования. Помимо сбора анамнестических сведений и жалоб пациента, диагностическая программа включает в себя:
- Риноэндоскопию. Позволяет выявить округлое, гиперемированное, плотное образование с четкими краями в задневерхних отделах носоглотки. При надавливании выделяется гнойное или слизистое содержимое.
- Фарингоскопию. При осмотре ротовой полости выявляется постназальный синдром – стекание гнойных или слизистых масс по задней стенке глотки. Также могут присутствовать воспалительные изменения слизистых оболочек, миндалин.
- Лучевые методы диагностики. Результаты КТ и МРТ носоглотки отображают наличие круглого полостного образования размером от 0,5 до 4,5 см с четкими контурами и гладкой внутренней поверхностью, расположенного по срединной линии глотки. У некоторых больных эта структура может иметь дренирующее отверстие.
- Биопсия. Гистологически слизистая оболочка внутри назофарингеальной сумки представляет собой цилиндрический мерцательный эпителий. Стенки полости в незначительной степени инфильтрированы лимфоцитами и содержат небольшое количество лимфоидных фолликулов.

Дифференциальная диагностика проводится с внутриаденоидными кистами, кистами кармана Ратке, менингоэнцефалоцеле, носоглоточной карциномой и другими опухолевыми заболеваниями. Основными критериями служат результаты гистологического исследования биоптата, компьютерной или магнитно-резонансной томографии. Аденоидные кисты имеют аналогичное расположение, но размер их полости редко превышает 5 мм. Сумка Ратке расположена у соединения сошника и клиновидной кости и состоит эпителиальной ткани. Менингоэнцефалоцеле характеризуется деструкцией костных структур и соединением с внутричерепными тканями. Носоглоточная карцинома, как правило, занимает латеральное положение, имеет неровную поверхность и склонна к кровотечениям.
Лечение кисты Торнвальдта
Основной метод лечения носоглоточной сумки – трансназальная эндоскопическая лазерная марсупиализация. Цель операции – обеспечение достаточного дренажа полости кисты и, при возможности, полное удаление ее выстилки. Это оперативное вмешательство благодаря использованию Nd:YAG и полупроводниковых лазеров позволяет провести полноценное удаление кисты без повреждения прилегающих тканей, минимизировать кровопотерю и предотвратить повреждение устьев слуховых труб. В качестве обезболивания используется аппликационная анестезия. После вскрытия кисты под контролем эндоскопа и при помощи аспиратора удаются все слизистые и гнойные массы. Для удаления лимфоидной ткани стенок кисты используется лазериндуцированная интерстициальная термотерапия. После операции назначается антибактериальная терапия с использованием препаратов широкого спектра действия.
Прогноз и профилактика
Прогноз при кисте Торнвальдта благоприятный. Своевременная диагностика и полноценное лечение более чем в 96% случаев предотвращает развитие осложнений и приводит к полному выздоровлению. Специфической профилактики этого заболевания не разработано. К первичным неспецифическим превентивным мерам относятся медико-генетическое консультирование семейных пар, антенатальная охрана плода, рациональное питание матери во время вынашивания ребенка, соблюдение режима сна и бодрствования. Вторичная профилактика заключается в укреплении общих защитных сил организма, профилактических осмотрах отоларинголога, раннем лечении инфекционных и бактериальных заболеваний полости носа и носоглотки.
Киста Торнвальдта: причины возникновения и основные симптомы, способы лечения заболевания
Представляет собой врожденное кистоподобное образование, расположенное на задней стенке носоглотки.
Причины
Формирование носоглоточной сумки происходит в результате аномалий развития энтодермы. До конца этиология формирования носоглоточной кисты не изучена. Однако установлено, что подобные нарушения могут вызывать различные тератогенные факторы.
Генетические мутации, довольно часто являются основной причиной образования назофарингеальной сумки. Данная патология чаще встречается среди лиц, рожденных в близкородственных браках или при позднем наступлении первой беременности. В некоторых случаях в возникновении патологии определенную роль играет наследственная предрасположенность.
Физические факторы, такие как чрезмерная инсоляция, переохлаждение, действие гамма-излучения во время беременности способны потенцировать развитие назофарингеальной сумки.
Интоксикация парами бензола, солями тяжелых металлов и нитратами, существенно повышает вероятность развития данной патологии.
Вредные привычки матери. Употребление алкогольных напитков, наркотических веществ или курение оказывает неблагоприятное влияние на внутриутробное развитие плода и могут стать причиной развития пороков.
Прием лекарственных средств. Некоторые фармакологические препараты из группы антикоагулянтов, антипсихотических и антибактериальных средств обладают тератогенным действием в отношении энтодермы.
Симптомы
Клиническая картина кисты Торнвальдта обусловлена инфицированием кистозной полости. Предрасполагающими факторами могут являться травмы лицевого черепа, хирургические вмешательства, длительная тампонада носовой полости, воспалительное или инфекционное поражение носоглотки. Основным признаком патологического процесса является нарастающая, постоянная либо пульсирующая головная боль, усиливающаяся при движении головы, может иррадиировать в затылочную и теменную область. Также у больных отмечается ухудшение носового дыхания. Возникает ринорея, закрытая гнусавость, кашель и храп. Иногда выявляется двухстороннее снижение слуха и возникает чувство заложенности ушей. Одновременно возникает гипертермия, появляются болевые ощущения в области носа и горла, которые усиливаются при глотании и чихании. У некоторых пациентов возникает неприятный гнилостный запах изо рта.
Длительное течение кисты Торнвальдта при отсутствии полноценного лечения в подавляющем большинстве случаев приводит к развитию осложнений. По мере прогрессирования заболевания увеличивается выраженность головных боле, в результате чего они перестают купироваться приемом анальгетиков. Нарушение носового дыхания и дренажа носовой полости становится причиной развития рецидивирующего ринита и синусита, реже – среднего отита. Разрастание кисты вызывает искривление носовой перегородки с дальнейшим ухудшением клинической картины.
Диагностика
Диагностики кисты Торнвальдта осложняется тем, что при данной патологии не отмечается развития специфических клинических симптомов. В большинстве случаев для постановки правильного диагноза данных объективного осмотра отоларинголога недостаточно, что обусловлено необходимостью использования радиологических методов исследования. Диагностическая программа кисты Торнвальдта включает в себя применение риноэндоскопии, фарингоскопии, а также проведение магниторезонансной и компьютерной томографии носоглотки.
Лечение
Лечение кисты Торнвальдта происходит посредством проведения трансназальной эндоскопической лазерной марсупиализации. Цель операции – обеспечение достаточного дренажа полости кисты и, при возможности, полное удаление ее выстилки. В качестве обезболивания используется аппликационная анестезия. После вскрытия кисты под контролем эндоскопа и при помощи аспиратора удаляются все слизистые и гнойные массы. Для удаления лимфоидной ткани стенок кисты используется лазериндуцированная интерстициальная термотерапия. После хирургического вмешательства больному назначается курс корректной атибиотикотерапии.
Профилактика
Профилактика развития кисты Торнвальдта заключается в укреплении общих защитных сил организма, профилактических осмотрах отоларинголога, раннем лечении инфекционных и бактериальных заболеваний полости носа и носоглотки.
Связанные лекарства:
Информация является обобщающей и не может быть использована для лечения, без рекомендации врача.
Читайте также:
