Показания для эндопротезирования плечелучевого сочленения
Добавил пользователь Евгений Кузнецов Обновлено: 29.01.2026
Операция по эндопротезированию суставов является крайне эффективным, а зачастую и единственным методом восстановления утраченных функций при тяжелых заболеваниях суставов или их травматических повреждениях. Благодаря развитию современных медицинских технологий подобные операции стали в наше время совершенно обычными, ежегодно в мире проводится порядка 400 тысяч операций по замене суставов.
Врачи «СМ-Клиника» уже много лет проводят операции по замене поврежденного сустава искусственным, возвращая пациентам радость и свободу движений. Сегодня производителями имплантов разработаны модели для замены практически всех суставов: как крупных (тазобедренного, коленного, плечевого, локтевого, голеностопного), так и мелких суставов стоп и пальцев рук. Но как показывает практика, большая часть операций эндопротезирования проводится для замены тазобедренного и коленного суставов.
Показания к эндопротезированию сустава
- (коксартроз, гонартроз) различного происхождения, ,
- ревматоидный артрит,
- болезнь Бехтерева,
- перелом шейки бедра, перелом вертлужной впадины и др.
Конечно, сегодня проблемы патологии суставов лечатся и консервативными методами. Консервативная лекарственная терапия, как правило, эффективна преимущественно на ранней стадии развития заболевания. В случае, когда патологический процесс не поддается терапевтической коррекции, врач травматолог-ортопед рекомендует операцию по замене больного сустава.
Обычно такое решение принимается в следующих случаях:
- если пациенту становится трудно выполнять элементарные движения (подниматься по лестнице, вставать со стула, наклоняться);
- если боль в суставе мешает обычному образу жизни пациента;
- если проведенная медикаментозная терапия и физиотерапия оказались неэффективны;
- если заболевание было диагностировано на серьезной стадии;
- если проведение лекарственной терапии, может вызвать серьезные побочные эффекты.
Эндопротезирование суставов в «СМ-Клиника»
Многих пациентов пугает операция замены сустава тем, что она предполагает не только хирургическое вмешательство в организм, но еще и внедрение в его структуру инородного предмета. В большинстве своем эти страхи являются необоснованными, потому как операция эндопротезирования уже давно стала стандартной практикой в области ортопедической хирургии. В «СМ-Клиника» ее проводят опытные хирурги-ортопеды, прошедшие специальную подготовку и обучение в лучших зарубежных клиниках.
Высокая квалификация позволяет нашим врачам проводить эту операцию в соответствии с высокими медицинскими стандартами. Ежемесячно наши специалисты проводят десятки успешных операций по эндопротезированию, избавляя пациентов от мучительной боли и возвращая им радость нормальной жизни.
Вид и размер эндопротеза подбираются нашими врачами после тщательного обследования и с учетом возраста, состояния здоровья, анатомических и физиологических особенностей пациента. Современные протезы суставов производятся из особо прочных и биоинертных видов металлических сплавов, керамики и полиэтилена. Передовые высококачественные способы обработки поверхностей эндопротезов сводят риск отторжения к нулю и помогают избежать осложнений. Большой выбор видов, форм и типоразмеров эндопротезов позволяет врачу с ювелирной точностью подобрать протез для каждого конкретного пациента.
Эндопротезирование коленного сустава
Малоподвижность и болезненность коленных суставов существенно ухудшают качество жизни человека. В большинстве случаев полноценная работа нижних конечностей нарушается в результате серьезных травм, опухолевых процессов, ревматоидного артрита, деформирующего артроза и других заболеваний. Все это приводит к снижению опорно-двигательной функции.
На ранних этапах развития нарушений врачи проводят медикаментозное лечение. Однако при значительных анатомических изменениях консервативная терапия не дает желаемого результата. Восстановить функции коленного сустава поможет эндопротезирование. Это операция, в ходе которой разрушенные поверхности заменяют имплантами. В некоторых случаях хирургическое вмешательство является единственным способом восстановления нормальной работы нижних конечностей.
Показания и противопоказания
Эндопротезирование коленного сустава — сложная операция, суть которой заключается в удалении пораженных тканей и установке искусственных высокопрочных элементов. Хирургическое вмешательство проводят по медицинским показаниям. К ним относят:
- остеоартроз 3 или 4 степени,
- внутрисуставные переломы,
- асептический некроз мыщелка большеберцовой кости,
- фиброзный анкилоз,
- аваскулярный некроз,
- поражение сустава вследствие подагры, псориаза или артрита.
Операцию проводят при сильном разрушении коленного сустава или при недостаточной эффективности других способов лечения. К эндопротезированию есть противопоказания:
- остеомиелит,
- гнойный артрит,
- туберкулез,
- тромбофлебит,
- расстройства психики,
- местные инфекции,
- злокачественные новообразования,
- ожирение 3 степени.
Возраст не является абсолютным противопоказанием, если у пациента нет тяжелых сопутствующих заболеваний.
Подготовка и проведение операции
Перед хирургическим вмешательством необходимо проходить комплексное обследование, которое включает осмотр у нескольких специалистов и сдачу анализов. Предоперационная подготовка также предусматривает рентгенографию коленного сустава. На основании полученных снимков травматолог-ортопед подбирает оптимальный протез. В своей работе мы используем качественные эндопротезы от ведущих производителей из Европы и США. Современные искусственные элементы обеспечивают высокую первичную стабильность.
Операция проводится с применением проводниковой или общей анестезии. В среднем занимает около 2 часов. Благодаря компьютерной навигации обеспечивается равномерное распределение нагрузки на протез, что позволяет существенно продлевать срок его службы. Эндопротезирование коленного сустава проводят специалисты с практическим опытом более 20 лет.
Высокотехнологичная медицинская помощь
Для граждан России эндопротезирование коленного сустава в нашей клинике может оказываться в рамках Программы государственных гарантий бесплатного оказания гражданам медицинской помощи – по квотам.
Эндопротезирование тазобедренного сустава

Боль в тазобедренном суставе чаще всего становится результатом остеоартроза и может серьезно повлиять на Вашу способность вести полный и активный образ жизни. Остеоартроз тазобедренного сустава в медицине называется коксартроз.
Эндопротезирование тазобедренного сустава поможет Вам избавиться от боли и вернуться к полноценной жизни. За последние 20 лет, благодаря внедрению в практику новых материалов и методик, значительно улучшились результаты операций по эндопротезированию.
Эндопротезирование тазобедренного сустава становится все более и более распространенным, так как население в мире стареет. На данный момент операция по замене тазобедренного сустава является наиболее часто выполняемой в мире.
Эндопротезирование тазобедренного сустава — это тотальная или выборочная замена частей сустава, прямо контактирующих друг с другом в процессе движений.
Тотальное эндопротезирование тазобедренного сустава — это полная замена головки и шейки бедра и вертлужной впадины на искусственные.
АНАТОМИЯ ТАЗОБЕДРЕННОГО СУСТАВА

Тазобедренный сустав по строению шаровидный, поэтому движения в нем возможны во многих плоскостях. Сустав образован вертлужной впадиной, образуя как бы глубокую чашу и головкой бедренной кости, которая имеет форму шара.
Головка бедренной кости соединена с основной ее частью (диафизом) с помощью короткого участка кости называемым шейка бедренной кости. Сильные и толстые мышцы и сухожилия окружают сустав.
Поверхности вертлужной впадины и головки бедренной кости покрыты суставным хрящом. Толщина суставного хряща около полу сантиметра в крупных суставах. Суставной хрящ жесткий и гладкий материал, покрывающий кости в области сустава. Суставной хрящ позволяет покрытым им костям плавно скользить друг относительного друга, не повреждаясь. По цвету суставной хрящ белый и блестящий.

Сустав окружен плотной водонепроницаемой капсулой, внутри которой вырабатывается специальная жидкость, которая смазывает сочленяющиеся поверхности. Кости в суставе удерживают между собой плотные связки и мышцы. Конструкция тазобедренного сустава обеспечивает чрезвычайно высокую подвижность при сохранении удовлетворительной стабильности.
Мощные мышцы вокруг сустава позволяют нам длительное время передвигаться в вертикальном положении, а также при необходимости совершать ускорения при беге и прыжках. Также вокруг сустава проходят важные нервы и кровеносные сосуды.
КОГДА МОЖЕТ ПОТРЕБОВАТЬСЯ ЭНДОПРОТЕЗИРОВАНИЕ?

Основными показаниями к эндопротезированию тазобедренного сустава являются артроз тазобедренного сустава (коксартроз), перелом шейки бедренной кости, асептический некроз головки бедренной кости.
При артрозе происходят дегенеративные изменения в суставном хряще, что в конечном итоге приводит к износу хряща. Вокруг сустава образуются костные разрастания (остеофиты).
В связи с износом хряща, уменьшением его толщины, значительным снижению гладкости, а также изменением формы суставных поверхностей, трение в суставе увеличивается, что приводит к боли и прогрессирующему нарушению движений в суставе.

Асептический некроз головки бедренной кости является еще одной причиной разрушения тазобедренного сустава. При этом заболевании головка бедренной кости теряет кровоснабжение и фактически разрушается. Форма головки бедренной кости изменяется, костная ткань, составляющая головку резорбируется.
Суставные поверхности вертлужной впадины и головки бедренной кости перестают соответствовать друг другу по форме, появляется боль и нарушение движений в суставе. Причинами заболевания могут быть ранее перенесенные вывихи бедра, травмы при рождении, длительное лечение кортикостероидами, а также некоторые инфекции.
Основная цель замены сустава при любых из дегенеративных заболеваниях на искусственный — это уменьшение боли и возвращение движений. Для этого поврежденные поверхности заменяются искусственными, в результате чего возвращается плавность и безболезненность движений в суставе.

Перелом шейки бедренной кости также является показанием к операции по замене сустава.
При переломах шейки бедренной кости нарушается кровоснабжение головки, в связи с чем происходит ее постепенное разрушение.
Сращение перелома в данных условиях невозможно, операция является единственным способом активизировать пациента и вернуть его к повседневной активности.
ПОДГОТОВКА К ЭНДОПРОТЕЗИРОВАНИЮ ТАЗОБЕДРЕННОГО СУСТАВА

Решение об операции принимает врач совместно с пациентом. После выяснения анамнез заболевания, врач выполняет тщательный клинический осмотр, чтобы измерить текущий объем движений, уровень болевого синдрома, функциональные возможности пациента. Во время осмотра пациента, врач-хирург изучает рентгенограммы, а также данные КТ и МРТ исследований.
Также потребуется тщательное и полное медицинское обследование перед операцией. Это делается для того, чтобы во время операции максимально снизить риск развития осложнений. Если предполагается длительная операция или уровень гемоглобина пациента ниже нормальных значений, после или во время операции может потребоваться переливание крови. Обязательно назначается профилактика тромбоэмболических осложнений.
ВИДЫ ЭНДОПРОТЕЗОВ
Существует несколько основных типов эндопротезов — бесцементные и цементные.

Цементные эндопротезы удерживаются в кости с помощью специального цемента, который фиксирует металл к кости. Поверхность бесцементных протезов выполнена таким образом, что костная ткань со временем врастает в нее, за счет чего протез и удерживается в кости. Для того чтобы эндопротез прирос, кость обрабатывается специальными инструментами.

Оба вида фиксации эндопротезов широко применяются в медицинской практике. Также в некоторых случаях может использоваться комбинация, когда, например, вертлужный компонент (чашка) фиксируется с помощью цемента, а бедренный компонент (ножка) бесцементно. Решение о том, использовать цементный или бесцементный эндопротез принимает хирург, основываясь на возрасте, образе жизни пациента и качестве его костей.
Эндопротез состоит из двух основных частей.

Вертлужный компонент (чашка) заменяет суставную поверхность вертлужной впадины. Оболочка вертлужного компонента изготовлена из металла, внутрь которого помещен пластиковый или керамический вкладыш, который непосредственно соприкасается с бедренным компонентом.

Бедренный компонент заменяет головку и шейку бедренной кости, обычно изготовлен из металла полностью. В некоторых конструкциях эндопротеза головка может быть выполнена из керамики.
Эндопротезирование может быть тотальным, когда заменяется оба компонента, и однополюсным. При однополюсном эндопротезировании (гемиартропластики) меняется только бедренный компонент. Гемиартропластика обычно выполняется при переломах шейки бедренной кости у пожилых и ослабленных пациентов.

При данном виде эндопротезирования допускается наиболее ранняя вертикализация пациента, уже на следующий день. Тем самым значительно уменьшается риск тромбоэмболических и гипостатических осложнений у пожилых ослабленных пациентов с переломами шейки бедренной кости. Немаловажным является более короткое время операции при гемиартропластики по сравнению с тотальным эндопротезированием, что также снижает риски во время анестезии и кровопотерю во время операции. В настоящее время в нашей клинике используются современные цементные биполярные эндопротезы тазобедренного сустава. Биполярный эндопротез — это современная разновидность однополюсного протеза, в котором головка двойная.
Подобный дизайн эндопротеза повышает срок службы протеза, увеличивает его стабильность и амплитуду движений.
ПОДРОБНЕЕ О ОПЕРАЦИИ ПО ЭНДОПРОТЕЗИРОВАНИЮ ТАЗОБЕДРЕННОГО СУСТАВА

Хирург выполняет доступ к тазобедренному суставу, разрез кожи выполняется в верхней трети бедра. После того как тазобедренный сустав обнажен, хирурги вывихивают изношенную головку бедренной кости из вертлужной впадины.
Затем производится резекция поврежденной головки и шейки бедренной кости специальной электрической пилой.

Далее с помощью специальных фрез обрабатывается вертлужная впадина. Во время обработки полностью удаляется изношенный хрящ и формируется полусфера, в которую будет имплантирован вертлужный компонент.

После формирования вертлужной впадины хирург заполняет впадину костным цементом и устанавливает подходящий по размеру вертлужный компонент. На этом этапе важна правильная пространственная ориентация вертлужного компонента под правильным углом. Это влияет на срок службы эндопротеза и вероятность развития осложнений в послеоперационном периоде.

После застывания цемента и фиксации вертлужного компонента, хирург приступает к бедренной кости. На данном этапе производится разработка костного канала бедренного канала специальными рашпилями до требуемого размера.

Далее в подготовленный канал в бедренной кости помещается цемент и устанавливается бедренный компонент.

Подбирается головка требуемого размера и бедренный компонент вправляется в вертлужный.
После хирург проверяет стабильность бедра и объем движений.

Как только хирург убедился, что все установлено должным образом, рана послойно ушивается. Устанавливаются дренажи на сутки. Пациент отправляется в специальную палату в послеоперационном отделении.
С первых суток начинается реабилитация пациента.
КАК БУДЕТ ПРОХОДИТЬ ПОСЛЕОПЕРАЦИОННЫЙ (РЕАБИЛИТАЦИОННЫЙ) ПЕРИОД?
Сроки реабилитации зависят прежде всего от типа фиксации компонентов эндопротеза. При цементной фиксации полная нагрузка возможна практически сразу после оперативного лечения.
Основным риском после тотального эндопротезирования является вывихивание головки бедренного компонента эндопротеза. Поэтому сочетание сгибания и отведения бедра противопоказано в течение 6 месяцев после операции (срок восстановления капсулы тазобедренного сустава рассекаемой в ходе оперативного лечения), сидеть на низких диванах и кушетках, избегать глубоких наклонов через бедро до пола. Следует избегать перекрещивания прооперированной нижней конечности со здоровой, нахождении в положении нога на ногу. Вождение автомобиля возможно через 6 недель с момента операции.
Восстановление трудоспособности возможно через 6 недель (в случае если труд не связан с повышенной физической нагрузкой и длительному нахождением в положении стоя), 12 недель для пациентов, чей труд связан с физическими нагрузками.
Эндопротезирование коленного сустава
Эндопротезирование коленного сустава – это сложная высокотехнологичная ортопедическая операция по замене поврежденного или изношенного сустава искусственным имплантатом, повторяющим анатомическую форму здорового сустава.
Цель операции - купирование болевого синдрома, увеличение объема движений, восстановление оси и длины конечности. Эндопротезирование коленного сустава является наиболее эффективным, а порой и единственным методом лечения патологии коленного сустава.
Состояния, при которых выполняется такая операция:
· Идиопатический («развился сам по себе») гонартроз III стадии;




посттравматический артроз коленного сустава III стадии;


· деформация (варусная или вальгусная) конечности, сочетающаяся с гонартрозом;



· воспалительные изменения сустава в результате ревматоидного артрита, подагры, псориаза и др.

Показания для операции при выраженном гонартрозе:
· Сильные боли при ходьбе, подъеме или спуске по лестнице, трудно сесть на стул. При ходьбе необходимы дополнительные средства опоры: костыли, трость.
· Хроническое воспаление и отечность сустава, не снижающееся в покое и после приема лекарств.
· Деформация нижней конечности.
· Контрактура коленного сустава – нарушение сгибания, разгибания в суставе.
· Отсутствие эффекта от приема нестероидных противовоспалительных средств. Действие этих препаратов снижается по мере прогрессирования остеоартрита.
· Отсутствие эффекта от других методов лечения:
• внутрисуставного введения различных препаратов
• физиопроцедур
Основной жалобой у пациентов является боль! Ограничение подвижности в суставе и деформация нижней конечности беспокоят пациентов в меньшей степени. Если боли незначительные или умеренные, то в этом случае эндопротезирование коленного сустава лучше отложить.
Оптимальный возраст пациентов для замены (эндопротезирования) коленного сустава - 60 лет и более. Молодым пациентам такая операция выполняется нечасто по строгим показаниям.
Противопоказания к плановой операции:
• заболевания желудочно-кишечного тракта (язвенные и эрозивные поражения);
• заболевания сердца с нарушением работы сократительной деятельности и проводящей системы;
• заболевания сердечно-сосудистой системы: неконтролируемая артериальная гипертензия (уровень АД более 160/100 мм рт.ст.), перенесенный в течение последних 12 месяцев инфаркт миокарда или инсульт;
• заболевания бронхо-легочной системы, не обеспечивающие адекватную вентиляцию;
• нарушение мочевыделительной системы;
• нарушение психики пациента, приводящие к эмоциональным всплескам и беспорядочной двигательной активности;
• низкая прочность костей, не позволяющая установить имплантаты (остеопороз тяжелой степени);
• наличие гнойных воспалительных заболеваний (свищевая форма остеомиелита, язвенные поражения кожи нижних конечностей и т.д.), наличие ран, ссадин на теле;
• наличие очага гнойной инфекции (тонзиллиты, кариозные зубы, хронические гаймориты и отиты, гнойничковые заболевания кожи);
• гнойное содержимое внутри суставной сумки коленного сустава, распространение которого может вызвать осложнения при выполнении оперативного вмешательства;
• недавно перенесенные острые респираторные заболевания (простудные) или другие инфекционные болезни (ангина и др.), перенесенные в последние 3-4 недели;
• повышение температуры тела на момент поступления более 37 гр;
• недавно перенесенные заболевания сосудов нижних конечностей (тромбофлебит или тромбоз глубоких вен нижних конечностей) рекомендуемый промежуток до планового вмешательства – 6 месяцев;
• молодой возраст пациента;
• невозможность самостоятельного передвижения;
• невозможность активного разгибания в коленном суставе;
• ожирение 3 ст. (индекс массы тела более 40);
Операция по замене коленного сустава планируется и выполняется с учетом медицинских показаний, характера заболевания, а также физиологических особенностей, возраста, веса пациента и степени его физической активности.
Несколько клинических наблюдений. Все пациенты проходили лечение в нашем отделении.
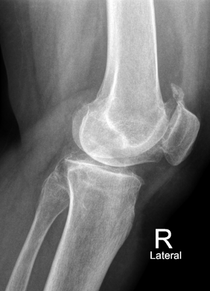
Клинический пример №1.
Правосторонний посттравматический гонартроз Rg III ст. Сросшийся перелом правой бедренной кости в условиях синтеза стержнем.


После тотального цементного эндопротезирования коленного сустава эндопротезом Sigma CR.


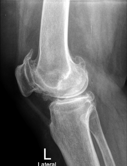
Клинический пример №2.
Посттравматический правосторонний гонартроз Rg III ст. Сросшийся перелом правой бедренной кости со смещением. Смешанная контрактура правого коленного сустава НФ 3 ст. Genu valgum.

После тотального цементного эндопротезирования коленного сустава эндопротезом De Puy Sigma.

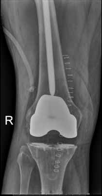
Клинический пример №3.
Правосторонний гонартроз Rg III ст. Смешанная контрактура правого коленного сустава НФ 3 ст. Дефект медиального мыщелка большеберцовой кости. Genu varum.


После тотального цементного эндопротезирования коленного сустава эндопротезом.
В послеоперационном периоде рекомендуется:
В течение 6 недель при ходьбе нужно использовать костыли, затем пользоваться тростью на срок установленный врачом.
Необходимо постоянно выполнять назначенную гимнастику.
Упражнения – решающий компонент Вашей реабилитации особенно в течение первых дней после операции.
Не прекращать выполнять упражнения даже после полного восстановления. Очень важно постоянно поддерживать мышцы в хорошем тонусе.
Бережное отношение к послеоперационной ране. Вдоль Вашей послеоперационной раны по передней поверхности коленного сустава будут наложены швы или специальные скобы. Скобки или швы нужно снять через три недели после операции.
Нельзя допускать попадания на рану воды, пока она полностью не заживет.
Для профилактики тромбоза вен нижних конечностей следует носить компрессионные чулки. Параллельно с этим в течение 4-6 недель необходимо принимать антикоагулянты.
Снижение аппетита часто бывает в течение нескольких недель после операции. Необходимо потребление достаточного количества жидкости. Включить в рацион продукты с повышенным содержанием железа.
Вы должны вернуться к нормальной активности и повседневной жизни в пределах 6-8 недель после операции. В течение этого времени Вы будете испытывать дискомфорт при активных движениях и ночью.
Успех операции во многом зависит от того, как Вы следуете рекомендациям лечащего врача.
В нашем Центре травматологии и ортопедии, эндопротезирования и реконструктивной хирургии используются только современные эндопротезы коленного сустава, хорошо зарекомендовавшие себя в международной практике.
Эндопротезирование коленного сустава
Эндопротезирование коленного сустава – одна из наиболее востребованных ортопедических услуг. Объясняется это тем, что эти суставы ежедневно подвергаются серьезным нагрузкам, изнашиваются постепенно или травмируются в результате неосторожности. Независимо от этиологии, деформация сустава приносит сильнейшую боль, унять которую очень сложно. И единственным действенным способом избавиться от мучений является эндопротезирование колена.
Виды эндопротезирования
В каждом конкретном случае, обусловленным масштабом проблемы и сопутствующими факторами, врач подбирает максимально подходящий тип эндопротеза:
- Одномыщелковая конструкция;
- Интерпозиционный протез коленного хряща;
- Эндопротез на подвижном основании (платформе);
- Связанный протез;
- Специальный протез – конструкция изготавливается
В каких случаях требуется эндопротезирование?
Однозначными показаниями к протезированию коленного сустава являются последствия таких проблем, как:
- посттравматический артроз;
- ревматоидный полиартрит;
- дегенеративно-дистрофические заболевания;
- патологически сросшиеся кости;
- опухолевые образования, мешающие нормальной работе сустава;
- поврежденный связочный аппарат коленного сустава с выраженными изменениями суставных концов костей.
Нередко проблемы в работе суставов возникают, как следствие артроза, артрита, подагры, частых травм. В этих случаях рекомендация хирурга о проведении эндопротезирования также является объективной.
Противопоказания
Факторы, которые не позволяют проводить эндопротезирование, можно условно разделить на психологические – это моральная неготовность пациента к операции, и физические. К последним относят:
- проблемы с сердечнососудистой системой;
- наличие бактериального воспаления в организме;
- проблемы со сворачиваемостью крови – тромбофлебит, тромбоэмболия;
- инфекционные процессы в области коленного сустава;
- костная или хрящевая дисплазия (например, у пациентов детского возраста).
К факторам риска можно отнести иммунные патологии, неврологические и психологические расстройства.
Консультация
Во время консультации врач определить показания и противопоказания к эндопротезированию сустава, проведет необходимые исследования и подбор соответствующего протеза. Рентгенологическое исследование позволит выяснить степень изношенности сустава, сделать необходимые измерения. Вас обязательно предупредят о возможных рисках и осложнениях операции. К осложнениям операции можно отнести следующие:
- инфекция в области операции
- кровопотеря во время операции или после нее
- тромбоэмболия ( закупорка сосуда тромбом )
Подготовка к эндопротезированию коленного сустава
На подготовительном этапе проводится полное клиническое обследование состояния организма пациента (сдача анализов, консультации специалистов, осмотр анестезиолога, рентген легких, электрокардиограмма). Это позволяет выявить наличие противопоказаний или убедиться в том, что их нет. Госпитализация пациента за 1-2 дня до операции.
Порядок проведения операции
Операция по замене дефектной части сустава в среднем длится 2-3 часа. По согласованию с пациентом врач анестезиолог принимает решение об использовании общего или эпидурального наркоза. Вид протеза подбирается на основании данных рентгенологического исследования. Для повышения шансов на успешное эндопротезирование колена, операция проходит в формате компьютерной навигации.

Алгоритм операции выглядит следующим образом:
- послойное погружение в мягкие ткани;
- аккуратное обнажение коленного сустава;
- отпиливание патологических костных тканей;
- установка подготовленных суставных имплантатов;
- очистка и обработка операционного поля;
- послойное наложение швов.
Во время операции проводятся мероприятия по профилактике инфекционных осложнений, при необходимости восполнение кровопотери, дренирование раны с целью профилактики скопления крови.
Реабилитационный период
Реабилитация после протезирования коленного сустав длится порядка 3 месяцев. В послеоперационном периоде продолжается введение антибиотиков, обезболивающих средств, симптоматическое лечение.
Восстановительное лечение в стационаре
Активизация в постели разрешается уже на 1е сутки после операции. Со второго дня можно присаживаться в постели, начинать статические упражнения для мышц конечности, выполнять дыхательную гимнастику. Ходьба с дозированной нагрузкой на оперированную конечность и дополнительной опорой (костыли, манеж) возможна уже с 3х суток. Швы снимают на 10- 12 сутки.
Выписка домой
Выписка производится через 10-12 дней после операции. Следует продолжать реабилитационные мероприятия, строго соблюдая рекомендации оперировавшего хирурга. При необходимости возможна госпитализация в реабилитационный центр для восстановления под руководством специалистов - реабилитологов. Ограничения в физической нагрузке на оперированную конечность следует соблюдать в течении 6 недель от операции, в течении этого времени рекомендуется использование дополнительной опоры.
Первый месяц восстановление лучше проходить под наблюдением специалистов – в специальном реабилитационном центре. Здесь пациент занимается по специальной восстановительной методике, включающей ЛФК (лечебная физкультура) после операции, массаж, физиотерапию.
Еще два месяца пациент выполняет процедуры самостоятельно в домашних условиях. На протяжении этого времени общей задачей врача и пациента является:
- Постепенное увеличение двигательной амплитуды сустава.
- Наращивание мышечной силы конечности.
- Планомерная разработка сустава, возвращение к нормальному образу жизни и двигательному режиму.
Важно, чтобы реабилитация в домашних условиях проходила без чрезмерных нагрузок или напротив, слишком щадящего режима. Пациенту помимо назначенного комплекса упражнений полезно передвигаться по дому, выполнять несложную работу, постепенно приходя в норму.
При необходимости пациент может пройти МСЭК и получить инвалидность на время нетрудоспособности или изменение условий труда.
Возможные осложнения
Несмотря на то, что на подготовительном этапе врачи стараются минимизировать все риски, в редких случаях после операции возникают осложнения:
- Воспаление сустава (инфекционной этиологии).
- Недостаточная стабилизация коленного имплантата, его расшатывание и изнашивание.
- Нарушение функций протеза.
Решить проблему поможет профессиональное вмешательство хирурга.
Операции по протезированию коленного сустава проводят специалисты клиники ЦКБ РАН в Москве. Узнать, сколько стоит операция, изучить отзывы пациентов и поэтапные фото процедуры, можно на сайте клиники. Звоните, чтобы записаться на консультацию к специалистам или получить любую другую информацию, касающиеся стоимости, подготовки или проведения эндопротезирования колена.
Читайте также:
