Показания к операции при переднем импинджменте голеностопного сустава
Добавил пользователь Владимир З. Обновлено: 03.11.2025
а) Показания: 
- Физически активные пациенты с дегенеративными изменениями наружного отдела голеностопного сустава, связанными с его вальгусной деформацией (например, посттравматическая деформация, нестабильность голеностопного сустава) 
- Рассекающий остеохондрит наружной части таранной кости, связанный с вальгусной деформацией 
- Необходимость коррекции деформации перед тотальным эндопротезированием голеностопного сустава (ТЭГС) или артродезом
Ошибки при выборе показаний: 
• При дефекте более 50% суставной поверхности (рентгенограммы в прямой проекции, MPT, артроскопия) могут быть показаны ТЭГС или артродез 
• Невозможность соблюдать требования послеоперационной реабилитации в виде исключения нагрузки на ногу в связи с неврологическими расстройствами или другими проблемами со здоровьем. В подобных ситуациях может быть показан артродез
Спорные моменты: 
• При системных воспалительных заболеваниях суставов с поражением в т.ч. голеностопного сустава обычно показаны ТЭГС или артродез 
• Курение должно считаться относительным противопоказанием к надлодыжечной остеотомии 
• Техника операции (медиальная закрывающаяся или латеральная открывающаяся остеотомия, ± остеотомия малоберцовой кости) определяется выраженностью деформации и состоянием мягких тканей
Варианты лечения: 
• Консервативное лечение (обезболивание, модификация обуви, ортезы) должно назначаться всегда и прежде, чем будет принято решение о хирургической коррекции 
• При деформациях, связанных с дисбалансом окружающих мышц, показана физиотерапия и модификация используемой обуви. Деформации других отделов стопы могут потребовать других корригирующих вмешательств 
• Альтернативным методом лечения является медиализирующая остеотомия пяточной кости. Однако наилучшим методом коррекции любой деформации является остеотомия на уровне этой деформации 
• Восстановление разрушенных суставных поверхностей путем эндопротезирования обеспечивает возможность более ранней нагрузки на ногу, но не позволяет полностью устранить деформацию и нестабильность, поэтому в случаях асимметричного износа сустава может оказаться неэффективным 
• Артродез голеностопного сустава дает пациенту возможность оставаться максимально активным, однако компенсация утраченных движений в голеностопном суставе за счет остальных суставов стопы может вести к их ранней дегенерации

Рисунок 1
б) Обследование/лучевая диагностика: 
- Оцените походку пациента и ось нижней конечности в целом 
- В положении сидя со свободно свешенной стопой проведите тест переднего выдвижного ящика и тест наклона таранной кости, позволяющие оценить стабильность голеностопного сустава. Также оцените силу инверсии/эверсии стопы (функция задней большеберцовой и малоберцовых мышц) и объем движений в подтаранном суставе. Оцените возможность пассивной коррекции деформации 
- Попросите пациента приподняться на носочки и оцените варизацию пяточной кости и супинацию стопы 
- Для оценки природы и локализации деформации (надлодыжечная, голеностопный сустав, подлодыжечная или сочетанная) выполняются рентгенограммы голеностопного сустава стоя в передне-задней проекции, стопы в боковой и передне-задней проекциях и заднего отдела стопы в проекции по Saltzman. Если клинически не исключается деформация на уровне коленного сустава или бедра, необходима рентгенография нижней конечности целиком (рис. 1) 
- На рентгенограмме голеностопного сустава в прямой проекции измеряется медиальный дистальный тибиальный угол (угол между осью большеберцовой кости и ее суставной поверхностью). Требуемый объем коррекции измеряется на рентгенограмме или вычисляется по формуле: tg α = H/W, где α — требуемый угол коррекции, Н — высота клина в миллиметрах, W — ширина большеберцовой кости 
- Компьютерная томография (с нагрузкой) и магнитно-резонансная томография не являются рутинными методами исследования, однако помогают при необходимости оценить ротационный компонент деформации, обнаружить остеохондральные повреждения или поражения сухожилий 
- Комбинированная однофотонная эмиссионная и компьютерная томография (ОФЭКТ) является ценным инструментом диагностики и оценки стадии остеоартрита голеностопного сустава 
- Оценка конгруэнтности сустава помогает выбрать тип необходимой остеотомии (только большеберцовой кости или большеберцовой вместе с малоберцовой) 
- Задачей операции является разгрузка наружного отдела большеберцово-таранного сочленения и таранно-малоберцового сустава. Большинство авторов рекомендуют добиваться гиперкоррекции в 3-5° 
- Пациентам с избыточной вальгусной установкой пяточной кости дополнительно может быть показана остеотомия пяточной кости для смещения точки опоры медиальнее относительно оси большеберцовой кости 
- Если пациент перенес перелом в области голеностопного сустава, причиной вальгусной деформации может быть укорочение и наружная ротация малоберцовой кости. В таких случаях может быть показана остеотомия малоберцовой кости 
- При планировании остеотомии также следует учитывать ротационные и поперечные деформации
Рисунок 2 Рисунок 3
в) Хирургическая анатомия: 
- Используется медиальный или латеральный доступ к дистальным концам большеберцовой/малоберцовой костей 
- При медиальном доступе большая подкожная вена и подкожный нерв обычно располагаются кпереди от разреза. Сосудисто-нервный пучок следует вдоль переднего края внутренней лодыжки. Также не забывайте о сухожилии задней большеберцовой мышцы, которое находится позади внутренней лодыжки (рис. 2) 
- При использовании латерального доступа старайтесь не повредить икроножный нерв и малую подкожную вену. Они располагаются позади используемого доступа и во время операции обычно не видны. Однако при более проксимальном расширении доступа необходимо локализовать, выделить и защитить ветви поверхностного малоберцового нерва. Может понадобиться коагулировать некоторые ветви малоберцовой артерии, которая располагается глубже медиальной поверхности дистальной трети малоберцовой кости (рис. 3)
Показания к операции при переднем импинджменте голеностопного сустава
Техника, этапы операции по поводу переднего импинджмента голеностопного сустава
а) Положение пациента: 
- Пациент укладывается в положение на спине, под тазобедренный сустав на стороне операции подкладывается валик для придания стопе нейтральной ротации. Под голеностопный сустав подкладывается стерильный валик для придания стопе более стабильного положения и упрощения интраоперационного флюороскопического контроля 
- Перед обработкой конечности на бедро накладывается турникет 
- Если планируется артроскопия, конечность фиксируется ногодержателем в положении легкого сгибания в тазобедренном и коленном суставах. Ногодержатель одновременно служит противотягой для тракционного аппарата, который накладывается на стопу в стерильном виде 
- С-дуга устанавливается и настраивается для флюороскопического контроля в боковой проекции (рис. 4).
Рисунок 4
б) Порты и доступы:
1. Открытое вмешательство: 
- При тяжелом дегенеративном поражении переднего отдела голеностопного сустава или если артроскопия невозможна может быть выполнен открытый передний дебридмент голеностопного сустава. Выполняется передневнутренний доступ длиной 3 см кнутри от сухожилия передней большеберцовой мышцы, центр разреза располагается над суставной щелью. Доступ обеспечивает визуализацию медиального заворота голеностопного сустава. Передненаружный доступ длиной 3 см выполняется кнаружи от сухожилия третьей малоберцовой мышцы или длинного разгибателя пальцев, центр доступа также располагается над суставной щелью
2. Артроскопия: 
- В условиях тракции голеностопного сустава формируется передний внутренний порт длиной около 1 см, расположенный над суставной щелью кнутри от сухожилия передней большеберцовой мышцы. Введение перед формированием порта в сустав спинальной иглы и инсуффляция 10-15 мл физиологического раствора позволяют растянуть сустав 
- Ввести в сустав иглу можно под флюороскопическим контролем 
- Скальпелем рассекается только кожа. Подлежащие ткани до капсулы сустава разводятся тупо зажимом, что помогает не повредить подкожный нерв, вену и сухожилие передней большеберцовой мышцы. Тупоконечный обтуратор перфорирует капсулу сустава и проникают в сустав (рис. 5) 
- Передненаружный порт формируется кнаружи от сухожилия третьей малоберцовой мышцы, при этом сначала нужно попытаться проследить ход поверхностного малоберцового нерва. Разрез кожи длиной до 1 см выполняется на уровне суставной щели голеностопного сустава. Подлежащие ткани до капсулы разводятся тупо зажимом. Капсула сустава перфорируется тупоконечным обтуратором или спинальной иглой, как и при формировании передневнутреннего порта

Рисунок 5
Нюансы техники: 
• Перед формированием портов в сустав можно ввести спинальную иглу и наполнить сустав физиологическим раствором 
• Ослабление тракции и тыльное сгибание голеностопного сустава позволяет сформировать больше рабочего пространства для удаления передних остеофитов голеностопного сустава
Ошибки техники: 
• Отсутствие тыльного сгибания голеностопного сустава при резекции остеофитов увеличивает риск повреждения передних сосудисто-нервных структур как при открытых, так и артроскопических операциях
1. Артроскопия: 
• Ногодержатель 
• Дистрактор голеностопного сустава 
• 2,7-мм или 4,0-мм артроскоп, шейвер и бор с защитным кожухом 
• С-дуга
2. Открытая операция: 
• Остеотомы, кусачки 
• С-дуга
Спорные моменты: 
• Использование дистрактора голеностопного сустава 
• Использование турникета
в) Техника операции:
1 этап: открытое вмешательство: 
- Капсула голеностопного сустава тупо мобилизуется вдоль передней поверхности голеностопного сустава, при этом сустав во избежание повреждения сосудисто-нервных структур и сухожилий, а также улучшения визуализации, удерживается в нейтральном положении или положении легкого тыльного сгибания. Для удержания мягкотканного лоскута и защиты сосудисто-нервных структур используется большой мягкотканный ретрактор 
- В положении максимального тыльного сгибания с помощью остеотомов резецируются остеофиты вдоль переднего края голеностопного сустава. Максимальное тыльное сгибание позволяет защитить суставной хрящ переднего отдела голеностопного сустава. Следует избегать слишком широкой резекции переднего края большеберцовой кости, поскольку это может привести к нестабильности. В основном выполняется резекция остеофитов таранной кости. В завершении резецированные поверхности сглаживаются рашпилем 
- Полнота выполненной резекции оценивается при флюороскопии в положении тыльного сгибания. Ротация голеностопного сустава обеспечит максимально полную визуализацию передней поверхности большеберцово-таранного сочленения. Чтобы осмотреть суставную поверхность переднего отдела голеностопного сустава, стопе можно придать положение подошвенного сгибания 
- Крупные костные кисты, диагностированные на основании предоперационного обследования, можно открыто заполнить костным материалом, для чего в переднем отделе метафиза большеберцовой кости формируется небольшое окошко, сообщающееся с кистой. Доступ при необходимости можно расширить 
- Также при необходимости с помощью 2,0-мм спицы или сверла можно выполнить микрофрактуринг дефектов таранной кости 
- Полость голеностопного сустава тщательно отмывается от остатков костного дебриса и свободных фрагментов хряща 
- Операционные раны ушиваются в соответствии с предпочтениями оперирующего хирурга 
- Голеностопный сустав иммобилизируется подкладочной шиной или брейсом с контролируемым объемом движений

Рисунок 6
2 этап: артроскопия: 
- Рекомендуется использовать 2,7-мм артроскоп с высокопоточной системой. Размер шейвера определяется предпочтениями хирурга. Для удаления остеофитов используется 4,0-мм бор с защитным кожухом 
- Шейвер используется для резекции гипертрофированной синовиальной оболочки в переднем отделе голеностопного сустава и визуализации тем самым остеофитов таранной и большеберцовой костей. Устранение тракции стопы и тыльное сгибание голеностопного сустава улучшает визуализацию остеофитов и помогает защитить передние мягкие ткани 
- Для удаления остеофитов рекомендуется пользоваться 4,0-мм бором с защитным кожухом 
- Следует избегать слишком широкой резекции переднего края большеберцовой кости, поскольку это может привести к нестабильности. В основном выполняется резекция остеофитов таранной кости 
- Если планируется микрофрактуринг таранной кости, рекомендуется выполнять его до резекции остеофитов, поскольку после резекции остеофитов визуализация скорее всего будет затруднена из-за кровотечения 
- Полость голеностопного сустава тщательно отмывается от остатков костного дебриса и свободных фрагментов хряща 
- Порты ушиваются в соответствии с предпочтениями оперирующего хирурга 
- Голеностопный сустав иммобилизируется подкладочной шиной или брейсом с контролируемым объемом движений 
- На рисунке 6, А представлена артроскопическая картина переднего остеофита таранной кости в условиях тракции стопы. На рисунке 6, Б видны большеберцово-таранные «целующиеся» остеофиты в положении тыльного сгибания голеностопного сустава. На рисунке 6, В показана резекция переднего остеофита большеберцовой кости с помощью бора. На рисунке 6, Г показана резекция переднего остеофита таранной кости. На рисунке 6, Д представлена картина по завершении резекции остеофитов при максимальном тыльном сгибании голеностопного сустава
Нюансы техники операции: 
• Передний край большеберцовой кости следует резецировать минимально, в основном резецируют остеофиты со стороны таранной кости. Избыточная резекция переднего края большеберцовой кости может привести к нестабильности и переднему подвывиху таранной кости 
• Переднемедиальные остеофиты большеберцово-таранного сочленения нередко формируются на фоне половарусной деформации голеностопного сустава, сочетающейся с его нестабильностью
Ошибки техники операции: 
• Избыточная резекция переднего края большеберцовой кости нередко приводит к нестабильности и быстрому прогрессированию остеоартрита голеностопного сустава 
• Увеличение подвижности голеностопного сустава при выраженных его дегенеративных изменениях может привести в т.ч. к усилению связанных с движениями болевых ощущений
Спорные моменты операции: 
• Дебридмент остеофитов может ускорить дегенерацию голеностопного сустава и болевой синдром при выраженном дегенеративном поражении сустава или при хронической нестабильности 
• Частичная резекция передних остеофитов большеберцовой кости позволит предотвратить передний подвывих таранной кости
а) Показания: 
- Боль при тыльном сгибании голеностопного сустава вследствие костного и/или мягкотканного переднего импинджмента 
- Ограничение тыльного сгибания голеностопного сустава передними остеофитами таранной и большеберцовой костей
Ошибки при выборе показаний: 
• Выраженные дегенеративные изменения переднего отдела голеностопного сустава с исчезновением передней суставной щели или передним подвывихом таранной кости. Эффективность операции при подобных состояниях низкая 
• Сочетание с субклинической полой деформацией стопы и связанной с ней нестабильностью 
• Передний импинджмент, вызванный не остеофитами, но связанный с перенесенным ранее переломом пяточной кости с уменьшением угла наклона таранной кости
Спорные моменты: 
• При передних большеберцово-таранных остеофитах в сочетании с хронической нестабильностью после декомпрессии может быть показана реконструкция латеральных связок голеностопного сустава 
• Декомпрессия гипертрофированной передней нижней таранно-малоберцовой связки, связки Бассетта 
• Воспалительная артропатия 
• Конкурирующие остеохондральные повреждения таранной и большеберцовой костей
Варианты лечения: 
• Инъекции кортикостероидов 
• Введение обогащенной тромбоцитами плазмы и гиалуроновой кислоты, если эти процедуры стандартизованы и не считаются экспериментальными методиками 
• Иммобилизация голеностопного сустава брейсами 
• Передний дебридмент голеностопного сустава (открытый/артроскопический) 
• Передний дебридмент голеностопного сустава в сочетании с дистракционной артропластикой 
• Тотальное эндопротезирование голеностопного сустава 
• Артродез голеностопного сустава

б) Обследование и лучевая диагностика: 
- При физикальном исследовании выявляется отек переднего отдела голеностопного сустава, болезненность при пальпации передней суставной щели и боль при форсированном тыльном сгибании голеностопного сустава. Пассивное тыльное сгибание голеностопного сустава может быть ограничено вследствие костного блока. При активных и пассивных движениях в голеностопном суставе может ощущаться хруст 
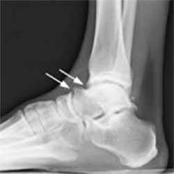
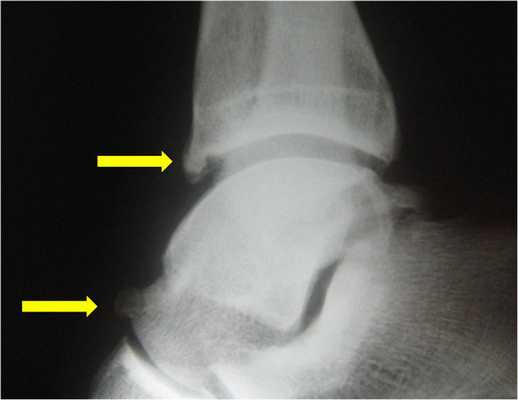
- На рентгенограммах с нагрузкой в боковой проекции могут быть видны остеофиты большеберцовой и таранной костей. В переднем завороте могут быть свободные суставные тела, могут быть признаки перелома остеофитов (рис. 1, А): 
• Магнитно-резонансная томография (МРТ) позволяет увидеть выпот в переднем отделе голеностопного сустава, синовит, а также остеофиты (рис. 1, Б). Может быть видна гипертрофированная связка Бассетта (рис. 1, В) 
• В голеностопном суставе могут определяться остеохондральные кисты и хондральные повреждения, свидетельствующие о более выраженных изменениях, ухудшающих долговременный прогноз 
- Компьютерная томография позволяет оценить размеры и локализацию остеофитов, что может оказывать влияние на выбор артроскопических портов. Также КТ позволит увидеть субхондральные кисты и участки склероза в голеностопном, а также в смежных суставах 
- В ряде случаев может быть информативна позитронно-эмиссионная томография
в) Хирургическая анатомия: 
- При формировании доступов и артроскопических портов в зоне риска находятся поверхностный и глубокий малоберцовые нервы, а также подкожный нерв (рис. 2) 
- Дорзолатеральная ветвь поверхностного малоберцового нерва находится в зоне риска при формировании передненаружного порта. Эту ветвь нередко можно увидеть за счет тракции за четвертый палец стопы (рис. 3) 
- Подкожный нерв следует вдоль передней поверхности внутреннего заворота голеностопного сустава и находится в зоне риска при формировании передневнутреннего порта 
- Сухожилие передней большеберцовой мышцы служит ориентиром для формирования передневнутреннего доступа или порта 
- Сухожилия третьей малоберцовой мышцы или длинного разгибателя пальцев являются ориентирами для формирования передненаружного доступа или порта
Импинджмент голеностопного сустава
Область голеностопа – важная часть опорно-двигательного аппарата. С помощью голеностопного сустава рационально распределяется по стопе вес тела при передвижении в вертикальном положении, обеспечивается высокая маневренность при ходьбе и беге, становятся возможными многие движения.
Различные поражения голеностопа значительно снижают уровень жизни человека, вредят его работоспособности и могут даже приводить к инвалидизации.
Одно из таких патологических состояний – импинджмент.

Импинджмент голеностопного сустава – что это
В образовании голеностопного сустава участвует сразу три костные структуры: больше- и малоберцовая кости, таранная кость. При их адекватном взаимодействии между собой пациент не замечает сбоев в работе сустава. Однако бывает и так, что край таранной кости начинает ударяться о край большеберцовой кости. Происходит это в состоянии крайнего сгибания или разгибания, и также помогает развитию этой патологии травма сочленения.
Подобное состояние в медицинской практике называют импинджмент голеностопного сустава.
 

Причины недуга
Ущемление капсулы сустава вместе с синовиальной оболочкой в области голеностопа, приводит к развитию импинджмента. В местах, где происходит сдавливание, начинают разрастаться остеофиты (иначе их называют костными шипами), развивается активный воспалительный процесс.
Наличие остеофитов приводит к еще большему уменьшению естественного пространства между таранной и большеберцовой костями. Как следствие, капсула сустава и синовиальная оболочка страдают еще сильнее, выраженность воспалительного процесса возрастает, усиливается болевой синдром.
Выделяют три основные причины, которые способствуют развитию патологического состояния:
- наличие врожденной предрасположенности у пациентов;
 - перенесенные и неправильно пролеченные травмы голеностопного сустава;
 - наличие хронического воспалительного процесса, спровоцированного другими факторами.
 
Любая из причин может способствовать негативным изменения в суставе. Как следствие, человек столкнется с симптомами заболевания, и будет значительно страдать.
Типы и степени импинджмента
Выделяют два основных типа импинджмент-синдрома: передний и задний.
Передний импинджмент – это в основном следствие травматического повреждения связочного аппарата голеностопа. Любая нестабильность сочленения, даже если она выражена совсем слабо, помогает его травматизации в положении крайнего разгибания.
По статистике, от переднего импинджмента в основном страдают атлеты. У них недуг спровоцирован частой высокой нагрузкой на переднюю часть сустава, что вызывает постоянные его повреждения. В первую очередь при данном недуге уменьшается амплитуда разгибания сочленения.

Задний импинджмент часто связно с анатомическими особенностями строения голеностопа и травмами. Задний тип импинджмента характерен в основном для балетных танцоров. Ведь во время этого танца человек вынужден много ходить на кончиках пальцев, что приводит к сильному сгибанию голеностопного сустава в задней части и, как следствие, к травматизации.
О существовании заднего импинджмента часто забывается, хотя на самом деле заболевание может привести к серьезным нарушениям функции сочленения.
Недуг можно также разделить на несколько степеней:
- I степень – характеризуется наличием шпоры размером до 3 мм на большеберцовой кости, носит название синовиальной степени;
 - II степень – остеохондральная, размер шпоры превышает отметку в 3 мм;
 - III степень – можно определить экзостозы с фрагментацией или без нее, шпора появляется также на таранной кости;
 - IV степень – развиваются изменения, характеризующие артрозы.
 


Симптоматика
Ранняя стадия заболевания всегда характеризуется болевым синдромом. Боль характеризуется пациентами, как тупая, возникающая в основном при попытках совершить определенные движения. По мере прогрессирования патологии можно отметить также наличие следующих симптомов:
- ограничение подвижности сустава;
 - изменения в походке пациента и нарушение опороспособности конечности, которые вызваны в основном болевым синдромом;
 - постепенное уменьшение тонуса конечности;
 - отечность вокруг поврежденного сустава;
 - деформация сустава в последних стадиях.
 
Симптоматика обычно выражена довольно сильно. В зависимости от типа болезни, боль могут усиливать просьбы согнуть или разогнуть конечность резко до предела.
Диагностика
При подозрении у пациента импинджмента голеностопного сустава, всегда врач начинает с осмотра пораженной зоны. В первую очередь он может попросить больного совершить сгибательные и разгибательные движения в суставе, чтобы оценить подвижность сочленения. При этом обязательно будет уточнено, испытывает ли пациент боли при подобных движениях. Нередко выполняется стресс-тест, при котором пациента просят сесть на корточки и спрашивают, появились ли боли. Если есть подозрение на задний тип болезни, то вместо просьбы присесть на корточки, можно услышать просьбу встать на носочки.
Пациенту обязательно назначают рентгенограмму. На рентгенологическом снимке доктор легко увидит остеофиты – костные разрастания, появившиеся из-за воспалительного процесса. Дополнительно выполняется снимок в стрессовом положении. На нем доктор определит, есть ли соударение костей.
МРТ для диагностики недуга не является обязательным исследованием. Его выполнение рекомендуется, если необходимо провести дифференциальную диагностику с другими патологиями либо в начальных стадиях патологии.
Особенности лечения
Консервативные методы
Терапию стоит начинать, как только появятся первые же симптомы патологических изменений в сочленении. Именно раннее начало лечения, уберегает от необходимости решать проблему хирургически!
В консервативную терапию включают:
Оперативное вмешательство
Сегодня можно выполнять операции при импинджменте артроскопически. Подобный подход характеризуется меньшей травматичностью и, как следствие, более быстрым восстановлением после операции.
В ходе артроскопической операции доктор выполняет удаление остеофитов, ущемляющийся мягкие ткани, которые только сильнее воспаляют поврежденный сустав. Также обрабатываются вовлеченные в патологический процесс хрящи, вымываются уже отмершие поврежденные ткани, освобождаются вовлеченные в процесс сухожилия.
Хоть артроскопия – операция, отличающаяся малой травматичностью в сравнении с открытыми операциями на суставах, но лучше обратиться к врачу с первыми же симптомами болезни и пройти консервативную терапию, чем ложиться на операционный стол!
Послеоперационная реабилитация
Реабилитация после операции влияет на то, как произойдет восстановление, и насколько эффективным окажется вмешательство в целом. В нашей клинике пациенты могут получить полный курс лечения (от обследования и операции, до реабилитации и полного восстановления). Врач берет под контроль реабилитационный процесс, и пациент, если он соблюдает все рекомендации, может не волноваться о том, что что-то пойдет не так.
Пациент получает рекомендации по лечебной физкультуре, которая поможет быстрее восстановить нормальную амплитуду движений в суставе и вернуться к активной жизни. Наиболее активная реабилитация под присмотром доктора начинается после того, как будет снята фиксирующая повязка (ортез)!
Импинджмент голеностопного сустава – не важно, передний он или задний – заболевание, которое может значительно снизить качество жизни человека.
Мы рекомендуем обращаться к травматологу-ортопеду при первых же симптомах недуга, чтобы сразу взять болезнь под контроль!
Если патологию запустить, лечение окажется сложным и долгим.
Хирургическое лечение вальгусной деформации I пальца

Вальгусная деформация большого пальца стопы – это одна из самых распространенных ортопедических патологий.
Заболевание характеризуется постепенным отклонением I пальца кнаружи, I плюсневой кости внутрь.
  
Оперативное лечение вальгусной деформации большого пальца
Выбор метода хирургического лечения зависит от нескольких факторов:
- Степень деформации (отклонения) 1-го пальца;
 - Степень отклонения I плюсневой кости;
 - Состояние сесамовидных костей (наличие подвывиха, вывиха);
 - Эластичность стопы;
 - Тип стопы.
 
I степень деформации:
- смещение 1-го пальца латерально не более 25°;
 - угол между I и II плюсневыми костями (M1M2) не более 14°;
 - подвывих латеральной сесамовидной кости.
 
- смещение 1-го пальца латерально от 25 до 35°;
 - угол M1M2 не более 17°;
 - подвывих медиальной и латеральной сесамовидных костей.
 
- отклонение 1-го пальца латерально более 35°;
 - угол M1M2 более 18°;
 - подвывих и вывих сесамовидных костей.
 
Показанием к хирургическому лечению является деформация любой степени, которая причиняет косметический дефект. Показанием для хирургического вмешательства также является боль в области «шишки» и в переднем отделе стопы, дискомфорт, затруднения при выборе обуви.
Противопоказания к операции:
- Общие – заболевания сердечно-сосудистой системы, другие серьёзные соматические заболевания.
 - Местные – инфекция, другие заболевания кожи.
 
В настоящее время известны более 400 методов хирургической коррекции. Все эти методы условно можно разделить на несколько групп:
- оперативное вмешательство на мягких тканях;
 - оперативное вмешательство на костях;
 - комбинированные операции на костях и мягких тканях.
 
Оперативные вмешательства на мягких тканях:
Этап операции 1
Этап операции 2
Этап операции 3
- операция Шеде – удаление экзостоза (шишки);
 - метод Сильвера; J.M. Hiss; Р.Р. Вредена;
 - операции так называемой «стяжки» для восстановления поперечного свода и др.;
 
Внимание! Все эти операции малоэффективны и в настоящее время не рекомендуется проводить их в изолированном виде, из-за большого процента рецидивов и других послеоперационных осложнений.
Удаление костно-хрящевого разрастания и пластика медиальной части капсулы первого плюснефалангового сустава являются обязательным этапом современных методов хирургического лечения.
Ведущее место среди костных операций занимают остеотомии (перепиливание кости с целью изменить ее длину, угол наклона, форму и т.п.) первой плюсневой кости.
Дистальные остеотомии:
- подголовчатая клиновидная остеотомия по J. Reverdin;
 - операция B.Helal 1974 г.; M.Davis и T.Litman 1976 г.; T.R. Allen 1981 г.;
 - операция J.N. Wilson; Hohmann; D.W. Austin (шевронная остеотомия).
 
Из дистальных остеотомий наиболее эффективна и широко распространена шевронная:
Дистальные остеотомии можно применять если угол между 1 и 2 плюсневыми костями не более 14°. В противном случае велика большая вероятность рецидива. Когда угол от 15° до 22°, выполняются диафизарные.
Диафизарные остеотомии:
- Z-образная остеотомия M. Meyer (scarf);
 - операция K. Ludloff; C. Mau и H.T. Lauber;
 - остеотомия C.L. Mitchell.
 
Из всех методов хирургического лечения наиболее часто применяется остеотомия scarf:


Проксимальные остеотомии:
- двойная остеотомия по Logroscino;
 - клиновидная остеотомия M. Loison; E. Juvara;
 - остеотомия по G.W. Patton и J.E. Zelichowski;
 
Проксимальные остеотомии выполняются, когда угол между I и II плюсневыми костями более 22°.
Из них чаще используется остеотомия E. Juvara:
Операция S.A. Isham — чрескожный метод хирургической коррекции. Преимущества метода:
- малотравматичность;
 - операция выполняется через проколы кожи (нет больших послеоперационных рубцов);
 - выполнение вмешательства под проводниковой или местной анестезией;
 - возможность применения метода, когда есть противопоказания проведения открытых операций (пожилые пациенты, сахарный диабет, серьезные соматические заболевания).
 
  
Остеотомия проксимальной фаланги первого пальца О.F. Akin (Моберга)
Изолированно выполняется крайне редко. В основном этот метод операции используется как дополнение к другим методам хирургического лечения.

 
Артродез I плюснефалангового сустава
- артроз разной этиологии 3-4 степени;
 - выраженная вальгусная деформация.
 

 

 
Артродез медиального плюснеклиновидного сустава (Албрехт, P.W. Lapidus)
- выраженная вальгусная деформация;
 - большой угол M1M2:
 - гипермобильность первого луча;
 
В современной хирургии при лечении деформации стопы выполняются только комбинированные операции: на костях и на мягких тканях.
Современное оперативное вмешательство по коррекции вальгусной деформации включает следующие этапы:
- удаление костно-хрящевого экзостоза;
 - остеотомия первой плюсневой кости;
 - отсечение сухожилия мышцы отводящей большой палец;
 - фиксация плюсневой кости винтами;
 - остеотомия проксимальной фаланги пальца по Akin (при необходимости).
 
Результат лечения зависит от правильного выбора метода хирургической коррекции, техники выполнения операции, опыта хирурга, наличия соответствующего инструментария.
Не занимайтесь самолечением, не теряйте драгоценное время! Определиться с точным диагнозом и выбрать правильный метод лечения поможет Вам хирург-ортопед. У нас большой опыт лечения вальгусной деформации большого пальца любой сложности.
Мы владеем всеми современными методами хирургического лечения. Мы поможем Вам быстро избавиться от вашего недуга, жить без боли и радоваться внешнему виду ваших стоп.
Видеоотзыв
Болезни и деформации стоп
Выражаю огромную благодарность врачу травматологу-ортопеду Петросяну Армену Сергеевичу .
ЧЕЛОВЕК -ВРАЧ от «БОГА». Уважительный , внимательный , выслушает и подскажет куда обратиться . Никакого дискомфорта или напряжения. Операция , по замене тазобедренного сустава , прошла удачно.Огромное спасибо и низкий поклон. Возникает необходимость вновь посетить доктора данной специализации,запишусь только к этому высококвалифицированному врачу.
Читайте также:
- Диагностика сыпного тифа. Лечение и профилактика эпидемического сыпного тифа
 - Дифференциация вздутия кишок. Западение брюшной стенки у пациента
 - Синдром Казабаха-Мерритта - диагностика, лечение
 - Диагностическая тактика при множественных и сочетанных ранениях груди
 - Диастолические шумы при аортально-митральных пороках. Пресистолический шум у верхушки сердца
 
