Показания, подготовка к одномыщелковому эндопротезированию коленного сустава
Добавил пользователь Владимир З. Обновлено: 11.12.2025
Показания, подготовка к хирургическому доступу для тотального эндопротезирования коленного сустава
а) Отбор пациентов:
• Тщательный отбор пациентов для первичного тотального эндопротезирования коленного сустава позволит добиться максимально эффективного клинического результата
• У крупных пациентов и пациентов с широкими или крупными костями может потребоваться использование более длинного или широкого хирургического доступа
• Тщательная оценка характера деформации и объема движений в коленном суставе позволяет выбрать оптимальный хирургический доступ и тип импланта:
- Если планируется использование менее инвазивного доступа, то объем движений в коленном суставе должен быть не менее 90°, сгибательная контрактура не должна превышать 10°, деформация во фронтальной плоскости не должна превышать 15° варуса или 20° вальгуса
• Необходим тщательный сбор анамнеза пациента:
- Наличие в анамнезе ревматоидного артрита, морбидного ожирения, операций на сосудах конечности и плохо контролируемого сахарного диабета может быть противопоказанием к использованию менее инвазивных доступов
• Необходимо обратить внимание на то, какие раньше операции уже выполнялись на этом коленном суставе и какие при этом были использованы хирургические доступы:
- Старые рубцы в области коленного сустава могут нарушать кровоснабжение кожи (рис. 1)
• У пациентов с patella baja или ранее уже перенесших артротомии латерализация надколенника может оказаться затруднительной (рис. 2).


б) Ошибки при выборе показаний:
• Пациенты с текущей инфекцией коленного сустава
• Скомпрометированные мягкие ткани в области коленного сустава
• Patella baja
• Пациенты с иммунодефицитом
Лучевая диагностика:
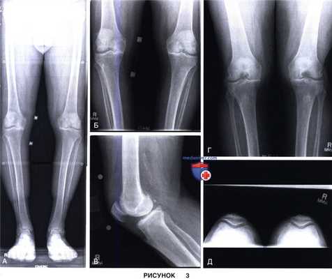
а) Предоперационное рентгенологическое обследование пациента включает рентгенографию конечности целиком на длинной кассете, рентгенографию стоя в переднезадней проекции, стоя в задне-передней проекции при сгибании коленного сустава, в боковой проекции и проекции Merchant (рис. 3).

Хирургическая анатомия:
а) Возможность пальпации костных и мягкотканных ориентиров в области коленного сустава обязательна для безопасного и эффективного выбора хирургического разреза при тотальном эндопротезировании коленного сустава
б) На рис. 4 представлены основные анатомические ориентиры передней (рис. 4, А), медиальной (рис. 4, Б), латеральной (рис. 4, В) и задней (рис. 4, Г) поверхности коленного сустава
в) Перед тем, как сделать разрез, хирург должен локализовать следующие анатомические ориентиры:
• Надколенник
• Сухожилие надколенника
• Бугристость большеберцовой кости
• Внутренняя и наружная суставная щель
• Внутренний и наружный мыщелки бедра
• Внутренняя и наружная лодыжка.

Положение пациента:
а) Пациент укладывается в положение на спине
б) Под все костные выступы, которые могут сдавливаться во время операции, подкладываются мягкие подушки
в) Противоположная конечность укладывается на подушку, в этом положении необходимо защитить зону потенциального сдавления малоберцового нерва в области головки малоберцовой кости
г) Максимально высоко на бедро оперируемой конечности накладывается турникет
д) На уровне голени на операционный стол помещается мешок с песком, обеспечивающий сгибание коленного сустава до 90°. Фиксировать этот мешок к операционному столу не нужно с тем, чтобы добиться максимальной подвижности конечности во время операции
е) К противоположной конечности фиксируется пассивный электрод электроножа
ж) Конечность обрабатывается и укрывается стерильным бельем стандартным образом (рис. 5).

з) Нюансы укладки пациента:
• На уровне большого вертела бедра или чуть ниже него к операционному столу фиксируется вертикальный упор, препятствующий отведению бедра и избавляющий от необходимости участия в операции еще одного ассистента
• Некоторые хирурги дополнительно под ягодицу оперируемой конечности подкладывают валик
• Если планируется блокада бедренного или приводящего нервов, катетеры, которые могут использоваться для таких блокад, не должны мешать обработке и укрыванию конечности стерильным бельем
• Если необходим доступ к более проксимальным отделам бедра, например, для удаления металлоконструкций, во время операции может понадобиться стерильный турникет.
и) Ошибки укладки пациента:
• Размещение турникета или операционного белья слишком низко ограничит ваши возможности в расширении доступа, если во время операции возникнет подобная необходимость.
Однополюсное, частичное, одномыщелковое эндопротезирование коленного сустава: преимущества и недостатки
Деформирующий остеоартроз — одно из ведущих заболеваний опорно-двигательного аппарата. Он проявляется дегенеративно-дистрофическими изменениями суставных поверхностей. Частота встречаемости составляет от 3 до 12% среди взрослого населения. В этом показателе на первом месте стоит поражение тазобедренного сустава, а на втором – коленного.

Если сустав поражен указанным на изображении образом, то возможна его частичная замена.
Основной метод лечения – постановка эндопротеза вместо поврежденного сустава. Раньше выполнялось преимущественно тотальное эндопротезирование коленного сустава, однако сейчас активно развивается другое направление – одномыщелковое (частичное) эндопротезирование.

Имплант на рентгене.
Описание процесса лечения
Лечение проводится в два этапа: подготовительный и операционный. Подготовительный этап имеет особую важность: хирургическое вмешательство всегда стресс для организма. Во время этого этапа проводится полное сканирование организма с целью предупреждения возможных осложнений:
- Лабораторное и инструментальное обследование (анализ крови, мочи, ЭКГ, флюорография, гастроскопия).
- Подготовка кожных покровов. Перед операцией не должно быть инфекционных заболеваний или повреждений в оперируемой зоне. При наличии ран или воспаленных участков необходимо проконсультироваться с лечащим врачом.
- Лекарства. Если пациент регулярно принимает медикаменты — стоит об этом сообщить. Врач определит, какие из них стоит исключить перед операцией.
- Коррекция массы тела. Это поможет снизить нагрузку на новый протез и объем хирургического вмешательства.
- Санация ротовой полости. Хоть и риск заражения невелик, но инфекционные осложнения могут случиться, если бактерии попадут в системный кровоток.
- Урологическая подготовка. Решается вопрос о купировании острых и хронических заболеваний мочеполовой системы. К примеру, для пожилых больных с болезнями предстательной железы применяется специальная методика проведения операции.
Сама операция выполняется с определенной этапностью:
- Сначала делается антисептическая обработка области сустава, затем нога покрывается пленкой.
- Хирург делает небольшой (до 10 см) разрез мягких тканей через переднюю поверхность и аккуратно обнажает поврежденный сустав.
- Удаляют патологические хрящевые и костные зоны.
- Затем структурные компоненты выстраиваются по оси, снимаются верхние слои бедренных и большеберцовых костей, опиленные компоненты подвергаются шлифовке.
- В большеберцовой кости делается небольшой канал, куда устанавливается задняя втулка протеза.
- На бедренную кость устанавливается другая часть протеза, сходная со структурой удаленной части кости бедра.
- В конце операции рану промывают, делается гемостаз, проводится дренаж раны. Разрез ушивается при помощи узлового шва. Завершается процесс наложением тугой стерильной повязки на прооперированную область.
В отдельных случаях применяется метод компьютерной навигации, позволяющий устанавливать компоненты эндопротеза с высокой точностью, делать балансировку связок сустава, выполнение которой сомнительно при использовании простого инструментария.
Длительность операции не превышает двух часов. Сначала больного отправляют в реанимационное отделение, где пристально следят за жизненноважными показателями организма. Через некоторое время пациента переводят в общую палату, где начинаются реабилитационные мероприятия.

Видео операции
Отличия от тотального эндопротезирования
Длительное время ТЭКС (тотальное протезирование коленного сустава) признавался ведущим методом при лечении остеоартроза. Какие же преимущества имеет одномыщелковое эндопротезирование:
- Гораздо меньший объем хирургического вмешательства;
- Быстрый восстановительный период (уже через несколько месяцев пациент может возвращаться к своим повседневным физическим нагрузкам);
- Менее выражен болевой синдром (как в покое, так и при интенсивной физической нагрузке);
- После частичного эндопротезирования люди вдвое реже жалуются на трудности при использовании автомобиля, чем после тотального;
- Вдвое меньше случаев ограничения сгибания в коленном суставе и контрактур;
- Гораздо чаще людям с частичным эндопротезом доступно положение сидя на корточках, посадка и выход из автотранспорта, наклон и подъем предметов с пола, бег.
Целый ряд неоспоримых и важных преимуществ однополюсного протезирования. Большинство зарубежных коллег подчеркивают у себя схожесть приведенных результатов.

Сравнение двух типов операций.
Показания для частичного эндопротезирования
- деформирующий артроз II-III степени, с преимущественным поражением одного сегмента коленного сустава;
- при изолированном асептическом некрозе мыщелка бедренной или большеберцовой кости голени;
- аутоиммунные заболевания, при которых наблюдаются ДДИ суставных тканей – болезнь Бехтерева, СКР (системная красная волчанка), подагра, ревматоидный артрит;
- неудачно сросшийся перелом.
Как и во всем, у частичного эндопротезирования регистрируются и неудачные исходы, на основании которых были сформулированы противопоказания:
- Нестабильность связочного аппарата;
- Умеренная и выраженная сгибательная и разгибательная контрактура;
- Фиксированная фронтальная деформация;
- Распространенность патологического процесса на соседние участки;
- При аутоиммунных заболеваниях;
- Недавно перенесенные операции;
- Инфаркт миокарда;
- Тромбоз нижних конечностей;
- Тяжелое ожирение.
Одномыщелковые — частичные эндопротезы
Направление эндопротезирования длительное временя активно развивалось. Сейчас современные протезы соответствуют всем базовым требованиям. Они способны стать полноценной заменой коленному суставу.

Как это выглядит после операции.
Основные требования к качественному эндопротезу:
- Биосовместимость. Компоненты, из которых создается имплант, должны быть гипоаллегренными и не вызывать реакции «отторжения» (когда организм отвергает имплант, вызывая аутоиммунную агрессию).
- Анатомичность. Протез обязан подходить по размеру и в точности повторять особенности костной структуры сустава.
- Соответствие характеристик. Материалы должны быть прочными и выдерживать привычные для сустава нагрузки. Гладкость поверхностей протеза обеспечивает достаточно легкое скольжение компонентов.
- Функциональность. Качественно выполненный протез должен обеспечить хорошую амплитуду движений, не ограничивая подвижность колена.
- Сохранение формы и высокая износостойкость. Эндопротез не должен стираться или терять форму, обеспечивая при этом носителя хорошим качеством жизни на 15-20 лет вперед.
Zimmer
Крупный представитель по поставке материалов для ортопедической продукции. В частности эндопротезов.
Zimmer Hihg-Flex. Имплант предназначен для одномыщелкового эндопротезирования коленного сустава. Постановка подобного импланта в 98% случаев гарантирует высокое качество жизни в последующие 10 лет.

Zimmer Gender Solutions Patello-Femoral Joint. Используется в малоинвазивных вмешательствах при хирургическом лечении деформирующего остеоартроза.

Zimmer Gender Solutions
Biomet
Еще одна крупная компания. Ее производство акцентировано на ортопедическую, травматологическую, стоматологическую и спортивную отрасли.
Vanguard. Представляет собой тотальный коленный протез с бесцементным типом фиксации. Вставка импланта пропитана витамином Е.

Oxford. Эндопротез обладает повышенной прочностью и износостойкостью.

Oxford Knee Biomet.
Aesculap
Компания из Германии, существующая с 1967 года, имеет в своей широкой линии продукции ряд эндопротезов.

Aesculap partial knee.
Также можно выделять другие компании-производители: Johnson&Johnson (с его DePuy Synthes), Stryker (Scorpio NRG).
Недостатки частичной замены
Как бы то ни было, частичное эндопротезирование имеет два существенных недостатка: недолговечность протеза и необходимость нормального функционирования связочного аппарата. У людей с малоподвижным образом жизни сустав продержится максимум 7-10 лет, дальше требуется вторичное хирургическое вмешательство.
Люди, придерживающиеся правильного образа жизни, могут рассчитывать на 15, а то и 20 лет беспечной жизни. Протезы компании Zimmer в 98% случаев гарантируют стабильность в течение 10 лет, в 80% — 15 лет, а в 70% случаях протез продержится 20 лет.
Biomet может удивить выживаемостью своих протезов в 98% случаев и гарантировать срок жизни импланта до 20 лет.
Как долго восстанавливаться
Малоинвазивность процедуры обеспечивает быструю реабилитацию. Уже через 2,5-3 месяца реабилитационных мероприятий, можно гарантировать полноценное возвращение к жизни.

Шов при таких операциях как правило в два раза меньше чем при тотальной замене.
Особенности у спортсменов
В любом спорте неизбежны травмы. Насколько сильно может сказаться подобная операция на дальнейшей карьере спортсмена? В любом случае, лучше тотального эндопротезирования. Преимуществом частичного протезирования является сохранность пателлофеморального сустава, передней и задней крестообразных связок, менисков, суставного хряща. Тогда в меньшей мере страдает кинематика и проприоцепция сустава.
По данным исследований, после такой операции к предоперационному уровню спортивных и физических нагрузок возвращается достоверно больше пациентов. Конечно, придется отказаться от тех видов спорта, где приходятся большие нагрузки на коленный сустав (бег, футбол, баскетбол, хоккей и многие другие). Лучшими вариантами на время реабилитации становятся плавание, ходьба, езда на велосипеде.
В ретроспективном анализе сравнивали, сколько людей вернулось в любительский спорт после ТЭКС (65% от общего числа) и одномыщелкового эндопротезирования (93%). К тому же, после полной замены сустава люди были склонны выбирать вид спорта со сниженной физической активностью (в 91% случаев – боулинг).
Необходимый и важный этап для спортсменов — выбор квалифицированного хирурга, который подберет протез, максимально приближенный к анатомическим особенностям индивида. Это позволит в максимальной степени вернуть объем привычных движений, увеличит прочность и износостойкость сустава.
Эндопротезирование коленного сустава – шанс восстановить функции конечности
Хронические суставные патологии практически не поддаются лечению, более того, они прогрессируют не оставляя человеку права на здоровое существование. Эндопротезирование коленного сустава – операций, суть которой состоит в его замене искусственным имплантом.

Сравнение здорового коленного сустава(слева) и полностью разрушенного(справа).
Хрящ, покрывающий концы суставных костей, невозможно восстановить, если он серьезно разрушен. Внутрисуставные уколы плазмы или гиалурона, бесполезная трата денег, нервов и времени.

Это видит хирург во время операции, обратите внимание на неравномерность, а местами отсутствие хрящевой оболочки.

Упрощенная схема установки импланта.
Единственная тактика лечения, которая дает результаты – эндопротезирование. Индустрия выпускает модернизированные имплантаты под требования любого пациента. Искусственные конструкции создаются из биосовместимых материалов, представленных керамикой, инновационными сплавами металлов и высокомолекулярным полиэтиленом, которые не оказывают токсического, аллергического и канцерогенного воздействия на окружающие структуры.

Вступление
Пораженный сустав обследуют высокоинформативными средствами визуальной диагностики, больного направляют на прохождение лабораторных анализов, осмотр у врачей узкой специализации.Далее принимается решение о:
- способом имплантации (тотальный или частичный);
- из какого материала лучше поставить протез;
- фиксация — цементная, бесцементная или гибридная;
- тип анестезии.

Чаще всего анестезия используется спинальная.
Метод протезирования колена успешно практикуют ведущие клиники эндопротезирования коленного сустава федеральные медцентры России, Украины и других государств постсоветского пространства.
Быстро пройти высокотехнологичную процедуру по квоте не всегда возможно, потребуется еще дождаться своей очереди, а на это может уйти 3-6 месяцев, иногда 12 месяцев.
В послеоперационный период колено требует больше времени на восстановление в отличие от бедра. Связано это с тем, что операция в техническом плане сложнее. Послеоперационный шов находится как раз в месте сильного растяжения кожи, что так же осложняет процесс восстановления, ведь нужно активно работать на сгибание-разгибание конечности.
Показания к операции
Примерно каждому десятому пациенту, страдающему патологией колена, требуется эндопротезирование. Причиной критических нарушений выступают следующие заболевания:
- этиологии и подагра;
- деформирующий артроз; ;
- внутрисуставные или околосуставные инфекции;
- травматические поражения; ;
- нарушение гормонального фона.
Хирургическая процедура показана, если обнаружены следующие изменения патологического характера:
- яркая болезненная симптоматика и серьезные двигательные расстройства, при которых консервативные способы и малоинвазивная хирургия не помогают или уже не имеют смысла;
- гонартроз в тяжелом проявлении;
- системная артритная болезнь;
- аваскулярный некроз суставных костей;
- локальные новообразования;
- врожденная и приобретенная дисплазия;
- неправильно сросшиеся переломы;
- посттравматические дегенерации.

Динамика болезни на рентгене.
Откладывать хирургию при гонартрозах 3-4 степени чревато деформацией позвоночника. Это происходит из-за хромоты. Дегенеративные процессы артроза глубоко затронут кости, из-за чего они приобретут хрупкость, потеряют плотность и зафиксировать к ним компоненты импланта станет сложно.
Противопоказания
Разрешается проводить даже в преклонном возрасте. Но при наличии любых патологий в стадии декомпенсации, например, сахарного диабета или гипертонии, хирургия будет отменена. Любые инфекционные воспалительные очаги в организме до запланированной процедуры должны быть ликвидированы полностью. Общий список противопоказаний:
- декомпенсированные хронические болезни;
- локальные и общие инфекции, воспалительные процессы;
- анемия 2-3 ст., низкая свертываемость крови;
- тяжелые психические нарушения;
- неконтролируемый диабет;
- туберкулез кости;
- паралич конечности;
- тромбоз глубоких вен ног.
Иногда требуется провести коррекцию веса, если индекс массы тела слишком высок, это опасно травмами и смещением импланта. Инвалидность после лечения не предусмотрена.
Подготовка к операции

Самый распространенный тип импланта коленного сустава.
Диагностика не ограничивается осмотром только лишь больной конечности, обследованию подлежат обе ноги. В этих целях рекомендуется прохождение:
- рентгенографии;
- ультразвукового исследования (УЗИ);
- магниторезонансной томографии (МРТ); (не всегда).

Платформа импланта прослужившая пациенту 16 лет. Хороший результат.
Осуществляется обход узкоспециализированных врачей (кардиолога, терапевта, иммунолога, анестезиолога, ЛОРа, стоматолога), сдача общеклинических анализов, исследование органов и систем организма. Стандартная диагностика включает:
- общий и биохимический анализы крови;
- коагулограмму;
- общий анализ мочи;
- определение уровня сахара в крови;
- тест на группу крови и резус-фактор;
- ультразвуковую допплерографию вен конечностей (УЗДГ);
- электрокардиограмму (ЭКГ);
- фиброгастродуоденоскопию (ФГДС);
- флюорографию органов дыхания.
Также будет произведен забор крови для переливания.
В клиниках эндопротезирования коленного сустава подготовка начинается примерно за 2 недели до предстоящего сеанса. Обязательно рекомендуется лечебная физкультура. Она поможет подготовить мышечный комплекс к реабилитации, посодействует его укреплению. Особенно при предполагаемой хирургии обоих коленных суставов.
Типы протезов и связанные с ними методики
Вы уже знаете, что бывает полное и частичное эндопротезирование коленного сустава, где в первом случае лечение подразумевает полноценную замену суставных поверхностей, а во втором – имплантацию поврежденного участка одного из мыщелков. Соответственно, протезы классифицируются на тотальные, одномыщелковые и ревизионные для замены импланта.
- После постановки однополюсной системы максимально сохраняется собственный костно-хрящевой сегмент и не затрагиваются связки, кстати, они должны быть в хорошем состоянии.

Одномыщелковая замена сустава на рентгене.

С каждой последующей операции статистика успешности ниже. Импланты при этом становятся все более громоздкими.
Одномыщелковое протезирование подразумевает срок службы небиологического устройства максимум 7 лет. Тотальное замещение предусматривает время службы вживленного механизма от 15 лет. Ревизионное переносится сложнее, а риск инфекции и других негативных явлений почти в 2 раза выше, чем после первичной операции.
Жидкое протезирование коленного сустава
Важно еще вкратце дать информацию о жидком протезировании коленных суставов. Это инъекционные препараты гиалуроната натрия, которые служат для восполнения синовиальной жидкости. Жидкое протезирование коленного сустава производится путем введения через шприц раствора гиалуроновой кислоты во внутрисуставное пространство. Подобная лечебная тактика не восстанавливает разрушенный гиалиновый хрящ, но способствуют временному снижению признаков остеоартроза (сокращает тугоподвижность и боль) за счет улучшения смазочных свойств натурального сочленения. Оно применимо в качестве симптоматической терапии при артрозе, но настоящему эндопротезированию не является альтернативой.

Никакие уколы артрозы не лечат!
Описание хирургического процесса
Вид анестезии определяется врачом-анестезиологом. Что значит общий наркоз, думаем, знают все. А по поводу второй разновидности, скорее, не каждый понимает суть и принцип действия обезболивания, внесем ясность.
Эпидуральный наркоз – это один видов регионарной анестезии, смысл которого в подаче в перидуральное пространство позвоночника (в области поясницы) через катетер специального состава, блокирующего передачу импульсов от нервных сплетений спинного мозга. Нижняя часть тела становится нечувствительной. Человек совершенно не ощущает никакой боли, но остается в сознании. Не исключено, что анестезиолог дополнительно подключит внутривенную систему, подающую эффективный седативный препарат, чтобы снять нервное напряжение или погрузить в глубокий медикаментозный сон.

Чем легче наркоз, тем проще всем, пациенту, травматологу и анестезиологу.
Когда анестетик «заработает», начинается тотальное протезирование коленного сустава.
- Доступ к суставу осуществляется с передней стороны колена путем рассечения мягких тканей, обходя надколенник. Разрез небольшой, он равен примерно 12-14 см.
- Аккуратно высвобождается из анатомического пространства.
- Поскольку конструкция для тотального протезирования коленного сустава имеет сложную геометрию, для ее правильной посадки хирург выполняет несколько высокоточных опилов бедренной и большеберцовой костей.
- После ставится «болванка» разных размеров для подборки лучшего.
- Убедившись, что кости подготовлены правильно, специалист приступает к установке постоянных деталей протеза на свое окончательное место.
- В конце проводится промывание антисептической жидкостью площади, в пределах которой выполнялись операционные действия. Потом в рану вставляют временную дренажную систему для оттока раневого отделяемого, разрез ушивается и покрывается стерильной повязкой.

Пациент лежит на операционном столе, нога забинтована, сейчас начнется операция.
После выписки из стационара следует оформиться в лечебно-реабилитационный центр. В таких медучреждениях оказывают высококомпетентную помощь после тотального цементного эндопротезирования коленных суставов или бесцементного, частичного протезирования и ревизионного вмешательства.

Неблагоприятные реакции

От работы реабилитологов зависит не меньше, чем от работы хирурга.
Больной обязан быть под пристальным наблюдением методистов-реабилитологов в послеоперационный период, исполнять все их требования, касающиеся физических упражнений и посещения физиотерапевтических процедур, а также в установленные сроки приходить на плановый осмотр к основному лечащему врачу. Только в таком случае к концу 3-го месяца можно рассчитывать на благополучный исход.

По состоянию шва можно судить о процессах заживления внутри сустава. Вы видите спокойный, хорошо заживающий шов

Через 6 месяцев он будет выглядеть как на фото
К возможным интраоперационным последствиям относят кровотечение, что происходит в единичных случаях. Значительные кровопотери оперативно восполняются донорским запасом крови, заготовленным еще до операции. Инфицирование и аллергический ответ на анестезию тоже маловероятны, если установка проходит с соблюдением всех норм. В течение первого месяца после состоявшейся артропластики встречаются следующие осложнения (вероятность невелика, но присутствует):
- ; в венозном русле конечности;
- тромбоэмболия;
- жировая эмболия;
- расхождение швов и открытие раны;
- вывих протеза, смещение надколенника;
- нарушение чувствительности в зоне колена;
- повышение местной и общей температуры вследствие локального воспаления или попадания инфекции.
Патологические реакции, которые развиваются в отдаленный период (по прошествии 4 недель и позже):
- расшатывание, смещение, нестабильность искусственных компонентов; , в которую он вставлен;
- образование грубых наростов, рубцов вокруг устройства;
- суставно-мышечная контрактура;
- хронические боли; .

Травмы опасны для людей перенесших такую операцию, поэтому берегите себя как минимум первое время, пока нога не окрепла достаточно.
Замена коленного сустава: что это, видео-фото операций, технологии, сроки восстановления
Замена коленного сустава (ЗКС) – метод хирургического лечения последствий дегенеративно-дистрофического патогенеза колена. Цель операции полное восстановление функций проблемного отдела конечности за счет замены необратимо пораженного сочленения эндопротезом. Гонартроз 3-й степени (в 85% случаев) самая частая причина.

Артроз коленного сустава на рентгене.

А так выглядит пораженный сустав через артроскоп. Обратите внимание на площадь отсутствия хрящевой поверхности.
Примерно в 98% случаев операция прогнозирует благоприятный исход. По окончании качественной реабилитации двигательно-опорные функции полностью восстанавливаются, болезненная симптоматика исчезает, человек возвращается к нормальной здоровой жизни. Эффект от успешно пройденного лечения сохраняется более чем на 15 лет.
Показания к замене
Посмотрите на рентген, на нем вы видите, до какой степени при запущенном гонартрозе изношен гиалиновый хрящ, обеспечивающий гладкое скольжение суставных поверхностей. Концевые участки костей грубо деформируются нарушая функции сгибания и разгибания конечности вызывая интенсивный болевой синдром.
Сравнение здорового и пораженного сустава.
Когда операции не миновать
Хирургическое техники
Согласно диагнозу, возрастным и весовым критериям, физическим данным и сопутствующим заболеваниям, специалист выбирает наиболее эффективную тактику имплантации:
- – протезированию подлежит только одна из полукруглых возвышенностей бедренной кости с подлежащим к ней проксимальным фрагментом большеберцовой кости (применяется у пожилых пациентов и у лиц с низкой физической активностью);
- тотальная операция (полная) – меняется весь коленный сустав, он удаляется полностью, а на его место имплантируется эндопротез;
Неполные имплантаты, устанавливаемые при частичной замене, имеют короткий срок эксплуатации. Такие модели вырабатываются в 2 раза быстрее, чем тотальные конструкции, при этом их потенциал прочности не рассчитан на высокой степени физические нагрузки. Преимущества частичного протезирования состоят в том, что замещается имплантатом только определенная часть сочленения, остальная область остается нетронутой. Таким образом, щадящее вмешательство позволяет сократить сроки реабилитации и перенести восстановительный период относительно легко.
Две техники операции у одного пациента.
Какие бывают эндопротезы?
Протезные системы бывают с подвижной или неподвижной платформой, а также предусматривающие сохранение или удаление задней крестообразной связки. Различаются по виду фиксации, она может быть цементной, бесцементной и комбинированной.
- Подвижные и неподвижные платформы. Большинству пациентов ставят имплантат с амортизирующим вкладышем, который плотно связан с большеберцовым элементом, то есть изделия с неподвижной платформой. Наличие же мобильного вкладыша внутри металлического большеберцового компонента требует хорошего состояния мышечной системы и капсульно-связочного аппарата, в противном случае может произойти смещение протеза.

Имплантант позволяет осуществлять движения в двух плоскостях.


Все чаще применяется керамический бедренный компонент вместо металлического. На изображении степени износа поверхностей. Керамика совершенно не повреждается.
Внимание! Имплант может прослужить от (от 15 до 30 лет), но при условии качественной замены коленного сустава и реабилитации.
Как получить квоту на замену коленного сустава?
Квота в 2018 году положена официально признанным инвалидам по причине гонартроза. В рамках программы ВМП на получение квоты могут рассчитывать люди, нуждающиеся в ревизионном (повторном) вмешательстве, если первичная процедура была выполнена некорректно, что повлекло за собой осложнения.
Чтобы бесплатно прооперироваться, вам потребуется стать в очередь на замену проблемного коленного сочленения эндопротезом. Что для этого нужно?
- Сначала вы проходите все необходимые обследования в своей поликлинике, где стоите на учете.
- Далее полный пакет медицинской документации, включающий все диагностические результаты, выписку из истории болезней, письменное заявление пациента, ксерокопии паспорта, свидетельства ОПС и полиса Обязательного медицинского страхования, заверяет главврач.
- Затем заверенную документацию отсылают на рассмотрение в квотный отдел местного органа здравоохранения. Там ее изучают и дают согласие, о чем вы будете проинформированы, документы отправляют в клинику, которая специализируется на установке коленных имплантов.
- Клиника оповещает местный ОЗ о дате хирургического сеанса. Городской орган здравоохранения связывается с вами и вы должны будете прийти и забрать направление на операцию. В направлении будут точно указаны дата запланированного вмешательства и клиника, где вам будет оказана ВМП.
После одобрения местным органом здравоохранения вам потребуется еще ждать от 3 месяцев до 1,5 года, когда пригласят в ту или иную больницу на лечение.

Где делают замену коленного сустава
Желательно оперироваться в Москве или Санкт-Петербурге в больницах федерального типа при НИИ, там, по сравнению с другими клиниками, практикуют лучшие хирурги России.
Где лучше сделать замену коленных суставов за рубежом? Однозначно, в Чешской Республике, цены в клиниках ЧР намного ниже, чем в других знаменитых странах медицинского туризма.
Речь будет о том, как подготовиться, чтобы после перенесенного эндопротезирования вы легко восстанавливались.
- Во-первых, начните заниматьсялечебной физкультурой, минимум за 2-3 месяца до намеченной процедуры. Лучше, если вы будете посещать занятия под контролем ЛФК-инструктора. Превосходно на повышение выносливости мышц оказывает плавание в бассейне и аквагимнастика, поэтому возьмите это обязательно на заметку.

Делайте хотя бы минимальные движения.

С лишним весом: хуже заживает шов, сложнее анестезия, труднее и дольше реабилитация, быстрее износ эндопротеза.
Борьба с вредными привычками. За 3 месяца бросьте курить, исключите прием алкогольных напитков, и больше никогда не возвращайтесь к ним. И первое, и второе – злобные враги, угнетающие естественные возможности организма к регенерации травмированных в ходе операции тканей, в том числе к противостоянию всем возможным интра- и постоперационным негативными явлениями.

Курение замедляет процессы регенерации, откажитесь от него.
Подготовьте свое жилище:
- Первое, что необходимо сделать, это надежно прикрепить поручни в туалете и ванной комнате, которые будут служить до вашего выздоровления в качестве страховочных элементов.
- В вашем доме или квартире ничего не должно мешать передвижению и не выступало потенциальной причиной травматизма. Поэтому уберите коврики, телефонные и электрические кабели с полов, предметы мебели стоящие посередине комнат.
- Чтобы принимать правильную позу при посадке на стул или принятии положения лежа, не сгибая конечность более чем на 90 градусов, надо возвысить все поверхности для лежания и сидения.
- Все предметы и вещи первой необходимости должны находиться на доступном уровне, чтобы вам не пришло в голову вдруг за ними тянуться, наклоняться, приседать и, не дай бог, становиться на табуреты и прочие подставочные элементы.

Очень полезная в быту вещь.
Хирургический процесс
Замену коленного сустава проводят под эпидуральным наркозом. Анестезирующий препарат вводят в эпидуральное пространство позвоночника, что вызывает полное блокирование болевой чувствительности нижних конечностей, при этом пациент остается в сознании.
Как хирург видит сустав во время операции.
Этапы классической операции:
- Сначала выполняется широкая антисептическая обработка кожных покровов проблемной ноги, после конечность покрывают пленкой.
- Дальше хирург совершает разрез мягких тканей на передней стороне колена, аккуратно обнажая пораженный сустав.
- После открытия сочленения патологические наросты и свободные костно-хрящевые фрагменты удаляются.
- Костные единицы выравнивают по оси, снимаются поверхностные слои с бедренной и большой берцовой кости, затем опиленные компоненты шлифуются.
- В большеберцовой кости создается небольших размеров канал, в который погружают заднюю втулку протеза. Этот плоское металлическое или керамическое плато повторяющее геометрию краевого костного участка, с упругой полимерной вкладкой.
- На обработанную бедренную кость фиксируется часть эндопротеза, которая по форме имитирует естественные округлости нижнего участка кости бедра.
- По окончании процедуры рана обильно промывается, выполняется гемостаз, ставится дренажная система, разрез послойно ушивается по технике узлового шва. Завершает операционный процесс наложение на конечность тугой стерильной повязки.
Хирургический процесс длится в среднем 2 часа. Когда операция по замене коленного сустава окончена, больного на несколько часов переводят в реанимационное отделение. В блоке интенсивной терапии медицинский персонал осуществляет внимательный контроль над всеми жизненными циклами организма. Потом прооперированный человек переводится в обычную палату, где начинают реализовывать комплексную программу реабилитации, специально разработанную для конкретного пациента.
Сроки восстановления
2,5-3 месяца, это время, которое необходимо для того, чтобы искусственная конструкция окончательно прижилась и разработалась, а пациент полностью адаптировался к жизни с новым суставом.
Хорошо заживающий шов примерно на 10 день после операции.
Весь восстановительный период может продлиться 2,5-3 мес., а иногда и до полугода. Без реабилитации смысла в пройденной замене коленного сустава нет. Поэтому:
- не игнорируйте обязательный восстановительно-лечебный процесс, не сокращайте его сроки;
- проходите физиотерапевтические процедуры и занятия ЛФК;
- восстанавливайтесь в хорошем профильном медицинском заведении;
- соблюдайте ограничения и все медицинские рекомендации(хождение на костылях и с тростью, соблюдение угла сгибания конечности и пр.).
Прошло 6 месяцев.
Необходимо всю жизнь соблюдать особенный график физической активности, так сказать, в щадящем режиме. В не являетесь инвалидом, вы – физически здоровый человек, но, имея протез, нуждаетесь в соблюдении правил:
- не совершать интенсивные махи ногами;
- глубоко и резко не приседать;
- не поджимать под себя ноги и не становиться на колени;
- не прыгать и не спрыгивать с возвышенных объектов;
- не заниматься командными видами спорта (футбол, баскетбол и пр.);
- вести активный образ жизни, отдавая предпочтение нетравматичной физкультуре (плавание, скандинавская ходьба, пеший туризм, облегченная езда на велосипеде, аквагимнастика и др.)
- дозировать нагрузки, не допуская физической перегрузки и рационально комбинируя активность с отдыхом;
- всегда посещать плановые обследования и т. д.
Важно осознавать, что функциональность протезированной ноги теперь полностью зависит от состояния мышечного комплекса. Вашими пожизненными рекомендациями являются регулярные занятия ЛФК. Тренировки после пройденного реабилитационного курса можно выполнять в домашних условиях.
Ни возраст, ни высокая масса тела не являются основанием для отказа в проведении операции. Процедура противопоказана, если имеются:
- неконтролируемый сахарный диабет и диабет в стадии декомпенсации;
- тяжелые пороки сердечно-сосудистой системы;
- почечные заболевания, характеризующиеся нарушенной азотовыделительной функцией почек (почечная недостаточность и пр.);
- печеночная и легочная недостаточность 2-3 ст.;
- любые хронические заболевания в фазе обострения;
- локальный и общий инфекционно-воспалительный, гнойный очаг;
- серьезные состояния иммунодефицита;
- парез или паралич конечностей;
- тяжелые формы остеопороза;
- выраженные тромбы в венах нижних конечностей;
- тяжелые нервно-психические расстройства.

Так может выглядеть рана у диабетика.
Риски операции
Показатель вероятности осложнений, как мы ранее упоминали не превышает 2%. В России — 6%, это:
- ;
- тромбоз глубоких вен ног и легочная тромбоэмболия;
- расшатывание и нестабильность протеза;
- вывихи, подвывихи, перелом эндопротеза; ;
- упорная боль и контрактура.

Инфекция одно из самых трудно излечиваемых осложнений.
Почему все эти отрицательные реакции происходят? В основном они обусловлены несоблюдением технологических принципов при постановке имплантата, некорректно подобранным видом протеза, неудовлетворительными условиями в операционном блоке, некачественной реабилитацией, всевозможными травмами конечности на любом сроке после операции и игнорированием исполнения правил, касающихся физического режима.
Эндопротезирование коленного сустава, цена операции
Эндопротезирование коленного сустава проводится в случаях полного или частичного разрушения его элементов по причине болезни или травмы. Поврежденные участки костей удаляются, а на их место ставятся искусственно созданные сочленения из металлических сплавов, полимеров или керамики. Конструкции называются эндопротезами, или имплантатами.

Модельный ряд имплантов компании Smith@Nephew. В данном случае используется черная керамика, позволяющая значительно увеличить срок службы. Цена такого импланта — в два раза выше.
Замена выполняется, если у больного в ходе диагностики будут обнаружены:
- переломы внутри суставов со множеством осколков;
- быстро растущая опухоль; или артрит; ;
- запущенная степень подагры;
- псориаз; .
Протезирование бывает двух видов – однополюсное, когда меняется кость с одной стороны сустава, и тотальное, когда замене подлежит вся конструкция целиком. Решение о выборе способа принимается, исходя из характера патологии, степени двигательной активности пациента, его физических и возрастных показателей.
Цель процедуры – увеличить подвижность сустава, избавить человека от мучительной боли, нормализовать его походку и вернуть к активной жизни.
Одномыщелковое протезирование коленного сустава
Эта методика менее распространена, чем полное эндопротезирование. Она помогает лечить пожилых малоподвижных пациентов. Применяется для 6-8% кандидатов, больных остеоартрозом и артритом. В ходе операции заменяются отдельные суставные элементы – наружная часть, внутренняя или надколенная. Наркоз может применяться местный. Разрез на коже делается минимальный, мягкие ткани почти не травмируются, поэтому заживление и восстановление происходят быстрее.


Существуют еще такие виды эндопротезов, которые по факту являются одномыщелковыми, но при этом площадь фиксации — как у классического импланта.
Виды эндопротезов и хирургические инструменты постоянно совершенствуются.
Одномыщелковые протезы (их еще называют «полупротезами» любого типа — медиальные, латеральные, феморо-пателлярные) способны заменить хрящевую прослойку в разрушенном отделе без повреждения связочного аппарата. С поверхности кости удаляется только отмерший слой, а большая ее часть остается. Технология помогает сохранить живую костную ткань и значительный процент мягких тканей естественного сустава. Ноги останутся одинаковой длины, а имплантат обеспечит естественность движений. Если нагрузка на кость не изменится, то сохранится и структура кости, что предотвратит развитие остеопороза.
Малоинвазивное полное эндопротезирование колена
Одно из новых достижений в области ортопедии. Методика применяется реже, чем традиционные способы, но более эффективна. Применяется для пациентов с нормальным весом тела. Срок реабилитации при таком вмешательстве сокращается вдвое, больной меньше страдает от болевых ощущений после операции.

Возможность использования технологии можно обсудить с лечащим врачом.
- сосуды, связки и сухожилия остаются в целости и сохранности;
- мышцы не разрезаются для доступа к кости;
- время проведения процедуры сокращается на одну треть;
- малая кровопотеря;
- операцию легко переносят люди с хроническими заболеваниями, ослабленные, которым нельзя делать общий наркоз;
- эндопротез ставится на место поврежденной части кости;
- нагрузки на прооперированную конечность показаны в первый же день.

А так выглядит шов после классической операции. Он неровный, потому что у пациента — проблема с сосудами, и их прошлось обходить во время разреза.
Цена эндопротезирования коленного сустава
Стоимость полного пакета услуг по эндопротезированию коленного сустава в частных и государственных клиниках устанавливается, исходя из нескольких факторов:
- диагностика общего физического состояния;
- категория хирургической операции;
- вид анестезии;
- цена эндопротеза;
- квалификация хирурга;
- пребывание в стационаре;
- реабилитационные процедуры.
Стоимость замены коленного сустава — в пределах 100 — 350 тыс. руб. В крупных российских городах затраты на лечение будут выше, чем на периферии. В некоторых областях есть возможность оплачивать операции местным жителям из бюджета, так что протезирование для большинства горожан становится бесплатным.
Информация о том, сколько стоит в Москве набор медицинских услуг, есть на сайтах клиник, специализирующихся на ортопедии. Так, для эндопротезирования колена нужно готовить сумму от 100 000 руб., за пребывание в стационаре с вас возьмут приблизительно 5 000 руб., обследование будет стоить от 6 000 руб. Имплантат и расходные материалы выбираются по цене и особенностям конструкции. В Санкт-Петербурге цены чуть ниже столичных.
Одномыщелковое эндопротезирование будет стоить в 1,5-2 раза меньше, чем тотальное: период пребывания в клинике сокращается, а восстановление требует меньше времени. Пациент может получить достойное лечение и сэкономить.
Сколько стоит эндопротезирование в Москве и Санкт-Петербурге? Актуальные цены можно узнать из расположенной ниже таблицы:
| № п/п | Наименование операции на коленном суставе | Цена в Москве(руб) | Цена в Санкт-Петербурге (руб) |
| 1 | Первичное эндопротезирование | от 21 700 до 400 000 | 25 000 – 240 000 |
| 2 | Одномыщелковое эндопротезирование | от 30 400 до 200 000 | 25 500 – 58 000 |
| 3 | Ревизионное эндопротезирование | от 30 100 до 350 000 | 36 000 — 54 000 |
| 4 | Тотальное или двухполюсное | от 23 500 до 450 000 | 9 000 – 240 000 |
| 5 | Частичное или однополюсное | от 24 300 до 200 000 | 8 500 – 145 000 |
Современный тренд — горящие цены на эндопротезирование суставов. Однако нужно учесть, что установка коленного эндопротеза — сложнейший процесс, и относиться к нему нужно ответственно. Имплантат нужно подбирать максимально похожий на естественный сустав или его часть. Выбирать врача нужно с многолетней практикой проведения таких вмешательств.
Если почитать отзывы пациентов, цена в Москве на эндопротезирование высокая, и большинству граждан операция недоступна. Буквально четыре года назад существовало квотирование на установку имплантатов. Но выделение средств было приостановлено, а квоты отменены. Исключение составляют некоторые заболевания, связанные с поражением целых систем тканей, а также недочеты медиков, допущенные в ходе оперирования. В планах было проводить лечение за счет полисов ОМС. Но пока продолжается переходный период, каждый российский регион сам ищет выходы из создавшегося положения.
Какова цена коленного эндопротеза
Высокотехнологичный эндопротез коленного сустава стоит дороже. Имплантаты зарубежных фирм ценятся выше, чем отечественные. Цены современных ортопедических изделий зависят от производителя, типа конструкции, материалов, из которых выполнены чашки и ножки, сложности механизма, способа его фиксации (с помощью костного цемента или без него). Стоимость коленного эндопротеза в Москве составляет 130 000 – 150 000 руб. Многое зависит от изготовителя. Одни устанавливают цену в 60-80 тысяч, а другие поднимают ее до 200-300 тысяч руб.

Широкий ассортимент качественных протезов россиянам предлагает компания Zimmer, цена продукции соответствует ее высокому качеству. Фирма входит в пятерку крупнейших производителей эндопротезов в мире. Изделия полностью совместимы с живыми тканями и хорошо приживаются в организме, обеспечивают самую большую амплитуду сгибания – до 155 градусов. Можно устанавливать малоинвазивным путем. Отлично сохраняют природное строение колена. Стабильная работа такого сустава обеспечена минимум на 10 лет. Если имплантат подобран правильно, срок его службы будет больше.
Доверием и заслуженным признанием со стороны хирургов пользуется комплекс «Генезис 2» по цене 100 000 – 160 000 руб. Изделие позволяет хирургу по максимуму реализовать свой опыт и мастерство.

Внешне и по назначению эндопротезы Zimmer и Генезис практически идентичны, различаются по способу закрепления внутри конечности, степени износа, виду материала и покрытия, диаметру резьбы для завинчивания. Если хирург опытный, он сам выберет необходимый эндопротез для своего пациента.
Существует два варианта проведения операции — в частной клинике (за плату) или в государственной больнице (бесплатно).
Первый вариант предполагает полную оплату за эндопротез, проведение операции, нахождение в стационаре, необходимые лекарственные препараты, анестезию и прочее. Цены в Москве за крупные суставы составляют от 300 до 700 тыс. руб. При выборе второго варианта операция и стационар при наличии полиса ОМС для пациента будут бесплатными. Покупать нужно будет только эндопротез и расходные материалы.
Как воспользоваться квотой на протезирование
По квоте пациенту поставят тот эндопротез, который имеется в клинике в наличии. Не всегда такие конструкции произведены ведущими компаниями.
Радует, что практически все современные изделия — качественные. Успех мероприятия наполовину зависит от мастерства хирурга. Если все сделать грамотно, то даже самый простой имплантат будет служить верой и правдой много лет.
Социальные программы, как альтернатива
С помощью индивидуальных программ реабилитации (ИПР) каждый пациент сможет установить себе современный протез за счет государства. Это можно сделать в одной из ведущих клиник без больших затрат, почти бесплатно.
Один пациент, но две разные техники замены коленного сустава: справа — тотальная, слева — одномыщелковая.
Вы приходите к доктору на консультацию, оформляете документы для ИПР и проходите госпитализацию. Эндопротез нужно будет купить на собственные средства у компании-производителя за безналичный расчет. Замена сустава будет проведена через 3-4 недели. После операции готовите документацию, чтобы вернуть потраченную сумму. Деньги возвращаются в течение месяца. Отзывы пациентов, прошедших бесплатное лечение подобным способом, чаще положительные.
Как правильно выбирать лечащего врача
Иногда пациентам предоставляется возможность самому выбрать себе хирурга, который будет устанавливать эндопротез. Это практикуется в коммерческих медицинских учреждениях. Хорошим врачом может оказаться не только пожилой человек, имеющий множество наград и званий. Возраст здесь ни при чем. Главное для хорошего специалиста — знания и продолжительная практика. Сегодня в клиниках можно встретить молодых хирургов, которые ежедневно проводят по несколько протезирований. Опытным считается врач, делающий за год более 50 хирургических вмешательств на коленных суставах.
Почитайте отзывы о конкретной клинике, где планируете проводить операцию на коленном суставе. Опыт врача, современное оснащение операционной – вот составляющие успеха мероприятия. Инструментарий и эндопротез должны быть качественными.
Планируя оперироваться за рубежом, обращайтесь в германские, чешские или израильские клиники, которые известны во всем мире и ценятся за отличные результаты в области эндопротезирования. Самостоятельно приобретать протез лучше не стоит. Это должен делать хирург.
Советы, выводы
Результат лечения во многом зависит от последующей реабилитации и собственного желания больного выздороветь — без этого будет бессилен самый лучший врач на свете. Пациент должен выполнять все предписания, делать упражнения лечебной гимнастики, соблюдать диету и режим прогулок.
Дорогие посетители! Надеемся, что информация была для полезной и интересной. Если у вас остались вопросы, то вы можете задать их нашим специалистам.
Читайте также:
