Последствия отсутсвия лечения синусита (Гайморита)
Добавил пользователь Евгений Кузнецов Обновлено: 22.12.2025
Последствия отсутсвия лечения синусита (Гайморита)
• Этиология осложнений острого синусита:
- Анатомическая близость и сообщающиеся пути венозного оттока могут привести к распространению инфекции в глазницу и головной мозг
- Нарушение оттока из пазух или наличие в пазухах новообразования вначале может быть представлено симптомами со стороны глаз или головного мозга. Распространение инфекции в орбиту чаще встречается при этмоидите, в головной мозг или эпидуральное пространство — при фронтите и сфеноидите. Вернечелюстной синусит может иметь одонтогенную природу.
• Орбитальные осложнения:
а) Периост глазницы (периорбита) изначально ограничивает распространение в нее инфекции из придаточных пазух
б) Симптомами пресептальной инфекции (процесса, не распространяющегося за пределы перегородки глазницы) является отек век, небольшие хемоз и инъекция сосудов конъюнктивы — Терапия обычно консервативная, пероральные антибиотики. Внутривенные антибиотики используются при тяжелом течении инфекции или у лиц с иммунодефицитом. Показана консультация офтальмолога
в) Субпериостальный абсцесс возникает вследствие прямого распространения инфекции из околоносовых пазух в пространство между надкостницей и костными стенками глазницы. Процесс не затрагивает собственно глазницу, глазное яблоко, жировую клетчатку или мышцы глаза. Наиболее часто причинной пазухой является решетчатый лабиринт. Зачастую у пациентов развивается проптоз вследствие смещения содержимого глазницы полостью абсцесса.
— Субпериостальный абсцесс требует хирургического дренирования и назначения антибиотиков широкого спектра действия. Хирургическое лечение подразумевает этмоидэктомию или синусотомию пораженной пазухи. Субпериостальный абсцесс, развившийся из клеток решетчатого лабиринта, может быть дренирован посредством удаления эндоназального удаления бумажной пластинки, или наружным доступом по Линчу-Говарду.
Субпериостальные абсцессы верхней стенки вскрываются прямым разрезом по абсцессу или при орбитотомии. Лечение должно проводиться совместно с офтальмологом.
г) Интраорбитальный целлюлит или абсцесс возникают при распространении инфекции за периост. Симптомами являются диплопия, развивающаяся за счет поражения глазодвигательных мышц, и проптоз, причиной которого является сдавление глазного яблока абсцессом.
— Необходимо контролировать остроту зрения и внутриглазное давление. При возрастании внутриглазного давления возможно нарушение кровообращения, ведущее к слепоте. В подобных случаях действовать необходимо незамедлительно.
— Интраорбиталные абсцессы дренируются посредством орбитотомии с последующим назначением внутривенных антибиотиков. Лечение совместно с офтальмологом
д) При распространении инфекции к верхней глазничной щели сокращается объем движений глазного яблока из-за поражения III, IV, VI пар черепных нервов:
— Требуется оказание экстренной помощи, которая аналогична той, что оказывается при интраорбитальном абсцессе
— Лечение совместно с офтальмологом

е) Потеря зрения и наличие афферентного зрачкового дефекта (зрачок Маркуса Ганна) свидетельствует о поражении зрительного нерва на уровне между сетчаткой и зрительным перекрестом.
— Лечение совместно с офтальмологом, основная задача — декомпрессия зрительного нерва, ликвидация воспалительного процесса.
ж) О поражении кавернозного синуса свидетельствует вовлечение в процесс противоположного глаза с потерей объема движений или остроты зрения.
— Внутривенная антибиотикотерапия, профилактика или уменьшение проявлений тромбоза кавернозного синуса.
• Внутричерепные осложнения острого синусита:
а) Близость решетчатого лабиринта, лобной и клиновидной пазух к полости черепа делает возможным распространение инфекции и/или формирование абсцесса мозговых оболочек, эпидурального пространства, кавернозного синуса, внутренней сонной артерии и зрительного нерва.
— Необходимо экстренное оказание помощи, направленной в первую очередь на ликвидацию первичного очага инфекции. Симптоматика зависит от локализации инфекционного процесса. КТ и/или МРТ полезны для диагностики абсцессов, тромбоза кавернозного синуса, признаков повышения внутричерепного давления.
— Для определения локализации абсцесса, а также степени и выраженности инфекционного процесса необходим полный неврологический осмотр, исследование функции черепных нервов, глубоких сухожильных рефлексов
— Предшествовавший пероральный прием антибиотиков может смазать картину менингита (отсутствие или минимальная выраженность менингеальных симптомов, отека зрительного нерва, спутанности сознания, нарушений функции черепных нервов)
— Люмбальная пункция должна использоваться с осторожностью; при наличии повышенного внутричерепного давления она может способствовать вклинению ствола мозга. При использовании в нужной ситуации, люмбальная пункция позволят подтвердить диагноз менингита, а также получить культуру грибков/бактерий для анализа.
— Показано лечение антибиотиками широкого спектра действия, подбор антибиотика зависит от длительности и природы инфекционного процесса. К примеру, у пациентов, перенесших операции на околоносовых пазухах или нейрохирургические вмешательства, чаще высевается Staphylococcus aureus и пневмококк.
— Абсцессы дренируются нейрохирургом
б) Гематогенное распространение в субарахноидальное пространство и головной мозг:
— Диагностика и лечение зависят от локализации процесса
— Необходимость оперативного лечения зависит от продолжительности заболевания (церебрит или сформировавшийся абсцесс)

Схема развития интракраниальных осложнений синуситов:
1 - эмпиема лобной пазухи; 2 - эпидуральный абсцесс;
3 - твердая мозговая оболочка; 4 - краевые сращения (8) или развитие менингита в направлении, показанном пунктирной стрелкой;
5 - головной мозг; 6 -абсцесс; 7 - распространение гнойного воспаления на сагиттальный синус.
Видео этиология, патогенез синусита (гайморита)
Редактор: Искандер Милевски. Дата обновления публикации: 18.3.2021
Симптомы внутримозговых осложнений воспаления пазухи носа
К интракраниальным осложнениям синуситов относятся эпидуральный и субдуральный абсцесс, абсцесс головного мозга, менингит, энцефалит и тромбоз пещеристого синуса. Все интракраниальные осложнения начинаются с картины энцефалита, но по мере развития некроза и гнойного расплавления ткани головного мозга формируется абсцесс, отграничивающийся от остальной ткани мозга капсулой.
Диагностика. Важное значение для установления диагноза имеет КТ, которая позволяет также судить о поражении кости. При поражении мягких тканей, например при тромбозе пещеристого синуса, более информативна МРТ. Наиболее информативными методами диагностики абсцесса и опухоли головного мозга являются МРТ и КТ с введением контрастного вещества. При подозрении на менингит выполняют поясничную пункцию.
На рисунке ниже показаны основные пути распространения риногенной инфекции (обычно при синусите) в полость черепа. С анатомической точки зрения это можно представить следующим образом:
• прямое распространение инфекции в результате деструкции кости при остеите, некроза костной стенки околоносовой пазухи (например, в результате травмы);
• распространение инфекции при остеомиелите;
• распространение инфекции через кровеносные сосуды (обычно через вены кости, которые связывают околоносовую пазуху с полостью черепа);
• гематогенный занос возбудителей инфекции (гематогенное метастазирование).
а) Эпидуральный абсцесс при синусите. Клиническая картина. Типичные симптомы при эпидуральном абсцессе отсутствуют. Он может проявиться повышением температуры тела, головной болью и ощущением распирания в голове, недомоганием. Обычно четкая локальная симптоматика отсутствует. Изменения в ЦСЖ непримечательны. Эпидуральный абсцесс часто выявляют случайно на операции, выполняемой по поводу синусита, при которой выявляют картину остеита или некроза кости (например, задней стенки лобной пазухи).
Дополнительные методы диагностики. МРТ, КТ с введением контрастного вещества.
Дифференциальный диагноз. Эпидуральная гематома.
Лечение. Пораженную инфекцией околоносовую пазуху дренируют в полость носа, широко обнажая воспаленную твердую мозговую оболочку до здоровой ткани.
б) Субдуральный абсцесс при воспалении пазухи носа. Клиническая картина. Как и при эпидуральном абсцессе, типичные симптомы отсутствуют Больные могут жаловаться на головную боль; постепенно появляются признаки раздражения мозговых оболочек, в частности плеоцитоз при исследовании ЦСЖ, а также спутанность сознания, неврологические нарушения, судороги или гемипарез. В ЦСЖ изменения могут отсутствовать, давление ее повышается. Возможно развитие менингита с неблагоприятным исходом.
Диагностика. КТ и МРТ с введением контрастного вещества; неврологическое исследование; ЭЭГ; каротидная ангиография.
Дифференциальный диагноз. Субдуральная гематома с наличием крови в ЦСЖ.
Лечение. Дренирование пораженной околоносовой пазухи и субдурального абсцесса (через пути распространения инфекции) в сочетании с антибиотикотерапией высокими дозами препаратов.

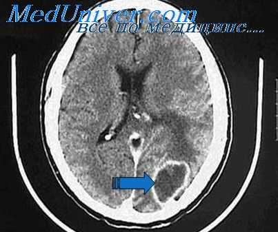
КТ при субдуральном абсцессе головного мозга
в) Риногенный абсцесс головного мозга. Обычно риногенный абсцесс головного мозга развивается при фронтите и лишь иногда при этмоидите. Еще реже наблюдаются случаи гематогенного абсцесса лобной доли.
Клиническая картина. Абсцесс лобной доли проявляется относительно скудной локальной симптоматикой. В течении заболевания выделяют 4 стадии: начальную, латентную, клинических проявлений и терминальную.
Обычно отмечаются общие симптомы, симптомы повышенного внутричерепного давления и очаговые симптомы. Диагностическое значение имеют прогрессирующее ухудшение состояния больного, иногда лихорадка, нарастающая сверлящая головная боль, болезненность при надавливании на свод черепа, тошнота, рвота, брадикардия, отек диска зрительного нерва, односторонняя аносмия, спутанность сознания, нарастающая сонливость, потеря ориентирования в окружающей обстановке, нарушение концентрации внимания, апатия и вялость, неадекватное поведение (неуместные шутки, эйфория), беспокойство, кома, паралич ЧН (в частности, I, III, VI).
Дополнительные методы диагностики. МРТ или КТ с введением контрастного вещества, нейрохирургическое обследование.
Лечение. Лечение абсцесса головного мозга, развившегося в результате инфекции полости носа или околоносовых пазух, зависит от стадии абсцесса, его размеров и локализации. В основе такого лечения лежит нейрохирургическое дренирование абсцесса мозга в сочетании с безотлагательным эндоназальным дренированием пораженной околоносовой пазухи.
Тромбоз синусов твердой мозговой оболочки
г) Тромбоз пещеристого синуса. Клиническая картина. К клиническим проявлениям тромбоза пещеристого синуса относятся отек верхнего и нижнего века, симптомы нарушения функции глазодвигательного нерва, проптоз, отек диска зрительного нерва, прогрессирующее ухудшение зрения вплоть до слепоты, хемоз, лихорадка постоянного или ремиттирующего типа с ознобом, головная боль, лабильный пульс, спутанность сознания. При анализе ЦСЖ выявляют увеличение количества лейкоцитов и концентрации белка. Отмечаются также признаки сепсиса (спленомегалия и характерная картина при исследовании крови).
Этиология и патогенез. Источником инфекции бывает фурункул верхней губы или носа (занос возбудителей происходит через угловую вену), абсцесс перегородки носа, сфеноидит, осложнившийся остеомиелитом, острый остеомиелит лобной кости, флегмона глазницы, петрозит с распространением воспалительного процесса на пещеристый синус.
Дифференциальный диагноз. Абсцесс глазницы, одонтогенная и тонзиллярная флегмона с симптомами сепсиса, отогенный синус-тромбоз и тромбоз, вызванный гематогенным заносом возбудителей из отдаленного септического очага (например, при стафилококковом сепсисе).
Лечение. При подозрении на тромбофлебит сразу назначают антибиотики широкого спектра действия в больших дозах в течение длительного периода, выбирая препараты, если возможно, с учетом результатов посева крови и определения чувствительности возбудителей к антибиотикам. Лечение включает также постельный режим, коррекцию водного баланса и гепаринотерапию. При фурункуле носа или верхней губы угловую вену пересекают и коагулируют или резецируют в зависимости от состояния тканей в месте, где проходит эта вена.
У некоторых больных с далекозашедшим тромбозом пещеристого синуса оправданна попытка его хирургического дренирования.
Прогноз. Неблагоприятный.
Осложнения. Осложнения включают менингит и сепсис (в том числе септические метастазы в легкие).
Также рекомендуем видео анатомии и топографии синусов твердой мозговой оболочки
д) Риногенный менингит. Клиническая картина типичного гнойного менингита. Высокая температура тела, гиперестезия, фотофобия, лабильность ЧСС, ригидность затылочных мышц, головная боль, рвота, джексоновские эпилептические припадки и двигательное беспокойство. Симптомы Кернига, Ласега (верхний) и Брудзинского положительные, в дальнейшем развивается опистотонус и ладьевидный живот.
Поражаются ЧН, особенно III и IV. При исследовании ЦСЖ выявляют высокий плеоцитоз (в норме не более 12/3 лейкоцитов/нейтрофилов в 1 мл ЦСЖ), значительное повышение давления (в норме 7-12 см вод.ст.), повышение концентрации белка (в норме 25—40/100 мл) и снижение концентрации глюкозы (в норме 40-90 мг/100 мл). Посев ЦСЖ позволяет выявить возбудителей инфекции.
Дополнительные методы диагностики. Поясничная или субокципитальная пункция, неврологическое обследование, бактериологическое исследование ЦСЖ; для исключения абсцесса головного мозга выполняют МРТ или КТ с введением контрастного вещества.
Дифференциальный диагноз. Нериногенный (например, эпидемический, вирусный) менингит, субарахноидальное кровоизлияние и другие заболевания, сопровождающиеся изменением состава ЦСЖ.
Лечение. Лечение состоит в безотлагательном хирургическом дренировании пораженной околоносовой пазухи с обнажением твердой мозговой оболочки и пластикой ее дефекта, если он имеется. Назначают высокие дозы антибиотиков под контролем частых анализов ЦСЖ, пока количество клеток в ней не снизится до уровня менее 100 мл-1. Рецидивы менингита могут быть связаны с дефектом основания черепа в области передней черепной ямки, поэтому его следует исключить или, если он имеется, закрыть.
Различия между гайморитом и синуситом

Чтобы понять, чем отличается синусит от гайморита, нужно помнить главное: синусит и гайморит – это, по сути, одно и тоже заболевание, которое заключается в воспалении околоносовых пазух в результате воздействия определенных факторов.
Отличия заключается только в названии: гайморитом (по имени британского ученого Натаниэля Гаймора) называется не что иное, как верхнечелюстной синусит. Верхнечелюстной – потому что он возникает в верхнечелюстных пазухах.
Отличительные черты гайморита и синусита
Оба заболевания –синусит и гайморит – протекают в острой форме, могут переходить в хроническую с обострениями.
Симптоматика заболеваний также схожа: это и головная боль, пульсирующая боль в висках, потеря обоняния, заложенность носа, повышенная утомляемость, высокая температура, слезящиеся глаза.
Причины возникновения заболеваний одинаковы: недолеченный ринит (насморк), стоматологическая инфекция, травмы носа, воздействие аллергенов.
Какие бывают синуситы
Наряду с верхнечелюстным синуситом (или гайморитом) выделяют другие виды синуситов: фронтит, этмоидит, сфеноидит.
Чаще всего синусит возникает из-за того, что в пазухи носа попадает патогенная микрофлора. Причем у острых синуситов это монокультура (бактериальный возбудитель): пневмококки, стрептококки, стафилококки или вирусная инфекция. А у хронических — смешанная микрофлора: стафилококк, синегнойная палочка, протей, грибковая инфекция или кишечная палочка. Кроме этого, возбудителем может стать ОРВИ, тампонада носа при кровотечениях, травмы полости носа.
Острый синусит часто проявляется у людей с искривленной перегородкой, необычным изгибом средней носовой раковины и т.д., а также у детей с проблемами с аденоидами.
Особенности и различия синусита и гайморита у детей
У детей острая форма синусита / гайморита проявляется длительным насморком, сухим кашлем по вечерам и ночью, чувством пересушенности горла, обильными выделения из носа утром, повышенной температурой, нарушением обоняния, общей интоксикация, утомляемостью, отсутствием аппетита, отечностью в пораженных областях. Болеть может как гайморовая пазуха, так и другие.
Симптомы гайморита: в возрасте до 5 лет появляется общая интоксикация, отеки, боль в пазухе, гнойные выделения. Если ребенок старше, то появляются головные боли, затрудненное дыхание, болевые ощущения в зубах, отсутствие слизи на задней стенке глотки, нарушение обоняния.
Осложнения
Все виды синуситов при отсутствии надлежащего лечения могут давать осложнения на другие внутренние органы и системы. Наиболее серьезные осложнения отмечены на нервную, сердечно-сосудистую системы, органы дыхания и ЖКТ. В числе возможных последствий – менингит, проблемы с сердцем и сосудами, ухудшение состояния почек. Вот перечень основных заболеваний, которые может спровоцировать синусит:
- органы дыхания: ангина, пневмония, бронхит;
- органы ЖКТ и мочеполовой системы: ухудшение работы почек, в ряде случаев почечная недостаточность;
- нервная система: менингит.
Кроме того, синусит / гайморит провоцирует сепсис – заражение крови, при котором по сути оказывается пораженным весь организм. Здесь стоит отметить, что подобное состояние возможно при тяжелых состояниях иммунной системы, при неправильном лечении или его отсутствии.
Терапия
Медикаментозное лечение
Перед лечением проводят диагностику на основании жалоб пациента, анамнеза, изучения клинических симптомов, проведение необходимых анализов.
Для лечения используют методы этиотропной, патогенетической и симптоматической терапии.
При этиотропной терапии назначают антибактериальные препараты на основе амоксициллина (β-лактамы), азитромицина (макролиды), левофлоксацина(фторхинолы). Принимать их следует по строгому назначению врача в соответствии с графиком. Если подобное лечение не помогает, то проводят пункцию (прокол пазухи и промывка специальным антисептическим раствором) или «ЯМиК»-катетеризацию.

Сиалор против насморка
- Устраняет воспаление и заложенность
- Борется с бактериями, не нарушая микрофлору
- Не содержит гормонов и антибиотиков
Есть противопоказания. Проконсультируйтесь со специалистом.
Симптоматическое лечение
Состоит из топических деконгестантов (для улучшения вентиляции околоносовых пазух), муколитиков (для улучшения отхождения слизи из пазух), местных антисептиков, ирригационной терапии («носовой душ»), топических глюкокортикостероидов, комбинированных средств (парацетамол, ибупрофен) для улучшения общего состояния и снижения температуры, при необходимости.
Если медикаментозное лечение не помогает, то необходимо провести операцию – прокол, в ходе которой гной удаляется из пазух.
Народные способы
В качестве вспомогательного средства при лечении синусита можно использовать народные средства. Предварительно лучше проконсультироваться со специалистом, чтобы не нанести вреда организму.
Такое лечение включает в себя паровые ингаляции на отваре трав, прогревание мешочками с песком или солью, настойки, аппликации, промывание носа морской водой или отварами трав. Эти средства достаточно эффективны, однако только в сочетании с основной терапией.
Профилактика
Закаливание, здоровый образ жизни, профилактика гриппа, заболеваний носовой полости, регулярные проверки у стоматолога, устранение физических дефектов носа помогут существенно снизить вероятность появления болезни.
Заключение
Все виды синуситов, в том числе гайморит, вылечить без специалистов невозможно. Медицина предлагает различные варианты терапии, более щадящие, чем хирургическое вмешательство – прокол. Сейчас этот метод используется только в самых крайних случаях. И, конечно, самым мощным оружием в борьбе против заболевания остается профилактика.
Чем опасен гайморит

Гайморит представляет собой воспаление в гайморовых пазухах, которые расположены по обе стороны носа, ниже глаз, вследствие попадания инфекции, размножения бактерий в них или при аллергической реакции. Заболевание охватывает одну или обе верхнечелюстные пазухи. Ему подвержены люди разных возрастов и чаще осенью-зимой. Летом существует риск при резких охлаждениях (кондиционеры, слишком холодное мороженое).
Главной опасностью заболевания является риск его перехода в хроническую форму, развитие пневмонии и других серьезных заболеваний, осложнения воспалительных процессов на другие органы. Хотя главной причиной развития гайморита является попадание в носовую полость вирусов и бактерий, начинающих активное размножение при недостаточно качественном лечении, есть и другие факторы заболевания:
- аномальное строение носовой полости;
- наличие аллергии;
- ослабленный иммунитет;
- аденоиды или полипы в носовой полости;
- длительное пребывание в помещениях с сухим воздухом;
- грибок;
- частое и бесконтрольное использование сосудосуживающих препаратов;
- туберкулез;
- наличие травмы слизистой носа.
Симптомы и формы гайморита
При гайморите характерно вечернее обострение симптомов, утром они ослабевают. Стоит обратить внимание на такие признаки:
- Нос заложен продолжительное время.
- Из носа выделяется слизь или гной.
- Температура выше нормы.
- Затрудненное дыхание.
- Озноб.
- Повышенная слабость и утомляемость.
- Пониженная работоспособность.
- Частые головокружения.
- Боль и давление в области переносицы, лба и глазниц, усиливаются при наклонах вниз.
- Сниженный аппетит.
При долгом отсутствии лечения возникают отеки, снижается или пропадает обоняние, заметны изменения в голосе. Характерной особенностью становится неприятный запах изо рта и привкус.
При подозрениях на гайморит следует обращаться за осмотром к лору. Во время диагностики врач жалобы, симптомы, строение носовой полости с помощью снимка для того чтобы определить, как лечить и каких мер предосторожностей придерживаться.
По типу проявлений гайморит можно разделить на такие формы:
- Вирусный – заложенный нос, прозрачные выделения, небольшое повышение температуры. Возможно вылечить за 5 дней.
- Бактериальный – густые выделения желтого цвета, боль в области переносицы, высокая температура, слабое самочувствие.
- Аллергический – отекшая слизистая оболочка вследствие воздействия аллергена. Жидкие выделения из носа, частые чихания.
Виды осложнений гайморита
Осложнения возникают при гнойном гайморите в запущенной форме из-за недостатка кислорода в носовой полости. В связи с этим инфекция размножается быстрее, гнойное содержимое, которое образуется в результате, не имеет выхода наружу.
Выделят внутричерепные, орбитальные осложнения, пневмоцеле и другие.
Внутричерепные осложнения - менингит, абсцессы, тромбоз пищевых синусов - возникают при попадании гнойных образований в оболочки мозга, его передние и глубинные отделы. Такие осложнения опасны, при отсутствии мер есть риск хирургического вмешательства и серьезных последствий. Риск осложнений заключается и в высоком проценте летальных исходов: почти 35% случаев заканчиваются смертью пациента.
Орбитальные осложнения развиваются вследствие разрушенных из-за воспаления стенок пазух и возникают по причине узкого положения пазух и глазниц. Такие осложнения часто встречаются среди пациентов, не достигших 18 лет. Разрушения распространяются на глазницы, лоб, могут перейти в шейный отдел. При воспалении глазниц появляется заметная краснота и отеки, нарушения зрения, сильная головная боль из-за давления на глазницы, спутанное сознание.
Пневмоцеле – возникновение опухоли в области лба. Определить можно при помощи МРТ.
Гайморит способен повредить слух, пациент начинает слышать звуки инородного происхождения, испытывать сильную боль и может потерять слух. Заболевание способно нарушить работу мочеполовой системы, поскольку путем циркуляции крови инфекция разносится по всему организму и приводит к воспалениям.
Методы лечения гайморита
Лечение зависит от стадии заболевания, количества гноя и состояния пациента. Обычно достаточно щадящих методов в виде противовоспалительных препаратов и средств для облегчения дыхания, промывание носа, прием антибиотиков и использование антисептических средств. Во время лечения используются препараты на основе морской воды, поскольку она качественно очищает носовые пазухи от гноя без побочных эффектов.
В случае возникновения болезни из-за аллергической реакции потребуются антигистаминные средства. Если она возникла из-за болезней зубов, необходимо проводить лечение параллельно с лечением зубов.
Важно абсолютное соблюдение рекомендаций врача. Недостаточное лечение способно обострить течение болезни. В таком случае возможно хирургическое вмешательство, поскольку медикаменты не справляются с выделяемым количеством гноя, из-за чего пациенту становится сложнее дышать и общее состояние ухудшается. Гной может распространиться в области глазниц и в отделы мозга, что может нанести серьезные последствия для всего организма.
Под хирургическим вмешательством подразумевается пункция. Это - прокол нижней стенки носового прохода с целью выкачивания гноя, очищения носовой полости физраствором и противовоспалительными препаратами. После операции состояние пациента улучшается и ему остается пройти курс реабилитации. Процедура происходит под анестезией и безопасна для организма, но требует тщательной подготовки перед ее выполнением.
В некоторых ситуациях собранный при помощи пункции гной исследуют в лаборатории. Это необходимо для правильного подбора препаратов в период реабилитации и для предупреждения повторного возникновения гайморита.
Метод физиотерапии используется в случаях, когда стадия заболевания позволяет его вылечить без применения пункции. Физиотерапевтические процедуры включают воздействие теплом, световым излучением либо магнитным полем на высоких частотах. Ткани прогреваются, за счет чего усиливается кровообращение и повышаются защитные механизмы организма. В зависимости от ситуации назначают или один вид процедур, или применяют комплексный метод. Данный метод лечения не допустим при заболеваниях крови и сердечно-сосудистой системы, при пониженном давлении и наличии опухолей.
Популярностью пользуются народные методы лечения заболевания. Однако их применение при гайморите не рекомендуется без назначения врача. Ингаляции на основе лекарственных трав, паров картофеля, настойки прополиса, промывание носа раствором поваренной или морской соли будут эффективной помощью в лечении гайморита, только если состояние пациента и стадия заболевания это позволяют.
Капли от гайморита, приготовленные в домашних условиях на основе сока алоэ, меда, чистотела, масла облепихи или шиповника тоже должны применяться только под контролем лечащего врача.
Дополнительные рекомендации
Существует ряд противопоказаний при лечении гайморита, главным из которых является самостоятельное лечение, грозящее ухудшить течение болезни. Недопустимо прогревание носа, это приведет к более интенсивному размножению инфекции и серьезным осложнениям. Решение об окончании лечения принимает врач после контрольного осмотра. Он включает в себя повторный рентгеновский снимок или томографию.
Особо осторожными следует быть беременным женщинам из-за ослабленного иммунитета. В период беременности недопустимо самолечение в домашних условиях. Врачом назначаются щадящие препараты с учетом срока плода, состояния здоровья будущей мамы.
Соблюдение основных рекомендаций послужит профилактикой гайморита. Важно тепло одеваться в холодные времена года, не допускать переохлаждения. Умеренная и систематическая нагрузка, а также сбалансированное, богатое полезными микроэлементами питание позволят укрепить иммунитет и усилить защитные функции организма. Регулярные медосмотры и приемы курсов витаминов по назначению врача окажут дополнительный укрепляющий эффект для организма. Укрепить дыхательную систему помогают специальные упражнения для дыхания, посоветовать которые также может врач.
Следует также помнить о рисках осложнений гайморита. Именно врач поможет определить, с какой формой и степенью гайморита пришлось столкнуться, и назначит лечение, чтобы их избежать.
Лобный синусит (фронтит)

Самыми распространенными последствиями перенесенных (и недолеченных!) простудных заболеваний являются синуситы. В отличие от обычного ринита (насморка), при котором воспаляется слизистая полости носа, при синуситах процесс затрагивает околоносовые пазухи.
Одними из таких пазух являются лобные, которые расположены слева и справа от центра лобной кости над глазами. Воспаление слизистых оболочек лобных пазух – это фронтит (от frontalis — «лобный») или лобный (фронтальный) синусит. Часто его называют «лобный гайморит», однако это неправильно, точное название данного заболевания – именно «лобный синусит» или «фронтит».
За последние годы возросло количество случаев лобного синусита, при этом больше всего отмечен прирост заболеваемости в хронической форме. Патология, в основном, встречается в детском и подростковаом возрастах. Среди взрослых заболеванию более подвержены мужчины.
Воспаление лобной пазухи
Причинами воспаления могут выступать вирусы (риновирус, аденовирус, коронавирус), бактерии (стафилококк, стрептококк, гемофильная палочка) или грибки, которые проникают из носовой полости.
Перенесенный ринит, инфекция из носоглотки, воспалительный процесс в других пазухах носа (например, в гайморовых), озена, сезонная аллергия, снижение иммунитета при переохлаждении или стрессе, травмы носа, искривление носовой перегородки, попадание инородного тела, полипы, кисты в носовой полости - все это может стать причиной возникновения фронтита.
Лобный синусит возникает и при наличии определенных факторов, связанных с условиями жизни и деятельности человека. Так, загрязненная атмосфера, особенно в зоне промышленных предприятий, пыльные и загазованные помещения, вредные производства или профессиональные травмы (например, баротравмы дайверов, подводников, пилотов) приводят к сбоям в работе иммунной системы организма и, как результат, – к фронтиту.
К развитию лобного синусита может привести переохлаждение головы в осенне-зимний период при нежелании носить головной убор, неумение правильно сморкаться, а также общее истощение организма на фоне болезни или восстановления после травмы и операции.
Развитие фронтального синусита характеризуется скоплением гноя в пазухах, а это, в свою опасно, чревато тяжелыми осложнениями.
Разновидности фронтита
Виды фронтита различаются в зависимости от путей проникновения инфекции, типа и времени развития патологии.
- Острый фронтит. Характеризуется внезапным возникновением воспалительного процесса, развитие - быстрое, окончание заболевания – полное.
- Хронический фронтит. Возникает как следствие плохо вылеченной острой формы заболевания; длительные периоды обострения сменяются короткими паузами ослабления симптомов.
- Аллергический фронтит. Немедленная реакция на аллергены: частое чихание, зуд носа и глаз, температура в норме или слегка повышена.
- Вирусный фронтит. При воздействии вируса быстро подниматься температура, беспокоят боль в горле, чихание; износа выделяется жидкая полупрозрачная слизь.
- Бактериальный фронтит. При бактериальной атаке температура повышается, медленнее, чем при вирусной. Больного не беспокоят зуд и чихание, а слизь формируется густая, с характерным оттенком.
- Катаральный фронтит. Заявляет о себе тяжестью в лобной области, заложенностью носа; может не давать осложнений, или перейти в гнойную стадию.
- Гнойный фронтит. Образование и скопление гнойного содержимого в лобных пазухах пагубно влияет на состояние больного; возможны потеря сознания, распространение инфекции на головной мозг и его оболочки.
- Пневмосинус. Особая форма фронтита, которая характеризуется давлением на лобную пазуху изнутри; воздух в пазуху поступает, но выхода для него нет. В этом случае воспаление может отсутствовать, а боль в лобной части будет ощущаться.
Независимо от типа фронтита он может затрагивать одну пазуху (правую или левую) или быть двусторонним, когда в воспалительный процесс вовлечены обе пазухи.
Симптомы фронтита
Лобный синусит – заболевание серьезное. О развитии патологии сигнализируют его характерные симптомы:
- головная боль может быть разлитой или локализоваться в определенном месте (лобная часть, возле бровей);
- повышение температуры (до 40°С) с появлением лихорадки у детей и озноба у взрослых;
- заложенность носа, затруднение дыхания, снижение или отсутствие обоняния (гипосмия/аносмия);
- проблемы со зрением, слезотечение, развивающаяся светобоязнь;
- скопление слизи в носовых ходах, затрудненность ее удаления;
- покраснение и отечность кожи над переносицей и веками;
- появление зубной боли и боли в ушах;
- общая слабость и головокружение.
Своевременное обращение к отоларингологу поможет поставить правильный диагноз.
Симптомы острого фронтита
- при наклонах головы вниз появляется интенсивная головная боль;
- выделение из носовых ходов слизи, окрашенной в желтый или зеленый цвет;
- появление отеков вокруг глаз;
- сильная головная боль может отдавать в уши и виски.
Симптомы хронического фронтита
- течение болезни проходит приступообразно: ремиссии сменяются обострением;
- при обострениях появляются симптомы острого фронтита, при ремиссии сохраняются давление и тяжесть в лобной части головы, усиливающиеся при наклонах и нагрузках;
- в висках появляется пульсирующая боль; беспокоит постоянная ноющая головная боль;
- присутствуют выделения из носа, часто они имеют примеси гноя и крови; но чувства полной заложенности нет;
- сохраняются отеки, давление в глазах;
- по утрам из-за стекания гнойной слизи по задней стенке глотки могут появляться отхаркивание мокроты и тошнота;
- повышена утомляемость.
Одним из главных показателей развития патологического процесса при фронтите является температура. При острой форме, которая при надлежащем лечении длится 3 недели, гипертермия может достигать 38–40°С. При хронической форме температура может быть незначительной или отсутствовать,однако нормотермия при лобном синусите не свидетельствует о выздоровлении, также сохраняются характерные боли.
Главные признаки заболевания лобным синуситом – это постоянные ноющие головные боли. Они носят характер распирания, сжимания, пульсации, усиливаются при наклонах головы вперед или выполнении физических нагрузок. Болезненность может появиться из-за вибрации при поездках в транспорте.
При переохлаждении или последствиях ОРВИ в лобных синусах увеличивается давление, боли нарастают. Бессонница и умственное напряжение, переутомление и прием кофе или алкоголя могут усилить симптомы даже без обострения заболевания – боль становится сильной, невропатической.
Самая интенсивная точка боли в области лба отмечается над переносицей (выше на 2 см). Если воспалена одна из пазух, боль сильнее локализуется с одной стороны. При постукивании по лбу появляется ноющая боль. При наличии воспаления при надавливании на надбровные дуги боль будет держаться долго.
Обострения фронтита
Если лечение не было начато вовремя, симптомы заболевания усиливаются, интоксикация возрастает. Гипертермия, чувство разбитости, общее плохое самочувствие могут соседствовать с головокружениями и вегетативными нарушениями.
Возникает вторичное воспаление слезного мешка (дакриоцистит). В лобных пазухах могут появиться полипы, свищи, опухолевидные образования (холестеатомы) и слизистые кисты (мукоцеле).
Все это способствует появлению язв на стенках пазух, а инфекция может проникнуть в надкостницу и кость.
Фронтит: осложнения и последствия
Хроническая стадия фронтита опасна своими осложнениями. Перенесенная ОРВИ или простая простуда часто вызывает обострение болезни, которое длится около трех–четырех недель.
При переходе фронтита в хроническую стадию возникает опасность проникновения гнойного содержимого пазух через задние стенки внутрь черепа. Последствием этого может стать тяжелейший гнойный менингит или абсцесс.
Если гнойная инфекция проникнет через тонкую нижнюю стенку пазухи, то серьезно пострадают глазницы.
Эти осложнения очень опасны, так как могут привести к летальному исходу.
Последствия недолеченного фронтита сказываются на других органах и приводят к воспалительным процессам в миндалинах, костях, тканях сердечной мышцы, конъюнктивиту и повреждению зрительного нерва, отиту или пневмонии.
Диагностика
Правильный диагноз может поставить только врач, чаще всего обращаются к отоларингологу. Осмотр пациента при помощи специальных инструментов(риноскопа и эндоскопа), проведение УЗИ, рентгена и томографии позволяют определить состояние слизистой, объемы и строение лобных пазух, а также место расположения инфекционного процесса.
Анализ крови, бактериологические и цитологическое исследования дополняют клиническую картину и помогают выбрать направление лечения пациента.
Могут назначаться пробы на аллергены. В сложных случаях необходимыми являются консультации офтальмолога и невролога.
Методы лечения
Если нет показаний для хирургического вмешательства, лечение фронтита проводится консервативно.
После установки диагноза выбираются проверенные терапевтические методы:
- прием антибиотиков;
- борьба с отеками;
- применение антигистаминных препаратов, капель и спреев от насморка;
- промывания и орошение солевыми растворами, зондирование, носовой душ, введение тампонов;
- физиотерапевтические мероприятия (ингаляция, УВЧ и др.).
Лечение в домашних условиях
Такое лечение разрешает только врач при легкой форме заболевания. Пациенту назначаются лекарственные препараты и выдаются рекомендации, которые нужно строго выполнять это касается различных промываний и ингаляций, которые можно выполнять в домашних условиях, в том числе – применяя народные средства.
Самые известные – ингаляции, представлябщие собой вдыхание паров отваров лекарственных трав (ромашки, чабреца, лаврового листа) с добавлением нескольких капель эфирных масел (эвкалипта, чайного дерева). Можно проводить ингаляции при помощи отварного картофеля (картофель для этого нужно очистить).
Прокол при фронтите
Без прокола можно очистить пазухи и ввести лечебные препараты с помощью специального катетера Ямик. Если фронтит переходит в тяжелую затяжную стадию, требуется выполнить прокол, что позволит очистить пазухи от гноя.
В более сложных случаях требуется операция трепанопункции, при которой в отверстие пазухи вводят специальную трубку (канюлю). С ее помощью проводят промывание и введение антибиотика.
Такие хирургические вмешательства выполняются под местной анестезией.
В особо тяжелых случаях назначается открытая операция.
Рекомендации после операции прокола
После проведения операции пациенту на 4–5 дней назначают сосудосуживающие капли. Врач объясняет, как необходимо ухаживать за послеоперационной раной, дает рекомендации по избегнию простуд и других вирусных заболеваний.
Если боли после прокола не проходят в течение нескольких дней или рана плохо заживает, нужна консультация врача.
Препараты для лечения фронтита
Медикаментозное лечение назначает врач в зависимости от типа заболевания, особенностей протекания болезни и анамнеза пациента.
Если патологию спровоцировали бактерии, назначаются антибиотики. Длительность их применения составляет 7–10 дней. В легких случаях назначают спреи с антибиотиками или таблетки, в тяжелых – препараты широкого спектра действия, или, после проведения всех анализов, применяют узконаправленные антибиотики.
Вводить антибиотики можно внутримышечно и внутривенно. Иногда лекарство доставляется в очаг воспаления прямо через лобную кость.
После лечения антибиотиками могут назначаются препараты для поддержания микрофлоры кишечника.
Если фронтит развился в результает вирусного воздействия или аллергии, антибиотики применять нельзя.
В таких случаях назначают антигистаминные, противоотечные препараты.
Хорошие результаты дает использование сульфаниламидов или гомеопатических средств.
Чтобы избежать такого серьезного заболевания, как фронтит, необходимо:
- серьезно относиться к лечению любого насморка;
- уделять внимание лечению простудных заболеваний, а также болезней носоглотки;
- постоянно промывать нос морской водой;
- правильно питаться, соблюдать питьевой режим, употреблять необходимый набор витаминов;
- одеваться по сезону, избегая переохлаждений и сквозняков;
- поддерживать иммунитет (спать по 8 часов, придерживаться режима труда и отдыха);
- избегать травм головы и носовой перегородки;
- бывать на свежем воздухе, особенно в хвойном лесу;
- поддерживать физическую форму;
- сохранять здоровый микроклимат в доме: регулярно проводить проветривание и увлажнение воздуха, особенно во время отопительного сезона;
- санаторно-курортное лечение;
- при подозрении на болезнь немедленно обратиться к отоларингологу.
Лобный синусит (в народе – «лобный гайморит») – заболевание сложное и опасное, которое чревато многими осложнениями и серьезными проблемами со здоровьем. Важно соблюдать меры предосторожности, чтобы не допустить его развитие из обычной простуды или ОРВИ. Если же появились первые симптомы болезни, важно как можно быстрее обратиться к врачу: богатый арсенал современных методов лечения поможет устранить проблему, не прибегая к хирургическому вмешательству и не доводя до развития хронической формы.
Читайте также:
