Причины холестеатомы (эпидермоида) верхушки пирамиды
Добавил пользователь Евгений Кузнецов Обновлено: 28.11.2025
Причины и клиника заболевания верхушки пирамиды
В практике оториноларинголога общего профиля заболевания верхушки пирамиды встречаются редко. Гораздо чаще с ними сталкиваются отиатры и отоневрологи. Заболевания верхушки пирамиды однозначно должны рассматриваться как одна из возможных причин снижения слуха, тиннитуса, вертиго, шаткости, болей в ушах или головной боли. Заподозрить поражение верхушки пирамиды нужно при сочетании любой из вышеперечисленных жалоб с парезом или параличом отводящего нерва.
В статьях на сайте мы рассмотрим клиническую картину, диагностику и лечение наиболее распространенных заболеваний верхушки пирамиды височной кости.
а) Анатомия. Верхушка каменистой части височной кости (pars petrosa, от греческого летра, камень) имеет форму треугольника. Основание ее обращено в латеральную сторону, а верхушка — в медиальную, отклоняясь на 45° от оси пирамиды. Медиальной поверхностью пирамиды называют медиальную поверхность височной кости, другие поверхности называют соответственно их расположению.
Под верхушкой понимают часть пирамиды, расположенную медиальнее внутреннего уха, сонной артерии и слуховой трубы. Эти структуры находятся у основания верхушки пирамиды. В области верхушки находится внутренний слуховой проход (ВСП) и канал каменистой части внутренней сонной артерии. Небольшая вырезка на самом верхнем и медиальном крае пирамиды соответствует каналу Дорелло.
Небольшой отрог твердой мозговой оболочки формирует сам канал, в котором проходит шестой черепной нерв. В пределах небольшого углубления на верхнепередней поверхности верхушки располагается меккелева ямка (тройничное вдавление) с тройничным ганглием. Полукружное возвышение, расположенное латеральнее, примерно соответствует верхнему полукружному каналу. В норме в верхушке имеются воздухоносные клетки, которые распространяются сюда из области среднего уха вдоль определенных именных трактов над и под улиткой. Степень пневматизации может быть различной, как между правым и левым ухом у одного человека, так и у разных людей. В непневматизированной кости верхушка плотная. В губчатой кости пирамиды может содержаться определенное количество костного мозга.

б) Патогенез болезней верхушки пирамиды височной кости. Патогенез зависит от сущности поражения. Заболевание может происходить из самой верхушки (например, эпидермоидная или холестериновая киста), иметь сосудистую природу (аневризма),распространяться из вышележащих анатомических областей (ликворная киста, цефалоцеле), прорастать в верхушку из соседних областей (менингиома, происходящая из расположенной рядом твердой мозговой оболочки), быть следствием метастатического поражения височной кости (злокачественные новообразования молочных желез, предстательной железы, почек, легких, злокачественная меланома).
в) Данные клиники и осмотра при заболевании верхушки пирамиды височной кости. Данные осмотра и клиники часто не соответствуют изменениям, обнаруживаемым на КТ или МРТ. Иногда пациенты предъявляют лишь неспецифические жалобы. До тех пор, пока образование не увеличится до таких размеров, что начнет сдавливать внутреннее ухо, внутренний слуховой проход, больные могут говорить о заложенности уха без явного снижения слуха или шума, иногда заложенность может дополняться болью или ощущением давления в области лица, нарушениями чувствительности в области лица, головными болями.
Врач должен очень внимательно отнестись к особенностям, продолжительности и локализации неприятных ощущений. При хорошем знании анатомии верхушки пирамиды и прилегающих структур можно заподозрить поражение верхушки уже на этом этапе. Сбор анамнеза и жалоб может быть самым важным этапом диагностического поиска, даже более важным, чем осмотр, потому что данные осмотра очень часто неспецифичны или нормальны.
Следует особое внимание уделить тем жалобам, которые могут быть следствием поражения верхушки: снижению слуха, заложенности в ухе, шуму в ушах, головокружению, гипостезии или болям в области лица, парезу лицевого нерва и головной боли. Следует выполнить полный отиатрический осмотр и осмотр органов головы и шеи, уделяя особое внимание ЧН II—XII.
Почти всегда обследование должно включать отомикроскопию с тщательнейшим осмотром каждого квадранта барабанной перепонки. Корки, особенно в области ненатянутой части, могут скрывать патологический процесс. При возможности их следует размочить и удалить.
Минимальная клиническая оценка слуха должна включать в себя камертональные пробы на частоте 512 Гц, при наличии необходимости и возможности и на других частотах. Результаты аудиометрии должны совпадать с результатами камертональных проб. Если пациент жалуется на шум в ухе пульсирующего характера, следует внимательно прослушать область шеи, уха, сосцевидного отростка и глазниц в тихом помещении, желательно в аудиометрической кабине. По показаниям исследуется состояние вестибулярного анализатора: пробы Ромберга, Квикса, Фукуды, отолитовые пробы, например, маневр Дикса-Холлпайка. Исследование индуцированного нистагма при тесте с резкими поворотами головы позволяет предположить сторону и/или локализацию поражения.

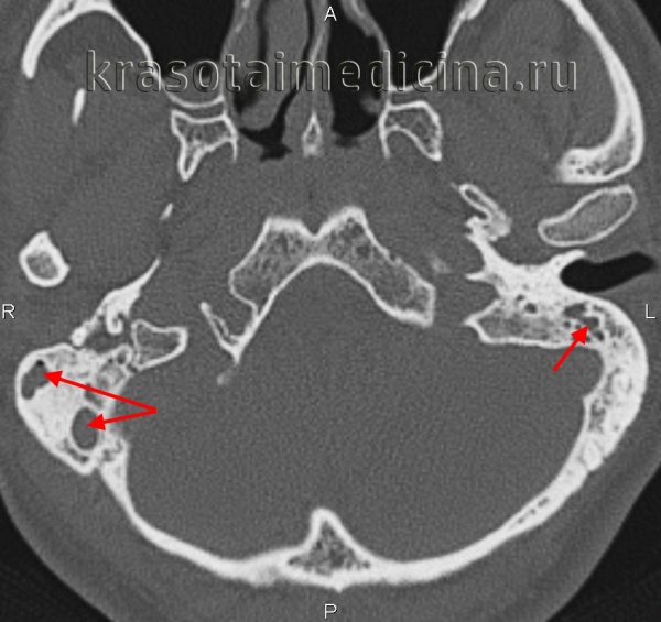
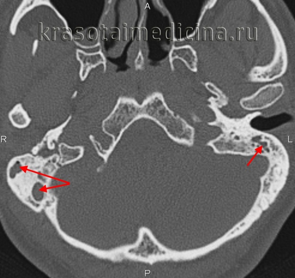
Компьютерная томография височных костей, на которой определяется
распространенное образование верхушки правой пирамиды с тонкими костными стенками.
Редактор: Искандер Милевски. Дата обновления публикации: 18.3.2021
Петрозит
Петрозит – это воспалительный процесс, локализованный в области пирамиды (каменистой части) височной кости, реже поражающий исключительно её верхушку и протекающий по типу остеита или остеомиелита. Характерными проявлениями заболевания являются синдром Градениго (боли, гноетечение, нейропатия) в сочетании со снижением слуха, лихорадкой. Диагностика основывается на данных клинической картины, результатах лабораторных анализов, рентгенологического исследования, КТ, МРТ височных костей. Осуществляется комплексное лечение, выполняются дренирующие хирургические операции на фоне массивной антибактериальной терапии.
МКБ-10

Общие сведения
Петрозит является осложнением гнойно-воспалительных заболеваний наружного и среднего уха. Иногда развивается после хирургических вмешательств на сосцевидном отростке. Встречается преимущественно у лиц с выраженной пневматизацией пирамиды височной кости, которые составляют около 30% всего населения. Благодаря широкому применению антибиотиков в оториноларингологической практике в последние годы петрозит наблюдается очень редко, осложняет течение 1-5% случаев отитов. По частоте встречаемости занимает 25 место среди всех осложнений патологии среднего уха. Мужчины болеют в 1,5 раза чаще женщин.

Причины петрозита
Возбудителями болезни чаще всего становятся пневмококки, гемолитические стрептококки и синегнойная палочка. Реже этиологическим фактором являются другие представители кокковой микрофлоры. Описаны единичные случаи височного остеомиелита, вызванного микобактериями туберкулёза. Петрозит у таких пациентов развивался на фоне генерализованного специфического процесса. Очень редко заболевание индуцируется грибками. Распространению инфекции способствуют высокая вирулентность микроорганизмов. К факторам риска развития тяжёлой патологии относятся:
- Гиперпневматизация височной кости. Чаще страдают пациенты с высокой степенью пневматизации пирамиды. Наиболее тяжело болезнь протекает при диплоэтическом (спонгиозном) строении костной ткани, когда в каменистой части присутствует большое количество мелких ячеек, заполненных воздухом.
- Иммунодефицитные состояния, гиповитаминозы. Петрозит осложняет течение отитов, мастоидитов при нарушении функций факторов общей и локальной иммунной защиты. У детей данную патологию часто провоцирует снижение местного иммунитета на фоне ветряной оспы, краснухи или кори. Основным предрасполагающим фактором у взрослых служит сахарный диабет. Развитию болезни способствует общее истощение больного, недостаток витаминов в рационе.
Патогенез
Ячейки височной кости, окружающие лабиринт, сообщаются со средним ухом посредством узких извилистых клеточных ходов. При значительном снижении сопротивляемости организма инфекция распространяется по этим ходам или гематогенным путём. Развивается остеомиелит. Отток гноя затруднён, еще больше ухудшается при формировании грануляций. Происходит гнойное расплавление костной ткани. В зависимости от варианта пневматизации воспаление охватывает всю пирамиду или ее отдельные участки. При изолированном поражении верхушки формируется петроапицит.
В гнойно-воспалительный процесс вовлекается головной мозг и его оболочки. Апицит приводит к возникновению ограниченного верхушечного лептоменингита либо, распространяясь дальше по верхней части пирамиды, вызывает воспаление оболочек мозга в области средней и задней черепных ямок. В результате могут развиваться тромбозы кавернозного синуса, нейропатии III – VI, IX – XII черепно-мозговых нервов. Петрозит с поражением нижней поверхности костной структуры провоцирует прорыв гноя в носоглотку.
Классификация
Остеомиелит может охватывать пирамиду полностью или только её верхушку. Петрозит бывает передним, локализованным в передних надлабиринтном и подлабиринтном, а также прекохлеарном пространствах и задним, провоцирующим воспаление в задних над- и подлабиринтных ячейках и транслабиринтном участке. По клиническому течению выделяют следующие формы заболевания:
- Молниеносная. Возникает у грудных детей. Характеризуется бурным распространением инфекции с гангренозным поражением окружающих мягких тканей, 90% летальностью. Протекает по типу септикопиемии.
- Острая. Развивается в детском возрасте. При этой форме наблюдаются прорывы гноя в полость черепа и носоглотку, венозные тромбозы и поражения вестибулярного аппарата.
- Подострая. Наиболее распространенный вариант. Выявляется у молодых взрослых и в пожилом возрасте. Характерно чередование периодов ремиссии с обострениями, постепенное вовлечение в патологический процесс черепных нервов.
Симптомы петрозита
Первые симптомы осложнения появляются на 3-4 неделе острого среднего отита или в послеоперационном периоде после хирургического вмешательства на среднем ухе, сосцевидном отростке. Классический петрозит проявляется триадой Градениго, включающей в себя резкие боли со стороны поражения, гноетечение из уха и нейропатию отводящего нерва, однако из-за антибиотикотерапии часто определяются не все характерные для данной триады симптомы. Иногда клиническая картина дополняется другими проявлениями болезни.
Петрозит манифестирует болевым синдромом. Боль локализуется на стороне поражения, обычно ощущается глубоко в ухе или ретроорбитально. Гемикраниалгия усиливается в ночное время, может носить приступообразный характер, иррадиировать в зубы, затылок и область лба. Другим патогномоничным признаком патологии является оторея. Присутствует обильное гноетечение из больного уха, выделения могут быть зловонными. На возможность развития височного остеомиелита указывает внезапное появление массивной отореи после радикальной операции или антромастоидотомии.
Парез VI черепно-мозгового нерва становится причиной нарушения подвижности глазного яблока. Наблюдается косоглазие, диплопия. Возможно поражение других черепных нервов. У пациентов выявляется опущение века, офтальмоплегия и прочие неврологические симптомы. Значительно снижается слух. Иногда петрозит сопровождается прорывом гноя в лабиринт. В процесс вовлекается преддверно-улитковый нерв, возникают головокружения, нарушения равновесия.
Симптомы общей интоксикации обычно резко выражены. Температура тела у детей и молодых взрослых повышается до фебрильных и гипертермических значений. У пожилых людей чаще наблюдается субфебрилитет. Присутствует общая слабость, утомляемость. Даже при отсутствии болей настроение пациента снижено, отмечается подавленность. По мере прогрессирования болезни сознание нарушается вплоть до коматозного состояния.
Осложнения
Исходом неврита слухового нерва становится нейросенсорная тугоухость. Иногда наступает полная глухота. Другим осложнением петрозита, сопровождающимся выраженным снижением слуха, является лабиринтит. Изредка встречается поражение зрительного нерва со слепотой на один или оба глаза. Распространение инфекции по нижней поверхности пирамиды приводит к образованию натёчных абсцессов носоглотки, шейных клетчаточных пространств и средостения.
Диагностика
Диагностический поиск при подозрении на петрозит осуществляет врач-оториноларинголог. При сборе анамнеза уточняются предшествующие операции на ЛОР-органах, длительность течения отита, учитывается наличие сопутствующей патологии. Осмотр выявляет отёчность мягких тканей заушной области, признаки отореи. При пальпации ушной раковины и соответствующей половины головы наблюдается резкая болезненность. Визуально определяются симптомы парезов черепных нервов, нистагм. Окончательный диагноз устанавливается на основании результатов следующих процедур:
- Эндоскопия.Отоскопия позволяет выявить достоверные признаки воспаления в области наружного слухового прохода, среднего уха. Определяется отёк и помутнение барабанных перепонок, в большинстве случаев присутствуют перфорации, слуховые проходы заполнены гноем. Осуществляется забор гнойного отделяемого.
- Лабораторные исследования. Лейкоцитоз, нейтрофильный сдвиг формулы периферической крови отражают наличие воспаления в организме. Исследование спинномозговой жидкости позволяет подтвердить или исключить гнойный менингит. С помощью культурального метода выявляется возбудитель заболевания, определяется его чувствительность к антибиотикам.
- Визуализационные методики.Рентгенография височных костей по Стенверсу визуализирует зоны воспаления и расплавления костной ткани. КТ, МРТ дают возможность более точно локализовать патологический процесс, выявить внутримозговые осложнения. С помощью этих методик осуществляется дифференциальная диагностика петрозита с новообразованиями височной кости. С этой же целью иногда выполняется радиоизотопное сканирование костей черепа.
Вспомогательными методами диагностики являются аудиометрия, камертональное исследование, которые используются для определения степени снижения слуха. Петрозит следует дифференцировать с доброкачественными и злокачественными опухолями черепа и головного мозга, аневризмой сонной артерии, гистиоцитозом Х. Пациентов консультируют онкологи, нейрохирурги. В неясных случаях выполняется биопсия каменистой части виска.
Лечение петрозита
Пациенты с диагностированным петрозитом подлежат госпитализации в отделение оториноларингологии. Выбор тактики лечения зависит от распространённости процесса, наличия осложнений. Несмотря на несколько описанных в зарубежной литературе случаев успешного консервативного лечения заболевания, предпочтение отдаётся комплексному подходу к ведению пациента. Оперативные вмешательства сочетаются с массивной антибактериальной терапией.
Консервативная терапия
Основу фармакологического лечения остеомиелита височной кости составляет антибактериальная терапия. Оптимально назначение медикаментов с учетом результатов определения чувствительности микрофлоры к антибиотикам. При отсутствии такого исследования лечение назначается эмпирически. Обычно применяются защищённые аминопенициллины, цефалоспорины 3-4 поколения, линкозамиды. Препараты вводятся в высоких дозах, парентерально. Одновременно осуществляется коррекция уровня глюкозы крови, проводится общеукрепляющая терапия.
Согласно публикациям некоторых зарубежных авторов, неосложнённый петрозит можно полностью излечить консервативными методами. Описано несколько случаев выздоровления пациентов с полным восстановлением функции отводящего нерва. Такие больные нуждаются в постоянном медицинском наблюдении, регулярном динамическом рентгеновском контроле. Однако чаще консервативное лечение применяется перед оперативным вмешательством и после него.
Хирургическое лечение.
Оперативное вмешательство показано при отсутствии положительного эффекта от проводимой антибактериальной терапии. В целях профилактики жизнеугрожающих состояний многие специалисты рекомендуют сразу после постановки диагноза активно наладить отток гноя из поражённого участка кости. Для этого выполняется антромастоидотомия или общеполостная операция. При вторичном послеоперационном нагноении для улучшения оттока гноя рекомендуется тщательно прочистить и расширить свищевые каналы. При неэффективности такого лечения височная кость подвергается частичной резекции.
Прогноз и профилактика
Своевременное выявление и ранее начало лечения заболевания ведёт к полному выздоровлению больного с обратным развитием нейропатий. Прогноз значительно ухудшается при присоединении внутримозговых осложнений, параличах нескольких черепных нервов. Молниеносная форма болезни обычно заканчивается гибелью пациента. Профилактические мероприятия сводятся к адекватному лечению заболеваний уха, мастоидитов.
1. Петрозит, осложнённый тромбозом кавернозного синуса, менингитом/ Красножен В.Н. Андреева И.Г.// Вестник оториноларингологии – 2015 - №4.
4. Petrositis With Bilateral Abducens Nerve Palsies complicated by Acute Otitis Media/ Kyu Young Choi, Su-Kyoung Park// Clinical and Experimental Otorhinolaryngology – 2014.
Холестеатома уха
Холестеатома уха — это опухолевидное инкапсулированное образование среднего уха, состоящее преимущественно из клеток слущенного эпителия и кристаллов холестерина. Различают истинную (врожденную) и ложную холестеатому уха. Проявляется заболевание ощущением распирания и болями в ухе, снижением слуха смешанного типа, небольшим количеством имеющих гнилостный запах выделений из уха. Холестеатома уха диагностируется при помощи рентгенографии и КТ черепа, отоскопии, зондирования и промывания барабанной полости, исследований вестибулярного и слухового анализаторов. Лечение холестеатомы уха в большинстве случаев заключается в радикальном хирургическом удалении. Иногда возможно промывание надбарабанной полости с расположенной в ней холестеатомой.



Холестеатома - эмбриональное или (чаще) приобретенное псевдоопухолевое образование, происходящее из тканей среднего уха. В 90% случаев она появляется на фоне хронического гнойного среднего отита. В популяции частота гнойный отитов, осложненных холестеатомой, составляет 0,01%. Заболеванием чаще страдают дети старше 10 лет и взрослые 20-30 лет. У детей патология протекает более агрессивно с многократными рецидивами.
Причины
Холестеатома уха может иметь врожденный характер. В таких случаях она носит название истинной. Благодаря гладкой, напоминающей поверхность жемчужины, капсуле истинную холестеатому уха называют еще «жемчужной опухолью». Она возникает вследствие эмбриональных нарушений и располагается в пирамиде височной кости. Истинная холестеатома может также находиться в других костях черепа, в боковой цистерне и желудочках головного мозга.
Ложная холестеатома уха образуется в результате длительно протекающих отитов или как последствие травмы уха. Считается, что образование ложной холестеатомы уха возможно 2 путями. В первом случае происходит врастание плоского эпителия наружного слухового прохода в полость среднего уха через краевой разрыв барабанной перепонки. Второй механизм образования холестеатомы уха реализуется при нарушении проходимости слуховой трубы в связи с евстахиитом. В результате пониженного давления в барабанной полости происходит втяжение в нее части барабанной перепонки. Когда втяжение становится достаточно глубоким, в нем начинает накапливаться кератин и слущенный эпителий, что ведет к развитию холестеатомы уха.
Холестеатома уха не является истинной опухолью уха, хотя по своему внешнему виду и характеру роста напоминает опухолевое образование. Холестеатома уха имеет слоистую структуру. Сверху она покрыта капсулой из соединительной ткани, под которой находится ороговевающий плоский эпителий. Средний слой холестеатомы уха представлен наложенными одна на другую пластинами слущенного эпителия и расположенными между ними кристаллами холестерина. Центральную часть холестеатомы уха или ее ядро занимает имеющий гнилостный запах беловатый детрит.
Холестеатома уха может быть единичным образованием или представляет собой скопление большого количества узелков, имеющих плотную консистенцию и размер от 3 мм. Холестеатома уха выделяет специфические химические вещества, которые приводят к резорбции окружающих холестеатому костных тканей с образованием гладкостенной полости. Кроме того, эти вещества оказывают токсическое воздействие на рецепторный аппарат внутреннего уха, вызывая расстройство звуковосприятия и реактивный лабиринтит.
Симптомы холестеатомы уха
В начальном периоде холестеатома уха может иметь бессимптомное течение. Затем пациент начинает предъявлять жалобы на чувство распирания в ухе, появление тупой, давящей, ноющей или стреляющей ушной боли. Происходит понижение слуха. Возможны головные боли, при развитии лабиринтита — головокружения. Наблюдаются выделения из уха, которые обычно имеют гнилостный запах и носят скудный характер. Отличительной особенностью является обнаружение в отделяемом небольших комочков белого цвета.
При холестеатоме уха тугоухость имеет смешанный характер. С одной стороны она обусловлена нарушением звукопроведения в связи с ограничением подвижности слуховых косточек, а с другой — расстройством звуковосприятия в результате токсического поражения рецепторов лабиринта проникающими в него агрессивными выделениями холестеатомы.
Разрушая рядом расположенные костные образования, холестеатома уха увеличивается в размерах. Так она со временем заполняет ячейки сосцевидного отростка, доходит до капсулы лабиринта и способна разрушить его полукружные канальцы с образованием фистулы лабиринта. При разрушении коркового слоя сосцевидного отростка холестеатома уха выходит под кожу сосцевидной области.
Разрушение стенки косного канала лицевого нерва ведет к развитию пареза лицевого нерва, стенки сигмовидного синуса — к его тромбозу. Зачастую холестеатома уха достигает размера грецкого ореха и имеет расходящиеся в различных направлениях отростки. При этом она образует гигантскую полость, похожую на полость, остающуюся после общеполостной операции на ухе.
Старая холестеатома уха включает содержащие токсическую жидкость кисты, прорыв которых в подпаутинное пространство приводит к развитию асептического менингита, в вещество головного мозга — к появлению менингоэнцефалита. Эти осложнения могут привести к гибели больного от отека головного мозга. Обострение среднего отита часто сопровождается гнойным распадом холестеатомы уха, обуславливающим развитие гнойного лабиринтита и менингита, околосинусового и экстрадурального абсцесса, абсцесса головного мозга, отогенного сепсиса.
К диагностике холестеатомы уха могут привлекаться не только врачи-отоларингологи, но также неврологи и нейрохирурги. В современной отоларингологии используется комплекс визуализирующих и функциональных методик:
- Рентгенография височных костей. На рентгенограммах в проекции по Майеру, Шюллеру или Стенверсу холестеатома определяется как имеющая среднюю плотность однородная тень, которая находится в круглой патологической полости с гладкими и четко визуализирующимися краями. Более точную визуальную картину образования получают при проведении КТ и МСКТ черепа.

КТ височных костей. Деструкция сосцевидного отростка, сосцевидной пещеры, пирамиды и среднего уха правой височной кости, обусловленная холестеатомой
- Эндоскопия уха. При отоскопии возможно обнаружение краевой перфорации барабанной перепонки, признаков деструкции костной части слухового прохода, обусловленных разрастанием холестеатомы. При наличии краевой перфорации производят зондирование полости среднего уха пуговчатым зондом и промывание надбарабанного пространства. О наличии деструктивного процесса свидетельствует шероховатая при прощупывании поверхность кости. В пользу холестеатомы уха говорит присутствие в промывных водах включений и чешуек эпидермиса.
- Исследование слухового анализатора. Дополнительно у пациентов с холестеатомой уха проводят исследование слуха и вестибулярного анализатора. Аудиометрия выявляет снижение слуха, пороговая аудиометрия — смешанный тип тугоухости. Производят также исследование камертоном, определение проходимости слуховой трубы, электрокохлеографию, акустическую импедансометрию, отоакустическую эмиссию, вестибулометрию, электронистагмографию, стабилографию, непрямую отолитометрию.
- Неврологическая диагностика. В диагностике осложнений может применяться неврологический осмотр, МРТ головного мозга, люмбальная пункция и др.

МРТ головы. Гиперинтенсивный сигнал в области сосцевидной пещеры, сосцевидного отростка и пирамиды правой височной кости (холестеатома)
Холестеатому уха необходимо дифференцировать от опухолей и инородных тел уха, кохлеарного неврита, серной пробки, гломусной опухоли, адгезивного среднего отита, специфических гранулем при туберкулезе и сифилисе.
Лечение холестеатомы уха
Консервативная тактика
Консервативное лечение возможно лишь в случае небольшой холестеатомы уха, находящейся в надбарабанном пространстве. Терапия таких холестеатом заключается в промывании надбарабанного пространства растворами протеолитических ферментов и борной кислоты. Начинают и заканчивают процедуру промыванием полости изотоническим раствором. Подобную манипуляцию проводят ежедневно в течение недели.
Хирургическое лечение
При неэффективности консервативного лечения, большом размере холестеатомы уха, наличии осложнений показано радикальное удаление образования. В зависимости от распространенности холестеатомы хирургическое вмешательство может включать:
- санирующую операцию на среднем ухе;
- лабиринтотомию;
- транслабиринтное вскрытие пирамиды височной кости;
- тимпанпластику, мастоидопластику, мирингопластику и пр.
В случае своевременного выявления, последовательного консервативного или радикального хирургического лечения холестеатомы прогноз благоприятный. В отдельных случаях возможны рецидивы процесса. В запущенных стадиях возможно развитие тугоухости, жизнеугрожающих внутричерепных осложнений. Профилактика холестеатомы заключается в предупреждении ХГСО, своевременном лечении воспаления среднего уха.
Причины холестеатомы (эпидермоида) верхушки пирамиды
Круг заболеваний для дифференциальной диагностики очень обширен. Их можно подразделить на доброкачественные и злокачественные; экспансивные и эрозивные; происходящие изнутри, сверху, от близлежащей структуры; образование может оказаться метастазом.
И хотя нужно учитывать достаточно обширный список возможных состояний, отиатры/отоневрологи обычно сталкиваются с холестериновыми гранулемами, холестеатомой и мукоцеле, а энцефалоцеле/менингоцеле и аневризмы встречаются реже. При проведении дифференциальной диагностики всегда следует иметь в виду анамнез пациента.
В источниках приводятся различные классификации и номенклатуры поражений верхушки пирамиды. На основании систематизированного анализа ряда публикаций приводим описание наиболее распространенных повреждений.
Manasse описал случай «грануляционной опухоли с гигантскими клетками инородных тел» верхушки пирамиды височной кости еще в 1894 году. С тех пор для их описания используется термин «холестериновая» или «холестероловая» гранулема.
Холестериновая гранулема является наиболее распространенным образованием верхушки пирамиды, с которым отиатры сталкиваются в своей работе. Существует несколько предполагаемых механизмов их формирования. Вторым по частоте встречаемости образованием является холестеатома. Далее мы рассмотрим патогенез этих двух образований.
Добиться формирования холестериновых гранулем в экспериментах на животных удавалось двумя путями; за счет введения раздражающих веществ в полость среднего уха и за счет изоляции воздухоносной полости, которая в норме должна сообщаться с атмосферой.
Beaumont смог добиться формирования холестериновой гранулемы в бедре цыпленка за счет обструкции foramen pneumaticum (соединения с дыхательной системой) мышечным лоскутом на ножке. При гистологическом исследовании тканей признаков кровопотери или инфицирования обнаружено не было.
Чтобы исключить вероятность того, что холестериновая гранулема стала следствием хирургической травмы, на противоположном бедре он проводил точно такую же операцию, но без полной блокады отверстия. В противоположной кости гранулема не образовывалась. Эти исследования подтверждают гипотезу «обструкция-вакуум».

Friedman вводил морским свинкам в среднее ухо стерильный раствор холестерина. В результате он также отмечал у них формирование холестериновых гранулем. Он предположил, что холестерин, который является продуктом распада крови, вызывает развитие реакции на инородное тело, которая и приводит к формированию гранулемы.
Sade и Teitz ставят под сомнение тот факт, что кровотечение является необходимым предрасполагающим фактором к развитию холестериновой гранулемы.
Вторая основная теория патогенеза холестериновых гранулем называется «распад костного мозга». Полости верхушки пирамиды, содержащие костный мозг, постепенно распадаются по мере развития воздухоносных клеток. В результате этого происходит кровоизлияние в просвет костных ячеек.
Последующий распад продуктов крови приводит к формированию холестерина, развитию воспалительной реакции и формированию кисты. Расширение кисты приводит к повторному кровотечению из ячеек костного мозга. Эти авторы приводят описание небольшой серии случаев четырех пациентов с агрессивной холестериновой гранулемой сосцевидного отростка. Во всех случаях имелся расположенный рядом источник кровотечения.
Авторы отметили, что сама по себе теория «обструкция-вакуум» не может объяснить возникновение кровотечения, и что для развития таких агрессивных образований требуется какой-либо источник крови.
Холестериновая гранулема может выглядеть как грануляционная ткань или как коричневая, зеленая или ярко-желтая киста. Образование холестеатомы из холестериновой кисты невозможно.
По всей видимости, основные факторы патогенеза холестериновой гранулемы следующие:
(1) нарушение вентиляции воздухоносных клеток, которые в норме соединяются с атмосферой;
(2) нарушение оттока;
(3) реакция на инородное тело, такое как холестерин;
(4) наличие продуктов распада костного мозга, в том числе крови, которые приводят к образованию холестериновых кист;
(5) кровотечение (хотя с последним согласны не все авторы).
Мастоидит
Мастоидит — воспалительное поражение сосцевидного отростка височной кости инфекционного генеза. Чаще всего мастоидит осложняет течение острого среднего отита. Клинические проявления мастоидита включают подъем температуры тела, интоксикацию, боли и пульсацию в области сосцевидного отростка, отечность и гиперемию заушной области, боль в ухе и снижение слуха. Объективное обследование при мастоидите заключается в осмотре и пальпации заушной области, отоскопии, аудиометрии, рентгенографии и КТ черепа, бактериологическом посеве отделяемого из уха. Лечение мастоидита может быть медикаментозным и хирургическим. В его основе лежит антибиотикотерапия и санация гнойных очагов в барабанной полости и сосцевидном отростке.


Сосцевидный отросток представляет собой выступ височной кости черепа, расположенный позади ушной раковины. Внутренняя структура отростка сформирована сообщающимися ячейками, которые разделены между собой тонкими костными перегородками. У разных людей сосцевидный отросток может иметь различное строение. В одних случаях он представлен крупными заполненными воздухом ячейками (пневматическое строение), в других случаях ячейки мелкие и заполнены костным мозгом (диплоэтическое строение), в третьих — ячеек практически нет (склеротическое строение). От типа строения сосцевидного отростка зависит течение мастоидита. Наиболее склонны к появлению мастоидита лица с пневматическим строением сосцевидного отростка.
Внутренние стенки сосцевидного отростка отделяют его от задней и средней черепных ямок, а специальное отверстие сообщает его с барабанной полостью. Большинство случаев мастоидита возникает как следствие перехода инфекции из барабанной полости в сосцевидный отросток, что наблюдается при остром среднем отите, в отдельных случаях при хроническом гнойном среднем отите.
Причины мастоидита
В зависимости от причины возникновения в отоларингологии различают отогенный, гематогенный и травматический мастоидит.
- Отогенный. Наиболее часто возникает вторичный мастоидит, обусловленный распространением инфекции в сосцевидный отросток из барабанной полости среднего уха. Его возбудителями могут быть палочка инфлюэнцы, пневмококки, стрептококки, стафилококки и др. Переходу инфекции из полости среднего уха способствует нарушение ее дренирования при позднем прободении барабанной перепонки, несвоевременном проведении парацентеза, слишком малом отверстии в барабанной перепонке или его закрытии грануляционной тканью.
- Гематогенный. В редких случаях наблюдается мастоидит, развившийся в следствие гематогенного проникновения инфекции при сепсисе, вторичном сифилисе, туберкулезе.
- Травматический. Первичный мастоидит возникает при травматических повреждениях ячеек сосцевидного отростка вследствие удара, огнестрельного ранения, черепно-мозговой травмы. Благоприятной средой для развития патогенных микроорганизмов в таких случаях является кровь, излившаяся в ячейки отростка в результате травмы.
Появлению мастоидита способствует:
- повышенная вирулентность патогенных микроорганизмов
- ослабленное состояние общего при хронических заболеваниях (сахарный диабет, туберкулез, бронхит, гепатит, пиелонефрит, ревматоидный артрит и пр.)
- патология носоглотки (хронический ринит, фарингит, ларинготрахеит, синусит)
- наличие изменений в структурах уха в связи с перенесенными ранее заболеваниями (травмы уха, аэроотит, наружный отит, адгезивный средний отит).
Начало мастоидита характеризуется воспалительными изменениями слизистого слоя ячеек сосцевидного отростка с развитием периостита и скоплением жидкости в полостях ячеек. Из-за выраженной экссудации эта стадия мастоидита получила название экссудативной. Воспалительная отечность слизистой приводит к закрытию отверстий, сообщающих ячейки между собой, а также отверстия, соединяющего сосцевидный отросток с барабанной полостью. В результате нарушения вентиляции в ячейках сосцевидного отростка, в них падает давление воздуха. По градиенту давлений в ячейки начинает поступать транссудат из расширенных кровеносных сосудов. Ячейки заполняются серозным, а затем серозно-гнойным экссудатом. Длительность первой стадии мастоидита у взрослых составляет 7-10 дней, у детей чаще 4-6 дней. В конечном итоге экссудативной стадии мастоидита каждая ячейка имеет вид эмпиемы — заполненной гноем полости.
Далее мастоидит переходит во вторую стадию — пролиферативно-альтеративную, в которой гнойное воспаление распространяется на костные стенки и перегородки сосцевидного отростка с развитием остеомиелита — гнойного расплавления кости. Одновременно с этим происходит образование грануляционной ткани. Постепенно перегородки между ячейками разрушаются и формируется одна большая полость, заполненная гноем и грануляциями. Так, в результате мастоидита возникает эмпиема сосцевидного отростка. Прорыв гноя через разрушенные стенки сосцевидного отростка приводит к распространению гнойного воспаления на соседние структуры и развитию осложнений мастоидита.
Выделяют две клинические формы мастоидита: типичную и атипичную. Атипичная (латентная) форма отличается медленным и вялым течением без ярко выраженных характерных для мастоидита симптомов. Отдельно выделяют группу верхушечных мастоидитов, к которым относится мастоидит Бецольда, мастоидит Орлеанского и мастоидит Муре. По стадии воспалительного процесса мастоидит классифицируется как экссудативный и истинный (пролиферативно-альтеративный).

КТ височных костей. Тотальное снижение пневматизации ячеек сосцевидного отростка с обеих сторон. (фото Вишняков В.Н.)
Симптомы мастоидита
Мастоидит может появляться одновременно с возникновением гнойного среднего отита. Но чаще всего он развивается на 7-14 день от начала отита. У детей первого года жизни из-за особенности строения сосцевидного отростка мастоидит проявляется в форме отоантрита. У взрослых мастоидит манифестирует выраженным ухудшением общего состояния с подъемом температуры до фебрильных цифр, интоксикацией, головной болью, нарушением сна. Больные мастоидитом жалуются на шум и боль в ухе, ухудшение слуха, интенсивную боль за ухом, чувство пульсации в области сосцевидного отростка. Боль иррадиирует по ветвям тройничного нерва в височную и теменную область, орбиту, верхнюю челюсть. Реже при мастоидите наблюдается боль во всей половине головы.
Указанные симптомы при мастоидите обычно сопровождаются обильным гноетечением из наружного слухового прохода. Причем количество гноя заметно больше, чем объем барабанной полости, что свидетельствует о распространении гнойного процесса за пределы среднего уха. С другой стороны, гноетечение при мастоидите может не наблюдаться или быть незначительным. Это происходит при сохранении целостности барабанной перепонки, закрытии перфоративного отверстия в ней, нарушении оттока гноя из сосцевидного отростка в среднее ухо.
Объективно при мастоидите отмечается покраснение и отечность заушной области, сглаженность расположенной за ухом кожной складки, оттопыренность ушной раковины. При прорыве гноя в подкожную жировую клетчатку происходит формирование субпериостального абсцесса, сопровождающегося резкой болезненностью при прощупывании заушной области и симптомом флюктуации. Из области сосцевидного отростка гной, расслаивая мягкие ткани головы, может распространиться на затылочную, теменную, височную область. Происходящее в результате воспаления тромбирование сосудов, кровоснабжающих кортикальный слой кости сосцевидного отростка, приводит к некрозу надкостницы с прорывом гноя на поверхность кожи головы и формированием наружного свища.
Распространение гнойного воспаления в самом сосцевидном отростке происходит по наиболее пневматизированным ячейкам, что обуславливает разнообразие возникающих при мастоидите осложнений и их зависимость от строения сосцевидного отростка. Воспаление перисинуозной группы ячеек приводит к поражению сигмовидного синуса с развитием флебита и тромбофлебита. Гнойное разрушение перифациальных ячеек сопровождается невритом лицевого нерва, перилабиринтных — гнойным лабиринтитом. Верхушечные мастоидиты осложняются затеканием гноя в межфасциальные пространства шеи, в результате чего гноеродные микроорганизмы могут проникнуть в средостение и вызвать появление гнойного медиастинита.
Распространение процесса в полость черепа приводит к возникновению внутричерепных осложнений мастоидита (менингита, абсцесса головного мозга, энцефалита). Поражение пирамиды височной кости обуславливает развитие петрозита. Переход гнойного воспаления на скуловой отросток опасен дальнейшим заносом инфекции в глазное яблоко с возникновением эндофтальмита, панофтальмита и флегмоны глазницы. У детей, особенно младшего возраста, мастоидит может осложниться формированием заглоточного абсцесса. Кроме того, при мастоидите возможно гематогенное распространение инфекции с развитием сепсиса.
Как правило, диагностика мастоидита не представляет для отоларинголога никаких сложностей. Затруднения возникают в случае малосимптомной атипичной формы мастоидита. Диагностика мастоидита основывается на характерных жалобах пациента, анамнестических сведениях о перенесенной травме или воспалении среднего уха, данных осмотра и пальпации заушной области, результатах отоскопии, микроотоскопии, аудиометрии, бакпосева выделений из уха, компьютерной томографии и рентгенологического исследования.
- Отоскопия. При мастоидите выявляются типичные для среднего отита воспалительные изменения со стороны барабанной перепонки, при наличие в ней отверстия отмечается обильное гноетечение. Патогномоничным отоскопическим признаком мастоидита является нависание задне-верхней стенки слухового прохода.
- Исследование слуховой функции. Аудиометрия и исследование слуха камертоном позволяют установить степень тугоухости у пациента с мастоидитом.
- Рентгенография височной кости. В экссудативной стадии мастоидита обнаруживает завуалированные в результате воспаления ячейки и нечетко различимые перегородки между ними. Рентгенологическая картина пролиферативно-альтеративной стадии мастоидита характеризуется отсутствием ячеистой структуры сосцевидного отростка, вместо которой определяется одна или несколько больших полостей. Лучшая визуализация достигается при проведении КТ черепа в области височной кости.

Наличие осложнений мастоидита может потребовать дополнительной консультации невролога, нейрохирурга, стоматолога, офтальмолога, торакального хирурга, проведения МРТ и КТ головного мозга, офтальмоскопии и биомикроскопии глаза, рентгенографии органов грудной клетки.
Лечение мастоидита
Лечебная тактика при мастоидите зависит от его этиологии, стадии воспалительного процесса и наличия осложнений. Медикаментозная терапия мастоидита проводится антибиотиками широкого спектра действия (цефаклор, цефтибутен, цефиксим, цефуроксим, цефотаксим, цефтриаксон, амоксициллин, ципрофлоксацин и др.). Дополнительно применяют антигистаминные, противовоспалительные, детоксикационные, иммунокоррегирующие препараты. Проводят лечение осложнений.
При отогенной природе мастоидита показана санирующая операция на среднем ухе, по показаниям — общеполостная операция. Отсутствие в барабанной перепонке обеспечивающего адекватное дренирование отверстия является показанием к проведению парацентеза. Через отверстие барабанной перепонки производят промывания среднего уха лекарственными препаратами. Мастоидит в экссудативной стадии может быть излечен консервативным путем. Мастоидит пролиферативно-альтеративной стадии требует хирургического вскрытия сосцевидного отростка (мастоидотомии) для ликвидации гноя и послеоперационного дренирования.
Профилактика мастоидита
Предупреждение отогенного мастоидита сводится к своевременной диагностике воспалительного поражения среднего уха, адекватному лечению отитов, своевременному проведению парацентеза барабанной перепонки и санирующих операций. Корректная терапия заболеваний носоглотки и быстрая ликвидация инфекционных очагов также способствуют профилактике мастоидита. Кроме того, имеет значение повышение работоспособности иммунных механизмов организма, что достигается ведением здорового образа жизни, правильным питанием, при необходимости — иммунокоррегирующей терапией.
Читайте также:
- Ишемическая контрактура Фолькманна: атлас фотографий
- Вентиляция сердечно-легочного препарата. Подключение сердечно-легочного препарата
- Психотерапия - показания, побочные эффекты
- Кровообращение новорожденного. Как течет кровь у новорожденного?
- Механизмы развития сепсиса. Патогенез сепсиса в ветеринарии
