Примеры клинико-патологической корреляции гемангиобластомы сетчатки
Добавил пользователь Евгений Кузнецов Обновлено: 28.01.2026
Гемангиобластома сетчатки: признаки, гистология, лечение, прогноз
Сосудистые опухоли сетчатки объединяют гемангиобластому (капиллярную гемангиому), кавернозную гемангиому, рацемозную гемангиому и приобретенную вазопролиферативную опухоль. Каждая из этих опухолей характеризуется специфическими клиническими проявлениями, сопутствующими системными изменениями, осложнениями и тактикой ведения.
Гемангиобластома сетчатки бывает солитарной, в этом случае она не сопровождается системной патологией, или является компонентом синдрома Гиппеля-Линдау (VHL) (1-36), представляющего собой аутосомно-доминантное заболевание, проявляющееся различными сочетаниями гемангиобластомы сетчатки, гемангиобластомы мозжечка, феохромоцитомы, гипернефромы, кист поджелудочной железы, опухоли эндолимфатического мешка и некоторых других опухолей и кист (1-3).
Локус гена синдрома Гиппеля-Линдау находится в 3 хромосоме (3р25-26) (7-11), в патогенезе заболевания ключевую роль играет, как представляется, инактивация гена-супрессора опухоли, так же как и в патогенезе ретинобластомы. Пациент с гемангиобластомой должен периодически проходить обследование на предмет синдрома Гиппеля-Линдау, который встречается с частотой около1:40000 живых новорожденных, количество больных в Соединенных Штатах оценивается в 7000 человек (1).
Средний возраст на момент постановки диагноза (гемангиобластомы сетчатки) составляет 18 лет среди больных с синдромом Гиппеля-Линдау и 36 лет среди пациентов, не страдающих этим синдромом (3). В возрасте старше сорока лет новые опухоли сетчатки развиваются редко.
У пациентов с солитарной гемангиобластомой риск развития синдрома Гиппеля-Линдау оценивается в 45%, если диагноз был поставлен в возрасте младше десяти лет, и в 1%, если солитарная гемангиобластома была диагностирована в возрасте старше 60 лет (8).
Гемангиобластома не является патогномоническим проявлением синдрома Гиппеля-Линдау. Аналогичная опухоль наблюдалась на фоне синдрома Маршалла-Стиклера (33).
а) Клиническая картина. Гемангиобластома сетчатки обычно представляет собой красно-розовую опухоль, локализующуюся на периферии сетчатки или на диске зрительного нерва. Течение опухоли происходит по экссудативному или тракционном типу. При экссудативном типе развивается интраретинальная или субретинальная экссудация, так же как и при болезни Коатса. Однако в отличие от болезни Коатса, наблюдается одно или несколько четко отграниченных объемных образований красного цвета и расширенные извитые питающие и дренирующие кровеносные сосуды.
При тракционном типе гемангиобластомы сетчатки могут наблюдаться те же изменения, но, кроме того, он характеризуется развитием глиоза сетчатки, витреоретинальных тракций, кровоизлияний в стекловидное тело и тракционной отслойки сетчатки.
При любом типе течения опухоли экссудаты желтого цвета часто локализуются в макулярной области, вдали от периферической опухоли. В редких случаях наблюдается спонтанный регресс гемангиобластомы сетчатки (32).
ГЕМАНГИОБЛАСТОМА СЕТЧАТКИ
Гемангиобластома сетчатки чаще всего развивается из сенсорной сетчатки на некотором расстоянии от диска зрительного нерва. Она выглядит как красно-розовая интраретинальная опухоль, к которой идут расширенные извитые питающая артерия и дренирующая вена. Существуют экссудативная и тракционная формы опухоли, также встречается их комбинация.
Небольшая гемангиобластома с минимальной отслойкой сетчатки, окружающей опухоль. Гемангиобластома сетчатки с типичной интраретинальной экссудацией. Новообразование почти той же окраски, что и окружающее глазное дно, которое определяется по расширенным питающим и дренирующим кровеносным сосудам. Экссудат желтого цвета локализуется в основном снизу от опухоли. Более крупная гемангиобластома нижнего квадранта сетчатки, сопровождающаяся ее вторичной отслойкой. Начальная стадия тракционной формы гемангиобластомы сетчатки. Опухоль скрыта фиброзированным стекловидным телом, но на ее наличие указывают расширенные кровеносные сосуды. Тракции относительно невелики, в позади лежащих участках глазного дна видны небольшие рассеянные экссудаты сетчатки. «Свободно плавающая» гемангиобластома сетчатки. Витреальная тракция, обычно возникающая при отслойке задней гиалоидной мембраны, вызвала побеление опухоли и оттянула ее в стекловидную полость кпереди от сетчатки. Питающие сосуды сетчатки остались интактными, но в таких случаях, как этот они могут становиться источником кровоизлияний в стекловидное тело. Комбинированный экссудативный и тракционный тип гемангиобластомы сетчатки: тракция кровеносных сосудов сетчатки, интраретинальные и субретинальные экссудаты желтого цвета.
б) Диагностика. Диагноз гемангиобластомы сетчатки обычно ставится на основании описанной выше офтальмоскопической картины. При флюоресцентной ангиографии наблюдаются быстро развивающаяся гиперфлюоресценция в артериальную фазу и гиперфлюоресценция в поздние фазы исследования, зачастую сопровождающаяся просачиванием красителя в стекловидное тело. Важно дифференцировать питающую артерию и дренирующую вену, эта информация имеет большое значение при лечении, о чем рассказано ниже.
Значение ангиографии с индоцианином зеленым и ультразвукового исследования в диагностике этой опухоли невелико. При оптической когерентной ангиографии определяется объемное образование в ткани сетчатки, этот метод помогает установить границы сопутствующих изменений, таких как отек и локальная отслойка сетчатки (12, 13).
Компьютерная томография, магнитная резонансная томография выполняются с целью выявления опухолей центральной нервной системы и других системных изменений, связанных с синдромом Гиппеля-Линдау. Пациенты с двумя или более гемангиобластомами сетчатки являются носителями мутации гена VHL.
Пациенты с единственной гемангиобластомой сетчатки могут быть (а могут и не быть) носителями зародышевой мутации, поэтому в таких случаях генетическое тестирование приобретает крайне важное значение.
в) Патологическая анатомия. Гистологически гемангиобластома сетчатки образована веретеновидными клетками, мелкими кровеносными сосудами и прозрачными стромальными клетками (14-16).
Считается, что источником опухоли являются стромальные клетки (16). Однако их природа точно не установлена; как оказалось, они не являются эндотелиоцитами сосудов. Поэтому термин капиллярная гемангиома может оказаться неточным. В настоящее время предпочтительным представляется термин гемангиобластома сетчатки, по аналогии с термином гемангиобластома мозжечка.
г) Лечение. Тактика лечения гемангиобластомы сетчатки определяется размерами опухоли, ее локализацией, развившимися осложнениями и наличием у пациента сопутствующего синдрома Гиппеля-Линдау (17-32). На фоне синдрома Гиппеля-Линдау опухоли обычно развиваются в более раннем возрасте, более агрессивны и требуют активного лечения.
Лечение юкстапапиллярных или эпипапиллярных гемангиобластом сетчатки из-за их локализации вблизи диска зрительного нерва представляет собой более трудную задачу. В некоторых случаях мелкие бессимптомно существующие гемангиобластомы подлежат лишь тщательному наблюдению; они могут оставаться стабильными или, изредка, спонтанно регрессировать (32).
Опухоли, сопровождающиеся ограниченным отеком или отслойкой сетчатки, лечатся с помощью лазерокоагуляции или криотерапии, обычно достигается прекрасный контроль опухоли (17-20). Некоторые опухоли среднего размера эффективно лечились с помощью фотодинамической терапии и термотерапии (21-23). Более развитые новообразования могут потребовать проведения брахитерапии с применением аппликатора или внешней лучевой терапии (24,25). Предпринимались попытки хирургического лечения с эндорезекцией опухоли или перевязкой питающих сосудов (26-28). Часто требуется хирургическое лечение тракционной отслойки сетчатки.
Широко изучалось применение блокаторов эндотелиального фактора роста сосудов (vascular endothelial growth factor - VEGF), с посредственными результатами (29-31). Установлено, что применение этих препаратов перорально или в инъекциях вызывает уменьшение кистозного макулярного отека и скоплений субретинальной жидкости, что сопровождается небольшим повышением зрительных функций, но не приводит к заметным изменениям размеров опухоли. Истинное значение ан-ти-VEGF препаратов в терапии гемангиобластом сетчатки еще не установлено.
Клинические примеры гемангиобластомы сетчатки:
Редактор: Искандер Милевски. Дата публикации: 22.6.2020
Информация на сайте подлежит консультации лечащим врачом и не заменяет очной консультации с ним.
См. подробнее в пользовательском соглашении.
Гемангиобластома
Гемангиобластома — берущая начало в кровеносных сосудах доброкачественная опухоль головного мозга с преимущественной локализацией в мозжечке. Клинические симптомы гемангиобластомы зависят от ее расположения и могут включать головные боли, головокружения, тошноты, астению, застойные диски зрительных нервов, мозжечковый синдром (атаксия, нистагм, мышечная гипотония, интенционный тремор), двигательные и чувствительные нарушения, нарушения функции черепно-мозговых нервов и тазовых органов. Основу диагностики гемангиобластомы составляет МРТ головного мозга и гистологическое исследование образца опухоли. Самым эффективным способом лечения в отношении гемангиобластомы является ее полное удаление.
МКБ-10
Общие сведения
Гемангиобластома составляет около 2% от всех опухолей, расположенных в черепной коробке. Наиболее часто гемангиобластома наблюдается у пациентов в возрасте от 40 до 60 лет. В 10% случаев гемангиобластома является проявлением передаваемой по наследству болезни Гиппеля-Линдау — факоматоза, характеризующегося возникающими в течение жизни множественными новообразованиями внутренних органов (кистами поджелудочной железы, феохромоцитомой, почечно-клеточной карциномой, ангиомой сетчатки и др.). В таких случаях гемангиобластома обычно диагностируется в возрасте 20-30 лет.
Причины возникновения гемангиобластомы
Подобно другим новообразованиям нервной системы (краниофарингиоме, астроцитоме головного мозга, ганглионевроме, ганглионейробластоме, менингиоме и др.) гемангиобластома может развиваться в результате воздействия на организм различных канцерогенных факторов. К последним относится ионизирующее излучение, повышенная инсоляция, контакт с производственными канцерогенными веществами (асбестом, бензолом, винилхлоридом, нефтяными и каменноугольными смолами, фенолформальдегидом и пр.), онкогенные вирусы (например, ретровирусы, аденовирусы, вирус герпеса). Гемангиобластома, входящая в состав болезни Гиппеля-Линдау, имеет наследственную этиологию и связана с генетической мутацией в третьей хромосоме, приводящей к нарушению синтеза супрессора опухолевого роста. Наследуется аутосомно-доминантным путем.
Классификация гемангиобластомы
По макроскопическому строению в неврологии выделяют 3 группы гемангиобластом: солидные, кистозные и смешанные. Солидная (мягкотканная) гемангиобластома состоит из опухолевых клеток, собранных в единый окруженный капсулой узел, имеющий мягкую консистенцию и темно-вишневый цвет. Она составляет около 65% всех гемангиобластом. Кистозная гемангиобластома представляет собой гладкостенную кисту. В большинстве случаев на стенке кисты имеется небольшой солидный узелок. Примерно в 4-5% случаев встречаются гемангиобластомы смешанного типа, характеризующиеся наличием солидного узла, внутри которого расположены многочисленные кисты.
По микроскопическому (гистологическому) строению выделяют следующие варианты гемангиобластомы: ювенильную, переходную и чистоклеточную. Ювенильная гемангиобластома состоит в основном из тонкостенных капилляров, которые близко примыкают друг к другу. Переходная гемангиобластома примерно в равном соотношении содержит капилляры и стромальные клетки. Чистоклеточная гемангиобластома отличается многочисленными желтоватыми клетками, расположенными на патологически измененных сосудах.
Симптомы гемангиобластомы
Клинические проявления гемангиобластомы зависят от ее локализации. В качестве внутримозговой опухоли полушарий мозга гемангиобластома выступает крайне редко. В 80-85% случаев она поражает гемисферы мозжечка, намного реже — его червь. Гемангиобластома спинного мозга по различным данным встречается в 3-13% случаев, гемангиобластома продолговатого мозга в 2-3% случаев.
Клиническая картина гемангиобластомы мозжечка складывается из общемозговых, мозжечковых и отдаленных симптомов. Общемозговая симптоматика гемангиобластомы обусловлена нарушением оттока цереброспинальной жидкости и нарастающей гидроцефалией. Характерна головная боль, практически не исчезающая на фоне приема анальгетиков и сосудорасширяющих препаратов. Она может затрагивать любые области, но чаще локализуется в затылке. При офтальмоскопии на ранних стадиях гамангиобластомы выявляются застойные диски зрительных нервов. Нередко наблюдается так называемый «застойный» лабиринтит, сопровождающийся интенсивным системным головокружением, тошнотой и рвотой. Лабиринтит застойного генеза и связанная с ним вестибулярная атаксия требуют дифференциации гемангиобластомы от воспалительных поражений внутреннего уха при среднем отите, функциональных нарушений при аэроотите, токсического поражения лабиринта при холестеатоме уха, болезни Меньера и сосудистых нарушений (хронической ишемии головного мозга).
Следует отметить, что общемозговая симптоматика может быть настолько выражена, что за ней с трудом выявляется собственно мозжечковый синдром, что существенно затрудняет диагностику гемангиобластомы. К этому примешиваются разнообразные отдаленные симптомы гемангиобластомы, в числе которых могут быть параличи черепно-мозговых нервов, судорожный синдром, пирамидные нарушения (парезы или параличи); реже отмечаются расстройства чувствительности.
К симптомом поражения мозжечка при гемангиобластоме относится в первую очередь мозжечковая атаксия. Гемангиобластома червя мозжечка проявляется статической атаксией, т. е. расстройством позы и ходьбы. Типичны шаткость или падение в позе Ромберга, вынужденно наклоненное положение головы, «пьяная» походка, латеропульсия (отклонение тела в сторону) при ходьбе, нарушение синхронизации движений (ассинергия). При локализации гемангиобластомы в полушарии мозжечка преобладает динамическая атаксия (нарушение координации движений), которая выявляется при помощи пальце-носовой и коленно-пяточной проб. Как и для других опухолей мозжечка, типичны избыточные несоразмерно размашистые движения (дисметрия), слишком крупный почерк (мегалография), расстройство быстрой смены движений (адиадохокинез), замедленная скандированная речь (артикуляционная атаксия). К прочим признакам поражения мозжечка относятся нистагм, мышечная гипотония, интенционный тремор.
В начале развития гемангиобластомы мозжечка нарушения отмечаются только на стороне локализации опухоли. Однако по мере роста гемангиобластомы она начинает сдавливать противоположное полушарие мозжечка и процесс принимает двусторонний характер. Присоединение симптомов поражения червя мозжечка, возникающих в результате его сдавления, приводит к развитию тотального мозжечкового синдрома. На поздних стадиях гемангиобластома зачастую сопровождается психическими расстройствами, часто в виде астении, депрессивного невроза или неврастении, и нарушением сознания в виде оглушенности.
Гемангиобластома спинного мозга и полушарий головного мозга проявляется соответствующими ее локализации нарушениями чувствительности и двигательной сферы, а также расстройством функции кишечника и мочевого пузыря.
Диагностика гемангиобластомы
Затруднения в диагностике гемангиобластомы связаны с неспецифичностью ее клинических проявлений, маскировкой неврологического дефицита и мозжечкового синдрома под выраженной общемозговой симптоматикой. Тщательный неврологический осмотр и дополнительная консультация офтальмолога, в ходе которой выявляются застойные диски зрительных нервов, позволяют заподозрить наличие внутричерепного объемного образования. При этом, кроме обычного первичного обследования в виде ЭЭГ, РЭГ и Эхо-ЭГ, пациенту в обязательном порядке должно быть проведено МРТ головного мозга.
В большинстве случаев исследование послойных горизонтальных и сагиттальных срезов, полученных при проведении МРТ, позволяет установить локализацию опухолевого процесса и дифференцировать его от абсцесса головного мозга, внутримозговой гематомы, очага демиелинизации при рассеянном склерозе, последствий тяжелой черепно-мозговой травмы, кисты головного мозга Окончательная диагностика гемангиобластомы и определение ее микроскопического типа возможны лишь после гистологического изучения образца опухоли. Необходимые для исследования опухолевые ткани могут быть получены в результате стереотаксической биопсии мозга или в ходе операции по удалению опухоли.
Лечение гемангиобластомы
Единственным радикальным способом лечения при гемангиобластоме является ее полное удаление. В качестве оперативного доступа применяется краниотомия с удалением участка затылочной кости в области большого затылочного отверстия и резекцией дужки I шейного позвонка. Затем производится полное удаление солидного узла опухоли. При кистозном характере гемангиобластомы удаление узла сочетают с аспирацией содержимого кисты, стенки которой зачастую не требуют удаления.
Удаление опухоли мозжечка может проводиться в экстренном порядке при вклинении мозжечка в большое затылочное отверстие и сдавлении ствола мозга. В таких случаях для понижения внутричерепного давления предварительно производят пункцию бокового желудочка. Если в ходя операции возможно лишь частичное удаление гемангиобластомы, не обеспечивающее нормальный ликвороотток из полости черепа, то дополнительно производится шунтирующая операция: вентрикулостомия, наружное ветрикулярное дренирование или вентрикулоперитонеальное шунтирование.
Лучевая терапия может применяться при наличии противопоказаний к проведению хирургического лечения, в случае множественного характера гемангиобластомы или в качестве противорецидивного лечения при ее неполном удалении.
Прогноз гемангиобластомы
Доброкачественный характер гемангиобластомы обеспечивает благоприятный прогноз при ее полном удалении, которое возможно в 80-85% заболевания. Частичное удаление опухолевых клеток солидного узла приводит к послеоперационному рецидиву опухоли. Ухудшает прогноз гемангиобластомы диагностирование у пациента болезни Гиппеля-Линдау.
Периферическая дистрофия сетчатки (ПХРД и ПВХРД) - симптомы и лечение
Что такое периферическая дистрофия сетчатки (ПХРД и ПВХРД)? Причины возникновения, диагностику и методы лечения разберем в статье доктора Сысоевой Марии Владимировны, офтальмолога-хирурга со стажем в 20 лет.
Над статьей доктора Сысоевой Марии Владимировны работали литературный редактор Маргарита Тихонова , научный редактор Сергей Федосов
Определение болезни. Причины заболевания
Периферическая дистрофия сетчатки — это патологический процесс, протекающий на периферии глазного дна, в который вовлечены сетчатка глаза, его сосудистая оболочка, а иногда и стекловидное тело. Опасность этого заболевания состоит в высоком риске возникновения отслойки сетчатки.

Причины возникновения периферической дистрофии сетчатки различны. Основная — нарушение гемодинамики (кровообращения) глаза. Так, в связи с растяжением оболочки глазного дна и снижением гемодинамики в области периферии сетчатки у людей с миопией (близорукостью) риск возникновения периферической дистрофии больше, чем у остальных. Это приводит к обменным нарушениям и возникновению дистрофий.
По данным исследований последних лет, нарушения гемодинамики сетчатки с одинаковой частотой встречаются и у лиц с миопией, и у людей с нормальной рефракцией, т. е. тех, кто способен чётко различать отдалённые предметы.
Зрительные перегрузки, физические упражнения, стрессы и другие провоцирующие факторы (например, потужной период в родах) могут привести к дальнейшему истончению сетчатки в уже существующих местах дистрофий и затем к самому грозному осложнению — регматогенной отслойке сетчатки.

Другими причинами, создающими условия для возникновения периферической дистрофии сетчатки, являются:
- наследственность;
- сосудистые соматические заболевания (гипертоническая болезнь, сахарный диабет, атеросклероз);
- перенесённые черепно-мозговые травмы и травма глаза;
- различные интоксикации и инфекционные заболевания;
- иммунологические нарушения. [1][2][3][5][8][10][11][13][15][18][19][26]
Во время беременности на фоне гормональной перестройки происходят различные офтальмологические изменения, которые при наличии близорукости также могут в разной степени повлиять на её прогрессирование и появление периферической дистрофии сетчатки:
- отёк и минимальное утолщение роговицы, изменение её чувствительности;
- снижение внутриглазного давления (возникает во второй половине беременности, но через два месяца после родов нормализуется);
- снижение акустической плотности склеры (к третьему триместру);
- снижение плотности оболочек глаза с одновременным повышением внутриглазного давления до 22.5 ± 0.13 мм (при тяжёлой осложнённой миопии больее 20 диоптрий);
- изменение гемодинамики глаза как поверхностных микрокапилляров, так и более крупных сосудов;
- лёгкий и незначительный спазм артериол конъюнктивы глазного яблока.
При обнаружении схожих симптомов проконсультируйтесь у врача. Не занимайтесь самолечением - это опасно для вашего здоровья!
Симптомы периферической дистрофии сетчатки
Периферическая дистрофия сетчатки является скрытой угрозой здоровью глаз. Её большая опасность состоит в практически полном отсутствии симптомов.
Зачастую человек замечает снижение зрения и может пожаловаться на чёрную пелену перед глазом только тогда, когда отслойка сетчатки захватит макулярную область, которая отвечает за центральное зрение.
Периферическую дистрофию на ранней стадии можно выявить только при врачебном осмотре глазного дна в условиях расширения зрачка. Причём зачастую обнаружение этой патологии происходит случайно, т. е. тогда, когда пациент обращается к офтальмологу по поводу других жалоб.
В некоторых случаях периферические дистрофии сетчатки могут проявлять себя симптомами, на которые мало кто обращает внимание: плавающие “мушки”, полосы, сверкания, вспышки или ”чёрный” дым. Всё это следует рассматривать как повод для скорейшего обращения к специалисту и осмотра глазного дна. [22] [24] [25]
Патогенез периферической дистрофии сетчатки
Сетчатка — это внутренняя тонкая оболочка глазного яблока, которая отвечает за зрительное восприятие. Она включает в себя десять слоёв, которые состоят из нервных клеток и их отростков.

Слои сетчатки не везде одинаково плотно прикреплены друг к другу. Внешние и внутренние слои сетчатки прочно соединены между собой в области макулы и вокруг диска зрительного нерва. В остальных зонах соединение слабое, что и создаёт предпосылки для отслойки сетчатки. [7] [14] [16] [21] [23] [28]
Чаще всего периферическая дистрофия сетчатки локализуется в области зубчатой линии. За её пределами оптическая часть сетчатки заканчивается и переходит в слепую часть.

С некоторыми местами сетчатки, в том числе и в области зубчатой линии, плотно соединена гиалоидная мембрана, покрывающая стекловидное тело. Поэтому при действии неблагоприятных факторов — физической нагрузке, подъёме тяжестей, потужного периода в родах и других — в зоне дистрофии может усилиться тракция (натяжение) со стороны стекловидного тела.
В дальнейшем из-за этого натяжения стекловидное тело "отрывает" часть сетчатки, куда затем начнёт поступать жидкость из супрахориоидального пространства, вызывая отслойку сетчатки, которая будет увеличиваться по площади. При этом подобное состояние, возникающее на периферии сетчатки, не будет давать явных ощутимых симптомов.
Классификация и стадии развития периферической дистрофии сетчатки
Существую разные классификации периферических дистрофий сетчатки. Наиболее подробная, учитывающая вовлечённость стекловидного тела, риски отслойки сетчатки и показания к лазерной коагуляции, является следующая классификация, предложенная Ю.А. Иванишко и соавторами.
По патоморфологии процесса выделяют:
- ПХРД — периферическую хориоретинальную дистрофию (изменения происходят только в сетчатке и сосудистой оболочке);
- ПВХРД — периферическую витрео-хориоретинальную дистрофию (помимо сетчатки и сосудистой оболочки в процесс вовлекается стеловидное тело).
По наиболее вероятному прогнозу периферические дистрофии делят на:
- дистрофии, очень редко приводящие к возникновению разрывов и отслойки сетчатки (А);
- "условно" предотслоечные дистрофии (В);
- облигатно предотслоечные дистрофии (С).
По степени выраженности изменений различают пять стадий.
Виды периферической хориоретинальной дистрофии:
- ПХРД (А):
- друзы;
- врождённая гипертрофия пигментного эпителия;
- жемчужная дистрофия;
- параоральные кисты;
- закрытые оральные бухты.

Стадии ПХРД:
- I — патологические изменения без "предразрывов";
- II — наличие "предразрывов" (ламеллярных "надрывов") или локального расслоения сетчатки;
- III — наличие сквозных дефектов без локальной отслойки прогрессирующим расщеплением сетчатки;
- IV — наличие сквозных дырчатых (атрофических и/или с эпиретинальными тракциями) дефектов с локальной отслойкой сетчатки (до 10% её площади);
- V — клинически выраженная отслойка сетчатки (более 10% её площади).
Виды периферической витрео-хориоретинальной дистрофии:
- ПВХРД (В):
- меридиональные складки;
- "инееподобная" дистрофия;
- "ватообразная" или "снеговидная" дистрофия.
- ПВХРД (С):
- "решётчатая" дистрофия;
- "след улитки";
- гранулярные "хвосты" (типа пролиферативного ретинита);
- зонулярно-ретинальные тракционные пучки;
- пигментированные хориоретинальные рубцы с витреоретинальной тракцией.
Наиболее опасными являются “решетчатая” дистрофия и дистрофия “след улитки”. [5] [8] [11] [27] [29]

Стадии ПВХРД:
- I — патологические изменения без "предразрывов";
- II — наличие "предразрывов" (витреоретинальных или эпиретинальных тракций, локального расслоения сетчатки, ламеллярных разрывов);
- III — наличие сквозных тракционных разрывов (клапанных, с "крышечкой", дырчатых с эпиретинальными тракциями) и атрофических дефектов без локальной отслойки или прогрессирующего расщепления сетчатки;
- IV — наличие сквозных разрывов с локальной отслойкой сетчатки (до 10% её площади);
- V — клинически выраженная отслойка сетчатки (более 10% её площади). [3][4][6][11][12][17]
Осложнения периферической дистрофии сетчатки
Возможные осложнения при беременности
Наиболее ранними признаками патологической беременности является ангиопатия — поражение капилляров сетчатки. По мере нарастания сосудистых изменений глазного дна на фоне подъёма общего артериального давления появляются изменения и в зрительном нерве (отёк диска зрительного нерва) и ткани сетчатки (кровоизлияния на сетчатке и фигура "звезды" — тромбоз мелких сосудов, расположенных рядом с макулой, который в дальнейшем может привести к частичному и полному сужению просвета сосуда). Это является "зловещим" признаком и может привести к необратимому снижению зрения. Также в результате выраженных изменений на глазном дне может возникнуть экссудативная отслойка сетчатки. Если же отслойка всё же произошла, то тогда это следует расценивать как абсолютное показание к досрочному прерыванию беременности.
В связи с этим грозным осложнением при близорукости различной степени и периферической дистрофии сетчатки, вызванной миопией, осмотр беременных пациенток должен проводиться в четыре этапа:
- До 12 недели беременности определяется степень развития акушерской и перинатальной патологии, проводится детальное обследование различными специалистами и намечается индивидуальный план ведения пациентки акушер-гинекологом;
- На 10-14 недели беременности все женщины должны быть осмотрены офтальмологом. При выявлении прогностически “опасных” форм ПВХРД (“решётчатая", “след улитки”, “инеевидная”, разрывы на периферии сетчатки с витрео-ретинальной тракцией и локализующиеся экваториально, ретиношизис) врач-офтальмолог определяет тактику ведения и лечения дистрофии и вид родоразрешения по офтальмологическим показаниям. Всем беременным с прогностически “опасными” видами ПВХРД рекомендуется выполнить профилактическую лазерную коагуляцию. В случае ПХРД и самоотграничивающихся разрывах возможно проводить динамическое наблюдение с применением медикаментозной терапии, направленной на улучшение метаболизма сетчатки.
- От 1-2 дней до 6 месяцев после родов при появлении новых ПВХРД решается вопрос о необходимости проведения дополнительной лазерной коагуляции сетчатки.
- Всем женщинам, страдающим ПВХРД, после проведённой лазеркоагуляции по этому поводу или после оперированной отслойки сетчатки показано наблюдение офтальмологом не реже одного раза в год.
Диагностика периферической дистрофии сетчатки
Диагностика периферической дистрофии сетчатки заключается в осмотре периферии глазного дна в условиях мидриаза — расширения зрачка с помощью капель-мидриатиков. Благодаря этим препаратам для осмотра доступны все области сетчатки, вплоть до зубчатого края.
При выраженном мидриазе (6,5-7,0 мм) даже начинающий врач-офтальмолог увидит изменения на периферии сетчатки. Если он не уверен в правильности трактовки и оценке риска выявленных дистрофий, то офтальмолог направляет пациента на консультацию к лазерному хирургу, который уточнит вид дистрофии и определит показания к лазерному лечению. Для этого ему потребуются дополнительные инструменты: трёхзеркальная линза Гольдмана или бинокулярный офтальмоскоп Скепенса.

При наличии фундус-камеры лазерный хирург может сфотографировать участок сетчатки, где были выявлены периферические дистрофии, для дальнейшего наблюдения в динамике. Также дополнительную информацию о послойном строении сетчатки в месте дистрофии даст оптическая когерентная томография (ОКТ или ОСТ). [9]

Лечение периферической дистрофии сетчатки
Так как ПХРД указывает лишь на сосудистые и дистрофические изменения сетчатки, возникшие в связи с нехваткой питания, не связана со стекловидным телом и, как правило, не приводит к развитию отслойки сетчатки, то при её обнаружении врач-офтальмолог назначает препараты для улучшения состояния сетчатки (например, витаминно-минеральные комплексы, сосудоукрепляющие и другие группы препаратов).
Для лечения ПВХРД прибегают к отграничительной лазерной коагуляции (ОЛК). Её цель — "склеивание" возможных мест отслоения сетчатки.

Сама процедура ОЛК выполняется в амбулаторных условиях: пациент сидит за щелевой лампой, к которой присоединён лазерный фотокоагулятор. Предварительно врач проверяет работу аппарата, выставляет рабочие параметры: мощность излучения, длительность экспозиции и диаметр лазерного пятна. В конце процедуры он оценивает полученное количество коагулятов (микроспаек).
Параметры лазерного воздействия подбираются с учётом индивидуальных особенностей: пигментации глазного дна и прозрачности преломляющих сред. Так, при наличии помутнений в хрусталике мощность излучения будет больше.
После закапывания в глаз анестетиков на глаз устанавливается специальная трёхзеркальная линза Гольдмана, поворачивая которую лазерный хирург находит нужный участок периферической дистрофии и производит саму лазерную коагуляцию.
ВАЖНО: в момент проведения процедуры нельзя делать резких движений глазом или отклоняться нужно чётко выполнять все команды хирурга. Иначе луч может попасть в другое место сетчатки, повредив его.
Как правило, среднее время лазерной коагуляции составляет от 5 до 15 минут в зависимости от количества зон периферической дистрофии, прозрачности сред и места расположения зон дистрофии. Сама процедура легко переноситься пациентом. Иногда возможны ощущения в виде кратковременных “покалываний” внутри глаза.
После проведения лазерной коагуляции производится инстилляция противовоспалительных капель и корнеопротектерных гелей. Пациенту выдается памятка с назначениями и рекомендациями в послеоперационном периоде, которые нужно соблюдать, как правило, до двух недель. В этот период обязательно:
- закапывание капель группы НПВС (нестероидных противовоспалительных средств);
- ограничение физических нагрузок, подъёма тяжестей, а также количества потребляемой жидкости;
- воздержание от употребления алкоголя.
Через две недели лазерный хирург повторно проводит осмотр глазного дна в условиях расширения зрачка и на основании оценки состояния лазерных коагулятов выносит решения о дальнейших рекомендациях.
В случае если все зоны периферической дистрофии сетчатки отграничены несколькими рядами хорошо пигментированных лазерных коагулятов (II-III степень пигментации), лечение считается завершённым, но при этом необходим осмотр глазного дна в динамике через несколько месяцев.

Тактика ведения родов у беременных с периферической дистрофией
Оптимальный сроки проведения лазерной коагуляции сетчатки при беременности — до 37 недели, так как, по мнению многих авторов, после этого периода отсутствует достаточный срок для образования прочной спайки между сетчаткой и сосудистой оболочкой.
При выявлении ПВХРД после 37 недели рекомендуются проведение родоразрешения через естественные родовые пути с исключением или ограничением потужного периода, а у беременных с ПВХРД, выявленными после 37 недели, сочетающимися с низкой акустичной плотностью склеры и снижением микроциркуляции, рекомендуется родоразрешение с медикаментозным снижением интенсивности потуг с помощью эпидуральной анестезии. [20]
Прогноз. Профилактика
При своевременном выявлении периферической дистрофии и проведении лазерной коагуляции сетчатки прогноз относительно хороший, так как всё это позволяет предотвратить тяжёлые осложнения (прежде всего, отслойку сетчатки). В некоторых случаях — при наличии множественных зон ПВХРД, неполной зоны коагуляции или слабой выраженности коагулятов — может потребоваться проведение дополнительной лазерной коагуляции:
Чтобы предотвратить периферическую дистрофию ещё на этапе её формирования, необходимо принимать меры по профилактике прогрессирования миопии и её лечению, особенно в школьном возрасте:
- соблюдение режима зрительных нагрузок;
- зрительная гимнастика;
- физическая активность;
- правильно подобранные очки, соблюдение режима их ношения и другое.
Беременным женщинам с близорукостью обязательно нужно пройти осмотр офтальмолога для уточнения наличия ПХРД или ПВХРД.
Болезнь Гиппеля-Линдау: гемангиобластома сетчатки
Информация только для специалистов в сфере медицины, фармации и здравоохранения!

Содержание
- Гемангиобластома центральной нервной системы
- Гемангиобластома сетчатки
- Светлоклеточный почечно-клеточный рак
- Феохромоцитома
- Опухоли эндолимфатического мешка среднего уха
- Серозная цистаденома и нейроэндокринные опухоли поджелудочной железы
- Папиллярная цистаденома придатка яичка и широкой связки матки
Молекулярная биология болезни Гиппеля-Линдау

Ген фон Гиппеля-Линдау (VHL) был картирован на хромосоме 3p25 и клонирован в начале 1990-х, а дальнейшие исследования в понимании функции гена VHL продолжались в течение следующих 20 лет. Продукт этого гена, белок VHL, действует как супрессор опухолей. Как и в случае с патогенными вариантами некоторых других генов-супрессоров опухолей (например, гена ретинобластомы 1, RB1), модель «двух ударов» была подтверждена для БГЛ, при которой вариант потери функции зародышевой линии инактивирует одну копию VHL-гена во всех клетках. Для развития опухолей, связанных с VHL, должна произойти потеря экспрессии второго нормального аллеля либо из-за соматических изменений, либо из-за делеции второго аллеля, либо из-за гиперметилирования его промотора. При спорадическом почечно-клеточном раке инактивация VHL за счет соматических изменений обоих аллелей очень распространена.
За последние два десятилетия были достигнуты значительные успехи в понимании биологии, лежащей в основе формирования опухолей, связанных с VHL. Белок VHL образует стабильный комплекс с несколькими другими белками, включая элонгины В и С, а также куллин 2. Этот комплекс нацелен на несколько белков для протеасомной деградации, тем самым регулируя их уровни внутри клетки. Компонент VHL этого комплекса функционирует как убиквитинлигаза E3 для молекул-мишеней. После связывания с комплексом VHL молекулы-мишени ковалентно связываются с убиквитином, облегчая деградацию протеасомой.
В дополнение к своей функции убиквитинлигазы E3, VHL выполняет несколько других важных клеточных функций, включая поддержание первичной реснички, регуляцию цитокинеза, контроль функции микротрубочек, целостность внеклеточного матрикса и регуляцию клеточного цикла. Патогенные варианты гена VHL также связаны с врожденными формами истинной полицитемии.
Клиническая картина капиллярной гемангиобластомы сетчатки

Капиллярные гемангиобластомы сетчатки обычно локализуются либо в периферической части сетчатки, либо в юкстапапиллярной области. Потеря зрения при капиллярных гемангиобластомах сетчатки обычно вызывается экссудацией из опухоли, вызывающей отек сетчатки, или тракционными эффектами, при которых глиальная пролиферация на поверхности опухоли вызывает стрии и деформацию сетчатки. Кроме того, капиллярные гемангиобластомы сетчатки могут кровоизлиять, что приводит к отслойке сетчатки, глаукоме и потере зрения.
Капиллярные гемангиобластомы сетчатки обнаруживаются у 70% пациентов с БГЛ к возрасту 60 лет; они часто многоочаговые и двусторонние. По сравнению с пациентами со спорадическими гемангиобластомами сетчатки пациенты с БГЛ намного моложе и чаще имеют множественные поражения. В одной серии из 31 пациента с БГЛ и 37 пациентов без неё пациенты с БГЛ были моложе (18 лет против 36 лет соответственно), имели в среднем четыре опухоли и были более склонны к развитию новых опухолей, чем пациенты без заболевания. заболевание.
В исследовании 890 пациентов с БГЛ у 335 пациентов была капиллярная гемангиобластома сетчатки как минимум в одном глазу. Поражения были обнаружены односторонне у 42% и двусторонне у 58% пострадавших пациентов. Корреляции между возрастом, полом и латеральностью поражения выявлено не было. Из вовлеченных глаз 87% имели опухоли, которые можно было визуализировать индивидуально; из них опухоли обычно обнаруживались только в периферической части сетчатки (85%) и реже в юкстапапиллярной области (15%). Количество опухолей на периферии в среднем составляло 2,5+/-1,8 на глаз, при этом 25% глаз имели поражение более одного квадранта сетчатки. Оценка взаимосвязи генотип-фенотип при капиллярной гемангиобластоме сетчатки показала, что у 15% людей с вариантами, которые приводят к полной потере белка VHL, развилась гемангиобластома по сравнению с общей распространенностью в популяции пациентов 37%. Было обнаружено, что риск потери зрения увеличивается с возрастом, хотя количество опухолей существенно не увеличивается в зависимости от возраста.
Как и в случае с кажущимися спорадическими гемангиобластомами центральной нервной системы (ЦНС), любой пациент с капиллярной гемангиобластомой сетчатки (особенно в возрасте до 40 лет) должен пройти генетическое тестирование зародышевой линии на наличие патогенных вариантов гена VHL.
Рутинное наблюдение за капиллярной гемангиобластомой сетчатки рекомендуется для пациентов с заболеванием VHL из-за его высокой частоты. Частое появление таких поражений в детстве делает важным инициировать офтальмологическое наблюдение в педиатрической популяции после постановки диагноза, и это является одной из причин, по которой рекомендуется генетическое тестирование на патогенные варианты гена VHL у детей раннего возраста.
Диагностика капиллярной гемангиобластомы сетчатки

Диагноз болезни (фон) Гиппеля-Линдау (БГЛ) обычно устанавливается путем обнаружения зародышевого патогенного (обычно с потерей функции) варианта гена VHL. Это чаще всего наблюдается у пациентов, которые проходят генетическое тестирование после того, как у них диагностировано одно проявление БГЛ, или у тех, кто проходит тестирование, потому что у их близких родственников диагностирована эта болезнь. Диагноз также может возникнуть, когда генетическое тестирование проводится по другой причине и неожиданно обнаруживает вторичный патогенный вариант VHL. В редких случаях у пациентов, у которых нет доступа к генетическому тестированию, диагноз болезни может быть основан на клинических критериях (например, у пациентов с одним поражением, связанным с БГЛ, и соответствующим семейным анамнезом, или у пациентов с множественными поражениями, связанными с БГЛ).
Пациентов с подозрением на БГЛ следует направлять в специализированные центры для оценки, генетического консультирования и окончательного диагноза с помощью генетического тестирования, даже если в семейном анамнезе нет этой болезни.
Пациентов следует направлять на соответствующую генетическую консультацию в сочетании с генетическим тестированием на патогенные варианты гена VHL. Болезнь наследуется по аутосомно-доминантному типу, и больные люди имеют 50-процентную вероятность передачи ассоциированного с болезнью варианта гена VHL каждому потомку. Учитывая разный возраст появления опухоли, большинство людей с БГЛ доживают до зрелого возраста и рожают детей в основном до постановки диагноза. Таким образом, нет ничего необычного в том, чтобы увидеть многопоколенческие родословные БГЛ со многими пораженными людьми, каждый из которых имеет несколько разные модели диагнозов опухолей и разный возраст начала заболевания.
Среди редких пациентов с соматическим мозаицизмом риск для потомства зависит от того, несет ли зародышевая ткань патогенный вариант, хотя это обычно не определяется клинически. Таким образом, пациенты с документально подтвержденным мозаицизмом должны быть проинформированы о том, что риск рождения больного ребенка может достигать 50% и что любой больной ребенок унаследует патогенный вариант в 100% своих клеток и потенциально будет иметь более тяжелые проявления болезни, чем мозаичный родитель.
Диагноз БГЛ у ребенка здоровых родителей может быть очень тревожным, и следует тщательно объяснить концепцию патогенных вариантов de novo или переменной экспрессивности (например, когда у родителя еще не была диагностирована опухоль, связанная с БГЛ). Никогда не следует предполагать, что здоровые родители отрицательны на патологический вариант гена VHL без прямого генетического тестирования. Родителей следует успокоить, а возможную вину смягчить, объяснив, что патогенный вариант de novo вряд ли может быть результатом какого-либо действия, имевшего место непосредственно перед беременностью или во время нее.
Растет обеспокоенность родителей относительно того, когда предоставлять информацию о диагнозе детям с положительным генетическим тестом на VHL. В общем, лучше всего передавать эту информацию в различных условиях по мере взросления ребенка, и родители могут получить помощь от медицинского работника при инициировании этих дискуссий.
Лечение капиллярной гемангиобластомы сетчатки
Лечение капиллярной гемангиобластомы сетчатки требует, чтобы преимущества лечения были сбалансированы с потенциальными осложнениями, связанными с лечением. Данные о том, можно ли внимательно наблюдать за небольшими поражениями без специфического лечения, до тех пор, пока не появятся какие-либо признаки роста или симптомы, противоречивы. Некоторые группы рекомендуют лечить капиллярную гемангиобластому сетчатки сразу после обнаружения (чтобы предотвратить рост и осложнения), в то время как другие ждут некоторого изменения в размере, прежде чем начинать лечение. Для тех, кто начинает лечение, мы предлагаем лазерную фотокоагуляцию, а не другие методы лечения. Другие альтернативные варианты включают фотодинамическую терапию или лучевую терапию. Системная терапия белзутифаном является приемлемым вариантом для пациентов, которым противопоказана местная терапия из-за близости опухоли к зрительному нерву или множественных прогрессирующих поражений. Клинические испытания приветствуются, если таковые имеются.
Местная терапия. Лазерная фотокоагуляция эффективна более чем в 70% случаев, как правило, при однократном лечении и является предпочтительным методом лечения. Исключением является то, что гемангиобластомы зрительного нерва не следует лечить этими методами из-за вредных побочных эффектов на нормальную сетчатку. Фотодинамическая терапия также может рассматриваться как вариант лечения капиллярной гемангиобластомы сетчатки, хотя данные о ее эффективности ограничены. Внешняя лучевая терапия может быть использована в качестве терапии спасения, если другие методы оказались неэффективными.
Белзутифан, ингибитор индуцируемого гипоксией фактора-2альфа (HIF-2альфа), является вариантом лечения пациентов с капиллярными гемангиобластомами сетчатки, расположенными близко к зрительному нерву, или пациентов с множественными прогрессирующими гемангиобластомами; такие пациенты, как правило, не подходят для местной терапии. В исследовании фазы II белзутифан улучшил состояние во всех 16 глазах (100%) у 12 пациентов с подлежащими оценке гемангиобластомами сетчатки.
Экспериментальная терапия (антиангиогенные средства) – необходимы дальнейшие исследовательские исследования для лучшего понимания биологии исходной гемангиобластомной клетки и ее эндотелия, а также для разработки активной системной терапии. Несколько ингибиторов рецепторов фактора роста эндотелия сосудов (VEGF), которые препятствуют ангиогенезу, такие как сунитиниб, пазопаниб, бевацизумаб и ранибизумаб, продемонстрировали ограниченную эффективность при гемангиобластоме сетчатки.
Наблюдение за пациентами с капиллярной гемангиобластомы сетчатки

Заболеваемость и смертность у пациентов с болезнью (фон) Гиппеля-Линдау (БГЛ) значительно снизились благодаря лучшему пониманию естественного течения серьезных клинических проявлений заболевания, более совершенным методам визуализации и улучшениям в терапии. Наблюдение важно не только для выявления новых поражений на ранней стадии, но и для наблюдения за небольшими бессимптомными поражениями на предмет признаков прогрессирования.
Протоколы наблюдения сосредоточены на гемангиобластомах (включая капиллярные гемангиобластомы сетчатки), почечно-клеточном раке (ПКР), феохромоцитомах и аудиологическом исследовании, учитывая повышенный риск опухолей эндолимфатического мешка (ЭЛСТ) у пациентов с БГЛ. Рекомендации по наблюдению могут быть адаптированы к каждому пациенту с учетом текущего или предшествующего диагноза опухоли. Тем не менее, все люди с БГЛ, даже если в настоящее время они бессимптомны, должны понимать, что у них могут развиться проявления болезни, и им будет полезно следовать рекомендациям по эпиднадзору.
Несколько организаций предоставляют обновленные руководства по эпиднадзору, учитывающие современные методы визуализации и лабораторной диагностики. Международная группа клиницистов, занимающихся лечением детей с БГЛ, была созвана в 2016 году в рамках семинара Американской ассоциации исследований рака (AACR) по детской предрасположенности к раку. Группа рассмотрела как американские, так и европейские схемы по БГЛ и опубликовала рекомендации по эпиднадзору, которые предусматривали повышение интенсивности и более раннее начало скрининга. Эти рекомендации впоследствии были оценены консенсусной комиссией, сформированной Альянсом БГЛ, состоящей из клиницистов, занимающихся всеми областями знаний, связанных с лечением болезни, и представителей семинара AACR. Ниже приводится сводка этих рекомендаций.
Гемангиобластома головного мозга: статистика, причины, симптомы, лечение и операция
Гемангиобластомы (син. ангиоретикулемы) принадлежат к относительно редким опухолям центральной нервной системы 1 степени злокачественности. Происходят из примитивных сосудистых мезенхемальных клеток или гемоцитобластов. Могут располагаться в головном и спинном мозге, в сетчатке глаза. Структура опухоли в медицинских источниках описывается как гетерогенная, поскольку может включать и солидный, и кистозный компонент. Развитие этого новообразования бывает спорадическим (ненаследственным, по неясным причинам) и семейным.

Статистический отчет
В общей группе всех внутричерепных первичных опухолей гемангиобластомы головного мозга (ГГМ) составляют 1%-2,5%, причем чаще (в 85%) их диагностируют в гемисферах мозжечка. Прогнозы после полного (!) хирургического удаления опухоли со спорадическим сценарием возникновения, положительные, они не рецидивируют.
Но в 25% случаев новообразование обнаруживается как проявление наследственного заболевания – болезни Гиппель-Линдау. Церебральная опухоль, ассоциированная с этой болезнью, часто имеет неудовлетворительные прогнозы. У пациентов с такой генетической патологией опухолевый процесс и после полной резекции способен вновь возродиться, и не обязательно на том же месте, он может появиться в любой другой части ЦНС.

Наибольшее количество случаев с ГГМ отмечается у мужчин, которые страдают от них в 1,5-2 раза чаще, чем женщины. Пиковый возрастной диапазон, когда обнаруживают очаг у пациентов, – 40-50 лет. Впервые новообразование, сочетающееся с болезнью Гиппель-Линдау, проявляется в подростковом и молодом возрасте (до 30 лет).
Гемангиобластомы характеризуются медленным ростом и доброкачественным биологическим поведением. Однако иногда (редко) осложняются спонтанными значительными кровоизлияниями в заднюю черепную ямку. Массивные кровоизлияния обычно возникают при крупных размерах образования (более 1,5 см).
Любая гемангиобластома в головном мозге – серьезнейшая проблема, которая требует своевременного выявления и лечения. У каждого больного опухоль становится причиной прогрессирующего неврологического дефицита, безостановочного падения качества жизни. Летальность не исключена. К сожалению, этот диагноз не поддается консервативному лечению. Единственным шансом для пациента выжить и восстановиться является сугубо нейрохирургическое вмешательство.
Причины новообразования
Что является пусковым механизмом для возникновения гемангиобластом, как и всех существующих видов опухолей человека, достоверно пока не установлено. Однако специалисты сходятся во мнении, что к подобному типу онкологического процесса могут подтолкнуть такие негативные факторы, как:
- получение организмом высоких доз радиации;
- чрезмерное пребывание на солнце, злоупотребление солярием;
- эффект интоксикации вследствие работы на вредных производствах;
- проживание в условиях неблагоприятной экологии;
- травмы и инфекции головного мозга.
В случае с синдромом Гиппель-Линдау фактором-провокатором считается передающийся по наследству дефект в гене-супрессоре VHL, который у здоровых людей отвечает за противодействие опухолевой трансформации клеток.

Классификация гемангиобластом
Макроскопически гемангиобластомы головного мозга делятся на 4 типа:
- солидное образование – мягкотканый багровый узел, заключенный в оболочку, на срезе представлен губчатой массой (встречается в 30% случаев);
- крупная гладкостенная киста – кистозное образование с полостью, включающей желтоватую прозрачную жидкость, на стенке которого определяется мелкий узелок (mural nodulus) опухоли (частота встречаемости – 60%);
- смешанный вид – новообразование, отличающееся наличием солидного узла, внутри которого обнаруживаются многочисленные мелкие кисты (диагностируется в 4%);
- простая киста – обычная гладкостенная киста, не содержащая пристеночного мурального узла (наблюдаются в 6%).
Преимущественной локализацией гемангиобластом является задняя черепная ямка (ЗЧЯ). Типичные места поражений:
- левая и правая гемисферы мозжечка (85%);
- IV желудочек (6%);
- червь мозжечка (5%);
- ствол мозга (3%);
- мостомозжечковый угол (1%).

Признаки проявления патологии
Первыми проявлениями опухолевого процесса у 90% пациентов выступают общемозговые симптомы, характерные для внутричерепной гипертензии, это:
- сильные головные боли (чаще в районе затылка);
- тошнота, рвота;
- вынужденное положение головы (человек интуитивно наклоняет голову в сторону для облегчения условий ликворооттока);
- ухудшение зрения.

Особенностью клинических признаков, как правило, является нарастающая или волнообразная динамика с продолжительными светлыми промежутками. Далее, спустя несколько месяцев, к симптомам ВЧГ присоединяются очаговые признаки, это:
- расстройство координации движений;
- неустойчивость, шаткость походки;
- пирамидальная недостаточность;
- речемоторные расстройства;
- непроизвольные маятникообразные движения глаз;
- психические отклонения (неврастения, депрессивный невроз, дисфория, дезориентация личности, пр.).
Перечисленная клиника, базируемая на симптомах ВЧГ и мозжечковых расстройствах, свойственна многим церебральным патологиям. Поэтому патогномоничными, то есть конкретно для ангиоретикулем, их назвать нельзя. Этот факт не распространяется лишь на пациентов с болезнью Гиппель-Линдау, у которых этот симптоматический комплекс всегда сочетается с ангиопатиями сетчатки глаза. В любом случае окончательный диагноз можно установить только после комплексной диагностики, включающей осмотр у невролога и офтальмолога, прохождение МРТ/КТ, селективной ангиографии.

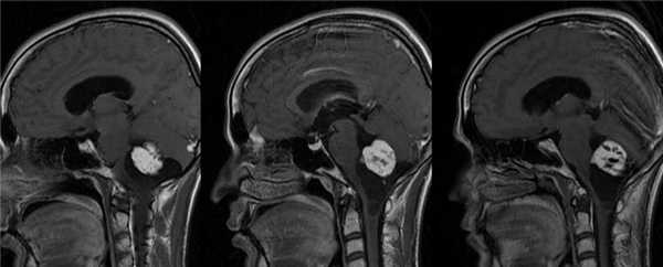
Образование на снимках МРТ.
Нейрохирургическое лечение ГГМ
Внутричерепные гемангиобластомы подлежат стандартному хирургическому удалению. Если опухоль неоперабельна (в основном при поражениях ствола мозга), назначается лучевая терапия или неинвазивное радиохирургическое удаление (предпочтительнее). Радиохирургия дает значительно лучшие результаты по сравнению с обычной лучевой терапией. Кроме того, современные методики стереотаксической радиохирургии редко дают побочные эффекты и не требуют долгосрочного курса облучения (часто достаточно всего 1-2 сеанса).

Операция гемангиобластомы головного мозга
В ходе обычной операции, являющейся «золотым стандартом» при данном диагнозе, используется тактика краниотомии с созданием ретросигмовидного доступа. Трепанация выполняется в области большого затылочного отверстия, диаметр трепанационного окна составляет 2-4 см. Хирургический процесс происходит под контролем ультрамощного интраоперационного микроскопа. Длится операция полного удаления ГГМ от 2,5 до 5 часов. Рассмотрим основные этапы оперативного вмешательства.
- Предварительно производится сбривание волосяного покрова с кожи головы в соответствующей зоне.
- В большинстве случаев для обезболивания выбирается общий комбинированный наркоз с интубацией трахеи и искусственной вентиляцией легких.
- Положение пациента – на боку или животе, голова провернута в сторону. Голову фиксируют посредством специальной скобы с шипами.
- В пределах операционного поля выполняется кожный продольный разрез или делается выкраивание кожного лоскута с последующим его отворотом над сосцевидным отростком височной кости.
- Далее осуществляется формирование костного отверстия в трепанируемой части затылочной кости (книзу и медиальнее сигмовидного синуса).
- На следующем этапе нейрохирург производит корректное вскрытие твердой мозговой оболочки. После вскрытия ТМО доступ к поверхностям мозжечка и других структур ЗЧЯ освобожден.
- Специалист приступает к процессу устранения опухолевого очага с полным сохранением функционально значимых мозговых структур.
- Узел гемангиобластомы удаляется тотально единым блоком. Все сосудистые образования, питающие новообразование, коагулируются и пересекаются максимально близко к его поверхности.
- Если опухоль представлена кистой, ее содержимое тщательно аспирируют. Стенки кист при этом не удаляются.
- В конце операционного сеанса твердая мозговая оболочка ушивается, костные отломки возвращаются на место и укрепляются, кожно-раневый дефект закрывается.
Задача открытой операции – реализовать удаление солидного компонента полностью, без остатка. Тотальным образом его удалить удается в большинстве случаев, у 85-90% пациентов. При таком положении с большой долей уверенности можно ждать благоприятных прогнозов. Но! Если выполнена частичная или субтотальная резекция, новообразование продолжит расти. Отмечено, что неполное удаление часто ведет к развитию гидроцефалии, кровоизлияний и гематом, смертельного исхода уже в самый ранний период.

Радиохирургическое вмешательство
Отдельной группе больных, кому в силу состояния здоровья или опасного расположения опухоли противопоказана классическая операция, рекомендована стереотаксическая радиохирургия. Радихирургическая операция также назначается после неполного хирургического иссечения гемангиобластомы, чтобы ликвидировать ее сохранившиеся элементы. В арсенале нейрохирургии существует 2 способа стереотаксического воздействия (без разрезов, трепанации и без боли) – Гамма-нож и Кибер-нож.
- Гамма-нож – радиологическая операция, специально разработанная для прицеленного разрушения анормальных структур в пределах головного мозга ионизирующим излучением Кобальт-60. Перед операцией на голову пациента надевается шлем-система, позволяющая с высокой точностью определять и обезвреживать очаговую область. Излучение «работает» сугубо в пределах опухоли и не причиняет вреда близлежащим здоровым структурам ГМ. Чтобы установить на голову стереотаксическую конструкцию, локально (в местах ее фиксации) проводят обезболивание местным анестетиком пролонгированного действия. Курс терапии «Гамма-нож» состоит из 1-3 процедур. Время 1 сеанса – 30-180 минут.
- Кибер-нож – процедура прицеленного облучения патологических тканей на роботизированной установке, генерирующей фотонное излучение 6 МэВ. Принцип лечебного действия и эффективность приблизительно идентичны Гамма-ножу. Но радиохирургический аппарат Кибер-нож, в отличие от Гамма-установки, является универсальным. Он может быть использован в целях лечения онкологии в разных отделах человеческого организма. При данной процедуре не нужно голову заключать в раму, анестезиологическое обеспечение не требуется.

Противопоказаниями к операциям на Гамма-ноже и Кибер-ноже являются новообразования, достигшие размерлв в 3,5 см и более.
Что влияет на результаты лечения?
Неудовлетворительные исходы после оперативных вмешательств, как показывают клинические наблюдения, – не редкость. Негативные результаты наблюдаются примерно в 11% случаев. Это большая цифра, несмотря на факт, что гемангиобластомы в медицине относят к доброкачественным и неагрессивным новообразованиям. Наиболее распространенными осложнениями, характеризующими неудовлетворительный итог, являются кровоизлияния в остатки опухоли и окружающие мозговые ткани, отеки мозга и гематомы, грубейшие нарушения кровообращения и ликвороциркуляции, как следствие, ранняя смерть.
Специалисты выделили ряд факторов, которые имеют прямую взаимосвязь с неблагоприятной прогностической информацией после хирургического лечения гемангиобластом:
- желудочковая и стволовая локализация новообразованной ткани;
- молодой возраст пациента, мужской пол (последствия встречаются чаще);
- наличие болезни Гиппель-Линдау;
- доминирование солидного компонента в опухоли;
- солидный элемент – более 2,5 см;
- индекс Карновского менее 50 баллов;
- степень гидроцефалии (индекс Эванса) выше 45 баллов;
- нечеткая отграниченность опухоли.
Шрам после операции, со временем он станет мало заметен.
И последнее. Мы сейчас не откроем ни для кого тайны, сказав, что очень многое зависит от опыта и квалификации хирурга. Существует 2 главных хирургзависимых фактора, предопределяющих исход хирургического лечения, – адекватность выбора хирургической тактики и радикальность удаления гемангиобластомы. Поэтому одна из главных для пациента задач – попасть к специалисту с большой буквы.

Центральный военный госпиталь г.Прага.
Сегодня во всем мире пользуются большой востребованностью нейрохирурги Чехии. Чешская нейрохирургия по степени развития, качеству и количеству успешных вмешательств занимает одну из ведущих позиций в рейтинге стран Европы, входит в десятку лучших государств мира. В этой стране на передовом уровне выполняются операции по поводу всех онкологических и других заболеваниях головного мозга. При сравнимом качестве оказываемой помощи, услуги чешской хирургии ЦНС стоят вдвое ниже, чем в Израиле и Германии.
Читайте также:
- Подслизистые парапроктиты. Методы лечения острых парапроктитов.
- Синтопия поджелудочной железы. Расположение поджелудочной железы. Топографическая анатомия поджелудочной железы.
- Развитие влагалища и девственной плевы в норме. Эмбриогенез
- Вторичные симптомы головокружения. Сбор анамнеза при головокружении.
- Пример пароксизмальной тахикардии. ЭКГ при пароксизмальной тахикардии
