Привычный вывих надколенника: атлас фотографий
Добавил пользователь Евгений Кузнецов Обновлено: 25.12.2025
Вывихи надколенника - это нарушение соотношений между внутренней поверхностью надколенника и передней поверхностью большеберцовой кости. Вывих может быть боковым, вертикальным или торсионным. Независимо от вида вывиха повреждение сопровождается выраженным болевым синдромом, болезненностью и невозможностью движений в коленном суставе, пальпаторно определяемым смещением надколенника. Опора на ногу иногда частично сохранена. Диагноз выставляется по результатам осмотра и данным рентгенографии. Лечение заключается в вправлении надколенника и фиксации при помощи гипсовой повязки. В отдельных случаях показана операция.
МКБ-10

Общие сведения
Вывихи надколенника составляют 0,4-0,7% от общего количества вывихов. Надколенник – небольшая округлая плоская кость, расположенная на передней поверхности коленного сустава. Сверху к надколеннику прикрепляются сухожилия всех четырех головок четырехглавой мышцы бедра. Волокна сухожилий охватывают надколенник со всех сторон и в области его нижнего полюса образуют собственную связку надколенника. Надколенник находится в небольшой впадине, удерживается на своем месте за счет сухожилий четырехглавой мышцы и поддерживающих связок (наружной и внутренней). Определенную роль в ограничении подвижности надколенника играют мыщелки бедренной кости.
Причины
Как правило, причиной вывиха надколенника становится прямая травма (падение на коленный сустав, боковой удар в область надколенника), сочетающаяся с сокращением четырехглавой мышцы. Боковой вывих надколенника обычно возникает при разогнутой голени. При сгибании в коленном суставе боковой вывих практически невозможен, поскольку наколенник плотно прижат к межмыщелковой поверхности бедренной кости. В редких случаях при согнутой голени возможен вертикальный вывих надколенника.
Вероятность вывиха надколенника увеличивается при мелкой надколенной впадине, слабо развитом наружном мыщелке бедра, нарушении соотношений между осью четырехглавой мышцы и собственных связок надколенника. Обычно до момента травмы эти анатомические особенности никак не проявляются и остаются незамеченными.
Классификация
В травматологии и ортопедии различают приобретенные (травматические) и врожденные вывихи надколенника. В зависимости от давности травмы выделяют острый и застарелый вывих надколенника. Если вывих происходит повторно, говорят о привычном вывихе. По направлению смещения различают:
- боковые вывихи надколенника (наружный и внутренний);
- торсионные (ротационные) вывихи, при которых надколенник разворачивается вокруг своей вертикальной оси;
- вертикальные вывихи, при которых надколенник разворачивается вокруг своей горизонтальной оси и вклинивается в суставную щель между большеберцовой и бедренной костями.
Чаще всего наблюдается наружный, реже – внутренний вывих надколенника. Торсионные и вертикальные вывихи надколенника встречаются чрезвычайно редко.
Симптомы вывиха надколенника
Острый травматический вывих сопровождается резкой болью. Коленный сустав слегка согнут, увеличен в объеме, расширен в поперечном направлении (при боковых вывихах). Активные движения невозможны, пассивные болезненны и резко ограничены. Пальпаторно определяется направление и степень смещения надколенника. При полном вывихе надколенник располагается кнаружи от латерального мыщелка бедра, при неполном – находится над латеральным мыщелком.
Иногда травматический вывих надколенника вправляется самостоятельно. Пациенты в таких случаях отмечают эпизод резкой боли в ноге, который сопровождался ощущением подкашивания и смещения в колене. После самостоятельно вправившегося вывиха надколенника наблюдается незначительный или умеренный отек в области коленного сустава. Возможен гемартроз (скопление крови в коленном суставе).
Диагностика
Диагноз вывиха надколенника выставляется травматологом-ортопедом на основании характерного анамнеза, клинической картины и данных рентгенографии. Наиболее информативны сравнительные рентгенограммы обеих надколенников, проведенные при касательном направлении рентгеновских лучей спереди и сверху вниз или снизу вверх.
Основанием для диагностирования привычного вывиха являются повторные смещения надколенника, происходящие без выраженного травматического воздействия. Привычные и застарелые вывихи надколенника могут быть показанием для проведения МРТ коленного сустава. При решении вопроса о целесообразности операции проводится диагностическая артроскопия коленного сустава.
Лечение вывиха надколенника
Острый вывих обычно лечится консервативно. Производят вправление вывиха под местной анестезией. Конечность сгибают в тазобедренном суставе (для ослабления натяжения сухожилий четырехглавой мышцы) и разгибают в коленном суставе. Затем аккуратно смещают надколенник до устранения вывиха и накладывают гипсовую повязку.
После вправления обязательно назначают контрольную рентгенограмму для подтверждения вправления вывиха и выявления костно-хрящевых тел, которые иногда образуются при травме. При остром вывихе надколенника показана иммобилизация сроком 4-6 недель. Массаж и физиолечение проводят под контролем физиотерапевта, не снимая лонгету. Полную нагрузку на ногу разрешают через месяц с момента травмы.
Вывих ключицы
Вывихи ключицы - это полное смещение акромиального или грудинного конца ключицы относительно отростка лопатки или грудины. Наблюдается боль и отек, увеличение выстояния ключицы в месте вывиха. Движения конечности на стороне поражения резко ограничены. Диагностика осуществляется по результатам клинического осмотра, анамнеза повреждения и данных рентгенографии. По показаниям дополнительно назначается МРТ или КТ. Лечение консервативное (с использованием специальных гипсовых повязок) или оперативное (путем фиксации суставного конца ключицы лавсановыми нитями).

Вывихи ключицы нередко встречаются в клинической практике и составляют около 5% от общего числа вывихов. Страдают преимущественно мужчины среднего возраста. Поскольку ключица участвует в образовании двух суставов (с акромиальным отростком лопатки и с грудиной), возможно возникновение двух видов вывихов: в грудино-ключичном и акромиально-ключичном сочленении. Вывих акромиального конца ключицы встречается примерно в 5 раз чаще.
Существует несколько механизмов травматического повреждения:
- Вывих ключицы возникает в результате падения на плечо или отведенную руку.
- Ключица вывихивается при прямом ударе или при падении тяжелого груза на область надплечья.
- Редко причиной вывиха становится резкое сжатие надплечий в поперечном направлении.
Прямой механизм обычно отмечается при вывихивании акромиального, непрямой – при повреждении грудинного конца ключицы.
Патогенез
Ключица – единственная кость, скрепляющая кости верхней конечности с костями туловища. Своим грудинным концом она прикрепляется к грудине. Акромиальный конец кости соединяется с акромиальным отростком лопатки. В обоих случаях образуются сочленения – малоподвижные соединения костей, каждое из которых укреплено прочными связками. Повреждение происходит при воздействии травмирующей силы, превышающей прочность связок. При нарушении целостности одной связки формируется подвывих, при разрыве обеих связок – полный вывих.
Если с момента вывиха грудинного или акромиального конца ключицы прошло до 3 суток, такой вывих считается свежим, от 3 дней до 3 недель – несвежим, более 3-4 недель – застарелым. В зависимости от локализации и степени повреждения в травматологии и ортопедии выделяют:
- Полный вывих акромиального конца ключицы – повреждается клювовидно-ключичная связка, капсула и связки акромиально-ключичного сустава.
- Неполный вывих в акромиально-ключичном сочленении – акромиально-ключичная связка разрывается, клювовидно-ключичная остается неповрежденной.
- Полный вывих грудинного конца ключицы – нарушается целостность грудино-ключичных и реберно-ключичной связок.
- Неполный вывих грудино-ключичного сочленения – грудино-ключичные связки повреждены, реберно-ключичная остается целой.
Грудинный конец ключицы может вывихиваться в трех направлениях: вверх (надгрудинный вывих), назад (загрудинный вывих) и вперед (переднегрудинный вывих). Чаще наблюдается переднегрудинный вывих ключицы.
Симптомы вывиха ключицы
Вывих акромиального конца ключицы
Пациент предъявляет жалобы на боль в области повреждения. Наблюдается локальный отек мягких тканей. Акромиальный конец ключицы выпячивается вверх и немного кзади. Появляется симптом «клавиши»: при надавливании на выступающий конец ключицы он встает на место, а когда давление прекращают – снова поднимается. Пальпация места повреждения болезненна, движения ограничены.
Степень выпячивания акромиального конца ключицы зависит от тяжести повреждения. При неполном вывихе ключицы выпячивание выражено незначительно или умеренно. Если руку больного потянуть вниз, ключица вместе с плечом переместится книзу, степень выстояния ключицы не изменится. При полных вывихах ключицы потягивание руки больного вниз сопровождается увеличением выпячивания.
Вывих грудинного конца ключицы
Больной жалуется на боли в зоне грудино-ключичного сочленения. Визуально определяется отек и деформация. При переднегрудинном вывихе ключицы в области повреждения обнаруживается выпячивание, при загрудинном – западение. При надгрудинном типе травмы конец кости выстоит над верхушкой грудины. Пальпация болезненна, отмечается ограничение движений. При загрудинном варианте повреждения редко выявляются симптомы сдавления дыхательных путей.
Застарелые вывихи ключицы
Неполный застарелый вывих акромиального конца кости может протекать практически бессимптомно. Единственной жалобой больных иногда является деформация акромиально-ключичного сочленения. При полных застарелых акромиальных вывихах пациентов беспокоят боли в области повреждения и снижение силы руки. Застарелые грудинные вывихи сопровождаются формированием косметического дефекта, обычно протекают без болей и нарушений движений.
Осложнения
Тяжелые осложнения и выраженные нарушения трудоспособности в отдаленном периоде нехарактерны. У некоторых пациентов даже после своевременного вправления выявляется нестабильность поврежденного сочленения и боли на фоне недостаточного сращения и рубцовых изменений связок, При акромиальных вывихах редко обнаруживается ограничение подвижности плечевого сустава (обычно – незначительное или умеренное).
Вывих ключицы, как правило, сомнений не вызывает из-за наличия характерной клинической картины. Верификация диагноза осуществляется врачом-травматологом в условиях травмпункта или приемного покоя. Применяются следующие методы:
- Внешний осмотр. Больное надплечье укорочено. В пораженной зоне определяется отек, видимая деформация. Пальпация болезненна. При акромиальном вывихе конец ключицы приподнят над плечевым суставом в виде ступеньки, при ощупывании можно ввести палец между ключицей и акромиальным отростком. При повреждениях грудинного конца определяется смещение, соответствующее тому или иному типу вывиха.
- Рентгенологическое исследование. Для подтверждения выполняют снимок акромиально-ключичного сустава или рентгенографию грудино-ключичного сочленения. При неполных вывихах ключицы в некоторых случаях требуется сравнительная рентгенограмма обеих сочленений, иногда – с функциональной нагрузкой (пациент берет в руки небольшой груз).
Рентгенография акромиально-ключичных суставов. Вывих акромиального конца левой ключицы (справа норма для сравнения).
Лечение вывиха ключицы
Консервативное лечение
В травматологии неполный акромиальный вывих обычно лечат консервативно. Смещение кости устраняют, отводя плечо назад и одновременно надавливая на выстоящий конец ключицы. Затем выполняется иммобилизация акромиально-ключичного сочленения на срок 2-3 недели. В последующем назначают лечебную физкультуру и физиолечение: электрофорез, магнитотерапию, озокеритолечение.
При вывихе грудинного конца вправление осуществляется без особых затруднений, однако удержать ключицу на месте удается далеко не всегда. Ассистент оттягивает плечи больного назад, в то время как травматолог корректирует положение ключицы путем ее выведения из-за грудины или надавливания. Существует специальная консервативная методика лечения, при которой после вправления накладывается восьмиобразная гипсовая повязка. Больному назначается ЛФК и физиотерапия.
Хирургическое лечение
При полных акромиальных вывихах часто показана пластика сочленения, поскольку ничем не удерживаемый акромиальный конец ключицы очень просто поставить на место, но из-за особенностей анатомического строения этой области практически невозможно удержать в правильном положении. В ходе операции травматолог-ортопед вправляет ключицу и фиксирует ее лавсановой лентой или шелковой нитью. В некоторых операционных методиках применяется дополнительная фиксация спицей.
При свежих загрудинных вывихах ключицы в большинстве случаев также используются оперативные методы лечения. Для восстановления связок применяется лавсанопластика. Обычно операцию проводят планово через несколько суток после обращения. При загрудинных повреждениях, особенно сопровождающихся нарушениями дыхания, вмешательство выполняется в экстренном порядке. Застарелые вывихи обеих концов ключицы можно устранить только с помощью операции, в качестве показаний к которой могут рассматриваться как боли и нарушения движений, так и косметический дефект.
Прогноз и профилактика
При своевременном лечении прогноз благоприятный. Если вывих ключицы не удается устранить консервативным способом, проводят операции, обеспечивающие хорошие эстетические и функциональные результаты. При отсутствии лечения деформация сохраняется в течение всей жизни, степень нарушения функций умеренная, незначительная или отсутствует, вероятность развития хронического болевого синдрома увеличивается по сравнению с вовремя пролеченными вывихами. Профилактические мероприятия включают предупреждение травматизма в быту и на производстве.
Вывих коленного сустава ( Вывих колена )
Вывих коленного сустава – это смещение суставных поверхностей костей, образующих коленный сустав, относительно друг друга. В коленном суставе может возникать два вида вывихов: смещение большеберцовой кости относительно бедренной и смещение надколенника относительно большеберцовой и бедренной костей. Патология проявляется резкой болью, отеком и деформацией зоны повреждения. Движения в суставе невозможны. Лечение – немедленное вправление с последующей иммобилизацией. При вывихах большеберцовой кости часто требуются восстановительные операции в отдаленном периоде.
Вывих коленного сустава – патологическое состояние, при котором суставные поверхности костей смещаются и перестают быть конгруэнтными. Под данным термином в травматологии и ортопедии понимают два вида вывихов, значительно различающихся по тяжести: вывих большеберцовой кости и вывих надколенника. Вывихи большеберцовой кости возникают чрезвычайно редко, являются результатом значительного травматического воздействия и нередко влекут за собой тяжелые отдаленные последствия (болтающийся сустав, артроз). Вывих надколенника – достаточно распространенная травма, прогноз при этой патологии благоприятен.
Вывихи коленного сустава могут быть приобретенными (травматическими) или врожденными. Причиной травматического вывиха большеберцовой кости (ББК) могут стать природные или производственные катастрофы, автодорожные аварии, падение с высоты и т. д. Нередки сочетания с другими поражениями: переломами костей скелета, ЧМТ, повреждением грудной клетки, травмой мочеполовых органов. Вид вывиха ББК определяется механизмом травмы:
- Передний вывих возникает вследствие насильственного переразгибания коленного сустава при фиксированной голени либо прямого грубого воздействия на нижнюю часть бедра спереди или на верхнюю часть голени сзади.
- Задний вывих формируется в результате форсированного давления или сильного толчка сзади на нижние отделы бедра или спереди на верхний отдел голени.
- Наружный и внутренний вывихи развиваются при интенсивном резком давлении на боковые поверхности бедра при фиксированных нижних отделах конечности или, наоборот, на боковые части голени при фиксированном бедре.
Причиной приобретенного вывиха надколенника, как правило, становится падение или боковой удар по колену, сочетания с иными травмами наблюдаются нечасто. Врожденные вывихи коленного сустава встречаются редко, обусловлены неблагоприятными воздействиями на этапе эмбриогенеза.
Бедренная и большеберцовая кости соединяются между собой, формируя коленный сустав, который имеет капсулу и укреплен мощными связками. Между суставными концами костей находятся эластичные прокладки – мениски. Значительное смещение суставных поверхностей костей возможно только при высокоэнергетических травмах, сопровождающихся нарушением целостности множества элементов сустава, поэтому вывихи коленного сустава сочетаются с разрывами связок, повреждениями менисков, переломами эпифизарной и метафизарной зон.
Надколенник располагается спереди, является сесамовидной костью (окостеневшей частью сухожилия), не соединяется с другими костями, сверху фиксируется сухожилиями четырехглавой мышцы бедра, снизу – собственной связкой надколенника. При вывихе надколенник может смещаться вбок (кнутри или кнаружи), разворачиваться вокруг своей оси или вклиниваться в суставную щель между большеберцовой и бедренной костями. Основные структуры колена при этом зачастую остаются неповрежденными или повреждаются незначительно.
Симптомы
Передний вывих коленного сустава
Считается наиболее распространенным вывихом ББК. Сопровождается разрывом крестообразных связок и задних отделов суставной сумки. Нередко также наблюдается разрыв боковой, срединной связок. Возможно сдавление или повреждение подколенных сосудов, малоберцового и большеберцового нервов. При повреждении сосудов голень бледная, холодная, синюшная, пульс ослаблен или не определяется. При повреждении нервов возможны расстройства чувствительности и параличи.
Пациент отмечает интенсивные боли в зоне поражения. Колено отечно, резко деформировано, при осмотре выявляются гематомы и кровоизлияния. Активные движения невозможны, при попытке пассивных движений определяется пружинящее сопротивление. Опора невозможна. При полных вывихах нога в состоянии разгибания или незначительного сгибания, обнаруживается укорочение конечности.
При неполных вывихах конечность в положении легкого сгибания, укорочение отсутствует. Выявляется значительное увеличение коленного сустава в переднезаднем направлении. По передней поверхности выдается бугристость и мыщелки большеберцовой кости, по задней выстоят мыщелки бедренной кости. Надколенник занимает косое положение и «ложится» на суставную поверхность ББК.
Задний вывих коленного сустава
Сопровождается повреждением крестообразных связок, часто также рвутся боковая и срединная связки. Возможен отрыв собственной связки надколенника в месте прикрепления (в области бугристости большеберцовой кости). Больной предъявляет жалобы на невыносимые боли. В области повреждения определяется значительный отек, синюшность, участки кровоизлияний, выраженная деформация. Движения в колене отсутствуют, опорная функция конечности утрачена.
Боковые вывихи коленного сустава
Внутренний и наружный вывихи колена встречаются редко и обычно бывают неполными. Сопровождаются разрывом боковой и срединной связки. Колено деформировано, отечно, резко болезненно. Отмечается невозможность опоры и движений. Нога в положении сгибания, стопа повернута. Надколенник смещается в сторону, противоположную вывиху, и занимает косо-поперечное положение.
Вывих надколенника
Повреждение сопровождается резкой болью. Коленный сустав отечен, слегка согнут. В передних отделах выявляется деформация. Наиболее распространенным является вариант, при котором надколенник смещается кнаружи (наружный вывих), смещение кнутри и вклинение между другими костями встречаются реже. Объем колена увеличен, как правило, определяется гемартроз. Активные движения отсутствуют, пассивные существенно ограничены. Пальпаторно – надколенник смещен, ощупывание области повреждения резко болезненно.
Врожденные вывихи коленного сустава
Данная разновидность врожденной аномалии сустава обнаруживается при рождении или в раннем возрасте. Вывих надколенника чаще встречается у мальчиков, сочетается с недоразвитием надколенника и наружного мыщелка, могут выявляться и другие аномалии развития коленного сустава. Основными проявлениями являются шаткость походки, неустойчивость и быстрая утомляемость конечности.
Врожденный вывих голени нередко возникает с двух сторон, одновременно выявляется недоразвитие коленного и голеностопного суставов. Возможна гипоплазия или аплазия большеберцовой кости. Без хирургического лечения с возрастом патология усугубляется, врожденные вывихи надколенника и большеберцовой кости становятся причиной развития тяжелых артрозов.
Ранние осложнения вывиха надколенника встречаются редко. В отдаленные сроки иногда наблюдается нестабильность, привычные вывихи. Смещение ББК сопровождается массивным повреждением других структур, при таких вывихах колена всегда обнаруживается разрыв связок, нередко выявляется нарушение целостности сосудов и нервных стволов. После выздоровления существует вероятность формирования нестабильности сустава, раннего развития прогрессирующего гонартроза.
Диагностика производится в условиях приемного покоя, характер повреждения устанавливается по результатам осмотра травматолога и данным дополнительных исследований. План обследования при вывихах коленного сустава включает:
- Внешний осмотр. Визуальное распознавание вывихов ББК не составляет труда из-за грубого нарушения контуров сустава, патогномоничного для вывихов отсутствия движений на фоне пружинящего сопротивления. Смещение надколенника также хорошо распознается при визуальном осмотре из-за деформации передней части колена.
- Рентгенография коленного сустава. Является основным инструментальным методом исследования. По данным рентгенограмм определяют тип (передний, задний, боковые) и выраженность (полный, неполный) вывиха ББК, диагностируют сопутствующие переломы. При вывихах надколенника на снимках уточняют вариант смещения (вбок, с разворотом, с вклинением).
- Другие визуализационные методики. Относятся к числу вспомогательных, применяются при необходимости уточнить характер и тяжесть повреждения мягких тканей и выбрать оптимальную тактику лечения. Для оценки состояния капсулы и связок могут быть назначены МРТ и УЗИ коленного сустава.
- Артроскопическое исследование. На этапе первичного обследования артроскопия не используется. Может назначаться после вправления при неэффективности результатов консервативного лечения и необходимости планирования оперативного вмешательства.
При подозрении на повреждение сосудов необходима консультация сосудистого хирурга, при возможном сдавлении или разрыве нервов – консультация нейрохирурга или невропатолога.
Лечение вывиха коленного сустава
Первая помощь
На этапе первой помощи ногу пострадавшего фиксируют шиной от стопы до тазобедренного сустава в том положении, в котором она находится. Попытки насильственного изменения положения конечности категорически запрещены, поскольку могут усугубить травму. Пациенту дают обезболивающий препарат, к области колена прикладывают холод для уменьшения отечности, организуют немедленную доставку в специализированное медицинское учреждение.
Лечение вывиха надколенника
Ведение больного обычно консервативное. Травматолог-ортопед осуществляет вправление надколенника под местной анестезией (у детей используется наркоз), при наличии гемартроза производит пункцию коленного сустава. Затем накладывают гипсовую лонгету и выполняют контрольную рентгенографию. Иммобилизацию продолжают 4-6 недель, больному назначают УВЧ и массаж.
В ряде случаев, особенно при раннем прекращении иммобилизации возможны рецидивы, поэтому в последние годы для улучшения отдаленных результатов активную тактику лечения все чаще используют не только при развитии привычных вывихов, но и профилактически. Хирургические методики включают:
- Артроскопическую стабилизацию. Является малоинвазивным вмешательством, производится при наружных вывихах на раннем этапе лечения для профилактики рецидивов, подвывихов и нестабильности сустава. Включает чрескостный шов медиальной связки в сочетании с латерорелизом (рассечением) латеральной связки.
- Открытую фиксацию. Выполняется при привычных вывихах коленного сустава с использованием традиционного разреза. Предусматривает фиксацию надколенника путем подшивания мышечного лоскута, участка фасции четыреглавой мышцы или капсулы сустава.
В послеоперационном периоде проводят перевязки, назначают антибиотикотерапию, осуществляют реабилитационные мероприятия.
Лечение вывиха ББК
Осуществляется в условиях травматологического отделения. Для предупреждения последствий возможного повреждения сосудов и нервов необходимо немедленное вправление. Манипуляция проводится под спинномозговой анестезией или общим наркозом. Затем выполняется пункция сустава, накладывается гипсовая повязка и проводится обязательный рентгенконтроль. Могут производиться следующие хирургические вмешательства:
- При разрыве сосудов, нервов, осложняющем вывих коленного сустава, показано оперативное лечение. Возможен шов нерва с привлечением нейрохирурга, шов или перевязка артерии при участии сосудистого хирурга.
- Из-за значительных повреждений сумочно-связочного аппарата исходом вывиха ББК нередко становится болтающееся колено, поэтому многие специалисты с самого начала выбирают активную хирургическую тактику, осуществляя не закрытое, а открытое вправление и сшивание связок.
После вправления вывиха коленного сустава больного направляют на УВЧ. Гипс сохраняют 4-6 нед., затем разрешают ходьбу. В восстановительном периоде назначают ЛФК и массаж.
Лечение врожденных вывихов
Основным методом лечения являются хирургические операции. Выбор методики и возраст проведения вмешательства определяются характером вывиха:
- Вывихи надколенника. Операции выполняют в детском или юношеском возрасте. Метод предусматривает перемещение собственной связки с ее последующей фиксацией.
- Вывихи голени. Хирургическую коррекцию рекомендуют проводить после достижения 2 лет. Объем вмешательств сильно варьируется, зависит от особенностей патологии, может включать костную пластику, пластику связок и другие манипуляции.
Прогноз
Исход определяется типом вывиха коленного сустава. После вывихов ББК рецидивы возникают редко. Может выявляться шаткость походки и ограничение объема движений. Нередко наблюдается нестабильность сустава, возможно раннее развитие деформирующего артроза. Многим пациентам для полного восстановления трудоспособности требуются реконструктивные операции на связках.
При травмах надколенника прогноз считается благоприятным, однако у некоторых больных после выздоровления формируется привычный вывих, требующий хирургического лечения. Полнота восстановления функций конечности при врожденных пороках определяется тяжестью аномалии, своевременностью и адекватностью лечения.
Профилактика
Меры по предупреждению травматических вывихов колена включают соблюдение техники безопасности на производстве, следование правилам дорожного движения, предупреждение бытовых и спортивных травм. Профилактика врожденных вывихов не разработана.
Болезнь Осгуда — Шляттера - симптомы и лечение
Что такое болезнь Осгуда — Шляттера? Причины возникновения, диагностику и методы лечения разберем в статье доктора Коршуновой Светланы Михайловны, детского ортопеда со стажем в 4 года.
Над статьей доктора Коршуновой Светланы Михайловны работали литературный редактор Елизавета Цыганок , научный редактор Матвей Шильцин и шеф-редактор Маргарита Тихонова
Определение болезни. Причины заболевания
Болезнь Осгуда — Шляттера (Osgood — Schlatter disease) — это воспаление тканей в верхней части большой берцовой кости, которое развивается у детей и подростков [1] [3] [6] .

Болезнь Осгуда — Шляттера поражает сухожилие надколенника в том месте, где оно крепится к бугристости большеберцовой кости. Довольно часто встречается у подростков, особенно у юных спортсменов [3] [14] . Основной симптом — боль под коленом, которая длится от нескольких недель до месяцев [16] .
Распространённость болезни Осгуда — Шляттера
Обычно развивается у детей в период активного развития костной ткани, т. е. при всплеске роста: у мальчиков в 10–15 лет, у девочек в 8–12 лет [2] [12] . Болезнь встречается у 20 % молодых спортсменов и у 5 % подростков, которые не занимаются спортом. При этом мальчики болеют чаще.
В 25 % случаев оба колена вовлечены в патологический процесс, хотя болезнь обычно асимметричная [10] .
Причины развития болезни Осгуда — Шляттера
Среди основных причин болезни выделяют:
- интенсивные занятия спортом, связанные с частым сгибанием колена — баскетболом, волейболом, спринтерским бегом, гимнастикой, футболом [1][2][3][6][8][9][12] ;
- частые сгибания в коленном суставе — ходьба, бег, приседания, салочки, прыжки на скакалках, лазание по деревьям и турникетам;
- врождённые аномалии надколенника и его связки — высокое прикрепление связки надколенника или её прикрепление к широкой области большеберцовой кости, высокое стояние надколенника [10][12][17] ;
- болезнь Шинца в анамнезе;
- наследственная предрасположенность к высокому стоянию надколенника и гипермобильному синдрому (повышенной подвижности суставов).
Повреждение связок коленного сустава, вывих, перелом голени и надколенника или хронические микротравмы колена не могут вызвать болезнь Шляттера, так как она развивается из-за частых нагрузок.
Основные факторы риска:
- возраст 9–14 лет;
- мужской пол;
- чрезмерные физические нагрузки;
- резкий скачок роста [10][12][13] .
При обнаружении схожих симптомов проконсультируйтесь у врача. Не занимайтесь самолечением - это опасно для вашего здоровья!
Симптомы болезни Осгуда — Шляттера
Среди основных симптомов выделяют:
- тупую боль чуть ниже колена, особенно при прыжках и подъёме по лестнице;
- болезненность в области большеберцовой кости при ходьбе, беге и прыжках;
- хромоту при ходьбе;
- боль при стоянии на коленях;
- жар в коленном суставе;
- болезненность при прощупывании бугристости большеберцовой кости;
- отёк под надколенником и в области большеберцовой кости [2][10][11] .
Сначала боль слабая и появляется только при интенсивных нагрузках, но со временем она нарастает и иногда беспокоит пациента даже в спокойном состоянии. Впоследствии к боли присоединяется отёк, который мешает вести привычный образ жизни. Обычно пациенты обращаются к врачу, когда боль становится интенсивной (5 баллов по 10-бальной шкале боли).
Как правило, болезнь не ограничивает движения в колене, но при сгибании возникает боль в месте прикрепления связки надколенника. Если мышца бедра напряжена и укорочена, коленный сустав может сгибаться не полностью, при этом в передней поверхности бедра возникают болезненные ощущения.
Симптомы усиливаются при занятиях спортом, включающих прыжки, и/или при давлении на колени [2] .
Боль возрастает при ходьбе, сгибании и разгибании ног или подъёме по лестнице, но может стихать в покое [10] . При этом болезнь проходит сама после 16 лет, когда закрываются ростковые зоны [12] .
Патогенез болезни Осгуда — Шляттера
Бугристость большеберцовой кости представляет собой перевернутый треугольник, к которой крепится связка надколенника — продолжение сухожилия прямой мышцы бедра (части четырёхглавой мышцы) [8] [9] .

Нормальное развитие бугристости большеберцовой кости происходит в следующей последовательности:
- до 11 лет большеберцовый бугорок полностью хрящевой;
- с 11 до 14 лет формируются ядра окостенения (апофизарные формы);
- с 14 до 18 лет апофиз срастается с верхним концом кости (эпифизом);
- после 18 лет эпифиз кости и апофиз бугорка срастаются с остальной верхней частью большеберцовой кости [13] .
Когда сгибается коленный сустав, прямая мышца бедра напрягается и укорачивается, а связка надколенника тянет ткань, окружающую кость (надкостницу), в месте своего прикрепления — бугристости большеберцовой кости, после чего у подростка появляется отёк и тупая боль под коленным суставом, которая усиливается при активности.
Из-за постоянных микротравм обрывается много капилляров, но кровоснабжение в большеберцовой кости не нарушается. Это приводит к кровоизлиянию, и у пациентов появляются синяки диаметром 1–3 см. Если не прекратить тренировки, начинается отрыв надкостницы вместе с костным фрагментом (апофизом). На месте отрыва формируется костная мозоль и бугристость становится заметной [10] [12] .

Классификация и стадии развития болезни Осгуда — Шляттера
При болезни Осгуда — Шляттера выделяют 3 типа отрывного перелома:
- Тип I — фрагмент смещён незначительно. Пациента беспокоит умеренная боль (3–4 балла по 10-бальной шкале боли) во время спортивных занятий. Операция не требуется, достаточно консервативного лечения: не сгибать колено и принимать обезболивающие препараты (НПВС) при болях, уменьшить физические нагрузки, скорректировать питание и увеличить потребление витамина D.
- Тип II — небольшой отрыв в области бугристости большеберцовой кости. Пациент жалуется на умеренную боль (5–6 баллов) во время спортивных занятий и подвижных игр, боль сохраняется и после нагрузки. Если НПВС не приносят облегчения, может потребоваться операция.
- Тип III — отрыв апофиза большеберцовой кости. В этом случае консервативное лечение не помогает, поэтому требуется операция [16] . Пациента беспокоит умеренная боль (5–6 баллов) при небольшой нагрузке, например 15-минутной прогулке или подвижных играх. Пациент может опираться на ногу, но боль не проходит даже после приёма обезболивающих. Травмы или обширной гематомы в месте прикрепления связки надколенника нет.

Для болезни характерны 3 стадии тяжести:
- острая стадия — края собственной связки надколенника становятся нечёткими из-за отёка мягких тканей, через 3–4 месяца бугристость меняет форму, а её омертвевшие участки начинают рассасываться;
- подострая стадия — отёк мягких тканей рассасывается, но изменения бугристости остаются;
- хроническая стадия — фрагмент кости может срастись с нормальной частью бугристости [13] .
Осложнения болезни Осгуда — Шляттера
При частых сгибаниях коленного сустава в месте бугристисти большеберцовой кости может появиться твёрдый на ощупь бугорок. Кроме выпячивания пациента ничего не беспокоит.
![Бугорок под коленом [18]](/pimg3/privichniy-vivix-nadkolennika-A59DBCA.jpeg)
Болезнь Шляттера приводит к перестройке бугристости, нестабильности коленного сустава и напряжению мягких тканей ног, из-за чего у людей возникает боль под коленным суставом уже во взрослом возрасте.
Если вовремя не начать лечение острой стадии, часть кости может оторваться. Отрывной перелом сопровождается резкой болью в коленном суставе, отёком и гематомой [10] [13] [15] .
Диагностика болезни Осгуда — Шляттера
Диагностика в первую очередь основывается на клинической картине, внешнем осмотре и рентгене в двух проекциях, после чего врач назначает дополнительные методы диагностики.
Сбор анамнеза и осмотр
Врач может заподозрить болезнь Шляттера, если пациент жалуется на боль в коленном суставе при ходьбе и занятиях спортом. При этом доктор уточняет:
- возраст пациента;
- когда появилась боль;
- принимает ли пациент обезболивающие;
- как часто и каким спортом занимается;
- были ли травмы за последний год.
При осмотре врач обращает внимание на отёк и болезненность в области бугристости большеберцовой кости. У пациента также появляется боль в коленном суставе, когда он разгибает колено с сопротивлением и напряжением четырёхглавой мышцы или приседает с полностью согнутым коленом.
Поднятие прямой ноги обычно безболезненно. Если боль появляется в сухожилии надколенника, а не в костном выступе, это признак тендинопатии надколенника (колене прыгуна).
Тест Эли проводят лёжа на животе. В этом положении при сгибании колена также сгибается тазобедренный сустав. У здорового человека такое движение не вызывает неудобств, но у пациента с болезнью Шляттера появляется болезненность в мышцах передней поверхности бедра.
При осмотре врач также обращает внимание на укорочение подколенных сухожилий и напряжение четырёхглавой мышцы бедра, оценивает диапазон движения бедра, чтобы убедиться, что боль в колене не связана с другой патологией (например, с соскальзыванием эпифиза головки бедренной кости, болезни Легга — Кальве — Пертеса) [10] .
Инструментальная диагностика
Основным методом инструментальной диагностики является рентген коленных суставов в двух проекциях, который позволяет увидеть структурные изменения бугристости [4] .
Фрагментацию с отрывом костного фрагмента лучше всего видно на боковой рентгенограмме [10] .
![Отрыв фрагмента кости [17]](/pimg3/privichniy-vivix-nadkolennika-4DB2D05.jpeg)
К дополнительным методам диагностики относятся:
- УЗИ коленного сустава — даёт полную информацию о состоянии связки надколенника, поражении бугристости и окружающих мягких тканей. УЗИ также подходит для периодического наблюдения за течением болезни [3] . Иногда ультразвуковое исследование делают до рентгена, но УЗИ менее информативно.
- МСКТ (мультиспиральная компьютерная томография) — послойный рентген костных структур. Описывает состояние бугристости. На снимках врач смотрит костное состояние надколенника и верхнего отдела большеберцовой кости. Есть возможность сделать 3D-снимок кости [16] . МСКТ проводят при подозрении на фрагментацию бугристости или отрыв части кости.
- МРТ (магнитно-резонансная томография) — единственный метод диагностики состояния мягкотканных структур коленного сустава: мышц, сухожилий и связок. Врач оценивает состояние бугристости, отёк связки надколенника, повреждение менисков, отсутствие или наличие свободной жидкости в полости коленного сустава. МРТ назначают при отёке коленного сустава и боли в спокойном состоянии [16] . Этот способ позволяет исключить внутренние повреждения коленного сустава (повреждение крестообразных связок, менисков, коллатеральных связок коленного сустава, изменения тела Гоффа).
Дифференциальная диагнстика
Болезнь Шляттера дифференцируют:
- с опухолями костей — боль появляется ночью и редко возникает в области бугристости большеберцовой кости, она также не связана с нагрузками;
- тендинитом надколенника — характеризуется ноющей болью в области надколенника, обычно беспокоит вечером;
- остеомиелитом большеберцовой кости — повышается температура, ночью появляется боль, не связанная с нагрузкой;
- болезнью Пертеса — болит вся нога, но рентгенограмма не показывает никаких отклонений, на рентгене таза видны изменения головок бедренных костей;
- повреждением синовиальной складки — коленный сустав отекает и не сгибается полностью, появляется ноющая боль, которая не зависит от нагрузки;
- инфекционным апофизитом — повышается температура, коленный сустав краснеет и болит весь день даже без нагрузок [11][12][16] .
Лечение болезни Осгуда — Шляттера
Болезнь Осгуда — Шляттера проходит сама по мере созревания скелета [4] [11] . Чтобы облегчить боль, назначают консервативное лечение, которое помогает примерно 90 % пациентов [2] . В других случаях проводят операцию.
- исключить физические нагрузки;
- делать специальные упражнения на растяжение мышц передней поверхности бедра;
- использовать противовоспалительные средства (НПВС) или накладывать лёд на 5–7 минут при отёке и сильной боли (пакет со льдом нужно обернуть в полотенце и приложить к болезненному участку) [2][4][6][12] ;
- пройти ударно-волновую терапию при стойкой боли и отсутствии на рентгене фрагментации кости [7] ;
- не садиться на корточки и не стоять на коленях, пока не пройдут симптомы болезни;
- продолжать занятия спортом при условии, что боль терпима и проходит в течение суток после тренировки [12] .
Если все вышеперечисленные методы борьбы с болью не помогают, назначают операцию [2] [4] [5] [10] .
Хирургические процедуры включают открытую и артроскопическую технику [4] .
Преимущества артроскопии над открытой операцией:
- минимальный риск повреждения сухожилия надколенника;
- более быстрое восстановление;
- отсутствие рубца на бугристости, который будет болеть при давлении на колено;
- нет шрамов [12] .
При артроскопии врач прокалывает кожу на разогнутом коленном суставе и убирает костные фрагменты от мягких тканей.
В период реабилитации пациенту рекомендуют пройти физиопроцедуры и заняться лечебной физкультурой, после чего он сможет вернуться к полноценному тренировочному режиму [5] .
Открытую операцию проводят при других повреждениях коленного сустава или в случае гнойных осложнений после артроскопии.
Прогноз. Профилактика
Болезнь проходит самостоятельно, когда заканчивается период активного роста, т. е. в 14–18 лет [10] [12] . В целом прогноз при синдроме Осгуда — Шляттера благоприятный, за исключением некоторого дискомфорта при стоянии на коленях на твёрдой поверхности, хотя у многих он есть и без болезни Шляттера [2] [10] [14] .
Примерно у 10 % пациентов симптомы сохраняются во взрослом возрасте. Такое случается, когда человек не обращается за медицинской помощью или плохо соблюдает рекомендуемое лечение [12] .
Профилактика болезни Осгуда — Шляттера
Чтобы предотвратить развитие патологии, нужно растягивать четырёхглавую мышцу бедра, так как растяжка помогает уменьшить сокращение мышц. Во время занятия может появиться болезненность по передней поверхности бедра, но со временем она проходит.

Растяжение с помощью валика также используют на первых этапах лечения, чтобы мягко расслабить четырёхглавую мышцу бедра.

Подъём прямых ног помогает укрепить квадрицепсы, не сгибая колени. Колено нужно держать прямо, ноги поднимать и опускать медленно, повторять подъём нужно в течение 3–5 секунд [16] .
Латеральная нестабильность (привычный вывих) надколенника: причины, типы вмешательств и реабилитация
Боль в коленях– один из самых распространенных поводов, с которым пациенты обращаются к травматологу. Чаще всего источником недуга является травмирование коленной чашечки. Но иногда причина дискомфорта может крыться в феморопателлярном отделе – месте скольжения надколенника по межмыщелковой борозде бедренной кости.
В норме движения надколенника при сгибании/разгибании в коленном суставе контролируют несколько анатомических структур:
- Соотношения между межмыщелковой вырезкой и наколенником не позволяют последнему смещаться в наружновнутреннем направлении.
- Поддерживающие связки (ретинакулюмы) надколенника совместно с собственной связкой надколенника и сухожилием четырехглавой мышцы бедра создают его центрацию во всех четырех направлениях.
Если анатомия феморопателлярного отдела не изменена, то коленный сустав работает нормально. Однако если в этом отделе имеется какая-либо врожденная аномалия, то вероятность развития латеральной нестабильности надколенника резко возрастает.
Привычный (рецидивирующий) вывих надколенника – это неестественное состояние, характеризующееся рецедивирующими латеральными (наружными) подвывихами и вывихами надколенника.
Латеральный вывих надколенника характеризуется разрывом медиального ретинакулюма (медиальной пателло-феморальной связки) коленного сустава. Повторный вывих у пациента — главный признак не выполнения медиальной пателло-феморальной связкой своих функций из-за перерастяжения после первичной травмы.
Вывих надколенника, как первичный, так и повторный, ведет к значимому повреждению хрящевого покрова. Как результат — появляется стойкий болевой синдром и снижение физической активности пациента.

Как образуется латеральная нестабильность надколенника?
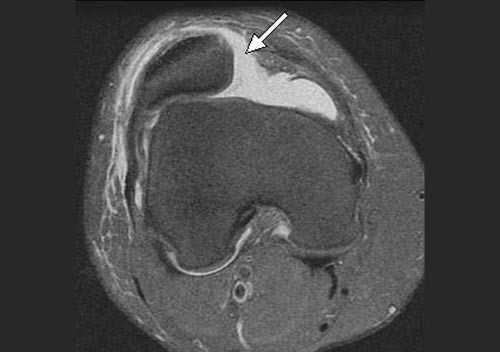
Часто предпосылкой к формированию латеральной нестабильности надколенника становится дисплазия феморопателлярного отдела — врожденного состояния, характеризующегося нарушениями соотношений между надколенником и недостаточно выраженной межмыщелковой бороздой бедренной кости (см. рис.).

Наличие дисплазии различной степени выраженности ведет к тому, что движения надколенника при сгибании и разгибании в коленном суставе происходят с тенденцией к его латеральному смещению. При дополнительном травматическом воздействии это приводит к возникновению полноценного вывиха.

Однако дисплазия не всегда вызывает смещение надколенника (рецидивирующего вывиха надколенника).
Современные подходы к диагностике и лечению рецидивирующего вывиха надколенника
Однократно возникший вывих надколенника не является показанием к операции. Как правило, он успешно устраняется с помощью консервативного лечения, которое проводится в три этапа:
- Иммобилизация и ходьба на костылях 4 недели.
- Лечебная физкультура (ЛФК) с инструктором, физиотерапевтическое лечение (ФТЛ) после устранения иммобилизации.
- Ношение ортеза с латеральной стабилизацией надколенника.
В большинстве случаев врач-травматолог легко диагностирует привычный вывих надколенника. Для этого проводится серия нагрузочных тестов, во время которых пациент демонстрирует страх получения повторного вывиха. Окончательный диагноз ставится после проведения магнитно-резонансной томографии (МРТ) коленного сустава. Как правило, исследование обнаруживает признаки повреждения медиальной пателло-феморальной связки, состояние подвывиха надколенника и признаки травматических повреждений хрящевого покрова.

Как уже упоминалось ранее, однократный травматический вывих надколенника не является показанием к операции — достаточно консервативного лечения. При возникновении повторных вывихов/подвывихов надколенника пациенту показано оперативное лечение — хирургическая стабилизация надколенника.
Современная медицина предлагает несколько способов проведения оперативных вмешательств при привычном вывихе надколенника. Оптимальная методика — артроскопическая реконструкция (пластика) медиальной пателлофеморальной связки (МПФС). С помощью данного метода операция при вывихе надколенника позволяет восстановить утраченную анатомическую структуру, стабилизирующую надколенник (МПФС), и одновременно зашлифовать и резецировать участки поврежденного хряща без больших кожных разрезов.
Как проводится артроскопическая реконструкция?
Сначала под контролем эновидеокамеры совершаются два прокола. Они позволяют провести визуальный осмотр всех отделов сустава, при необходимости хирургически обработать поврежденные участки хряща. Затем, через два новых прокола, проводится и фиксируется сухожильный трансплантат, заменяющий утраченную поддерживающую связку надколенника. Натяжение связки регулируется под контролем видеокамеры так, чтобы вывести надколенник из положения подвывиха, но оставить физиологически достаточную свободу его смещения.
Вне зависимости от выбора фиксирующих трансплантат фиксаторов (титановых, пластиковых, биорезорбируемых) в послеоперационном периоде требуется разгрузка сустава для создания условий биологической фиксации и перестройки трансплантата. Эти процессы, по данным МРТ исследований, занимают от 6 до 12 месяцев.
Читайте также:
