Признаки бурсита локтевого сустава
Добавил пользователь Евгений Кузнецов Обновлено: 13.12.2025
Бурсит – воспаление синовиальной сумки внутри суставов. Сумки расположены в месте соприкосновения контакта суставов с волокнами сухожилий. Синовиальные сумки наполнены специальной слизистой жидкостью. Их функция заключается в амортизации нагрузок на сустав и обеспечении скольжения волокон вдоль костной поверхности.
При воспалении синовиальной сумки локтевого сустава объем слизистой жидкости внутри увеличивается за счет притока белка и элементов крови. Возникает опухоль с последующим отеком в пораженной области.
Помимо опухоли, бурсит способствует увеличению количества солей кальция в суставах. Сама жидкость обеспечивает хрящу сустава упругость и прочность, но с повышением уровня солей кальция могут возникнуть наросты, способные повредить костную ткань.
Кроме того, синовиальная жидкость ускоряет процесс заживления микротравм волокон. Следовательно, при воспалительном процессе суставы становятся более уязвимыми к повреждениям.
Причины возникновения локтевого бурсита
Воспаление локтевого сустава возникает по причине:
- артрита – воспаления самих суставов. Различают несколько видов этого воспалительного заболевания – ревматоидный, подагрический и псориатический;
- инфекции. Попадая в карман локтевого сустава через повреждения кожи, кровь или лимфу, различные инфекции провоцируют воспаление;
- травм или ушибов. Чаще всего бурсит возникает у профессиональных спортсменов, так как локтевой сустав постоянно подвергается нагрузкам. Бурсит может стать одним из осложнений при неправильном лечении травм;
- нарушения обмена веществ. Может возникнуть при нездоровом образе жизни, неправильном питании, употреблении стероидных препаратов и т.д.
Это не единственные причины возникновения бурсита, но наиболее распространенные. Также воспаление могут вызвать хронические заболевания, аутоиммунные патологии, отложения кальция в сухожилиях и прочее.
Разновидности локтевого бурсита
Различают такие виды воспаления локтевого сустава:
- гнойное – сопровождается постоянным образованием гноя в слизистой жидкости. Повышается температура, появляется покраснение в области поражения. Пациент может столкнуться с затруднением в движениях.
- острое – характеризуется сильным болевым синдромом в пораженном участке при активности или контакте. При пальпации боль распространяется по всей руке.
- хроническое (рецидивирующее) – возникает при повторном воспалении слизистых сумок сустава локтя. Обычно опухоли или проблемы с движениями не возникают, а боль является умеренной, но продолжительной.
- посттравматическое – встречается у людей, получивших травмы вследствие профессиональной деятельности. Этот вид бурсита возникает после повреждения сустава.
Также бурсит классифицируют по характеру воздействия на жидкость внутри сумок:
- серозный – считается легкой формой, при которой синовиальная жидкость обретает свойства сыворотки;
- геморрагический – сопровождается накоплением жидкости вместе с кровью.
Несмотря на разнообразность степени протекания воспаления, бурсит локтевого сустава является опасным видом заболевания, поэтому для диагностики воспаления настоятельно рекомендуется обратиться к специалисту.
Как проявляется воспаление синовиальных сумок?
Симптомы бурсита различаются в зависимости от вида воспаления. Но среди общих признаков можно выделить такие симптомы:
- отек в месте поражения локтя – при этом отсутствует боль;
- затруднение в движении;
- цвет кожи обретает красный оттенок;
- образуется опухоль – спустя некоторое время проявляется болевой синдром;
- общая температура тела повышается, могут возникнуть головные боли или проблемы с аппетитом;
- при движении локтя возникают трудности.
При первых признаках бурсита рекомендуется обратиться за помощью к специалисту. Самостоятельная диагностика и самолечение могут вызвать тяжелые последствия и нежелательное развитие болезни.
Диагностика воспаления
Особенность бурсита заключается в том, что врач сможет определить его разновидность посредством пальпации и уточняющего опроса пациента. Такая форма диагностики является стандартной.
Для углубленной диагностики воспаления пациенту назначается рентген. С его помощью врач сможет изучить образования остеофитов, состояние сустава, назначить эффективное лечение.
В редких случаях специалисты назначают пункцию синовиальной сумки. Метод необходим для диагностики причины заболевания, если предыдущее обследование не дало точных результатов.
Лечение локтевого бурсита
В первую очередь специалисты рекомендуют ограничить физические нагрузки. Пораженный сустав фиксируется специальными повязками, а в более тяжелых случаях используется гипс. Покой локтевого сустава позитивно влияет на его состояние.
Сильную боль можно нейтрализовать с помощью обезболивающих препаратов. Рекомендуется использовать только те средства, которые пропишет лечащий врач.
Удаление накопившейся жидкости из синовиальных карманов происходит с помощью пункции сустава. После этой процедуры сумка промывается антисептиками и антибактериальными препаратами, что увеличит время реабилитации после заболевания. Для более эффективной борьбы с локтевым бурситом врачи прописывают иммуностимуляторы, в состав которых входят витаминные комплексы.
При тяжелой форме заболевания проводится одна из операций:
- дренирование синовиального мешка с целью удаления слизистой жидкости через канал;
- удаление пораженной области – в процессе реабилитации образуется новый синовиальный мешок.
Кроме того, существуют другие способы одолеть бурсит, например, мазями или инъекциями. Специалисты не рекомендуют обращаться к народным средствам. Самостоятельное лечение может быть неэффективным, а в худшем случае – привести к тяжелым последствиям.
Возможные осложнения
Зачастую игнорирование симптомов или попытка самостоятельно диагностировать локтевой бурсит приводит к тяжелым последствиям. Несвоевременное лечение может привести к образованию других недугов, таких, как:
- лимфангит – воспаление лимфоидных протоков сопровождается возникновением красных линий в области пораженного участка;
- лимфаденит – поражение лимфоузлов;
- гнойный артрит – развитие воспаления с распространением на другие суставы.
Кроме того, игнорирование локтевого бурсита может привести к переходу воспаления в тяжелую форму. Помимо болезненных последствий, это приведет к осложнению диагностики и лечения.
Профилактика заболевания
Чтобы предотвратить поражение синовиальной сумки, специалисты рекомендуют:
- контролировать уровень физических нагрузок;
- придерживаться техники безопасности на тренировках или в рабочем процессе;
- тщательно обрабатывать раны и царапины, не допускать заражения;
- оптимально распределять отдых и рабочее время.
Несмотря на доступность и эффективность лечения бурсита локтевого сустава, значительно проще предотвратить опасное воспаление, чем тратить время и силы на борьбу с ним.
Бурсит локтевого сустава
Один из суставов, на проблемы в котором часто встречаются жалобы пациентов – локтевой. А одна из распространенных патологий – воспаление суставной сумки или бурсит. Происходит из-за разных причин, понимать которые важно, чтобы подобрать оптимальные методы лечения и профилактики (предупредить болезнь всегда лучше, чем лечить). О причинах, симптомах, о том, как и сколько лечится бурсит локтевого сустава рассказывают врачи Кунцевского лечебно-реабилитационного центра.
Бурсит – главное
Это воспаление бурсы (суставной сумки) – специальной защитной структуры сустава. У нее довольно прочная оболочка с внешней стороны, состоящая из волокон соединительной ткани. Она служит для амортизации в суставе и защиты сустава от внешнего воздействия – ударов, травм. Внутренняя поверхность – клетки, которые выделяют синовиальную жидкость – специальный смазочный материал для улучшения скольжения в суставе и предупреждения износа головок костей. Вторая важная функция внутрисуставной жидкости – питание хрящевой и костной тканей, которые не имеют собственных кровеносных сосудов, а необходимые микроэлементы получают из смазочной жидкости.
Локоть – частое место, где возникает эта патология. Это сложный сустав с большой интенсивностью движений и нагрузкой и тремя суставными сумками, в каждой из которых может быть воспаление.
При воспалительном процессе жидкость в суставе увеличивается в объеме, меняется ее состав – в ней больше белка, солей кальция, появляются следы крови, гноя (при гнойном воспалении). Локоть опухает, движение в нем становится болезненным, ограничивается, нарушается работоспособность.
Типы бурсита
Как и воспалительные процессы в других суставах, бурсит локтевого сустава классифицируют на несколько разновидностей. Разделение основано на интенсивности боли, характере и причинам воспаления. Классификация важна для лечения бурсита – принципы терапии отличаются у воспаления с разными причинами и формой течения.
В зависимости от характера протекания бурсит бывает:
- Острым – развивается за несколько дней и отличается интенсивной болью. Острый процесс длится около месяца.
- Хроническим – менее выраженное воспаление, которое длится долгое время (до года).
- Рецидивирующим – бурсит с периодическими периодами обострения из-за невылеченного травматического повреждения или инфицирования .
В зависимости от причины возникновения бурсит может быть:
- Специфическим – среди причин травмы и микротравмы сустава из-за ударов, большой нагрузки или однообразных движений (однотипной работы).
- Неспецифическим – появляется в результате инфекционного поражения сустава. К нему приводят такие заболевания, как туберкулез, невылеченные инфекции мягких тканей и другие патологии.
В зависимости от изменений в составе внутрисуставной жидкости бурсит может быть:
- Серозным – жидкость становится похожа на сыворотку. При этом воспалительный процесс протекает сравнительно легко, без сильной боли и отечности сустава, а вылечить его сравнительно легко.
- Геморрагическим – в синовиальной жидкости присутствует кровь.
- Гнойным – острое воспаление из-за болезнетворных микроорганизмов. Обычно сопровождается острой болью из-за значительного увеличения сустава в объеме, а для лечения требуются антибиотики.
Симптомы
Для бурсита локтевого сустава характерны симптомы:
- Сильный или умеренный болевой синдром (в зависимости от типа воспаления), чувство нагревания, жжения. Боль может отдавать в соседние суставы – лучезапястный и плечевой.
- Отечность сустава – появляется заметное внешне уплотнение (выпот) на локте. Его лучше видно, когда рука согнута. Припухшая область мягкая, эластичная на ощупь. При надавливании и сгибании боль усиливается.
- Покраснение кожи на увеличенной области, локально повышенная температура (местная гиперемия). Температура при бурсите локтевого сустава может доходить до 39-40 0С.
- Ограничение амплитуды движений в суставе – его больно, а иногда и невозможно согнуть или разогнуть полностью.
- Общая интоксикация организма – повышение температуры в целом, слабость, головные боли.
Первые признаки бурсита локтевого сустава могут появиться за несколько дней с момента травмы локтя, при хроническом воспалении они довольно слабые, а при рецидивирующем – появляются периодически в моменты обострений.
Без правильного лечения бурсита локтевого сустава воспаление может перейти в хроническую форму, привести к образованию свищей с гнойным содержимым, абсцессов, флегмон – разрыва внутренней полости с гноем и распространением его на соседние области.
Причины
Бурсит локтевого сустава может развиваться по разным причинам:
- Заболевания опорно-двигательного аппарата, специфические заболевания или аутоиммунные болезни – подагра, артрит (псориатический, ревматоидный), туберкулез и другие.
- Инфекции – заражение сустава от повреждения кожи, так и из других очагов в организме (например, инфекции ЛОР-органов или другие хронические заболевания).
- Травмы – сильные удары, ушибы, чрезмерные физические нагрузки или длительные однообразные движения, которые приводят к травмам или постепенному износу хрящевой ткани, структур сустава. В группе риска работники разных специальностей – водители, чертежники, шахтеры и многие другие.
К факторам риска можно отнести ослабленный иммунитет, длительный курс приема стероидных препаратов, нарушения обмена веществ.
Установить причины воспаления важно для выбора правильного метода лечения бурсита локтевого сустава. Так посттравматический бурсит локтевого сустава требует ограничения подвижности и обезболивающих и противовоспалительных средств, а при хронических формах лечебная физкультура необходима для улучшения подвижности сустава и сокращения частоты рецидивов.
Диагностика
К какому специалисту обратиться при бурсите локтевого сустава? Диагностикой, лечением и профилактикой занимается врач травматолог-ортопед, иногда с участием иммунолога, эндокринолога.
- Осмотр и пальпирование пораженного и противоположного сустава.
- Тесты для определения подвижности суставов и объема скопившейся жидкости.
- УЗИ или МРТ для оценки мягких тканей, поиска патологий, оценки структуры воспаления.
- Пункция и анализ синовиальной жидкости для поиска возможной инфекционной причины воспаления.
- Рентгенологическое исследование сустава для оценки его состояния и поиска возможных патологий.
Конкретный перечень необходимых исследований определяет врач на консультации. Все обследования можно пройти в клинике в день обращения, чтобы сразу получить диагноз и рекомендации для лечения.
Как лечить бурсит
Лечение бурсит локтевого сустава в основном проводится консервативными методами. Хороший результат дают:
- Физиотерапевтические процедуры – эффективны для уменьшения воспаления и боли, снятия мышечных спазмов, благоприятного воздействия на нервы и сухожилия. Физиотерапия применяется для лечения хронического бурсита и острых случаев, практически не имеет противопоказаний и отлично дополняет другие методы лечения. Хорошие результаты в лечении суставов показали ультразвуковая терапия (воздействие ультразвуковых волн), диадинамотерапия (импульсные токи), ударно-волновая терапия, криотерапия (лечение низкими температурами) и другие процедуры.
- Лечебная гимнастика – специальный комплекс упражнений ускорит процесс выздоровления. ЛФК улучшает кровообращение и лимфоток в проблемной области, оптимизирует работу мышц. Лечение движением особенно актуально для хронической формы заболевания и профилактики рецидивов. В тоже время важно не навредить – бурсит может быть результатом больших физических нагрузок, тогда на время лечения нужно обеспечить покой сустава. Делать упражнения или нет, а если делать, то какие – задача для лечащего травматолога-ортопеда и врача ЛФК, который составит комплекс из безопасных упражнений и проконтролирует правильность их выполнения при занятии в зале ЛФК.
- Медикаменты – для медикаментозного лечения бурсита локтевого сустава применяются противовоспалительные и обезболивающие препараты. Лекарства могут быть в виде таблеток, инъекционных препаратов (в том числе для внутрисуставных инъекций), мазей и гелей для местного применения. При инфекционных формах бурсита назначаются антибиотики.
Пункция суставной сумки – необходимая мера при гнойном воспалении, которое не уменьшается от консервативных мер лечения. Гной откачивают через сделанный прокол, суставную сумку промывают препаратами, которые снимают воспаление. После операции при бурсите на локтевом суставе может оставаться дренажное отверстие (чтобы избежать послеоперационных осложнений), а ускорят заживление физиотерапевтические процедуры.
При бурсите локтевого сустава на фоне других заболеваний условие выздоровления – их лечение. Рекомендации обязательно даст врач после определения диагноза.
Локтевой бурсит

Бурсит локтевого отростка состояние, характеризующееся повреждением тканей и воспалением сумки (бурсы) локтевого отростка (небольшой заполненный жидкостью мешочек, расположенный в задней части локтя), что может быть источником боли в задней части локтя.
Локоть сформирован в результате соединения плечевой кости и локтевой кости предплечья. Локтевая кость имеется костный выступ расположенный в задней части локтя известный как локтевой отросток. Это костный выступ является местом присоединения нескольких мышц, включая трицепсы и формирует самую внешнюю точку задней части локтя. Между локтевым отростком и вышележащей кожей располагается сумка (бурса) локтевого отростка. Бурса представляет собой небольшой мешочек наполненный жидкостью - любрикантом и функция ее заключается в уменьшении трения между соседними слоями мягких тканей.
Мышцы – трицепсы в основном отвечает за выпрямление локтя и особенно активны во время деятельности связанной с толканием. Во время сокращения трицепсов, трение направлено на локтевую бурсу. Давление на сумку локтевого отростка может возникать также вследствие прямого удара. Когда это давление на бурсу оказывается чрезмерным из-за слишком частых движений или приложения силы, то возникают условия для воспаления сумки локтевого отростка.
Причины

- Умеренная, но повторяющаяся травма является наиболее частой причиной. Например, люди, которые опираются на локти, вызывают фрикцию и легкую травму тканей над локтевым отростком. К примеру, существуют такие термины как « локоть студента « локоть водопроводчика или локоть шахтера и в основе этих терминов длительная опора на локти.
- Единичные травмы, такие как удар, в заднюю часть локтя может вызвать воспаление. . Одна или несколько сумок могут воспалиться в результате полиартрита (но в большинстве случаев бурсит локтевого отростка, не связан с артритом).
- Инфекция бурсы. Это может произойти, если есть разрез на коже над сумкой, в которую попадают бактерии.
- Идиопатический. Во многих случаях бурсит возникает без всякой видимой причины. Однако, вполне возможно, что в некоторых бурсит связан с небольшой травмой, которая была забыта.
Симптомы
В норме человек не может чувствовать или увидеть бурсу. Если происходит воспаление бурсы локтевого отростка, то появляется утолщение кожи и отечность на задней части локтя. Бурса также может быть заполнена жидкостью и тогда выглядит как маленький мягкий шарик - немного похожий на кисту. В большинстве случаев (при неинфицированных бурситах и не связанных с артритом) локтевой бурсит безболезненный или слегка болезненный. Движение в локтевом суставе не нарушается.
Если бурса инфицирована ("септический" бурсит локтевого отростка), то, как правило, развиваются боли, покраснение и болезненность в локте.
Бурсит, связанный с артритом может быть сам по себе безболезненным, но могут быть боли в суставах обусловленные артритом. Пациенты с бурситом локтевого отростка обычно испытывают боль, и припухлость в задней части локтя. Боль обычно усиливается, когда, опираются на локоть или при сгибании или выпрямлении локтя. В менее тяжелых случаях, пациенты могут испытывать только боль и скованность в локте в покое после таких видов деятельности как ношение сумки. Кроме того такие виды деятельности как использование молотка или выпрямление локтя против сопротивления тоже могут вызвать боль в начальных стадиях.
По мере прогрессирования, пациенты могут испытывать симптомы, которые увеличиваются во время занятий спортом или физической деятельностью. Пациенты могут заметить отмечать отек и появление большого выступа над локтевым выступом. Большинство пациентов с локтевым бурситом испытывают боль при касании к локтевому отростку. Иногда могут прощупываться небольшие комочки в области локтевого отростка. Пациенты могут также испытывать слабость в локте особенно при попытке выпрямить локоть против сопротивления.
Диагностика
Как правило, для постановки диагноза достаточно физикального обследования врачом. Но для того чтобы исключить возможное наличие инфекции или артрита необходимо также провести лабораторные исследования и рентгенографию. В некоторых случаях для исключения опухолевого генеза образования возможно назначение КТ или МРТ.
Лечение
В большинстве случаев локтевой бурсит может быть излечен самостоятельно с помощью уменьшения нагрузки на локоть. Но в некоторых случаях требуется медицинское вмешательство вплоть до хирургического.
Консервативное лечение локтевого бурсита включает:
- Покой и изменение деятельности. Пациентам с локтевым бурситом необходимо избегать деятельности связанной с давлением на локоть. Ношение налокотников также может помочь защитить локтевую сумку от давления или дополнительного раздражения.
- Холод. Прикладывание холодных компресс к опухшему локтю в течение 20 минут два или три раза в день может помочь облегчить симптомы и уменьшить отек.
- Компрессия. Использование эластичного бинта обернутого вокруг пораженного сустава может помочь снизить отек.
- Элевация. Подъем локтя на уровень сердца или выше уменьшает приток крови и тем самым уменьшает воспаление.
Медикаментозное лечение. Нестероидные противовоспалительные препараты, такие как аспирин, ибупрофен (например Advil), напроксен (например, Aleve), и ингибиторы ЦОГ-2 (например, Celebrex) могут уменьшить отек и воспаление и облегчить боль, связанную с локтевым бурситом.
Аспирация. Аспирация опухшей бурсы с помощью иглы и шприца позволяет сразу же сбросить давление. Аспирация также проводится для тестирование жидкости на микробы. (Положительный тест будет означать, септический бурсит).
Инъекции кортикостероидов. Симптомы бурсита могут быть значительно уменьшены с помощью инъекции кортикостероидов. Кортикостероиды является мощными противовоспалительными препаратами, и введение их непосредственно в воспаленную бурсу, как правило, значительно уменьшают боль и отек. Тем не менее, инъекции кортикостероидов имеют потенциальные побочные эффекты, такие как инфекции и дегенерации кожи на локте. Таким образом, эти инъекции, как правило, назначаются при упорно текущих бурситах и не эффективности другого лечения.
Антибиотики. Септический бурсит локтевого отростка требует назначения антибиотиков. Выбор антибиотика зависит от того микроорганизма который является причиной инфекции (чаще всего золотистый стафилококк). У большинства людей с септическим бурситом лечение антибиотиками достаточно эффективно в некоторых случаях требуется госпитализация и внутривенное введение антибиотиков.
Хирургическое лечение
Иногда при хроническом бурсите или септическом бурсите может потребоваться хирургическая операция. При традиционной бурсэктомии проводится надрез на локте и воспаленная сумка удаляется. Так как сумка находится под кожей, то локтевой сустав при операции не затрагивается.
Осложнениями хирургического удаления сумки могут быть проблемы с заживлением кожи в месте разреза и болезненность. Через несколько месяцев после операции как правило на месте удаленной бурсы вырастает новая бурса.
После операции пациентам рекомендуется некоторое время фиксировать локоть специальной повязкой с удержанием руки под углом 90 градусов.
ЛФК. После стихания симптомов бурситом достаточно эффективно назначение ЛФК для укрепления мышечного тонуса.
Прогноз
Большинство пациентов с этим заболеванием восстанавливаются и возвращаются к нормальной жизни в течение нескольких недель. Иногда, реабилитация может занять значительно больше времени (до нескольких месяцев) в тех случаях, когда бурсит протекал достаточно долго. Поэтому раннее лечение и реабилитация необходима для восстановления нормального качества жизни.
Использование материалов допускается при указании активной гиперссылки на постоянную страницу статьи.
Локтевой бурсит

Локтевой бурсит (бурсит локтевой сумки, бурсит локтевого сустава) — это воспаление локтевой сумки, которая расположена между кожными покровами и локтевым отростком локтевой кости.

Сумка располагается на задней поверхности в области локтевого сустава. При воспалении в сумке появляется воспалительная жидкость, а стенки сумки утолщаются и становятся болезненными. Бурсит локтевой сумки может вызвать ряд проблем, обусловленных ограничением функции локтевого сустава.
Причины развития локтевого бурсита (бурсита локтевой сумки, бурсита локтевого сустава)
Причины воспаления могут быть разными, от банальной травмы до инфекции. По классификации выделяют септические (инфекционные) и асептические (воспалительные) бурситы. Для локтевой сумки характерными являются оба вида бурсита.
В некоторых случаях локтевая сумка может повредиться в результате прямого механизма травмы, например, удара или падения на область локтевого сустава. Травма вызывает надрывы тканей локтевой сумки и кровоизлияние в полость локтевой сумки. В некоторых случаях кровь может полностью заполнить полость локтевой бурсы и бурса может раздуться, в результате чего локтевой сустав принимает характерную форму.
Считается, что скопившаяся в полости локтевой сумки кровь запускает воспалительную реакцию. В результате воспаления стенки локтевой сумки утолщаются, становятся не такими эластичными и их скользящие свойства исчезают. В результате развивается бурсит локтевой сумки.
Бурсит локтевой сумки может возникнуть из-за постоянного давления на область локтевого сустава. Некоторые рабочие выполняют работу в положении, когда опираются локтями о твердую поверхность. Если локоть постоянно травмируется, это приводит к развитию воспаления и развивается бурсит локтевой сумки.
Бурсит локтевой сумки может быть вызван инфекцией. Небольшая царапина или укол в область локтевой сумки может привести к её инфицированию. Или же после травмы инфекция может попасть в поврежденные ткани локтевой сумки с кровотоком из очага хронической инфекции в организме, например, кариозного зуба.
Инфекция приводит к скоплению гноя в полости локтевой сумки. Последствия инфекционного локтевого бурсита могут быть достаточно серьёзными.
Симптомы локтевого бурсита
Бурсит локтевой сумки проявляется болью и припухлостью в области локтевого отростка. При осмотре во время пальпации (ощупывании) локтевая сумка болезненна. При данном состоянии руку очень больно поставить локтем на твёрдую поверхность.
Если бурсит локтевой сумки долго не проходит, то воспаление переходит в хроническое. Может появиться чувство, что в локтевой сумке в воспалительной жидкости появились комочки. Это говорит о том, что локтевая сумка в ответ на хроническое воспаление стала ещё толще, и сформировались складки. Эти складки и ощущаются как комочки.
Локтевая сумка может увеличиваться в размерах в несколько раз. Это происходит за счёт утолщения стенок локтевой сумки и наполнения локтевой сумки воспалительной жидкостью. Количество воспалительной жидкости, как правило, связано с фазой воспаления. Если воспаление в активной фазе, то количество воспалительной жидкости увеличивается и сумка увеличивается в размерах. При больших размерах локтевой сумки локтевой сустав при взгляде сбоку принимает характерный вид.
Если возникает инфекция локтевой сумки, локоть становится опухшим, очень болезненным и теплым на ощупь. В данном случае помимо местных признаков воспаления (боли, покраснения, повышения местной температуры, отёка), развиваются общие – повышение температуры, озноб, изменения в анализе крови. Требуется экстренное хирургическое вмешательство – вскрытие и дренирование локтевой сумки.
Если не обращаться к врачу и не выполнить вскрытие локтевой сумки, то гнойник может самостоятельно прорваться, но при этом могут возникнуть системные осложнения.
Диагностика локтевого бурсита
Дифференциальный диагноз бурсита локтевой сумки проводится с такими заболеваниями, как подагра, ревматоидный артрит, септический артрит локтевого сустава.
Диагноз бурсита локтевой сумки становится очевидным после осмотра пациента. Диагноз настолько очевиден, что не требуется использование специальных методов обследования, за исключением рентгенограммы (снимка) локтевого сустава в боковой проекции.
Рентгенограмма требуется не для установления диагноза, а для того чтобы оценить состояние локтевого отростка локтевой кости. Иногда вследствие травмы или хронического воспаления на локтевом отростке образуется остеофит (костный шип).
Остеофит часто дополнительно травмирует локтевую сумку, поддерживая воспаление. Рентгенограмма помогает решить вопрос о выборе метода лечения бурсита локтевой сумки. Если остеофит на локтевом отростке достаточно больших размеров, то целесообразно выполнить хирургическое лечение бурсита с резекцией остеофита.
Если для врача не ясно, является бурсит воспалительным или инфекционным, то выполняется пункция локтевой сумки и полученный образец жидкости отправляется на исследование в лабораторию. Выполняются посевы жидкости на выявление микрофлоры и определения её чувствительности к антибактериальным препаратам.
Таким образом, врач получает ответ на два вопроса: является бурсит инфекционным или воспалительным и, а если бурсит инфекционный, то каким антибиотиком его нужно лечить.
лечение локтевого бурсита
Консервативное лечение.
Травматический бурсит локтевой сумки можно лечить консервативно. Если в результате травмы скопилось значительное количество крови, то выполняется пункция толстой иглой или выполняется небольшой надрез для удаления всей скопившейся крови из полости локтевой сумки.

Вопрос о целесообразности пункции решается врачом. Существует небольшой риск инфицирования локтевой сумки во время выполнения данных манипуляций, поэтому пункция выполняется в перевязочном кабинете с соблюдением всех правил асептики и антисептики. После выполнения пункции накладывается стерильная повязка.
Хронический бурсит локтевой сумки является проблемой, которая может снизить трудоспособность и ухудшить качество жизни. Отек и боль – главные проявления. Обычные повседневные действия могут доставлять дискомфорт.
Лечение обычно начинается с попытки снять воспалительный синдром. Мероприятиями по снятию воспаления являются покой в локтевом суставе и использование противовоспалительных средств. Такие препараты, как диклофенак, вольтарен, ибупрофен используются, чтобы снять воспаление и отек.
Если в сумке имеется воспалительная жидкость, то может быть выполнена пункция с целью удаления жидкости и дальнейшего её лабораторного исследования. Во время пункции при условии, что нет признаков инфекции в полости локтевой сумки, и отсутствии других противопоказаний может быть введено небольшое количество стероидного средства, такого, как кортизон. Стероидные препараты являются сильными противовоспалительными средствами. Его противовоспалительного эффекта может хватить на несколько недель.
Необходима консультация с врачом-физиотерапевтом. Физиотерапевт поможет подобрать физиотерапевтические процедуры, учитывая все особенности и противопоказания.
Использование тепла, холода, ультразвука или УВЧ обычно помогает уменьшить боль и отек. Использование холода или тепловых процедур помогут улучшить состояние в домашних условиях. Холод обычно показан сразу после травмы, тепловые процедуры – во время хронического воспаления; в любом случае, применение любых методов воздействия следует обсудить с врачом.
Если бурсит является инфекционным, то локтевая сумка должна быть полностью дренирована, то есть, удалена вся воспалительная жидкость или гной.
Обязательным условием является обеспечение покоя локтевому суставу и назначение антибактериальных препаратов. Пациенты с инфекционным бурситом наблюдаются врачом до полного исчезновения воспаления.
Дренирование локтевой сумки.
Если развивается острая инфекция либо в результате исследования полученной из локтевой сумки жидкости высеялись микроорганизмы, то необходимо дренирование локтевой сумки. Локтевая сумка вскрывается хирургическим путем, то есть выполняется небольшой разрез, через который отделяемое может полностью дренироваться.
Иногда, для улучшения оттока, целесообразно использование трубки или полутрубки. После того, как обеспечен отток отделяемого, пациент наблюдается до полного заживления раны. Обычно, улучшение наступает в течение нескольких дней. При инфекционном бурсите обязательно назначаются антибактериальные препараты.
Удаление бурсы (бурсэктомия).
При хроническом бурсите стенки сумки утолщаются, сумка увеличивается в размерах, появляются складки сумки. При консервативном лечении удаётся снять воспаление, но через какое-то время воспалительный процесс снова обостряется. Выполнять работу и повседневные действия становится затруднительно.
В данном случае стоит подумать о хирургическом лечении – удалении локтевой сумки.
Делается разрез в проекции локтевой сумки. Сумка иссекается. Определение границ сумки обычно не вызывает затруднений, так как стенки её значительно утолщены.
После удаления самой сумки обязательно осматривается локтевой отросток. Любая неровность на локтевом отростке должна быть удалена, а его поверхность сглажена. После этого кожу зашивают послойно.
После проведения операции целесообразно на несколько дней поместить руку в шину для обеспечения покоя и лучшего заживления послеоперационной раны, после чего можно начинать реабилитационные мероприятия.
Так как в данном участке необходимо обеспечить скольжение кожи над локтевым отростком, в организме образуется новая сумка из соединительной ткани. Это происходит в процессе реабилитации через некоторое время после операции. Для того, чтобы данный процесс прошёл без осложнений, целесообразно пройти предписанную программу реабилитации.
Реабилитация после лечения локтевого бурсита
Во время консервативного лечения какой-либо специальной реабилитации как правило не требуется. Необходимо ограничить двигательную активность в локтевом суставе на период развития воспаления.
После того, как воспаление начинает разрешаться, допускается увеличение нагрузки и амплитуды движений в локтевом суставе. Некоторым не доставляет беспокойства увеличенная в размерах локтевая сумка. Локтевой бурсит, который не связан с инфекционным процессом, может походить самостоятельно без какого-либо лечения.
После операции для лучшего заживления раны локтевой сустав фиксируют гипсовой шиной. Если заживления раны проходит без осложнений, то шину снимают на 3-5 сутки и начинают процесс реабилитации.
Первые несколько занятий проводятся с инструктором по лечебной физкультуре, который помогает выполнять необходимые упражнения. Обычно реабилитация не вызывает проблем, и пациенты после нескольких занятий могут заниматься дома без контроля инструктора. Восстановление проходит достаточно быстро.
Если работа не связана с постоянными движениями в локтевом суставе и опорой на локоть, то вернуться к повседневной деятельности возможно уже через 3-4 недели. Если необходима опора на локоть, то реабилитация может занять 2-3 месяца. В течение этого времени необходимо полностью избегать опоры на локтевой сустав.
Бурсит локтевого сустава - как проявляется и чем его лечить?
Бурсит - относительно частое заболевание - представляет собой воспаление синовиальной оболочки суставной сумки (бурсы), покрывающей отросток локтевой кости. Бурса уменьшает трение между суставными поверхностями, сухожилиями мышц и кожей во время движения. Поверхностное расположение бурсы между локтевой костью и кожей по задней поверхности локтя делает ее восприимчивой к воспалению в результате острой или повторяющейся травматизации.[6] От чего появляется бурсит локтевого сустава? Воспаление внутренней оболочки бурсы способствует росту ее проницаемость и экссудат накапливается в суставной сумке, вызывая характерную отечность суставной сумки.[1]


Бурсит - относительно частое заболевание - представляет собой воспаление синовиальной оболочки суставной сумки (бурсы), покрывающей отросток локтевой кости. Бурса уменьшает трение между суставными поверхностями, сухожилиями мышц и кожей во время движения. Поверхностное расположение бурсы между локтевой костью и кожей по задней поверхности локтя делает ее восприимчивой к воспалению в результате острой или повторяющейся травматизации.[6] От чего появляется бурсит локтевого сустава? Воспаление внутренней оболочки бурсы способствует росту ее проницаемость и экссудат накапливается в суставной сумке, вызывая характерную отечность суставной сумки.[1]
инфекционное воспаление в результате попадания микроорганизмов, чаще всего, бактерий. В 80-90% случаев септический бурсит вызывается золотистым стафилококком или стрептококком.
Гнойный бурсит левого локтевого сустава встречается с такой же частотой, как и правого - факторы, предрасполагающие к развитию инфицированного воспаления суставной сумки включают:[4]
- ранее перенесенную патологию сустава;
- анатомическую склонность к отеку бурсы;
- снижение иммунной защиты, например при приеме глюкокортикоидных гормонов, сахарном диабете, злоупотреблении алкоголем.
Причины бурсита
Прямая травма. Сильный удар по кончику локтя может привести к выделению внутрисуставной жидкости и опуханию бурсы.
Длительное давление. Если в течение длительного времени опираться локтем на твердую поверхность, это может вызвать отечность в зоне локтевого сустава. Обычно этот вид бурсита развивается в течение нескольких месяцев.
Инфекция. Если при травме локтя образуется повреждение кожи или колотая рана, внутрь бурсы могут попасть бактерии и вызвать септическое воспаление. При инфицировании происходит образование жидкости, покраснение, отек и боль. Если не проводится своевременное лечение инфицированного бурсита, внутрисуставная жидкость может превратиться в гной. Иногда бурса может инфицироваться без видимого повреждения кожи.
Сопутствующие заболевания. Определенные болезни, такие как ревматоидный артрит и подагра, связаны с множественным поражением суставов и бурситом локтя.
Наиболее часто бурсит локтевого сустава формируется:[1]
- при выполнении повторяющихся монотонных механических действий, которые характерны для озеленителей, дальнобойщиков, инженеров-механиков, при сантехнических и кровельных работах, а также письме и у лиц, деятельность которых связана с делопроизводством;
- у спортсменов, чьи нагрузки включают повторяющиеся движения, такие как метание или сгибание локтя (бейсболисты, гимнасты, тяжелоатлеты), или падение (футболисты и хоккеисты);
- среди больных хронической легочной патологией, которые часто опираются локтями на твердую поверхность для облегчения вдоха;
- у пациентов на гемодиализе (положение руки при проведении процедуры может способствовать длительному давлению на сустав).
Острый бурсит может быть следствием чрезмерных физических упражнений или перенапряжения и обычно сопровождается накоплением жидкости в бурсальной сумке.[3]
Хронический бурсит развивается после предыдущих обострений или повторной травмы. Стенка бурсальной сумки утолщается, что сопровождается разрастанием синовиальной выстилки - могут развиваться спайки и отложения кальция, что усугубляет боль и ограничение подвижности в суставе.[3]
Симптомы бурсита
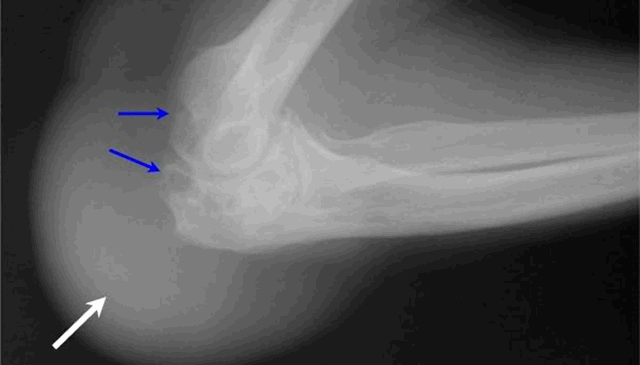
Первым симптомом бурсита локтевого сустава часто является отек. "Шишка" в задней части локтя обычно очень четко отграничена от остальной части сустава - выглядит как гусиное яйцо.[6] Отек может стать достаточно большим и ограничить движение локтя.[2]
По мере того как припухлость увеличивается бурса начинает растягиваться и болеть. Болевой синдром часто усиливается при прямом надавливании на область сустава или при сгибании локтя.[2]
Диапазон движений в локтевом суставе обычно не ограничен, но иногда максимальное сгибание локтя может ограничиваться из-за боли или, в хронических случаях, из-за утолщения бурсальной сумки; уменьшенный диапазон движений может мешать выполнению основных повседневных движений, таких как одевание, купание и косметический уход.[6]
Острый бурсит вызывает боль, особенно когда сумка сустава сжимается или растягивается во время движения. Отек, иногда с другими признаками воспаления (например, покраснение), является обычным явлением.[3]
Хронический бурсит может длиться несколько месяцев и часто рецидивировать. Приступы боли и ограничения движений длятся от нескольких дней до нескольких недель. Если имеет место длительное ограничение подвижности в суставе может развиться атрофия мышц локтевой группы.[3]
При наличии отека или признаках воспаления локтевой бурсы говорят о поверхностном бурсите. Глубокий бурсит проявляется необъяснимой болью, усиливающейся при движении.[3]
Диагностика локтевого бурсита
Рентгенография локтевого сустава проводится, чтобы исключить перелом или присутствие инородного тела. На простых рентгеновских снимках также можно обнаружить кальцификаты - отложения солей кальция при хронических заболеваниях.[7]
Ультразвуковое исследование (УЗИ) - позволяет визуализировать суставную сумку локтя с утолщением стенок и внутрисуставной воспалительной жидкостью.[4]
Магнитно-резонансная томография (МРТ) проводится для подтверждения диагноза или исключения других вариантов.[3]
Лабораторные тесты: общий клинический и биохимический анализ крови, общий анализ мочи, уровень С-реактивного белка и ревматологические пробы позволяют оценить степень выраженности воспалительного процесса.[1]

К какому врачу обратиться?
Как правило, первый врач, к которому обращаются с бурситом локтевого сустава - это ортопед-травматолог или терапевт, который назначит первичное обследование и направит к узким специалистам.
Консультация ревматолога необходима, если клинические данные соответствуют воспалительной артропатии - при ревматоидном, подагрическом или псориатическом артрите.[6]
Лечение у хирурга-ортопеда потребуется, если вместе с бурситом имеет место суставная трещина, нужно иссечение сумки сустава или дренаж при септическом воспалении.[6]
Показания к госпитализации в стационар:[1]
- Септический бурсит с тяжелой инфекцией, что проявляется: лихорадкой, гнойным абсцессом в области сустава, который требует вскрытия и удаления воспалительной жидкости.
- Периодически повторяющиеся обострения септического бурсита.
- Асептический бурсит, консервативное лечение которого не дает положительного эффекта через 2 месяца от начала терапии.
Прием длится 60 минут, включает в себя диагностику, анализ вашего МРТ и составление плана лечения, проходит как в очном формате, так и онлайн.
Основные методы лечения
Местное воздействие. При бурсите локтевого сустава рекомендуется следовать схеме "Покой-холод-компрессия-возвышенное положение".
В остром периоде (2-5 дней) применяют холод на заднюю поверхность локтя по 15-20 минут несколько раз в день.[6]
Нестероидные противовоспалительные препараты (НПВП) уменьшают боль и воспаление при бурсите локтевого отростка, но их приема лучше избегать, если при аспирации сустава выявлен геморрагический бурсит - скопление крови.[6]
Антибиотикотерапия применяется в случае септического бурсита.[1] При подозрении на бактериальную инфекцию вначале назначают антибиотики, эффективные против золотистого стафилококка. Последующий выбор препарата определяется результатами посева. Инфицированный бурсит иногда требует дренирования или внутрисуставного введения антибактериальных препаратов.[3]
Бурсит локтя, симптомы которого долго не устраняются общими мероприятиями и приемом НПВП, лечится аспирацией воспалительной жидкости из полости сустава и внутрисуставной инъекцией депо кортикостероидов объемом 0,5-1 мл в комбинации с анестетиком, например, лидокаином.[3,5]
Читайте также:
