Прогноз рака желудка
Добавил пользователь Евгений Кузнецов Обновлено: 06.01.2026
Медики, занятые в сфере онкологии знают, как важно, когда родственники больного даже на терминальной стадии, не теряя надежды ищут способы помочь близкому и прилагают все усилия, чтобы найти ответ на вопрос: можно ли победить рак желудка? В любом случае, повлиять на опухоль и состояние больного можно. Если уничтожить его можно не всегда, то отвоевать у болезни время и дать возможность близким поговорить о главном можно.
Лечение рака желудка, в зависимости от стадии, включает такие методы, как хирургическое вмешательство, химиотерапия, таргетная и лучевая терапия. Конечно, выбор необходимого комплекса лечения зависит от стадии, на которой была обнаружена опухоль.
Отличительной особенностью рака желудка является склонность к метастазам в поджелудочную железу и другие органы пищеварения. Всего выделяют четыре стадии, помимо, так называемой, «нулевой», когда опухолевые клетки только начинают размножаться в пределах маленького участка слизистой оболочки желудка.
- 1 стадия — грибовидный (полиповидный) рак желудка. Он четко отграничен от здоровых тканей, имеет экзофитный рост, то есть не уходит в ткань, а только соединяется с ней «ножкой».
- 2 стадия — блюдцеобразный и чашевидный рак желудка. На этой стадии опухоль имеет ясные контуры и приподнятые края.
- 3 стадия — язвенно-инфильтративный (изъязвляющийся) рак желудка. Это стадия, когда опухоль не отделена четкими границами от стенки органа.
- 4 стадия — терминальная — диффузный рак желудка. Характеризуется утолщением всей стенки органа. Весь желудок в итоге представляет собой единую толстостенную трубку.
Рак желудка I стадии характеризуется поражением слизистой оболочки желудка и не распространяется на ткани. В случае, если такая опухоль вовремя диагностирована, для её излечения достаточно эндоскопической операции. Эта процедура проводится при помощи специального эндоскопа, который вводится в желудок через ротовую полость. То есть, операция происходит без разрезов. Чем более запущена опухоль, тем более радикальное лечение может потребоваться.
Методы лечения рака желудка
Остановимся подробнее на методах лечения, которые используются в современной онкологии. Традиционно считается, что единственный способ, который дает максимально благоприятный прогноз, это операция. Очень часто хирургическое вмешательство сочетается с лучевой и химиотерапией.
Хирургическое лечение рака желудка
Если опухоль желудка экзофитная, четко ограничена, чаще всего необходима резекция, то есть удаление части тканей желудка. Лечение рака желудка начальной стадии возможно также с помощью эндоскопической резекции слизистой, о которой уже было сказано.
Гастрэктомия — частный и крайний случай хирургического лечения опухоли желудка — процедура удаления желудка целиком. Взамен удалённого желудка специалист формирует конструкцию из петель тонкого кишечника, состоящий из петель тонкого кишечника. Такое лечение требуется, если возникли опухоли тела желудка или его средней части. Этот метод иногда применяют даже без дополнительных методов терапии.
Химиотерапия рака желудка
Обычно химиотерапия не может являться самостоятельным методом лечения. Её назначают перед операцией, для подготовки, и после — для того, чтобы очистить здоровые ткани от возможных микрометастазов. Химиотерапию используют при раке желудка 2-й стадии, а иногда и на первом этапе заболевания. Для снижения вероятности рецидива химиотерапии достаточно. Даже при неоперабельном раке желудка четвёртой стадии применение химиотерапии может улучшить состояние и самочувствие пациента.

Таргетная терапия
Один из самых прогрессивных методов лечения. При таргетной терапии с лекарствами вводятся активные вещества, созданные специально для борьбы с раковыми клетками определённого типа. Такой способ работает точечно, практически не оказывая влияние на здоровые ткани, однако, над повышением её эффективности до сих пор работают врачи всего мира. Таргетная терапия рака желудка может работать самостоятельно и в комплексе с прочими способами лечения, и может применяться при любой степени рака.
Лучевая терапия (радиотерапия) рака желудка
Метод, применяемый в комплексе с химиотерапией и хирургическим лечением. С ее помощью повреждение здоровых тканей минимально, так как оказывается точечное воздействие опухолевые клетки. Главная её функция — уменьшение боли, даже при наличии метастазов. Этот метод не является лечебным сам по себе, но очень облегчает состояние пациента, помогает уменьшить страдания, продлить жизнь, и может применяться до 4-й стадии рака желудка включительно.
Паллиативная помощь
По сути, это не лечение, а создание максимально комфортных условий для жизни, включающих обезболивание и препаратное сдерживание роста опухоли. Это основное направление оказания помощи больным при 4-й стадии рака. Такую терапию необходимо проводить для устранения симптомов, которые приносят пациенту и его близким мучения — сильная боль, тошнота и рвота, головокружения, кровотечения.
Неоперабельная (неудаляемая) опухоль желудка тоже требует лечебных мер.
- В таком случае можно провести гастростому — искусственный ввод пищевого канала в желудок через брюшную стенку, что позволит получать питание для жизнедеятельности.
- Выстроить обходное соустье между петлями кишечника и желудком — то есть собрать «лабиринт», по которому пища сможет беспрепятственно проходить.
- Использовать метод эндолюминальной лазеротерапии, то есть разрезать опухоль с помощью лазера, который вводится через рот. Это необходимо в тех случаях, когда вход в желудок перекрывается опухолью.

Выживаемость при раке желудка
Как правило, статистика выживаемости ведётся в пятилетней перспективе. То есть, сколько пациентов продолжает жить не менее пяти лет после проведённого лечения.
При профессиональном лечении выживаемость при раке желудка такова:
- 0 стадия, при условии её своевременного обнаружения подлежит полному излечению.
- I стадия — это всего 10–20% всех поставленных диагнозов. Выживаемость при ней достаточно высока. Это 60–80%.
- II–III степени заболевания, которые поражают региональные лимфоузлы характеризуются выживаемостью в пределах 15–50%.
- IV стадия заболевания — это половина диагнозов, а пятилетняя выживаемость при этом — не выше 5–7%, так как для этой стадии характерно обширное метастазирование в другие органы.
Опухоли ЖКТ являются крайне распространёнными видами рака. Особенно часто рак желудка диагностируются в Японии. Скорее всего, это связано с диетой. Высокое содержание крахмала в пище может быть канцерогенным фактором. Однако, при самой высокой заболеваемости, в Японии же отмечается и самая низкая смертность от этого диагноза. Дело в том, что правительство принимает во внимание высокие риски и обязывает граждан проходить регулярные обследования, что позволяет обнаруживать опухоли на нулевых и первых стадиях, когда прогноз лечения самый благоприятный. И, конечно, опыт японских специалистов играет очень большую роль. Поэтому при выборе места лечения следует обращать внимание на региональный опыт в данном вопросе.
Однако, в России давно и успешно действует немало клиник, в которых работает множество превосходных специалистов, которые специализируются на данном диагнозе. Онкологи «Евроонко» в Москве, Краснодаре и Санкт-Петербурге помогают лечить рак желудка на любой стадии. При выборе клиники очень важно обратить внимание на то, насколько успешно специалисты могут бороться с сопутствующими осложнениями. В любом случае, абсолютно безнадёжных состояний в онкологии не бывает, и помочь даже при самом тяжёлом диагнозе можно. Правильная квалифицированная помощь способна предоставить любому пациенту ещё несколько дней, недель, месяцев и даже лет, так необходимых больному и его близким.
Злокачественные опухоли желудка: Причины, симптомы и лечение
Рак желудка — это злокачественная опухоль, которая развивается из клеток слизистой оболочки желудка. В России он занимает пятое место по распространенности среди всех видов рака и третье место в структуре смертности. Опухоль может возникнуть в любой части желудка и распространиться в другие органы, чаще всего в пищевод, печень и легкие. Заболевание наиболее распространено среди людей старше 40 лет, мужчины болеют в 1,3 раза чаще женщин. Основной метод лечения – хирургический.
Причины рака желудка
Точные причины рака желудка неизвестны. В слизистой оболочке органа возникают мутации ДНК, и получаются «неправильные» клетки, которые могут приобрести способность к неконтролируемому росту. Почему это происходит — не совсем понятно. Зато хорошо изучены факторы риска — условия, которые повышают риск рака желудка.
Наследственность и рак желудка
Некоторые люди носят в себе «бомбу замедленного действия», спрятанную в генах. Иногда даже не одну. Это подтверждается некоторыми фактами:
- Если у близкого родственника (родители, братья, сестры, дети) человека диагностирован рак желудка, его риски повышены примерно на 20%.
- Мужчины болеют чаще, чем женщины. Сложно сказать, с чем конкретно это связано, но можно предположить, что замешана разница между мужскими и женскими генами.
- Японцы, которые мигрировали в США, болеют раком желудка реже соотечественников, но чаще, чем «коренные» американцы. Это говорит о том, что дело не только в характере питания, но и в наследственности. Главный подозреваемый — ген под названием RNF43. — самый распространенный тип рака желудка — чаще встречается у людей с группой крови A (II), которую они, конечно же, получили вместе с генами.
- Риски повышены при некоторых наследственных заболеваниях: злокачественной анемии (в 3-6 раз), гипогаммаглобулинемии, неполипозном раке толстой кишки.
- Заболеваемость раком желудка повышается после 70 лет: считается, что это происходит из-за того, что с возрастом в клетках тела накапливаются нежелательные мутации.
Рак желудка и характер питания
Роль питания в возникновении злокачественных опухолей желудка изучена хорошо. Риски повышает большое количество соли, крахмала, нитратов, некоторых углеводов. Чаще болеют люди, которые едят много соленых, копченых, маринованных продуктов, мало овощей и фруктов.

Рак желудка и вредные привычки
Курение повышает риск рака желудка примерно вдвое. Ученые в Великобритании считают, что примерно каждый пятый случай связан именно с курением. Когда человек вдыхает табачный дым, часть его попадает в желудок, и содержащиеся в нем вредные вещества повреждают клетки слизистой оболочки. Риски тем выше, чем больше стаж курильщика и ежедневное количество сигарет.
Научные исследования показывают, что употребление алкоголя также повышает риск развития рака желудка. Например, в 2018 году ученые проведи мета-анализ исследований, выполненных с 1995 по 2015 год, и обнаружили, что у людей, регулярно употребляющих спиртное, риск развития злокачественных опухолей в желудке в 1,39 раза выше, чем у непьющих.
Европейское проспективное исследование рака (EPIC Study) показало, что алкоголь стал причиной 57 600 случаев рака верхних отделов пищеварительного тракта, толстой кишки и печени у мужчин и 21 500 случаев у женщин, включенных в это исследование. Среди этих пациентов 57% мужчин регулярно употребляли более двух алкогольных напитков в день, а среди женщин 80% употребляли более одного алкогольного напитка в день. «Один напиток» (standart drink) — это такое количество спиртного в любом виде, которое содержит 14 граммов чистого этилового спирта. Это примерно 350 мл пива (5%), 150 мл вина (12%) или 40–50 мл крепких напитков (40%).
Хеликобактер пилори (H. Pylori) и рак желудка
H. Pylori — бактерия, которая способна вызывать язвенную болезнь и хронический атрофический гастрит. В настоящее время она считается важным фактором развития рака желудка. При хеликобактерной инфекции вероятность возникновения злокачественной опухоли в желудке повышается в 4 раза. В половине удаленных опухолей обнаруживают этого возбудителя.
Другие факторы риска
- Язвенная болезнь. Данные исследований по этому поводу противоречивы. Если язва находится в теле желудка, риск рака повышается почти в 2 раза. При язве нижнего отдела риски, видимо, не повышаются. слизистой оболочки.
- Семейный аденоматозный полипоз – заболевание, вызванное мутацией в гене APC и приводящее к возникновению множества полипов в желудке, кишечнике. При этом незначительно повышается риск рака.
- Перенесенные на желудке операции повышают риск рака в 2,5 раза. Это происходит из-за того, что желудок производит меньше соляной кислоты, и в нем активнее размножаются бактерии, продуцирующие нитриты, происходит обратный заброс желчи из тонкой кишки. Обычно злокачественные опухоли возникают спустя 10-15 лет после хирургического вмешательства.
- Социальное и материальное положение: риск увеличивается при низком уровне доходов, проживании в перенаселенной квартире, без удобств, в неблагоприятном районе.
- Другие онкологические заболевания: рак пищевода, простаты, мочевого пузыря, молочных желез, яичников, яичек.
- Болезнь Менетрие (гипертрофическая гастропатия) характеризуется разрастанием слизистой оболочки желудка, появлением в ней складок и снижением продукции соляной кислоты. Патология встречается редко, поэтому неизвестно, как часто она приводит к раку желудка.
- В группе повышенного риска работники угольной, металлургической и резиновой промышленности.
- Иммунодефицит повышает вероятность развития рака, лимфомы желудка.
Классификация рака желудка: каким он бывает?
Злокачественные опухоли желудка, согласно Международной гистологической классификации ВОЗ, делят на 11 типов, в зависимости от того, из каких клеток они происходят. Преобладает рак из железистых клеток, которые выстилают слизистую оболочку и вырабатывают слизь — аденокарцинома. Он составляет 90-95% всех случаев. Также встречаются опухоли из иммунных (лимфома), гормонпродуцирующих (карциноид) клеток, из нервной ткани.
Одна из старейших классификаций делит злокачественные опухоли желудка на 3 типа:
- Кишечный. Как следует из названия, в окружении опухоли имеется кишечная метаплазия, то есть слизистая оболочка желудка становится похожа на слизистую кишечника. Этот тип рака чаще встречается у пожилых людей, отличается более благоприятным прогнозом. Это типично «японский» тип рака.
- Диффузный. Опухолевые клетки расползаются по стенке желудка, они окружены нормальной слизистой оболочкой.
- Смешанный.

Стадии рака желудка
Рак желудка делят на ранний (начальный) и распространенный. При раннем опухоль не прорастает глубже слизистой оболочки и подслизистой основы. Такие опухоли проще удалить (в том числе эндоскопическим путем), при них лучше прогноз. Также используют классификацию TNM, которая учитывает размеры и прорастание в разные ткани первичной опухоли (T), метастазы в регионарных (близлежащих) лимфатических узлах (N), отдаленные метастазы (M).
Классификация в зависимости от состояния первичной опухоли (T):
- Tx – первичную опухоль невозможно оценить;
- T0 – первичная опухоль не обнаруживается;
- T1 – тяжелая дисплазия клеток слизистой оболочки, опухоль находится в поверхностном слое слизистой оболочки ("рак на месте");
- T2 – опухоль проросла в мышечный слой стенки органа;
- T3 – рак достиг серозной (наружной) оболочки желудка, но не пророс в нее;
- T4 – опухоль проросла в серозную оболочку (T4a), в соседние структуры (T4b).
Классификация в зависимости от наличия поражения в регионарных лимфатических узлах:
- Nx – невозможно оценить метастазы в лимфатических узлах;
- N0 – метастазы в регионарных лимфоузлах не обнаружены;
- N1 – поражены 1-2 лимфоузла;
- N2 – опухолевые клетки распространились в 3-6 лимфоузлов;
- N3 – метастазы в 7-15 (N3a) или в 16 и более (N3b) лимфоузлах.
Классификация в зависимости от наличия отдаленных метастазов:
- M0 – отдаленные метастазы не обнаружены;
- M1 – обнаружены отдаленные метастазы.
Аденокарциному делят на 4 стадии:
- I стадия (T1M0N0 – стадия Ia; T1N1M0, T2N0M0 – стадия Ib). Опухоль находится в пределах слизистой оболочки и подслизистой основы, не прорастает вглубь стенки желудка. Иногда раковые клетки обнаруживают в близлежащих лимфатических узлах.
- II стадия (T1N2M0, T2N1M0, T3N0M0 – стадия IIa; T1N3aM0, T2N2M0, T3N1M0, T4aN0M0 – стадия IIb). Опухоль прорастает в мышечный слой стенки желудка и распространяется в лимфатические узлы.
- III стадия (T2N3aN0, T3N2M0, T4aN1M0, T4aN2M0 – стадия IIIa; T1N3bM0, T2N3bM0, T3N3aM0, T4aN3aM0, T4bN1M0 – стадия IIIb; T3N3bM0, T4aN3bM0, T4bN3aM0 – стадия IIIc). Рак пророс через всю стенку желудка и, возможно, распространился на соседние органы, успел сильнее поразить близлежащие лимфатические узлы.
- IV стадия (любые T и N, M1). Есть отдаленные метастазы.
Метастазы рака желудка
Раковые клетки могут отрываться от материнской опухоли и мигрировать в другие части тела различными путями:
- С током лимфы они могут попасть в лимфатические узлы брюшной полости, а из них — в лимфоузлы надключичной области — метастаз Вирхова. Метастаз в лимфоузлы, окружающие прямую кишку, называют метастазом Шницлера.
- С током крови раковые клетки чаще всего распространяются в печень, реже — в легкие.
- Также раковые клетки могут рассеиваться по брюшной полости. Если они оседают на яичниках, образуется метастаз Крукенберга, в пупке — метастаз сестры Марии Джозеф.Редко при раке желудка обнаруживают метастазы в головном мозге, костях.
Симптомы: как проявляется рак желудка?
Первые проявления рака желудка называются «малыми признаками»:
- Необъяснимая слабость и повышенная утомляемость.
- Плохой аппетит в течение длительного времени.
- Снижение работоспособности.
- Потеря веса без видимых причин.
- «Желудочный дискомфорт»: неприятные ощущения, боли в верхней части живота после приемов пищи.
- Изменение пищевых предпочтений, отвращение к пище, которая раньше нравилась.
- Чувство переполненности, распирания в животе.
Зачастую на ранних стадиях рак желудка либо не имеет симптомов вообще, либо маскируется под другие заболевания. Ухудшение аппетита и боли под ложечкой редко заставляют сразу же подозревать онкозаболевание. Обычно человек ограничивается диетой и препаратами для улучшения пищеварения. Если у пациента уже имеется хроническое заболевание желудка, то он может воспринять симптомы рака как признаки обострения.

В дальнейшем нарастают более яркие, «кричащие» признаки. Они зависят от того, в какой части органа находится опухоль:
- Дисфагия. Возникает, если новообразование сдавливает место перехода желудка в пищевод. Сначала становится сложно глотать твердую пищу, затем и жидкую.
- Рвота недавно съеденной пищей. Характерна для опухолей в нижней части желудка, в месте перехода в двенадцатиперстную кишку.
- Стойкая изжога.
- Постоянные боли в области желудка, которые отдают в спину. Они не проходят ни днем, ни ночью.
- Потеря веса.
- Увеличение живота. Возникает из-за асцита — скопления жидкости в брюшной полости.
- Под ложечкой можно почувствовать и нащупать жесткое выпирающее образование. Это — опухоль, которая срослась с передней брюшной стенкой.
Со временем в опухоли начинаются процессы изъязвления и распада, развивается желудочное кровотечение. Проявляется оно в виде черного дегтеобразного стула, рвоты, которая выглядит как «кофейная гуща» или содержит примеси алой крови. Если человек теряет много крови, он становится бледным, возникает слабость, головокружение. У некоторых людей рак диагностируется, когда их приводят в клинику в таком состоянии на машине «Скорой помощи».
Как вовремя диагностировать заболевание? Что такое скрининг, и почему он важен?
Статистика говорит о том, что в 75% случаев рак желудка диагностируют уже на распространенной стадии, когда опухоль успевает прорасти в соседние ткани, дать метастазы. Лечить таких больных сложно, прогноз, как правило, неблагоприятный. Обычно выраженные симптомы говорят о том, что рак уже успел распространиться по организму.
Как проверить желудок на рак: на ранних стадиях помогает скрининг — регулярные обследования людей, которые не испытывают никаких симптомов. В качестве скринингового исследования применяют гастроскопию — эндоскопическое исследование, во время которого в желудок вводят гибкую трубку с миниатюрной видеокамерой и лампочкой на конце. Насколько эффективна гастроскопия? Лучше всего это демонстрирует японский опыт. Распространенность рака желудка в Японии очень высока, а смертность от него одна из самых низких в мире. Достичь этого удалось благодаря внедрению массового скрининга.
В клиниках «Евроонко» существуют специальные скрининговые программы, которые помогают вовремя диагностировать разные онкологические заболевания. Посетите врача, узнайте о своих рисках и получите индивидуальные рекомендации по поводу скрининга.

Какие методы диагностики может назначить врач?
Помимо гастроскопии, программа диагностики рака желудка может включать:
- Рентгенографию, перед которой пациенту дают выпить контрастный раствор. При этом контуры желудка хорошо видны на снимках.
- Компьютерную томографию, позитронно-эмиссионную томографию.
- Диагностическую лапароскопию. Это операция, во время которой в живот пациента через отверстия вводят лапароскоп с миниатюрной видеокамерой и специальные инструменты. Процедура помогает оценить, как далеко за пределы желудка успел распространиться процесс.
- Биопсию. Врач получает образец подозрительной ткани и отправляет в лабораторию для изучения под микроскопом. Этот метод диагностики помогает максимально точно диагностировать онкологическое заболевание и установить тип рака. Биопсию можно провести во время гастроскопии, хирургического вмешательства.

Современные принципы лечения рака желудка
Основной метод лечения рака желудка — хирургический. Объем операции зависит от того, на какой стадии обнаружена опухоль. Если она не успела распространиться вглубь стенки органа, проводят эндоскопическую резекцию — удаление пораженного участка при помощи инструмента, введенного через рот, как во время гастроскопии.
При субтотальной гастрэктомии удаляют часть органа, пораженную опухолевым процессом. На более поздних стадиях орган приходится удалять целиком вместе с окружающими тканями. При этом пищевод соединяют с тонкой кишкой. Если лимфатические узлы в брюшной полости поражены метастазами, их также нужно удалить.
В запущенных случаях, когда излечение невозможно, проводят паллиативную операцию. Хирург удаляет пораженную часть желудка, чтобы облегчить состояние пациента.
Лучевая терапия при раке желудка бывает:
- неоадъювантной — проводится перед операцией, чтобы уменьшить размеры опухоли и облегчить её удаление;
- адъювантной — чтобы уничтожить раковые клетки, которые остались в организме после операции.
Наиболее распространенные побочные эффекты лучевой терапии при облучении области живота: тошнота, нарушение пищеварения, диарея.
Химиотерапия также бывает адъювантной и неоадъювантной. Часто её сочетают с лучевой терапией. Химиолучевая терапия может стать основным методом лечения при метастатическом раке на поздних стадиях, когда прогноз неблагоприятный, но есть возможность облегчить симптомы и продлить жизнь больного.
В некоторых случаях эффективны таргетные препараты: трастузумаб, рамуцирумаб, иматиниб, сунитиниб, регорафениб. Но они подходят лишь в тех случаях, когда опухолевые клетки обладают определенными молекулярно-генетическими свойствами.
Какой прогноз при раке желудка?
Прогноз при раке желудка зависит от стадии опухоли, на которой был установлен диагноз и начато лечение. Шансы на стойкую ремиссию наиболее высоки, если опухоль не проросла за пределы слизистой оболочки и подслизистой основы. При метастазах прогноз, как правило, неблагоприятен.
В онкологии существует такой показатель, как пятилетняя выживаемость. Он показывает, какой процент больных остаются живы в течение 5-ти лет. Срок достаточно большой, в определенном смысле его можно приравнять к выздоровлению. Пятилетняя выживаемость при разных стадиях рака желудка составляет:
- I стадия — 57-71%;
- II стадия — 33-46%;
- III стадия — 9-20%;
- IV стадия — 4%.
Некоторые цифры и факты:
- Эксперты Всемирной организации здравоохранения (ВОЗ) утверждают, что ежегодно от рака желудка во всем мире погибают 754 000 людей.
- В XXI веке распространенность заболевания снижается, но в разных странах неодинаково. Так, на одного больного из Великобритании приходится двое из России и трое из Японии.
- По распространенности среди прочих онкозаболеваний рак желудка занимает пятое место, но среди причин смерти — третье.
- Одна из лидирующих стран по распространенности рака – Япония, во многом за счет характера питания.
В клиниках «Евроонко» применяются наиболее современные методы лечения рака желудка и других онкологических заболеваний. Даже если прогноз неблагоприятен, это не означает, что больному ничем нельзя помочь. Наши врачи знают, как облегчить симптомы, обеспечить приемлемое качество жизни, продлить жизнь
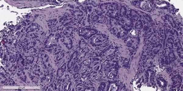
Аденокарцинома желудка
Аденокарцинома желудка — это одна из наиболее часто встречающихся разновидностей рака данной локализации. На ее долю приходится до 95% всех злокачественных новообразований желудка. Заболевание коварно тем, что на начальных стадиях никак себя не проявляет, затем возникают боли, тошнота, потеря аппетита, на фоне этих симптомов нарастает слабость и потеря веса. Единственный на сегодняшний день радикальный метод лечения аденокарциномы это хирургическая операция. Лучевая терапия и химиотерапия назначаются в качестве дополнительного лечения или при невозможности хирургического вмешательства.

Причины развития
Причина злокачественной трансформации клеток слизистой оболочки до конца не выявлены, но ученые определили несколько факторов, которые достоверно повышают такую вероятность:
- Хронический атрофический гастрит. На его фоне развивается до 60% всех случаев рака желудка. При локализации атрофического процесса в теле желудка, риск увеличивается в 3-5 раз, в антральной его части — в 18 раз, а если поражен весь желудок — в 90 раз.
- Нарушение питания — употребление большого количества острых и соленых продуктов, маринадов, копченостей, вяленого мяса, а также жиров, особенно подвергшихся термической обработке. Имеет значение характер приема пищи. Переедание, недостаточно тщательное пережевывание пищи может привести к хронической травматизации стенки желудка и на этом фоне — к злокачественному перерождению клеток.
- Инфицирование бактерией Хеликобактер пилори увеличивает риски в 3-4 раза.
- Курение и злоупотребление алкоголем.
- Наличие в анамнезе операций на желудке. Риск развития рака увеличивается в 4 раза.
- Пернициозная анемия — злокачественная анемия, связанная с невозможностью усвоения витамина В12. На этом фоне происходит снижение иммунитета, что в 10% случаев приводит к развитию рака.
- Иммунодефицитные состояния, в том числе СПИД.
- Наследственная предрасположенность по данным разных авторов увеличивает риск на 5-20%. В научной литературе описаны случаи наследования аденокарциномы желудка.
- Работа с вредными производственными факторами (никель, асбест).
- Язва желудка. При ее расположении в теле желудка, риски малигнизации увеличиваются в 2 раза, а при поражении антрального отдела данной закономерности не отмечается.

Виды аденокарциномы желудка
Согласно современной классификации выделяют следующие виды аденокарцином, поражающих желудок:
- Папиллярная — визуально напоминает полип.
- Тубулярная. Произрастает из клеток кубического или цилиндрического эпителия.
- Муцинозная. Произрастает из слизисто-продуцирующих клеток.
По степени дифференцировки выделяют следующие формы:
- Высокодифференцированная аденокарцинома желудка. Клетки опухоли имеют высокий уровень дифференцировки и «напоминают» здоровую ткань. Характеризуется медленным ростом и, при своевременной диагностике, хорошо поддается излечению. Главная проблема заключается в том, что в самом начале данную опухоль сложно обнаружить, даже при эндоскопическом обследовании, а ее выявление на поздних стадиях не позволяет достичь желаемого результата.
- Умеренно дифференцированная аденокарцинома желудка. Клетки этой опухоли сложно идентифицировать с тканью, из которой она произрастает. Характеризуется умеренной злокачественностью и скоростью роста.
- Низкодифференцированная аденокарцинома желудка. Клетки данной опухоли невозможно идентифицировать с определенной тканью. Это наиболее злокачественный тип рака желудка. Характеризуется быстрым ростом и метастазированием.
Симптомы
- Потеря аппетита.
- Явления диспепсии — вздутие живота, тошнота, отрыжка, чувство тяжести. Если опухоль имеет большие размеры, она может перекрывать просвет желудка, что вызывает рвоту при приеме пищи, но это происходит уже на последних стадиях.
- Слабость и апатия.
- Боль. Как правило, она возникает не сразу, а преимущественно на распространенных стадиях. В это время она носит постоянный характер и не зависит от приема пищи. Возникает без видимых причин и часто усиливается после еды. На последних стадиях она настолько сильная, что не купируется привычными анальгетиками.
Как мы видим, эти симптомы неспецифичны, и человек может долгое время пытаться купировать их самостоятельно.
Диагностика аденокарциномы желудка
Своевременная диагностика рака желудка имеет важнейшее значение, поскольку прогноз на ранних стадиях заболевания куда более благоприятен, чем при распространенном опухолевом процессе. Но аденокарцинома на начальных стадиях характеризуется либо бессимптомным течением, либо ее симптомы воспринимаются как признаки другого заболевания, например, гастрита, язвы, желчнокаменной болезни, панкреатита. В результате пациенты не обращаются к врачу, купируя симптомы самостоятельно с помощью препаратов, купленных в аптеке.
Стадии аденокарциномы
- 0 стадия или рак in situ. Злокачественные клетки не распространяются на пределы эпителиального слоя.
- 1 стадия. Опухоль прорастает эпителий и распространяется на другие слои стенки желудка, но не выходит за ее пределы.
- 2 стадия. Опухоль увеличивается в размерах и дает метастазы в регионарные лимфатические узлы.
- 3 стадия. Аденокарцинома прорастает в соседние органы (поджелудочная железа, печень) и/или дает метастазы в несколько групп лимфатических узлов.
- На четвертой стадии, аденокарцинома дает метастазы в отдаленно расположенные органы и лимфатические узлы.
Диагностика
Диагностика аденокарциномы желудка носит комплексный характер и включает ряд обследований, которые не только помогают определить тип опухоли, но и стадию заболевания:
- ФГДС — обследование, которое осуществляется с использованием специального прибора — гибкого эндоскопа. С его помощью производится визуальный осмотр слизистой оболочки желудка, причем прибор транслирует увеличенное изображение исследуемого участка на монитор, что позволяет обнаружить незначительные изменения слизистой. Во-вторых, эндоскоп оснащен специальной манипуляционной системой, с помощью которой можно взять кусочек ткани на гистологический анализ и точно определить вид опухоли и степень дифференцировки ее клеток.
- УЗИ. Этот метод исследования позволяет уточнить размер опухоли, ее соотношение с соседними органами, наличие метастазов в регионарные лимфатические узлы.
- КТ и МРТ также помогают верифицировать размеры злокачественного новообразования и его врастание в окружающие ткани, но главной целью является поиск метастазов в лимфоузлы и отдаленные органы (например, легкие).
- ПЭТ-КТ (позитронно-эмиссионная компьютерная томография) позволяет обнаружить отдаленные метастазы размером до 1 мм.
- Определение онкомаркеров РЭА, СА72-4, СА19-9. При раке желудка эти маркеры не имеют диагностического значения как такового, но при исходном повышении нормы, их можно использовать в качестве контроля лечения и возникновения рецидива. После операции уровень онкомаркеров должен снизиться, он может достичь нормы. При возникновении рецидива или прогрессирования заболевания, он будет опять нарастать.

Доктор М.С. Бурдюков проводит диагностическое обследование желудка – ФГДС
Метастазирование аденокарциномы желудка
Для аденокарциномы характерно лимфогенное, гематогенное и имплантационное метастазирование.
Имплантационное метастазирование предполагает распространение клеток посредством контакта опухоли с воспринимающей поверхностью. В случае рака желудка такой поверхностью может быть брюшина, плевра, перикард, диафрагма. На четвертой стадии часто обнаруживается канцероматоз (массивное метастазирование в различные ткани).
Лимфогенное метастазирование подразумевает распространение опухоли по лимфатическим сосудам. Сначала поражаются близлежащие лимфатические узлы, а потом и более отдаленные. При раке желудка существуют специфические формы лимфогенных метастазов:
- Поражение узлов левой надключичной области — метастазы Вирхова.
- Поражение параректальных ЛУ — метастазы Шницлера.
- Поражение подмышечных ЛУ — метастазы Айриша.
Гематогенное метастазирование предполагает перенос раковых клеток по кровеносным сосудам. Чаще всего поражается печень в результате миграции клеток по воротной вене. Также возможно поражение легких, почек, головного мозга, костного мозга.

Лечение аденокарциномы желудка
Лечение аденокарциномы зависит от стадии заболевания и гистологического типа опухоли. Как правило, оно носит комплексный характер и предполагает сочетание хирургической операции с химио- или лучевой терапией. Хирургический компонент здесь является ключевым фактором.
В рамках лечения может проводиться удаление всего желудка (гастрэктомия), или его части (резекция желудка). Одновременно удаляются ткани, пораженные злокачественными клетками — регионарные лимфатические узлы, части органов, куда проросла опухоль (печень, тонкая кишка, брюшина и др).
Химиотерапия и лучевая терапия могут применяться в дооперационном (неоадъювантный режим) и послеоперационном периоде (адъювантный режим). В первом случае их целью является уменьшение размеров опухоли, чтобы ее можно было удалить с наименьшим объемом тканей, а во втором — уничтожение оставшихся раковых клеток. Кроме того, применение химиотерапии и лучевой терапии может уменьшить выраженность болевого синдрома.
Если радикальное удаление образования невозможно, проводится паллиативное лечение. В этом случае оно направлено на устранение осложнений, вызванных аденокарциномой, и улучшение качества жизни больного. Например, если опухоль перекрыла просвет желудка, накладываются обходные анастамозы или выводится гастростома, благодаря чему пациент сможет питаться.
Прогноз аденокарциномы желудка
Прогноз при аденокарциноме зависит от стадии заболевания. Чем раньше начать лечение, тем более эффективным оно будет:
- При первой стадии пятилетняя выживаемость достигает 80%. Причем высоки шансы на полное выздоровление. К сожалению, на этой стадии рак желудка выявляется очень редко, как правило, случайно.
- На второй стадии пятилетняя выживаемость приближается к 55%. Половина из этих людей имеет шансы на полное излечение. Согласно данным литературы, менее 10% злокачественных опухолей желудка выявляются на второй стадии.
- При третьей стадии пятилетняя выживаемость находится на уровне менее 40%, а при четвертой — не превышает 5%. К сожалению, до 75% аденокарцином выявляется именно на четвертой стадии.

Профилактика
Профилактика рака желудка направлена на предотвращение или снижение воздействия факторов риска, приводящих к развитию данного заболевания:
Рак желудка
Онкология желудка возникает в тканях слизистой оболочки этого пищеварительного органа. Железистые эпителиальные клетки желудочной стенки начинают бесконтрольно делиться, образовывая злокачественную опухоль. Средний возраст, когда это заболевание чаще всего наблюдается у пациентов, составляет около 65 лет. Но диапазон статистических наблюдений колеблется от 40 до 70 лет, поэтому быть информированным об этом онкологическом заболевании очень важно, чтобы знать, если диагностирован рак желудка что делать.

Особенностью течения онкологии в этом органе является быстрое метастазирование, то есть раковые клетки через стенки могут поразить соседствующие с ним органы. Если это произошло, бороться с раком гораздо труднее, вот почему очень важно диагностировать его на самой ранней стадии. Основная форма желудочного рака – аденокарцинома, и лишь в пяти процентах случаев встречаются иные варианты.
Причины
Не смотря на все успехи современной медицины, достоверные причины возникновения рака желудка ей еще неизвестны. Однако большинство исследователей сходится во мнении, что заметную роль во внезапном возникновении этой болезни играет бактерия Helicobacter Pylori. Это та самая бактерия, которую относительно недавно стали считать первопричиной язвенных заболеваний. Теперь и в образовании опухолей прослеживают следы ее разрушительной деятельности.
Однако существуют и другие факторы, от чего бывает рак желудка:
- Злоупотребление табаком и алкоголем – эти вредные привычки не только вызывают токсические образования, но и напрямую повреждают слизистую (этиловым спиртом);
- Токсические вещества – к ним можно отнести косметику, неумеренное использование которой может спровоцировать изменение клеток, а также нитраты и нитриты. Последние часто можно встретить в продуктах, таких как овощи с полей, где применяют сильные удобрения, копченая продукция, вяленая рыба.
- Лекарства – могут стать не только средством избавления, но и причиной повреждения слизистой. Поэтому злоупотреблять сильными лекарственными средствами, оказывающими влияние на оболочку органа, не стоит. Может возникнуть как язва, так и раковое новообразование.
- Облучение – радиоактивные лучи применяются в терапии против рака, но могут и стать причиной мутации клеток, образования опухоли;
- Хронические заболевания пищеварительного тракта и желудочной области;
- Перенесенные операции в этой области организма;
- Наследственность – возникновение аналогичных заболеваний у родственников разных поколений не является новостью на сегодняшний день, поэтому контроль и постоянное обследование у людей из этой группы должны быть обязательными.
Вместе с тем медики отмечают ряд состояний, в которых возникновения опухолевых процессов значительно повышен. К тому, что вызывает рак желудка, относятся язвенная болезнь, аденома и атрофический гастрит. Однако наличие данных рисковых факторов не означает, что болезнь обязательно проявится рано или поздно. Даже при совпадении ряда канцерогенных факторов человек может спокойно дожить до глубокой старости, равно как может заболеть, даже если таковые факторы в его жизни отсутствуют в принципе. Согласно статистике выше риск заболеть у мужчин, так как у них желудочная опухоль встречается в полтора и более раз чаще, чем у женщин. Также статистически чаще болеют люди старшего возраста. Тем, кто входит в описанные группы, необходимо знать, как проявляется рак желудка. Симптомы Огромной проблемой является отсутствие заметных человеку признаков болезни в момент возникновения. Симптомы рака желудка чувствуются только, когда заболевание переходит на вторую или даже третью стадию. Медицина выделяет первые признаки рака желудка:
- Болевой синдром в наджелудочной области;
- Постоянные изжога и вздувается живот;
- Тошнит и рвет – когда злокачественное новообразование закупоривает привратниковый отдел и проходимость пищи снижается;
- Понижается аппетит, тело не насыщается, и человек теряет в весе;
- Трудно глотать - когда опухоль прорастает в верхнюю часть органа;
- При дальнейшем развитии заболевания может возникнуть синдром раннего насыщения, когда затронуты все слои стенок, и он способность растягиваться ослабевает.
Надо ли бить тревогу, если симптомы появились у вас или ваших близких? На самом деле симптомы схожи с описанием десятков других желудочно-кишечных заболеваний. Поэтому, если наблюдаются первые признаки, необходимо, не откладывая, нанести визит врачу, чтобы поставить точный диагноз.
К симптомам более поздних стадий можно отнести:
- Желудочные кровотечения;
- Высокая утомляемость;
- Состояние слабости и апатии;
- Отказ от пищи.

Отличает их диаметр опухоли, а также степень ее распространенности в человеческом теле. Для точного определения как быстро развивается рак желудка, следует знать, поражены ли лимфоузлы, и насколько проникли метастазы в дальние (от очага) части тела и внутренние органы.

Это раковая онкология в момент возникновения. Она еще не проросла в слизистую, не оказывает никакого вредного воздействия, поэтому не дает никаких клинических проявлений. А обнаруживается она только случайно, если проводится обследование по другому поводу.
1 стадия
Диаметр редко больше 2 сантиметров. Оно уже затрагивает слизистую оболочку и может коснуться мышечной. Даже на этом этапе метастазы подчас попадают в лимфоузлы, расположенные рядом с очагом заболевания. Следы раковых клеток в отдаленных внутренних органах не наблюдаются.
2 стадия
Опухоль уже вырастает вплоть до 5 сантиметров. Пораженными оказываются уже и подсерозные оболочки. Местные лимфоузлы также поражаются. При распространении под воздействие опухоли попадают от 1 до 7 лимфоузлов в районе очага. Следы раковых клеток в отдаленных внутренних органах не наблюдаются.
3 стадия
По сравнению с предыдущей стадией опухоль может быть почти вдвое больше. Как минимум, она поражает слизистую и мышечную оболочки, но со временем проникает в подсерозную и серозную оболочки. Таким образом воздействие оказывается каждый слой стенок пищеварительного органа. Этот этап может характеризоваться выходом новообразования за пределы пищеварительной системы и распространение на близлежащие органы. Следы раковых клеток в отдаленных внутренних органах не наблюдаются.
4 стадия
Не характеризуется конкретными параметрами и дислокацией опухоли. Особенной чертой является появление метастазов вдали от очага заболевания, чаще всего обнаруживаются в брюшине, желудочной артерии, лимфоузлах селезенки, печени, почках, легких или сердце. Поражены могут быть даже кости и мозг. Метастазы вызывают новые злокачественные образования, поэтому излечение на этой стадии является самым трудным. Тем более болезнью затрагиваются множество лимфоузлов в различных участках тела.
Начальная стадия наблюдается чаще в нижней части органа. Ученые полагают причиной ретроградное продвижение пищи при нарушении нормальной работы 12-типерстной кишки, переваренная еда вновь возвращается в желудок из кишечника. Изначально это может спровоцировать гастрит, а затем и появление опухолевых клеток. Однако возникновение злокачественных новообразований может наблюдаться в любом желудочном отделе.

Прогноз выживаемости при раке желудка
Выживаемость при раке желудка тесно коррелирует с моментом его обнаружения. Так, если он был найден вскоре после появления, то шансы на выздоровление составляют более 70%, а пятилетняя выживаемость (то есть шансы выжить в течении 5 лет с момента диагностирования) отмечается у 80% пациентов. Однако, как видно из описаний стадий и симптомов первой стадии, обнаружить рак можно скорее случайно, когда обследованию подвергаются соседние органы или желудок на предмет язвы, гастрита.
Даже вторую стадию диагностируют крайне редко, так как она может протекать без очевидных клинических проявлений. Если все же его выявить удалось, то пятилетняя выживаемость гарантируется в 50% - 60% случаев.
Начиная с третьей стадии, прогноз становится неблагоприятным. Она диагностируется уже чаще, примерно в 15% случаев, но пятилетняя выживаемость не превышает 40%. Симптомы четвертой стадии уже ярко выражены, поэтому чаще всего онкология выявляется именно на этой стадии (около 85% случаев). Поскольку для данной стадии характерно распространение метастазов в отдаленные ткани, органы и лимфоузлы организма, то пятилетняя выживаемость составляет всего 3-5%. А сама болезнь прогрессирует чрезвычайно быстро. Таким образом, ответить на вопрос, сколько живут с раком желудка, можно только после того, как установлен максимально точный диагноз и определена стадия онкологического заболевания. Чем раньше он обнаружен, тем выше шансы не только продлить жизнь заболевшего, но и излечиться полностью.
Диагностика и лечение рака желудка

Единственный вариант, как диагностировать рак желудка с высокой точностью – провести полное гистологическое исследование. Для этого нужен образец опухолевых тканей, который затем отдается в лабораторию. Однако существуют и другие способы выявления и наблюдения за онкологией.
- Гастроскопия – это зондирование желудочно-кишечного тракта. Оно проводится с помощью специального оборудования, которое на современном этапе способно не только брать пробы различных тканей, но и вести съемку в высоком разрешении;
- Рентгенография – используются как для проверки желудочной области в контрастном варианте (выявляет посторонние новообразования), так и для проверки легких на наличие метастазов на поздних стадиях заболевания;
- Ультразвуковое исследование – проводится для определения степени распространенности опухолевого процесса, а также позволяет следить за динамикой изменения диаметра и местоположения новообразования;
- Томография – в диагностике используют мультиспиральную компьютерную томографию и позитронно-эмиссионную томографию. Последняя позволяет с помощью незначительного количества облученной глюкозы, вводимой в организм, четко определить место расположения опухоли, степень ее проникновения в соседствующие органы и ткани;
- Анализ крови – проводится с помощью специальных онкомаркеров, соответствующих определенному онкологическому заболеванию;
- Анализ кала – проводится на наличие следов крови в стуле пациента.
Зная о признаках этого опаснейшего заболевания, можно сформулировать несколько основных принципов для того, чтобы предотвратить его. В идеале необходимо контролировать слизистую оболочку этого важного органа, чтобы малейшие подозрения на онкологию появлялись на самых ранних этапах болезни. Тогда и шансы на излечение выше, и борьба с опухолевым процессом будет эффективнее.
Кроме того, профилактика предполагает здоровый образ жизни (правильное питание, исключение алкоголя и табака), а также своевременное лечение всех заболеваний, которые могут спровоцировать рак. По возможности нужно стараться исключить и токсикологические факторы, включая злоупотребление раздражающими слизистую лекарствами и косметическими средствами.
Единственным эффективным и радикальным методом лечения является оперативное вмешательство хирурга. Только удаление опухоли в ходе операции может предотвратить дальнейшее распространение и рост раковых клеток в человеческом организме. Все операции в этой области можно разделить на два типа: субтотальная и тотальная гастрэктомия.
Первая предполагает частичное удаление органа, включая все пораженные ткани. Вторая заключается полном удалении органа. При этом решение о том, какую именно гастрэктомию проводить хирург принимает прямо в ходе операции, определяя насколько сильно поражены стенки пищеварительного органа. В любом случае попутно удаляются еще и пораженные лимфатические узлы, так как они могут стать источником рецидива. Кроме того в процессе оперативного вмешательства могут быть полностью или частично удалены и другие внутренние органы, которые затронула болезнь.
В рамках лечения используются также радиологический метод и химиотерапия. Однако оба метода являются вспомогательными, так как в обычном формате могут оказать негативное влияние на здоровые органы, расположенные в непосредственной близости.
На практике это означает, что радиологический метод (облучение малыми дозами радиации) применяется только в ходе хирургического вмешательства и только при наличии специального оборудования. Чтобы облучению подвергались исключительно опухолевые клетки. Радиация действует на них разрушительным образом и препятствует их дальнейшему делению.
Химиотерапия используется в виде приема специальных лекарственных препаратов перед проведением операции и после нее. Конкретный курс и дозировки назначает лечащий врач. При этом химиотерапия имеет, как известно, и негативные последствия, заключающиеся в угнетении кроветворения, вреда для ЖКТ, снижении иммунитета и выпадения волос на всех участках тела.Оба вспомогательных метода требуют хорошего материального обеспечения клиники и наличия квалифицированного персонала.
Главная проблема этого заболевания состоит в том, что выявляется оно, как правило, на последних стадиях. В этом случае полное излечение даже самыми современными медицинскими методами практически невозможно. Поэтому пациентам проводятся паллиативные операции. Они рекомендованы в тех случаях, когда удалить измененные клетки без угрозы жизни пациенту нельзя. Паллиативная операция лишь облегчает болевой синдром и временно продляет жизнь. Вот почему так важно определить болезнь как можно раньше, как только появились первые симптомы, и сразу же обратиться за консультацией к опытному онкологу.

Ассоциация «Здравствуй!» совместно со специалистами-онкологами разработала серию брошюр, из которых пациенты и их близкие могут получить актуальную информацию о современной диагностике и лечении: рака желудка, возможностях иммуно-онкологии, а так же о психологической и юридической поддержке.
Рак желудка – это злокачественная эпителиальная опухоль слизистой оболочки желудка. Признаками рака желудка служат снижение аппетита, похудание, слабость, боль в эпигастрии, тошнота, дисфагия и рвота, быстрое насыщение при приеме пищи, вздутие живота, мелена. Установлению диагноза способствует проведение гастроскопии с биопсией, рентгенографии желудка, УЗИ органов брюшной полости, эндосонографии, определение опухолевых маркеров, исследование кала на скрытую кровь. В зависимости от распространенности рака желудка производится частичная или тотальная резекция желудка; возможно проведение химиотерапии и лучевой терапии.


Общие сведения
Рак желудка – злокачественное новообразование, в большинстве случаев исходящее из железистых эпителиальных клеток желудка. Среди злокачественных опухолей желудка в 95% выявляются аденокарциномы, реже – другие гистологические формы – лимфомы, плоскоклеточный рак, лейомиосаркомы, карциноид, аденоакантомы. Мужчины болеют раком желудка в 1,7 раза чаще женщин; обычно заболевание развивается в возрасте 40-70 лет (средний возраст 65 лет). Рак желудка склонен к быстрому метастазированию в органы пищеварительного тракта, часто прорастает в соседние ткани и органы через стенку желудка (в поджелудочную железу, тонкий кишечник), часто осложняется некрозом и кровотечением. С током крови метастазирует преимущественно в легкие, печень; по сосудам лимфатической системе - в лимфоузлы.
В настоящее время гастроэнтерология недостаточно знает о механизмах развития и причинах возникновения рака желудка. Современная теория развития рака желудка предполагает, что заметную роль в его возникновении играет инфицированность Helicobacter Pylori. Среди факторов риска отмечают следующие: курение, хронический гастрит, операции на желудке, пернициозная анемия, генетическая предрасположенность. Состояниями с высоким риском развития рака является аденома желудка, атрофический гастрит, хроническая язва желудка.
Чаще всего рак развивается у лиц среднего возраста и старше, заболевают чаще мужчины. Однако отсутствие факторов риска не гарантирует полностью избегания рака желудка. Равно как и у людей с сочетанием нескольких канцерогенных факторов рак желудка возникает далеко не всегда.
Классификация рака желудка
Рак желудка классифицируется по стадиям согласно международной классификации злокачественных новообразований: классификация TNM, где T – состояние (стадия развития) первичной опухоли (от нулевой стадии предрака до четвертой стадии прорастания опухоли в соседние ткани и органы), N – присутствие метастазов в региональных лимфоузлах (от N0- отсутствия метастазов, до N3 – заражения метастазами более 15 региональных лимфоузлов), M – наличие метастазов в отдаленных органах и тканях (М0 – нет, М1 – есть).
Симптомы рака желудка
Ранняя стадия развития рака желудка часто протекает без клинических проявлений, симптоматика начинает развиваться, как правило, уже при опухоли второй-третьей стадии (прорастание в подслизистые слои и далее).
С развитием заболевания выявляются следующие симптомы: боль в эпигастрии (первоначально умеренная), тяжесть в желудке после приема пищи, снижение аппетита и похудание, тошнота вплоть до рвоты (рвота, как правило, сигнализирует о снижении проходимости желудка – закупорке опухолью привратникового отдела). При развитии рака в области кардии возможна дисфагия (нарушение глотания).
На третьей стадии рака (когда опухоль поражает все слои стенки желудка вплоть до мышечного и серозного) возникает синдром раннего насыщения. Это связано со снижением растяжимости желудка.
При прорастании опухли в кровеносные сосуды могут возникать желудочные кровотечения. Следствия рака: анемия, снижение питания, раковая интоксикация приводят к развитию общей слабости, высокой утомляемости. Присутствие каких либо из вышеперечисленных симптомов не является достаточным для диагностирования рака желудка, таким образом могут проявляться и другие заболевания желудка и органов пищеварения. Диагноз «рак желудка» устанавливают только на основании данных исследования биоптата.
Однако выявления подобных симптомов требует немедленного обращения к врачу-гастроэнтерологу для прохождения обследования и максимально раннего обнаружения злокачественного новообразования.
Диагностика рака желудка
Единственным основанием для установления диагноза «рак желудка» является результаты гистологического исследования новообразования. Но для выявления опухоли, выяснения ее размеров, характеристики поверхности, локализации и осуществления эндоскопической биопсии проводят гастроскопию.
Наличие увеличенных лимфоузлов средостения и метастазов в легких можно выявить при рентгенографии легких. Контрастная рентгенография желудка визуализирует присутствие новообразования в желудке.
УЗИ органов брюшной полости проводят для выяснения распространения опухолевого процесса. С теми же целями (детальная визуализация новообразования) проводят мультиспиральную компьютерную томографию (МСКТ). В определении распространения злокачественного процесса помогает ПЭТ - позитронно-эмиссионная томография (вводимая в организм радиоактивная глюкоза собирается в тканях опухоли, визуализируя вышедший за пределы желудка злокачественный процесс).

При лабораторном исследовании крови выявляют специфические онкомаркеры. Кал проверяют на присутствие скрытой крови. Детальное исследование опухоли, возможность ее хирургического удаления определяют при диагностической лапароскопии, при этом также возможен забор биоптата для исследования.
Лечение рака желудка
Тактика лечебных мероприятий зависит от стадии развития рака желудка, размера опухоли, прорастания в соседние области, степени заселения злокачественными клетками лимфоузлов, поражения метастазами других органов, общего состояния организма, сопутствующих заболеваний органов и систем.
При раке желудка могут применять три основных методики лечения злокачественных образований: хирургическое удаление, химиотерапию и лучевую терапию. В большинстве случаев используется сочетание методик. Тактика лечения определяется специалистом-онкологом, после комплексного обследования пациента, получения рекомендаций смежных специалистов.
В случаях раннего выявления опухоли (на стадиях 0 и 1), когда метастазы отсутствуют, прорастание в стенку не достигает подслизистых слоев, возможно полное хирургическое удаление рака. Проводится удаление участка стенки желудка, пораженного раком, часть окружающих тканей, близлежащие лимфоузлы. Иногда, в зависимости от степени поражения желудка опухолью, производится частичная или тотальная резекция желудка.
После такого рода операций общий объем желудка заметно уменьшается, либо, если желудок полностью удален, пищевод соединяется с тонким кишечником напрямую. Поэтому пациенты после резекции желудка могут употреблять ограниченное количество пищи за один прием.
Лучевую терапию (облучение пораженных опухолью органов и тканей ионизирующим излучением) производят для остановки роста и уменьшения опухоли в предоперационном периоде и в качестве средства, подавляющего активность раковых клеток и уничтожения вероятных очагов рака после удаления опухоли.
Химиотерапия – медикаментозное подавление роста злокачественных образований. Комплекс химиотерапевтических препаратов включает в себя высокотоксичные средства, разрушающие опухолевые клетки. После операции по удалению злокачественного новообразования химиотерапию применяют для подавления активности оставшихся раковых клеток, чтобы исключить вероятность рецидива рака желудка. Зачастую химиотерапия комбинируется с лучевой терапией для усиления эффекта. Хирургическое лечения также, как правило, сочетается с тем или иным способом подавления активности раковых клеток.
Пациенты, страдающие раком желудка, должны хорошо, полноценно питаться на протяжении всего лечения. Организму, борющемуся со злокачественной опухолью, требуется большое количество белка, витаминов, микроэлементов, необходима достаточная калорийность суточного рациона. Трудности возникают в случае выраженного угнетения психики (апатии, депрессии) и отказа от пищи. Иногда возникает необходимость в парентеральном введении питательных смесей.
Осложнения рака желудка и побочные эффекты терапии
Тяжелые осложнения, значительно ухудшающие течение заболевания, могут быть как непосредственным результатом наличия злокачественной опухоли, так и стать следствием весьма тяжелопереносимых методов противоопухолевой терапии. При раке желудка зачастую возникают кровотечения из сосудов поврежденной стенки, что способствует развитию анемии. Крупные опухоли могут некротизироваться, ухудшая общее состояние организма выделением в кровь продуктов некротического распада. Потеря аппетита и усиленное потребление опухолевой тканью питательных веществ способствует развитию общей дистрофии.
Продолжительная лучевая терапия может способствовать развитию выраженного лучевого ожога, а так же лучевого дерматита и лучевой болезни. Побочными эффектами химиотерапии является общая слабость, тошнота (вплоть до регулярной рвоты), диарея, алопеция (облысение), сухость кожи, дерматиты, экзема, ломкость ногтей, деформация ногтевых пластин, расстройства половой сферы.
Одним из распространенных осложнений может быть присоединившаяся инфекция. Вследствие подавленного иммунитета течение инфекционного процесса может быть весьма тяжелым.
Прогноз и профилактика рака желудка
Рак желудка диагностируется, как правило, уже на стадии неизлечиваемой опухоли. Только в сорока процентах случаев выявляется новообразование, при котором есть вероятность излечения (рак на ранней стадии без метастазирования либо с метастазами в близлежащих лимфоузлах). Таким образом, при выявлении рака третьей и четвертой стадии, при его склонности к быстрому течению и осложнениям прогноз кране неблагоприятен.
Оперативное лечение в сочетании с тем или иным методом противоопухолевой терапии дает пятилетнюю выживаемость после операции у 12% пациентов. В случае раннего обнаружения рака (поверхностное распространение без прорастания в подслизистые слои стенки желудка) выживаемость увеличивается до 70% случаев. При озлокачествленной язве желудка вероятность выживаемости – от 30 до 50%.
Наименее благоприятный прогноз у неоперабельных опухолей, поразивших насквозь все слои желудочной стенки и проникших в окружающие ткани. Неблагоприятно течение рака, если выявлены метастазы в легких и печени. При неоперабельных опухолях желудка терапия направлена на облегчение симптомов и максимально возможное снижение скорости прогрессирования заболевания.
Основными мерами профилактики рака желудка являются: своевременное лечение заболеваний, которые являются предраковыми состояниями, регулярное правильное питание, отказ от курения. Значимой мерой в профилактике развития злокачественных новообразований является контроль состояния слизистой желудка и своевременное выявление зарождающихся опухолевых процессов.
Читайте также:
- Влияние гормонов на сердце. Гормоны надпочечников - норадреналин
- Принципы инъекции лекарств в сустав
- Образование гноя. Эозинофилы и базофилы
- Клиника хронического идиопатического миелофиброза (ХИМФ) - спленомегалия, портальная гипертензия, анемия, асцит
- Расположение печени. Топография печени в организме
