Прогрессирующий надъядерный паралич
Добавил пользователь Владимир З. Обновлено: 29.01.2026
Прогрессирующий надъядерный паралич относится к нейродегенеративным заболеваниям головного мозга. В патологический процесс вовлекаются подкорковые и стволовые структуры. Заболевание проявляется сочетанием прогрессирующего акинетико-ригидного синдрома, ранним развитием постуральной неустойчивости, приводящей к частым падениям. Наблюдаются надъядерная офтальмоплегия, псевдобульбарный синдромом и деменция лобного типа. Возникает в возрасте 50—60 лет, быстро прогрессирует и не поддается лечению противопаркинсоническими препаратами. Приведен клинический случай пациента 59 лет с данными магнитно-резонансной томографии головного мозга.
Ключевые слова
Об авторах
Сибирский государственный медицинский университет
Россия
канд. мед. наук, доцент кафедры неврологии и нейрохирургии
Алифирова Валентина Михайловна, д-р мед. наук, профессор, зав. кафедрой неврологии и нейрохирургии
Сибирский государственный медицинский университет
Россия
канд. мед. наук, доцент кафедры неврологии и нейрохирургии
Сибирский государственный медицинский университет
Россия
ординатор кафедры неврологии и нейрохирургии
Список литературы
1. Артемьев Д.В., Голубев В.Л., Яхно Н.Н. Прогрессирующий надъядерный паралич. В кн. Болезни нервной системы. Под редакцией Н.Н. Яхно, Д.Р. Штульмана, М.: Медицина; 2001. Т. 2. С. 96-100.
2. Дамулин И.В., Антоненко Л.М. Прогрессирующий надъядерный паралич (Синдром Стила-Ричардсона-Ольшевскго)//Клинич. перонтология. 2003. № 10. С. 20-28.
3. Левин О.С., Амосова Н.А. Современные представления о механизмах нейродегенерации при прогрессирующем надъядерном параличе и мультисистемой атрофии//Невролог. журн. 2003. № 4. С. 50-57.
4. Левин О.С. Прогрессирующий надъядерный паралич (Синдром Стила-Ричардсона-Ольшевскго)//Экстра-пирамидные расстройства: Руководство по диагностике и лечению: под ред. В.Н. Штока, И.А. Ивановой-Смоленской, О.С. Левина. М.: Медпресс-информ, 2002. С. 176-195.
5. Левин О.С. Мульсистемная атрофия//Экстрапирамидные расстройства: Руководство по диагностике и лечению: под ред. В.Н. Штока, И.А. Ивановой-Смоленской, О.С. Левина. М.: Медпресс-информ, 2002. С. 196-216.
6. Мозолевский Ю.В., Яхно Н.Н., Вознесенская Т.Г. и др. Прогрессирующий надъядерный паралич//Невропатология и психиатрия. 1980. № 3: С. 67-72.
7. Яхно Н.Н., Захаров В.В., Елкин М.Н. Прогрессирующий надъядерный паралич. Неврол. журн. 1997. № 6. С. 13-17.
8. Bower J.H., Maraganore D.M., McDonnell S.K. et al. Incidence of progressive supranuclear palsy and multiple system atrophy in Olmsted County, Minnesota, 1976 to 1990. Neurology. 1997. № 49. P. 1284-1288.
10. Steele J.C., De Bruin V.S., Lees A.J. Subcortical neurofibrillary degeneration presenting as Steele-Richardson-Olszewski and other related syndromes: A review of 90 pathologically verified cases. Mov. Disord. 1994. № 9(4). P. 381-387.
11. Hauw J.-J., Daniel S.E., Dickson D. et al. Preliminary NINDS neuropathologic criteria for Steele-Richardson-Olszewski syndrome//Neurology. 1994. Vol. 44. P. 2015-2019.
12. Jellinger K.A., Bancher C. Neuropathology//Litvan I., Agid Y. (Eds) Progressive Supranuclear Palsy: Clinical and Research Approaches. N.Y; Oxford, 1993. P. 44-48.
14. Richardson J.C, Olszewski J. Progressive supranuclear palsy. A heterogeneous degeneration, involving the brain stem basal ganglia and cerebellum with vertical gaze and pseudobulbar palsy, nuchal dystonia and dementia. Arch. Neurol. 1964; 10(4). P. 333-359.
15. Tolosa E., Valldeoriola F., Cruz-Sanches F. Progressive supranuclear palsy: clinical and pathological diagnosis. Europ. J. Neurol. 1995. № 2. P. 259-273.
Прогрессирующий надъядерный паралич
Отсутствие или минимальный ответ на препараты L-ДОФА
Явный ответ на L-ДОФА
Нейровизуализационные изменения в постановке диагноза ПНП
Тактика ведения пациентов с ПНП основывается на принципе мультидисциплинарной бригады, в которую вовлечены как неврологи, так и врачи смежных специальностей: логопеды, реабилитологи, физиотерапевты, клинические фармакологи и т.д. Медикаментозное лечение при ПНП является симптоматическим. При двигательных нарушениях, связанных с экстрапирамидными нарушениями, применяют препараты леводопы в сочетании с ингибитором дофа-декарбоксилазы (например, карбидопа), которые эффективны при паркинсоническом фенотипе ПНП (ПНП-П). В остальных случаях эффективность леводопы низкая. Однако, учитывая ограниченные терапевтические возможности, леводопу применяют в дозах до 1000 мг/сут. Ученые из университета Оттавы C. Barclay и A. Lang [26] изучили документы и видеозаписи всех пациентов с ПНП с 1983 по 1993 г., учитывая дистонические симптомы. Из 83 случаев у 38 зафиксированы дистонические проявления: 20 (24%) пациентов страдали блефароспазмом (один случай спровоцирован леводопой), 22 (27%) — дистонией в конечностях (один случай был вызван противоэпилептической терапией, второй — приемом леводопы), 14 (17%) — аксиальной дистонией, один — оромандибулярной дистонией, вызванной приемом леводопы, а у 2 — наблюдались краниальные дистонии. В своем наблюдении авторы также описывают 6 пациентов, у которых дистония в конечностях проявилась одним из первых симптомов заболевания, что затруднило диагностику корково-базальной ганглионарной дегенерации. Таким образом, при возникновении у пациентов с ПНП дистонии дозировку дофаминергических препаратов следует уменьшить или отменить, чтобы исключить возможность побочного действия препарата. Считается, что этиология леводопа-индуцированной дистонии по механизму развития схожа с таковой при паркинсонизме, сочетание же ее с оромандибулярной дистонией связано с особенностью многоуровневого поражения нигростриальной и стриопалидарной систем и процессов нейропластичности в них при ПНП. В лечении фокальной дистонии при ПНП, включая апраксию открытия века, можно использовать инъекции ботулинического токсина [27]. Описан опыт лечения пациентов с ПНП с использованием глубокой стимуляции головного мозга (ГСГМ). В рандомизированном контролируемом исследовании с односторонней глубокой стимуляцией ножкомостового ядра покрышки головного мозга приняли участие 8 больных с ПНП Ричардсона (ПНП-Р) и отметили улучшение постуральных функций, однако при сравнении результатов через 6 и 12 мес в режиме стимуляции ВКЛ и ВЫКЛ метод не показал эффективности [28]. ГСГМ в настоящее время не рекомендуется в лечении ПНП [27].
Согласно опубликованным исследованиям, в лечении когнитивных нарушений у пациентов с ПНП применяли ингибиторы холинэстеразы, которые улучшали когнитивные функции, однако было замечено, что у данной группы пациентов быстрее прогрессировали двигательные нарушения [28]. Необходимо отметить, что пациенты с ПНП могут страдать психоэмоциональными нарушениями, например депрессией, которая также требует применения специфической терапии, однако в литературе не было найдено конкретных рекомендаций по применению антидепрессантов при ПНП. В связи с чем можно индивидуально рассмотреть назначение антидепрессантов и рекомендовать занятие с психотерапевтом как альтернативный метод помощи пациенту.
Согласно исследованиям, физиотерапевтические реабилитационные методики уже доказали свою эффективность в лечении БП, у пациентов, страдающих ПНП, это еще предстоит выяснить, однако уже сегодня есть наблюдения, в которых отмечают положительный эффект комплексного реабилитационного лечения пациентов с ПНП [29]. В одной из работ, в которой исследовалась эффективность логопедической терапии по протоколу LSVT Ли Сильвермана у пациентов с БП и ПНП, было высказано предположение о потенциальной пользе логопедических методов лечения. По результатам исследования, увеличение максимальной продолжительности фонации и громкости голоса при чтении были одинаковыми в обеих группах, однако улучшение качества голоса и артикуляции были более значимыми в группе пациентов с БП по сравнению с группой ПНП [30]. Во избежание аспирации во время приема пищи необходимо составить специальную диету для пациента, а при развитии дисфагии рассмотреть вопрос наложения гастростомы, учитывая когнитивные нарушения.
Пациенты с ПНП страдают нарушениями координации и ходьбы, в связи с чем обучение методикам по поддержанию равновесия, а также «обучению падений» может минимизировать вероятность получения травмы. Для безопасного передвижения необходимо использование средств опоры: тростей, ходунков, при выраженных нарушениях ходьбы — инвалидной коляски.
Прогрессирование заболевания при ПНП обычно происходит довольно быстро [31]. Большинство пациентов становятся уход-зависимыми в течение 3—4 лет после дебюта заболевания, значительно снижается качество их жизни, в связи с чем важно вовремя организовать паллиативную помощь. Летальный исход в среднем наступает через 6—9 лет после постановки диагноза, однако продолжительность жизни при ПНП с акинезией и застываниями составляет около 11 лет [32—35].
В систематическом обзоре и метаанализе 2017 г. предиктором более короткой выживаемости был фенотип ПНП-Р по сравнению с фенотипом ПНП-П, при котором наблюдалось раннее начало постуральных нарушений с частыми падениями и нарушением когнитивных функций [36]. Ранний дебют дисфагии, которая наблюдается в фенотипах как ПНП-Р, так и ПНП-П, также был предиктором более короткой выживаемости.
Клинический случай
Пациентка И., 79 лет, поступила на лечение в неврологическое отделение клиники Башкирского государственного медицинского университета (БГМУ) по направлению участкового невролога. При поступлении жалобы на частые падения преимущественно назад. Пациентка не может опустить взгляд вниз, чтобы прочесть записи, посмотреть в тарелку при приеме пищи, в связи с чем во время еды часто проливает жидкую пищу, замедленность движений, снижение памяти на недавние события, нарушение концентрации внимания, дополнительные движения рта с прикусом внутренних поверхностей щек, боли в шее, бессонница, которую пациентка объясняет сложностью найти удобное положение в кровати. Со слов родственников, около 3 мес они наблюдают, что пациентка часто заходит в туалетную комнату — до 20 раз в день, но при этом может не совершать в ней каких-либо действий. Пациентка объясняет свой поступок как «захотела в туалет, но приду еще раз позже». При этом нарушений функций тазовых органов не отмечается. Считает, что заболела год назад (в 78 лет), когда впервые стала отмечать нарушение координации в виде шаткости при ходьбе, неустойчивости и падений, далее присоединилась скованность движений. Оценка двигательных функций по унифицированной шкале оценки болезни Паркинсона составила 58 баллов. Пациентке был выставлен диагноз «болезнь Паркинсона» и назначен противопаркинсонический препарат (леводопа+карбидопа 250/25 мг) по 1 таблетке 3 раза в сутки, однако эффект от препарата ощутила только в 1-й месяц приема, в виде некоторого уменьшения брадикинезии, снижения тонуса в конечностях, улучшения походки. В ходе наблюдения и лечения участковый невролог увеличил дозу препарата до 6 приемов в сутки, но значимого эффекта более не отмечалось. В 2019 г. у пациентки участились падения назад и вперед, появились дополнительные движения рта с прикусом щек. Родственники отметили изменение мимики — «суровое» выражение лица, нарушения памяти, поведенческие расстройства, бессонницу. После проведения неврологического осмотра пациентка была направлена на стационарное обследование и лечение в клинику БГМУ.
Наследственный анамнез проследить не удалось, так как пациентка росла в детском доме, однако у нее есть родная сестра, у которой не зафиксировано неврологических нарушений. Объективное исследование: пациентка нормального питания (индекс массы тела 21,1 кг/м 2 ), рост 154 см, пропорциональное соотношение частей тела.
Неврологический статус: паралич взора, выражение лица пациентки с фиксированным взглядом вперед, приподнятыми бровями и нахмуренным лбом, положительный вестибулярный глазной рефлекс, положительные рефлексы орального автоматизма (Маринеску—Радовичи, хоботковый рефлекс), речь замедленная, «рычащая» дизартрия, мышечный тонус повышен по пластическому типу с двух сторон, преимущественно проксимально, олигобрадикинезия в конечностях. Умеренная пирамидная недостаточность с гиперрефлексией. Координаторные пробы выполняет с промахиванием с двух сторон. В пробе Ромберга неустойчива. Походка: брадибазия, постуральная неустойчивость с частыми падениями назад и вперед. Оромандибулярный гиперкинез. Ортостатическая проба отрицательная. Для исследования когнитивной сферы использованы нейропсихологические тесты: краткая шкала психического статуса — 24 балла, батарея тестов на лобную дисфункцию —7 баллов, Монреальская когнитивная шкала — 22 балла. При проведении нейропсихологического исследования выявлена умеренная степень деменции лобного типа.
Медперсоналом и родственниками зафиксировано повторяющееся поведение (пациентка так же, как и дома, ходила в туалетную комнату до 20 раз в день).
Проведенные стандартные клинико-лабораторные исследования соответствовали референтным значениям с учетом возраста пациентки.
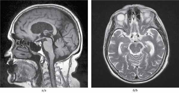
МРТ-исследование проведено на магнитно-резонансном томографе «Siemens» с напряженностью магнитного поля 1,5 Тл, с получением стандартных Т1- и Т2-взвешенных изображений (Т1-ВИ, Т2-ВИ) в фронтальной, аксиальной и сагиттальной плоскостях, с последующей оценкой визуальных изменений головного мозга (см. рисунок). Выявлены признаки атрофии среднего мозга с симптомами колибри в сагиттальной (см. рисунок, а) и Микки Мауса в аксиальной плоскостях (см. рисунок, б).

МРТ головного мозга 79-летней пациентки с ПНП.
а — Т1-взвешенное изображение, сагиттальная плоскость. Атрофия среднего мозга, сохранение объема моста и атрофия крыши среднего мозга. Симптом клюва колибри; б — Т2-взвешенное изображение на аксиальном срезе на уровне среднего мозга. Атрофия среднего мозга с формированием симптома Микки Мауса.
Учитывая прогрессирование заболевания в течение года, с постуральными нарушениями, акинетико-ригидным синдромом, параличом взора, дизартрией, умеренным когнитивным нарушением, стереотипными поведенческими нарушениями, данные МРТ головного мозга (атрофия среднего мозга), а также недавно возникший оромандибулярный гиперкинез на фоне приема противопаркинсонического препарата, выставлен диагноз «ПНП с леводопа-индуцированной дискинезией в виде оромандибулярного гиперкинеза».
Пациентке был отменен противопаркинсонический препарат, в результате чего дискинезия уменьшилась, через 2 нед и более не наблюдалась.
Пациентка дала информированное согласие на публикацию полученных результатов ее обследований и демонстрацию данных в печати.
Таким образом, ПНП является гетерогенным заболеванием с разнообразными клиническими фенотипами, диагностические критерии которых представлены Международным обществом по болезни Паркинсона и двигательным расстройствам в 2017 г. и являются основным руководством для практического врача. Однако атипичные проявления ПНП могут усложнить диагностику данного заболевания. Представленный клинический случай интересен сочетанием ПНП с леводопа-индуцированной дискинезией. К сожалению, на сегодняшний день нет патогенетического лечения ПНП, однако создание безопасной среды, персонифицированный подход и выбор оптимальной тактики ведения пациента в составе мультидисциплинарной бригады способствуют поддержанию качества жизни и его безопасности.
Прогрессирующий надъядерный паралич (ПНП)
Прогрессирующий надъядерный паралич - редкое нейродегенеративное заболевание с поражением центральной нервной системы, характеризующееся прогрессирующим нарушением произвольных движений глазами и вызывающее брадикинезию, мышечную ригидность с прогрессирующей дистонией аксиальных мышц, псевдобульбарный синдром и деменцию. Диагноз ставится на основе клинических данных. Лечение нацелено на облегчение симптомов.
Причина развития прогрессирующего надъядерного паралича остается неясной.
При этом заболевании наблюдается дегенерация нейронов базальных ядер и ствола головного мозга с наличием нейрофибриллярных клубочков, содержащих в себе избыточно фосфорилированный тау-протеин.
Симптомы и признаки ПНП
Симптомы прогрессирующего супрануклеарного пареза взора начинают появляться, как правило, в пожилом возрасте.
Первым симптомом может быть
Невозможность посмотреть вверх или вниз, не двигая головой, или трудности при подъеме или спуске с лестницы
Добровольные движения глаз, особенно при взгляде вниз, становятся затрудненными, но вертикальные рефлекторные движения глаз, вызванные пассивными движениями головы (сгибание шеи, разгибание), не нарушены.
Движения замедляются, мышцы становятся ригидными и развивается аксиальная дистония. Пациенты, как правило, падают назад.
Часто развиваются дисфагия и дизартрия с эмоциональной лабильностью (псевдобульбарным параличом), депрессия и нарушения сна. Может развиваться тремор в покое.
На поздних стадиях присоединяется деменция. Многие пациенты теряют способность к самообслуживанию уже в течение 5 лет и умирают примерно в течение 10 лет.
Синдром Ричардсона: классический прогрессирующий надъядерный паралич с прогрессирующей надъядерной офтальмоплегией и тяжелыми нарушениями равновесия (наиболее распространенная форма, в ≥ 70% случаев)
PSP-P: паркинсонический тип прогрессирующего надъядерного паралича, который реагирует на леводопу, что приводит к небольшому транзиторному улучшению
PSP-PAFG: характеризуется чистой акинезией с симптомом "замораживания" при ходьбе
PSP-PGF: характеризуется прогрессирующим симптомом "замораживания" при ходьбе
PSP-PNFA (PSP-SL): характеризуется прогрессирующей небеглой афазией или речевыми или языковыми нарушениями
PSP-AOS: характеризуется апраксией речи
PSP-FTLD (PSP-F): характеризуется лобно-височной дегенерацией
PSP-CBS: характеризуется кортикобазальным синдромом, вызывающим глубокие асимметричные симптомы
Другие возможные формы включают:
PSP-C: характеризуется мозжечковыми симптомами
PSP-PI: характеризуется постуральной нестабильностью
При других формах, кроме синдрома Ричардсона (неклассические формы [атипичный паркинсонизм]), развитие офтальмоплегии может быть отсрочено на годы.
Различные клинические типы прогрессирующего надъядерного паралича имеют различные характеристики (например, признаки паркинсонизма, кортикобазальный синдром, проблемы с речью, признаки лобно-височных дегенераций, акинезия, застывание при ходьбе).
Диагностика ПНП
Диагноз прогрессирующего надъядерного паралича устанавливается на основе клинической картины.
Обычно проводят МРТ для исключения других заболеваний. На поздних стадиях при МРТ выявляют характерное снижение размера среднего мозга, лучше всего видимое в среднесагиттальной проекции, вследствие которого средний мозг начинает напоминать по форме птиц колибри или императорских пингвинов. На аксиальных снимках, средний мозг может напоминать цветок вьюнка ( 2 Справочные материалы по диагностике Прогрессирующий надъядерный паралич - редкое нейродегенеративное заболевание с поражением центральной нервной системы, характеризующееся прогрессирующим нарушением произвольных движений глазами. Прочитайте дополнительные сведения ).
Справочные материалы по диагностике
1.Höglinger GU, Respondek G, Stamelou M, et al: Clinical diagnosis of progressive supranuclear palsy: The Movement Disorder Society criteria. Mov Disord (32) 6,:853–864, 2017. Epub 2017 May 3. doi: 10.1002/mds.26987
2. Adachi M, Kawanami T, Ohshima H, et al: Morning glory sign: a particular MR finding in progressive supranuclear palsy. Magn Reson Med Sci 3 (3):125–132, 2004.
Лечение ПНП
Лечение прогрессирующего супрануклеарного паралича направлено на облегчение симптомов, но оно неудовлетворительно. В редких случаях препараты леводопы и/или амантадин могут частично уменьшать выраженность мышечной ригидности. Физическая и профессиональная терапия может помочь увеличить подвижность и функционирование и уменьшить риск падений.
Поскольку прогрессирующий надъядерный паралич является смертельным заболеванием, то пациентам вскоре после диагностики заболевания следует рекомендовать сделать заблаговременное распоряжение Предварительные распоряжения Предварительные распоряжения являются юридическими документами, которые расширяют контроль человека над медицинскими решениями здравоохранения в случае если человек станет недееспособным. Они. Прочитайте дополнительные сведения . В этих распоряжениях должно быть указано, какого рода медицинскую помощь люди хотели бы получить в конце жизни.
Основные положения
Первыми симптомами классического прогрессирующего надъядерного паралича могут быть невозможность посмотреть вверх или вниз, не двигая головой, или трудности при подъеме или спуске с лестницы.
Различные клинические типы прогрессирующего надъядерного паралича имеют различные характеристики (например, признаки паркинсонизма, кортикобазальный синдром, проблемы с речью, признаки лобно-височных дегенераций, акинезия, застывание при ходьбе).
Диагностика основана на клинических проявлениях болезни, но для исключения других заболеваний следует проводить МРТ.
Необходимо сфокусироваться на облегчении симптомов; рассмотреть возможность применения леводопы и/или амантадина для уменьшения ригидности, а также назначать физическую и трудовую терапию.
Авторское право © 2022 Merck & Co., Inc., Rahway, NJ, США и ее аффилированные лица. Все права сохранены.
Прогрессирующий надъядерный паралич
ФГБОУ ДПО «Российская медицинская академия непрерывного профессионального образования» Минздрава России
ФГБУ ГНЦ «Федеральный медико-биологический центр им. А.И. Бурназяна» ФМБА России
ФГБОУ ДПО «Российская медицинская академия непрерывного профессионального образования» Минздрава России
ФГБУ «Государственный научный центр Российской Федерации — Федеральный медицинский биофизический центр им. А.И. Бурназяна» ФМБА России
Прогрессирующий надъядерный паралич
Журнал: Журнал неврологии и психиатрии им. С.С. Корсакова. 2021;121(5): 111‑119
ФГБОУ ДПО «Российская медицинская академия непрерывного профессионального образования» Минздрава России
Прогрессирующий надъядерный паралич (ПНП) является прогрессирующим нейродегенеративным заболеванием, которое характеризуется началом в возрасте старше 50 лет, синдромом паркинсонизма с ранним развитием постуральной неустойчивости, отсутствием или преходящей реакцией на препараты леводопы, а также нейропсихологическими нарушениями, дисфагией, дизартрией и глазодвигательными расстройствами. В обзоре приводится анализ современных данных по этиологии, клинической картине, дифференциальной диагностике заболевания, приведены критерии диагноза ПНП. Описана морфологическая картина и нейровизуализационные особенности головного мозга, а также современные представления о перспективах лечения. Значительный клинический полиморфизм, а также сходство с другими нейродегенеративными заболеваниями, проявляющимися синдромом паркинсонизма, усложняет диагностику ПНП. Установка точного диагноза позволяет определить прогноз и дальнейшую тактику ведения пациентов.
ФГБОУ ДПО «Российская медицинская академия непрерывного профессионального образования» Минздрава России
ФГБУ ГНЦ «Федеральный медико-биологический центр им. А.И. Бурназяна» ФМБА России
ФГБОУ ДПО «Российская медицинская академия непрерывного профессионального образования» Минздрава России
ФГБУ «Государственный научный центр Российской Федерации — Федеральный медицинский биофизический центр им. А.И. Бурназяна» ФМБА России
Дата принятия в печать:
В 1964 г. К. Ричардсон, Д. Ольшевский и Д. Стил впервые описали клинические и морфологические особенности 8 пациентов с прогрессирующим надъядерным параличом (ПНП) [1]. Особенностью клинической картины являлись паралич вертикального взора, быстро прогрессирующая постуральная неустойчивость, псевдобульбарный синдром и акинетико-ригидный синдром, преимущественно в аксиальной мускулатуре, деменция подкорково-лобного типа. В литературе уже имелись описания 51 подобного случая, из них 22 — с данными аутопсий, однако именно их классическая работа очень точно и полно отразила особенности заболевания и по-прежнему является интересной для специалистов.
ПНП относится к группе гетерогенных заболеваний, отличающихся от идиопатической болезни Паркинсона (БП) клиническими признаками, низкой реакцией или отсутствием терапевтического эффекта леводопы, а также неблагоприятным прогнозом.
В 2005 г. D. Willims и соавт. [2] проанализировали 103 случая подтвержденного ПНП, разделив их на 2 фенотипа. Классический синдром, описанный авторами в 1964 г., был назван синдромом Ричардсона, второй фенотип получил название ПНП-паркинсонизм. За последнее десятилетие были описаны также и другие варианты ПНП, названные атипичными.
Частота ПНП, по данным различных исследований, составляет 5—18 человек на 100 тыс. населения, но истинная распространенность этого заболевания до конца не известна [3, 4]. Ежегодная заболеваемость варьирует от 0,3 до 1,1 случая на 100 тыс. населения, с увеличением до 5,3 случаев у лиц старше 50 лет. Мужчины и женщины страдают ПНП примерно одинаково, однако при синдроме Ричардсона соотношение мужчин и женщин составляет 1:1,8 [5]. Средний возраст начала заболевания составляет 55—70 лет. Дебют заболевания начинается без явных предвестников, в последующем наблюдается вариабельное прогрессирование симптомов. Прогноз ПНП неблагоприятный, средняя продолжительность жизни после дебюта составляет около 7 лет [6]. Наиболее частая причина смерти — аспирационная пневмония.
Основными клиническими признаками ПНП являются:
1. Паркинсонизм, характеризующийся двусторонней и симметричной брадикинезией с преобладанием аксиальной ригидности и отсутствием реакции на препараты леводопы.
2. Псевдобульбарный синдром (дизартрия, дисфония, дисфагия, насильственный плач или смех).
3. Глазодвигательные нарушения: парез вертикального взора, который может отсутствовать в 50% случаев и редко является первым симптомом ПНП.
4. Лобный синдром: брадифрения, дефицит познавательных и исполнительных функций, палилалия, эхолалия, хватательный симптом, снижение вербальной беглости.
У больных ПНП достаточно рано появляются нейроофтальмологические нарушения, предшествующие параличу вертикального взора, нарушение способности подавления вестибулоокулярного рефлекса, отсутствие быстрой фазы оптокинетического нистагма, нестабильность фиксации взгляда, скачкообразные подергивания глазных яблок (дисфиксационные саккады), затуманивание зрения, неуверенность при инициализации движения глаз по команде, замедление и гипометрия саккад, снижение скорости и амплитуды произвольных движений глазных яблок, ограничение или отсутствие конвергенции глазных яблок, снижение частоты мигания, апраксия открывания и закрывания век, блефароспазм [7—9].
Когнитивные нарушения при ПНП проявляются замедленностью мышления, нарушением исполнительных функций — 80% [10], лобной или фронто-темпоральной деменцией — 30% [2], апраксией — 36% [10], апатией — 91% [6], депрессией — 50% [11].
Немоторные симптомы встречаются при ПНП не реже, чем при БП. Так, по данным сравнительного исследования F. Radicati и соавт., кардиоваскулярные симптомы при ПНП встречались в 50% случаев, тогда как при БП в 47%, нарушения сна и усталость отмечались в 92% случаев (при БП — в 89%), нарушения настроения и апатия — в 88% (при БП — в 69%), нарушение восприятия, галлюцинации — в 36% (при БП — в 27%), гастроинтестинальные симптомы — в 86% (при БП — в 71%), урологические — в 92% (при БП — в 72%)[12].
Клинические критерии диагностики ПНП были разработаны в 1996 г. (рис. 1) [7]. Согласно критериям, возможный диагноз ПНП требует либо паралича вертикального взора (вверх или вниз), либо замедления вертикальных саккад в сочетании с выраженной постуральной неустойчивостью и частыми падениями, развивающимися на первом году. Вероятный диагноз ПНП требует сочетания паралича вертикального взора и выраженной постуральной неустойчивости. Достоверный диагноз ПНП требует наличия клинически возможного или вероятного ПНП и гистологических изменений, типичных для ПНП.

Рис. 1. Клинические критерии диагностики ПНП.
В 2017 г. были разработаны новые клинические критерии ПНП, основанные на оценке уровня достоверности окуломоторной дисфункции, постуральной нестабильности, акинезии и когнитивной дисфункции. Однако эти критерии несколько сложны для использования в повседневной практике и могут с успехом применяться при проведении научно-исследовательских работ [13]. Эти клинические критерии при сопоставлении с данными при аутопсии мозга имеют высокую специфичность: от 95 до 100% для возможного и от 80 до 93% — для вероятного диагноза ПНП [14—16].
Следует отметить, что в обычной практике диагноз устанавливается спустя 3—4 г. после появления первых симптомов заболевания.
В последние годы описано несколько различных клинических фенотипов ПНП [17, 18].
Классический фенотип ПНП (синдром Ричардсона)
Наиболее характерный признак классического ПНП — паралич вертикального взора, особенно при взгляде вниз (парез взора вверх менее специфичен и возможен у пожилых больных с паркинсонизмом любой этиологии, в том числе и при БП). Однако в большинстве случаев паралич взора вниз развивается лишь спустя 2—3 года от начала болезни. До развития паралича взора у пациентов выявляются более легкие глазодвигательные нарушения: замедление и гипометрия вертикальных саккадических движений и нарушение плавности вертикальных следящих движений, а также нарушение подавления вестибулоокулярного рефлекса и отсутствие или замедление быстрой фазы оптико-кинетического нистагма в вертикальной плоскости [2, 19]. Характерной чертой ПНП является исключительная редкость мигания, иногда больные испытывают затруднения при произвольном открывании, реже закрывании глаз (апраксия открывания и закрывания глаз).
Помимо глазодвигательных нарушений для классического варианта ПНП характерны симметричный синдром паркинсонизма, преимущественного аксиальных отделов, отсутствие классического тремора покоя, раннее развитие постуральных нарушений с частыми падениями. На ранней стадии у таких больных не отмечается затруднений инициации ходьбы, уменьшение длины шага и площади опоры, как при БП. Затруднения больного скорее связаны с тем, что он не может правильно скоординировать движения туловища и нижних конечностей таким образом, чтобы не происходило резких смещений центра тяжести тела относительно площади его опоры. Голова и туловище больного нередко бывают отклонены кзади. Больной может неожиданно упасть на спину, даже не предпринимая попыток удержать равновесие. При ПНП больные чаще падают назад, хотя падения могут происходить в любую сторону [20, 21].
Кроме того, у пациентов с синдромом Ричардсона быстро развиваются грубые дизартрия и дисфагия, отмечается преобладание повышенного тонуса мышц — разгибателей спины с формированием ретроколлиса, умеренная пирамидная недостаточность с гиперрефлексией и патологическими стопными рефлексами, развивается деменция с выраженными чертами лобной психики, речевыми персеверациями с повторением слов, слогов и целых фраз [22].
Фенотип ПНП-паркинсонизм
Для этого фенотипа характерно более благоприятное течение [17]. У таких пациентов часто присутствуют асимметричный тремор, брадикинезия, ригидность, умеренный эффект леводопы, при этом отмечается более медленный темп прогрессирования заболевания, чем при классическом фенотипе Ричардсона, что на ранних этапах клинически схоже с БП, и дифференциальная диагностика затруднена [23]. Однако присоединение в последующем лекарственных дискинезий, вегетативных нарушений, зрительных галлюцинаций более характерно для БП, чем для ПНП [18].
Фенотип ПНП-акинезия с застываниями при ходьбе
Для этого фенотипа характерны прогрессирующие застывания при ходьбе, изолированные расстройства ходьбы в течение нескольких лет, лишь затем присоединяются другие типичные проявления ПНП. В течение первых 5 лет для этого фенотипа не характерны тремор, ригидность, деменция, ограничение вертикального взора [17].
Фенотип ПНП-кортикобазальный синдром
При этом редком фенотипе отмечаются прогрессирующая асимметричная ригидность конечностей, апраксия, миоклонии, синдром «чужой» конечности, дистония и низкий эффект препаратов леводопы. Прижизненная дифференциальная диагностика невозможна, по рекомендации Международного общества расстройств движений, следует рассматривать этот фенотип как возможный диагноз ПНП [13].
Фенотип ПНП с нарушениями речи
Этот фенотип является клиническим вариантом первичной прогрессирующей афазии, характеризуется нарушением грамматизма речи, ее прерывистостью с искажением слов (речевая апраксия), лишь в последующем присоединяются другие моторные симптомы ПНП [24].
Фенотип ПНП с лобными симптомами (поведенческий вариант)
Для этого редкого фенотипа характерны симптомы поведенческого варианта лобно-височной деменции в течение нескольких лет до появления моторных симптомов ПНП. В клинической картине доминируют личностные расстройства, асоциальное поведение, когнитивные нарушения [25].
Фенотип ПНП с мозжечковой атаксией
Фенотип характеризуется церебеллярной атаксией в качестве первых симптомов заболевания, лишь затем присоединяются характерные симптомы ПНП. В первые годы болезни необходимо проводить дифференциальную диагностику с мультисистемной атрофией, однако для этого фенотипа не характерны выраженные вегетативные нарушения [26].
Клинические варианты ПНП, их примерная частота и соответствующие им патоморфологические нарушения представлены в табл. 1 [27—34]. Пациенты с различными фенотипами, кроме классического фенотипа ПНП (синдром Ричардсона), составляют 76% [28]. Продолжительность жизни при различных фенотипах ПНП значительно отличается.
Таблица 1. Клинические варианты ПНП [27—34]
Примерная частота встречаемости от всех случаев ПНП, %
Средняя продолжительность жизни (годы)
Ранняя постуральная нестабильность, падения, супрануклеарный паралич, аксиальная ригидность, дизартрия, дисфагия, прогрессирующая деменция
Зубчатое ядро, стриатум, бледный шар, средний мозг, верхняя ножка мозжечка
Тремор, ригидность, брадикинезия, наличие ответа на леводопу, позднее развитие когнитивных нарушений
Черная субстанция, субталамическое ядро
Дистония, апраксия, речевая апраксия, корковые расстройства чувствительности
Лобная и теменная кора
ПНП-акинезия с застываниями
Ранние нарушения ходьбы, застывания, микрография, нарушения речи, гипофония, течение заболевания — до 11—15 лет
Моторная кора, мост, мозжечок
ПНП-поведенческий вариант лобно-височной деменции
Когнитивные и поведенческие расстройства, поздний паркинсонизм
ПНП-боковой амиотрофический склероз
Слабость бульбарных мышц, мышц конечностей, спастичность
Лобная кора, кортикоспинальный тракт
Процент смертности в течение 5 лет наблюдения за больными с разными фенотипами ПНП составил: при ПНП-Ричардсона — 29,2%, при ПНП-постуральных нарушениях — 16,7%, при ПНП-паркинсонизме — 5,3%, при ПНП-кортико-базальном синдроме — 28,6%, при ПНП-фронтотемпоральной деменции — 33,3% [28].
Таким образом, фенотипический спектр ПНП значительно более широкий и вариабельный, чем было представлено ранее в отдельных исследованиях. Слишком жесткие клинические критерии, определяющие фенотипы ПНП, могут не отражать всей их вариабельности. Более целесообразно использовать в клинической практике преимущественные варианты ПНП (в течение первых 2 лет заболевания), что может помочь в ранней диагностике и определении прогноза течения заболевания у этих пациентов.
Для определения степени тяжести ПНП и темпа прогрессирования заболевания в научно-клинических исследованиях применяется рейтинговая шкала, которая содержит 6 разделов. Она состоит из вопросов сбора анамнеза, оценки психического состояния, оценки функции бульбарных нервов, оценки надъядерных механизмов движения глаз, оценки функций конечностей, оценки походки/отклонений положения тела от срединной линии [34].
Морфологические изменения при ПНП
ПНП относится к группе таупатий — нейродегенеративных заболеваний, характеризующихся отложением в клетках головного мозга патологически фосфорилированного тау-протеина — низкомолекулярного белка, который является компонентом нейронального цитоскелета. Функцией тау-белка является полимеризация тубулина в процессе сборки микротрубочек, которые являются транспортной системой клетки [35].
При ПНП тау-протеин отделяется от микротрубочек, аномально фосфорилируется, накапливается в цитоплазме и становится токсичным для клеточных мембран, превращаясь в нейрофибриллярные клубочки, которые и определяются под микроскопом. В результате этого процесса нарушается транспорт по микротрубочкам, нарушаются контакты между нейронами и происходит гибель клеток [36].
Ген человеческого тау-белка расположен на хромосоме 17q21 и содержит 16 экзонов — участков гена ДНК, несущих генетическую информацию о структуре белка. В человеческом мозге найдено 6 различных изоформ тау-протеина, генерирующихся поочередным сплайсингом (склеиванием) экзонов 2, 3 и 10. Они разделяются на две группы, отличающиеся по наличию 3 или 4 повторяющихся доменов (3R и 4R), связанных с микротрубочками. В здоровом мозге тау-протеин формируется с 3 повторами, тогда как при ПНП имеется соотношение 3:1 в пользу белка с 4 повторами. Достижения в области нейронаук в течение последних десятилетий привели к открытию того, что анормальный гиперфосфорилированный 4R -изоформный микротубулоассоциированный тау-протеин (hp4R-MAPT) накапливается в нейронах и глиальных клетках коры, подкорковых ядрах, стволе и мозжечке [37].
Отличительный морфологический признак ПНП — появление в астроцитах hp4R-MAPT («астроциты с хохолком») в стриатуме и лобной коре (поля 6 и 8 по Бродману) [38]. При ПНП гибель нейронов, глиоз и накопление тау-протеина происходит в нейронах и глиальных клетках лобной коры, черной субстанции, стриатума, бледного шара, субталамического ядра, ядер ствола мозга (ростральное интерстициальное ядро медиального продольного пучка, интерстициальное ядро Кахала, ядро Даркшевича, ядро Эдингера-Вестфаля, верхние бугорки четверохолмия, педункулопонтинное ядро, ядра шва, голубое пятно) [39]. Т-позитивные пучковидные астроциты являются характерным морфологическим признаком ПНП [40].
Следует отметить, что гетерогенность форм ПНП коррелирует и с морфологическими изменениями в головном мозге [39]. Более выраженное отложение тау-протеина в коре мозга отмечается при фенотипах ПНП-кортикобазальный синдром, ПНП-лобно-височная деменция. При фенотипах ПНП-паркинсонизм и ПНП-акинезия с застываниями преобладает патология субталамического ядра и черной субстанции. Клинико-морфологические корреляции при ПНП представлены в табл. 2 [39—41].
Таблица 2. Клинико-морфологические корреляции при ПНП [39—41]
Прогрессирующий надъядерный паралич ( Прогрессирующая надъядерная офтальмоплегия , Синдром Стила-Ричардсона-Ольшевского )
Прогрессирующий надъядерный паралич — это дегенеративное церебральное заболевание с преимущественным поражением среднего мозга, ядерно-корковых путей, подкорковых образований. Составляющими клинической картины выступают акинетико-ригидная форма паркинсонизма, атаксия, офтальмоплегия, когнитивное снижение, псевдобульбарный синдром. Диагностика осуществляется по клиническим данным, результатам церебральной МРТ и цереброваскулярных исследований. В терапии препаратами выбора являются леводопа, мемантин, антидепрессанты из группы ингибиторов обратного захвата серотонина.
МКБ-10
Общие сведения
Прогрессирующий надъядерный паралич (ПНП) — дегенеративное поражение головного мозга неясной этиологии. Наряду с болезнью Альцгеймера, мультисистемной атрофией, кортикобазальной дегенерацией, болезнью Пика, ПНП относится к таупатиям, характеризующимся образованием включений тау-протеина в нейронах и глиальных клетках. Прогрессирующий надъядерный паралич впервые был подробно описан в 1963-64 годах канадскими неврологами Стилом и Ричардсоном в соавторстве с патоморфологом Ольшевским, в честь которых носит название синдром Стила-Ричардсона-Ольшевского. Распространённость заболевания согласно различным информационным источникам варьирует в пределах 1,4-6,4 случая на 100 тыс. населения. Манифестация клинической симптоматики приходится на возрастной период от 55 до 70 лет, с возрастом вероятность развития заболевания увеличивается. Лица мужского пола в большей степени подвержены болезни по сравнению с женщинами.
Причины ПНП
Этиофакторы, запускающие дегенеративные процессы определённой церебральной локализации, остаются неизвестными. Большинство случаев болезни имеют спорадический характер. Отдельные семейные варианты с предположительным аутосомно-доминантным наследованием были выявлены после 1995 года. Молекулярно-генетические исследования показали, что некоторые формы ПНП обусловлены дефектами кодирующего тау-белок гена, локализованного в локусе 17q21.31. Наиболее вероятным представляется мультифакторный механизм возникновения патологии, реализующийся на фоне генетической предрасположенности.
Патогенез
Ведущим патогенетическим механизмом считается дисметаболизм церебральных внутриклеточных белков, сопровождающийся избирательной агрегацией отдельных белков (тау-протеина, убиквитина) в определённых группах мозговых клеток. Патологические включения нарушают жизнедеятельность нейронов, запускают процесс деградации и запрограммированной гибели (апоптоза). Дегенеративные изменения носят селективный характер, распространяются преимущественно на средний мозг, зубчатые мозжечковые ядра и подкорковые структуры: черную субстанцию, бледный шар, таламус, ретикулярную формацию, субталамическое ядро. В меньшей степени поражается кора префронтальных и височных зон.
Патоморфологическая картина ПНП представлена наличием нейрофибриллярных клубочков, глиальных включений, нитевидных белковых образований в нейронах указанных церебральных структур. Макроскопически определяется атрофия среднего мозга с существенным уменьшением его сагиттального размера. Поражение среднего мозга обуславливает надъядерный паралич глазодвигательной мускулатуры, дегенерация кортико-бульбарных трактов — псевдобульбарные проявления. Нейрохимические исследования выявляют пониженную концентрацию дофамина в стриатуме, лежащую в основе паркинсонического симптомокомплекса.
Симптомы ПНП
Прогрессирующий надъядерный паралич характеризуется неспецифичным клиническим дебютом. Симптоматика этого периода представлена непривычной утомляемостью, сниженной работоспособностью, цефалгиями, головокружением, пониженным настроением, сужением круга интересов, нарушениями сна, включающими бессонницу ночью и гиперсомнию днём. В последующем присоединяются симптомы акинетико-ригидного паркинсонизма. Постуральный тремор у большинства пациентов отсутствует. Мышечная ригидность выражена преимущественно в аксиальной мускулатуре — мышцах, идущих вдоль шейного отдела позвоночника, соединяющих его с черепом. Больные жалуются на скованность в шее, спине. Повышение тонуса в задних мышцах шеи приводит к типичному «горделивому» положению головы пациента. Характерна паркинсоническая атаксия, обусловленная расстройством координации положения туловища и нижних конечностей относительно центра тяжести. Затруднения в поддержании равновесия в процессе ходьбы приводят к частым падениям назад.
Отличительной особенностью ПНП выступает офтальмоплегия, возникающая в среднем спустя 2-3 года от дебюта заболевания. На фоне замедленного движения глазных яблок происходит паралич взора в вертикальной плоскости, пациент не может опустить глаза вниз. Из-за редкого моргания больной ощущает дискомфорт, жжение в глазах. Возможны расплывчатость зрения, расстройство конвергенции, блефароспазм. Прогрессирующий надъядерный офтальмопарез сопровождается ограничением взора вниз и вверх, со временем может приводить к глазодвигательным нарушениям в горизонтальной плоскости. При развитии полной офтальмоплегии формируется ретракция верхних век, что придаёт лицу удивлённое выражение.
В клинической картине ПНП относительно рано возникают псевдобульбарные проявления: дизартрия, дисфагия, насильственный плач или смех. Происходят изменения личностно-эмоциональной сферы, больные становятся замкнутыми, апатичными, демотивированными, безразличными. Когнитивные нарушения в большинстве случаев присоединяются в разгаре болезни, в 10-30% случаев — на стадии дебюта. Характерно интеллектуальное снижение, расстройства абстрактного мышления и памяти, зрительно-пространственная апраксия, элементы агнозии. Деменция наблюдается у 60% пациентов с 3-летним стажем заболевания.
Осложнения
В начальном периоде падения больного без возможности скоординировать свои движения приводят к ушибам и переломам. Спустя несколько лет прогрессирующий олигобрадикинетический синдром приковывает пациентов к постели. При отсутствии должного ухода обездвиженность опасна развитием контрактур суставов, пролежней, застойной пневмонии. Прогрессирующий псевдобульбарный паралич обуславливает попёрхивание пищей с риском асфиксии, аспирационной пневмонии. Ночные апноэ могут стать причиной внезапной смерти во сне. Серьёзным осложнением является присоединение интеркуррентных инфекций (пневмонии, цистита, пиелонефрита), поскольку на фоне сниженного иммунитета существует высокий риск развития сепсиса.
Диагностика
Вероятными ранними критериями ПНП являются начало после 40-летнего возраста, прогрессирующий характер, парез горизонтального взора, выраженная постуральная неустойчивость с эпизодами падений. Постановка достоверного диагноза возможна при наличии гистологически подтверждённых патогномоничных для ПНП изменений в тканях мозга. Перечень необходимых диагностических исследований включает:
- Осмотр невролога. В неврологическом статусе ведущим синдромом является симметричная олигобрадикинезия. Наблюдается гипомимия, ретроколлис (патологическая установка шеи), парез вертикального взора, симптомы орального автоматизма, повышение сухожильных рефлексов. Выражена постуральная неустойчивость.
- Нейропсихологическое тестирование. Проводится психиатром, нейропсихологом с использованием специальных тестов, заданий (шкалы MMSE, MоCА, теста рисования часов). Требуется для оценки наличия и степени выраженности когнитивного снижения. Надъядерный паралич проявляется замедленным мышлением, быстрой истощаемостью, умеренной выраженностью интеллектуальных нарушений.
- МРТ головного мозга. Выявляет расширение III желудочка, атрофические изменения среднего мозга, базальных ганглиев, премоторных зон лобной коры и височных областей. Позволяет исключить внутримозговую опухоль, энцефалит, рассеянный склероз, инсульт.
- Оценку церебральной гемодинамики. Данные о кровоснабжении мозга могут быть получены путём дуплексного сканирования, УЗДГ, МРТ сосудов. Необходимы для исключения дисциркуляторной энцефалопатии, сосудистого паркинсонизма, сосудистой деменции.
Дифференциальная диагностика осуществляется с болезнью Паркинсона, вторичным паркинсонизмом травматической, инфекционной, токсической, сосудистой этиологии, деменциями альцгеймеровского типа, поздней формой нейроакантоцитоза. От классической болезни Паркинсона надъядерный паралич отличается симметричностью паркинсонизма с момента его появления, быстрым развитием когнитивных расстройств, офтальмоплегией, ретроколлисом, выраженной атаксией, малым эффектом дофаминергической терапии. Достоверно дифференцировать прогрессирующий надъядерный паралич от прочих таупатий можно по особенностям патоморфологических изменений.
Лечение ПНП
Эффективная терапия, способная остановить прогрессирующий дегенеративный процесс, пока не найдена. Осуществляется симптоматическое лечение, направленное на облегчение состояния пациента. Проведенные фармакотерапевтические исследования не сопровождались плацебо-контролем, слабо доказывают эффективность медикаментозной терапии. В лечении когнитивных нарушений возможно применение мемантина, ингибиторов ацетилхолинэстеразы, для коррекции психоэмоциональной сферы — антидепрессантов с психоактивирующим действием (флуоксетина, пароксетина).
Большинство неврологов считают необходимым назначение стартовой дофаминергической терапии. У половины больных наблюдается определённое облегчение состояния на фоне приёма препаратов леводопы, однако данный эффект длится не более двух лет. Противопаркинсонические фармпрепараты прочих групп (ингибиторов МАО, агонистов дофаминовых рецепторов, ингибиторов КОМТ) не показали своей эффективности.
Прогноз и профилактика
При надъядерном параличе наблюдается безостановочное прогрессирование симптоматики. Проводимая терапия не оказывает существенного эффекта на течение болезни. Продолжительность жизни пациентов колеблется в пределах 5-15 лет. Летальный исход обусловлен интеркуррентными инфекциями, затяжным апноэ сна, аспирационной пневмонией. В связи с отсутствием ясного понимания этиологии и патогенеза нозологии разработка профилактических мероприятий не представляется возможной, исследования заболевания и методов его лечения продолжаются.
1. Клинические особенности надъядерного паралича/ Валикова Т.А., Алифирова В.М., Пугаченко Н.В., Цыренжапова Р.Б., Бичик А.Б.// Бюллетень сибирской медицины – 2009. - №3 (2).
2. Cлучай прогрессирующего надъядерного паралича с кортикобазальным синдромом/ Федотова Е.Ю., Чечеткин А.О., Иванова-Смоленская И.А., Иллариошкин С.Н.// Атмосфера. Нервные болезни. – 2009 - №2.
3. Трудности диагностики прогрессирующего надъядерного паралича/ Ситкали И.В., Раздорская В.В.// Бюллетень медицинских интернет-конференций. – 2015 – Т.5, №4.
4. Трудности дифференциальной диагностики прогрессирующего надъядерного паралича и болезни Паркинсона/ Магжанов Р.В., Давлетова А.И., Ибатуллин Р.А., Туник В.Ф., Идрисова Р.Ф., Бахтиярова К.З.// Анналы клинической и экспериментальной неврологии. – 2016.
Читайте также:
