Протез. Все о протезе и протезном ложе в стоматологии
Добавил пользователь Евгений Кузнецов Обновлено: 07.01.2026
Съёмные протезы помогут Вам улучшить пережевывание пищи, а также восстановить красивый внешний вид зубных рядов. Воспринимайте эту конструкцию как неотъемлемую часть Вашего здоровья. Как правило, для привыкания к ним требуется определённое время. Рекомендации, которые вы прочтёте далее, помогут вам сократить этот период и научат вас правилам ухода за данными ортопедическим конструкциями.
Как долго длится привыкание к съёмным протезам
В среднем, 30 дней. Вначале использования съемные протезы ощущаются как инородное тело и могут вызывать дискомфорт. Они могут нарушать образование звуков (дикцию), вызывать повышенное слюноотделение, изменение вкусовых и температурных ощущений, затрудненное откусывание и разжевывание пищи. Иногда при наложении съемных протезов могут возникать позывы к рвоте. Также возможна неудовлетворительная фиксация протезов или попадание остатков пищи под них, прикусывание щек, губ, языка. Все эти явления уменьшаются к концу первой недели ношения протеза и исчезают через 3-4 недели. После периода адаптации пациент уже комфортнее чувствует себя с протезами, чем без них.
Главным условием скорейшего привыкания к протезам является их постоянное использование. Правила и рекомендации ниже помогут вам сократить период адаптации.
Как быстрее привыкнуть к новым протезам
Каковы главные правила при пользовании съёмными протезами
Протезы должны быть чистыми. После каждого приема пищи их следует вынимать из полости рта и тщательно промыть водой с мылом.
Следует беречь съемные зубные протезы от механических и химических повреждений, а также от воздействия высоких температур. При появлении в съемном зубном протезе трещин или поломок пользоваться им нельзя, надо обратиться к врачу для ремонта.
Не делайте перерывы в ношении протеза более полутора-двух недель, т.к. это может привести к появлению первоначальных неприятных ощущений, которые могут затруднить установку протеза точно на место. Как правило, если протезом не пользоваться более месяца, он приходит в негодность и требуется изготавливать новый.
Что такое коррекция протеза и когда нужно её делать
После наложения съемных зубных протезов в полости рта, как правило, появляются болевые ощущения в некоторых участках под ним. Это обусловлено неизбежным постепенным оседанием (давлением) съемного зубного протеза на слизистую оболочку. Данный фактор невозможно полностью учесть при конструировании данных ортопедических конструкций, поэтому для устранения неприятных ощущений необходимо проведение коррекции. Она заключается в «подтачивании» протезов в тех участках, где он наминает слизистую оболочку полости рта.
Первую коррекцию необходимо проводит на следующий день после начала пользования протезами. Последующие 3-4 коррекции необходимо провести на протяжении полутора-двух недель по мере необходимости. Возможно, потребуется большее количество посещений стоматолога после сдачи работы (вплоть до 10).
При сильных болях нужно снять зубные протезы и положить их в специальный контейнер или стакан с водой. Перед тем, как идти к врачу на коррекцию, протезы обязательно нужно надеть и походить с ними не менее 3-4 часов. Это позволит врачу увидеть четкий отпечаток на слизистой оболочке и скорректировать только то место, которое натирает десну. Приносить протез в кармане и показывать в рот пальцем бесполезно. В съёмных зубных протезах каждый сантиметр, а иногда и миллиметр опорной поверхности имеет большое значение. При неточной коррекции возможно нарушение фиксации протеза. Именно это случается, если пытаться самостоятельно подшлифовать или подпилить протезы. После коррекции (поправки) съёмных протезов необходимо 1 день не пользоваться ими. В этот период (в период заживления намина) желательно полоскать рот и делать ванночки (держать раствор во рту на месте намина) отварами трав. Используйте отвар цветков ромашки, коры дуба и др. Например, взять 0,5 столовые ложки сухой коры дуба, заварить в одном стакане кипятка, охладить, применять отвар 3-5 раз в день. Также можно использовать лекарственные средства, например гель «Камистад», продающийся в аптеках.
Не стесняйтесь ходить к вашему стоматологу с поправками. Съемные протезы, даже если они изготовлены самым тщательнейшим образом, требуют коррекции. Даже если вы не испытываете никаких болевых ощущений и неудобств необходимо прийти к стоматологу для осмотра полости рта.
Что делать, если протез натирает десну
Необходимо записать к вашему стоматологу на коррекцию протеза. Помните, что во время привыкания к протезам (2-4 недели) они могут давить на слизистую оболочку полости рта и вызывать дискомфорт. При сильных болях Вы можете снять ортопедическую конструкцию и положить её в стакан с водой. Перед тем, как идти к врачу на коррекцию, протезы обязательно нужно надеть и походить с ними не менее 3-4 часов.
Какую пищу не рекомендуется есть съёмными протезами
Необходимо избегать приема вязкой, липкой пищи (жевательная резинка, ириски), так как она может нарушать фиксацию протеза в полости рта. Не следует жевать или грызть твёрдую пищу (орехи, сухари, лёд): это может привести к поломке протеза или отколу искусственного зуба.
Как ухаживать за съёмными протезами
Большое значение на срок привыкания (адаптацию) и срок эксплуатации протезов имеет правильный уход за ними. Съемные зубные протезы нуждаются в регулярной очистке. Оптимальный вариант — это ежедневная чистка протезов после каждого приёма пищи под проточной водой. Обязательный минимум — чистка протеза перед сном. Главный критерий — протез должен быть таким же чистым, как в первый день. Чем чище протез, тем комфортней вы будете ощущать его в полости рта.
При чистке протеза отбеливающей зубной пастой на нём могут образовываться царапины, способствующие быстрому накоплению налета на протезе, т.к. такие пасты содержат абразивные вещества, поэтому для ежедневного ухода можно использовать слабый мыльный раствор.
Грязные съемные зубные протезы являются причиной их быстрого изнашивания и воспалительных процессов в полости рта. При воспалении слизистой оболочки в местах соприкосновения со съемным зубным протезом, болезненности, жжении необходимо срочно обратиться к врачу. От крепкого чая, кофе и курения съемные зубные протезы теряют свой вид, желтеют, на них появляется коричневый налет. При хорошем уходе съемные зубные протезы сохраняют свой цвет и блеск долгое время.
Показателем хорошего ухода является отсутствие пищи и налета на протезе. Чтобы удалить пигментные пятна от кофе и никотина и т.п., которые могут появиться со временем, надо обратиться к врачу. Зубной техник восстановит необходимую полировку и блеск.
Для очистки зубных протезов можно воспользоваться специальными очищающими средствами, продающимися в аптеках («President», «Сorega», «Рrotefix»). Также они помогают избавиться от налёта и уничтожают бактерии, вызывающие неприятный запах изо рта. В стакан с чистой водой помещается протез и опускается таблетка, протез выдерживается в растворе определенное время, рекомендуемое фирмой-производителем.
Где и как хранить съёмные протезы
Съёмные протезы должны всё время находиться во влажной среде: либо в полости рта, либо в специальном контейнере с очищающим раствором или стакане с кипяченой водой.
Нужно ли снимать протезы ночью
Первые 2 недели, чтобы «привыкнуть» к протезам, не снимайте их на ночь. В дальнейшем поступайте так, как вам удобнее: либо не снимайте протезы, либо храните их в специальном контейнере. При нарушении сна, дыхания, появления боли, скрежете зубами, съемные протезы на ночь надевать не рекомендуется и следует посоветоваться с врачом.
Как улучшить фиксацию съёмных протезов
Не всегда анатомические условия в полости рта позволяют создать хорошую фиксацию для съёмных протезов. Особенно, это касается протезирования полного отсутствия зубов на нижней челюсти. При неблагоприятных условиях для удержания во рту используются специальные фиксирующие средства в виде кремов, фиксирующих прокладок, порошков. Они продаются под марками «President», «Сorega», «Рrotefix» в любой аптеке.
Фиксирующий крем наносится тонкой прерывистой линией на протез. Перед нанесением крема съёмные протезы необходимо высушить, например ватным тампоном. Фиксирующий порошок используется при малом слюноотделении. Он наносится тонким слоем на влажный протез, после чего съёмные протезы можно надевать. С выбором фиксирующего средства поможет определиться ваш стоматолог.
Что делать в случае поломки протеза
В процессе использования съемных протезов может произойти перелом протеза или отдельных его частей (зуб, кламмер). В этом случае необходимо обратиться к врачу-стоматологу. При утрате зуба (зубов), за который удерживаются или опираются частичные съемные протезы, возможна приварка искусственного зуба к протезу на место утраченного своего. Починка съемного протеза занимает 2-3 дня. Починка производится без гарантии.
В случае появления трещин, переломов и т.п. не пытайтесь починить протез сами, даже если срочно. Починкой протеза занимаются только специалисты.
Изготовление новых съемных протезов занимает около 1 недели. Гарантийный срок на пластмассовые съемные и бюгельные протезы обычно до 1 год. В течение гарантийного срока протез ремонтируется или переделывается бесплатно. По истечении гарантийного срока работа оплачивается полностью.
Существуют ли альтернативы съёмным пластиночным протезам
Да, это имплантация. Это современный и надёжный способ лечения, который позволит либо полностью отказаться от съёмных конструкций, либо значительно улучшить их фиксацию в полости рта.
Сколько служат съёмные пластиночные протезы
Как правило, подобные ортопедические конструкции служат 2-3 года. Дальше требуется изготавливать новые протезы. Это связано с тем, что происходит атрофия костной ткани под протезом. В результате нарушается его фиксация. Также снижается высота нижнего отдела лица из-за чего углубляются морщины на лице.
В каких случаях необходимо обратиться к стоматологу
Если вы заметили жжение слизистой оболочки, сильную сухость во рту, сыпь на коже и прочие необычные симптомы, необходимо обратиться к стоматологу, который при необходимости направит вас к врачу-аллергологу для постановки аллергологических проб.
Раз в год необходимо делать перебазировку съемного протеза. Дело в том, что во время ношения протеза под ним происходит атрофия слизистой оболочки и костной ткани. Из-за этого между протезом и слизистой возникает пустота и протез неплотно прилегает к протезному ложу. Чтобы устранить эти негативные моменты производится перебазировка протеза — на место образовавшейся вследствие атрофии пустоты накладывается пластмасса и восстанавливается плотное прилегание протеза. Если перебазировку съемного протеза делать не вовремя или не делать вообще, съемный протез приходит в негодность.
Не реже 2-х раз в год посещайте врача-стоматолога, консультируйтесь с ним об особенностях ухода за Вашей полостью рта, используйте при необходимости рекомендованные им специальные приспособления и препараты!
Напутствие
Помните, что съёмные протезы помогут Вам восстановить эстетические качества зубных рядов, а также пережевывание пищи. Воспринимайте эту конструкцию как неотъемлемую часть Вашего здоровья. Пользуйтесь ими и регулярно ухаживайте за протезами, придерживаясь вышеизложенных рекомендаций.
Ортопедическая стоматология
Ортопедическая стоматология - это раздел стоматологии, посвященный лечению и диагностике функции зубочелюстной системы и нарушений целостности путем протезирования.
Современная ортопедическая стоматология занимается протезированием зубов и лечением челюстно-лицевой области.
Наша поликлиника оказывает следующие ортопедические услуги:
- Изготовление металлокерамических протезов
- Изготовление несъемных протезов из стали и хромокобальтового сплава с различными видами покрытий (нитрид-титан и нитрид-цирконий)
- Изготовление несъемных протезов из сплавов драгоценных металлов
- Изготовление бюгельных протезов из хромокобальтового сплава
- Изготовление съемных пластиночных протезов из пластмассы и нейлона
- Изготовление и реставрация аттачменов
- Микропротезирование
Металлокерамические протезы
Металлокерамические конструкции в настоящее время являются наиболее совершенным видом несъемных протезов. В качестве основы используют металлический каркас, что позволило решить проблемы излишней хрупкости керамики. На наружную поверхность металла послойно наносится керамика и прочно удерживается путем спекания. В результате коронка из металлокерамики получается надежной, долговечной и очень красивой. Кроме того, выглядит как настоящий здоровый зуб.


Преимущества металлокерамики:
- Отличная эстетика. Используя металлокерамику можно добиться полного соответствия искусственных зубов натуральным.
- Совершенная функция. Металлокерамическими искусственными зубами можно отлично пережевывать пищу, так же как и своими зубами, а в некоторых случаях даже лучше.
- Хорошая гигиена. На металлокерамике в несколько раз меньше оседает микробный налет, чем на своих зубах или на металле. Следовательно, металлокерамические зубы более "гигиеничные". Это особенно важно пациентам с пародонтитом.
- Долговечность. Металлокерамика очень точно одевается на зуб. Следовательно, между коронкой и зубом пища и слюна не попадают, кариес под коронкой не развивается.
- Универсальность. С помощью металлокерамики, возможно протезировать от простых до самых сложных деформаций зубочелюстной системы с одинаковым успехом и долгосрочным благоприятным прогнозом.
- Хорошее отношение к десне. Металлокерамическая коронка никогда не вызовет изменений в десне. Десна не будет кровоточить, не изменит свой цвет, не изменит контур.
Несъёмные зубные протезы
Несъёмные зубные протезы - это конструкции разных видов и вариантов, состоящие из одного или нескольких замещающих искусственных зубов, которые прикреплены к соседним (здоровым) при помощи фиксирующих элементов (коронок, вкладок, замков).
К несъемным протезам относят:
- Мостовидные протезы
- Вкладки с последующим покритием коронкой
- Коронки
Несъемный мостовидный протез (мост) - это конструкция, состоящая из одного или нескольких искусственных зубов, замещающих отсутствующие зубы и прикрепленных к соседним естественным зубам при помощи фиксирующих элементов (коронок, вкладок). Одна или обе стороны мостовидного протеза также могут опираться на имплантат. При жевании вся нагрузка передается на опорные зубы и/или имплантаты.

Коронки на основе драгоценных металлов - это коронкииз из золота и сплавов таких лигатурных металлов как - платины, палладия, серебра, меди.
Полученные сплавы полностью отвечают самым высоким требованиям мировой практики зубопротезирования и имеют целый ряд достоинств:
основа зубных коронок не подвергается коррозии;
- на золотосодержащие материалы не бывает аллергии;
- такие несъемные зубные протезы не просто не вызывают, а лечат воспаления десен;
- зуные коронки из драгоценных металлов требуют минимальной обработки зуба перед установкой.
Съёмные зубные протезы
Бюгельное протезирование зубов один из наиболее прогрессивных в современной стоматологии методов восстановления зубного ряда.
Бюгельный протез - это съемная стоматологическая конструкция, которая отличается от традиционного протеза тем, что жевательная нагрузка здесь приходится не только на опорные зубы, но и распределяется по всей челюсти, благодаря специальному металлическому дуговому каркасу из легкого и прочного сплава.
Распределение жевательной нагрузки на всю челюсть позволяет бюгельному протезу щадить все зубы, сохранять нормальные жевательные способности, и даже предотвращать дальнейшее расшатывание зубов.
- Возможность полноценного протезирования, даже если в зубном ряду осталось всего несколько прочных зубов.
- Высокая прочность и долговечность бюгельного протеза.
- Быстрое привыкание к протезу, так как он не закрывает неба.
- После установки протеза не нарушается дикция.
Съемные конструкции пластиночных протезов применяются при полном отсутствии зубов (полный съемный пластиночный протез), а также при частичной потере зубов, если имеются большие дефекты зубного ряда или нет достаточного количества опорных зубов для изготовления несъемных протезов (частичный съемный пластиночный протез).
Съемный пластиночный протез состоит из базиса, искусственных зубов и механических приспособлений (кламмеров, аттачменов и др.), удерживающих или фиксирующих протез на естественных зубах. Базисом съемного пластиночного протеза служит пластинка из пластмассы. У протеза нижней челюсти базис располагается на альвеолярных отростках, а верхней челюсти - кроме того, еще и на нёбе. На базисе крепятся искусственные зубы. В процессе приема
пищи жевательная нагрузка передается через базис на протезное ложе (ткани, находящиеся под протезом).
Нейлоновые зубные протезы - относительно новое слово в современной стоматологии.
Гибкие нейлоновые зубные протезы относятся к съемному виду протезирования и изготавливаются из нейлона - полупрозрачного, эластичного материала, структура которого позволяет имитировать слизистую оболочку полости рта.
- Не требуют обтачивания зубов под коронки;
- Нейлоновые зубные протезы обладают отменной эластичностью наряду с высокой прочностью, что позволяет протезу из нейлона выдерживать жевательную нагрузку;
- Несмотря на свою мягкость, съемные нейлоновые зубные протезы отличаются точной посадкой и надежно фиксируются в полости рта;
- Благодаря эластичности нейлоновые протезы не травмируют и не натирают десну;
- В отличие от протезов из акрила, нейлон непроницаем для влаги полости рта, благодаря чему в протез не проникают микробы и пищевые красители;
- Запатентованный состав нейлона обеспечивает длительную службу и великолепную эстетичность зубного протеза;
- Нейлоновые протезы абсолютно не содержат металла, что важно для людей с аллергией;
- Быстрая адаптация пациента к протезу из нейлона;
- Широкие показания для применения нейлоновых зубных протезов, распространяющихся на большинство клинических случаев.
- Одиночные дефекты зубного ряда, частичные дефекты зубного ряда (частичная адентия). То есть ситуации, когда в зубном раду отсутствует от одного до нескольких зубов;
- Множественные дефекты зубного ряда (частичная адентия). При отсутствии нескольких зубов в различных сегментах зубного ряда;
- При полной адентии (полном отсутствии зубов) на челюсти;
- Для предотвращения смещения зубов на период ожидания начала протезирования другими видами зубных протезов.
Современная стоматология позволяет сохранять и использовать при протезировании корни зубов. Рациональное их использование при планировании протезирования съемными протезами имеет важное значение для создания дополнительной и надежной фиксации частичного съемного протеза.
Качество ортопедического лечения больных с частичной вторичной адентией челюстей во многом определяется хорошей фиксацией и стабилизацией протезов в полости рта, ввиду важности адекватного восприятия и передачи жевательного давления тканями протезного ложа и пародонта опорных зубов.
поликлиника:
• с 07:30 до 20:00
приём врачей:
• с 08:00 до 20:00
выдача талонов на приём:
• с 07:30 до 08:00
• с 19:00 до 19:30
Протез. Все о протезе и протезном ложе в стоматологии
Кафедра ортопедической стоматологии стоматологического факультета ФГБОУ ВО «Северо-Западный государственный медицинский университет им. И.И. Мечникова» Минздрава России, Санкт-Петербург, Россия;
ФГБВОУ ВО «Военно-медицинская академия им. С.М. Кирова» Министерства обороны РФ, Санкт-Петербург, Россия
ЧОУ ВО «Санкт-Петербургский медико-социальный институт», Санкт-Петербург, Россия;
Кафедра терапевтической стоматологии ФГБВОУ ВО «Военно-медицинская академия им. С.М. Кирова» Министерства обороны России, Санкт-Петербург, Россия;
Лечебно-диагностический стоматологический центр «Альфа-Дент», Санкт-Петербург, Россия
Институт усовершенствования врачей Медико-хирургического центра им. Н.И. Пирогова, Москва, Россия, Санкт-Петербургский институт биорегуляции и геронтологии, Санкт-Петербург, Россия, Северо-Западный государственный медицинский университет им. И.И. Мечникова, Санкт-Петербург, Россия, Военно-медицинская академия им. С.М. Кирова, Санкт-Петербург, Россия, Санкт-Петербургский государственный медицинский университет им. акад. И.П. Павлова, Санкт-Петербург, Россия
Кафедры микробиологии, вирусологии и иммунологии ТГМА, Тверь
Институт усовершенствования врачей Медико-хирургического центра им. Н.И. Пирогова, Москва, Россия, Санкт-Петербургский институт биорегуляции и геронтологии, Санкт-Петербург, Россия, Северо-Западный государственный медицинский университет им. И.И. Мечникова, Санкт-Петербург, Россия, Военно-медицинская академия им. С.М. Кирова, Санкт-Петербург, Россия, Санкт-Петербургский государственный медицинский университет им. акад. И.П. Павлова, Санкт-Петербург, Россия
Институт усовершенствования врачей Медико-хирургического центра им. Н.И. Пирогова, Москва, Россия, Санкт-Петербургский институт биорегуляции и геронтологии, Санкт-Петербург, Россия, Северо-Западный государственный медицинский университет им. И.И. Мечникова, Санкт-Петербург, Россия, Военно-медицинская академия им. С.М. Кирова, Санкт-Петербург, Россия, Санкт-Петербургский государственный медицинский университет им. акад. И.П. Павлова, Санкт-Петербург, Россия
Реакция слизистой оболочки протезного ложа в период адаптации пациентов к съемным зубным протезам
Журнал: Стоматология. 2016;95(6): 44‑47
Кафедра ортопедической стоматологии стоматологического факультета ФГБОУ ВО «Северо-Западный государственный медицинский университет им. И.И. Мечникова» Минздрава России, Санкт-Петербург, Россия;
ФГБВОУ ВО «Военно-медицинская академия им. С.М. Кирова» Министерства обороны РФ, Санкт-Петербург, Россия
Исследована реакция слизистой оболочки протезного ложа на съемные акриловые зубные протезы у 43 человек (12 мужчин и 31 женщина) в возрасте от 56 до 69 лет с частичной и полной утратой зубов на одной или обеих челюстях. У пациентов 1-й (контрольной) группы (17 человек) период адаптации протекал без использования дополнительных средств, улучшающих фиксацию съемных зубных протезов. Пациенты 2-й (основной) группы исследования (26 человек) в течение адаптационного периода длительностью 30 сут использовали крем для фиксации зубных протезов Corega. Оценку состояния слизистой оболочки протезного ложа осуществляли на 3—4-е и на 28—30-е сутки от начала пользования протезами в баллах по трем показателям: болевой синдром, влажность слизистой оболочки протезного ложа, наличие воспаления слизистой оболочки протезного ложа. Показано, что применение в адаптационном периоде средств, улучшающих фиксацию съемных зубных протезов, типа крема для фиксации зубных протезов Corega, позволяет значительно улучшить состояние слизистой оболочки протезного ложа, уменьшить выраженность воспалительных изменений в ответ на воздействие полимерных материалов, из которых изготовлены съемные зубные протезы.
Кафедра ортопедической стоматологии стоматологического факультета ФГБОУ ВО «Северо-Западный государственный медицинский университет им. И.И. Мечникова» Минздрава России, Санкт-Петербург, Россия;
ФГБВОУ ВО «Военно-медицинская академия им. С.М. Кирова» Министерства обороны РФ, Санкт-Петербург, Россия
ЧОУ ВО «Санкт-Петербургский медико-социальный институт», Санкт-Петербург, Россия;
Кафедра терапевтической стоматологии ФГБВОУ ВО «Военно-медицинская академия им. С.М. Кирова» Министерства обороны России, Санкт-Петербург, Россия;
Лечебно-диагностический стоматологический центр «Альфа-Дент», Санкт-Петербург, Россия
Институт усовершенствования врачей Медико-хирургического центра им. Н.И. Пирогова, Москва, Россия, Санкт-Петербургский институт биорегуляции и геронтологии, Санкт-Петербург, Россия, Северо-Западный государственный медицинский университет им. И.И. Мечникова, Санкт-Петербург, Россия, Военно-медицинская академия им. С.М. Кирова, Санкт-Петербург, Россия, Санкт-Петербургский государственный медицинский университет им. акад. И.П. Павлова, Санкт-Петербург, Россия
Кафедры микробиологии, вирусологии и иммунологии ТГМА, Тверь
Институт усовершенствования врачей Медико-хирургического центра им. Н.И. Пирогова, Москва, Россия, Санкт-Петербургский институт биорегуляции и геронтологии, Санкт-Петербург, Россия, Северо-Западный государственный медицинский университет им. И.И. Мечникова, Санкт-Петербург, Россия, Военно-медицинская академия им. С.М. Кирова, Санкт-Петербург, Россия, Санкт-Петербургский государственный медицинский университет им. акад. И.П. Павлова, Санкт-Петербург, Россия
Институт усовершенствования врачей Медико-хирургического центра им. Н.И. Пирогова, Москва, Россия, Санкт-Петербургский институт биорегуляции и геронтологии, Санкт-Петербург, Россия, Северо-Западный государственный медицинский университет им. И.И. Мечникова, Санкт-Петербург, Россия, Военно-медицинская академия им. С.М. Кирова, Санкт-Петербург, Россия, Санкт-Петербургский государственный медицинский университет им. акад. И.П. Павлова, Санкт-Петербург, Россия
Многофакторность воздействия внутренней и внешней среды диктует необходимость обобщенного видения и целостного подхода к человеку, использования много-аспектных диагностических и лечебных мер [4, 8, 17]. Это означает целостность подхода не только к больному органу, но и к больному человеку в комплексе экологических, социально-психологических и нравственных проблем [1]. Поэтому проблема профилактики и лечения стоматологической патологии для взрослых людей является не только медицинской, но и социальной [5, 18].
По современным представлениям оценка критериев здоровья взрослых людей, особенно старших возрастных групп, должна быть интегральной и учитывать степень их физической подвижности, социальную активность, остроту зрения, слуха, а также показатель числа сохранившихся зубов и их функциональной ценности [7, 15]. Последний показатель важен, так как нарушение целостности жевательного аппарата снижает качество жизни людей, отрицательно влияет на процесс их социальной адаптации [9, 16].
В настоящее время в связи со старением населения России, а также в связи с увеличением числа взрослых людей, страдающих частичной и полной утратой зубов, причина потери которых находится в прямой зависимости от условий жизни и возраста человека, вопросы повышения эффективности стоматологической реабилитации приобретают важное медико-социальное значение [10, 12]. Это делает актуальным в медицинском и социальном плане задачу эффективного зубного протезирования при частичной и полной утрате зубов. Вместе с этим, в отечественной и зарубежной литературе мало внимания уделяется эффективности пользования съемными зубными протезами, в том числе в период адаптации к ним. В то же время воздействие съемных зубных протезов часто выходит за пределы жевательного аппарата, распространяется иногда на весь лицевой и мозговой скелет [13, 14], а также влияет на психосоматическое здоровье [3, 11, 19]. В связи с вышеизложенным, мы сочли необходимым проведение настоящего клинического исследования. Считаем, что исследования в этом направлении могут существенно обогатить сведения, входящие в круг вопросов по проблеме «Протез и протезное ложе», которая была сформулирована профессором Е.И. Гавриловым в конце 70-х годов прошлого века [2].
Цель работы — изучение реакции слизистой оболочки протезного ложа на акриловые частичные и полные съемные зубные протезы в период адаптации к ним при использовании средств, улучшающих их фиксацию и стабилизацию.
Материал и методы
Под нашим наблюдением находились 43 человека (12 мужчин и 31 женщина) в возрасте от 56 до 69 лет с частичной и полной утратой зубов на одной или обеих челюстях. Пациентам была проведена стоматологическая реабилитация в связи с имеющимися у них стоматологическими заболеваниями органов и тканей полости рта и утратой зубов, которая завершалась изготовлением съемных акриловых зубных протезов, изготовленных по однотипной методике полимеризации базисной пластмассы. У пациентов 1-й (контрольной) группы, которую составили 17 человек, период адаптации протекал без использования дополнительных средств, улучшающих фиксацию съемных зубных протезов (рис. 1). Пациенты 2-й (основной) группы исследования, которую составили 26 человек, в течение адаптационного периода длительностью 30 суток использовали крем для фиксации зубных протезов Corega. Оценку состояния слизистой оболочки протезного ложа осуществляли на 3—4-е сутки от начала пользования протезами и по завершению адаптационного периода на 28—30-е сутки клинического наблюдения.

Рис. 1. Распределение пациентов по полу и группам исследования.
Оценку состояния слизистой оболочки протезного ложа осуществляли в баллах по трем представленным в табл. 1 показателям: болевой синдром, влажность слизистой оболочки протезного ложа, наличие воспаления слизистой оболочки протезного ложа.

Таблица 1. Методика балльной оценки состояния слизистой оболочки протезного ложа у пациентов, пользующихся съемными зубными протезами
При наличии в полости рта двух съемных зубных протезов для анализа эффективности стоматологической реабилитации использовали наиболее неблагоприятные показатели, характеризующие состояния слизистой оболочки протезного ложа под верхним или нижним съемным зубным протезом.
Полученный в результате клинического исследования цифровой материал обработан на ПК с использованием специализированного пакета для статистического анализа — Statistica for Windows v. 6.0. Для суждения о достоверности различий встречаемости частоты явлений использовали критерий χ 2 Пирсона, а также точный критерий Фишера для малых выборок. Различия между сравниваемыми группами считались достоверными при р≤0,05. Случаи, когда значения вероятности показателя «р» находились в диапазоне от 0,05 до 0,10, расценивали как «наличие тенденции».
Результаты и обсуждение
Прежде чем представить сведения о реакции слизистой оболочки протезного ложа на съемные зубные протезы в период адаптации к ним у пациентов двух исследуемых групп, отметим, что для наибольшей однородности контрольной и основной групп в первые два дня периода адаптации у пациентов обеих групп устраняли шероховатости на внутренней поверхности базисов протезов, уточняли длину и толщину краев базисов протезов, то есть устраняли длинные и острые края базиса, а также, путем коррекции окклюзии, артикуляции и создания множественных контактов искусственных зубов устраняли имеющееся повышенное жевательное давление. Были исключены аллергические и токсические протезные стоматиты, а также болевые синдромы — стоматологии, обусловлены коморбидной патологией и синдромом гальванизма [14]. Следует также отметить, что перед протезированием у всех пациентов устраняли острые костные выступы в области протезного ложа, а по завершении протезирования у всех пациентов была обеспечена удовлетворительная фиксация и стабилизация съемных зубных протезов.
Оценка результатов протезирования на 3—4-е сутки от начала ношения съемных зубных протезов показала, что в контрольной группе, то есть у тех пациентов, которые в период адаптации не использовали каких-либо средств для улучшения фиксации съемных зубных протезов, средние значения изученных показателей были следующими: болевой синдром — 2,36 балла, влажность слизистой оболочки протезного ложа — 0,93 баллов, наличие воспалительного процесса, а также травм слизистой оболочки протезного ложа — 3,25 балла (рис. 2, а). У пациентов основной группы, которые с первого дня периода адаптации использовали крем для фиксации зубных протезов Corega, состояние слизистой оболочки протезного ложа по всем исследуемым показателям было достоверно лучше (р≤0,05), чем в контрольной группе. Так, изученные показатели на 3—4-е сутки в основной группе были следующими: болевой синдром — 1,13 балла, влажность слизистой оболочки протезного ложа — 0,62 балла, наличие воспалительного процесса, а также травм слизистой оболочки протезного ложа —1,63 балла.

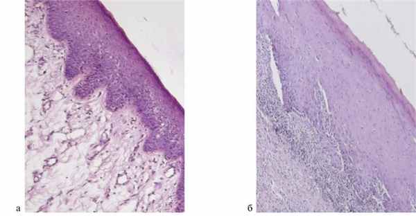
Рис. 2. Пациент К., 62 года (контрольная группа исследования), впервые протезируемый съемными зубными протезами. а — морфологическая картина слизистой оболочки в области будущего протезного ложа (норма), (гематоксилин-эозин, ув. 100); б — морфологическая картина слизистой оболочки в области протезного ложа на 29-е сутки адаптационного периода, в соединительной ткани слизистой выявляется умеренно выраженная мононуклеарная и слабовыраженная нейтрофильная воспалительная реакция; гиперкератоз и акантоз многослойного плоского эпителия слизистой (гематоксилин-эозин, ув. 100).
На 28—30-е сутки от начала пользования съемными зубными протезами описанная тенденция в реакции слизистой оболочки протезного ложа у пациентов контрольной и основной групп сохранилась, так как у лиц 2-й группы показатель наличия и выраженности воспалительной реакции и травм слизистой оболочки протезного ложа были достоверно меньшими (р≤0,05), чем в контрольной группе (см. рис. 2, б). Так, если по завершению адаптационного периода в контрольной группе этот показатель составил 1,63 балла, то в основной группе — 0,55 балла (р≤0,05). Также у пациентов основной группы достоверно меньше по сравнению с контролем определялся болевой синдром. Данный показатель в завершении периода адаптации составил в контрольной группе 1,13 балла, в основной группе — 0,68 балла (р≤0,05). Изучение изменения влажности слизистой оболочки протезного ложа у лиц контрольной и основной группы по завершению периода адаптации не выявило достоверных различий, однако в основной группе отмечалась положительная тенденция к нормализации влажности слизистой оболочки протезного ложа, а данный показатель составил 0,62 и 0,53 балла, соответственно (р≥0,05).
Клиническое наблюдение в адаптационный период выявило бо́льшую частоту встречаемости жалоб на боли в тканях протезного ложа у пациентов контрольной группы, в отличие от лиц основной группы, применявших крем для фиксации зубных протезов Corega. У лиц контрольной группы также чаще выявлялась сухость слизистой оболочки протезного ложа, а также ее воспалительные и травматические поражения, в отличие от лиц основной группы (рис. 2; рис. 3, 4).

Рис. 2. Оценка реакции слизистой оболочки протезного ложа у пациентов контрольной и основной групп. а — на 3—4-е сутки адаптационного периода; б — на 28—30-е сутки адаптационного периода.
Одним из этапов исследования было изучение морфологических особенностей реагирования слизистой оболочки протезного ложа на зубные протезы в период адаптации к ним и влияние на этот процесс крема для фиксации зубных протезов Corega. Выполненное морфологическое изучение реакции слизистой оболочки протезного ложа на съемные акриловые зубные протезы у пациентов контрольной и основной групп показало, что у лиц, применявших в период адаптации к ортопедическим замещающим конструкциям крем для фиксации зубных протезов Corega, воспалительные изменения выражены в меньшей степени, чем у лиц контрольной группы (рис. 3, 4,), что, очевидно, связано с содержанием в составе крема для фиксации зубных протезов Corega средств, обладающих антисептическим, противовоспалительным и ранозаживляющим действием.
Заключение
Применение в адаптационном периоде средств, улучшающих фиксацию съемных зубных протезов, типа крема для фиксации зубных протезов Corega, позволяет существенно улучшить не только психоэмоциональное состояние протезоносителей [11], пользующихся частичными или полными съемными зубными протезами, но и значительно улучшить состояние слизистой оболочки протезного ложа, уменьшить выраженность воспалительных изменений в ответ на воздействие полимерных материалов, из которых изготовлены съемные зубные протезы.
АО «ГлаксоСмитКляйн Хелскер»
РФ, 123112, г. Москва, Пресненская наб., д. 10
Статья опубликована при финансовой поддержке компании «ГлаксоСмитКляйн». Включенная информация отражает мнение автора и может не совпадать с позицией «ГлаксоСмитКляйн». Компания «ГлаксоСмитКляйн» не несет ответственности за возможные нарушения авторских прав и иных прав третьих лиц в результате публикации и распространения данной информации.
Фиксация зубных протезов
Любая протезная конструкция для зубов должна обладать хорошей фиксацией, потому что без надежного прикрепления пользоваться ей будет невозможно. Искусственная «челюсть» будет слетать и мешать при разговоре. В таком случае человек не может нормально питаться и вести активную социальную жизнь.
Фиксация зубных протезов заложена в основе их конструкции. Врач-стоматолог при проектировании руководствуется клинической ситуацией. На надежность посадки влияет расположение оставшихся зубов, состояние слизистой оболочки, костной ткани.
Однако даже плотная посадка на челюсти со временем ослабляется, пациенту требуются дополнительные фиксирующие средства, а в некоторых случаях конструкцию переделывают.
Методы фиксации протезов
Для каждого вида зубного протеза предусмотрен свой способ прикрепления.
Принципиальный признак деления — возможность снять конструкцию, поэтому фиксация протеза на челюсти бывает:
Важным аспектом является количество отсутствующих зубов. Можно восстановить все зубные единицы сразу или только некоторые. Методы фиксации для полных и неполных протезных конструкций различаются.
Съемный неполный протез прикрепляется к слизистой оболочке и оставшимся зубам, как к опоре. Поэтому у таких реставраций должны быть приспособления для сцепления с опорными единицами, к примеру:
- кламмеры («крючки»);
- аттачмены (замки);
- телескопические коронки;
- магниты;
- балочные системы.
При полной адентии челюсти съемный аппарат не имеет крючков и замков, а фиксируется путем присасывания базиса к слизистой оболочке. Базис удерживается благодаря клапанному механизму.
Система крепления несъемного протеза:
- на опорные зубы — например, зубной мост удерживается на соседних зубных единицах;
- на имплантаты, вживляемые в костную ткань.
Средства для фиксации протезов
Для улучшения фиксирования съемных протезов при полной или частичной потере зубов применяют различные дополнительные средства. К ним относятся:
- кремы,
- гели,
- порошки,
- прокладки (полоски, пленки, вкладыши).
Улучшают адгезию базиса к слизистой оболочке. Средство наносят на внутреннюю часть пластины. За счет слюны вещество разбухает и создает липкий слой между протезным базисом и тканями полости рта.
Крем от геля отличается более плотной, густой текстурой. Обладатели съемных конструкций выбирают продукцию Корега, Protefix, President и Lacalut. Средства этой категории удерживают базис в среднем на 12 ч. Есть кремы с пролонгированным действием, например, President Garant, — до 36 ч.
В состав порошков входит альгинат натрия — это то вещество, которое содержится в оттискных массах для создания слепков. Порошок наносят на протез, смачивают водой и плотно прижимают к челюсти. При застывании порошок точно повторяет рельеф протезного ложа. Надежная фиксация сохраняется в течение 12 ч.
Выпускаются на верхнюю и нижнюю челюсть. Прокладки защищают слизистую оболочки от натертостей и воспалительных явлений, а также способствуют улучшению фиксирования. Их применяют на этапе адаптации к новой протезной конструкции.

Перед наложением на протезную поверхность вкладыш смачивают теплой водой. Прокладки Protefix, по заверениям производителя, обеспечивают надежное прикрепление на 8 ч. Бренд Fittydent предлагает фиксирующие вкладыши — это то же самое, что и прокладка. Обещанный срок фиксации — 12 ч.
Тот же принцип работы, что и у прокладок. Отличие в том, что пленку нужно вырезать самостоятельно под размер базиса.
Показания и противопоказания
Показания для фиксирующих средств
- неудовлетворительная фиксация съемных зубных аппаратов;
- натирание в период привыкания;
- попадание остатков пищи под базис.
Противопоказания
- аллергическая реакция на компоненты средства.
Преимущества и недостатки
- Надежное прикрепление к слизистой без горизонтального смещения.
- Сокращение периода адаптации.
- Защита от попадания частичек пищи.
- Более комфортное ношение протеза.
- Крема и прокладки растворяются под действием горячей пищи или напитков, фруктовых кислот.
- Ароматические добавки могут изменять вкус еды.
- У некоторых пациентов наблюдается непереносимость компонентов крема.
Фиксация несъемных протезов
Несъемные конструкции фиксируются на постоянную основу, то есть снять их самостоятельно невозможно. К таким ним относятся зубные коронки, виниры, мостовидные конструкции.
Опора на зубы
Зубные коронки, вкладки и накладки (виниры) устанавливают на стоматологический цемент непосредственно на эмаль и дентин. Никаких дополнительных средств для фиксации им не требуется.
Установка мостовидного протеза проходит на опорных зубах, которые подобно опорам моста удерживают полые коронки и промежуточную часть с искусственными зубами. Минус в том, что опоры необходимо обтачивать.
Опора на имплантаты
Зубной мост может крепиться к имплантатам. Они заменяют классические мостовидные и съемные конструкции.

Например, несъемный покрывной протез для имплантации по технологии All-on-4, заменяет полную съемную конструкцию. Главное преимущество — надежное прикрепление к челюсти. Человек может полноценно жевать и разговаривать без стеснения.
Зубные коронки и протезы на имплантатах могут фиксироваться двумя способами:
- С помощью винта — в имплантате и коронке есть шахта, в которую вкручивают винт.
- Крепление на цемент.
Конструкцию на цементе не получится снять без повреждения, поэтому предпочтительнее устанавливать коронки на винты.
Степень крепления несъемных коронок и мостов зависит от:
- качества подготовки полости рта к протезированию,
- мастерства зубного техника,
- качества материала,
- индивидуальной гигиены.
Фиксация съемных протезов
Съемные конструкции при частичной или полной адентии прикрепляются разными методами.
Съемные протезы при частичном отсутствии зубов
Для частичных протезов применяются различные дополнительные приспособления.
- Кламмеры. Это металлические крючки, которые обхватывают соседние единицы. Особая конструкция кламмера не допускает вертикальных и горизонтальных смещений базиса, а также удерживает его на своем месте. Недостаток кламмеров в том, что их можно сломать по неосторожности.
- Аттачмены. Представляют собой систему замков. На оставшиеся опоры устанавливают матрицу, которая соединяется с патрицей на протезе. Это очень надежное крепление.
- Телескопические коронки. Работают по принципу телескопа — на опорный зуб ставят внутреннюю коронку, а на протез — внешнюю. Такой способ обеспечивает сильную фиксацию.
- Магнитная фиксация. Один из пары магнитов устанавливают в протез, а другой — на зубы или имплантаты. Разнополюсные магниты притягиваются друг к другу и создают удерживающий эффект. Однако магниты плохо справляются с горизонтальным смещением конструкции.
- Балочная система. Одна из вариаций системы аттачменов, однако вместо замков устанавливается балка, которая служит матрицей. На протезе имеется патрица. Также балка может держаться на имплантатах. Такой вариант применяют для полностью беззубой челюсти.
В каждом клиническом случае врач подбирает оптимальный способ. Одним из наиболее надежных считается замковая система аттачменов — особенно если замки изготовлены индивидуально для пациента.
Съемные протезы при полном отсутствии зубов
Фиксация на беззубой челюсти представляет собой сложную клиническую задачу, ведь естественной опоры не осталось. Осложняет ситуацию то, что при длительном отсутствии зубных единиц костная ткань атрофируется.
За счет чего удерживается искусственная «челюсть» при полной адентии? Как правило, это сочетанное действие следующих факторов.
- Силы адгезии. Протез прилипает к слизистой оболочке за счет омывания слюной и создания влажной прослойки. Сама слизистая оболочка также обладает некоторой увлажненностью. Однако одной адгезии недостаточно.
- Клапанный механизм. Каплевидный край базиса создает особое функциональное образование — клапан. При надевании протеза слизистая оболочка полости рта прижимается, а затем восстанавливает свою форму. За счет этого наблюдается разница в давлении и создается подобие вакуума. Конструкция присасывается к слизистой.
- Анатомические характеристики. Выступающие структуры полости рта способствуют удержанию. Однако при атрофии костной ткани этот фактор теряет значение, что значительно ухудшает фиксацию.
Мнение эксперта
Ковалёв Алан ВадимовичСтоматолог-ортопед, Хирург-Имплантолог, Пародонтолог
Фиксация на нижней челюсти не представляет трудностей. Конструкция не испытывает сил гравитации и не спадает. Кроме того, сама форма зубного ряда предполагает больше точек соприкосновения с челюстной костью (анатомическая ретенция). Поэтому конструкции на нижней челюсти реже спадают и не вызывают дискомфорт.
С верхней челюстью возникает больше проблем, особенно если произошла значительная атрофия. Плоское небо не дает никакой анатомической ретенции, поэтому конструкция легко спадает.
Многие пациенты используют средства для улучшения адгезии, так как со временем рельеф протезного ложа меняется. Это происходит из-за атрофии костной ткани.
Протез. Все о протезе и протезном ложе в стоматологии
Введение. В этой статье мы сделаем попытку подробно осветить проблемы в связи с привыканием к съемным зубным протезам. Ведь протезирование съемными конструкциями не ограничивается только их изготовлением, далее следует значительный этап привыкания к ним или период адаптации. Термин «адаптация» (от лат. аdaptatio – приспособление, привыкание) в ортопедической стоматологии интерпретируется в двух смыслах:
- в понятии привыкания больного к протезу;
- в понятии приспособления заинтересованных тканей и органов по мере контакта с протезом.
В этой статье мы сделаем попытку объединить эти два родственных понятия. Адаптация к съемным зубным протезам – это период привыкания к ним в процессе использования; «привычка» является состоявшейся когда:
- объективно отсутствуют факторы раздражения слизистой оболочки, контактирующей с протезом;
- пациент мотивирован - осознает невозможность существования без протезов, не может без них обойтись;
- пациент психологически реабилитирован, т. е. не чувствует себя «неполноценным» в связи с протезированием.
Ход изготовления съемных протезов и процесс привыкания к ним неразрывно связаны друг с другом и представляют собой стадийную последовательность протезирования. Иначе говоря, протезирование не является законченным, если не состоялось привыкание к съемным конструкциям. Собственно период адаптации - это отрезок времени, по истечении которого не только реализуется привыкание к протезам, но и оптимизируется функционирование зубочелюстной системы при наличии съемных протезов. Следовательно, взаимоотношения врача-ортопеда с пациентом не исчерпываются фактом изготовления съемного протеза. И даже удовлетворенность пациента качеством съемного протеза не может считаться успешным результатом без объективного подтверждения состоятельности его использования. А удостовериться в этом можно только в ходе контрольных осмотров, так называемых, «поправок» или «коррекций» съемных протезов. Таким образом, период адаптации является завершающей стадией ортопедического лечения и включает в себя комплекс врачебных мероприятий, направленных на облегчение привыкания к съемным протезам, сокращение сроков адаптации к ним и, главное, на обеспечение эффективного их использования. Помимо врачебных средств «доработки» протезов, решающее значение имеет психологическое состояние пациентов, в основе которого лежит желание привыкнуть к протезу и волевые усилия для достижения этой цели. Этому способствует осведомленность обо всех побочных явлениях ортопедического лечения съемными протезами, соблюдение врачебных рекомендаций по их использованию. Неудобства, с которыми сталкиваются пациенты в первое время после протезирования, закономерны и неизбежны (мы коснемся основных из них ниже); к этим неудобствам надо психологически подготовиться, это дает возможность обратить эмоционально-негативный настрой по поводу съемных протезов в русло рациональной и оптимистичной их оценки.
Основная часть. Необходимо помнить, что неудобства в связи с использованием новых съемных протезов, носят временный характер и являются преодолимыми. В частности, что на начальном этапе пользования новыми протезами усиливается слюнотечение; нарушается речь, жевание и глотание; снижается вкусовая чувствительность; могут появляться позывы на рвоту. Это связано с тем, что протез – инородное тело и организм его не воспринимает. Эти «неудобства» в скором времени должны пройти, и, чаще всего, исчезают спустя 2 – 3 недели постоянного использования протезов. Первую неделю не рекомендуется снимать протезы даже на ночь в целях быстрого к ним привыкания. Конечно, это не исключает необходимость гигиенической чистки протезов после приема пищи, до/после сна или по необходимости. Боль под протезом первые 2 – 3 недели ношения тоже не редкость. Она является причиной контакта «жесткого» материала протеза с чувствительной слизистой оболочкой полости рта. Болевые ощущения устраняются врачом в ходе «поправок» протезов. Для этого желательно, чтобы четко определялись участки травмирующего контакта слизистой оболочки с протезом. Очевидно, что это возможно, только если съемный протез используется. Следует оговориться, что рекомендация пользоваться протезом в т.ч. и для осуществления его коррекции не означает, будто его нельзя снимать и, превозмогая боль, ждать следующего визита к врачу для коррекции; напротив, при возникновении сильных болевых ощущений допускается снятие съемного протеза, но за 2 – 3 часа до визита на поправку необходимо вновь надеть протез, а еще лучше попытаться «нагрузить» его жевательным давлением. Это, в свою очередь, будет способствовать точному определению доктором места и причины боли во время визита на поправку протеза. Самой частой жалобой в первое время ношения съемных протезов, является их плохая фиксация (иначе, удержание протеза, или его устойчивость). Именно потому, что такая проблема является наиболее актуальной для большинства пациентов, привыкающих к съемным протезам, следует подробнее остановиться на ее причинах. Основными причинами плохой фиксации съемных протезов являются:
- частичная или полная потеря зубов;
- атрофия челюсти;
- особенности строения челюстей и мягких тканей вокруг протеза;
- подвижность сохранившихся зубов.
Рассмотрим каждую из этих причин подробнее и дополним соответствующими рекомендациями.
Частичная или полная потеря зубов. Любой съемный протез состоит из искусственных зубов, которые установлены на «искусственной десне» (или базисе протеза). В том случае, если сохранились «свои» (опорные) зубы, есть возможность придать устойчивость съемному протезу благодаря имеющимся в их составе фиксаторам. Наиболее распространенными из них стали так называемые кламмеры (или «крючки»), они плотно охватывая зуб, удерживают съемный протез на своем месте; «подгибая» или «подтягивая» кламмеры, возможно отчасти «закрепить» протез на опорных зубах, по мере того как этот охват ослабевает. Недопустимо это делать самостоятельно, т.к. можно поломать кламмер или часть протеза. Это должен делать только врач. Кроме кламмеров, к фиксаторам съемных зубных протезов также относятся замковые крепления, пелоты, телескопические и винтовые элементы и пр. Все они, обеспечивают связь съемного протеза с относительно неподвижной частью протезного ложа – это, как правило, либо сохранившийся зуб или группа зубов, либо искусственная коронка (коронки) с опорой на сохранившиеся зубы или имплантаты. Количество оставшихся зубов определяет прогноз фиксации съемного протеза: чем меньше у пациента своих зубов, тем меньше возможностей придать съемной конструкции устойчивость. Тогда дентальная имплантация существенно облегчает такую задачу. Еще сложнее устранить подвижность протеза, если своих зубов нет. В этом случае изготавливается полный съемный протез. Добиться его «присасываемости» очень сложно, а иногда и невозможно. Когда будут исчерпаны все средства, имеющиеся в арсенале врача-стоматолога для придания устойчивости такому протезу, Вам предложат возможность использования специальных паст и гелей (так называемых адгезивных средств, как бы «приклеивающих» протез к слизистой оболочке протезного ложе). Только использование этих специальных средств должно быть обязательно согласовано с врачом изготовителем. Кроме того, разрешение проблемы плохой фиксации любого съемного протеза существенно облегчает дентальная имплантация; ведь имплантация это не только альтернатива съемному протезированию, но и инструмент создания удерживающих элементов для съемного протеза.
Атрофия челюсти – убыль костной ткани. Наиболее распространенными причинами ее развития являются длительное отсутствие зубов, возрастные изменения, большой стаж пользования старым съемным протезом, Однако речь не пойдет о причинах ее развития. Мы остановимся на том, как атрофия осложняет фиксацию съемного протеза: думаю, будет интуитивно понятно каждому, если мы свяжем понятие «устойчивости» протеза с его площадью. Площадь протеза напрямую зависит от объема подлежащей кости (челюсти): чем она больше, тем больше площадь съемного протеза, тем уверенней его устойчивость (т.е. лучше фиксация) и наоборот. Это обстоятельство отчасти объясняет тот факт, что съемный протез на нижней челюсти держится хуже, чем на верхней, т.к. верхняя челюсть (по сравнению с нижней) имеет большую площадь за счет нёба. По мере развития атрофии разница становится очевиднее: кость челюсти уменьшается в объеме, уменьшается тем самым и полезная площадь изготавливаемого протеза и он становится менее устойчивым. Атрофия челюсти неизбежна у всех без исключения. Условия для протезирования постоянно меняются. Те, кто уже имеет опыт использования съемных протезов, знают, что со временем его устойчивость меняется. А тем, кто пробует носить протез впервые, следует знать, что «закрепить» протез на челюсти очень сложно и процесс атрофии только отягощает эту задачу, ибо ухудшаются сами условия для протезирования. Съемный протез по мере его эксплуатации может становиться более устойчивым. Это происходит за счет изменчивости подлежащих и окружающих его тканей. Посредством жевательной нагрузки, передающейся на подлежащие слизистую оболочку и кость, протез провоцирует их изменения – перестройку. Перестройка костной ткани под съемным протезом активна в течение полугода его ношения. В этот период времени несущая часть челюсти под протезом видоизменяется и становится, если хотите, «более соответствующей протезу», что нередко положительно сказывается на его фиксации. Еще быстрее «приспосабливается» к съемным протезам слизистая оболочка полости рта. В течение 3–х недель она становится более податливой и под тяжестью жевательной нагрузки перестраивается, облегчая фиксацию протеза. Ни для кого не секрет, что все меняется, и что тренировка придает переменам направленность. Аналогично и ОПЫТ использования съемных протезов реализуется не только в жевательные или фонетические навыки, но и в лучшую фиксацию протезов на челюсти. Таким образом, настойчивое ношение съемных протезов в период адаптации имеет целью приспособить к нему подлежащие ткани для достижения большей устойчивости. Фиксация их формируется, чаще всего, начиная с 3 – 4 недель постоянного использования и только по истечении полугода может считаться (или нет) состоявшейся. Особенности строения нижней челюсти. Причиной подвижности протеза является не только недостаточность объема кости из-за атрофии, но и подвижность тканей, окружающих его, которая усиливается в ходе движений нижней челюсти, языка, губ, щек. Слизистая оболочка десны, контактирующие с протезом зубы, нёбо (это на верхней челюсти) - все это является посадочной площадкой для протеза (или протезным ложе). Съемный протез фиксируется на относительно неподвижных участках протезного ложа: это десна с неподвижной слизистой оболочкой, которая плотно прикреплена к кости челюстей, это и область неба на верхней челюсти, это, естественно, опорные зубы. Однако большую часть полости рта составляют как раз «подвижные» мягкие ткани: ткани щек, губ, языка, мягкого неба. Этими же подвижными тканями окружен и съемный протез. Именно подвижные ткани обусловливают границы съемного протеза и контакт с ними значительно осложняет его фиксацию. Дело в том, что, во-первых, подвижные ткани способствуют сбрасыванию протезов, во-вторых, плотно фиксированный на челюсти протез травмирует подвижные ткани причиняя боль. Так подвижность съемного протеза нижней челюсти усугубляется подвижностью самой нижней челюсти, приводящей в движение прикрепленные к ней ткани. Функциональная активность языка значительно осложняет прогноз фиксации любого типа съемных протезов нижней челюсти, ведь поднимаясь, например, кверху, язык - массивный мышечный орган – легко приподнимет съемный протез.
Особенности строения нижней челюсти. Причиной подвижности протеза является не только недостаточность объема кости из-за атрофии, но и подвижность тканей, окружающих его, которая усиливается в ходе движений нижней челюсти, языка, губ, щек. Слизистая оболочка десны, контактирующие с протезом зубы, нёбо (это на верхней челюсти) - все это является посадочной площадкой для протеза (или протезным ложе). Съемный протез фиксируется на относительно неподвижных участках протезного ложа: это десна с неподвижной слизистой оболочкой, которая плотно прикреплена к кости челюстей, это и область неба на верхней челюсти, это, естественно, опорные зубы. Однако большую часть полости рта составляют как раз «подвижные» мягкие ткани: ткани щек, губ, языка, мягкого неба. Этими же подвижными тканями окружен и съемный протез. Именно подвижные ткани обусловливают границы съемного протеза и контакт с ними значительно осложняет его фиксацию. Дело в том, что, во-первых, подвижные ткани способствуют сбрасыванию протезов, во-вторых, плотно фиксированный на челюсти протез травмирует подвижные ткани причиняя боль. Так подвижность съемного протеза нижней челюсти усугубляется подвижностью самой нижней челюсти, приводящей в движение прикрепленные к ней ткани. Функциональная активность языка значительно осложняет прогноз фиксации любого типа съемных протезов нижней челюсти, ведь поднимаясь, например, кверху, язык - массивный мышечный орган – легко приподнимет съемный протез.
Подвижность сохранившихся зубов. Это явление объективно отягощает фиксацию съемных протезов. И не только исходная подвижность сохранившихся зубов, но и тенденция ее развития по мере использования съемных зубных протезов, все это является краеугольным камнем в прогнозе протезирования. Но если прогнозы и планирование находятся в компетенции лечащего врача, то пациенту надо быть сведущим в природе и последствиях оказываемого лечения. Казус съемного протезирования заключен в том, что такой протез может быть как поводом, так и причиной подвижности сохранившихся зубов. С одной стороны жевательная нагрузка распределяется на оставшиеся зубы и «перегружает» последние, провоцируя их подвижность. В этом случае протезирование устраняет или снижает подвижность сохранившихся зубов (помимо восстановления утраченных). С другой стороны, функционирование съемной конструкции оказывает неблагоприятное давление на сохранившиеся зубы, вовлеченные в контакт со съемным протезом. Так, опорные зубы испытывают нагрузку, оказываемую на них фиксаторами съемного протеза (это, как описывалось выше, кламмера, замки, пелоты и т.п.). Помимо удерживания протеза зубы препятствуют его боковому смещению в процессе жевания,- такая нагрузка на сохранившиеся зубы скорее неизбежна, чем вредна. Таким образом, после изготовления съемных конструкций зубных протезов требуется динамическое наблюдение за стабилизацией не только самого протеза, но и за устойчивостью сохранившихся зубов, коронок, мостовидных протезов. Совет пациентам: не забывать о необходимости такого наблюдения для того, чтобы съемный протез не стал причиной развития подвижности сохранившихся зубов. Все вышеперечисленные причины плохой фиксации съемных протезов сугубо индивидуальны и ставят перед доктором непростую задачу облегчить привыкание, а перед пациентом – соучастия в этом процессе. Достигается это с помощью серии поправок, когда врач изменяет границы съемных зубных протезов в области травмирующего контакта или их смещения (жаргон«сбрасывания»).
Заключение или первые шаги на пути к привыканию к съемным протезам. Прежде всего необходимо повторить, что изготовлением съемной конструкции протезирование не ограничивается, - после следует продолжительный период их «доработки» и адаптации пациента к конструкции. Визиты «на поправку» съемных протезов следует планировать регулярно с частотой не более двух раз в неделю. Коррекция протеза должна быть строго обоснованной, т.к. изменение границ протеза может привести к уменьшению его площади, а значит и к снижению его устойчивости. Желательно, чтобы повод обращения к врачу был четко и детально сформулирован во избежание двусмысленной трактовки причины жалоб. Поводом для обязательного и незамедлительного обращения к врачу являются следующие жалобы:
- боль в местах контакта с протезом, сопровождаемая повреждением слизистой оболочки полости рта (раны, изъявления, связанные с протезом);
- боль в области сохранившихся зубов и стремительное развитие их подвижности;
- болезненное глотание;
- чувство жжения и сухости в полости рта.
По мере устранения причин этих жалоб (как правило, в течение месяца с момента наложения съемных протезов) начинает формироваться привычка к ним. Адаптация наступает постепенно и выражается в восстановлении функций речи, жевания и глотания, нормализации слюнотечения, то есть в исчезновении восприятия съемного протеза как инородного тела. Наступает привыкание к необычным и непривычным очертаниям в полости рта и приспособление к новым взаимоотношениям зубов, вырабатываются новые функциональные движения нижней челюсти, возвращается к норме деятельность височно-нижнечелюстных суставов. Этот процесс у всех проистекает по-разному и в различные сроки. Помимо описанного выше происходит психологическая адаптация - устранение брезгливого и стыдливого чувства неприятия протеза, значимости его как атрибута старости. Снижается связанная с этим раздражительность, устраняются неудобства в сфере общения. Пациент прекращает постоянное возвращение в мыслях к протезу, не замечая, забывая о нем, т.е. привыкая к нему. Подавляющее количество мотивированных пациентов адаптируются к съемным зубным протезам. Однако нужно помнить о необходимости визитов на поправку. Они необходимы для динамического наблюдения за состоянием жевательного аппарата пациента (слизистой оболочки полости рта, сохранившихся зубов, кости челюстей и т.п.). Регулярные контрольные осмотры к ортопеду-стоматологу позволяют своевременно обнаружить нежелательные изменения в состоянии пациента и принять необходимые меры.
Автор: Гончаров Борис Анатольевич, стоматолог-ортопед, имплантолог отделения платных услуг стоматологической поликлиники № 8.
Читайте также:
