Противопоказания к бронхоспирометрии. Комплексное бронхологическое исследование
Добавил пользователь Евгений Кузнецов Обновлено: 09.01.2026
Бронхоспирометрия при раке легкого. Бронхоспирометрия в легочной хирургии
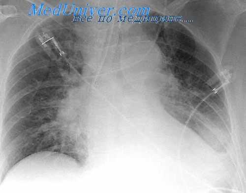
У ряда больных раком легкого бронхоспирометрия выявляет полное отсутствие поглощения кислорода в пораженном легком при сохранении вентиляции в нем. Этот признак обычно сочетается со следующими симптомами, выявляемыми при рентгенологическом исследовании:
1) наличие пакетов лимфатических узлов в области корня легкого;
2) расширение и уплотнение корня;
3) слияние тени центрально расположенной опухоли с тенью корня;
4) обеднение сосудистого рисунка пораженного легкого.
Сочетание отсутствия поглощения кислорода в легком, пораженном раковой опухолью, с одним или несколькими из перечисленных рентгенологических симптомов дает возможность говорить о синдроме обструкции магистральных легочных сосудов и может служить указанием на неоперабельность (А. В. Григорян, Б. П. Федоров и С. В. Лохвицкий, 1966).
Указанные характерные особенности бронхоспирометрических находок при раке легкого позволяют использовать бронхоспирометрию как вспомогательный метод в дифференциальной диагностике рака легкого и определении операбельности.

В целом показания к бронхоспирометрии в легочной хирургической клинике мы формулируем следующим образом:
1. При определении функциональной операбельности:
а) при предполагаемом удалении легкого;
б) при планировании двусторонних операций на легких;
в) при снижении общих показателей внешнего дыхания, соответствующем II и III группам (неустойчивая компенсация и субкомпенсация);
2. При подозрении на рак легкого — в целях дифференциальной диагностики и определения операбельности;
3. Перед любой торакотомией у больного, у которого при клиническом и рентгенологическом обследовании имеются указания на функциональную асимметрию внешнего дыхания, а общие показатели снижены.
Кроме того, мы считаем целесообразным применение динамической бронхоспирометрии в процессе предоперационной подготовки больным легочными нагноениями 2, 3 и 4-й степеней распространения по классификации В. И. Стручкова, поступившим в состоянии обострения. Динамическая бронхоспирометрия дает возможность определить функциональный эффект предоперационной подготовки, причем интубация двухпросветной трубкой обязательно используется для санации бронхиального дерева и гнойных полостей. Динамическую бронхоспирометрию рационально также применять при консервативном лечении неоперабельных форм легочных нагноений, а также при оценке функционального эффекта коллапс-терапевтических вмешательств при легочном туберкулезе.
Нет необходимости применять бронхоспирометрию больным, которым предполагается произвести частичную резекцию легкого по поводу туберкулеза, хронического нагноения, кисты или доброкачественной опухоли и у которых общие показатели внешнего дыхания соответствуют I группе (состояние устойчивой компенсации).
Информация на сайте подлежит консультации лечащим врачом и не заменяет очной консультации с ним.
См. подробнее в пользовательском соглашении.
Противопоказания к бронхоспирометрии. Комплексное бронхологическое исследование
Противопоказания к бронхоспирометрии принципиально аналогичны противопоказаниям к другим видам катетеризации трахеи и бронхов. Vaccarezza, Lanari, Soubrie (1947) противопоказаниями к бронхоспирометрии считают обострение туберкулезного процесса гортани, свежее кровохарканье.
Gaensler, Watson (1952) называют противопоказаниями туберкулезные язвы гортани и трахеи, а также указывают, что процедура бронхоспирометрии может быть затруднена при деформации трахео-бронхиального дерева, обструкции левого главного бронха, высокой температуре, наличии вязкой мокроты и тяжелых бронхоэктазов.
Мы считаем, что противопоказания к бронхоспирометрии те же, что и к бронхоскопии (см. соответствующий раздел). При легочных кровотечениях бронхоспирометрия является полностью противопоказанной, но при небольшом кровохарканье исследование может быть произведено. Применение санации бронхиального дерева через двухпросветную трубку позволяет в определенной степени расширить показания к бронхоспирометрии при обострениях воспалительных процессов легких.
При резких девиациях трахеи и сужениях левого главного бронха бронхоспирометрия возможна, но требует правильного подбора трубки и тщательного контроля ее положения.

Комплексное бронхологическое исследование
Бронхологические исследования (бронхоскопия, бронхография, бронхоспирометрия, катетеризация бронхов для получения бронхиального секрета) имеют много общего как в технике выполнения, так и в своих задачах. Каждое из перечисленных исследований представляет собой катетеризацию бронхов различными инструментами. Все бронхологические исследования отвечают на вопросы диагностики в разных ее аспектах.
Интересно, что бронхография и бронхоспирометрия впервые были выполнены как комплексные исследования: бронхография через бронхоскоп Джексона (1918) и бронхоспирометрия через бронхоскоп Якобеуса, Френкнера и Бьёркмана (1932). В последующем каждый из методов выделился в самостоятельный, но по мере накопления опыта и совершенствования техники вновь наметилась тенденция к соединению отдельных бронхологических методов в комплексные исследования.
Хирургия легких поставила перед диагностикой новые задачи, для решения которых требуется наиболее подробное обследование, нередко с применением всех бронхологических методов. Так, при обследовании больных в предоперационном периоде могут быть показания к бронхоскопии, бронхографии, проводимой последовательно с двух сторон, и бронхоспирометрии, то есть перед операцией больной четырежды подвергается эндобронхиальным исследованиям.
Это усложняет обследование, растягивает его сроки и тягостно воспринимается больными. Сократить период времени, затрачиваемый на обследование, и уменьшить число эндобронхиальных процедур возможно лишь при применении комплексных бронхологических исследований.
Наконец, объединение бронхологических методов в комплексном исследовании позволяет расширить возможности каждого метода и повысить качество диагностической информации. Так, у больных легочными нагноениями, отделяющих большое количество мокроты, выполнение бронхографии по комплексной методике обеспечивает получение бронхограмм высокого качества с более подробной характеристикой патологических изменений и достоверностью отрицательных данных, чем при контрастном исследовании бронхов, произведенном по обычной методике.
Группы показаний к бронхоспирометрии. Бронхоспирометрия при туберкулезе
При оценке показаний к бронхоспирометрии Gaensler, Patton, Frank (1953) логично отмечают, что в идеале каждое исследование должно быть полезным в лечении данного больного и в то же время служить для накопления материала по изучению заболевания или особенностей лечения. Однако при анализе собственного материала (1089 бронхоспирометрии) приводят следующее распределение показаний к бронхоспирометрии:
1) исследовательские показания — 777 бронхоспирометрии (71,4%);
2) терапевтические показания (одышка или цианоз неясной этиологии при диффузных заболеваниях с преимущественно односторонним поражением) —63 бронхоспирометрии (5,8%);
3) хирургические показания (определение функциональной операбельности, выбор оперативного доступа при операциях на сердце и средостении, оценка результатов операций — 248 бронхоспирометрии (22,8%).
В отечественной медицине существует традиция проводить диагностические, не безразличные для здоровья больного исследования, в частности бронхологические, только тогда, когда необходимость в них определяется вопросами диагностики и лечения данного больного. Соответственным образом определяются и показания к бронхоспирометрии.
Так, при туберкулезе легких З. А. Иванова (1963) показанием к бронхоспирометрии считает:
1) решение вопроса о полном удалении легкого;
2) возможность снижения функции другого легкого (предположенная на основании клинических и рентгенологических данных) при частичных резекциях;
3) двусторонние операции на легких;
4) низкие показатели общей спирографии.

Аналогичные показания к бронхоспирометрии при легочном туберкулезе ставит М. И. Перельман (1962).
П. П. Фирсова, Е. А. Печатникова и Ахмет Нагиб (1962) полагают, что применение бронхоспирометрии целесообразно перед каждой торакальной операцией, в частности при выборе оперативного доступа к пищеводу и кардии.
В хирургии легких, учитывая ценность раздельной информации об объемах, вентиляции и газообмене легких, а также доступность и безопасность бронхоспирометрии при строгом выполнении методики и терапевтическое использование ее, мы считаем возможным довольно широко ставить показания к бронхоспирометрии в предоперационном обследовании больных.
Опыт более 200 бронхоспирометрии при раке легкого позволил нам выявить характерную особенность функциональных нарушений при этом заболевании: в легком, пораженном раковой опухолью, происходит нарушение координации между вентиляцией и кровотокОлМ, проявляющееся значительным уменьшением поглощения кислорода при умеренно сниженных или нормальных показателях вентиляции (С. В. Лохвицкий, 1965, 1966). При воспалительных заболеваниях легких (неспецифических и специфических) в неосложненных случаях характерно параллельное снижение показателей вентиляции и поглощения кислорода в пораженном легком. Аналогичные данные получены П. П. Фирсовой и К. Б. Керимовым (1966).
Бронхоскопия
Бронхоскопия представляет собой информативную диагностическую методику, позволяющую также проводить некоторые манипуляции на гортани, в трахеи и бронхах. Для осмотра состояния дыхательных путей используется аппарат бронхоскоп. Он может быть оснащён набором специальных инструментов, при помощи которых производится лечение лазером, забор материала для дальнейшего исследования, хирургические манипуляции. Контроль проводимых манипуляций обеспечивается встроенным осветительным оборудованием и видеокамерой, изображение с которой передаётся на монитор в высоком разрешении. Снимки и видеоматериал могут быть сохранены для дальнейшего анализа, динамического наблюдения и передачи врачам других медицинских специальностей.
Точность получаемых при бронхоскопии данных близка к 100%ной, а малоинвазивность хирургического лечения при помощи этого аппарата ставит бронхоскопию в разряд уникальных процедур.
Основной оперативный блок бронхоскопа состоит из гибких или жёстких трубок малого диаметра (3-6 мм), длина которых может достигать 60 см.
- удаление инородных тел из трахеи и бронхов;
- промывание, очищение от гноя и слизи с последующим введение препаратов направленного действия (антибиотиков, глюкокортикоидов, муколитиков, нитрофуранов);
- взятие материала для биопсии;
- удаление небольших новообразований;
- расширение просвета бронхов.
В некоторых ситуациях бронхоскопия несёт риск осложнений. При принятии решения о проведении данного исследования учитывается соотношение пользы и возможного вреда.
- стеноз гортани или трахеи 2-3 степени;
- существенная дыхательная недостаточность;
- бронхиальная астма в остром периоде;
- аневризма аорты;
- снижение показателей свёртываемости крови;
- некоторые психические заболевания.
2. Подготовка к бронхоскопии
Перед бронхоскопией пациент обследуется на наличие возможных противопоказаний. В ходе предварительной беседы с пульмонологом выясняется текущее состояние и оценивается анамнез. Врач определяет методику и тактику проведения процедуры, включает в её план необходимое оперативное лечение, проведение которого возможно с использованием инструментария бронхоскопа. Выбираются препараты для анестезии.
- рентгенография лёгких;
- ЭКГ;
- клинический анализ крови;
- коагулограмма;
- определение уровня растворённых в крови газов и мочевины.
- во время менструации;
- во второй половине беременности;
- во время приступа бронхиальной астмы или при высокой вероятности его развития;
- при наличии любой инфекции в остром течении.
Накануне проведения диагностики пациент должен получить полноценный отдых. Для снятия тревожности и хорошего ночного сна можно принять успокаивающие или снотворные препараты.
Кушать можно не позднее, чем за 8 часов до начала процедуры.
В день проведения бронхоскопии нельзя курить.
Утром перед приходом в больницу необходимо очистить кишечник (при помощи клизмы или свечей) и освободить мочевой пузырь.
3. Методика проведения бронхоскопии и возможные осложнения
Исследование бронхов проводится в специально оборудованном кабинете, по стерильности отвечающем всем требованиям операционной. Для расширения просвета бронхов в виде аэрозоля или подкожно вводятся необходимые препараты (Атропина сульфат, Эуфилин, Сальбутамол).
В большинстве случаев используется местная анестезия. Общий наркоз показан только при серьёзных нарушениях психики и в детском возрасте.
Во время манипуляций пациент располагается в положении полулёжа или сидя. Ему противопоказано двигать шеей, выгибать грудную клетку, смещать плечи. Частое поверхностное дыхание позволяет преодолевать рвотный рефлекс, возникающий вследствие раздражения гортани. Вызывающие онемение вспомогательные препараты также облегчают переносимость процедуры. После её завершения их действие постепенно снижается в течение двух часов.
По завершении процедуры пациент ещё какое-то время проводит под наблюдением медперсонала, который должен убедиться в отсутствии осложнений и побочных реакций на бронхоскопические манипуляции, особенно если диагностика сопровождалась забором материала, лазерным или хирургическим лечением.
Спирометрия с бронхолитиком. Кому проводится и как проходит спирометрия с бронхолитиком
Функция внешнего дыхания (ФВД) нуждается в объективном анализе при любых пульмонологических заболеваниях. Оценка параметров дыхательной деятельности является основой для постановки точного диагноза, прогнозирования и выбора лечебной схемы. Исследования функции внешнего дыхания также необходимы при принятии решения об оперативном лечении патологии иного профиля, при выборе препаратов для анестезии, для сбора данных при подготовке к медико-социальной экспертизы, а также для оценки эффективности уже проводимой терапии.
Спирометрия – современный метод оценки ФВД, позволяющий получать объективную информацию о работе дыхательной системы. Это безболезненный неинвазивный метод, основанный на анализе параметров прохождения воздуха по дыхательным путям. В ходе спирометрии, а также путём последующих программных вычислений, оценивается скорость воздушного потока, жизненная ёмкость лёгких иные показатели, отражающие степень отклонения от нормы. Спирометрия может выступать как основной диагностический метод или же служить дополнением к иным способам диагностики, например, стать уточняющим инструментом для подтверждения предполагаемого диагноза после рентгенографии.
2. В чём особенности проведения спирометрического теста с бронхолитиком
Спирометрия в современной пульмонологии даёт возможность не только экспериментальным путём оценить явные параметры функции дыхания, но и выявить скрытые отклонения, обнаруживающие себя при определённых условиях. Это особенно важно для тех заболеваний, которые невозможно диагностировать путём стандартной спирометрии.
Спирография в классическом варианте даёт ценные сведения и отражает ясную клиническую картину при бронхиальной астме, хронических бронхитах с бронхиальной обструкцией, бронхиолите, рестриктивной патологии. Однако скрытый бронхоспазм может остаться незамеченным, что затруднит диагностику при определённых нарушениях функции внешнего дыхания. В связи с этим тест с бронхолитиком всегда рекомендуется проводить в дополнение к стандартному комплексу.
Такое исследование учитывает параметры дыхания до и после ингаляторного вдыхания лекарства, снимающего возможный спазм. Если показатели существенно различаются, с большой вероятностью можно предположить скрытый бронхоспазм. В качестве бронхолитика могут применяться:
- беродуал;
- сальбутамол;
- вентолин.
Такое тестирование не существенно увеличивает продолжительность процедуры, однако даёт возможность выявить многие нарушения на ранних стадиях. Кроме того, спирометрия с бронхолитиком показывает, какое именно лекарство для данного пациента наиболее эффективно применять с целью снятия спазма дыхательной системы.
3. Кому проводится спирометрия с бронхолитиком
Показания к проведению исследований функции внешнего дыхания достаточно широки и охватывают любые нарушения в работе лёгких и бронхов. Объективные данные диагностики дают врачу более чёткое представление о причинах тех или иных субъективных жалоб пациента, позволяют оценить тяжесть текущего состояния и назначить адекватное лечение. Если больной описывает симптоматику как более тяжёлую в определённых ситуациях, или же его восприятие собственного состояния существенно разниться с объективными результатами спирометрии, стоит предположить, что имеет место скрытый бронхоспазм. В этом случае оценка ФВД обязательно должна включать тест после ингаляции бронхолитика.
Диагностика при помощи спирометра совершенно безопасна, может проводиться даже детям, если они способны выполнять команды врача и контролировать собственное дыхание.
Противопоказанием к тестированию, включающему бронхолитик, является непереносимость применяемого для ингаляции препарата. Иные ограничения те же, что для обычной спирометрии:
- боли в сердце, стенокардия;
- послеоперационный период;
- пневмоторакс;
- неконтролируемая артериальная гипертензия;
- аневризма аорты.
4. Как проходит процедура спирометрии с бронхолитиком
Перед прохождением диагностики на спирографе необходимо воздержаться от курения и кофе, а также приёма пищи. Не рекомендуются стрессовые ситуации и физические нагрузки за сутки до исследования.
После прихода к пульмонологу необходимо какое-то время спокойно посидеть и согреться. Врач в это время описывает действия, которые может вас попросить осуществлять в ходе спирометрии. Для детей разработаны специальные анимационные компьютерные программы, которые в виде игры задают последовательность дыхательных манёвров.
Каждый пациент использует индивидуальный одноразовый мундштук. Ингаляция бронхолитика также отвечает требованиям антисептики.
Результаты исследования поступают в память спирографа, который затем их обрабатывает. Специальное программное обеспечение позволяет получить расчётные параметры функции дыхания, которые затем лягут в основу разработки эффективной терапевтической схемы. По мере прохождения лечебного курса спирометрия может быть назначена пульмонологом повторно с целью оценки ответной реакции на проводимую терапию.
Читайте также:
- Избыточная продукция тиреоидных гормонов. Гипертиреоза. Кретинизм. Гипотиреоз. Микседема. Тиреоидная недостаточность.
- Подъядерные (инфрануклеарные) поражения глазодвигательного нерва. Синдром сильвиева водопровода, параличи Бенедикта и Вебера
- Жировая эмболия. Диагностика и лечение жировой эмболии.
- Классификация аномалий развития мозжечка
- Гипотонические кризы. Клиника повышения давления при гипотонии
