Псевдокисты поджелудочной железы - диагностика
Добавил пользователь Владимир З. Обновлено: 08.11.2025
УЗИ при кисте поджелудочной железы
а) Дифференциальная диагностика кисты поджелудочной железы:
1. Распространенные заболевания:
• Псевдокиста поджелудочной железы
• Серозная цистаденома поджелудочной железы
• Муцинозная кистозная опухоль поджелудочной железы
• Внутрипротоковая папиллярно-муцинозная опухоль поджелудочной железы
2. Менее распространенные заболевания:
• Внутрипротоковая некротическая карцинома поджелудочной железы
• Солидная псевдопапиллярная опухоль поджелудочной железы
• Кистозная нейроэндокринная опухоль поджелудочной железы
• Врожденная киста поджелудочной железы
• Лимфоэпителиальная киста
• Кистозное метастатическоепоражение
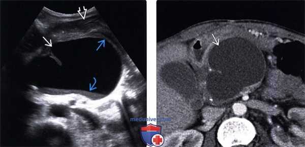
(Левый) Трансабдоминальное УЗИ, поперечное сканирование: анэхогенное образование с четким контуром, эффектом дистального акустического усиления, располагающееся в области хвоста поджелудочной железы, соответствует псевдокисте.
(Правый) Аксиальная КТ с контрастированием у этого же пациента: визуализируется низкоинтенсивное кистозное поражение, с четким контуром и тонкой стенкой, располагающееся в области хвоста поджелудочной железы. Можно отметить отсутствие структур, накапливающих контраст, и выраженную атрофию ткани железы. (Левый) Трансабдоминальное УЗИ, поперечное сканирование в проекции поджелудочной железы: визуализируется однокамерное кистозное образование с четким контуром и эффектом дистального псевдоусиления. Обратите внимание на эхогенное содержимое и некротическое расслоение, что характерно для сложной псевдокисты.
(Правый) Трансабдоминальное УЗИ, поперечное сканирование: визуализируется расширение панкреатического протока и два вытянутых скопления жидкости с четким контуром и внутренними эхосигнала-ми, располагающиеся в области шейки и тела поджелудочной железы, что характерно для сложной псевдокисты вследствие тяжелого панкреатита. (Левый) Трансабдоминальное УЗИ, поперечное сканирование: гиперэхогенное солидное образование в области головки поджелудочной железы, с умеренным кистозным компонентом, и с более эхогенным центром.
(Правый) Аксиальная КТ с контрастированием: лучше визуализируются множественный мелкие кисты внутри образования, разделенные тонкими перегородками, соединяющимися в центре.
б) Важная информация:
2. Распространенные заболевания:
• Псевдокиста поджелудочной железы:
о Часто встречающееся позднее осложнение панкреатита:
- Развивается спустя 4-6 недель после острого панкреатита
- Меняется в динамике, в то время как новообразования остаются без изменения
о Как правило, с ровным четким контуром, однокамерное, анэхогенное образование с дистальным акустическим усилением
о Может иметь сложную структуру:
- Многокамерная структура
- Внутренние эхосигналы с уровнем жидкость-содержимое или перегородки
- Кальцификация стенки
о Солидный компонент образования аваскулярен
о Наличие псевдокисты сопряжено с другими изменениями, характерными для острого или хронического панкреатита:
- Атрофия паренхимы железы или кальцификация, тяжистое уплотнение клетчатки на КТ, стриктуры панкреатического протока на МРТ
- Не характерно для муцинозной кистозной опухоли, которая на ранних стадиях имитирует псевдокисту
• Муцинозная кистозная опухоль:
о Градация опухолей: от доброкачественных с возможностью малигнизации до инвазивной карциномы о Наиболее частая локализация: тело и хвост поджелудочной железы
о Анэхогенное или гипоэхогенное кистозное образование, с толстой стенкой ± умеренно утолщенные перегородки
о Может визуализироваться периферическая кальцификация
о Может быть неотличима от псевдокисты поджелудочной железы
о Нет сопутствующих признаков/панкреатита в анамнезе
о Биопсия под контролем эндоскопического УЗИ позволяет установить верный диагноз
о Солидные компоненты или заметное утолщение перегородок дает основание предполагать карциному
о Встречается практически только у женщин средней возрастной группы (средний возраст: 50 лет)
• Внутрипротоковая папиллярно-муцинозная опухоль:
о Опухоль с разнообразным потенциалом малигнизации: опухоль в ответвлении главного протока поджелудочной железы, как правило, доброкачественна или имеет низкий потенциал малигнизации; внутрипротоковая папиллярно-муцинозная опухоль главного панкреатического протока считается предшественником инвазивной протоковой аденокарциномы поджелудочной железы
о Типичная локализация: головка/крючковидный отросток поджелудочной железы
о При опухоли главного панкреатического протока: заметно его расширение:
- При диффузном росте может имитировать хронический панкреатит:
При этом кальцификации и атрофии паренхимы железы, как правило, не наблюдается
- Если опухоль поражает сегментарный проток, она имитирует скопление жидкости или муцинозную кистозную опухоль
о Поражение боковых ответвлений: скопления расширенных боковых ветвей:
- Анэхогенные или гипоэхогенные кисты или скопления мелких анэхогенных кист
- Необходимо выявить отношение к главному панкреатическому протоку, это отличительный признак при дифференциальной диагностике кистозных новообразований
- Может быть многоочаговой, в то время как серозная цистаденома и муцинозная кистозная опухоль, как правило, представлены одиночным образованием
о Чаще встречается у пожилых мужчин (средний возраст: 65 лет)
(Левый) Трансабдоминальное УЗИ, поперечное сканирование: гетерогенное образование в области хвоста поджелудочной железы, состоящее из множественных мелких кист, разделенных перегородками, эхогенность которых повышена, вследствие большого количества отражающих поверхностей.
(Правый)Аксиальная КТ с контрастированием: классическая ячеистость серозной цистаденомы: микрокистозное поражение с тонкими эхогенными перегородками, очерчивающими мелкие кисты. Обратите внимание на диффузную центральную кальцификацию и отсутствие утолщения стенок, что также является характерными признаком. (Левый) Трансабдоминальное УЗИ, поперечное сканирование: анэхогенное кистозное поражение, с четким контуром, в области тела поджелудочной железы, с несколькими гиперэхогенными периферическими очагами.
(Правый) Аксиальная КТ с контрастированием: гиподенсное образование овальной формы без капсулы в области тела поджелудочной железы, с утолщенной контрастной стенкой. Образование содержит внутренние перегородки, не визуализирующиеся на КТ. (Левый) Трансабдоминальное УЗИ в режиме цветовой допплерографии, поперечное сканирование: скопление множественных мелких кист, округлой и овальной формы в области тела поджелудочной железы.
(Правый) Аксиальная МРТ в режиме Т2 HASTE у этого же пациента лучше визуализирует мультиочаговое поражение поджелудочной железы. Множественные кисты высокой интенсивности в режиме Т2 визуализируются вдоль поджелудочной железы, несколько из них прилежат к расширенному протоку, что соответствует смешанной внутрипротоковой папиллярно-муцинозная опухоли, поражающей как главный панкреатический проток, так и его ответвления. (Левый) Трансабдоминальное УЗИ, поперечное сканирование поджелудочной железы: визуализируется округлое кистозное поражение с четким контуром, имеющее экзофитный тип роста, исходящее из области шейки поджелудочной железы. Была выполнена биопсия под контролем эндоскопического УЗИ, которая подтвердила диагноз: кистозная нейроэндокринная опухоль поджелудочной железы.
(Правый) Аксиальная КТ с контрастированием у другого пациента: округлое кистозное поражение ЕЯ в области крючковидного отростка поджелудочной железы с периферическим ободком усиления, вследствие гиперваскуляризации, представляет собой типичную картину при визуализации небольшой кистозной нейроэндокринной опухоли.
3. Менее распространенные заболевания:
• Внутрипротоковая некротическая карцинома поджелудочной железы:
о Наиболее распространенное новообразование поджелудочной железы
о Злокачественное новообразование
о Наиболее часто поражает область головки поджелудочной железы
о При визуализации характерна солидная гипоэхогенная структура с нечетким контуром, обтурирующая проток
о Могут визуализироваться сложные кистозные очаги вследствие некроза, обструкции боковых протоков или прилегающих псевдокист:
- Редкая форма распространенного новообразования
о Инфильтративный рост ± сосудистая инвазия отличают данное образование от других солидных злокачественных поражений с кистозными изменениями
о Имеют место симптомы обструкции
• Солидная псевдопапиллярная опухоль:
о Опухоль с низким потенциалом малигнизации
о Как правило, поражает область хвоста поджелудочной железы
о Большое солидное гетерогенное эхогенное образование с четким контуром и кистозными включениями
о Кистозные включения развиваются вторично вследствие дегенерации и имеют различные размеры и строение
о Выступающие васкуляризованные мягкотканные очаги
о Часто визуализируются интрамуральные кровоизлияния
о Как правило, встречается у молодых женщин (
• Кистозная нейроэндокринная опухоль поджелудочной железы:
о Все опухоли размером > 5 мм считаются злокачественными
о Как правило, округлые, солидные, гипоэхогенные образования с внутренними локусами кровотока в режиме цветовой допплерографии
о Причиной кистозной трансформации в центре образования является дегенерация опухоли
- Редкая форма редко встречающейся опухоли
о Обнаружение ободка гиперваскуляризации может быть затруднительным
о Наследственные синдромы: множественные эндокринные неоплазии I типа; синдром фон Гиппеля-Линдау; нейрофиброматоз I типа; туберозный склероз:
- Могут быть множественные поражения
- Характерно для молодых пациентов (
• Врожденная киста:
о Истинная эпителиальная выстилка с серозным содержимым
о Характерна для пациентов с аутосомно-доминантным типом наследования поликистозной болезни почек, с синдромом фон Гиппеля-Линдау; может замещать поджелудочную железу целиком (например, при фиброзно-кистозной дегенерации поджелудочной железы)
• Лимфоэпителиальная киста:
о Редкое, доброкачественное образование, как правило, локализуется в области хвоста поджелудочной железы
о Не относится к неопластическому росту, не обладает злокачественным потенциалом
о Характерно макрокистозное строение, множественные или одиночные кисты
о Можно визуализировать характерную гиперинтенсивность в режимеП и низкий сигнал в режиме 12, из-за входящего в состав кератина
о Встречается практически исключительно у мужчин среднего и преклонного возраста
• Кистозные метастатические поражения:
о Метастазирование в поджелудочную железу происходит редко
о Характерно для почечноклеточного рака, меланомы, рака молочной железы, рака легкого, рака желудка, колоректального рака
в) Список использованной литературы:
1. Kim YS et al: Rare nonneoplastic cysts of pancreas. Clin Endosc. 48 (1):31-8, 2015
2. Goh BK et al: Are the Sendai and Fukuoka consensus guidelines for cystic mucinous neoplasms of the pancreas useful in the initial triage of all suspected pancreatic cystic neoplasms? A single-institution experience with 317 surgically-treated patients. Ann Surg Oncol. 21(6)4 919-26, 2014
3. Sahani DV et al: Diagnosis and management of cystic pancreatic lesions. AJR Am J Roentgenol. 200(2):343-54, 2013
4. Megibow AJ et al: The incidental pancreatic cyst. Radiol Clin North Am. 49(2):349-59, 2011
5. Hutchins G et al: Diagnostic evaluation of pancreatic cystic malignancies. Surg Clin North Am. 90(2):399-410, 2010
6. Kalb В et al: MR imaging of cystic lesions of the pancreas. Radiographics. 29(6)4749-65, 2009
Псевдокисты поджелудочной железы - диагностика
Лучевая диагностика псевдокисты поджелудочной железы
а) Определения:
• Скопление секрета поджелудочной железы и воспалительного экссудата, инкапсулированное неэпителизированной фиброзной тканью, развивающееся в сроки >4 недель на месте острого скопления секрета поджелудочной железы
б) Визуализация:
1. Общая характеристика:
• Основные диагностические признаки:
о Четко отграниченное однокамерное перипанкреатическое кистозное образование у перенесшего панкреатит пациента
• Локализация:
о 2/3 перипанкреатические:
- Тело и хвост (85%); головка (15%)
о 1/3 экстрапанкреатические:
- Околоселезеночные, забрюшинные, внутрибрюшинные и медиастинальные
- Интрапаренхимальные: левая доля печени, селезенка, почки
• Размеры:
о 2-10 см
• Морфология:
о Сферическое или овоидное скопление жидкости
о Панкреатический секрет, инкапсулированный грануляционной тканью и фиброзной капсулой
о В отличие от истинных кист, у псевдокист отсутствует истинная эпителиальная выстилка
2. УЗИ при псевдокисте поджелудочной железы:
• УЗИ в черно-белом режиме:
о Неосложненная псевдокиста:
- Четко отграниченное гладкостенное однокамерное анэхогенное образование, вызывающее акустическое усиление сигнала от нижележащих тканей
о Вариант/осложненная псевдокиста:
- Многокамерная (приблизительно 6% случаев)
- В просвете кисты уровень жидкость/детрит, источники эхосигналов и перегородки (вследствие кровоизлияния/ инфекции)
- По морфологии сложная или солидная (в начальную фазу формирования кисты)
- Кальциноз стенки: может затруднять оценку деталей псевдокисты
о Расширенные проток поджелудочной железы и общий желчный проток:
- Сдавливание псевдокисты
- Фиброз/стриктура, вызванные хроническим панкреатитом
• Цветовая допплерография
о Отсутствие кровотока в полости кисты
• Для выполнения аспирации и гистологической диагностики может потребоваться эндоскопическое УЗИ

(Левый) На поперечном УЗ срезе в теле поджелудочной железы определяется псевдокиста несколько дольчатой формы с четкой капсулой и слоистым, оседающим под действием гравитации осадком. Обратите внимание, что псевдокиста смещает желудок кпереди.
(Правый) При КТ с контрастным усилением на аксиальной томограмме у того же пациента в теле поджелудочной железы определяется псевдокиста. Слоистый детрит на этой томограмме виден плохо, при УЗИ он определяется гораздо лучше.
3. КТ при псевдокисте поджелудочной железы:
• Округлое или овальное гомогенное образование сниженной плотности, плотность почти равна плотности воды («зрелая» псевдокиста)
• Геморрагическая, инфицированная псевдокиста: многокамерное, гетерогенное, неоднородной плотности образование
• Газ в просвете псевдокисты: инфекция или самостоятельное дренирование кисты в желудок или кишку
• Может иметь едва заметную тонкую фиброзную капсулу или толстую контрастную стенку
• Содержимое псевдокисты не контрастируется
• Псевдоаневризма: контрастирование стенки кисты в артериальную фазу
4. МРТ при псевдокисте поджелудочной железы:
• Т2-ВИ:
о Гиперинтенсивная (жидкость)
о Неоднородной интенсивности (жидкость + слоистый детрит)
• Т1-ВИ с контрастным усилением:
о Может наблюдаться контрастирование фиброзной капсулы
• МР-холангиопанкреатография:
о Гиперинтенсивная киста, прилегающая к расширенному протоку поджелудочной железы
6. Рекомендации по визуализации:
• Оптимальный метод визуализации:
о КТ с контрастным усилением, УЗИ
• Рекомендации по методике проведения исследования:
о Формирование и созревание псевдокисты обычно занимает 6-8 недель, чаще всего она обнаруживается в эти сроки
о Кроме перипанкреатического пространства необходимо исследовать и другие области: полость брюшины, внутрибрюшную клетчатку и грудную полость
о Контрольные УЗИ помогают отслеживать изменения размеров и определять показания к декомпрессии

(Левый) На поперечном УЗ срезе в хвосте поджелудочной железы определяется сложной формы однокамерная псевдокиста, содержащая эхогенный детритЕЗ, вероятно, кровь. Обратите внимание на отбрасываемую псевдокистой легкую тень.
(Правый) Тот же пациент, КТ с контрастным усилением, аксиальная томограмма. Хотя псевдокиста визуализируется прекрасно, содержащийся в ее просвете детрит, хорошо видимый при УЗИ, едва различим.
в) Дифференциальная диагностика псевдокисты поджелудочной железы:
1. Муцинозная кистозная опухоль:
• Локализация: хвост поджелудочной железы (чаще)
• Многокамерное толстостенное кистозное образование
• В просвете-солидный компонент/эхогенная перегородка
• На основании только лишь результатов лучевых исследований может быть неотличима от псевдокисты
2. Серозная цистаденома:
• Доброкачественная опухоль поджелудочной железы (развивается из ацинарных клеток)
• Локализация: головка поджелудочной железы (чаще всего)
• Солидное образование с мелкими кистозными зонами (• Центральный эхогенный рубец с очагами кальциноза
• При допплерографии-интенсивная васкуляризация
3. Внутрипротоковая папиллярная муцинозная опухоль поджелудочной железы:
• Низкозлокачественная опухоль, развивающаяся из главного протока поджелудочной железы или его боковых ветвей
• Кистозное образование, прилегающее к расширенному главному протоку поджелудочной железы, может быть неотличимо от псевдокисты
• Опухоль бокового протока обычно развивается в головке/крюч-ковидном отростке поджелудочной железы и напоминает виноградную гроздь или скопление мелких тубулярных кист
• Опухоль главного протока вызывает его расширение ± кистозные полости
4. Кистозная опухоль островковых клеток:
• Обычно нефункциональные
• Толстостенные кистозные образования с небольшим солидным компонентом:
о Не сопровождаются расширением протоков поджелудочной железы
• Ангиография/КТ с контрастным усилением: повышенная васкуляризация первичная и вторичная
5. Истинные эпителиальные кисты:
• Связанные с болезнью Гиппеля-Линдау и
• Поликистозной болезнью почек взрослых (adult polycystic kidney disease-ADPKD)
• Редкие, обычно мелкие множественные неконтрастируемые кисты
• Расширения протоков поджелудочной железы не происходит

(Левый) На поперечном УЗ срезе брюшной полости в хвосте поджелудочной железы определяется крупная псевдокиста. Внутренние эхосигналы возникли в результате кровоизлияния в полость псевдокисты.
(Правый) У пациента с обострением хронического панкреатита при магнитной резонансной холангиопанкреатогра-фии на толстом срезе сверху от хвоста железы определяется псевдокиста, сообщающаяся с расширенным деформированным протоком хвоста поджелудочной железы. Обратите внимание на нерасширенный неправильной формы проток тела и головки железы, отечный желудок и скопление воспалительного экссудата в забрюшинном пространстве слева.
г) Патология:
1. Общая характеристика:
• Этиология:
о Псевдокисты развиваются у 10-20% пациентов с острым скоплением панкреатического секрета
о Патогенез:
- Выделение ферментов и сока поджелудочной железы:
Разрыв протока поджелудочной железы
Экссудация через поверхность железы вследствие активации ферментов внутри железы
- Неабсорбированные острые скопления панкреатического секрета организуются, в течение 4-6 недель вокруг них образуется фиброзная капсула
- Развиваются вследствие посттравматического/воспали-тельного аутопереваривания поджелудочной железы
- Причиной образования стенки является реакция окружающих тканей на воспалительный экссудат
• Сопутствующая патология:
о Острый или хронический панкреатит
2. Макроскопические и хирургические особенности:
• Скопление жидкости, детрита тканей, ферментов поджелудочной железы и крови, покрытое тонким слоем фиброзной капсулы
3. Микроскопия:
• Воспалительные клетки, некроз, кровоизлияние
• Отсутствие эпителиальной выстилки
• Стенка образована грануляционной и фиброзной тканями
д) Клинические особенности:
1. Проявления псевдокисты поджелудочной железы:
• Наиболее часто встречающиеся симптомы/жалобы:
о Клиническое значение определяется размерами и развитием осложнений:
- Боли в животе, как правило, иррадиирующие в спину
- Пальпируемое болезненное образование в середине или в правом верхнем квадранте живота
• Другие жалобы/симптомы:
о Может протекать бессимптомно
• Клинический профиль:
о Пациенты с отягощенным хроническим алкоголизмом анамнезом, болями в животе и пальпируемым болезненным образованием
• Лабораторные показатели:
о Аспирация кисты: повышение уровней амилазы и липазы
о Острый панкреатит:
- Повышение активности амилазы и липазы в сыворотке крови
о Хронический панкреатит:
- Анализ на сывороточные маркеры и исследования экзокринной функции не информативны и не всегда легкодоступны
2. Демография:
• Возраст:
о Чаще встречается у пациентов молодого и среднего возраста
• Пол:
о М>Ж
3. Эпидемиология:
о Редко развивается после первого приступа панкреатита (1-3% пациентов)
о Развивается после нескольких обострений алкогольного панкреатита у 1 2% пациентов
о Может выявляться у 40% пациентов с хроническим панкреатитом
4. Течение и прогноз:
• Могут персистировать, разрешаться или увеличиваться в размерах
• Спонтанное разрешение наступает в 25-40%
• Осложнения: чаще всего развиваются при псевдокистах размерами >4-5 см:
о Сдавливание прилегающих кишки или желчного протока
- Обструкция, острая боль, желтуха
о Спонтанный прорыв в брюшную полость:
- Асцит, перитонит
о Кишечный свищ
о Вторичная инфекция
о Эрозия прилегающего сосуда:
- Кровотечение или формирование псевдоаневризмы
• Разрыв и кровотечение-основные причины смерти при псевдокистах
5. Лечение псевдокисты поджелудочной железы:
• Консервативная терапия:
о При бессимптомном течении или уменьшении размеров по данным последовательных лучевых исследований
• Дренирование:
о При наличии симптоматики или продолжающемся увеличении размеров:
- Размер сам по себе не является показанием для дренирования
о Пути дренирования:
- Чрескожный: забрюшинный, чресбрюшинный, чреспеченочный
- Эндоскопический: цистогастростомия под контролем эндоскопического УЗИ
- Хирургический: внутренний (обычно в желудок) или наружный дренаж
о Если псевдокиста все еще сообщается с протоком поджелудочной железы, требуется длительная катетеризация
о Приводит к излечению до 90% случаев
е) Диагностическая памятка:
1. Следует учесть:
• Необходимо исключить другие кистозные образования поджелудочной железы, особенно муцинозные опухоли
2. Советы по интерпретации изображений:
• Для подтверждения диагноза соотнесите выявленные изменения с результатами дополнительных методов лучевых исследований и клинических данных о перенесенном ранее панкреатите
• Для уточнения диагноза может потребоваться аспирация кисты
Киста поджелудочной железы
Киста поджелудочной железы – ограниченное стенками образование в паренхиме органа, заполненное жидкостным содержимым, которое развивается вследствие травматического или воспалительного повреждения поджелудочной железы. Симптомы зависят от размеров, локализации и причины формирования кисты и варьируют от ощущения дискомфорта до выраженного болевого синдрома, сдавления соседних органов. Для оценки размеров, расположения кисты, ее связи с протоковым аппаратом и выбора тактики лечения проводится УЗИ, КТ, МРТ поджелудочной железы, ЭРХПГ. Лечение хирургическое: внутреннее или наружное дренирование, реже – резекция части железы с кистой.
МКБ-10

Общие сведения
Киста поджелудочной железы – патология, распространенность которой в последние годы увеличилась в несколько раз, причем страдают преимущественно лица молодого возраста. Гастроэнтерологи причину этого видят в росте заболеваемости острыми и хроническими панкреатитами различной этиологии (алкогольной, билиарной, травматической). Киста поджелудочной железы является наиболее распространенным осложнением хронического панкреатита (до 80% случаев). Сложность данной патологии заключается в отсутствии единого представления о том, какие именно образования следует относить к панкреатическим кистам, общей классификации, отражающей этиологию и патогенез, а также стандартов оказания медицинской помощи.
Некоторые авторы к кистам поджелудочной железы относят образования, имеющие ограниченные стенки и заполненные панкреатическим соком, другие специалисты считают, что содержимым кисты может быть также некротизированная паренхима органа, кровь, воспалительный экссудат или гной. В любом случае, мнения сходятся в том, что для формирования кисты поджелудочной железы непременно должны быть следующие условия: повреждение паренхимы органа, затруднение оттока панкреатического секрета, а также локальное нарушение микроциркуляции.

Причины
Наиболее частая причина развития кист поджелудочной железы – панкреатиты. Острое воспаление поджелудочной железы осложняется развитием кист в 5-20% случаев, при этом полость обычно формируется на третьей – четвертой неделе заболевания. При хроническом панкреатите постнекротические кисты поджелудочной железы образуются в 40-75% случаев. Чаще всего основным этиологическим фактором является алкогольная болезнь. Реже кисты образуются после травм поджелудочной железы, а также вследствие желчнокаменной болезни с нарушением оттока панкреатического сока, обструктивного хронического панкреатита с нарушением оттока по вирсунгову протоку, опухолей большого дуоденального соска, рубцового стеноза сфинктера Одди.
Формирование кисты поджелудочной железы при панкреатите происходит следующим образом. Повреждение ткани органа сопровождается локальным скоплением нейтрофилов и лимфоцитов, деструктивными процессами и воспалением. При этом область повреждения отграничена от окружающей паренхимы. В ней происходит разрастание соединительной ткани, формируются грануляции; тканевые элементы внутри очага постепенно разрушаются иммунными клетками, и на этом месте остается полость. Если киста поджелудочной железы сообщается с протоковой системой органа, в ней накапливается панкреатический сок, также возможно скопление тканевых некротических элементов, воспалительного экссудата, а при повреждении сосудов – крови.
При нарушении пассажа по общему панкреатическому протоку формируются кисты поджелудочной железы, имеющие эпителиальную выстилку, внутри которых накапливается панкреатический сок. Ключевым патогенетическим механизмом их образования является внутрипротоковая гипертензия. Доказано, что внутри полости кисты давление может в три раза превышать нормальные показатели внутри протоков.
Классификация
Условно все кисты поджелудочной железы по морфологическим признакам подразделяют на два типа: сформированные вследствие воспалительного процесса и не имеющие эпителиальной выстилки (некоторые авторы называют такие образования псевдокистами, другие не выделяют в отдельную группу) и образованные при обструкции протоков и имеющие эпителий (ретенционные).
Для характеристики кист поджелудочной железы, образовавшихся как осложнение острого панкреатита, наиболее часто используется Атлантская классификация, согласно которой выделяют острые, подострые жидкостные образования и абсцесс поджелудочной железы. Остро развившиеся образования не имеют окончательно сформированных собственных стенок, в их роли могут выступать как паренхима железы, так и протоки, парапанкреатическая клетчатка, даже стенки соседних органов. Хронические кисты поджелудочной железы характеризуются уже сформировавшимися из фиброзной и грануляционной ткани стенками. Абсцесс – это заполненная гноем полость, образовавшаяся при панкреонекрозе или нагноении кисты.
В зависимости от локализации различают кисты головки, тела и хвоста поджелудочной железы. Выделяют также неосложненные и осложненные (перфорацией, нагноением, свищами, кровотечением, перитонитом, малигнизацией) панкреатические кисты.
Симптомы кисты поджелудочной железы
Клиническая картина при наличии кисты поджелудочной железы может существенно отличаться в зависимости от размера, расположения образования, причины его формирования. Довольно часто панкреатические кисты не вызывают симптоматики: полости диаметром до 5 сантиметров не сдавливают соседние органы, нервные сплетения, поэтому пациенты не испытывают дискомфорта. При крупных кистах основным признаком является болевой синдром. Характерный симптом - «светлый промежуток» (временное улучшение клинической картины после острого панкреатита или травмы).
Наиболее интенсивная боль наблюдается в период формирования псевдокисты при остром панкреатите или обострении хронического, поскольку имеют место выраженные деструктивные явления. Со временем интенсивность болевого синдрома снижается, боль становится тупой, может остаться только ощущение дискомфорта, которое в сочетании с анамнестическими данными (перенесенная травма или панкреатит) позволяет заподозрить заболевание. Иногда на фоне такой скудной симптоматики развиваются болевые приступы, причиной которых является внутрипротоковая гипертензия. Резкая выраженная боль может свидетельствовать также о разрыве кисты, постепенное усиление боли на фоне повышения температуры тела и явлений интоксикации – о ее нагноении.
Существенно отличаются симптомы кисты поджелудочной железы, если она сдавливает солнечное сплетение. При этом пациенты испытывают постоянную выраженную жгучую боль, иррадиирующую в спину, которая может усиливаться даже от сдавления одеждой. Состояние облегчается в коленно-локтевом положении, боль купируется только наркотическими анальгетиками.
Симптомами кисты поджелудочной железы могут быть и диспепсические явления: тошнота, иногда – рвота (ею может заканчиваться приступ боли), неустойчивость стула. В результате снижения экзокринной функции органа нарушается всасывание в кишечнике питательных веществ, снижается вес.
Для данной патологии характерен синдром сдавления соседних органов: если киста находится в области головки железы - возможна механическая желтуха (иктеричность кожи и склер, кожный зуд); при сдавлении воротной вены развиваются отеки на нижних конечностях; если образование нарушает отток мочи по мочеточникам, характерна задержка мочеиспускания. Редко крупные панкреатические кисты сдавливают просвет кишечника, в таких случаях может развиться неполная кишечная непроходимость.
Диагностика кисты поджелудочной железы
Консультация гастроэнтеролога при подозрении на панкреатическую кисту позволяет выявить характерные жалобы пациента, анамнестические данные. При осмотре живота возможна его асимметрия – выпячивание в области расположения образования. При проведении лабораторных анализов обычно специфических изменений нет, возможен незначительный лейкоцитоз, увеличение СОЭ, в некоторых случаях – повышение уровня билирубина и активности щелочной фосфатазы. Концентрация ферментов поджелудочной железы зависит не столько от наличия кисты, сколько от стадии панкреатита и степени повреждения железы. Примерно в 5% случаев нарушается эндокринная функция панкреас и развивается вторичный сахарный диабет.
Высокоинформативны инструментальные методы визуализации кисты. УЗИ поджелудочной железы позволяет оценить размеры образования, а также косвенные признаки осложнений: в случае нагноения определяется неравномерность эхосигнала на фоне полости, при малигнизации – неоднородность контуров. Компьютерная томография и магнитно-резонансная томография (МРТ поджелудочной железы) дают более детальную информацию о размерах, расположении кисты, наличии ее связи с протоками. В качестве вспомогательного метода может применяться сцинтиграфия, при которой киста определяется как «холодная зона» на фоне общей паренхимы органа.
Особое место в диагностике кисты поджелудочной железы отводится эндоскопической ретроградной холангиопанкреатографии (ЭРХПГ). Данная методика дает детальную информацию о связи кисты с протоками железы, что определяет тактику лечения, однако при проведении обследования существует высокий риск инфицирования. Поэтому в настоящее время ЭРХПГ проводится исключительно при решенном вопросе о хирургическом лечении с целью выбора способа операции.
Лечение кисты поджелудочной железы
Лечение кисты поджелудочной железы хирургическое. Не существует единой тактики ведения пациентов с этим заболеванием, и выбор операции зависит от причин формировании кисты, ее размеров, морфофункциональных изменений ткани органа, а также состояния протоковой системы.
Специалисты в области хирургической гастроэнтерологии выделяют три основных направления тактики при кисте поджелудочной железы: ее удаление, внутреннее и наружное дренирование. Удаление образования производится путем резекции части поджелудочной железы вместе с кистой, при этом объем определяется размерами кисты и состоянием паренхимы органа (может быть выполнена резекция головки железы, дистальная, панкреатодуоденальная резекция).
Внутренние дренирующие вмешательства могут проводиться путем наложения анастомоза между кистой и желудком (цистогастростомия), двенадцатиперстной (цистодуоденостомия) или тонкой кишкой (цистоэнтеростомия). Данные методы считаются наиболее физиологичными: они обеспечивают пассаж панкреатического секрета, устраняют болевой синдром, редко приводят к рецидивам.
Наружное дренирование кисты применяется реже. Такое вмешательство показано при нагноении полости, несформировавшихся кистах, обильной васкуляризации образования, а также тяжелом общем состоянии пациента. Подобные операции являются паллиативными, поскольку существует риск нагноения и рецидивирования кисты, формирования панкреатических свищей, которые очень плохо поддаются консервативному лечению и иногда требуют проведения технически намного более сложных вмешательств. Любой вид дренирующих операций проводится только после подтверждения неопухолевой этиологии образования.
В последнее время все большую распространенность приобретают малоинвазивные дренирующие оперативные вмешательства, которые используются как альтернативное лечение. Однако, несмотря на малую инвазивность и теоретическую перспективность таких методов лечения, очень часто развиваются осложнения в виде формирования наружных панкреатических свищей, сепсиса.
Консервативная терапия при кисте поджелудочной железы определяется основным заболеванием. В случае панкреатита обязательно назначается диета, направленная на максимальное снижение панкреатической секреции. Применяются замещающие препараты, анальгетики, проводится контроль уровня гликемии, при необходимости – ее коррекция.
Прогноз и профилактика кисты поджелудочной железы
Прогноз при кисте поджелудочной железы зависит от причины заболевания, своевременности диагностики и хирургического лечения. Данная патология характеризуется высокой частотой осложнений – от 10 до 52% всех случаев сопровождаются нагноением, перфорацией, образованием свищей, озлокачествлением или внутрибрюшным кровотечением. Даже после хирургического лечения существует риск рецидивирования. Профилактика кист поджелудочной железы заключается в отказе от алкоголя, своевременном адекватном лечении заболеваний желудочно-кишечного тракта (ЖКБ, панкреатитов), рациональном питании.
Ложная киста поджелудочной железы
Ложная киста поджелудочной железы (псевдокиста) – полость в паренхиме поджелудочной железы, лишенная эпителиальной выстилки и содержащая панкреатический секрет и тканевой детрит. Причиной развития патологии наиболее часто являются панкреатиты (острые и хронические), реже – травмы брюшной полости. Основной признак заболевания - боль, интенсивность которой максимально выражена на первом этапе формирования полости. Также характерны диспепсические жалобы. Диагностическая программа включает рентгенографию органов брюшной полости, УЗИ и КТ поджелудочной железы, РХПГ. Лечение комплексное: фармакотерапия, эндоскопические и хирургические вмешательства (дренирующие или удаление кисты).


Ложная киста поджелудочной железы относится к опухолеподобным процессам. Данная патология представляет серьезную проблему в гастроэнтерологии, тесно связанную с увеличением заболеваемости населения острыми и хроническими панкреатитами, которые являются основной причиной формирования псевдокист. При алкогольном панкреатите ложные кисты поджелудочной железы образуются у 34-50% пациентов.
Псевдокисты склонны к нагноению, перфорации, малигнизации, образованию плохо поддающихся лечению внутренних и наружных свищей, чем обусловлена высокая летальность при данной патологии – до 53%. Клиническая картина псевдокисты часто маскируется под обострение основного заболевания, в ряде случаев ложные кисты являются интраоперационными находками. Несмотря на постоянное совершенствование методик лечения, в том числе микрохирургических, на сегодняшний день отсутствует единый лечебно-диагностический алгоритм и «золотой стандарт» лечения пациентов.

Причины ложной кисты поджелудочной железы
Наиболее часто формированию панкреатических псевдокист предшествует острый и хронический панкреатит, при этом острая форма сопровождается формированием полости в паренхиме железы в половине, а хроническая – в 80% случаев. В зоне повреждения паренхимы органа происходят деструктивные изменения, отграничение воспалительной массы с ее уплотнением и последующим разрастанием в строме соединительной ткани. Тканевой детрит постепенно уничтожается иммунными клетками, и на его месте остается полость без эпителиальной выстилки.
Реже причиной образования ложных кист поджелудочной железы выступает травма органа. Посттравматические псевдокисты - это гематомы с большим количеством панкреатических ферментов. Они обладают склонностью к быстрому нагноению, в связи с чем требуют неотложного хирургического вмешательства. Отдельным вариантом посттравматических псевдокист являются ятрогенные ложные кисты, которые формируются после оперативных вмешательств. Такие псевдокисты представляют собой затеки желчи (это осложнение характерно для лапароскопической холецистэктомии) или панкреатического сока (развиваются после резекции поджелудочной железы). После обширных хирургических вмешательств в поджелудочной железе может скапливаться осумкованная перитонеальная жидкость.
Иногда псевдокисты образуются при ограничении воспалительного процесса вследствие применения высоких дозировок ингибиторов панкреатических ферментов. Такие ложные кисты протекают на фоне хронического панкреатита. Редкой причиной формирования ложных кист поджелудочной железы является атеросклероз сосудов данного органа.
Классификация ложных кист поджелудочной железы
Панкреатические псевдокисты классифицируют по этиологии: возникающие после деструктивного панкреатита, посттравматические и другие. В зависимости от локализации различают псевдокисты головки, тела и хвоста панкреас.
Отдельно выделяют 4 стадии псевдокист, образующихся на месте очага деструкции паренхимы органа:
- Первая стадия характеризуется образованием начальной полости в зоне инфильтрации и аутолитических процессов, длится около шести недель.
- На второй стадии полость ограничивается рыхлой соединительнотканной капсулой, при этом продолжается разрушение инфильтрата иммунными клетками. Этот период может длиться 2-3 месяца.
- На третьей стадии псевдокиста «созревает» – образуется капсула из фиброзной ткани. Данный процесс происходит примерно через полгода от начала заболевания.
- Четвертая стадия характеризуется окончательным формированием плотной капсулы, которая легко отделяется от окружающих тканей.
В практической гастроэнтерологии чаще используется следующая классификация псевдокист:
- острые (до 2-3 месяцев)
- подострые (до полугода)
- хронические (более полугода).
Симптомы ложной кисты поджелудочной железы
Ведущим симптомом панкреатической псевдокисты является боль. Ее характеристики зависят от размера, локализации, а также стадии формирования полости. Наиболее интенсивную боль испытывают пациенты в первом периоде «созревания» псевдокисты, когда происходят деструктивные процессы в паренхиме органа. Через некоторое время боль стихает, становится тупой. У некоторых пациентов остается только ощущение дискомфорта. В дальнейшем возможны повторные болевые приступы, которые связаны с гипертензией в протоках поджелудочной железы. Значительное усиление боли может свидетельствовать о развитии таких осложнений, как разрыв, нагноение, кровоизлияние в полость псевдокисты.
Локализация болевых ощущений зависит от расположения псевдокисты: при образовании в области головки панкреас боли возникают в правом подреберье, тела и хвоста – в эпигастрии и левом подреберье. Некоторых пациентов беспокоят постоянные боли, что может быть связано с давлением псевдокисты на солнечное сплетение. В таких случаях ощущения усиливаются при смене положения тела, физических нагрузках, давлении поясом одежды. Характерны также диспепсические жалобы: тошнота, рвота, ухудшение аппетита.
Диагностика ложной кисты поджелудочной железы
Важную роль в диагностике панкреатических псевдокист играет оценка анамнеза и объективное обследование пациента. Консультация гастроэнтеролога позволяет выявить в анамнезе указания на недавно перенесенный острый панкреатит или обострение хронического, травму живота, а также наличие после них «светлого промежутка». При пальпации живота определяется боль, в некоторых случаях (при крупных псевдокистах) - асимметрия, прощупывание округлого образования.
Результаты лабораторных исследований обычно малоинформативны, поскольку выявляют изменения, причиной которых является первичное заболевание - панкреатит (лейкоцитоз, повышение СОЭ, возможно повышение билирубина и активности щелочной фосфатазы). Характерно изменение уровня панкреатических ферментов: на первой стадии формирования псевдокисты после купирования болевого синдрома определяется гиперферментемия, на более поздних стадиях – гипоферментемия.
При проведении рентгенографии органов брюшной полости возможно обнаружение тени псевдокисты, а также смещения двенадцатиперстной кишки или желудка. Более информативна ультразвуковая диагностика. УЗИ поджелудочной железы позволяет визуализировать ложную кисту, оценить ее локализацию и размеры, в некоторой степени – связь с протоковой системой, а также наличие или отсутствие осложнений (нагноения, кровоизлияния в полость). В случае сдавления холедоха выявляется расширение желчных протоков, при портальной гипертензии – селезеночной и воротной вен. При малигнизации псевдокисты визуализируются неровные контуры ее стенки.
Эзофагогастродуоденоскопия проводится с целью выявления косвенных признаков воспалительного процесса в поджелудочной железе, сдавления желудка и двенадцатиперстной кишки: над участками сдавления определяются эрозии слизистой оболочки, может быть обнаружено варикозное расширение вен пищевода.
Важным методом диагностики панкреатических псевдокист является эндоскопическая ретроградная холангиопанкреатография (ЭРХПГ). Данный метод исследования позволяет оценить связь полости псевдокисты с протоковой системой, что играет определяющую роль в выборе лечебной тактики. Однако в связи с тем, что существует высокий риск инфицирования полости в ходе исследования, ЭРХПГ проводится исключительно перед хирургическим вмешательством для выбора метода лечения.
Для окончательной верификации диагноза, детальной оценки состояния ложной кисты поджелудочной железы и ее содержимого выполняются такие диагностические исследования, как МРТ поджелудочной железы, цитологическое исследование содержимого кисты. Дифференциальная диагностика проводится с ретенционными кистами, доброкачественными кистомами, злокачественными опухолями поджелудочной железы.

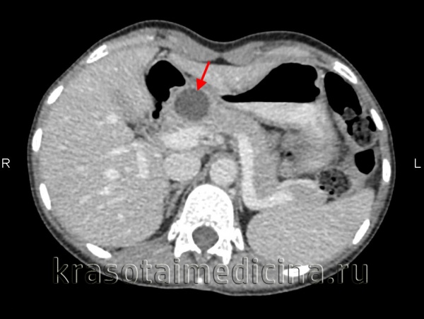
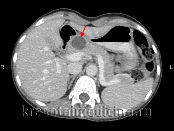
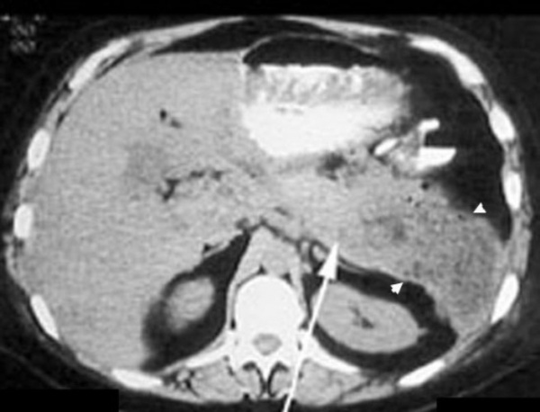
КТ органов брюшной полости. Псевдокиста поджелудочной железы у пациента после приступа острого панкреатита
Лечение ложной кисты поджелудочной железы
На данном этапе фармакотерапия комбинируется с ранним чрескожным пунктированием с установкой катетера. Катетер может находиться в полости псевдокисты до нескольких месяцев, что дает возможность выполнять промывание антисептическими растворами, аспирацию содержимого, а также пломбирование полости силиконовыми быстротвердеющими композициями. До формирования фиброзной капсулы псевдокисты применяется выжидательная тактика, которая обоснована и при бессимптомных ложных кистах поджелудочной железы. При этом активные методы применяются только при появлении клинических симптомов (сдавление соседних органов, боль).
Во втором и последующих периодах формирования псевдокисты ведущим методом лечения является дренирование. В настоящее время в клинической практике более часто применяются эндоскопические малоинвазивные методы, включающие цистогастростомию и цистодуоденостомию. В ходе данных вмешательств выполняется пункция стенки желудка или двенадцатиперстной кишки в области сдавления псевдокистой и установка стента, который может находиться в анастомозе несколько недель. Однако данные методы лечения имеют определенные недостатки: существует риск инфицирования псевдокисты с попаданием химуса в ее полость, раздражения слизистой пищеварительной трубки, кровотечения, а также рубцевания соустья, что приводит к рецидивам.
Хирургическое лечение показано при больших размерах ложных кист поджелудочной железы (более 6-7 сантиметров в диаметре), быстром их увеличении, длительно существующих полостях, большом количестве детрита в полости, а также при травматической этиологии. Также операция проводится при нагноении, перфорации, кровотечении, формировании свищей, неэффективности других методов лечения. Для лечения панкреатических псевдокист выполняется наружное дренирование (вскрытие псевдокисты с вшиванием в рану передней брюшной стенки), внутреннее дренирование (вскрытие кисты, ее ушивание и наложение анастомоза с желудком, двенадцатиперстной или тощей кишкой), удаление кисты (цистэктомия или резекция части панкреас с псевдокистой).
Прогноз и профилактика
Прогноз при ложных кистах поджелудочной железы зависит от причины их развития и выбора оптимального метода лечения в каждом конкретном случае. Послеоперационная летальность при данной патологии очень высокая – около 50%. В то же время рецидивы после различных видов лечения, в том числе эндоскопических, развиваются в 30% случаев. Существует высокий риск таких осложнений, как кровотечение, нагноение, перфорация псевдокисты, формирование свищей, малигнизация. Профилактика панкреатических псевдокист сводится к предупреждению панкреатитов (отказу от употребления алкоголя, рациональному питанию), травм брюшной полости.
Абсцесс поджелудочной железы
Абсцесс поджелудочной железы – это полость, заполненная гноем и некротическими массами в ткани железы. В подавляющем большинстве случаев развивается после острого алкогольного панкреатита. Характеризуется появлением лихорадки, опоясывающих болей, лейкоцитоза, опухолевидного образования в брюшной полости примерно через две недели после приступа панкреатита. Диагноз устанавливается после проведения УЗИ, МРТ или КТ брюшной полости, анализа биохимических и общеклинических параметров крови. Единственный эффективный метод лечения – хирургическая санация абсцесса с последующей антибактериальной терапией.



Абсцесс поджелудочной железы – тяжелейшее заболевание, которое развивается у пациентов, перенесших панкреатит (остро или повторное обострение) или панкреонекроз с формированием в железе отграниченной гнойной полости. Заболевание опасно для жизни пациента, а коварство его кроется в стёртости клиники на фоне антибиотикотерапии. Именно поэтому в современной гастроэнтерологии принято назначать антибиотики при панкреатите только при сопутствующем поражении желчных путей или доказанных бактериальных осложнениях. Все случаи повышения температуры и появления болей в животе в течение двух недель после панкреатита должны рассматриваться как вероятный панкреатический абсцесс. Единственный метод лечения, приводящий к выздоровлению – хирургическая операция по дренированию гнойника. Без операции летальность при данной патологии достигает 100%.
Абсцесс поджелудочной железы развивается на фоне острого панкреатита, может образовываться при любой форме патологии, кроме отёчной; 3-4% случаев этого заболевания заканчиваются образованием абсцесса. Наиболее часто выявляется на фоне алкогольного панкреатита. Причины формирования гнойной полости в поджелудочной железе до конца не ясны. Предполагается, что инфекция может быть занесена током крови, при проколе псевдокист (если не соблюдается асептика), при формировании свища кисты с кишечником. Развитию абсцесса способствуют:
- тяжёлый панкреатит с более чем тремя факторами риска;
- послеоперационный панкреатит;
- ранняя лапаротомия;
- раннее начало энтерального питания;
- нерациональная антибиотикотерапия.
В подавляющем большинстве случаев при аспирации и посеве содержимого гнойника выделяется кишечная палочка либо энтеробактерии. Согласно исследованиям в области гастроэнтерологии, присоединение вторичной инфекции наблюдается практически в 60% случаев панкреонекроза, поэтому при лечении этого заболевания следует учитывать вероятность образования полости с гнойным содержимым.
Патогенез
При возникновении острого панкреатита ткань железы повреждается, из-за чего ферменты попадают и на саму железу, и на окружающие ткани, разрушая их. Из-за этого может начаться панкреонекроз, образуются псевдокисты – полости, заполненные жидким содержимым и некротизированными тканями. При попадании в область патологического процесса инфекции развивается либо флегмона поджелудочной железы – тотальное гнойное расплавление, либо формируется абсцесс. Следует отметить, что флегмона является более тяжёлым и прогностически неблагоприятным состоянием, по клинике практически не отличающимся от единичного абсцесса. Кроме того, при флегмоне в тканях могут формироваться множественные абсцессы.
Симптомы абсцесса
Абсцесс поджелудочной железы формируется длительно – обычно не менее 10-15 дней. Таким образом, в течение двух-четырёх недель от начала панкреатита повышается температура до фебрильных цифр, появляются озноб, тахикардия, усиливаются боли в верхней половине живота. Боли носят опоясывающий характер, достаточно сильные. Больной обращает внимание на слабость, утомляемость, отсутствие аппетита, повышенное потоотделение. Беспокоит тошнота, рвота, после которой во рту долго ощущается горечь. Налицо все признаки интоксикации. При пальпации живота обращает на себя внимание наличие опухолевидного образования, напряжение мышц передней брюшной стенки.
Осложнения
Абсцесс поджелудочной железы часто осложняется дальнейшим распространением инфекции, образованием множественных гнойников в самой железе и окружающих органах. Гной может затекать забрюшинно, прорываться в полые органы (кишечник, желудок), поддиафрагмально и в околокишечную клетчатку, плевральную и перикардиальную полости, в связи с чем могут сформироваться абсцесс кишечника, поддиафрагмальный абсцесс, гнойный плеврит и перикардит. Также гнойник изредка может прорываться наружу через кожу с образованием свища. При разрушении ферментами стенки сосуда может возникнуть сильное кровотечение, иногда с летальным исходом.
Диагностика
Диагноз абсцесс поджелудочной железы устанавливается специалистом в сфере общей хирургии после тщательного обследования больного. Дифференциальный диагноз проводится с псевдокистой поджелудочной железы, панкреонекрозом. Применяются следующие методы:
- Лабораторные исследования. В общем анализе крови отмечается высокий лейкоцитоз, сдвиг формулы лейкоцитов влево, повышение СОЭ, анемия. В биохимическом анализе крови обращает на себя внимание повышение уровня панкреатических ферментов, гипергликемия. Повышен уровень амилазы мочи, хотя при формировании абсцесса её количество может постепенно снижаться.
- Визуализирующие методики. УЗИ поджелудочной железы, КТ органов брюшной полости позволит определиться с локализацией и размерами очага, количеством абсцессов. При необходимости возможно одновременное проведение чрескожной пункции с аспирацией, исследованием и посевом содержимого.

УЗИ поджелудочной железы. На фоне резкого увеличения размеров железы (обведена пунктиром) в ее головке определяется крупный (до 3 см в диаметре) абсцесс (показан стрелками).
Рентгенологическое исследование панкреатического абсцесса имеет некоторые особенности. Так как железа расположена за желудком, то тень полости гнойника может накладываться на газовый пузырь желудка. Поэтому экспозиция должна быть дольше, а при подозрении на абсцесс в полость желудка вводят контрастное вещество и делают вертикальный снимок в боковой проекции – при этом округлая тень с границей жидкости (абсцесс) будет находиться за желудком. При попадании контраста в полость абсцесса можно говорить о наличии свища. Также на снимках можно увидеть признаки сдавления кишечника, смещения органов. Левый диафрагмальный купол высокий, подвижность его ограничена, может быть выпот в плевральную полость.

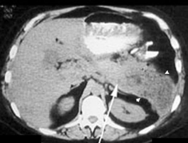
КТ органов брюшной полости. Диффузно увеличенная поджелудочная железа. Большая стрелка указывает на тело поджелудочной железы, маленькие стрелки - на абсцесс, расположенный в хвосте поджелудочной железы.
Лечение абсцесса поджелудочной железы
Лечение осуществляет абдоминальный хирург. Абсцесс является абсолютным показанием к санации и дренированию. Практика показывает, что чрескожное дренирование гнойников приводит к излечению только в 40% случаев, к тому же при такой тактике можно пропустить флегмону, множественные абсцессы, распространение инфекции на окружающие панкреас ткани. Именно поэтому эндоскопическое или классическое лапаротомное иссечение и дренирование абсцесса будет наилучшим выходом.
Во время операции производится внимательный осмотр окружающих органов, забрюшинной клетчатки на предмет вторичных абсцессов. Параллельно пациенту назначается антибиотикотерапия согласно полученным посевам, обезболивающие препараты, спазмолитики, ингибиторы ферментов. Проводится инфузионная терапия с целью дезинтоксикации.

Поскольку причины образования абсцессов поджелудочной железы до конца не выяснены, на сегодняшний день не существует и мер профилактики развития этой патологии после панкреатита и панкреонекроза. Таким образом, профилактикой абсцедирования является предупреждение панкреатита – ведь абсцесс может сформироваться только на его фоне.
Прогноз при формировании абсцессов серьёзный: без хирургического лечения смертность составляет 100%, после проведения операции выживаемость достигает 40-60%. Исход заболевания зависит от своевременности обращения, быстрой диагностики и оперативного лечения. Чем раньше поставлен диагноз и проведена операция, тем лучше отдалённые результаты.
Читайте также:
- Посттравматическая афакия: причины, последствия
- Исследование полового хроматина. Синдром Шерешевского—Тернера
- Избыточная продукция тиреоидных гормонов. Гипертиреоза. Кретинизм. Гипотиреоз. Микседема. Тиреоидная недостаточность.
- Лечение электрических ожогов. Тактика
- Операция при травматическом шоке. Диагностика полостных кровотечений
